APPROACH TO HEART
FAILURE CASES
WITH ESC 2016
GUIDELINES INCLUDED
Dr Ihab Suliman
2018
DEFINITION
 Heart failure is a complex syndrome of symptoms and
signs
 Prognosis can be improved considerably by early
diagnosis and optimal treatment
 These clinical case scenarios illustrate the application
of the recommendations in ‘Chronic heart failure’ to
the care of patients presenting to primary care with
symptoms of heart failure
The new Guidelines on
Heart Failure
•Elevated jugular venous
pressure
•Pulmonary crackles
•Peripheral oedema
Signs of Heart Failure
DIAGNOSTIC
ALGORITHM FOR A
DIAGNOSIS OF
HEART FAILURE
OF NON-ACUTE
ONSET
DIAGNOSTIC ALGORITHM FOR A DIAGNOSIS OF
HEART FAILURE OF NON-ACUTE ONSET
12
A New Classification
•Heart failure with preserved, mid-range and reduced EF
The only category with evidence based medicine is HF rEF
• Imaging to diagnose HF
• Imaging to study the cause of
HF
• Imaging to follow the syndrome
and to determine prognosis
The New Guidelines suggest
several imaging tests
• HFrEF is a clinical syndrome,
originated in the heart, driven
by myocardial cell loss and
fibrosis, with an important
systemic component (neuro-
hormonal) .
HF with reduced or preserved EF
are two distinct entities
Objectives of the treatment of
heart failure with reduced ejection
fraction
• Reduce mortality
• Improve
• clinical status
• functional capacity
• quality of life, prevent hospital admission
• Preventing HF hospitalization and improving functional capacity
are important benefits to be considered in chronic heart failure
4. Treatment
Algorithm
We are HFA
Initial management of symptomatic HF with reduced
ejection fraction.
THERAPEUTIC ALGORITHM FOR A PATIENT WITH PERSISTENT
SYMPTOMATIC HF WITH REDUCED EJECTION FRACTION.
ANGIOTENSIN RECEPTOR NEPRILYSIN INHIBITOR
(SACUBITRIL/VALSARTAN)
• LCZ 696 is indicated in patients with:
• ambulatory, symptomatic HFrEF
• LVEF ≤35%
• elevated plasma NP levels (BNP ≥150 pg/mL or NT-proBNP ≥600 pg/mL)
• estimated GFR (eGFR) ≥30 mL/min/1.73 m2 of body surface area
• who are able to tolerate treatment with enalapril (at least 10 mg b.i.d.)
• Some relevant safety issues remain when initiating therapy with this drug in clinical
practice:
• symptomatic hypotension
• risk of angioedema (ACEI should be withheld for at least 36 h before initiating LCZ696)
• concerns about its effects on the degradation of beta-amyloid peptide in the brain
PARADIGM-HF: All-Cause Mortality
4187
4212
4056
4051
3891
3860
3282
3231
2478
2410
1716
1726
1005
994
280
279
LCZ696
Enalapril
Enalapril
(n=4212)
LCZ696
(n=4187)
HR = 0.84 (0.76-0.93)
P<0.0001
Kaplan-MeierEstimateof
CumulativeRates(%)
Days After Randomization
Patients at Risk
360 720 10800 180 540 900 1260
0
16
32
24
8
835
711
ANGIOTENSIN II TYPE I RECEPTOR BLOCKERS
• ARBs are recommended only as an alternative in patients intolerant
of an ACEI
• The combination of ACEI/ARB should be restricted to symptomatic
HFrEF patients receiving a beta-blocker who are unable to tolerate
an MRA, and must be used under strict supervision
Other pharmacological treatments recommended in selected patients
with symptomatic (NYHA Class II-IV) HFrEF
Combination of hydralazine and isosorbide dinitrate
• There is no clear evidence to suggest the use of this fix-dose
combination therapy in all patients with HFrEF
• This combination may be considered in patients who can
tolerate neither ACEi nor ARB
THERAPEUTIC ALGORITHM FOR A PATIENT WITH SYMPTOMATIC
HF WITH REDUCED EJECTION FRACTION.NEXT STEPS
24
2012
2016
CRT
25
QRS >150ms
(+/- LBBB)
(+/- AF)
NYHA III
LVEF
<35%
QRS 120(130 if NYHA II)-150ms
• Only LBBB
• Only AF if NYHA III
NYHA II
LVEF
<30%
2016
• QRS >130ms
• LVEF <35%
• If SR - NYHA II-IV
• If AF - NYHA III-IV
• Longer QRS  Greater Benefit
• Does QRS Morphology Matter?
2012
CASE 1
 A 73-year-old female has shortness of breath when
lying down. She has found that using a couple of
pillows at night makes it easier to breathe.
 Past medical history
 Hypertension was diagnosed 3 years ago and is
being treated with atenolol.
 On examination
 You find bilateral basal crepitations and a laterally
displaced apical impulse.
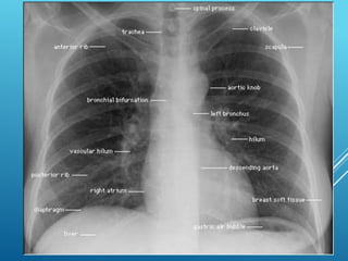
CXR CASE 1
 You suspect heart failure. What tests would you
order?
 BNP
 ECG
 Troponin
 Echocardiography
AMBULATORY/OUTPATIENT
In ambulatory patients with dyspnea, measurement of
BNP or N-terminal pro-B-type natriuretic peptide (NT-
proBNP) is useful to support clinical decision making
regarding the diagnosis of HF, especially in the setting of
clinical uncertainty.
Measurement of BNP or NT-proBNP is useful for
establishing prognosis or disease severity in chronic HF.
I IIa IIb III
I IIa IIb III
QUESTION, HOW TO MANGE
 The echocardiogram shows dilated and moderately
impaired left ventricular contraction, and mild mitral
regurgitation. The specialist advises the introduction
of an ACE inhibitor and a beta-blocker. What
medications would you start, how would you manage
the introduction of these medications?
ANSWER CASE 1
 Start the patient on an ACE inhibitor such as
Lisinopril/Enalapril 2.5-20 mg twice daily and then
change the atenolol to a beta-blocker licensed for
heart failure such as carvedilol 3.125 mg twice daily
or Bisoprolol (Concor).
 You up titrate both the ACEI and BB to the maximum
tolerated doses.
 You monitor renal function at initiation of ACEI and
after each dose increment.
OTHER INVESTIGATIONS
 Coronary Angiogram, CAD is Responsible for 40-50%
of CHF Cases.
 Nuclear Perfusion imaging.
CASE 2
 70 years old male with DM, HTN, DLP and Stage C
Heart failure, NYHA class 2.
 Recently Developed palpitations and he became
more SOB, he is Now SOB at Rest.
 Why ??
PRECIPITANT FACTORS OF
HEART FAILURE?
 Non Compliance.
 Coronary Ischemia.
 HTN.
 Anemia.
 Infections.
 NSAIDs and Steroids.
Arrhythmias (AF)
CASE 3
 A 57-year-old male is a non-smoker and has a 3-week history
of dry persistent cough. The cough is interfering with his ability
to sleep at night and function during the day. He has not had
any recent chest infection to account for the cough.
 Past medical history
 He has heart failure due to left ventricular systolic dysfunction,
which is being treated with bisoprolol 10 mg daily(Concor) and
ramipril 7.5 mg daily( ACEI).
 On examination
 You find his chest is clear and there are no signs of fluid
overload.
 Next steps for diagnosis
 7.1 Question:
 What would you do next?
A 3
 The BNP level is 86 pg/ml, what does this indicate?s o the cough is
not caused by uncontrolled heart failure.
 Next steps for management
 What would you do next to help ease the cough?
 You advise the patient to stop taking the ACE inhibitor (ramipril),
and to start an angiotensin II receptor antagonist (ARB) licensed for
heart failure (for example, candesartan 8 mg daily).
 You monitor for signs of renal impairment and hyperkalaemia.
CASE 4
 A 57-year-old male is a non-smoker and has NYHA
class 3 . Past medical history
 He has heart failure due to left ventricular systolic
dysfunction, which is being treated with bisoprolol
10 mg daily(Concor) and ramipril 7.5 mg daily(ACEI).
Furosemide 80 mg Daily.
 Creat 100, Potassium 3.5
 What Treatment for His SOB?
A-4
 Spironolactone 25mg daily and Monitor Serum
Potassium.
 It can causes Gyne-comastia in 10% of males.
 Sometimes unilateral or bilateral or Painful.
CASE 5
 Two weeks ago, a 63 year old Patient with heart
failure received a new prescription for carvedilol
(Coreg) 3.125 mg orally. Upon evaluation in the
outpatient clinic these symptoms are found. Which is
of most concern?
 A. Complaints of increased fatigue and dyspnea.
 B. Weight increase of 0.5kg in 2 weeks.
 C. Bibasilar crackles audible in the posterior chest.
 D. Sinus bradycardia, rate 50 as evidenced by the
EKG
A-5
 Sinus bradycardia, rate 50 as evidenced by the EKG
CASE -6
 The Intern is caring for a hospitalized Patient with
heart failure who is receiving captopril (Capoten) and
spironolactone (aldactone). Which lab value will be
most important to monitor?
 A. Sodium
 B. Blood urea nitrogen (BUN)
 C. Potassium
 D. Alkaline phosphatase (ALP)
A 6
 C. Potassium
CASE 7
 The echocardiagram indicates a large thrombus in the
left atrium of a Patient admitted with heart failure.
 During the night, the Patient complains of severe,
sudden onset left foot pain.
 It is noted that no pulse is palpable in the left foot and
that it is cold and pale. Which action should be taken
next?
A 7
 Thrombo-Embolic Phenomenon.
 Treated with IV Anticoagulants or TPA.
 Call Vascular surgery for Embolus Removal.
Q 8
 What is heart failure ??.
 What is the importance??
 What is the prevalence??
A 8 DEFINITION
 Heart failure is a clinical syndrome not a disease.
 Clinically defined as the inability of the heart at the
normal filling pressures to maintain an output
adequate to meet the metabolic demands of the body.
A—8 IMPORTANCE
 5 million Americans have heart failure
 500,000 new cases of symptomatic heart failure
annually
 20% of hospital admissions among persons older
than 65
 45% annual mortality in severe symptomatic heart
failure
Q 9
 70 years old male with Chronic Heart failure, came to
the clinic for scheduled review, what is commonest
the etiology of his Heart failure??
A 9
 Ischemic heart disease(CAD)
 Hypertension.
 Dilated/Valvular/Drug/ other caueses
Q 10
 60 years old male with DM, HTN, DLP and History of
heart attack 15 YEARS ago , was reviewed in the
clinic on scheduled appointment.
 He is ASYMPTOMATIC.
 ECG is Normal. CXR clear
 Basic Screen is Normal.
 Echo EF 35%.
 What stage of heart failure ??
A 10
Stage B
STAGE B
In all patients with a recent or remote history of MI or ACS and
reduced EF, ACE inhibitors should be used to prevent symptomatic
HF and reduce mortality. In patients intolerant of ACE inhibitors,
ARBs are appropriate unless contraindicated.
In all patients with a recent or remote history of MI or ACS and
reduced EF, evidence-based beta blockers should be used to reduce
mortality.
In all patients with a recent or remote history of MI or ACS, statins
should be used to prevent symptomatic HF and cardiovascular
events.
I IIa IIb III
I IIa IIb III
I IIa IIb III
STAGES, PHENOTYPES AND
TREATMENT OF HF
STAGE A
At high risk for HF but
without structural heart
disease or symptoms of HF
STAGE B
Structural heart disease
but without signs or
symptoms of HF
THERAPY
Goals
· Control symptoms
· Improve HRQOL
· Prevent hospitalization
· Prevent mortality
Strategies
· Identification of comorbidities
Treatment
· Diuresis to relieve symptoms
of congestion
· Follow guideline driven
indications for comorbidities,
e.g., HTN, AF, CAD, DM
· Revascularization or valvular
surgery as appropriate
STAGE C
Structural heart disease
with prior or current
symptoms of HF
THERAPY
Goals
· Control symptoms
· Patient education
· Prevent hospitalization
· Prevent mortality
Drugs for routine use
· Diuretics for fluid retention
· ACEI or ARB
· Beta blockers
· Aldosterone antagonists
Drugs for use in selected patients
· Hydralazine/isosorbide dinitrate
· ACEI and ARB
· Digoxin
In selected patients
· CRT
· ICD
· Revascularization or valvular
surgery as appropriate
STAGE D
Refractory HF
THERAPY
Goals
· Prevent HF symptoms
· Prevent further cardiac
remodeling
Drugs
· ACEI or ARB as
appropriate
· Beta blockers as
appropriate
In selected patients
· ICD
· Revascularization or
valvular surgery as
appropriate
e.g., Patients with:
· Known structural heart disease and
· HF signs and symptoms
HFpEF HFrEF
THERAPY
Goals
· Heart healthy lifestyle
· Prevent vascular,
coronary disease
· Prevent LV structural
abnormalities
Drugs
· ACEI or ARB in
appropriate patients for
vascular disease or DM
· Statins as appropriate
THERAPY
Goals
· Control symptoms
· Improve HRQOL
· Reduce hospital
readmissions
· Establish patient’s end-
of-life goals
Options
· Advanced care
measures
· Heart transplant
· Chronic inotropes
· Temporary or permanent
MCS
· Experimental surgery or
drugs
· Palliative care and
hospice
· ICD deactivation
Refractory
symptoms of HF
at rest, despite
GDMT
At Risk for Heart Failure Heart Failure
e.g., Patients with:
· Marked HF symptoms at
rest
· Recurrent hospitalizations
despite GDMT
e.g., Patients with:
· Previous MI
· LV remodeling including
LVH and low EF
· Asymptomatic valvular
disease
e.g., Patients with:
· HTN
· Atherosclerotic disease
· DM
· Obesity
· Metabolic syndrome
or
Patients
· Using cardiotoxins
· With family history of
cardiomyopathy
Development of
symptoms of HF
Structural heart
disease
Q 11
 You were called to see a 60 years old male with
Chronic Heart failure, admitted to CCU 2 weeks
earlier for the third Time in 3 months, the patient is IV
furosemide 10 mg per hour , IV Dopamine (2MICS),
IN addition to ACEI, BB, MRA, Statins.
 Still SOB .
 What stage of heart failure ??
A 11
Stage D
CLINICAL EVENTS AND FINDINGS USEFUL FOR
IDENTIFYING PATIENTS WITH ADVANCED HF/STAGE
D
Repeated (≥2) hospitalizations or ED visits for HF in the past year
Progressive deterioration in renal function (e.g., rise in BUN and creatinine)
Weight loss without other cause (e.g., cardiac cachexia)
Intolerance to ACE inhibitors due to hypotension and/or worsening renal function
Intolerance to beta blockers due to worsening HF or hypotension
Frequent systolic blood pressure <90 mm Hg
Persistent dyspnea with dressing or bathing requiring rest
Inability to walk 1 block on the level ground due to dyspnea or fatigue
Recent need to escalate diuretics to maintain volume status, often reaching daily
furosemide equivalent dose >160 mg/d and/or use of supplemental metolazone therapy
Progressive decline in serum sodium, usually to <133 mEq/L
Frequent ICD shocks
Adapted from Russell et al. Congest Heart Fail. 2008;14:316-21.
Q 12
 You were called to see a 25 years old male with
Chronic Heart failure due to familial DCM, admitted to
CCU 2 weeks earlier, the patient is IV furosemide 10
mg per hour , IV Dopamine (2MICS), IN addition to
ACEI, BB, MRA, Statins.
 One year ago, he Had an AICD.
What is the best management/Option Now ??
A 12
Heart Transplantation
Indication
Q 13
 70 years old lady with DM, HTN, DLP, Moderate to
severe MR.
 Presented to the ER with Acute Progressive SOB.
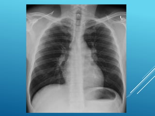
Q 13 - CXR
BNP RESULT
A-13
 Acute LVF/Acute Pulmonary Edema
Q 14
 59 years old male with Stable HF, NYHA class 2, HTN
and DLP.
 He Died while sleeping, what is the likely mode of
death ??
SEVERITY OF HEART FAILURE
MODES OF DEATH
SCA Pump Failure
NYHA Class II 64% 12%
NYHA Class III 59% 26%
NYHA Class IV 33% 56%
MERIT-HF Study Group. Lancet.1999;353:2001-2007.
12%
24%
64%
CHF
Other
Sudden
Death
(N = 103)
NYHA II
26%
15%
59%
CHF
Other
Sudden
Death
(N = 103)
NYHA III
56%
11%
33%
CHF
Other
Sudden
Death
(N = 27)
NYHA IV
UNDERLYING ARRHYTHMIAS OF SCA
Bradycardia
17%
Monomorphic
VT
62% Primary VF
8%
Polymorphic VT 13%
Bayés de Luna A, et al. Am Heart J. 1989;117:151-159.
A 14
VTACH
 Q 15
 Which treatments have been shown to decrease
mortality in patients with HFpEF?
A. ACE inhibitors/ARBs
B. β-blockers
C. Aldosterone antagonists
D. All of the above
E. None of the above
 A15
A. None of the
above
Q 16
A 55-year-old man with known heart failure and LVEF of 37% is reviewed in the
outpatient clinic with breathlessness. He is NYHA class III with no signs of fluid
overload on examination. His BP is 0/60 mmHg, and his heart rate is 55 bpm. He
is on bisoprolol 5 mg od and ramipril 0 mg od. His U&E tests reveal Na 37 mmol/L,
K 4.5 mmol/L, urea 7 mmol/L, and creatinine 85 µmol/L. Which one of the following
medications will you chose next?
A. Furosemide 40 mg od
B. B. Spironolactone 25 mg od
C. C. Digoxin 62.5 micrograms od
D. D. Hydralazine 37.5 mg and isosorbide dinitrate 20 mg od
E. E. Candesartan 4 mg od
A 16
B. A mineralocorticoid receptor antagonist (MRA) (spironolactone or
epleronone) is the next choice of medication in patients with chronic
symptomatic
systolic heart failure (NYHA functional class II–IV) established on
optimal ACE
inhibitor and beta-blocker (BB). An angiotensin receptor blocker (ARB)
is an
alternative if an MRA is not tolerated. No indication for furosemide as
the patient
is not fluid overloaded.
Q 17
An 80-year-old woman is admitted with acute pulmonary oedema on a
background of progressive shortness of breath with exertional chest pain
for 6 months. She has a history of renal impairment with an eGFR of
40 mL/min. She is initially commenced on IV furosemide with good effect.
An echocardiogram reveals LVEF 40% with severe aortic stenosis (AS)
with an estimated valve area of 0.7 cm2. What would you do next?
A. Add a beta-blocker
B. Perform angiography with a view to aortic valve replacement
(AVR)/transcatheter aortic valve implantation
C. Add an ACE inhibitor
D. Implant a CRT-D
E. A and B
A 17
E. The patient has severe AS; therefore an ACE inhibitor is contraindicated.
Symptoms
are probably due to AS and therefore further investigation is needed to
assess for AVR.
Angina symptoms should be treated with a BB in the interim. CRT -D is not
indicated as
severe AS needs addressing and EF is not less than 35% (NICE
Guidelines).
Q 18
You review a 60-year-old man with NHYA class II heart failure in clinic. He has
LVEF 35%, BP 110/50 mmHg, and heart rate 80 bpm (sinus rhythm). Current
medications are bisoprolol 1.25 mg and ramipril 7.5mg. What medication alteration
would you recommend to the GP?
A. Add ivabradine
B. Add spironolactone 25 mg od
C. Add digoxin 62.5 micrograms od
D. Titrate up bisoprolol
E. Add candesartan 4 mg
A 18
D. The patient is not on optimal dosage of BB with a heart rate of 80
bpm; therefore titrate BB in the first instance before adding further
agents. The target dose of bisoprolol is 10 mg or as close as tolerated.
An MRA would be next line if the patient remains in NYHA class II+,
followed by ivabradine if the heart rate remains >70 bpm.
Q 19
A 35-year-old man presents to the medical take with acute heart failure. He
has a 2-week history of progressive breathlessness. Past medical history
includes type II diabetes mellitus. An echocardiogram subsequently shows an
EF of 25% with anterior, septal, and lateral wall motion defects. He is
stabilized on medication with furosemide, spironolactone, bisoprolol, and
ramipril. What would be your next course of investigation?
A. Endomyocardial biopsy
B. Angiogram
C. Viral titres
D. Exercise tolerance test
E. lung function tests
A 19
B. The echocardiogram is suggestive of
ischaemic heart disease being the
aetiology of his symptoms. angiography is
the investigation of choice.
Q 20
A 65-year-old woman with ischaemic cardiomyopathy and LVEF 30% comes for
review in the outpatient clinic. She is NYHA class II and has been optimally
revascularized. Her current heart failure medications are bisoprolol 10 mg od,
ramipril 10 mg od, ivabradine 7.5 mg bd, and spironolactone 25 mg. Her ECG shows
sinus rhythm, left bundle branch block (QRS duration 135 ms), left axis deviation,
and PR interval 80 ms. Which one of the following managements would you
recommend next?
A. Refer for transplant assessment
B. Refer for ICD
C. Refer for CRT-D
D. Refer for CRT-P
E. Perform a dyssynchrony echocardiogram
A 20
C. This is difficult as the 20 2 ESC
Guidelines and NICE Guidelines differ. The
patient
remains in NYHA class II despite optimal
medication and an ECG shows sinus
rhythm and
LBBB. The ESC recommends CRT -D in
patients in sinus rhythm with a QRS
duration of
≥ 30 ms, LBBB QRS morphology, and an
EF ≤30%
Q 21
A 65-year-old man presents to the chest pain clinic with a 2-month history of
exertional chest pain. He has no past medical history of note. on examination his BP
is 130/70 mmHg and his heart rate is 65 bpm in sinus rhythm with a 3/6 pansystolic
murmur. He has a positive Exercise Tolearnce with inferolateral St segment
depression at 5 minutes Bruce protocol. Coronary angiography reveals severe distal
left main stem disease, severe mid-LAD disease, severe mid-circumflex disease,
and severe distal RCA disease. An echocardiogram shows severe mitral
regurgitation with moderate LV systolic dysfunction. CMR confirms viability in all
territories. What should you do next?
A. Refer for multi-vessel angioplasty
B. Continue medical management
C. Refer for CABG
D. Refer for mitral valve repair/replacement
E. C and D
A 21
E. This patient has triple vessel disease with objective evidence of ischaemia.
This is an indication for CABG. The ESC Guidelines recommend concomitant
MVR if the patient has severe MR and LVEF >30% when planned for CABG.
Q 22
You get a phone call from the heart failure nurse specialist regarding a
patient followed up in clinic for titration of medication. He has dilated
cardiomyopathy with an EF of 30%. His most recent BP is
110/60 mmHg with heart rate 60 bpm. He is currently on bisoprolol
7.5 mg od and ramipril 5 mg od. His renal function test results have
been phoned through to the specialist nurse: Na 136 mmol/L, K
5.5 mmol/L, urea 13 mmol/L, creatinine 270 µmol/L. (Baseline before
titration of ACE inhibitor: Na 138 mmol/L, K 4.8 mmol/L, urea 8 mmol/L,
creatinine 180 µmol/L.) What would be your advice?
A. Continue current medication and recheck u&E at week
B. Stop ramipril and recheck u&E at 1 week
C. Add spironolactone and recheck u&E at 1 week
D. Halve dose of ramipril and recheck u&E at 1 week
E. Stop all medication and recheck u&E at 1 week
A 22
D. ESC Guidelines suggest that if creatinine is 265–300 μmol/L or K+ >5.5
mmol/L the dose of ACE inhibitor should be halved and blood chemistry
should be monitored closely.
Q 23
A 36-year-old woman with known idiopathic dilated cardiomyopathy
(confirmed by TTE and angiography) is reviewed in the heart failure
clinic. She is NYHA class III. Her current medication is bisoprolol
10 mg od, ramipril 7.5 mg od, spironolactone 25 mg od, digoxin
62.5 micrograms od, furosemide 40 mg bd. She has CRT-D in situ.
Her heart rate is 70 bpm and her BP is 85/40 mmHg. She has mild
peripheral oedema and a raised JVP.
What is your next step?
A. Add candesartan 8 mg od
B. Perform CMR
C. Refer for transplant assessment
D. Increase ramipril
E. Stop ramipril and furosemide
A 23
C. Transplant candidate if endstage heart disease with a life expectancy of
12–18 months, NYHA class III or IV heart failure, refractory to medical therapy
including cardiac resynchronization therapy.
Q 24
A 57-year-old woman with known heart failure and EF 42% is
reviewed in clinic. She is breathless on walking up one flight
of stairs or half a mile on the flat. On examination, her BP is
130/90 mmHg and her heart rate is 75 bpm (SR, ECG QRS <
120 ms). Her chest is clear to auscultation. There are no signs
of fluid overload. Her current medication is carvedilol 25 mg
bd, furosemide 40 mg od, and digoxin 62.5 micrograms od. Her
recent renal function tests are Na 140 mmol/L, K 5.0 mmol/L,
urea 3.5 mmol/L, and creatinine 236 μmol/L. She has not
previously tolerated an ACE inhibitor or spironolactone because
of deteriorating renal function and hyperkalaemia.
What would you do next?
A. Add hydralazine and isosorbide dinitrate (H-ISDN)
B. Add candesartan
C. Add eplerenone
D. Add furosemide
E. Add ivabradine
A 24
A. An ACE inhibitor should only be used in patients with adequate renal
function (creatinine ≤220 mmol/L or ≤2.5 mg/dL or eGFR ≥30 mL/min/1.73
m2) and a normal serum potassium level. Candesartan and epleronone are
also contraindicated in view of the renal function. Furosemide is not
indicated because of fluid status. Ivabradine requires an EF <35%. H-ISDN
is an alternative to ACE inhibitor/ARB when they are not tolerated, or can be
considered in patients on maximal therapy and residual NYHA class II–IV
symptoms and EF ≥35%.
Q 25
A 30-year-old man had a cardiac transplant 5 years previously
because of dilated cardiomyopathy. He initially did very well
post-transplant. However, he has noticed that he is progressively
short of breath on exertion. His TTE shows mid and apical
anterior hypokinesia.
What is the most likely diagnosis?
A. Acute T-cell rejection
B. Non-Hodgkin’s lymphoma
C. Coronary vasculopathy
D. Sarcoidosis
E. None of the above
A 25
C. The patient most likely has coronary vasculopathy. The incidence of
this is 30–40% at 5 years. It progresses slowly, but as the heart is
denervated a high clinical suspicion is
required.
Q 26
Which one of the following best describes the actions of ACE?
A. Promotes the degradation of angiotensin II
B. Directly stimulates the synthesis of aldosterone
C. Stimulates the production of norepinephrine
D. Converts angiotensin I to angiotensin II
E. All of the above
A 26
D. ACE is produced by vascular endothelial cells in the pulmonary vasculature
(and systemic vascular endothelium). It converts angiotensin I to the active
angiotensin II and promotes the production of bradykinin. An ACE inhibitor
blocks the formation
of angiotensin II and provides survival benefit in patients with LV systolic
dysfunction. Angiotensin II stimulates the production of aldosterone and
norepinephrine.
Q 27
Which one of the following is not a contraindication to an ACE
inhibitor?
A. History of angioedema
B. Known renal artery stenosis
C. TTE(Echocardiography) showing AVA 1.2 cm2
D. Serum creatinine 250 μmol/L
E. Serum potassium 5.5 mmol/L
A 27
C. TTE suggests moderate aortic stenosis, not severe AS, which is not a
contraindication to starting an ACE inhibitor. All other answers are
contraindications to starting an ACE inhibitor.
Q 28
A 42-year-old Caucasian woman presents to the outpatient clinic
when she is 20 weeks pregnant. This is her second pregnancy
and was unplanned. Her first pregnancy was complicated by
peripartum cardiomyopathy with moderate impairment of left
ventricular systolic function. However, she did have complete
resolution of systolic function 6 months after the birth of her
first child.
Which one of the following statements is true?
A. Her risk of death during this pregnancy is significantly increased
B. Her risk of developing heart failure during the pregnancy is around 20%
C. If she develops cardiomyopathy during this pregnancy, the likelihood of resolution of LV
function after pregnancy is high
D. Prophylactic use of ACE inhibitors is mandatory
E. Early detection of heart failure by clinical examination during the pregnancy will be
sufficiently sensitive to detect deteriorating LV function
A 28
B. Patients with previous peripartum cardiomyopathy with complete resolution
of LV function have a low mortality risk in subsequent pregnancies. The risk of
re-developing the cardiomyopathy is higher, with 20% presenting with heart
failure with a reduction
in the likelihood of resolution of LV function. ACE inhibitors are
contraindicated in the first trimester of pregnancy. Examination findings in
preganancy can be very misleading as systolic murmurs, third heart sound,
and ankle oedema can be detected in normal
pregnancy.
Q 2 9
 Digoxin toxicity may present with all the following
except?
 a- Color visual defect
 b-GI upset
 c- Bidirectional VT
 d-headache
 e - All of the above
ANSWER TO Q 29
 e –All of the above
Q 30
 Digoxin toxicity is more found except
 a-young men
 b- elederly females.
 c-Renal impairement.
 d-Liver impairment
 e- a,d
A-30
 e- a,d
Q 31
 All the following electrocardiogram (ECG) findings re
suggestive of left ventricular hypertrophy except
 A. (S in V1 + R in V5 or V6) >35 mm
 B. R in aVL >11 mm
 C. R in aVF >20 mm
 D. (R in I + S in III) >25 mm
 E. R in aVR >8 mm
A 31
 E. R in aVR >8 mm
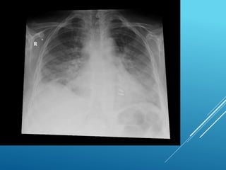
Q 32 37 YEARS OLD MALE WITH ACUTE
SOB AND PLEURITIC CHEST PAIN
Normal Size LV ,
Dilated RV
NORMAL STANDARD ECHO
Q 32 , THE DIAGNOSIS IS
A- Dilated Cardiomyopathy
B-Acute Sub Endo cardial ischemia
C-Pulmonary embolism
D-Acute STEMI
A32
 C-Pulmonary Embolism

Approach to heart failure cases

  • 1.
    APPROACH TO HEART FAILURECASES WITH ESC 2016 GUIDELINES INCLUDED Dr Ihab Suliman 2018
  • 6.
    DEFINITION  Heart failureis a complex syndrome of symptoms and signs  Prognosis can be improved considerably by early diagnosis and optimal treatment  These clinical case scenarios illustrate the application of the recommendations in ‘Chronic heart failure’ to the care of patients presenting to primary care with symptoms of heart failure
  • 7.
    The new Guidelineson Heart Failure
  • 9.
    •Elevated jugular venous pressure •Pulmonarycrackles •Peripheral oedema Signs of Heart Failure
  • 10.
    DIAGNOSTIC ALGORITHM FOR A DIAGNOSISOF HEART FAILURE OF NON-ACUTE ONSET
  • 11.
    DIAGNOSTIC ALGORITHM FORA DIAGNOSIS OF HEART FAILURE OF NON-ACUTE ONSET
  • 12.
    12 A New Classification •Heartfailure with preserved, mid-range and reduced EF The only category with evidence based medicine is HF rEF
  • 13.
    • Imaging todiagnose HF • Imaging to study the cause of HF • Imaging to follow the syndrome and to determine prognosis The New Guidelines suggest several imaging tests
  • 14.
    • HFrEF isa clinical syndrome, originated in the heart, driven by myocardial cell loss and fibrosis, with an important systemic component (neuro- hormonal) . HF with reduced or preserved EF are two distinct entities
  • 15.
    Objectives of thetreatment of heart failure with reduced ejection fraction • Reduce mortality • Improve • clinical status • functional capacity • quality of life, prevent hospital admission • Preventing HF hospitalization and improving functional capacity are important benefits to be considered in chronic heart failure
  • 16.
  • 17.
    Initial management ofsymptomatic HF with reduced ejection fraction.
  • 18.
    THERAPEUTIC ALGORITHM FORA PATIENT WITH PERSISTENT SYMPTOMATIC HF WITH REDUCED EJECTION FRACTION.
  • 19.
    ANGIOTENSIN RECEPTOR NEPRILYSININHIBITOR (SACUBITRIL/VALSARTAN) • LCZ 696 is indicated in patients with: • ambulatory, symptomatic HFrEF • LVEF ≤35% • elevated plasma NP levels (BNP ≥150 pg/mL or NT-proBNP ≥600 pg/mL) • estimated GFR (eGFR) ≥30 mL/min/1.73 m2 of body surface area • who are able to tolerate treatment with enalapril (at least 10 mg b.i.d.) • Some relevant safety issues remain when initiating therapy with this drug in clinical practice: • symptomatic hypotension • risk of angioedema (ACEI should be withheld for at least 36 h before initiating LCZ696) • concerns about its effects on the degradation of beta-amyloid peptide in the brain
  • 20.
    PARADIGM-HF: All-Cause Mortality 4187 4212 4056 4051 3891 3860 3282 3231 2478 2410 1716 1726 1005 994 280 279 LCZ696 Enalapril Enalapril (n=4212) LCZ696 (n=4187) HR= 0.84 (0.76-0.93) P<0.0001 Kaplan-MeierEstimateof CumulativeRates(%) Days After Randomization Patients at Risk 360 720 10800 180 540 900 1260 0 16 32 24 8 835 711
  • 22.
    ANGIOTENSIN II TYPEI RECEPTOR BLOCKERS • ARBs are recommended only as an alternative in patients intolerant of an ACEI • The combination of ACEI/ARB should be restricted to symptomatic HFrEF patients receiving a beta-blocker who are unable to tolerate an MRA, and must be used under strict supervision Other pharmacological treatments recommended in selected patients with symptomatic (NYHA Class II-IV) HFrEF Combination of hydralazine and isosorbide dinitrate • There is no clear evidence to suggest the use of this fix-dose combination therapy in all patients with HFrEF • This combination may be considered in patients who can tolerate neither ACEi nor ARB
  • 23.
    THERAPEUTIC ALGORITHM FORA PATIENT WITH SYMPTOMATIC HF WITH REDUCED EJECTION FRACTION.NEXT STEPS
  • 24.
  • 25.
    CRT 25 QRS >150ms (+/- LBBB) (+/-AF) NYHA III LVEF <35% QRS 120(130 if NYHA II)-150ms • Only LBBB • Only AF if NYHA III NYHA II LVEF <30% 2016 • QRS >130ms • LVEF <35% • If SR - NYHA II-IV • If AF - NYHA III-IV • Longer QRS  Greater Benefit • Does QRS Morphology Matter? 2012
  • 27.
    CASE 1  A73-year-old female has shortness of breath when lying down. She has found that using a couple of pillows at night makes it easier to breathe.  Past medical history  Hypertension was diagnosed 3 years ago and is being treated with atenolol.  On examination  You find bilateral basal crepitations and a laterally displaced apical impulse.
  • 28.
  • 30.
     You suspectheart failure. What tests would you order?
  • 31.
     BNP  ECG Troponin  Echocardiography
  • 33.
    AMBULATORY/OUTPATIENT In ambulatory patientswith dyspnea, measurement of BNP or N-terminal pro-B-type natriuretic peptide (NT- proBNP) is useful to support clinical decision making regarding the diagnosis of HF, especially in the setting of clinical uncertainty. Measurement of BNP or NT-proBNP is useful for establishing prognosis or disease severity in chronic HF. I IIa IIb III I IIa IIb III
  • 34.
    QUESTION, HOW TOMANGE  The echocardiogram shows dilated and moderately impaired left ventricular contraction, and mild mitral regurgitation. The specialist advises the introduction of an ACE inhibitor and a beta-blocker. What medications would you start, how would you manage the introduction of these medications?
  • 35.
    ANSWER CASE 1 Start the patient on an ACE inhibitor such as Lisinopril/Enalapril 2.5-20 mg twice daily and then change the atenolol to a beta-blocker licensed for heart failure such as carvedilol 3.125 mg twice daily or Bisoprolol (Concor).  You up titrate both the ACEI and BB to the maximum tolerated doses.  You monitor renal function at initiation of ACEI and after each dose increment.
  • 36.
    OTHER INVESTIGATIONS  CoronaryAngiogram, CAD is Responsible for 40-50% of CHF Cases.  Nuclear Perfusion imaging.
  • 37.
    CASE 2  70years old male with DM, HTN, DLP and Stage C Heart failure, NYHA class 2.  Recently Developed palpitations and he became more SOB, he is Now SOB at Rest.  Why ??
  • 38.
    PRECIPITANT FACTORS OF HEARTFAILURE?  Non Compliance.  Coronary Ischemia.  HTN.  Anemia.  Infections.  NSAIDs and Steroids. Arrhythmias (AF)
  • 39.
    CASE 3  A57-year-old male is a non-smoker and has a 3-week history of dry persistent cough. The cough is interfering with his ability to sleep at night and function during the day. He has not had any recent chest infection to account for the cough.  Past medical history  He has heart failure due to left ventricular systolic dysfunction, which is being treated with bisoprolol 10 mg daily(Concor) and ramipril 7.5 mg daily( ACEI).  On examination  You find his chest is clear and there are no signs of fluid overload.  Next steps for diagnosis  7.1 Question:  What would you do next?
  • 40.
    A 3  TheBNP level is 86 pg/ml, what does this indicate?s o the cough is not caused by uncontrolled heart failure.  Next steps for management  What would you do next to help ease the cough?  You advise the patient to stop taking the ACE inhibitor (ramipril), and to start an angiotensin II receptor antagonist (ARB) licensed for heart failure (for example, candesartan 8 mg daily).  You monitor for signs of renal impairment and hyperkalaemia.
  • 42.
    CASE 4  A57-year-old male is a non-smoker and has NYHA class 3 . Past medical history  He has heart failure due to left ventricular systolic dysfunction, which is being treated with bisoprolol 10 mg daily(Concor) and ramipril 7.5 mg daily(ACEI). Furosemide 80 mg Daily.  Creat 100, Potassium 3.5  What Treatment for His SOB?
  • 43.
    A-4  Spironolactone 25mgdaily and Monitor Serum Potassium.  It can causes Gyne-comastia in 10% of males.  Sometimes unilateral or bilateral or Painful.
  • 44.
    CASE 5  Twoweeks ago, a 63 year old Patient with heart failure received a new prescription for carvedilol (Coreg) 3.125 mg orally. Upon evaluation in the outpatient clinic these symptoms are found. Which is of most concern?  A. Complaints of increased fatigue and dyspnea.  B. Weight increase of 0.5kg in 2 weeks.  C. Bibasilar crackles audible in the posterior chest.  D. Sinus bradycardia, rate 50 as evidenced by the EKG
  • 45.
    A-5  Sinus bradycardia,rate 50 as evidenced by the EKG
  • 46.
    CASE -6  TheIntern is caring for a hospitalized Patient with heart failure who is receiving captopril (Capoten) and spironolactone (aldactone). Which lab value will be most important to monitor?  A. Sodium  B. Blood urea nitrogen (BUN)  C. Potassium  D. Alkaline phosphatase (ALP)
  • 47.
    A 6  C.Potassium
  • 48.
    CASE 7  Theechocardiagram indicates a large thrombus in the left atrium of a Patient admitted with heart failure.  During the night, the Patient complains of severe, sudden onset left foot pain.  It is noted that no pulse is palpable in the left foot and that it is cold and pale. Which action should be taken next?
  • 49.
    A 7  Thrombo-EmbolicPhenomenon.  Treated with IV Anticoagulants or TPA.  Call Vascular surgery for Embolus Removal.
  • 50.
    Q 8  Whatis heart failure ??.  What is the importance??  What is the prevalence??
  • 51.
    A 8 DEFINITION Heart failure is a clinical syndrome not a disease.  Clinically defined as the inability of the heart at the normal filling pressures to maintain an output adequate to meet the metabolic demands of the body.
  • 52.
    A—8 IMPORTANCE  5million Americans have heart failure  500,000 new cases of symptomatic heart failure annually  20% of hospital admissions among persons older than 65  45% annual mortality in severe symptomatic heart failure
  • 53.
    Q 9  70years old male with Chronic Heart failure, came to the clinic for scheduled review, what is commonest the etiology of his Heart failure??
  • 54.
    A 9  Ischemicheart disease(CAD)  Hypertension.  Dilated/Valvular/Drug/ other caueses
  • 55.
    Q 10  60years old male with DM, HTN, DLP and History of heart attack 15 YEARS ago , was reviewed in the clinic on scheduled appointment.  He is ASYMPTOMATIC.  ECG is Normal. CXR clear  Basic Screen is Normal.  Echo EF 35%.  What stage of heart failure ??
  • 56.
  • 57.
    STAGE B In allpatients with a recent or remote history of MI or ACS and reduced EF, ACE inhibitors should be used to prevent symptomatic HF and reduce mortality. In patients intolerant of ACE inhibitors, ARBs are appropriate unless contraindicated. In all patients with a recent or remote history of MI or ACS and reduced EF, evidence-based beta blockers should be used to reduce mortality. In all patients with a recent or remote history of MI or ACS, statins should be used to prevent symptomatic HF and cardiovascular events. I IIa IIb III I IIa IIb III I IIa IIb III
  • 58.
    STAGES, PHENOTYPES AND TREATMENTOF HF STAGE A At high risk for HF but without structural heart disease or symptoms of HF STAGE B Structural heart disease but without signs or symptoms of HF THERAPY Goals · Control symptoms · Improve HRQOL · Prevent hospitalization · Prevent mortality Strategies · Identification of comorbidities Treatment · Diuresis to relieve symptoms of congestion · Follow guideline driven indications for comorbidities, e.g., HTN, AF, CAD, DM · Revascularization or valvular surgery as appropriate STAGE C Structural heart disease with prior or current symptoms of HF THERAPY Goals · Control symptoms · Patient education · Prevent hospitalization · Prevent mortality Drugs for routine use · Diuretics for fluid retention · ACEI or ARB · Beta blockers · Aldosterone antagonists Drugs for use in selected patients · Hydralazine/isosorbide dinitrate · ACEI and ARB · Digoxin In selected patients · CRT · ICD · Revascularization or valvular surgery as appropriate STAGE D Refractory HF THERAPY Goals · Prevent HF symptoms · Prevent further cardiac remodeling Drugs · ACEI or ARB as appropriate · Beta blockers as appropriate In selected patients · ICD · Revascularization or valvular surgery as appropriate e.g., Patients with: · Known structural heart disease and · HF signs and symptoms HFpEF HFrEF THERAPY Goals · Heart healthy lifestyle · Prevent vascular, coronary disease · Prevent LV structural abnormalities Drugs · ACEI or ARB in appropriate patients for vascular disease or DM · Statins as appropriate THERAPY Goals · Control symptoms · Improve HRQOL · Reduce hospital readmissions · Establish patient’s end- of-life goals Options · Advanced care measures · Heart transplant · Chronic inotropes · Temporary or permanent MCS · Experimental surgery or drugs · Palliative care and hospice · ICD deactivation Refractory symptoms of HF at rest, despite GDMT At Risk for Heart Failure Heart Failure e.g., Patients with: · Marked HF symptoms at rest · Recurrent hospitalizations despite GDMT e.g., Patients with: · Previous MI · LV remodeling including LVH and low EF · Asymptomatic valvular disease e.g., Patients with: · HTN · Atherosclerotic disease · DM · Obesity · Metabolic syndrome or Patients · Using cardiotoxins · With family history of cardiomyopathy Development of symptoms of HF Structural heart disease
  • 59.
    Q 11  Youwere called to see a 60 years old male with Chronic Heart failure, admitted to CCU 2 weeks earlier for the third Time in 3 months, the patient is IV furosemide 10 mg per hour , IV Dopamine (2MICS), IN addition to ACEI, BB, MRA, Statins.  Still SOB .  What stage of heart failure ??
  • 60.
  • 61.
    CLINICAL EVENTS ANDFINDINGS USEFUL FOR IDENTIFYING PATIENTS WITH ADVANCED HF/STAGE D Repeated (≥2) hospitalizations or ED visits for HF in the past year Progressive deterioration in renal function (e.g., rise in BUN and creatinine) Weight loss without other cause (e.g., cardiac cachexia) Intolerance to ACE inhibitors due to hypotension and/or worsening renal function Intolerance to beta blockers due to worsening HF or hypotension Frequent systolic blood pressure <90 mm Hg Persistent dyspnea with dressing or bathing requiring rest Inability to walk 1 block on the level ground due to dyspnea or fatigue Recent need to escalate diuretics to maintain volume status, often reaching daily furosemide equivalent dose >160 mg/d and/or use of supplemental metolazone therapy Progressive decline in serum sodium, usually to <133 mEq/L Frequent ICD shocks Adapted from Russell et al. Congest Heart Fail. 2008;14:316-21.
  • 62.
    Q 12  Youwere called to see a 25 years old male with Chronic Heart failure due to familial DCM, admitted to CCU 2 weeks earlier, the patient is IV furosemide 10 mg per hour , IV Dopamine (2MICS), IN addition to ACEI, BB, MRA, Statins.  One year ago, he Had an AICD. What is the best management/Option Now ??
  • 63.
  • 64.
  • 65.
    Q 13  70years old lady with DM, HTN, DLP, Moderate to severe MR.  Presented to the ER with Acute Progressive SOB.
  • 66.
    Q 13 -CXR
  • 68.
  • 69.
    A-13  Acute LVF/AcutePulmonary Edema
  • 70.
    Q 14  59years old male with Stable HF, NYHA class 2, HTN and DLP.  He Died while sleeping, what is the likely mode of death ??
  • 71.
    SEVERITY OF HEARTFAILURE MODES OF DEATH SCA Pump Failure NYHA Class II 64% 12% NYHA Class III 59% 26% NYHA Class IV 33% 56% MERIT-HF Study Group. Lancet.1999;353:2001-2007. 12% 24% 64% CHF Other Sudden Death (N = 103) NYHA II 26% 15% 59% CHF Other Sudden Death (N = 103) NYHA III 56% 11% 33% CHF Other Sudden Death (N = 27) NYHA IV
  • 72.
    UNDERLYING ARRHYTHMIAS OFSCA Bradycardia 17% Monomorphic VT 62% Primary VF 8% Polymorphic VT 13% Bayés de Luna A, et al. Am Heart J. 1989;117:151-159.
  • 73.
  • 74.
     Q 15 Which treatments have been shown to decrease mortality in patients with HFpEF? A. ACE inhibitors/ARBs B. β-blockers C. Aldosterone antagonists D. All of the above E. None of the above
  • 75.
     A15 A. Noneof the above
  • 77.
    Q 16 A 55-year-oldman with known heart failure and LVEF of 37% is reviewed in the outpatient clinic with breathlessness. He is NYHA class III with no signs of fluid overload on examination. His BP is 0/60 mmHg, and his heart rate is 55 bpm. He is on bisoprolol 5 mg od and ramipril 0 mg od. His U&E tests reveal Na 37 mmol/L, K 4.5 mmol/L, urea 7 mmol/L, and creatinine 85 µmol/L. Which one of the following medications will you chose next? A. Furosemide 40 mg od B. B. Spironolactone 25 mg od C. C. Digoxin 62.5 micrograms od D. D. Hydralazine 37.5 mg and isosorbide dinitrate 20 mg od E. E. Candesartan 4 mg od
  • 78.
    A 16 B. Amineralocorticoid receptor antagonist (MRA) (spironolactone or epleronone) is the next choice of medication in patients with chronic symptomatic systolic heart failure (NYHA functional class II–IV) established on optimal ACE inhibitor and beta-blocker (BB). An angiotensin receptor blocker (ARB) is an alternative if an MRA is not tolerated. No indication for furosemide as the patient is not fluid overloaded.
  • 79.
    Q 17 An 80-year-oldwoman is admitted with acute pulmonary oedema on a background of progressive shortness of breath with exertional chest pain for 6 months. She has a history of renal impairment with an eGFR of 40 mL/min. She is initially commenced on IV furosemide with good effect. An echocardiogram reveals LVEF 40% with severe aortic stenosis (AS) with an estimated valve area of 0.7 cm2. What would you do next? A. Add a beta-blocker B. Perform angiography with a view to aortic valve replacement (AVR)/transcatheter aortic valve implantation C. Add an ACE inhibitor D. Implant a CRT-D E. A and B
  • 80.
    A 17 E. Thepatient has severe AS; therefore an ACE inhibitor is contraindicated. Symptoms are probably due to AS and therefore further investigation is needed to assess for AVR. Angina symptoms should be treated with a BB in the interim. CRT -D is not indicated as severe AS needs addressing and EF is not less than 35% (NICE Guidelines).
  • 81.
    Q 18 You reviewa 60-year-old man with NHYA class II heart failure in clinic. He has LVEF 35%, BP 110/50 mmHg, and heart rate 80 bpm (sinus rhythm). Current medications are bisoprolol 1.25 mg and ramipril 7.5mg. What medication alteration would you recommend to the GP? A. Add ivabradine B. Add spironolactone 25 mg od C. Add digoxin 62.5 micrograms od D. Titrate up bisoprolol E. Add candesartan 4 mg
  • 82.
    A 18 D. Thepatient is not on optimal dosage of BB with a heart rate of 80 bpm; therefore titrate BB in the first instance before adding further agents. The target dose of bisoprolol is 10 mg or as close as tolerated. An MRA would be next line if the patient remains in NYHA class II+, followed by ivabradine if the heart rate remains >70 bpm.
  • 83.
    Q 19 A 35-year-oldman presents to the medical take with acute heart failure. He has a 2-week history of progressive breathlessness. Past medical history includes type II diabetes mellitus. An echocardiogram subsequently shows an EF of 25% with anterior, septal, and lateral wall motion defects. He is stabilized on medication with furosemide, spironolactone, bisoprolol, and ramipril. What would be your next course of investigation? A. Endomyocardial biopsy B. Angiogram C. Viral titres D. Exercise tolerance test E. lung function tests
  • 84.
    A 19 B. Theechocardiogram is suggestive of ischaemic heart disease being the aetiology of his symptoms. angiography is the investigation of choice.
  • 85.
    Q 20 A 65-year-oldwoman with ischaemic cardiomyopathy and LVEF 30% comes for review in the outpatient clinic. She is NYHA class II and has been optimally revascularized. Her current heart failure medications are bisoprolol 10 mg od, ramipril 10 mg od, ivabradine 7.5 mg bd, and spironolactone 25 mg. Her ECG shows sinus rhythm, left bundle branch block (QRS duration 135 ms), left axis deviation, and PR interval 80 ms. Which one of the following managements would you recommend next? A. Refer for transplant assessment B. Refer for ICD C. Refer for CRT-D D. Refer for CRT-P E. Perform a dyssynchrony echocardiogram
  • 86.
    A 20 C. Thisis difficult as the 20 2 ESC Guidelines and NICE Guidelines differ. The patient remains in NYHA class II despite optimal medication and an ECG shows sinus rhythm and LBBB. The ESC recommends CRT -D in patients in sinus rhythm with a QRS duration of ≥ 30 ms, LBBB QRS morphology, and an EF ≤30%
  • 87.
    Q 21 A 65-year-oldman presents to the chest pain clinic with a 2-month history of exertional chest pain. He has no past medical history of note. on examination his BP is 130/70 mmHg and his heart rate is 65 bpm in sinus rhythm with a 3/6 pansystolic murmur. He has a positive Exercise Tolearnce with inferolateral St segment depression at 5 minutes Bruce protocol. Coronary angiography reveals severe distal left main stem disease, severe mid-LAD disease, severe mid-circumflex disease, and severe distal RCA disease. An echocardiogram shows severe mitral regurgitation with moderate LV systolic dysfunction. CMR confirms viability in all territories. What should you do next? A. Refer for multi-vessel angioplasty B. Continue medical management C. Refer for CABG D. Refer for mitral valve repair/replacement E. C and D
  • 88.
    A 21 E. Thispatient has triple vessel disease with objective evidence of ischaemia. This is an indication for CABG. The ESC Guidelines recommend concomitant MVR if the patient has severe MR and LVEF >30% when planned for CABG.
  • 89.
    Q 22 You geta phone call from the heart failure nurse specialist regarding a patient followed up in clinic for titration of medication. He has dilated cardiomyopathy with an EF of 30%. His most recent BP is 110/60 mmHg with heart rate 60 bpm. He is currently on bisoprolol 7.5 mg od and ramipril 5 mg od. His renal function test results have been phoned through to the specialist nurse: Na 136 mmol/L, K 5.5 mmol/L, urea 13 mmol/L, creatinine 270 µmol/L. (Baseline before titration of ACE inhibitor: Na 138 mmol/L, K 4.8 mmol/L, urea 8 mmol/L, creatinine 180 µmol/L.) What would be your advice? A. Continue current medication and recheck u&E at week B. Stop ramipril and recheck u&E at 1 week C. Add spironolactone and recheck u&E at 1 week D. Halve dose of ramipril and recheck u&E at 1 week E. Stop all medication and recheck u&E at 1 week
  • 90.
    A 22 D. ESCGuidelines suggest that if creatinine is 265–300 μmol/L or K+ >5.5 mmol/L the dose of ACE inhibitor should be halved and blood chemistry should be monitored closely.
  • 91.
    Q 23 A 36-year-oldwoman with known idiopathic dilated cardiomyopathy (confirmed by TTE and angiography) is reviewed in the heart failure clinic. She is NYHA class III. Her current medication is bisoprolol 10 mg od, ramipril 7.5 mg od, spironolactone 25 mg od, digoxin 62.5 micrograms od, furosemide 40 mg bd. She has CRT-D in situ. Her heart rate is 70 bpm and her BP is 85/40 mmHg. She has mild peripheral oedema and a raised JVP. What is your next step? A. Add candesartan 8 mg od B. Perform CMR C. Refer for transplant assessment D. Increase ramipril E. Stop ramipril and furosemide
  • 92.
    A 23 C. Transplantcandidate if endstage heart disease with a life expectancy of 12–18 months, NYHA class III or IV heart failure, refractory to medical therapy including cardiac resynchronization therapy.
  • 93.
    Q 24 A 57-year-oldwoman with known heart failure and EF 42% is reviewed in clinic. She is breathless on walking up one flight of stairs or half a mile on the flat. On examination, her BP is 130/90 mmHg and her heart rate is 75 bpm (SR, ECG QRS < 120 ms). Her chest is clear to auscultation. There are no signs of fluid overload. Her current medication is carvedilol 25 mg bd, furosemide 40 mg od, and digoxin 62.5 micrograms od. Her recent renal function tests are Na 140 mmol/L, K 5.0 mmol/L, urea 3.5 mmol/L, and creatinine 236 μmol/L. She has not previously tolerated an ACE inhibitor or spironolactone because of deteriorating renal function and hyperkalaemia. What would you do next? A. Add hydralazine and isosorbide dinitrate (H-ISDN) B. Add candesartan C. Add eplerenone D. Add furosemide E. Add ivabradine
  • 94.
    A 24 A. AnACE inhibitor should only be used in patients with adequate renal function (creatinine ≤220 mmol/L or ≤2.5 mg/dL or eGFR ≥30 mL/min/1.73 m2) and a normal serum potassium level. Candesartan and epleronone are also contraindicated in view of the renal function. Furosemide is not indicated because of fluid status. Ivabradine requires an EF <35%. H-ISDN is an alternative to ACE inhibitor/ARB when they are not tolerated, or can be considered in patients on maximal therapy and residual NYHA class II–IV symptoms and EF ≥35%.
  • 95.
    Q 25 A 30-year-oldman had a cardiac transplant 5 years previously because of dilated cardiomyopathy. He initially did very well post-transplant. However, he has noticed that he is progressively short of breath on exertion. His TTE shows mid and apical anterior hypokinesia. What is the most likely diagnosis? A. Acute T-cell rejection B. Non-Hodgkin’s lymphoma C. Coronary vasculopathy D. Sarcoidosis E. None of the above
  • 96.
    A 25 C. Thepatient most likely has coronary vasculopathy. The incidence of this is 30–40% at 5 years. It progresses slowly, but as the heart is denervated a high clinical suspicion is required.
  • 97.
    Q 26 Which oneof the following best describes the actions of ACE? A. Promotes the degradation of angiotensin II B. Directly stimulates the synthesis of aldosterone C. Stimulates the production of norepinephrine D. Converts angiotensin I to angiotensin II E. All of the above
  • 98.
    A 26 D. ACEis produced by vascular endothelial cells in the pulmonary vasculature (and systemic vascular endothelium). It converts angiotensin I to the active angiotensin II and promotes the production of bradykinin. An ACE inhibitor blocks the formation of angiotensin II and provides survival benefit in patients with LV systolic dysfunction. Angiotensin II stimulates the production of aldosterone and norepinephrine.
  • 99.
    Q 27 Which oneof the following is not a contraindication to an ACE inhibitor? A. History of angioedema B. Known renal artery stenosis C. TTE(Echocardiography) showing AVA 1.2 cm2 D. Serum creatinine 250 μmol/L E. Serum potassium 5.5 mmol/L
  • 100.
    A 27 C. TTEsuggests moderate aortic stenosis, not severe AS, which is not a contraindication to starting an ACE inhibitor. All other answers are contraindications to starting an ACE inhibitor.
  • 101.
    Q 28 A 42-year-oldCaucasian woman presents to the outpatient clinic when she is 20 weeks pregnant. This is her second pregnancy and was unplanned. Her first pregnancy was complicated by peripartum cardiomyopathy with moderate impairment of left ventricular systolic function. However, she did have complete resolution of systolic function 6 months after the birth of her first child. Which one of the following statements is true? A. Her risk of death during this pregnancy is significantly increased B. Her risk of developing heart failure during the pregnancy is around 20% C. If she develops cardiomyopathy during this pregnancy, the likelihood of resolution of LV function after pregnancy is high D. Prophylactic use of ACE inhibitors is mandatory E. Early detection of heart failure by clinical examination during the pregnancy will be sufficiently sensitive to detect deteriorating LV function
  • 102.
    A 28 B. Patientswith previous peripartum cardiomyopathy with complete resolution of LV function have a low mortality risk in subsequent pregnancies. The risk of re-developing the cardiomyopathy is higher, with 20% presenting with heart failure with a reduction in the likelihood of resolution of LV function. ACE inhibitors are contraindicated in the first trimester of pregnancy. Examination findings in preganancy can be very misleading as systolic murmurs, third heart sound, and ankle oedema can be detected in normal pregnancy.
  • 103.
    Q 2 9 Digoxin toxicity may present with all the following except?  a- Color visual defect  b-GI upset  c- Bidirectional VT  d-headache  e - All of the above
  • 104.
    ANSWER TO Q29  e –All of the above
  • 106.
    Q 30  Digoxintoxicity is more found except  a-young men  b- elederly females.  c-Renal impairement.  d-Liver impairment  e- a,d
  • 107.
  • 109.
    Q 31  Allthe following electrocardiogram (ECG) findings re suggestive of left ventricular hypertrophy except  A. (S in V1 + R in V5 or V6) >35 mm  B. R in aVL >11 mm  C. R in aVF >20 mm  D. (R in I + S in III) >25 mm  E. R in aVR >8 mm
  • 110.
    A 31  E.R in aVR >8 mm
  • 111.
    Q 32 37YEARS OLD MALE WITH ACUTE SOB AND PLEURITIC CHEST PAIN
  • 114.
    Normal Size LV, Dilated RV
  • 115.
  • 116.
    Q 32 ,THE DIAGNOSIS IS A- Dilated Cardiomyopathy B-Acute Sub Endo cardial ischemia C-Pulmonary embolism D-Acute STEMI
  • 117.