Bangabandhu Sheikh Mujib Medical University
Vascular access in
Haemodialysis
Presented By:
Dr. Md. Mostafizur Rahman Bhuiyan
Medical officer, Paediatric Cardiology
What is Dialysis:
The word Dialysis was taken from Greek  "διάλυσις " which
means “Dissolution through splitting”
It is the process of removing excess water, solutes
and toxins from the blood in people whose kidneys can no
longer perform these functions naturally. This is referred to
as renal replacement therapy.
When kidneys fail, dialysis is often only option to save life.
The first successful dialysis was performed in 1943.
Dialysis Options
There are two form of dialysis.
– Peritoneal dialysis
– Hemodialysis
Pie Chart shows among 635,645
patients with end-stage renal disease
(ESRD) 64.2% undergo hemodialysis
https://www.ajronline.org/doi/full/10.2
214/AJR.15.14650
Hemodialysis
Hemodialysis circulates blood through a machine
outside the body to remove toxins and excess fluid
& then pumps the cleansed blood back into the
body.
Hemodialysis Access
Dialysis access refers to the creation of an
entranceway into the bloodstream so that the blood
can be cleansed by the dialysis procedure.
Types of Hemodialysis
Access
Fistula (arteriovenous fistula)
Graft (arteriovenous graft)
Venous catheter
1. Cuffed
2. Uncuffed
Types of Hemodialysis
Access:
Among 4,07,811 U.S. end-stage
renal disease patients undergoing
hemodialysis :
64.2% are dialyzed through AVFs
18.5% through AVG
19.5% through hemodialysis
catheters
https://www.ajronline.org/doi/full/1
0.2214/AJR.15.14650
2017 Annual Data
Report
Change in type of vascular access during the first year of dialysis among ESRD patients starting
via hemodialysis in 2013 quarterly:
(a) type of vascular access in use (cross-sectional)
(b) longitudinal changes in vascular access use and other outcomes,
Data Source: Special analyses, USRDS ESRD Database. Data from January 1, 2013 to May 30, 2016
CROWNWeb, Consolidated Renal Operations in a Web-enabled Network; ESRD, end-stage renal disease;
HD, hemodialysis; PD, peritoneal dialysis.
Preparation for Haemodialysis
Access:
Ideally before dialysis an venous access should be made
– Fistula should be placed 6 months prior to start dialysis
– Graft should be placed 3-6 weeks prior to start dialysis
– Venous catheter can be used instantly
Preparation for Access
Before an access is made, patient is evaluated by a
surgeon –
– vein mapping with an doppler ultrasound to see –
– Vessel with a 2-2.5 mm and above diametre are
acceptable for fistula.
– US also help to determine course of the veins
– Blood lab tests for anaesthetic and surgical fitness
FISTULA/
AVF
An arteriovenous fistula is a connection between
an artery and a vein surgically created for
hemodialysis by the vascular surgeon
It is the preferred access of all the types of hemodialysis
access and is often referred to as the “gold standard.”
This access results in an extra pressure and extra blood
to flow into the vein, which helps to enlarge and
strengthen the vein.
What is a fistula or AVF?
An AV fistula allows a higher rate of blood to flow
back and forth from the vein to a dialysis machine.
Untreated veins cannot withstand repeated needle
insertions, because they would collapse under
strong suction.
What is an arteriovenous
fistula?
Hemodialysis Access
There are only about ten
sites in the body where
an AV fistula or graft can
be made. They are
commonly located in the
– Arm (non-dominate
forearm or upper arm)
– Leg
– Neck
Different fistula: Radiocephalic
End to side anastomosis of radial artery
and forearm cephalic vein, Brescia-
Cimino fistula (proximal forearm)
Original fistula created by Dr. James
Cimino in 1966.
Technically simple
Distal patency rates at one year are
approximately 50% to 80%.
The use of this distal access site
preserves more proximal vessels for
subsequent attempts at creating a
fistula.
Ref: Types of Arteriovenous Fistulas
Michael Segal; Erion Qaja.
Last Update: March 16, 2019.
Proximal forearm AVF:
Anastomosis
between
proximal radial
artery and
median
antecubital vein
Proximal forearm AVF:
Anastomosis between
perforating vein and
proximal radial artery
Brachiocephalic AVF:
Anastomosis between
Cephalic vein and
Brachial artery
Transposed brachiobasilic fistula
Anastomosis
between Basilic vein
& brachial artery
Maturation of the fistula:
Rule of 6s includes:
– The flow should be greater than 600 mL per minute
– Greater than 6 mm diameter
– Less than 6 mm below the skin
– At least 6 cm of the vein for cannulation
– A thorough examination and expected maturation at six weeks
Ref: Types of Arteriovenous Fistulas
Michael Segal; Erion Qaja.
Last Update: March 16, 2019.
Postoperative management of all arteriovenous
fistulas (AVFs)
Outcomes for forearm and upper arm arteriovenous fistula creation with the
transposition technique. Journal of Vascular Surgery Volume 63, Issue
3, March 2016, Pages 764-771
Outcomes for forearm and upper arm arteriovenous fistula creation with the
transposition technique. Journal of Vascular Surgery Volume 63, Issue 3
, March 2016, Pages 764-771
Advantages of AVFs
The gold standard for vascular access because –
– it provides adequate blood flow,
– lasts a long time, usually 20 plus years
– has a lower complication rate than other types of access.
It is done as minor outpatient surgery
Usually take 6 to 12 weeks to develop
Fewer infections & thrombus than grafts and catheters
Pt can take Bath
Disadvantages of AVFs
May require another temporary type of access during
the healing and maturation phase
Maturation may be delayed, or it may fail to mature
Visible as a bulge under the skin
Not always possible for all patients
Needles are required to access the AV fistula for
hemodialysis
Caring for Your AV Fistula
Daily care of AV fistula is essential for it’s proper
functioning
Look – Check for
– signs of infection, such as
– swelling,
– redness,
– warmth and
– drainage, as well as
– bleeding, peeling of the skin over the access or bulging
areas.
Caring for Your AV Fistula
Listen – Check for Bruit
Feel – Check for “thrill.”
Ask the patient –
– not to squeeze an access arm with elastic, a watch, or by
carrying something across it.
– To visit whenever there is chills or a fever.
Graft
Graft
AV graft is the second most common vascular access of
choice in hemodialysis patients
Arteriovenous graft is a surgically created anastomosis
between an artery and vein via prosthetic conduit. The
conduit can be straight or looped and placed superficially
under skin for easy cannulation
The graft becomes an artificial vein that can be used
repeatedly for needle placement and blood access during
hemodialysis
AV Graft
Location: Grafts can be placed in your arm or leg but
most are placed in the forearm
Grafts can be used after 3-6 weeks of placement
Indications –
– Small, weak or hypoplastic peripheral vein
– obesity
– severe arterial occlusive disease .
Biological
Synthetic – polytetrafluorethylene (PTFE) , Dacron,
silicon, and polyurethane.
Polytetrafluoroethylene (PTFE) grafts are preferred over
biological and other synthetic grafts due to low
thrombosis risk, longer patency, ease of implantation,
and low risk of disintegration with infection
Ref: Comparative study of use of Diastat versus standard wall PTFE grafts in upper arm hemodialysis
access.Almonacid PJ, Pallares EC, Rodriguez AQ, Valdes JS, Rueda Orgaz JA, Polo JR Ann Vasc
Surg. 2000 Nov; 14(6):659-62.
AV Graft material:
AV Graft material, newer options:
The HeRO Graft
(Hemodialysis
Reliable Outflow)
HeRO Graft is the only fully
subcutaneous AV access
clinically proven to maintain
long-term access for
catheter-dependent
patients with central
venous stenosis
Ref: Merit Medical dialysis devices
AV Graft material, newer options:
TEVG (Tissue
Engineered
Vascular Graft) :
Built to tolerate
hemodynamic loads,
heal and remodel in
response to needle
sticks, resist infection,
no post operative
maturation period.
Currently the major draw
back is cost
effectiveness
The Tissue-Engineered Vascular Graft—Past, Present, and Future; Tissue Eng Part B Rev.
2016 Feb 1; 22(1): 68–100. doi: 10.1089/ten.teb.2015.0100
Types of AVGs depending on
location:
Straight forearm (radial artery to cephalic vein)
Looped forearm Graft
(brachial artery to cephalic vein)
Straight upper arm (brachial artery to axillary vein)
Looped upper arm (axillary artery to axillary vein)
looped lower extremity graft
Advantages of Graft
Implanted during minor outpatient surgery
Can be used within 3-4 weeks
Initial high blood flow rates
Less primary failure than AVFs
Disadvantages of Graft
Usually only lasts 3-5 years
More likely to get infected than AVF
More likely to have infection & blood clots than
an AVF
Longer bleeding time than an AVF after dialysis
needles are removed
Catheter
Catheter
Dialysis catheters are
artificial indwelling
transcutaneous conduits that
are used to access the
venous space for renal
replacement therapy (RRT). 
Ref: http://meditechdevices.com/dura-
flow-acute-hemodialysis-catheter/
Catheter
Once a catheter is placed, needle insertion is not
necessary.
Though Catheters are not ideal for permanent access,
but they are useful to start hemodialysis immediately &
will work for several weeks or months while fistula / graft
matures.
Catheterization should be carried out in operating
theatre or high-dependency care areas, always using
a fully aseptic technique.
Sites
– Right Subclavian Vein
– Internal Jugular vein
– Femoral Vein
Advantage of Catheter
Dialysis can be performed immediately after placement
Easy to remove and replace
Disadvantage of
Catheter
Highest infection rate
Direct line to the heart contributes to more serious life
threatening infections
Clots more frequently
Often difficult to obtain sufficient blood flow to allow for
effective removal of waste materials through dialysis
Bathing and swimming are not recommended due to infection
risks
Different size of catheters:
Different size of catheters:
Complication during jugular /
subclavian catheterization:
Common :
Minor hematoma formation at
insertion site
Local infection
Arterial (carotid, subclavian,
vertebral) puncture
Arrhythmias,
Complication during jugular /
subclavian catheterization:
Rare Complications
Major hematoma compressing
airway
Major trauma to large vessels
with hemorrhage
Cardiac perforation with
tamponade
Pneumothorax or hemothorax
(diagnosis via chest radiograph)
Thoracic duct injury, usually
associated with left subclavian
or internal jugular approach
(diagnosis established by the
presence of chyle in pleural
fluid)
Sepsis
Venous air embolism
Nerve injury
Venous thrombosis and
pulmonary emboli
PROCEDURE:
HOW TO OBTAIN A CENTRAL VENOUS ACCESS
EQUIPMENTS :
Haemodialysis kit containing:
Seldinger needle
5/10 cc syringe without lure lock
Guidewire
Dilator
central venous catheter /
Haemodialysis catheter
anchoring clips.
EQUIPMENTS :
Other instruments:
Sterile mask, gloves, and gown
Sterile drapes
Monitors (ECG, pulse oximeter & BP)
Peripheral IV with infusion
Suture material
Scalpel / BP blade – 15 no
Sterile gauze
Syringes
Disinfectant (2% chlorhexidine, iodine solution)
Gallipot
0.9% normal saline
Heparin
Needle holder
Sponge holding forceps
EQUIPMENTS :
Seldinger needle : designed for single wall puncture
– small in diameter,
– thin walled,
– short beveled
– very sharp.
– Hub  clear
Wire:
Procedure:
Obtain informed written consent
Choose the site for insertion
Position the patient
Put on your gloves and gown.
Clean and drape the site: The iodine solution should be
applied vigorously to an area of skin approximately 30cm in
diameter, in a circular motion from centre to periphery for at
least 30 seconds. Do not use a forward and backward
movement.
repeat this step three times using a new swab for each
application
allow the antiseptic to air dry, do not wipe or blot
Procedure:
Draw 5 ml of lidocaine; raise a bleb on the skin with a
27-gauge needle.
Infiltrate local anesthetic all around the site, working
down toward the vein. Pull back on the plunger before
injecting each time to ensure that you don’t inject into
the vein.
open the dialysis catheter Kit, Flush each port of the
catheter with saline or heparinized saline (1:10), and
close off each line
Procedure:
The length of the catheter planned to be inserted should be
noted prior to insertion and documented
Attach a syringe to the 18/19 G needle, keeping the beveled
surface along Numeric marking on syringe.
Catheterization with tip at desired position
Dressing
Procedure: How to puncture:
Procedure:
vascular access
Anatomical consideration
Rt Femoral vein catheterization:
Find the arterial pulse and enter the
skin 1 cm medial to this, at a 45° angle
to the vertical and heading parallel to
the artery. Advance slowly, aspirating all
the time, until you enter the vein
Anatomical consideration
Rt subclavian vein
Catheterization:
Pt positioning
Selection of puncture site
Puncture
Wire advancement with
angled tip toward the
heart
Anatomical consideration
Internal jugular vein
Anatomical consideration (IJV & CA)
Relation of internal carotid artery with internal jugular
vein
US view of the Internal Juvular vein
&
Carotid artery
Procedure: Catheter tip position in
RA
Procedure: Catheter tip position in
RA
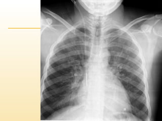
Follow up X- ray:
Catheter tip is
at rt upper
atrium.
Malpositioned
catheter tip
 Journal   inference 
Food and Drug Administration Task Force. 
Precautions necessary with centralvenous 
catheters. FDA Drug Bulletin, July 1989:15–
16.
Scott WL. Centralvenous catheters: an 
overview of Food and Drug Administration 
activities. Surg OncolClin North Am 1995; 
4:377–392.
“the catheter tip should
not be placed in or allowed to migrate
into the heart”
Oncology Nursing Society. Access
Device Guidelines: Recommendations
for Nursing Practice and Education.
Pittsburgh, PA: Oncology Nursing
Press, 1996.
a catheter tip should not be positioned
within the right atrium.
NationalAssociation of Vascular Access 
Networks. NAVAN Position
Statement. J Vasc Access Devices 1998;3:8–10
the tip of a PICC should be positioned 
within the lower third of the superior 
vena cava (SVC), close to the
junction of the SVC and right atrium
 Journal   inference  
Infusion Nurses Society. Standards of
Practice. J Intrav Nurs 2000; 23(suppl):6S
“central catheters should have the distal tip 
dwelling in the vena cava” 
NationalKidney Foundation. K/
DOQI Clinical Practice Guidelines for
Vascular Access. Am J Kidney Dis 2001;
37(suppl1):S137–S181.
• for tunneled (cuffed) catheters - states that 
the tip should be positioned at the 
SVC/right atrialjunction or into the right 
atrium to ensure optimal blood flow.
• For nontunneled hemodialysis catheters, 
position the catheter tip at the SVC/atrial 
junction or in the SVC.
Central Venous Catheter Tip Position: A
Continuing Controversy
J Vasc Interv Radiol 2003; 14:527–534
The majority of centralvenous catheters used 
for routine applications should be positioned 
with the distal tip in the SVC.
However, to achieve optimal performance of a 
hemodialysis or pheresis catheter, it may be 
necessary to position the tip within the upper 
right atrium   
https://www.health.qld.gov.au/data/assets/pdf_file/00
25/444670/icare-haemodialysis-guideline.pdf
(queensland, Australia)
Catheter exit site review:
CVCs should be reviewed for signs of infection at each
haemodialysis treatment or whenever accessed
The insertion site should be examined by the clinician
for erythema, exudate, tenderness, pain, redness,
swelling, suture integrity and catheter position
THANK YOU

vascular access for dialysis access: seminar