SISTEMA
NERVIOSO e
HORMONAL
3º ESO BIOLOXÍA E XEOLOXÍA
A función de relaciónA función de relación
A FUNCIÓN DE RELACIÓNA FUNCIÓN DE RELACIÓN
ESTÍMULO
RECEPTORES
SENSORIAIS
•
•CENTROS DE CONTROL
•
•
•EFECTORES
•• •
A FUNCIÓN DE RELACIÓNA FUNCIÓN DE RELACIÓN
ESTÍMULO
RECEPTORES
SENSORIAIS
•Organos sentidos
•Neuronas sensoriais
•CENTROS DE CONTROL
•SISTEMA ENDÓCRINO
•SISTEMA NERVIOSO
•EFECTORES
N
•MUSCULOS•GLÁNDULAS
ENDÓCRINAS
•GLÁNDULAS
EXÓCRINAS
H
N
N
A relación e coordinaciónA relación e coordinación
Encéfalo Médula
Nervios Rápida Pouco duradeira
Glándulas
endocrinas
Neurotransmisores
Impulso
nervioso
Substancias químicas
(hormonas)
Lenta
Mais duradera
FORMADO MENSAXEIRO RESPOSTA
SISTEMA NERVIOSO
SISTEMA ENDOCRINO
Completa a seguinte táboa:
A relación e coordinaciónA relación e coordinación
Encéfalo Médula
Nervios Rápida Pouco duradeira
Glándulas
endocrinas
Neurotransmisores
Impulso
nervioso
Substancias químicas
(hormonas)
Lenta
Máis duradera
FORMADO MENSAXEIRO RESPOSTA
SISTEMA
NERVIOSO
Encéfalo
Médula
Nervios
Impulso nervioso
Neurotransmisores
Rápida
Pouco duradeira
SISTEMA
ENDOCRINO
Glándulas endocrinas
Substancias químicas
(hormonas)
Lenta
máis duradeira
Células sistema nervioso
• Neuronas: reciben e transmiten
sinais mediante impulsos nervioso e a
liberación de substancias químicas:
os neurotransmisores
• Células da glía: intercaladas entre as
neuronas, ás que protexen, illan ou
alimentan
A NEURONAA NEURONA
Indica as seguintes partes:
-Dendritas
- Corpo celular
-Núcleo
-Axón
-Célula Schwann (mielina)
A NEURONAA NEURONA
Corpo celular
(mielina)
A NEURONAA NEURONA
Indica as seguintes partes:
-Dendritas: a través delas recibe a neurona o impulso eléctrico
- Corpo celular: nel se atopa o núcleo celular e os orgánulos que regulan o
funcionamento celular
-Núcleo: posúe o ADN coa información para o funcionamento celular
-Axón: A través del a neurona envía o impulso eléctrico
-Célula Schwann (mielina): actúa a modo de illante do axón, impedindo que o
impulso nervioso perda intensidade
Tipo neuronas
Polo número de prolongacións:
Tipo neuronas
Polo número de prolongacións:
Monopolares: tienen una
sola prolongación de doble
sentido, que actúa a la vez
como dendrita y como
axón (entrada y salida).
Bipolares: Tienen
dos
prolongaciones,
una de entrada que
actúa como
dendrita y una de
salida que actúa
como axón
Multipolares: Son las
más típicas y
abundantes. Poseen
un gran número de
prolongaciones
pequeñas de
entrada, dendritas, y
una sola de salida, el
axón
O impulso nerviosoO impulso nervioso
Cómo se transmite a información por unha neurona?
Cómo se transmite a información por unha neurona?
A través do IMPULSO NERVIOSO, que é unha corrente eléctrica
que é capaz de xerar e transmitir a neurona consecuencia de cambios
na súa membrana plasmática
A sinapseA sinapse
Descuberta por Santiago Ramón y Cajal Premio
Nóbel 1906
Cómo se chama o espacio existente entre neuronas?
Cómo se comunica unha neurona con outra?
Cómo se chama o espacio existente entre neuronas?
Cómo se comunica unha neurona con outra?
As neuronas non están en contacto entre si, senón que entre elas
existe unha zona de separación denominada SINAPSE, que
establécese entre o axón dunha neurona e as dendritas doutras.
Por medio de substancias químicas, os NEUROTRANSMISORES, cando
o impulso nervioso chega a o extremo do axón libéranse os
neurotransmisores ao espazo sináptico, onde se unen á membrana da
dendrita iniciando un novo impulso nervioso
Efecto das drogas na sinapse:Efecto das drogas na sinapse:
http://learn.genetics.utah.edu/units/addiction/drugs/mouse.cfm
Mouse Party
Drogas e sistema
nervioso
Moitas drogas actúan como neurotransmisores en zonas
determinadas do encéfalo, ben estimulando ou inhibindo certas
neuronas.
Co uso continuado destas drogas estas neuronas deixan de
producir o neurotransmisor pasando a depender para o seu
funcionamento da droga que chega vía sanguínea.
Por iso cando non se consume a droga, as neuronas xa non
producen o neurotransmisor, producíndose o síndrome de
abstinencia por un funcionamento inadecuado desas neuronas.
Que función ten a célula de Schwann
que forma a vaiña de mielina?
Que función ten a célula de Schwann
que forma a vaiña de mielina?
Que función ten a célula de Schwann
que forma a vaiña de mielina?
Que función ten a célula de Schwann
que forma a vaiña de mielina?
Forma unha cuberta illante sobre o axón que impide que se
distorsione o impulso eléctrico facilitando a transmisión do
impulso nervioso.
Esclerose múltiple
Como resultado, as neuronas perden parcial ou totalmente a capacidade de
transmisión, causando os síntomas típicos de adormecemento, cosquilleo,
espasmos, parálise, fatiga e alteracións na vista.
Nesta enfermidade aparecen focos
de desmielinización no sistema
nervioso central causados polo
ataque do sistema inmune contra a
vaíña de mielina que recubre
os nervios
Tipo neuronas
Pola función:
Tipo neuronas
Pola función:
Motoras ou efectoras: as que
transmiten os impulsos que levan as
respostas cara ós órganos encargados
de realizalas (músculos e glándulas).
De asociación ou
interneuronas: unen entre si
neuronas de diferentes tipos
Sensitivas:
transmiten
impulsos
producidos
polos
receptores
dos
sentidos
SIST. NERVIOSO CENTRAL:
-Encéfalo
-Médula espiñal
SIST. NERVIOSO PERIFÉRICO
- Nervios craniais
- Nervios raquídeos
O SISTEMA NERVIOSOO SISTEMA NERVIOSO
-Cerebro
-Cerebelo
-Bulbo raquídeo
SISTEMA NERVIOSO CENTRALSISTEMA NERVIOSO CENTRAL
Formado polo encéfalo e médula espinal: neles se atopan
corpos neuronais e axóns
O encéfaloO encéfalo
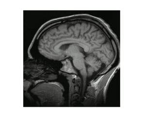
A médula espiñalA médula espiñal
O ENCÉFALOO ENCÉFALO
O ENCÉFALOO ENCÉFALO
Bulbo
olfatorio
O ENCÉFALOO ENCÉFALO
Bulbo
olfatorio
Bulbo raquídeo: control de
funcións involuntarias como o
ritmo cardiaco e respiratorio.
Cerebelo: coordinación dos
movementos
Cerebro: centro de control
superior no que reside o control
dos actos voluntarios, intelixencia
e a memoria
Tronco cerebral e hipotálamo: control das
conductas máis primitivas, instinto,
emocións...
Hipofese: glándula endócrina que controla o
sistema endócrino
Bulbo olfatorio: nel reside o sentido do
olfato
1. Prosencéfalo
2. Mesencéfalo
3. Romboencéfalo
4. Futura médula espinal
5. Diencéfalo
6. Telencéfalo
7. Mielencéfalo, futuro
bulbo
8. Médula espinal
9. Hemisferio cerebral
10. Lóbulo olfatorio
11. Nervio óptico
12. Cerebelo
13. Metencéfalo
Desenvolvemento embrionario do sistema
nervioso
Rexións cerebrais primitivasRexións cerebrais primitivas
1. Prosencéfalo
2. Mesencéfalo
3. Romboencéfalo
4. Telencéfalo
5. Diencéfalo
6. Metencéfalo
7. Mielencéfalo
8. Cuarto ventrículo
9. Acueducto de Silvio
10. Tálamo
11. Tercer ventrículo
12. Ventrículo lateral
Tanto no desenvolvemento do encéfalo nun embrión humano como ao longo da evolución , as
partes máis externas do encéfalo foron as últimas en desenvolverse, por iso as funcións máis
primitivas como os instintos residen en áreas máis internas e as funcións máis evolucionadas
como o pensamento intelixente reside nas áreas máis externas, na chamada corteza cerebral.
Canto máis desenvolta estea nunha especie maior será a súa intelixencia.
O encéfaloO encéfalo
RATA
GATO
MONO HUMANO
RA
Nos encéfalos das distintas especies aparecen adaptacións
evolutivas, aparecendo máis desenvolvidas certas partes do
encéfalo mais relacionada coa súa forma de vida:
-Gato: cerebelo
(equilibrio)
Humano:cortiza
cerebral
(intelixencia)
Can: bulbo olfatorio
(olfato)
Por que a cortiza cerebral está repregada?
• A parte máis externa do cerebro está constituída pola substancia gris,
encargada da realización da maioría das funcións superiores do cerebro.
• Ao longo da evolución o ser humano repregando a súa superficie
aumentou a cantidade de substancia gris e polo tanto a súa
intelixencia, sen aumentar o volume craneal (xa que este está limitado por
diversos factores, como o canal do parto da pelve)
O cerebro
A parte exterior do encéfalo forma o
cerebro no cal reside o pensamento
intelixente e o control motor dos
actos voluntarios. En cada área da
superficie do cerebro se atopan
neuronas encargadas de certas
funcións, polo que un dano causado
sobre unha zona pode alterar funcións
concretas como a fala....
O cerebro a súa vez está dividido en 2 metades
(hemisferios) cada un dos cales controla o
movemento da metade contrario do corpo. A
información de todas as neuronas do cerebro
conflúe nunha zona relativamente pequena,o corpo
caloso, un dos dous hemisferio durante o
desenvolvemento tomará prioridade nas vías de
saída, por iso según que hemisferio sexa
dominante as persoas seremos diestras ou
zurdas.
Por qué existen persoas destras ou zurdas?
AS MENINXESAS MENINXES
Son unhas membranas que recubren o sistema nervioso central. Entre elas se
atopa o líquido cefalorraquídeo que xunto as meninxes protexe o sistema
nervioso central fronte a traumatismos.
Composición do sistema nervioso
central:
Composición do sistema nervioso
central:
No sistema nervioso central
diferéncianse 2 zonas de aspecto
distinto:
No sistema nervioso central
diferéncianse 2 zonas de aspecto
distinto:
– .Substancia gris....formada por ............. .....
que constitúen .................................
– Substancia branca.. formada por ...............
e que debe a súa cor á ...............................
No sistema nervioso central
diferéncianse 2 zonas de aspecto
distinto:
No sistema nervioso central
diferéncianse 2 zonas de aspecto
distinto:
– .Substancia gris....formada por ......corpos
neuronais ..... que constitúen ..centros de
control.....................................
– Substancia branca.. formada por ....axóns...
e que debe a súa cor á ....mielina..................
A MEDULAA MEDULA
A médula esta formada polo
conxunto de corpos neuronais
(substancia gris) e axóns
(substancia branca) situada na
columna vertebral: Posúe 3
funcións:
•Transmitir a información dende
o encéfalo ao resto do corpo
•Control involuntario de visceras
•Control dos actos reflexos que
son as respostas máis sinxelas
fronte a un estímulo
A COORDINACIÓN NERVIOSAA COORDINACIÓN NERVIOSA
ACTO
REFLEXO
ACTO
VOLUNTARIO
A COORDINACIÓN NERVIOSAA COORDINACIÓN NERVIOSA
Un acto reflexo é a resposta máis sinxela que pode elaborar o sistema nervioso. Os actos
reflexos son elaborados na médula espiñal, por iso son involuntarios, e a súa finalidade é
producir respostas rápidas ante estímulos coñecidos que así o requiren.
Neuronas involucradas nun acto reflexo
Sistema Nervioso PeriféricoSistema Nervioso Periférico
Formado polos axóns das neuronas que saen do encéfalo e medula espinal
NERVIOS CRANIAISNERVIOS ESPIÑAIS
Nervios segundo O SENTIDO DE
TRANSMISIÓN DO IMPULSO
NERVIOS
SENSITIVOS
NERVIOS
MOTORES
NERVIOS
MIXTOS
Sistema nervioso autónomoSistema nervioso autónomo
Encárgase do
control autónomo
(non voluntario) dos
órganos do corpo.
Esta formado por
dous grupos de
neuronas de acción
antagónica
(contraria). O
sistema nervioso
simpático que
prepara o corpo para
situacións de estrés
ou alta actividade, e o
parasimpático que
actúa en situacións
de repouso, durante a
dixestión...
O SISTEMA ENDÓCRINOO SISTEMA ENDÓCRINO
Formado por unha
serie de glándulas
distribuídas polo
corpo que
producen unhas
substancias
químicas, as
hormonas, que
son liberadas no
sangue e que van a
producir certas
accións en células
concretas
chamadas células
diana.
Existen certos estímulos que van a producir a liberación das hormonas polas
glándulas, pero a súa vez a hormona liberada en sangue inhibe a producción
dela mesma na glándula,así se evita que se o estímulo continúa aumente moito a
cantidade de hormona. Este control da producción da glándula endocrina polos
niveis de hormona producida recibe o nome de retroalimentación negativa
REGULACIÓN DO SISTEMA
ENDÓCRINO POLA HIPÓFESE
REGULACIÓN DO SISTEMA
ENDÓCRINO POLA HIPÓFESE
-
-
Regulación do sistema
endocrino
A maioría das glándulas endocrinas estan controladas por unha glándula
situada na base do encéfalo: a hipófese.
A hipófese controla outras glándulas endocrinas mediante a produción de
hormonas estimulantes destas glándulas.
A hipófese a súa vez está controlada por unha zona da base do encéfalo, o
hipotálamo. Polo tanto a sí o sistema nervioso pode afectar ao funcionamento
da maioría das glándulas endocrinas. Un exemplo sería a alteración do ciclo
ovárico e polo tanto na ovulación nas mulleres por estrés.
A HIPOFESE ou PITUITARIAA HIPOFESE ou PITUITARIA
A HIPOFESE ou PITUITARIAA HIPOFESE ou PITUITARIA
crecemento
Gl. suprarrenais
Pigmentación
pel
parto
lactación
Función renal
ovarios
testículos
tiroides
Crecemento
mamas
Hormonas producidas pola hipófese que controlan outras glándulas endocrinas
PÁNCREAS ENDOCRINOPÁNCREAS ENDOCRINO
Encargado da produción
de 2 hormonas: a
insulina e o glicagón
que regulan os niveis de
glicosa no sangue
TiroidesTiroides
A hormona tiroxina está formada por iodo, a carencia de iodo
produce unha hipertrofia da glándula chamada bocio
Produce a hormona tiroxina que regula o
metabolismo celular
GLÁNDULAS SUPRARRENAISGLÁNDULAS SUPRARRENAIS
HORMONAS:
•ADRENALINA
•CORTICOESTEROIDES
•Preparan ao organismo ante situacións de estrés
•Regulan a función renal
ParatiroidesParatiroides
Produce a hormona calcitonina que regula os niveis de calcio
ESTRES
Efectos do estrés
O corpo humano ante situacións de tensión prepára o seu organismo para un
máximo esforzo. Ao longo da evolución do ser humano estas situacións
eran curtas no tempo como pode ser de loita, caza..... resultando estos
cambios na actividade de diversos órganos (aumento ritmo cardiaco,
respiratorio, actividade cerebral...) beneficiosos para a supervivencia. Na
actualidade na vida diaria danse situacións de tensión prolongada,
aparecendo entón o estrés, na que o organismo responde igualmente
preparándose para un máximo esforzo, pero que de forma prolongada
acaba causando problemas de saúde
Efecto das drogas
●
Tolerancia
●
Adición
Drogas e fama
Actividade: Une o correctoActividade: Une o correcto
Mecanorreceptor
Termorreceptor
Fotorreceptor
Quimiorreceptor
Nociceptor
Enerxía térmica
Enerxía luminosa
Dano celular
Substancias químicas
Enerxía mecánica
Língua e
nariz
Músculos
articulacións
PEL
Oído
Retina
O OLLOO OLLO
PORCIÓN NOME función
3
MEMBRANAS
Externa
CÓRNEA Parte anterior transparente que permite el
paso de la luz
ESCLERÓTICA Parte protectora de cor branca
Media
COROIDES Capa media
IRIS Músculo que regula a entrada da luz
Interna RETINA Capa sensible á luz (con fotorreceptores)
1 LENTE CRISTALINO
Pode cambiar a curvatura para enfocar a
imaxe sobre a retina
2 FUÍDOS
INTERNOS
Parte anterior
HUMOR ACUOSO
Dan forma ao ollo
Parte
posterior HUMOR VÍTREO
1 NERVIO NERVIO ÓPTICO Transmite o sinal ao encéfalo
O OÍDOO OÍDO
función
OÍDO
EXTERNO
PAVILLÓN
AUDITIVO
Recolle as ondas sonoras
CONDUCTO
AUDITIVO
EXTERNO
Conduce as ondas sonoras cara o tímpano
Posúe pelos e cera para evitar a entrada de
corpos estraños
OÍDO MEDIO TÍMPANO
Membrana que vibra coas ondas sonoras
CADEA OSIÑOS Amplifican e transmiten a vibración
OÍDO
INTERNO
CÓCLEA OU
CARACOL
Órgano con mecanorreceptores que captan a
vibración
CANAIS
SEMICIRCULARES
Órganos do equilibrio
NERVIO
AUDITIVO
Transmite a sinal ao encéfalo
LINGUA E MUCOSA OLFATORIALINGUA E MUCOSA OLFATORIA
A PELA PEL

A funcion de relacion 2016

  • 1.
  • 2.
    A función derelaciónA función de relación
  • 3.
    A FUNCIÓN DERELACIÓNA FUNCIÓN DE RELACIÓN ESTÍMULO RECEPTORES SENSORIAIS • •CENTROS DE CONTROL • • •EFECTORES •• •
  • 4.
    A FUNCIÓN DERELACIÓNA FUNCIÓN DE RELACIÓN ESTÍMULO RECEPTORES SENSORIAIS •Organos sentidos •Neuronas sensoriais •CENTROS DE CONTROL •SISTEMA ENDÓCRINO •SISTEMA NERVIOSO •EFECTORES N •MUSCULOS•GLÁNDULAS ENDÓCRINAS •GLÁNDULAS EXÓCRINAS H N N
  • 5.
    A relación ecoordinaciónA relación e coordinación Encéfalo Médula Nervios Rápida Pouco duradeira Glándulas endocrinas Neurotransmisores Impulso nervioso Substancias químicas (hormonas) Lenta Mais duradera FORMADO MENSAXEIRO RESPOSTA SISTEMA NERVIOSO SISTEMA ENDOCRINO Completa a seguinte táboa:
  • 6.
    A relación ecoordinaciónA relación e coordinación Encéfalo Médula Nervios Rápida Pouco duradeira Glándulas endocrinas Neurotransmisores Impulso nervioso Substancias químicas (hormonas) Lenta Máis duradera FORMADO MENSAXEIRO RESPOSTA SISTEMA NERVIOSO Encéfalo Médula Nervios Impulso nervioso Neurotransmisores Rápida Pouco duradeira SISTEMA ENDOCRINO Glándulas endocrinas Substancias químicas (hormonas) Lenta máis duradeira
  • 7.
    Células sistema nervioso •Neuronas: reciben e transmiten sinais mediante impulsos nervioso e a liberación de substancias químicas: os neurotransmisores • Células da glía: intercaladas entre as neuronas, ás que protexen, illan ou alimentan
  • 8.
    A NEURONAA NEURONA Indicaas seguintes partes: -Dendritas - Corpo celular -Núcleo -Axón -Célula Schwann (mielina)
  • 9.
    A NEURONAA NEURONA Corpocelular (mielina)
  • 10.
    A NEURONAA NEURONA Indicaas seguintes partes: -Dendritas: a través delas recibe a neurona o impulso eléctrico - Corpo celular: nel se atopa o núcleo celular e os orgánulos que regulan o funcionamento celular -Núcleo: posúe o ADN coa información para o funcionamento celular -Axón: A través del a neurona envía o impulso eléctrico -Célula Schwann (mielina): actúa a modo de illante do axón, impedindo que o impulso nervioso perda intensidade
  • 13.
    Tipo neuronas Polo númerode prolongacións: Tipo neuronas Polo número de prolongacións: Monopolares: tienen una sola prolongación de doble sentido, que actúa a la vez como dendrita y como axón (entrada y salida). Bipolares: Tienen dos prolongaciones, una de entrada que actúa como dendrita y una de salida que actúa como axón Multipolares: Son las más típicas y abundantes. Poseen un gran número de prolongaciones pequeñas de entrada, dendritas, y una sola de salida, el axón
  • 14.
    O impulso nerviosoOimpulso nervioso Cómo se transmite a información por unha neurona?
  • 15.
    Cómo se transmitea información por unha neurona? A través do IMPULSO NERVIOSO, que é unha corrente eléctrica que é capaz de xerar e transmitir a neurona consecuencia de cambios na súa membrana plasmática
  • 16.
    A sinapseA sinapse Descubertapor Santiago Ramón y Cajal Premio Nóbel 1906
  • 17.
    Cómo se chamao espacio existente entre neuronas? Cómo se comunica unha neurona con outra?
  • 18.
    Cómo se chamao espacio existente entre neuronas? Cómo se comunica unha neurona con outra? As neuronas non están en contacto entre si, senón que entre elas existe unha zona de separación denominada SINAPSE, que establécese entre o axón dunha neurona e as dendritas doutras. Por medio de substancias químicas, os NEUROTRANSMISORES, cando o impulso nervioso chega a o extremo do axón libéranse os neurotransmisores ao espazo sináptico, onde se unen á membrana da dendrita iniciando un novo impulso nervioso
  • 19.
    Efecto das drogasna sinapse:Efecto das drogas na sinapse: http://learn.genetics.utah.edu/units/addiction/drugs/mouse.cfm Mouse Party
  • 20.
    Drogas e sistema nervioso Moitasdrogas actúan como neurotransmisores en zonas determinadas do encéfalo, ben estimulando ou inhibindo certas neuronas. Co uso continuado destas drogas estas neuronas deixan de producir o neurotransmisor pasando a depender para o seu funcionamento da droga que chega vía sanguínea. Por iso cando non se consume a droga, as neuronas xa non producen o neurotransmisor, producíndose o síndrome de abstinencia por un funcionamento inadecuado desas neuronas.
  • 21.
    Que función tena célula de Schwann que forma a vaiña de mielina? Que función ten a célula de Schwann que forma a vaiña de mielina?
  • 22.
    Que función tena célula de Schwann que forma a vaiña de mielina? Que función ten a célula de Schwann que forma a vaiña de mielina? Forma unha cuberta illante sobre o axón que impide que se distorsione o impulso eléctrico facilitando a transmisión do impulso nervioso.
  • 23.
    Esclerose múltiple Como resultado,as neuronas perden parcial ou totalmente a capacidade de transmisión, causando os síntomas típicos de adormecemento, cosquilleo, espasmos, parálise, fatiga e alteracións na vista. Nesta enfermidade aparecen focos de desmielinización no sistema nervioso central causados polo ataque do sistema inmune contra a vaíña de mielina que recubre os nervios
  • 24.
    Tipo neuronas Pola función: Tiponeuronas Pola función: Motoras ou efectoras: as que transmiten os impulsos que levan as respostas cara ós órganos encargados de realizalas (músculos e glándulas). De asociación ou interneuronas: unen entre si neuronas de diferentes tipos Sensitivas: transmiten impulsos producidos polos receptores dos sentidos
  • 25.
    SIST. NERVIOSO CENTRAL: -Encéfalo -Médulaespiñal SIST. NERVIOSO PERIFÉRICO - Nervios craniais - Nervios raquídeos O SISTEMA NERVIOSOO SISTEMA NERVIOSO -Cerebro -Cerebelo -Bulbo raquídeo
  • 26.
    SISTEMA NERVIOSO CENTRALSISTEMANERVIOSO CENTRAL Formado polo encéfalo e médula espinal: neles se atopan corpos neuronais e axóns
  • 27.
  • 28.
    A médula espiñalAmédula espiñal
  • 29.
  • 31.
  • 32.
    O ENCÉFALOO ENCÉFALO Bulbo olfatorio Bulboraquídeo: control de funcións involuntarias como o ritmo cardiaco e respiratorio. Cerebelo: coordinación dos movementos Cerebro: centro de control superior no que reside o control dos actos voluntarios, intelixencia e a memoria Tronco cerebral e hipotálamo: control das conductas máis primitivas, instinto, emocións... Hipofese: glándula endócrina que controla o sistema endócrino Bulbo olfatorio: nel reside o sentido do olfato
  • 33.
    1. Prosencéfalo 2. Mesencéfalo 3.Romboencéfalo 4. Futura médula espinal 5. Diencéfalo 6. Telencéfalo 7. Mielencéfalo, futuro bulbo 8. Médula espinal 9. Hemisferio cerebral 10. Lóbulo olfatorio 11. Nervio óptico 12. Cerebelo 13. Metencéfalo Desenvolvemento embrionario do sistema nervioso
  • 34.
    Rexións cerebrais primitivasRexiónscerebrais primitivas 1. Prosencéfalo 2. Mesencéfalo 3. Romboencéfalo 4. Telencéfalo 5. Diencéfalo 6. Metencéfalo 7. Mielencéfalo 8. Cuarto ventrículo 9. Acueducto de Silvio 10. Tálamo 11. Tercer ventrículo 12. Ventrículo lateral Tanto no desenvolvemento do encéfalo nun embrión humano como ao longo da evolución , as partes máis externas do encéfalo foron as últimas en desenvolverse, por iso as funcións máis primitivas como os instintos residen en áreas máis internas e as funcións máis evolucionadas como o pensamento intelixente reside nas áreas máis externas, na chamada corteza cerebral. Canto máis desenvolta estea nunha especie maior será a súa intelixencia.
  • 35.
  • 36.
    Nos encéfalos dasdistintas especies aparecen adaptacións evolutivas, aparecendo máis desenvolvidas certas partes do encéfalo mais relacionada coa súa forma de vida: -Gato: cerebelo (equilibrio) Humano:cortiza cerebral (intelixencia) Can: bulbo olfatorio (olfato)
  • 37.
    Por que acortiza cerebral está repregada? • A parte máis externa do cerebro está constituída pola substancia gris, encargada da realización da maioría das funcións superiores do cerebro. • Ao longo da evolución o ser humano repregando a súa superficie aumentou a cantidade de substancia gris e polo tanto a súa intelixencia, sen aumentar o volume craneal (xa que este está limitado por diversos factores, como o canal do parto da pelve)
  • 38.
    O cerebro A parteexterior do encéfalo forma o cerebro no cal reside o pensamento intelixente e o control motor dos actos voluntarios. En cada área da superficie do cerebro se atopan neuronas encargadas de certas funcións, polo que un dano causado sobre unha zona pode alterar funcións concretas como a fala.... O cerebro a súa vez está dividido en 2 metades (hemisferios) cada un dos cales controla o movemento da metade contrario do corpo. A información de todas as neuronas do cerebro conflúe nunha zona relativamente pequena,o corpo caloso, un dos dous hemisferio durante o desenvolvemento tomará prioridade nas vías de saída, por iso según que hemisferio sexa dominante as persoas seremos diestras ou zurdas. Por qué existen persoas destras ou zurdas?
  • 40.
    AS MENINXESAS MENINXES Sonunhas membranas que recubren o sistema nervioso central. Entre elas se atopa o líquido cefalorraquídeo que xunto as meninxes protexe o sistema nervioso central fronte a traumatismos.
  • 41.
    Composición do sistemanervioso central: Composición do sistema nervioso central:
  • 42.
    No sistema nerviosocentral diferéncianse 2 zonas de aspecto distinto: No sistema nervioso central diferéncianse 2 zonas de aspecto distinto: – .Substancia gris....formada por ............. ..... que constitúen ................................. – Substancia branca.. formada por ............... e que debe a súa cor á ...............................
  • 43.
    No sistema nerviosocentral diferéncianse 2 zonas de aspecto distinto: No sistema nervioso central diferéncianse 2 zonas de aspecto distinto: – .Substancia gris....formada por ......corpos neuronais ..... que constitúen ..centros de control..................................... – Substancia branca.. formada por ....axóns... e que debe a súa cor á ....mielina..................
  • 44.
    A MEDULAA MEDULA Amédula esta formada polo conxunto de corpos neuronais (substancia gris) e axóns (substancia branca) situada na columna vertebral: Posúe 3 funcións: •Transmitir a información dende o encéfalo ao resto do corpo •Control involuntario de visceras •Control dos actos reflexos que son as respostas máis sinxelas fronte a un estímulo
  • 45.
    A COORDINACIÓN NERVIOSAACOORDINACIÓN NERVIOSA ACTO REFLEXO ACTO VOLUNTARIO
  • 46.
    A COORDINACIÓN NERVIOSAACOORDINACIÓN NERVIOSA Un acto reflexo é a resposta máis sinxela que pode elaborar o sistema nervioso. Os actos reflexos son elaborados na médula espiñal, por iso son involuntarios, e a súa finalidade é producir respostas rápidas ante estímulos coñecidos que así o requiren. Neuronas involucradas nun acto reflexo
  • 47.
    Sistema Nervioso PeriféricoSistemaNervioso Periférico Formado polos axóns das neuronas que saen do encéfalo e medula espinal NERVIOS CRANIAISNERVIOS ESPIÑAIS
  • 48.
    Nervios segundo OSENTIDO DE TRANSMISIÓN DO IMPULSO NERVIOS SENSITIVOS NERVIOS MOTORES NERVIOS MIXTOS
  • 49.
    Sistema nervioso autónomoSistemanervioso autónomo Encárgase do control autónomo (non voluntario) dos órganos do corpo. Esta formado por dous grupos de neuronas de acción antagónica (contraria). O sistema nervioso simpático que prepara o corpo para situacións de estrés ou alta actividade, e o parasimpático que actúa en situacións de repouso, durante a dixestión...
  • 50.
    O SISTEMA ENDÓCRINOOSISTEMA ENDÓCRINO Formado por unha serie de glándulas distribuídas polo corpo que producen unhas substancias químicas, as hormonas, que son liberadas no sangue e que van a producir certas accións en células concretas chamadas células diana.
  • 51.
    Existen certos estímulosque van a producir a liberación das hormonas polas glándulas, pero a súa vez a hormona liberada en sangue inhibe a producción dela mesma na glándula,así se evita que se o estímulo continúa aumente moito a cantidade de hormona. Este control da producción da glándula endocrina polos niveis de hormona producida recibe o nome de retroalimentación negativa
  • 52.
    REGULACIÓN DO SISTEMA ENDÓCRINOPOLA HIPÓFESE REGULACIÓN DO SISTEMA ENDÓCRINO POLA HIPÓFESE - -
  • 54.
    Regulación do sistema endocrino Amaioría das glándulas endocrinas estan controladas por unha glándula situada na base do encéfalo: a hipófese. A hipófese controla outras glándulas endocrinas mediante a produción de hormonas estimulantes destas glándulas. A hipófese a súa vez está controlada por unha zona da base do encéfalo, o hipotálamo. Polo tanto a sí o sistema nervioso pode afectar ao funcionamento da maioría das glándulas endocrinas. Un exemplo sería a alteración do ciclo ovárico e polo tanto na ovulación nas mulleres por estrés.
  • 55.
    A HIPOFESE ouPITUITARIAA HIPOFESE ou PITUITARIA
  • 56.
    A HIPOFESE ouPITUITARIAA HIPOFESE ou PITUITARIA crecemento Gl. suprarrenais Pigmentación pel parto lactación Función renal ovarios testículos tiroides Crecemento mamas Hormonas producidas pola hipófese que controlan outras glándulas endocrinas
  • 57.
    PÁNCREAS ENDOCRINOPÁNCREAS ENDOCRINO Encargadoda produción de 2 hormonas: a insulina e o glicagón que regulan os niveis de glicosa no sangue
  • 58.
    TiroidesTiroides A hormona tiroxinaestá formada por iodo, a carencia de iodo produce unha hipertrofia da glándula chamada bocio Produce a hormona tiroxina que regula o metabolismo celular
  • 59.
    GLÁNDULAS SUPRARRENAISGLÁNDULAS SUPRARRENAIS HORMONAS: •ADRENALINA •CORTICOESTEROIDES •Preparanao organismo ante situacións de estrés •Regulan a función renal
  • 60.
    ParatiroidesParatiroides Produce a hormonacalcitonina que regula os niveis de calcio
  • 61.
  • 62.
    Efectos do estrés Ocorpo humano ante situacións de tensión prepára o seu organismo para un máximo esforzo. Ao longo da evolución do ser humano estas situacións eran curtas no tempo como pode ser de loita, caza..... resultando estos cambios na actividade de diversos órganos (aumento ritmo cardiaco, respiratorio, actividade cerebral...) beneficiosos para a supervivencia. Na actualidade na vida diaria danse situacións de tensión prolongada, aparecendo entón o estrés, na que o organismo responde igualmente preparándose para un máximo esforzo, pero que de forma prolongada acaba causando problemas de saúde
  • 63.
  • 64.
  • 65.
    Actividade: Une ocorrectoActividade: Une o correcto Mecanorreceptor Termorreceptor Fotorreceptor Quimiorreceptor Nociceptor Enerxía térmica Enerxía luminosa Dano celular Substancias químicas Enerxía mecánica Língua e nariz Músculos articulacións PEL Oído Retina
  • 66.
  • 67.
    PORCIÓN NOME función 3 MEMBRANAS Externa CÓRNEAParte anterior transparente que permite el paso de la luz ESCLERÓTICA Parte protectora de cor branca Media COROIDES Capa media IRIS Músculo que regula a entrada da luz Interna RETINA Capa sensible á luz (con fotorreceptores) 1 LENTE CRISTALINO Pode cambiar a curvatura para enfocar a imaxe sobre a retina 2 FUÍDOS INTERNOS Parte anterior HUMOR ACUOSO Dan forma ao ollo Parte posterior HUMOR VÍTREO 1 NERVIO NERVIO ÓPTICO Transmite o sinal ao encéfalo
  • 68.
  • 69.
    función OÍDO EXTERNO PAVILLÓN AUDITIVO Recolle as ondassonoras CONDUCTO AUDITIVO EXTERNO Conduce as ondas sonoras cara o tímpano Posúe pelos e cera para evitar a entrada de corpos estraños OÍDO MEDIO TÍMPANO Membrana que vibra coas ondas sonoras CADEA OSIÑOS Amplifican e transmiten a vibración OÍDO INTERNO CÓCLEA OU CARACOL Órgano con mecanorreceptores que captan a vibración CANAIS SEMICIRCULARES Órganos do equilibrio NERVIO AUDITIVO Transmite a sinal ao encéfalo
  • 70.
    LINGUA E MUCOSAOLFATORIALINGUA E MUCOSA OLFATORIA
  • 71.