มีอีกไหม
ฉุกเฉิน
เข้ามาเลย
...
ER TRIAGE
DOA
ABC
Wound care
Resuscitation
Investigation Observation D/C Immediate
operation
ER Thoracotomy
หลักการทำาผ่าตัด
DAMAGE CONTROL
»Breathing
»Bleeding
»Brain
»Bone
»Burn (Wound)
เป้าหมายการดูแลรักษาบาดแผล
ทะลวงสมอง
1. เอาก้อนเลือดและเนื้อสมองตายออก
2. ห้ามเลือด
3. ป้องกัน CSF leakage
4. ป้องการการติดเชื้อ
5. การดูแลแผลหนังศีรษะและกระโหลกร้าว
6. แก้ไขภาวะ Intracranial hypertension
ผู้ป่วยชายไทยอายุ19ปี
CC:ถูกยิงที่คอมา2ชั่วโมง
PI:2ชั่วโมงก่อนผู้ป่วยถูกยิงขณะเดิน
กลับบ้านได้ยินเสียงปืนหลายนัดไม่ทราบ
ระยะยิงกระสุนถูกที่คอด้านซ้ายไหล่ซ้าย
ล้มลงขยับแขนขาไม่ได้ชาทั้งตัวตั้งแต่คอ
ลงไปไม่สามารถพูดได้ญาตินำาส่งถึง
รพ.เอกชน15นาทีหลังเกิดเหตุ
BP 88/56 mmHg, HR 92/min
RR 22/min ,BT 37oC, O2sat 100
เป้าหมายการดูแลรักษา GSW
SPINE
1. Spinal cord decompression and steroids
2. Remove bullets? Or bony fragment?
3. Associated intra-abdominal injury
4. Spine instability
5. Lead toxicity
PENETRATING NECK INJURY
Hard findings
Airway compromise
Active bleeding and shock
Pulsatile hematoma
Extensive subcutaneous emphysema
PENETRATING NECK INJURY
YES
OR
NO
SOFT FINDINGS
YES NO
HARD FINDINGS
OBSERVATIONCT/CTA
EGD
Bronchoscopy
Soft findings
Dysphagia
Voice change
Hemoptysis
Wide mediastinum (CXR)
PENETRATING NECK INJURY
Anatomy: Zones
บาดแผลทะลวงกลาง
อกตอนหน้า
Stable Unstable
CVP
Echocardiography
Subxiphoid window Thoracotomy Pericardiocentesis
SUBXIPHOID WINDOW
PERICARDIOCENTESIS
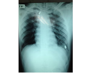
เวลา 22.30 น.
หญิงไทย 28 ถูกแฟนยิง แล้วแฟนนำาส่งโรงพยาบาลใน 20 นาที
ที่ห้องฉุกเฉิน BP 0, PR 0, RR เฮือก
• Secondary survey
HEENT : no open wound
Chest : equal breath sound , heart normal
s1s2 , no murmur
Abdomen : voluntary guarding
PR : blood
• Adjuncts to secondary survey
- Esophagogram
- CT chest and whole abdomen c IV
contrast
THORACO-ABDOMEN WOUND
ATLS
Closure chest wound
IV Resuscitation
Tube thoracostomy
NG tube
Foley catheter
Plain X-ray
Stable Unstable Extremist
Investigation
-Chest
-Abdomen
-Kidney
Resuscitative-
Thoracotomy
Operation
1).Thoracotomy
2).Laparotomy
3).Subxiphoid
window
ชายไทยอายุ 28 ปี ถูกยิงที่ชายโครงด้านซ้าย 50
นาทีก่อนมารพ.
Primary survey
-airway and breathing:air hunger (o2 sat 88%)-----ET tube
check tube and lung----decrease breath sound Lt.lung
dullness on percussion--------hemoneumothorax Lt.lung
---ICD—blood 30 cc with minimal air leakage--02 sat 99%
Circulation and hemorrhage control
-BP แรกรับวัดไม่ได้ PR 110/min----iv load acetar 2500
cc
Hematcel 500 cc BP 125/72 mmHg PR 68/min ผู้ป่วยเริ่ม
ดิ้น
Neurological status:E1V1M1 pupil 5mm SRTL both
eye----E1VTM4 pupil 3mm SRTL both eye
Secondary survey
HEENT :on ET tube and NG tube
Heart:nomal s1 s2 no murmur ,no distance heart sound
,hypotension or jugular vein engorge
Lung:on Lt.ICD with hemopneumothorax Lt.chest
Gun shot wound at intercostal space 9-10 size 0.5cm
Abdomen:no distension,bowel sound absent
,soft ,dullness on percussion
PR: frank blood ,no sphincter tone
Back: gun shot wound(ทางออก) size 1 cm level
T11-T12
KUB:gross hematuria ,no bleeding per meatus
Intra operative finding
บาดเจ็บทะลวงท้อง เอว
หลัง
Hemodynamic Instability
Obvious Abdominal Signs
Celiotomy
OBVIOUS ABDOMINAL
SIGNS
1. ท้องอืด แน่น ตึง แข็ง ขึ้นอย่าง
รวดเร็ว
2. บาดแผลทะลุเข้าช่องท้องชัดๆ
3. หน้าท้องกดเจ็บ แข็ง ตึง สู้มือ
4. เลือดออกทางสายสวนกระเพาะ
5. เลือดออกทางสายสวนกระเพาะ
Male 25 yr ถูกยิงที่ท้อง 15 min PTA
ABCD ผ่าน
BP 130/80 mmHg PR 110/min RR 20/min
กระสุนไม่ทะลุอวัยวะภายใน
Secondary survey
GA : A man with good consciousness
HEENT : no pale conjunctiva, no icteric sclera
Heart : regular rhythm, no murmur
Lung : clear
Abdomen : soft, mild tender, no guarding, no
rebound tenderness, active bowel sound
Secondary survey
Extremities : no deformities, normal movement
of both hips, no pain on motion
Rt. femoral, popliteal, dorsalis pedis & post
tibial 2+
FAST –ve
Foley’s cath : no blood
NG tube : no blood
Head
ชายไทยนักเลง อายุ 32 ปี ละแวกตรอก
จันทน์ สะพาน 3 ถูกคู่อริยิงเข้าที่ต้นขาซ้าย
เดินมาโรงพยาบาลหลังเกิดเหตุ 30 นาที
Ext : wound was described as picture
MANAGEMEMT OF
EXTREMITIES INJURIES
1.Angiography
2.Fasciotomy
3.Placement of temporary arterial shunt
4.Early fracture stabilization
5.Repair of vascular injuries
6.Repair or tagging of nerve injuries
ABI 1.3
ชายไทย อายุ 38 ปี
อาชีพช่างรับเหมาก่อสร้า
ถูกยิง 3 นัดที่ท้องและขาซ
ก่อนมา รพ.ครึ่งชั่วโมง
ชายไทยอายุ 21 ปี ถูกยิง 1 ครั้ง ที่ขา 2 ขา
ก่อนมาโรงพยาบาล 2 ชั่วโมง
ขาขา
ขวาขวา
ขาขา
ซ้ายซ้าย
Intraoperative Rx
CONCLUSIONS
1.ช่วยชีวิต
2.บรรเทาอาการเจ็บและปวด
3.ซ่อมแซมเนื้อเยื่อที่เสียหาย
4.ป้องกันการติดเชื้อ

การบาดเจ็บจากกระสุนปืน 2

Editor's Notes

  • #16 Zone I – inferior trachea and esophagus vessels of the root of the neck: the brachiocephalic trunk, the subclavian arteries, the common carotid arteries, the thyrocervical trunk and the corresponding veins, thoracic duct, thyroid gland, spinal cord. Zone II – the larynx, hypopharynx common carotid arteries the internal and external carotid arteries the internal jugular veinsand cranial nerves 10, 11, and 12, the spinal cord. Zone III –the pharynx carotid arteries, the vertebral arteries, the internal jugular veins