Cerebral abscess
 •    Epidemiology
       Pathogenesis
             Histogenesis
             Microbiology
             Clinical diagnosis
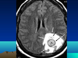
            Radiological evaluation
           Management
                      Follow-up
      radiography
     Complications
                          Prognosis
Epidemiology

• Main factor
• Incidence
• Predisposing
  factor(otitis.sinusitis.OHI.CHD)
• M/F 2-3/1
pathogenesis

•   Contiguous suppurative
•   Hematogenous
•   Dural opening
•   Immunosuppression
•   None
Histogenesis
1. Early cerebritis
2. Late cerebritis
3. Early capsule formation
4. Late capsule formation
Microbiology
• Anaerobes %50
• S.aureus %20-30
• Gram negatives
• Others
Clinical diagnosis
• History
• Symptom&sign
•   -headache
•   -focal neurological deficits
•   -seizure
•   -fever
•   -meningismus
•   -papilledema
•   -suddenly deterioration
• LAB test
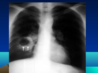
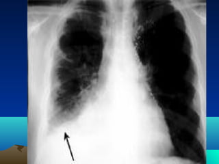
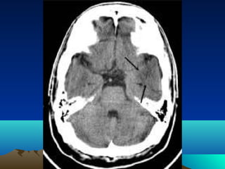
Radiological evaluation


•CT scan
•MRI
management
• Nonoperative
• Operative
• -aspiration
• -excision
nonoperative

• Antibiotic
• -sinusitis&otitis----aerobe&anaerobic
• Post traumatic----
  S.aureus&epidermis..VANCOMYCINE
• Newborn---gramnegative(cyterobacter)…
Only AntiBiotic

1- Uncontrolled bleeding diathesis

2- Multiple abscess small than 1.5
  CM in a neurologically intact with a
  clear source of infection.
management
• Nonoperative
• Operative
• -aspiration
• -excision
aspiration
• Deep
• Eloquent
• multiple
Excision
• Foreign body
• CSF leakage
• Fungal
• Cerebellar abscess
Multiple abscess
• Size above 2.5 cm

• Size below 2.5cm
Duration of AB
•   Nonoperative…6-8 week
•   Operative
•   -aspiration…4-6 week
•   -excision…2-4 week
•   AIDS…1 year
Radiological follow-
         up
• CT weekly during treatment.
• CT 1 week afterward.
• CT 1 mount then bimonthly…
  RESOLVED.
• CT entity 2-3 w.after treatment.
• Mass effect resolved after 3-4 month.
• Contrast in CT until 6-9month.
role



Only in life threatening
       condition
    (mass effect)
Complicatio
• Herniation
             n

• Rupture to ventricle & SAS
Prognosis
• The most prognostic factor:
• Neurological condition
•   -mortality…60% in herniation
•   -coma…89%
•   -general…0-21%
•   Neurological sequelae:
•   1-focal neurological deficite
•   2-cognitive impairment
•   3-seizure
Spinal abscess
• Epidural
• Subdural
• Intramedullary
• 54-80%   S.aureus
• 8-15%
 stereptococcus
• 5-8%     mix
• 4%       no growth
Spinal epidural abscess
• Sign&symptom
• Imaging
•   -radionuclide scan
•   -myelography
•   -CT
•   -MRI
Symptom&sign
•   Back pain & fever the most common
•   Classically
•   1-backache
•   2-root pain
•   3-extremity weakness
•   4-bowel & bladder symptom
• ESR^
Spinal epidural abscess
• Sign&symptom
• Imaging
•   -radionuclide scan
•   -myelography
•   -CT
•   -MRI
treatment
• Medical
• Surgical
medical
• Very extensive
• Without severe loss of neural function
• Complete paralysis lasting more than 3
  days
Spinal abscess
• Epidural
• Subdural
• Intramedullary
Clinical signs & symptom



• The same as epidural abscess
Spinal abscess
• Epidural
• Subdural
• Intramedullary
Thank
 you

Brain abscess