BALANCED OCCLUSION
AND ITS IMPORTANCE
IN COMPLETE DENTURE FABRICATION
INDIAN DENTAL ACADEMY
Leader in continuing dental education
www.indiandentalacademy.com
www.indiandentalacademy.com
ContentsContents
 IntroductionIntroduction
 DefinitionsDefinitions
 Requirements of complete denture occlusionRequirements of complete denture occlusion
 Concepts of occlusionConcepts of occlusion
 Balanced occlusion: DefinitionBalanced occlusion: Definition
Pre-RequisitesPre-Requisites
Pro and ConsPro and Cons
www.indiandentalacademy.com
 Parameters to success of occlusal balanceParameters to success of occlusal balance
 TypesTypes
 Hanaus Law of articulationHanaus Law of articulation
 StepsSteps
 Occlusal adjustment in balanced occlusion:Occlusal adjustment in balanced occlusion:
Selective grindingSelective grinding
 Problems / Correction in balanced occlusionProblems / Correction in balanced occlusion
 Balancing RampsBalancing Ramps
 Review of literatureReview of literature
 Summary & conclusionSummary & conclusion
 ReferencesReferences
www.indiandentalacademy.com
IntroductionIntroduction
www.indiandentalacademy.com
Definitions:Definitions:
Occlusion:Occlusion:
Is defined as any contact between the incising orIs defined as any contact between the incising or
masticating surfaces of the maxillary and mandibularmasticating surfaces of the maxillary and mandibular
teeth.-GPTteeth.-GPT
According toAccording to HeartwellHeartwell this is a static position and the jawsthis is a static position and the jaws
can be in either centric or eccentric relation. Every timecan be in either centric or eccentric relation. Every time
the teeth contact there is a resultant force which may varythe teeth contact there is a resultant force which may vary
in magnitude and direction.in magnitude and direction.
www.indiandentalacademy.com
Dental Articulation:Dental Articulation:
The static and dynamic contact relationship betweenThe static and dynamic contact relationship between
the occlusal surfaces of the teeth during function.-GPTthe occlusal surfaces of the teeth during function.-GPT
Centric Occlusion:Centric Occlusion:
Refers to the relationship of the mandible to theRefers to the relationship of the mandible to the
maxilla, when the teeth are in maximum occlusalmaxilla, when the teeth are in maximum occlusal
contact, irrespective of the position or alignment of thecontact, irrespective of the position or alignment of the
condyle disk assemblies. This is also referred to as thecondyle disk assemblies. This is also referred to as the
acquired position of the mandible or the maximumacquired position of the mandible or the maximum
interocclusal position. (MIOP).interocclusal position. (MIOP).
www.indiandentalacademy.com
Requirements of complete denture occlusion:Requirements of complete denture occlusion:
-Stability of occlusion at centric relation position and in an area-Stability of occlusion at centric relation position and in an area
forward and lateral to it.forward and lateral to it.
-Balanced occlusal contacts bilaterally for all eccentric mandibular-Balanced occlusal contacts bilaterally for all eccentric mandibular
movements.movements.
-Unlocking the cusps mesio-distally to allow for gradual but-Unlocking the cusps mesio-distally to allow for gradual but
inevitable settling of the bases due to tissue deformation and boneinevitable settling of the bases due to tissue deformation and bone
resorption.resorption.
-Control of the horizontal force by buccolingual cusp height-Control of the horizontal force by buccolingual cusp height
reduction according to residual ridge resistance form and interarchreduction according to residual ridge resistance form and interarch
distance.distance.
-Functional lever balance by favorable tooth to ridge crest position.-Functional lever balance by favorable tooth to ridge crest position.
www.indiandentalacademy.com
Theories of occlusionTheories of occlusion
 Spherical theorySpherical theory
 Equilateral triangle theoryEquilateral triangle theory
 Conical theoryConical theory
www.indiandentalacademy.com
Spherical theory of occlusionSpherical theory of occlusion
 This was given by Monson(1918) and the conceptThis was given by Monson(1918) and the concept
was derived from an idea by Von spee.was derived from an idea by Von spee.
 Positioning of teeth with antero-posterior andPositioning of teeth with antero-posterior and
medio-lateral inclines in harmony with a sphericalmedio-lateral inclines in harmony with a spherical
surface. Some times referred to as having Monsonsurface. Some times referred to as having Monson
curve.curve.
 Lower teeth moves over the surface of upper teethLower teeth moves over the surface of upper teeth
as over the surface of sphere with a diameter ofas over the surface of sphere with a diameter of
8inches(20cm).8inches(20cm).
 Centre of sphere is in gabella.Centre of sphere is in gabella.
 Surfaces of the sphere passes through glenoidSurfaces of the sphere passes through glenoid
fossa along the articular eminences.fossa along the articular eminences.
www.indiandentalacademy.com
Equilateral Triangle TheoryEquilateral Triangle Theory
This theory was proposed by BonewillThis theory was proposed by Bonewill
Average 4inch between each condyles and incisal guidance formAverage 4inch between each condyles and incisal guidance form
the shoulder of the equilateral trianglethe shoulder of the equilateral triangle
Conical theoryConical theory
This theory was proposed by HallThis theory was proposed by Hall
Lower teeth move over the surfaces of the upper teeth asLower teeth move over the surfaces of the upper teeth as
over the surfaces of cone with a generating angle ofover the surfaces of cone with a generating angle of
45 degree and with the central axis of cone tip opened45 degree and with the central axis of cone tip opened
at 45 degree angle to the degree of occlusal plane.at 45 degree angle to the degree of occlusal plane.
www.indiandentalacademy.com
The occlusal spectrum and completeThe occlusal spectrum and complete
dentures:dentures:
occlusal schemes in use today:occlusal schemes in use today:
--Balanced occlusionBalanced occlusion:: -Non-balanced-Non-balanced
AnatomicAnatomic Spherical occlusionSpherical occlusion
Semi-anatomic Organic occlusion.Semi-anatomic Organic occlusion.
Non-anatomic Transiographics.Non-anatomic Transiographics.
Lingualised Nuetrocentric.Lingualised Nuetrocentric.
www.indiandentalacademy.com
Occlusal formOcclusal form
 333300
bucco-lingual inclines ofbucco-lingual inclines of
anatomic teeth for patientsanatomic teeth for patients
with strong, well formedwith strong, well formed
ridgesridges
 202000
bucco-lingual inclines ofbucco-lingual inclines of
semi-anatomic teeth forsemi-anatomic teeth for
patient with ridge contour ispatient with ridge contour is
reduced by resorptionreduced by resorption
 0000
non-anatomic teeth fornon-anatomic teeth for
patient with flat, knife edgepatient with flat, knife edge
ridgesridges
www.indiandentalacademy.com
Anatomic (Balanced)
Occlusion
Semi-anatomic
(balanced)
Lingualized Occlusion
Non-anatomic (balanced)
Neutrocentric
Occlusion
AdvantagesAdvantages DisadvantagesDisadvantages
1.1. Better EstheticsBetter Esthetics
2.2. Ease of Penetration (DecreasedEase of Penetration (Decreased
vertical stress)vertical stress)
3.3. Denture stability duringDenture stability during
parafunctional movementsparafunctional movements
1.1. Less estheticLess esthetic
2.2. Poor penetration (Feel dull,Poor penetration (Feel dull,
increased vertical forces on ridge)increased vertical forces on ridge)
3.3. Encourage lateral chewingEncourage lateral chewing
component.component.
DisadvantagesDisadvantages AdvantagesAdvantages
1.1. Precise records, Exact mountingsPrecise records, Exact mountings
required.required.
2.2. Greater lateral forces on inclinesGreater lateral forces on inclines
(more bone deformation)(more bone deformation)
3.3. Results short levelResults short level
4.4. Harder to adjustHarder to adjust
1.1. Simpler technique, less preciseSimpler technique, less precise
records.records.
2.2. Decreased lateral forcesDecreased lateral forces
3.3. Faster to adjust (sandpaper)Faster to adjust (sandpaper)
4.4. Permits area of closurePermits area of closure
5.5. Good for class II and III jawGood for class II and III jaw
relations.relations.
6.6. Good stability, forces centralizedGood stability, forces centralized
and neutralized.and neutralized.
www.indiandentalacademy.com
Organic occlusionOrganic occlusion
 Based on the work of Angelo D Amico (Gnathological Society)Based on the work of Angelo D Amico (Gnathological Society)
 It is that concept where in any jaw movement away from centricIt is that concept where in any jaw movement away from centric
occlusion will result in separation of all posterior teeth.occlusion will result in separation of all posterior teeth.
 The ridge and groove directions of the posterior teeth are determinedThe ridge and groove directions of the posterior teeth are determined
as result of the movements of the condyles. The cusp height, fossaas result of the movements of the condyles. The cusp height, fossa
depth of posterior teeth and the proper concavity at the lingualdepth of posterior teeth and the proper concavity at the lingual
surfaces of the maxillary anterior teeth are determined as a result ofsurfaces of the maxillary anterior teeth are determined as a result of
mandibular movements.mandibular movements.
 The aim of this occlusion is to relate the occlusal elements of teeth soThe aim of this occlusion is to relate the occlusal elements of teeth so
that the teeth will be in harmony with the muscles and joints inthat the teeth will be in harmony with the muscles and joints in
function.function.
www.indiandentalacademy.com
 In organic occlusion three phases of mutually interdependentIn organic occlusion three phases of mutually interdependent
protection are present.protection are present.
 The posterior teeth should protect the anterior in the centricThe posterior teeth should protect the anterior in the centric
occlusal position.occlusal position.
 The maxillary incisors should have vertical overlapThe maxillary incisors should have vertical overlap
sufficient to provide separation of the posterior teeth whensufficient to provide separation of the posterior teeth when
the incisors are in edge to edge contact.the incisors are in edge to edge contact.
 In lateral mandibular position outside the masticatoryIn lateral mandibular position outside the masticatory
movements, the cuspids should prevent contact of all othermovements, the cuspids should prevent contact of all other
teeth.teeth.
www.indiandentalacademy.com
Transographic OcclusionTransographic Occlusion
 Given by ShwelzerGiven by Shwelzer
 Eccentric balancing contacts are not considered since they areEccentric balancing contacts are not considered since they are
believed to be outside the mandiblebelieved to be outside the mandible
 This theory is dependant on Split Theory where each condyle isThis theory is dependant on Split Theory where each condyle is
considered to be independentconsidered to be independent
 According to Schweitzwer this theory agreed in principle with tenetsAccording to Schweitzwer this theory agreed in principle with tenets
of gnathology, but differed in its concept of the problem.of gnathology, but differed in its concept of the problem.
www.indiandentalacademy.com
Neutrocentric concept
Proposed by DeVan(1954)Proposed by DeVan(1954)
Key objectivesKey objectives: -Neutralization of inclines: -Neutralization of inclines
-Centralization of forces-Centralization of forces
Features :Features :
 Arrangement of teeth on a plane parallel to basal support and withoutArrangement of teeth on a plane parallel to basal support and without
compensating curves.compensating curves.
 Not dictated by horizontal condylar guideNot dictated by horizontal condylar guide
 Bucco-lingual direction teeth are set flat without B-L inclinationBucco-lingual direction teeth are set flat without B-L inclination
 Horizontal condylar guidance and lateral condylar set zeroHorizontal condylar guidance and lateral condylar set zero
 Reduced bucco-lingual width of teethReduced bucco-lingual width of teeth
 Second molar is eliminatedSecond molar is eliminated
 Patient advised to avoid incising in anterior teethPatient advised to avoid incising in anterior teeth
 No cusp in posterior teethNo cusp in posterior teeth
AdvantagesAdvantages: -simple and less precise records are required: -simple and less precise records are required
-lateral forces are reduced-lateral forces are reduced
-easy to adjust-easy to adjustwww.indiandentalacademy.com
Balanced Occlusion:Balanced Occlusion:
It is defined as “The simultaneous contact of opposing upper andIt is defined as “The simultaneous contact of opposing upper and
lower teeth in centric relation position and a continuous smoothlower teeth in centric relation position and a continuous smooth
bilateral gliding from this position to any eccentric position withbilateral gliding from this position to any eccentric position with
in normal range of mandibular function”-GPTin normal range of mandibular function”-GPT
www.indiandentalacademy.com
Need for balanced occlusionNeed for balanced occlusion
 Improved stability of dentureImproved stability of denture
 No interference of cusp during masticationNo interference of cusp during mastication
 Preservation of ridges by better distribution of forcesPreservation of ridges by better distribution of forces
www.indiandentalacademy.com
Goals of balanced occlusionGoals of balanced occlusion
 Simultaneous contact in centric relationSimultaneous contact in centric relation
 Working side contactWorking side contact
 Balancing contact in protrusionBalancing contact in protrusion
 Balancing contact in lateral excursionBalancing contact in lateral excursion
www.indiandentalacademy.com
Following axioms should be considered:Following axioms should be considered:
1.1. The wider and larger the ridge and closer the teeth are to the ridge, the greater theThe wider and larger the ridge and closer the teeth are to the ridge, the greater the
lever balance.lever balance.
2. Conversely, the smaller and narrower the ridge and the farther the teeth are placed2. Conversely, the smaller and narrower the ridge and the farther the teeth are placed
from the ridge the poorer the lever balance.from the ridge the poorer the lever balance.
3.The wider the ridge and the narrower the teeth, the greater the balance.3.The wider the ridge and the narrower the teeth, the greater the balance.
4.Conversely, the narrower the ridge and wider the teeth the poorer the balance.4.Conversely, the narrower the ridge and wider the teeth the poorer the balance.
5.The more lingual the teeth are placed in relation to the ridge the better the balance.5.The more lingual the teeth are placed in relation to the ridge the better the balance.
6.The more buccal the teeth are placed to the ridge crest, the poorer the balance.6.The more buccal the teeth are placed to the ridge crest, the poorer the balance.
7.The more centered the force of occlusion anterior-posteriorly, the greater the7.The more centered the force of occlusion anterior-posteriorly, the greater the
stability of the base.stability of the base.
www.indiandentalacademy.com
Pre-Requisites for balancing:Pre-Requisites for balancing:
1.Mandibular posterior teeth must be set so that occlusal surfaces1.Mandibular posterior teeth must be set so that occlusal surfaces
are horizontal.are horizontal.
2.Plane of occlusion must have a proper orientation.2.Plane of occlusion must have a proper orientation.
3.A compensating curve must be set.3.A compensating curve must be set.
4.Teeth must be modified so that there are no interlocking4.Teeth must be modified so that there are no interlocking
transverse ridges.transverse ridges.
www.indiandentalacademy.com
Pros and Cons –Bilateral Balanced OcclusionPros and Cons –Bilateral Balanced Occlusion::
““Enter bolus, exit balanceEnter bolus, exit balance” has cast suspicion as to” has cast suspicion as to
whether smooth, gliding, non-interfering, bilateral toothwhether smooth, gliding, non-interfering, bilateral tooth
contacts are possible. It implies that occlusal balance iscontacts are possible. It implies that occlusal balance is
impossible during mastication.impossible during mastication.
Brewer and HudsonBrewer and Hudson (1961) have shown that complete(1961) have shown that complete
denture teeth do contact at times during mastication.denture teeth do contact at times during mastication.
www.indiandentalacademy.com
Pros:Pros:
1.The contact varies in frequency with different foods and different persons.1.The contact varies in frequency with different foods and different persons.
If this contact is interruptive and deflective; and not bilateral, the dentureIf this contact is interruptive and deflective; and not bilateral, the denture
base will not be stable. Hence, bilateral balanced contacts during thebase will not be stable. Hence, bilateral balanced contacts during the
terminal arc of closure help to seat the denture in a stable position.terminal arc of closure help to seat the denture in a stable position.
2.Also bilateral balanced occlusion is important during activities such as2.Also bilateral balanced occlusion is important during activities such as
swallowing saliva, closing to reseat the dentures, and the bruxing of theswallowing saliva, closing to reseat the dentures, and the bruxing of the
teeth during times of stress.teeth during times of stress.
3.Patient with a balanced design do not upset the normal static, stable and3.Patient with a balanced design do not upset the normal static, stable and
retentive qualities of their dentures.retentive qualities of their dentures.
4.In bilateral balance the bases are stable during bruxing activity.4.In bilateral balance the bases are stable during bruxing activity.
www.indiandentalacademy.com
Cons:Cons:
There are some possible disadvantages of bilateralThere are some possible disadvantages of bilateral
balanced occlusion:balanced occlusion:
1. It may tend to encourage lateral and protrusive1. It may tend to encourage lateral and protrusive
grinding, although this habit may be confined to thosegrinding, although this habit may be confined to those
people who are subjected to irrelevant muscle activity.people who are subjected to irrelevant muscle activity.
2. It is difficult to achieve in mouths where an increased2. It is difficult to achieve in mouths where an increased
vertical incisor overlap is indicated, and is better to retainvertical incisor overlap is indicated, and is better to retain
the vertical overlap, than to sacrifice it in order to achievethe vertical overlap, than to sacrifice it in order to achieve
articular balance.articular balance.
3. A semi-adjustable or fully adjustable articulator is3. A semi-adjustable or fully adjustable articulator is
required.required.
www.indiandentalacademy.com
Parameters to success of occlusal balance:
1.Accurate record of relation of maxilla to T.M.J. (which is1.Accurate record of relation of maxilla to T.M.J. (which is
registration of 3 dimensional spatial relation of maxilla to T.M.J. toregistration of 3 dimensional spatial relation of maxilla to T.M.J. to
maintain biological soundness of the joint.)maintain biological soundness of the joint.)
2.Optimal relation of condyles.2.Optimal relation of condyles.
3.Bilateral muscle balance of horizontal movers of the mandible.3.Bilateral muscle balance of horizontal movers of the mandible.
4.Eccentric relation record of functional protrusion of the mandible.4.Eccentric relation record of functional protrusion of the mandible.
www.indiandentalacademy.com
Types of Balanced Occlusion:Types of Balanced Occlusion:
Balance may be: Unilateral, bilateral, or protrusive.Balance may be: Unilateral, bilateral, or protrusive.
Unilateral lever balance:Unilateral lever balance:
This is present when there is equilibrium of base on its supportingThis is present when there is equilibrium of base on its supporting
structures when a bolus of food is interposed between teeth onstructures when a bolus of food is interposed between teeth on
one side and space exists between teeth on the opposite side.one side and space exists between teeth on the opposite side.
www.indiandentalacademy.com
Unilateral occlusal balanceUnilateral occlusal balance::
This is present when occlusal surfaces of the teeth on one sideThis is present when occlusal surfaces of the teeth on one side
articulate simultaneously with smooth uninterrupted glide.articulate simultaneously with smooth uninterrupted glide.
www.indiandentalacademy.com
Bilateral occlusal balance:Bilateral occlusal balance:
--This is present when there isThis is present when there is
equilibrium on both sides of dentureequilibrium on both sides of denture
due to simultaneous contact of teethdue to simultaneous contact of teeth
in centric and eccentric occlusion.in centric and eccentric occlusion.
-It requires a minimum of three-It requires a minimum of three
contacts. The more the contacts thecontacts. The more the contacts the
more assured the balance.more assured the balance.
www.indiandentalacademy.com
Protrusive occlusal balance:Protrusive occlusal balance:
--This is present when the mandible moves essentially forward andThis is present when the mandible moves essentially forward and
occlusal contacts are smooth and simultaneously in posteriorocclusal contacts are smooth and simultaneously in posterior
region both on right and left sides as well as anterior teeth.region both on right and left sides as well as anterior teeth.
-It requires a minimum of three contacts, one on each side-It requires a minimum of three contacts, one on each side
posteriorly and one anteriorlyposteriorly and one anteriorly
www.indiandentalacademy.com
www.indiandentalacademy.com
--The tooth size and position in relation to the ridge size and shape.The tooth size and position in relation to the ridge size and shape.
-The extent of denture base coverage.-The extent of denture base coverage.
-Occlusal balance with stable contacts at the retruded border-Occlusal balance with stable contacts at the retruded border
position and in an area anterior to it.position and in an area anterior to it.
-Right and left eccentric occlusal balance by simultaneous contacts-Right and left eccentric occlusal balance by simultaneous contacts
at the limit of functional and parafunctional activity.at the limit of functional and parafunctional activity.
-Intermediate occlusal balance for all positions between centric-Intermediate occlusal balance for all positions between centric
occlusion and all other functional or parafunctional excursions toocclusion and all other functional or parafunctional excursions to
the right and left and protrusive.the right and left and protrusive.
www.indiandentalacademy.com
FACTORS THAT AFFECT THEFACTORS THAT AFFECT THE
OCCLUSAL BALANCEOCCLUSAL BALANCE
www.indiandentalacademy.com
Condylar GuidanceCondylar Guidance
 It is post end controlling factor.It is post end controlling factor.
 It represents angles of downward and forwardIt represents angles of downward and forward
movement of condyle relative to axis-orbital plane.movement of condyle relative to axis-orbital plane.
 It is obtained by movement of protrusive registration.It is obtained by movement of protrusive registration.
 It should be recorded and transferred to articulator asIt should be recorded and transferred to articulator as
closely as possible as given by the patient.closely as possible as given by the patient.
 In contrast to other four factors it cannot be modifiedIn contrast to other four factors it cannot be modified
 Steeper the condylar- decreased incisal guidance, toSteeper the condylar- decreased incisal guidance, to
reduce the amount of jaw separation duringreduce the amount of jaw separation during
protrusionprotrusion
www.indiandentalacademy.com
 More the condylarMore the condylar
guidance more will be theguidance more will be the
cuspal heightcuspal height
 Condylar pathway dependsCondylar pathway depends
on bone contour of T.M.J.,on bone contour of T.M.J.,
muscle of mastication,muscle of mastication,
ligament of T.M.J. andligament of T.M.J. and
neuromuscular control ofneuromuscular control of
the patient.the patient.
 Average condylar guidanceAverage condylar guidance
is about 25-30 degree.is about 25-30 degree.
www.indiandentalacademy.com
Incisal guidanceIncisal guidance
This is defined as “The influence ofThis is defined as “The influence of
the contacting surfaces of thethe contacting surfaces of the
mandibular and maxillary anteriormandibular and maxillary anterior
teeth on mandibular movements”-teeth on mandibular movements”-
GPT.GPT.
It is usually expressed in degrees ofIt is usually expressed in degrees of
angulation from horizontal by a lineangulation from horizontal by a line
drawn in the saggital plane betweendrawn in the saggital plane between
the incisal edges of the upper andthe incisal edges of the upper and
lower incisor teeth when closed inlower incisor teeth when closed in
centric occlusion.centric occlusion.
www.indiandentalacademy.com
It is directly proportional to vertical overlap and indirectly proportionalIt is directly proportional to vertical overlap and indirectly proportional
to horizontal overlap.to horizontal overlap.
In complete dentures the incisal guidance should be as flat as possible asIn complete dentures the incisal guidance should be as flat as possible as
the esthetics and phonetics permitsthe esthetics and phonetics permits..
If the incisal guidance is steep, it requires steep cusps, a steep occlusalIf the incisal guidance is steep, it requires steep cusps, a steep occlusal
plane, or a steep compensating curve to affect an occlusal planeplane, or a steep compensating curve to affect an occlusal plane
It depends upon following factors:It depends upon following factors:
 PhoneticPhonetic
 EstheticEsthetic
 Shape of residual ridgesShape of residual ridges
 Ridge relationRidge relation
 Inter-alveolar distanceInter-alveolar distance
 On average it is about 10-20 degree.On average it is about 10-20 degree.
www.indiandentalacademy.com
Orientation of occlusal planeOrientation of occlusal plane
 It is purely geometrical factor.It is purely geometrical factor.
 This plane is assumed to pass through 3 dental landmarkThis plane is assumed to pass through 3 dental landmark
central incisal point and summit of mesio-buccal cusp ofcentral incisal point and summit of mesio-buccal cusp of
last molar on either side.last molar on either side.
 It is parallel to Ala- tragus line.It is parallel to Ala- tragus line.

It is transferred to articulator with help of facebowIt is transferred to articulator with help of facebow..
 Steep increase in inclination of occlusal plane will resultSteep increase in inclination of occlusal plane will result
in movement of upper denture backward and lowerin movement of upper denture backward and lower
denture forward during function.denture forward during function.
 Decrease in inclination will result in opposite of aboveDecrease in inclination will result in opposite of above
movement.movement.
 2-5 degree angle between this plane and horizontal plane2-5 degree angle between this plane and horizontal plane
of reference.of reference. www.indiandentalacademy.com
Cuspal InclinationCuspal Inclination
 The angle formed by the incisal slope of mesio- buccal cusp toThe angle formed by the incisal slope of mesio- buccal cusp to
horizontal plane is defined as cuspal inclination.horizontal plane is defined as cuspal inclination.
 According to that there are 3 types of posterior teeth.According to that there are 3 types of posterior teeth.
 a) 0 degree posterior teeth.a) 0 degree posterior teeth.
 b) 20 degree posterior teeth.b) 20 degree posterior teeth.
 c) 33 degree posterior teeth.c) 33 degree posterior teeth.
 If the condylar guidance is steep, higher cuspal height tooth are usedIf the condylar guidance is steep, higher cuspal height tooth are used
to gain in balanced occlusion.to gain in balanced occlusion.
 Effective cuspal angle can either be increased or decreased by mesialEffective cuspal angle can either be increased or decreased by mesial
or distal tilt of tooth.or distal tilt of tooth.
www.indiandentalacademy.com
Compensating CurvesCompensating Curves
 It refers to Antero- Posterior andIt refers to Antero- Posterior and
lateral curve produced in thelateral curve produced in the
alignment and arrangement ofalignment and arrangement of
occluding surfaces of the teeth.occluding surfaces of the teeth.
 Compensating curve allows theCompensating curve allows the
dentist to alter cusp height withoutdentist to alter cusp height without
changing the form which suppliedchanging the form which supplied
by the manufacturers.by the manufacturers.
 It compensates for opening calledIt compensates for opening called
as “CHRISTENSEN’Sas “CHRISTENSEN’S
phenomenon” that occurs inphenomenon” that occurs in
posterior region when protrusiveposterior region when protrusive
movements are made.movements are made.
www.indiandentalacademy.com
Christensen’s Phenomenon
www.indiandentalacademy.com
Antero-Posterior / Lateral Compensating curvesAntero-Posterior / Lateral Compensating curves
 CURVE OF SPEE: ANTERO -POSTERIOR curvedCURVE OF SPEE: ANTERO -POSTERIOR curved
arrangement of occlusal surfaces and incisal edges of naturalarrangement of occlusal surfaces and incisal edges of natural
teeth when viewed saggitally is called curve of spee, if it is inteeth when viewed saggitally is called curve of spee, if it is in
denture it is called A-P compensating curve.denture it is called A-P compensating curve.
 MEDIO-LATERAL CURVE OR CURVE OF WILLSON:MEDIO-LATERAL CURVE OR CURVE OF WILLSON:
It is transverse curve made by lingual inclination of posteriorIt is transverse curve made by lingual inclination of posterior
teeth (Manson’s curve)teeth (Manson’s curve)
www.indiandentalacademy.com
www.indiandentalacademy.com
 Factors affecting protrusive balance:Factors affecting protrusive balance:
 Inclination of the condylar path on the articulator asInclination of the condylar path on the articulator as
recorded from patientrecorded from patient
 Incisal guidance taken from the patientIncisal guidance taken from the patient
 Inclination of the plane of occlusion set to physiologicalInclination of the plane of occlusion set to physiological
factorsfactors
 Compensating curve set to harmonize condylar andCompensating curve set to harmonize condylar and
incisal guidanceincisal guidance
 Control of cusp height and tooth inclinationControl of cusp height and tooth inclination
www.indiandentalacademy.com
 Factors affecting lateral balanceFactors affecting lateral balance
 Condylar inclination on the balancing sideCondylar inclination on the balancing side
 Inclination of the incisal guidance and cuspid liftInclination of the incisal guidance and cuspid lift
 Inclination of plane of occlusion on balancing and working sideInclination of plane of occlusion on balancing and working side
 Compensating curve on balancing and working sideCompensating curve on balancing and working side
 Bennett side shift on working sideBennett side shift on working side
 Buccal cusp height or inclination on balancing sideBuccal cusp height or inclination on balancing side
 Lingual cusp height or inclination on the working sideLingual cusp height or inclination on the working side
www.indiandentalacademy.com
‘‘Rudolph L.Hanau’Rudolph L.Hanau’ proposed nine factors that govern theproposed nine factors that govern the
articulation of artificial teeth.articulation of artificial teeth.
-Laws of articulation.-Laws of articulation.
-Hanaus Quint-Hanaus Quint
www.indiandentalacademy.com
Hanau’s QuintHanau’s Quint
www.indiandentalacademy.com
Trapozzano’s Concept:Trapozzano’s Concept:
www.indiandentalacademy.com
Bouchers concept:Bouchers concept:
Occlusal plane to be located exactly as it was when theOcclusal plane to be located exactly as it was when the
natural teeth were present.natural teeth were present.
States that:States that:
-There are 3 fixed factors :-There are 3 fixed factors :
1. The orientation of the occlusal plane, the incisal1. The orientation of the occlusal plane, the incisal
guidance, and the condylar guidance.guidance, and the condylar guidance.
2. The angulation of the cusp is more important than the2. The angulation of the cusp is more important than the
height of the cusp.height of the cusp.
3. The compensating curve enables one to increase the3. The compensating curve enables one to increase the
effective height of the cusps without changing the formeffective height of the cusps without changing the form
of the teeth.of the teeth.
www.indiandentalacademy.com
The lott’s ConceptThe lott’s Concept
 He related the laws as followsHe related the laws as follows
 The greater the angle of the condylar path, the greater is theThe greater the angle of the condylar path, the greater is the
separationseparation
 The greater the angle of the of the overbite, the greater is theThe greater the angle of the of the overbite, the greater is the
separation in the anterior region and the posterior region.separation in the anterior region and the posterior region.
 The greater is separation of the posterior teeth, greater is theThe greater is separation of the posterior teeth, greater is the
compensating curve.compensating curve.
 Posterior separartion beyond the ability of compensating curvePosterior separartion beyond the ability of compensating curve
to balance the occlusion requires the plane of orientation.to balance the occlusion requires the plane of orientation.
 The greater the separation of the posterior teeth, the greaterThe greater the separation of the posterior teeth, the greater
must be the height of the cusps….must be the height of the cusps….www.indiandentalacademy.com
www.indiandentalacademy.com
Bernard Levin ConceptBernard Levin Concept
 Eliminated plane of orientation.Eliminated plane of orientation.
 Guiding factors increase the posterior separation.Guiding factors increase the posterior separation.
 Controlling factors decrease the posterior separation.Controlling factors decrease the posterior separation.
www.indiandentalacademy.com
The Quad:The Quad: The laws of protrusive and lateralThe laws of protrusive and lateral
balanced occlusionbalanced occlusion
www.indiandentalacademy.com
Steps involved in balancing:Steps involved in balancing:
--The teeth have to be inclined to develop a balancedThe teeth have to be inclined to develop a balanced
occlusion.occlusion.
-The upper and lower incisal units meet only when the-The upper and lower incisal units meet only when the
mandibular teeth are protruded and protrusive balancingmandibular teeth are protruded and protrusive balancing
unit functions only when upper and lower units contact.unit functions only when upper and lower units contact.
-To develop a balanced occlusion one needs an-To develop a balanced occlusion one needs an
adjustable articulator which should:adjustable articulator which should:
-Receive a face-bow transfer.-Receive a face-bow transfer.
-Adjust to individual inter condylar guidance.-Adjust to individual inter condylar guidance.
-Have an adjustable incisal guide table.-Have an adjustable incisal guide table.
www.indiandentalacademy.com
To adjust the articulator requires:To adjust the articulator requires:
-A centric relation record.-A centric relation record.
-Eccentric protrusive record.-Eccentric protrusive record.
-Right and left lateral relation records are desirable if the-Right and left lateral relation records are desirable if the
articulator is capable of accepting the records.articulator is capable of accepting the records.
-If the articulator will not receive the lateral records (Hanau-If the articulator will not receive the lateral records (Hanau
type) then lateral condylar guidance is calculated as:type) then lateral condylar guidance is calculated as:
L = H/8 + 12L = H/8 + 12
www.indiandentalacademy.com
www.indiandentalacademy.com
www.indiandentalacademy.com
Selective GrindingSelective Grinding
Definition:Definition: The modification of the occlusal forms of the teeth with theThe modification of the occlusal forms of the teeth with the
intend of equilibrating occlusal stress, producing simultaneousintend of equilibrating occlusal stress, producing simultaneous
occlusal contacts/ harmonizing cuspal relations.occlusal contacts/ harmonizing cuspal relations.
Rational :Rational :
 Eliminate occlusal interferencesEliminate occlusal interferences
 Achieve balanced occlusionAchieve balanced occlusion
 Contacts in harmony with TMJ and neuromuscular systemContacts in harmony with TMJ and neuromuscular system
 Failure to achieve itFailure to achieve it
-soreness-soreness
-loss of supporting bone-loss of supporting bone
-TMJ problems-TMJ problems
www.indiandentalacademy.com
Principles :Principles :
Eliminate interlocking transverse ridgesEliminate interlocking transverse ridges
Functional cusp not subjected to selective grindingFunctional cusp not subjected to selective grinding
Lower buccal cusp inclines can be reduced but not the cuspLower buccal cusp inclines can be reduced but not the cusp
Maxillary buccal cusp out of contact during centric occlusion andMaxillary buccal cusp out of contact during centric occlusion and
eccentric positions.eccentric positions.
-“BULL’s law--“BULL’s law-
--In anterior teeth, lingual of upper and labial surface of lower teeth isIn anterior teeth, lingual of upper and labial surface of lower teeth is
grinded to eliminate any interference.grinded to eliminate any interference.
-Final result should be smooth gliding lateral excursion with five-Final result should be smooth gliding lateral excursion with five
working and five balancing contacts.working and five balancing contacts.
-The multiple contacts should be smooth, uniform and in harmony-The multiple contacts should be smooth, uniform and in harmony
with the TMJ’s and the neuro-muscular activity.with the TMJ’s and the neuro-muscular activity.www.indiandentalacademy.com
Steps at which grinding is performedSteps at which grinding is performed::
 At the time of teeth arrangementAt the time of teeth arrangement
 Lab remount proceduresLab remount procedures
 Clinical remount proceduresClinical remount procedures
Methods of detecting errorsMethods of detecting errors
 Articulating paperArticulating paper
 Carbon paperCarbon paper
 Wax paperWax paper
www.indiandentalacademy.com
Selective grinding for centric contacts:Selective grinding for centric contacts:
--After the complete arrangement of teeth, place an articulatingAfter the complete arrangement of teeth, place an articulating
paper and tap the articulator.paper and tap the articulator.
Only the lower central fossa or marginal ridges should be groundOnly the lower central fossa or marginal ridges should be ground
not the upper lingual cusps.not the upper lingual cusps.
-If any upper buccal cusps or inclines are in contact, they should-If any upper buccal cusps or inclines are in contact, they should
be ground out of contact.be ground out of contact.
““The final result should be upper lingual cusp in contact with theThe final result should be upper lingual cusp in contact with the
lower central fossa”.lower central fossa”.
www.indiandentalacademy.com
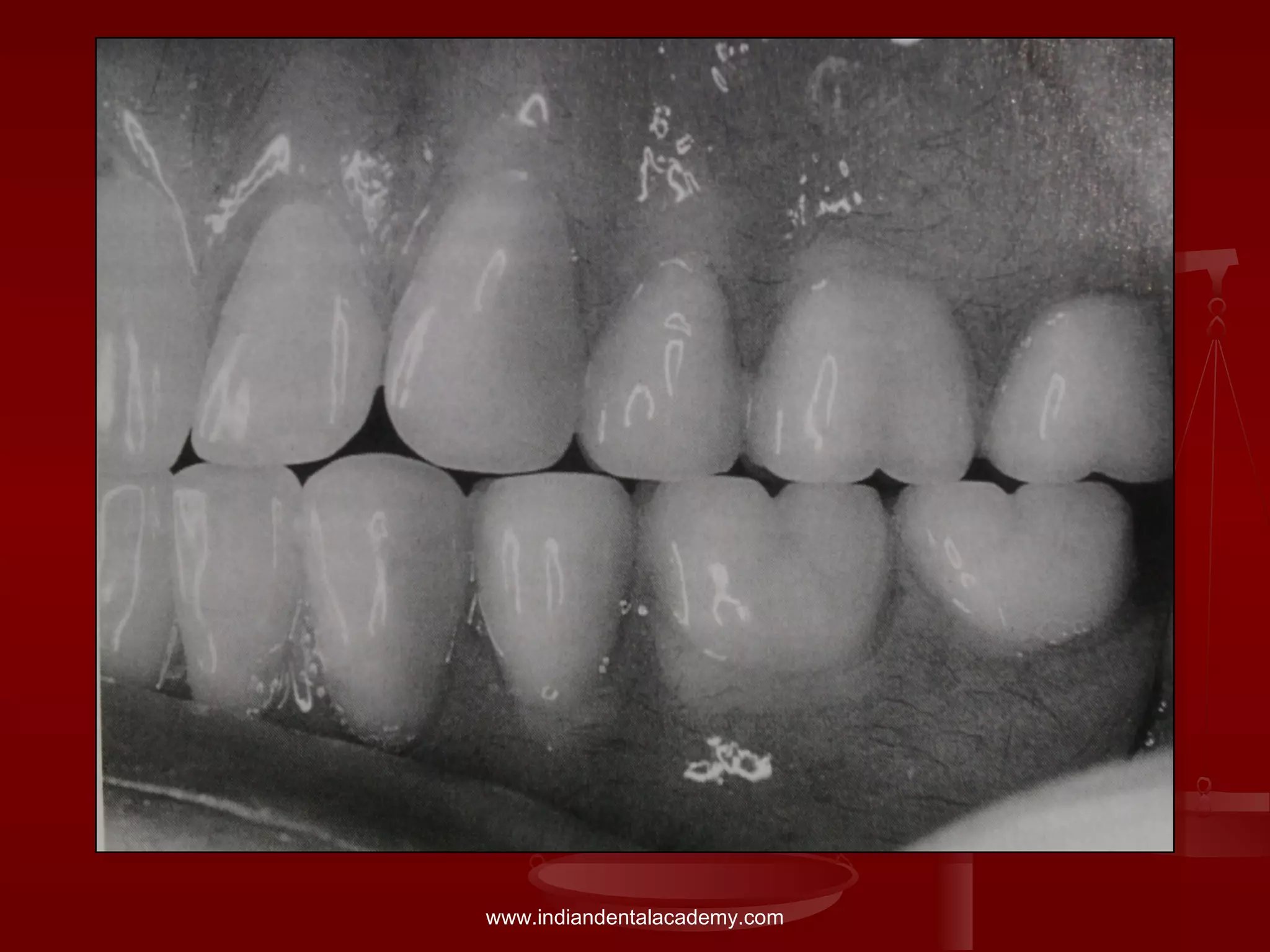
Occlusal and incisal stops in centric occlusion
www.indiandentalacademy.com
Premature contacts in centric relation Removal of premature contacts
www.indiandentalacademy.com
Selective grinding for working andSelective grinding for working and
balancing contacts:balancing contacts:
There should be working and balancing contacts that are inThere should be working and balancing contacts that are in
harmony with guidance of condylar inclination and incisalharmony with guidance of condylar inclination and incisal
guidance.guidance.
If the mandible moves to left, the upper left lingual cusps shouldIf the mandible moves to left, the upper left lingual cusps should
contact lower left lingual cusps (on working side) and the uppercontact lower left lingual cusps (on working side) and the upper
right lingual cusps contact lower buccal cusps (balancing side).right lingual cusps contact lower buccal cusps (balancing side).
‘‘If any prematurity exist, selective grinding is done’.If any prematurity exist, selective grinding is done’.
www.indiandentalacademy.com
www.indiandentalacademy.com
www.indiandentalacademy.com
www.indiandentalacademy.com
www.indiandentalacademy.com
Selective grinding for the protusive contactsSelective grinding for the protusive contacts
 Maxillary lingual cusp gliding over the distal lingual cusp of theMaxillary lingual cusp gliding over the distal lingual cusp of the
mandibular teeth.mandibular teeth.
 The upper second molars riding up the distal inclines of the lowerThe upper second molars riding up the distal inclines of the lower
second molars created by the compensating curves.second molars created by the compensating curves.
 All the premature contacts are gently ground off.All the premature contacts are gently ground off.
 Anterior teeth prematurities- anterior mandibular teeth are beingAnterior teeth prematurities- anterior mandibular teeth are being
modified keeping esthetics in mindmodified keeping esthetics in mind
www.indiandentalacademy.com
www.indiandentalacademy.com
After completion of the grindingAfter completion of the grinding
www.indiandentalacademy.com
Remedies for error in occlusionRemedies for error in occlusion
www.indiandentalacademy.com
Absence of contact in the posterior region with the cast in a protrusiveAbsence of contact in the posterior region with the cast in a protrusive
relationrelation
 Increase the prominence of the antero-posterior curveIncrease the prominence of the antero-posterior curve
 Increase the cusp heightIncrease the cusp height
 Raise the plane of orientation in the posterior regionRaise the plane of orientation in the posterior region
Premature contact in the posterior region with the cast in protrusivePremature contact in the posterior region with the cast in protrusive
relationrelation
 Decrease the prominence of the antero-posterior compensating curveDecrease the prominence of the antero-posterior compensating curve
 Decrease the cusp heightDecrease the cusp height
 Lower the plane of orientation in the posterior regionLower the plane of orientation in the posterior region
www.indiandentalacademy.com
www.indiandentalacademy.com
 Absence of contact on the balancing side with the cast in a lateralAbsence of contact on the balancing side with the cast in a lateral
relationrelation
 Increase the lateral cusp height on the balancing sideIncrease the lateral cusp height on the balancing side
 Increase the prominence of the lateral compensating curve on that sideIncrease the prominence of the lateral compensating curve on that side
 Raise the plane of orientationRaise the plane of orientation
 Premature contact on the balancing side with the cast in aPremature contact on the balancing side with the cast in a
lateral relationlateral relation
 Decrease the lateral cusp height on the balancing sideDecrease the lateral cusp height on the balancing side
 Decrease the prominence of the lateral compensating curve onDecrease the prominence of the lateral compensating curve on
that sidethat side
 If extreme, lower the plane of orientation in the posterior regionIf extreme, lower the plane of orientation in the posterior region
on that sideon that side
www.indiandentalacademy.com
Balancing side interferences are removedCorrection of balancing side interferences
www.indiandentalacademy.com
 Absence of contact on the working side with the cast in a lateralAbsence of contact on the working side with the cast in a lateral
relationrelation
 If all the contacts are correct, increase the lateral cusp height on theIf all the contacts are correct, increase the lateral cusp height on the
working sideworking side
 If the error is very slight, spot-grind on the balancing side, orIf the error is very slight, spot-grind on the balancing side, or
 Decrease the prominence of the lateral compensating curve on theDecrease the prominence of the lateral compensating curve on the
working sideworking side
www.indiandentalacademy.com
 Premature contact on thePremature contact on the
working side with theworking side with the
casts in a lateral relationcasts in a lateral relation
 Increase the prominenceIncrease the prominence
of the lateralof the lateral
compensating curve oncompensating curve on
that sidethat side
 Grind the teeth on theGrind the teeth on the
working side, but firstworking side, but first
decide whether to do it bydecide whether to do it by
decreasing lateral cuspdecreasing lateral cusp
height or by increasingheight or by increasing
anteroposterior cuspanteroposterior cusp
heightheight
www.indiandentalacademy.com
PREMATURE CONTACT OF THE ANTERIOR TEETH WITH THEPREMATURE CONTACT OF THE ANTERIOR TEETH WITH THE
CASTS IN THE PROTRUSIVE RELATIONCASTS IN THE PROTRUSIVE RELATION
 Rearrange the lower anterior teeth closer to the lower ridge.Rearrange the lower anterior teeth closer to the lower ridge.
 Use shorter lower anterior teethUse shorter lower anterior teeth

Shorten them by grindingShorten them by grinding
www.indiandentalacademy.com
ERRORS IN OCCLUSION DISCOVEREDERRORS IN OCCLUSION DISCOVERED
WHEN TRIAL DENTURE ARE EXAMINEDWHEN TRIAL DENTURE ARE EXAMINED
IN THE PATIENTS MOUTHIN THE PATIENTS MOUTH
www.indiandentalacademy.com
 AN INCREASE OR DECREASE OF THE VERTICALAN INCREASE OR DECREASE OF THE VERTICAL
DIMENTION OF THE OCCLUSION FROM THATDIMENTION OF THE OCCLUSION FROM THAT
ORIGINALLY ESTABLISHED ON THE PATIENTS.ORIGINALLY ESTABLISHED ON THE PATIENTS.
CAUSESCAUSES
 This could result from failure to have the lower end of the anterior pinThis could result from failure to have the lower end of the anterior pin
in contact with the platform of the anterior guide at the time thein contact with the platform of the anterior guide at the time the
mandibular cast was mounted in the articulatormandibular cast was mounted in the articulator
TO CORRECTTO CORRECT
 If the change was accidental after mounting the mandibular cast in theIf the change was accidental after mounting the mandibular cast in the
articulator, reestablish the desired occluding vertical dimension on thearticulator, reestablish the desired occluding vertical dimension on the
patient, return to the articulator and firmly lock he anterior pin in itspatient, return to the articulator and firmly lock he anterior pin in its
position. And rearrange the teeth.position. And rearrange the teeth.
www.indiandentalacademy.com
FAULTY CENTRIC OCCLUSION WHEN THE JAW ISFAULTY CENTRIC OCCLUSION WHEN THE JAW IS
CLOSED IN THE CENTRIC RELATION.CLOSED IN THE CENTRIC RELATION.
CAUSECAUSE
 A faulty centric relation recordA faulty centric relation record
TO CORRECT.TO CORRECT.
 First check all feature listed as equivalent, make a new centricFirst check all feature listed as equivalent, make a new centric
record on the patient and remount the mandibular cast. Make arecord on the patient and remount the mandibular cast. Make a
new protrusive record and readjust the condylar elements ofnew protrusive record and readjust the condylar elements of
the articulator rearrange the teeth to proper occlusion.the articulator rearrange the teeth to proper occlusion.
www.indiandentalacademy.com
ABSENCE OF CONTACT ON THE POSTERIORABSENCE OF CONTACT ON THE POSTERIOR
REGION IN PROTRUSIVE RELATION.REGION IN PROTRUSIVE RELATION.
CAUSECAUSE
 The condylar inclines on the articulator are flatter than theThe condylar inclines on the articulator are flatter than the
condylar path of the patient.condylar path of the patient.
TO CORRECTTO CORRECT
 Make a new protrusive jaw relation record on the patient andMake a new protrusive jaw relation record on the patient and
readjust the condylar elements. Rearrange the teeth as followsreadjust the condylar elements. Rearrange the teeth as follows
 Increase the height progressively towards the posterior.Increase the height progressively towards the posterior.
 Increase the prominence of the antero- posterior compensatingIncrease the prominence of the antero- posterior compensating
curve.curve.
 Raise plane of occlusion in the posterior region.Raise plane of occlusion in the posterior region.
www.indiandentalacademy.com
PREMATURE CONTACT IN THE POSTERIORPREMATURE CONTACT IN THE POSTERIOR
REGION IN PROTRUSIVE JAW RELATION.REGION IN PROTRUSIVE JAW RELATION.
CAUSECAUSE
 The patient’s condyle path is flatter than the condylar guidance inThe patient’s condyle path is flatter than the condylar guidance in
the articulator.the articulator.
TO CORRECTTO CORRECT
 Make a new protrusive jaw relation record. Adjust the condylarMake a new protrusive jaw relation record. Adjust the condylar
elements of the articulator. Rearrange the teeth as follows.elements of the articulator. Rearrange the teeth as follows.
 Decrease the cusp height progressively to the posterior regionDecrease the cusp height progressively to the posterior region
 Decrease the prominence of antero-posterior compensating curveDecrease the prominence of antero-posterior compensating curve
 Lower the plane of orientation in the posterior region.Lower the plane of orientation in the posterior region.
www.indiandentalacademy.com
ABSENCE OF CONTACT ON THE BALANCING SIDE.ABSENCE OF CONTACT ON THE BALANCING SIDE.
CAUSECAUSE
 The condylar inclination on the articulator is too flat, probably dueThe condylar inclination on the articulator is too flat, probably due
to protrusive jaw relation.to protrusive jaw relation.
TO CORRECTTO CORRECT
 Increase the lateral cups height on the balancing sideIncrease the lateral cups height on the balancing side
 Increase the prominence of the lateral compensating curve on thatIncrease the prominence of the lateral compensating curve on that
side.side.
 Raise the plane of orientation in the posterior region on that sideRaise the plane of orientation in the posterior region on that side
www.indiandentalacademy.com
PREMATURE CONTACT ON THE BALANCING SIDEPREMATURE CONTACT ON THE BALANCING SIDE
CAUSECAUSE
 The condylar guidance inclination in the articulator is steeper thanThe condylar guidance inclination in the articulator is steeper than
the condylar path inclination. of the patient probably due to faultythe condylar path inclination. of the patient probably due to faulty
protrusive recordprotrusive record
TO CORRECTTO CORRECT
 Make a new protrusive jaw relation record on the patient. ReadjustMake a new protrusive jaw relation record on the patient. Readjust
the condylar guidance elements and rearrange the teeth.the condylar guidance elements and rearrange the teeth.
 Decrease the lateral cusp height on the balancing side.Decrease the lateral cusp height on the balancing side.
 decrease the prominence of the lateral compensating curve on thedecrease the prominence of the lateral compensating curve on the
sideside
 If the errors are slight, set the condylar guidance inclination 5 degreeIf the errors are slight, set the condylar guidance inclination 5 degree
flatter. And spot grind the teeth on the side.flatter. And spot grind the teeth on the side.
www.indiandentalacademy.com
OTHER TYPES OF OCCLUSIONOTHER TYPES OF OCCLUSION
www.indiandentalacademy.com
LINGUALISED OCCLUSIONLINGUALISED OCCLUSION
 GYSIGYSI in 1927 introduced this type of concept.in 1927 introduced this type of concept.
 POUNDPOUND used it for non balanced articulation.used it for non balanced articulation.
 PAYNEPAYNE in 1941 used it for balanced articulation.in 1941 used it for balanced articulation.
Definition : Lingualised occlusion uses the maxillary lingual cusp
as a dominant functional element, against the
corresponding portion of the mandibular teeth
www.indiandentalacademy.com
Indications for Lingualised occlusion:Indications for Lingualised occlusion:
 Lingualised occlusion can be used in most denture combinations.Lingualised occlusion can be used in most denture combinations.
 It is particularly helpful when the patient places high priority onIt is particularly helpful when the patient places high priority on
esthetics but non-anatomic occlusal scheme is indicated by oralesthetics but non-anatomic occlusal scheme is indicated by oral
conditions such as severe alveolar resorption, a Class II jawconditions such as severe alveolar resorption, a Class II jaw
relationship, or displaceable supporting tissue.relationship, or displaceable supporting tissue.
 If the non-anatomic occlusal scheme is used, esthetics in the premolarIf the non-anatomic occlusal scheme is used, esthetics in the premolar
region are compromised.region are compromised.
 With Lingualised occlusion, the esthetic result is greatly improvedWith Lingualised occlusion, the esthetic result is greatly improved
while still maintaining the advantages of a non-anatomic system.while still maintaining the advantages of a non-anatomic system.
 Lingualised occlusion also can be used effectively when a completeLingualised occlusion also can be used effectively when a complete
denture opposes a removable partial denture.denture opposes a removable partial denture.
www.indiandentalacademy.com
Principles of Lingualised occlusionPrinciples of Lingualised occlusion
 Anatomic posterior (30 or 33°) teeth are used for the maxillaryAnatomic posterior (30 or 33°) teeth are used for the maxillary
denture. Tooth forms with prominent lingual cusps are helpful.denture. Tooth forms with prominent lingual cusps are helpful.
 Non-anatomic or semi-anatomic teeth are used for the mandibularNon-anatomic or semi-anatomic teeth are used for the mandibular
denture. Either a shallow or flat cusp form is used. A narrow occlusaldenture. Either a shallow or flat cusp form is used. A narrow occlusal
table is preferred wherever resorption of the residual ridges hastable is preferred wherever resorption of the residual ridges has
occurred.occurred.
 Modification of the mandibular posterior teeth is accomplished byModification of the mandibular posterior teeth is accomplished by
selective grinding which is always necessary regardless of specificselective grinding which is always necessary regardless of specific
tooth or material.tooth or material.
 Upper lingual cusps should contact lower teeth in centric occlusion.Upper lingual cusps should contact lower teeth in centric occlusion.
 Balancing and working contacts only on maxillary lingual cusps.Balancing and working contacts only on maxillary lingual cusps.
 Protusive contacts only between upper lingual cusps and lower teeth.Protusive contacts only between upper lingual cusps and lower teeth.
www.indiandentalacademy.com
Advantages of LingualisedAdvantages of Lingualised
occlusionocclusion
 Most of the advantages attributed toMost of the advantages attributed to
both the anatomic and non-anatomicboth the anatomic and non-anatomic
forms are retained.forms are retained.
 Cusp form is more natural inCusp form is more natural in
appearance compared to non-anatomicappearance compared to non-anatomic
tooth form.tooth form.
 Good penetration of the food bolus isGood penetration of the food bolus is
possible.possible.
 Bilateral mechanical balancedBilateral mechanical balanced
occlusion is readily obtained for aocclusion is readily obtained for a
region around centric relation.region around centric relation.
 Vertical forces are centralized on theVertical forces are centralized on the
mandibular teeth.mandibular teeth.
www.indiandentalacademy.com
www.indiandentalacademy.com
www.indiandentalacademy.com
www.indiandentalacademy.com
Monoplane OcclusionMonoplane Occlusion
MAIN FEATURESMAIN FEATURES
 Non anatomic tooth form may be occlusion of choice for given situationNon anatomic tooth form may be occlusion of choice for given situation
like poor neuro-muscular control, highly resorbed residual ridge.like poor neuro-muscular control, highly resorbed residual ridge.
 Tooth inclines are eliminated and balance is produced by combinationTooth inclines are eliminated and balance is produced by combination
antero-posterior and medio-lateral curves or by the use of a balancingantero-posterior and medio-lateral curves or by the use of a balancing
ramp leading to a three –point balanceramp leading to a three –point balance
 Anterior teeth primarily set for length and proper lip support.Anterior teeth primarily set for length and proper lip support.
 Elimination of cuspal inclines and teeth must be set in flat monoplaneElimination of cuspal inclines and teeth must be set in flat monoplane
arrangement,arrangement,
 zero incisal guidance should be establishedzero incisal guidance should be established
ADVANTAGESADVANTAGES
 Preservation of structure of basal seat.Preservation of structure of basal seat.
 Efficient occlusal form.Efficient occlusal form.
 Simplicity of technique involvedSimplicity of technique involved
 Good for patients with cross-bite or class 3 relationships andGood for patients with cross-bite or class 3 relationships and
especially for patient with class 2 relationships who have anespecially for patient with class 2 relationships who have an
extremely long functional path.extremely long functional path.www.indiandentalacademy.com
www.indiandentalacademy.com
Balancing ramps in non-anatomic complete dentureBalancing ramps in non-anatomic complete denture
occlusionocclusion
--Non anatomic teeth with no cuspal inclination.Non anatomic teeth with no cuspal inclination.
-flat plane with no overbite.-flat plane with no overbite.
-An improvement on inclined molar technique for balancing-An improvement on inclined molar technique for balancing
protrusive and lateral excursion is the use of customizedprotrusive and lateral excursion is the use of customized
balancing ramps is placed posterior to most distalbalancing ramps is placed posterior to most distal
mandibular second molarmandibular second molar
-Tripodization of the dentures-Tripodization of the dentures
www.indiandentalacademy.com
www.indiandentalacademy.com
Review of LiteratureReview of Literature
www.indiandentalacademy.com
Finn Tengs ChristensenFinn Tengs Christensen (1960(1960) described the importance of) described the importance of
balanced occlusion in arrangement of teeth. He stressed thebalanced occlusion in arrangement of teeth. He stressed the
introduction of compensating curves for achieving balance.introduction of compensating curves for achieving balance.
-In order to achieve balance, the compensating curve must be in-In order to achieve balance, the compensating curve must be in
harmony with other factorsharmony with other factors
-By means of compensating curves, complete antagonist contact-By means of compensating curves, complete antagonist contact
during protrusive movements can be obtained with lower cuspduring protrusive movements can be obtained with lower cusp
angulation.angulation.
-’-’So the orientation in one factor influences the other’.So the orientation in one factor influences the other’.
www.indiandentalacademy.com
Vincent R. TrappozanoVincent R. Trappozano (1960)(1960) carried out tests to check thecarried out tests to check the
efficiency of balanced and non-balanced occlusion.efficiency of balanced and non-balanced occlusion.
-He selected few patients depending on inter-ridge space,-He selected few patients depending on inter-ridge space,
intelligence and experience of wearing dentures and on basis ofintelligence and experience of wearing dentures and on basis of
type of residual ridge. Patients were from 55 years to 70 years.type of residual ridge. Patients were from 55 years to 70 years.
-All had worn dentures with 23degrees posterior teeth in balanced-All had worn dentures with 23degrees posterior teeth in balanced
occlusion.occlusion.
- Comparative chewing tests of occlusal efficiency were made with- Comparative chewing tests of occlusal efficiency were made with
carrots and freshly roasted peanuts.carrots and freshly roasted peanuts.
-These were selected as test foods because they don’t readily-These were selected as test foods because they don’t readily
disintegrate into fine particles.disintegrate into fine particles.
www.indiandentalacademy.com
--The number of strokes made upto time of deglutitionThe number of strokes made upto time of deglutition
were counted and averaged.were counted and averaged.
-The average was noted for each patient and this was the-The average was noted for each patient and this was the
number of strokes permitted.number of strokes permitted.
-A 100 mesh screen was used as sieve to study the size of-A 100 mesh screen was used as sieve to study the size of
remaining particles and weight changes in test materialsremaining particles and weight changes in test materials
after mastication by the patient.after mastication by the patient.
-Out of 12 patients examined, 9 patients had greater-Out of 12 patients examined, 9 patients had greater
efficiency of chewing with balanced occlusion.efficiency of chewing with balanced occlusion.
- In 3, efficiency was greater with non balanced occlusion- In 3, efficiency was greater with non balanced occlusion
when carrots were chewed. When peanuts were chewedwhen carrots were chewed. When peanuts were chewed
no difference was noticed.no difference was noticed.
www.indiandentalacademy.com
Honorato VillaHonorato Villa (1962) recommended a technique for the use of non-(1962) recommended a technique for the use of non-
anatomic posterior teeth. He used the incisal guidance for attaining balancedanatomic posterior teeth. He used the incisal guidance for attaining balanced
occlusion.occlusion.
The lower bicuspids were placed first on lower occlusal rims. The twoThe lower bicuspids were placed first on lower occlusal rims. The two
bicuspids represent the central transverse axis.bicuspids represent the central transverse axis.
When cusps are placed against a flat plane, there will be balancing contactsWhen cusps are placed against a flat plane, there will be balancing contacts
only in working position and not in protrusive and balancing positions.only in working position and not in protrusive and balancing positions.
A groove is made in upper denture where the lower cusp will occlude, inA groove is made in upper denture where the lower cusp will occlude, in
order to overcome the difficulty and this makes the balanced occlusionorder to overcome the difficulty and this makes the balanced occlusion
possible in protrusive and lateral occlusion.possible in protrusive and lateral occlusion.
The logistic behind this arrangement is that balancing incline requires lessThe logistic behind this arrangement is that balancing incline requires less
inclinations when it is placed on upper first bicuspid instead of secondinclinations when it is placed on upper first bicuspid instead of second
molar because of anterior position of bicuspid.molar because of anterior position of bicuspid.
www.indiandentalacademy.com
H.O. BeckH.O. Beck (1973)(1973) grouped the balanced and non-balanced occlusions intogrouped the balanced and non-balanced occlusions into
five categories each.five categories each.
Non-balanced occlusions are:Non-balanced occlusions are:
a.a. Modified cusp teeth with upper lingual cusps opposing widenedModified cusp teeth with upper lingual cusps opposing widened
lower fossa and a reduction of buccal cusps of lower posterior teeth.lower fossa and a reduction of buccal cusps of lower posterior teeth.
b. Cusp teeth arranged in typical occlusion with disocclusion by cuspidb. Cusp teeth arranged in typical occlusion with disocclusion by cuspid
guidance in eccentric positions.guidance in eccentric positions.
c. Non-anatomic teeth arranged in flat occlusal plane anteroposteriorly andc. Non-anatomic teeth arranged in flat occlusal plane anteroposteriorly and
laterally.laterally.
d. Non-anatomic teeth arranged high in second and first molar regions.d. Non-anatomic teeth arranged high in second and first molar regions.
e. Non-anatomic teeth arranged in flat plane anteriorly but with reversee. Non-anatomic teeth arranged in flat plane anteriorly but with reverse
lateral curve.lateral curve.
www.indiandentalacademy.com
Five balanced occlusions are:Five balanced occlusions are:
a. Anatomic and semi-anatomic teeth arranged in classica. Anatomic and semi-anatomic teeth arranged in classic
interdigitations.interdigitations.
b. Semi anatomic teeth with buccal reduction of lower posteriorb. Semi anatomic teeth with buccal reduction of lower posterior
teeth.teeth.
c. Non-anatomic teeth arranged on curves anteroposteriorly andc. Non-anatomic teeth arranged on curves anteroposteriorly and
laterally.laterally.
d. Non-anatomic teeth arranged reverse curve laterally but withd. Non-anatomic teeth arranged reverse curve laterally but with
second molar ramps for balancing contacts.second molar ramps for balancing contacts.
e. Semi-anatomic teeth with only a linear contact of lower posteriore. Semi-anatomic teeth with only a linear contact of lower posterior
teeth with upper occlusal surfaces balanced anteroposteriorly andteeth with upper occlusal surfaces balanced anteroposteriorly and
laterally.laterally.
www.indiandentalacademy.com
He concluded:He concluded: Occlusal designs and their resulting functionsOcclusal designs and their resulting functions
are of concern to the dentist so that loss of the remainingare of concern to the dentist so that loss of the remaining
tissues of the mouth, which may be attributed to the occlusion,tissues of the mouth, which may be attributed to the occlusion,
can be minimizedcan be minimized
www.indiandentalacademy.com
SummarySummary
The nature of the supporting structures for the complete dentures and theThe nature of the supporting structures for the complete dentures and the
forces directed to them by the occlusion creates a special biomechanicalforces directed to them by the occlusion creates a special biomechanical
problem.problem.
Balanced occlusion is one of the most important factors which will favorBalanced occlusion is one of the most important factors which will favor
the stability of the base; and help in preservation of the supportingthe stability of the base; and help in preservation of the supporting
structures by reducing the lateral forces.structures by reducing the lateral forces.
““ Thereby signifying its importance in complete denture fabrication.”Thereby signifying its importance in complete denture fabrication.”
www.indiandentalacademy.com
ConclusionConclusion
 Necessity of the balanced occlusion is not universallyNecessity of the balanced occlusion is not universally
subscribed by the Prosthodontics. Patient doesn’t require asubscribed by the Prosthodontics. Patient doesn’t require a
balanced occlusion in order to wear the denturebalanced occlusion in order to wear the denture
successfully. A physiological consideration likesuccessfully. A physiological consideration like
interocclusal distance, centric relation is mandatory for theinterocclusal distance, centric relation is mandatory for the
success of the denture.success of the denture.
 Denture and its supporting structures will not be toleratedDenture and its supporting structures will not be tolerated
unless the occlusion established accommodates theirunless the occlusion established accommodates their
idiosyncrasies; in such cases balanced occlusion isidiosyncrasies; in such cases balanced occlusion is
imperative.imperative.
www.indiandentalacademy.com
ReferencesReferences
--Arthur N.:Arthur N.: Balancing ramps in non-anatomic completeBalancing ramps in non-anatomic complete
denture occlusiondenture occlusion. JPD,1985;53:431-433.. JPD,1985;53:431-433.
-Beck H.O.:-Beck H.O.: Occlusion as related to complete removableOcclusion as related to complete removable
prosthodonticsprosthodontics. JPD,1972;27:246-256.. JPD,1972;27:246-256.
-Becker C.M., Swoop P.C.:-Becker C.M., Swoop P.C.: Lingualised occlusion forLingualised occlusion for
removable prosthodonticsremovable prosthodontics. JPD,1977;38:601-608.. JPD,1977;38:601-608.
Bernard Levin:Bernard Levin: Reevaluation of Hanaus Laws ofReevaluation of Hanaus Laws of
Articulation and the Hanaus QuintArticulation and the Hanaus Quint. JPD,1978;39:254-. JPD,1978;39:254-
258.258.
-Bolender-Zarb:-Bolender-Zarb: Prosthodontic Treatment ForProsthodontic Treatment For
Edentulous Patient,12th Edition,Edentulous Patient,12th Edition, 2004 Mosby.2004 Mosby.
-Dawson P.E.:-Dawson P.E.: Evaluation, diagnosis and treatment ofEvaluation, diagnosis and treatment of
occlusal problems,2occlusal problems,2ndnd
edition,edition, 1989 Mosby.1989 Mosby.
www.indiandentalacademy.com
Gregory R.P., Gerald H.L.:Gregory R.P., Gerald H.L.: The Occlusal Spectrum andThe Occlusal Spectrum and
Complete Dentures.Complete Dentures.
-Heartwell Charles M.:-Heartwell Charles M.: Sylabbus of complete denturesSylabbus of complete dentures..
-Kydd W.L.:-Kydd W.L.: Comlete denture base deformation with variedComlete denture base deformation with varied
occlusal tooth form.occlusal tooth form. JPD., 1959;6:714-718.JPD., 1959;6:714-718.
-Kurth L.E.:-Kurth L.E.: Balanced Occlusion.Balanced Occlusion. JPD’1954’4:150-167.JPD’1954’4:150-167.
-Ramjford S. and Ash:-Ramjford S. and Ash: OcclusionOcclusion
-Sharry J.J.:-Sharry J.J.: Complete Denture Prosthodontics;Complete Denture Prosthodontics; 19621962
McGraw-Hill Book Company.McGraw-Hill Book Company.
Sheldon Winkler:Sheldon Winkler: Essentials of complate dentureEssentials of complate denture
prosthodontics2nd Edition;2000,prosthodontics2nd Edition;2000, Ishiyaku EurAmerica Inc.Ishiyaku EurAmerica Inc.
U.S.A.U.S.A.
-Trappozano V.R.:-Trappozano V.R.: An experimental study of the testing ofAn experimental study of the testing of
occlusal patterns on the same denture bases.occlusal patterns on the same denture bases. JPD.;1952;JPD.;1952;
440-457.440-457.
www.indiandentalacademy.com
As classically to ld by He artwe llbalancingAs classically to ld by He artwe llbalancing
an o cclusio n is like co nve rting “thean o cclusio n is like co nve rting “the
stum bling pro se into po e try”.stum bling pro se into po e try”.
www.indiandentalacademy.com
Thank you
For more details please visit
www.indiandentalacademy.com
www.indiandentalacademy.com

Balanced occlusion and its importance/ cosmetic dentistry training

  • 1.
    BALANCED OCCLUSION AND ITSIMPORTANCE IN COMPLETE DENTURE FABRICATION INDIAN DENTAL ACADEMY Leader in continuing dental education www.indiandentalacademy.com www.indiandentalacademy.com
  • 2.
    ContentsContents  IntroductionIntroduction  DefinitionsDefinitions Requirements of complete denture occlusionRequirements of complete denture occlusion  Concepts of occlusionConcepts of occlusion  Balanced occlusion: DefinitionBalanced occlusion: Definition Pre-RequisitesPre-Requisites Pro and ConsPro and Cons www.indiandentalacademy.com
  • 3.
     Parameters tosuccess of occlusal balanceParameters to success of occlusal balance  TypesTypes  Hanaus Law of articulationHanaus Law of articulation  StepsSteps  Occlusal adjustment in balanced occlusion:Occlusal adjustment in balanced occlusion: Selective grindingSelective grinding  Problems / Correction in balanced occlusionProblems / Correction in balanced occlusion  Balancing RampsBalancing Ramps  Review of literatureReview of literature  Summary & conclusionSummary & conclusion  ReferencesReferences www.indiandentalacademy.com
  • 4.
  • 5.
    Definitions:Definitions: Occlusion:Occlusion: Is defined asany contact between the incising orIs defined as any contact between the incising or masticating surfaces of the maxillary and mandibularmasticating surfaces of the maxillary and mandibular teeth.-GPTteeth.-GPT According toAccording to HeartwellHeartwell this is a static position and the jawsthis is a static position and the jaws can be in either centric or eccentric relation. Every timecan be in either centric or eccentric relation. Every time the teeth contact there is a resultant force which may varythe teeth contact there is a resultant force which may vary in magnitude and direction.in magnitude and direction. www.indiandentalacademy.com
  • 6.
    Dental Articulation:Dental Articulation: Thestatic and dynamic contact relationship betweenThe static and dynamic contact relationship between the occlusal surfaces of the teeth during function.-GPTthe occlusal surfaces of the teeth during function.-GPT Centric Occlusion:Centric Occlusion: Refers to the relationship of the mandible to theRefers to the relationship of the mandible to the maxilla, when the teeth are in maximum occlusalmaxilla, when the teeth are in maximum occlusal contact, irrespective of the position or alignment of thecontact, irrespective of the position or alignment of the condyle disk assemblies. This is also referred to as thecondyle disk assemblies. This is also referred to as the acquired position of the mandible or the maximumacquired position of the mandible or the maximum interocclusal position. (MIOP).interocclusal position. (MIOP). www.indiandentalacademy.com
  • 7.
    Requirements of completedenture occlusion:Requirements of complete denture occlusion: -Stability of occlusion at centric relation position and in an area-Stability of occlusion at centric relation position and in an area forward and lateral to it.forward and lateral to it. -Balanced occlusal contacts bilaterally for all eccentric mandibular-Balanced occlusal contacts bilaterally for all eccentric mandibular movements.movements. -Unlocking the cusps mesio-distally to allow for gradual but-Unlocking the cusps mesio-distally to allow for gradual but inevitable settling of the bases due to tissue deformation and boneinevitable settling of the bases due to tissue deformation and bone resorption.resorption. -Control of the horizontal force by buccolingual cusp height-Control of the horizontal force by buccolingual cusp height reduction according to residual ridge resistance form and interarchreduction according to residual ridge resistance form and interarch distance.distance. -Functional lever balance by favorable tooth to ridge crest position.-Functional lever balance by favorable tooth to ridge crest position. www.indiandentalacademy.com
  • 8.
    Theories of occlusionTheoriesof occlusion  Spherical theorySpherical theory  Equilateral triangle theoryEquilateral triangle theory  Conical theoryConical theory www.indiandentalacademy.com
  • 9.
    Spherical theory ofocclusionSpherical theory of occlusion  This was given by Monson(1918) and the conceptThis was given by Monson(1918) and the concept was derived from an idea by Von spee.was derived from an idea by Von spee.  Positioning of teeth with antero-posterior andPositioning of teeth with antero-posterior and medio-lateral inclines in harmony with a sphericalmedio-lateral inclines in harmony with a spherical surface. Some times referred to as having Monsonsurface. Some times referred to as having Monson curve.curve.  Lower teeth moves over the surface of upper teethLower teeth moves over the surface of upper teeth as over the surface of sphere with a diameter ofas over the surface of sphere with a diameter of 8inches(20cm).8inches(20cm).  Centre of sphere is in gabella.Centre of sphere is in gabella.  Surfaces of the sphere passes through glenoidSurfaces of the sphere passes through glenoid fossa along the articular eminences.fossa along the articular eminences. www.indiandentalacademy.com
  • 10.
    Equilateral Triangle TheoryEquilateralTriangle Theory This theory was proposed by BonewillThis theory was proposed by Bonewill Average 4inch between each condyles and incisal guidance formAverage 4inch between each condyles and incisal guidance form the shoulder of the equilateral trianglethe shoulder of the equilateral triangle Conical theoryConical theory This theory was proposed by HallThis theory was proposed by Hall Lower teeth move over the surfaces of the upper teeth asLower teeth move over the surfaces of the upper teeth as over the surfaces of cone with a generating angle ofover the surfaces of cone with a generating angle of 45 degree and with the central axis of cone tip opened45 degree and with the central axis of cone tip opened at 45 degree angle to the degree of occlusal plane.at 45 degree angle to the degree of occlusal plane. www.indiandentalacademy.com
  • 11.
    The occlusal spectrumand completeThe occlusal spectrum and complete dentures:dentures: occlusal schemes in use today:occlusal schemes in use today: --Balanced occlusionBalanced occlusion:: -Non-balanced-Non-balanced AnatomicAnatomic Spherical occlusionSpherical occlusion Semi-anatomic Organic occlusion.Semi-anatomic Organic occlusion. Non-anatomic Transiographics.Non-anatomic Transiographics. Lingualised Nuetrocentric.Lingualised Nuetrocentric. www.indiandentalacademy.com
  • 12.
    Occlusal formOcclusal form 333300 bucco-lingual inclines ofbucco-lingual inclines of anatomic teeth for patientsanatomic teeth for patients with strong, well formedwith strong, well formed ridgesridges  202000 bucco-lingual inclines ofbucco-lingual inclines of semi-anatomic teeth forsemi-anatomic teeth for patient with ridge contour ispatient with ridge contour is reduced by resorptionreduced by resorption  0000 non-anatomic teeth fornon-anatomic teeth for patient with flat, knife edgepatient with flat, knife edge ridgesridges www.indiandentalacademy.com
  • 13.
    Anatomic (Balanced) Occlusion Semi-anatomic (balanced) Lingualized Occlusion Non-anatomic(balanced) Neutrocentric Occlusion AdvantagesAdvantages DisadvantagesDisadvantages 1.1. Better EstheticsBetter Esthetics 2.2. Ease of Penetration (DecreasedEase of Penetration (Decreased vertical stress)vertical stress) 3.3. Denture stability duringDenture stability during parafunctional movementsparafunctional movements 1.1. Less estheticLess esthetic 2.2. Poor penetration (Feel dull,Poor penetration (Feel dull, increased vertical forces on ridge)increased vertical forces on ridge) 3.3. Encourage lateral chewingEncourage lateral chewing component.component. DisadvantagesDisadvantages AdvantagesAdvantages 1.1. Precise records, Exact mountingsPrecise records, Exact mountings required.required. 2.2. Greater lateral forces on inclinesGreater lateral forces on inclines (more bone deformation)(more bone deformation) 3.3. Results short levelResults short level 4.4. Harder to adjustHarder to adjust 1.1. Simpler technique, less preciseSimpler technique, less precise records.records. 2.2. Decreased lateral forcesDecreased lateral forces 3.3. Faster to adjust (sandpaper)Faster to adjust (sandpaper) 4.4. Permits area of closurePermits area of closure 5.5. Good for class II and III jawGood for class II and III jaw relations.relations. 6.6. Good stability, forces centralizedGood stability, forces centralized and neutralized.and neutralized. www.indiandentalacademy.com
  • 14.
    Organic occlusionOrganic occlusion Based on the work of Angelo D Amico (Gnathological Society)Based on the work of Angelo D Amico (Gnathological Society)  It is that concept where in any jaw movement away from centricIt is that concept where in any jaw movement away from centric occlusion will result in separation of all posterior teeth.occlusion will result in separation of all posterior teeth.  The ridge and groove directions of the posterior teeth are determinedThe ridge and groove directions of the posterior teeth are determined as result of the movements of the condyles. The cusp height, fossaas result of the movements of the condyles. The cusp height, fossa depth of posterior teeth and the proper concavity at the lingualdepth of posterior teeth and the proper concavity at the lingual surfaces of the maxillary anterior teeth are determined as a result ofsurfaces of the maxillary anterior teeth are determined as a result of mandibular movements.mandibular movements.  The aim of this occlusion is to relate the occlusal elements of teeth soThe aim of this occlusion is to relate the occlusal elements of teeth so that the teeth will be in harmony with the muscles and joints inthat the teeth will be in harmony with the muscles and joints in function.function. www.indiandentalacademy.com
  • 15.
     In organicocclusion three phases of mutually interdependentIn organic occlusion three phases of mutually interdependent protection are present.protection are present.  The posterior teeth should protect the anterior in the centricThe posterior teeth should protect the anterior in the centric occlusal position.occlusal position.  The maxillary incisors should have vertical overlapThe maxillary incisors should have vertical overlap sufficient to provide separation of the posterior teeth whensufficient to provide separation of the posterior teeth when the incisors are in edge to edge contact.the incisors are in edge to edge contact.  In lateral mandibular position outside the masticatoryIn lateral mandibular position outside the masticatory movements, the cuspids should prevent contact of all othermovements, the cuspids should prevent contact of all other teeth.teeth. www.indiandentalacademy.com
  • 16.
    Transographic OcclusionTransographic Occlusion Given by ShwelzerGiven by Shwelzer  Eccentric balancing contacts are not considered since they areEccentric balancing contacts are not considered since they are believed to be outside the mandiblebelieved to be outside the mandible  This theory is dependant on Split Theory where each condyle isThis theory is dependant on Split Theory where each condyle is considered to be independentconsidered to be independent  According to Schweitzwer this theory agreed in principle with tenetsAccording to Schweitzwer this theory agreed in principle with tenets of gnathology, but differed in its concept of the problem.of gnathology, but differed in its concept of the problem. www.indiandentalacademy.com
  • 17.
    Neutrocentric concept Proposed byDeVan(1954)Proposed by DeVan(1954) Key objectivesKey objectives: -Neutralization of inclines: -Neutralization of inclines -Centralization of forces-Centralization of forces Features :Features :  Arrangement of teeth on a plane parallel to basal support and withoutArrangement of teeth on a plane parallel to basal support and without compensating curves.compensating curves.  Not dictated by horizontal condylar guideNot dictated by horizontal condylar guide  Bucco-lingual direction teeth are set flat without B-L inclinationBucco-lingual direction teeth are set flat without B-L inclination  Horizontal condylar guidance and lateral condylar set zeroHorizontal condylar guidance and lateral condylar set zero  Reduced bucco-lingual width of teethReduced bucco-lingual width of teeth  Second molar is eliminatedSecond molar is eliminated  Patient advised to avoid incising in anterior teethPatient advised to avoid incising in anterior teeth  No cusp in posterior teethNo cusp in posterior teeth AdvantagesAdvantages: -simple and less precise records are required: -simple and less precise records are required -lateral forces are reduced-lateral forces are reduced -easy to adjust-easy to adjustwww.indiandentalacademy.com
  • 18.
    Balanced Occlusion:Balanced Occlusion: Itis defined as “The simultaneous contact of opposing upper andIt is defined as “The simultaneous contact of opposing upper and lower teeth in centric relation position and a continuous smoothlower teeth in centric relation position and a continuous smooth bilateral gliding from this position to any eccentric position withbilateral gliding from this position to any eccentric position with in normal range of mandibular function”-GPTin normal range of mandibular function”-GPT www.indiandentalacademy.com
  • 19.
    Need for balancedocclusionNeed for balanced occlusion  Improved stability of dentureImproved stability of denture  No interference of cusp during masticationNo interference of cusp during mastication  Preservation of ridges by better distribution of forcesPreservation of ridges by better distribution of forces www.indiandentalacademy.com
  • 20.
    Goals of balancedocclusionGoals of balanced occlusion  Simultaneous contact in centric relationSimultaneous contact in centric relation  Working side contactWorking side contact  Balancing contact in protrusionBalancing contact in protrusion  Balancing contact in lateral excursionBalancing contact in lateral excursion www.indiandentalacademy.com
  • 21.
    Following axioms shouldbe considered:Following axioms should be considered: 1.1. The wider and larger the ridge and closer the teeth are to the ridge, the greater theThe wider and larger the ridge and closer the teeth are to the ridge, the greater the lever balance.lever balance. 2. Conversely, the smaller and narrower the ridge and the farther the teeth are placed2. Conversely, the smaller and narrower the ridge and the farther the teeth are placed from the ridge the poorer the lever balance.from the ridge the poorer the lever balance. 3.The wider the ridge and the narrower the teeth, the greater the balance.3.The wider the ridge and the narrower the teeth, the greater the balance. 4.Conversely, the narrower the ridge and wider the teeth the poorer the balance.4.Conversely, the narrower the ridge and wider the teeth the poorer the balance. 5.The more lingual the teeth are placed in relation to the ridge the better the balance.5.The more lingual the teeth are placed in relation to the ridge the better the balance. 6.The more buccal the teeth are placed to the ridge crest, the poorer the balance.6.The more buccal the teeth are placed to the ridge crest, the poorer the balance. 7.The more centered the force of occlusion anterior-posteriorly, the greater the7.The more centered the force of occlusion anterior-posteriorly, the greater the stability of the base.stability of the base. www.indiandentalacademy.com
  • 22.
    Pre-Requisites for balancing:Pre-Requisitesfor balancing: 1.Mandibular posterior teeth must be set so that occlusal surfaces1.Mandibular posterior teeth must be set so that occlusal surfaces are horizontal.are horizontal. 2.Plane of occlusion must have a proper orientation.2.Plane of occlusion must have a proper orientation. 3.A compensating curve must be set.3.A compensating curve must be set. 4.Teeth must be modified so that there are no interlocking4.Teeth must be modified so that there are no interlocking transverse ridges.transverse ridges. www.indiandentalacademy.com
  • 23.
    Pros and Cons–Bilateral Balanced OcclusionPros and Cons –Bilateral Balanced Occlusion:: ““Enter bolus, exit balanceEnter bolus, exit balance” has cast suspicion as to” has cast suspicion as to whether smooth, gliding, non-interfering, bilateral toothwhether smooth, gliding, non-interfering, bilateral tooth contacts are possible. It implies that occlusal balance iscontacts are possible. It implies that occlusal balance is impossible during mastication.impossible during mastication. Brewer and HudsonBrewer and Hudson (1961) have shown that complete(1961) have shown that complete denture teeth do contact at times during mastication.denture teeth do contact at times during mastication. www.indiandentalacademy.com
  • 24.
    Pros:Pros: 1.The contact variesin frequency with different foods and different persons.1.The contact varies in frequency with different foods and different persons. If this contact is interruptive and deflective; and not bilateral, the dentureIf this contact is interruptive and deflective; and not bilateral, the denture base will not be stable. Hence, bilateral balanced contacts during thebase will not be stable. Hence, bilateral balanced contacts during the terminal arc of closure help to seat the denture in a stable position.terminal arc of closure help to seat the denture in a stable position. 2.Also bilateral balanced occlusion is important during activities such as2.Also bilateral balanced occlusion is important during activities such as swallowing saliva, closing to reseat the dentures, and the bruxing of theswallowing saliva, closing to reseat the dentures, and the bruxing of the teeth during times of stress.teeth during times of stress. 3.Patient with a balanced design do not upset the normal static, stable and3.Patient with a balanced design do not upset the normal static, stable and retentive qualities of their dentures.retentive qualities of their dentures. 4.In bilateral balance the bases are stable during bruxing activity.4.In bilateral balance the bases are stable during bruxing activity. www.indiandentalacademy.com
  • 25.
    Cons:Cons: There are somepossible disadvantages of bilateralThere are some possible disadvantages of bilateral balanced occlusion:balanced occlusion: 1. It may tend to encourage lateral and protrusive1. It may tend to encourage lateral and protrusive grinding, although this habit may be confined to thosegrinding, although this habit may be confined to those people who are subjected to irrelevant muscle activity.people who are subjected to irrelevant muscle activity. 2. It is difficult to achieve in mouths where an increased2. It is difficult to achieve in mouths where an increased vertical incisor overlap is indicated, and is better to retainvertical incisor overlap is indicated, and is better to retain the vertical overlap, than to sacrifice it in order to achievethe vertical overlap, than to sacrifice it in order to achieve articular balance.articular balance. 3. A semi-adjustable or fully adjustable articulator is3. A semi-adjustable or fully adjustable articulator is required.required. www.indiandentalacademy.com
  • 26.
    Parameters to successof occlusal balance: 1.Accurate record of relation of maxilla to T.M.J. (which is1.Accurate record of relation of maxilla to T.M.J. (which is registration of 3 dimensional spatial relation of maxilla to T.M.J. toregistration of 3 dimensional spatial relation of maxilla to T.M.J. to maintain biological soundness of the joint.)maintain biological soundness of the joint.) 2.Optimal relation of condyles.2.Optimal relation of condyles. 3.Bilateral muscle balance of horizontal movers of the mandible.3.Bilateral muscle balance of horizontal movers of the mandible. 4.Eccentric relation record of functional protrusion of the mandible.4.Eccentric relation record of functional protrusion of the mandible. www.indiandentalacademy.com
  • 27.
    Types of BalancedOcclusion:Types of Balanced Occlusion: Balance may be: Unilateral, bilateral, or protrusive.Balance may be: Unilateral, bilateral, or protrusive. Unilateral lever balance:Unilateral lever balance: This is present when there is equilibrium of base on its supportingThis is present when there is equilibrium of base on its supporting structures when a bolus of food is interposed between teeth onstructures when a bolus of food is interposed between teeth on one side and space exists between teeth on the opposite side.one side and space exists between teeth on the opposite side. www.indiandentalacademy.com
  • 28.
    Unilateral occlusal balanceUnilateralocclusal balance:: This is present when occlusal surfaces of the teeth on one sideThis is present when occlusal surfaces of the teeth on one side articulate simultaneously with smooth uninterrupted glide.articulate simultaneously with smooth uninterrupted glide. www.indiandentalacademy.com
  • 29.
    Bilateral occlusal balance:Bilateralocclusal balance: --This is present when there isThis is present when there is equilibrium on both sides of dentureequilibrium on both sides of denture due to simultaneous contact of teethdue to simultaneous contact of teeth in centric and eccentric occlusion.in centric and eccentric occlusion. -It requires a minimum of three-It requires a minimum of three contacts. The more the contacts thecontacts. The more the contacts the more assured the balance.more assured the balance. www.indiandentalacademy.com
  • 30.
    Protrusive occlusal balance:Protrusiveocclusal balance: --This is present when the mandible moves essentially forward andThis is present when the mandible moves essentially forward and occlusal contacts are smooth and simultaneously in posteriorocclusal contacts are smooth and simultaneously in posterior region both on right and left sides as well as anterior teeth.region both on right and left sides as well as anterior teeth. -It requires a minimum of three contacts, one on each side-It requires a minimum of three contacts, one on each side posteriorly and one anteriorlyposteriorly and one anteriorly www.indiandentalacademy.com
  • 31.
  • 32.
    --The tooth sizeand position in relation to the ridge size and shape.The tooth size and position in relation to the ridge size and shape. -The extent of denture base coverage.-The extent of denture base coverage. -Occlusal balance with stable contacts at the retruded border-Occlusal balance with stable contacts at the retruded border position and in an area anterior to it.position and in an area anterior to it. -Right and left eccentric occlusal balance by simultaneous contacts-Right and left eccentric occlusal balance by simultaneous contacts at the limit of functional and parafunctional activity.at the limit of functional and parafunctional activity. -Intermediate occlusal balance for all positions between centric-Intermediate occlusal balance for all positions between centric occlusion and all other functional or parafunctional excursions toocclusion and all other functional or parafunctional excursions to the right and left and protrusive.the right and left and protrusive. www.indiandentalacademy.com
  • 33.
    FACTORS THAT AFFECTTHEFACTORS THAT AFFECT THE OCCLUSAL BALANCEOCCLUSAL BALANCE www.indiandentalacademy.com
  • 34.
    Condylar GuidanceCondylar Guidance It is post end controlling factor.It is post end controlling factor.  It represents angles of downward and forwardIt represents angles of downward and forward movement of condyle relative to axis-orbital plane.movement of condyle relative to axis-orbital plane.  It is obtained by movement of protrusive registration.It is obtained by movement of protrusive registration.  It should be recorded and transferred to articulator asIt should be recorded and transferred to articulator as closely as possible as given by the patient.closely as possible as given by the patient.  In contrast to other four factors it cannot be modifiedIn contrast to other four factors it cannot be modified  Steeper the condylar- decreased incisal guidance, toSteeper the condylar- decreased incisal guidance, to reduce the amount of jaw separation duringreduce the amount of jaw separation during protrusionprotrusion www.indiandentalacademy.com
  • 35.
     More thecondylarMore the condylar guidance more will be theguidance more will be the cuspal heightcuspal height  Condylar pathway dependsCondylar pathway depends on bone contour of T.M.J.,on bone contour of T.M.J., muscle of mastication,muscle of mastication, ligament of T.M.J. andligament of T.M.J. and neuromuscular control ofneuromuscular control of the patient.the patient.  Average condylar guidanceAverage condylar guidance is about 25-30 degree.is about 25-30 degree. www.indiandentalacademy.com
  • 36.
    Incisal guidanceIncisal guidance Thisis defined as “The influence ofThis is defined as “The influence of the contacting surfaces of thethe contacting surfaces of the mandibular and maxillary anteriormandibular and maxillary anterior teeth on mandibular movements”-teeth on mandibular movements”- GPT.GPT. It is usually expressed in degrees ofIt is usually expressed in degrees of angulation from horizontal by a lineangulation from horizontal by a line drawn in the saggital plane betweendrawn in the saggital plane between the incisal edges of the upper andthe incisal edges of the upper and lower incisor teeth when closed inlower incisor teeth when closed in centric occlusion.centric occlusion. www.indiandentalacademy.com
  • 37.
    It is directlyproportional to vertical overlap and indirectly proportionalIt is directly proportional to vertical overlap and indirectly proportional to horizontal overlap.to horizontal overlap. In complete dentures the incisal guidance should be as flat as possible asIn complete dentures the incisal guidance should be as flat as possible as the esthetics and phonetics permitsthe esthetics and phonetics permits.. If the incisal guidance is steep, it requires steep cusps, a steep occlusalIf the incisal guidance is steep, it requires steep cusps, a steep occlusal plane, or a steep compensating curve to affect an occlusal planeplane, or a steep compensating curve to affect an occlusal plane It depends upon following factors:It depends upon following factors:  PhoneticPhonetic  EstheticEsthetic  Shape of residual ridgesShape of residual ridges  Ridge relationRidge relation  Inter-alveolar distanceInter-alveolar distance  On average it is about 10-20 degree.On average it is about 10-20 degree. www.indiandentalacademy.com
  • 38.
    Orientation of occlusalplaneOrientation of occlusal plane  It is purely geometrical factor.It is purely geometrical factor.  This plane is assumed to pass through 3 dental landmarkThis plane is assumed to pass through 3 dental landmark central incisal point and summit of mesio-buccal cusp ofcentral incisal point and summit of mesio-buccal cusp of last molar on either side.last molar on either side.  It is parallel to Ala- tragus line.It is parallel to Ala- tragus line.  It is transferred to articulator with help of facebowIt is transferred to articulator with help of facebow..  Steep increase in inclination of occlusal plane will resultSteep increase in inclination of occlusal plane will result in movement of upper denture backward and lowerin movement of upper denture backward and lower denture forward during function.denture forward during function.  Decrease in inclination will result in opposite of aboveDecrease in inclination will result in opposite of above movement.movement.  2-5 degree angle between this plane and horizontal plane2-5 degree angle between this plane and horizontal plane of reference.of reference. www.indiandentalacademy.com
  • 39.
    Cuspal InclinationCuspal Inclination The angle formed by the incisal slope of mesio- buccal cusp toThe angle formed by the incisal slope of mesio- buccal cusp to horizontal plane is defined as cuspal inclination.horizontal plane is defined as cuspal inclination.  According to that there are 3 types of posterior teeth.According to that there are 3 types of posterior teeth.  a) 0 degree posterior teeth.a) 0 degree posterior teeth.  b) 20 degree posterior teeth.b) 20 degree posterior teeth.  c) 33 degree posterior teeth.c) 33 degree posterior teeth.  If the condylar guidance is steep, higher cuspal height tooth are usedIf the condylar guidance is steep, higher cuspal height tooth are used to gain in balanced occlusion.to gain in balanced occlusion.  Effective cuspal angle can either be increased or decreased by mesialEffective cuspal angle can either be increased or decreased by mesial or distal tilt of tooth.or distal tilt of tooth. www.indiandentalacademy.com
  • 40.
    Compensating CurvesCompensating Curves It refers to Antero- Posterior andIt refers to Antero- Posterior and lateral curve produced in thelateral curve produced in the alignment and arrangement ofalignment and arrangement of occluding surfaces of the teeth.occluding surfaces of the teeth.  Compensating curve allows theCompensating curve allows the dentist to alter cusp height withoutdentist to alter cusp height without changing the form which suppliedchanging the form which supplied by the manufacturers.by the manufacturers.  It compensates for opening calledIt compensates for opening called as “CHRISTENSEN’Sas “CHRISTENSEN’S phenomenon” that occurs inphenomenon” that occurs in posterior region when protrusiveposterior region when protrusive movements are made.movements are made. www.indiandentalacademy.com
  • 41.
  • 42.
    Antero-Posterior / LateralCompensating curvesAntero-Posterior / Lateral Compensating curves  CURVE OF SPEE: ANTERO -POSTERIOR curvedCURVE OF SPEE: ANTERO -POSTERIOR curved arrangement of occlusal surfaces and incisal edges of naturalarrangement of occlusal surfaces and incisal edges of natural teeth when viewed saggitally is called curve of spee, if it is inteeth when viewed saggitally is called curve of spee, if it is in denture it is called A-P compensating curve.denture it is called A-P compensating curve.  MEDIO-LATERAL CURVE OR CURVE OF WILLSON:MEDIO-LATERAL CURVE OR CURVE OF WILLSON: It is transverse curve made by lingual inclination of posteriorIt is transverse curve made by lingual inclination of posterior teeth (Manson’s curve)teeth (Manson’s curve) www.indiandentalacademy.com
  • 43.
  • 44.
     Factors affectingprotrusive balance:Factors affecting protrusive balance:  Inclination of the condylar path on the articulator asInclination of the condylar path on the articulator as recorded from patientrecorded from patient  Incisal guidance taken from the patientIncisal guidance taken from the patient  Inclination of the plane of occlusion set to physiologicalInclination of the plane of occlusion set to physiological factorsfactors  Compensating curve set to harmonize condylar andCompensating curve set to harmonize condylar and incisal guidanceincisal guidance  Control of cusp height and tooth inclinationControl of cusp height and tooth inclination www.indiandentalacademy.com
  • 45.
     Factors affectinglateral balanceFactors affecting lateral balance  Condylar inclination on the balancing sideCondylar inclination on the balancing side  Inclination of the incisal guidance and cuspid liftInclination of the incisal guidance and cuspid lift  Inclination of plane of occlusion on balancing and working sideInclination of plane of occlusion on balancing and working side  Compensating curve on balancing and working sideCompensating curve on balancing and working side  Bennett side shift on working sideBennett side shift on working side  Buccal cusp height or inclination on balancing sideBuccal cusp height or inclination on balancing side  Lingual cusp height or inclination on the working sideLingual cusp height or inclination on the working side www.indiandentalacademy.com
  • 46.
    ‘‘Rudolph L.Hanau’Rudolph L.Hanau’proposed nine factors that govern theproposed nine factors that govern the articulation of artificial teeth.articulation of artificial teeth. -Laws of articulation.-Laws of articulation. -Hanaus Quint-Hanaus Quint www.indiandentalacademy.com
  • 47.
  • 48.
  • 49.
    Bouchers concept:Bouchers concept: Occlusalplane to be located exactly as it was when theOcclusal plane to be located exactly as it was when the natural teeth were present.natural teeth were present. States that:States that: -There are 3 fixed factors :-There are 3 fixed factors : 1. The orientation of the occlusal plane, the incisal1. The orientation of the occlusal plane, the incisal guidance, and the condylar guidance.guidance, and the condylar guidance. 2. The angulation of the cusp is more important than the2. The angulation of the cusp is more important than the height of the cusp.height of the cusp. 3. The compensating curve enables one to increase the3. The compensating curve enables one to increase the effective height of the cusps without changing the formeffective height of the cusps without changing the form of the teeth.of the teeth. www.indiandentalacademy.com
  • 50.
    The lott’s ConceptThelott’s Concept  He related the laws as followsHe related the laws as follows  The greater the angle of the condylar path, the greater is theThe greater the angle of the condylar path, the greater is the separationseparation  The greater the angle of the of the overbite, the greater is theThe greater the angle of the of the overbite, the greater is the separation in the anterior region and the posterior region.separation in the anterior region and the posterior region.  The greater is separation of the posterior teeth, greater is theThe greater is separation of the posterior teeth, greater is the compensating curve.compensating curve.  Posterior separartion beyond the ability of compensating curvePosterior separartion beyond the ability of compensating curve to balance the occlusion requires the plane of orientation.to balance the occlusion requires the plane of orientation.  The greater the separation of the posterior teeth, the greaterThe greater the separation of the posterior teeth, the greater must be the height of the cusps….must be the height of the cusps….www.indiandentalacademy.com
  • 51.
  • 52.
    Bernard Levin ConceptBernardLevin Concept  Eliminated plane of orientation.Eliminated plane of orientation.  Guiding factors increase the posterior separation.Guiding factors increase the posterior separation.  Controlling factors decrease the posterior separation.Controlling factors decrease the posterior separation. www.indiandentalacademy.com
  • 53.
    The Quad:The Quad:The laws of protrusive and lateralThe laws of protrusive and lateral balanced occlusionbalanced occlusion www.indiandentalacademy.com
  • 54.
    Steps involved inbalancing:Steps involved in balancing: --The teeth have to be inclined to develop a balancedThe teeth have to be inclined to develop a balanced occlusion.occlusion. -The upper and lower incisal units meet only when the-The upper and lower incisal units meet only when the mandibular teeth are protruded and protrusive balancingmandibular teeth are protruded and protrusive balancing unit functions only when upper and lower units contact.unit functions only when upper and lower units contact. -To develop a balanced occlusion one needs an-To develop a balanced occlusion one needs an adjustable articulator which should:adjustable articulator which should: -Receive a face-bow transfer.-Receive a face-bow transfer. -Adjust to individual inter condylar guidance.-Adjust to individual inter condylar guidance. -Have an adjustable incisal guide table.-Have an adjustable incisal guide table. www.indiandentalacademy.com
  • 55.
    To adjust thearticulator requires:To adjust the articulator requires: -A centric relation record.-A centric relation record. -Eccentric protrusive record.-Eccentric protrusive record. -Right and left lateral relation records are desirable if the-Right and left lateral relation records are desirable if the articulator is capable of accepting the records.articulator is capable of accepting the records. -If the articulator will not receive the lateral records (Hanau-If the articulator will not receive the lateral records (Hanau type) then lateral condylar guidance is calculated as:type) then lateral condylar guidance is calculated as: L = H/8 + 12L = H/8 + 12 www.indiandentalacademy.com
  • 56.
  • 57.
  • 58.
    Selective GrindingSelective Grinding Definition:Definition:The modification of the occlusal forms of the teeth with theThe modification of the occlusal forms of the teeth with the intend of equilibrating occlusal stress, producing simultaneousintend of equilibrating occlusal stress, producing simultaneous occlusal contacts/ harmonizing cuspal relations.occlusal contacts/ harmonizing cuspal relations. Rational :Rational :  Eliminate occlusal interferencesEliminate occlusal interferences  Achieve balanced occlusionAchieve balanced occlusion  Contacts in harmony with TMJ and neuromuscular systemContacts in harmony with TMJ and neuromuscular system  Failure to achieve itFailure to achieve it -soreness-soreness -loss of supporting bone-loss of supporting bone -TMJ problems-TMJ problems www.indiandentalacademy.com
  • 59.
    Principles :Principles : Eliminateinterlocking transverse ridgesEliminate interlocking transverse ridges Functional cusp not subjected to selective grindingFunctional cusp not subjected to selective grinding Lower buccal cusp inclines can be reduced but not the cuspLower buccal cusp inclines can be reduced but not the cusp Maxillary buccal cusp out of contact during centric occlusion andMaxillary buccal cusp out of contact during centric occlusion and eccentric positions.eccentric positions. -“BULL’s law--“BULL’s law- --In anterior teeth, lingual of upper and labial surface of lower teeth isIn anterior teeth, lingual of upper and labial surface of lower teeth is grinded to eliminate any interference.grinded to eliminate any interference. -Final result should be smooth gliding lateral excursion with five-Final result should be smooth gliding lateral excursion with five working and five balancing contacts.working and five balancing contacts. -The multiple contacts should be smooth, uniform and in harmony-The multiple contacts should be smooth, uniform and in harmony with the TMJ’s and the neuro-muscular activity.with the TMJ’s and the neuro-muscular activity.www.indiandentalacademy.com
  • 60.
    Steps at whichgrinding is performedSteps at which grinding is performed::  At the time of teeth arrangementAt the time of teeth arrangement  Lab remount proceduresLab remount procedures  Clinical remount proceduresClinical remount procedures Methods of detecting errorsMethods of detecting errors  Articulating paperArticulating paper  Carbon paperCarbon paper  Wax paperWax paper www.indiandentalacademy.com
  • 61.
    Selective grinding forcentric contacts:Selective grinding for centric contacts: --After the complete arrangement of teeth, place an articulatingAfter the complete arrangement of teeth, place an articulating paper and tap the articulator.paper and tap the articulator. Only the lower central fossa or marginal ridges should be groundOnly the lower central fossa or marginal ridges should be ground not the upper lingual cusps.not the upper lingual cusps. -If any upper buccal cusps or inclines are in contact, they should-If any upper buccal cusps or inclines are in contact, they should be ground out of contact.be ground out of contact. ““The final result should be upper lingual cusp in contact with theThe final result should be upper lingual cusp in contact with the lower central fossa”.lower central fossa”. www.indiandentalacademy.com
  • 62.
    Occlusal and incisalstops in centric occlusion www.indiandentalacademy.com
  • 63.
    Premature contacts incentric relation Removal of premature contacts www.indiandentalacademy.com
  • 64.
    Selective grinding forworking andSelective grinding for working and balancing contacts:balancing contacts: There should be working and balancing contacts that are inThere should be working and balancing contacts that are in harmony with guidance of condylar inclination and incisalharmony with guidance of condylar inclination and incisal guidance.guidance. If the mandible moves to left, the upper left lingual cusps shouldIf the mandible moves to left, the upper left lingual cusps should contact lower left lingual cusps (on working side) and the uppercontact lower left lingual cusps (on working side) and the upper right lingual cusps contact lower buccal cusps (balancing side).right lingual cusps contact lower buccal cusps (balancing side). ‘‘If any prematurity exist, selective grinding is done’.If any prematurity exist, selective grinding is done’. www.indiandentalacademy.com
  • 65.
  • 66.
  • 67.
  • 68.
  • 69.
    Selective grinding forthe protusive contactsSelective grinding for the protusive contacts  Maxillary lingual cusp gliding over the distal lingual cusp of theMaxillary lingual cusp gliding over the distal lingual cusp of the mandibular teeth.mandibular teeth.  The upper second molars riding up the distal inclines of the lowerThe upper second molars riding up the distal inclines of the lower second molars created by the compensating curves.second molars created by the compensating curves.  All the premature contacts are gently ground off.All the premature contacts are gently ground off.  Anterior teeth prematurities- anterior mandibular teeth are beingAnterior teeth prematurities- anterior mandibular teeth are being modified keeping esthetics in mindmodified keeping esthetics in mind www.indiandentalacademy.com
  • 70.
  • 71.
    After completion ofthe grindingAfter completion of the grinding www.indiandentalacademy.com
  • 72.
    Remedies for errorin occlusionRemedies for error in occlusion www.indiandentalacademy.com
  • 73.
    Absence of contactin the posterior region with the cast in a protrusiveAbsence of contact in the posterior region with the cast in a protrusive relationrelation  Increase the prominence of the antero-posterior curveIncrease the prominence of the antero-posterior curve  Increase the cusp heightIncrease the cusp height  Raise the plane of orientation in the posterior regionRaise the plane of orientation in the posterior region Premature contact in the posterior region with the cast in protrusivePremature contact in the posterior region with the cast in protrusive relationrelation  Decrease the prominence of the antero-posterior compensating curveDecrease the prominence of the antero-posterior compensating curve  Decrease the cusp heightDecrease the cusp height  Lower the plane of orientation in the posterior regionLower the plane of orientation in the posterior region www.indiandentalacademy.com
  • 74.
  • 75.
     Absence ofcontact on the balancing side with the cast in a lateralAbsence of contact on the balancing side with the cast in a lateral relationrelation  Increase the lateral cusp height on the balancing sideIncrease the lateral cusp height on the balancing side  Increase the prominence of the lateral compensating curve on that sideIncrease the prominence of the lateral compensating curve on that side  Raise the plane of orientationRaise the plane of orientation  Premature contact on the balancing side with the cast in aPremature contact on the balancing side with the cast in a lateral relationlateral relation  Decrease the lateral cusp height on the balancing sideDecrease the lateral cusp height on the balancing side  Decrease the prominence of the lateral compensating curve onDecrease the prominence of the lateral compensating curve on that sidethat side  If extreme, lower the plane of orientation in the posterior regionIf extreme, lower the plane of orientation in the posterior region on that sideon that side www.indiandentalacademy.com
  • 76.
    Balancing side interferencesare removedCorrection of balancing side interferences www.indiandentalacademy.com
  • 77.
     Absence ofcontact on the working side with the cast in a lateralAbsence of contact on the working side with the cast in a lateral relationrelation  If all the contacts are correct, increase the lateral cusp height on theIf all the contacts are correct, increase the lateral cusp height on the working sideworking side  If the error is very slight, spot-grind on the balancing side, orIf the error is very slight, spot-grind on the balancing side, or  Decrease the prominence of the lateral compensating curve on theDecrease the prominence of the lateral compensating curve on the working sideworking side www.indiandentalacademy.com
  • 78.
     Premature contacton thePremature contact on the working side with theworking side with the casts in a lateral relationcasts in a lateral relation  Increase the prominenceIncrease the prominence of the lateralof the lateral compensating curve oncompensating curve on that sidethat side  Grind the teeth on theGrind the teeth on the working side, but firstworking side, but first decide whether to do it bydecide whether to do it by decreasing lateral cuspdecreasing lateral cusp height or by increasingheight or by increasing anteroposterior cuspanteroposterior cusp heightheight www.indiandentalacademy.com
  • 79.
    PREMATURE CONTACT OFTHE ANTERIOR TEETH WITH THEPREMATURE CONTACT OF THE ANTERIOR TEETH WITH THE CASTS IN THE PROTRUSIVE RELATIONCASTS IN THE PROTRUSIVE RELATION  Rearrange the lower anterior teeth closer to the lower ridge.Rearrange the lower anterior teeth closer to the lower ridge.  Use shorter lower anterior teethUse shorter lower anterior teeth  Shorten them by grindingShorten them by grinding www.indiandentalacademy.com
  • 80.
    ERRORS IN OCCLUSIONDISCOVEREDERRORS IN OCCLUSION DISCOVERED WHEN TRIAL DENTURE ARE EXAMINEDWHEN TRIAL DENTURE ARE EXAMINED IN THE PATIENTS MOUTHIN THE PATIENTS MOUTH www.indiandentalacademy.com
  • 81.
     AN INCREASEOR DECREASE OF THE VERTICALAN INCREASE OR DECREASE OF THE VERTICAL DIMENTION OF THE OCCLUSION FROM THATDIMENTION OF THE OCCLUSION FROM THAT ORIGINALLY ESTABLISHED ON THE PATIENTS.ORIGINALLY ESTABLISHED ON THE PATIENTS. CAUSESCAUSES  This could result from failure to have the lower end of the anterior pinThis could result from failure to have the lower end of the anterior pin in contact with the platform of the anterior guide at the time thein contact with the platform of the anterior guide at the time the mandibular cast was mounted in the articulatormandibular cast was mounted in the articulator TO CORRECTTO CORRECT  If the change was accidental after mounting the mandibular cast in theIf the change was accidental after mounting the mandibular cast in the articulator, reestablish the desired occluding vertical dimension on thearticulator, reestablish the desired occluding vertical dimension on the patient, return to the articulator and firmly lock he anterior pin in itspatient, return to the articulator and firmly lock he anterior pin in its position. And rearrange the teeth.position. And rearrange the teeth. www.indiandentalacademy.com
  • 82.
    FAULTY CENTRIC OCCLUSIONWHEN THE JAW ISFAULTY CENTRIC OCCLUSION WHEN THE JAW IS CLOSED IN THE CENTRIC RELATION.CLOSED IN THE CENTRIC RELATION. CAUSECAUSE  A faulty centric relation recordA faulty centric relation record TO CORRECT.TO CORRECT.  First check all feature listed as equivalent, make a new centricFirst check all feature listed as equivalent, make a new centric record on the patient and remount the mandibular cast. Make arecord on the patient and remount the mandibular cast. Make a new protrusive record and readjust the condylar elements ofnew protrusive record and readjust the condylar elements of the articulator rearrange the teeth to proper occlusion.the articulator rearrange the teeth to proper occlusion. www.indiandentalacademy.com
  • 83.
    ABSENCE OF CONTACTON THE POSTERIORABSENCE OF CONTACT ON THE POSTERIOR REGION IN PROTRUSIVE RELATION.REGION IN PROTRUSIVE RELATION. CAUSECAUSE  The condylar inclines on the articulator are flatter than theThe condylar inclines on the articulator are flatter than the condylar path of the patient.condylar path of the patient. TO CORRECTTO CORRECT  Make a new protrusive jaw relation record on the patient andMake a new protrusive jaw relation record on the patient and readjust the condylar elements. Rearrange the teeth as followsreadjust the condylar elements. Rearrange the teeth as follows  Increase the height progressively towards the posterior.Increase the height progressively towards the posterior.  Increase the prominence of the antero- posterior compensatingIncrease the prominence of the antero- posterior compensating curve.curve.  Raise plane of occlusion in the posterior region.Raise plane of occlusion in the posterior region. www.indiandentalacademy.com
  • 84.
    PREMATURE CONTACT INTHE POSTERIORPREMATURE CONTACT IN THE POSTERIOR REGION IN PROTRUSIVE JAW RELATION.REGION IN PROTRUSIVE JAW RELATION. CAUSECAUSE  The patient’s condyle path is flatter than the condylar guidance inThe patient’s condyle path is flatter than the condylar guidance in the articulator.the articulator. TO CORRECTTO CORRECT  Make a new protrusive jaw relation record. Adjust the condylarMake a new protrusive jaw relation record. Adjust the condylar elements of the articulator. Rearrange the teeth as follows.elements of the articulator. Rearrange the teeth as follows.  Decrease the cusp height progressively to the posterior regionDecrease the cusp height progressively to the posterior region  Decrease the prominence of antero-posterior compensating curveDecrease the prominence of antero-posterior compensating curve  Lower the plane of orientation in the posterior region.Lower the plane of orientation in the posterior region. www.indiandentalacademy.com
  • 85.
    ABSENCE OF CONTACTON THE BALANCING SIDE.ABSENCE OF CONTACT ON THE BALANCING SIDE. CAUSECAUSE  The condylar inclination on the articulator is too flat, probably dueThe condylar inclination on the articulator is too flat, probably due to protrusive jaw relation.to protrusive jaw relation. TO CORRECTTO CORRECT  Increase the lateral cups height on the balancing sideIncrease the lateral cups height on the balancing side  Increase the prominence of the lateral compensating curve on thatIncrease the prominence of the lateral compensating curve on that side.side.  Raise the plane of orientation in the posterior region on that sideRaise the plane of orientation in the posterior region on that side www.indiandentalacademy.com
  • 86.
    PREMATURE CONTACT ONTHE BALANCING SIDEPREMATURE CONTACT ON THE BALANCING SIDE CAUSECAUSE  The condylar guidance inclination in the articulator is steeper thanThe condylar guidance inclination in the articulator is steeper than the condylar path inclination. of the patient probably due to faultythe condylar path inclination. of the patient probably due to faulty protrusive recordprotrusive record TO CORRECTTO CORRECT  Make a new protrusive jaw relation record on the patient. ReadjustMake a new protrusive jaw relation record on the patient. Readjust the condylar guidance elements and rearrange the teeth.the condylar guidance elements and rearrange the teeth.  Decrease the lateral cusp height on the balancing side.Decrease the lateral cusp height on the balancing side.  decrease the prominence of the lateral compensating curve on thedecrease the prominence of the lateral compensating curve on the sideside  If the errors are slight, set the condylar guidance inclination 5 degreeIf the errors are slight, set the condylar guidance inclination 5 degree flatter. And spot grind the teeth on the side.flatter. And spot grind the teeth on the side. www.indiandentalacademy.com
  • 87.
    OTHER TYPES OFOCCLUSIONOTHER TYPES OF OCCLUSION www.indiandentalacademy.com
  • 88.
    LINGUALISED OCCLUSIONLINGUALISED OCCLUSION GYSIGYSI in 1927 introduced this type of concept.in 1927 introduced this type of concept.  POUNDPOUND used it for non balanced articulation.used it for non balanced articulation.  PAYNEPAYNE in 1941 used it for balanced articulation.in 1941 used it for balanced articulation. Definition : Lingualised occlusion uses the maxillary lingual cusp as a dominant functional element, against the corresponding portion of the mandibular teeth www.indiandentalacademy.com
  • 89.
    Indications for Lingualisedocclusion:Indications for Lingualised occlusion:  Lingualised occlusion can be used in most denture combinations.Lingualised occlusion can be used in most denture combinations.  It is particularly helpful when the patient places high priority onIt is particularly helpful when the patient places high priority on esthetics but non-anatomic occlusal scheme is indicated by oralesthetics but non-anatomic occlusal scheme is indicated by oral conditions such as severe alveolar resorption, a Class II jawconditions such as severe alveolar resorption, a Class II jaw relationship, or displaceable supporting tissue.relationship, or displaceable supporting tissue.  If the non-anatomic occlusal scheme is used, esthetics in the premolarIf the non-anatomic occlusal scheme is used, esthetics in the premolar region are compromised.region are compromised.  With Lingualised occlusion, the esthetic result is greatly improvedWith Lingualised occlusion, the esthetic result is greatly improved while still maintaining the advantages of a non-anatomic system.while still maintaining the advantages of a non-anatomic system.  Lingualised occlusion also can be used effectively when a completeLingualised occlusion also can be used effectively when a complete denture opposes a removable partial denture.denture opposes a removable partial denture. www.indiandentalacademy.com
  • 90.
    Principles of LingualisedocclusionPrinciples of Lingualised occlusion  Anatomic posterior (30 or 33°) teeth are used for the maxillaryAnatomic posterior (30 or 33°) teeth are used for the maxillary denture. Tooth forms with prominent lingual cusps are helpful.denture. Tooth forms with prominent lingual cusps are helpful.  Non-anatomic or semi-anatomic teeth are used for the mandibularNon-anatomic or semi-anatomic teeth are used for the mandibular denture. Either a shallow or flat cusp form is used. A narrow occlusaldenture. Either a shallow or flat cusp form is used. A narrow occlusal table is preferred wherever resorption of the residual ridges hastable is preferred wherever resorption of the residual ridges has occurred.occurred.  Modification of the mandibular posterior teeth is accomplished byModification of the mandibular posterior teeth is accomplished by selective grinding which is always necessary regardless of specificselective grinding which is always necessary regardless of specific tooth or material.tooth or material.  Upper lingual cusps should contact lower teeth in centric occlusion.Upper lingual cusps should contact lower teeth in centric occlusion.  Balancing and working contacts only on maxillary lingual cusps.Balancing and working contacts only on maxillary lingual cusps.  Protusive contacts only between upper lingual cusps and lower teeth.Protusive contacts only between upper lingual cusps and lower teeth. www.indiandentalacademy.com
  • 91.
    Advantages of LingualisedAdvantagesof Lingualised occlusionocclusion  Most of the advantages attributed toMost of the advantages attributed to both the anatomic and non-anatomicboth the anatomic and non-anatomic forms are retained.forms are retained.  Cusp form is more natural inCusp form is more natural in appearance compared to non-anatomicappearance compared to non-anatomic tooth form.tooth form.  Good penetration of the food bolus isGood penetration of the food bolus is possible.possible.  Bilateral mechanical balancedBilateral mechanical balanced occlusion is readily obtained for aocclusion is readily obtained for a region around centric relation.region around centric relation.  Vertical forces are centralized on theVertical forces are centralized on the mandibular teeth.mandibular teeth. www.indiandentalacademy.com
  • 92.
  • 93.
  • 94.
  • 95.
    Monoplane OcclusionMonoplane Occlusion MAINFEATURESMAIN FEATURES  Non anatomic tooth form may be occlusion of choice for given situationNon anatomic tooth form may be occlusion of choice for given situation like poor neuro-muscular control, highly resorbed residual ridge.like poor neuro-muscular control, highly resorbed residual ridge.  Tooth inclines are eliminated and balance is produced by combinationTooth inclines are eliminated and balance is produced by combination antero-posterior and medio-lateral curves or by the use of a balancingantero-posterior and medio-lateral curves or by the use of a balancing ramp leading to a three –point balanceramp leading to a three –point balance  Anterior teeth primarily set for length and proper lip support.Anterior teeth primarily set for length and proper lip support.  Elimination of cuspal inclines and teeth must be set in flat monoplaneElimination of cuspal inclines and teeth must be set in flat monoplane arrangement,arrangement,  zero incisal guidance should be establishedzero incisal guidance should be established ADVANTAGESADVANTAGES  Preservation of structure of basal seat.Preservation of structure of basal seat.  Efficient occlusal form.Efficient occlusal form.  Simplicity of technique involvedSimplicity of technique involved  Good for patients with cross-bite or class 3 relationships andGood for patients with cross-bite or class 3 relationships and especially for patient with class 2 relationships who have anespecially for patient with class 2 relationships who have an extremely long functional path.extremely long functional path.www.indiandentalacademy.com
  • 96.
  • 97.
    Balancing ramps innon-anatomic complete dentureBalancing ramps in non-anatomic complete denture occlusionocclusion --Non anatomic teeth with no cuspal inclination.Non anatomic teeth with no cuspal inclination. -flat plane with no overbite.-flat plane with no overbite. -An improvement on inclined molar technique for balancing-An improvement on inclined molar technique for balancing protrusive and lateral excursion is the use of customizedprotrusive and lateral excursion is the use of customized balancing ramps is placed posterior to most distalbalancing ramps is placed posterior to most distal mandibular second molarmandibular second molar -Tripodization of the dentures-Tripodization of the dentures www.indiandentalacademy.com
  • 98.
  • 99.
    Review of LiteratureReviewof Literature www.indiandentalacademy.com
  • 100.
    Finn Tengs ChristensenFinnTengs Christensen (1960(1960) described the importance of) described the importance of balanced occlusion in arrangement of teeth. He stressed thebalanced occlusion in arrangement of teeth. He stressed the introduction of compensating curves for achieving balance.introduction of compensating curves for achieving balance. -In order to achieve balance, the compensating curve must be in-In order to achieve balance, the compensating curve must be in harmony with other factorsharmony with other factors -By means of compensating curves, complete antagonist contact-By means of compensating curves, complete antagonist contact during protrusive movements can be obtained with lower cuspduring protrusive movements can be obtained with lower cusp angulation.angulation. -’-’So the orientation in one factor influences the other’.So the orientation in one factor influences the other’. www.indiandentalacademy.com
  • 101.
    Vincent R. TrappozanoVincentR. Trappozano (1960)(1960) carried out tests to check thecarried out tests to check the efficiency of balanced and non-balanced occlusion.efficiency of balanced and non-balanced occlusion. -He selected few patients depending on inter-ridge space,-He selected few patients depending on inter-ridge space, intelligence and experience of wearing dentures and on basis ofintelligence and experience of wearing dentures and on basis of type of residual ridge. Patients were from 55 years to 70 years.type of residual ridge. Patients were from 55 years to 70 years. -All had worn dentures with 23degrees posterior teeth in balanced-All had worn dentures with 23degrees posterior teeth in balanced occlusion.occlusion. - Comparative chewing tests of occlusal efficiency were made with- Comparative chewing tests of occlusal efficiency were made with carrots and freshly roasted peanuts.carrots and freshly roasted peanuts. -These were selected as test foods because they don’t readily-These were selected as test foods because they don’t readily disintegrate into fine particles.disintegrate into fine particles. www.indiandentalacademy.com
  • 102.
    --The number ofstrokes made upto time of deglutitionThe number of strokes made upto time of deglutition were counted and averaged.were counted and averaged. -The average was noted for each patient and this was the-The average was noted for each patient and this was the number of strokes permitted.number of strokes permitted. -A 100 mesh screen was used as sieve to study the size of-A 100 mesh screen was used as sieve to study the size of remaining particles and weight changes in test materialsremaining particles and weight changes in test materials after mastication by the patient.after mastication by the patient. -Out of 12 patients examined, 9 patients had greater-Out of 12 patients examined, 9 patients had greater efficiency of chewing with balanced occlusion.efficiency of chewing with balanced occlusion. - In 3, efficiency was greater with non balanced occlusion- In 3, efficiency was greater with non balanced occlusion when carrots were chewed. When peanuts were chewedwhen carrots were chewed. When peanuts were chewed no difference was noticed.no difference was noticed. www.indiandentalacademy.com
  • 103.
    Honorato VillaHonorato Villa(1962) recommended a technique for the use of non-(1962) recommended a technique for the use of non- anatomic posterior teeth. He used the incisal guidance for attaining balancedanatomic posterior teeth. He used the incisal guidance for attaining balanced occlusion.occlusion. The lower bicuspids were placed first on lower occlusal rims. The twoThe lower bicuspids were placed first on lower occlusal rims. The two bicuspids represent the central transverse axis.bicuspids represent the central transverse axis. When cusps are placed against a flat plane, there will be balancing contactsWhen cusps are placed against a flat plane, there will be balancing contacts only in working position and not in protrusive and balancing positions.only in working position and not in protrusive and balancing positions. A groove is made in upper denture where the lower cusp will occlude, inA groove is made in upper denture where the lower cusp will occlude, in order to overcome the difficulty and this makes the balanced occlusionorder to overcome the difficulty and this makes the balanced occlusion possible in protrusive and lateral occlusion.possible in protrusive and lateral occlusion. The logistic behind this arrangement is that balancing incline requires lessThe logistic behind this arrangement is that balancing incline requires less inclinations when it is placed on upper first bicuspid instead of secondinclinations when it is placed on upper first bicuspid instead of second molar because of anterior position of bicuspid.molar because of anterior position of bicuspid. www.indiandentalacademy.com
  • 104.
    H.O. BeckH.O. Beck(1973)(1973) grouped the balanced and non-balanced occlusions intogrouped the balanced and non-balanced occlusions into five categories each.five categories each. Non-balanced occlusions are:Non-balanced occlusions are: a.a. Modified cusp teeth with upper lingual cusps opposing widenedModified cusp teeth with upper lingual cusps opposing widened lower fossa and a reduction of buccal cusps of lower posterior teeth.lower fossa and a reduction of buccal cusps of lower posterior teeth. b. Cusp teeth arranged in typical occlusion with disocclusion by cuspidb. Cusp teeth arranged in typical occlusion with disocclusion by cuspid guidance in eccentric positions.guidance in eccentric positions. c. Non-anatomic teeth arranged in flat occlusal plane anteroposteriorly andc. Non-anatomic teeth arranged in flat occlusal plane anteroposteriorly and laterally.laterally. d. Non-anatomic teeth arranged high in second and first molar regions.d. Non-anatomic teeth arranged high in second and first molar regions. e. Non-anatomic teeth arranged in flat plane anteriorly but with reversee. Non-anatomic teeth arranged in flat plane anteriorly but with reverse lateral curve.lateral curve. www.indiandentalacademy.com
  • 105.
    Five balanced occlusionsare:Five balanced occlusions are: a. Anatomic and semi-anatomic teeth arranged in classica. Anatomic and semi-anatomic teeth arranged in classic interdigitations.interdigitations. b. Semi anatomic teeth with buccal reduction of lower posteriorb. Semi anatomic teeth with buccal reduction of lower posterior teeth.teeth. c. Non-anatomic teeth arranged on curves anteroposteriorly andc. Non-anatomic teeth arranged on curves anteroposteriorly and laterally.laterally. d. Non-anatomic teeth arranged reverse curve laterally but withd. Non-anatomic teeth arranged reverse curve laterally but with second molar ramps for balancing contacts.second molar ramps for balancing contacts. e. Semi-anatomic teeth with only a linear contact of lower posteriore. Semi-anatomic teeth with only a linear contact of lower posterior teeth with upper occlusal surfaces balanced anteroposteriorly andteeth with upper occlusal surfaces balanced anteroposteriorly and laterally.laterally. www.indiandentalacademy.com
  • 106.
    He concluded:He concluded:Occlusal designs and their resulting functionsOcclusal designs and their resulting functions are of concern to the dentist so that loss of the remainingare of concern to the dentist so that loss of the remaining tissues of the mouth, which may be attributed to the occlusion,tissues of the mouth, which may be attributed to the occlusion, can be minimizedcan be minimized www.indiandentalacademy.com
  • 107.
    SummarySummary The nature ofthe supporting structures for the complete dentures and theThe nature of the supporting structures for the complete dentures and the forces directed to them by the occlusion creates a special biomechanicalforces directed to them by the occlusion creates a special biomechanical problem.problem. Balanced occlusion is one of the most important factors which will favorBalanced occlusion is one of the most important factors which will favor the stability of the base; and help in preservation of the supportingthe stability of the base; and help in preservation of the supporting structures by reducing the lateral forces.structures by reducing the lateral forces. ““ Thereby signifying its importance in complete denture fabrication.”Thereby signifying its importance in complete denture fabrication.” www.indiandentalacademy.com
  • 108.
    ConclusionConclusion  Necessity ofthe balanced occlusion is not universallyNecessity of the balanced occlusion is not universally subscribed by the Prosthodontics. Patient doesn’t require asubscribed by the Prosthodontics. Patient doesn’t require a balanced occlusion in order to wear the denturebalanced occlusion in order to wear the denture successfully. A physiological consideration likesuccessfully. A physiological consideration like interocclusal distance, centric relation is mandatory for theinterocclusal distance, centric relation is mandatory for the success of the denture.success of the denture.  Denture and its supporting structures will not be toleratedDenture and its supporting structures will not be tolerated unless the occlusion established accommodates theirunless the occlusion established accommodates their idiosyncrasies; in such cases balanced occlusion isidiosyncrasies; in such cases balanced occlusion is imperative.imperative. www.indiandentalacademy.com
  • 109.
    ReferencesReferences --Arthur N.:Arthur N.:Balancing ramps in non-anatomic completeBalancing ramps in non-anatomic complete denture occlusiondenture occlusion. JPD,1985;53:431-433.. JPD,1985;53:431-433. -Beck H.O.:-Beck H.O.: Occlusion as related to complete removableOcclusion as related to complete removable prosthodonticsprosthodontics. JPD,1972;27:246-256.. JPD,1972;27:246-256. -Becker C.M., Swoop P.C.:-Becker C.M., Swoop P.C.: Lingualised occlusion forLingualised occlusion for removable prosthodonticsremovable prosthodontics. JPD,1977;38:601-608.. JPD,1977;38:601-608. Bernard Levin:Bernard Levin: Reevaluation of Hanaus Laws ofReevaluation of Hanaus Laws of Articulation and the Hanaus QuintArticulation and the Hanaus Quint. JPD,1978;39:254-. JPD,1978;39:254- 258.258. -Bolender-Zarb:-Bolender-Zarb: Prosthodontic Treatment ForProsthodontic Treatment For Edentulous Patient,12th Edition,Edentulous Patient,12th Edition, 2004 Mosby.2004 Mosby. -Dawson P.E.:-Dawson P.E.: Evaluation, diagnosis and treatment ofEvaluation, diagnosis and treatment of occlusal problems,2occlusal problems,2ndnd edition,edition, 1989 Mosby.1989 Mosby. www.indiandentalacademy.com
  • 110.
    Gregory R.P., GeraldH.L.:Gregory R.P., Gerald H.L.: The Occlusal Spectrum andThe Occlusal Spectrum and Complete Dentures.Complete Dentures. -Heartwell Charles M.:-Heartwell Charles M.: Sylabbus of complete denturesSylabbus of complete dentures.. -Kydd W.L.:-Kydd W.L.: Comlete denture base deformation with variedComlete denture base deformation with varied occlusal tooth form.occlusal tooth form. JPD., 1959;6:714-718.JPD., 1959;6:714-718. -Kurth L.E.:-Kurth L.E.: Balanced Occlusion.Balanced Occlusion. JPD’1954’4:150-167.JPD’1954’4:150-167. -Ramjford S. and Ash:-Ramjford S. and Ash: OcclusionOcclusion -Sharry J.J.:-Sharry J.J.: Complete Denture Prosthodontics;Complete Denture Prosthodontics; 19621962 McGraw-Hill Book Company.McGraw-Hill Book Company. Sheldon Winkler:Sheldon Winkler: Essentials of complate dentureEssentials of complate denture prosthodontics2nd Edition;2000,prosthodontics2nd Edition;2000, Ishiyaku EurAmerica Inc.Ishiyaku EurAmerica Inc. U.S.A.U.S.A. -Trappozano V.R.:-Trappozano V.R.: An experimental study of the testing ofAn experimental study of the testing of occlusal patterns on the same denture bases.occlusal patterns on the same denture bases. JPD.;1952;JPD.;1952; 440-457.440-457. www.indiandentalacademy.com
  • 111.
    As classically told by He artwe llbalancingAs classically to ld by He artwe llbalancing an o cclusio n is like co nve rting “thean o cclusio n is like co nve rting “the stum bling pro se into po e try”.stum bling pro se into po e try”. www.indiandentalacademy.com
  • 112.
    Thank you For moredetails please visit www.indiandentalacademy.com www.indiandentalacademy.com