Bài giảng Giải Phẫu Bệnh
Phần thực tập
ThS.BS. Bùi Cao Cường
1. Mô hạt
Khái ni m:ệ
-Là mô liên k t, bao g m:ế ồ
+ Huy t qu n tân t o (vi m ch)ế ả ạ ạ
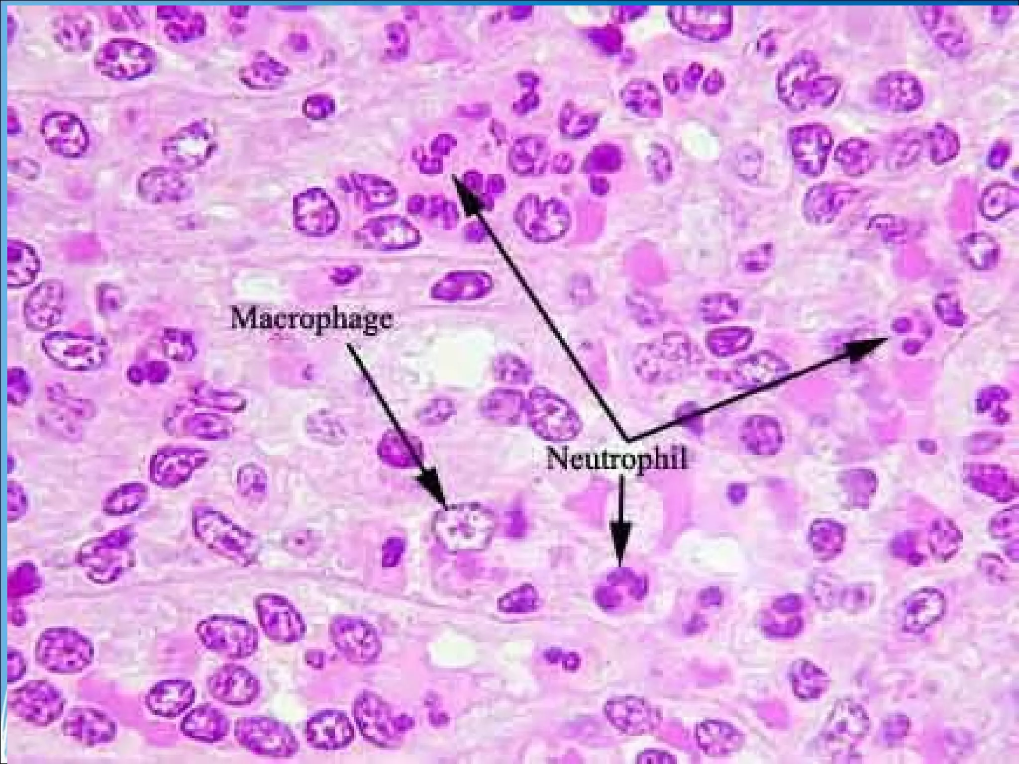
+ Các lo i t bào viêm:ạ ế
•Lympho bào: Hình c u, ĐK 8-10μm, ít bào t ngầ ươ
•T ng bào: H u d c, nhân l ch tâm, ch t nhi mươ ầ ụ ệ ấ ễ
s c phân tán, bi t hóa t Lympho B.ắ ệ ừ
•B ch c u đa nhân: th c ch t là 1 nhân nhi u múiạ ầ ự ấ ề
• Đại thực bào: Kích thước thay đổi do bào
tương chứa các hốc thực (ẩm) bào, màng bào
tương không đều đặn.
• Tế bào sợi: Hình thoi, bào tương ít nhánh,
ngắn, nhân bầu dục ở giữa. (Có thể gặp
nguyên bào sợi – hình sao nhiều nhánh bào
tương hơn)
1. Mô hạt
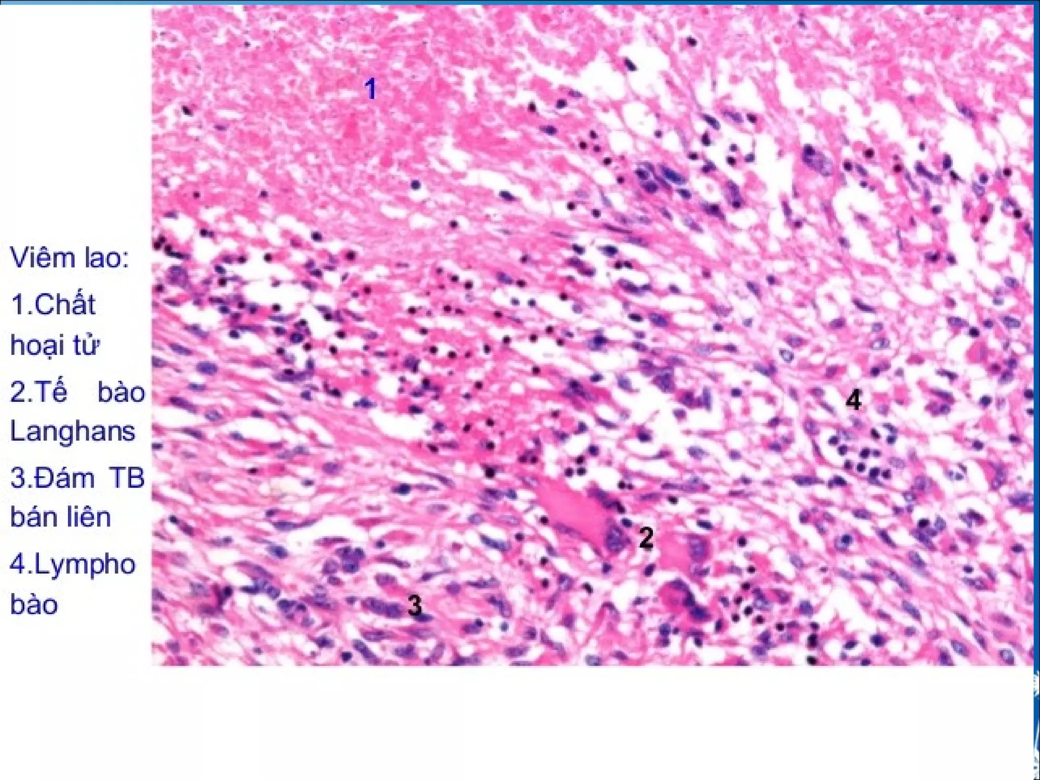
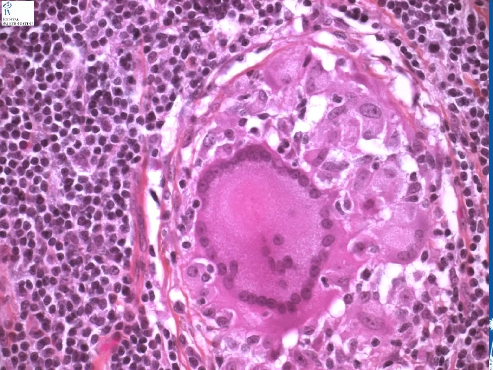
2. Viêm lao
• KN: phản ứng viêm đặc hiệu của cơ thể đối với
sự xâm nhập của trực khuẩn lao.
• Vi thể: Xuất dịch -> Hình thành nang lao -> Hàn
gắn tổn thương.
• Thành phần của nang lao:
+ Chất hoại tử bã đậu
+ Tế bào khổng lồ Langhans
+ Tế bào bán liên (tế bào dạng biểu mô)
+ Lympho bào
+ Vỏ xơ, tế bào sợi.
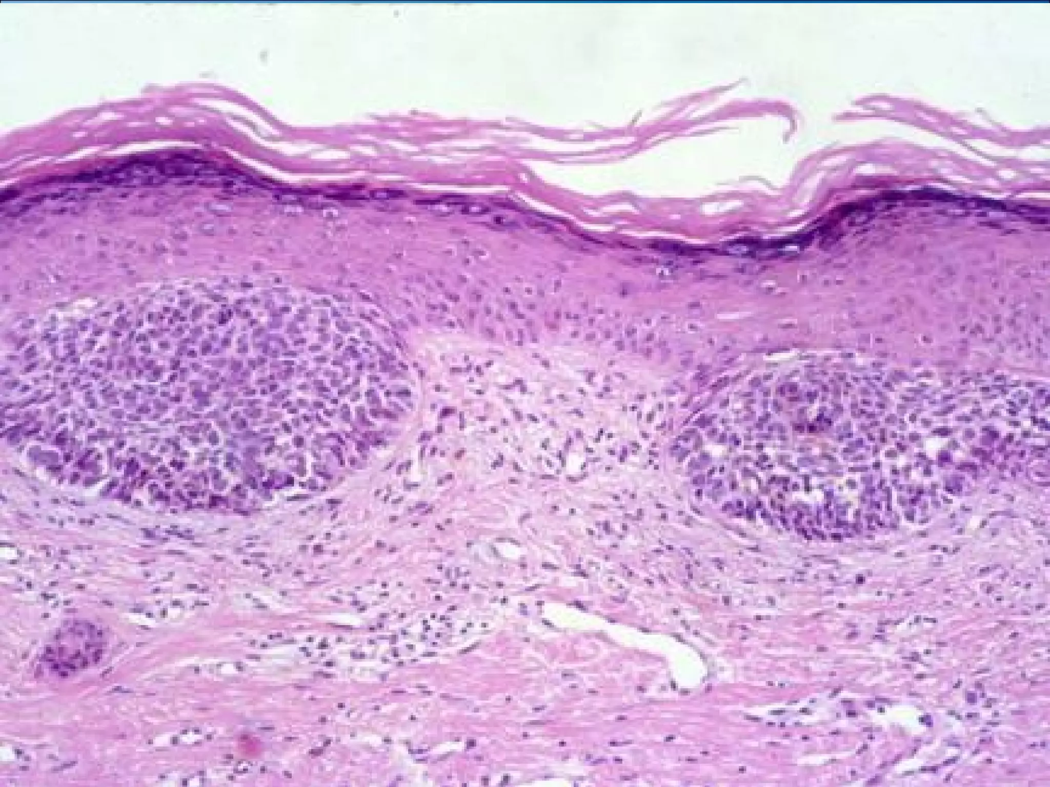
3. U nhú (lành tính)
• KN: U nhú là u lành tính, phát sinh do sự quá sản
lớp tế bào gai của biểu mô biểu bì, làm nhú trung
bì đẩy lên trên bề mặt biểu mô.
• Tế bào u: Hình đa diện, đồng dạng giống tế bào
sinh ra nó.
• Mô đệm: xâm nhập viêm, mạch máu sung huyết.
• Tính chất lành tính: + Tế bào u giống tế bào “mẹ”
+ Trật tự các lớp không đổi
+ Màng đáy còn nguyên vẹn
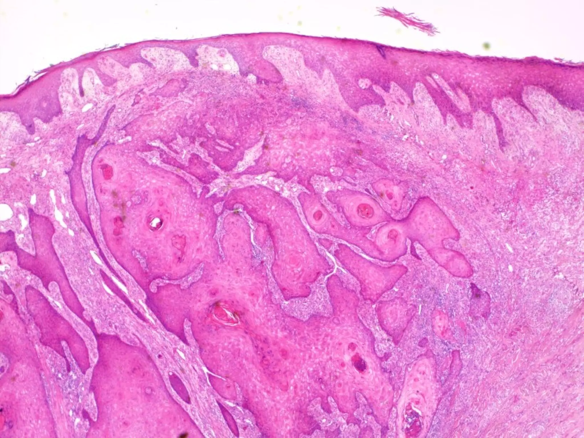
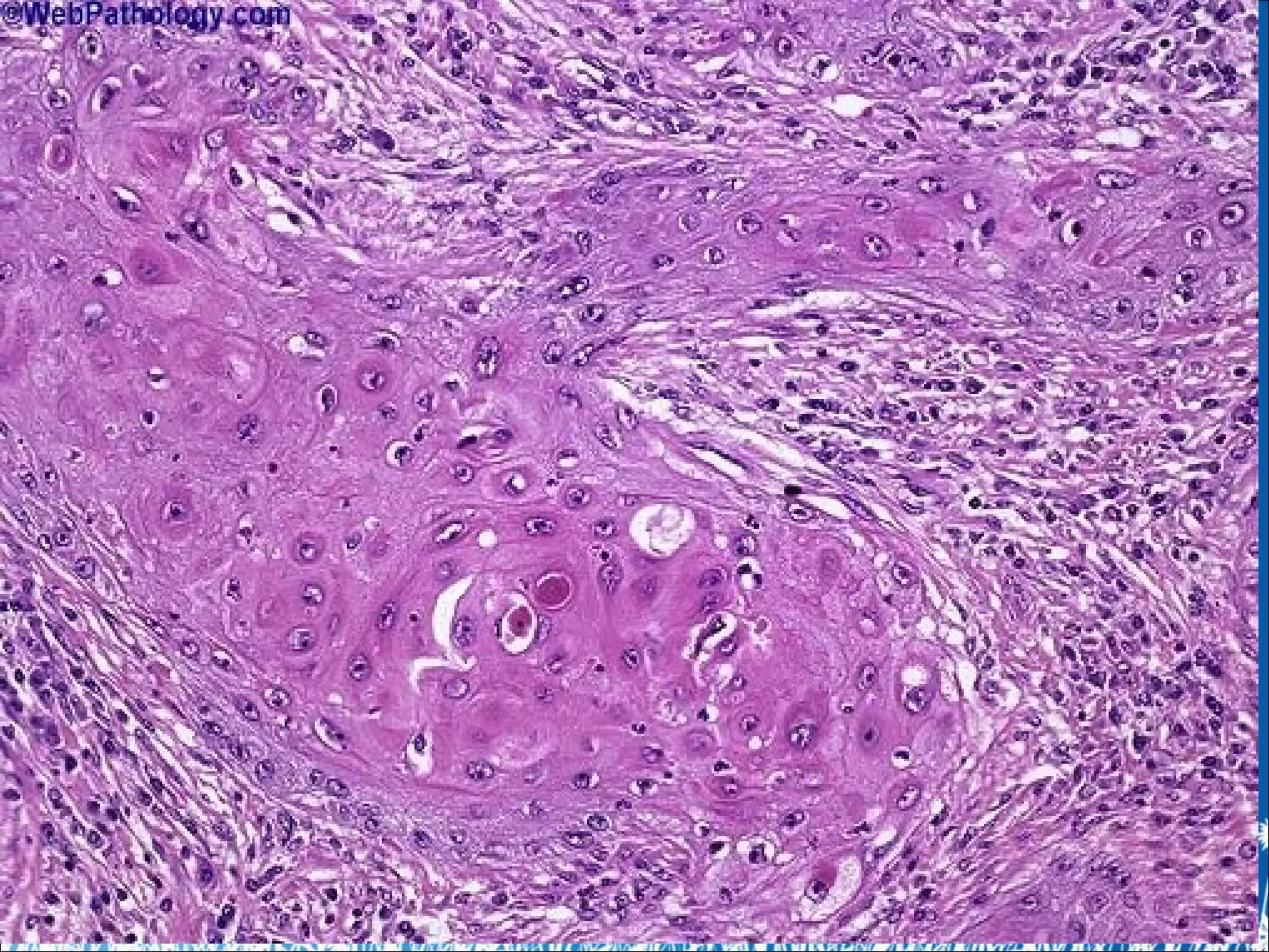
4. Ung thư biểu mô biểu bì tế bào vảy
(Carcinoma tế bào vảy của da)
• ĐN: U ác tính phát sinh từ lớp đáy của biểu mô biểu bì, tế
bào u biệt hoá gợi hình đa diện, xếp thành đám lớn nhỏ
phá vỡ cấu trúc thượng bì xâm nhập sâu xuống trung bì ...
 Tế bào u: Hình đa diện, to nhỏ không đều, bào tương
rộng, sáng hoặc ưa toan, nhiều nhân chia.
 Mô u: Đám/ đảo lớn nhỏ xuất hiện ở trung bì.
 Trung tâm mô u có thể có “cầu sừng” (do các tế bào u
chết đi sừng hóa thành)
 Mô đệm: Xâm nhập viêm lympho, mạch máu sung huyết
4. Ung thư biểu mô biểu bì tế bào vảy
5. Ung thư biểu mô biểu bì tế bào đáy
(Basal cell carcinoma of the skin)
• ĐN: U ác tính phát sinh từ lớp đáy của biểu mô biểu bì, tế
bào u gợi hình thoi, trụ, xếp thành đám lớn nhỏ phá vỡ
cấu trúc thượng bì xâm nhập sâu xuống trung bì ...
 Tế bào u: Hình thoi/trụ, to nhỏ không đều, nhân lớn kiềm
tính.
 Mô u: Đám/ đảo/ ổ lớn nhỏ xuất hiện ở trung bì.
 Ngoại vi các đám mô u lớn có hình ảnh “hàng rào nhân”.
 Mô đệm: Xâm nhập viêm lympho, mạch máu sung huyết
5. UTBM biểu bì tế bào đáy
UTBM tế bào đáy biến thể vảy (hiếm gặp)

thực hành GPB 1 (HPMU)

  • 1.
    Bài giảng GiảiPhẫu Bệnh Phần thực tập ThS.BS. Bùi Cao Cường
  • 2.
    1. Mô hạt Kháini m:ệ -Là mô liên k t, bao g m:ế ồ + Huy t qu n tân t o (vi m ch)ế ả ạ ạ + Các lo i t bào viêm:ạ ế •Lympho bào: Hình c u, ĐK 8-10μm, ít bào t ngầ ươ •T ng bào: H u d c, nhân l ch tâm, ch t nhi mươ ầ ụ ệ ấ ễ s c phân tán, bi t hóa t Lympho B.ắ ệ ừ •B ch c u đa nhân: th c ch t là 1 nhân nhi u múiạ ầ ự ấ ề
  • 3.
    • Đại thựcbào: Kích thước thay đổi do bào tương chứa các hốc thực (ẩm) bào, màng bào tương không đều đặn. • Tế bào sợi: Hình thoi, bào tương ít nhánh, ngắn, nhân bầu dục ở giữa. (Có thể gặp nguyên bào sợi – hình sao nhiều nhánh bào tương hơn)
  • 6.
  • 8.
    2. Viêm lao •KN: phản ứng viêm đặc hiệu của cơ thể đối với sự xâm nhập của trực khuẩn lao. • Vi thể: Xuất dịch -> Hình thành nang lao -> Hàn gắn tổn thương. • Thành phần của nang lao: + Chất hoại tử bã đậu + Tế bào khổng lồ Langhans + Tế bào bán liên (tế bào dạng biểu mô) + Lympho bào + Vỏ xơ, tế bào sợi.
  • 13.
    3. U nhú(lành tính) • KN: U nhú là u lành tính, phát sinh do sự quá sản lớp tế bào gai của biểu mô biểu bì, làm nhú trung bì đẩy lên trên bề mặt biểu mô. • Tế bào u: Hình đa diện, đồng dạng giống tế bào sinh ra nó. • Mô đệm: xâm nhập viêm, mạch máu sung huyết. • Tính chất lành tính: + Tế bào u giống tế bào “mẹ” + Trật tự các lớp không đổi + Màng đáy còn nguyên vẹn
  • 16.
    4. Ung thưbiểu mô biểu bì tế bào vảy (Carcinoma tế bào vảy của da) • ĐN: U ác tính phát sinh từ lớp đáy của biểu mô biểu bì, tế bào u biệt hoá gợi hình đa diện, xếp thành đám lớn nhỏ phá vỡ cấu trúc thượng bì xâm nhập sâu xuống trung bì ...  Tế bào u: Hình đa diện, to nhỏ không đều, bào tương rộng, sáng hoặc ưa toan, nhiều nhân chia.  Mô u: Đám/ đảo lớn nhỏ xuất hiện ở trung bì.  Trung tâm mô u có thể có “cầu sừng” (do các tế bào u chết đi sừng hóa thành)  Mô đệm: Xâm nhập viêm lympho, mạch máu sung huyết
  • 17.
    4. Ung thưbiểu mô biểu bì tế bào vảy
  • 20.
    5. Ung thưbiểu mô biểu bì tế bào đáy (Basal cell carcinoma of the skin) • ĐN: U ác tính phát sinh từ lớp đáy của biểu mô biểu bì, tế bào u gợi hình thoi, trụ, xếp thành đám lớn nhỏ phá vỡ cấu trúc thượng bì xâm nhập sâu xuống trung bì ...  Tế bào u: Hình thoi/trụ, to nhỏ không đều, nhân lớn kiềm tính.  Mô u: Đám/ đảo/ ổ lớn nhỏ xuất hiện ở trung bì.  Ngoại vi các đám mô u lớn có hình ảnh “hàng rào nhân”.  Mô đệm: Xâm nhập viêm lympho, mạch máu sung huyết
  • 21.
    5. UTBM biểubì tế bào đáy
  • 24.
    UTBM tế bàođáy biến thể vảy (hiếm gặp)