ALLERGIC
BRONCHOPULMONARY
ASPERGILLOSIS
Dr.Veerendra Singh
MD (Medicine)
Fellow UPDA
Allergic Bronchopulmonary Aspergillosis: An Unusual Complication of
Bronchial Asthma
Pages with reference to book, From 329 To 331
S. Fayyaz Hussain, Javaid A. Khan ( Department of Medicine, The Aga Khan University Hospital, Karachi. ) M.
Ata Khan ( Department of Medicine, The Aga Khan University Hospital. Karachi. )
Case 1.
A 19 year old male, asthmatic from childhood. developed fever, cough,
hemoptysis and pulmonary infiltrate in 1987. He was treated for TB for nine
months. In 1992, he again presented with fever, anorexia, cough, hemoptysis
S. Fayyaz Hussain, Javaid A. Khan ( Department of Medicine, The Aga Khan University Hospital,
Karachi. ) M. Ata Khan ( Department of Medicine, The Aga Khan University Hospital. Karachi. )
 Sputum was negative for AFB but on clinical
suspicion, he was restarted on quadruple anti-TB
therapy in adequate doses. In addition, he
continued to receive bronchodilators, inhaled
steroids and intermittent courses of oral
prednisolone.
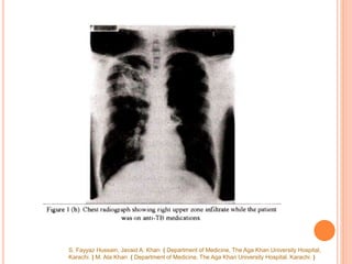
 Six months later, while still on anti-TB drugs, he
developed recurrence of symptoms with right
pleuritic chest pain, fever, cough, wheeze and
hemoptysis. Repeat chest x-ray showed infiltrates
in right lung (Figure ib).
S. Fayyaz Hussain, Javaid A. Khan ( Department of Medicine, The Aga Khan University Hospital,
Karachi. ) M. Ata Khan ( Department of Medicine, The Aga Khan University Hospital. Karachi. )
S. Fayyaz Hussain, Javaid A. Khan ( Department of Medicine, The Aga Khan University Hospital,
Karachi. ) M. Ata Khan ( Department of Medicine, The Aga Khan University Hospital. Karachi. )
 Sputum for AFB was negative. He had eosinophilia
of 12% (WBC count 12600/dI) and 2grossly
elevated serum IgE (>1000 iu/ml). Aspergillus
antibodies were negative.
 Diagnosis of ABPA was made and prednisolone 30
mg daily was started. This resulted in rapid
resolution of clinical and radiological features.
Patient remains well on maintenance prednisolone
at a dose of 7.5 mg daily.
S. Fayyaz Hussain, Javaid A. Khan ( Department of Medicine, The Aga Khan University Hospital,
Karachi. ) M. Ata Khan ( Department of Medicine, The Aga Khan University Hospital. Karachi. )
CASE 2:
 A 24 year old male, asthmatic for four years,
presented with high grade fever, cough with
purulent sputum and right sided chest pain. He had
two similar episodes during the last one year.
 Bilateral widespread rhonchi and crepitation were
found on chest examination.
 Chest x-ray showed bilateral interstitial infiltrates
and bronchiectatic changes.
 White cell count was 12700/dl with 33%
eosinophils. Sputum for AFB were negative.
 Serum IgE was elevated above 1700 lU/mi.
S. Fayyaz Hussain, Javaid A. Khan ( Department of Medicine, The Aga Khan University Hospital,
Karachi. ) M. Ata Khan ( Department of Medicine, The Aga Khan University Hospital. Karachi. )
S. Fayyaz Hussain, Javaid A. Khan ( Department of Medicine, The Aga Khan University Hospital,
Karachi. ) M. Ata Khan ( Department of Medicine, The Aga Khan University Hospital. Karachi. )
Diagnosis of ABPA was made and prednisolone 1mg/kg/day was
started. Patient improved
Allergic Bronchopulmonary Aspergillosis: An Unusual Complication of
Bronchial Asthma
Pages with reference to book, From 329 To 331
S. Fayyaz Hussain, Javaid A. Khan ( Department of Medicine, The Aga Khan University Hospital, Karachi. ) M.
Ata Khan ( Department of Medicine, The Aga Khan University Hospital. Karachi. )
The clinical features of ABPA (cough, fever, hemoptysis and
lung infiltrates) are usually mistaken for pulmonary tuberculosis
CHEST. 2006;130(2):442-448. DOI:10.1378/CHEST.130.2.442
ALLERGIC BRONCHOPULMONARY ASPERGILLOSIS*:LESSONS FROM 126
PATIENTS ATTENDING A CHEST CLINIC IN NORTH INDIA.
RITESH AGARWAL, MD, DM, FCCP; DHEERAJ GUPTA, MD, DM, FCCP; ASHUTOSH N. AGGARWAL, MD, DM;
DIGAMBER BEHERA, MD, FCCP; SURINDER K. JINDAL, MD, FCCP
 Five hundred sixty-four patients were screened using an Aspergillus skin test; 223 patients (39.5%)
were found to be positive, and ABPA was diagnosed in 126 patients (27.2%). There were 34 patients
(27%) with ABPA-S, 42 patients with ABPA-CB, and 50 patients with ABPA-CB-ORF. Fifty-nine patients
(46.8%) had received antitubercular therapy in the past. The vast majority of patients had bronchiectasis
at presentation to our hospital. High-attenuation mucous impaction was noted in 21 patients (16.7%).
There was no significant difference between the stages of ABPA and the duration of illness, the severity
of asthma, and the serologic findings (ie, absolute eosinophil count, IgE levels [total] and IgE levels
[for Aspergillus fumigatus]).
 Conclusions: There is a high prevalence of ABPA in asthmatic patients presenting at our hospital. The
disease entity is still underrecognized in India; the vast majority of patients
have bronchiectasis at presentation, and almost half are initially
misdiagnosed as having pulmonary tuberculosis. There is a need to redefine the
definitions of ABPA and the optimal dose/duration of glucocorticoid therapy. This study reinforces the
need for the routine screening of asthmatic patients with an Aspergillus skin test.
Fifty-nine patients (46.8%) had received antitubercular therapy in the past
Respiratory Medicine CME
Volume 4, Issue 4, Pages 149-200 (2011)
Case Report
Allergic bronchopulmonary aspergillosis presenting with cough variant
asthma with spontaneous remission
Hirofumi Matsuoka, Towa Uzu, Midori Koyama, Yasuko Koma, Kensuke
Fukumitsu, Yoshitaka Kasai, Daiki Masuya, Harukazu Yoshimatsu, Yujiro Suzuki
A 60-year-old woman presented with a dry cough without dyspnea or wheezing.
Chest CT showed an image of mucoid impactions, which were identified as
mucoid impactions by bronchofiberscopy.
Fig. 1. Chest radiograph showing bilateral
infiltrates.
Fig. 2.
a: Chest CT image during the
acute phase shows an image of
mucoid impactions in the right
middle lung lobe and the left
lingular bronchus.
b: Chest CT image during the
remission stage shows
bronchiectasis in the lingula of the
left lung. The image of m...
Fig. 3. Bronchofiberscopy findings. Mucoid
impaction in the right middle lung lobe bronchus
Respiratory Medicine CME, Volume 4, Issue 4, 2011, 175–177
A 60-year-old woman presented with a dry cough without dyspnea or wheezing.
Natural history of aspergilllus infection in Indian population is
a course of anti –TB, bronchial asthma with frequent steroid intake
 17. D´Urzo,Mclvor A.R. Allergic bronchopulmonary aspergillosis in asthma.
Can Fam Physician. 2000 Apr; 46: 882–884.
 18. Shah A, Panchal N, Agarwal AK. Concomitant allergic bronchopulmonary
aspergillosis and allergic aspergillus sinusitis: a review of an uncommon
association. Clin Exp Allergy 2001;31:1896–1905. [CrossRef] [Medline]
 19. Agarwal R, Srinivas R, Jindal SK. Allergic bronchopulmonary aspergillosis
complicating chronic obstructive pulmonary disease. Mycoses 2007;51:83–85.
 20. Boz AB, Celmeli F, Arslan AG, Cilli A, Ogus C, Ozdemir T. A case of allergic
bronchopulmonary aspergillosis following active pulmonary
tuberculosis. Pediatr Pulmonol 2009;44:86–89. [CrossRef] [Medline]
 21. Judson MA. Allergic bronchopulmonary aspergillosis after infliximab therapy
for sarcoidosis: a potential mechanism related to T-helper cytokine
balance. Chest 2009;135:1358–1359. [CrossRef] [Medline]
 39. Agarwal R, Singh N, Gupta D. Pulmonary hypertension as a presenting
manifestation of allergic bronchopulmonary aspergillosis. Indian J Chest Dis Allied
Sci 2009;51:37–40. [Medline]
Uncommon associations of allergic bronchpulmonary aspergillosis
 Sources of Infection?
 Aspergillus species are found in :
 Soil, Compost and decaying vegetation
 Air; spores may be inhaled
 Water / storage tanks in hospitals etc
 Food
 Fire proofing materials
 Bedding, pillows
 Ventilation and air conditioning systems
 Computer fans
Aspergillus
spores
The life cycle of Aspergillus
Spores inhaled Germination
Mass of hyphae
(plateau phase)
Hyphal elongation
and branching
Patients whose immune system is already weakened are most susceptible.
Those most at risk include some cancer and leukaemia patients, those
on chemotherapy and transplant patients.
Immune malfunction
Frequencyofaspergillosis
Immune hyper-reactivity
Frequencyofaspergillosis
Acute invasive
aspergillosis
Aspergilloma
Allergic aspergillosis
Allergic sinusitis
Normal
immune
function
Relative risk of Aspergillus infection
Spectrum of pulmonary disorders caused by Aspergillus species
Invasive pulmonary aspergillosis (IPA) is a severe
disease, and can be found not only in severely
immunocompromised patients, but also in critically
ill patients and those with chronic obstructive
pulmonary disease (COPD).
Aspergilloma is a fungus ball that develops in a pre-
existing cavity within the lung parenchyma
ABPA is a hypersensitivity manifestation in the lungs
that almost always affects patients with asthma or
cystic fibrosis .
 allergic pulmonary disorder caused by
hypersensitivity to Aspergillus fumigatus 1
 Occurs in asthma or cystic fibrosis2
 result of immune response to Aspergillus
colonization of airway and poor clearance
of mucus secretions
 subsequent bronchiectasis, pulmonary
fibrosis, and compromise of pulmonary
function
 first described by Hinson et al in 1952 in UK
1.CHEST 2009; 135:805–826.
2. Middleton’s Allergy, Principle&Practice 7th edition.
Allergic Bronchopulmonary Aspergillosis
Clinical feature
 Symptom
◦ occasionally be asymptomatic
◦ low-grade fever, wheezing, bronchial hyperreactivity,
◦ hemoptysis, or productive cough
◦ Expectoration of brownish black mucus plugs (31 to
69%)
 Physical examination
◦ normal or polyphonic wheeze
◦ Clubbing (16% )
◦ coarse crackles (15%)
◦ localized findings of consolidation and atelectasis
during exacerbation
◦ Complications eg. pulmonary HT and/or respiratory
failure
CHEST 2009; 135:805–826.
Laboratory Findings
 Aspergillus Skin Test
◦ Type I and III reaction
◦ SPT and intradermal test (if SPT negative )
 Total Serum IgE Levels
◦ most useful test for diagnosis and follow-up
of ABPA
◦ Exclude ABPA ( if not steroid used)
◦ 35 to 50% decrease : criteria for remission
◦ Doubling of baseline IgE levels : relapse of
ABPA
CHEST 2009; 135:805–826
Laboratory Findings
 Serum IgE and IgG Antibodies Specific
to A. fumigatus
◦ Hallmark of ABPA
◦ cutoff value of IgG/IgE > twice pooled serum
samples
 Serum Precipitins Against A. fumigatus
◦ Precipitating IgG Ab using double gel
diffusion technique
 Peripheral Eosinophilia
◦ AEC >1,000 cells/μL (major criteria)
◦ low eosinophil count not exclude ABPA
CHEST 2009; 135:805–826
Laboratory Findings
 Sputum Cultures for A fumigatus
◦ supportive ,but not diagnostic
◦ rarely perform for diagnosis of ABPA
 Pulmonary Function Tests
◦ Categorize severity, no diagnostic value
◦ usual finding is obstructive defect
 Role of Specific Aspergillus Antigens
◦ Further studies are required
CHEST 2009; 135:805–826
Radiologic Investigations
 Chest radiographic findings
 Transient changes
◦ Patchy areas of consolidation
◦ Radiologic infiltrates: toothpaste and gloved finger
shadows due to mucoid impaction in dilated bronchi
◦ Collapse: lobar or segmental
◦ Perihilar infiltrates may simulate adenopathy
 Permanent changes
◦ Parallel-line shadows representing bronchial widening
◦ Ring-shadows 1–2 cm in diameter representing dilated
bronchi en face
◦ Pulmonary fibrosis: fibrotic scarred upper lobes with
cavitation
CHEST 2009; 135:805–826
Fig. Chest X-Ray of ABPA patient with right middle zone infiltrate
Fig. Chest X-Ray of ABPA patient with Consolidation and Finger like
shadow
Chest x-ray in a patient with ABPA:
ring shadows (long arrows) represent bronchiectatic airways
seen in cross-section; tram lines (short arrow) seen longitudinally
Radiologic Investigations
CHEST 2009; 135:805–826
Radiologic Investigations
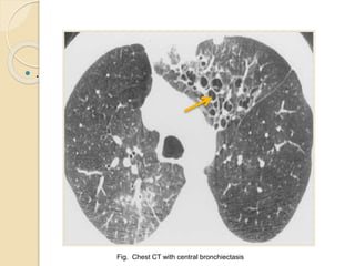
 HRCT findings
◦ Central bronchiectasis
◦ Mucus plugging with bronchoceles
◦ Consolidation
◦ Centrilobular nodules with tree-in-bud
opacities
◦ Bronchial wall thickening
◦ Areas of atelectasis
◦ Mosaic perfusion with air trapping on
expiration
CHEST 2009; 135:805–826
◦ Fig. CT chest of ABPA patient with Mucoid impaction of
central bronchiectasis and Atelectasis
 .
Fig. Chest CT with central bronchiectasis
Radiologic Investigations
CHEST 2009; 135:805–826( pathognomonic finding with ABPA
)
Bronchiectasis : cylindrical when bronchus taper and is 1.5 to >3 times caliber
of diameter of adjacent artery
J Allergy Clin Immunol 2002;110:685-92.
J Allergy Clin Immunol 2002;110:685-92.
Primary criteria:
 Asthma
 Peripheral blood eosinophilia
 Positive skin test for aspergillus
 Precipitating antibodies(IgG) in serum
 Serums Af spesific IgG and IgE
 IgE elevation (>1000mL)
 Pulmonary infiltrations
 Central bronchiectasis
Secondary criteria:
 Positive sputum culture for aspergillus
 History of brown mucus plug expectoration
 Positive type III(Arthus) reaction for aspergillosis
ABPA Diagnostic Criteria
Soubani AO.Chest 2002;121:1988-1999
Lazarus AA. Dis Mon 2008;54:547-564
Agarwal R. Chest 2009;135:805-826
ABPA-Central Bronchiectasis (ABPA-SB)
 Asthma
 Central bronchiectasis
 Immediate cutaneous hyperreactivity to Af
antigens
 Elevated IgE ( >417 U/L or 1000ng/ml)
 Raised A fumigatus specific IgE and IgG
ABPA-Serological (ABPA-S)
 Asthma
 Immediate cutaneous hyperreactivity to Af
antigens
 Elevated IgE ( >417 U/L or 1000ng/ml)
 Raised Af specific IgE and IgG
 Transient pulmonary infiltrates on chest
radiograph
Rosenberg M.Annals of Intern Med 1977;86:405-414
Greenberger PA. JACI 2002;110:685-692
Agarwal R. Chest 2009;135:805-826
Rosenberg-Patterson criteria
Diagnosis and Diagnostic
Criteria
(Minimal diagnostic criteria for ABPA)
 Minimal ABPA-CB
 Asthma
 Immediate cutaneous
hyperreactivity to
Aspergillus antigens
 Elevated IgE
 Raised A fumigatus-
specific IgG and IgE
 Central bronchiectasis
 Minimal ABPA-S
 Asthma
 Immediate cutaneous
hyperreactivity to
Aspergillus antigens
 Elevated IgE
 Raised A fumigatus-
specific IgG and IgE
 Transient pulmonary
infiltrates on chest
radiograph
CHEST 2009; 135:805–826
Clinical staging of ABPA
CHEST 2009; 135:805–826
All patients with bronchial asthma
Positive
Chest radiograph, HRCT
IgG/IgE spesific to Af
Eosinophil count
Precipitins to Af
Spirometry
Aspergillus skin test
IgE levels Follow-up with repeat skin test
Yes
>1000 IU/mL
Negative
500-1000 IU/mL
More than two-fold compared AH
IgE / yıl ile izlemIgG/IgE spesific to Af
No
Follow-up with IgE levels every 6 wk
If increasing or >1000 IU/mL
Treatment for ABPA
<500 IU/mL
ABPA
Diagnostic Algoritm
Agarwal R. Chest 2009;135:805-826
Management
 Systemic Glucocorticoid Therapy
◦ treatment of choice for ABPA
◦ Suppress immune hyperfunction & antiinflammatory
◦ Long term therapy not recommended
 Regimen 1 (relapse /steroid dependence 45%)
◦ Prednisolone, 0.5 mg/kg/d, for 1–2 wk, then on AD for
6–8 wk. Then taper by 5–10 mg every 2 wk and
discontinue
◦ Repeat total serum IgE and chest radiograph in 6 to 8
wk
 Regimen 2 (steroid dependence 13.5%)
◦ Prednisolone, 0.75 mg/kg/d, for 6 wk, 0.5 mg/kg for 6
wk, then tapered by 5 mg every 6 wk to continue for
total duration of at least 6 to 12 mo.
◦ total IgE levels are repeated every 6 to 8 wk for 1 yr
to determine baseline IgE
CHEST 2009; 135:805–826
Management
 Follow-up and monitoring
 Hx and PE , chest radiograph, and total IgE every 6 wk
to demonstrate decline in IgE levels and clearing of
chest radiograph
 35% decline in IgE level signifies satisfactory response
to therapy
 Doubling of baseline IgE : silent ABPA exacerbation
 If cannot be tapered off prednisolone, disease has
evolved into stage IV. Management should be
attempted with alternate-day prednisone with least
possible dose
 Monitor for adverse effects (eg, HT, secondary DM)
 Prophylaxis for osteoporosis: oral calcium and
bisphosphonates
CHEST 2009; 135:805–826
Management
 Oral itraconazole
◦ Dose: 200 mg bid for 16 wk then once a day
for 16 wk
◦ Indication: First relapse of ABPA or
glucocorticoid-dependent ABPA
◦ Follow-up and monitoring
◦ Monitor for adverse effects (eg, nausea,
vomiting, diarrhea,and elevated liver
enzymes)
◦ Monitor for drug–drug interactions
◦ Monitor clinical response based on clinical
course,radiography, and total IgE levels
CHEST 2009; 135:805–826
Management
 Inhaled Corticosteroids
◦ DBPC multicenter (32 pts.) no superiority
over placebo
◦ Use only for control of asthma once oral
prednisolone dose is reduced to 10 mg/d
 Other Therapies
◦ other antifungal agents (e.g. amphotericin B,
ketoconazole, clitromazole, nystatin and
natamycin) severe adverse effects and no
significant beneficial effects
◦ Omalizumab (case report)
CHEST 2009; 135:805–826
Treatment of Allergic Bronchopulmonary Aspergillosis
(ABPA) in CF With Anti-IgE Antibody (Omalizumab)
Adaobi Kanu. Pediatr Pulmonol. 2008; 43:1249–1251
Successful treatment of allergic bronchopulmonary
aspergillosis with recombinant anti-IgE antibody
Cornelis K van der Ent . Thorax 2007;62;276-277
Steroid-Sparing Effect of Omalizumab for Allergic
Bronchopulmonary Aspergillosis and Cystic Fibrosis
Jacquelyn M. Zirbes . Pediatr Pulmonol. 2008; 43:607–610
Omalizumab (ABPA)
TAKE HOME MESSAGES
 Allergic Bronchopulmonary Aspergillosis (ABPA),
an immune mediated disease, is an unusual
complication of bronchial asthma which can result
in bronchiectasis, pulmonary fibrosis, respiratory
failure and death.
 The clinical features of ABPA (cough, fever,
hemoptysis and lung infiltrates) are usually
mistaken for pulmonary tuberculosis (TB).
 Early diagnosis is important so that with proper
therapy permanent lung damage can be prevented.
Thank you

Abpa . a diagnostic dilemma

  • 1.
  • 2.
    Allergic Bronchopulmonary Aspergillosis:An Unusual Complication of Bronchial Asthma Pages with reference to book, From 329 To 331 S. Fayyaz Hussain, Javaid A. Khan ( Department of Medicine, The Aga Khan University Hospital, Karachi. ) M. Ata Khan ( Department of Medicine, The Aga Khan University Hospital. Karachi. )
  • 3.
    Case 1. A 19year old male, asthmatic from childhood. developed fever, cough, hemoptysis and pulmonary infiltrate in 1987. He was treated for TB for nine months. In 1992, he again presented with fever, anorexia, cough, hemoptysis S. Fayyaz Hussain, Javaid A. Khan ( Department of Medicine, The Aga Khan University Hospital, Karachi. ) M. Ata Khan ( Department of Medicine, The Aga Khan University Hospital. Karachi. )
  • 4.
     Sputum wasnegative for AFB but on clinical suspicion, he was restarted on quadruple anti-TB therapy in adequate doses. In addition, he continued to receive bronchodilators, inhaled steroids and intermittent courses of oral prednisolone.  Six months later, while still on anti-TB drugs, he developed recurrence of symptoms with right pleuritic chest pain, fever, cough, wheeze and hemoptysis. Repeat chest x-ray showed infiltrates in right lung (Figure ib). S. Fayyaz Hussain, Javaid A. Khan ( Department of Medicine, The Aga Khan University Hospital, Karachi. ) M. Ata Khan ( Department of Medicine, The Aga Khan University Hospital. Karachi. )
  • 5.
    S. Fayyaz Hussain,Javaid A. Khan ( Department of Medicine, The Aga Khan University Hospital, Karachi. ) M. Ata Khan ( Department of Medicine, The Aga Khan University Hospital. Karachi. )
  • 6.
     Sputum forAFB was negative. He had eosinophilia of 12% (WBC count 12600/dI) and 2grossly elevated serum IgE (>1000 iu/ml). Aspergillus antibodies were negative.  Diagnosis of ABPA was made and prednisolone 30 mg daily was started. This resulted in rapid resolution of clinical and radiological features. Patient remains well on maintenance prednisolone at a dose of 7.5 mg daily. S. Fayyaz Hussain, Javaid A. Khan ( Department of Medicine, The Aga Khan University Hospital, Karachi. ) M. Ata Khan ( Department of Medicine, The Aga Khan University Hospital. Karachi. )
  • 7.
    CASE 2:  A24 year old male, asthmatic for four years, presented with high grade fever, cough with purulent sputum and right sided chest pain. He had two similar episodes during the last one year.  Bilateral widespread rhonchi and crepitation were found on chest examination.  Chest x-ray showed bilateral interstitial infiltrates and bronchiectatic changes.  White cell count was 12700/dl with 33% eosinophils. Sputum for AFB were negative.  Serum IgE was elevated above 1700 lU/mi. S. Fayyaz Hussain, Javaid A. Khan ( Department of Medicine, The Aga Khan University Hospital, Karachi. ) M. Ata Khan ( Department of Medicine, The Aga Khan University Hospital. Karachi. )
  • 8.
    S. Fayyaz Hussain,Javaid A. Khan ( Department of Medicine, The Aga Khan University Hospital, Karachi. ) M. Ata Khan ( Department of Medicine, The Aga Khan University Hospital. Karachi. ) Diagnosis of ABPA was made and prednisolone 1mg/kg/day was started. Patient improved
  • 9.
    Allergic Bronchopulmonary Aspergillosis:An Unusual Complication of Bronchial Asthma Pages with reference to book, From 329 To 331 S. Fayyaz Hussain, Javaid A. Khan ( Department of Medicine, The Aga Khan University Hospital, Karachi. ) M. Ata Khan ( Department of Medicine, The Aga Khan University Hospital. Karachi. ) The clinical features of ABPA (cough, fever, hemoptysis and lung infiltrates) are usually mistaken for pulmonary tuberculosis
  • 10.
    CHEST. 2006;130(2):442-448. DOI:10.1378/CHEST.130.2.442 ALLERGICBRONCHOPULMONARY ASPERGILLOSIS*:LESSONS FROM 126 PATIENTS ATTENDING A CHEST CLINIC IN NORTH INDIA. RITESH AGARWAL, MD, DM, FCCP; DHEERAJ GUPTA, MD, DM, FCCP; ASHUTOSH N. AGGARWAL, MD, DM; DIGAMBER BEHERA, MD, FCCP; SURINDER K. JINDAL, MD, FCCP  Five hundred sixty-four patients were screened using an Aspergillus skin test; 223 patients (39.5%) were found to be positive, and ABPA was diagnosed in 126 patients (27.2%). There were 34 patients (27%) with ABPA-S, 42 patients with ABPA-CB, and 50 patients with ABPA-CB-ORF. Fifty-nine patients (46.8%) had received antitubercular therapy in the past. The vast majority of patients had bronchiectasis at presentation to our hospital. High-attenuation mucous impaction was noted in 21 patients (16.7%). There was no significant difference between the stages of ABPA and the duration of illness, the severity of asthma, and the serologic findings (ie, absolute eosinophil count, IgE levels [total] and IgE levels [for Aspergillus fumigatus]).  Conclusions: There is a high prevalence of ABPA in asthmatic patients presenting at our hospital. The disease entity is still underrecognized in India; the vast majority of patients have bronchiectasis at presentation, and almost half are initially misdiagnosed as having pulmonary tuberculosis. There is a need to redefine the definitions of ABPA and the optimal dose/duration of glucocorticoid therapy. This study reinforces the need for the routine screening of asthmatic patients with an Aspergillus skin test. Fifty-nine patients (46.8%) had received antitubercular therapy in the past
  • 11.
    Respiratory Medicine CME Volume4, Issue 4, Pages 149-200 (2011) Case Report Allergic bronchopulmonary aspergillosis presenting with cough variant asthma with spontaneous remission Hirofumi Matsuoka, Towa Uzu, Midori Koyama, Yasuko Koma, Kensuke Fukumitsu, Yoshitaka Kasai, Daiki Masuya, Harukazu Yoshimatsu, Yujiro Suzuki A 60-year-old woman presented with a dry cough without dyspnea or wheezing. Chest CT showed an image of mucoid impactions, which were identified as mucoid impactions by bronchofiberscopy.
  • 12.
    Fig. 1. Chestradiograph showing bilateral infiltrates. Fig. 2. a: Chest CT image during the acute phase shows an image of mucoid impactions in the right middle lung lobe and the left lingular bronchus. b: Chest CT image during the remission stage shows bronchiectasis in the lingula of the left lung. The image of m... Fig. 3. Bronchofiberscopy findings. Mucoid impaction in the right middle lung lobe bronchus Respiratory Medicine CME, Volume 4, Issue 4, 2011, 175–177 A 60-year-old woman presented with a dry cough without dyspnea or wheezing.
  • 15.
    Natural history ofaspergilllus infection in Indian population is a course of anti –TB, bronchial asthma with frequent steroid intake
  • 16.
     17. D´Urzo,MclvorA.R. Allergic bronchopulmonary aspergillosis in asthma. Can Fam Physician. 2000 Apr; 46: 882–884.  18. Shah A, Panchal N, Agarwal AK. Concomitant allergic bronchopulmonary aspergillosis and allergic aspergillus sinusitis: a review of an uncommon association. Clin Exp Allergy 2001;31:1896–1905. [CrossRef] [Medline]  19. Agarwal R, Srinivas R, Jindal SK. Allergic bronchopulmonary aspergillosis complicating chronic obstructive pulmonary disease. Mycoses 2007;51:83–85.  20. Boz AB, Celmeli F, Arslan AG, Cilli A, Ogus C, Ozdemir T. A case of allergic bronchopulmonary aspergillosis following active pulmonary tuberculosis. Pediatr Pulmonol 2009;44:86–89. [CrossRef] [Medline]  21. Judson MA. Allergic bronchopulmonary aspergillosis after infliximab therapy for sarcoidosis: a potential mechanism related to T-helper cytokine balance. Chest 2009;135:1358–1359. [CrossRef] [Medline]  39. Agarwal R, Singh N, Gupta D. Pulmonary hypertension as a presenting manifestation of allergic bronchopulmonary aspergillosis. Indian J Chest Dis Allied Sci 2009;51:37–40. [Medline] Uncommon associations of allergic bronchpulmonary aspergillosis
  • 17.
     Sources ofInfection?  Aspergillus species are found in :  Soil, Compost and decaying vegetation  Air; spores may be inhaled  Water / storage tanks in hospitals etc  Food  Fire proofing materials  Bedding, pillows  Ventilation and air conditioning systems  Computer fans Aspergillus spores
  • 18.
    The life cycleof Aspergillus Spores inhaled Germination Mass of hyphae (plateau phase) Hyphal elongation and branching
  • 19.
    Patients whose immunesystem is already weakened are most susceptible. Those most at risk include some cancer and leukaemia patients, those on chemotherapy and transplant patients. Immune malfunction Frequencyofaspergillosis Immune hyper-reactivity Frequencyofaspergillosis Acute invasive aspergillosis Aspergilloma Allergic aspergillosis Allergic sinusitis Normal immune function Relative risk of Aspergillus infection
  • 20.
    Spectrum of pulmonarydisorders caused by Aspergillus species
  • 21.
    Invasive pulmonary aspergillosis(IPA) is a severe disease, and can be found not only in severely immunocompromised patients, but also in critically ill patients and those with chronic obstructive pulmonary disease (COPD). Aspergilloma is a fungus ball that develops in a pre- existing cavity within the lung parenchyma ABPA is a hypersensitivity manifestation in the lungs that almost always affects patients with asthma or cystic fibrosis .
  • 22.
     allergic pulmonarydisorder caused by hypersensitivity to Aspergillus fumigatus 1  Occurs in asthma or cystic fibrosis2  result of immune response to Aspergillus colonization of airway and poor clearance of mucus secretions  subsequent bronchiectasis, pulmonary fibrosis, and compromise of pulmonary function  first described by Hinson et al in 1952 in UK 1.CHEST 2009; 135:805–826. 2. Middleton’s Allergy, Principle&Practice 7th edition. Allergic Bronchopulmonary Aspergillosis
  • 23.
    Clinical feature  Symptom ◦occasionally be asymptomatic ◦ low-grade fever, wheezing, bronchial hyperreactivity, ◦ hemoptysis, or productive cough ◦ Expectoration of brownish black mucus plugs (31 to 69%)  Physical examination ◦ normal or polyphonic wheeze ◦ Clubbing (16% ) ◦ coarse crackles (15%) ◦ localized findings of consolidation and atelectasis during exacerbation ◦ Complications eg. pulmonary HT and/or respiratory failure CHEST 2009; 135:805–826.
  • 24.
    Laboratory Findings  AspergillusSkin Test ◦ Type I and III reaction ◦ SPT and intradermal test (if SPT negative )  Total Serum IgE Levels ◦ most useful test for diagnosis and follow-up of ABPA ◦ Exclude ABPA ( if not steroid used) ◦ 35 to 50% decrease : criteria for remission ◦ Doubling of baseline IgE levels : relapse of ABPA CHEST 2009; 135:805–826
  • 25.
    Laboratory Findings  SerumIgE and IgG Antibodies Specific to A. fumigatus ◦ Hallmark of ABPA ◦ cutoff value of IgG/IgE > twice pooled serum samples  Serum Precipitins Against A. fumigatus ◦ Precipitating IgG Ab using double gel diffusion technique  Peripheral Eosinophilia ◦ AEC >1,000 cells/μL (major criteria) ◦ low eosinophil count not exclude ABPA CHEST 2009; 135:805–826
  • 26.
    Laboratory Findings  SputumCultures for A fumigatus ◦ supportive ,but not diagnostic ◦ rarely perform for diagnosis of ABPA  Pulmonary Function Tests ◦ Categorize severity, no diagnostic value ◦ usual finding is obstructive defect  Role of Specific Aspergillus Antigens ◦ Further studies are required CHEST 2009; 135:805–826
  • 27.
    Radiologic Investigations  Chestradiographic findings  Transient changes ◦ Patchy areas of consolidation ◦ Radiologic infiltrates: toothpaste and gloved finger shadows due to mucoid impaction in dilated bronchi ◦ Collapse: lobar or segmental ◦ Perihilar infiltrates may simulate adenopathy  Permanent changes ◦ Parallel-line shadows representing bronchial widening ◦ Ring-shadows 1–2 cm in diameter representing dilated bronchi en face ◦ Pulmonary fibrosis: fibrotic scarred upper lobes with cavitation CHEST 2009; 135:805–826
  • 28.
    Fig. Chest X-Rayof ABPA patient with right middle zone infiltrate
  • 29.
    Fig. Chest X-Rayof ABPA patient with Consolidation and Finger like shadow
  • 31.
    Chest x-ray ina patient with ABPA: ring shadows (long arrows) represent bronchiectatic airways seen in cross-section; tram lines (short arrow) seen longitudinally
  • 32.
  • 33.
    Radiologic Investigations  HRCTfindings ◦ Central bronchiectasis ◦ Mucus plugging with bronchoceles ◦ Consolidation ◦ Centrilobular nodules with tree-in-bud opacities ◦ Bronchial wall thickening ◦ Areas of atelectasis ◦ Mosaic perfusion with air trapping on expiration CHEST 2009; 135:805–826
  • 34.
    ◦ Fig. CTchest of ABPA patient with Mucoid impaction of central bronchiectasis and Atelectasis
  • 35.
     . Fig. ChestCT with central bronchiectasis
  • 36.
    Radiologic Investigations CHEST 2009;135:805–826( pathognomonic finding with ABPA )
  • 37.
    Bronchiectasis : cylindricalwhen bronchus taper and is 1.5 to >3 times caliber of diameter of adjacent artery J Allergy Clin Immunol 2002;110:685-92.
  • 38.
    J Allergy ClinImmunol 2002;110:685-92.
  • 39.
    Primary criteria:  Asthma Peripheral blood eosinophilia  Positive skin test for aspergillus  Precipitating antibodies(IgG) in serum  Serums Af spesific IgG and IgE  IgE elevation (>1000mL)  Pulmonary infiltrations  Central bronchiectasis Secondary criteria:  Positive sputum culture for aspergillus  History of brown mucus plug expectoration  Positive type III(Arthus) reaction for aspergillosis ABPA Diagnostic Criteria Soubani AO.Chest 2002;121:1988-1999 Lazarus AA. Dis Mon 2008;54:547-564 Agarwal R. Chest 2009;135:805-826
  • 40.
    ABPA-Central Bronchiectasis (ABPA-SB) Asthma  Central bronchiectasis  Immediate cutaneous hyperreactivity to Af antigens  Elevated IgE ( >417 U/L or 1000ng/ml)  Raised A fumigatus specific IgE and IgG ABPA-Serological (ABPA-S)  Asthma  Immediate cutaneous hyperreactivity to Af antigens  Elevated IgE ( >417 U/L or 1000ng/ml)  Raised Af specific IgE and IgG  Transient pulmonary infiltrates on chest radiograph Rosenberg M.Annals of Intern Med 1977;86:405-414 Greenberger PA. JACI 2002;110:685-692 Agarwal R. Chest 2009;135:805-826 Rosenberg-Patterson criteria
  • 41.
    Diagnosis and Diagnostic Criteria (Minimaldiagnostic criteria for ABPA)  Minimal ABPA-CB  Asthma  Immediate cutaneous hyperreactivity to Aspergillus antigens  Elevated IgE  Raised A fumigatus- specific IgG and IgE  Central bronchiectasis  Minimal ABPA-S  Asthma  Immediate cutaneous hyperreactivity to Aspergillus antigens  Elevated IgE  Raised A fumigatus- specific IgG and IgE  Transient pulmonary infiltrates on chest radiograph CHEST 2009; 135:805–826
  • 42.
    Clinical staging ofABPA CHEST 2009; 135:805–826
  • 43.
    All patients withbronchial asthma Positive Chest radiograph, HRCT IgG/IgE spesific to Af Eosinophil count Precipitins to Af Spirometry Aspergillus skin test IgE levels Follow-up with repeat skin test Yes >1000 IU/mL Negative 500-1000 IU/mL More than two-fold compared AH IgE / yıl ile izlemIgG/IgE spesific to Af No Follow-up with IgE levels every 6 wk If increasing or >1000 IU/mL Treatment for ABPA <500 IU/mL ABPA Diagnostic Algoritm Agarwal R. Chest 2009;135:805-826
  • 44.
    Management  Systemic GlucocorticoidTherapy ◦ treatment of choice for ABPA ◦ Suppress immune hyperfunction & antiinflammatory ◦ Long term therapy not recommended  Regimen 1 (relapse /steroid dependence 45%) ◦ Prednisolone, 0.5 mg/kg/d, for 1–2 wk, then on AD for 6–8 wk. Then taper by 5–10 mg every 2 wk and discontinue ◦ Repeat total serum IgE and chest radiograph in 6 to 8 wk  Regimen 2 (steroid dependence 13.5%) ◦ Prednisolone, 0.75 mg/kg/d, for 6 wk, 0.5 mg/kg for 6 wk, then tapered by 5 mg every 6 wk to continue for total duration of at least 6 to 12 mo. ◦ total IgE levels are repeated every 6 to 8 wk for 1 yr to determine baseline IgE CHEST 2009; 135:805–826
  • 45.
    Management  Follow-up andmonitoring  Hx and PE , chest radiograph, and total IgE every 6 wk to demonstrate decline in IgE levels and clearing of chest radiograph  35% decline in IgE level signifies satisfactory response to therapy  Doubling of baseline IgE : silent ABPA exacerbation  If cannot be tapered off prednisolone, disease has evolved into stage IV. Management should be attempted with alternate-day prednisone with least possible dose  Monitor for adverse effects (eg, HT, secondary DM)  Prophylaxis for osteoporosis: oral calcium and bisphosphonates CHEST 2009; 135:805–826
  • 46.
    Management  Oral itraconazole ◦Dose: 200 mg bid for 16 wk then once a day for 16 wk ◦ Indication: First relapse of ABPA or glucocorticoid-dependent ABPA ◦ Follow-up and monitoring ◦ Monitor for adverse effects (eg, nausea, vomiting, diarrhea,and elevated liver enzymes) ◦ Monitor for drug–drug interactions ◦ Monitor clinical response based on clinical course,radiography, and total IgE levels CHEST 2009; 135:805–826
  • 47.
    Management  Inhaled Corticosteroids ◦DBPC multicenter (32 pts.) no superiority over placebo ◦ Use only for control of asthma once oral prednisolone dose is reduced to 10 mg/d  Other Therapies ◦ other antifungal agents (e.g. amphotericin B, ketoconazole, clitromazole, nystatin and natamycin) severe adverse effects and no significant beneficial effects ◦ Omalizumab (case report) CHEST 2009; 135:805–826
  • 48.
    Treatment of AllergicBronchopulmonary Aspergillosis (ABPA) in CF With Anti-IgE Antibody (Omalizumab) Adaobi Kanu. Pediatr Pulmonol. 2008; 43:1249–1251 Successful treatment of allergic bronchopulmonary aspergillosis with recombinant anti-IgE antibody Cornelis K van der Ent . Thorax 2007;62;276-277 Steroid-Sparing Effect of Omalizumab for Allergic Bronchopulmonary Aspergillosis and Cystic Fibrosis Jacquelyn M. Zirbes . Pediatr Pulmonol. 2008; 43:607–610 Omalizumab (ABPA)
  • 49.
    TAKE HOME MESSAGES Allergic Bronchopulmonary Aspergillosis (ABPA), an immune mediated disease, is an unusual complication of bronchial asthma which can result in bronchiectasis, pulmonary fibrosis, respiratory failure and death.  The clinical features of ABPA (cough, fever, hemoptysis and lung infiltrates) are usually mistaken for pulmonary tuberculosis (TB).  Early diagnosis is important so that with proper therapy permanent lung damage can be prevented.
  • 50.