INTRODUCTION:
• Stem cells first appeared in literature in the early 19th century.
• The term “stem cell” originated from botanical monographs where the word
“stem” was used for cells localised in the apical meristem, and responsible
for the continued growth of plants.
• Birth of stem cell research took place way back in 1953 when Leroy Stevens
identified teratoma like cells in the testicles of inbred mice.
• Experiments with bone marrow soon followed in the late1950s and
established the existence of stem cells in humans.
• However, the age of regenerative medicine started in 1998 with the discovery
of human embryonic stem cell by Dr. Thompson and co workers from the
University of Wisconsin-Madison. They were the first group to isolate human
embryonic stem cells and keep them alive in the laboratory.
• Stem cells are not only units of biological organization, responsible for the
development and the regeneration of tissue and organ systems, but also are
units in evolution by natural selection.
DEFINITION:
Stem cells are defined as clonogenic cells capable of both self-
renewal and multilineage differentiation. (Till and McCulloch 1961).
Stem cells are quiescent cell populations present in low numbers in
normal tissue, which exhibit the distinct characteristic of asymmetric
cell division, resulting in the formation of two distinct daughter cells –
a new progenitor/stem cell, and another daughter cell capable of
forming differentiated tissue (Hawkins and Lin 1998).
CLASSIFICATION OF STEM CELLS:
1. Embryonic Stem cell.
2. Fetal Stem cell.
3.Extra Embryonic Stem cell
( Cord Blood, Umbilical Chord ,Whartons amniotic fluid Jelly, Amniotic membrane)
4.. Adult/ Somatic Stem cell
Bone Marrow: a) Hematopoeitic Stem cell
Myeloid Biased Stem cells
Lymphoid Biased Stem cells
Balanced Group of stem cells
b) Bone Marrow stromal stem cell/ Mesenchymal stem cell.
Mesenchymal stem cells other than from the bone marrow
a) Non Dental
Adipose tissue
Peripheral blood
b) Dental Stem cell
Dental pulp stem cells (DPSCs)
Stem cells from exfoliated deciduous teeth (SHED)
Periodontal ligament stem cells (PDLSCs)
Stem cells from apical papilla (SCAP)
Dental follicle progenitor cells (DFPCs)
PROPERTIES OF STEM CELLS:
• All stem cells regardless of their source have 3
properties:
- They are capable of dividing and self
renewing for long periods of time.
-They are unspecialised cells.
- They can give rise to specialised cell types.
At the beginning of embryonic
development, stem cells undergo
symmetric cell division.
They divide symmetrically, where
one cell splits and gives rise to two
identical cells that have the same
potential.
After blastocyst the stem cells start to
divide asymmetrically.
Asymmetric cell division is when a
stem cell divides to produce two cells.
One of the cells remains a stem cell,
demonstrating self-renewal, and the
other differentiates into a progenitor
cell.
STEM CELL DIVISION
SYMMETRIC DIVISION
ASSYMMETRIC DIIVISION
• Depending on the intrinsic signals modulated by
extrinsic factors in the stem cell niche, they either
undergo prolonged self renewal or differentiation.
• The expression of the signalling molecule NOTCH
decides the self renewal or differention fate of stem
cells.
• Other pathways are the Wnt and Hedgehog pathways.
STEM CELL NICHE:
Stem Cell Niche: Stem cell niche is the microenvironment in
which stem cells are found and which interacts with the cells to
regulate their fate.
The niche saves stem cells from depletion, while protecting the host
from over-exuberant stem-cell proliferation.
It constitutes a basic unit of tissue physiology, integrating signals that
mediate the balanced response of stem cells to the needs of organisms.
Yet the niche may also induce pathologies by imposing aberrant
function on stem cells or other targets.
The interplay between stem cells and their niche creates the dynamic
system necessary for sustaining tissues.
NOTCH SIGNALLING PATHWAY
Notch inhibits the
differentiation of
primordial cells to tissue-
specific stem cells in the
early- to midstage embryo.
It inhibits tissue- or
organ-specific stem cells or
immature progenitors from
further
differentiation and
presumably helps them
expand while maintaining
the immature state.
CELL POTENCY:
• Totipotency - is the ability of a single cell to divide and produce all
the differentiated cells in an organism, including extraembryonic
tissues. Totipotent cells include spores and zygotes.
• Pluripotency- After reaching the 16-cell stage, the totipotent cells of
the morula differentiate into cells that will eventually become either
the blastocyst 's Inner cell mass or the outer trophoblasts.
The inner cell mass is pluripotent and has the potential
to differentiate into any of the three germ layers.
Pluripotent stem cells can give rise to any fetal or adult cell type.
However, alone they cannot develop into a fetal or adult organism
because they lack the potential to contribute to extraembryonic tissue.
• Multipotent progenitor cells have the potential to give rise to cells
from multiple, but a limited number of lineages.
An example of a multipotent stem cell is a hematopoietic cell which
can develop into several types of blood cells, but cannot develop
into brain cells or other types of cells.
Another example is the mesenchymal stem cell, which can
differentiate into osteoblasts, chondrocytes, and adipocytes.
• Oligopotency- is the ability of progenitor cells to differentiate into a
few cell types.
Examples of oligopotent stem cells are the lymphoid or myeloid stem
cells.
• Unipotency- One stem cell has the capacity to differentiate into only
one cell type. Hepatoblasts, which differentiate in hepatocytes .
• Embryonic stem cells are derived from the inner mass of
cells of the blastocyst and have the potential to
differentiate into cells of all 3 embryonic germ layers.
• Mammillian ES cells were first derived from the mouse
embryos independently by Evans and Kaufmann in 1981.
• In 1998, Thompson isolated the first Human embryonic
stem cell.
• Embryonic stem cells are flat and compact.
• Surface Markers: 1. Stage Specific Embryonic
Antigen 3 & 4 ( SSEA 3 & 4),
2.High molecular wt. proteins
(TRA-1-60),(TRA-1-81),
3.Alkaline phosphatase
4.Pluripotency transcription factors
(Oct-4, Sox-2, Nanog, Rex1)
EMBRYONIC STEM CELL:
All the ES cell lines
express high levels of
telomerase , the
enzyme that helps
maintain telomeres
which protect the ends
of chromosomes.
Telomerase activity
and long telomeres are
characteristic of
proliferating cells in
embryonic tissues and
of germ cells.
Drawings
PROPERTIES OF EMBRYONIC STEM CELL:
1. Self-renewal in an undifferentiated state for very long periods of time
with continued release of large amounts of telomerase
2.Maintenance of “stemness” or pluripotent markers
3.Formation of teratoma containing tissues from all three primordial
germ layers when inoculated in SCID mice
4.Maintenance of a normal stable karyotype
5.Clonality
6.Stem cells marker expression e.g , NANOG
7.Ability to produce chimeras when injected into blastocysts in the
mouse model.
ADVANTAGES:
1.They offer one cell source for multiple indications.
2.They have the possibility of being immuno-privileged, due to their
highly undifferentiated state.
3.They appear to be immortal in vitro, while adult and differentiated
stem cells cannot be cultured indefinitely in the lab.
DISADVANTAGES:
1. Teratoma formation .
2. Ethical issues regarding procurement of stem cells from embryo.
3. Embryonic stem lines are difficult to control to be able to acheieve
the desired cell line from them.
4. Risk of immunogeneic reaction as stem cell from a ramdom
embryo donor are more likely to face rejection
DIFFERENTIATION POTENTIAL OF ESC:
ISOLATION OF EMBRYONIC STEM CELLS
• To generate human ES cell cultures, cells from the inner cell mass
of a human blastocyst were cultured in a multi-step process.
• The pluripotent cells of the inner cell mass were separated from the
surrounding trophectoderm by immunosurgery, the antibody-
mediated dissolution of the trophectoderm.
• The inner cell masses were plated in culture dishes containing
growth medium supplemented with fetal bovine serum on feeder
layers of mouse embryonic fibroblasts that had been gamma-
irradiated to prevent their replication.
• After 9 to 15 days, when inner cell
masses had divided and formed clumps
of cells, cells from the periphery of the
clumps were chemically or
mechanically dissociated and replated
in the same culture conditions.
• Colonies of apparently homogeneous
cells were selectively removed,
mechanically dissociated, and replated.
• These were expanded and passaged,
thus creating a cell line.
CLINICAL APPLICATION OF ESCs:
• Laflamme MA et al in 2007 study is the first to document the potential
clinical utility of regenerating damaged heart muscle by injecting hESC–
derived cardiomyocytes directly into the site of the infarct in rodents . They
found that hES cell–derived cardiomyocytes to partially regenerate
myocardial infarcts and attenuate heart failure.
• In an attempt to promote hESC osteogenic differentiation, Kuznetsov et al
in 2011cultured cells of the HSF-6 line in differentiating conditions in vitro
for prolonged periods of time ranging from 7 to 14.5 weeks, followed by in
vivo transplantation into immunocompromised mice in conjunction with
hydroxyapatite/tricalcium phosphate ceramic powder.
In differentiating conditions, HSF-6-derived cells demonstrated an array of
diverse phenotypes reminiscent of multiple tissues, but after a few passages,
acquired a more uniform, fibroblast-like morphology.
Eight to 16 weeks post-transplantation, a group of transplants revealed the
formation of histologically proven bone of human origin, including broad
areas of multiple intertwining trabeculae, which represents by far the most
extensive in vivo bone formation by the hESC-derived cells described to
date.
METHODS TO OVERCOME THE ADVERSE
AFFECTS OF ESCs:
• A number of scientific and medical issues need to be addressed before stem cells can
be considered safe for clinical applications.
• The first difficulty is the tumorigenic potential of pluripotent cells.
• One strategy for dealing with this problem is to select pure populations of more
committed cells for transfer. Therefore it is important demonstrating the genetic
and epigenetic stability before these cells are used clinically.
• Feeder cells and sera of animal origin have to be avoided to reduce the
potential risk of contamination by xenogeneic protein and pathogens.
• Finally, transplantation of hESCs into patients is also limited by potential HLA
incompatibility. Consequently, life-long immunosuppressive therapy, which can lead
to infections and organ-based toxic side effects, such as nephropathy, might be
required to prevent graft rejection. In this regard induced Pluripotent Stem Cells
(iPSCs) hold great promise
ADULT / SOMATIC STEM CELLS :
The ability of some tissues in the adult to repair or renew indicates the
presence of stem or progenitor cells.
Adult stem cells appear more mature with a finite lifespan and only a
multipotent differentiation capacity.
Somatic stem cells do not show telomerase activity and their telomeres
are considerably shorter than ESCs.
Unlike ES cells, somatic cells stop dividing in culture after some time
and eventually die off , a phenomenon called replicative senescence.
Adult stem cells express transporters of the ATP binding cassette family
that actively pumps a diversity of organic molecules out of the cell.
Many drugs are exported out of the cell in this manner conferring a
Multidrug resistance.
• ADVANTAGES :
1. Does not involve ethical issues like ESCs.
2. Ease in procurement of the cells.
3. Can be used in autologous transplantation
hence prevents immune rejection.
• DISADVANTAGES:
1. Maintaining adult stem cell lines are difficult
as it tends to die off after some passages.
2.Quantity of adult stem cells that can be obtained
is quite less.
3. Isolating and harvesting the adult stem cells
from the mature tissues is difficult.
4. The adult stem cells may also harbour
unknown genetic defects which has to be
thouroughly checked for before expansion.
FETAL STEM CELLS:
• FSCs can be found in foetal tissues such as blood, liver, bone marrow,
pancreas, spleen and kidney (Marcus & Woodbury 2008).
• They are also found in cord blood and extraembryonic tissues such
as amniotic fluid, placenta and amnion .
• Their primitive properties, expansion potential and lack of
tumorogenicity make them an attractive option for regenerative
medicine in cell therapy.
• While extraembryonic tissues could be used with few ethical
reservations, the isolation of FSCs from aborted foetuses is subject to
significant public unease.
• Stem cells are collected from abortal foetal tissue, pre-natal
diagnostic tissues or tissues at delivery with informed consent,
institutional ethics approval and compliance with national guidelines
covering foetal tissue research.
• These cells can differentiate into mesenchymal and hematopoitic
lineage .
Mesenchymal Foetal stem cell:
-MSCs isolated from foetal tissues such as blood, liver, bone marrow,
lung and pancreas all share common characteristics.
-They are spindle-shaped cells with the capacity to differentiate into the
standard mesenchymal lineages, i.e. bone, fat and cartilage.
-They do not express haematopoietic or endothelial markers (i.e they are
CD45−/34−/14− and von Willebrand factor negative )
-Express stroma-associated markers CD29 (β1-integrin), CD73 (SH3 and
SH4), CD105 (SH2), CD44 (HCAM1)
Comparison of Bone Marrow and
Foetal Mesenchymal stem cell:
• First-trimester foetal blood, liver and bone marrow MSCs express baseline
levels of the pluripotency stem cell markers Oct-4, Nanog, Rex-1, SSEA-3,
SSEA-4, Tra-1-60 and Tra-1-81.
• Regardless of their tissue of origin, first-trimester foetal MSCs self-renew
faster in culture than senesce later than adult mesenchymal stem cells.
• They have an highly active telomerase and express low levels of HLA I and
lack intracellular HLA II than adult MSCs (Gotherstrom et al. 2004).
• Foetal MSCs have significantly greater binding to their respective
extracellular matrix ligands than adult MSCs and thus helps in homing of
implanted tissues (de la Fuente et al. 2003).
Hematopoeitic fetal stem cell:
• First-trimester foetal blood contains more CD34+ cells than term
gestation blood .
• The number of circulating HSCs increases from the first
trimester to peak in the second trimester in utero, probably
because of cells migrating from the foetal liver to establish
haematopoiesis in the foetal bone marrow.
• Some HSCs remain in the umbilical cord at delivery, where they
can be collected for allogeneic or occasionally autologous cell
transplantation.
• Foetal blood HSCs proliferate more rapidly than those in cord
blood or adult bone marrow, and produce all haematopoietic
lineages .
• Although stem cell are present in the fetus and their
role in development have been studied , their
possible clinical usefulness has barely been explored
owing to ethical issues and the risk to pregnancy
associated with intrauterine procedures.
UMBILICAL CHORD BLOOD STEM CELLS:
Umbilical cord blood is now an established source of transplantable
HSCs that have a greater proliferative capacity, lower immunological
reactivity and lower risk of graft-versus-host disease (GVHD) than
those derived from adult bone marrow.
Cord blood stem cells expressing baseline levels of ES cell markers
such as Oct-4, Nanog, SSEA-3 and SSEA-4 have also been described
In contrast to Bone Marrow or Peripheral blood that generally require
a high degree of HLA match between donor and patient .
UCB only needs to be matched at four of six HLA class I and II
molecules. This reduced incidence of GVHD with partially HLA-
mismatched UCB is likely due to the lower numbers of T cells and the
relatively immunologically naıve status of the lymphocytes in units of
UCB.
Advantages :
• Prompt availability.
• Decreased risk of transmissible viral infections
• Reduced incidence of graft-versus-host disease (GVHD)
• Ease of collection with little to no risk to the mother or newborn .
Limitations:
• The shelf-life or stability of UCB is uncertain although there is
evidence of efficacy in the range of 15-18 yr. There may be a degree
of variance from unit to unit or bank to bank. Thus, it cannot be
assumed that all units stored for a particular period of time will be
equally potent and efficacious.
UCB banking :
The first unrelated UCB bank was started at the New York Blood
Center in 1992.
India three banks are public( Relicord, Jeevan Cord and Stemcyte)
with 7 private cord banks.
In chennai , cord bank which is liscensed is Lifecell.
AMNIOTIC MEMBRANE:
• In recent years, amniotic fluid has emerged as a major source of putative
pluripotent stem cells that avoid many of the problems associated with ES
cells such as their non-suitability for autologous use, their capacity for
tumour formation and the ethical concerns they raise.
• They exhibit a broad differentiation potential towards mesenchymal lineages
( Anker et al. 2003).
• De Coppi et al. isolated c-kit-positive (CD117) cells that represent about 1
per cent of cells present in second-trimester amniotic fluid. These cells were
named amniotic fluid stem (AFS) cells.
• They can be cultured without feeders, double in 36 h, are not tumorigenic,
have long telomeres and retain a normal karyotype for over 250 population
doublings (De Coppi et al. 2007a).
• Cultured human AFS cells are positive for ES cell (e.g. Oct-4, Nanog and
SSEA-4) and mesenchymal cell markers such as CD90, CD105 (SH2),
CD73 (SH3/4) and several adhesion molecules (e.g. CD29 and CD44; Tsai
et al. 2006; Chambers et al.2007; De Coppi et al. 2007a).
PLACENTA:
• The placenta is a fetomaternal organ involved in maintaining foetal
tolerance and allows nutrient uptake and gas exchange with the
mother, but also contains a high number of progenitor cells or stem
cells (Parolini et al. 2010).
• The availability, phenotypic plasticity and immunomodulatory
properties of placenta-derived progenitor/ stem cells are useful
characteristics for cell therapy and tissue engineering.
• Cells can be isolated during ongoing pregnancy using minimally
invasive techniques such as chorionic villus sampling (CVS) and
placental tissues are readily available at delivery for allogeneic or
autologous use.
• Cells that have been isolated from placenta include the human
AECs, human amnion mesenchymal stromal stem cells (AMSCs),
human chorionic mesenchymal/stromal stem cells (CMSCs),
human chorionic trophoblastic cells and HSCs (Parolini et al.
2008).
BONE MARROW STEM CELLS:
Bone marrow stem cells are broadly divided into Hematopoeitic stem
cell and Bone Marrow Stromal Stem cell.
Hematopoeitic Stem Cell:
• Hematopoeitic Stem cells give rise to the blood cells.
• They were the first stem cells to be isolated from the
bone marrow.
• Hematopoitic Stem cells have been used to treat
hematological disorders.
• HSCs have been defined with respect to cell markers
namely Lin, CD34, CD38, CD43, CD45RO, CD45RA,
CD59, CD90, CD109, CD117, CD133, CD166 and
HLA DR .
MAGNETIC CELL SORTING FOR
HEMATOPOIETIC STEM CELL ENRICHMENT
• The cells of interest are labeled with very small iron particles.
• These particles are bound to antibodies that only recognize
specific cells.
• The cell suspension is then passed over a column through a strong
magnetic field which retains the cells with the iron particles .
• Other cells flow through and are collected as the depleted negative
fraction.
• The magnet is removed, and the retained cells are collected in a
separate tube as the positive or enriched fraction .
• Magnetic enrichment devices exist both as small research instruments
and large closed-system clinical instruments.
• Magnetic enrichment can process very large samples (billions of cells)
in one run, but the resulting cell preparation is enriched for only one
parameter (e.g., CD34) and is not pure.
• Significant levels of contaminants (such as T-cells or tumor cells)
remain present
FLUOROSCENCE ACTIVATED CELL SORTING :
• The cell mixture is labeled with fluorescent markers that emit light of different colors after being
activated by light from a laser.
• Each of these fluorescent markers is attached to a different monoclonal antibody that recognizes
specific sets of cells .
• The cells are then passed one by one in a very tight stream through a laser beam (blue in the figure) in
front of detectors (E) that determine which colors fluoresce in response to the laser.
• The results can be displayed in a FACS-plot (F). FACS-plots (see figures 3 and 4 for examples)
typically show fluorescence levels per cell as dots or probability fields.
• FACS results in very pure cell populations that can be selected for several parameters simultaneously
(e.g., Linneg, CD34pos, CD90pos), but it is more time consuming (10,000 to 50,000 cells can be sorted
per second) and requires expensive instrumentation.
MESENCHYMAL STEM CELLS:
• Another population of adult non haemotopoetic stem cells which also reside in the
bone marrow.
• They are also known as bone marrow stromal stem cells.
• Friedenstein in 1976 first identified the colony forming unit of fibroblasts ( CFU)
which are now known as mesenchymal stem cells.
• The term mesenchymal stem cells was coined by Caplan in 1991 to describe a
population of cells present within the adult bone marrow that can be stimulated to
differentiate into bone and cartilage, tendon, muscle, fat cells.
• Mesenchymal stem cells are characterised by expression of surface markers CD
105, CD,73 ,CD 90, STRO-1 and Sca 1.
• Other than marrow MSC are also found in adipose tissues, umbilical chord blood,
placenta, amniotic fluid, fetal liver and lung.
• They are also derived from dental tissues.
Bone Marrow Stromal Stem Cell Isolation:
• Bone marrow aspirates of 2–4 ml were taken from the iliac crest of patients
who were diagnosed with idiopathic thrombocytopenic purpura (ITP). The bone
marrow was diluted 1:3 with PBS and layered over a Ficoll-histopaque gradient.
• The low-density mononuclear cells were washed twice with PBS, counted, and 1 X
106 cells/cm2 were plated in culture Flasks in MEM-Earle containing 15% foetal
bovine serum, 100 IU/ml penicillin, and 100 g/ml streptomycin.
• The cells were incubated at 37°C in a humid atmosphere containing 5% CO2 for 3
days.
• The mesenchymal stem cells were isolated based on their ability to adhere to culture
plates.
• On the third day, red blood cells and other non-adherent cells were removed and
fresh medium was added to allow further growth.
• The adherent cells were grown to 70% confluency and were defined as passage zero
(P0) cells.
EMBRYOGENESIS AND ODONTOGENESIS:
• In the human embryo, deciduous and permanent
teeth develop as a result of sequential and
reciprocal interactions of the ectodermal
epithelium of the oral vestibule and the
mesenchyme in the cranial area, which formed
from neural crest cells (Pispa & Thesleff 2003,
Bloch-Zupan 2007).
• Dental enamel originates from epithelial cells,
while all other structures are formed from
mesenchymal cells (Moore & Persaud 2007,
Hacking & Khademhosseini 2009).
• In about the 5th embryonic week, odontogenesis is induced from
the oral epithelium.
• The underlying mesenchyme of the tooth papilla is responsible
for the regulation and differentiation of these cells as well as the
control of crown and root formation (Schröder 2000, Bluteau et
al. 2008).
• Over 200 regulatory genes are involved in odontogenesis.
• Cells communicate via signal molecules and growth factors.
Predominantly, growth factors from the four eminent families
fibroblast growth factor (FGF), Hedgehog, wingless (WNT) and
transforming growth factor- (TGF-) are important in the
regulation of odontogenesis (Pispa & Thesleff 2003, Bloch-
Zupan 2007, Koch 2007).
• The maxillary and mandibular dental laminae each form ten
proliferation centers and the tooth buds seem to shift into the
underlying mesenchyme (Schröder 2000,
Moore & Persaud 2007).
• The bud structures, or enamel organs,
first assume the shape of a bud, cap and then
that of a bell.
• The external enamel epithelium is the outermost cell layer of these
structures, and is connected to the dental lamina. The inner layer
adjacent to the papilla is called the internal enamel epithelium, and the
ameloblasts differentiate from its cells.
• The mesenchymal cells which are partially enveloped by the bell-
shaped enamel organ later form the dental papilla. The mesenchymal
cells adjacent to the enamel epithelium differentiate into odontoblasts.
• In the bell stage, the internal and external enamel epithelium unite to form the
cervical loop, which, after crown formation is complete, grows down as the
epithelial (Hertwig’s) root sheath and controls root formation.
• The mesenchyme surrounding the epithelial root sheath condenses into the so-called
tooth sac, from which the cementum and periodontium arise (Moore & Persaud
2007).
• In humans, odontogenesis begins in about the 10th embryonic week (Koch 2007).
• Wisdom teeth develop postnatally; their enamel organ has formed by about the 72nd
month of life (Schröder 2000). This means that up to that point, undifferentiated
dental embryonic tissue exists in the jaw.
• The development of the third molars is the only organogenesis which takes place
completely after birth.
Stages of tooth
development
1. Bud stage
2. Cap stage
3. Bell stage
4. Appositional stage (mineralization)
5. Root formation
6. Eruption
(epithelial ingrowth into ectomesenchyme)
(further epithelial growth)
(histo- and morpho-differentiation)
(formation of enamel and dentin of crown)
(formation of dentin and cementum of root)
Oral Histology and Embryology by Leslie P. Gartner, 1988
Paracrine signal molecules in epithelial mesenchymal interaction act receprocally and mostly
belong to the
Transforming growth factor b (TGFb) - BMP,
Fibroblast growth factor (FGF),
Sonic Hedgehog
Wnt families.
Summary of tooth development
Oral epithelium
Dental lamina
ameloblasts
Inner enamel ep
Stellate reticulum
Stratum intermedium
Outer enamel ep HERS
Ectomesenchyme
Dental sac
Dental papilla odontoblasts
cementoblasts
fibroblasts
fibroblasts
osteoblasts
dentin
cementum
pulp
periodontal ligament
alveolar bone
enamel
guide root formation
oral epithelium
reduced enamel ep junctional ep.
DENTAL STEM CELLS:
• Following tooth development, periodontal and
dental tissues, with the exception of enamel,
exhibit limited regenerative or reparative capacity
which is thought to be mediated by the presence
of multipotent progenitor cells that are capable of
differentiation into functional, lineage-specific
cells.
• Hence, Dental stem cells originally derived from
the ectomesenchymal tissues can be considered a
new source of human adult stem cells for
regenerative medicine.
PROCUREMENT OF DENTAL STEM CELLS:
Two methods to generate enriched postnatal dental stem cell
populations are present.
The first method uses the stem cell antibody, STRO-1 to generate
enriched, STRO-1-positive stem cell populations from cultured tooth
bud cell preparations.
The second method uses side population profiling to generate enriched
dental stem cell populations, based on the demonstrated ability for
stem cells to efflux Hoechst dye, while nonstem cell populations
cannot .
Fluorescent-activated cell sorting allows the separation of Hoechst-
negative stem cells from dye retaining non stem cell populations.
Clonal cell lines are being established from cells sorted by both
methods for future testing in dental tissue engineering applications.
TYPES OF DENTAL STEM CELLS:
6 different human dental stem/progenitor cells are :
1. Dental Epithelial stem cells
2. Dental pulp stem cells (DPSCs) (Gronthos et al 2000)
3. Stem cells from exfoliated deciduous teeth (SHED) (Miura et
al 2003)
4. Periodontal ligament stem cells (PDLSCs) (Seo et al 2004)
5. Stem cells from apical papilla (SCAP) (Sonoyama et al
2006, 2008).
6. Dental follicle progenitor cells (DFPCs). (Morsczeck et al
2005).
DENTAL EPITHELIAL STEM CELLS:
• Irma Thesleff’s group identified these dental ectodermal stem cells
in tissue explants of adult mouse incisors for the first time .
• BrdU-labelled stem cells enabled a detailed examination of cell
migration and ameloblast development in dental explants.
• The fibroblast growth factor (FGF), in particular, FGF-10 and the
activated Notch-pathway are essential to maintain dental stem cells
in an undifferentiated state and for the directed differentiation of
stem cells into ameloblasts or into cells of the stratum intermedium .
• In humans, these dental epithelial stem cells are lost after tooth
eruption; therefore, they are not available for cell therapy.
DENTAL PULPAL STEM CELLS
• Dental pulp is involved in regenerative responses to injury.
• Cells predominating in the pulp include fibroblasts, odontoblasts, neurons,
macrophages and undifferentiated mesenchymal cells .
• Gronthos et al in 2000 first showed that the pulpal stem cells exhibited similar
features to bone marrow stem cells, with the capacity to regenerate the dentine ⁄
pulp complex.
• Gronthos et al in 2002 showed that stem cells from the pulp have the potential to
differentiate into cells of adipogenic and neurogenic lineage.
• Laino et al in 2005 showed that pulpal stem cells are capable of differentiating into
living autologous bone tissue in vitro and into lamellar bone following
implantation into immunocompromised rats.
• Pulpal stem cells exhibit c –kit, CD 34, STRO-1 and CD 140 markers.
• They exhibit like the osteoblasts, bone markers like bone
sialoprotein, alkaline phosphatase, type I collagen, and
osteocalcin.
• Their differentiation is regulated by various potent regulators of
bone formation, including members of the TGF superfamily and
cytokines.
• The similarity of the gene expression profiles between DPSCs
and precursors of osteoblasts, bone marrow stromal stem cells
have been reported by Shi et al 2001.
Culturing of Dental Pulpal Stem Cells:
• Third molars were obtained f under sterile conditions during
impaction. The teeth were immersed in a physiological solution
containing antibiotics to eliminate any contamination.
• Following tooth splitting, DP was isolated using excavator. The
tooth and the pulp were then transported in Hank’s balanced salted
solution to the laboratory.The dental pulp were enzymatically
treated with collagenase and dispase for 70 minutes. to generate
single cell suspensions.
• The cells were cultured in (MEM-Earle )Eagles Minimum
Essential Medium with Earle Salt containing 15% foetal bovine
serum and 100 IU/ml penicilin and 100 µg/ml streptomycin .
• The cells were seeded into two 25 cm2 plastic tissue culture flasks
and incubated at 37°C in a humid atmosphere containing 5% CO2
for 3 days.
• The stem cells were isolated based on their ability to adhere to culture
plates.
• On the third day, red blood cells and other nonadherent cells were
removed and fresh medium was added to allow further growth.
• The adherent cells were grown to 70% confluency and were defined as
passage zero (P0 ) cells.
• Later passages were named accordingly. For passaging, the cells were
washed with Ca 2+ –Mg2+ free phosphate-buffered saline (PBS) and
detached by incubating with 0.25 % trypsin-EDTA solution for 5–10 min at
37°C.
• Growth medium was added to inactivate the trypsin. The cells were then
centrifuged at 200rpm for 10 min, resuspended in 1 ml complete medium,
counted in duplicate using a Thoma chamber, and then plated in 75 cm2
flasks at a concentration of 1 X 106 cells/flask.
• Growth medium was replaced every 3 days over a 10–14 day period.
PERIODONTAL LIGAMENT STEM CELLS
ORIGIN:
• During embryogenesis, the periodontal ligament is formed by cells
residing within the dental follicle.
• These cells are considered to be derived from the ectomesenchyme.
STEM CELL MARKERS:
• The stem cell marker, STRO-1 which is used to isolate and purify
bone marrow stromal stem cells, is also expressed by human
periodontal ligament stem cells and dental pulp stem cells.
• In addition, periodontal ligament stem cells also share a common
expression of the perivascular cell marker CD146 with bone marrow
stromal stem cells.
• A proportion of these cells also coexpress alpha-smooth muscle actin
and the pericyte- associated antigen, 3G5.
• These observations imply a perivascular origin for these cells.
PDL cell population is heterogenous consisting of 2 major
mesenchymal lineages, fibroblasts and mineralising tissues, futher
divided into cementoblatic and osteoblastic subsets.
Bartold Narayanan in 1998 postulated that mesenchymal stem cells are
recruited and activated following damage to the periodontium, where
they undergo terminal diferentiation into ligament forming cells or
mineral forming cementoblasts,, both of which act to secure the
connection between the cementum and the alveolar bone.
Turbiani et al isolated and characterised a population of MSC’S
from PDL which expressed stromal cell markers CD90, CD29, CD44,
CD104, CD166 and CD13.They also expressed cementoblastic and
osteoblastic markers like alkaline phosphatase, bone sialoproteins and
osteocalcin .
• In 1987, McCulloch et al identified a small population of
progenitor cells adjacent to blood vessels within the periodontal
ligament which showed cytological features similar to stem
cells.
• Seo et al in 2004 isolated PDL stem cells from impacted 3 rd
molar and found that the cells formed clonogenic adherent
colonies.Those cells were similar to adult mesenchymal stem
cell and were able to generate cementoblasts , osteoblasts and
fibroblasts.
• Seo et al in 2004 concluded that when ex vivo expanded
PDLSC’s are implanted invivo with a suitable scaffold in
immunocompramised mice, atypical cementum PDL like
structures, including Sharpeys fibres formed.
• In the only human clinical study reported to date, the potential of
periodontal ligament progenitors was assessed in the reconstruction of
periodontal intrabony defects in three patient by Feng et al 2010.
• Autologous periodontal ligament progenitors, mixed with bone-
grafting material, were implanted into deep intra bony defects of
patients who were monitored over the course of 3, 6, 12, 26, 32, 42
and 72 months.
• The findings of this study demonstrated that two of the three patients
who had undergone surgical evaluation of tissue regeneration
exhibited a reasonable regain of healthy tissue.
• The third patient assessed presented with decreased tooth movement
and probing depth, increased gingival recession and stable
improvement of attachment gain.
• This investigation concluded that the autologous periodontal ligament
progenitors in cell based surgical treatment for periodontitis may be
effective in regenerative dentistry.
• Collectively, it has been shown that periodontal
ligament stem cells hold the potential to form
bone, cementum and periodontal ligament-like
structures and to enhance overall periodontal
regeneration.
• Thus far, periodontal ligament stem cells appear to
have a greater capacity to generate dental-
associated structures, in comparison with other
mesenchymal stem cell-like cells, making them
highly amenable for use in periodontal
regeneration.
STEM CELLS FROM EXFOLIATED DECIDUOS TEETH:
• Stem cells from human exfoliated deciduous teeth are one of the more readily
available sources of dental-derived stem cells; because the stem cells are
isolated from exfoliated teeth, the need for tooth extraction is removed.
• Stem cells from human exfoliated deciduous teeth were first described by
Miura et al in 2003
• Stem cells from human exfoliated deciduous teeth were found to differ from
dental pulp stem cells in terms of their cellular morphology, cell-cluster
formation and osteoconductive capacity in vivo, and unlike dental pulp stem
cells, they failed to reconstitute a dentin pulp-like complex
• Importantly, the stem cells from human exfoliated deciduous teeth were found
to have a high proliferative capacity, with a higher proliferation rate and
increased cell-population doubling time than stem cells from other origins.
• Stem cells from human exfoliated deciduous teeth are amenable to
cryopreservation, meaning that these cells could be stored for long periods of
time on liquid nitrogen until required by the donor, or as part of a stem cell
bank.
SHED IN REGENERATION:
• To date there have been no publications describing the
implantation of stem cells from human exfoliated deciduous
teeth into periodontal defects, however, they have been used
to regenerate dental pulp tissue when implanted within
human tooth slices into immunodeficient mice.
• Zheng et al in 2009 implanted swine deciduous stem cells
into critical-sized bone defects created in the
parasymphyseal region of the mandible. The results
demonstrated that the implanted stem cells differentiated
directly into new bone, resulting in the formation of
markedly more new bone in the defect site.
• Yamada et al in 2011 performed allogeneic transplantation
of dog stem cells, in conjunction with PRP, into bone
defects of the mandible. The implanted cells generated well-
formed mature bone that was neovascularized in the defect
sites .
STEM CELLS FROM THE APICAL PAPILLA
• Stem cells from apical papilla are an additional mesenchymal stem cell-like
population of cells isolated from the apical papilla of human immature
permanent teeth.
• The root apical papilla is located at the tips of growing tooth roots and is
only present during root development before the tooth erupts into the oral
cavity.
• Stem cells from the apical papilla can be obtained from extracted wisdom
teeth.
• Invitro, they form odontoblast like cells and adipocytes.
• Stem cells from apical papilla are a unique population of multipotent stem
cells as they express high levels of two genes involved in mediating cell
proliferation: survivin and telomerase (Sonoyama et al in 2006).
• Consequently, stem cells from apical papilla appear to be
superior in their tissue-regenerative potential than dental pulp
stem cells, as stem cells from apical papilla have a higher
proliferative capacity (Sonoyama 2006) .
DENTAL FOLLICULAR STEM CELLS:
• The dental follicle is a loose ectomesenchyme-derived connective
tissue sac that surrounds the developing tooth germ prior to eruption.
• The dental follicle is thought to contain progenitors for cementoblasts,
periodontal ligament cells and osteoblasts.
• Dental follicle stem cells can be isolated relatively simply in the clinic
from the follicles of third molars which have not yet erupted.
• Human dental follicle stem cells are most commonly isolated from
impacted third molar extractions.
• Dental follicle stem cells isolated from humans are characterized by
their rapid attachment in culture and expression of the putative stem
cell markers nestin and notch-1.
• Guo et al found that the dental follicle stem cells implanted in
the alveolar fossa contributed to the formation of root-like
tissues with a pulp–dentin complex and a periodontal ligament
connecting a cementum-like layer to host alveolar bone .
REPROGRAMMING
Due to the ethical issues of embryonic stem cell
and the limitations of the adult stem cells,
research have been directed towards
reprogramming.
Four possible routesto cell reprogramming are:
1. Nuclear Transfer.
2. Induced Pluripotency.
3.Lineage Switching.
4. Direct Conversion.
Nuclear transfer offers another potential
way to produce embryonic stem cells.
Nucleus of an already differentiated adult
cell-for example, a skin cell, is inserted
into an enucleated egg.
The egg containing the genetic material of
the skin cell, is then stimulated to form a
blastocyst from which embryonic stem
cells can be derived.
The stem cells that are created in this way
are therefore copies or "clones" of the
original adult cell because their nuclear
DNA matches that of the adult cell.
However, ethical considerations include
egg donation, which requires informed
consent, and the possible destruction of
blastocysts.
NUCLEAR TRANSFER
INDUCIBLE PLURIPOTENT STEM CELLS:
• Induced pluripotent stem cells are the newest members
to join the stem cell field.
• They are a population of pluripotent stem cells that
have been generated from somatic cells through the
forced expression of key transcription factors .
• Takahashi & Yamanaka in 2006 were the first to
demonstrate that forced expression of four transcription
factors (OCT4, SOX2, C-MYC and KLF4) had the
capacity to transform adult-somatic cells back to
pluripotent cells, which resembled embryonic stem
cells in a murine model.
Advantages of Induced Pluripotent Stem cells:
• Ability to differentiate into many cell types.
• Vastly renewable.
• Easily accessible and no ethical issues regarding procurement from
embryo.
• Individual-specific i.e. personalized or non-immunogenic.
Obstacles in therapeutic application of iPSCs in humans
(i) Use of harmful oncogenes as part of the reprogramming factors .
(ii) Use of viral vectors for gene delivery that carry the risk of insertional
mutagenesis.
(iii) Low efficiency and slow kinetics of reprogramming.
(iv) Lack of robust and reliable differentiation protocols for human iPS cells.
• The first human-induced pluripotent stem cells were generated in
2007 by 2 groups using different sets of transcription factors .
- Takahashi group used (OCT4, SOX2, C-MYC and KLF4) as
transcription factors on Adult human fibroblasts to generate induced
pluripotent stem cells.
- Thomson James group used different transcription factors like
NANONG , LIN 28, OCT-4 and SOX 2 on somatic cells for
generation of iPSC.
Induction of pluripotent stem cells from mouse embryonic and adult fibroblast cultures by
defined factors. Takahashi and Yamanaka. Cell. 126, 663-676, 2006.
Dr. Kazutoshi Takahashi, PhD
Reprogramming Factors – Magic Four
• Transcription factors are
proteins that bind to
DNA and regulate gene
expression
• Oct3/4 and Sox2:
transcription factors that
function in maintaining
pluripotency in both
early embryos and ES
cells.
• c-Myc and Klf4:
transcription factors that
modify chromatin
structure so that Oct3/4
and Sox2 can bind to
their target.
Similarities between Embryonic stem cells and
Induced Pluoripotent stem cells:
• Induced pluripotent stem cells have close similarity to
embryonic stem cells in terms of their surface antigen
expression, cell morphology, gene expression, proliferation
and telomerase activity.
• Additionally, like embryonic stem cells, induced pluripotent
stem cells are capable of differentiating into the three germ
layers in vitro and in teratomas.
Dental-derived induced pluripotent stem cells
• Induced pluripotent stem cells have also been generated from tissues
of dental origin.
• They have been induced successfully from:
- Stem cells from human exfoliated deciduous teeth, from apical
papilla , dental pulp (Yan X et al 2010).
- Gingival fibroblasts and periodontal ligament fibroblasts (Wada N et
al 2011).
Use of induced pluripotent stem cells in
periodontal regeneration
• To date only one group has published the use of induced pluripotent
stem cells in the context of periodontal regeneration (Duan et al
2011 )
• Duan and co workers have implanted induced pluripotent stem
cells into a mouse periodontal fenestration defect model with the aid
of a silk fibrin scaffold in combination with enamel matrix
derivative gel . They found that iPSC’s in combination with
emdogain promoted new bone, cementum and pdl formation.
• In vitro studies by Duan et al in 2011 assessing the effect of
Emdogain on induced pluripotent stem cells revealed that it
promoted iPSC’sto differentiate into osteogenic cells while
inhibiting cell maturation and mineralization
Parallels between regeneration and
reprogramming
Natural dedifferentiation occurs during regeneration in teleost fish,
amphibians
C-Myc, Sox2, Klf-4 expressed during limb regeneration in newts (Maki
et al, 2009)
Oct4, Sox2 required for normal fin regeneration in zebrafish, but levels
not as high as in pluripotent cells (Christen et al, 2010)
• The third route to cell reprogramming is represented by lineage
switching and is possible because of the discovery of so-called
‘‘master genes’’ .
For instance, the overexpression of the gene MyoD can induce a
non muscle cell back to a partially undifferentiated state and then
guide its maturation into a muscle cell.
• The fourth route is represented by direct conversion, a nonlineage
switching of a cell into a different phenotype induced by specific
genes .
For instance, a recent study demonstrated the ability of three b-
pancreas–specific genes to convert exocrine pancreas cells into
insulin-producing pancreas b-cells.
The improvement of the iPS technology, of lineage switching,
and of direct conversion technologies could represent the most
exciting line of research for the development of effective, safe,
and ethically acceptable stem cell–based therapies
CONCLUSION:
• It is unclear whether human stem-cell derivatives can integrate
into the recipient tissue and fulfill the specific functions of lost
or injured tissues.
• It will be necessary to demonstrate that stem cells develop
into stable cells and display the characteristics and functions
of normal host cells following their transplantation.
• We are still some distance from fully understanding the
potentiality and behaviour of dental pulp progenitor cells, and
subsequent clinical treatment modalities.
• Nonetheless, the opportunities for their exploitation in dental
tissue regeneration are becoming clearer and will lead to
significant benefits in the management of the effects of dental
disease.
REFERANCES:
• Stem Cell Therpy: A Challenge to Periodontist. “Jayashree Mudda,Indian Journal of
Dental Research , 22(1),2011.
• Clinical utility of stem cells for Periodontal Regeneration. Periodontology 2000, Volume
59, 2012, 203-227.
• Stem Cells and Periodontal Regeneration.Periodontology 2000,Vol 40, 2006,164-172.
• Stem cells and Future Periodontal Regeneration. Periodontology 2000, Vol59,2009, 239-
251.
• Future Approaches in Periodontal Regeneration: Gene Therapy, Stem Cells, and
RNA Interference. DCNA 2010 JANUARY.
• Biological characteristics of stem cells from foetal, cord blood and extraembryonic
tissues. Journal of Royal Society Interface (2010).
• Stem cell properties of human periodontal ligament cells. Journal of Periodontal
Research 2006,41,303-310.
Free Powerpoint Templates Page 93
THANK YOU
10.STEM CELLS.pptx

10.STEM CELLS.pptx

  • 2.
    INTRODUCTION: • Stem cellsfirst appeared in literature in the early 19th century. • The term “stem cell” originated from botanical monographs where the word “stem” was used for cells localised in the apical meristem, and responsible for the continued growth of plants. • Birth of stem cell research took place way back in 1953 when Leroy Stevens identified teratoma like cells in the testicles of inbred mice. • Experiments with bone marrow soon followed in the late1950s and established the existence of stem cells in humans. • However, the age of regenerative medicine started in 1998 with the discovery of human embryonic stem cell by Dr. Thompson and co workers from the University of Wisconsin-Madison. They were the first group to isolate human embryonic stem cells and keep them alive in the laboratory. • Stem cells are not only units of biological organization, responsible for the development and the regeneration of tissue and organ systems, but also are units in evolution by natural selection.
  • 4.
    DEFINITION: Stem cells aredefined as clonogenic cells capable of both self- renewal and multilineage differentiation. (Till and McCulloch 1961). Stem cells are quiescent cell populations present in low numbers in normal tissue, which exhibit the distinct characteristic of asymmetric cell division, resulting in the formation of two distinct daughter cells – a new progenitor/stem cell, and another daughter cell capable of forming differentiated tissue (Hawkins and Lin 1998).
  • 5.
    CLASSIFICATION OF STEMCELLS: 1. Embryonic Stem cell. 2. Fetal Stem cell. 3.Extra Embryonic Stem cell ( Cord Blood, Umbilical Chord ,Whartons amniotic fluid Jelly, Amniotic membrane) 4.. Adult/ Somatic Stem cell Bone Marrow: a) Hematopoeitic Stem cell Myeloid Biased Stem cells Lymphoid Biased Stem cells Balanced Group of stem cells b) Bone Marrow stromal stem cell/ Mesenchymal stem cell. Mesenchymal stem cells other than from the bone marrow a) Non Dental Adipose tissue Peripheral blood b) Dental Stem cell Dental pulp stem cells (DPSCs) Stem cells from exfoliated deciduous teeth (SHED) Periodontal ligament stem cells (PDLSCs) Stem cells from apical papilla (SCAP) Dental follicle progenitor cells (DFPCs)
  • 6.
    PROPERTIES OF STEMCELLS: • All stem cells regardless of their source have 3 properties: - They are capable of dividing and self renewing for long periods of time. -They are unspecialised cells. - They can give rise to specialised cell types.
  • 7.
    At the beginningof embryonic development, stem cells undergo symmetric cell division. They divide symmetrically, where one cell splits and gives rise to two identical cells that have the same potential. After blastocyst the stem cells start to divide asymmetrically. Asymmetric cell division is when a stem cell divides to produce two cells. One of the cells remains a stem cell, demonstrating self-renewal, and the other differentiates into a progenitor cell. STEM CELL DIVISION SYMMETRIC DIVISION ASSYMMETRIC DIIVISION
  • 8.
    • Depending onthe intrinsic signals modulated by extrinsic factors in the stem cell niche, they either undergo prolonged self renewal or differentiation. • The expression of the signalling molecule NOTCH decides the self renewal or differention fate of stem cells. • Other pathways are the Wnt and Hedgehog pathways.
  • 9.
    STEM CELL NICHE: StemCell Niche: Stem cell niche is the microenvironment in which stem cells are found and which interacts with the cells to regulate their fate. The niche saves stem cells from depletion, while protecting the host from over-exuberant stem-cell proliferation. It constitutes a basic unit of tissue physiology, integrating signals that mediate the balanced response of stem cells to the needs of organisms. Yet the niche may also induce pathologies by imposing aberrant function on stem cells or other targets. The interplay between stem cells and their niche creates the dynamic system necessary for sustaining tissues.
  • 10.
    NOTCH SIGNALLING PATHWAY Notchinhibits the differentiation of primordial cells to tissue- specific stem cells in the early- to midstage embryo. It inhibits tissue- or organ-specific stem cells or immature progenitors from further differentiation and presumably helps them expand while maintaining the immature state.
  • 11.
    CELL POTENCY: • Totipotency- is the ability of a single cell to divide and produce all the differentiated cells in an organism, including extraembryonic tissues. Totipotent cells include spores and zygotes. • Pluripotency- After reaching the 16-cell stage, the totipotent cells of the morula differentiate into cells that will eventually become either the blastocyst 's Inner cell mass or the outer trophoblasts. The inner cell mass is pluripotent and has the potential to differentiate into any of the three germ layers. Pluripotent stem cells can give rise to any fetal or adult cell type. However, alone they cannot develop into a fetal or adult organism because they lack the potential to contribute to extraembryonic tissue.
  • 12.
    • Multipotent progenitorcells have the potential to give rise to cells from multiple, but a limited number of lineages. An example of a multipotent stem cell is a hematopoietic cell which can develop into several types of blood cells, but cannot develop into brain cells or other types of cells. Another example is the mesenchymal stem cell, which can differentiate into osteoblasts, chondrocytes, and adipocytes. • Oligopotency- is the ability of progenitor cells to differentiate into a few cell types. Examples of oligopotent stem cells are the lymphoid or myeloid stem cells. • Unipotency- One stem cell has the capacity to differentiate into only one cell type. Hepatoblasts, which differentiate in hepatocytes .
  • 15.
    • Embryonic stemcells are derived from the inner mass of cells of the blastocyst and have the potential to differentiate into cells of all 3 embryonic germ layers. • Mammillian ES cells were first derived from the mouse embryos independently by Evans and Kaufmann in 1981. • In 1998, Thompson isolated the first Human embryonic stem cell. • Embryonic stem cells are flat and compact. • Surface Markers: 1. Stage Specific Embryonic Antigen 3 & 4 ( SSEA 3 & 4), 2.High molecular wt. proteins (TRA-1-60),(TRA-1-81), 3.Alkaline phosphatase 4.Pluripotency transcription factors (Oct-4, Sox-2, Nanog, Rex1) EMBRYONIC STEM CELL:
  • 16.
    All the EScell lines express high levels of telomerase , the enzyme that helps maintain telomeres which protect the ends of chromosomes. Telomerase activity and long telomeres are characteristic of proliferating cells in embryonic tissues and of germ cells.
  • 17.
  • 18.
    PROPERTIES OF EMBRYONICSTEM CELL: 1. Self-renewal in an undifferentiated state for very long periods of time with continued release of large amounts of telomerase 2.Maintenance of “stemness” or pluripotent markers 3.Formation of teratoma containing tissues from all three primordial germ layers when inoculated in SCID mice 4.Maintenance of a normal stable karyotype 5.Clonality 6.Stem cells marker expression e.g , NANOG 7.Ability to produce chimeras when injected into blastocysts in the mouse model.
  • 19.
    ADVANTAGES: 1.They offer onecell source for multiple indications. 2.They have the possibility of being immuno-privileged, due to their highly undifferentiated state. 3.They appear to be immortal in vitro, while adult and differentiated stem cells cannot be cultured indefinitely in the lab. DISADVANTAGES: 1. Teratoma formation . 2. Ethical issues regarding procurement of stem cells from embryo. 3. Embryonic stem lines are difficult to control to be able to acheieve the desired cell line from them. 4. Risk of immunogeneic reaction as stem cell from a ramdom embryo donor are more likely to face rejection
  • 20.
  • 21.
    ISOLATION OF EMBRYONICSTEM CELLS • To generate human ES cell cultures, cells from the inner cell mass of a human blastocyst were cultured in a multi-step process. • The pluripotent cells of the inner cell mass were separated from the surrounding trophectoderm by immunosurgery, the antibody- mediated dissolution of the trophectoderm. • The inner cell masses were plated in culture dishes containing growth medium supplemented with fetal bovine serum on feeder layers of mouse embryonic fibroblasts that had been gamma- irradiated to prevent their replication.
  • 22.
    • After 9to 15 days, when inner cell masses had divided and formed clumps of cells, cells from the periphery of the clumps were chemically or mechanically dissociated and replated in the same culture conditions. • Colonies of apparently homogeneous cells were selectively removed, mechanically dissociated, and replated. • These were expanded and passaged, thus creating a cell line.
  • 23.
    CLINICAL APPLICATION OFESCs: • Laflamme MA et al in 2007 study is the first to document the potential clinical utility of regenerating damaged heart muscle by injecting hESC– derived cardiomyocytes directly into the site of the infarct in rodents . They found that hES cell–derived cardiomyocytes to partially regenerate myocardial infarcts and attenuate heart failure. • In an attempt to promote hESC osteogenic differentiation, Kuznetsov et al in 2011cultured cells of the HSF-6 line in differentiating conditions in vitro for prolonged periods of time ranging from 7 to 14.5 weeks, followed by in vivo transplantation into immunocompromised mice in conjunction with hydroxyapatite/tricalcium phosphate ceramic powder. In differentiating conditions, HSF-6-derived cells demonstrated an array of diverse phenotypes reminiscent of multiple tissues, but after a few passages, acquired a more uniform, fibroblast-like morphology. Eight to 16 weeks post-transplantation, a group of transplants revealed the formation of histologically proven bone of human origin, including broad areas of multiple intertwining trabeculae, which represents by far the most extensive in vivo bone formation by the hESC-derived cells described to date.
  • 24.
    METHODS TO OVERCOMETHE ADVERSE AFFECTS OF ESCs: • A number of scientific and medical issues need to be addressed before stem cells can be considered safe for clinical applications. • The first difficulty is the tumorigenic potential of pluripotent cells. • One strategy for dealing with this problem is to select pure populations of more committed cells for transfer. Therefore it is important demonstrating the genetic and epigenetic stability before these cells are used clinically. • Feeder cells and sera of animal origin have to be avoided to reduce the potential risk of contamination by xenogeneic protein and pathogens. • Finally, transplantation of hESCs into patients is also limited by potential HLA incompatibility. Consequently, life-long immunosuppressive therapy, which can lead to infections and organ-based toxic side effects, such as nephropathy, might be required to prevent graft rejection. In this regard induced Pluripotent Stem Cells (iPSCs) hold great promise
  • 25.
    ADULT / SOMATICSTEM CELLS : The ability of some tissues in the adult to repair or renew indicates the presence of stem or progenitor cells. Adult stem cells appear more mature with a finite lifespan and only a multipotent differentiation capacity. Somatic stem cells do not show telomerase activity and their telomeres are considerably shorter than ESCs. Unlike ES cells, somatic cells stop dividing in culture after some time and eventually die off , a phenomenon called replicative senescence. Adult stem cells express transporters of the ATP binding cassette family that actively pumps a diversity of organic molecules out of the cell. Many drugs are exported out of the cell in this manner conferring a Multidrug resistance.
  • 26.
    • ADVANTAGES : 1.Does not involve ethical issues like ESCs. 2. Ease in procurement of the cells. 3. Can be used in autologous transplantation hence prevents immune rejection. • DISADVANTAGES: 1. Maintaining adult stem cell lines are difficult as it tends to die off after some passages. 2.Quantity of adult stem cells that can be obtained is quite less. 3. Isolating and harvesting the adult stem cells from the mature tissues is difficult. 4. The adult stem cells may also harbour unknown genetic defects which has to be thouroughly checked for before expansion.
  • 27.
    FETAL STEM CELLS: •FSCs can be found in foetal tissues such as blood, liver, bone marrow, pancreas, spleen and kidney (Marcus & Woodbury 2008). • They are also found in cord blood and extraembryonic tissues such as amniotic fluid, placenta and amnion . • Their primitive properties, expansion potential and lack of tumorogenicity make them an attractive option for regenerative medicine in cell therapy. • While extraembryonic tissues could be used with few ethical reservations, the isolation of FSCs from aborted foetuses is subject to significant public unease.
  • 28.
    • Stem cellsare collected from abortal foetal tissue, pre-natal diagnostic tissues or tissues at delivery with informed consent, institutional ethics approval and compliance with national guidelines covering foetal tissue research. • These cells can differentiate into mesenchymal and hematopoitic lineage . Mesenchymal Foetal stem cell: -MSCs isolated from foetal tissues such as blood, liver, bone marrow, lung and pancreas all share common characteristics. -They are spindle-shaped cells with the capacity to differentiate into the standard mesenchymal lineages, i.e. bone, fat and cartilage. -They do not express haematopoietic or endothelial markers (i.e they are CD45−/34−/14− and von Willebrand factor negative ) -Express stroma-associated markers CD29 (β1-integrin), CD73 (SH3 and SH4), CD105 (SH2), CD44 (HCAM1)
  • 29.
    Comparison of BoneMarrow and Foetal Mesenchymal stem cell: • First-trimester foetal blood, liver and bone marrow MSCs express baseline levels of the pluripotency stem cell markers Oct-4, Nanog, Rex-1, SSEA-3, SSEA-4, Tra-1-60 and Tra-1-81. • Regardless of their tissue of origin, first-trimester foetal MSCs self-renew faster in culture than senesce later than adult mesenchymal stem cells. • They have an highly active telomerase and express low levels of HLA I and lack intracellular HLA II than adult MSCs (Gotherstrom et al. 2004). • Foetal MSCs have significantly greater binding to their respective extracellular matrix ligands than adult MSCs and thus helps in homing of implanted tissues (de la Fuente et al. 2003).
  • 30.
    Hematopoeitic fetal stemcell: • First-trimester foetal blood contains more CD34+ cells than term gestation blood . • The number of circulating HSCs increases from the first trimester to peak in the second trimester in utero, probably because of cells migrating from the foetal liver to establish haematopoiesis in the foetal bone marrow. • Some HSCs remain in the umbilical cord at delivery, where they can be collected for allogeneic or occasionally autologous cell transplantation. • Foetal blood HSCs proliferate more rapidly than those in cord blood or adult bone marrow, and produce all haematopoietic lineages .
  • 31.
    • Although stemcell are present in the fetus and their role in development have been studied , their possible clinical usefulness has barely been explored owing to ethical issues and the risk to pregnancy associated with intrauterine procedures.
  • 32.
    UMBILICAL CHORD BLOODSTEM CELLS: Umbilical cord blood is now an established source of transplantable HSCs that have a greater proliferative capacity, lower immunological reactivity and lower risk of graft-versus-host disease (GVHD) than those derived from adult bone marrow. Cord blood stem cells expressing baseline levels of ES cell markers such as Oct-4, Nanog, SSEA-3 and SSEA-4 have also been described In contrast to Bone Marrow or Peripheral blood that generally require a high degree of HLA match between donor and patient . UCB only needs to be matched at four of six HLA class I and II molecules. This reduced incidence of GVHD with partially HLA- mismatched UCB is likely due to the lower numbers of T cells and the relatively immunologically naıve status of the lymphocytes in units of UCB.
  • 33.
    Advantages : • Promptavailability. • Decreased risk of transmissible viral infections • Reduced incidence of graft-versus-host disease (GVHD) • Ease of collection with little to no risk to the mother or newborn . Limitations: • The shelf-life or stability of UCB is uncertain although there is evidence of efficacy in the range of 15-18 yr. There may be a degree of variance from unit to unit or bank to bank. Thus, it cannot be assumed that all units stored for a particular period of time will be equally potent and efficacious. UCB banking : The first unrelated UCB bank was started at the New York Blood Center in 1992. India three banks are public( Relicord, Jeevan Cord and Stemcyte) with 7 private cord banks. In chennai , cord bank which is liscensed is Lifecell.
  • 34.
    AMNIOTIC MEMBRANE: • Inrecent years, amniotic fluid has emerged as a major source of putative pluripotent stem cells that avoid many of the problems associated with ES cells such as their non-suitability for autologous use, their capacity for tumour formation and the ethical concerns they raise. • They exhibit a broad differentiation potential towards mesenchymal lineages ( Anker et al. 2003). • De Coppi et al. isolated c-kit-positive (CD117) cells that represent about 1 per cent of cells present in second-trimester amniotic fluid. These cells were named amniotic fluid stem (AFS) cells. • They can be cultured without feeders, double in 36 h, are not tumorigenic, have long telomeres and retain a normal karyotype for over 250 population doublings (De Coppi et al. 2007a). • Cultured human AFS cells are positive for ES cell (e.g. Oct-4, Nanog and SSEA-4) and mesenchymal cell markers such as CD90, CD105 (SH2), CD73 (SH3/4) and several adhesion molecules (e.g. CD29 and CD44; Tsai et al. 2006; Chambers et al.2007; De Coppi et al. 2007a).
  • 35.
    PLACENTA: • The placentais a fetomaternal organ involved in maintaining foetal tolerance and allows nutrient uptake and gas exchange with the mother, but also contains a high number of progenitor cells or stem cells (Parolini et al. 2010). • The availability, phenotypic plasticity and immunomodulatory properties of placenta-derived progenitor/ stem cells are useful characteristics for cell therapy and tissue engineering. • Cells can be isolated during ongoing pregnancy using minimally invasive techniques such as chorionic villus sampling (CVS) and placental tissues are readily available at delivery for allogeneic or autologous use. • Cells that have been isolated from placenta include the human AECs, human amnion mesenchymal stromal stem cells (AMSCs), human chorionic mesenchymal/stromal stem cells (CMSCs), human chorionic trophoblastic cells and HSCs (Parolini et al. 2008).
  • 36.
    BONE MARROW STEMCELLS: Bone marrow stem cells are broadly divided into Hematopoeitic stem cell and Bone Marrow Stromal Stem cell.
  • 37.
    Hematopoeitic Stem Cell: •Hematopoeitic Stem cells give rise to the blood cells. • They were the first stem cells to be isolated from the bone marrow. • Hematopoitic Stem cells have been used to treat hematological disorders. • HSCs have been defined with respect to cell markers namely Lin, CD34, CD38, CD43, CD45RO, CD45RA, CD59, CD90, CD109, CD117, CD133, CD166 and HLA DR .
  • 38.
    MAGNETIC CELL SORTINGFOR HEMATOPOIETIC STEM CELL ENRICHMENT • The cells of interest are labeled with very small iron particles. • These particles are bound to antibodies that only recognize specific cells. • The cell suspension is then passed over a column through a strong magnetic field which retains the cells with the iron particles . • Other cells flow through and are collected as the depleted negative fraction. • The magnet is removed, and the retained cells are collected in a separate tube as the positive or enriched fraction .
  • 39.
    • Magnetic enrichmentdevices exist both as small research instruments and large closed-system clinical instruments. • Magnetic enrichment can process very large samples (billions of cells) in one run, but the resulting cell preparation is enriched for only one parameter (e.g., CD34) and is not pure. • Significant levels of contaminants (such as T-cells or tumor cells) remain present
  • 40.
    FLUOROSCENCE ACTIVATED CELLSORTING : • The cell mixture is labeled with fluorescent markers that emit light of different colors after being activated by light from a laser. • Each of these fluorescent markers is attached to a different monoclonal antibody that recognizes specific sets of cells . • The cells are then passed one by one in a very tight stream through a laser beam (blue in the figure) in front of detectors (E) that determine which colors fluoresce in response to the laser. • The results can be displayed in a FACS-plot (F). FACS-plots (see figures 3 and 4 for examples) typically show fluorescence levels per cell as dots or probability fields. • FACS results in very pure cell populations that can be selected for several parameters simultaneously (e.g., Linneg, CD34pos, CD90pos), but it is more time consuming (10,000 to 50,000 cells can be sorted per second) and requires expensive instrumentation.
  • 41.
    MESENCHYMAL STEM CELLS: •Another population of adult non haemotopoetic stem cells which also reside in the bone marrow. • They are also known as bone marrow stromal stem cells. • Friedenstein in 1976 first identified the colony forming unit of fibroblasts ( CFU) which are now known as mesenchymal stem cells. • The term mesenchymal stem cells was coined by Caplan in 1991 to describe a population of cells present within the adult bone marrow that can be stimulated to differentiate into bone and cartilage, tendon, muscle, fat cells. • Mesenchymal stem cells are characterised by expression of surface markers CD 105, CD,73 ,CD 90, STRO-1 and Sca 1. • Other than marrow MSC are also found in adipose tissues, umbilical chord blood, placenta, amniotic fluid, fetal liver and lung. • They are also derived from dental tissues.
  • 43.
    Bone Marrow StromalStem Cell Isolation: • Bone marrow aspirates of 2–4 ml were taken from the iliac crest of patients who were diagnosed with idiopathic thrombocytopenic purpura (ITP). The bone marrow was diluted 1:3 with PBS and layered over a Ficoll-histopaque gradient. • The low-density mononuclear cells were washed twice with PBS, counted, and 1 X 106 cells/cm2 were plated in culture Flasks in MEM-Earle containing 15% foetal bovine serum, 100 IU/ml penicillin, and 100 g/ml streptomycin. • The cells were incubated at 37°C in a humid atmosphere containing 5% CO2 for 3 days. • The mesenchymal stem cells were isolated based on their ability to adhere to culture plates. • On the third day, red blood cells and other non-adherent cells were removed and fresh medium was added to allow further growth. • The adherent cells were grown to 70% confluency and were defined as passage zero (P0) cells.
  • 46.
    EMBRYOGENESIS AND ODONTOGENESIS: •In the human embryo, deciduous and permanent teeth develop as a result of sequential and reciprocal interactions of the ectodermal epithelium of the oral vestibule and the mesenchyme in the cranial area, which formed from neural crest cells (Pispa & Thesleff 2003, Bloch-Zupan 2007). • Dental enamel originates from epithelial cells, while all other structures are formed from mesenchymal cells (Moore & Persaud 2007, Hacking & Khademhosseini 2009).
  • 47.
    • In aboutthe 5th embryonic week, odontogenesis is induced from the oral epithelium. • The underlying mesenchyme of the tooth papilla is responsible for the regulation and differentiation of these cells as well as the control of crown and root formation (Schröder 2000, Bluteau et al. 2008). • Over 200 regulatory genes are involved in odontogenesis. • Cells communicate via signal molecules and growth factors. Predominantly, growth factors from the four eminent families fibroblast growth factor (FGF), Hedgehog, wingless (WNT) and transforming growth factor- (TGF-) are important in the regulation of odontogenesis (Pispa & Thesleff 2003, Bloch- Zupan 2007, Koch 2007).
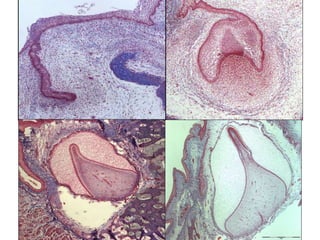
  • 48.
    • The maxillaryand mandibular dental laminae each form ten proliferation centers and the tooth buds seem to shift into the underlying mesenchyme (Schröder 2000, Moore & Persaud 2007). • The bud structures, or enamel organs, first assume the shape of a bud, cap and then that of a bell. • The external enamel epithelium is the outermost cell layer of these structures, and is connected to the dental lamina. The inner layer adjacent to the papilla is called the internal enamel epithelium, and the ameloblasts differentiate from its cells. • The mesenchymal cells which are partially enveloped by the bell- shaped enamel organ later form the dental papilla. The mesenchymal cells adjacent to the enamel epithelium differentiate into odontoblasts.
  • 49.
    • In thebell stage, the internal and external enamel epithelium unite to form the cervical loop, which, after crown formation is complete, grows down as the epithelial (Hertwig’s) root sheath and controls root formation. • The mesenchyme surrounding the epithelial root sheath condenses into the so-called tooth sac, from which the cementum and periodontium arise (Moore & Persaud 2007). • In humans, odontogenesis begins in about the 10th embryonic week (Koch 2007). • Wisdom teeth develop postnatally; their enamel organ has formed by about the 72nd month of life (Schröder 2000). This means that up to that point, undifferentiated dental embryonic tissue exists in the jaw. • The development of the third molars is the only organogenesis which takes place completely after birth.
  • 50.
    Stages of tooth development 1.Bud stage 2. Cap stage 3. Bell stage 4. Appositional stage (mineralization) 5. Root formation 6. Eruption (epithelial ingrowth into ectomesenchyme) (further epithelial growth) (histo- and morpho-differentiation) (formation of enamel and dentin of crown) (formation of dentin and cementum of root) Oral Histology and Embryology by Leslie P. Gartner, 1988
  • 52.
    Paracrine signal moleculesin epithelial mesenchymal interaction act receprocally and mostly belong to the Transforming growth factor b (TGFb) - BMP, Fibroblast growth factor (FGF), Sonic Hedgehog Wnt families.
  • 53.
    Summary of toothdevelopment Oral epithelium Dental lamina ameloblasts Inner enamel ep Stellate reticulum Stratum intermedium Outer enamel ep HERS Ectomesenchyme Dental sac Dental papilla odontoblasts cementoblasts fibroblasts fibroblasts osteoblasts dentin cementum pulp periodontal ligament alveolar bone enamel guide root formation oral epithelium reduced enamel ep junctional ep.
  • 55.
    DENTAL STEM CELLS: •Following tooth development, periodontal and dental tissues, with the exception of enamel, exhibit limited regenerative or reparative capacity which is thought to be mediated by the presence of multipotent progenitor cells that are capable of differentiation into functional, lineage-specific cells. • Hence, Dental stem cells originally derived from the ectomesenchymal tissues can be considered a new source of human adult stem cells for regenerative medicine.
  • 56.
    PROCUREMENT OF DENTALSTEM CELLS: Two methods to generate enriched postnatal dental stem cell populations are present. The first method uses the stem cell antibody, STRO-1 to generate enriched, STRO-1-positive stem cell populations from cultured tooth bud cell preparations. The second method uses side population profiling to generate enriched dental stem cell populations, based on the demonstrated ability for stem cells to efflux Hoechst dye, while nonstem cell populations cannot . Fluorescent-activated cell sorting allows the separation of Hoechst- negative stem cells from dye retaining non stem cell populations. Clonal cell lines are being established from cells sorted by both methods for future testing in dental tissue engineering applications.
  • 57.
    TYPES OF DENTALSTEM CELLS: 6 different human dental stem/progenitor cells are : 1. Dental Epithelial stem cells 2. Dental pulp stem cells (DPSCs) (Gronthos et al 2000) 3. Stem cells from exfoliated deciduous teeth (SHED) (Miura et al 2003) 4. Periodontal ligament stem cells (PDLSCs) (Seo et al 2004) 5. Stem cells from apical papilla (SCAP) (Sonoyama et al 2006, 2008). 6. Dental follicle progenitor cells (DFPCs). (Morsczeck et al 2005).
  • 58.
    DENTAL EPITHELIAL STEMCELLS: • Irma Thesleff’s group identified these dental ectodermal stem cells in tissue explants of adult mouse incisors for the first time . • BrdU-labelled stem cells enabled a detailed examination of cell migration and ameloblast development in dental explants. • The fibroblast growth factor (FGF), in particular, FGF-10 and the activated Notch-pathway are essential to maintain dental stem cells in an undifferentiated state and for the directed differentiation of stem cells into ameloblasts or into cells of the stratum intermedium . • In humans, these dental epithelial stem cells are lost after tooth eruption; therefore, they are not available for cell therapy.
  • 59.
    DENTAL PULPAL STEMCELLS • Dental pulp is involved in regenerative responses to injury. • Cells predominating in the pulp include fibroblasts, odontoblasts, neurons, macrophages and undifferentiated mesenchymal cells . • Gronthos et al in 2000 first showed that the pulpal stem cells exhibited similar features to bone marrow stem cells, with the capacity to regenerate the dentine ⁄ pulp complex. • Gronthos et al in 2002 showed that stem cells from the pulp have the potential to differentiate into cells of adipogenic and neurogenic lineage. • Laino et al in 2005 showed that pulpal stem cells are capable of differentiating into living autologous bone tissue in vitro and into lamellar bone following implantation into immunocompromised rats. • Pulpal stem cells exhibit c –kit, CD 34, STRO-1 and CD 140 markers.
  • 60.
    • They exhibitlike the osteoblasts, bone markers like bone sialoprotein, alkaline phosphatase, type I collagen, and osteocalcin. • Their differentiation is regulated by various potent regulators of bone formation, including members of the TGF superfamily and cytokines. • The similarity of the gene expression profiles between DPSCs and precursors of osteoblasts, bone marrow stromal stem cells have been reported by Shi et al 2001.
  • 61.
    Culturing of DentalPulpal Stem Cells: • Third molars were obtained f under sterile conditions during impaction. The teeth were immersed in a physiological solution containing antibiotics to eliminate any contamination. • Following tooth splitting, DP was isolated using excavator. The tooth and the pulp were then transported in Hank’s balanced salted solution to the laboratory.The dental pulp were enzymatically treated with collagenase and dispase for 70 minutes. to generate single cell suspensions. • The cells were cultured in (MEM-Earle )Eagles Minimum Essential Medium with Earle Salt containing 15% foetal bovine serum and 100 IU/ml penicilin and 100 µg/ml streptomycin . • The cells were seeded into two 25 cm2 plastic tissue culture flasks and incubated at 37°C in a humid atmosphere containing 5% CO2 for 3 days.
  • 62.
    • The stemcells were isolated based on their ability to adhere to culture plates. • On the third day, red blood cells and other nonadherent cells were removed and fresh medium was added to allow further growth. • The adherent cells were grown to 70% confluency and were defined as passage zero (P0 ) cells. • Later passages were named accordingly. For passaging, the cells were washed with Ca 2+ –Mg2+ free phosphate-buffered saline (PBS) and detached by incubating with 0.25 % trypsin-EDTA solution for 5–10 min at 37°C. • Growth medium was added to inactivate the trypsin. The cells were then centrifuged at 200rpm for 10 min, resuspended in 1 ml complete medium, counted in duplicate using a Thoma chamber, and then plated in 75 cm2 flasks at a concentration of 1 X 106 cells/flask. • Growth medium was replaced every 3 days over a 10–14 day period.
  • 64.
    PERIODONTAL LIGAMENT STEMCELLS ORIGIN: • During embryogenesis, the periodontal ligament is formed by cells residing within the dental follicle. • These cells are considered to be derived from the ectomesenchyme. STEM CELL MARKERS: • The stem cell marker, STRO-1 which is used to isolate and purify bone marrow stromal stem cells, is also expressed by human periodontal ligament stem cells and dental pulp stem cells. • In addition, periodontal ligament stem cells also share a common expression of the perivascular cell marker CD146 with bone marrow stromal stem cells. • A proportion of these cells also coexpress alpha-smooth muscle actin and the pericyte- associated antigen, 3G5. • These observations imply a perivascular origin for these cells.
  • 65.
    PDL cell populationis heterogenous consisting of 2 major mesenchymal lineages, fibroblasts and mineralising tissues, futher divided into cementoblatic and osteoblastic subsets. Bartold Narayanan in 1998 postulated that mesenchymal stem cells are recruited and activated following damage to the periodontium, where they undergo terminal diferentiation into ligament forming cells or mineral forming cementoblasts,, both of which act to secure the connection between the cementum and the alveolar bone. Turbiani et al isolated and characterised a population of MSC’S from PDL which expressed stromal cell markers CD90, CD29, CD44, CD104, CD166 and CD13.They also expressed cementoblastic and osteoblastic markers like alkaline phosphatase, bone sialoproteins and osteocalcin .
  • 66.
    • In 1987,McCulloch et al identified a small population of progenitor cells adjacent to blood vessels within the periodontal ligament which showed cytological features similar to stem cells. • Seo et al in 2004 isolated PDL stem cells from impacted 3 rd molar and found that the cells formed clonogenic adherent colonies.Those cells were similar to adult mesenchymal stem cell and were able to generate cementoblasts , osteoblasts and fibroblasts. • Seo et al in 2004 concluded that when ex vivo expanded PDLSC’s are implanted invivo with a suitable scaffold in immunocompramised mice, atypical cementum PDL like structures, including Sharpeys fibres formed.
  • 67.
    • In theonly human clinical study reported to date, the potential of periodontal ligament progenitors was assessed in the reconstruction of periodontal intrabony defects in three patient by Feng et al 2010. • Autologous periodontal ligament progenitors, mixed with bone- grafting material, were implanted into deep intra bony defects of patients who were monitored over the course of 3, 6, 12, 26, 32, 42 and 72 months. • The findings of this study demonstrated that two of the three patients who had undergone surgical evaluation of tissue regeneration exhibited a reasonable regain of healthy tissue. • The third patient assessed presented with decreased tooth movement and probing depth, increased gingival recession and stable improvement of attachment gain. • This investigation concluded that the autologous periodontal ligament progenitors in cell based surgical treatment for periodontitis may be effective in regenerative dentistry.
  • 70.
    • Collectively, ithas been shown that periodontal ligament stem cells hold the potential to form bone, cementum and periodontal ligament-like structures and to enhance overall periodontal regeneration. • Thus far, periodontal ligament stem cells appear to have a greater capacity to generate dental- associated structures, in comparison with other mesenchymal stem cell-like cells, making them highly amenable for use in periodontal regeneration.
  • 71.
    STEM CELLS FROMEXFOLIATED DECIDUOS TEETH: • Stem cells from human exfoliated deciduous teeth are one of the more readily available sources of dental-derived stem cells; because the stem cells are isolated from exfoliated teeth, the need for tooth extraction is removed. • Stem cells from human exfoliated deciduous teeth were first described by Miura et al in 2003 • Stem cells from human exfoliated deciduous teeth were found to differ from dental pulp stem cells in terms of their cellular morphology, cell-cluster formation and osteoconductive capacity in vivo, and unlike dental pulp stem cells, they failed to reconstitute a dentin pulp-like complex • Importantly, the stem cells from human exfoliated deciduous teeth were found to have a high proliferative capacity, with a higher proliferation rate and increased cell-population doubling time than stem cells from other origins. • Stem cells from human exfoliated deciduous teeth are amenable to cryopreservation, meaning that these cells could be stored for long periods of time on liquid nitrogen until required by the donor, or as part of a stem cell bank.
  • 72.
    SHED IN REGENERATION: •To date there have been no publications describing the implantation of stem cells from human exfoliated deciduous teeth into periodontal defects, however, they have been used to regenerate dental pulp tissue when implanted within human tooth slices into immunodeficient mice. • Zheng et al in 2009 implanted swine deciduous stem cells into critical-sized bone defects created in the parasymphyseal region of the mandible. The results demonstrated that the implanted stem cells differentiated directly into new bone, resulting in the formation of markedly more new bone in the defect site.
  • 73.
    • Yamada etal in 2011 performed allogeneic transplantation of dog stem cells, in conjunction with PRP, into bone defects of the mandible. The implanted cells generated well- formed mature bone that was neovascularized in the defect sites .
  • 74.
    STEM CELLS FROMTHE APICAL PAPILLA • Stem cells from apical papilla are an additional mesenchymal stem cell-like population of cells isolated from the apical papilla of human immature permanent teeth. • The root apical papilla is located at the tips of growing tooth roots and is only present during root development before the tooth erupts into the oral cavity. • Stem cells from the apical papilla can be obtained from extracted wisdom teeth. • Invitro, they form odontoblast like cells and adipocytes. • Stem cells from apical papilla are a unique population of multipotent stem cells as they express high levels of two genes involved in mediating cell proliferation: survivin and telomerase (Sonoyama et al in 2006).
  • 75.
    • Consequently, stemcells from apical papilla appear to be superior in their tissue-regenerative potential than dental pulp stem cells, as stem cells from apical papilla have a higher proliferative capacity (Sonoyama 2006) .
  • 76.
    DENTAL FOLLICULAR STEMCELLS: • The dental follicle is a loose ectomesenchyme-derived connective tissue sac that surrounds the developing tooth germ prior to eruption. • The dental follicle is thought to contain progenitors for cementoblasts, periodontal ligament cells and osteoblasts. • Dental follicle stem cells can be isolated relatively simply in the clinic from the follicles of third molars which have not yet erupted. • Human dental follicle stem cells are most commonly isolated from impacted third molar extractions. • Dental follicle stem cells isolated from humans are characterized by their rapid attachment in culture and expression of the putative stem cell markers nestin and notch-1.
  • 77.
    • Guo etal found that the dental follicle stem cells implanted in the alveolar fossa contributed to the formation of root-like tissues with a pulp–dentin complex and a periodontal ligament connecting a cementum-like layer to host alveolar bone .
  • 78.
    REPROGRAMMING Due to theethical issues of embryonic stem cell and the limitations of the adult stem cells, research have been directed towards reprogramming. Four possible routesto cell reprogramming are: 1. Nuclear Transfer. 2. Induced Pluripotency. 3.Lineage Switching. 4. Direct Conversion.
  • 79.
    Nuclear transfer offersanother potential way to produce embryonic stem cells. Nucleus of an already differentiated adult cell-for example, a skin cell, is inserted into an enucleated egg. The egg containing the genetic material of the skin cell, is then stimulated to form a blastocyst from which embryonic stem cells can be derived. The stem cells that are created in this way are therefore copies or "clones" of the original adult cell because their nuclear DNA matches that of the adult cell. However, ethical considerations include egg donation, which requires informed consent, and the possible destruction of blastocysts. NUCLEAR TRANSFER
  • 80.
    INDUCIBLE PLURIPOTENT STEMCELLS: • Induced pluripotent stem cells are the newest members to join the stem cell field. • They are a population of pluripotent stem cells that have been generated from somatic cells through the forced expression of key transcription factors . • Takahashi & Yamanaka in 2006 were the first to demonstrate that forced expression of four transcription factors (OCT4, SOX2, C-MYC and KLF4) had the capacity to transform adult-somatic cells back to pluripotent cells, which resembled embryonic stem cells in a murine model.
  • 81.
    Advantages of InducedPluripotent Stem cells: • Ability to differentiate into many cell types. • Vastly renewable. • Easily accessible and no ethical issues regarding procurement from embryo. • Individual-specific i.e. personalized or non-immunogenic. Obstacles in therapeutic application of iPSCs in humans (i) Use of harmful oncogenes as part of the reprogramming factors . (ii) Use of viral vectors for gene delivery that carry the risk of insertional mutagenesis. (iii) Low efficiency and slow kinetics of reprogramming. (iv) Lack of robust and reliable differentiation protocols for human iPS cells.
  • 82.
    • The firsthuman-induced pluripotent stem cells were generated in 2007 by 2 groups using different sets of transcription factors . - Takahashi group used (OCT4, SOX2, C-MYC and KLF4) as transcription factors on Adult human fibroblasts to generate induced pluripotent stem cells. - Thomson James group used different transcription factors like NANONG , LIN 28, OCT-4 and SOX 2 on somatic cells for generation of iPSC.
  • 83.
    Induction of pluripotentstem cells from mouse embryonic and adult fibroblast cultures by defined factors. Takahashi and Yamanaka. Cell. 126, 663-676, 2006. Dr. Kazutoshi Takahashi, PhD
  • 84.
    Reprogramming Factors –Magic Four • Transcription factors are proteins that bind to DNA and regulate gene expression • Oct3/4 and Sox2: transcription factors that function in maintaining pluripotency in both early embryos and ES cells. • c-Myc and Klf4: transcription factors that modify chromatin structure so that Oct3/4 and Sox2 can bind to their target.
  • 85.
    Similarities between Embryonicstem cells and Induced Pluoripotent stem cells: • Induced pluripotent stem cells have close similarity to embryonic stem cells in terms of their surface antigen expression, cell morphology, gene expression, proliferation and telomerase activity. • Additionally, like embryonic stem cells, induced pluripotent stem cells are capable of differentiating into the three germ layers in vitro and in teratomas.
  • 86.
    Dental-derived induced pluripotentstem cells • Induced pluripotent stem cells have also been generated from tissues of dental origin. • They have been induced successfully from: - Stem cells from human exfoliated deciduous teeth, from apical papilla , dental pulp (Yan X et al 2010). - Gingival fibroblasts and periodontal ligament fibroblasts (Wada N et al 2011).
  • 87.
    Use of inducedpluripotent stem cells in periodontal regeneration • To date only one group has published the use of induced pluripotent stem cells in the context of periodontal regeneration (Duan et al 2011 ) • Duan and co workers have implanted induced pluripotent stem cells into a mouse periodontal fenestration defect model with the aid of a silk fibrin scaffold in combination with enamel matrix derivative gel . They found that iPSC’s in combination with emdogain promoted new bone, cementum and pdl formation. • In vitro studies by Duan et al in 2011 assessing the effect of Emdogain on induced pluripotent stem cells revealed that it promoted iPSC’sto differentiate into osteogenic cells while inhibiting cell maturation and mineralization
  • 88.
    Parallels between regenerationand reprogramming Natural dedifferentiation occurs during regeneration in teleost fish, amphibians C-Myc, Sox2, Klf-4 expressed during limb regeneration in newts (Maki et al, 2009) Oct4, Sox2 required for normal fin regeneration in zebrafish, but levels not as high as in pluripotent cells (Christen et al, 2010)
  • 89.
    • The thirdroute to cell reprogramming is represented by lineage switching and is possible because of the discovery of so-called ‘‘master genes’’ . For instance, the overexpression of the gene MyoD can induce a non muscle cell back to a partially undifferentiated state and then guide its maturation into a muscle cell. • The fourth route is represented by direct conversion, a nonlineage switching of a cell into a different phenotype induced by specific genes . For instance, a recent study demonstrated the ability of three b- pancreas–specific genes to convert exocrine pancreas cells into insulin-producing pancreas b-cells. The improvement of the iPS technology, of lineage switching, and of direct conversion technologies could represent the most exciting line of research for the development of effective, safe, and ethically acceptable stem cell–based therapies
  • 91.
    CONCLUSION: • It isunclear whether human stem-cell derivatives can integrate into the recipient tissue and fulfill the specific functions of lost or injured tissues. • It will be necessary to demonstrate that stem cells develop into stable cells and display the characteristics and functions of normal host cells following their transplantation. • We are still some distance from fully understanding the potentiality and behaviour of dental pulp progenitor cells, and subsequent clinical treatment modalities. • Nonetheless, the opportunities for their exploitation in dental tissue regeneration are becoming clearer and will lead to significant benefits in the management of the effects of dental disease.
  • 92.
    REFERANCES: • Stem CellTherpy: A Challenge to Periodontist. “Jayashree Mudda,Indian Journal of Dental Research , 22(1),2011. • Clinical utility of stem cells for Periodontal Regeneration. Periodontology 2000, Volume 59, 2012, 203-227. • Stem Cells and Periodontal Regeneration.Periodontology 2000,Vol 40, 2006,164-172. • Stem cells and Future Periodontal Regeneration. Periodontology 2000, Vol59,2009, 239- 251. • Future Approaches in Periodontal Regeneration: Gene Therapy, Stem Cells, and RNA Interference. DCNA 2010 JANUARY. • Biological characteristics of stem cells from foetal, cord blood and extraembryonic tissues. Journal of Royal Society Interface (2010). • Stem cell properties of human periodontal ligament cells. Journal of Periodontal Research 2006,41,303-310.
  • 93.
    Free Powerpoint TemplatesPage 93 THANK YOU

Editor's Notes

  • #54 Some cells in dental papilla remain to be undifferentiated within tooth pulp. These cells are pleuripotent stem cells that have a potential to differentiate into variety of cell types even following the completion of tooth formation.