DR.A.BEEULA
1ST MDS
DEPT.OF ORAL PATHOLOGY
CHETTINAD DENTAL COLLEGE AND RI
WHITE BLOOD
CELLS [WBC]
CONTENT:
 INTRODUCTION
 TYPES OF WBC
 NORMAL VALUES
 FORMATION OF WBC
 MORPHOLOGICAL FEATURES
 FUNCTIONS OF WBC’S
 LIFE SPAN OF WBC
 REVIEW ON PATHOLOGICAL VARIATIONS
 METABOLISM OF WBC’S
 CONCLUSION-SUMMARY
 REFERENCES
DISCOVERY OF WBC:
GABRIEL ANDRAL ,A FRENCH
PROFESSOR,AND WILLIAM
ADDISON AN ENGLISH DOCTOR
BOTH REPORTED THE 1ST
DESCRIPTION OF WBC.
WHAT IS WHITE BLOOD CELLS:
THEY APPEAR WHITE IN COLOUR
?
LEUKOCYTES:[WBC’S]
 MOBILE UNITS OF BODY’S DEFENSE SYSTEM:
 “SEEK AND DESTROY”FUNCTION:
DESTROY INVADING MICRO ORGANISM
DESTROY ABNORMAL CELLS(I.E.:CANCER)
 CLEAN UP CELLULAR DEBRIS{PHAGOCYTOSIS}
ASSIST IN INJURY REPAIR
 EACH WBC HAS A SPECIFIC FUNCTION
ETYMOLOGY:
GREEK ROOTS=
“LEUK”- ”WHITE”
“CYTE”- ”CELL”
BUFFY COAT:
TYPES OF WHITE BLOOD CELLS:
GRANULES:
 CYTOPLASM CONTAINS TWO MAIN TYPES OF GRANULES:
LESS NUMEROUS,LARGE, MOST NUMEROUS TYPE,SMALL WITH
REDDISH PURPLE PINKISH HUE[NUTRAL STAINING]
CONTAINS:MYELOPER OXIDASE/ SO,NOT EASILY SEEN
ACID HYDROLASES
AZUROPHILIC
[PRIMARY]
GRANULES
SECONDARY/SPECIFIC
GRANILES
GRANULOCYTES
 THE WHITE BLOOD CELLS WITH GRANULES IN THEIR CYTOPLASM ARE
CALLED GRANULOCYTES.
 DEPENDING UPON THE COLOUR OF GRANULES,GRANULOCYTES ARE
FURTHER DIVIDED INTO 3 TYPES.
AGRANULOCYTES:
 WHITE BLOOD CELLS WHICH DO NOT CONTAIN GRANULES IN THEIR CYTOPLASM
ARE CALLED AGRANULOCYTES.
THEY ARE FURTHER DIVIDED INTO 2:
NORMAL WBC COUNT:
TOTAL LEUCOCYTE COUNT[TLC]
 ADULTS: 4000-11,000/MM3 OF BLOOD
 AT BIRTH: 10,000-25,000/MM3 OF BLOOD
 INFANTS UPTO 1 YR OF AGE: 6,000-16,000/MM3
OF BLOOD
 CHILDRENS: 4-7 YRS OF AGE: 5,000-
15,000/MM3 OF BLOOD
 CHILDREN:8-12 YRS: 4,500-13,500/MM3 OF
BLOOD
NORMAL PERCENTAGE
Type of WBC
Normal percentage of overall WBC
count
neutrophil 45 to 75 percent
lymphocyte 20 to 40 percent
eosinophil less than 7 percent
monocyte 1 to 10 percent
basophil less than 3 percent
FORMATION OF WBC:
 THE PROCESS OF DEVELOPMENT AND MATURATION OF
WHITE BLOOD CELLS(LEUCOCYTES) CALLED
LEUCOPOIESIS.,IS A PART OF HAEMOPOIESIS(FORMATION OF
BLOOD CELLS)
 ALL BLOOD CELLS-DEVELOP FROM PLURIPOTENT
HAEMOPOITIC STEM CELLS[PHSC’S]
 LEUCOPOIESIS:
* FORMATION OF
GRANULOCYTES[GRANULOPOIESIS]AND MONOCYTES
* FORMATION OF LYMPHOCYTES[LYMPHOPOIESIS]
FORMATION OF GRANULOCYTES AND
MONOCYTES:
 GRANULOCYTES AND MONOCYTES ARE FORMED
FROM BONE MARROW,WHICH IS DERIVED FROM
CFU-GM(COLONY FORMING UNITS OF
GRANULOCTYES AND MONOCYTES)
 THE PROGENITOR CELLS[CFU-GM] FORMING
DIFFERENT CELLS ARE FURTHER NAMED AS;
CFU-G=NEUTROPHIL FORMING UNITS
CFU-E=EOSINOPHIL FORMING UNITS
CFU-B-BASOPHIL FORMING UNITS
CFU-M=MONOCYTE FORMING UNITS
 DEVELOPMENT OF GRANULOCYTES-INCLUDES
VARIOUS STAGES CALLED
MYELOID SERIES
 DEVELOPMENT OF MONOCYTES –INCLUDES VARIOUS
STAGES CALLED
MONOCYTES-MACROPHAGES SERIES
MYELOID SERIES:
 FACTS ABOUT GRANULOPOIESIS:
STAGES:
 PROCESS OF GRANULOPOIESIS-12 DAYS
 GRANULOCYTES ARE FORMED AND STORED IN THE BONE
MARROW –WHWN NEEDED IT IS RELEASED IN THE
CIRCULATION
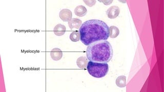
MYELOBLAST:
 IT IS THE EARLIEST RECOGNIZABLE CELL OF THE
GRANULOCYTE SERIES:
SIZE:16-20uM
CYTOPLASM: BASOPHILIC
PRESENT AS THIN RIM AROUND THE
NUCLEAUS
DEVOID OF GRANULES
NUCLEUS: LARGE NEARLY FILLING THE CELLS
ROUND TO OVAL
FINE CHROMATIN
2-5 WELL DEFINED PALE NUCLEOLI
MITOSIS: MARKED [+++]
PROMYELOCYTES:
SIZE: 14-18uM
CYTOPLASM : INCREASED IN AMOUNT
PRESENCE OF AZUROPHIL GRANULES[PRIMARY
NON SPECIFIC GRANULES]
GIVES +VE REACTION WITH THE PEROXIDASE
STAINING
NUCLEUS: ROUND OR OVAL
SLIGHTLY SMALLER THAN MYELOBLAST NUCLEAUS
CONDENSED FINE CHROMATIN
NUCLEOLI PRESENT-LESS PROMINENT
MITOSIS: CHARACTERISTIC FEATURE{+++}
MYELOCYTE:
 IT IS CALLED MYLOCYTE PROPER ,NEXT CELL IN THE MYLOID SERIES
SIZE: 12-16uM
CYTOPLASM : SPECIFIC SECONDARY GRANULES PRESENT
IDENTIFIED AT THIS STAGE AS;
NEUTROPHIL MYELOCYTE
EOSINOPHIL MYELOCYTE
BASOPHIL MYELOCYTE
-PRIMARY GRANULES ARE ASO PRESENT AT THIS STAGE BUT THEIR
FORMATION IS STOPPED
NUCLEUS: ECCENTRIC,ROUND-OVAL
COARSE NUCLEAR CHROMATIN
NO,NUCLEOLI PRESENT
MITOSIS: CONTINUES UPTO THIS STAGE
MULTIPLICATION OF THESE CELLS ARE MAXIMUM
METAMYELOCYTE:
SIZE: 10-14uM
CYTOPLASM: INCREASED IN AMOUNT
MORE LIQUID
PRIMARY AND SECONDARY GRANULES ARE PRESENT
ACCORDING TO SECONDARY GRANULES IT IS DISTINGUISHED AS;
NEUTROPHIL METAMYELOCYTE
EOSINOPHIL METAMYELOCYTE
BASOPHIL METAMYELOCYTE
NUCLEUS: DECREASE IN SIZE
LOBED (HORSE SHOE SHAPED)
NUCLEAR CROMATIN IS DENSE AND CLUMPED
NUCLEOLI ARE ABSENT
MITOSIS: STOPED AT THIS STAGE.
BAND OR STAB FORM:
 ALSO CALLED JUVENILE GRANULOCYTES
SIZE: SMALLER THAN METMYELOCYTES
CYTOPLASM: PINK AND FINE EVENLY DISTRIBUTED
GRANULES
NUCLEUS: FURTHER CONDENSATION OF CHROMATIN
SHAPE:BAND CONFIGURATION [V SHAPED] OF
UNIFORM THICKNESS WHICH MAY BE TWISTED.
MATURE GRANULOCYTES:
 WILL FORM NEUTROPHILS
BASOPHILS
EOSINOPHILS
MONOCYTE-MACROPHAGES SERIES:
MONOBLAST
PROMONOCYTES
MONOCYTES
MONOBLAST:
 IT IS THE LARGER CELL ,SIMILAR TO MYELOBLAST
PROMONOCYTES:
 IT IS AN YOUNG MONOCYTE
SIZE: 20uM
NUCLEUS: LARGER
KIDNEY SHAPED
ONE NUCLEOLI
NUCLEAR CHROMATIN: ARRANGED IN A LOOSE
NETWORK
CYTOPLASM: BASOPHILIC
NO AZUROPHILIC GRANULES
-THEY HAVE FINE GRANULES WHICH IS LARGER
THAN MATURE MONOCYTES
MONOCYTES:
 RESEMBLES-METAMYELOCYTES
 NUCLEUS:FINE CHROMATIN
FROM BONE MARROW –MONOCYTES---- MIGRATES ----
-SPLEEN
LYMPHOID TISSUES
 TRANSFORMED CELLS IN VARIOUS TISSUES ARE
CALLED TISSUE-MACROPHAGES SYSTEM
PREVIOUSLY KNOWN AS;RETICULO-
ENDOTHELIAL SYSTEM
FORMATION OF LYMPHOCYTES:
 IN HUMANS,BONE MARROW AND THYMUS=FORMS
PRIMARY LYMPHOPOIETIC
-ORGANS
WERE,LYMPHOID STEM CELLS UNDERGO SPONTANEOUS
DIVISION INDEPENDENT OF ANTIGEN STIMULATION.
THE TISSUE WHICH ACTIVELY PRODUCE LYMPHOCYTES
FROM THE GEMINAL CENTERS OF LYMPHOID FOLLICLES AS
A RESPONSE TO ANTIGENIC STIMULATION CONSTITUTE
THE,SO CALLED-SECONDARY OR REACTIVE LYMPHOID
TISSUE.
IT IS COMPRISED BY-LYMPH NODE
SPLEEN
GALT
LYMPHOID SERIES:-
LYMPHOBLAST:
 IT IS THE EARLIEST RECOGNIZABLE CELL OF
LYMPHOID SERIES
 IT IS ACTIVELY DIVIDING CELL
NUCLEAR CHROMATIN: SLIGHTLY CLUMPED
AND STIPPLED
NUCLEAR MEMBRANE: DENSE
PRO-LYMPHOCYTE:
IT IS THE INTERMEDIATE STAGE BETWEEN
THE LYMPHOBLAST AND MATURE
LYMPHOCYTES
SIZE: 9-18uM
NUCLEUS: ROUND WITH SLIGHTLY STIPPLED
CHROMATIN: COARSE AND HAS 0-1 NUCLEOLI
CYTOPLASM: SCANTY AND NON-GRANULAR
LYMPHOCYTES:
 MATURES INTO;
SMALL
LYMPHOCYTES
LARGE
LYMPHOCYTES
LYMPHOCYTES--
------THYMOSIN-----T-LYMPHOCYTES
LYMPHOCYTES
-------------------B-LYMPHOCYTES
LYMPHOCYTES
--------------------B-LYMPHOCYTES
THYMUS
LIVER
BONE
MARROW
REGULATION OF LEUCOPOIESIS:
 IT IS THE MECHANISM TO CONTROL THE PRODUCTION
AND RELEASE OF LEUCOCYTES
 DURING TISSUE INJURY AND INFLAMMATION,BACTERIAL
TOXINS ETC…CAUSE A GREAT INCREASE IN THE RATE OF
PRODUCTION AND RELEASE OF LEUCOCYTES.
 THE SUBSTANCE THAT STIMULATE AND INHIBIT THE
PROCESS ARE COMPLEX
REGULATION OF LEUCOPOIESIS:
ROLE OF CYTOKINES:
 THE CYTOKINES WHICH CONTROL THE FORMATION OF DIFFERENT TYPES OF
GRANULOCYTES ARE CALLED COLONY STIMULATING FACTOR[CSF]
 CSF IS A GLYCOPROTEINS FORMED BY T AND B LYMPHOCYTES
 ALSO FORMS:
G-CSF: STIMULATE GRANULOCYTE PRECUSSORS
M-CSF: STIMULATE MONOCYTIC PRECUSSORS
GM-CSF: BOTH GRANULOCYTES AND MONOCYTIC PRECUSSORS
-THE CYTOKINES THAT CONTROL LYMPHOCYTE FORMATION ARE CALLED
INTERLEUKINS.
EG;IL-1,IL-3 ETC….
THE INTERLEUKINS ARE FORMED BY:
MONOCYTES MACROPHAGES
ENDOTHELIAL
CELLS
ROLE OF PROSTAGLANDINS:
 FORMED BY:
AND ALSO OTHER AGENTS PLAYS AN ROLE IN
REGULATION.
MONOCYTES LACTOFERRIN
METABOLISM OF LEUKOCYTES:
 THEY HAVE AEROBIC GLYCOLYSIS AND ACTIVE
PENTOSE PHOSPHATE PATHWAY[NADPH]
 DURING PHAGOCYTOSIS OF BACTERIA,THERE IS AN
INCREASE OF O2 CONSUMPTION[RESPIRATORY
BURST] AND SUPEROXIDE RADICLE O2-[INVOLVED
IN KILLING THE BACTERIA]IS FORMED
METABOLISM OF LEUCOCYTES
 PHAGOCYTIC LEUKOCYTES USE NADPH AS A SUBSTRATE FOR THE NADPH-
OXIDASE ENZYME,WHICH CONTRIBUTES TO THE KILLING OF INGESTED
MICROORGANISMS.
NADPH + A + O2 …NADPH -OXIDASE……….. NADP + AH +O2-
2H+ + 2O2-……ACIDIC PH/SOD……… 2H2O2 + AH + O2
HELP TO KILL MICRO ORGANISMS
METABOLISM OF LEUKOCYTES:
 ACTIVE LEUKOCYTES RELEASE O2- ION AND
H2O2 TO SURROUNDING TISSUES IN AREAS
OF INFLAMMATION.
 SUPEROXIDE DISMUTASE,CATALASE AND
GLUTATHIONE PEROXIDASE ARE NORMAL
ANTIOXIDANT ENZYMES THAT HELP TO
PROTECT THE BODY AGAINST THE TOXIC
EFFECT OF O2 IONS AND H2O2.
MORPHOLOGY:
 MORPHOLOGICAL FEATURES OF VARIOUS TYPES OF WBC’S ARE STUDIED
UNDER MICROSCOPE WITH LEISHMAN’S STAINING AND H&E STAINING
 NEUTROPHILS
 EOSINOPHILS
 BASOPHILS
 SMALL LYMPHOCYTES
 LARGE LYMPHOCYTES
 MONOCYTES
NEUTROPHILS;
 MORPHOLOGY:
SIZE: 10-14uM
NUCLEUS: IN YOUNG –HORSE SHOE SHAPED NUCLEUS
AS CELL GROWS:LOBED
MATURE NEUTROPHIL: PURPLE IN COLOUR
MULTI-LOBED[2-6]
THE LOBES ARE
CONNECTED BY THE CHROMATIN FILAMENTS SEEN
CLEARLY THROUGH CYTOPLASM.
NEUTROPHILS;
 CYTOPLASM:
PALE BLUISH IN COLOUR
FINE PIN POINT GRANULES
TAKES BOTH ACIDIC AND BASIC STAIN
AND LOOKS VIOLET PINK IN COLOUR.
KINETICS,LIFE SPAN AND FATE OF
NEUTROPHILS:
 NEUTROPHILS RELEASED FROM THE BONE MARROW
ENTERS INTO THE CIRCULATION:
CIRCULATING POOL
MARGI
-NAL
POOL
CIRCULATING POOL:
 50 % CELLS WHICH ARE CIRCULATING IN THE BLOOD AT ANY
INSTANT
MARGINAL POOL;
 REST OF 50 % OF CELLS,WHICH REMAINS MARGINATED OR SIDELINED
i.e) STICKING TO THE ENDOTHELIAL CELLS,OF CLOSE
CAPILLARIES,VENULES,SMALL VEINS AND SINUSOIDS
-THERE IS THE RAPID EXCHANGE BETWEEN THE TWO POOLS
FATE OF NEUTROPHILS:
 GRANULOCYTES REMAINS IN THE CIRCULATION FOR 8-10 HRS
THEN THEY ENTER THE TISSUES
-AFTER MIGRATION INTO THE TISSUES,THEY NEVER RETURN TO THE
BLOOD STREAM.
 IN THE TISSUE THEY ARE EITHER DESTROYED DURING
PHAGOCYTOSIS OR DUE TO SENESCENCE AFTER 4-5 DAYS
 THE DEAD NEUTROPHILS ARE TAKEN UP BY THE MACROPHAGES
 NUTROPHILS ARE ELIMINATED DAILY BY;
INTESTINE---------FACES & RESPIRATORY SECREATIONS
OLD SENILE NEUTROPHILS ARE
CHARACTERIZED BY:
LOSS OF MOTILITY
POORLY STAINED GRANULES
INCREASED NUCLEAR LOBULATION
EASY BREAKABILITY WHILE MAKING
BLOOD SMEAR
FUNCTIONS:
PHAGOCYTOSIS
REACTION OF
INFLAMMATION
FEBRILE RESPONSE
PHAGOCYTOSIS:
 PHAGOCYTOSIS [CELL EATING] REFERS TO THE PROCESS OF ENGULFMENT AND
DESTRUCTION OF SOLID PARTICULATE MATERIALS BY THE CELLS.
 STEPS:
1.MARGINATION
2.EMIGRATION AND DIAPEDESIS
3.CHEMOTAXIS
4.OPSONIZATION[ATTACHMENT STAGE]
5.ENGULFMENT STAGE
6.SECREATING STAGE[DEGRANULATION]
7.KILLING OR DEGRADATION STAGE
VARIATIONS IN COUNTS:
 PHYSIOLOGICAL:
-NEWBORN BABIES
-AFTER EXCERSISE
-AFTER MEALS
-PREGNANCY,MENSURATION,LACTATION
-MENTAL AND EMOTIONAL STRESS
-AFTER INJECTION OF EPINEPHERINE
COOK’S ARNETH COUNT
 COUNTING THE NUMBER OF NUCLEUS WITH DIFFERENT NUCLEUS LOBES
AND EXPRESSING THE COUNT AS PERCENTAGE OF CELLS WITH
DIFFERENT NUMBERS OF NUCLEUS IS CALLED COOK’S ARNETH COUNT
 USED IN JUDGING THE RATE OF FORMATION OF NEUTROPHILS
[3 LOBED CELLS ARE FULLY MATURED AND FUNCTIONALLY MOST EFFICIENT]
RIGHT SHIFT =N1+N2+N2-80% LEFT SHIFT=N4+N5-20%
INDICATES:
HIGH RATE OF FORMATION SLOW RATE OF FORMATION
MATURE
CELL
YOUNGER
CELL
COOK’S ARNETH COUNT:
STAGE NUCLEAR LOBES NORMAL COUNT(%)
STAGE I(N1) ONE[NUCLEUS IS C-
SHAPED]
5-10
STAGE II(N2) 2 LOBES ARE CONNECTED
BY A FILAMENT
20-30
SATGE III(N3) 3 LOBES CONNECTED BY A
CHROMATIN FILAMENT
40-50
STAGE IV(N4) 4 LOBES CONNECTED BY A
CHROMATIN FILAMENT
10-15
STAGE V(N5) 5 LOBES ARE MORE 3-5
EOSINOPHILS;
 MORPHOLOGY:
SIZE: 10-14uM
NUCLEUS: PURPLE IN COLOUR
BILOBED 85 %
TRI-LOBED 15% [LOOKS SPECTACLE SHAPE]
CYTOPLASM:
ACIDOPHILIC AND APPEARS BRIGHT PINK IN COLOUR
COARSE DEEP RED STAINING GRANULES WHICH DO
NOT COVER THE NUCLEUS
STAINS +VE FOR PEROXIDASE
GRANULES: HISTAMINE,LYSOSOMAL ENZYME,ECF-A
FUNCTIONS:
 PHAGOCYTOSIS
 ROLE IN PARASITIC INFECTION
LARVICIDAL POLYPEPTIDES
EOSINOPHILIC CATIONIC
PROTEIN
EOSINOPHILIC PEROXIDASE
 ROLE IN ALLERGIC REACTION
 ROLE IN IMMUNITY
BASOPHILS;
 MORPHOLOGY:
SIZE:10-14uM
NUCLEUS:IRREGULAR,
BILOBED OR TRI-LOBED
BOUNDARY IS NOT CLEARLY DEFINED
BECAUSE OVERCROWDING WITH COARSE GRANULES
CYTOPLASM:
BASOPHILIC AND APPEARS BLUE
FULL OF GRANULES
CONTAINS-HEPARIN,HISTAMINE AND 5-HT
FUNCTIONS:
 PAGHOCYTOSIS
 ROLE IN ALLERGIC RACTION
 ROLE IN PREVENTING
SPREAD OF ALLERGIC
INFLAMMATORY PROCESS
 RELEASE OF HEPARIN
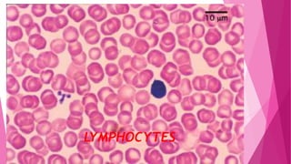
LYMPHOCYTES;
 MORPHOLOGY:
SIZE: 12-16uM ……..LARGE
7-10uM……….SMALL
NUCLEUS:
LARGE ROUND
SINGLE NUCLEUS WHICH ALMOST COMPLETELY FILL THE
CELL
STAINS:BLUE VERY DEEPLY
[INK-SPOT APPEARANCE]
NUCLEAR CHROMATIN:
CLUMPED AND SHAPELESS
CYTOPLASM;
SCANTY
CRESENT LIGHT BLUE COLOUR AROUND THE NUCLEUS
DOES NOT CONTAINS VISIBLE GRANULES
FUNCTIONAL SUB TYPES:
SMALL LYMPHOCYTES------------
PROCESSED IN BONE PROCESED IN THYMUS ADCC
MARROW
HUMORAL IMMUNITY CELLULAR IMMUNITY INNATE IMMUNITY
B-
LYMPHOCYTES
T-
LYMPHOCYTES
NK CELLS
KINETICS,LIFE SPAN AND FATE OF
LYMPHOCYTES:
B AND T CELLS ENTERS INTO THE CIRCULATION
REMAINS IN CIRCULATION FOR A FEW HOURS
LEAK OUT THROUGH THE VENULES
SETTLE IN THE PERIPHERAL LYMPHOID TISSUES
1.LYMPH NODE
2.SPLEEN
3.GALT
AT ANY GIVEN TIME,ONLY 2% OF THE BODY LYMPHOCYTES ARE IN THE
PER.LYMPHOID TISSUE
SOME LYMPHOCYTES RE-ENTER THE CIRCULATION THROUGH THE LYMPHATIC
DRAINING THE PER.LYMPHOID TISSUES
RE-CIRCULATES FOR MONTHS TO YEARS
FUNCTIONS:
B-LYMPHOCYTES
 THE PLASMA CELLS
ARE RESPONSIBLE FOR
THE DEVELOPMENT OF
HUMORAL IMMUNITY
ALSO CALLED
 ANTIBODIES MEDIATED
IMMUNITY[AMI]
T-LYMPHOCYTES
 RESPONSIBLE FOR
THE DEVELOPMENT
OF CELLULAR
IMMUNITY,ALSO
CALLED AS,
 CELL-MEDIATED
IMMUNITY[CMI] OR
T-CELL IMMUNITY
MONOCYTES;
 MORPHOLOGY:
SIZE: LARGEST AMOUNG ALL 12-20uM
NUCLEUS: LARGE,SINGLE,ECCENTRIC
PRESENT ON ONE SIDE OF THE CELL
HORSE SHOE OR KIDNEY SHAPED
CYTOPLASM:
ABUNDENT
PALE-BLUE AND USUALLY CLEAR
NO GRANULES
DUST LIKE GRANULES CALLED-AZURE
GRANULES ARE PRESENT
KINETICS,LIFE SPAN AND FATE OF
MONOCYTES:
AFTER RELEASED FROM THE BONE MARROW
REMAINS IN CIRCULATION FOR 10-20 TO OVER 40 HRS
LEAVE THE BLOOD-ENTER INTO EXTRAVASCULAR TISSUES
TISSUES……….MONOCYTES……….CONVERT…..MACROPHAGES
IN TISSUES THEY CAN LIVE FOR MONTHS TO YEARS
FUNCTIONS:
 ROLE IN DEFENCE MECHANISM:
MONOCYTES+NEUTROPHILS=PHAGOCYTOSIS
 ROLE IN TUMOUR IMMUNITY:
MONOCYTES+LYMPHOCYTES=KILL TUMOUR
CELLS
 SYNTHESIS OF BIOLOGICAL SUBSTANCES
SUMMARY:
CELLS COMPONENTS FUNCTIONS
NUTROPHILS SPECIFIC GRANULES
MODIFIED LYSOSOMES
PHAGOCYTOSIS OF
BACTERIA
EOSINOPHILS SPECIFIC GRANULES
PHARMACOLOGICALLY
ACTIVE SUBSTANCE
DEFENCE AGAINST
PARADITES,HELMINTHS
MODULATION OF
INFLAMATORY PROCESS
BASOPHILS SPECIFIC GRANULES
CONTAINS HISTAMINS AND
HEPARIN
RELASE OF
HISTAMINS[INFLAMMATION
MEDIATORS]
SUMMARY:
MONOCYTES GRANULES WITH
LYSOSOMES
PHAGOCYTOSIS,AND
DIGESTION OF PROTOZOA
VIRUS ETC..
B LYMPHOCYTES IMMUNOGLOBULINS PLASMA CELL PRODUCTION
T LYMPHOCYTES CONTROL THE ACTIVITY OF
OTHER LEUKOCYTES[IL]
KILLING OF VIRUS INFECTED
CELLS
NK CELLS ATTACK VIRUS INFECTED
CELLS AND CANCER CELLS
WITHOUT PREVIOUS
STIMULATION
KILLING SOME TUMOUR AND
VIRUS INFECTED CELLS
HISTOLOGICAL REVIEWS:
NEUTROPHIL
BASOPHIL
EOSINOPHIL
LYMPHOCYTES
LARGE LYMPHOCYTES
Identify the cells
ANSWER:
•1 is a lymphocyte - intensely staining
nucleus with a thin rim of cytoplasm
•2,5,6 are monocytes - note the variety in
the nucleus' shape
•3,4 are neutrophils - note the
multilobulated nucleus, lavender
cytoplasm
WAYS TO MAINTAIN YOUR WBC’S:
Avoid sugar and keep sweet stuff to a minimum. Sugar prevents white blood cells from
being their strongest
- Eliminate unhealthy fats. Polyunsaturated fats in vegetable oils such as corn,
safflower, and sunflower oil are deterrents to a healthy immune system
.
- If you are overweight, lose a few pounds. Being overweight is very detrimental to
your immune system and studies have shown that overweight people are less able to
fight off infection.
- Drink plenty of water to boost the immune system as well as flush out toxins
- Exercise is a proven immune system booster. Exercise is best in moderation, however,
since too much exercise may wear the body down and create immune system
problems.
- Avoid stress and try to relax. Stress is rightly called the silent killer and too much
stress invariably leads to a lowered immune system
FOOD THAT INCREASES YOUR WBC’S:
CITRUS FRUIT YOGURT
GARLIC GINGER
GREEN TEA POULTRY
REFERENCE:
 DE GRUCHY’S CLINICAL HEMATOLOGY
 INDHU KURANA TEXT BOOK OF PHYSIOLOGY
 WEBSITE-GOOGLE
THANK YOU
HAVE A NICE DAY

White blood cells [wbc]

  • 1.
    DR.A.BEEULA 1ST MDS DEPT.OF ORALPATHOLOGY CHETTINAD DENTAL COLLEGE AND RI WHITE BLOOD CELLS [WBC]
  • 2.
    CONTENT:  INTRODUCTION  TYPESOF WBC  NORMAL VALUES  FORMATION OF WBC  MORPHOLOGICAL FEATURES  FUNCTIONS OF WBC’S  LIFE SPAN OF WBC  REVIEW ON PATHOLOGICAL VARIATIONS  METABOLISM OF WBC’S  CONCLUSION-SUMMARY  REFERENCES
  • 3.
    DISCOVERY OF WBC: GABRIELANDRAL ,A FRENCH PROFESSOR,AND WILLIAM ADDISON AN ENGLISH DOCTOR BOTH REPORTED THE 1ST DESCRIPTION OF WBC.
  • 4.
    WHAT IS WHITEBLOOD CELLS: THEY APPEAR WHITE IN COLOUR ?
  • 5.
    LEUKOCYTES:[WBC’S]  MOBILE UNITSOF BODY’S DEFENSE SYSTEM:  “SEEK AND DESTROY”FUNCTION: DESTROY INVADING MICRO ORGANISM DESTROY ABNORMAL CELLS(I.E.:CANCER)  CLEAN UP CELLULAR DEBRIS{PHAGOCYTOSIS} ASSIST IN INJURY REPAIR  EACH WBC HAS A SPECIFIC FUNCTION
  • 6.
  • 7.
  • 8.
    TYPES OF WHITEBLOOD CELLS:
  • 9.
    GRANULES:  CYTOPLASM CONTAINSTWO MAIN TYPES OF GRANULES: LESS NUMEROUS,LARGE, MOST NUMEROUS TYPE,SMALL WITH REDDISH PURPLE PINKISH HUE[NUTRAL STAINING] CONTAINS:MYELOPER OXIDASE/ SO,NOT EASILY SEEN ACID HYDROLASES AZUROPHILIC [PRIMARY] GRANULES SECONDARY/SPECIFIC GRANILES
  • 10.
    GRANULOCYTES  THE WHITEBLOOD CELLS WITH GRANULES IN THEIR CYTOPLASM ARE CALLED GRANULOCYTES.  DEPENDING UPON THE COLOUR OF GRANULES,GRANULOCYTES ARE FURTHER DIVIDED INTO 3 TYPES.
  • 11.
    AGRANULOCYTES:  WHITE BLOODCELLS WHICH DO NOT CONTAIN GRANULES IN THEIR CYTOPLASM ARE CALLED AGRANULOCYTES. THEY ARE FURTHER DIVIDED INTO 2:
  • 12.
    NORMAL WBC COUNT: TOTALLEUCOCYTE COUNT[TLC]  ADULTS: 4000-11,000/MM3 OF BLOOD  AT BIRTH: 10,000-25,000/MM3 OF BLOOD  INFANTS UPTO 1 YR OF AGE: 6,000-16,000/MM3 OF BLOOD  CHILDRENS: 4-7 YRS OF AGE: 5,000- 15,000/MM3 OF BLOOD  CHILDREN:8-12 YRS: 4,500-13,500/MM3 OF BLOOD
  • 13.
    NORMAL PERCENTAGE Type ofWBC Normal percentage of overall WBC count neutrophil 45 to 75 percent lymphocyte 20 to 40 percent eosinophil less than 7 percent monocyte 1 to 10 percent basophil less than 3 percent
  • 15.
    FORMATION OF WBC: THE PROCESS OF DEVELOPMENT AND MATURATION OF WHITE BLOOD CELLS(LEUCOCYTES) CALLED LEUCOPOIESIS.,IS A PART OF HAEMOPOIESIS(FORMATION OF BLOOD CELLS)  ALL BLOOD CELLS-DEVELOP FROM PLURIPOTENT HAEMOPOITIC STEM CELLS[PHSC’S]  LEUCOPOIESIS: * FORMATION OF GRANULOCYTES[GRANULOPOIESIS]AND MONOCYTES * FORMATION OF LYMPHOCYTES[LYMPHOPOIESIS]
  • 16.
    FORMATION OF GRANULOCYTESAND MONOCYTES:  GRANULOCYTES AND MONOCYTES ARE FORMED FROM BONE MARROW,WHICH IS DERIVED FROM CFU-GM(COLONY FORMING UNITS OF GRANULOCTYES AND MONOCYTES)  THE PROGENITOR CELLS[CFU-GM] FORMING DIFFERENT CELLS ARE FURTHER NAMED AS; CFU-G=NEUTROPHIL FORMING UNITS CFU-E=EOSINOPHIL FORMING UNITS CFU-B-BASOPHIL FORMING UNITS CFU-M=MONOCYTE FORMING UNITS
  • 17.
     DEVELOPMENT OFGRANULOCYTES-INCLUDES VARIOUS STAGES CALLED MYELOID SERIES  DEVELOPMENT OF MONOCYTES –INCLUDES VARIOUS STAGES CALLED MONOCYTES-MACROPHAGES SERIES
  • 18.
    MYELOID SERIES:  FACTSABOUT GRANULOPOIESIS: STAGES:  PROCESS OF GRANULOPOIESIS-12 DAYS  GRANULOCYTES ARE FORMED AND STORED IN THE BONE MARROW –WHWN NEEDED IT IS RELEASED IN THE CIRCULATION
  • 19.
    MYELOBLAST:  IT ISTHE EARLIEST RECOGNIZABLE CELL OF THE GRANULOCYTE SERIES: SIZE:16-20uM CYTOPLASM: BASOPHILIC PRESENT AS THIN RIM AROUND THE NUCLEAUS DEVOID OF GRANULES NUCLEUS: LARGE NEARLY FILLING THE CELLS ROUND TO OVAL FINE CHROMATIN 2-5 WELL DEFINED PALE NUCLEOLI MITOSIS: MARKED [+++]
  • 20.
    PROMYELOCYTES: SIZE: 14-18uM CYTOPLASM :INCREASED IN AMOUNT PRESENCE OF AZUROPHIL GRANULES[PRIMARY NON SPECIFIC GRANULES] GIVES +VE REACTION WITH THE PEROXIDASE STAINING NUCLEUS: ROUND OR OVAL SLIGHTLY SMALLER THAN MYELOBLAST NUCLEAUS CONDENSED FINE CHROMATIN NUCLEOLI PRESENT-LESS PROMINENT MITOSIS: CHARACTERISTIC FEATURE{+++}
  • 22.
    MYELOCYTE:  IT ISCALLED MYLOCYTE PROPER ,NEXT CELL IN THE MYLOID SERIES SIZE: 12-16uM CYTOPLASM : SPECIFIC SECONDARY GRANULES PRESENT IDENTIFIED AT THIS STAGE AS; NEUTROPHIL MYELOCYTE EOSINOPHIL MYELOCYTE BASOPHIL MYELOCYTE -PRIMARY GRANULES ARE ASO PRESENT AT THIS STAGE BUT THEIR FORMATION IS STOPPED NUCLEUS: ECCENTRIC,ROUND-OVAL COARSE NUCLEAR CHROMATIN NO,NUCLEOLI PRESENT MITOSIS: CONTINUES UPTO THIS STAGE MULTIPLICATION OF THESE CELLS ARE MAXIMUM
  • 23.
    METAMYELOCYTE: SIZE: 10-14uM CYTOPLASM: INCREASEDIN AMOUNT MORE LIQUID PRIMARY AND SECONDARY GRANULES ARE PRESENT ACCORDING TO SECONDARY GRANULES IT IS DISTINGUISHED AS; NEUTROPHIL METAMYELOCYTE EOSINOPHIL METAMYELOCYTE BASOPHIL METAMYELOCYTE NUCLEUS: DECREASE IN SIZE LOBED (HORSE SHOE SHAPED) NUCLEAR CROMATIN IS DENSE AND CLUMPED NUCLEOLI ARE ABSENT MITOSIS: STOPED AT THIS STAGE.
  • 25.
    BAND OR STABFORM:  ALSO CALLED JUVENILE GRANULOCYTES SIZE: SMALLER THAN METMYELOCYTES CYTOPLASM: PINK AND FINE EVENLY DISTRIBUTED GRANULES NUCLEUS: FURTHER CONDENSATION OF CHROMATIN SHAPE:BAND CONFIGURATION [V SHAPED] OF UNIFORM THICKNESS WHICH MAY BE TWISTED.
  • 26.
    MATURE GRANULOCYTES:  WILLFORM NEUTROPHILS BASOPHILS EOSINOPHILS
  • 30.
  • 31.
    MONOBLAST:  IT ISTHE LARGER CELL ,SIMILAR TO MYELOBLAST
  • 33.
    PROMONOCYTES:  IT ISAN YOUNG MONOCYTE SIZE: 20uM NUCLEUS: LARGER KIDNEY SHAPED ONE NUCLEOLI NUCLEAR CHROMATIN: ARRANGED IN A LOOSE NETWORK CYTOPLASM: BASOPHILIC NO AZUROPHILIC GRANULES -THEY HAVE FINE GRANULES WHICH IS LARGER THAN MATURE MONOCYTES
  • 35.
    MONOCYTES:  RESEMBLES-METAMYELOCYTES  NUCLEUS:FINECHROMATIN FROM BONE MARROW –MONOCYTES---- MIGRATES ---- -SPLEEN LYMPHOID TISSUES  TRANSFORMED CELLS IN VARIOUS TISSUES ARE CALLED TISSUE-MACROPHAGES SYSTEM PREVIOUSLY KNOWN AS;RETICULO- ENDOTHELIAL SYSTEM
  • 37.
  • 38.
     IN HUMANS,BONEMARROW AND THYMUS=FORMS PRIMARY LYMPHOPOIETIC -ORGANS WERE,LYMPHOID STEM CELLS UNDERGO SPONTANEOUS DIVISION INDEPENDENT OF ANTIGEN STIMULATION. THE TISSUE WHICH ACTIVELY PRODUCE LYMPHOCYTES FROM THE GEMINAL CENTERS OF LYMPHOID FOLLICLES AS A RESPONSE TO ANTIGENIC STIMULATION CONSTITUTE THE,SO CALLED-SECONDARY OR REACTIVE LYMPHOID TISSUE. IT IS COMPRISED BY-LYMPH NODE SPLEEN GALT
  • 40.
    LYMPHOID SERIES:- LYMPHOBLAST:  ITIS THE EARLIEST RECOGNIZABLE CELL OF LYMPHOID SERIES  IT IS ACTIVELY DIVIDING CELL NUCLEAR CHROMATIN: SLIGHTLY CLUMPED AND STIPPLED NUCLEAR MEMBRANE: DENSE
  • 41.
    PRO-LYMPHOCYTE: IT IS THEINTERMEDIATE STAGE BETWEEN THE LYMPHOBLAST AND MATURE LYMPHOCYTES SIZE: 9-18uM NUCLEUS: ROUND WITH SLIGHTLY STIPPLED CHROMATIN: COARSE AND HAS 0-1 NUCLEOLI CYTOPLASM: SCANTY AND NON-GRANULAR
  • 42.
  • 43.
  • 45.
    REGULATION OF LEUCOPOIESIS: IT IS THE MECHANISM TO CONTROL THE PRODUCTION AND RELEASE OF LEUCOCYTES  DURING TISSUE INJURY AND INFLAMMATION,BACTERIAL TOXINS ETC…CAUSE A GREAT INCREASE IN THE RATE OF PRODUCTION AND RELEASE OF LEUCOCYTES.  THE SUBSTANCE THAT STIMULATE AND INHIBIT THE PROCESS ARE COMPLEX
  • 46.
  • 47.
    ROLE OF CYTOKINES: THE CYTOKINES WHICH CONTROL THE FORMATION OF DIFFERENT TYPES OF GRANULOCYTES ARE CALLED COLONY STIMULATING FACTOR[CSF]  CSF IS A GLYCOPROTEINS FORMED BY T AND B LYMPHOCYTES  ALSO FORMS: G-CSF: STIMULATE GRANULOCYTE PRECUSSORS M-CSF: STIMULATE MONOCYTIC PRECUSSORS GM-CSF: BOTH GRANULOCYTES AND MONOCYTIC PRECUSSORS -THE CYTOKINES THAT CONTROL LYMPHOCYTE FORMATION ARE CALLED INTERLEUKINS. EG;IL-1,IL-3 ETC…. THE INTERLEUKINS ARE FORMED BY: MONOCYTES MACROPHAGES ENDOTHELIAL CELLS
  • 48.
    ROLE OF PROSTAGLANDINS: FORMED BY: AND ALSO OTHER AGENTS PLAYS AN ROLE IN REGULATION. MONOCYTES LACTOFERRIN
  • 49.
    METABOLISM OF LEUKOCYTES: THEY HAVE AEROBIC GLYCOLYSIS AND ACTIVE PENTOSE PHOSPHATE PATHWAY[NADPH]  DURING PHAGOCYTOSIS OF BACTERIA,THERE IS AN INCREASE OF O2 CONSUMPTION[RESPIRATORY BURST] AND SUPEROXIDE RADICLE O2-[INVOLVED IN KILLING THE BACTERIA]IS FORMED
  • 50.
    METABOLISM OF LEUCOCYTES PHAGOCYTIC LEUKOCYTES USE NADPH AS A SUBSTRATE FOR THE NADPH- OXIDASE ENZYME,WHICH CONTRIBUTES TO THE KILLING OF INGESTED MICROORGANISMS. NADPH + A + O2 …NADPH -OXIDASE……….. NADP + AH +O2- 2H+ + 2O2-……ACIDIC PH/SOD……… 2H2O2 + AH + O2 HELP TO KILL MICRO ORGANISMS
  • 51.
    METABOLISM OF LEUKOCYTES: ACTIVE LEUKOCYTES RELEASE O2- ION AND H2O2 TO SURROUNDING TISSUES IN AREAS OF INFLAMMATION.  SUPEROXIDE DISMUTASE,CATALASE AND GLUTATHIONE PEROXIDASE ARE NORMAL ANTIOXIDANT ENZYMES THAT HELP TO PROTECT THE BODY AGAINST THE TOXIC EFFECT OF O2 IONS AND H2O2.
  • 52.
    MORPHOLOGY:  MORPHOLOGICAL FEATURESOF VARIOUS TYPES OF WBC’S ARE STUDIED UNDER MICROSCOPE WITH LEISHMAN’S STAINING AND H&E STAINING  NEUTROPHILS  EOSINOPHILS  BASOPHILS  SMALL LYMPHOCYTES  LARGE LYMPHOCYTES  MONOCYTES
  • 53.
    NEUTROPHILS;  MORPHOLOGY: SIZE: 10-14uM NUCLEUS:IN YOUNG –HORSE SHOE SHAPED NUCLEUS AS CELL GROWS:LOBED MATURE NEUTROPHIL: PURPLE IN COLOUR MULTI-LOBED[2-6] THE LOBES ARE CONNECTED BY THE CHROMATIN FILAMENTS SEEN CLEARLY THROUGH CYTOPLASM.
  • 54.
    NEUTROPHILS;  CYTOPLASM: PALE BLUISHIN COLOUR FINE PIN POINT GRANULES TAKES BOTH ACIDIC AND BASIC STAIN AND LOOKS VIOLET PINK IN COLOUR.
  • 55.
    KINETICS,LIFE SPAN ANDFATE OF NEUTROPHILS:  NEUTROPHILS RELEASED FROM THE BONE MARROW ENTERS INTO THE CIRCULATION: CIRCULATING POOL MARGI -NAL POOL
  • 56.
    CIRCULATING POOL:  50% CELLS WHICH ARE CIRCULATING IN THE BLOOD AT ANY INSTANT MARGINAL POOL;  REST OF 50 % OF CELLS,WHICH REMAINS MARGINATED OR SIDELINED i.e) STICKING TO THE ENDOTHELIAL CELLS,OF CLOSE CAPILLARIES,VENULES,SMALL VEINS AND SINUSOIDS -THERE IS THE RAPID EXCHANGE BETWEEN THE TWO POOLS
  • 57.
    FATE OF NEUTROPHILS: GRANULOCYTES REMAINS IN THE CIRCULATION FOR 8-10 HRS THEN THEY ENTER THE TISSUES -AFTER MIGRATION INTO THE TISSUES,THEY NEVER RETURN TO THE BLOOD STREAM.  IN THE TISSUE THEY ARE EITHER DESTROYED DURING PHAGOCYTOSIS OR DUE TO SENESCENCE AFTER 4-5 DAYS  THE DEAD NEUTROPHILS ARE TAKEN UP BY THE MACROPHAGES  NUTROPHILS ARE ELIMINATED DAILY BY; INTESTINE---------FACES & RESPIRATORY SECREATIONS
  • 58.
    OLD SENILE NEUTROPHILSARE CHARACTERIZED BY: LOSS OF MOTILITY POORLY STAINED GRANULES INCREASED NUCLEAR LOBULATION EASY BREAKABILITY WHILE MAKING BLOOD SMEAR
  • 59.
  • 60.
    PHAGOCYTOSIS:  PHAGOCYTOSIS [CELLEATING] REFERS TO THE PROCESS OF ENGULFMENT AND DESTRUCTION OF SOLID PARTICULATE MATERIALS BY THE CELLS.  STEPS: 1.MARGINATION 2.EMIGRATION AND DIAPEDESIS 3.CHEMOTAXIS 4.OPSONIZATION[ATTACHMENT STAGE] 5.ENGULFMENT STAGE 6.SECREATING STAGE[DEGRANULATION] 7.KILLING OR DEGRADATION STAGE
  • 63.
    VARIATIONS IN COUNTS: PHYSIOLOGICAL: -NEWBORN BABIES -AFTER EXCERSISE -AFTER MEALS -PREGNANCY,MENSURATION,LACTATION -MENTAL AND EMOTIONAL STRESS -AFTER INJECTION OF EPINEPHERINE
  • 64.
    COOK’S ARNETH COUNT COUNTING THE NUMBER OF NUCLEUS WITH DIFFERENT NUCLEUS LOBES AND EXPRESSING THE COUNT AS PERCENTAGE OF CELLS WITH DIFFERENT NUMBERS OF NUCLEUS IS CALLED COOK’S ARNETH COUNT  USED IN JUDGING THE RATE OF FORMATION OF NEUTROPHILS [3 LOBED CELLS ARE FULLY MATURED AND FUNCTIONALLY MOST EFFICIENT] RIGHT SHIFT =N1+N2+N2-80% LEFT SHIFT=N4+N5-20% INDICATES: HIGH RATE OF FORMATION SLOW RATE OF FORMATION MATURE CELL YOUNGER CELL
  • 65.
    COOK’S ARNETH COUNT: STAGENUCLEAR LOBES NORMAL COUNT(%) STAGE I(N1) ONE[NUCLEUS IS C- SHAPED] 5-10 STAGE II(N2) 2 LOBES ARE CONNECTED BY A FILAMENT 20-30 SATGE III(N3) 3 LOBES CONNECTED BY A CHROMATIN FILAMENT 40-50 STAGE IV(N4) 4 LOBES CONNECTED BY A CHROMATIN FILAMENT 10-15 STAGE V(N5) 5 LOBES ARE MORE 3-5
  • 66.
    EOSINOPHILS;  MORPHOLOGY: SIZE: 10-14uM NUCLEUS:PURPLE IN COLOUR BILOBED 85 % TRI-LOBED 15% [LOOKS SPECTACLE SHAPE] CYTOPLASM: ACIDOPHILIC AND APPEARS BRIGHT PINK IN COLOUR COARSE DEEP RED STAINING GRANULES WHICH DO NOT COVER THE NUCLEUS STAINS +VE FOR PEROXIDASE GRANULES: HISTAMINE,LYSOSOMAL ENZYME,ECF-A
  • 67.
    FUNCTIONS:  PHAGOCYTOSIS  ROLEIN PARASITIC INFECTION LARVICIDAL POLYPEPTIDES EOSINOPHILIC CATIONIC PROTEIN EOSINOPHILIC PEROXIDASE  ROLE IN ALLERGIC REACTION  ROLE IN IMMUNITY
  • 68.
    BASOPHILS;  MORPHOLOGY: SIZE:10-14uM NUCLEUS:IRREGULAR, BILOBED ORTRI-LOBED BOUNDARY IS NOT CLEARLY DEFINED BECAUSE OVERCROWDING WITH COARSE GRANULES CYTOPLASM: BASOPHILIC AND APPEARS BLUE FULL OF GRANULES CONTAINS-HEPARIN,HISTAMINE AND 5-HT
  • 69.
    FUNCTIONS:  PAGHOCYTOSIS  ROLEIN ALLERGIC RACTION  ROLE IN PREVENTING SPREAD OF ALLERGIC INFLAMMATORY PROCESS  RELEASE OF HEPARIN
  • 70.
    LYMPHOCYTES;  MORPHOLOGY: SIZE: 12-16uM……..LARGE 7-10uM……….SMALL NUCLEUS: LARGE ROUND SINGLE NUCLEUS WHICH ALMOST COMPLETELY FILL THE CELL STAINS:BLUE VERY DEEPLY [INK-SPOT APPEARANCE] NUCLEAR CHROMATIN: CLUMPED AND SHAPELESS
  • 71.
    CYTOPLASM; SCANTY CRESENT LIGHT BLUECOLOUR AROUND THE NUCLEUS DOES NOT CONTAINS VISIBLE GRANULES FUNCTIONAL SUB TYPES: SMALL LYMPHOCYTES------------ PROCESSED IN BONE PROCESED IN THYMUS ADCC MARROW HUMORAL IMMUNITY CELLULAR IMMUNITY INNATE IMMUNITY B- LYMPHOCYTES T- LYMPHOCYTES NK CELLS
  • 72.
    KINETICS,LIFE SPAN ANDFATE OF LYMPHOCYTES: B AND T CELLS ENTERS INTO THE CIRCULATION REMAINS IN CIRCULATION FOR A FEW HOURS LEAK OUT THROUGH THE VENULES SETTLE IN THE PERIPHERAL LYMPHOID TISSUES 1.LYMPH NODE 2.SPLEEN 3.GALT AT ANY GIVEN TIME,ONLY 2% OF THE BODY LYMPHOCYTES ARE IN THE PER.LYMPHOID TISSUE SOME LYMPHOCYTES RE-ENTER THE CIRCULATION THROUGH THE LYMPHATIC DRAINING THE PER.LYMPHOID TISSUES RE-CIRCULATES FOR MONTHS TO YEARS
  • 73.
    FUNCTIONS: B-LYMPHOCYTES  THE PLASMACELLS ARE RESPONSIBLE FOR THE DEVELOPMENT OF HUMORAL IMMUNITY ALSO CALLED  ANTIBODIES MEDIATED IMMUNITY[AMI] T-LYMPHOCYTES  RESPONSIBLE FOR THE DEVELOPMENT OF CELLULAR IMMUNITY,ALSO CALLED AS,  CELL-MEDIATED IMMUNITY[CMI] OR T-CELL IMMUNITY
  • 74.
    MONOCYTES;  MORPHOLOGY: SIZE: LARGESTAMOUNG ALL 12-20uM NUCLEUS: LARGE,SINGLE,ECCENTRIC PRESENT ON ONE SIDE OF THE CELL HORSE SHOE OR KIDNEY SHAPED CYTOPLASM: ABUNDENT PALE-BLUE AND USUALLY CLEAR NO GRANULES DUST LIKE GRANULES CALLED-AZURE GRANULES ARE PRESENT
  • 75.
    KINETICS,LIFE SPAN ANDFATE OF MONOCYTES: AFTER RELEASED FROM THE BONE MARROW REMAINS IN CIRCULATION FOR 10-20 TO OVER 40 HRS LEAVE THE BLOOD-ENTER INTO EXTRAVASCULAR TISSUES TISSUES……….MONOCYTES……….CONVERT…..MACROPHAGES IN TISSUES THEY CAN LIVE FOR MONTHS TO YEARS
  • 76.
    FUNCTIONS:  ROLE INDEFENCE MECHANISM: MONOCYTES+NEUTROPHILS=PHAGOCYTOSIS  ROLE IN TUMOUR IMMUNITY: MONOCYTES+LYMPHOCYTES=KILL TUMOUR CELLS  SYNTHESIS OF BIOLOGICAL SUBSTANCES
  • 77.
    SUMMARY: CELLS COMPONENTS FUNCTIONS NUTROPHILSSPECIFIC GRANULES MODIFIED LYSOSOMES PHAGOCYTOSIS OF BACTERIA EOSINOPHILS SPECIFIC GRANULES PHARMACOLOGICALLY ACTIVE SUBSTANCE DEFENCE AGAINST PARADITES,HELMINTHS MODULATION OF INFLAMATORY PROCESS BASOPHILS SPECIFIC GRANULES CONTAINS HISTAMINS AND HEPARIN RELASE OF HISTAMINS[INFLAMMATION MEDIATORS]
  • 78.
    SUMMARY: MONOCYTES GRANULES WITH LYSOSOMES PHAGOCYTOSIS,AND DIGESTIONOF PROTOZOA VIRUS ETC.. B LYMPHOCYTES IMMUNOGLOBULINS PLASMA CELL PRODUCTION T LYMPHOCYTES CONTROL THE ACTIVITY OF OTHER LEUKOCYTES[IL] KILLING OF VIRUS INFECTED CELLS NK CELLS ATTACK VIRUS INFECTED CELLS AND CANCER CELLS WITHOUT PREVIOUS STIMULATION KILLING SOME TUMOUR AND VIRUS INFECTED CELLS
  • 79.
  • 80.
  • 81.
  • 82.
  • 83.
  • 85.
    Identify the cells ANSWER: •1is a lymphocyte - intensely staining nucleus with a thin rim of cytoplasm •2,5,6 are monocytes - note the variety in the nucleus' shape •3,4 are neutrophils - note the multilobulated nucleus, lavender cytoplasm
  • 86.
    WAYS TO MAINTAINYOUR WBC’S:
  • 87.
    Avoid sugar andkeep sweet stuff to a minimum. Sugar prevents white blood cells from being their strongest - Eliminate unhealthy fats. Polyunsaturated fats in vegetable oils such as corn, safflower, and sunflower oil are deterrents to a healthy immune system . - If you are overweight, lose a few pounds. Being overweight is very detrimental to your immune system and studies have shown that overweight people are less able to fight off infection. - Drink plenty of water to boost the immune system as well as flush out toxins - Exercise is a proven immune system booster. Exercise is best in moderation, however, since too much exercise may wear the body down and create immune system problems. - Avoid stress and try to relax. Stress is rightly called the silent killer and too much stress invariably leads to a lowered immune system
  • 88.
    FOOD THAT INCREASESYOUR WBC’S:
  • 89.
  • 90.
  • 91.
  • 92.
    REFERENCE:  DE GRUCHY’SCLINICAL HEMATOLOGY  INDHU KURANA TEXT BOOK OF PHYSIOLOGY  WEBSITE-GOOGLE
  • 93.