Embed presentation
Downloaded 13 times











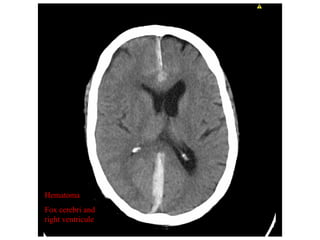
The document discusses a case of a 61-year-old man with small cell lung carcinoma who sustained a fall while hospitalized, resulting in a subdural hematoma. It analyzes contributing factors such as psychotropic drugs, low platelets, and muscle atrophy, proposing improvements like better communication among healthcare staff and supervision during patient mobilization. Recommendations emphasize the need for careful monitoring and support for at-risk patients when they begin to walk again.









