BỆNH HỌC
HẠCH BẠCH HUYẾT
Lớp NT CĐHA 2017 – 2020
Huế, 01/2018
ĐẠI CƯƠNG
- Hệ bạch huyết bao gồm: bạch huyết, mạch bạch huyết, mô
bạch huyết, hạt/mấu bạch huyết, hạch bạch huyết, hạch
họng, lá lách, và tuyến ức.
HỆ MIỄN
DỊCH
HỆ TUẦN
HOÀN
HỆ HẠCH
HUYẾT
HẠCH BẠCH HUYẾT
Bình thường <1cm, không sờ thấy
• Hạch ngoại biên
• Hạch ở sâu
• Hệ thống lympho ngoài hạch
MÔ HỌC HẠCH BẠCH HUYẾT
- Hạch có hình thận, bao bọc bơi vỏ xơ, rốn
hạch là nơi đi ra của các mạch dẫn lưu
bạch huyết.
- Nhu mô hạch chia 2 vùng: vùng vỏ, cận
vỏ và tuỷ.
Vùng vỏ có các nang lympho hình cầu,
chứa chủ yếu lympho B.
Vùng tuỷ chứa chủ yếu tương bào.
Giữa vùng vỏ và tuỷ: vùng cận vỏ:
lympho T.
- Xoang hạch: gồm hệ thống dưới vỏ rẽ
nhánh đi vào nhu mô và đi ra ở rốn hạch
MÔ HỌC HẠCH BẠCH HUYẾT
PHÂN NHÓM
BỆNH CHÍNH CỦA HẠCH
Viêm- quá sản Ung thư hạch
Viêm đặc hiệuViêm- Quá sản
phản ứng
Nguyên
phát
Thứ phát/
Di căn
ULAT
Hodgkin
ULAT không
Hodgkin
ĐẶC ĐIỂM VI THỂ
•Đơn dòng
•Tăng sinh tế bào
ác tính tạo đám
xâm nhập và phá
huỷ cấu trúc
hạch (nang
lymphô và
xoang hạch)
ULAT
•Đa dòng
•Cấu trúc hạch thay
đôi nhưng vẫn bảo
tồn
•Tế bào đa hình thái
và không cho thấy
hoặc rất kín đáo nhân
không điển hình
Hạch lành tính
VI THỂ
ĐẶC ĐIỂM VI THỂ
Lưu ý:
1. Nếu không thấy tổn thương tạo đám và xoá bỏ cấu trúc hạch  lành
tính (dù hình ảnh tế bào và miễn dịch ác tính).
2. Một số trường hợp ULAT tổn thương không toàn bộ hạch mà chỉ một
phần, phần còn lại cấu trúc vẫn bảo tồn.
Phân biệt ULAT típ nang và quá sản nang phản ứng
ULAT típ nang Quá sản nang phản ứng
Đặc điểm cấu trúc
Xoá bỏ toàn bộ cấu trúc hạch Cấu trúc bảo tồn
Cấu trúc nang phân bố từ vỏ đến tuỷ hạch Nang ưu thế vùng vỏ hạch
Kích thước và hình dạng các nang ít thay
đổi (đồng nhất)
Thay đổi (nang kéo dài, dạng tam giác,
hình chuông)
Không rõ tâm mầm Phân biệt rõ tâm mầm sáng, áo nang sẫm
màu
Xâm nhập thành đám tế bào lympho vào
vỏ hạch và tổ chức mỡ quanh hạch, kèm
theo hoặc không cấu trúc dạng nang tế
bào u ngoài vỏ.
Không hoặc mức độ vừa phải, thường
kèm theo sự xuất hiện các loại tế bào
viêm tập trung thành đám nhỏ quanh
mạch.
Tập trung sợi võng ngoại vi quanh nang Không hoặc rất ít thay đổi mạng lưới sợi
võng
Phân biệt ULAT típ nang và quá sản nang phản ứng
ULAT típ nang Quá sản nang phản ứng
Đặc điểm tế bào
Nang gồm tế bào u đa hình thái kèm
nhân không điển hình
Tâm mầm gồm lympho, mô bào và
tb lưới, nhân và tb bình thường hoặc
bất thường nhẹ
Không có thực bào Thực bào ở tâm nang
Nhân chia ít, thường không có sự
khác biệt giữa trong và ngoài nang:
nhân chia không điển hình
Nhân chia nhiều, đôi khi nhiều rõ rệt
ở tâm nang; hiếm hoặc không có
nhân chia ngoài nang; nhân chia điển
hình.
Tế bào trong và ngoài nang giống
nhau
Xâm nhập tế bào viêm vào vùng
giữa các tâm nang khi có hạch viêm.
HẠCH LÀNH TÍNH
Gồm:
1. Quá sản nang lympho.
2. Hạch viêm phản ứng.
QUÁ SẢN NANG LYMPHO
• Tăng số lượng
• Tăng kích thước
• Hình thái thay đổi với trung tâm mầm giãn rộng.
HẠCH VIÊM PHẢN ỨNG
• Đặc hiệu.
• Không đặc hiệu.
2.1 Hạch viêm phản ứng không đặc hiệu
• Viêm hạch cấp tính:
- Biểu hiện lâm sàng: hạch to, đau; liên quan đến viêm nhiễm các vùng
lân cận, như viêm amidan, hô hấp trên, và nhiễm khuẩn răng, miệng.
- Vi thể: nang lymphô tăng sinh, trung tâm mầm có nhiều đại thực bào.
Điểm quan trọng: hạch có thể chuyển sang áp xe, hoặc viêm mạn tính.
2.1 Hạch viêm phản ứng không đặc hiệu
• Viêm hạch mạn tính:
- Định nghĩa: là phản ứng miễn dịch của mô lymphô hạch, có thể thay
đổi hình thái ở nhiều mức độ khác nhau.
- Vi thể: bao gồm tăng sản nang, tăng sản mô limphô vùng cận vỏ, và
tăng sản xoang.
2.2. Hạch viêm mạn tính đặc hiệu
Hạch viêm lao
- Thường gặp ở Việt Nam, hiếm
gặp ở các nước phát triển.
- Đại thể: hạch to, có hoại tử bã
đậu.
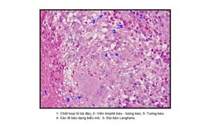
VI THỂ
**Điển hình là nang lao với các thành
phần sau:
ở giữa là vùng hoại tử bã đậu, bao
quanh là các tế bào bán liên, tế bào
khổng lồ (Langhans: là những tế bào
kích thước lớn ,chứa nhiều nhân,các
nhân sắp xếp hình vòng cung,hoặc tập
trung lại một đầu, bào tương bắt màu
đỏ đậm) và tế bào lympho, ngoài cùng
là lớp tế bào xơ.
U LYMPHO ÁC TÍNH HODGKIN
ULAT HODGKIN
Phân loại: Theo
- Tỷ lệ Tế bào u/ Tế bào Lympho
phản ứng.
- Cấu trúc và đặc điểm Tế bào
Reed-Sternberg.
* Phân loại kinh điển theo Rye (1966): 4 type theo mô bệnh học
Type I: Bệnh Hodgkin nhiều lympho bào
Type II: Bệnh Hodgkin thể xơ nốt
Type III: Bệnh Hodgkin thể hỗn hợp tế bào
Type IV: Bệnh Hodgkin thể ít lympho bào
• Phân loại theo REAL (2001)
- Có tách thêm 1 type khác không thuộc 4 type kinh điển trên 
Bệnh Hodgkin giàu lympho dạng nốt
ĐẠI THỂ
- Gặp chủ yếu ở hạch lympho nhưng cũng có thể gặp ở các
tạng của hệ tạo máu – lympho và xâm nhập các tạng khác.
- Tổn thương không đặc hiệu: những khối không có giới hạn rõ
ràng hoặc các nốt rải rác
- Diện cắt màu trắng xám hay vàng nhạt, thuần nhất hoặc có
hoại tử hoặc có các chấm chảy máu.
HẠCH LYMPHO
• Thường gặp đầu tiên.
• 1 hay nhiều hạch to, kt thay đổi,
không dính vào nhau  dính
thành 1 khối nhiều múi và lang
sang các nhóm hạch khác
• 90% gặp ở các nhóm hạch ngoại
biên như hạch cổ, nách, bẹn…
• 50% gặp ở các hạch sâu như
hạch trung thất, sau phúc mạc…
LÁCH
• 25% trường hợp
• Lách to vừa, không quá
400gram.
• Mặt ngoài nhẵn, đồng đều
hoặc có nốt lồi lên trên vỏ
lách/
• Diện cắt có các nốt màu
trắng xám, kt từ vài mm đến
vài cm, trên nền đỏ sẫm của
lách  “lách xúc xích”,
“lách đá hoa cương”
GAN
•25% các trường hợp.
•Gan to có các nốt to nhỏ
không đều, có khi khó thấy
bằng mắt thường.
VI THỂ
1. Cấu trúc hạch bị xóa (có
thể khu trú)
2. Tế bào u: TB Reed-
Sternberg và các biến
thể của nó, TB Hodgkin
3. Tế bào phản ứng đa
hình thái: Lympho,
tương bào, BCĐN ưa
acid, bán liên, xơ…
1. Cấu trúc hạch bị
xóa (có thể khu
trú)
2. Tế bào u: TB
Reed-Sternberg
và các biến thể
của nó, TB
Hodgkin
3. Tế bào phản ứng
đa hình thái:
Lympho, tương
bào, BCĐN ưa
acid, bán liên,
xơ…
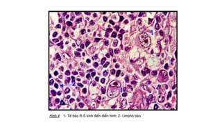
Tế bào Reed-Sternberg
- TB ác tính đặc trưng của bệnh
Hodgkin.
- Kt lớn 20-50µm.
- Bào tương rộng.
- Nhân lớn
- Chất nhiễm sắc thô vón và tập
trung sát màng nhân.
- Hạt nhân to và ưa toan
- Hình ảnh “soi gương”, mắt cú”
BIẾN THỂ CỦA TB RS
Type I: Bệnh Hodgkin nhiều lympho bào
- 5% trường hợp. Xảy ra ở bất kỳ độ tuổi nào với tỷ lệ cao điểm
ở 40 tuổi
- Tái phát hiện ở 10-15% bệnh nhân và xảy ra trung bình 3-6 năm
sau khi chẩn đoán.
- Tỷ lệ sống sót chung là 10 năm chiếm > 90% ở giai đoạn bệnh
- Cấu trúc hạch bị xóa do sự tăng sinh
mạnh của lympho bào kèm hoặc
không kèm mô bào.
- Sự tăng sinh có thể lan tỏa hoặc thành
nốt không đều.
- Rất ít tế bào Reed-Sternberg điển hình
nhưng xuất hiện các biến thể của tế
bào Reed-Sternberg, đó là những tế
bào nhỏ hơn tế bào Reed-Sternberg,
nhân có nếp cuộn, nhiều thùy, chất
nhiễm sắc có hốc nhỏ, hạt nhân nhỏ
và không rõ gọi là tế bào bắp rang
(popcorn cell).
- Rải rác có thể thấy tương bào, bạch
cầu đa nhân ưa toan.
- Vỏ hạch ít bị xâm lấn.
Type II: Bệnh Hodgkin thể xơ nốt
• Type thường gặp nhất trong
ULAT Hodgkin (60-80%)
• Típ này hay gặp ở nữ giới và có
thể gặp trong tất cả các giai đoạn
lâm sàng của bệnh, trong đó
60% ở giai đoạn lâm sàng I, II
và khoảng 35% ở giai đoạn lâm
sàng III.
• Quá trình xơ hóa tăng dần, lúc
đầu khu trú quanh các nốt có
nhiều tế bào, sau đó có thể xóa
hoàn toàn cấu trúc hạch lympho.
Có thể có các ổ hoại tử.
• Mô hạch bị xâm lấn bởi những nốt
tròn hay đa dạng, bao quanh các nốt
là những bè xơ.
• Các nốt gồm những tương bào,
lympho bào, bạch cầu đa nhân ưa
toan, các tế bào Hodgkin và đặc biệt
là các tế bào khuyết (lacunar cell) -
là một biến thể của tế bào Reed-
Sternberg, có kích thước rất lớn 40-
50µm, nhân có nhiều múi, màng
nhân mỏng, trong nhân có nhiều hạt
nhân, bào tương rộng và sáng nhưng
thường co lại tạo nên một khoảng
trống giữa tế bào và mô dạng
lympho xung quanh, tạo nên hình tế
bào nằm trong hốc.
Type III: Bệnh Hodgkin thể hỗn hợp tế bào
- Ðây là típ hay gặp sau thể
xơ nốt (15-30%).
- Nam giới mắc bệnh nhiều
hơn nữ giới và gặp trong mọi
giai đoạn lâm sàng của bệnh
Hodgkin, gần 50% ở giai
đoạn lâm sàng III, IV.
- Thời gian sống thêm của
bệnh nhân tương đối ngắn.
Tiên lượng xấu hơn típ I và
típ II.
• Hạch lympho có sự xâm
nhập đa hình thái, bao gồm
lympho bào, mô bào, tương
bào, bạch cầu đa nhân ưa
toan và trung tính.
• Nhiều tế bào Reed-Sternberg
điển hình và các tế bào
Hodgkin đơn nhân.
• Thường thấy các ổ hoại tử và
xơ hóa. Tất cả tạo nên hình
ảnh hỗn hợp tế bào.
Type IV: Bệnh Hodgkin thể ít lympho bào
- Típ này ít gặp, khoảng 1-5% các trường hợp.
- Thường gặp ở nam giới, tuổi trung bình khoảng 50 tuổi,
- Tuổi trẻ hơn gặp ở bệnh nhân AIDS, thường tương ứng với giai đoạn lâm sàng III và
IV, thời gian sống thêm ngắn.
- Chia thành 2 loại:
 Loại xơ hóa lan tỏa:
Nghèo tế bào đặc biệt là lympho bào. Xơ hóa lan rộng thành khối vô cấu trúc, đặc, ít tế
bào, ít sợi tạo keo. Tế bào Reed-Sternberg nhiều và thường bị co kéo, toan tính mạnh.
Loại này gặp ở giai đoạn cuối của bệnh Hodgkin không được điều trị hoặc sau điều trị
tia.
 Loại liên võng:
Ðặc trưng bởi rất nhiều tế bào Reed-Sternberg có hình dạng kỳ quái.
Type thêm: Bệnh Hodgkin giàu lympho dạng nốt
LÂM SÀNG
- Hạch to, không đau, thường 1 bên. Hay gặp ở hạch cổ, nách, bẹn,
trung thất.
- Triệu chứng: Sốt, ra mồ hôi, sút cân, thiếu máu, gan lách to.
PHÂN LOẠI
Type Đặc điểm vi thể Tần suất Tiên lượng
I (Hodgkin nhiều
lympho bào)
Hầu hết là tế bào B và
vài biến thể của tế bào
RS (TB bắp rang)
Ít gặp (5%) Tốt. Thường ở giai
đoạn I hoặc II
II (Hodgkin thể xơ
nốt)
Các dải xơ hóa, các tế
bào khuyết
Thường gặp (60-
80%), và thường gặp
nhiều ở nữ
Tốt. Thường ở giai
đoạn I hoặc II
III (Hodgkin thể hỗn
hợp tế bào)
Gồm nhiều tế bào
khác nhau
Thường gặp ở người
lớn tuổi, tần suất gặp
thứ 2 trong bệnh
ULAT Hodgkin
Tạm. Thường ở giai
đoạn III
IV (Hodgkin thể ít
lympho bào)
Nhiều tế bào Reed-
Sternberg và biến thể
Hiếm (<1%) Xấu. Thường ở giai
đoạn III hoặc IV
GIAI ĐOẠN
Bệnh biểu hiện 4 giai đoạn lâm sàng (theo phân loại TNM các u ác tính
của Hiệp hội Quốc tế chống ung thư, Gèneve 1979).
U LYMPHO KHÔNG HODGKIN
Xếp loại theo công thức thực hành (WF), 1982
Phân loại Đặc điểm
Độ ác tính thấp WF1 U lympho tế bào nhỏ
WF2 Thể nang tế bào nhỏ, nhân khìa
WF3 Thể nang hỗn hợp tế bào nhỏ, nhân khìa và tế bào lớn
Độ ác tính trung
bình
WF4 Thể nang, ưu thế tế bào lớn
WF5 Lan tỏa, tế bào nhỏ, nhân khìa
WF6 Lan tỏa, hỗn hợp tế bào lớn, nhỏ
WF7 Lan tỏa, tế bào lớn (nhân khìa và không khìa)
Độ ác tính cao WF8 Tế bào lớn, nguyên bào miễn dịch
WF9 Nguyên bào lymph
WF10 U lympho Burkitt’s, tế bào nhỏ nhân không khìa
+ Loại khác : U lympho da, tế bào T,loại mô bào thật sự ….
PHÂN LOẠI REAL/WHO 2001
ULAT tế bào tiền thân (chưa trưởng thành)
ULAT tế bào B ngoại biên (trưởng thành)
+ Lympho bào nhỏ/bệnh bạch cầu lympho
mạn tính
+ Bệnh bạch cầu tiền lympho bào
+ Lympho-tương bào
+ tế bào áo nang
+ Nang
+ MALT
+ Vùng bờ của hạch
+ Vùng bờ của lách
+ Bệnh bạch cầu tế bào tóc
+ Tế bào lớn an tỏa
+ Burkitt/ Burkitt-like
+ Tương bào/tủy tương bào
PHÂN LOẠI REAL/WHO 2001
U lympho ác tính tế bào T ngoại biên và NK
+ Bệnh bạch cầu tiền lympho T
+ Bệnh bạch cầu lympho hạt TB T
+ MF/T ngoại biên không đặc trưng
+ Nguyên bào miễn dịch-mạch
+ TB NK / T ngoài hạch,hốc mũi và típ hốc mũi
+ Bệnh bạch cầu TB NK ác tính cao
+ TB T típ ruột
+ TB T gan lách
+ Dạng viêm da dưới da
+ TB lớn không biệt hóa,TB T/không,típ hệ thống nguyên phát
+ ULAT/bệnh bạch cầu TB T người lớn (HTLV-1+)
ĐẠI THỂ
- Khởi phát: nhóm hạch ngoại biên và nhóm hạch sâu.
- Hạch to,có thể tạo khối u lớn, nhiều thùy, di động hoặc dính vào da và
mô quanh hạch.
- Diện cắt: thuần nhất, màu trắng xám, đôi khi có hoại tử và chảy máu.
VI THỂ
- Cấu trúc nổi trội: dạng nang hay dạng lan tỏa
- Loại tế bào chiếm ưu thế: tế bào nhỏ, tế bào lớn, hỗn hợp tế bào lớn và
tế bào nhỏ, nguyên bào miễn dịch, nguyên bào lympho
- Thường không thấy đặc điểm đa hình thái tế bào
LÂM SÀNG
• Hạch ngoại biên to, không đau, có thể đứng riêng lẻ hoặc dính thành
một khối cố định
• Vị trí: hạch cổ, hạch nách, hạch bẹn, hạch trung thất, hạch sau phúc
mạc
• Tiên lượng: tỷ lệ sống 10 năm của nhóm có độ ác tính thấp là
45%,trung gian là 26%,cao là 23%
Bệnh Hodgkin thể hỗn hợp tế bào
ULPA, nang, ưu thế tế bào nhỏ nhân khía (WF2)
ULPA, nang, ưu thế tế bào nhỏ nhân khía (WF2)
ULPA, lan toả, hỗn hợp tế bào lớn và tế bào nhỏ(WF6)
ULPA, lan toả, tế bào lớn (WF7)
ULPA, tế bào lớn,nguyên bào miễn dịch (WF8)
ULPA, nguyên bào lympho (WF9)
PHÂN BIỆT ULAT HODGKIN VÀ NON-HODGKIN
HODGKIN NON – HODGKIN
Ít gặp Thường gặp ( gặp nhiều hơn 10 lần so với Hodgkin)
Thường gặp ở trẻ em Gặp ở người lớn và trẻ em
Tiên lượng tốt Tiên lượng xấu
1 hạch ngoại biên, to Nhiều hạch (dạng chùm, chuỗi), hạch không to so với Hodgkin
Thường phát hiện ở 1 vị trí (có thể phát hiện bệnh sớm). Thường phát hiện hạch đối xứng 2 bên cơ thể ( khả năng phát
hiện bệnh muộn).
LS: Ngứa (dùng thuốc kháng Histamin không làm giảm triệu
chứng)
LS: Không có ngứa
Sử dụng phân loại Rye (1966). Có nhiều phân loại, chủ yếu sử dụng phân loại WF (1982).
Cđoán:
- TB RS điển hình hoặc không điển hình (TB bắp rang,, TB
khuyết…)
- Tính đa hình thái của TB (lympho, BCĐN, tương bào, TB
xơ…).
Cđoán:
- TB ung thư xếp dạng nang hoặc không nang (lan tỏa).
- Có tính đơn dòng.
- Không có đăc điểm của Hodgkin
- Điều trị dễ, đơn giản.
- Tiên lượng tốt.
- Điều trị khó khăn.
- Tiên lượng xấu hơn.
Sơ đồ lan tỏa, lấy cơ hoành làm chuẩn:
- 1 vị trí: giai đoạn I.
- Ít nhất 2 vùng hạch, cùng phía so với cơ hoành: giai đoạn II.
- Ít nhất 2 vùng hạch, lan ra 2 bên cơ hoành: giai đoạn III.
- Xâm lấn vào cơ quan ngoài hạch (lách, gan…): giai đoạn IV.
PHÂN GIAI ĐOẠN CHO
ULAT HODGKIN VÀ NON-HODGKIN
BỆNH HỌC HỆ BẠCH HUYẾT

BỆNH HỌC HỆ BẠCH HUYẾT

  • 1.
    BỆNH HỌC HẠCH BẠCHHUYẾT Lớp NT CĐHA 2017 – 2020 Huế, 01/2018
  • 2.
    ĐẠI CƯƠNG - Hệbạch huyết bao gồm: bạch huyết, mạch bạch huyết, mô bạch huyết, hạt/mấu bạch huyết, hạch bạch huyết, hạch họng, lá lách, và tuyến ức. HỆ MIỄN DỊCH HỆ TUẦN HOÀN HỆ HẠCH HUYẾT
  • 4.
    HẠCH BẠCH HUYẾT Bìnhthường <1cm, không sờ thấy • Hạch ngoại biên • Hạch ở sâu • Hệ thống lympho ngoài hạch
  • 6.
    MÔ HỌC HẠCHBẠCH HUYẾT - Hạch có hình thận, bao bọc bơi vỏ xơ, rốn hạch là nơi đi ra của các mạch dẫn lưu bạch huyết. - Nhu mô hạch chia 2 vùng: vùng vỏ, cận vỏ và tuỷ. Vùng vỏ có các nang lympho hình cầu, chứa chủ yếu lympho B. Vùng tuỷ chứa chủ yếu tương bào. Giữa vùng vỏ và tuỷ: vùng cận vỏ: lympho T. - Xoang hạch: gồm hệ thống dưới vỏ rẽ nhánh đi vào nhu mô và đi ra ở rốn hạch
  • 7.
    MÔ HỌC HẠCHBẠCH HUYẾT
  • 8.
    PHÂN NHÓM BỆNH CHÍNHCỦA HẠCH Viêm- quá sản Ung thư hạch Viêm đặc hiệuViêm- Quá sản phản ứng Nguyên phát Thứ phát/ Di căn ULAT Hodgkin ULAT không Hodgkin
  • 9.
    ĐẶC ĐIỂM VITHỂ •Đơn dòng •Tăng sinh tế bào ác tính tạo đám xâm nhập và phá huỷ cấu trúc hạch (nang lymphô và xoang hạch) ULAT •Đa dòng •Cấu trúc hạch thay đôi nhưng vẫn bảo tồn •Tế bào đa hình thái và không cho thấy hoặc rất kín đáo nhân không điển hình Hạch lành tính VI THỂ
  • 10.
    ĐẶC ĐIỂM VITHỂ Lưu ý: 1. Nếu không thấy tổn thương tạo đám và xoá bỏ cấu trúc hạch  lành tính (dù hình ảnh tế bào và miễn dịch ác tính). 2. Một số trường hợp ULAT tổn thương không toàn bộ hạch mà chỉ một phần, phần còn lại cấu trúc vẫn bảo tồn.
  • 11.
    Phân biệt ULATtíp nang và quá sản nang phản ứng ULAT típ nang Quá sản nang phản ứng Đặc điểm cấu trúc Xoá bỏ toàn bộ cấu trúc hạch Cấu trúc bảo tồn Cấu trúc nang phân bố từ vỏ đến tuỷ hạch Nang ưu thế vùng vỏ hạch Kích thước và hình dạng các nang ít thay đổi (đồng nhất) Thay đổi (nang kéo dài, dạng tam giác, hình chuông) Không rõ tâm mầm Phân biệt rõ tâm mầm sáng, áo nang sẫm màu Xâm nhập thành đám tế bào lympho vào vỏ hạch và tổ chức mỡ quanh hạch, kèm theo hoặc không cấu trúc dạng nang tế bào u ngoài vỏ. Không hoặc mức độ vừa phải, thường kèm theo sự xuất hiện các loại tế bào viêm tập trung thành đám nhỏ quanh mạch. Tập trung sợi võng ngoại vi quanh nang Không hoặc rất ít thay đổi mạng lưới sợi võng
  • 12.
    Phân biệt ULATtíp nang và quá sản nang phản ứng ULAT típ nang Quá sản nang phản ứng Đặc điểm tế bào Nang gồm tế bào u đa hình thái kèm nhân không điển hình Tâm mầm gồm lympho, mô bào và tb lưới, nhân và tb bình thường hoặc bất thường nhẹ Không có thực bào Thực bào ở tâm nang Nhân chia ít, thường không có sự khác biệt giữa trong và ngoài nang: nhân chia không điển hình Nhân chia nhiều, đôi khi nhiều rõ rệt ở tâm nang; hiếm hoặc không có nhân chia ngoài nang; nhân chia điển hình. Tế bào trong và ngoài nang giống nhau Xâm nhập tế bào viêm vào vùng giữa các tâm nang khi có hạch viêm.
  • 13.
    HẠCH LÀNH TÍNH Gồm: 1.Quá sản nang lympho. 2. Hạch viêm phản ứng.
  • 14.
    QUÁ SẢN NANGLYMPHO • Tăng số lượng • Tăng kích thước • Hình thái thay đổi với trung tâm mầm giãn rộng.
  • 15.
    HẠCH VIÊM PHẢNỨNG • Đặc hiệu. • Không đặc hiệu.
  • 16.
    2.1 Hạch viêmphản ứng không đặc hiệu • Viêm hạch cấp tính: - Biểu hiện lâm sàng: hạch to, đau; liên quan đến viêm nhiễm các vùng lân cận, như viêm amidan, hô hấp trên, và nhiễm khuẩn răng, miệng. - Vi thể: nang lymphô tăng sinh, trung tâm mầm có nhiều đại thực bào. Điểm quan trọng: hạch có thể chuyển sang áp xe, hoặc viêm mạn tính.
  • 17.
    2.1 Hạch viêmphản ứng không đặc hiệu • Viêm hạch mạn tính: - Định nghĩa: là phản ứng miễn dịch của mô lymphô hạch, có thể thay đổi hình thái ở nhiều mức độ khác nhau. - Vi thể: bao gồm tăng sản nang, tăng sản mô limphô vùng cận vỏ, và tăng sản xoang.
  • 18.
    2.2. Hạch viêmmạn tính đặc hiệu Hạch viêm lao - Thường gặp ở Việt Nam, hiếm gặp ở các nước phát triển. - Đại thể: hạch to, có hoại tử bã đậu.
  • 19.
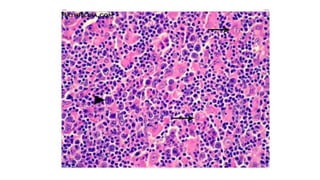
    VI THỂ **Điển hìnhlà nang lao với các thành phần sau: ở giữa là vùng hoại tử bã đậu, bao quanh là các tế bào bán liên, tế bào khổng lồ (Langhans: là những tế bào kích thước lớn ,chứa nhiều nhân,các nhân sắp xếp hình vòng cung,hoặc tập trung lại một đầu, bào tương bắt màu đỏ đậm) và tế bào lympho, ngoài cùng là lớp tế bào xơ.
  • 22.
    U LYMPHO ÁCTÍNH HODGKIN
  • 23.
    ULAT HODGKIN Phân loại:Theo - Tỷ lệ Tế bào u/ Tế bào Lympho phản ứng. - Cấu trúc và đặc điểm Tế bào Reed-Sternberg.
  • 24.
    * Phân loạikinh điển theo Rye (1966): 4 type theo mô bệnh học Type I: Bệnh Hodgkin nhiều lympho bào Type II: Bệnh Hodgkin thể xơ nốt Type III: Bệnh Hodgkin thể hỗn hợp tế bào Type IV: Bệnh Hodgkin thể ít lympho bào • Phân loại theo REAL (2001) - Có tách thêm 1 type khác không thuộc 4 type kinh điển trên  Bệnh Hodgkin giàu lympho dạng nốt
  • 25.
    ĐẠI THỂ - Gặpchủ yếu ở hạch lympho nhưng cũng có thể gặp ở các tạng của hệ tạo máu – lympho và xâm nhập các tạng khác. - Tổn thương không đặc hiệu: những khối không có giới hạn rõ ràng hoặc các nốt rải rác - Diện cắt màu trắng xám hay vàng nhạt, thuần nhất hoặc có hoại tử hoặc có các chấm chảy máu.
  • 26.
    HẠCH LYMPHO • Thườnggặp đầu tiên. • 1 hay nhiều hạch to, kt thay đổi, không dính vào nhau  dính thành 1 khối nhiều múi và lang sang các nhóm hạch khác • 90% gặp ở các nhóm hạch ngoại biên như hạch cổ, nách, bẹn… • 50% gặp ở các hạch sâu như hạch trung thất, sau phúc mạc…
  • 27.
    LÁCH • 25% trườnghợp • Lách to vừa, không quá 400gram. • Mặt ngoài nhẵn, đồng đều hoặc có nốt lồi lên trên vỏ lách/ • Diện cắt có các nốt màu trắng xám, kt từ vài mm đến vài cm, trên nền đỏ sẫm của lách  “lách xúc xích”, “lách đá hoa cương”
  • 28.
    GAN •25% các trườnghợp. •Gan to có các nốt to nhỏ không đều, có khi khó thấy bằng mắt thường.
  • 29.
    VI THỂ 1. Cấutrúc hạch bị xóa (có thể khu trú) 2. Tế bào u: TB Reed- Sternberg và các biến thể của nó, TB Hodgkin 3. Tế bào phản ứng đa hình thái: Lympho, tương bào, BCĐN ưa acid, bán liên, xơ…
  • 32.
    1. Cấu trúchạch bị xóa (có thể khu trú) 2. Tế bào u: TB Reed-Sternberg và các biến thể của nó, TB Hodgkin 3. Tế bào phản ứng đa hình thái: Lympho, tương bào, BCĐN ưa acid, bán liên, xơ…
  • 33.
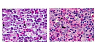
    Tế bào Reed-Sternberg -TB ác tính đặc trưng của bệnh Hodgkin. - Kt lớn 20-50µm. - Bào tương rộng. - Nhân lớn - Chất nhiễm sắc thô vón và tập trung sát màng nhân. - Hạt nhân to và ưa toan - Hình ảnh “soi gương”, mắt cú”
  • 34.
  • 35.
    Type I: BệnhHodgkin nhiều lympho bào - 5% trường hợp. Xảy ra ở bất kỳ độ tuổi nào với tỷ lệ cao điểm ở 40 tuổi - Tái phát hiện ở 10-15% bệnh nhân và xảy ra trung bình 3-6 năm sau khi chẩn đoán. - Tỷ lệ sống sót chung là 10 năm chiếm > 90% ở giai đoạn bệnh
  • 36.
    - Cấu trúchạch bị xóa do sự tăng sinh mạnh của lympho bào kèm hoặc không kèm mô bào. - Sự tăng sinh có thể lan tỏa hoặc thành nốt không đều. - Rất ít tế bào Reed-Sternberg điển hình nhưng xuất hiện các biến thể của tế bào Reed-Sternberg, đó là những tế bào nhỏ hơn tế bào Reed-Sternberg, nhân có nếp cuộn, nhiều thùy, chất nhiễm sắc có hốc nhỏ, hạt nhân nhỏ và không rõ gọi là tế bào bắp rang (popcorn cell). - Rải rác có thể thấy tương bào, bạch cầu đa nhân ưa toan. - Vỏ hạch ít bị xâm lấn.
  • 40.
    Type II: BệnhHodgkin thể xơ nốt • Type thường gặp nhất trong ULAT Hodgkin (60-80%) • Típ này hay gặp ở nữ giới và có thể gặp trong tất cả các giai đoạn lâm sàng của bệnh, trong đó 60% ở giai đoạn lâm sàng I, II và khoảng 35% ở giai đoạn lâm sàng III. • Quá trình xơ hóa tăng dần, lúc đầu khu trú quanh các nốt có nhiều tế bào, sau đó có thể xóa hoàn toàn cấu trúc hạch lympho. Có thể có các ổ hoại tử.
  • 41.
    • Mô hạchbị xâm lấn bởi những nốt tròn hay đa dạng, bao quanh các nốt là những bè xơ. • Các nốt gồm những tương bào, lympho bào, bạch cầu đa nhân ưa toan, các tế bào Hodgkin và đặc biệt là các tế bào khuyết (lacunar cell) - là một biến thể của tế bào Reed- Sternberg, có kích thước rất lớn 40- 50µm, nhân có nhiều múi, màng nhân mỏng, trong nhân có nhiều hạt nhân, bào tương rộng và sáng nhưng thường co lại tạo nên một khoảng trống giữa tế bào và mô dạng lympho xung quanh, tạo nên hình tế bào nằm trong hốc.
  • 45.
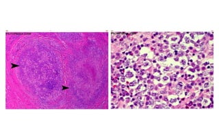
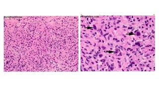
    Type III: BệnhHodgkin thể hỗn hợp tế bào - Ðây là típ hay gặp sau thể xơ nốt (15-30%). - Nam giới mắc bệnh nhiều hơn nữ giới và gặp trong mọi giai đoạn lâm sàng của bệnh Hodgkin, gần 50% ở giai đoạn lâm sàng III, IV. - Thời gian sống thêm của bệnh nhân tương đối ngắn. Tiên lượng xấu hơn típ I và típ II.
  • 46.
    • Hạch lymphocó sự xâm nhập đa hình thái, bao gồm lympho bào, mô bào, tương bào, bạch cầu đa nhân ưa toan và trung tính. • Nhiều tế bào Reed-Sternberg điển hình và các tế bào Hodgkin đơn nhân. • Thường thấy các ổ hoại tử và xơ hóa. Tất cả tạo nên hình ảnh hỗn hợp tế bào.
  • 49.
    Type IV: BệnhHodgkin thể ít lympho bào - Típ này ít gặp, khoảng 1-5% các trường hợp. - Thường gặp ở nam giới, tuổi trung bình khoảng 50 tuổi, - Tuổi trẻ hơn gặp ở bệnh nhân AIDS, thường tương ứng với giai đoạn lâm sàng III và IV, thời gian sống thêm ngắn. - Chia thành 2 loại:  Loại xơ hóa lan tỏa: Nghèo tế bào đặc biệt là lympho bào. Xơ hóa lan rộng thành khối vô cấu trúc, đặc, ít tế bào, ít sợi tạo keo. Tế bào Reed-Sternberg nhiều và thường bị co kéo, toan tính mạnh. Loại này gặp ở giai đoạn cuối của bệnh Hodgkin không được điều trị hoặc sau điều trị tia.  Loại liên võng: Ðặc trưng bởi rất nhiều tế bào Reed-Sternberg có hình dạng kỳ quái.
  • 52.
    Type thêm: BệnhHodgkin giàu lympho dạng nốt
  • 53.
    LÂM SÀNG - Hạchto, không đau, thường 1 bên. Hay gặp ở hạch cổ, nách, bẹn, trung thất. - Triệu chứng: Sốt, ra mồ hôi, sút cân, thiếu máu, gan lách to.
  • 55.
    PHÂN LOẠI Type Đặcđiểm vi thể Tần suất Tiên lượng I (Hodgkin nhiều lympho bào) Hầu hết là tế bào B và vài biến thể của tế bào RS (TB bắp rang) Ít gặp (5%) Tốt. Thường ở giai đoạn I hoặc II II (Hodgkin thể xơ nốt) Các dải xơ hóa, các tế bào khuyết Thường gặp (60- 80%), và thường gặp nhiều ở nữ Tốt. Thường ở giai đoạn I hoặc II III (Hodgkin thể hỗn hợp tế bào) Gồm nhiều tế bào khác nhau Thường gặp ở người lớn tuổi, tần suất gặp thứ 2 trong bệnh ULAT Hodgkin Tạm. Thường ở giai đoạn III IV (Hodgkin thể ít lympho bào) Nhiều tế bào Reed- Sternberg và biến thể Hiếm (<1%) Xấu. Thường ở giai đoạn III hoặc IV
  • 56.
    GIAI ĐOẠN Bệnh biểuhiện 4 giai đoạn lâm sàng (theo phân loại TNM các u ác tính của Hiệp hội Quốc tế chống ung thư, Gèneve 1979).
  • 58.
  • 59.
    Xếp loại theocông thức thực hành (WF), 1982 Phân loại Đặc điểm Độ ác tính thấp WF1 U lympho tế bào nhỏ WF2 Thể nang tế bào nhỏ, nhân khìa WF3 Thể nang hỗn hợp tế bào nhỏ, nhân khìa và tế bào lớn Độ ác tính trung bình WF4 Thể nang, ưu thế tế bào lớn WF5 Lan tỏa, tế bào nhỏ, nhân khìa WF6 Lan tỏa, hỗn hợp tế bào lớn, nhỏ WF7 Lan tỏa, tế bào lớn (nhân khìa và không khìa) Độ ác tính cao WF8 Tế bào lớn, nguyên bào miễn dịch WF9 Nguyên bào lymph WF10 U lympho Burkitt’s, tế bào nhỏ nhân không khìa + Loại khác : U lympho da, tế bào T,loại mô bào thật sự ….
  • 60.
    PHÂN LOẠI REAL/WHO2001 ULAT tế bào tiền thân (chưa trưởng thành) ULAT tế bào B ngoại biên (trưởng thành) + Lympho bào nhỏ/bệnh bạch cầu lympho mạn tính + Bệnh bạch cầu tiền lympho bào + Lympho-tương bào + tế bào áo nang + Nang + MALT + Vùng bờ của hạch + Vùng bờ của lách + Bệnh bạch cầu tế bào tóc + Tế bào lớn an tỏa + Burkitt/ Burkitt-like + Tương bào/tủy tương bào
  • 61.
    PHÂN LOẠI REAL/WHO2001 U lympho ác tính tế bào T ngoại biên và NK + Bệnh bạch cầu tiền lympho T + Bệnh bạch cầu lympho hạt TB T + MF/T ngoại biên không đặc trưng + Nguyên bào miễn dịch-mạch + TB NK / T ngoài hạch,hốc mũi và típ hốc mũi + Bệnh bạch cầu TB NK ác tính cao + TB T típ ruột + TB T gan lách + Dạng viêm da dưới da + TB lớn không biệt hóa,TB T/không,típ hệ thống nguyên phát + ULAT/bệnh bạch cầu TB T người lớn (HTLV-1+)
  • 62.
    ĐẠI THỂ - Khởiphát: nhóm hạch ngoại biên và nhóm hạch sâu. - Hạch to,có thể tạo khối u lớn, nhiều thùy, di động hoặc dính vào da và mô quanh hạch. - Diện cắt: thuần nhất, màu trắng xám, đôi khi có hoại tử và chảy máu.
  • 63.
    VI THỂ - Cấutrúc nổi trội: dạng nang hay dạng lan tỏa - Loại tế bào chiếm ưu thế: tế bào nhỏ, tế bào lớn, hỗn hợp tế bào lớn và tế bào nhỏ, nguyên bào miễn dịch, nguyên bào lympho - Thường không thấy đặc điểm đa hình thái tế bào
  • 64.
    LÂM SÀNG • Hạchngoại biên to, không đau, có thể đứng riêng lẻ hoặc dính thành một khối cố định • Vị trí: hạch cổ, hạch nách, hạch bẹn, hạch trung thất, hạch sau phúc mạc • Tiên lượng: tỷ lệ sống 10 năm của nhóm có độ ác tính thấp là 45%,trung gian là 26%,cao là 23%
  • 65.
    Bệnh Hodgkin thểhỗn hợp tế bào
  • 66.
    ULPA, nang, ưuthế tế bào nhỏ nhân khía (WF2)
  • 67.
    ULPA, nang, ưuthế tế bào nhỏ nhân khía (WF2)
  • 68.
    ULPA, lan toả,hỗn hợp tế bào lớn và tế bào nhỏ(WF6)
  • 69.
    ULPA, lan toả,tế bào lớn (WF7)
  • 70.
    ULPA, tế bàolớn,nguyên bào miễn dịch (WF8)
  • 71.
    ULPA, nguyên bàolympho (WF9)
  • 72.
    PHÂN BIỆT ULATHODGKIN VÀ NON-HODGKIN HODGKIN NON – HODGKIN Ít gặp Thường gặp ( gặp nhiều hơn 10 lần so với Hodgkin) Thường gặp ở trẻ em Gặp ở người lớn và trẻ em Tiên lượng tốt Tiên lượng xấu 1 hạch ngoại biên, to Nhiều hạch (dạng chùm, chuỗi), hạch không to so với Hodgkin Thường phát hiện ở 1 vị trí (có thể phát hiện bệnh sớm). Thường phát hiện hạch đối xứng 2 bên cơ thể ( khả năng phát hiện bệnh muộn). LS: Ngứa (dùng thuốc kháng Histamin không làm giảm triệu chứng) LS: Không có ngứa Sử dụng phân loại Rye (1966). Có nhiều phân loại, chủ yếu sử dụng phân loại WF (1982). Cđoán: - TB RS điển hình hoặc không điển hình (TB bắp rang,, TB khuyết…) - Tính đa hình thái của TB (lympho, BCĐN, tương bào, TB xơ…). Cđoán: - TB ung thư xếp dạng nang hoặc không nang (lan tỏa). - Có tính đơn dòng. - Không có đăc điểm của Hodgkin - Điều trị dễ, đơn giản. - Tiên lượng tốt. - Điều trị khó khăn. - Tiên lượng xấu hơn.
  • 73.
    Sơ đồ lantỏa, lấy cơ hoành làm chuẩn: - 1 vị trí: giai đoạn I. - Ít nhất 2 vùng hạch, cùng phía so với cơ hoành: giai đoạn II. - Ít nhất 2 vùng hạch, lan ra 2 bên cơ hoành: giai đoạn III. - Xâm lấn vào cơ quan ngoài hạch (lách, gan…): giai đoạn IV. PHÂN GIAI ĐOẠN CHO ULAT HODGKIN VÀ NON-HODGKIN

Editor's Notes

  • #34 Hình 1: Tế bào Reed-Sternberg Là những tế bào ác tính đặc trưng của bệnh Hodgkin, đặc hiệu để chẩn đoán bệnh Hodgkin. Tế bào Reed-Sternberg điển hình có kích thước lớn 20-50µm hoặc hơn. Bào tương rộng, thuần nhất hoặc dạng hạt, ưa toan nhẹ. Nhân lớn. Kích thước thay đổi, màng nhân dày, chất nhiễm sắc thô vón và tập trung sát màng nhân. Hạt nhân rất to, ưa toan, nằm giữa nhân và tách biệt với chất nhiễm sắc tạo nên một quầng sáng quanh hạt nhân. Ðôi khi thấy tế bào hai nhân đối xứng với nhau tạo nên hình ảnh “soi gương” hay “mắt cú”. Những tế bào lớn, một nhân nhưng nhân không có múi, hạt nhân nổi rõ gọi là tế bào Hodgkin hoặc tế bào dạng Sternberg. Nguồn gốc của tế bào Reed-Sternberg và các biến thể của nó là những nguyên bào lympho phát triển từ các tế bào Th. Hình 2: Tế bào Reed-Sternberg; hình ảnh cho thấy lymphocytes bình thường so với một tế bào Reed-Sternberg, có kích thước lớn, bất thường lymphocytes có thể chứa nhiều hơn một hạt nhân. Những tế bào này được tìm thấy trong u lymphô Hodgkin
  • #35 Hình 1: Tế bào RS cổ điển Hình 2: TB khuyết Hình 3: TB bắp rang
  • #36  Các hạch lympho cổ và hạch nách thường gặp nhất ,có tiến triển chậm và kết quả xuất sắc với liệu pháp tiêu chuẩn
  • #38 - Cấu trúc hạch bị xóa do sự tăng sinh mạnh của lympho bào kèm hoặc không kèm mô bào. - Sự tăng sinh có thể lan tỏa hoặc thành nốt không đều. - Rất ít tế bào Reed-Sternberg điển hình nhưng xuất hiện các biến thể của tế bào Reed-Sternberg, đó là những tế bào nhỏ hơn tế bào Reed-Sternberg, nhân có nếp cuộn, nhiều thùy, chất nhiễm sắc có hốc nhỏ, hạt nhân nhỏ và không rõ gọi là tế bào bắp rang (popcorn cell). - Rải rác có thể thấy tương bào, bạch cầu đa nhân ưa toan. - Vỏ hạch ít bị xâm lấn.  một hạt nhân lớn gấp nhiều lần và được bao quanh bởi các hạt nhỏ lymphocytes
  • #40 2 mũi tên dài bên phải: TB biểu mô Đầu mũi tên bên trái: TB RS
  • #41  Hình 2: một số hạch bạch huyết từ cùng một nhóm có thể tạo dính thành 1 khối lớn, như thấy trong nhóm hạch bạch huyết trung gian này
  • #44 Hình nốt được tạo ra bởi các dải xơ bao quanh, bên trong (mũi tên) chứa các tế bào Reed-Sternberg. Đặc trưng bởi tế bào khuyết và còn kèm nhiều tế bào lớn với tế bào chất rõ ràng được bao quanh bởi các tế bào viêm nhiễm bao gồm lympho bào, đại thực bào và tế bào ưa acid
  • #45 Một tế bào khuyết Reed-Sternberg điển hình nhân có nhiều múi, màng nhân mỏng, trong nhân có nhiều hạt nhân, bào tương rộng và sáng nhưng thường co lại tạo nên một khoảng trống giữa tế bào và mô dạng lympho xung quanh, tạo nên hình tế bào nằm trong hốc.
  • #46  Hạch lympho có sự xâm nhập đa hình thái, bao gồm lympho bào, mô bào, tương bào, bạch cầu đa nhân ưa toan và trung tính. Nhiều tế bào Reed-Sternberg điển hình và các tế bào Hodgkin đơn nhân. Thường thấy các ổ hoại tử và xơ hóa. Tất cả tạo nên hình ảnh hỗn hợp tế bào.
  • #47  ReedSternberg tế bào có trong một nền của eosinophils, tế bào plasma, bạch huyết bào, và không điển hình các tế bào đơn hạt nhân. Sợi xơ thường không có.
  • #49  1. Một ví dụ khác của u lymphoma MC-Hodgkin có nền viêm hỗn hợp gồm các lympho bào nhỏ, bạch cầu ái toan (mũi tên dài), tế bào biểu mô, và các tế bào RS rải rác (đầu mũi tên). 2. Khám nghiệm nhiều hơn về u lymphô Hodgkin liên kết cho thấy các đặc trưng điển hình bao gồm sự xâm nhập của tế bào viêm kết hợp gồm eosinophils phong phú (mũi tên), tế bào plasma (mũi tên dài), bạch huyết bào nhỏ. Lưu ý một tế bào RS trong số thâm nhập này.
  • #52 Nhiều tế bào Reed-Sternberg lớn và nhiều lympho kích thước nhỏ.
  • #53  a. Hình dạng không phổ biến b. Tế bào RS cổ điển hoặc đơn hạt rải rác chống lại một nốt (phổ biến nhất) hoặc khuếch tán nền, phần lớn bao gồm nhỏ lymphocytes và thực tế không có bạch cầu ái toan và bạch cầu trung tính c. Liên quan đến EBV trong khoảng 40% trường hợp