SIÊU ÂM 3D/4D Bs Nguyễn Đình Vũ
Khoa CĐHA
MỤC TIÊU
Hiểu đƣợc 1 số khái niệm cơ bản về siêu âm 3d
Các ứng dụng của siêu âm 3d/4d
GIỚI THIÊU
Siêu âm 2d vẫn là loại siêu âm cơ bản trong suốt 30 năm
nay cho đến khi siêu âm 3d/4d nó đã thay đổi cách thực
hiện siêu âm với bệnh nhân
Siêu âm 3D/4D giúp lƣu lại thể tích siêu âm nhờ đó mà
bác sĩ siêu âm có thể xem lại toàn bộ những cấu trúc đƣợc
khi không có bệnh nhân. Nhờ đó mà mở ra nhiều các cách
thức mới trong xử lý/phân tích hình ảnh
Ngoài ra siêu âm 3D/4D cũng là một phƣơng tiện để giúp
bệnh nhân có cái nhìn trực quan hơn về thai nhi
CÁCH THỨC THU THẬP HÌNH ẢNH
Có 2 cách:
 Dùng đầu dò 2D
 Dùng đầu dò 3D
Ngày nay ngƣời ta chủ yếu sử
dụng đầu dò 3D vì nó đơn giản
hơn
LOẠI ĐẦU DÒ SỬ DỤNG
Đầu dò 2D Đầu dò 3D
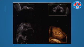
NGUYÊN LÝ CỦA SIÊU ÂM 3D
Hình ảnh 3D đƣợc tạo bởi một lƣợng lớn hình ảnh 2D liên
tiếp sau đó tái tạo lại tạo thành khối thể tích từ đó dữ liệu
hình ảnh sẽ đƣợc xử lý trên khối dữ liệu này
CÁC BƢỚC TẠO HÌNH CỦA 3D
Thu thập thông tin
Xây dựng dữ liệu 3D
Tái tạo :
 Mặt phẳng
 Bề mặt
 Thể tích
THU THẬP THÔNG TIN
Đầu dò sẽ quét và thu nhận hàng loạt hình ảnh 2D nhằm
tạo thành một khối thể tích, mỗi đơn vị của thể tích đƣợc gọi
là voxel
TÁI TẠO THEO MẶT PHẲNG
TÁI TẠO BỀ MẶT
TÁI TẠO THỂ TÍCH
(MINIMUM/MAXIMUM/INVERSION MODE)
SIÊU ÂM 4D
Thực chất là hình ảnh video 3D (live-3D, 4D, 3D real time)
Chiều thứ 4 là “chiều thời gian”
Giúp quan sát đƣợc cử động trực của thai nhi trong bụng
mẹ
CÁCH THỰC HIỆN SIÊU ÂM 3D/4D
Chọn mặt cắt 2D để thực hiện
Chọn độ rộng của vùng khảo sát ( ROI – region of interest)
Chọn thời điểm thai nhi nằm yên tĩnh
Yêu cầu bệnh nhân nín thở nếu đƣợc
MỘT SỐ VỊ TRÍ THỰC HIỆN SIÊU ÂM
3D/4D THƢỜNG DÙNG
Để khảo sát mặt
MỘT SỐ VỊ TRÍ THỰC HIỆN SIÊU ÂM
3D/4D THƢỜNG DÙNG
Để khảo sát tứ chi
MỘT SỐ VỊ TRÍ THỰC HIỆN SIÊU ÂM
3D/4D THƢỜNG DÙNG
Để khảo sát cột sống
MỘT SỐ VỊ TRÍ THỰC HIỆN SIÊU ÂM
3D/4D THƢỜNG DÙNG
Để khảo sát cấu trúc đƣờng giữa của não
ỨNG DỤNG CỦA SIÊU ÂM 3D/4D
Quan sát bề mặt: (Sử dụng tốt nhất trên mặt, cột sống, tứ
chi)
Quan sát các cấu trúc khó nhận diện trên SA 2d
Định vị trí tổn thƣơng
Đo đạc thể tích
QUAN SÁT BỀ MẶT
QUAN SÁT BỀ MẶT
QUAN SÁT BỀ MẶT
QUAN SÁT BỀ MẶT
QUAN SÁT BỀ MẶT
QUAN SÁT BỀ MẶT
QUAN SÁT BỀ MẶT
QUAN SÁT NHỮNG CẤU TRÚC KHÓ
Vị trí đóng của tai, hình thái của tai ngoài
QUAN SÁT CẤU TRÚC KHÓ
Chẩn đoán các bệnh lý cần mặt cắt dọc giữa (thiểu sản/bất sản thể chai, thiểu sản
thùy nhộng)
QUAN SÁT CÁC CẤU TRÚC KHÓ
ĐỊNH VỊ TRÍ CỦA TỐN THƢƠNG
ĐO THỂ TÍCH (VOCAL – VIRTUAL ORGAN
COMPUTER AIDED ANALYSIS)
Đo thể tích nội mạc để tiên lƣợng K nội mạc
ĐO THỂ TÍCH (VOCAL – VIRTUAL ORGAN
COMPUTER AIDED ANALYSIS)
Đo thể tích phổi còn lại để tiên lƣợng trên thai nhi có thoát vị hoành
ĐO THỂ TÍCH (VOCAL – VIRTUAL ORGAN
COMPUTER AIDED ANALYSIS)
Đo thể tích đùi thai nhi để tiên lƣợng ƣớc lƣợng cân nặng
SỬ DỤNG TRONG 3 THÁNG ĐẦU THAI KÌ
Sử dụng trong 3 tháng đầu thai kì:
 Đếm số phôi trong trƣờng hợp chuyển/thụ thai quá nhiều
 Các bất thƣờng bề mặt
 Đo NT (Sono NT, Volume NT)
 Tính an toàn của trong 3 tháng đầu vẫn chƣa đƣợc xác định 
không dung thƣờng quy
SỬ DỤNG TRONG 3 THÁNG ĐẦU THAI KÌ
SIÊU ÂM TIM
MỘT SỐ LƢU Ý KHI THỰC HÀNH SIÊU ÂM
4D
Để có hình ảnh 3D/4D đẹp phải có hình ảnh 2D rõ ràng
Đòi hỏi nhiều kinh nghiệm trong thu nhận và xử lý hình ảnh
Cẩn thận với những hình ảnh giả (artefact)
ẢNH GIẢ TRONG SIÊU ÂM 3D
KẾT LUẬN
Siêu âm 3D/4D là một tiến bộ trong kĩ thuật của máy siêu âm
Mở ra nhiều ứng dụng cũng nhƣ cho cái nhìn trực quan hơn về
thai nhi
Tuy nhiên các chẩn đoán hiện tại phần lớn vẫn phải dựa trên
siêu âm 2D
Biết cách thực hiện siêu âm 3D/4D sẽ giúp bác sĩ mở rộng khả
năng chẩn đoán, học hỏi
Cần lƣu ý về những hạn chế cũng nhƣ những ảnh giả tạo nên
bởi siêu âm 3D

Bai 19 siêu âm 3 d

  • 1.
    SIÊU ÂM 3D/4DBs Nguyễn Đình Vũ Khoa CĐHA
  • 2.
    MỤC TIÊU Hiểu đƣợc1 số khái niệm cơ bản về siêu âm 3d Các ứng dụng của siêu âm 3d/4d
  • 3.
    GIỚI THIÊU Siêu âm2d vẫn là loại siêu âm cơ bản trong suốt 30 năm nay cho đến khi siêu âm 3d/4d nó đã thay đổi cách thực hiện siêu âm với bệnh nhân Siêu âm 3D/4D giúp lƣu lại thể tích siêu âm nhờ đó mà bác sĩ siêu âm có thể xem lại toàn bộ những cấu trúc đƣợc khi không có bệnh nhân. Nhờ đó mà mở ra nhiều các cách thức mới trong xử lý/phân tích hình ảnh Ngoài ra siêu âm 3D/4D cũng là một phƣơng tiện để giúp bệnh nhân có cái nhìn trực quan hơn về thai nhi
  • 4.
    CÁCH THỨC THUTHẬP HÌNH ẢNH Có 2 cách:  Dùng đầu dò 2D  Dùng đầu dò 3D Ngày nay ngƣời ta chủ yếu sử dụng đầu dò 3D vì nó đơn giản hơn
  • 5.
    LOẠI ĐẦU DÒSỬ DỤNG Đầu dò 2D Đầu dò 3D
  • 6.
    NGUYÊN LÝ CỦASIÊU ÂM 3D Hình ảnh 3D đƣợc tạo bởi một lƣợng lớn hình ảnh 2D liên tiếp sau đó tái tạo lại tạo thành khối thể tích từ đó dữ liệu hình ảnh sẽ đƣợc xử lý trên khối dữ liệu này
  • 7.
    CÁC BƢỚC TẠOHÌNH CỦA 3D Thu thập thông tin Xây dựng dữ liệu 3D Tái tạo :  Mặt phẳng  Bề mặt  Thể tích
  • 8.
    THU THẬP THÔNGTIN Đầu dò sẽ quét và thu nhận hàng loạt hình ảnh 2D nhằm tạo thành một khối thể tích, mỗi đơn vị của thể tích đƣợc gọi là voxel
  • 9.
    TÁI TẠO THEOMẶT PHẲNG
  • 11.
  • 13.
    TÁI TẠO THỂTÍCH (MINIMUM/MAXIMUM/INVERSION MODE)
  • 15.
    SIÊU ÂM 4D Thựcchất là hình ảnh video 3D (live-3D, 4D, 3D real time) Chiều thứ 4 là “chiều thời gian” Giúp quan sát đƣợc cử động trực của thai nhi trong bụng mẹ
  • 17.
    CÁCH THỰC HIỆNSIÊU ÂM 3D/4D Chọn mặt cắt 2D để thực hiện Chọn độ rộng của vùng khảo sát ( ROI – region of interest) Chọn thời điểm thai nhi nằm yên tĩnh Yêu cầu bệnh nhân nín thở nếu đƣợc
  • 18.
    MỘT SỐ VỊTRÍ THỰC HIỆN SIÊU ÂM 3D/4D THƢỜNG DÙNG Để khảo sát mặt
  • 19.
    MỘT SỐ VỊTRÍ THỰC HIỆN SIÊU ÂM 3D/4D THƢỜNG DÙNG Để khảo sát tứ chi
  • 20.
    MỘT SỐ VỊTRÍ THỰC HIỆN SIÊU ÂM 3D/4D THƢỜNG DÙNG Để khảo sát cột sống
  • 21.
    MỘT SỐ VỊTRÍ THỰC HIỆN SIÊU ÂM 3D/4D THƢỜNG DÙNG Để khảo sát cấu trúc đƣờng giữa của não
  • 22.
    ỨNG DỤNG CỦASIÊU ÂM 3D/4D Quan sát bề mặt: (Sử dụng tốt nhất trên mặt, cột sống, tứ chi) Quan sát các cấu trúc khó nhận diện trên SA 2d Định vị trí tổn thƣơng Đo đạc thể tích
  • 23.
  • 25.
  • 27.
  • 28.
  • 29.
  • 30.
  • 31.
  • 32.
    QUAN SÁT NHỮNGCẤU TRÚC KHÓ Vị trí đóng của tai, hình thái của tai ngoài
  • 33.
    QUAN SÁT CẤUTRÚC KHÓ Chẩn đoán các bệnh lý cần mặt cắt dọc giữa (thiểu sản/bất sản thể chai, thiểu sản thùy nhộng)
  • 34.
    QUAN SÁT CÁCCẤU TRÚC KHÓ
  • 35.
    ĐỊNH VỊ TRÍCỦA TỐN THƢƠNG
  • 37.
    ĐO THỂ TÍCH(VOCAL – VIRTUAL ORGAN COMPUTER AIDED ANALYSIS) Đo thể tích nội mạc để tiên lƣợng K nội mạc
  • 38.
    ĐO THỂ TÍCH(VOCAL – VIRTUAL ORGAN COMPUTER AIDED ANALYSIS) Đo thể tích phổi còn lại để tiên lƣợng trên thai nhi có thoát vị hoành
  • 39.
    ĐO THỂ TÍCH(VOCAL – VIRTUAL ORGAN COMPUTER AIDED ANALYSIS) Đo thể tích đùi thai nhi để tiên lƣợng ƣớc lƣợng cân nặng
  • 40.
    SỬ DỤNG TRONG3 THÁNG ĐẦU THAI KÌ Sử dụng trong 3 tháng đầu thai kì:  Đếm số phôi trong trƣờng hợp chuyển/thụ thai quá nhiều  Các bất thƣờng bề mặt  Đo NT (Sono NT, Volume NT)  Tính an toàn của trong 3 tháng đầu vẫn chƣa đƣợc xác định  không dung thƣờng quy
  • 42.
    SỬ DỤNG TRONG3 THÁNG ĐẦU THAI KÌ
  • 43.
  • 44.
    MỘT SỐ LƢUÝ KHI THỰC HÀNH SIÊU ÂM 4D Để có hình ảnh 3D/4D đẹp phải có hình ảnh 2D rõ ràng Đòi hỏi nhiều kinh nghiệm trong thu nhận và xử lý hình ảnh Cẩn thận với những hình ảnh giả (artefact)
  • 46.
    ẢNH GIẢ TRONGSIÊU ÂM 3D
  • 47.
    KẾT LUẬN Siêu âm3D/4D là một tiến bộ trong kĩ thuật của máy siêu âm Mở ra nhiều ứng dụng cũng nhƣ cho cái nhìn trực quan hơn về thai nhi Tuy nhiên các chẩn đoán hiện tại phần lớn vẫn phải dựa trên siêu âm 2D Biết cách thực hiện siêu âm 3D/4D sẽ giúp bác sĩ mở rộng khả năng chẩn đoán, học hỏi Cần lƣu ý về những hạn chế cũng nhƣ những ảnh giả tạo nên bởi siêu âm 3D