Mechanical Ventilation
Mechanical Ventilation
PROBLEMS
PROBLEMS
Although life-saving, PPV may
be associated with many
complications, including:
Consequences of PPV
Aspects of volutrauma
Adverse effects of intubation and
tracheostomy
Optimal Ventilatory Care
Optimal Ventilatory Care
Requires
Requires
Attention to minimizing
adverse hemodynamic effects
Averting volutrauma
Effecting freedom from PPV
as early as possible
Common Scenarios
Common Scenarios
• New development of hypotension
• Acute respiratory distress (fighting)
• Repeated sounding of High pressure alarm
• Hypoxemia
• Blood from the endotracheal tube
• Problem of diagnosing VAP
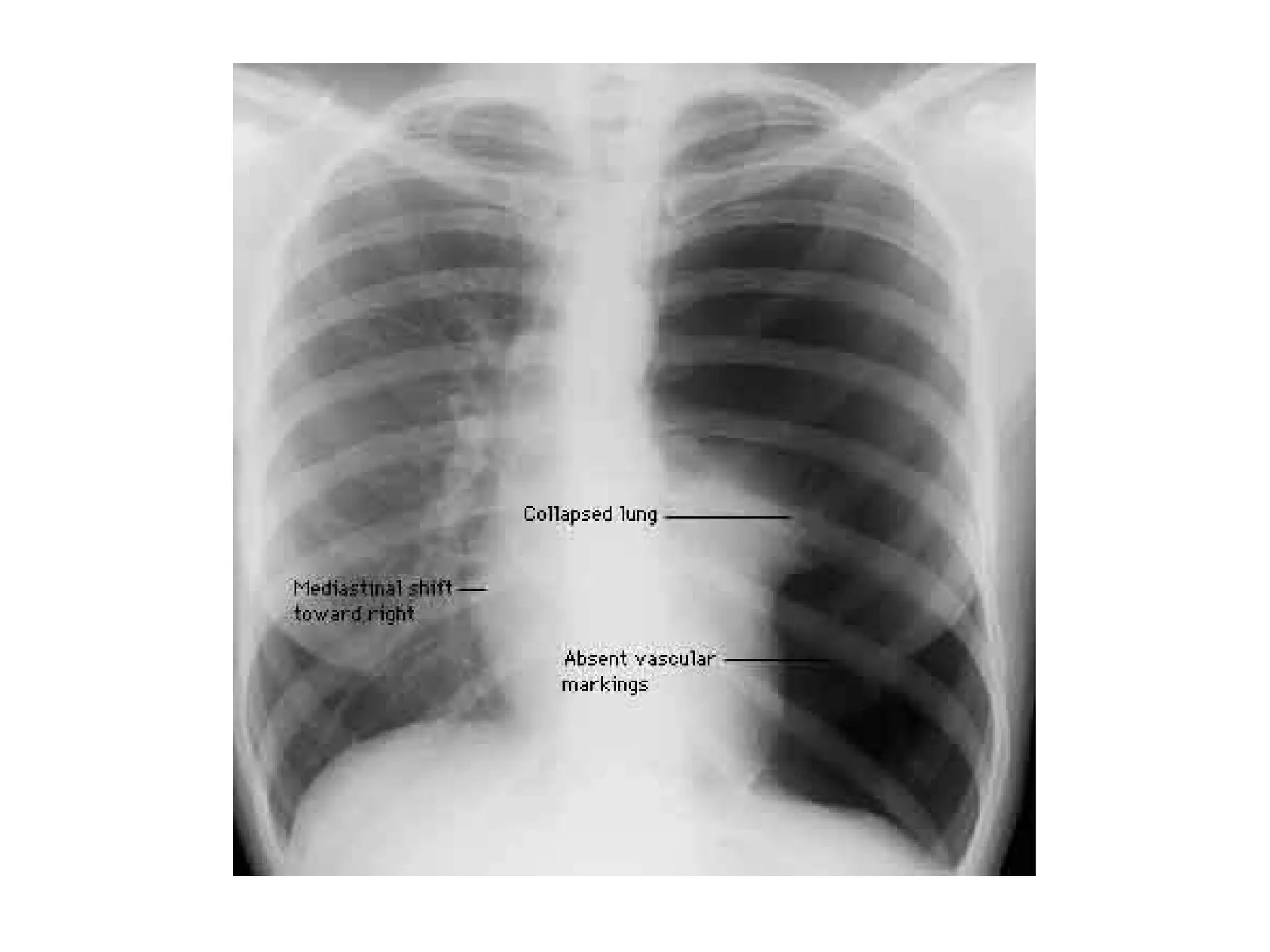
Barotrauma
Barotrauma or Volutrauma
Volutrauma
• High Paw alone insufficient to cause
alveolar rupture
• Excessive alveolar volume the likely
factor leading to alveolar rupture and air
dissection
• More frequent in younger age group
• May be difficult to detect if small in CXR
• “Stretch-induced” Acute lung injury
Patient-ventilator Synchrony
Patient-ventilator Synchrony
• Flow-targeted breath requires careful
adjustment
• Constant flow of 40-60 lpm not always
adequate
• Monitor: patient response, airway
pressure/flow graphics
• Using decelerating flow pattern may
be helpful
Patient-ventilator Synchrony
Patient-ventilator Synchrony
Pressure-targeted breath is better?
• Rapid pressurisation of the airway
with high initial gas flow
• Match Ppl change quicker than
flow pattern (difficult to assess Ppl)
• Flow is continuously adjusted by
the ventilator to maintain a constant
airway pressure
Patient-ventilator Synchrony
Patient-ventilator Synchrony
Any problems from pressure
Any problems from pressure
breaths?
breaths?
• Max initial flow may not be optimal in all
patients depending on drive
• Adjustment of the rate of rise may be
beneficial (rise time, sensitivity)
• Pressure of what? Proximal airway vs Ppl by
muscular effort
• So! brain(NAVA) or pleural triggering
helpful with a variable minute ventilation!
Weaning from Mechanical
Ventilation
Definition of Weaning
The transition process from
total ventilatory support
to spontaneous breathing.
This period may take many forms ranging
from abrupt withdrawal to gradual
withdrawal from ventilatory support.
Weaning
 Discontinuation of PPV is achieved in
most patients without difficulty
 up to 20% of patients experience
difficulty
 requires more gradual process so
that they can progressively assume
spont. respiration
 the cost of care, discontinue PPV
should proceed as soon as possible
Reversible reasons for prolonged
mechanical ventilation
• Inadequate respiratory drive
• Inability of the lungs to carry
out gas exchange effectively
• Psychological dependency
• Inspiratory fatigue
Weaning
• Patients who fail attempts at weaning
constitute a unique problem in critical
care
• It is necessary to understand the
mechanisms of ventilatory failure in
order to address weaning in this
population
Why patients are unable to
sustain spontaneous breathing
• Concept of Load exceeding
Capacity to breathe
• Load on respiratory system
• Capacity of respiratory system
Balance Load vs Capacity
• Most patients fail the transition from
ventilator support to sustain spont.
breathing because of failure of the
respiratory muscle pump
• They typically have a resp muscle
load the exceeds the resp
neuromuscular capacity
Load on Respiratory System
• Need for increase ventilation
increased carbon dioxide production
increased dead space ventilation
increased respiratory drive
• Increased work of breathing
Causes of Inspiratory respiratory
muscle fatigue
• Nutrition and metabolic deficiencies: K,
Mg, Ca, Phosphate and thyroid hormone
• Corticosteroids
• Chronic renal failure
• Systemic disceases; protein synthesis,
degradation, glycogen stores
• Hypoxemia and hypercapnia
• Excessive sedation
Capacity of respiratory system
• Central drive to breathe
• Transmission of CNS signal via Phrenic
nerve
• Impairment of resp muscles to generate
effective pressure gradients
• Impairment of normal muscle force
generation
Evidence based medicine
Evidence based medicine
• When to start weaning process?
When to start weaning process?
• Decision making, any guideline?
Decision making, any guideline?
How long it will take?
How long it will take?
When to begin the weaning process?
• Numerous trials performed to develop criteria
for success weaning, however, not useful to
predict when to begin the weaning
• Physicians must rely on clinical judgement
• Consider when the reason for IPPV is stabilised
and the patient is improving and
haemodynamically stable
• Daily screening may reduce the duration of MV
and ICU cost
Evidence-based medicine
Recommendation:
Search for all the causes that may
contribute to ventilator dependence in
all patients with longer than 24 h of MV
support, particularly who has fail
attempts. Reversing all possible causes
should be an integral part of
discontinuation process.
Daily Screening
• Resolution/improvement of patient’s underlying
problem
• OFF potent sedation
• Adequate gas exchange (SaO2 > 90%, PaO2/FiO2
>200)
• Respiratory rate < 35/ min
• Absence of fever, temperature < 38C
• Adequate haemoglobin concentration, > 8-10
g/dl
• Stable cardiovascular function: heart rate <
140/min, 180>SBP>90
Daily Screening (cont.)
• Indices suggesting an adequate capacity
of the ventilatory pump: respiratory
rate of less than 30/ min,
• Maximum inspiratory pressure < -20 to -
30 cmH2O
• Correction of metabolic and electrolyte
disorders
• Normal state of consciousness
Evidence-based medicine
Recommendation 2. Patients receiving
MV for respiratory failure should
undergo a formal assessment of
discontinuation potential if the criteria
are satisfied.
Reversal of cause, adequate oxygenation,
haemodynamic stability, capability to
initiate respiratory effort. The
decision must be individualized.
Predictions of the outcome of
weaning
Variables used to predict weaning
success: Gas exchange
• PaO2 of > 60 mmHg with FiO2 of < 0.35
• A-a PaO2 gradient of < 350 mmHg
• PaO2/FiO2 ratio of > 200
Weaning success prediction
Ventilation Pump
• Vital capacity > 10- 15 ml/kg BW
• Maximal negative insp pressure
< -30 cmH2O
• Minute ventilation < 10 l/min
• Maximal voluntary ventilation more
than twice resting MV
Weaning success prediction
• Tidal volume > 325 ml
• Tidal volume/BW > 4 ml/kg
• Dynamic Compliance > 22 ml/cmH2O
• Static compliance > 33 ml/cmH2O
• Rapid shallow breathing index < 105
breaths/min/L
Clinical observation of
the Respiratory Muscles
• Initially thought to be reliable in predicting
subsequent weaning failure
• from inductive plethysmographic studies
not necessary
• a substantial increase in load will effect on
the rate, depth, and pattern of breathing
• a manifestation of fatigue
Both respiratory rate and minute
ventilation initially increase, may
be followed by a paradoxical
inward motion of the anterior
abdominal wall during inspiration
which indicates the insufficient
diaphragmatic contraction to
descend and move the abdominal
content downward
Cyclic change in breathing
patterns with either a chest wall
motion or a predominantly
abdominal wall motion are
another indicator, called
respiratory alternans
Duration of weaning prior to initial episod
e of
fatigue (days)
Fatigue criteria
Hypoxia (PaO2 <60, SpO2 <90%)
Hypercarbia (PaCO2 > 50 mmHg)
Pulse rate > 120/min
SBP > 180 or < 90 mmHg
Respiratory rate > 30/min
Clinical respiratory distress
Fatigue Criteria
1. Maximal expiratory pressure
2. Peak expiratory flow rate
3. Cough strength
4. Secretion volume
5. Suctioning frequency
6. Cuff leak test
7. Neurological function (GCS) keep
higher than 11
Parameters that assess airway
patency and protection
Evidence-based medicine
Recommendation 3.
The removal of the artificial airway
from a patient who has successfully
been discontinued from ventilatory
support should be based on assessment
of airway patency and the ability of the
patient to protect the airway.
Methods of Weaning
• Abrupt Discontinuation
• Extubation to NPPV, IPPB/IS…
• T- tube trials (ATC is preferred)
• SIMV to CPAP
• Pressure support/Volume
Support
Spontaneous breathing protocol
• Communicate with patient, weaning is about to
begin, allow pt to express fear whenever
possible
• Obtain baseline value and monitoring clinical
parameters; vital signs, subj distress, gas
exchange, arrhythmia
• Ensure a calm atmosphere, avoid sedation
• Sit the patient upright in bed or chair
• Fit T-tube with adequate flow, observe for 2
hr
For How long I will have to
For How long I will have to
monitor the weaning process
monitor the weaning process
with SBT in my patient?
with SBT in my patient?
Evidence-based medicine
Recommendation 4.
Formal assessments should be done
during SBT rather than receiving
substantial support. The criteria to
assess patient tolerance during SBTs
are respiratory pattern, gas exchange,
hamodynamics stability and patient
comfort. The tolerance of SBTs lasting
30 to 120 minutes should prompt for
permanent ventilator discontinuation.
SIMV Protocol
• Switch to SIMV from assist mode or decrease RR
• Begin with RR 8/min decrease SIMV rate by two
breaths per hour unless clinical deterioration
• if assume to fail, increase SIMV rate to previous
level, until stable
• if stable at least 1 hour of rate 0/ min extubate
• in patient without respiratory disorders, decrease
rate with half an hour interval, 2 hr extubate
Pressure Support Protocol
• Switch to PSV or decrease PS
• Begin PSV at 25 cmH2O, decrease PS by 2-4
cmH2O every hour unless clinical deterioration
appears, adjust pressure until stable, if stable of
PSV = 0 for at least one hour fit with T-tube or
CPAP and then observe
• In patient without resp problems, decrease
pressure at half an hour interval, if able to
tolerate PSV = 0 for 2 hours, can be extubated
Failed to Wean
• Associated with intrinsic lung disease
• Associated with prolonged critical
illness
• Incidence approximately 20%
• Increased risk in patient with longer
duration of mechanical ventilation
• Increased risk of complications,
mortality
Evidence-based medicine
Recommendation 5.
Patients receiving MV who fail an SBT
should have the cause determined.
Once causes are corrected, and if the
patient still meets the criteria of
weaning, subsequent SBTs should be
performed every 24 hours.
Evidence-based medicine
Recommendation 6.
Patients receiving MV for
respiratory failure who fail an
SBT should receive a stable,
nonfatiguing, comfortable form
of ventilatory support.
Why a Weaning Protocol
Reduced ventilator time
Reduced weaning time; early
beginning by non-physician
healthcare workers
Reduced cost
Reduced complications: VAP
Evidence-based medicine
Recommendation 7.
Weaning protocols designed for non-
physician health care professionals
should be developed and implemented by
ICUs. Protocols aimed at optimizing
sedation should also be developed and
implemented.
Evidence-based medicine
Recommendation 8.
Tracheostomy should be considered
after period of stabilization on the
ventilator when it becomes apparent
that the patient will require
prolonged MV. Tracheostomy should
be performed when the patient
appears likely to gain one or more
benefits from the procedure.
Evidence-based medicine, cont.
• Required high levels of sedation to
tolerate tube
• With marginal respiratory mechanics,
lower resistance
• Derive psychological benefit from the
ability to eat orally, communicate by
articulated speech, enhanced mobility
• Assist physical therapy efforts
Evidence-based medicine
Recommendation 9.
Unless there is evidence for clearly
irreversible disease, a patient requiring
prolonged MV should not be considered
permanently ventilator-dependent until
3 months of weaning attempts have
failed.
Patient subgroups
Evidence-based medicine
Recommendation 10.
Anaesthesia/sedation strategies
and ventilator management aimed at
early extubation should be used in
postsurgical patients.
SEMIQUANTITATIVE ASSESSMENT OF NEED F
OR AIRWAY CARE
Spont.
cough
Gag
Sputum
Quantity
0 Vigorou
s
0 Vigorous 0 None
1 Moderat
e
1 Moderate 1 1 pass
2 Weak 2 Weak 2 2 passes
3 None 3 None 3 > 3 passes
Sputum
Viscosity
Suctioning
Frequency
( per last 8 h)
Sputum
Character
0 Watery
0
> 3 h 0 Clear
1 Frothy 1 q 2-3 h 1 Tan
2 Thick 2 q 1-2 h 2 Yellow
3 Tenacio
us
3 < q 1 h 3 Green
RT role in Weaning from
mechanical ventilation
Psychological preparation
Nurse-led weaning
• ICCN 2001: Limited evidence suggesting
that nurse-led weaning may reduce
ventilation time; however, not clear
whether it was nurse-led aspect or the
clinical protocol that produced the effect
• Superior to doctor-led weaning, has huge
implications for intensive care practice
Nurse-led weaning
• ICCN 2002; Retrospective study in
patients with MV longer than 7 days,
reduced average duration of MV support
• Some delays occurred: sedation; protocol
needed, epidural analgesia, tracheostomy;
surgical vs percutaneous, some staff
lacked confidence and knowledge:
continuous education programme
Daily Screening
• Resolution/improvement of patient’s
underlying problem
• Adequate gas exchange (SaO2 > 90%,
PaO2/FiO2 >200)
• Respiratory rate < 35/ min
• Absence of fever, temperature < 38C
• Adequate haemoglobin concentration, > 8-
10 g/dl
• Stable cardiovascular function: heart rate
< 140/min, 180>SBP>90
Daily Screening (cont.)
• Indices suggesting an adequate capacity
of the ventilatory pump: respiratory rate
of less than 30/ min, Maximum
inspiratory pressure < -20 to -30 cmH2O
• Correction of metabolic and electrolyte
disorders
• Normal state of consciousness
Oriented, Mental ease, Positive attitude
Psychological preparation
• Knowing the patient; personal resources,
motivation levels, and styles of coping, comes
from continued and close contact with the
patient
• Oriented; understanding what will happen and
being informed of progress, able to control
negative responses
• Mental ease; absence of anxiety and fear
arising from being informed, reassured and
supported
• Positive attitude; being motivated and co-
operating

weaning-from mechanical ventilation 1.ppt

  • 1.
  • 2.
    Although life-saving, PPVmay be associated with many complications, including: Consequences of PPV Aspects of volutrauma Adverse effects of intubation and tracheostomy
  • 3.
    Optimal Ventilatory Care OptimalVentilatory Care Requires Requires Attention to minimizing adverse hemodynamic effects Averting volutrauma Effecting freedom from PPV as early as possible
  • 4.
    Common Scenarios Common Scenarios •New development of hypotension • Acute respiratory distress (fighting) • Repeated sounding of High pressure alarm • Hypoxemia • Blood from the endotracheal tube • Problem of diagnosing VAP
  • 5.
    Barotrauma Barotrauma or Volutrauma Volutrauma •High Paw alone insufficient to cause alveolar rupture • Excessive alveolar volume the likely factor leading to alveolar rupture and air dissection • More frequent in younger age group • May be difficult to detect if small in CXR • “Stretch-induced” Acute lung injury
  • 8.
    Patient-ventilator Synchrony Patient-ventilator Synchrony •Flow-targeted breath requires careful adjustment • Constant flow of 40-60 lpm not always adequate • Monitor: patient response, airway pressure/flow graphics • Using decelerating flow pattern may be helpful
  • 9.
    Patient-ventilator Synchrony Patient-ventilator Synchrony Pressure-targetedbreath is better? • Rapid pressurisation of the airway with high initial gas flow • Match Ppl change quicker than flow pattern (difficult to assess Ppl) • Flow is continuously adjusted by the ventilator to maintain a constant airway pressure
  • 10.
    Patient-ventilator Synchrony Patient-ventilator Synchrony Anyproblems from pressure Any problems from pressure breaths? breaths? • Max initial flow may not be optimal in all patients depending on drive • Adjustment of the rate of rise may be beneficial (rise time, sensitivity) • Pressure of what? Proximal airway vs Ppl by muscular effort • So! brain(NAVA) or pleural triggering helpful with a variable minute ventilation!
  • 11.
  • 12.
    Definition of Weaning Thetransition process from total ventilatory support to spontaneous breathing. This period may take many forms ranging from abrupt withdrawal to gradual withdrawal from ventilatory support.
  • 13.
    Weaning  Discontinuation ofPPV is achieved in most patients without difficulty  up to 20% of patients experience difficulty  requires more gradual process so that they can progressively assume spont. respiration  the cost of care, discontinue PPV should proceed as soon as possible
  • 14.
    Reversible reasons forprolonged mechanical ventilation • Inadequate respiratory drive • Inability of the lungs to carry out gas exchange effectively • Psychological dependency • Inspiratory fatigue
  • 15.
    Weaning • Patients whofail attempts at weaning constitute a unique problem in critical care • It is necessary to understand the mechanisms of ventilatory failure in order to address weaning in this population
  • 16.
    Why patients areunable to sustain spontaneous breathing • Concept of Load exceeding Capacity to breathe • Load on respiratory system • Capacity of respiratory system
  • 17.
    Balance Load vsCapacity • Most patients fail the transition from ventilator support to sustain spont. breathing because of failure of the respiratory muscle pump • They typically have a resp muscle load the exceeds the resp neuromuscular capacity
  • 18.
    Load on RespiratorySystem • Need for increase ventilation increased carbon dioxide production increased dead space ventilation increased respiratory drive • Increased work of breathing
  • 19.
    Causes of Inspiratoryrespiratory muscle fatigue • Nutrition and metabolic deficiencies: K, Mg, Ca, Phosphate and thyroid hormone • Corticosteroids • Chronic renal failure • Systemic disceases; protein synthesis, degradation, glycogen stores • Hypoxemia and hypercapnia • Excessive sedation
  • 20.
    Capacity of respiratorysystem • Central drive to breathe • Transmission of CNS signal via Phrenic nerve • Impairment of resp muscles to generate effective pressure gradients • Impairment of normal muscle force generation
  • 21.
    Evidence based medicine Evidencebased medicine • When to start weaning process? When to start weaning process? • Decision making, any guideline? Decision making, any guideline? How long it will take? How long it will take?
  • 22.
    When to beginthe weaning process? • Numerous trials performed to develop criteria for success weaning, however, not useful to predict when to begin the weaning • Physicians must rely on clinical judgement • Consider when the reason for IPPV is stabilised and the patient is improving and haemodynamically stable • Daily screening may reduce the duration of MV and ICU cost
  • 23.
    Evidence-based medicine Recommendation: Search forall the causes that may contribute to ventilator dependence in all patients with longer than 24 h of MV support, particularly who has fail attempts. Reversing all possible causes should be an integral part of discontinuation process.
  • 24.
    Daily Screening • Resolution/improvementof patient’s underlying problem • OFF potent sedation • Adequate gas exchange (SaO2 > 90%, PaO2/FiO2 >200) • Respiratory rate < 35/ min • Absence of fever, temperature < 38C • Adequate haemoglobin concentration, > 8-10 g/dl • Stable cardiovascular function: heart rate < 140/min, 180>SBP>90
  • 25.
    Daily Screening (cont.) •Indices suggesting an adequate capacity of the ventilatory pump: respiratory rate of less than 30/ min, • Maximum inspiratory pressure < -20 to - 30 cmH2O • Correction of metabolic and electrolyte disorders • Normal state of consciousness
  • 26.
    Evidence-based medicine Recommendation 2.Patients receiving MV for respiratory failure should undergo a formal assessment of discontinuation potential if the criteria are satisfied. Reversal of cause, adequate oxygenation, haemodynamic stability, capability to initiate respiratory effort. The decision must be individualized.
  • 27.
    Predictions of theoutcome of weaning Variables used to predict weaning success: Gas exchange • PaO2 of > 60 mmHg with FiO2 of < 0.35 • A-a PaO2 gradient of < 350 mmHg • PaO2/FiO2 ratio of > 200
  • 28.
    Weaning success prediction VentilationPump • Vital capacity > 10- 15 ml/kg BW • Maximal negative insp pressure < -30 cmH2O • Minute ventilation < 10 l/min • Maximal voluntary ventilation more than twice resting MV
  • 29.
    Weaning success prediction •Tidal volume > 325 ml • Tidal volume/BW > 4 ml/kg • Dynamic Compliance > 22 ml/cmH2O • Static compliance > 33 ml/cmH2O • Rapid shallow breathing index < 105 breaths/min/L
  • 30.
    Clinical observation of theRespiratory Muscles • Initially thought to be reliable in predicting subsequent weaning failure • from inductive plethysmographic studies not necessary • a substantial increase in load will effect on the rate, depth, and pattern of breathing • a manifestation of fatigue
  • 31.
    Both respiratory rateand minute ventilation initially increase, may be followed by a paradoxical inward motion of the anterior abdominal wall during inspiration which indicates the insufficient diaphragmatic contraction to descend and move the abdominal content downward
  • 32.
    Cyclic change inbreathing patterns with either a chest wall motion or a predominantly abdominal wall motion are another indicator, called respiratory alternans
  • 33.
    Duration of weaningprior to initial episod e of fatigue (days) Fatigue criteria Hypoxia (PaO2 <60, SpO2 <90%) Hypercarbia (PaCO2 > 50 mmHg) Pulse rate > 120/min SBP > 180 or < 90 mmHg Respiratory rate > 30/min Clinical respiratory distress Fatigue Criteria
  • 34.
    1. Maximal expiratorypressure 2. Peak expiratory flow rate 3. Cough strength 4. Secretion volume 5. Suctioning frequency 6. Cuff leak test 7. Neurological function (GCS) keep higher than 11 Parameters that assess airway patency and protection
  • 35.
    Evidence-based medicine Recommendation 3. Theremoval of the artificial airway from a patient who has successfully been discontinued from ventilatory support should be based on assessment of airway patency and the ability of the patient to protect the airway.
  • 36.
    Methods of Weaning •Abrupt Discontinuation • Extubation to NPPV, IPPB/IS… • T- tube trials (ATC is preferred) • SIMV to CPAP • Pressure support/Volume Support
  • 37.
    Spontaneous breathing protocol •Communicate with patient, weaning is about to begin, allow pt to express fear whenever possible • Obtain baseline value and monitoring clinical parameters; vital signs, subj distress, gas exchange, arrhythmia • Ensure a calm atmosphere, avoid sedation • Sit the patient upright in bed or chair • Fit T-tube with adequate flow, observe for 2 hr
  • 38.
    For How longI will have to For How long I will have to monitor the weaning process monitor the weaning process with SBT in my patient? with SBT in my patient?
  • 39.
    Evidence-based medicine Recommendation 4. Formalassessments should be done during SBT rather than receiving substantial support. The criteria to assess patient tolerance during SBTs are respiratory pattern, gas exchange, hamodynamics stability and patient comfort. The tolerance of SBTs lasting 30 to 120 minutes should prompt for permanent ventilator discontinuation.
  • 40.
    SIMV Protocol • Switchto SIMV from assist mode or decrease RR • Begin with RR 8/min decrease SIMV rate by two breaths per hour unless clinical deterioration • if assume to fail, increase SIMV rate to previous level, until stable • if stable at least 1 hour of rate 0/ min extubate • in patient without respiratory disorders, decrease rate with half an hour interval, 2 hr extubate
  • 41.
    Pressure Support Protocol •Switch to PSV or decrease PS • Begin PSV at 25 cmH2O, decrease PS by 2-4 cmH2O every hour unless clinical deterioration appears, adjust pressure until stable, if stable of PSV = 0 for at least one hour fit with T-tube or CPAP and then observe • In patient without resp problems, decrease pressure at half an hour interval, if able to tolerate PSV = 0 for 2 hours, can be extubated
  • 42.
    Failed to Wean •Associated with intrinsic lung disease • Associated with prolonged critical illness • Incidence approximately 20% • Increased risk in patient with longer duration of mechanical ventilation • Increased risk of complications, mortality
  • 43.
    Evidence-based medicine Recommendation 5. Patientsreceiving MV who fail an SBT should have the cause determined. Once causes are corrected, and if the patient still meets the criteria of weaning, subsequent SBTs should be performed every 24 hours.
  • 44.
    Evidence-based medicine Recommendation 6. Patientsreceiving MV for respiratory failure who fail an SBT should receive a stable, nonfatiguing, comfortable form of ventilatory support.
  • 45.
    Why a WeaningProtocol Reduced ventilator time Reduced weaning time; early beginning by non-physician healthcare workers Reduced cost Reduced complications: VAP
  • 47.
    Evidence-based medicine Recommendation 7. Weaningprotocols designed for non- physician health care professionals should be developed and implemented by ICUs. Protocols aimed at optimizing sedation should also be developed and implemented.
  • 48.
    Evidence-based medicine Recommendation 8. Tracheostomyshould be considered after period of stabilization on the ventilator when it becomes apparent that the patient will require prolonged MV. Tracheostomy should be performed when the patient appears likely to gain one or more benefits from the procedure.
  • 49.
    Evidence-based medicine, cont. •Required high levels of sedation to tolerate tube • With marginal respiratory mechanics, lower resistance • Derive psychological benefit from the ability to eat orally, communicate by articulated speech, enhanced mobility • Assist physical therapy efforts
  • 50.
    Evidence-based medicine Recommendation 9. Unlessthere is evidence for clearly irreversible disease, a patient requiring prolonged MV should not be considered permanently ventilator-dependent until 3 months of weaning attempts have failed.
  • 51.
  • 52.
    Evidence-based medicine Recommendation 10. Anaesthesia/sedationstrategies and ventilator management aimed at early extubation should be used in postsurgical patients.
  • 53.
    SEMIQUANTITATIVE ASSESSMENT OFNEED F OR AIRWAY CARE Spont. cough Gag Sputum Quantity 0 Vigorou s 0 Vigorous 0 None 1 Moderat e 1 Moderate 1 1 pass 2 Weak 2 Weak 2 2 passes 3 None 3 None 3 > 3 passes Sputum Viscosity Suctioning Frequency ( per last 8 h) Sputum Character 0 Watery 0 > 3 h 0 Clear 1 Frothy 1 q 2-3 h 1 Tan 2 Thick 2 q 1-2 h 2 Yellow 3 Tenacio us 3 < q 1 h 3 Green
  • 54.
    RT role inWeaning from mechanical ventilation Psychological preparation
  • 55.
    Nurse-led weaning • ICCN2001: Limited evidence suggesting that nurse-led weaning may reduce ventilation time; however, not clear whether it was nurse-led aspect or the clinical protocol that produced the effect • Superior to doctor-led weaning, has huge implications for intensive care practice
  • 56.
    Nurse-led weaning • ICCN2002; Retrospective study in patients with MV longer than 7 days, reduced average duration of MV support • Some delays occurred: sedation; protocol needed, epidural analgesia, tracheostomy; surgical vs percutaneous, some staff lacked confidence and knowledge: continuous education programme
  • 57.
    Daily Screening • Resolution/improvementof patient’s underlying problem • Adequate gas exchange (SaO2 > 90%, PaO2/FiO2 >200) • Respiratory rate < 35/ min • Absence of fever, temperature < 38C • Adequate haemoglobin concentration, > 8- 10 g/dl • Stable cardiovascular function: heart rate < 140/min, 180>SBP>90
  • 58.
    Daily Screening (cont.) •Indices suggesting an adequate capacity of the ventilatory pump: respiratory rate of less than 30/ min, Maximum inspiratory pressure < -20 to -30 cmH2O • Correction of metabolic and electrolyte disorders • Normal state of consciousness Oriented, Mental ease, Positive attitude
  • 59.
    Psychological preparation • Knowingthe patient; personal resources, motivation levels, and styles of coping, comes from continued and close contact with the patient • Oriented; understanding what will happen and being informed of progress, able to control negative responses • Mental ease; absence of anxiety and fear arising from being informed, reassured and supported • Positive attitude; being motivated and co- operating