1
 Introduction
 Philosophy behind twin block therapy
 Development of twin block
 Form and function
 Growth studies in Animals
 Ideal case selection (indications and
contraindications)
 Diagnosis and Treatment planning
 Bite registration in functional therapy
 Bite registration in twin block technique
 Method of bite registration
2
 Standard appliance design
 Stages of treatment
 Modifications of twin block to treat variety of
malocclusions
 Reactivation of twin block
 Advantages of twin block
 Conclusion
3
MYOFUNCTIONAL APPLIANCES
INTRODUCTION
4
 On 7th September 1977, Dr. William J. Clark
developed Twin block.
5
6
PHILOSOPHY BEHIND TWIN BLOCK THERAPY
THE OCCLUSAL INCLINED PLANE :
7
 The occlusal forces
transmitted through the
dentition provide a
constant proprioceptive
stimulus to influence the
rate of growth and the
trabecular structure of
the supporting bone.
8
 PROPRIOCEPTIVE STIMULUS TO GROWTH:
9
DEVELOPMENT OF TWIN BLOCK
 7th September 1977
 Name :- Colin Gove
 Age / Sex :- 7yrs 10 months / Male
 Chief Complaint :- Luxated upper central
incisor
 On Examination :- Class II div 1 malocclusion
with a 9mm overjet and a midline shift to
right.
10
 Treatment :- The tooth was re-implanted but
due to class II; lower lip was trapped lingual to
the luxated tooth causing mobility and root
resorption .To prevent this the appliance with a
occlusal plane which could place the
mandibular forward into a edge to edge bite
was made .Later a fixed treatment was done
and the re-implanted tooth was crowned and a
stable result was obtained at age of 25 years.
11
Before treatment
IOPA showing
luxated 11
Post Treatment IOPA
showing an
endodontic pin To
stabilize 11
Different stages of treatment using twin block
combination therapy with fixed appliance in later
stage
12
RESPONSE TO TWIN BLOCK TREATMENT
 The clinical response observed after fitting twin
blocks is closely analogous to the changes
observed and reported in animal experiments
using fixed inclined planes.
 Harvold demonstrated that when the mandible
postures downwards and forwards, a vacuum is
not created distal to the condyle.
 Above and behind the condyle is an area of
intense cellular activity described as a “tension
zone” that is quickly invaded by proliferating
connective tissue and capillary blood vessels,
when the mandible functions in a protrusive
position.
13
Clark WJ. The twin block technique A functional orthopedic appliance system. American Journal
of Orthodontics and Dentofacial Orthopedics. 1988 Jan 1;93(1):1-8.
 These tissue changes are reflected in the
clinical signs after fitting the twin blocks.
 Within a few days the patient experiences pain
behind the condyle when the appliance is
removed.
 It may be deduced that retraction of the
condyles result in compression of the
connective tissue and blood vessels and
ischemia is the principal cause of pain.
14
Clark WJ. The twin block technique A functional orthopedic appliance system. American Journal
of Orthodontics and Dentofacial Orthopedics. 1988 Jan 1;93(1):1-8.
 A new pattern of muscle behaviour is quickly
established whereby the patient finds it
difficult and later impossible to retract the
mandible to its former retruded postion. This
change has been described by McNamara as
the ‘pterygoid response’
 It results from an altered activity of the
medial head of the lateral pterygoid muscle in
response to mandibular protrusion.
15
Clark WJ. The twin block technique A functional orthopedic appliance system. American Journal
of Orthodontics and Dentofacial Orthopedics. 1988 Jan 1;93(1):1-8.
 The muscles are the prime movers in growth,
followed by bone remodelling as a secondary
response to altered muscle function.
 Muscle function must be altered over a
sufficient period of time to allow adaptive bone
remodelling changes to occur in order to
reposition the condyle in the glenoid fossa.
16
17
INDICATIONS AND CONTRAINDICATIONS
18
 Indicated for treatment of uncrowded permanent
dentition with Class II division 1 malocclusion.
 It is designed to correct Class II skeletal
relationship, to correct molar relationship & to
correct overjet.
 Patient should be in growing age for favourable
skeletal change achievement.
 Treatment of Class III malocclusion.
 INDICATIONS :
19
 CONTRAINDICATIONS :
 Cases with vertical growth
pattern.
 Crowding that may require
extraction.
 When VTO is not positive
20
DIAGNOSIS AND TREATMENT
PLANNING
21
 Clinical examination is a fundamental
guideline for a proper case selection.
 The change in facial appearance is a preview
of the anticipated result of functional
treatment .
 If the facial profile improves when the
mandible is advanced with the lips tightly
closed, then functional mandibular
advancement is the treatment of choice.
22
 Clinical diagnosis has the advantage of
providing an accurate prediction of the 3-
dimensional change in the facial contours as
a result of mandibular advancement, and is
more important than the diagnostic profiles
defined by lines and angles drawn on a
cephalometric x-ray.
23
PHOTOGRAPHS :
 Profile and frontal photographs with the mandible
in retrusive and advanced position, are used to
assess the changes that can occur during
treatment.
24
 STUDY MODELS :
 Occlusal changes can be checked by sliding the
lower model forward and observing the articulation
of the mandibular dental arch with that of the upper
model.
25
 RADIOGRAPHS :
 OPG is vital to study the dentition and condition
of alveolar bone.
 Lateral cephalograms to support and confirm
the clinical diagnosis.
 TMJ X-rays may also be required to assess the
joint condition before treatment.
 Hand wrist film may be taken to assess the
developmental status of the patient.
26
ARCH LENGTH DISCREPANCY:
 It defines the amount of crowding present in
the dental arch by comparing the space
available with the space required to
accommodate all the teeth in the arch in
correct alignment.
27
 THE “RICHTER SCALE” :
 It is helpful in treatment planning to classify the
degree of difficulty of the malocclusion as mild,
moderate or severe. In arch length discrepancy:
1. Mild crowding is in the range of 1-3mm.
2. Moderate crowding is in the range of 4-5mm.
3. Severe crowding is in the range of 6mm or more.
28
 This is a sliding scale expressing degree of
difficulty for dental correction by non
extraction therapy.
 The higher the value, the more difficult it is to
resolve crowding permanently without
extractions.
29
 The Richter scale can also be applied when the
measure of convexity is used to determine the
skeletal discrepancy:
1. A skeletal convexity of 1-3mm is within the range
of normal.
2. 4-5mm convexity is moderate Class II skeletal
discrepancy.
3. 6mm or more in severe Class II .
The higher the convexity the more likely that
functional orthopaedics is indicated to improve the
BITE REGISTRATION IN FUNCTIONAL THERAPY
 The construction bite determines the degree of
activation built into the appliance, aiming to
reposition the mandible to improve the jaw
relationship.
 The degree of activation should stretch the
muscles of mastication sufficiently to provide a
positive proprioceptive response.
 At the same time, activation must be within the
physiologic range of activity of the muscles of
mastication and the ligamentous attachments of
the temporomandibular joint. 30
 According to Woodside (1977) in construction of
the activator as described by Andresen (1910):
“A bite registration used commonly
throughout the world registers the mandible in a
position protruded approximately 3.0mm distal to
the most posterior position that the patient can
achieve, while vertically the bite is registered
within the limits of the patient’s freeway space”
31
 In North America, a similar protrusive bite
registration is made, except that the vertical
activation is 4mm beyond rest position.
 Roccabado quantifies normal physiological TMJ
movement as 70% of total joint displacement. Hence,
the maximal forward positioning of the mandible
should not exceed 70% of the total protrusive path of
the patient.
 Beyond this position, the medial capsular ligament
begins to displace the disc by pulling the disc
medially & distally off the condyle.
32
BITE REGISTRATION IN TWIN BLOCK
TECHNIQUE
 Overjet of up to 10 mm : single activation to an
edge-to-edge incisor relationship with 2mm
interincisal clearance
 If the overjet > 10mm, initial advancement of 7 -
8mm is done followed by reactivation later.
33
 Some patients had difficulty in maintaining the
forward posture and occluding correctly on
the inclined planes.
 These patients usually had a vertical growth
pattern with weak musculature and were
unable to maintain the forward mandibular
posture consistently.
 To overcome this problem the activation of the
appliance was reduced slightly by trimming
the inclined planes until the patient occluded
34
35
 This difficulty can be avoided by relating bite
registration to the patient’s freedom of
movement and by registering the protrusive
path of movement.
 There are two types of bite gauges used to
register bite for twin block:
1. George bite gauge
2. Exactobite gauge/ Projet bite gauge (name
differs in the USA & UK) 36
GEORGE BITE GAUGE :
37
 GEORGE BITE
GAUGE: Has a
sliding jig attached to
a millimeter scale
designed to measure
the protrusion path
of the mandible .
 To determine
accurately the
amount of activation
registered in the
construction bite.
38
39
 Total protrusive movement is calculated by
first measuring the overjet in centric
occlusion & then in the position of
maximum protrusion.
 The protrusive path of the mandible is the
difference between the two measurements.
 Functional activation within normal
physiological limits should not exceed 70%
of the protrusive path.
40
EXACTOBITE / PROJET BITE GAUGE :
 Incisal portion has three
incisal grooves to be
positioned on the incisal
edge of the upper incisor.
 A single groove on the
opposing side that
engages the incisal edge
of the lower incisor.
 The appropriate groove is
selected depending on
the ease with which the
patient can posture the
mandible forward.
41
Clark W. Design and management of Twin Blocks: reflections after 30 years
of clinical use. Journal of orthodontics. 2010 Sep 1;37(3):209-16.
 Registers 2 mm vertical
clearance between the
incisal edges of the
upper and the lower
incisors.
 5 or 6 mm of clearance
in the first premolar
region and 3 mm of
clearance distally in the
molar region.
42
 It is very important to open the bite slightly
beyond the clearance of the free way space
to encourage the patient to close into the
appliance rather than allow the mandible to
drop out of contact into rest position, which
is one of the disadvantages of making the
blocks too thin.
43
VERTICAL ACTIVATION
 Determined by 2 factors:
1. Firstly, adequate vertical clearance must be available
between upper and lower teeth to accommodate
blocks of sufficient thickness to activate the
appliance.
2. Secondly, the vertical activation must open the bite
beyond the freeway space to ensure that the patient
cannot posture out of the appliance when the
mandible is in rest position.
44
 Class II division 1 deep bite : blocks are not less
than 5mm thick in the first premolar or first
deciduous molar region with 2mm of interincisal
clearance.
 In CIass II division 2 malocclusion: edge to edge
bite without 2mm interincisal clearance
 Anterior openbite: bite is registered with greater
interincisal clearance. 45
 At bite registration a judgement should be
made according to the amount of vertical
space between the cusp tips of first premolar
or deciduous molars to achieve the correct
degree of bite opening to accommodate blocks
of at least 5mm thickness.
46
SINGLE OR PROGRESSIVE ACTIVATION ???
 Petrovic et al (1981) found that stepwise activation is the
best procedure to promote orthopaedic lengthening of
the mandible.
 On this basis of Falke & Frankel (1989) reduced initial
activation for mandibular advancement to 3mm.
 This concept of progressive activation for functional
correction to achieve the optimum growth response has
been investigated ( De Vincenzo & Winn 1989; Falke
& Frankel, 1989) with differing result & require further
47
 The latter study used occlusal bite blocks to
investigate the relative effects of progressive
activation compared to a single large activation .
 The study concludes that there is no difference in
either orthodontic or orthopaedic variables between
progressive 3 mm advancement and a single
advancement averaging 5- 6mm.
 Continuous advancement by progressive 1mm
activations shows a diminished but still significant
response.
48
 Progressive activation is found to be time consuming with
no measurable improvement in the response.
 Hence, a single large activation is more efficient than
smaller progressive activations.
 However, Carmichael, Banks & Chadwick have described a
screw advancement mechanism for progressive activation
of twin blocks.
 Stepwise advancement may be beneficial in correction of
large overjets, or in the treatment of vertical growth
patterns, where smaller adjustments may improve patient
49
METHOD OF BITE REGISTRATION
 The centric position is checked and the desired degree of
activation is decided.
 The patient is then trained to bite in the desired position by
giving him a mirror.
 The wax is softened in a water bath and adapted.
 The patient is instructed to bite into the desired position.
 After the wax has hardened sufficiently, it is removed and
chilled.
 The models with the bite are articulated and the twin block
is constructed.
50
CONTROL OF THE VERTICAL DIMENSION
 The mechanism of control of the vertical
dimension differs in fixed and functional therapy.
 Fixed mechanics: the teeth remain in occlusion
during the course of treatment, and the effect is
limited to intrusion or extrusion of individual teeth
to increase or decrease overbite and level the
occlusal plane. 53
 Functional appliances are designed to influence
development in the anteroposterior and vertical
dimensions simultaneously.
 Control of the vertical dimension is achieved by
covering the teeth in the opposing arches &
controlling the intermaxillary space.
 The management of the appliance differs
according to whether the bite is to be opened or
closed during treatment. 54
 OPENING THE BITE :
 It is necessary first to check that the profile is
improved when the patient postures the
mandible downwards and forwards.
 This confirms that the bite should be opened
by encouraging the eruption of the posterior
teeth to increase the vertical dimension of
occlusion. 55
 The occlusion is freed
between the posterior
teeth to encourage
selective eruption of
posterior tooth to
increase the vertical
dimension of
occlusion in the
posterior quadrants.
56
 If a functional appliance is removed for eating ,
the tongue often spreads between the teeth and
delays eruption.
 Full-time appliance wear with twin blocks
prevent the tongue from spreading between the
teeth and accelerates correction of deep over-
bite.
57
 CLOSING THE BITE :
 Reduced overbite or anterior open bite is often
related to a vertical facial growth pattern.
 The lower facial height is already increased and
the vertical dimension must not be encouraged
to increase during treatment.
 An acrylic occlusal table is designed into the
appliance to maintain contact on the posterior
teeth throughout treatment.
58
 This results in a relative intrusion of the
posterior teeth while the anterior teeth are free
to erupt, thereby reducing the anterior open
bite .
 In treatment of reduced overbite it is very
important that the opposing acrylic occlusal
bite block surfaces are not trimmed.
 All posterior teeth must remain in contact with
the blocks through out treatment to prevent
59
ESTABLISHING VERTICAL DIMENSION : The
Intergingival Height
 Intergingival height is used to establish the
correct vertical dimension during the twin block
phase of treatment.
 It is measured from the gingival margin of upper
incisor to the gingival margin of lower incisor
when the teeth are in occlusion .
60
 This measurement has proved to be beneficial
for TMJ practitioners who use the inter
gingival height to establish the vertical
dimension in a restorative approach to rebuild
the occlusion in treatment of patients with
TMJ dysfunction.
 “COMFORT ZONE” for intergingival height for
adult patients is 17-19mm and for younger
patients it is 15-17 mm.
61
 Measurment of intergingival height is made by
using a millimeter ruler or dividers with a vernier
scale .
62
 To keep track of progress in opening or closing
the bite, this measurement should be noted on
the record card at every visit.
 In Twin Block treatment , the correct
intergingival height is achieved with great
consistency. Deep overbite may be
overcorrected to an intergingival height of
20mm.
63
64
ANGULATION OF THE INCLINED PLANE
 During evolution of the
technique, the angulation of
the inclined plane varied from
90 to 45 degree to the occlusal
plane, before arriving at an
angle of 70°.
 90O
angle: Patient had to make
a conscious effort to occlude
in a forward position.
65
 However, some patients had difficulty maintaining a
forward posture and , therefore, would revert the
mandible back to its old distal occluding position,
occluding the bite blocks together on top of each other
on their flat occlusal surfaces- posterior open bite.
 This was experienced in approximately 30% of the
earliest Twin Block cases.
 It was resolved by altering the angulation of the bite
blocks to 45° to the occlusal plane in order to guide the
mandible forwards.
66
 An angle of 45 degree to the occlusal plane :applies an equal
downward and forward component of force to the lower
dentition.
 The direction of occlusal force on inclined planes encourages
a corresponding downward & forward stimulus to growth.
 After using a 45 degree angle on the blocks for 8 yrs., the
angulation was finally changed to the steeper angle of 70
degree to the occlusal plane to apply a more horizontal
component of force.
 It was reasoned that this may encourage more forward
67
STANDARD APPLIANCE DESIGN
 The earliest Twin Blocks were designed with the
following basic components :
 A midline screw to expand the upper arch.
 Occlusal bite blocks.
 Clasps on upper molars and premolars.
 Clasps on lower premolars and incisors.
 A labial bow to retract the upper incisors.
 Springs to move individual teeth and to improve the
arch form as required.
 Provision for extraoral traction in some cases.
68
Example of an early Twin Block with a labial bow , lower incisor clasps
and provision for extraoral traction, which is no longer used to
reinforce anchorage.
69
70
LABIAL BOW :
 In its earlier stages all twin blocks invariably
incorporated a labial bow to retract the upper
anteriors.
 It was observed that if the labial bow engaged
the upper incisor, it tended to overcorrect
incisor angulations-- retracting upper incisors
prematurely and limiting the scope of functional
correction with mandibular advancement.
71
 This led to the conclusion that a labial bow is not always
required unless it is necessary to upright severely
proclined incisors and even then it must not be
activated untill full functional correction is complete and
a class I buccal segment relationship is achieved.
 In twin block treatment, a good lip seal is achieved
naturally without additional lip exercises.
 The lips act like a labial bow and lip pressure is effective
in uprighting upper incisors making a labial bow
superfluous.
72
 An alternate design that has gained some
popularity places an acrylic pad labial to the
lower incisors as an additional means of retention
and control-used by McNamara and Mills.
73
THE DELTA CLASP :
 Delta clasp designed by Dr. Clark is similar to Adams clasp
in principle but incorporates a new feature to improve
retention, reduce metal fatigue and minimize the need for
adjustment.
 The delta clasps retains the basic element of Adams clasp
,that is, the interdental tags, retentive loops and buccal
bridge, the difference is that the retentive loops are shaped
as a closed triangle, or a circle or ovoid as opposed to an
open U shaped arrowhead as in the Adams clasp.
74
75
 Due to the triangular shape the clasp does not
open with repetitive use and is less subjective to
breakage.
 Also this type of clasp could be used in lower
premolars and all posterior teeth giving excellent
retention.
76
 The clasp can be constructed by two methods:
1. First like a Adams clasp with retentive loops
angled to follow the curvature of the tooth into
mesial and distal undercuts. This is used if the
tooth is favorably shaped.
2. Second method is shaping the loops to go
directly interdentally and the loop is at right
angle to the bridge.
77
ADJUSTMENT OF THE DELTA CLASP :
 The Delta clasp can be adjusted in 2 ways :
1. By placing pliers on the wire as it emerges
from the acrylic. A slight adjustment extends
the retentive loop of the clasp into the gingival
or interdental undercut.
2. By grasping the arrowhead from the buccal
aspect and twisting the retentive loop inwards
towards the tooth to adjust into the mesial and
78
BIRD BEAK OR 139
PLIERS
79
 Incase of mixed dentition C Clasps are used
for peripheral clasping of deciduous molars
and canines.
80
BALL ENDED CLASPS
:
 Ball shaped interdental
clasps may be placed
for increased retention.
 Routinely employed
mesial to lower
canines & in upper
premolar or deciduous
molar region to gain
interdental retention
81
THE BASE PLATE :
 The base plate and occlusal bite blocks are made from heat
cure or cold cure acrylic.
 Advantage of heat cure acrylic is additional strength and
precision (as blocks are first made in wax).
 Cold cure acrylic has the advantage of speed and
convenience but strength is less.
82
 Preformed bite blocks made of good quality
heat cure acrylic are being manufactured for
incorporation into cold cure appliances to
combine convenience with strength and
accuracy.
83
POSITION OF THE
INCLINED PLANE :
 It is determined by the
lower block.
 It is important that the
inclined plane is clear of
mesial surface contact with
the lower molar, which must
be free to erupt
unobstructed in order to
reduce the overbite.
 The inclined plane on the
lower bite block is angled
from the mesial surface of
the second premolar or
deciduous molar at 70
84
 Lower block should extend distally to the buccal cusp of
the lower second premolar or deciduous molar, stopping
short of the distal marginal ridge .
 This allows the leading edge of the inclined plane on the
upper appliance to be positioned mesial to the lower first
molar so as not to obstruct eruption.
85
 Buccolingually: lower
block covers the
occlusal surfaces of the
lower premolars or
deciduous molars to
occlude with the inclined
plane on the upper twin
block.
 Flat occlusal bite block
passes forwards over
the first premolar to
become thinner
86
 The full thickness of the blocks need not be
maintained in the canine region.
 Reducing the bulk in this area is important, as
speech is improved by allowing the tongue
freedom of movement in the phonetic area.
87
 The upper inclined plane is angled from the mesial
surface of the upper second premolar to the mesial
surface of the lower first molar.
 The flat occlusal portion then passes distally over the
remaining upper posterior teeth , reducing in thickness
as it extends distally.
88
 Because the upper arch is wider than the lower ,it is
only necessary to cover the lingual cusps of the upper
posterior teeth ,rather than the full occlusal surface.
 This has the advantage of making the clasps more
flexible and allow access to the interdental wires of the
clasps for adjustment.
89
STAGES OF TREATMENT
Twin block Functional therapy is divided into
three stages:
1.Active Phase
2.Support Phase
3.Retention Phase
 Patient education and motivation
 Demonstration on insertion of the appliance with the
help of a mirror, pointing out the immediate
improvement in facial appearance.
 Explaining that the appliance will produce this
change in a few months, provided they are worn full
time.
 The appliance will feel bulky initially, speech will be
altered. This will resolve in a few days.
 Instruction on operating the expansion screw- 1
quarter turn per week.
 Cleaning the appliance.
90
91
STAGE 1 : ACTIVE PHASE
 Twin blocks achieve rapid functional correction of mandibular
position from a skeletally retruded class II to class I occlusion
using occlusal inclined planes over the posterior teeth to
guide the mandible into correct relationship with the maxilla.
 In all functional therapy sagittal correction is achieved before
vertical development of the posterior teeth is complete.
 The vertical dimension is controlled first by adjustment of the
occlusal bite blocks, followed by the use of the previously
mentioned upper inclined plane appliance.
92
Sequence of trimming blocks
93
 AIMS TO ACHIEVE AT THE END OF ACTIVE
STAGE :
 To achieve correction to Class I occlusion and control of
the vertical dimension by a three-point occlusal contact
with the incisors and molars in occlusion.
 At this stage, the overjet, overbite and distal occlusion
should be fully corrected.
94
CLINICAL MANAGEMENT DURING
ACTIVE PHASE
 APPLIANCE FITTING:
 It is first necessary to check that the patient bites
comfortably in a protrusive bite with the inclined planes
occluding correctly.
 To avoid irritation, it is important to relieve the lower
appliance slightly over the gingivae lingual to the lower
incisors.
95
 The clasps are adjusted to hold the appliance securely in
position without impinging on the gingival margin.
 If a labial bow is present , it should be out of contact with
the upper incisors.
96
INITIAL ACTIVATION –AFTER 10 DAYS
 The patient should now be wearing the appliances comfortably
& eating with them in position.
 The initial discomfort of a new appliance should be resolved.
 Patient motivation is reinforced.
 The patient should now be turning the upper midline screw one
quarter turn per week .
 Deep overbite: the upper bite block should be trimmed clear of
the lower molars leaving a clearance of 1-2 mm to allow these to
erupt.
97
 If patient is failing to posture forwards consistently to occlude
correctly on the inclined planes then this shows that appliance
is activated beyond the patient’s tolerance level so the
angulation of the inclined plane reduced to 45 degree.
 Treatment will be slower than normal due to weakness in
patient’s musculature reducing the functional response.
 This response is more likely in patients with vertical growth
pattern.
 Mandibular advancement will then be more gradual usually
requiring incremental activation of the occlusal inclined planes.
98
ADJUSTMENT VISIT– AFTER 4 WEEKS
 The first monthly visit positive progress should already be evident
with respect to better facial balance.
 Progress can also be confirmed by noting the amount of reduction
in overjet, as measured intraorally with the mandible fully retracted
.
 Check that the screw is operating correctly, & adjust the clasp if
necessary to improve retention , if the appliance include labial bow
, adjust it so as to out of contact with the upper incisors.
99
 In the treatment of deep overbite ensure that the lower
molars are not in contact with the upper block.
 The upper block is trimmed occlusodistally to clear
the occlusion.
100
ROUTINE ADJUSTMENT – TIME INTERVAL 6
WEEKS
 A similar pattern of adjustment continues with steady
correction of distal occlusion & reduction of overjet.
 The upper arch width is checked at each visit, until the
sufficient expansion to accommodate the lower arch in
its corrected position .
101
 Trimming of the upper block continues until all the
occlusal cover is removed from the upper molars to allow
the lower molars to erupt completely into occlusion .
 The overjet, overbite & distal occlusion should be fully
corrected by the end of the active twin block phase.
 It is now appropriate to proceed to the support phase.
102
 The purpose of support phase is to maintain the corrected
incisor relationship until the buccal segment occlusion is
fully interdigitated .
 For this an upper removable appliance is fitted with an
anterior inclined plane with a labial bow to engage the lower
incisors and canines.
 Lower appliance is left out at this stage and the removal of
posterior bite blocks allows the posterior teeth to erupt.
CLINICAL MANAGEMENT DURING
SUPPORT PHASE
103
 Vertical control is essential during the support phase after
reduction of overbite.
 For this , a flat occlusal stop of acrylic extends forwards
from the inclined plane to engage the lower incisors.
 This maintains the intergingival height as the posterior
teeth erupt into occlusion.
104
 The upper & lower buccal teeth should normally settle
into occlusion within 2-6 months.
 Full time appliance wear is necessary to allow time for
internal bony remodelling to support the corrected
occlusion.
105
A,B Support phase-anterior
inclined plane
106
RETENTION PHASE
 Treatment is followed by retention with the upper
anterior inclined plane appliance.
 A good buccal segment occlusion is important for
stability after correction of arch –to- arch relationship.
 Appliance wear is reduced to night time only when the
occlusion is fully established.
107
 In early treatment of severe skeletal discrepancies a
night-time functional appliance of the monobloc type
may be used as a retainer.
 This gives an additional functional support and may
be activated to enhance the orthopaedic response to
treatment during the transitional dentition.
108
 An excellent alternative is the occluso-guide which is a
preformed appliance resembling a mini-positioner.
109
 It is designed to fit the upper and lower anterior teeth and to
act as a functional retainer by engaging the teeth in an edge
to edge relationship in a slightly open position with an inter
incisal distance of 3 mm.
110
 This type of appliance
may be used as a
retainer during the
transition from mixed to
permanent dentition after
correction of arch
relationships in mixed
dentition with twin
blocks.
111
 The occluso-guide should be worn for 1-2 hrs during the
day and the patient is instructed to actively bite into the
appliance.
 This is effective in maintaining the vertical dimension
after correction of deep overbite.
 The material is sufficiently flexible to allow correction of
minor tooth irregularities, in addition to acting as a
retainer to reinforce the sagittal and vertical correction.
112
 AVERAGE TREATMENT TIME
 Active phase : 6-9 months
 Support phase : 3-6 months
 Retention : 9 months
 Average estimation of treatment time is 18 months
including retention.
113
PROGRESSIVE ACTIVATION OF TWIN
BLOCKS
 This is indicated in the following conditions:
 If overjet is greater than 10 mm, initial activation is 7-8 mm.
The second activation brings the incisors in edge to edge
relationship.
 If full correction is not achieved by initial activation.
114
 If the direction of growth is vertical, gradual advancement is
preferred to allow adequate time for compensatory mandibular
growth.
 In adult patients in whom muscles and ligaments are less
responsive to a sudden, large displacement of the mandible.
 In the treatment of TMJ dysfunction, activation should not be
beyond the level of tolerance of injured tissue.
115
REACTIVATION OF THE TWIN
BLOCK
 Reactivation is a simple procedure that is achieved
by extending the anterior incline of the upper Twin
Block mesially to increase the forward posture.
116
 Reactivation of the twin block can be done as a simple
chair side procedure by the addition of cold cure acrylic
to extend the anterior incline of the upper twin block
mesially as the clinician inserts the appliance to record a
new protrusive bite before the acrylic is fully set.
 No acrylic should be added to the distal incline of the
lower twin block.
 This is specially pertinent in deep bite cases as extending
the occlusal acrylic of the lower block distally will prevent
eruption of lower 1 st molar.
117
 The patient's growth rate and direction should be taken
into account in determining the timing and amount of
reactivation.
 Recent modifications of twin blocks incorporate screws
on the bite blocks for progressive reactivation of twin
blocks.
118
 Geserick and Olsburgh, along with Forestadent, have developed a bite-
jumping screw that allows for a gradual advancement while maintaining a
70º interface between the blocks.
Geserick, M. and Olsburgh, S.R.; The Bite-Jumping screw
for Modified Twin BlockTreatment, Journal of clinical
Orthod.,Volume XL Number 7, 432-435, July 2006.
119
120
MODIFICATIONS OF TWIN BLOCK
 FOR TRANSVERSE DEVELOPMENT:-
 It is nothing but a combination of Schwarz appliance
and twin block.
 Screws are incorporated in the upper and lower twin
blocks to develop the archfrom during the mixed
dentition.
 When screw is added in lower plate the appliance is
also termed as BOWBEER APPLIANCE.
121
 Other modifications for the transverse development are
 Jackson design in the lower twin block :
122
 Twin block Crozat appliance :
 Is suitable in adult treatment with minimum palatal
and lingual coverage.
 Disadvantage of this type of appliance is that it
requires careful adjustment to maintain symmetry.
123
 Twin Block Mc Namara appliance:
 It is modified by placing two screws in
the mid palatal region -one in anterior
region in line with premolars and the
other in posterior region in line with
molar.
 The advantage is that we can obtain
only anterior or only posterior
expansion as required.
124
 FOR SAGITTAL
DEVELOPMENT:-
 Sagittal arch development is
required when upper and
lower incisors are retroclined
with deep overbite.
TWIN BLOCK SAGITTAL
APPLIANCE
125
 TRANSVERSE AND SAGITTAL DEVELOPMENT
 Used in cases which require a combination of
transverse and sagittal development.
 It is fairly bulky in the anterior part of the palate
and therefore interferes with speech.
126
A. Three-screw upper sagittal appliance , with posterior midline screw
B. Three-screw upper sagittal appliance, with anterior midline screw.
127
TWIN BLOCKS TO CLOSE ANTERIOR OPEN BITE
 The treatment of anterior open bite demands applying an intrusive
force on the posterior teeth.
 Occlusal contact on the bite blocks on all the posterior teeth is
essential to prevent eruption, which would otherwise open the
bite; also it causes favorable mandibular rotation.
 For the bite registration in case of an open bite the vertical
clearance is kept beyond the freeway space so as to intrude the
posterior teeth.
128
 Occlusal rest are placed on
second molars if they are
about to erupt. The design of
the lower appliance is
changed placing clasps on
lower molars and first
premolars to give a good
stability.
129
 A labial bow can be added to retract the upper anteriors.
 In cases on anterior open bite along with tongue thrust a
spinner or a tongue guard can be added.
130
 The acrylic base plate
may be extended over the
cingulum of the upper and
lower incisors before
trimming the acrylic to
relieve contact with the
incisors.
 This method has the
advantage that the lingual
flange serves to shield the
incisors from the
tongue,thus allowing the
incisors to erupt .
131
 DESIGNER TWIN BLOCKS
132
TREATMENT OF CLASS III
MALOCCLUSION
 REVERSE TWIN BLOCKS :
 The occlusal blocks on the
upper appliance are positioned
over the deciduous molars to
occlude distally with blocks
placed over the lower first
permanent molars.
133
 The addition of two sagittal
screws in the palate
provides a means of
activation to advance the
upper incisors, and the
reciprocal force on the
inclined planes uses
anchorage in the lower
arch to drive the upper
arch labially.
134
 A contracted maxillary arch requires three-way expansion.
 This is achieved by a three-screw sagittal design or the
three-way screw to combine transverse and sagittal arch
development.
135
 For a reverse twin block, bite is taken with teeth in maximum
retruded position leaving sufficient space between the posterior
teeth for the occlusal blocks, this is with a interincisal clearance
of 2mm.
 Activation for class III correction cannot be as much as that for a
Class II correction, as there is less scope for distal displacement
of the mandible.
 BITE REGISTRATION FOR CLASS III MALOCCLUSION
136
 MAGNETIC TWIN BLOCKS:
 The role of magnets in twin block therapy is specifically
to accelerate correction of arch relationships.
 Two types of rare earth magnets are used –
1. Samarium cobalt
2. Neodymium boron
137
 Two types of magnetic forces have been proposed :
1. Attracting magnets
2. Repelling magnets
138
1. ATTRACTING MAGNETS :
 Increased activation can be built into the initial construction bite.
 The attracting magnetic force pulls the appliances together and
encourages the patient to occlude actively and consistently in a
forward position.
 Attracting magnets can accelerate progress by increasing the
frequency and the force of contact on the inclined planes .
139
 CLARKE used attracting magnets for the following clinical situations
:
 Class II division 1 malocclusion with a large overjet
 Mild residual Class II buccal segment relationship
 Mild Class II division 1 malocclusion with an overjet of 7 mm
 Unilateral Class II adult patient with temporomandibular joint pain
 Skeletal Class III malocclusion with persistent crossbite,failed to resolve
with conventional appliances
 Facial asymmetry -magnets may be added on inclined planes on the
affected side to increase unilateral contact
140
2. REPELLING MAGNETS:
 These may be used when less activation is built into twin
blocks.
 The repelling magnetic force applies additional stimulus to
forward posturing as the patient closes into occlusion.
141
 A short period of investigation shows that magnetic twin
blocks may help resolve some of the problems in difficult
cases.
 They should be used in those cases where speed of
treatment is an important consideration or where response
to non-magnetic appliances is poor.
 Magnetic twin blocks cannot be reactivated by addition of
acrylic to the inclined planes as this deactivates the
magnets.
 Screws may be needed on the bite blocks for progressive
activation of magnetic twin blocks.
142
TWIN BLOCK WITH CONCORDE FACEBOW
 Indications :
 Severe maxillary protrusion.
 To control a vertical growth pattern by the addition of
vertical traction to intrude the upper posterior teeth.
 In adult treatment where mandibular growth cannot
assist the correction of a severe malocclusion.
THE TWIN BLOCK TRACTION
TECHNIQUE
143
 The Concorde face bow is a new means of applying
intermaxillary and extraoral traction to restrict maxillary
growth and at the same time to encourage mandibular
growth in combination with functional mandibular
protrusion.
144
 A conventional face bow is
adapted by soldering a
recurved labial hook to extend
forward to rest outside the lips
as an anchor point to combine
intermaxillary and extraoral
traction.
145
 The traction components are worn at night only to reinforce
the action of the occlusal inclined plane .
 If the patient postures out of the appliance during the night
the intermaxillary traction force would increase.
 The aim is to make the appliance active 24 hrs per day to
maximize the orthopaedic response.
146
TREATMENT OF ASYMMETRY
 Twin blocks are effective in correction of facial and dental
asymmetry.
 Appliance design :
 Sagittal screws - more frequent turning of screw on the side that
requires more distal movement
 Use of magnets
147
TREATMENT IN ADULT CASES
 Even though the tooth movement is slower in adults but twin
block can still be used.
 There is limited dentoalveolar response. It is indicated in
patients in whom skeletal discrepancy is not severe, in case
of severe skeletal discrepancy a surgical line of treatment
should be considered.
148
FIXED TWIN BLOCKS
 To increase patient compliance, twin blocks
may be temporarily or permanently fixed to the
teeth.
 Temporary fixation of removable blocks is done
by either of the following 2 methods.
a. The clasps can be bonded to the teeth using
composite resin.
b. The twin blocks can be cemented on
to the occlusal surface of the teeth.
 This is generally done in the initial stages of
twin block therapy for 7 to 10 days to gain
patient compliance.
149
 Though fixed twin blocks ensure patient
compliance, their management is more difficult
than removable twin blocks.
150
 Their disadvantages are:
 They can be detached from the teeth, requiring immediate
repair.
 If lower molars are used for fixations, they cannot be
erupted to correct deepbite.
 After fitting, adjustment for control of the vertical
dimension is limited.
 Hence removable twin blocks are preferred for compliant
patients.
151
TWIN BLOCKS IN TMJ THERAPY:
 Twin blocks are most likely to be used to resolve an early
click when the condyle is displaced distal to the disk and
the disk is recaptured at an early stage in the opening
movements.
152
 Twin blocks then achieve the following objectives:
1. Pain is relieved within 4 days of fitting twin blocks.
2. Muscles are retrained to a healthy pattern. Facial balance is
improved and muscle spasm relieved.
3. The disk is recaptured by posturing the mandible
downward and forward to advance the condyles.
153
4. Rather than acting as a passive splint, twin blocks can
move teeth that are causing occlusal imbalance.
5. The upper block may be trimmed selectively over the
lower first molar only, using molar bands with vertical
elastics to accelerate eruption. Occlusal contact is
maintained with 2nd and 3rd molars to support the
vertical dimension and rest the joint.
154
 The twin block sagittal appliance is generally used in TMJ
derangement cases.
 Bite is registered with mandible moved downward and forward to
a comfortable position.
 If pain is not relieved by forward posture and the disk does not
appear to be recaptured, there may be internal derangement or
infolding of the disk which will not respond to twin block therapy.
 The twin block Biofinisher attachment is an alternative method to
extrude lower molars by vertical traction to increase the vertical
dimension to stabilize the TMJ.
155
It has a hook for elastic above the
upper molar in the vestibule, to
achieve a longer span of elastic for
extrusive force.
The attachment is inserted in
horizontal tubes over the
interdental embrasure in the molar
region.
The biofinisher attachment is
removable and can be used if
wanted only in night time.
156
157
The twin block is more effective in relieving joint pain,
diminishing joint dysfunction, reducing joint clicking, and
eliminating muscle tenderness in patients with anterior disc
displacement with reduction as compared to the occlusal splint.
Rohida NS, Bhad W. A clinical, MRI, and EMG analysis comparing
the efficacy of twin blocks and flat occlusal splints in the management
of disc displacements with reduction. World journal of orthodontics.
2010 Sep 1;11(3).
158
ADVANTAGES OF TWIN BLOCK COMPARED TO
OTHER FUNCTIONAL APPLIANCES
 Comfort of the patient
 Aesthetics
 Function
 Patient compliance
 Facial appearance
 Speech
 Clinical management
 Arch development
 Mandibular repositioning
 Facial asymmetry
 Vertical control
 Safety
 Efficiency
 Age of treatment
 Integration with fixed appliances
 Treatment of TMJ dysfunctions
164
Jena AK, Duggal R, Parkash H. Skeletal and dentoalveolar effects of Twin-
block and bionator appliances in the treatment of Class II malocclusion: a
comparative study. American Journal of Orthodontics and Dentofacial
Orthopedics. 2006 Nov 30;130(5):594-602.
165
Burhan AS, Nawaya FR. Dentoskeletal effects of the Bite-Jumping
Appliance and the Twin-Block Appliance in the treatment of skeletal
Class II malocclusion: a randomized controlled trial. European journal of
orthodontics. 2014 Oct 8;37(3):330-7.
166
Baysal A, Uysal T. Soft tissue effects of Twin Block and Herbst appliances
in patients with Class II division 1 mandibular retrognathy. The European
Journal of Orthodontics. 2011 Feb 28;35(1):71-81.
167
Baccetti T, Franchi L, Toth LR, McNamara JA. Treatment timing for Twin-
block therapy. American Journal of Orthodontics and Dentofacial
Orthopedics. 2000 Aug 31;118(2):159-70.
168
Siara-Olds NJ, Pangrazio-Kulbersh V, Berger J, Bayirli B. Long-term
dentoskeletal changes with the Bionator, Herbst, Twin Block, and MARA
functional appliances. The Angle orthodontist. 2010 Jan;80(1):18-29.
169
 In the pursuit of ideals in Orthodontics, facial balance and harmony are
of equal importance to ideal and occlusal perfection.
 Twin blocks are extremely patient and operator friendly functional
appliances. They have the gift of versatility of design, which allows
their use in a variety of clinical situations to effectively correct different
types of malocclusions.
CONCLUSION
170

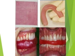
Twin block appliance.

  • 1.
  • 2.
     Introduction  Philosophybehind twin block therapy  Development of twin block  Form and function  Growth studies in Animals  Ideal case selection (indications and contraindications)  Diagnosis and Treatment planning  Bite registration in functional therapy  Bite registration in twin block technique  Method of bite registration 2
  • 3.
     Standard appliancedesign  Stages of treatment  Modifications of twin block to treat variety of malocclusions  Reactivation of twin block  Advantages of twin block  Conclusion 3
  • 4.
  • 5.
     On 7thSeptember 1977, Dr. William J. Clark developed Twin block. 5
  • 6.
  • 7.
    PHILOSOPHY BEHIND TWINBLOCK THERAPY THE OCCLUSAL INCLINED PLANE : 7
  • 8.
     The occlusalforces transmitted through the dentition provide a constant proprioceptive stimulus to influence the rate of growth and the trabecular structure of the supporting bone. 8  PROPRIOCEPTIVE STIMULUS TO GROWTH:
  • 9.
  • 10.
    DEVELOPMENT OF TWINBLOCK  7th September 1977  Name :- Colin Gove  Age / Sex :- 7yrs 10 months / Male  Chief Complaint :- Luxated upper central incisor  On Examination :- Class II div 1 malocclusion with a 9mm overjet and a midline shift to right. 10
  • 11.
     Treatment :-The tooth was re-implanted but due to class II; lower lip was trapped lingual to the luxated tooth causing mobility and root resorption .To prevent this the appliance with a occlusal plane which could place the mandibular forward into a edge to edge bite was made .Later a fixed treatment was done and the re-implanted tooth was crowned and a stable result was obtained at age of 25 years. 11
  • 12.
    Before treatment IOPA showing luxated11 Post Treatment IOPA showing an endodontic pin To stabilize 11 Different stages of treatment using twin block combination therapy with fixed appliance in later stage 12
  • 13.
    RESPONSE TO TWINBLOCK TREATMENT  The clinical response observed after fitting twin blocks is closely analogous to the changes observed and reported in animal experiments using fixed inclined planes.  Harvold demonstrated that when the mandible postures downwards and forwards, a vacuum is not created distal to the condyle.  Above and behind the condyle is an area of intense cellular activity described as a “tension zone” that is quickly invaded by proliferating connective tissue and capillary blood vessels, when the mandible functions in a protrusive position. 13 Clark WJ. The twin block technique A functional orthopedic appliance system. American Journal of Orthodontics and Dentofacial Orthopedics. 1988 Jan 1;93(1):1-8.
  • 14.
     These tissuechanges are reflected in the clinical signs after fitting the twin blocks.  Within a few days the patient experiences pain behind the condyle when the appliance is removed.  It may be deduced that retraction of the condyles result in compression of the connective tissue and blood vessels and ischemia is the principal cause of pain. 14 Clark WJ. The twin block technique A functional orthopedic appliance system. American Journal of Orthodontics and Dentofacial Orthopedics. 1988 Jan 1;93(1):1-8.
  • 15.
     A newpattern of muscle behaviour is quickly established whereby the patient finds it difficult and later impossible to retract the mandible to its former retruded postion. This change has been described by McNamara as the ‘pterygoid response’  It results from an altered activity of the medial head of the lateral pterygoid muscle in response to mandibular protrusion. 15 Clark WJ. The twin block technique A functional orthopedic appliance system. American Journal of Orthodontics and Dentofacial Orthopedics. 1988 Jan 1;93(1):1-8.
  • 16.
     The musclesare the prime movers in growth, followed by bone remodelling as a secondary response to altered muscle function.  Muscle function must be altered over a sufficient period of time to allow adaptive bone remodelling changes to occur in order to reposition the condyle in the glenoid fossa. 16
  • 17.
  • 18.
    18  Indicated fortreatment of uncrowded permanent dentition with Class II division 1 malocclusion.  It is designed to correct Class II skeletal relationship, to correct molar relationship & to correct overjet.  Patient should be in growing age for favourable skeletal change achievement.  Treatment of Class III malocclusion.  INDICATIONS :
  • 19.
    19  CONTRAINDICATIONS : Cases with vertical growth pattern.  Crowding that may require extraction.  When VTO is not positive
  • 20.
  • 21.
    21  Clinical examinationis a fundamental guideline for a proper case selection.  The change in facial appearance is a preview of the anticipated result of functional treatment .  If the facial profile improves when the mandible is advanced with the lips tightly closed, then functional mandibular advancement is the treatment of choice.
  • 22.
    22  Clinical diagnosishas the advantage of providing an accurate prediction of the 3- dimensional change in the facial contours as a result of mandibular advancement, and is more important than the diagnostic profiles defined by lines and angles drawn on a cephalometric x-ray.
  • 23.
    23 PHOTOGRAPHS :  Profileand frontal photographs with the mandible in retrusive and advanced position, are used to assess the changes that can occur during treatment.
  • 24.
    24  STUDY MODELS:  Occlusal changes can be checked by sliding the lower model forward and observing the articulation of the mandibular dental arch with that of the upper model.
  • 25.
    25  RADIOGRAPHS : OPG is vital to study the dentition and condition of alveolar bone.  Lateral cephalograms to support and confirm the clinical diagnosis.  TMJ X-rays may also be required to assess the joint condition before treatment.  Hand wrist film may be taken to assess the developmental status of the patient.
  • 26.
    26 ARCH LENGTH DISCREPANCY: It defines the amount of crowding present in the dental arch by comparing the space available with the space required to accommodate all the teeth in the arch in correct alignment.
  • 27.
    27  THE “RICHTERSCALE” :  It is helpful in treatment planning to classify the degree of difficulty of the malocclusion as mild, moderate or severe. In arch length discrepancy: 1. Mild crowding is in the range of 1-3mm. 2. Moderate crowding is in the range of 4-5mm. 3. Severe crowding is in the range of 6mm or more.
  • 28.
    28  This isa sliding scale expressing degree of difficulty for dental correction by non extraction therapy.  The higher the value, the more difficult it is to resolve crowding permanently without extractions.
  • 29.
    29  The Richterscale can also be applied when the measure of convexity is used to determine the skeletal discrepancy: 1. A skeletal convexity of 1-3mm is within the range of normal. 2. 4-5mm convexity is moderate Class II skeletal discrepancy. 3. 6mm or more in severe Class II . The higher the convexity the more likely that functional orthopaedics is indicated to improve the
  • 30.
    BITE REGISTRATION INFUNCTIONAL THERAPY  The construction bite determines the degree of activation built into the appliance, aiming to reposition the mandible to improve the jaw relationship.  The degree of activation should stretch the muscles of mastication sufficiently to provide a positive proprioceptive response.  At the same time, activation must be within the physiologic range of activity of the muscles of mastication and the ligamentous attachments of the temporomandibular joint. 30
  • 31.
     According toWoodside (1977) in construction of the activator as described by Andresen (1910): “A bite registration used commonly throughout the world registers the mandible in a position protruded approximately 3.0mm distal to the most posterior position that the patient can achieve, while vertically the bite is registered within the limits of the patient’s freeway space” 31
  • 32.
     In NorthAmerica, a similar protrusive bite registration is made, except that the vertical activation is 4mm beyond rest position.  Roccabado quantifies normal physiological TMJ movement as 70% of total joint displacement. Hence, the maximal forward positioning of the mandible should not exceed 70% of the total protrusive path of the patient.  Beyond this position, the medial capsular ligament begins to displace the disc by pulling the disc medially & distally off the condyle. 32
  • 33.
    BITE REGISTRATION INTWIN BLOCK TECHNIQUE  Overjet of up to 10 mm : single activation to an edge-to-edge incisor relationship with 2mm interincisal clearance  If the overjet > 10mm, initial advancement of 7 - 8mm is done followed by reactivation later. 33
  • 34.
     Some patientshad difficulty in maintaining the forward posture and occluding correctly on the inclined planes.  These patients usually had a vertical growth pattern with weak musculature and were unable to maintain the forward mandibular posture consistently.  To overcome this problem the activation of the appliance was reduced slightly by trimming the inclined planes until the patient occluded 34
  • 35.
  • 36.
     This difficultycan be avoided by relating bite registration to the patient’s freedom of movement and by registering the protrusive path of movement.  There are two types of bite gauges used to register bite for twin block: 1. George bite gauge 2. Exactobite gauge/ Projet bite gauge (name differs in the USA & UK) 36
  • 37.
  • 38.
     GEORGE BITE GAUGE:Has a sliding jig attached to a millimeter scale designed to measure the protrusion path of the mandible .  To determine accurately the amount of activation registered in the construction bite. 38
  • 39.
  • 40.
     Total protrusivemovement is calculated by first measuring the overjet in centric occlusion & then in the position of maximum protrusion.  The protrusive path of the mandible is the difference between the two measurements.  Functional activation within normal physiological limits should not exceed 70% of the protrusive path. 40
  • 41.
    EXACTOBITE / PROJETBITE GAUGE :  Incisal portion has three incisal grooves to be positioned on the incisal edge of the upper incisor.  A single groove on the opposing side that engages the incisal edge of the lower incisor.  The appropriate groove is selected depending on the ease with which the patient can posture the mandible forward. 41 Clark W. Design and management of Twin Blocks: reflections after 30 years of clinical use. Journal of orthodontics. 2010 Sep 1;37(3):209-16.
  • 42.
     Registers 2mm vertical clearance between the incisal edges of the upper and the lower incisors.  5 or 6 mm of clearance in the first premolar region and 3 mm of clearance distally in the molar region. 42
  • 43.
     It isvery important to open the bite slightly beyond the clearance of the free way space to encourage the patient to close into the appliance rather than allow the mandible to drop out of contact into rest position, which is one of the disadvantages of making the blocks too thin. 43
  • 44.
    VERTICAL ACTIVATION  Determinedby 2 factors: 1. Firstly, adequate vertical clearance must be available between upper and lower teeth to accommodate blocks of sufficient thickness to activate the appliance. 2. Secondly, the vertical activation must open the bite beyond the freeway space to ensure that the patient cannot posture out of the appliance when the mandible is in rest position. 44
  • 45.
     Class IIdivision 1 deep bite : blocks are not less than 5mm thick in the first premolar or first deciduous molar region with 2mm of interincisal clearance.  In CIass II division 2 malocclusion: edge to edge bite without 2mm interincisal clearance  Anterior openbite: bite is registered with greater interincisal clearance. 45
  • 46.
     At biteregistration a judgement should be made according to the amount of vertical space between the cusp tips of first premolar or deciduous molars to achieve the correct degree of bite opening to accommodate blocks of at least 5mm thickness. 46
  • 47.
    SINGLE OR PROGRESSIVEACTIVATION ???  Petrovic et al (1981) found that stepwise activation is the best procedure to promote orthopaedic lengthening of the mandible.  On this basis of Falke & Frankel (1989) reduced initial activation for mandibular advancement to 3mm.  This concept of progressive activation for functional correction to achieve the optimum growth response has been investigated ( De Vincenzo & Winn 1989; Falke & Frankel, 1989) with differing result & require further 47
  • 48.
     The latterstudy used occlusal bite blocks to investigate the relative effects of progressive activation compared to a single large activation .  The study concludes that there is no difference in either orthodontic or orthopaedic variables between progressive 3 mm advancement and a single advancement averaging 5- 6mm.  Continuous advancement by progressive 1mm activations shows a diminished but still significant response. 48
  • 49.
     Progressive activationis found to be time consuming with no measurable improvement in the response.  Hence, a single large activation is more efficient than smaller progressive activations.  However, Carmichael, Banks & Chadwick have described a screw advancement mechanism for progressive activation of twin blocks.  Stepwise advancement may be beneficial in correction of large overjets, or in the treatment of vertical growth patterns, where smaller adjustments may improve patient 49
  • 50.
    METHOD OF BITEREGISTRATION  The centric position is checked and the desired degree of activation is decided.  The patient is then trained to bite in the desired position by giving him a mirror.  The wax is softened in a water bath and adapted.  The patient is instructed to bite into the desired position.  After the wax has hardened sufficiently, it is removed and chilled.  The models with the bite are articulated and the twin block is constructed. 50
  • 53.
    CONTROL OF THEVERTICAL DIMENSION  The mechanism of control of the vertical dimension differs in fixed and functional therapy.  Fixed mechanics: the teeth remain in occlusion during the course of treatment, and the effect is limited to intrusion or extrusion of individual teeth to increase or decrease overbite and level the occlusal plane. 53
  • 54.
     Functional appliancesare designed to influence development in the anteroposterior and vertical dimensions simultaneously.  Control of the vertical dimension is achieved by covering the teeth in the opposing arches & controlling the intermaxillary space.  The management of the appliance differs according to whether the bite is to be opened or closed during treatment. 54
  • 55.
     OPENING THEBITE :  It is necessary first to check that the profile is improved when the patient postures the mandible downwards and forwards.  This confirms that the bite should be opened by encouraging the eruption of the posterior teeth to increase the vertical dimension of occlusion. 55
  • 56.
     The occlusionis freed between the posterior teeth to encourage selective eruption of posterior tooth to increase the vertical dimension of occlusion in the posterior quadrants. 56
  • 57.
     If afunctional appliance is removed for eating , the tongue often spreads between the teeth and delays eruption.  Full-time appliance wear with twin blocks prevent the tongue from spreading between the teeth and accelerates correction of deep over- bite. 57
  • 58.
     CLOSING THEBITE :  Reduced overbite or anterior open bite is often related to a vertical facial growth pattern.  The lower facial height is already increased and the vertical dimension must not be encouraged to increase during treatment.  An acrylic occlusal table is designed into the appliance to maintain contact on the posterior teeth throughout treatment. 58
  • 59.
     This resultsin a relative intrusion of the posterior teeth while the anterior teeth are free to erupt, thereby reducing the anterior open bite .  In treatment of reduced overbite it is very important that the opposing acrylic occlusal bite block surfaces are not trimmed.  All posterior teeth must remain in contact with the blocks through out treatment to prevent 59
  • 60.
    ESTABLISHING VERTICAL DIMENSION: The Intergingival Height  Intergingival height is used to establish the correct vertical dimension during the twin block phase of treatment.  It is measured from the gingival margin of upper incisor to the gingival margin of lower incisor when the teeth are in occlusion . 60
  • 61.
     This measurementhas proved to be beneficial for TMJ practitioners who use the inter gingival height to establish the vertical dimension in a restorative approach to rebuild the occlusion in treatment of patients with TMJ dysfunction.  “COMFORT ZONE” for intergingival height for adult patients is 17-19mm and for younger patients it is 15-17 mm. 61
  • 62.
     Measurment ofintergingival height is made by using a millimeter ruler or dividers with a vernier scale . 62
  • 63.
     To keeptrack of progress in opening or closing the bite, this measurement should be noted on the record card at every visit.  In Twin Block treatment , the correct intergingival height is achieved with great consistency. Deep overbite may be overcorrected to an intergingival height of 20mm. 63
  • 64.
    64 ANGULATION OF THEINCLINED PLANE  During evolution of the technique, the angulation of the inclined plane varied from 90 to 45 degree to the occlusal plane, before arriving at an angle of 70°.  90O angle: Patient had to make a conscious effort to occlude in a forward position.
  • 65.
    65  However, somepatients had difficulty maintaining a forward posture and , therefore, would revert the mandible back to its old distal occluding position, occluding the bite blocks together on top of each other on their flat occlusal surfaces- posterior open bite.  This was experienced in approximately 30% of the earliest Twin Block cases.  It was resolved by altering the angulation of the bite blocks to 45° to the occlusal plane in order to guide the mandible forwards.
  • 66.
    66  An angleof 45 degree to the occlusal plane :applies an equal downward and forward component of force to the lower dentition.  The direction of occlusal force on inclined planes encourages a corresponding downward & forward stimulus to growth.  After using a 45 degree angle on the blocks for 8 yrs., the angulation was finally changed to the steeper angle of 70 degree to the occlusal plane to apply a more horizontal component of force.  It was reasoned that this may encourage more forward
  • 67.
    67 STANDARD APPLIANCE DESIGN The earliest Twin Blocks were designed with the following basic components :  A midline screw to expand the upper arch.  Occlusal bite blocks.  Clasps on upper molars and premolars.  Clasps on lower premolars and incisors.  A labial bow to retract the upper incisors.  Springs to move individual teeth and to improve the arch form as required.  Provision for extraoral traction in some cases.
  • 68.
    68 Example of anearly Twin Block with a labial bow , lower incisor clasps and provision for extraoral traction, which is no longer used to reinforce anchorage.
  • 69.
  • 70.
    70 LABIAL BOW : In its earlier stages all twin blocks invariably incorporated a labial bow to retract the upper anteriors.  It was observed that if the labial bow engaged the upper incisor, it tended to overcorrect incisor angulations-- retracting upper incisors prematurely and limiting the scope of functional correction with mandibular advancement.
  • 71.
    71  This ledto the conclusion that a labial bow is not always required unless it is necessary to upright severely proclined incisors and even then it must not be activated untill full functional correction is complete and a class I buccal segment relationship is achieved.  In twin block treatment, a good lip seal is achieved naturally without additional lip exercises.  The lips act like a labial bow and lip pressure is effective in uprighting upper incisors making a labial bow superfluous.
  • 72.
    72  An alternatedesign that has gained some popularity places an acrylic pad labial to the lower incisors as an additional means of retention and control-used by McNamara and Mills.
  • 73.
    73 THE DELTA CLASP:  Delta clasp designed by Dr. Clark is similar to Adams clasp in principle but incorporates a new feature to improve retention, reduce metal fatigue and minimize the need for adjustment.  The delta clasps retains the basic element of Adams clasp ,that is, the interdental tags, retentive loops and buccal bridge, the difference is that the retentive loops are shaped as a closed triangle, or a circle or ovoid as opposed to an open U shaped arrowhead as in the Adams clasp.
  • 74.
  • 75.
    75  Due tothe triangular shape the clasp does not open with repetitive use and is less subjective to breakage.  Also this type of clasp could be used in lower premolars and all posterior teeth giving excellent retention.
  • 76.
    76  The claspcan be constructed by two methods: 1. First like a Adams clasp with retentive loops angled to follow the curvature of the tooth into mesial and distal undercuts. This is used if the tooth is favorably shaped. 2. Second method is shaping the loops to go directly interdentally and the loop is at right angle to the bridge.
  • 77.
    77 ADJUSTMENT OF THEDELTA CLASP :  The Delta clasp can be adjusted in 2 ways : 1. By placing pliers on the wire as it emerges from the acrylic. A slight adjustment extends the retentive loop of the clasp into the gingival or interdental undercut. 2. By grasping the arrowhead from the buccal aspect and twisting the retentive loop inwards towards the tooth to adjust into the mesial and
  • 78.
    78 BIRD BEAK OR139 PLIERS
  • 79.
    79  Incase ofmixed dentition C Clasps are used for peripheral clasping of deciduous molars and canines.
  • 80.
    80 BALL ENDED CLASPS : Ball shaped interdental clasps may be placed for increased retention.  Routinely employed mesial to lower canines & in upper premolar or deciduous molar region to gain interdental retention
  • 81.
    81 THE BASE PLATE:  The base plate and occlusal bite blocks are made from heat cure or cold cure acrylic.  Advantage of heat cure acrylic is additional strength and precision (as blocks are first made in wax).  Cold cure acrylic has the advantage of speed and convenience but strength is less.
  • 82.
    82  Preformed biteblocks made of good quality heat cure acrylic are being manufactured for incorporation into cold cure appliances to combine convenience with strength and accuracy.
  • 83.
    83 POSITION OF THE INCLINEDPLANE :  It is determined by the lower block.  It is important that the inclined plane is clear of mesial surface contact with the lower molar, which must be free to erupt unobstructed in order to reduce the overbite.  The inclined plane on the lower bite block is angled from the mesial surface of the second premolar or deciduous molar at 70
  • 84.
    84  Lower blockshould extend distally to the buccal cusp of the lower second premolar or deciduous molar, stopping short of the distal marginal ridge .  This allows the leading edge of the inclined plane on the upper appliance to be positioned mesial to the lower first molar so as not to obstruct eruption.
  • 85.
    85  Buccolingually: lower blockcovers the occlusal surfaces of the lower premolars or deciduous molars to occlude with the inclined plane on the upper twin block.  Flat occlusal bite block passes forwards over the first premolar to become thinner
  • 86.
    86  The fullthickness of the blocks need not be maintained in the canine region.  Reducing the bulk in this area is important, as speech is improved by allowing the tongue freedom of movement in the phonetic area.
  • 87.
    87  The upperinclined plane is angled from the mesial surface of the upper second premolar to the mesial surface of the lower first molar.  The flat occlusal portion then passes distally over the remaining upper posterior teeth , reducing in thickness as it extends distally.
  • 88.
    88  Because theupper arch is wider than the lower ,it is only necessary to cover the lingual cusps of the upper posterior teeth ,rather than the full occlusal surface.  This has the advantage of making the clasps more flexible and allow access to the interdental wires of the clasps for adjustment.
  • 89.
    89 STAGES OF TREATMENT Twinblock Functional therapy is divided into three stages: 1.Active Phase 2.Support Phase 3.Retention Phase
  • 90.
     Patient educationand motivation  Demonstration on insertion of the appliance with the help of a mirror, pointing out the immediate improvement in facial appearance.  Explaining that the appliance will produce this change in a few months, provided they are worn full time.  The appliance will feel bulky initially, speech will be altered. This will resolve in a few days.  Instruction on operating the expansion screw- 1 quarter turn per week.  Cleaning the appliance. 90
  • 91.
    91 STAGE 1 :ACTIVE PHASE  Twin blocks achieve rapid functional correction of mandibular position from a skeletally retruded class II to class I occlusion using occlusal inclined planes over the posterior teeth to guide the mandible into correct relationship with the maxilla.  In all functional therapy sagittal correction is achieved before vertical development of the posterior teeth is complete.  The vertical dimension is controlled first by adjustment of the occlusal bite blocks, followed by the use of the previously mentioned upper inclined plane appliance.
  • 92.
  • 93.
    93  AIMS TOACHIEVE AT THE END OF ACTIVE STAGE :  To achieve correction to Class I occlusion and control of the vertical dimension by a three-point occlusal contact with the incisors and molars in occlusion.  At this stage, the overjet, overbite and distal occlusion should be fully corrected.
  • 94.
    94 CLINICAL MANAGEMENT DURING ACTIVEPHASE  APPLIANCE FITTING:  It is first necessary to check that the patient bites comfortably in a protrusive bite with the inclined planes occluding correctly.  To avoid irritation, it is important to relieve the lower appliance slightly over the gingivae lingual to the lower incisors.
  • 95.
    95  The claspsare adjusted to hold the appliance securely in position without impinging on the gingival margin.  If a labial bow is present , it should be out of contact with the upper incisors.
  • 96.
    96 INITIAL ACTIVATION –AFTER10 DAYS  The patient should now be wearing the appliances comfortably & eating with them in position.  The initial discomfort of a new appliance should be resolved.  Patient motivation is reinforced.  The patient should now be turning the upper midline screw one quarter turn per week .  Deep overbite: the upper bite block should be trimmed clear of the lower molars leaving a clearance of 1-2 mm to allow these to erupt.
  • 97.
    97  If patientis failing to posture forwards consistently to occlude correctly on the inclined planes then this shows that appliance is activated beyond the patient’s tolerance level so the angulation of the inclined plane reduced to 45 degree.  Treatment will be slower than normal due to weakness in patient’s musculature reducing the functional response.  This response is more likely in patients with vertical growth pattern.  Mandibular advancement will then be more gradual usually requiring incremental activation of the occlusal inclined planes.
  • 98.
    98 ADJUSTMENT VISIT– AFTER4 WEEKS  The first monthly visit positive progress should already be evident with respect to better facial balance.  Progress can also be confirmed by noting the amount of reduction in overjet, as measured intraorally with the mandible fully retracted .  Check that the screw is operating correctly, & adjust the clasp if necessary to improve retention , if the appliance include labial bow , adjust it so as to out of contact with the upper incisors.
  • 99.
    99  In thetreatment of deep overbite ensure that the lower molars are not in contact with the upper block.  The upper block is trimmed occlusodistally to clear the occlusion.
  • 100.
    100 ROUTINE ADJUSTMENT –TIME INTERVAL 6 WEEKS  A similar pattern of adjustment continues with steady correction of distal occlusion & reduction of overjet.  The upper arch width is checked at each visit, until the sufficient expansion to accommodate the lower arch in its corrected position .
  • 101.
    101  Trimming ofthe upper block continues until all the occlusal cover is removed from the upper molars to allow the lower molars to erupt completely into occlusion .  The overjet, overbite & distal occlusion should be fully corrected by the end of the active twin block phase.  It is now appropriate to proceed to the support phase.
  • 102.
    102  The purposeof support phase is to maintain the corrected incisor relationship until the buccal segment occlusion is fully interdigitated .  For this an upper removable appliance is fitted with an anterior inclined plane with a labial bow to engage the lower incisors and canines.  Lower appliance is left out at this stage and the removal of posterior bite blocks allows the posterior teeth to erupt. CLINICAL MANAGEMENT DURING SUPPORT PHASE
  • 103.
    103  Vertical controlis essential during the support phase after reduction of overbite.  For this , a flat occlusal stop of acrylic extends forwards from the inclined plane to engage the lower incisors.  This maintains the intergingival height as the posterior teeth erupt into occlusion.
  • 104.
    104  The upper& lower buccal teeth should normally settle into occlusion within 2-6 months.  Full time appliance wear is necessary to allow time for internal bony remodelling to support the corrected occlusion.
  • 105.
  • 106.
    106 RETENTION PHASE  Treatmentis followed by retention with the upper anterior inclined plane appliance.  A good buccal segment occlusion is important for stability after correction of arch –to- arch relationship.  Appliance wear is reduced to night time only when the occlusion is fully established.
  • 107.
    107  In earlytreatment of severe skeletal discrepancies a night-time functional appliance of the monobloc type may be used as a retainer.  This gives an additional functional support and may be activated to enhance the orthopaedic response to treatment during the transitional dentition.
  • 108.
    108  An excellentalternative is the occluso-guide which is a preformed appliance resembling a mini-positioner.
  • 109.
    109  It isdesigned to fit the upper and lower anterior teeth and to act as a functional retainer by engaging the teeth in an edge to edge relationship in a slightly open position with an inter incisal distance of 3 mm.
  • 110.
    110  This typeof appliance may be used as a retainer during the transition from mixed to permanent dentition after correction of arch relationships in mixed dentition with twin blocks.
  • 111.
    111  The occluso-guideshould be worn for 1-2 hrs during the day and the patient is instructed to actively bite into the appliance.  This is effective in maintaining the vertical dimension after correction of deep overbite.  The material is sufficiently flexible to allow correction of minor tooth irregularities, in addition to acting as a retainer to reinforce the sagittal and vertical correction.
  • 112.
    112  AVERAGE TREATMENTTIME  Active phase : 6-9 months  Support phase : 3-6 months  Retention : 9 months  Average estimation of treatment time is 18 months including retention.
  • 113.
    113 PROGRESSIVE ACTIVATION OFTWIN BLOCKS  This is indicated in the following conditions:  If overjet is greater than 10 mm, initial activation is 7-8 mm. The second activation brings the incisors in edge to edge relationship.  If full correction is not achieved by initial activation.
  • 114.
    114  If thedirection of growth is vertical, gradual advancement is preferred to allow adequate time for compensatory mandibular growth.  In adult patients in whom muscles and ligaments are less responsive to a sudden, large displacement of the mandible.  In the treatment of TMJ dysfunction, activation should not be beyond the level of tolerance of injured tissue.
  • 115.
    115 REACTIVATION OF THETWIN BLOCK  Reactivation is a simple procedure that is achieved by extending the anterior incline of the upper Twin Block mesially to increase the forward posture.
  • 116.
    116  Reactivation ofthe twin block can be done as a simple chair side procedure by the addition of cold cure acrylic to extend the anterior incline of the upper twin block mesially as the clinician inserts the appliance to record a new protrusive bite before the acrylic is fully set.  No acrylic should be added to the distal incline of the lower twin block.  This is specially pertinent in deep bite cases as extending the occlusal acrylic of the lower block distally will prevent eruption of lower 1 st molar.
  • 117.
    117  The patient'sgrowth rate and direction should be taken into account in determining the timing and amount of reactivation.  Recent modifications of twin blocks incorporate screws on the bite blocks for progressive reactivation of twin blocks.
  • 118.
    118  Geserick andOlsburgh, along with Forestadent, have developed a bite- jumping screw that allows for a gradual advancement while maintaining a 70º interface between the blocks. Geserick, M. and Olsburgh, S.R.; The Bite-Jumping screw for Modified Twin BlockTreatment, Journal of clinical Orthod.,Volume XL Number 7, 432-435, July 2006.
  • 119.
  • 120.
    120 MODIFICATIONS OF TWINBLOCK  FOR TRANSVERSE DEVELOPMENT:-  It is nothing but a combination of Schwarz appliance and twin block.  Screws are incorporated in the upper and lower twin blocks to develop the archfrom during the mixed dentition.  When screw is added in lower plate the appliance is also termed as BOWBEER APPLIANCE.
  • 121.
    121  Other modificationsfor the transverse development are  Jackson design in the lower twin block :
  • 122.
    122  Twin blockCrozat appliance :  Is suitable in adult treatment with minimum palatal and lingual coverage.  Disadvantage of this type of appliance is that it requires careful adjustment to maintain symmetry.
  • 123.
    123  Twin BlockMc Namara appliance:  It is modified by placing two screws in the mid palatal region -one in anterior region in line with premolars and the other in posterior region in line with molar.  The advantage is that we can obtain only anterior or only posterior expansion as required.
  • 124.
    124  FOR SAGITTAL DEVELOPMENT:- Sagittal arch development is required when upper and lower incisors are retroclined with deep overbite. TWIN BLOCK SAGITTAL APPLIANCE
  • 125.
    125  TRANSVERSE ANDSAGITTAL DEVELOPMENT  Used in cases which require a combination of transverse and sagittal development.  It is fairly bulky in the anterior part of the palate and therefore interferes with speech.
  • 126.
    126 A. Three-screw uppersagittal appliance , with posterior midline screw B. Three-screw upper sagittal appliance, with anterior midline screw.
  • 127.
    127 TWIN BLOCKS TOCLOSE ANTERIOR OPEN BITE  The treatment of anterior open bite demands applying an intrusive force on the posterior teeth.  Occlusal contact on the bite blocks on all the posterior teeth is essential to prevent eruption, which would otherwise open the bite; also it causes favorable mandibular rotation.  For the bite registration in case of an open bite the vertical clearance is kept beyond the freeway space so as to intrude the posterior teeth.
  • 128.
    128  Occlusal restare placed on second molars if they are about to erupt. The design of the lower appliance is changed placing clasps on lower molars and first premolars to give a good stability.
  • 129.
    129  A labialbow can be added to retract the upper anteriors.  In cases on anterior open bite along with tongue thrust a spinner or a tongue guard can be added.
  • 130.
    130  The acrylicbase plate may be extended over the cingulum of the upper and lower incisors before trimming the acrylic to relieve contact with the incisors.  This method has the advantage that the lingual flange serves to shield the incisors from the tongue,thus allowing the incisors to erupt .
  • 131.
  • 132.
    132 TREATMENT OF CLASSIII MALOCCLUSION  REVERSE TWIN BLOCKS :  The occlusal blocks on the upper appliance are positioned over the deciduous molars to occlude distally with blocks placed over the lower first permanent molars.
  • 133.
    133  The additionof two sagittal screws in the palate provides a means of activation to advance the upper incisors, and the reciprocal force on the inclined planes uses anchorage in the lower arch to drive the upper arch labially.
  • 134.
    134  A contractedmaxillary arch requires three-way expansion.  This is achieved by a three-screw sagittal design or the three-way screw to combine transverse and sagittal arch development.
  • 135.
    135  For areverse twin block, bite is taken with teeth in maximum retruded position leaving sufficient space between the posterior teeth for the occlusal blocks, this is with a interincisal clearance of 2mm.  Activation for class III correction cannot be as much as that for a Class II correction, as there is less scope for distal displacement of the mandible.  BITE REGISTRATION FOR CLASS III MALOCCLUSION
  • 136.
    136  MAGNETIC TWINBLOCKS:  The role of magnets in twin block therapy is specifically to accelerate correction of arch relationships.  Two types of rare earth magnets are used – 1. Samarium cobalt 2. Neodymium boron
  • 137.
    137  Two typesof magnetic forces have been proposed : 1. Attracting magnets 2. Repelling magnets
  • 138.
    138 1. ATTRACTING MAGNETS:  Increased activation can be built into the initial construction bite.  The attracting magnetic force pulls the appliances together and encourages the patient to occlude actively and consistently in a forward position.  Attracting magnets can accelerate progress by increasing the frequency and the force of contact on the inclined planes .
  • 139.
    139  CLARKE usedattracting magnets for the following clinical situations :  Class II division 1 malocclusion with a large overjet  Mild residual Class II buccal segment relationship  Mild Class II division 1 malocclusion with an overjet of 7 mm  Unilateral Class II adult patient with temporomandibular joint pain  Skeletal Class III malocclusion with persistent crossbite,failed to resolve with conventional appliances  Facial asymmetry -magnets may be added on inclined planes on the affected side to increase unilateral contact
  • 140.
    140 2. REPELLING MAGNETS: These may be used when less activation is built into twin blocks.  The repelling magnetic force applies additional stimulus to forward posturing as the patient closes into occlusion.
  • 141.
    141  A shortperiod of investigation shows that magnetic twin blocks may help resolve some of the problems in difficult cases.  They should be used in those cases where speed of treatment is an important consideration or where response to non-magnetic appliances is poor.  Magnetic twin blocks cannot be reactivated by addition of acrylic to the inclined planes as this deactivates the magnets.  Screws may be needed on the bite blocks for progressive activation of magnetic twin blocks.
  • 142.
    142 TWIN BLOCK WITHCONCORDE FACEBOW  Indications :  Severe maxillary protrusion.  To control a vertical growth pattern by the addition of vertical traction to intrude the upper posterior teeth.  In adult treatment where mandibular growth cannot assist the correction of a severe malocclusion. THE TWIN BLOCK TRACTION TECHNIQUE
  • 143.
    143  The Concordeface bow is a new means of applying intermaxillary and extraoral traction to restrict maxillary growth and at the same time to encourage mandibular growth in combination with functional mandibular protrusion.
  • 144.
    144  A conventionalface bow is adapted by soldering a recurved labial hook to extend forward to rest outside the lips as an anchor point to combine intermaxillary and extraoral traction.
  • 145.
    145  The tractioncomponents are worn at night only to reinforce the action of the occlusal inclined plane .  If the patient postures out of the appliance during the night the intermaxillary traction force would increase.  The aim is to make the appliance active 24 hrs per day to maximize the orthopaedic response.
  • 146.
    146 TREATMENT OF ASYMMETRY Twin blocks are effective in correction of facial and dental asymmetry.  Appliance design :  Sagittal screws - more frequent turning of screw on the side that requires more distal movement  Use of magnets
  • 147.
    147 TREATMENT IN ADULTCASES  Even though the tooth movement is slower in adults but twin block can still be used.  There is limited dentoalveolar response. It is indicated in patients in whom skeletal discrepancy is not severe, in case of severe skeletal discrepancy a surgical line of treatment should be considered.
  • 148.
    148 FIXED TWIN BLOCKS To increase patient compliance, twin blocks may be temporarily or permanently fixed to the teeth.  Temporary fixation of removable blocks is done by either of the following 2 methods. a. The clasps can be bonded to the teeth using composite resin. b. The twin blocks can be cemented on to the occlusal surface of the teeth.  This is generally done in the initial stages of twin block therapy for 7 to 10 days to gain patient compliance.
  • 149.
    149  Though fixedtwin blocks ensure patient compliance, their management is more difficult than removable twin blocks.
  • 150.
    150  Their disadvantagesare:  They can be detached from the teeth, requiring immediate repair.  If lower molars are used for fixations, they cannot be erupted to correct deepbite.  After fitting, adjustment for control of the vertical dimension is limited.  Hence removable twin blocks are preferred for compliant patients.
  • 151.
    151 TWIN BLOCKS INTMJ THERAPY:  Twin blocks are most likely to be used to resolve an early click when the condyle is displaced distal to the disk and the disk is recaptured at an early stage in the opening movements.
  • 152.
    152  Twin blocksthen achieve the following objectives: 1. Pain is relieved within 4 days of fitting twin blocks. 2. Muscles are retrained to a healthy pattern. Facial balance is improved and muscle spasm relieved. 3. The disk is recaptured by posturing the mandible downward and forward to advance the condyles.
  • 153.
    153 4. Rather thanacting as a passive splint, twin blocks can move teeth that are causing occlusal imbalance. 5. The upper block may be trimmed selectively over the lower first molar only, using molar bands with vertical elastics to accelerate eruption. Occlusal contact is maintained with 2nd and 3rd molars to support the vertical dimension and rest the joint.
  • 154.
    154  The twinblock sagittal appliance is generally used in TMJ derangement cases.  Bite is registered with mandible moved downward and forward to a comfortable position.  If pain is not relieved by forward posture and the disk does not appear to be recaptured, there may be internal derangement or infolding of the disk which will not respond to twin block therapy.  The twin block Biofinisher attachment is an alternative method to extrude lower molars by vertical traction to increase the vertical dimension to stabilize the TMJ.
  • 155.
    155 It has ahook for elastic above the upper molar in the vestibule, to achieve a longer span of elastic for extrusive force. The attachment is inserted in horizontal tubes over the interdental embrasure in the molar region. The biofinisher attachment is removable and can be used if wanted only in night time.
  • 156.
  • 157.
    157 The twin blockis more effective in relieving joint pain, diminishing joint dysfunction, reducing joint clicking, and eliminating muscle tenderness in patients with anterior disc displacement with reduction as compared to the occlusal splint. Rohida NS, Bhad W. A clinical, MRI, and EMG analysis comparing the efficacy of twin blocks and flat occlusal splints in the management of disc displacements with reduction. World journal of orthodontics. 2010 Sep 1;11(3).
  • 158.
    158 ADVANTAGES OF TWINBLOCK COMPARED TO OTHER FUNCTIONAL APPLIANCES  Comfort of the patient  Aesthetics  Function  Patient compliance  Facial appearance  Speech  Clinical management  Arch development  Mandibular repositioning  Facial asymmetry  Vertical control  Safety  Efficiency  Age of treatment  Integration with fixed appliances  Treatment of TMJ dysfunctions
  • 159.
    164 Jena AK, DuggalR, Parkash H. Skeletal and dentoalveolar effects of Twin- block and bionator appliances in the treatment of Class II malocclusion: a comparative study. American Journal of Orthodontics and Dentofacial Orthopedics. 2006 Nov 30;130(5):594-602.
  • 160.
    165 Burhan AS, NawayaFR. Dentoskeletal effects of the Bite-Jumping Appliance and the Twin-Block Appliance in the treatment of skeletal Class II malocclusion: a randomized controlled trial. European journal of orthodontics. 2014 Oct 8;37(3):330-7.
  • 161.
    166 Baysal A, UysalT. Soft tissue effects of Twin Block and Herbst appliances in patients with Class II division 1 mandibular retrognathy. The European Journal of Orthodontics. 2011 Feb 28;35(1):71-81.
  • 162.
    167 Baccetti T, FranchiL, Toth LR, McNamara JA. Treatment timing for Twin- block therapy. American Journal of Orthodontics and Dentofacial Orthopedics. 2000 Aug 31;118(2):159-70.
  • 163.
    168 Siara-Olds NJ, Pangrazio-KulbershV, Berger J, Bayirli B. Long-term dentoskeletal changes with the Bionator, Herbst, Twin Block, and MARA functional appliances. The Angle orthodontist. 2010 Jan;80(1):18-29.
  • 164.
    169  In thepursuit of ideals in Orthodontics, facial balance and harmony are of equal importance to ideal and occlusal perfection.  Twin blocks are extremely patient and operator friendly functional appliances. They have the gift of versatility of design, which allows their use in a variety of clinical situations to effectively correct different types of malocclusions. CONCLUSION
  • 165.

Editor's Notes

  • #5 Myofunctional app are loose fitting appliance that harness the natural forces of the dentition and tranmits it to the teeth and alveolar bone through the medium of the appliance. After almost a century of development of functional appliances it was surprising that the appliances were still bulky and were not utilizing the forces of occlusion as a functional mechanism for correction of malocclusion.
  • #7 The twin blocks were a natural progression in the evolution of functional appliance therapy, representing a significant transition from one piece appliance that restricts the normal function to a twin appliance that promotes normal function. Twin Block appliances, as described by clark are simple bite blocks that are designed for full time wear. They achieve rapid functional correction of malocclusion by the transmission of favourable occlusal forces to occlusal inclined planes that cover the posterior teeth . The forces of occlusion are used as the functional mechanism to correct the malocclusion. The goal of twin block therapy was to produce a technique that could maximize the growth response to functional mandibular protrusion by using an appliance system that is simple, comfortable and aesthetically acceptable to the patients.
  • #8 The occlusal inclined plane is the fundamental functional mechanism of the natural dentition. Cuspal inclined planes play an important part in determining the relationship of the teeth as they erupt into occlusion. If the mandible occludes in a distal relationship to the maxilla, the occlusal forces acting on the mandibular teeth in normal function have a distal component of force that is unfavourable to normal forward mandibular development. the inclined planes formed by the cusps of the upper and lower teeth represent a servo-mechanism that locks the mandible in a distally occluding functional position. TB modify the occlusal inclined plane and uses the forces of occlusion to correct the malocclusion. The mandible is guided forward by the occlusal inclined plane.
  • #9 Malocclusion is frequently associated with discrepancies in arch relationships due to underlying skeletal and soft tissue factors,resulting in unfavourable cuspal guidance and poor occlusal function. The proprioceptive feedback mechanism controls muscular activity and provides a functional stimulus.
  • #10 Considerable forces are applied through the muscles of mastication to the teeth and the underlying bony structures to influence both the internal and external structure of the basal bone. It is the natural mechanism of bony remodelling by occlusal force vectors that basis of functional correction by twin block. Major advantage of using twin blocks was that it could be worn for 24hrs,hence the masticatory forces can be transmitted via the appliance to the dentition from where they are transmitted to the bony trabeculae according wolfs law. Pt eats with the appliance in the mouth so full forces of occlusion are harnessed as corrective forces.
  • #11 TB appliance evolved in response to clinical problem presented in a young patient the son of a dental collegue who fell and there was a completely luxated an upper central incisor
  • #12 The tooth was re-implanted but due to class II div1 with an overjet of 9mmand the lower lip was trapped lingual to upper incisor Adverse lip action on the reimplanted incisor causing mobility and root resorption To prevent lip from from trapping it was necessary to design an appliance that could be worn full time to posture the mandible forward At that time no such appliance was available so simple biteblock were therefore designed to achieve this objective
  • #13 The tooth was re-implanted and an endodontic pin was given to stabilize the incisor. After 6 months, the tooth was partially reattached but due to class II; lower lip was trapped lingual to the luxated tooth causing mobility and root resorption .To prevent this, it was necessary to design an appliance which could place the mandibular forward. So simple bite blocks were made to achieve this objective. The U & L bite blocks engaged mesial to the 1st molars at 90 deg to the OP. This bought the incisors into an edge to edge relation with 2 mm vertical separation. The pt had to make a positive effort to posture his mandible forward to occlude the bite blocks in a protrusive bite. .Later a fixed treatment was done and the re-implanted tooth was crowned and a stable result was obtained at age of 25 years.
  • #14 Harvold (1983) confirmed from histological study in animal experiments that rapid adaptive changes occur in the tissues surrounding the condyle when a full time functional appliance is fitted. He demonstrated that tissue changes occur as a result of altered occlusal function.
  • #24 Facial and dental photographs help to establish the objectives of treatment and to monitor progress. Photographs are used to predict the change in facial appearance that will result from treatment. Profile and full face photographs with the mandible in the retrusive position show the appearance before treatment, and are repeated with the mandible advanced to give the projected optimum improvement in facial appearance.
  • #25 The first permanent molar relationship in habitual occlusion is determined. The nature of the midline discrepancy, if any, is determined. If the midlines are not coincident, a functional analysis should be made on the patient to determine the path of closure from postural rest to occlusion. 
  • #31 BR is a crucial factor is designing an appliance
  • #36 IN CLASS 2. DIV 1 malocclusion, a protrusive bite is registered to reduce the overjet and the distal occlusion on average by 5-10mm on initial activation, depending on the freedon of movement in protrusive function. The length of the pp is determined by recording the overjet in centric occlusion and fully protrusive occ. Activation should not exceed 70% of the pp
  • #43 Blue bite gauge
  • #66 TB was constructed with biteblocks articulated at a 90 angle so that the patient had to make consious efforts to to occlude in forward position and therefore would revert to retruding the mandible back to its old distal occlusion position.this was detectable in the early stages of treatment.It could be observed that the patient was not posturing forward consistently .a significant posterior open bite was also observed.this complication was observed in 30% of earliest TB cases.
  • #68 A midline screw to expand the upper arch. Occlusal bite blocks. Clasps on upper molars and premolars. Clasps on lower premolars and incisors. A labial bow to retract the upper incisors. Springs to move individual teeth and to improve the archform as required. Provision for extraoral traction in some cases.
  • #69 A midline screw to expand the upper arch. Occlusal bite blocks. Clasps on upper molars and premolars. Clasps on lower premolars and incisors. A labial bow to retract the upper incisors. Springs to move individual teeth and to improve the archform as required. Provision for extraoral traction in some cases.
  • #91 It is often helpfull to the patient if the clinician demonstrates Twin Blocks on models to confirm that it is fitting and is a simple appliance system and is easy to wear, with no visible anterior wires. Simply biting the blocks together guides the lower jaw forwards to correct the bite Appliance system is easily understood even by young patients, who can see that biting the blocks together corrects the jaw position. It is important to emphasise positive factors and to motivate the patient before treatment. The patient is shown how to insert the twin Blocks with the help of a mirror, pointing out the immediate improvement in facial appearance when the Twin Block is fitted and explaining that the appliances will produce this change in next few months provided they are worn full time. A removable appliance only corrects the teeth when it is in the mouth, not in the pocket. both appliances must be worn full time. l'SIX'Ci"lIy during eating. and removed only for cleaning. Exceptions may be made for swimming and common sports. At first the appliance will function in the mouth, but within a few days it will be very comfortable and easy to wear. n ... in Blocks cause much less interference to speech than ao ne-piece functional appliance. For the first few days speech will be affected, but will s teild ily improve ;md should return to normal within a week. When the p<l tie llt has learn ed (Q insert and relllove the app li a nce, instructio n is given on opcrMing the ~pa nsion screw, o ne q uarter tu rn per week, explaining the necessity 10 widen the upper arch as the lower arch is advanced to correct Ihe b ite. l 11e screw should be tll rned fo r the first time after a few days, when the appliances have settled in comfortably.