Approach to
cholestatic Jaundice

Dr.Ram Raut -JR III
(Medicine)
Guide - Dr.D.B. Kadam
Seminar Teacher- Dr.Nitin
Pai
• A 45-year-old male ….
• C/O –
 Yellowish discoloration of eyes, itching & lowgrade intermittent fever since 3 months.
 Swelling over the feet, abdominal distension and
abdominal pain since last month.

• Past alcoholic but had stopped since one year.
• Denied any high-risk sexual behavior.
Jaundice
Normal Bilirubin
Metabolism
CholestasisDefinition –
Conjugated hyperbilirubinemia due to :
I. Impaired bile formation (hepatocytes)
II. Impaired bile flow (bile ducts/ductules)

Consequences• Secondary liver damage
I. Bile acid-induced hepatocyte injury
II. Secondary biliary cirrhosis

• Failure of substances secreted in bile to reach intestine
I.
II.

Bile acid deficiency in gut
Fat malabsorption/fat-soluble vitamin malabsorption
Towards central hepatic vein
Biliary canaliculus
Liver cell
Obstruction

C
Bilirubin,
Bile salts, &
Phospholipids

Endoplasmic reticulum

N

Sinusoidal blood

Towards Interlobular Bile duct

Screening tests that suggest cholestasis –
Color change in skin/sclera/stool/urine
Biochemical tests (Alkaline Phosphatase , Bilirubin)
Clinically-

Histologically-






 Bile plugs (bilirubinostasis),
 Feathery degeneration of
hepatocytes (cholate stasis),
 Small-bile-duct destruction,
 Peri cholangitis,
 Portal edema,
 Bile lakes and infarcts
(typically with extrahepatic
obstruction),
 Finally , biliary cirrhosis.

Pruritus,
Fatigue,
Xanthomas,
Hepatic Osteodystrophy:
back pain from
osteoporosis,
 Pale stools, or
steatorrhea
 Evidence of fat-soluble
vitamin deficiency.
 Enlarged liver with a
firm smooth non-tender
edge.

After 3–5 yrs of jaundice , liver cell failure indicated by deep jaundice, ascites, edema and
a lowered serum albumin develops. Pruritus lessens and the bleeding is not controlled by
vitamin K. Hepatic encephalopathy is terminal.
Sceral icterus
Xanthomas

Cholestasis:
Retained bile pigments &
bilirubin in hepatocytes

Scratch marks & pruritus
EVALUATION OF CHOLESTATIC JAUNDICE
• The first question -whether the cholestasis is
from intrahepatic or extrahepatic process.
CLUES TO EXTRAHEPATIC
OBSTRUCTIONS –
•Abdominal pain,
•Palpable GB or
upper abdominal mass,
•Evidence of cholangitis, and
•H/O- past biliary surgery.

CLUES TO INTRAHEPATIC
CHOLESTASIS-

Pruritus, as in primary
biliary cirrhosis (PBC)
and primary sclerosing
cholangitis (PSC) patient
Extrahepatic causes of cholestatic jaundice
Benign
 Choledocholithiasis
 Postoperative biliary
strictures
 Primary sclerosing
cholangitis
 Chronic Pancreatitis
 AIDS cholangiopathy
 Mirizzi’s Syndrome
 Parasitic Disease
(Ascariasis)

Malignant






Cholangiocarcinoma
Pancreatic cancer
Gall Bladder Cancer
Ampullary Cancer
Malignant involvement
of the porta hepatis
lymph nodes
Intrahepatic causes of cholestatic jaundice
1) Viral Hepatitis
A. Fibrosing cholestatic hepatitis – Hep. B
&C
B. Hep.A, EBV, CMV
2) Alcoholic Hepatitis
3) Drug toxicity
A. Pure cholestasis- Anabolic &
contraceptive steroids
B. Cholestatic hepatitis- chlorpromazine,
erythromycin, Amoxiclav
C. Chronic cholestasis- chlorpromazine &
prochloperazine
4) Primary Biliary cirrhosis
5) Primary Sclerosing cholangitis
6) Vanishing Bile duct Syndrome
A. Chronic rejection of liver transplant
B. Sarcoidosis
C. Drugs

7) Non hepatobiliary Sepsis
8) Benign post-operative cholestasis
9) Para neoplastic Syndrome
10) Veno-occlusive disease
11) GVHD
12) Inherited
A. Progressive familial
intrahepatic cholestasis
B. Benign recurrent cholestasis
13) Cholestasis of pregnancy
14) Total Parenteral Nutrition
15) Infiltrative diseases
A. TB
B. Lymphoma
C. Amyloidosis
16) Infections
A. Malaria
B. Leptospirosis
• Risk factors1.
2.
3.
4.
5.
6.

Alcohol intake,
Medications,
Pregnancy
Sexual contact, drug abuse, needle punctures.
ICU – Sepsis, shock liver & TPN .
After BM transplantation- Veno occlusive disease or GVHD

• family history –
 Benign recurrent intrahepatic cholestasis (BRIC).

• Details –
 Onset, duration,
 Intermittent or progressive,
 Associated symptoms like dark urine, acholic stools, arthralgia,
rash, wt loss, fever, chills, and pain in RHC.
Clinical History & cause of cholestasis
1. Pain - duct stones, tumor or gallbladder disease.
2. Arthralgia , myalgia predating jaundice -hepatitis (viral/drug related)
3. Fever and rigors- cholangitis d/t duct stone or traumatic stricture
(Charcot’s intermittent biliary fever). Or systemic infection
4. Contaminated foods, /alcohol consumption.
5. H/O hepato-toxins - Drugs /chemicals/ occupational
6. Parenteral exposures (Bl. Transfusions, drug abuse/ tattoos, sexual
activity)
7. H/o Ulcerative colitis - ? PSC
Physical Examination –
1) S/o chronic liver disease, temporal & proximal muscle weakness.
2) S/o Cholesterol deposition (Xanthomas, xanthelasmas) flat or slightly raised, yellow
and soft , usually around the eyes, in the Palmar creases, below the breast and on the neck, chest or back.

3) Anemia – GI blood loss, nutritional deficiency, hypersplenism
4) Itching marks, clubbing, and lymphadenopathy.
5) Virchow’s node or sister Mary Joseph's nodule- abdominal malignancy.
6) Jugular venous distension – hepatic congestion.
7) S/o Fat soluble vitamin deficiency –
1)
2)
3)
4)

Vit.D (osteomalacia, Demineralized bone, Kyphosis, Fractures),
Vit.E (cerebellar ataxia, posterior column dysfunction, peripheral neuropathy),
Vit.K(Puncture hematoma, Spontaneous bruising )
Vit.A(night blindness, thick skin)

8) S/O Hepatic Osteoarthropathy – loss of height, back pain, collapsed
vertebrae & fractures particularly of ribs with minimal trauma.
xanthelasma
Stigmata of Chronic Liver Disease

Palmar erythema

Muscle atrophy

Spider nevi

Asterixis

Parotid enlarged

Dupuytren’s contracture

Gynecomastia

LL edema
Abdominal Examination
1.

Hepatomegaly
Alcoholic liver disease, primary or secondary hepatic neoplasm,
infiltrative disease, and primary biliary cirrhosis.

2.

Enlarged tender liverViral ,alcoholic hepatitis, infiltrative process, or chronic passive
congestion of liver.

3.

Murphy’s Sign –
Cholecystitis, Ascending cholangitis

4.

Enlarged gallbladder –
Non- calculous biliary obstruction

5.

Hard & nodular hepatomegaly –
? metastatic malignancy.

6.

Other abdominal masses –
Primary ca stomach or colon.
• Ascites + Jaundice - Cirrhosis or malignancy with peritoneal spread.
• Rectal examination and sigmoidoscopy may indicate carcinoma.
• Marked splenomegaly- Cirrhosis + portal HTN or lymphoproliferative
disease
• Stools - loose, pale, bulky and offensive , sticky to the pan & non
flushable

-Our Case –
O/E –
Pallor +, icteric , B/L pedal edema.
1 x 1 cm firm lymph node in left
axilla.
P/A –
Tender hepatomegaly - 3 cm with
a smooth surface.

-Investigations –
Total bilirubin 10 mg% (D= 4.2).
ALP (1923 IU/L) & GGT 85 IU/L- raised.
AST and ALT normal.
Albumin of 2.4 gm%.
PT INR 1.7 corrected by Vit.K suppl.
Hb 10 gm/dl .Normal PBS
Urine positive for BS & BP
Laboratory work up
• CBC –
 Anaemia - infection, blood loss or malignant disease.
 PMN leucocytosis - cholangitis or underlying neoplasm.

• LFTs1.
2.
3.
4.

Alkaline Phosphate out of proportion to ALT/AST
Albumin linked Bilirubin (δ Fraction / biliprotein)
Low albumin - chronic process (cirrhosis/ cancer)
Normal Albumin - acute process ( viral
choledocholithiasis)
5. Elevated PT – Vit K Deficiency

• RFTs- Sepsis , HRS, malignancy .

hepatitis/
Enzymes raised in cholestasis
1) Alkaline Phosphatase (ALP), gamma-glutamyl
transpeptidase (GGT) & 5’-nucleotidase (5’NT).
2) ALP isoenzymes are also present in bone &
placenta.
3) Increase in ALP, GGT & 5’NT  hepatobiliary
origin.

4) GGT levels – Fatty liver, alcoholic liver disease.
Proteins:
Albumin:
Decreased – advanced cirrhosis
& signify severe hepatic dysfunction.
Usually normal - acute hepatitis

Globulins:
Non-specific elevation – Chronic liver disease.
Disproportionate elevation
1) IgG in autoimmune hepatitis,
2) IgM in PBC &
3) IgA in alcoholic liver disease.
Prothrombin time (PT) & (INR)
An increasing INR/PT - hepatocellular dysfunction.
May be deranged in cholestasis,
1. But due to the malabsorption of Vit. K
 Rapidly corrected by Parenteral administration of Vit K.
Other tests:
• Serological/ replicative markers –
specific diagnosis of acute or chronic viral hepatitis.

• Anti mitochondrial antibody (AMA) for PBC (90%)
• P-ANCA in PSC (65%)
• Antinuclear factor (ANA),
• Anti-smooth muscle antibody (ASMA) &
• Anti-liver kidney microsome (LKM) antibody
• Alpha- feto protein, which is raised in HCC &
• Other Malignancies – CEA, CA19.9, PSA
• S. Ceruloplasmin for Wilson disease.

seen in
autoimmune
hepatitis;
• Serum drug levels
• Urine dipstic test (Ictotest) Conjugated bilirubin +ve.
• X rays- changes of
osteomalacia
• Bone mineral density
by dual energy x-ray
absorptiometry (DEXA).
Imaging








RUQ Ultrasound
CT scan
ERCP
PTC
Endoscopic Ultrasound
Endoscopic CT
MR cholangiography

USG abdomen –
Normal size liver & echo pattern
With intrahepatic biliary radical
dilatation (IHBRD) in left lobe,
splenomegaly (18 cm),
Normal CBD and gallbladder.
Minimal free fluid.
No focal lesions

USG
Dilated bile
ducts

Non- dilated
bile ducts

? Intra hepatic
cholestasis

CT/MRCP/
ERCP/PTC

Serologic studies
AMA
Hepatitis serologies
Hep -A, CMV, EBV
Review drugs
Negative
MRCP/ liver biopsy

AMA
Positive
Liver Biopsy
Imaging
USG

Limitations

First-line imaging
Inexpensive
No ionizing radiation
GB stones readily
detected.
5. Absence of biliary
dilatation suggests
intrahepatic cholestasis &
oppositely extrahepatic
cholestasis

1) Distal CBD, bowel gas,
Obesity
2) False negative – Partial
obstruction,
cirrhosis,
scarring d/t PSC
3) Except mass lesion in the
head of the pancreas, USG
usually does not identify
the type of obstruction.

1.
2.
3.
4.
 Gall bladder wall thickening.
 Stones in the GB
Our Case
Other tests –
1)
2)
3)
4)
5)

Viral serologies – Ve for HIV, HBV and HCV .
Blood culture sterile.
Sputum AFB , CXR - NAD.
Weil-felix, Paul-Bunnel and Brucella serologies negative.
Ascitic fluid - Transudative no cells & negative ADA.

Provisional diagnosisAlcoholic liver disease with ? Biliary malignancy
A contrast CT abdomen –
Multiple ill-defined nonenhancing lesions in the
liver, largest 1.4 cm x 1.0 x 1.0 cm rounded lesion (? necrotic lymph node)
at the porta hepatis with IHBRD seen above this level in left lobe. Multiple
small para-aortic, periportal and mesenteric lymph nodes present.
CT Scan
1) Localizes level of the
obstruction, in about
90% cases.
2) First choice in
lymphoma,
for retroperitoneal
lymph node
involvement

Gallbladder

Dilated bile
ducts

Mass in
head of
the
pancreas

Dilated bile ducts and gallbladder
When clinical suspicion is supported by CT or USG,
1) MRCP





Noninvasive screening ,rapid and comfortable.
Failed or incomplete conventional ERCP.
Variant biliary duct anatomy/ congenital duct abnormalities.
Post operative anatomy where ERCP would be difficult.
Evaluating changes of chronic pancreatitis or sclerosing cholangitis.

Distal CBD Stone

PSC
Direct cholangiography (PTC and ERCP)
 Direct visualization
 99% sensitivity & specificity.
 Therapeutic interventions .
ERCP is the procedure of choice in suspected
ampullary or duodenal lesions in ca pancreas & when
gallstone
obstruction
is
suspected,
where
sphincterotomy & stone extraction can be
implemented.
ERCP
Normal ERCP
Sclerosing cholangitis

Multiple CBD Stones

Ascariasis in CBD
Biliary stricture due to
cholangiocarcinoma

Alk phos = 669 IU Bili = 17.5 mg/dl
AST =
68 IU
ALT = 38 IU

Bile duct obstruction
from chronic pancreatitis
• PTC is preferred when obstructing lesion is high
• C/I- Marked ascites and coagulopathy.

• PTC and ERCP may be used together across a difficult
obstruction.
• Sometimes hepatobiliary scintigraphy, may help
evaluating biliary leaks & congenital malformations.
• Endoscopic CT & MRCP –
Biliary obstruction, specially
transplantation.

in

setting

of

in

liver
Technique of PTC & corresponding Cholangiogram
Liver Biopsy
Major indications –

Contraindications –

1)
2)
3)
4)

1) Bleeding tendencies,

chronic hepatitis,
cirrhosis,
Unexplained abnormal LFT,
hepatosplenomegaly of
unknown etiology,
5) suspected infiltrative /
Granulomatous disease

Complications
1) Minor – Prolonged RHC pain,
(6%).
2) Major - intra-abdominal
bleeding, mortality ( 0.01%).

2) INR>1.5 or PT >3 sec
above the control,
3) Severe thrombocytopenia
4) Marked ascites .
 Transjugular liver biopsy
or no biopsy at all are
alternatives.
Cholestatic liver disease is broadly categorized as
extra-hepatic or intrahepatic.
Common
hepatic duct

Liver

Gallbladder

Intrahepatic
Perihilar
Distal
extrahepatic

Common
bile duct
Ampulla
Of Vater
Duodenum
CHOLEDOCHOLITHIASIS
• Mechanism of jaundice –
i. Impaction & edema of the common duct (Mirizzi syndrome)
ii. Direct inflammation of porta hepatis.
• CBD stones retained after cholecystectomy may produce jaundice
in the immediate postoperative period or even several years later .
• Pain (biliary colic or from acute pancreatitis).
• Rapid rise & rapid decline within 72 hours in aminotransferases .
• If Cholangitis in choledocholithiasis –
 Fever with chills, abdominal pain, & jaundice. ( Charcot’s triad )
BENIGN STRICTURES OF THE BILE DUCTS
• In adults most common after surgery.

• PSC -multiple or diffuse strictures.
• Chronic alcoholic pancreatitis- a long stricture in the
intrapancreatic portion of the common duct.
• Ampullary stenosis - trauma during passage of a stone
& AIDS.

• Cholangitis - frequent in benign than in malignant one.
NEOPLASTIC OBSTRUCTION
• Pancreatic carcinoma commonest

• Other tumors Cholangiocarcinoma, ampullary
tumors, and carcinoma of GB
• Abdominal pain
• Loss of appetite and weight ,
• Progressive deep & painless
jaundice.
• Klatskin’s tumor

Macro cystic adenocarcinoma of
the pancreatic head.
• Tumors producing complete obstruction of CBD may be
accompanied by marked, palpable dilatation of the gallbladder
(Courvoisier’s law).
• Ampullary tumors produce intermittent jaundice because of
sloughing and partial relief of the block.
• Highest surgical cure of all tumors presenting as painless jaundice.
• Metastatic cancer may obstruct the bile duct, as may lymphoma.
• Hepatocellular carcinoma rupture into the biliary system throwing
tumor emboli obstructing common duct.
• Compression by adjacent tumor/ peribiliary lymph node
infiltrated by lymphoma, or metastatic ca breast.
• Direct infiltration by lymphoma.
UNCOMMON CAUSES OF OBSTRUCTIVE JAUNDICE
• Choledochal cyst .

• Duodenal diverticulum
• Hemobilia, (biliary colic, jaundice & GI bleeding).

• Ascaris ,liver flukes (Fasciola, Clonorchis or Opisthorchis).
• Secondary sclerosing cholangitis
infections in immunodeficiency.

d/t

opportunistic

• Cryptosporidium parvum, cytomegalovirus (CMV), and
Microsporidia most frequently found.
Intrahepatic causes of cholestatic jaundice
Drug-induced cholestasis.

Direct hepato-toxic

Idiosyncratic

• Clinically mimic viral hepatitis or biliary tract disease.
• Serum-sickness-like features (rash , arthralgia,& eosinophilia)
• Only practical approach is to eliminate the drug and monitor.
Antimicrobial agents
Augmentin , cloxacillin,
erythromycin, ethambutol,
dapsone, fluconazole,
griseofulvin, ketoconazole

Cardiovascular agents
Disopyramide β-blockers,
ACE inhibitors, ticlopidine,
warfarin, methyldopa

Endocrine agents
Sulfonylureas, estrogens,
tamoxifen, androgens,
niacin, OCPs, anabolic
steroids

HAART-

Immunosuppressive agents –
Azathioprine, cyclosporine,
gold salts, NSAIDs

Psychopharmacologic
agents
Tricyclic
antidepressants, BZDs,
Phenothiazines,
Phenytoin, halothane

Zidovudine,
Protease Inhibitors
( Indinavir, Ritonavir)
 Alcoholic hepatitis.
 Marked tender hepatomegaly & e/o liver cell
failure .

 Viral hepatitis.
 Acute phase of viral hepatitis;
 Most commonly hepatitis A, Hepatitis C, and
hepatitis E.
 Though jaundice may be profound up to 6
months, complete recovery is the rule.
AIDS related cholangiopathy
• Cryptosporidium most frequent .
• Rarely
Microsporidia,
CMV,
Mycobacterium avium complex, and
Cyclospora
• Papillary stenosis if CD4 <100
• Elevated ALP (mean 800 IU/L).
• Jaundice unusual, If present, suggests
other disorders, like drug, alcohol
abuse or neoplasm
Primary biliary cirrhosis.
 Autoimmune chronic non- suppurative cholangitis
 AMA positivity in 95% & ANA 30% cases.
 Progressive destruction of interlobular bile ducts(medium & small).
 Elevated ALP, IgM, and cholesterol & later on bilirubin.
 Predominantly middle aged female.
 Fatigue, pruritus, hyper pigmentation, Xanthomas.
 Majority have associated autoimmune disorders
(Sjögren’s syndrome, scleroderma, and arthritis).

 Biopsy is diagnostic .
 UDCA- only drug, prolongs survival & improves biochemical
abnormalities.
Bile duct
Primary sclerosing cholangitis.
 Mostly young men.
 Inflammatory bowel disease in >70% . So colonoscopy warranted.
 P-ANCA positive (up to 65%).
 Characteristic- Destruction & fibrosis of entire biliary tree.
 Diagnosis by imaging (MRCP/ERCP)–
 Multiple strictures & proximal dilatations (classic beaded
appearance).
 Morbid complications - cholangiocarcinoma (Dreaded) & ca colon
 No established treatment.
Sclerosing Cholangitis:
“Onion-skin fibrosis” around bile ducts

very thickened
bile duct wall
decreases
luminal
diameter
Idiopathic adulthood ductopenia.
 Rare and defined by the presence of ductopenia (decrease of bile
ducts in >50% of the portal triads) and cholestasis in the absence of
known cholestatic liver disease. A diagnosis of exclusion.

 Histology similar to primary biliary cirrhosis.
 UDCA may result in biochemical improvement.

Autoimmune hepatitis.
 Females (70%)
 Anti LKM 1 , ANA and ASMA & hyper gammaglobulinemia in 80%.
 Associated autoimmune disorders include arthritis, rash, thyroiditis,
Sjögren’s syndrome, and ulcerative colitis.
Causes and syndromes of ductopenia in adult
• Syndromatic ductopenia (Alagille syndrome)
• Non- syndromatic adult ductopenia
• Ductal plate malformation (congenital hepatic fibrosis, biliary
atresia
• Primary biliary cirrhosis, autoimmune cholangitis
• Primary sclerosing cholangitis
• Chronic rejection
• Graft-versus-host disease
• Sarcoidosis
• Cystic fibrosis
• Byler disease (progressive familial intrahepatic cholestasis)
• Histiocytosis X and
• Different drugs (augmentin, carbamazepine)
• Duct destruction after regional chemotherapy (e.g. floxuridine)
• Idiopathic adulthood ductopenia
Decompensated chronic liver disease.
 Jaundice may occur in chronic hepatitis or cirrhosis.
 Other evidence of severe liver cell dysfunction is
present & jaundice is prognostically a grave sign.

Lymphoma.
 3% and 10% cases of lymphoma develop jaundice .

Fatty liver.
 Middle aged women with obesity, diabetes, and Hyper
lipidemia and a variety of other medical problems.
 Cholestasis seen in about 5% cases.
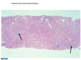
Granulomatous hepatitis.
• Common cause of cholestatic liver disease.
• Sarcoidosis, infection (TB and fungal, esp. histoplasmosis),
hypersensitivity reaction, malignancies, IBDs, and as a feature of
other chronic liver disease.
• Pathologically,
Granulomas are nodular infiltrates consisting of aggregates of
epithelioid cells or macrophages with a rim of mononuclear cells/
Giant cells .
• Clinically, often asymptomatic, or Nonspecific symptoms .
• Routine bacterial & fungal blood culture, may be required.
• Benign course, with spontaneous recovery in most .
Hepatic Granulomas/Sarcoidosis
Sarcoidosis.
 Systemic disease characterized by non- caseating
granuloma of multiple organs.
 70% have hepatic granulomas. Portal granuloma result in
cholestasis & destruction of interlobular bile ducts.
 Elevated alkaline phosphatase most characteristic
abnormality & reduced with corticosteroids.

 Concomitant intrathoracic disease, pulmonary symptoms,
and significant anemia/ leucopenia.
Bacterial infection (sepsis)
• Most commonly gram-negative bacteria,
• also Staphylococcus aureus
streptococcal pneumonia.

in

TSS

&

• Rarely leptospira, clostridium & borrelia.
• Massive ductular dilatation & retained bile at
the interface of hepatic parenchyma & portal
tracts, (cholangitis lenta).
Total parental nutrition.
• When >60% calories as carbohydrates given > 3-4 weeks.
• Gallbladder stasis is almost universal & thereby gall stones.
• No oral feeding
that stimulate bile flow

Diminished release of hormones
Diminished bile flow

• Direct oxidant stress to the liver.
• If TPN cannot be discontinued, it should be cycled around
10 hrs/day. Keeping glucose <6 g/kg/day and lipid <2
g/kg/day.
• Recently UDCA is found helpful.
Benign recurrent intrahepatic cholestasis (BRIC).
• Characterized by...
 Recurrent epi. of jaundice & pruritus,+ Symptom-free intervals.
 Biochemical signs of cholestasis.
 Histologically- canalicular stasis, normal bile ducts and absence of
inflammation and fibrosis.

• Sporadic or familial forms (chromosome 18)- Progressive familial
intrahepatic cholestasis (PFIC types 1-3) .
• GGT is normal with high alkaline phosphatase.
• Cholestatic episodes may last for many months.
• The episodes in BRIC eventually resolve without morphological
sequelae
Cholestasis of pregnancy.
 Recurrently in 2nd & 3rd trimester of pregnancy &
resolves after delivery.
 ? inherited & Contraceptive drugs are a risk factor.
 Biochemical cholestasis with pruritus, & jaundice.
 Histologically similar to BRIC.
 Increased risk of premature delivery or stillbirths.
 UDCA has been used with success.
Sickle cell anemia.
Causes of jaundice –
Viral hepatitis,
Choledocholithiasis,
Hepatic sickle cell crisis
Hepatic sickle cell crisisSevere RUQ pain, fever,
leukocytosis, jaundice, tender
hepatomegaly, and moderate
elevation of alkaline
phosphatase.
Resolution followed by persistent
cholestatic jaundice for several
weeks

Postoperative jaundice.
• Prevalence - 17%
• Causes –
1.
2.
3.
4.

Sepsis,
Drugs or anesthetic-induced
hepatitis,
Obstruction from
pancreatitis,
choledocholithiasis,
Or direct injury to the biliary
tree.

• “Benign postoperative
cholestatic jaundice”
occurs between post op
day 1 to 10.
OTHER INTRAHEPATIC CAUSES OF
CHRONIC CHOLESTASIS
•
•
•
•
•
•
•
•
•

Nodular regenerative hyperplasia (NRH),
Bone marrow transplant (BMT),
Connective tissue diseases (CTD),
Felty’s syndrome,
Mastocytosis,
Hypereosinophilic syndrome,
Hyperthyroidism,
Space occupying lesions.
Para neoplastic syndromes of Hodgkin’s, Medullary thyroid
Ca, RCC, Renal sarcoma, T cell lymphoma, Prostate Ca, Many
GI malignancies.
• Stauffer’s Syndrome – Intrahepatic cholestasis in RCC
SUMMARY
EVALUATION OF CHOLESTASIS AND/OR JAUNDICE
1) Suspect cholestasis on history, physical exam, lab.
1) Look for clues to mechanical obstruction of ducts
and/or mass lesions (radiologic studies).
1) Visualize, diagnose and treat mechanical obstruction.
Consider intrahepatic cholestasis, obtain liver biopsy.
What happened to our patient…
Histopathology of lymph node - caseating granulomatous lymphadenitis.
Liver biopsy - consistent with tuberculosis, with periportal epitheloid
granulomas.

The patient was started on AKT.
He became afebrile on ATT with regression of jaundice and
constitutional symptoms.
After completing six months of AKT, complete resolution of jaundice.
Repeat ultrasound showed normal liver with no IHBRD or focal lesions.
Treatment of cholestatic jaundice …
Medical management:

Obstructive Jaundice :

• UDCA

Key Principle is Decompression

• DietMCT, Fat soluble vitamin
supplementations & calcium

• Pruritus –
Cholestyramine, antihistaminic, phenobarbitone
• Bone disease –
Vit.D, Bisphopshonates

1)

When cholangitis IVF, Antibiotics,
Decompression

2)

Stones Remove stones vs. stent vs
Drainage (ERCP /PTC/ surgery)

3)

Benign stricture Endoscopic dilatation/ stent vs
drainage catheter

4)

Cancer Stent vs drainage +/- resection
Thank You !

Approach to cholestatic jaundice

  • 1.
    Approach to cholestatic Jaundice Dr.RamRaut -JR III (Medicine) Guide - Dr.D.B. Kadam Seminar Teacher- Dr.Nitin Pai
  • 2.
    • A 45-year-oldmale …. • C/O –  Yellowish discoloration of eyes, itching & lowgrade intermittent fever since 3 months.  Swelling over the feet, abdominal distension and abdominal pain since last month. • Past alcoholic but had stopped since one year. • Denied any high-risk sexual behavior. Jaundice
  • 3.
  • 4.
    CholestasisDefinition – Conjugated hyperbilirubinemiadue to : I. Impaired bile formation (hepatocytes) II. Impaired bile flow (bile ducts/ductules) Consequences• Secondary liver damage I. Bile acid-induced hepatocyte injury II. Secondary biliary cirrhosis • Failure of substances secreted in bile to reach intestine I. II. Bile acid deficiency in gut Fat malabsorption/fat-soluble vitamin malabsorption
  • 5.
    Towards central hepaticvein Biliary canaliculus Liver cell Obstruction C Bilirubin, Bile salts, & Phospholipids Endoplasmic reticulum N Sinusoidal blood Towards Interlobular Bile duct Screening tests that suggest cholestasis – Color change in skin/sclera/stool/urine Biochemical tests (Alkaline Phosphatase , Bilirubin)
  • 6.
    Clinically- Histologically-      Bile plugs(bilirubinostasis),  Feathery degeneration of hepatocytes (cholate stasis),  Small-bile-duct destruction,  Peri cholangitis,  Portal edema,  Bile lakes and infarcts (typically with extrahepatic obstruction),  Finally , biliary cirrhosis. Pruritus, Fatigue, Xanthomas, Hepatic Osteodystrophy: back pain from osteoporosis,  Pale stools, or steatorrhea  Evidence of fat-soluble vitamin deficiency.  Enlarged liver with a firm smooth non-tender edge. After 3–5 yrs of jaundice , liver cell failure indicated by deep jaundice, ascites, edema and a lowered serum albumin develops. Pruritus lessens and the bleeding is not controlled by vitamin K. Hepatic encephalopathy is terminal.
  • 7.
    Sceral icterus Xanthomas Cholestasis: Retained bilepigments & bilirubin in hepatocytes Scratch marks & pruritus
  • 8.
    EVALUATION OF CHOLESTATICJAUNDICE • The first question -whether the cholestasis is from intrahepatic or extrahepatic process. CLUES TO EXTRAHEPATIC OBSTRUCTIONS – •Abdominal pain, •Palpable GB or upper abdominal mass, •Evidence of cholangitis, and •H/O- past biliary surgery. CLUES TO INTRAHEPATIC CHOLESTASIS- Pruritus, as in primary biliary cirrhosis (PBC) and primary sclerosing cholangitis (PSC) patient
  • 9.
    Extrahepatic causes ofcholestatic jaundice Benign  Choledocholithiasis  Postoperative biliary strictures  Primary sclerosing cholangitis  Chronic Pancreatitis  AIDS cholangiopathy  Mirizzi’s Syndrome  Parasitic Disease (Ascariasis) Malignant      Cholangiocarcinoma Pancreatic cancer Gall Bladder Cancer Ampullary Cancer Malignant involvement of the porta hepatis lymph nodes
  • 10.
    Intrahepatic causes ofcholestatic jaundice 1) Viral Hepatitis A. Fibrosing cholestatic hepatitis – Hep. B &C B. Hep.A, EBV, CMV 2) Alcoholic Hepatitis 3) Drug toxicity A. Pure cholestasis- Anabolic & contraceptive steroids B. Cholestatic hepatitis- chlorpromazine, erythromycin, Amoxiclav C. Chronic cholestasis- chlorpromazine & prochloperazine 4) Primary Biliary cirrhosis 5) Primary Sclerosing cholangitis 6) Vanishing Bile duct Syndrome A. Chronic rejection of liver transplant B. Sarcoidosis C. Drugs 7) Non hepatobiliary Sepsis 8) Benign post-operative cholestasis 9) Para neoplastic Syndrome 10) Veno-occlusive disease 11) GVHD 12) Inherited A. Progressive familial intrahepatic cholestasis B. Benign recurrent cholestasis 13) Cholestasis of pregnancy 14) Total Parenteral Nutrition 15) Infiltrative diseases A. TB B. Lymphoma C. Amyloidosis 16) Infections A. Malaria B. Leptospirosis
  • 11.
    • Risk factors1. 2. 3. 4. 5. 6. Alcoholintake, Medications, Pregnancy Sexual contact, drug abuse, needle punctures. ICU – Sepsis, shock liver & TPN . After BM transplantation- Veno occlusive disease or GVHD • family history –  Benign recurrent intrahepatic cholestasis (BRIC). • Details –  Onset, duration,  Intermittent or progressive,  Associated symptoms like dark urine, acholic stools, arthralgia, rash, wt loss, fever, chills, and pain in RHC.
  • 12.
    Clinical History &cause of cholestasis 1. Pain - duct stones, tumor or gallbladder disease. 2. Arthralgia , myalgia predating jaundice -hepatitis (viral/drug related) 3. Fever and rigors- cholangitis d/t duct stone or traumatic stricture (Charcot’s intermittent biliary fever). Or systemic infection 4. Contaminated foods, /alcohol consumption. 5. H/O hepato-toxins - Drugs /chemicals/ occupational 6. Parenteral exposures (Bl. Transfusions, drug abuse/ tattoos, sexual activity) 7. H/o Ulcerative colitis - ? PSC
  • 13.
    Physical Examination – 1)S/o chronic liver disease, temporal & proximal muscle weakness. 2) S/o Cholesterol deposition (Xanthomas, xanthelasmas) flat or slightly raised, yellow and soft , usually around the eyes, in the Palmar creases, below the breast and on the neck, chest or back. 3) Anemia – GI blood loss, nutritional deficiency, hypersplenism 4) Itching marks, clubbing, and lymphadenopathy. 5) Virchow’s node or sister Mary Joseph's nodule- abdominal malignancy. 6) Jugular venous distension – hepatic congestion. 7) S/o Fat soluble vitamin deficiency – 1) 2) 3) 4) Vit.D (osteomalacia, Demineralized bone, Kyphosis, Fractures), Vit.E (cerebellar ataxia, posterior column dysfunction, peripheral neuropathy), Vit.K(Puncture hematoma, Spontaneous bruising ) Vit.A(night blindness, thick skin) 8) S/O Hepatic Osteoarthropathy – loss of height, back pain, collapsed vertebrae & fractures particularly of ribs with minimal trauma.
  • 14.
  • 15.
    Stigmata of ChronicLiver Disease Palmar erythema Muscle atrophy Spider nevi Asterixis Parotid enlarged Dupuytren’s contracture Gynecomastia LL edema
  • 16.
    Abdominal Examination 1. Hepatomegaly Alcoholic liverdisease, primary or secondary hepatic neoplasm, infiltrative disease, and primary biliary cirrhosis. 2. Enlarged tender liverViral ,alcoholic hepatitis, infiltrative process, or chronic passive congestion of liver. 3. Murphy’s Sign – Cholecystitis, Ascending cholangitis 4. Enlarged gallbladder – Non- calculous biliary obstruction 5. Hard & nodular hepatomegaly – ? metastatic malignancy. 6. Other abdominal masses – Primary ca stomach or colon.
  • 17.
    • Ascites +Jaundice - Cirrhosis or malignancy with peritoneal spread. • Rectal examination and sigmoidoscopy may indicate carcinoma. • Marked splenomegaly- Cirrhosis + portal HTN or lymphoproliferative disease • Stools - loose, pale, bulky and offensive , sticky to the pan & non flushable -Our Case – O/E – Pallor +, icteric , B/L pedal edema. 1 x 1 cm firm lymph node in left axilla. P/A – Tender hepatomegaly - 3 cm with a smooth surface. -Investigations – Total bilirubin 10 mg% (D= 4.2). ALP (1923 IU/L) & GGT 85 IU/L- raised. AST and ALT normal. Albumin of 2.4 gm%. PT INR 1.7 corrected by Vit.K suppl. Hb 10 gm/dl .Normal PBS Urine positive for BS & BP
  • 18.
    Laboratory work up •CBC –  Anaemia - infection, blood loss or malignant disease.  PMN leucocytosis - cholangitis or underlying neoplasm. • LFTs1. 2. 3. 4. Alkaline Phosphate out of proportion to ALT/AST Albumin linked Bilirubin (δ Fraction / biliprotein) Low albumin - chronic process (cirrhosis/ cancer) Normal Albumin - acute process ( viral choledocholithiasis) 5. Elevated PT – Vit K Deficiency • RFTs- Sepsis , HRS, malignancy . hepatitis/
  • 19.
    Enzymes raised incholestasis 1) Alkaline Phosphatase (ALP), gamma-glutamyl transpeptidase (GGT) & 5’-nucleotidase (5’NT). 2) ALP isoenzymes are also present in bone & placenta. 3) Increase in ALP, GGT & 5’NT  hepatobiliary origin. 4) GGT levels – Fatty liver, alcoholic liver disease.
  • 20.
    Proteins: Albumin: Decreased – advancedcirrhosis & signify severe hepatic dysfunction. Usually normal - acute hepatitis Globulins: Non-specific elevation – Chronic liver disease. Disproportionate elevation 1) IgG in autoimmune hepatitis, 2) IgM in PBC & 3) IgA in alcoholic liver disease.
  • 21.
    Prothrombin time (PT)& (INR) An increasing INR/PT - hepatocellular dysfunction. May be deranged in cholestasis, 1. But due to the malabsorption of Vit. K  Rapidly corrected by Parenteral administration of Vit K.
  • 22.
    Other tests: • Serological/replicative markers – specific diagnosis of acute or chronic viral hepatitis. • Anti mitochondrial antibody (AMA) for PBC (90%) • P-ANCA in PSC (65%) • Antinuclear factor (ANA), • Anti-smooth muscle antibody (ASMA) & • Anti-liver kidney microsome (LKM) antibody • Alpha- feto protein, which is raised in HCC & • Other Malignancies – CEA, CA19.9, PSA • S. Ceruloplasmin for Wilson disease. seen in autoimmune hepatitis;
  • 23.
    • Serum druglevels • Urine dipstic test (Ictotest) Conjugated bilirubin +ve. • X rays- changes of osteomalacia • Bone mineral density by dual energy x-ray absorptiometry (DEXA).
  • 24.
    Imaging        RUQ Ultrasound CT scan ERCP PTC EndoscopicUltrasound Endoscopic CT MR cholangiography USG abdomen – Normal size liver & echo pattern With intrahepatic biliary radical dilatation (IHBRD) in left lobe, splenomegaly (18 cm), Normal CBD and gallbladder. Minimal free fluid. No focal lesions USG Dilated bile ducts Non- dilated bile ducts ? Intra hepatic cholestasis CT/MRCP/ ERCP/PTC Serologic studies AMA Hepatitis serologies Hep -A, CMV, EBV Review drugs Negative MRCP/ liver biopsy AMA Positive Liver Biopsy
  • 25.
    Imaging USG Limitations First-line imaging Inexpensive No ionizingradiation GB stones readily detected. 5. Absence of biliary dilatation suggests intrahepatic cholestasis & oppositely extrahepatic cholestasis 1) Distal CBD, bowel gas, Obesity 2) False negative – Partial obstruction, cirrhosis, scarring d/t PSC 3) Except mass lesion in the head of the pancreas, USG usually does not identify the type of obstruction. 1. 2. 3. 4.
  • 26.
     Gall bladderwall thickening.  Stones in the GB
  • 27.
    Our Case Other tests– 1) 2) 3) 4) 5) Viral serologies – Ve for HIV, HBV and HCV . Blood culture sterile. Sputum AFB , CXR - NAD. Weil-felix, Paul-Bunnel and Brucella serologies negative. Ascitic fluid - Transudative no cells & negative ADA. Provisional diagnosisAlcoholic liver disease with ? Biliary malignancy A contrast CT abdomen – Multiple ill-defined nonenhancing lesions in the liver, largest 1.4 cm x 1.0 x 1.0 cm rounded lesion (? necrotic lymph node) at the porta hepatis with IHBRD seen above this level in left lobe. Multiple small para-aortic, periportal and mesenteric lymph nodes present.
  • 28.
    CT Scan 1) Localizeslevel of the obstruction, in about 90% cases. 2) First choice in lymphoma, for retroperitoneal lymph node involvement Gallbladder Dilated bile ducts Mass in head of the pancreas Dilated bile ducts and gallbladder
  • 29.
    When clinical suspicionis supported by CT or USG, 1) MRCP     Noninvasive screening ,rapid and comfortable. Failed or incomplete conventional ERCP. Variant biliary duct anatomy/ congenital duct abnormalities. Post operative anatomy where ERCP would be difficult. Evaluating changes of chronic pancreatitis or sclerosing cholangitis. Distal CBD Stone PSC
  • 30.
    Direct cholangiography (PTCand ERCP)  Direct visualization  99% sensitivity & specificity.  Therapeutic interventions . ERCP is the procedure of choice in suspected ampullary or duodenal lesions in ca pancreas & when gallstone obstruction is suspected, where sphincterotomy & stone extraction can be implemented.
  • 31.
  • 32.
  • 33.
    Sclerosing cholangitis Multiple CBDStones Ascariasis in CBD
  • 34.
    Biliary stricture dueto cholangiocarcinoma Alk phos = 669 IU Bili = 17.5 mg/dl AST = 68 IU ALT = 38 IU Bile duct obstruction from chronic pancreatitis
  • 35.
    • PTC ispreferred when obstructing lesion is high • C/I- Marked ascites and coagulopathy. • PTC and ERCP may be used together across a difficult obstruction. • Sometimes hepatobiliary scintigraphy, may help evaluating biliary leaks & congenital malformations. • Endoscopic CT & MRCP – Biliary obstruction, specially transplantation. in setting of in liver
  • 36.
    Technique of PTC& corresponding Cholangiogram
  • 37.
    Liver Biopsy Major indications– Contraindications – 1) 2) 3) 4) 1) Bleeding tendencies, chronic hepatitis, cirrhosis, Unexplained abnormal LFT, hepatosplenomegaly of unknown etiology, 5) suspected infiltrative / Granulomatous disease Complications 1) Minor – Prolonged RHC pain, (6%). 2) Major - intra-abdominal bleeding, mortality ( 0.01%). 2) INR>1.5 or PT >3 sec above the control, 3) Severe thrombocytopenia 4) Marked ascites .  Transjugular liver biopsy or no biopsy at all are alternatives.
  • 38.
    Cholestatic liver diseaseis broadly categorized as extra-hepatic or intrahepatic. Common hepatic duct Liver Gallbladder Intrahepatic Perihilar Distal extrahepatic Common bile duct Ampulla Of Vater Duodenum
  • 39.
    CHOLEDOCHOLITHIASIS • Mechanism ofjaundice – i. Impaction & edema of the common duct (Mirizzi syndrome) ii. Direct inflammation of porta hepatis. • CBD stones retained after cholecystectomy may produce jaundice in the immediate postoperative period or even several years later . • Pain (biliary colic or from acute pancreatitis). • Rapid rise & rapid decline within 72 hours in aminotransferases . • If Cholangitis in choledocholithiasis –  Fever with chills, abdominal pain, & jaundice. ( Charcot’s triad )
  • 40.
    BENIGN STRICTURES OFTHE BILE DUCTS • In adults most common after surgery. • PSC -multiple or diffuse strictures. • Chronic alcoholic pancreatitis- a long stricture in the intrapancreatic portion of the common duct. • Ampullary stenosis - trauma during passage of a stone & AIDS. • Cholangitis - frequent in benign than in malignant one.
  • 41.
    NEOPLASTIC OBSTRUCTION • Pancreaticcarcinoma commonest • Other tumors Cholangiocarcinoma, ampullary tumors, and carcinoma of GB • Abdominal pain • Loss of appetite and weight , • Progressive deep & painless jaundice. • Klatskin’s tumor Macro cystic adenocarcinoma of the pancreatic head.
  • 42.
    • Tumors producingcomplete obstruction of CBD may be accompanied by marked, palpable dilatation of the gallbladder (Courvoisier’s law). • Ampullary tumors produce intermittent jaundice because of sloughing and partial relief of the block. • Highest surgical cure of all tumors presenting as painless jaundice. • Metastatic cancer may obstruct the bile duct, as may lymphoma. • Hepatocellular carcinoma rupture into the biliary system throwing tumor emboli obstructing common duct. • Compression by adjacent tumor/ peribiliary lymph node infiltrated by lymphoma, or metastatic ca breast. • Direct infiltration by lymphoma.
  • 44.
    UNCOMMON CAUSES OFOBSTRUCTIVE JAUNDICE • Choledochal cyst . • Duodenal diverticulum • Hemobilia, (biliary colic, jaundice & GI bleeding). • Ascaris ,liver flukes (Fasciola, Clonorchis or Opisthorchis). • Secondary sclerosing cholangitis infections in immunodeficiency. d/t opportunistic • Cryptosporidium parvum, cytomegalovirus (CMV), and Microsporidia most frequently found.
  • 45.
    Intrahepatic causes ofcholestatic jaundice
  • 46.
    Drug-induced cholestasis. Direct hepato-toxic Idiosyncratic •Clinically mimic viral hepatitis or biliary tract disease. • Serum-sickness-like features (rash , arthralgia,& eosinophilia) • Only practical approach is to eliminate the drug and monitor. Antimicrobial agents Augmentin , cloxacillin, erythromycin, ethambutol, dapsone, fluconazole, griseofulvin, ketoconazole Cardiovascular agents Disopyramide β-blockers, ACE inhibitors, ticlopidine, warfarin, methyldopa Endocrine agents Sulfonylureas, estrogens, tamoxifen, androgens, niacin, OCPs, anabolic steroids HAART- Immunosuppressive agents – Azathioprine, cyclosporine, gold salts, NSAIDs Psychopharmacologic agents Tricyclic antidepressants, BZDs, Phenothiazines, Phenytoin, halothane Zidovudine, Protease Inhibitors ( Indinavir, Ritonavir)
  • 47.
     Alcoholic hepatitis. Marked tender hepatomegaly & e/o liver cell failure .  Viral hepatitis.  Acute phase of viral hepatitis;  Most commonly hepatitis A, Hepatitis C, and hepatitis E.  Though jaundice may be profound up to 6 months, complete recovery is the rule.
  • 48.
    AIDS related cholangiopathy •Cryptosporidium most frequent . • Rarely Microsporidia, CMV, Mycobacterium avium complex, and Cyclospora • Papillary stenosis if CD4 <100 • Elevated ALP (mean 800 IU/L). • Jaundice unusual, If present, suggests other disorders, like drug, alcohol abuse or neoplasm
  • 49.
    Primary biliary cirrhosis. Autoimmune chronic non- suppurative cholangitis  AMA positivity in 95% & ANA 30% cases.  Progressive destruction of interlobular bile ducts(medium & small).  Elevated ALP, IgM, and cholesterol & later on bilirubin.  Predominantly middle aged female.  Fatigue, pruritus, hyper pigmentation, Xanthomas.  Majority have associated autoimmune disorders (Sjögren’s syndrome, scleroderma, and arthritis).  Biopsy is diagnostic .  UDCA- only drug, prolongs survival & improves biochemical abnormalities.
  • 50.
  • 51.
    Primary sclerosing cholangitis. Mostly young men.  Inflammatory bowel disease in >70% . So colonoscopy warranted.  P-ANCA positive (up to 65%).  Characteristic- Destruction & fibrosis of entire biliary tree.  Diagnosis by imaging (MRCP/ERCP)–  Multiple strictures & proximal dilatations (classic beaded appearance).  Morbid complications - cholangiocarcinoma (Dreaded) & ca colon  No established treatment.
  • 52.
    Sclerosing Cholangitis: “Onion-skin fibrosis”around bile ducts very thickened bile duct wall decreases luminal diameter
  • 53.
    Idiopathic adulthood ductopenia. Rare and defined by the presence of ductopenia (decrease of bile ducts in >50% of the portal triads) and cholestasis in the absence of known cholestatic liver disease. A diagnosis of exclusion.  Histology similar to primary biliary cirrhosis.  UDCA may result in biochemical improvement. Autoimmune hepatitis.  Females (70%)  Anti LKM 1 , ANA and ASMA & hyper gammaglobulinemia in 80%.  Associated autoimmune disorders include arthritis, rash, thyroiditis, Sjögren’s syndrome, and ulcerative colitis.
  • 54.
    Causes and syndromesof ductopenia in adult • Syndromatic ductopenia (Alagille syndrome) • Non- syndromatic adult ductopenia • Ductal plate malformation (congenital hepatic fibrosis, biliary atresia • Primary biliary cirrhosis, autoimmune cholangitis • Primary sclerosing cholangitis • Chronic rejection • Graft-versus-host disease • Sarcoidosis • Cystic fibrosis • Byler disease (progressive familial intrahepatic cholestasis) • Histiocytosis X and • Different drugs (augmentin, carbamazepine) • Duct destruction after regional chemotherapy (e.g. floxuridine) • Idiopathic adulthood ductopenia
  • 55.
    Decompensated chronic liverdisease.  Jaundice may occur in chronic hepatitis or cirrhosis.  Other evidence of severe liver cell dysfunction is present & jaundice is prognostically a grave sign. Lymphoma.  3% and 10% cases of lymphoma develop jaundice . Fatty liver.  Middle aged women with obesity, diabetes, and Hyper lipidemia and a variety of other medical problems.  Cholestasis seen in about 5% cases.
  • 56.
    Granulomatous hepatitis. • Commoncause of cholestatic liver disease. • Sarcoidosis, infection (TB and fungal, esp. histoplasmosis), hypersensitivity reaction, malignancies, IBDs, and as a feature of other chronic liver disease. • Pathologically, Granulomas are nodular infiltrates consisting of aggregates of epithelioid cells or macrophages with a rim of mononuclear cells/ Giant cells . • Clinically, often asymptomatic, or Nonspecific symptoms . • Routine bacterial & fungal blood culture, may be required. • Benign course, with spontaneous recovery in most .
  • 57.
  • 58.
    Sarcoidosis.  Systemic diseasecharacterized by non- caseating granuloma of multiple organs.  70% have hepatic granulomas. Portal granuloma result in cholestasis & destruction of interlobular bile ducts.  Elevated alkaline phosphatase most characteristic abnormality & reduced with corticosteroids.  Concomitant intrathoracic disease, pulmonary symptoms, and significant anemia/ leucopenia.
  • 59.
    Bacterial infection (sepsis) •Most commonly gram-negative bacteria, • also Staphylococcus aureus streptococcal pneumonia. in TSS & • Rarely leptospira, clostridium & borrelia. • Massive ductular dilatation & retained bile at the interface of hepatic parenchyma & portal tracts, (cholangitis lenta).
  • 60.
    Total parental nutrition. •When >60% calories as carbohydrates given > 3-4 weeks. • Gallbladder stasis is almost universal & thereby gall stones. • No oral feeding that stimulate bile flow Diminished release of hormones Diminished bile flow • Direct oxidant stress to the liver. • If TPN cannot be discontinued, it should be cycled around 10 hrs/day. Keeping glucose <6 g/kg/day and lipid <2 g/kg/day. • Recently UDCA is found helpful.
  • 61.
    Benign recurrent intrahepaticcholestasis (BRIC). • Characterized by...  Recurrent epi. of jaundice & pruritus,+ Symptom-free intervals.  Biochemical signs of cholestasis.  Histologically- canalicular stasis, normal bile ducts and absence of inflammation and fibrosis. • Sporadic or familial forms (chromosome 18)- Progressive familial intrahepatic cholestasis (PFIC types 1-3) . • GGT is normal with high alkaline phosphatase. • Cholestatic episodes may last for many months. • The episodes in BRIC eventually resolve without morphological sequelae
  • 62.
    Cholestasis of pregnancy. Recurrently in 2nd & 3rd trimester of pregnancy & resolves after delivery.  ? inherited & Contraceptive drugs are a risk factor.  Biochemical cholestasis with pruritus, & jaundice.  Histologically similar to BRIC.  Increased risk of premature delivery or stillbirths.  UDCA has been used with success.
  • 63.
    Sickle cell anemia. Causesof jaundice – Viral hepatitis, Choledocholithiasis, Hepatic sickle cell crisis Hepatic sickle cell crisisSevere RUQ pain, fever, leukocytosis, jaundice, tender hepatomegaly, and moderate elevation of alkaline phosphatase. Resolution followed by persistent cholestatic jaundice for several weeks Postoperative jaundice. • Prevalence - 17% • Causes – 1. 2. 3. 4. Sepsis, Drugs or anesthetic-induced hepatitis, Obstruction from pancreatitis, choledocholithiasis, Or direct injury to the biliary tree. • “Benign postoperative cholestatic jaundice” occurs between post op day 1 to 10.
  • 64.
    OTHER INTRAHEPATIC CAUSESOF CHRONIC CHOLESTASIS • • • • • • • • • Nodular regenerative hyperplasia (NRH), Bone marrow transplant (BMT), Connective tissue diseases (CTD), Felty’s syndrome, Mastocytosis, Hypereosinophilic syndrome, Hyperthyroidism, Space occupying lesions. Para neoplastic syndromes of Hodgkin’s, Medullary thyroid Ca, RCC, Renal sarcoma, T cell lymphoma, Prostate Ca, Many GI malignancies. • Stauffer’s Syndrome – Intrahepatic cholestasis in RCC
  • 65.
    SUMMARY EVALUATION OF CHOLESTASISAND/OR JAUNDICE 1) Suspect cholestasis on history, physical exam, lab. 1) Look for clues to mechanical obstruction of ducts and/or mass lesions (radiologic studies). 1) Visualize, diagnose and treat mechanical obstruction. Consider intrahepatic cholestasis, obtain liver biopsy.
  • 66.
    What happened toour patient… Histopathology of lymph node - caseating granulomatous lymphadenitis. Liver biopsy - consistent with tuberculosis, with periportal epitheloid granulomas. The patient was started on AKT. He became afebrile on ATT with regression of jaundice and constitutional symptoms. After completing six months of AKT, complete resolution of jaundice. Repeat ultrasound showed normal liver with no IHBRD or focal lesions.
  • 67.
    Treatment of cholestaticjaundice … Medical management: Obstructive Jaundice : • UDCA Key Principle is Decompression • DietMCT, Fat soluble vitamin supplementations & calcium • Pruritus – Cholestyramine, antihistaminic, phenobarbitone • Bone disease – Vit.D, Bisphopshonates 1) When cholangitis IVF, Antibiotics, Decompression 2) Stones Remove stones vs. stent vs Drainage (ERCP /PTC/ surgery) 3) Benign stricture Endoscopic dilatation/ stent vs drainage catheter 4) Cancer Stent vs drainage +/- resection
  • 68.