Embed presentation

























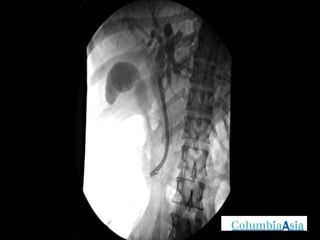
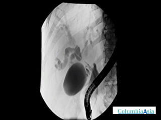
ERCP (Endoscopic Retrograde Cholangio Pancreatography) is an endoscopic procedure used to diagnose and treat issues in the bile and pancreatic ducts. It involves positioning an endoscope and using x-rays to view the ducts while performing procedures like draining bile ducts, removing gallstones, and placing stents. Potential complications include pancreatitis, bleeding, infection, or perforation. Careful pre- and post-procedure steps like monitoring and antibiotics are important to minimize risks.























