BREASTBREAST
TUMORSTUMORS
LYMPHATIC
DRAINAGE
AXILLARY (MOSTLY)
INTERNAL MAMMARY
SUPRACLAVICULAR
Breast Carcinoma Statistics
• THE most common cancer in women in
the United States (excluding skin
cancer)
• The second most common cause of
cancer mortality in women (lung cancer
is first)
• One in eight women will get breast
cancer, and one third of women with
breast cancer will die of the disease.
Breast
Lung & bronchus
Leukemia
Bladder
Brain &CNS
NHL
Colorectal
Larynx
Skin excluding Melanoma
Stomach
Uterus including Cervix and corpus)
Hodgkin disease
Thyroid
Kidney, pelvis& ureter
Ovary
Prostate
Pancreas
Bone & cartilage
Liver &bile ducts
Esophagus
Type of cancer, in
Iraq, by primary
tumor site (2004)
6
Risk Factors for Breast Cancer
• Geography
• Age
• Menstrual history
• Pregnancy
• Benign breast disease (Hx of previous breast pathology)
• Other:
• Estrogen
• Oral contraceptive
• Lack of breast feeding is a risk.
• Obesity
• High fat diet
• Alcohol
• Smoking
• Radiation Exposure
• Carcinoma of the contralateral breast or endometrium
• Environmental Toxins
• ABORTIONS?
Causes of Breast Cancer
• Genetic
• Environmental
• Hormonal
Genetic changes
Proto-oncogen
• HER2/NEU
• 30%
• Poor prognosis
• RAS & MYC
Tumor suppressor gene
• Rb,
• p53,
• ER gene inactivation
 Gene profiling of breast cancerGene profiling of breast cancer
• 1. ER +ve, HER2 –ne
• 2. ER +ve, HER2 +ve
• 3. ER -ne, HER2 +ve
• 4. ER -ne, HER2 –ne
• Different Outcome & Therapy.
Genetic Factors
Inhereted Mutations (10%)
• 10% breast cancers are familial (90% sporadic)
• Positive Family History, especially in 1st degree
relatives (mother, daughter, sister) confers
increased risk for breast cancer
• Tumor suppressor genes (BRCA1, BRCA2)
• Risk is greatest with:
• Relative with BILATERAL disease
• Relative affected at a YOUNG AGE
BRCA1 Gene (17q21)
• Responsible for up to 1/2 of “inherited” breast
cancers (5% of cancers)
• Increased risk of ovarian and colon cancers
(“Breast-Ovarian” cancer gene)
• Breast cancer develops in >50% of these women
by age 50 (“Early onset” breast cancer gene)
• Carried by 1 in 200-400 people
BRCA2 Gene (13q)
• Responsible for up to 70% of inherited breast
cancer NOT due to BRCA1 (3.5% of cancers)
• Characterized by increased risk of breast cancer
in women and MALE breast cancer (“Male Breast
Cancer” gene)
Li-Fraumeni Syndrome (p53)
• Due to Inherited p53 Tumor Suppressor Gene
Mutation (cell cycle checkpoint)
• Family cancer syndrome characterized by
increased risk of breast cancer, osteosarcoma,
soft tissue sarcomas, brain tumors, leukemia,
other
• Accounts for approximately 1% of breast
cancers detected before age 40
OTHER
Recognized Susceptibility Loci
• ESR 6q24-27 (Estrogen receptor)
• AR X11.2-q12 (Androgen receptor)
• PTEN 10q22-23 (Cowden’s syndrome)
Hormonal Factors
• “Incessant ovulation”: Early menarche, late
menopause, nulliparity, late age at first term
pregnancy all INCREASE the risk of breast
cancer.
• Oophorectomy before age 35 DECREASES the
risk of breast cancer.
• Oral contraceptive use and hormone
replacement therapy may be associated with
a ????? SMALL increased risk
• Etiology: ? hormonal stimulation of proliferation
and differentiation of cycling breast epithelium.
Environmental Factors
• 4-5 fold greater incidence of breast cancer in
industrialized countries than in less developed
countries.
• Increased risk may be related to:
– Higher fat diet
– Earlier menarche
– Less physical activity
– Decreased parity
– Later age at parity
Radiation Exposure
• Increased risk of breast cancer after:
– Radiation therapy for Hodgkin’s Disease in young
women, postpartum mastitis in mothers
– Survivors of atomic bomb blasts
• Increased risk when exposure is at a young age,
little increase in risk after age 40
– Indicates that the risk is GREATEST to the
developing and hormonally cycling breast
Histopathologic Risk Factors
For Breast Cancer
• Presence of a history of breast
pathology increases risk of breast
cancer
Relative Risk for Invasive Carcinoma Based on Histologic
Evaluation of Breast Tissue Without Invasive Carcinoma
• NON-Proliferative Fibrocystic Changes (1X, No increased
risk)
– Small simple cysts, apocrine metaplasia, mild epithelial hyperplasia
• Proliferative Fibrocystic Changes (1.5-2X, Slight increased
risk)
– Moderate to florid hyperplasia
– Sclerosing adenosis
– Intraductal papilloma
– Fibroadenoma
• Proliferative Fibrocystic Changes WITH ATYPIA (3-5X,
Moderate increased risk)
– Atypical ductal hyperplasia
– Atypical lobular hyperplasia
• Carcinoma IN SITU (8-10X, HIGH RISK)
– Ductal carcinoma in situ (DCIS)
Atypical hyperplasia with
family history or in a
premenopausal woman has
a risk of invasive carcinoma
similar to DCIS
Relative Risk of Invasive Breast Carcinoma
Lumpectomy
Mastectomy: Modified Radical
6. Breast Cancer Pathology
In Situ Carcinomas
Invasive Carcinomas
Special Subtypes
Ductal Carcinoma In Situ (DCIS)
• Arises in the terminal duct lobular unit (TDLU) and
DOES NOT demonstrate invasion through the
myoepithelial layer and BM
• DCIS is a surgically treatable entity
• The likelihood of developing an invasive carcinoma, or
recurrent DCIS varies with
a) Histologic subtype of the in situ carcinoma
b) Size/ extent of DCIS
c) Distance to the margins of excision.
Ductal Carcinoma in Situ
• Clinical:
– DCIS usually does not present as a palpable
mass, if it does it is usually high grade and a
large lesion
• Mammogram:
– The most common method of detection is by
identifying mammographic calcifications
– The calcifications may be linear and
branching...following the lumens of the
involved ducts
DCIS is
confined to
within the
ductal
system
Mammography showing a normal breast (left) and a cancerous breast
(right).
Linear and
branching
calcifications
Grossly
visible
comedo
necrosis
Architectural Patterns of
DCIS
• Comedo
– Grade 3 nuclei and necrosis
– Often has associated microcalcifications
• Solid
– Carcinoma fills and distends the ducts
• Micropapillary
– Papillary structures that extend into the lumen
of the duct
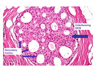
• Cribriform
– Forms a rigid “cartwheel” pattern
Normal Breast Histology
Comedo
necrosis
Calcification
Tumor cells
confined to
duct, i.e. DCIS
Cribriforming
DCIS
Secondary
lumina
Micropapillary DCIS
Papillae
Nuclear grade 1
Nuclear grade 3
Ductal Carcinoma in Situ,
Axillary Metastases?
• In theory the risk of metastasis is 0%
• In reality, the risk is <3%
– Invasive carcinoma outside the biopsy
specimen or not in the plane of sections
examined
– Invasive carcinoma in a mastectomy specimen
not sampled (mastectomy specimens are too
large to entirely sample)
– Invasive carcinoma not distinguishable at the
light microscopic level (present at EM level)
– Focus of invasive carcinoma overlooked
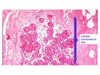
Lobular Carcinoma in Situ (LCIS)
• LCIS considered a “marker of risk for
invasive cancer in EITHER breast”.
• Proliferation of neoplastic population of
cells within the TDLU which usually fill and
distend lobules, and may extend into
adjacent ducts.
• Low nuclear grade monotonous cells
Lobular
carcinoma in
situ
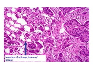
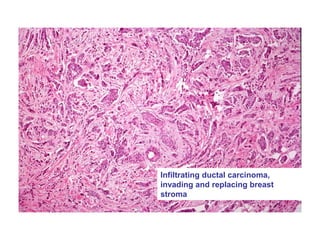
Invasive Carcinoma of the Breast
Infiltrating ductal carcinoma is
• the most common form of breast cancer.
– It is characterized by invasion of the breast
stroma by a malignant epithelial cell population
derived from the terminal ducts.
• Clinical:
– Often forms a firm palpable mass
– May cause skin dimpling (from traction on
Cooper’s ligaments) or nipple retraction
• Mammogram:
– Often shows a stellate distortion, may have
associated calcifications
Stellate lesion
Calcifications
Infiltrating Ductal Carcinoma
• Gross:
– Firm, pale gray/white, gritty, often stellate
• Micro:
– Grading (Differentiation) depends on:
• 1) degree of tubule formation
• 2) nuclear grade
• 3) mitotic rate
– Desmoplastic stromal response: pronounced
fibrosis
– May have associated calcifications
Stellate lesion
invading adjacent
breast tissue
Well differentiated
infiltrating ductal
carcinoma
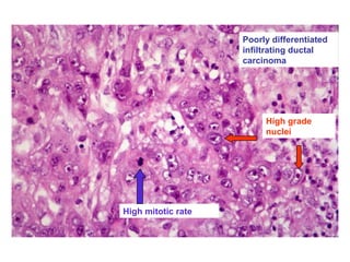
Poorly differentiated
infiltrating ductal
carcinoma
High grade
nuclei
High mitotic rate
INFILTRATING DUCTAL
Infiltrating ductal carcinoma,
invading and replacing breast
stroma
Invasion of adipose tissue of
breast
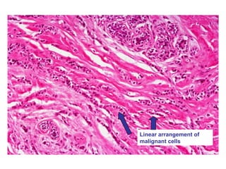
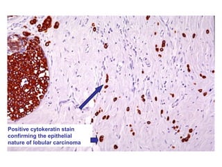
Infiltrating Lobular Carcinoma
• 2nd most common form of invasive breast cancer.
• Gross:
– May or may not form a mass
• Micro:
– Single cells and linear profiles of malignant
cells with low nuclear grade, may form a
targetoid pattern, may show intracytoplasmic
vacuoles, characteristically show minimal
mitotic activity
– LACKS a desmoplastic stromal response
– Show LOSS of E-cadherin membrane staining,
(a cytoplasmic membrane adhesion molecule)
Infiltrating Lobular Carcinoma
• Often clinically and mammographically
occult, and therefore microscopically more
extensive than expected
• Propensity to be multifocal and bilateral
• Propensity to metastasize to unusual sites:
– Gyn tract, GI tract
• Same prognosis as infiltrating ductal
carcinoma, when matched for stage
• Usually ER/PR positive, C-erbB-2 negative
• Pleomorphic lobular variant: high nuclear
grade, more aggressive course
Linear arrangement of
malignant cells
INFILTRATING LOBULAR CA.,INFILTRATING LOBULAR CA.,
““INDIAN” FILE PATTERNINDIAN” FILE PATTERN
Positive cytokeratin stain
confirming the epithelial
nature of lobular carcinoma
Infiltrating ductal
carcinoma, in
contrast, with
architectural
distortion
Uncommon types of Invasive
Carcinoma of the Breast
• Mucinous (Colloid) Carcinoma
– Older women
– Malignant cells floating in pools of mucin
– Better prognosis than invasive ductal or lobular
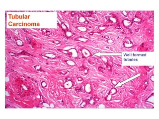
• Tubular Carcinoma
– Younger women
– Well differentiated, characterized by
haphazardly arranged tubules
– Excellent prognosis
INFILTRATING DUCTAL CA.,INFILTRATING DUCTAL CA.,
““TUBULAR” PATTERN or TYPETUBULAR” PATTERN or TYPE
INFILTRATING DUCTAL CA.,INFILTRATING DUCTAL CA.,
MUCINOUS (COLLOID) PATTERN or TYPEMUCINOUS (COLLOID) PATTERN or TYPE
Mucinous (Colloid)
Carcinoma
INFILTRATING DUCTAL CA.,INFILTRATING DUCTAL CA.,
Inflammatory Carcinoma
• Defined as invasive carcinoma involving
superficial dermal lymphatic spaces
• Poor prognosis (T3 disease)
• Erythema and induration of the skin, so
called “inflammatory changes”
– Peau d’orange-dimpling of involved skin due to
retraction caused by lymphatic involvement
and obstruction
INFLAMMATION?
Peau d’orange
Inflammatory carcinoma
Paget’s Disease
• Invasion of the SKIN of the nipple or
areola by malignant cells, singly or in
small nests
• Associated with an underlying cancer:
either IN SITU OR INVASIVE carcinoma
• Clinically-erythema, scaling, ulceration
Paget’s
disease:
nipple
ulceration
Paget’s Disease of the Nipple
Intra-epidermal
adenocarcinoma cells
Breast cancer showing an inverted
nipple, lump and skin dimpling.
BREAST CANCER
TNM stage groupingTNM stage grouping
Stage 0Stage 0 Tis N0 M0
Stage IStage I T1* N0 M0
Stage IIAStage IIA T0 N1 M0
T1* N1** M0
T2 N0 M0
Stage IIBStage IIB T2 N1 M0
T3 N0 M0
Stage IIIAStage IIIA T0, T1,* T2 N2 M0
T3 N1, N2 M0
Stage IIIBStage IIIB T4 Any N M0
Any T N3 M0
Stage IVStage IV Any T Any N M1
* Note: T1 includes T1 mic.
** Note: The prognosis of patients with N1a is similar to that of patients with pN0.
AJCC®
Cancer Staging Manual, 5th
edition (1997)
published by Lippincott-Raven Publishers,
Philadelphia, Pennsylvania.
BREAST CANCER
Tumor definitionsTumor definitions
• TX Primary tumor cannot be assessed
• T0 No evidence of primary tumor
• Tis Carcinoma in situ: Intraductal carcinoma, lobular carcinoma in situ,
or Paget’s disease of the nipple with no tumor
• T1 Tumor 2 cm or less in its greatest diameter
T1mic Microinvasion more than 0.1 cm or less in its greatest diameter
T1a Tumor more than 0.1 cm but not more than 0.5 cm in its greatest diameter
T1b Tumor more than 0.5 cm but not more than 1 cm in its greatest diameter
T1c Tumor more than 1 cm but not more than 2 cm in its greatest diameter
• T2 Tumor more than 2 cm but not more than 5 cm in its greatest diameter
• T3 Tumor more than 5 cm in its greatest diameter
• T4 Tumor of any size with direct extension to (a) chest wall or (b) skin, only as
described below
T4a Extension to chest wall
T4b Edema (including peau d’orange) or ulceration of the skin of the breast
or satellite skin nodules confined to the same breast
T4c Both (T4a and T4b)
T4d Inflammatory carcinoma
AJCC®
Cancer Staging Manual, 5th
edition (1997)
published by Lippincott-Raven Publishers, Philadelphia,
Pennsylvania.
BREAST CANCER
Commonly assessed prognosticCommonly assessed prognostic
factorsfactors
Slamon DJ. Chemotherapy Foundation. 1999;46.
Winer E, et al. Cancer: Principles & Practice of Oncology. 6th
ed. 2001;1651-1717.
Nuclear grade
Estrogen/progesterone
receptors
HER2/neu overexpression
Number of positive axillary nodes
Tumor size
Lymphatic and vascular invasion
Histologic tumor type
Histologic grade
BREAST CANCER
5-year survival as function of the number5-year survival as function of the number
of positive axillary lymph nodesof positive axillary lymph nodes
0%
20%
40%
60%
80%
5-YearSurvival5-YearSurvival
0 1 2 3 4 5 6-10 11-15 16-20 >20
Number of Positive NodesNumber of Positive Nodes
Harris J, et al. Cancer: Principles & Practice of
Oncology. 5th ed. 1997;1557-1616.
Other Prognostic Markers
• DNA content (DNA ploidy)
• Tumor suppressor genes (p53,
others)
• Angiogenesis (Microvessel density)
• Proteases
• Gene profiling by microarrays***
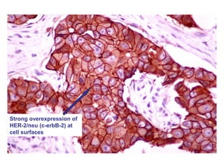
c-erbB-2 (HER-2/neu)
• Oncogene which shares extensive sequence
homology with epidermal growth factor receptor
(EGFR)
Strong overexpression of
HER-2/neu (c-erbB-2) at
cell surfaces
HER-2 Gene Amplification by FISH
BREAST CANCER
HER-2/neuHER-2/neu overexpressionoverexpression
• There is a significant decrease of 5-year survival in patients whose
tumors overexpress HER-2/neu
• This decrease in survival for both node-positive and node-negative
patients
• In vitro studies show that HER-2/neu overexpression increases the
following cell activities in malignant breast epithelial cells:
DNA synthesis
Cell growth
Anchorage-dependent growth
Tumorgencity
Metastatic potential
Slamon DJ. Chemotherapy Foundation Symposium.
1999;46. Abstract 39.
Goldenberg MM. Clinical Therapeutics. 1999;21(2):309-
318.
Histopathologic Grade
Total Cancers Per Cent
In Situ Carcinoma 15–30
Ductal carcinoma in situ, DCIS 80
Lobular carcinoma in situ, LCIS 20
Invasive Carcinoma 70–85
No special type carcinoma ("ductal") 79
Lobular carcinoma 10
Tubular/cribriform carcinoma (Better prognosis than
average)
6
Mucinous (colloid) carcinoma (Better prognosis than
average)
2
Medullary carcinoma (Better prognosis than average) 2
Papillary carcinoma 1
Metaplastic carcinoma, (Squamous)
MALE BREAST
• GYNECOMASTIA (related to
hyperestrogenism)
• CARCINOMA (1% of ♀ )
Gynecomastia
• Reversible enlargement of the male breast
• Unilateral or bilateral subareolar mass +/-pain
• Ductal and stromal proliferation
• Etiology- Systemic disease-hyperthyroidism,
cirrhosis, chronic renal failure
– Drugs-cimetidine, digitalis, tricyclic
antidepressants, marijuana
– Neoplasms-pulmonary, testicular germ cell tumors
– Hypogonadism: testicular atrophy, exogenous
estrogen, Klinefelter’s syndrome
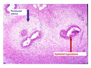
Gynecomastia
GYNECOMASTIA (NO lobules)
Periductal
edema
Epithelial hyperplasia
Carcinoma of the Male Breast
• < 1% of breast cancer
• Infiltrating ductal carcinoma is by far the most
common type
• Tends to present at a more advanced stage
– Less fat and breast tissue, therefore involvement
of chest wall occurs earlier
• Similar prognosis when matched, stage for stage,
with female breast cancer
• Associated with inherited BRCA2 mutation
Breast Anatomy and Location of
Disease Processes
Multistage Model of
Carcinogenesis
Normal
Atypical
Hyperplasia
Carcinoma
In Situ
Invasive
Carcinoma
Metastasis
“Skip Stage” Model of
Carcinogenesis
Normal
Atypical
Hyperplasia
Carcinoma
In Situ
Invasive
Carcinoma
Metastasis
“Skip Stage” Model of
Carcinogenesis
Normal
Atypical
Hyperplasia
Carcinoma
In Situ
Invasive
Carcinoma
Metastasis
Tissue Microarrays
Microdissection
of a single duct
of DCIS
Microdissection
of single cells
Microdissection Methodologies

Breast carcinoma march 15. 2015

  • 1.
  • 4.
  • 5.
    Breast Carcinoma Statistics •THE most common cancer in women in the United States (excluding skin cancer) • The second most common cause of cancer mortality in women (lung cancer is first) • One in eight women will get breast cancer, and one third of women with breast cancer will die of the disease.
  • 7.
    Breast Lung & bronchus Leukemia Bladder Brain&CNS NHL Colorectal Larynx Skin excluding Melanoma Stomach Uterus including Cervix and corpus) Hodgkin disease Thyroid Kidney, pelvis& ureter Ovary Prostate Pancreas Bone & cartilage Liver &bile ducts Esophagus Type of cancer, in Iraq, by primary tumor site (2004) 6
  • 10.
    Risk Factors forBreast Cancer • Geography • Age • Menstrual history • Pregnancy • Benign breast disease (Hx of previous breast pathology) • Other: • Estrogen • Oral contraceptive • Lack of breast feeding is a risk. • Obesity • High fat diet • Alcohol • Smoking • Radiation Exposure • Carcinoma of the contralateral breast or endometrium • Environmental Toxins • ABORTIONS?
  • 11.
    Causes of BreastCancer • Genetic • Environmental • Hormonal
  • 12.
    Genetic changes Proto-oncogen • HER2/NEU •30% • Poor prognosis • RAS & MYC Tumor suppressor gene • Rb, • p53, • ER gene inactivation
  • 13.
     Gene profilingof breast cancerGene profiling of breast cancer • 1. ER +ve, HER2 –ne • 2. ER +ve, HER2 +ve • 3. ER -ne, HER2 +ve • 4. ER -ne, HER2 –ne • Different Outcome & Therapy.
  • 14.
    Genetic Factors Inhereted Mutations(10%) • 10% breast cancers are familial (90% sporadic) • Positive Family History, especially in 1st degree relatives (mother, daughter, sister) confers increased risk for breast cancer • Tumor suppressor genes (BRCA1, BRCA2) • Risk is greatest with: • Relative with BILATERAL disease • Relative affected at a YOUNG AGE
  • 15.
    BRCA1 Gene (17q21) •Responsible for up to 1/2 of “inherited” breast cancers (5% of cancers) • Increased risk of ovarian and colon cancers (“Breast-Ovarian” cancer gene) • Breast cancer develops in >50% of these women by age 50 (“Early onset” breast cancer gene) • Carried by 1 in 200-400 people
  • 16.
    BRCA2 Gene (13q) •Responsible for up to 70% of inherited breast cancer NOT due to BRCA1 (3.5% of cancers) • Characterized by increased risk of breast cancer in women and MALE breast cancer (“Male Breast Cancer” gene)
  • 17.
    Li-Fraumeni Syndrome (p53) •Due to Inherited p53 Tumor Suppressor Gene Mutation (cell cycle checkpoint) • Family cancer syndrome characterized by increased risk of breast cancer, osteosarcoma, soft tissue sarcomas, brain tumors, leukemia, other • Accounts for approximately 1% of breast cancers detected before age 40
  • 18.
    OTHER Recognized Susceptibility Loci •ESR 6q24-27 (Estrogen receptor) • AR X11.2-q12 (Androgen receptor) • PTEN 10q22-23 (Cowden’s syndrome)
  • 19.
    Hormonal Factors • “Incessantovulation”: Early menarche, late menopause, nulliparity, late age at first term pregnancy all INCREASE the risk of breast cancer. • Oophorectomy before age 35 DECREASES the risk of breast cancer. • Oral contraceptive use and hormone replacement therapy may be associated with a ????? SMALL increased risk • Etiology: ? hormonal stimulation of proliferation and differentiation of cycling breast epithelium.
  • 20.
    Environmental Factors • 4-5fold greater incidence of breast cancer in industrialized countries than in less developed countries. • Increased risk may be related to: – Higher fat diet – Earlier menarche – Less physical activity – Decreased parity – Later age at parity
  • 21.
    Radiation Exposure • Increasedrisk of breast cancer after: – Radiation therapy for Hodgkin’s Disease in young women, postpartum mastitis in mothers – Survivors of atomic bomb blasts • Increased risk when exposure is at a young age, little increase in risk after age 40 – Indicates that the risk is GREATEST to the developing and hormonally cycling breast
  • 22.
    Histopathologic Risk Factors ForBreast Cancer • Presence of a history of breast pathology increases risk of breast cancer
  • 23.
    Relative Risk forInvasive Carcinoma Based on Histologic Evaluation of Breast Tissue Without Invasive Carcinoma • NON-Proliferative Fibrocystic Changes (1X, No increased risk) – Small simple cysts, apocrine metaplasia, mild epithelial hyperplasia • Proliferative Fibrocystic Changes (1.5-2X, Slight increased risk) – Moderate to florid hyperplasia – Sclerosing adenosis – Intraductal papilloma – Fibroadenoma • Proliferative Fibrocystic Changes WITH ATYPIA (3-5X, Moderate increased risk) – Atypical ductal hyperplasia – Atypical lobular hyperplasia • Carcinoma IN SITU (8-10X, HIGH RISK) – Ductal carcinoma in situ (DCIS)
  • 24.
    Atypical hyperplasia with familyhistory or in a premenopausal woman has a risk of invasive carcinoma similar to DCIS Relative Risk of Invasive Breast Carcinoma
  • 25.
  • 26.
  • 27.
    6. Breast CancerPathology In Situ Carcinomas Invasive Carcinomas Special Subtypes
  • 28.
    Ductal Carcinoma InSitu (DCIS) • Arises in the terminal duct lobular unit (TDLU) and DOES NOT demonstrate invasion through the myoepithelial layer and BM • DCIS is a surgically treatable entity • The likelihood of developing an invasive carcinoma, or recurrent DCIS varies with a) Histologic subtype of the in situ carcinoma b) Size/ extent of DCIS c) Distance to the margins of excision.
  • 29.
    Ductal Carcinoma inSitu • Clinical: – DCIS usually does not present as a palpable mass, if it does it is usually high grade and a large lesion • Mammogram: – The most common method of detection is by identifying mammographic calcifications – The calcifications may be linear and branching...following the lumens of the involved ducts
  • 30.
    DCIS is confined to withinthe ductal system
  • 31.
    Mammography showing anormal breast (left) and a cancerous breast (right).
  • 33.
  • 34.
  • 35.
    Architectural Patterns of DCIS •Comedo – Grade 3 nuclei and necrosis – Often has associated microcalcifications • Solid – Carcinoma fills and distends the ducts • Micropapillary – Papillary structures that extend into the lumen of the duct • Cribriform – Forms a rigid “cartwheel” pattern
  • 36.
  • 37.
  • 39.
  • 40.
  • 41.
  • 42.
  • 45.
    Ductal Carcinoma inSitu, Axillary Metastases? • In theory the risk of metastasis is 0% • In reality, the risk is <3% – Invasive carcinoma outside the biopsy specimen or not in the plane of sections examined – Invasive carcinoma in a mastectomy specimen not sampled (mastectomy specimens are too large to entirely sample) – Invasive carcinoma not distinguishable at the light microscopic level (present at EM level) – Focus of invasive carcinoma overlooked
  • 46.
    Lobular Carcinoma inSitu (LCIS) • LCIS considered a “marker of risk for invasive cancer in EITHER breast”. • Proliferation of neoplastic population of cells within the TDLU which usually fill and distend lobules, and may extend into adjacent ducts. • Low nuclear grade monotonous cells
  • 47.
  • 49.
    Invasive Carcinoma ofthe Breast Infiltrating ductal carcinoma is • the most common form of breast cancer. – It is characterized by invasion of the breast stroma by a malignant epithelial cell population derived from the terminal ducts. • Clinical: – Often forms a firm palpable mass – May cause skin dimpling (from traction on Cooper’s ligaments) or nipple retraction • Mammogram: – Often shows a stellate distortion, may have associated calcifications
  • 50.
  • 51.
    Infiltrating Ductal Carcinoma •Gross: – Firm, pale gray/white, gritty, often stellate • Micro: – Grading (Differentiation) depends on: • 1) degree of tubule formation • 2) nuclear grade • 3) mitotic rate – Desmoplastic stromal response: pronounced fibrosis – May have associated calcifications
  • 52.
  • 53.
  • 54.
  • 55.
  • 56.
    Infiltrating ductal carcinoma, invadingand replacing breast stroma
  • 57.
    Invasion of adiposetissue of breast
  • 58.
    Infiltrating Lobular Carcinoma •2nd most common form of invasive breast cancer. • Gross: – May or may not form a mass • Micro: – Single cells and linear profiles of malignant cells with low nuclear grade, may form a targetoid pattern, may show intracytoplasmic vacuoles, characteristically show minimal mitotic activity – LACKS a desmoplastic stromal response – Show LOSS of E-cadherin membrane staining, (a cytoplasmic membrane adhesion molecule)
  • 59.
    Infiltrating Lobular Carcinoma •Often clinically and mammographically occult, and therefore microscopically more extensive than expected • Propensity to be multifocal and bilateral • Propensity to metastasize to unusual sites: – Gyn tract, GI tract • Same prognosis as infiltrating ductal carcinoma, when matched for stage • Usually ER/PR positive, C-erbB-2 negative • Pleomorphic lobular variant: high nuclear grade, more aggressive course
  • 60.
  • 61.
    INFILTRATING LOBULAR CA.,INFILTRATINGLOBULAR CA., ““INDIAN” FILE PATTERNINDIAN” FILE PATTERN
  • 63.
    Positive cytokeratin stain confirmingthe epithelial nature of lobular carcinoma
  • 64.
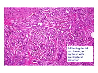
    Infiltrating ductal carcinoma, in contrast,with architectural distortion
  • 65.
    Uncommon types ofInvasive Carcinoma of the Breast • Mucinous (Colloid) Carcinoma – Older women – Malignant cells floating in pools of mucin – Better prognosis than invasive ductal or lobular • Tubular Carcinoma – Younger women – Well differentiated, characterized by haphazardly arranged tubules – Excellent prognosis
  • 66.
    INFILTRATING DUCTAL CA.,INFILTRATINGDUCTAL CA., ““TUBULAR” PATTERN or TYPETUBULAR” PATTERN or TYPE
  • 67.
    INFILTRATING DUCTAL CA.,INFILTRATINGDUCTAL CA., MUCINOUS (COLLOID) PATTERN or TYPEMUCINOUS (COLLOID) PATTERN or TYPE
  • 68.
  • 69.
  • 71.
    Inflammatory Carcinoma • Definedas invasive carcinoma involving superficial dermal lymphatic spaces • Poor prognosis (T3 disease) • Erythema and induration of the skin, so called “inflammatory changes” – Peau d’orange-dimpling of involved skin due to retraction caused by lymphatic involvement and obstruction
  • 72.
  • 73.
  • 76.
    Paget’s Disease • Invasionof the SKIN of the nipple or areola by malignant cells, singly or in small nests • Associated with an underlying cancer: either IN SITU OR INVASIVE carcinoma • Clinically-erythema, scaling, ulceration
  • 77.
  • 78.
    Paget’s Disease ofthe Nipple Intra-epidermal adenocarcinoma cells
  • 79.
    Breast cancer showingan inverted nipple, lump and skin dimpling.
  • 80.
    BREAST CANCER TNM stagegroupingTNM stage grouping Stage 0Stage 0 Tis N0 M0 Stage IStage I T1* N0 M0 Stage IIAStage IIA T0 N1 M0 T1* N1** M0 T2 N0 M0 Stage IIBStage IIB T2 N1 M0 T3 N0 M0 Stage IIIAStage IIIA T0, T1,* T2 N2 M0 T3 N1, N2 M0 Stage IIIBStage IIIB T4 Any N M0 Any T N3 M0 Stage IVStage IV Any T Any N M1 * Note: T1 includes T1 mic. ** Note: The prognosis of patients with N1a is similar to that of patients with pN0. AJCC® Cancer Staging Manual, 5th edition (1997) published by Lippincott-Raven Publishers, Philadelphia, Pennsylvania.
  • 81.
    BREAST CANCER Tumor definitionsTumordefinitions • TX Primary tumor cannot be assessed • T0 No evidence of primary tumor • Tis Carcinoma in situ: Intraductal carcinoma, lobular carcinoma in situ, or Paget’s disease of the nipple with no tumor • T1 Tumor 2 cm or less in its greatest diameter T1mic Microinvasion more than 0.1 cm or less in its greatest diameter T1a Tumor more than 0.1 cm but not more than 0.5 cm in its greatest diameter T1b Tumor more than 0.5 cm but not more than 1 cm in its greatest diameter T1c Tumor more than 1 cm but not more than 2 cm in its greatest diameter • T2 Tumor more than 2 cm but not more than 5 cm in its greatest diameter • T3 Tumor more than 5 cm in its greatest diameter • T4 Tumor of any size with direct extension to (a) chest wall or (b) skin, only as described below T4a Extension to chest wall T4b Edema (including peau d’orange) or ulceration of the skin of the breast or satellite skin nodules confined to the same breast T4c Both (T4a and T4b) T4d Inflammatory carcinoma AJCC® Cancer Staging Manual, 5th edition (1997) published by Lippincott-Raven Publishers, Philadelphia, Pennsylvania.
  • 82.
    BREAST CANCER Commonly assessedprognosticCommonly assessed prognostic factorsfactors Slamon DJ. Chemotherapy Foundation. 1999;46. Winer E, et al. Cancer: Principles & Practice of Oncology. 6th ed. 2001;1651-1717. Nuclear grade Estrogen/progesterone receptors HER2/neu overexpression Number of positive axillary nodes Tumor size Lymphatic and vascular invasion Histologic tumor type Histologic grade
  • 83.
    BREAST CANCER 5-year survivalas function of the number5-year survival as function of the number of positive axillary lymph nodesof positive axillary lymph nodes 0% 20% 40% 60% 80% 5-YearSurvival5-YearSurvival 0 1 2 3 4 5 6-10 11-15 16-20 >20 Number of Positive NodesNumber of Positive Nodes Harris J, et al. Cancer: Principles & Practice of Oncology. 5th ed. 1997;1557-1616.
  • 84.
    Other Prognostic Markers •DNA content (DNA ploidy) • Tumor suppressor genes (p53, others) • Angiogenesis (Microvessel density) • Proteases • Gene profiling by microarrays***
  • 85.
    c-erbB-2 (HER-2/neu) • Oncogenewhich shares extensive sequence homology with epidermal growth factor receptor (EGFR)
  • 86.
    Strong overexpression of HER-2/neu(c-erbB-2) at cell surfaces
  • 87.
  • 88.
    BREAST CANCER HER-2/neuHER-2/neu overexpressionoverexpression •There is a significant decrease of 5-year survival in patients whose tumors overexpress HER-2/neu • This decrease in survival for both node-positive and node-negative patients • In vitro studies show that HER-2/neu overexpression increases the following cell activities in malignant breast epithelial cells: DNA synthesis Cell growth Anchorage-dependent growth Tumorgencity Metastatic potential Slamon DJ. Chemotherapy Foundation Symposium. 1999;46. Abstract 39. Goldenberg MM. Clinical Therapeutics. 1999;21(2):309- 318.
  • 89.
  • 91.
    Total Cancers PerCent In Situ Carcinoma 15–30 Ductal carcinoma in situ, DCIS 80 Lobular carcinoma in situ, LCIS 20 Invasive Carcinoma 70–85 No special type carcinoma ("ductal") 79 Lobular carcinoma 10 Tubular/cribriform carcinoma (Better prognosis than average) 6 Mucinous (colloid) carcinoma (Better prognosis than average) 2 Medullary carcinoma (Better prognosis than average) 2 Papillary carcinoma 1 Metaplastic carcinoma, (Squamous)
  • 92.
    MALE BREAST • GYNECOMASTIA(related to hyperestrogenism) • CARCINOMA (1% of ♀ )
  • 93.
    Gynecomastia • Reversible enlargementof the male breast • Unilateral or bilateral subareolar mass +/-pain • Ductal and stromal proliferation • Etiology- Systemic disease-hyperthyroidism, cirrhosis, chronic renal failure – Drugs-cimetidine, digitalis, tricyclic antidepressants, marijuana – Neoplasms-pulmonary, testicular germ cell tumors – Hypogonadism: testicular atrophy, exogenous estrogen, Klinefelter’s syndrome
  • 94.
  • 95.
  • 96.
  • 97.
    Carcinoma of theMale Breast • < 1% of breast cancer • Infiltrating ductal carcinoma is by far the most common type • Tends to present at a more advanced stage – Less fat and breast tissue, therefore involvement of chest wall occurs earlier • Similar prognosis when matched, stage for stage, with female breast cancer • Associated with inherited BRCA2 mutation
  • 98.
    Breast Anatomy andLocation of Disease Processes
  • 100.
  • 101.
    “Skip Stage” Modelof Carcinogenesis Normal Atypical Hyperplasia Carcinoma In Situ Invasive Carcinoma Metastasis
  • 102.
    “Skip Stage” Modelof Carcinogenesis Normal Atypical Hyperplasia Carcinoma In Situ Invasive Carcinoma Metastasis
  • 103.
  • 104.
    Microdissection of a singleduct of DCIS Microdissection of single cells Microdissection Methodologies

Editor's Notes

  • #2 Note the tiny little “pits” in the orange peel.
  • #4 Know the 2 major arteries (lateral and internal thoracic) and three lymph node groups which supply the breast.
  • #5 Know the 2 major arteries (lateral and internal thoracic) and three lymph node groups (axillary, internal thoracic (mammary) and supraclavicular) which supply the breast.
  • #56 90% of infiltrating breast carcinomas are simply called “Infiltrating Ductal Carcinoma” on the pathology report.
  • #63 Indian file, British or American origin?
  • #67 The “tubular” pattern is somewhat better in behavior.
  • #68 The mucinous variant is also somewhat better in behavior.
  • #70 The medullary variant (i.e., lots of immune calls or lymphocytes) is also somewhat better in behavior. If you want to think that the reason for this is because there are a lot of immune cells “fighting” the tumor cells, you might be right.
  • #73 Inflammatory carcinoma with its classic peau d’orange appearance.
  • #75 Note the tiny little “pits” in the orange peel.
  • #81 Breast Cancer: TNM Stage Grouping The current breast cancer staging system is the 5th edition of the American Joint Committee on Cancer (AJCC) system, sponsored jointly by the American Cancer Society, the National Cancer Institute, the College of American Pathologists, and the American Colleges of Physicians, Radiology, and Surgeons. The AJCC system is a clinical and pathologic staging system based on the TNM system. T refers to tumor, N to nodes, and M to metastasis.
  • #82 Tumor definitions This slide further delineates the breakdown in staging of the primary tumor.
  • #83 Breast Cancer: Commonly Assessed Prognostic Factors A prognostic factor is defined as a biologic or clinical measurement associated with disease-free or overall survival in the absence of adjuvant systemic therapy. The most useful prognostic factor is the number of positive axillary lymph nodes based on a level I/II (or higher) axillary dissection and detailed histologic evaluation. Tumor size correlates with the number of involved nodes, but has independent prognostic significance.
  • #84 Breast Cancer: 5-year Survival as Function of the Number of Positive Axillary Lymph Nodes As the number of involved lymph nodes increases, 5-year survival rates decrease.
  • #89 HER-2/neu Overexpression The HER-2/neu proto-oncogene is now known to have prognostic value. Approximately 25% to 30% of all breast cancer patients overexpress HER-2/neu. These patients, whether node-negative or node-positive, have been found to have a significant decrease in 5-year survival rates. In vitro studies have shown that HER-2/neu overexpression increases DNA synthesis, cell growth, anchorage-dependent growth, tumorigencity, and metastatic potential in human breast epithelial cells.
  • #96 Note that no matter how big a male’s breasts may get, they should never for m lobules, but just end as blunt ducts.