Whipple’s Disease
Whipple’s disease
• Tropheryma whippleiという細菌(桿菌)による感染症.
1907年にWhippleにより初めて報告されたが,
細菌の16S rRNAが検出されたのが1991年,
初めて培養に成功したのは2000年と, 実に100年かかっている
N Engl J Med 2007;356:55-66.
The new engl and jour nal of medicine
Table 1. Milestones in the History of Whipple’s Disease and Tropheryma whipplei.
Date Investigators Advance
1907 Whipple1 First description of the disease
1947 Oliver-Pascual et al.2 First diagnosis before the death of a patient
1949 Black-Schaffer3 Development of periodic acid–Schiff staining for diagnosis
1952 Paulley4 First reported efficacy of antibiotic treatment
1961 Chears and Ashworth,5
Yardley and Hendrix6
Detection of bacteria in macrophages by electron microscopy
1991 Wilson et al.7
Partial sequencing of 16S rRNA of an unknown bacterium
1992 Relman et al.8 Confirmation and extension of the 16S rRNA sequence; first naming of the
bacterium: T. whippelii
2000 Raoult et al.9 First cultivation of the Whipple bacillus
2001 La Scola et al.10 First phenotypic characterization of the Whipple bacillus; renaming of the
bacterium: T. whipplei
2003 Bentley et al.,11 Raoult et al.12
Full sequencing of two genomes from two different strains of T. whipplei
• Whipple病自体非常に稀で, 2007年までに1000例程度の報告.
• 未診断例も多くあると推定され, 実際の頻度は不明.
報告例の多くが中年. 日本国内では5-6例程度の報告のみ.
• Whipple病の経過: 大きく分けて2つのStageがある.
• Prodromal stage; 関節痛や関節炎といった非特異的症状など,
 多岐にわたる症状を呈する.
• Steady-state stage; 体重減少や下痢. また多数の臓器浸潤を認める.
• Prodromal→Steady-stageまでは大体6年間で移行する.
 ステロイドや免疫抑制剤使用患者ではもっと早く移行する.
• Whipple病の15%はそれら症状, 所見を認めない. N Engl J Med 2007;356:55-66.
• Whipple病を鑑別診断に挙げるべき状況,
• 炎症性リウマチ疾患
小腸の障害による吸収不良症候群
(Celiac disease, Sarcoidosis, リンパ腫) 
アジソン病
膠原病
様々な神経疾患
 (細菌の神経浸潤による症状)
• 他, 腸管粘膜組織でPAS染色陽性,
血液培養陰性の心内膜炎,
神経系単独の感染症.
N Engl J Med 2007;356:55-66.
2001 La Scola et al. First phenotypic
bacterium: T
2003 Bentley et al.,11
Raoult et al.12
Full sequencing
Table 2. Demographic and Clinical Features of Classic
Whipple’s Disease.*
Feature Patients with Whipple’s Disease
no./total no. (%)
Male sex 770/886 (87)
Arthralgia or arthritis 244/335 (73)
Diarrhea 272/335 (81)
Weight loss 223/240 (93)
Fever 128/335 (38)
Adenopathy 174/335 (52)
Melanoderma 99/240 (41)
Neurologic signs† 33/99 (33)
Ocular signs† 6/99 (6)
Pleural effusion 26/190 (14)
* Data are from reports on seven case series, all published
since 1960, by Chears et al.,22 Enzinger and Helwig,16 Kelly
and Weisiger,23 Maizel et al.,24 Dobbins,15 Fleming et al.,25
and Durand et al.21 Total numbers refer to the total num-
ber of patients evaluated for Whipple’s disease. The ages
of the patients at diagnosis ranged from 1 to 83 years.
† Supranuclear ophthalmoplegia is included as a neurolog-
ic sign but not as an ocular sign. Two patients presented
with supranuclear ophthalmoplegia.
• 764例の症状頻度
France (F Fenollar MD,
Prof D Raoult MD)
Correspondence to:
Dr Verena Moos,
Charité–University Medicine
Berlin, Campus Benjamin
Franklin, Medical departme
Hindenburgdamm 30,
12203 Berlin, Germany.
Tel +49 30 8445 2665;
fax +49 30 8445 4481;
verena.moos@charite.de
Panel: Clinical manifestations ofWhipple’s disease3,14–17
Classic symptoms ofWhipple’s disease
Details from 764 patients
Diarrhoea: 76%
Weight loss: 92%
Arthralgia: 67%
Abdominal pain: 55%
Lymphadenopathy: 60%
Fever: 38%
Hypoalbuminaemia: 91%
Steatorrhoea: 91%
Anaemia: 85%
Skin darkening: 45%
Ocular signs: 8%
Neurological signs (in 10–40% ofWhipple’s disease
patients)
Details from 122 patients
Supranuclear ophthalmoplegia: 32%
Lancet Infect Dis 2008; 8: 179–90
• 142名のWDのうち,
113例のcWD患者の解析
TABLE 4. Epidemiologic and Clinical Data for 113 Patients
With Definite Classic WD
Characteristic No. (%)
Male 83 (73)
Mean age, yr [range] 56.64 [33Y80]
Diagnosis delay after first symptoms, yr [range] 6.4 [0Y30]
First diagnosis 65 (57)
Rheumatoid disease 56 (50)
Unexplained polyarthritis 32 (28)
Destructive polyarthritis 9 (8)
Spondyloarthropathy 7 (6)
Psoriatic arthritis 2 (2)
Giant cell arteritis 6 (6)
Sarcoidosis 7 (7)
Fibromyalgia 2 (2)
Lymphoma suspicion 6 (6)
Arthralgia resolving with previous antibiotics 4 (4)
Previous immunosuppressive treatment 56 (50)
Corticosteroids 50 (43)
Tumor necrosis factor antagonists 16 (14)
Other immunosuppressive therapy 16 (14)
Analysis of Biopsies From Patients With
No. of
Samples
Tested by
PAS
PAS
Positive
No. of
Samples
Tested by
IHC
IHC
Positive
c
113 113 84 83
12 11 11 11
2 2 2 2
1 1 1 1
3 2 3 2
1 1 1 1
1 1 1 1
1 1 1 1
14 0 9 0
Medicine & Volume 89, Number 5, September 2010
Medicine 2010;89: 337-345
General involvement
Weight loss 89 (79)
Mean weight loss 11.7 kg
Asthenia 45 (40)
Fever 38 (34)
Aggravation after immunosuppressive treatment 32 (28)
Weight gain 2 (2)
Adenopathy 56 (50)
Mediastinal 32 (28)
Mesenteric 19 (17)
Peripheral 19 (17)
Gastrointestinal involvement 80 (71)
Diarrhea 80 (71)
Diarrhea after immunosuppressive treatment 20 (33)
Abdominal pain 35 (31)
Constipation 2 (2)
Ascites 5 (4)
Hepatomegaly 4 (4)
Splenomegaly 3 (3)
Occult bleeding 3 (3)
Joint involvement 88 (78)
Arthralgia 88 (78)
Arthralgia without arthritis 34 (30)
Without gastrointestinal involvement 26 (30)
Destructive polyarthritis 9 (8)
Spondyloarthropathy 7 (6)
Neurologic involvement 25 (22)
Cognitive changes* 11 (10)
Psychiatric signs† 12 (11)
Movement abnormalities‡ 4 (4)
Supranuclear ophthalmoplegia 2 (2)
Hypothalamic changes§ 1 (1)
Other involvement
Pleural effusion 14 (12)
Myalgia 15 (13)
Adenopathy
Both patients with adenopathy were male, aged 33 and
39 years, respectively. One had a 3-year history of unexplained
polyarthritis; the other presented with meningoencephalitis with
suspicion of lymphoma before lymph node biopsy examination.
Arthralgia, but no gastrointestinal symptoms, was present for
both. Diagnosis was indicated by examination of a lymph node
biopsy using positive specific PCR, PAS-staining, and immuno-
histochemistry for T whipplei (Figure 1). For 1 of these patients,
specific PCR was also positive in blood, small-bowel biopsy,
saliva, and stool specimens.
Pulmonary Involvement
The first patient with pulmonary involvement was a 54-
TABLE 4. (Continued)
Characteristic No. (%)
Myocarditis or pericarditis 11 (10)
Uveitis 6 (6)
Endocarditis 6 (5)
Chemosis 2 (2)
Dysphonia 2 (2)
*Dementia and/or memory impairment and/or decreased level of
consciousness and/or cognitive impairment.
†Depression and/or personality changes.
‡Myoclonus and/or oculomasticatory and/or oculofacialskeletal and/
or myorrhythmia.
§Change in libido and/or polyphagia and/or changes in the sleep-
wake cycle.
Medicine 2010;89: 337-345
• Whipple病の典型的症状は, 体重減少 + 下痢.
• 便潜血陽性は20-30%で, 腹痛も伴うことがある.
たまに肝障害や肝腫大を伴う. 腹水は5%程度の頻度.
• 関節症状は古典的Whipple病の65-90%で伴う.
間欠的な, 遊走性の関節痛, 関節炎を呈することが多い.
多関節炎が主で, Oligoarthritisは少ないがあり得る.
 >> 中年男性の原因不明の間欠的な多関節炎ではWhipple病を考慮.
   (消化器症状がなくても)
• 慢性のSeronegative polyarthritisを呈することもあり,
また破壊性関節炎であり, RAと誤診されることもある.
筋痛や筋Crampを伴うこともある.
N Engl J Med 2007;356:55-66.
• 神経症状の頻度は6-63%
• 11名の剖検例では, 中枢神経浸潤を認めた例は10例あり,
もっと多いかもしれない.
N Engl J Med 2007;356:55-66.
medical progress
6 to 63% of patients with classic Whipple’s dis-
ease.15,18,29 However, in a small autopsy series,
central nervous system lesions were described in
10 of 11 patients (91%).16 The neurologic mani-
festations of classic Whipple’s disease are diverse
and can resemble those of almost any neurologic
condition (Table 3).18,29 Cognitive changes are
common, affecting 71% of patients with neuro-
Table 3. Clinical Features of Neurologic Whipple’s Disease and Blood Culture–Negative Endocarditis Associated
with T. whipplei.
Feature Value
Neurologic Whipple’s disease29
No. of patients 84
Cognitive change — % 71
Supranuclear ophthalmoplegia — % 51
Altered level of consciousness — % 50
Psychiatric signs — % 44
Upper motor neuron signs — % 37
Hypothalamic manifestations — % 31
Cranial nerve abnormalities — % 25
Myoclonus — % 25
Seizures — % 23
Oculomasticatory, or oculofacialskeletal, myorhythmia — % 20
Ataxia — % 20
Sensory deficits — % 12
• 122名の神経症状
Neurological signs (in 10–40% ofWhipple’s disease
patients)
Details from 122 patients
Supranuclear ophthalmoplegia: 32%
Dementia: 28%
Decreasing level of consciousness: 27%
Memory impairment: 25%
Confusion: 24%
Apathy: 21%
Psychiatric signs: 19%
Myoclonic signs: 16%
Seizures: 14%
Nystagmus: 14%
Upper motor neuron disorder: 14%
Hypothalamic involvement: 11%
Cerebellar forms (ataxia): 10%
Headaches: 10%
Myorhythmic forms: 8%
Hemiparesis: 8%
Cranial nerve involvement: 7%
Extrapyramidal movement disorder: 7%
Peripheral neuropathies: 6%
Lancet Infect Dis 2008; 8: 179–90
• CTやMRIでは造影される
多発性の病変を認めることもある.
• T whippleiによるCNS感染例の予後は悪い. 25%が4年以内に死亡
• 無症候性のCNS感染例もあり,
CSFからT whippleiのDNAが検出された報告もある.
• ぶどう膜炎も11%で報告あり.Anterior/posterior uveitisを生じる.
• T. whippleiの心臓感染は17-55%.
• 心外膜, 心筋, 心内膜に浸潤し,
同部位の生検においてPAS陽性のマクロファージの浸潤が認められる
• 心内膜炎(後述)は初感染としての報告もあり,
突然死の原因にもなる.
N Engl J Med 2007;356:55-66.
• T. whippleiによる心内膜炎
Ataxia — % 20
Sensory deficits — % 12
Blood culture–negative endocarditis associated with T. whipplei30-38
No. of patients 17
Male sex — no. (%) 14 (82)
Previous valvular disease — no. (%) 7 (41)
Acute rheumatic fever 3 (18)
Bicuspid aortic valve 2 (12)
Aortic bioprosthesis 2 (12)
Antecedent — no. (%) 12 (71)
Arthralgia or arthritis 8 (47)
Seronegative polyarthritis 2 (12)
Psoriatic arthritis 1 (6)
Myalgia 1 (6)
Interval between onset of symptoms and definite diagnosis — range (mean) 2 mo–20 yr (5 yr)
Involved valves — no. (%)
Aortic 8 (47)
Mitral 4 (24)
Tricuspid 1 (6)
Aortic and mitral 3 (18)
Aortic and tricuspid 1 (6)
Fever — no. (%) 2 (12)
Cardiac vegetations — no. (%) 13 (76)
Congestive heart failure — no. (%) 10 (59)
Arterial emboli — no. (%) 10 (59)
N Engl J Med 2007;356:55-66.
• 16例の心内膜炎症例の解析
previously estimated.24
Of the patients in the current study with
such infections, the majority presented with the well-known
classic WD (80%).72
Less frequently (11%), endocarditis was
reported; other localizations of T whipplei were occasionally
observed. Most of our patients with classic WD were middle-
6,10,29,32,47,72
improvement is possible and should not exclude the diagnos
classic WD. Moreover, the inefficacy of such treatment aga
polyarthritis that is sometimes observed should lead to suspi
of T whipplei infection.
In future cases in which, after initiation of immuno
pressive therapy, patients with inflammatory rheumatoid dis
develop severe general involvement or the therapy is ineffec
against polyarthritis, we strongly suggest screening for cla
WD. PCR screening of saliva and stool specimens should
performed first, followed by a new, recently developed stra
that allows a noninvasive procedure.19
When results of both t
are positive, diagnosis of WD is highly suspected (93% of
cases in the current study).22
Small-bowel biopsy should
performed to confirm the diagnosis. When the results of the P
screening are negative, classic WD is unlikely.22
After initiation of immunosuppressive therapy, some pati
quickly developed other cardinal signs of classic WD includ
diarrhea and weight loss.32,42,69
Among other symptoms of
gestive involvement,10,24,47,72
abdominal pain is frequent. L
frequently, ascites, hepatomegaly, or splenomegaly have b
described.10,29,47,72
Mesenteric lymph nodes (17%) represent
of the major lymphadenopathic sites of involvement.
Differential diagnosis such as lymphoma or sarcoid
should be suspected in the presence of well-described pseu
tumoral involvement with mediastinal, mesenteric, and,
frequently, peripheral lymph nodes.10,24,47,72
Although lymph
should be easily differentiated by histologic analysis of lym
node biopsy, differential diagnosis with sarcoidosis may be d
cult because noncaseating epithelioid and giant-cell granulo
have been described10,52,68
in approximately 10% of patien
with classic WD. Indeed, granuloma is a frequent differen
diagnosis of classic WD that should not be excluded eve
PAS-staining is negative. One of our patients had fatal co
quences after corticosteroid therapy initiated for sarcoido
TABLE 5. Epidemiologic and Clinical Characteristics of 16
Patients With Endocarditis Associated With T whipplei
Characteristic No. of Patients (%)
Male 16 (100)
Mean age, yr [range] 60.2 [42Y71]
Immunosuppressive treatment 5 (31)
Corticosteroids 5 (31)
Tumor necrosis factor antagonists 2 (12)
Other immunosuppressive therapy 2 (12)
Arthralgia 11 (69)
Valvular disease history 5 (31)
Diarrhea 1 (6)
Type of valve involvement
Aortic valve 9 (56)
Mitral and aortic valve 4 (25)
Mitral valve 2 (12)
Aortic and tricuspid valve 1 (6)
Cardiac vegetation 13 (81)
Congestive heart failure 8 (50)
Acute ischemic stroke 6 (37)
Fever 4 (25)
Peripheral arterial embolism 3 (19)
Medicine 2010;89: 337-345
• 肺浸潤; 30-40%
• 胸膜炎, 肺浸潤, 縦隔リンパ節の肉芽腫形成の報告がある.
• 非乾酪性, 上皮, 巨細胞性の肉芽種は9%で報告あり.
• 腹腔リンパ節, 特に腹膜リンパ節で多いが, 末梢リンパ節では稀.
• 他, 様々な臓器に浸潤する
• 皮膚ではMelanodermaを生じ,
また, 稀だが腎臓, 甲状腺, 精巣上体, 精巣への浸潤もある.
N Engl J Med 2007;356:55-66.
• 無症候性患者; 健常者174例の血液でT whippleiのPCRを
施行すると, 1例でPCR陽性となった
• また, 健常者の唾液を用いると, 19-35%でPCR陽性.
他の疾患の患者において, 十二指腸生検検体の5%でPCR陽性,
胃分泌液の12%, 便の11%でPCR陽性の結果.
• 他の施設では, 他疾患患者の唾液から0.6%, 便から1.5%でPCR陽性で
あったり, 陽性例は認めなかったりしており, 実際の偽陽性率は不明.
• 少なくとも症状 + PCRが診断には必要と考えられる.
N Engl J Med 2007;356:55-66.
T. whipplei
• T. whippleiは一般的な環境に生息している.
人間への感染経路は良く分かっていない.
糞口感染が疑われている.
• T. whippleiが感染した組織は,
大量のマクロファージの浸潤を認める.
• 最近はMφ内で増殖し, アポトーシスと伴に周辺へ播種する
その際IL-16を誘導する. >> IL-16が病勢を反映しえる.
N Engl J Med 2007;356:55-66.
Entry to the periphery
via infected macrophages
Enhanced expression
of cytokines and
adhesion molecules
→ Leakage of the
tight junctions
and infiltration of
peripheral tissues
Growth
and systemic
spreading
Recruitment
of new
macrophages
Insufficient antigen-
presentation and
costimulation
→ Prevention of
antigen-specific
T-cell stimulation
Migration to
lymph nodes
Tolerogenic DC
caused by presence
of interleukin 16
and interleukin 10
Newly infected macrophage
↓Intracellular killing
↓Interleukin 16
↓Interleukin 1β
↑Interleukin 10
↑Interleukin 4
↑Interleukin 6
↑Interleukin 8
↑TNF
↑Interleukin 1β
↑Interleukin 6
↑Interleukin 1β
↑Interleukin 2
↑TNFα
Absence of IFNγ
Presence of interleukin 10
→Inhibition of
DC maturation
Intestinal M2 macrophage
↓ CD11b
↓ Interleukin 12
↓ Interleukin 10
↑ CCL18
NaiveT cell
Capillary
NaiveT cell
Micro-
fold cell
(M cell) Th2 cell
Th1 cell
Accumulation of infected
macrophages and
infiltrating lymphocytes
→ Local inflammation
and focal lesions
Peripheral tissues
Endothelium
Lamina propria
Immature DC
LumenPeripheral blood
→ Vasculitis
?
?
?
Figure 5: Model for the pathogenesis ofWhipple’s disease
An inappropriate maturation of professional antigen-presenting cells caused by the presence of interleukin 10 and interleukin 16, and the absence of interferon γ and
interleukin 12 might lead to insufficient antigen-presentation and inhibit the stimulation of antigen-specificT-helper type 1 cells enabling growth and systemic
spread of T whipplei.The local production of inflammatory cytokines through macrophages and endothelial cells in the periphery might induce lymphocyte
infiltration through a leaky endothelial barrier followed by focal inflammation even in immunologically protected tissues such as joints or the brain. CCL=chemokine
(C-C motif) ligand. DC=dendritic cell.TNFα=tumour necrosis factor α.
Lancet Infect Dis 2008; 8: 179–90
Whipple病の診断
• 内視鏡所見; 十二指腸球後部, 空腸の粘膜病変.
• 蒼白∼黄色の毛羽立った粘膜と粘膜障害, 発赤.
脆い粘膜所見を認める.
N Engl J Med 2007;356:55-66.
Review
Figure 1: Classic diagnosis ofWhipple’s disease from the duodenum
Macroscopic view at endoscopy of a heavily affected case. Duodenum contains
clumsy and dilated villi with ecstatic lymph vessels that are extensively
infiltrated with macrophages.
Lancet Infect Dis 2008; 8: 179–90
Figure 2: Whipple’s disease: jejunal mucosa is swollen and grey-
pink with small whitish areas and multiple tiny mucosal haemor-
rhages.
Figure 3: Whipple’s disease: endoscopic view of the proximal
Figure 5: Whipple’s disease: picture of the jejunum. Characteristic
whitish areas protrude the above surrounding relief.
Figure 6: Whipple’s disease: endoscopic view of the proximal
jejunum. Transverse folds are low, reduced, and swollen.
Figure 2: Whipple’s disease: jejunal mucosa is swollen and grey-
pink with small whitish areas and multiple tiny mucosal haemor-
rhages.
Figure 3: Whipple’s disease: endoscopic view of the proximal
jejunum. Characteristic whitish areas protrude a little the above
surrounding relief.
Figure 5: Whipple’s disease: picture of the jejunum. Characteristic
whitish areas protrude the above surrounding relief.
Figure 6: Whipple’s disease: endoscopic view of the proximal
jejunum. Transverse folds are low, reduced, and swollen.
Figure 4: Whipple’s disease: detailed view on whitish plaques on the
top of fold.
4 Gastroenterology Research and Practice
Figure 2: Whipple’s disease: jejunal mucosa is swollen and grey-
pink with small whitish areas and multiple tiny mucosal haemor-
Figure 5: Whipple’s disease: picture of the jejunum. Characteristic
whitish areas protrude the above surrounding relief.
Gastroenterol Res Pract. 2013;2013:478349
Figure 6: Whipple’s disease: endoscopic view of the proximal
jejunum. Transverse folds are low, reduced, and swollen.
Figure 4: Whipple’s disease: detailed view on whitish plaques on the
top of fold.
Figure 7: Whipple’s disease: irregular rugged surface of the jejunal
mucosa with an appearance like being dusted with flour.
Gastroenterol Res Pract. 2013;2013:478349
• 小腸粘膜生検所見;
• 組織所見では, ヒダの減少と粘膜固有層に
PAS陽性の封入体をもつMφの浸潤を認める.
medical
A
N Engl J Med 2007;356:55-66.
A B C
D E F
G H I
Figure 3: Detection of PAS-positive macrophages at different sites inWhipple’s disease
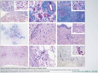
(A) Colon. (B) Stomach. (C) Lymph node with PAS-positive macrophages in the germinal centres. (D) Cerebrospinal fluid. (E) Brain. (F) Skin. (G) Heart valve.
(H) Myocardium and epicardial fat. (I) Synovial membrane from a knee. PAS=periodic acid-Schiff. Lancet Infect Dis 2008; 8: 179–90
• 大型の脂肪滴が組織に認められることもある.
(上記は腸粘膜)
Figure 16: Accumulation of large lipid droplets (asterisk) in the
lamina propria of intestinal villi. Semi-thin resin section, scale =
0.1 mm. Courtesy of Ladislav Kubeˇs, MD, PhD. Reproduced with
permission from Bureˇs and Rejchrt [42].
Whipple’s disease is a rare disease. We have re
only five cases at our tertiary gastroenterology centre
a 20-year period (no new case during the last 8
Patients were presented mostly with weight loss, diar
microcytic anaemia, and arthralgias. We decided
penicillin G or amoxicillin-clavulanic acid + i.v. gent
for two weeks, followed by p.o. doxycycline (100 mg p
plus p.o. salazopyrine (3 g per day) for 1 year. Full rem
was achieved in all our patients. We do not recom
streptomycin because of the significant risk of seriou
effects of this treatment. We consider salazopyrine a s
alternative to trimethoprim-sulfamethoxazole. The su
bility of bacteria to trimethoprim-sulfamethoxazole
to sulfamethoxazole alone [61]. None of our patient
presented with neurologic symptoms.
12. Conclusions
Whipple’s disease is chronic infectious systemic d
caused by the bacterium Tropheryma whipplei. Nond
ing arthritis is frequently an initial complaint. Gastro
nal and general symptoms include marked diarrhoea
serious malabsorption), abdominal pain, prominent
loss, and low-grade fever. Possible neurologic sym
(up to 20%) might be associated with worse pro
Diagnosis is based on the clinical picture and small int
histology revealing foamy macrophages containing pe
acid-Schiff- (PAS-) positive material. Long-term (up
year) antibiotic therapy provides a favourable outcome
vast majority of cases.
Gastroenterol Res Pract. 2013;2013:478349
• T whipplei抗原染色で菌体が染まる
• B; 骨髄検体.
polyclonal rabbit anti-T.whipplei antibody 
• C; 脾臓検体.
Mayer’s hemalum counter-staning
B
C
N Engl J Med 2007;356:55-66.
• 電子顕微鏡も有用で, 三層の細菌壁を検出可能のことがある.
• 補足; 日本国内では,T whippleiの免疫染色, 培養, PCRは困難.
(フランスに依頼する必要がある)
• PAS染色はグリコーゲンを染める染色方法であり,
Mφ内にPAS陽性の封入体 → 何らかの外来物質の貪食を疑い,
電子顕微鏡にて菌体を確認しにいくプロセスが良いかもしれない.
• PAS陽性の封入体は特異的ではなく,
細胞内にPAS陽性の封入体を認める場合,
 Mycobacterium avium complexなどの場合もある.
 (細胞内に感染する有機体ならば陽性となる.)
N Engl J Med 2007;356:55-66.
Figure 17: Groups of microbes (arrow) and characteristic lysosomes
(asterisk) present in an intestinal histiocyte in Whipple’s disease.
Electron micrograph, scale = 2 𝜇m. Courtesy of Professor Josef
ˇSpaˇcek, MD, DSc. Reproduced with permission from Bureˇs and
Rejchrt [42]. Gastroenterol Res Pract. 2013;2013:478349
The new engl and jour nal of medicine
Small-bowel biopsy with PAS
staining and PCR assay
Suspicion of Whipple’s disease
PAS and PCR positivePAS positive
Whipple’s disease possible
PCR positive
Whipple’s disease certain
Selections of samples tested with
PAS staining and PCR assayClinical manifestations
Suspicion of localized Whipple’s
disease
Whipple’s disease possible
診断アルゴリズム; 小腸病変の場合
N Engl J Med 2007;356:55-66.
Selections of samples tested with
PAS staining and PCR assay
based on clinical manifestations
Clinical manifestations
Arthritis — synovial fluid or biopsy
Lymphadenopathies — lymph nodes
Neurologic manifestation — cerebrospinal fluid;
if negative, brain biopsy may be required
Uveitis — aqueous humor
Endocarditis — cardiac valve
Spondylodiskitis — disk biopsy
Suspicion of localized Whipple’s
disease
PAS and PCR positivePAS positive
Whipple’s disease possible
PCR positive
Whipple’s disease certain Whipple’s disease possible
Figure 2. Strategy for the Diagnosis of Whipple’s Disease Using PAS Staining and PCR Assay.
The sampling hierarchy depends on the clinical manifestations of the disease and the interpretation of the obtained
results. If PAS staining of the small-bowel–biopsy specimen is positive and the PCR assay is negative, the diagnosis of
Whipple’s disease must be confirmed; this can be done by immunohistochemical testing with an antibody to T. whipplei.
If this test is positive, Whipple’s disease is confirmed; if the test is not feasible, other tissues must be analyzed. If
the PCR assay is positive and PAS staining is negative, the result must be confirmed by using another PCR target on
the same sample or by analyzing other tissues. When a definite diagnosis of Whipple’s disease has been established,
the cerebrospinal fluid should be tested with a PCR assay, even in the absence of neurologic signs. When the diagnosis
is in doubt, samples from saliva, stool, and blood can be tested; a positive PCR assay with one of these samples in
conjunction with a positive test on another tissue may be helpful in confirming Whipple’s disease.
小腸病変以外の場合
N Engl J Med 2007;356:55-66.
PCRの感度; 142名のWDの解析
Medicine 2010;89: 337-345
After the start of antibiotic therapy, 2 patients underwe
deterioration of their clinical state, with the appearance of e
thema nodosum-like lesions. An immune reconstitution infla
TABLE 2. PCR Results for 137 Patients With Definite T whipplei
Infections
Patients, Sample Type
No. of
Samples
Tested
PCR
Positive
PCR
Negative
% of
PCR
Positive
113 Patients with classic
Whipple disease
Duodenal biopsy 84 81 3 96
Colonic biopsy 5 3 2 60
Blood 61 32 29 52
Saliva 63 43 20 68
Stool 51 43 8 84
Saliva or stool 41 38 3 93
Saliva and stool 45 29 16 64
CSF 45 21* 24 47
Adenopathy 9 9 0 100
Articular fluid 5 4 1 80
Synovial biopsy 2 2 2 100
Skeletal muscle biopsy 3 3 0 100
Cardiac valve 3 3 0 100
TABLE 2. (Continued)
Patients, Sample Type
No. of
Samples
Tested
PCR
Positive
PCR
Negative
% o
PCR
Posit
2 Patients with isolated
joint involvement
due to T whipplei
Duodenal biopsy 2 1 1 50
Blood 1 0 1 0
Articular fluid 2 2 0 100
Saliva 2 1 1 50
Stool 2 2 0 100
Saliva or stool 2 2 0 100
*Twelve patients had no neurologic symptoms but positive spec
PCR in CSF.
Medicine & Volume 89, Number 5, September 2010 Clinical Spectrum of Tropheryma whipp
Patients, Sample Type
Samples
Tested
PCR
Positive
PCR
Negative
PCR
Positive
113 Patients with classic
Whipple disease
Duodenal biopsy 84 81 3 96
Colonic biopsy 5 3 2 60
Blood 61 32 29 52
Saliva 63 43 20 68
Stool 51 43 8 84
Saliva or stool 41 38 3 93
Saliva and stool 45 29 16 64
CSF 45 21* 24 47
Adenopathy 9 9 0 100
Articular fluid 5 4 1 80
Synovial biopsy 2 2 2 100
Skeletal muscle biopsy 3 3 0 100
Cardiac valve 3 3 0 100
16 Patients with definite
infective endocarditis
due to T whipplei
Duodenal biopsy 9 0 9 0
Blood 10 3 7 30
Saliva 7 0 7 0
Stool 6 0 6 0
Saliva or stool 8 0 8 0
CSF 5 0 5 0
Cardiac valve 14 14 0 100
Articular fluid 1 1 0 100
2 Patients with definite
uveitis due to
T whipplei
Duodenal biopsy 2 0 2 0
Blood 2 0 2 0
of the 84 patients (96%) tested by PCR for T whipplei in ou
laboratory on duodenal biopsy were positive. PCR for Twhipple
was also performed on other tissue samples. Thirty-two of 61
blood samples (52%) tested by specific PCR were positive, as
were 43 of 51 stool specimens (84%), 43 of 63 saliva samples
(68%), and 21 of 45 cerebrospinal fluid (CSF) samples (47%)
Twelve CSF samples (39%) from 31 patients who did not have
clinical neurologic manifestations were positive. Specific PCR
performed on either stool or saliva was positive for 38 of the
41 patients (93%) tested.
Localized Tropheryma whipplei Infections
Endocarditis
All 16 patients (100%) with endocarditis were male (Table 5)
The mean age was 60.2 years (range, 42Y71 yr). Among them
5 (31%) patients had been previously treated with immunosup
pressive therapy, including 2 (12%) who were treated with tumo
necrosis factor inhibitor for rheumatoid disease. Five patients
(31%) had known valvular heart disease.
At the time of diagnosis, arthralgia was noted in 11 patients
(69%), congestive heart failure occurred in 8 patients (50%)
acute ischemic stroke in 6 (37%), and peripheral arterial embo
lism in 2 (19%). Only 4 patients (25%) presented with fever, and
3 patients (19%) experienced weight loss.
Nine patients (56%) had involvement of an aortic valve
The mitral valve was involved in 2 patients (12%), both the aortic
and the mitral valve in 4 patients (25%), and both the tricuspid
and aortic valve in 1 patient (6%).
All diagnoses were performed by heart valve analysis
Histologic analysis was positive for 11 patients (Figure 1). Fo
Articular fluid 1 1 0 100
2 Patients with definite
uveitis due to
T whipplei
Duodenal biopsy 2 0 2 0
Blood 2 0 2 0
CSF 2 0 2 0
Aqueous humor 2 2 0 100
Saliva 2 1 1 50
Stool 2 2 0 100
Saliva or stool 2 2 0 100
2 Patients with definite
adenopathy due to
T whipplei
Duodenal biopsy 2 1 1 50
Adenopathy 2 2 0 100
Saliva 2 1 1 50
Stool 1 1 0 100
Saliva or stool 2 2 0 100
2 Patients with definite
pulmonary infection
due to T whipplei
Duodenal biopsy 2 0 2 0
Blood 1 0 1 0
CSF 2 0 2 0
Adenopathy 1 0 1 0
Lung 1 1 0 100
Saliva 2 1 1 50
Stool 2 2 0 100
Saliva or stool 2 2 0 100
* 2010 Lippincott Williams & Wilkins www.md-journal.com 339
After the start of antibiotic therapy, 2 patients underwent
deterioration of their clinical state, with the appearance of ery-
thema nodosum-like lesions. An immune reconstitution inflam-
matory syndrome was diagnosed. One of these 2 patients was
previously reported.35
Routine Laboratory Investigations
Data were available for 83 patients. Among them, increased
erythrocyte sedimentation rate or C-reactive protein was present
in 70 patients (84%), and anemia in 50 patients (60%).
Specific Positive Diagnosis
With respect to histologic diagnosis criteria (Figure 1), 81
ABLE 2. PCR Results for 137 Patients With Definite T whipplei
fections
atients, Sample Type
No. of
Samples
Tested
PCR
Positive
PCR
Negative
% of
PCR
Positive
3 Patients with classic
Whipple disease
Duodenal biopsy 84 81 3 96
Colonic biopsy 5 3 2 60
Blood 61 32 29 52
Saliva 63 43 20 68
Stool 51 43 8 84
Saliva or stool 41 38 3 93
Saliva and stool 45 29 16 64
CSF 45 21* 24 47
Adenopathy 9 9 0 100
Articular fluid 5 4 1 80
Synovial biopsy 2 2 2 100
Skeletal muscle biopsy 3 3 0 100
Cardiac valve 3 3 0 100
Patients with definite
infective endocarditis
due to T whipplei
Duodenal biopsy 9 0 9 0
Blood 10 3 7 30
Saliva 7 0 7 0
Stool 6 0 6 0
Saliva or stool 8 0 8 0
CSF 5 0 5 0
Cardiac valve 14 14 0 100
TABLE 2. (Continued)
Patients, Sample Type
No. of
Samples
Tested
PCR
Positive
PCR
Negative
% of
PCR
Positive
2 Patients with isolated
joint involvement
due to T whipplei
Duodenal biopsy 2 1 1 50
Blood 1 0 1 0
Articular fluid 2 2 0 100
Saliva 2 1 1 50
Stool 2 2 0 100
Saliva or stool 2 2 0 100
*Twelve patients had no neurologic symptoms but positive specific
PCR in CSF.
Medicine 2010;89: 337-345
罹患部位の検体を採ることが大事
TABLE 4. Epidemiologic and Clinical Data for 113 Patients
With Definite Classic WD
Characteristic No. (%)
Male 83 (73)
Mean age, yr [range] 56.64 [33Y80]
Diagnosis delay after first symptoms, yr [range] 6.4 [0Y30]
First diagnosis 65 (57)
Rheumatoid disease 56 (50)
Unexplained polyarthritis 32 (28)
Destructive polyarthritis 9 (8)
Spondyloarthropathy 7 (6)
Psoriatic arthritis 2 (2)
Giant cell arteritis 6 (6)
Sarcoidosis 7 (7)
Fibromyalgia 2 (2)
Lymphoma suspicion 6 (6)
Arthralgia resolving with previous antibiotics 4 (4)
Previous immunosuppressive treatment 56 (50)
Corticosteroids 50 (43)
Tumor necrosis factor antagonists 16 (14)
Other immunosuppressive therapy 16 (14)
General involvement
Weight loss 89 (79)
Mean weight loss 11.7 kg
Asthenia 45 (40)
Fever 38 (34)
Aggravation after immunosuppressive treatment 32 (28)
Weight gain 2 (2)
Adenopathy 56 (50)
Mediastinal 32 (28)
Mesenteric 19 (17)
Peripheral 19 (17)
Gastrointestinal involvement 80 (71)
Diarrhea 80 (71)
Diarrhea after immunosuppressive treatment 20 (33)
Abdominal pain 35 (31)
Constipation 2 (2)
Ascites 5 (4)
Hepatomegaly 4 (4)
Splenomegaly 3 (3)
Occult bleeding 3 (3)
Joint involvement 88 (78)
TABLE 3. Histologic Analysis of Biopsies From Patients With
T whipplei Infections
Patients, Biopsy Type
No. of
Samples
Tested by
PAS
PAS
Positive
No. of
Samples
Tested by
IHC
IHC
Positive
113 Patients with classic
Whipple disease
Duodenal biopsy 113 113 84 83
Adenopathy biopsy 12 11 11 11
Heart valve biopsy 2 2 2 2
Aqueous humor
biopsy
1 1 1 1
Muscle biopsy 3 2 3 2
Synovial biopsy 1 1 1 1
Pleural biopsy 1 1 1 1
Pericardial biopsy 1 1 1 1
16 Patients with
definite infective
endocarditis due to
T whipplei
Duodenal biopsy 14 0 9 0
Valve biopsy 11 11 11 11
2 Patients with definite
uveitis due to
T whipplei
Duodenal biopsy 2 0 2 0
2 Patients with definite
adenopathy due to
T whipplei
Duodenal biopsy 2 0 2 0
Adenopathy 2 2 2 2
2 Patients with definite
pulmonary infection
due to T whipplei
Duodenal biopsy 2 0 2 0
Lung biopsy 1 1 1 1
Adenopathy 1 0 1 0
2 Patients with isolated
joint involvement
due to T whipplei
Duodenal biopsy 2 0 2 0
Abbreviation: IHC = immunohistochemistry with a polyclonal rabbit
anti-T whipplei antibody.
罹患部位の検体のPAS染色の感度は
ほぼ100%
*ただし, CNS感染におけるCSFの感度は
 低いと考えられる.
Medicine 2010;89: 337-345
Whipple病の治療
Nonetheless, as predicted from genomic analysis,
trimethoprim alone is not effective,80,81
since T whipplei
lacks the coding sequence for dihydrofolate reductase,
the target for the antibiotic.124
Doxycycline alone seems
to be rather bacteriostatic than bacteriocidal, although
the addition of hydroxychloroquine makes doxycycline
bacteriocidal.80,123
Notably, CNS relapse may occur even
while the patient is taking co-trimoxazole.125,126
Some
Neurological defects are difficult to reverse, especially
in patients with CNS symptoms. Although non-specific
focal lesions of the brain,15
ophthalmoplegia, and other
movement disorders respond well to antibiotic
treatment, other structural changes such as infarcts,
abscesses, or atrophic changes often persist, because
they often result from irreversible tissue damage and
therefore cannot be reversed by prolonged antibiotic
Combination of initial and oral maintenance therapy Exclusive oral therapy
Initial therapy if ceftriaxone and penicillin allergic Therapy in cases of CNS involvement
Co-trimoxazole one DS tablet thrice daily plus streptomycin
1g IM daily
Doxycycline 100 mg orally twice daily plus
hydrochloroquine 200 mg orally thrice daily
Maintenance therapy
Co-trimoxazole one DS tablet twice daily
Co-trimoxazole five
DS tablets
4–8 tablets (500 mg)
sulfadiazine orally
Maintenance therapy if sulfa allergic
Doxycycline 100 mg orally twice daily plus hydroxychloroquine
200 mg orally thrice daily
Initial therapy
or or
or
Standard therapy
Ceftriaxone 2 g
IV once daily
Procaine penicillin
1·2 mU IM once
daily
Doxycycline 100 mg orally twice daily plus
hydroxychloroquine 200 mg orally thrice daily
Penicillin
G 2 mU IV
every 4 h
Duration Duration
1 year or until
disappearance
of bacterial DNA and
immunohistochemistry
on duodenal biopsies
2 weeks
2 weeks
plus
>1 year
>1 year
Lancet Infect Dis 2008; 8: 179–90
• 再燃時の治療選択
Lancet Infect Dis 2008; 8: 179–90
http://infection.thelancet.com Vol 8 March 2008
Relapse initial therapy
Relapse maintenance therapy
Co-trimoxazole one DS
tablet twice daily
Dox ycycline 100 mg orally
twice daily plus
hydroxychloroquine 200 mg
orally thrice daily
Ceftriaxone 2 g IV twice
daily
Penicillin G 4 mU IV every
4 h
Doxycycline 100 mg orally twice daily plus hydroxychloroquine
200 mg orally thrice daily
or
or
>1 year
4 weeks
>1 year
Figure 7: Flow diagram of recommended therapies forWhipple’s disease based on clinical experience
DS=double strength. IM=intramuscularly. IV=intravenously.
• 初期治療はMEPMでも可.
• WD 40例のRCT.
初期治療としてCTRX 2g/d vs MEPM 1g q8hで14日間継続.
その後ST合剤に切り替え, 3年以内の再年率を比較.
• 結果的に双方とも再燃リスクは変わらず(CTRX群で1例のみ)
死亡例も各群1例のみ
(WDと無関係な死亡原因)
• 病状の改善も有意差無く,
カルバペネムも初期治療の1つと
なり得るという結果.
GASTROENTEROLOGY 2010;138:478–486
only a few scattered PAS-positive macrophages in 17 of
18 patients. The corresponding result in the meropenem
group was no or a few PAS-positive macrophages in 17 of
18 patients after a mean follow-up period of evaluation
of 39.8 Ϯ 10.2 months (range, 24–69 mo). The residual
macrophages were of type 3, rarely type 4. In one patient
in each group, more than a few PAS-positive macro-
phages were present at the last follow-up biopsy. These
macrophages were also of subtypes 2 and 3. In one of
these patients, the last biopsy was performed only 6
months after initiation of therapy. Four years later, this
patient is clinically well, but did not consent to another
endoscopy.
The courses of sedimentation rate and of hemoglobin
concentration as laboratory indicators of inflammation,
disease activity, and chronicity are depicted in Figures 2
and 3.
In all patients, clinical, laboratory, and histopathologic
remission was maintained at least up to the time of the
last endoscopy, performed approximately 40 months af-
ter initial treatment.
Cerebrospinal fluid obtained at study entry was avail-
able for examination with PCR in 26 patients; in 10 of
them an infection with T whipplei was detected.
Six months after intravenous antibiotic therapy (6 pa-
tients treated with ceftriaxone and 4 patients treated with
meropenem), T whipplei was no longer detectable in the
cerebrospinal fluid by PCR in any of these patients. My-
oclonus, the cognitive defect, and, uveitis had resolved;
polyneuropathy remained unchanged.
Thirty-six months after initial treatment, all patients
who at trial entry had presented with T whipplei in the
cerebrospinal fluid were advised to have a repeat spinal
fluid examination. Three patients declined and in 7 pa-
tients the PCR for T whipplei was negative 3–5 years after
treatment. However, in 1 patient initially treated with
ceftriaxone, the PCR in the cerebrospinal fluid was again
considered a treatment failure of both treatment arms.
His cerebrospinal infection was eradicated by additional
therapy (see later).
After termination of the clinical and endoscopic fol-
low-up examinations per protocol for 36 months, clinical
observation of the patients was continued without biop-
sies until the time of writing. The median overall fol-
low-up time was 89 months at the time of writing this
article (range, 71–126 mo). There has been no evidence of
recurrent Whipple’s disease.
The odds ratio for the composite end point remission
maintained for 3 years was 0.95 and the 95% confidence
interval was 0.05–16.29 (P ϭ 1.0).
Secondary Outcome Measures
At trial entry, PAS-positive macrophages, the hall-
mark of the diagnosis, were undetectable in the duodenal
Figure 4. Kaplan–Meier estimate of the time course to remission in tissue
samples in the 2 groups of the randomized controlled trial. Ongoing remis-
sion in the biopsy specimens is defined microscopically by transformation
from the PAS-stained subtype 1 macrophages to the subtypes 2 and 3
(see text for detail). Vertical bars denote 95% confidence intervals, depicted
in the Figure as one-sided to avoid overlapping. There is no significant
difference in the time course of histological remission.
• 未治療ではWhipple病は致死的.
抗生剤投与しても, 再燃は5年間で2-33%で起こりえる.
再燃の際は神経系の障害を伴うことが多い.
• 初期治療の抗生剤選択と再発率
• Nは少ないが, ST合剤では再発率が少ない傾向.
N Engl J Med 2007;356:55-66.
vide new opportunities for investigating, under-
standing, and treating Whipple’s disease. The res-
ervoir of T. whipplei remains to be established, and
transmission mechanisms remain to be elucidat-
ed. The significance of possible asymptomatic
carriers must be clearly addressed. Isolates of
T. whipplei should be routinely genotyped to iden-
tify associations among clinical forms, different
strains, and geographic origin. Although PCR has
expanded the recognized clinical spectrum of the
disease, many facets remain elusive. In the future,
the development of an assay for detection of spe-
cific antibodies in the serum may help with diag-
nosis of the disease. Improvement in diagnostic
approaches is of paramount importance for reli-
Table 4. Initial Treatment and Subsequent Relapse in Whipple’s Disease.*
Antibiotic
No. of Relapses/
No. of Patients Treated (%)
Tetracycline 43/133 (32)
Trimethoprim–sulfamethoxazole 1/46 (2)
Penicillin and streptomycin 2/6 (33)
Other 12/64 (19)
Total 58/249 (23)
* Data are from six reports on case series, published since 1985, by Keinath
et al.,26 Fleming et al.,25 Bai et al.,97 Geboes et al.,98 Feurle and Marth,99
and Durand et al.21
• 治療開始後もPAS陽性Mφは長期間残存.
PCRは3ヶ月後には陰性となっているが, Mφは残存している.
http://infection.thelancet.com Vol 8 March 2008
Untreated, early stage Untreated, late stage Treated, after 3 months Treated, after 18 months
Positive PCR Positive PCR Negative PCR Negative PCR
A
E
B
F
C
G
D
H
Figure 4: Diagnosis ofWhipple’s disease and course during treatment
(A–D) Periodic acid-Schiff (PAS) staining. (E–H) Immunohistochemistry of corresponding serial section of duodenal biopsies. (A, E) PAS-negative but
immunohistochemistry-positive and PCR-positive early stage ofWhipple’s disease without gastrointestinal symptoms. (B, F) PAS-positive,
immunohistochemistry-positive, and PCR-positive late stage ofWhipple’s disease with gastrointestinal symptoms. (C, G) PCR-negative biopsy with fainting
PAS-positive but immunohistochemistry-positive macrophages 3 months after initiation of therapy. (D, H) PCR-negative biopsy with only weakly PAS-positive
macrophages that still reveal a positive immunohistochemistry 18 months after initiation of therapy.
Lancet Infect Dis 2008; 8: 179–90

Whipple病

  • 1.
  • 2.
    Whipple’s disease • Tropherymawhippleiという細菌(桿菌)による感染症. 1907年にWhippleにより初めて報告されたが, 細菌の16S rRNAが検出されたのが1991年, 初めて培養に成功したのは2000年と, 実に100年かかっている N Engl J Med 2007;356:55-66. The new engl and jour nal of medicine Table 1. Milestones in the History of Whipple’s Disease and Tropheryma whipplei. Date Investigators Advance 1907 Whipple1 First description of the disease 1947 Oliver-Pascual et al.2 First diagnosis before the death of a patient 1949 Black-Schaffer3 Development of periodic acid–Schiff staining for diagnosis 1952 Paulley4 First reported efficacy of antibiotic treatment 1961 Chears and Ashworth,5 Yardley and Hendrix6 Detection of bacteria in macrophages by electron microscopy 1991 Wilson et al.7 Partial sequencing of 16S rRNA of an unknown bacterium 1992 Relman et al.8 Confirmation and extension of the 16S rRNA sequence; first naming of the bacterium: T. whippelii 2000 Raoult et al.9 First cultivation of the Whipple bacillus 2001 La Scola et al.10 First phenotypic characterization of the Whipple bacillus; renaming of the bacterium: T. whipplei 2003 Bentley et al.,11 Raoult et al.12 Full sequencing of two genomes from two different strains of T. whipplei
  • 3.
    • Whipple病自体非常に稀で, 2007年までに1000例程度の報告. •未診断例も多くあると推定され, 実際の頻度は不明. 報告例の多くが中年. 日本国内では5-6例程度の報告のみ. • Whipple病の経過: 大きく分けて2つのStageがある. • Prodromal stage; 関節痛や関節炎といった非特異的症状など,  多岐にわたる症状を呈する. • Steady-state stage; 体重減少や下痢. また多数の臓器浸潤を認める. • Prodromal→Steady-stageまでは大体6年間で移行する.  ステロイドや免疫抑制剤使用患者ではもっと早く移行する. • Whipple病の15%はそれら症状, 所見を認めない. N Engl J Med 2007;356:55-66.
  • 4.
    • Whipple病を鑑別診断に挙げるべき状況, • 炎症性リウマチ疾患 小腸の障害による吸収不良症候群 (Celiacdisease, Sarcoidosis, リンパ腫)  アジソン病 膠原病 様々な神経疾患  (細菌の神経浸潤による症状) • 他, 腸管粘膜組織でPAS染色陽性, 血液培養陰性の心内膜炎, 神経系単独の感染症. N Engl J Med 2007;356:55-66. 2001 La Scola et al. First phenotypic bacterium: T 2003 Bentley et al.,11 Raoult et al.12 Full sequencing Table 2. Demographic and Clinical Features of Classic Whipple’s Disease.* Feature Patients with Whipple’s Disease no./total no. (%) Male sex 770/886 (87) Arthralgia or arthritis 244/335 (73) Diarrhea 272/335 (81) Weight loss 223/240 (93) Fever 128/335 (38) Adenopathy 174/335 (52) Melanoderma 99/240 (41) Neurologic signs† 33/99 (33) Ocular signs† 6/99 (6) Pleural effusion 26/190 (14) * Data are from reports on seven case series, all published since 1960, by Chears et al.,22 Enzinger and Helwig,16 Kelly and Weisiger,23 Maizel et al.,24 Dobbins,15 Fleming et al.,25 and Durand et al.21 Total numbers refer to the total num- ber of patients evaluated for Whipple’s disease. The ages of the patients at diagnosis ranged from 1 to 83 years. † Supranuclear ophthalmoplegia is included as a neurolog- ic sign but not as an ocular sign. Two patients presented with supranuclear ophthalmoplegia.
  • 5.
    • 764例の症状頻度 France (FFenollar MD, Prof D Raoult MD) Correspondence to: Dr Verena Moos, Charité–University Medicine Berlin, Campus Benjamin Franklin, Medical departme Hindenburgdamm 30, 12203 Berlin, Germany. Tel +49 30 8445 2665; fax +49 30 8445 4481; verena.moos@charite.de Panel: Clinical manifestations ofWhipple’s disease3,14–17 Classic symptoms ofWhipple’s disease Details from 764 patients Diarrhoea: 76% Weight loss: 92% Arthralgia: 67% Abdominal pain: 55% Lymphadenopathy: 60% Fever: 38% Hypoalbuminaemia: 91% Steatorrhoea: 91% Anaemia: 85% Skin darkening: 45% Ocular signs: 8% Neurological signs (in 10–40% ofWhipple’s disease patients) Details from 122 patients Supranuclear ophthalmoplegia: 32% Lancet Infect Dis 2008; 8: 179–90
  • 6.
    • 142名のWDのうち, 113例のcWD患者の解析 TABLE 4.Epidemiologic and Clinical Data for 113 Patients With Definite Classic WD Characteristic No. (%) Male 83 (73) Mean age, yr [range] 56.64 [33Y80] Diagnosis delay after first symptoms, yr [range] 6.4 [0Y30] First diagnosis 65 (57) Rheumatoid disease 56 (50) Unexplained polyarthritis 32 (28) Destructive polyarthritis 9 (8) Spondyloarthropathy 7 (6) Psoriatic arthritis 2 (2) Giant cell arteritis 6 (6) Sarcoidosis 7 (7) Fibromyalgia 2 (2) Lymphoma suspicion 6 (6) Arthralgia resolving with previous antibiotics 4 (4) Previous immunosuppressive treatment 56 (50) Corticosteroids 50 (43) Tumor necrosis factor antagonists 16 (14) Other immunosuppressive therapy 16 (14) Analysis of Biopsies From Patients With No. of Samples Tested by PAS PAS Positive No. of Samples Tested by IHC IHC Positive c 113 113 84 83 12 11 11 11 2 2 2 2 1 1 1 1 3 2 3 2 1 1 1 1 1 1 1 1 1 1 1 1 14 0 9 0 Medicine & Volume 89, Number 5, September 2010 Medicine 2010;89: 337-345
  • 7.
    General involvement Weight loss89 (79) Mean weight loss 11.7 kg Asthenia 45 (40) Fever 38 (34) Aggravation after immunosuppressive treatment 32 (28) Weight gain 2 (2) Adenopathy 56 (50) Mediastinal 32 (28) Mesenteric 19 (17) Peripheral 19 (17) Gastrointestinal involvement 80 (71) Diarrhea 80 (71) Diarrhea after immunosuppressive treatment 20 (33) Abdominal pain 35 (31) Constipation 2 (2) Ascites 5 (4) Hepatomegaly 4 (4) Splenomegaly 3 (3) Occult bleeding 3 (3) Joint involvement 88 (78) Arthralgia 88 (78) Arthralgia without arthritis 34 (30) Without gastrointestinal involvement 26 (30) Destructive polyarthritis 9 (8) Spondyloarthropathy 7 (6) Neurologic involvement 25 (22) Cognitive changes* 11 (10) Psychiatric signs† 12 (11) Movement abnormalities‡ 4 (4) Supranuclear ophthalmoplegia 2 (2) Hypothalamic changes§ 1 (1) Other involvement Pleural effusion 14 (12) Myalgia 15 (13) Adenopathy Both patients with adenopathy were male, aged 33 and 39 years, respectively. One had a 3-year history of unexplained polyarthritis; the other presented with meningoencephalitis with suspicion of lymphoma before lymph node biopsy examination. Arthralgia, but no gastrointestinal symptoms, was present for both. Diagnosis was indicated by examination of a lymph node biopsy using positive specific PCR, PAS-staining, and immuno- histochemistry for T whipplei (Figure 1). For 1 of these patients, specific PCR was also positive in blood, small-bowel biopsy, saliva, and stool specimens. Pulmonary Involvement The first patient with pulmonary involvement was a 54- TABLE 4. (Continued) Characteristic No. (%) Myocarditis or pericarditis 11 (10) Uveitis 6 (6) Endocarditis 6 (5) Chemosis 2 (2) Dysphonia 2 (2) *Dementia and/or memory impairment and/or decreased level of consciousness and/or cognitive impairment. †Depression and/or personality changes. ‡Myoclonus and/or oculomasticatory and/or oculofacialskeletal and/ or myorrhythmia. §Change in libido and/or polyphagia and/or changes in the sleep- wake cycle. Medicine 2010;89: 337-345
  • 8.
    • Whipple病の典型的症状は, 体重減少+ 下痢. • 便潜血陽性は20-30%で, 腹痛も伴うことがある. たまに肝障害や肝腫大を伴う. 腹水は5%程度の頻度. • 関節症状は古典的Whipple病の65-90%で伴う. 間欠的な, 遊走性の関節痛, 関節炎を呈することが多い. 多関節炎が主で, Oligoarthritisは少ないがあり得る.  >> 中年男性の原因不明の間欠的な多関節炎ではWhipple病を考慮.    (消化器症状がなくても) • 慢性のSeronegative polyarthritisを呈することもあり, また破壊性関節炎であり, RAと誤診されることもある. 筋痛や筋Crampを伴うこともある. N Engl J Med 2007;356:55-66.
  • 9.
    • 神経症状の頻度は6-63% • 11名の剖検例では,中枢神経浸潤を認めた例は10例あり, もっと多いかもしれない. N Engl J Med 2007;356:55-66. medical progress 6 to 63% of patients with classic Whipple’s dis- ease.15,18,29 However, in a small autopsy series, central nervous system lesions were described in 10 of 11 patients (91%).16 The neurologic mani- festations of classic Whipple’s disease are diverse and can resemble those of almost any neurologic condition (Table 3).18,29 Cognitive changes are common, affecting 71% of patients with neuro- Table 3. Clinical Features of Neurologic Whipple’s Disease and Blood Culture–Negative Endocarditis Associated with T. whipplei. Feature Value Neurologic Whipple’s disease29 No. of patients 84 Cognitive change — % 71 Supranuclear ophthalmoplegia — % 51 Altered level of consciousness — % 50 Psychiatric signs — % 44 Upper motor neuron signs — % 37 Hypothalamic manifestations — % 31 Cranial nerve abnormalities — % 25 Myoclonus — % 25 Seizures — % 23 Oculomasticatory, or oculofacialskeletal, myorhythmia — % 20 Ataxia — % 20 Sensory deficits — % 12
  • 10.
    • 122名の神経症状 Neurological signs(in 10–40% ofWhipple’s disease patients) Details from 122 patients Supranuclear ophthalmoplegia: 32% Dementia: 28% Decreasing level of consciousness: 27% Memory impairment: 25% Confusion: 24% Apathy: 21% Psychiatric signs: 19% Myoclonic signs: 16% Seizures: 14% Nystagmus: 14% Upper motor neuron disorder: 14% Hypothalamic involvement: 11% Cerebellar forms (ataxia): 10% Headaches: 10% Myorhythmic forms: 8% Hemiparesis: 8% Cranial nerve involvement: 7% Extrapyramidal movement disorder: 7% Peripheral neuropathies: 6% Lancet Infect Dis 2008; 8: 179–90 • CTやMRIでは造影される 多発性の病変を認めることもある.
  • 11.
    • T whippleiによるCNS感染例の予後は悪い.25%が4年以内に死亡 • 無症候性のCNS感染例もあり, CSFからT whippleiのDNAが検出された報告もある. • ぶどう膜炎も11%で報告あり.Anterior/posterior uveitisを生じる. • T. whippleiの心臓感染は17-55%. • 心外膜, 心筋, 心内膜に浸潤し, 同部位の生検においてPAS陽性のマクロファージの浸潤が認められる • 心内膜炎(後述)は初感染としての報告もあり, 突然死の原因にもなる. N Engl J Med 2007;356:55-66.
  • 12.
    • T. whippleiによる心内膜炎 Ataxia— % 20 Sensory deficits — % 12 Blood culture–negative endocarditis associated with T. whipplei30-38 No. of patients 17 Male sex — no. (%) 14 (82) Previous valvular disease — no. (%) 7 (41) Acute rheumatic fever 3 (18) Bicuspid aortic valve 2 (12) Aortic bioprosthesis 2 (12) Antecedent — no. (%) 12 (71) Arthralgia or arthritis 8 (47) Seronegative polyarthritis 2 (12) Psoriatic arthritis 1 (6) Myalgia 1 (6) Interval between onset of symptoms and definite diagnosis — range (mean) 2 mo–20 yr (5 yr) Involved valves — no. (%) Aortic 8 (47) Mitral 4 (24) Tricuspid 1 (6) Aortic and mitral 3 (18) Aortic and tricuspid 1 (6) Fever — no. (%) 2 (12) Cardiac vegetations — no. (%) 13 (76) Congestive heart failure — no. (%) 10 (59) Arterial emboli — no. (%) 10 (59) N Engl J Med 2007;356:55-66.
  • 13.
    • 16例の心内膜炎症例の解析 previously estimated.24 Ofthe patients in the current study with such infections, the majority presented with the well-known classic WD (80%).72 Less frequently (11%), endocarditis was reported; other localizations of T whipplei were occasionally observed. Most of our patients with classic WD were middle- 6,10,29,32,47,72 improvement is possible and should not exclude the diagnos classic WD. Moreover, the inefficacy of such treatment aga polyarthritis that is sometimes observed should lead to suspi of T whipplei infection. In future cases in which, after initiation of immuno pressive therapy, patients with inflammatory rheumatoid dis develop severe general involvement or the therapy is ineffec against polyarthritis, we strongly suggest screening for cla WD. PCR screening of saliva and stool specimens should performed first, followed by a new, recently developed stra that allows a noninvasive procedure.19 When results of both t are positive, diagnosis of WD is highly suspected (93% of cases in the current study).22 Small-bowel biopsy should performed to confirm the diagnosis. When the results of the P screening are negative, classic WD is unlikely.22 After initiation of immunosuppressive therapy, some pati quickly developed other cardinal signs of classic WD includ diarrhea and weight loss.32,42,69 Among other symptoms of gestive involvement,10,24,47,72 abdominal pain is frequent. L frequently, ascites, hepatomegaly, or splenomegaly have b described.10,29,47,72 Mesenteric lymph nodes (17%) represent of the major lymphadenopathic sites of involvement. Differential diagnosis such as lymphoma or sarcoid should be suspected in the presence of well-described pseu tumoral involvement with mediastinal, mesenteric, and, frequently, peripheral lymph nodes.10,24,47,72 Although lymph should be easily differentiated by histologic analysis of lym node biopsy, differential diagnosis with sarcoidosis may be d cult because noncaseating epithelioid and giant-cell granulo have been described10,52,68 in approximately 10% of patien with classic WD. Indeed, granuloma is a frequent differen diagnosis of classic WD that should not be excluded eve PAS-staining is negative. One of our patients had fatal co quences after corticosteroid therapy initiated for sarcoido TABLE 5. Epidemiologic and Clinical Characteristics of 16 Patients With Endocarditis Associated With T whipplei Characteristic No. of Patients (%) Male 16 (100) Mean age, yr [range] 60.2 [42Y71] Immunosuppressive treatment 5 (31) Corticosteroids 5 (31) Tumor necrosis factor antagonists 2 (12) Other immunosuppressive therapy 2 (12) Arthralgia 11 (69) Valvular disease history 5 (31) Diarrhea 1 (6) Type of valve involvement Aortic valve 9 (56) Mitral and aortic valve 4 (25) Mitral valve 2 (12) Aortic and tricuspid valve 1 (6) Cardiac vegetation 13 (81) Congestive heart failure 8 (50) Acute ischemic stroke 6 (37) Fever 4 (25) Peripheral arterial embolism 3 (19) Medicine 2010;89: 337-345
  • 14.
    • 肺浸潤; 30-40% •胸膜炎, 肺浸潤, 縦隔リンパ節の肉芽腫形成の報告がある. • 非乾酪性, 上皮, 巨細胞性の肉芽種は9%で報告あり. • 腹腔リンパ節, 特に腹膜リンパ節で多いが, 末梢リンパ節では稀. • 他, 様々な臓器に浸潤する • 皮膚ではMelanodermaを生じ, また, 稀だが腎臓, 甲状腺, 精巣上体, 精巣への浸潤もある. N Engl J Med 2007;356:55-66.
  • 15.
    • 無症候性患者; 健常者174例の血液でTwhippleiのPCRを 施行すると, 1例でPCR陽性となった • また, 健常者の唾液を用いると, 19-35%でPCR陽性. 他の疾患の患者において, 十二指腸生検検体の5%でPCR陽性, 胃分泌液の12%, 便の11%でPCR陽性の結果. • 他の施設では, 他疾患患者の唾液から0.6%, 便から1.5%でPCR陽性で あったり, 陽性例は認めなかったりしており, 実際の偽陽性率は不明. • 少なくとも症状 + PCRが診断には必要と考えられる. N Engl J Med 2007;356:55-66.
  • 16.
    T. whipplei • T.whippleiは一般的な環境に生息している. 人間への感染経路は良く分かっていない. 糞口感染が疑われている. • T. whippleiが感染した組織は, 大量のマクロファージの浸潤を認める. • 最近はMφ内で増殖し, アポトーシスと伴に周辺へ播種する その際IL-16を誘導する. >> IL-16が病勢を反映しえる. N Engl J Med 2007;356:55-66.
  • 17.
    Entry to theperiphery via infected macrophages Enhanced expression of cytokines and adhesion molecules → Leakage of the tight junctions and infiltration of peripheral tissues Growth and systemic spreading Recruitment of new macrophages Insufficient antigen- presentation and costimulation → Prevention of antigen-specific T-cell stimulation Migration to lymph nodes Tolerogenic DC caused by presence of interleukin 16 and interleukin 10 Newly infected macrophage ↓Intracellular killing ↓Interleukin 16 ↓Interleukin 1β ↑Interleukin 10 ↑Interleukin 4 ↑Interleukin 6 ↑Interleukin 8 ↑TNF ↑Interleukin 1β ↑Interleukin 6 ↑Interleukin 1β ↑Interleukin 2 ↑TNFα Absence of IFNγ Presence of interleukin 10 →Inhibition of DC maturation Intestinal M2 macrophage ↓ CD11b ↓ Interleukin 12 ↓ Interleukin 10 ↑ CCL18 NaiveT cell Capillary NaiveT cell Micro- fold cell (M cell) Th2 cell Th1 cell Accumulation of infected macrophages and infiltrating lymphocytes → Local inflammation and focal lesions Peripheral tissues Endothelium Lamina propria Immature DC LumenPeripheral blood → Vasculitis ? ? ? Figure 5: Model for the pathogenesis ofWhipple’s disease An inappropriate maturation of professional antigen-presenting cells caused by the presence of interleukin 10 and interleukin 16, and the absence of interferon γ and interleukin 12 might lead to insufficient antigen-presentation and inhibit the stimulation of antigen-specificT-helper type 1 cells enabling growth and systemic spread of T whipplei.The local production of inflammatory cytokines through macrophages and endothelial cells in the periphery might induce lymphocyte infiltration through a leaky endothelial barrier followed by focal inflammation even in immunologically protected tissues such as joints or the brain. CCL=chemokine (C-C motif) ligand. DC=dendritic cell.TNFα=tumour necrosis factor α. Lancet Infect Dis 2008; 8: 179–90
  • 18.
    Whipple病の診断 • 内視鏡所見; 十二指腸球後部,空腸の粘膜病変. • 蒼白∼黄色の毛羽立った粘膜と粘膜障害, 発赤. 脆い粘膜所見を認める. N Engl J Med 2007;356:55-66. Review Figure 1: Classic diagnosis ofWhipple’s disease from the duodenum Macroscopic view at endoscopy of a heavily affected case. Duodenum contains clumsy and dilated villi with ecstatic lymph vessels that are extensively infiltrated with macrophages. Lancet Infect Dis 2008; 8: 179–90
  • 19.
    Figure 2: Whipple’sdisease: jejunal mucosa is swollen and grey- pink with small whitish areas and multiple tiny mucosal haemor- rhages. Figure 3: Whipple’s disease: endoscopic view of the proximal Figure 5: Whipple’s disease: picture of the jejunum. Characteristic whitish areas protrude the above surrounding relief. Figure 6: Whipple’s disease: endoscopic view of the proximal jejunum. Transverse folds are low, reduced, and swollen. Figure 2: Whipple’s disease: jejunal mucosa is swollen and grey- pink with small whitish areas and multiple tiny mucosal haemor- rhages. Figure 3: Whipple’s disease: endoscopic view of the proximal jejunum. Characteristic whitish areas protrude a little the above surrounding relief. Figure 5: Whipple’s disease: picture of the jejunum. Characteristic whitish areas protrude the above surrounding relief. Figure 6: Whipple’s disease: endoscopic view of the proximal jejunum. Transverse folds are low, reduced, and swollen. Figure 4: Whipple’s disease: detailed view on whitish plaques on the top of fold. 4 Gastroenterology Research and Practice Figure 2: Whipple’s disease: jejunal mucosa is swollen and grey- pink with small whitish areas and multiple tiny mucosal haemor- Figure 5: Whipple’s disease: picture of the jejunum. Characteristic whitish areas protrude the above surrounding relief. Gastroenterol Res Pract. 2013;2013:478349
  • 20.
    Figure 6: Whipple’sdisease: endoscopic view of the proximal jejunum. Transverse folds are low, reduced, and swollen. Figure 4: Whipple’s disease: detailed view on whitish plaques on the top of fold. Figure 7: Whipple’s disease: irregular rugged surface of the jejunal mucosa with an appearance like being dusted with flour. Gastroenterol Res Pract. 2013;2013:478349
  • 21.
    • 小腸粘膜生検所見; • 組織所見では,ヒダの減少と粘膜固有層に PAS陽性の封入体をもつMφの浸潤を認める. medical A N Engl J Med 2007;356:55-66.
  • 22.
    A B C DE F G H I Figure 3: Detection of PAS-positive macrophages at different sites inWhipple’s disease (A) Colon. (B) Stomach. (C) Lymph node with PAS-positive macrophages in the germinal centres. (D) Cerebrospinal fluid. (E) Brain. (F) Skin. (G) Heart valve. (H) Myocardium and epicardial fat. (I) Synovial membrane from a knee. PAS=periodic acid-Schiff. Lancet Infect Dis 2008; 8: 179–90
  • 23.
    • 大型の脂肪滴が組織に認められることもある. (上記は腸粘膜) Figure 16:Accumulation of large lipid droplets (asterisk) in the lamina propria of intestinal villi. Semi-thin resin section, scale = 0.1 mm. Courtesy of Ladislav Kubeˇs, MD, PhD. Reproduced with permission from Bureˇs and Rejchrt [42]. Whipple’s disease is a rare disease. We have re only five cases at our tertiary gastroenterology centre a 20-year period (no new case during the last 8 Patients were presented mostly with weight loss, diar microcytic anaemia, and arthralgias. We decided penicillin G or amoxicillin-clavulanic acid + i.v. gent for two weeks, followed by p.o. doxycycline (100 mg p plus p.o. salazopyrine (3 g per day) for 1 year. Full rem was achieved in all our patients. We do not recom streptomycin because of the significant risk of seriou effects of this treatment. We consider salazopyrine a s alternative to trimethoprim-sulfamethoxazole. The su bility of bacteria to trimethoprim-sulfamethoxazole to sulfamethoxazole alone [61]. None of our patient presented with neurologic symptoms. 12. Conclusions Whipple’s disease is chronic infectious systemic d caused by the bacterium Tropheryma whipplei. Nond ing arthritis is frequently an initial complaint. Gastro nal and general symptoms include marked diarrhoea serious malabsorption), abdominal pain, prominent loss, and low-grade fever. Possible neurologic sym (up to 20%) might be associated with worse pro Diagnosis is based on the clinical picture and small int histology revealing foamy macrophages containing pe acid-Schiff- (PAS-) positive material. Long-term (up year) antibiotic therapy provides a favourable outcome vast majority of cases. Gastroenterol Res Pract. 2013;2013:478349
  • 24.
    • T whipplei抗原染色で菌体が染まる •B; 骨髄検体. polyclonal rabbit anti-T.whipplei antibody  • C; 脾臓検体. Mayer’s hemalum counter-staning B C N Engl J Med 2007;356:55-66.
  • 25.
    • 電子顕微鏡も有用で, 三層の細菌壁を検出可能のことがある. •補足; 日本国内では,T whippleiの免疫染色, 培養, PCRは困難. (フランスに依頼する必要がある) • PAS染色はグリコーゲンを染める染色方法であり, Mφ内にPAS陽性の封入体 → 何らかの外来物質の貪食を疑い, 電子顕微鏡にて菌体を確認しにいくプロセスが良いかもしれない. • PAS陽性の封入体は特異的ではなく, 細胞内にPAS陽性の封入体を認める場合,  Mycobacterium avium complexなどの場合もある.  (細胞内に感染する有機体ならば陽性となる.) N Engl J Med 2007;356:55-66.
  • 26.
    Figure 17: Groupsof microbes (arrow) and characteristic lysosomes (asterisk) present in an intestinal histiocyte in Whipple’s disease. Electron micrograph, scale = 2 𝜇m. Courtesy of Professor Josef ˇSpaˇcek, MD, DSc. Reproduced with permission from Bureˇs and Rejchrt [42]. Gastroenterol Res Pract. 2013;2013:478349
  • 27.
    The new england jour nal of medicine Small-bowel biopsy with PAS staining and PCR assay Suspicion of Whipple’s disease PAS and PCR positivePAS positive Whipple’s disease possible PCR positive Whipple’s disease certain Selections of samples tested with PAS staining and PCR assayClinical manifestations Suspicion of localized Whipple’s disease Whipple’s disease possible 診断アルゴリズム; 小腸病変の場合 N Engl J Med 2007;356:55-66.
  • 28.
    Selections of samplestested with PAS staining and PCR assay based on clinical manifestations Clinical manifestations Arthritis — synovial fluid or biopsy Lymphadenopathies — lymph nodes Neurologic manifestation — cerebrospinal fluid; if negative, brain biopsy may be required Uveitis — aqueous humor Endocarditis — cardiac valve Spondylodiskitis — disk biopsy Suspicion of localized Whipple’s disease PAS and PCR positivePAS positive Whipple’s disease possible PCR positive Whipple’s disease certain Whipple’s disease possible Figure 2. Strategy for the Diagnosis of Whipple’s Disease Using PAS Staining and PCR Assay. The sampling hierarchy depends on the clinical manifestations of the disease and the interpretation of the obtained results. If PAS staining of the small-bowel–biopsy specimen is positive and the PCR assay is negative, the diagnosis of Whipple’s disease must be confirmed; this can be done by immunohistochemical testing with an antibody to T. whipplei. If this test is positive, Whipple’s disease is confirmed; if the test is not feasible, other tissues must be analyzed. If the PCR assay is positive and PAS staining is negative, the result must be confirmed by using another PCR target on the same sample or by analyzing other tissues. When a definite diagnosis of Whipple’s disease has been established, the cerebrospinal fluid should be tested with a PCR assay, even in the absence of neurologic signs. When the diagnosis is in doubt, samples from saliva, stool, and blood can be tested; a positive PCR assay with one of these samples in conjunction with a positive test on another tissue may be helpful in confirming Whipple’s disease. 小腸病変以外の場合 N Engl J Med 2007;356:55-66.
  • 29.
    PCRの感度; 142名のWDの解析 Medicine 2010;89:337-345 After the start of antibiotic therapy, 2 patients underwe deterioration of their clinical state, with the appearance of e thema nodosum-like lesions. An immune reconstitution infla TABLE 2. PCR Results for 137 Patients With Definite T whipplei Infections Patients, Sample Type No. of Samples Tested PCR Positive PCR Negative % of PCR Positive 113 Patients with classic Whipple disease Duodenal biopsy 84 81 3 96 Colonic biopsy 5 3 2 60 Blood 61 32 29 52 Saliva 63 43 20 68 Stool 51 43 8 84 Saliva or stool 41 38 3 93 Saliva and stool 45 29 16 64 CSF 45 21* 24 47 Adenopathy 9 9 0 100 Articular fluid 5 4 1 80 Synovial biopsy 2 2 2 100 Skeletal muscle biopsy 3 3 0 100 Cardiac valve 3 3 0 100 TABLE 2. (Continued) Patients, Sample Type No. of Samples Tested PCR Positive PCR Negative % o PCR Posit 2 Patients with isolated joint involvement due to T whipplei Duodenal biopsy 2 1 1 50 Blood 1 0 1 0 Articular fluid 2 2 0 100 Saliva 2 1 1 50 Stool 2 2 0 100 Saliva or stool 2 2 0 100 *Twelve patients had no neurologic symptoms but positive spec PCR in CSF. Medicine & Volume 89, Number 5, September 2010 Clinical Spectrum of Tropheryma whipp Patients, Sample Type Samples Tested PCR Positive PCR Negative PCR Positive 113 Patients with classic Whipple disease Duodenal biopsy 84 81 3 96 Colonic biopsy 5 3 2 60 Blood 61 32 29 52 Saliva 63 43 20 68 Stool 51 43 8 84 Saliva or stool 41 38 3 93 Saliva and stool 45 29 16 64 CSF 45 21* 24 47 Adenopathy 9 9 0 100 Articular fluid 5 4 1 80 Synovial biopsy 2 2 2 100 Skeletal muscle biopsy 3 3 0 100 Cardiac valve 3 3 0 100 16 Patients with definite infective endocarditis due to T whipplei Duodenal biopsy 9 0 9 0 Blood 10 3 7 30 Saliva 7 0 7 0 Stool 6 0 6 0 Saliva or stool 8 0 8 0 CSF 5 0 5 0 Cardiac valve 14 14 0 100 Articular fluid 1 1 0 100 2 Patients with definite uveitis due to T whipplei Duodenal biopsy 2 0 2 0 Blood 2 0 2 0
  • 30.
    of the 84patients (96%) tested by PCR for T whipplei in ou laboratory on duodenal biopsy were positive. PCR for Twhipple was also performed on other tissue samples. Thirty-two of 61 blood samples (52%) tested by specific PCR were positive, as were 43 of 51 stool specimens (84%), 43 of 63 saliva samples (68%), and 21 of 45 cerebrospinal fluid (CSF) samples (47%) Twelve CSF samples (39%) from 31 patients who did not have clinical neurologic manifestations were positive. Specific PCR performed on either stool or saliva was positive for 38 of the 41 patients (93%) tested. Localized Tropheryma whipplei Infections Endocarditis All 16 patients (100%) with endocarditis were male (Table 5) The mean age was 60.2 years (range, 42Y71 yr). Among them 5 (31%) patients had been previously treated with immunosup pressive therapy, including 2 (12%) who were treated with tumo necrosis factor inhibitor for rheumatoid disease. Five patients (31%) had known valvular heart disease. At the time of diagnosis, arthralgia was noted in 11 patients (69%), congestive heart failure occurred in 8 patients (50%) acute ischemic stroke in 6 (37%), and peripheral arterial embo lism in 2 (19%). Only 4 patients (25%) presented with fever, and 3 patients (19%) experienced weight loss. Nine patients (56%) had involvement of an aortic valve The mitral valve was involved in 2 patients (12%), both the aortic and the mitral valve in 4 patients (25%), and both the tricuspid and aortic valve in 1 patient (6%). All diagnoses were performed by heart valve analysis Histologic analysis was positive for 11 patients (Figure 1). Fo Articular fluid 1 1 0 100 2 Patients with definite uveitis due to T whipplei Duodenal biopsy 2 0 2 0 Blood 2 0 2 0 CSF 2 0 2 0 Aqueous humor 2 2 0 100 Saliva 2 1 1 50 Stool 2 2 0 100 Saliva or stool 2 2 0 100 2 Patients with definite adenopathy due to T whipplei Duodenal biopsy 2 1 1 50 Adenopathy 2 2 0 100 Saliva 2 1 1 50 Stool 1 1 0 100 Saliva or stool 2 2 0 100 2 Patients with definite pulmonary infection due to T whipplei Duodenal biopsy 2 0 2 0 Blood 1 0 1 0 CSF 2 0 2 0 Adenopathy 1 0 1 0 Lung 1 1 0 100 Saliva 2 1 1 50 Stool 2 2 0 100 Saliva or stool 2 2 0 100 * 2010 Lippincott Williams & Wilkins www.md-journal.com 339 After the start of antibiotic therapy, 2 patients underwent deterioration of their clinical state, with the appearance of ery- thema nodosum-like lesions. An immune reconstitution inflam- matory syndrome was diagnosed. One of these 2 patients was previously reported.35 Routine Laboratory Investigations Data were available for 83 patients. Among them, increased erythrocyte sedimentation rate or C-reactive protein was present in 70 patients (84%), and anemia in 50 patients (60%). Specific Positive Diagnosis With respect to histologic diagnosis criteria (Figure 1), 81 ABLE 2. PCR Results for 137 Patients With Definite T whipplei fections atients, Sample Type No. of Samples Tested PCR Positive PCR Negative % of PCR Positive 3 Patients with classic Whipple disease Duodenal biopsy 84 81 3 96 Colonic biopsy 5 3 2 60 Blood 61 32 29 52 Saliva 63 43 20 68 Stool 51 43 8 84 Saliva or stool 41 38 3 93 Saliva and stool 45 29 16 64 CSF 45 21* 24 47 Adenopathy 9 9 0 100 Articular fluid 5 4 1 80 Synovial biopsy 2 2 2 100 Skeletal muscle biopsy 3 3 0 100 Cardiac valve 3 3 0 100 Patients with definite infective endocarditis due to T whipplei Duodenal biopsy 9 0 9 0 Blood 10 3 7 30 Saliva 7 0 7 0 Stool 6 0 6 0 Saliva or stool 8 0 8 0 CSF 5 0 5 0 Cardiac valve 14 14 0 100 TABLE 2. (Continued) Patients, Sample Type No. of Samples Tested PCR Positive PCR Negative % of PCR Positive 2 Patients with isolated joint involvement due to T whipplei Duodenal biopsy 2 1 1 50 Blood 1 0 1 0 Articular fluid 2 2 0 100 Saliva 2 1 1 50 Stool 2 2 0 100 Saliva or stool 2 2 0 100 *Twelve patients had no neurologic symptoms but positive specific PCR in CSF. Medicine 2010;89: 337-345 罹患部位の検体を採ることが大事
  • 31.
    TABLE 4. Epidemiologicand Clinical Data for 113 Patients With Definite Classic WD Characteristic No. (%) Male 83 (73) Mean age, yr [range] 56.64 [33Y80] Diagnosis delay after first symptoms, yr [range] 6.4 [0Y30] First diagnosis 65 (57) Rheumatoid disease 56 (50) Unexplained polyarthritis 32 (28) Destructive polyarthritis 9 (8) Spondyloarthropathy 7 (6) Psoriatic arthritis 2 (2) Giant cell arteritis 6 (6) Sarcoidosis 7 (7) Fibromyalgia 2 (2) Lymphoma suspicion 6 (6) Arthralgia resolving with previous antibiotics 4 (4) Previous immunosuppressive treatment 56 (50) Corticosteroids 50 (43) Tumor necrosis factor antagonists 16 (14) Other immunosuppressive therapy 16 (14) General involvement Weight loss 89 (79) Mean weight loss 11.7 kg Asthenia 45 (40) Fever 38 (34) Aggravation after immunosuppressive treatment 32 (28) Weight gain 2 (2) Adenopathy 56 (50) Mediastinal 32 (28) Mesenteric 19 (17) Peripheral 19 (17) Gastrointestinal involvement 80 (71) Diarrhea 80 (71) Diarrhea after immunosuppressive treatment 20 (33) Abdominal pain 35 (31) Constipation 2 (2) Ascites 5 (4) Hepatomegaly 4 (4) Splenomegaly 3 (3) Occult bleeding 3 (3) Joint involvement 88 (78) TABLE 3. Histologic Analysis of Biopsies From Patients With T whipplei Infections Patients, Biopsy Type No. of Samples Tested by PAS PAS Positive No. of Samples Tested by IHC IHC Positive 113 Patients with classic Whipple disease Duodenal biopsy 113 113 84 83 Adenopathy biopsy 12 11 11 11 Heart valve biopsy 2 2 2 2 Aqueous humor biopsy 1 1 1 1 Muscle biopsy 3 2 3 2 Synovial biopsy 1 1 1 1 Pleural biopsy 1 1 1 1 Pericardial biopsy 1 1 1 1 16 Patients with definite infective endocarditis due to T whipplei Duodenal biopsy 14 0 9 0 Valve biopsy 11 11 11 11 2 Patients with definite uveitis due to T whipplei Duodenal biopsy 2 0 2 0 2 Patients with definite adenopathy due to T whipplei Duodenal biopsy 2 0 2 0 Adenopathy 2 2 2 2 2 Patients with definite pulmonary infection due to T whipplei Duodenal biopsy 2 0 2 0 Lung biopsy 1 1 1 1 Adenopathy 1 0 1 0 2 Patients with isolated joint involvement due to T whipplei Duodenal biopsy 2 0 2 0 Abbreviation: IHC = immunohistochemistry with a polyclonal rabbit anti-T whipplei antibody. 罹患部位の検体のPAS染色の感度は ほぼ100% *ただし, CNS感染におけるCSFの感度は  低いと考えられる. Medicine 2010;89: 337-345
  • 32.
    Whipple病の治療 Nonetheless, as predictedfrom genomic analysis, trimethoprim alone is not effective,80,81 since T whipplei lacks the coding sequence for dihydrofolate reductase, the target for the antibiotic.124 Doxycycline alone seems to be rather bacteriostatic than bacteriocidal, although the addition of hydroxychloroquine makes doxycycline bacteriocidal.80,123 Notably, CNS relapse may occur even while the patient is taking co-trimoxazole.125,126 Some Neurological defects are difficult to reverse, especially in patients with CNS symptoms. Although non-specific focal lesions of the brain,15 ophthalmoplegia, and other movement disorders respond well to antibiotic treatment, other structural changes such as infarcts, abscesses, or atrophic changes often persist, because they often result from irreversible tissue damage and therefore cannot be reversed by prolonged antibiotic Combination of initial and oral maintenance therapy Exclusive oral therapy Initial therapy if ceftriaxone and penicillin allergic Therapy in cases of CNS involvement Co-trimoxazole one DS tablet thrice daily plus streptomycin 1g IM daily Doxycycline 100 mg orally twice daily plus hydrochloroquine 200 mg orally thrice daily Maintenance therapy Co-trimoxazole one DS tablet twice daily Co-trimoxazole five DS tablets 4–8 tablets (500 mg) sulfadiazine orally Maintenance therapy if sulfa allergic Doxycycline 100 mg orally twice daily plus hydroxychloroquine 200 mg orally thrice daily Initial therapy or or or Standard therapy Ceftriaxone 2 g IV once daily Procaine penicillin 1·2 mU IM once daily Doxycycline 100 mg orally twice daily plus hydroxychloroquine 200 mg orally thrice daily Penicillin G 2 mU IV every 4 h Duration Duration 1 year or until disappearance of bacterial DNA and immunohistochemistry on duodenal biopsies 2 weeks 2 weeks plus >1 year >1 year Lancet Infect Dis 2008; 8: 179–90
  • 33.
    • 再燃時の治療選択 Lancet InfectDis 2008; 8: 179–90 http://infection.thelancet.com Vol 8 March 2008 Relapse initial therapy Relapse maintenance therapy Co-trimoxazole one DS tablet twice daily Dox ycycline 100 mg orally twice daily plus hydroxychloroquine 200 mg orally thrice daily Ceftriaxone 2 g IV twice daily Penicillin G 4 mU IV every 4 h Doxycycline 100 mg orally twice daily plus hydroxychloroquine 200 mg orally thrice daily or or >1 year 4 weeks >1 year Figure 7: Flow diagram of recommended therapies forWhipple’s disease based on clinical experience DS=double strength. IM=intramuscularly. IV=intravenously.
  • 34.
    • 初期治療はMEPMでも可. • WD40例のRCT. 初期治療としてCTRX 2g/d vs MEPM 1g q8hで14日間継続. その後ST合剤に切り替え, 3年以内の再年率を比較. • 結果的に双方とも再燃リスクは変わらず(CTRX群で1例のみ) 死亡例も各群1例のみ (WDと無関係な死亡原因) • 病状の改善も有意差無く, カルバペネムも初期治療の1つと なり得るという結果. GASTROENTEROLOGY 2010;138:478–486 only a few scattered PAS-positive macrophages in 17 of 18 patients. The corresponding result in the meropenem group was no or a few PAS-positive macrophages in 17 of 18 patients after a mean follow-up period of evaluation of 39.8 Ϯ 10.2 months (range, 24–69 mo). The residual macrophages were of type 3, rarely type 4. In one patient in each group, more than a few PAS-positive macro- phages were present at the last follow-up biopsy. These macrophages were also of subtypes 2 and 3. In one of these patients, the last biopsy was performed only 6 months after initiation of therapy. Four years later, this patient is clinically well, but did not consent to another endoscopy. The courses of sedimentation rate and of hemoglobin concentration as laboratory indicators of inflammation, disease activity, and chronicity are depicted in Figures 2 and 3. In all patients, clinical, laboratory, and histopathologic remission was maintained at least up to the time of the last endoscopy, performed approximately 40 months af- ter initial treatment. Cerebrospinal fluid obtained at study entry was avail- able for examination with PCR in 26 patients; in 10 of them an infection with T whipplei was detected. Six months after intravenous antibiotic therapy (6 pa- tients treated with ceftriaxone and 4 patients treated with meropenem), T whipplei was no longer detectable in the cerebrospinal fluid by PCR in any of these patients. My- oclonus, the cognitive defect, and, uveitis had resolved; polyneuropathy remained unchanged. Thirty-six months after initial treatment, all patients who at trial entry had presented with T whipplei in the cerebrospinal fluid were advised to have a repeat spinal fluid examination. Three patients declined and in 7 pa- tients the PCR for T whipplei was negative 3–5 years after treatment. However, in 1 patient initially treated with ceftriaxone, the PCR in the cerebrospinal fluid was again considered a treatment failure of both treatment arms. His cerebrospinal infection was eradicated by additional therapy (see later). After termination of the clinical and endoscopic fol- low-up examinations per protocol for 36 months, clinical observation of the patients was continued without biop- sies until the time of writing. The median overall fol- low-up time was 89 months at the time of writing this article (range, 71–126 mo). There has been no evidence of recurrent Whipple’s disease. The odds ratio for the composite end point remission maintained for 3 years was 0.95 and the 95% confidence interval was 0.05–16.29 (P ϭ 1.0). Secondary Outcome Measures At trial entry, PAS-positive macrophages, the hall- mark of the diagnosis, were undetectable in the duodenal Figure 4. Kaplan–Meier estimate of the time course to remission in tissue samples in the 2 groups of the randomized controlled trial. Ongoing remis- sion in the biopsy specimens is defined microscopically by transformation from the PAS-stained subtype 1 macrophages to the subtypes 2 and 3 (see text for detail). Vertical bars denote 95% confidence intervals, depicted in the Figure as one-sided to avoid overlapping. There is no significant difference in the time course of histological remission.
  • 35.
    • 未治療ではWhipple病は致死的. 抗生剤投与しても, 再燃は5年間で2-33%で起こりえる. 再燃の際は神経系の障害を伴うことが多い. •初期治療の抗生剤選択と再発率 • Nは少ないが, ST合剤では再発率が少ない傾向. N Engl J Med 2007;356:55-66. vide new opportunities for investigating, under- standing, and treating Whipple’s disease. The res- ervoir of T. whipplei remains to be established, and transmission mechanisms remain to be elucidat- ed. The significance of possible asymptomatic carriers must be clearly addressed. Isolates of T. whipplei should be routinely genotyped to iden- tify associations among clinical forms, different strains, and geographic origin. Although PCR has expanded the recognized clinical spectrum of the disease, many facets remain elusive. In the future, the development of an assay for detection of spe- cific antibodies in the serum may help with diag- nosis of the disease. Improvement in diagnostic approaches is of paramount importance for reli- Table 4. Initial Treatment and Subsequent Relapse in Whipple’s Disease.* Antibiotic No. of Relapses/ No. of Patients Treated (%) Tetracycline 43/133 (32) Trimethoprim–sulfamethoxazole 1/46 (2) Penicillin and streptomycin 2/6 (33) Other 12/64 (19) Total 58/249 (23) * Data are from six reports on case series, published since 1985, by Keinath et al.,26 Fleming et al.,25 Bai et al.,97 Geboes et al.,98 Feurle and Marth,99 and Durand et al.21
  • 36.
    • 治療開始後もPAS陽性Mφは長期間残存. PCRは3ヶ月後には陰性となっているが, Mφは残存している. http://infection.thelancet.comVol 8 March 2008 Untreated, early stage Untreated, late stage Treated, after 3 months Treated, after 18 months Positive PCR Positive PCR Negative PCR Negative PCR A E B F C G D H Figure 4: Diagnosis ofWhipple’s disease and course during treatment (A–D) Periodic acid-Schiff (PAS) staining. (E–H) Immunohistochemistry of corresponding serial section of duodenal biopsies. (A, E) PAS-negative but immunohistochemistry-positive and PCR-positive early stage ofWhipple’s disease without gastrointestinal symptoms. (B, F) PAS-positive, immunohistochemistry-positive, and PCR-positive late stage ofWhipple’s disease with gastrointestinal symptoms. (C, G) PCR-negative biopsy with fainting PAS-positive but immunohistochemistry-positive macrophages 3 months after initiation of therapy. (D, H) PCR-negative biopsy with only weakly PAS-positive macrophages that still reveal a positive immunohistochemistry 18 months after initiation of therapy. Lancet Infect Dis 2008; 8: 179–90