TWIN BLOCK
Dr. THASNIM JAWHAR KALLAYIL
POST GRADUATE STUDENT
DEPARTMENT OF ORTHODONTICS
MAR BASELIOS DENTAL COLLEGE
CONTENTS
• INTRODUCTION
• HISTORY
• TWIN BLOCK PHILOSOPHY
• DEVELOPMENT OF TWIN BLOCK
• GROWTH STUDIES IN EXPERIMENTAL ANIMALS
• ADVANTAGES OF TWIN BLOCK
• DIAGNOSIS AND TREATMENT PLANNING
• CASE SELECTION
• CONTRA INDICATIONS
• CLARKS CEPLAHALOMETRIC ANALYSIS
• BITE REGISTRATION
• APPLIANCE DESIGN
• PTERYGOID RESPONSE
• STAGES OF TREATMENT
• TREATMENT OF CLASS II DIV I MALOCCLUSION WITH DEEP
OVERBITE
• TWIN BLOCK FOR SAGITTAL ARCH DEVELOPMENT
• TWIN BLOCK FOR TRANSVERSE AND SAGITTAL DEVELOPMENT
• TWIN BLOCK FOR CLASS III MALOCCLUSION
• TWIN BLOCK FOR SLEEP APNEA AND SNORING
• TREATMENT IN MIXED DENTITION
• MANAGEMENT OF OPENBITE
• MAGNETIC TWIN BLOCK
• REACTIVATION OF TWIN BLOCK
• TWIN BLOCK WITH TRACTION
• TWIN BLOCK FOR FACIAL ASSYMMETRY
• TWIN BLOCK IN TMJ PROBLEMS
• FIXED TWIN BLOCK
• CONCLUSION
INTRODUCTION
• Twin block are simple bite blocks that effectively modify the occlusal inclined
plane with the help of upper and lower bite blocks that engage occlusal
inclined plane.
• The main objective of Twin-block is to induce supplementary lengthening of
the mandible by stimulating increased growth at the condylar cartilage.
• The concept of functional therapy is to expand and develop the upper
arch to improve arch form and to use the maxilla as a template against
which to reposition the retrusive mandible in a correct relationship to
the normal maxilla.
HISTORY
• NORMAN KINGSLEY (USA): Introduced the bite plane appliance “jumping the bite” in
1879
• HOTZ-VORBISS PLATE: - Modified form of Kingsley plate to treat retrognathism of
mandible associated with lingually inclined incisors. Also in deep bite.
• 1902: PIERE ROBIN (FRANCE): - Treated mandibular deficiency problems using
monobloc, single block of vulcanite, treated for glossoptosis and airway obstruction
• 1908: VIEGGO ANDRESEN: Activator – Popularized by HAROLD WOODSIDE
• 1949: BIMLER VESTIBULAR APPLIANCE
• 1967: FRANKEL APPLIANCE – FRANKEL
• 1960: MULLER designed wire acrylic device to reposition the
mandible. It was need for aesthetic, comfortable, more socially
accepted functioned appliance i.e.– Full time wear.
• Compatible with most removable and fixed appliance systems.
It should be useful in treating TMJ disorders
• TWIN BLOCK was introduced by DR WILLIAM. J. CLARK in
Europe in 1982 and in USA in 1988.
• The first patient was treated in 1977
TWIN BLOCK PHILOSOPHY
• The occlusal inclined plane is the fundamental functional mechanism of the
natural dentition.
• Cuspal inclined planes play an important part in determining the relationship
of the teeth as they erupt into occlusion.
• If the mandible occludes in a distal relationship to the maxilla, the occlusal
forces, acting on the mandibular teeth in a normal function have a distal
component of force that is unfavourable to normal forward mandibular
development.
• The bite blocks and the inclined plane of the appliance repositions
the mandible in a new position that is the normal relation of the
mandible with respect to the facial skeleton.
• The newly established functional behavior pattern eliminates the
unfavourable forces acting on the dentition and transmits normal
occlusal forces to the dentition from the newly established
functional environment.
• The normal inclined plane relationship and the resultant
proprioceptive sensory feedback stimulate the bone growth and
rearrange the trabecular structure to be in harmony with the new
functional environment.
• In Class II relationship, the mandible is locked in distal position.
• This unfavourable cuspal contacts of distal occlusion represent
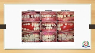
an obstruction to normal forward mandibular translation in
function, and as such do not encourage the mandible to
achieve its optimum genetic growth potential.
• In Class III relationship, the maxilla is locked in a distal
relationship by occlusal forces.
• Functional therapy aims to unlock the affected jaw and
stimulate its growth by establishing a new functional
environment.
• With the appliance in mouth, patient cannot occlude
comfortably in the former distal position and mandible is
encouraged to adopt a protrusive bite with the inclined plane
engaged in occlusion.
• The unfavourable cuspal contacts of the distal occlusion are
replaced by a favourable proprioceptive contacts on the inclined
planes of the twin block to correct the malocclusion and to free
the mandible from locked distal functional position.
DEVELOPMENT OF TWIN BLOCK
• Twin Blocks evolved in response to a clinical problem.
• A young patient, with Class II div 1 malocclusion fell down and
the upper right central incisor was avulsed.
• Within few hours of the trauma the tooth was reimplanted.
• In order to prevent the adverse lip action, upper and lower bite
blocks were designed which were engaged at 90 degrees.
• After 6 months with a stabilizing splint, the tooth had
partially reattached
• It was observed, within 9 months of Twin Block therapy the
distal occlusion was corrected and overjet reduced from 9mm
to 4mm
ADVANTAGES OF TWIN BLOCK
• Comfort
• Aesthetics
• Function
• Patient compliance
• Facial appereance
• Speech
• Clinical management
• Arch development
• Mandibular repositioning
• Vertical control
• Facial asymmetry
• Efficiency
• Age of treatment
• Integration with fixed
appliances
• Treatment with TMJ
dysfunction
GROWTH STUDIES IN EXPERIMENTAL ANIMALS
• Several studies were conducted on experiments animals to study
the growth related changes.
• During the first half of the 20th century, animal research established
the basis for orthodontic tooth movement.
• Experiments were conducted in monkeys and rodents.
• Emphasis of research moved from orthodontic to orthopaedic
treatment.
HISTOLOGICAL RESPONSE TO ORTHODONTIC
AND ORTHOPEDIC FORCE
• Various histological studies were conducted by:
• Sandstedt (1904, 1905)
• Oppenheim (1911)
• Schwarz (1932)
• Reitan (1951)
• Dogs, rats, monkeys – experimental animals to determine the
tissue response to the force application
GENETIC PARADIGM OF MANDIBULAR LENGTH
• Gaumond (1973, 1975) proposed that functional appliances
cannot increase mandibular length and that it is under tight
genetic control.
ROLE OF FUNCTIONAL MATRIX IN MANDIBULAR GROWTH
• Skeletal form is adaptable to functional stimulus.
• Several researchers were in favour of this hypothesis.
• Charlier et al., 1969;
• Moyers et al., 1970;
• Petrovic et al., 1971;
• Stockli & Willert, 1971;
• Elgoyhen et al., 1972;
• McNamara, 1972
• With functional appliances both mandibular growth direction &
growth rate are modulable.
• Stockli
• Willert
• McNamara
• Graber & Komposh
• Petrovic
• Stockli & Willert, 1971 suggested condylar cartilage is highly
responsive to mechanical stimuli .
• Petrovic & Stutzmann, 1977 opined, condylar cartilage is
responsive to hormonal and chemical agents.
• Harvold (1983), commented on research started in the
University of California in 1965 to examine the changes that
occur in the internal structure of bone in response to
functional stimulus.
• Only the stimuli that were relatively uniform for a period of
several months – contribute to the development of trabecular
system.
• HARVOLD (1983): - Following fixed inclined planes in animal
experiments, stated that rapid adaptive changes occur in the tissue
surrounding the condyle confirmed from histological studies.
• Electromyographic, cephalometric and histological studies in
animal experiments provide a better understanding of the
biological changes that result from orthopedic technique.
• Cephalometric and histological studies especially in mandible of
monkey and rats confirm that there are responsive to functional
stimuli and bone remodeling occurring in the glenoid fossa.
• The rapid clinical response is similar to adaptive responses described by
McNAMARA (1980) in animal experiments that studied functional protrusion
with fixed inclined planes.
• McNAMARA (1980) summarised :
• The placement of appliance results in an immediate change in the neuromuscular
propioceptive response.
• Provided all phasic and tonic muscle activity is affected, the resulting muscular
changes are very rapid, and can be measured in terms of minutes, hours and days.
• Structural alterations are more gradual and are measured in months, whereby the
dento-skeletal structures adapt to restore a functional equilibrium to support the
altered position of muscle balance'.
DIAGNOSIS AND TREATMENT PLANNING
CLINICAL EXAMINATION
ORTHODONTIC RECORDS
• Radiographic Examination
• Photographs
• Models
CEPHALOMETRIC ANALYSIS
CLINICAL EXAMINATION
• A retrusive mandible can be detected by examining the profile
and the facial contours with the teeth in occlusion.
• The patient is then instructed to close the incisors in normal
relationship by protruding the mandible, with the lips closed
lightly together - preview of the anticipated result of functional
treatment.
• If the profile improves with the mandible advanced, this is a
clear indication that functional mandibular advancement is
the treatment of choice.
CASE SELECTION
IDEAL CASES :
• Class II division 1 well aligned arches
• VTO positive
• 10-12 mm overjet
• Deep bite
• One full cusp disto-cclusion
• Lower anterior facial height is reduced or is near normal
• Cases with vertical growth and crowding that may require extractions.
• Examination of the profile is the most important clinical guideline.
• If the profile does not improve when the mandible is advanced, this is
a clear contraindication for functional mandibular advancement, and an
alternative approach should be considered.
CONTRAINDICATIONS FOR TWIN BLOCK THERAPY
CLARK CEPHALOMETRIC ANALYSIS
• This is derived from principles expressed in previous analyses like:
• Ricketts 1960
• McNamara 1984
• Bimler 1977
• Two-registration frameworks by Clark are:
1) Ricketts Triangle – The Facial Wedge
2) Facial Rectangle
• Basion and FH are used for superimposition.
COBEN’S CONCEPT OF FACIAL SKELETAL GROWTH
• Facial skeleton resembles a triangular wedge placed beneath the cranial
base.
• Its upper part grows upwards and forwards along the cranial base
• The lower part grows downwards and forwards along the mandibular
plane.
• Facial height increases.
• The Clark analysis lends itself well to the expression of Coben’s
interpretation of facial growth
RICKETTS TRIANGLE/ FACIAL WEDGE
• Defines the face in profile, a wedge shaped triangle attached to the under surface
of the cranial base.
• Base of Triangle: Basion to Nasion
• Defines the cranial base plane
• 2nd Leg of triangle: Facial plane
• Nasion tangent to the chin by angulation of face in the anterior plane (N-Pog).
• 3rd leg of triangle: Mandibular plane (Go – Me)
• Defines the angulations of lower border of mandible.
• Triangle is bisected by facial axis from ptm- Gn.
• Defines the direction of growth of chin.
THE FACIAL RECTANGLE
The formation of rectangle help to define the relative position and
angulations of cranial, maxillary, mandibular and dentoalveolar
structures.
• Horizontal registration plane:
• Reference plane is either FH or True horizontal.
• True horizontal may be used when:
- The radiograph is taken in natural head position.
- Porion and orbitale are not clear
- FH diverges significantly from true horizontal
• Nasion horizontal: A line is drawn through nasion parallelto the Frankfort plane.
This defines the upper limit of the face and the anterior point of union with the
cranium.
• Menton horizontal: This is a tangent through menton on the lower border of the
symphysis parallel to the Frankfort plane. It defines the lower limit of the face.
• Nasion vertical: A perpendicular line is drawn to the Frankfort plane through
nasion. This line defines the anteroposterior relationship of the maxilla and the
mandible relative to the anterior cranial base.
• Basion vertical: A perpendicular through basion defines the posterior limit of the
face. Basion is an important anatomical point in the midline on the foramen
magnum, marking the anterior point of union between the cervical column and the
base of the skull.
• Pterygoid vertical: A perpendicular line to the Frankfort plane through the
pterygoid point. This midfacial perpendicular line was selected by Ricketts
because it is in a stable area of growth, being close to the point of emergence of
the trigeminal nerve from the base of the skull.
• All horizontal reference
planes are parallel to FH
plane.
• All vertical reference planes
are perpendicular to FH
plane.
• The facial wedge defined by the Ricketts triangle is
superimposed on the facial rectangle to provide a
good visual representation of the face with the
component parts orientated in a common
framework.
• A few key angular measurements define the pattern
of craniofacial growth and the relationship of the
cranial, maxillary and mandibular structures.
• It is easy to identify correlations that exist within the
craniofacial complex by visual reference to the
facial rectangle.
Angles in Clarks analysis- skeletal
1. Cranial base plane to FH: 26- 27 degrees
2. Mandibular plane angle: 26- 27 degrees
3. Cranio-maxillary angle : 26- 27 degrees
4. Mandibular arc: 26- 27 degrees
5. Facial axis angle: 26- 27 degrees
6. Condyle axis angle: 26- 27 degrees
7. Craniomandibular angle – 53 degrees
8. Facial plane angle – 3 degrees
9. Maxillary deflection – 0 degrees
Dental analysis
1. Upper incisor to anterior vertical: 25 degrees
2. Lower incisor to anterior vertical: 25 degrees
3. Interincisal angle: 128 degrees
4. Position of upper dentition
Pterygoid vertical to distal of upper M1 - age + 3mm
5. Position of lower dentition
Lower incisor to A-Pog :+1 - +3 mm
Linear factors
• Convexity – A point to facial plane -2.5mm
• Maxillary position- A point to nasion vertical- 0mm
• Mandibular Position – Pog to nasion vertical- 10 mm
Soft tissue factors
• Nasal angle - Nasal dorsum to anterior vertical
• Lower lip to E plane
PARALLELISM IN DENTOFACIAL DEVELOPMENT
• Ricketts stated that parallelism exists between
three planes:
Facial axis
Condyle axis
Upper incisors
• Upper incisor should be positioned parallel to
the facial axis for stability and balance after
treatment.
• Bilmer proposed that parallelism exists between
FH plane and maxillary plane.
BITE REGISTRATION
Sagittal Advancement
• Up to 10mm sagittal advancement is possible in the first stage.
• If tolerance is difficult, initial advancement of 6mm and later,
second stage advancement is recommended.
• In adult patients and those with vertical growth pattern and
weak musculature, have less tolerance.
• In such patients, two stage advancement is recommended.
• Woodside recomends sagittal advancement upto 3mm distal
to the most protrusive position possible and vertical clearance
to be within the freeway space.
• In North American Guidelines, sagittal advancement upto
3mm distal to the most protrusive position and vertical
opening should be 4mm beyond the rest position.
• Roccabado stated that the physiologic TMJ movement is 70%
of total joint displacement.
• Sagittal advancement must not exceed 70% of maximum
possible protrusion corresponding to 13 mm.
• Hence upto 10mm advancement can be done in one stretch.
PROGRESSIVE ACTIVATION
• Screws can be incorporated to advance sequentially in:
• Class III cases
• Anterior open bite cases
• Vertical growers
• Not given in regular Twin Block as screws prevent trimming of the
blocks.
• Geserick screw
• Carmichael & Banks screw
• Guidelines for vertical displacement
• 4mm beyond rest position.
• It corresponds to 2mm seperation at incisors and 4-5 mm at
premolar region.
• In Class II Div 1, bite is registered with incisors in edge to edge relation
with 2mm inter-incisal separation.
• In Class II Div 2, bite is registered with incisors in edge to edge relation.
• In Class III, mandible maximally retruded with 2mm incisor separation.
• Projet bite or Exactobite is used to
register the bite.
• George bite – Blue 2mm
Yellow- 4mm
APPLIANCE DESIGN AND CONSTRUCTION
• CLASPS
• Conventionally, delta clasps are placed on upper 6 and lower 4.
• Ball end clasps distal to upper 3 and mesial to lower 3.
APPLIANCE DESIGN
Development of delta clasp
• Designed by Clark is 1985 to enhance fixation of the twin block.
• Delta named derived since the retentive clasp was triangular in
shape.
• Parts of the delta clasp – Buccal Bridge, Retentive loop, and Inter
dental tags.
• Retentive loop: Shaped in closed triangle.
• Advantages
• Improves retention
• Minimal adjustment
• Reduces metal fatigue (reduce Breakage)
• (Adams Clasps: - Repeated adjustment leads to metal fatigue).
• Clasp do not open on repeated insertion and removal.
• Therefore maintains better retention and require less adjustment on
premolars and hence suitable on posterior teeth.
Labial bow
• Not always necessary.
• Retracting upper incisors prematurely limits mandibular
advancement.
• A good lip seal is achieved in twin block treatment without
additional excercises.
Baseplate
• Either heat cure or cold cure
acrylic is used.
• After recent research preformed
heat cured blocks have been
designed to ease the fabrication
and improve the strength.
Inclined Plane
• Slope of inclined plane –
• Initially it was 90 degrees, then reduced to 45 degrees, and
later increased to 70 degrees.
• If tolerance is less, it is kept at 45 degrees.
• 45 degrees angulation gives equal sagittal & vertical activation.
• 70 degree gives more sagittal activation.
• Twin block tool can be used to make the slope (45 & 70
degrees)
Comparison of Twin Block Response with
Animal Experiments
• Harvold (1983)
• Histological study in animal experiments observed
• Altered occlusal function (when mandible displaced D,F) tissue changes occurs.
• No vacuum is created distal to the condyle This creates area of intense cellular activity
(tension zone) above and behind the condyle.
• This zone is quickly invaded by proliferating connective tissue and blood vessels.
• These changes occur within hours and days of appliance use.
• Closely analogous to clinical response after fitting twin block
PTERYGOID RESPONSE
• When an occlusal inclined plane is fitted, rapid initial conscious
adaptation occurs to avoid traumatic occlusal contacts.
• Within a few days patient experiences pain behind the condyle
when trying to bite in previous position with the appliance
removed.
• Retraction of condyle causes compression of C.T and B.V producing
ischemia and patient experiences pain.
• New pattern of muscle behaviour is established rendering the
patient impossible to retract mandible into former retruded
position.
• According to McNamara Pterygoid Response occurs due to
altered activity of the medial head of lateral pterygoid muscle.
• Initial response to functional mandibular protrusion causes change
in muscles of mastication.
• Establishes new equilibrium in muscle behaviour.
• Volumetric changes behind the condyle stimulates cellular
proliferation.
• Proprioceptive sensory mechanism initiates compensatory bone
remodeling that occurs in need of adaptation to altered function.
• Muscle function must be altered over a sufficient period of time to
allow adaptive bone remodeling changes to occur to reposition the
condyle in the glenoid fossa.
Voudouris & Kuftinec (2000) stated that,
• In addition to proprioceptive response and muscle
adaptation, viscoelastic stretch is also responsible for the
skeletal adaptation.
• The glenoid fossa remodeling and condylar growth are due to
viscoelastic stretch of retrodiscal tissue and capsule.
INTERGINGIVAL HEIGHT
• Simple guideline used to establish the correct vertical dimension
during twin block phase of treatment
• Measured from gingival margin of upper incisor to the gingival
margin of the lower incisor when the teeth are in occlusion
• The “comfort zone “ for intergingival height for adult patient is
generally 17-19 mm
65
STAGES OF TWIN BLOCK THERAPY
• Active phase: 6-9 months
• Support phase: 3-6 months
• Retention phase – 9 months
• Total 19 months
Active phase
• 6–9 months
• Objective is to achieve full reduction of overjet to a normal incisor
relationship and to correct the distal occlusion.
• Sagittal correction is achieved before vertical development of
posterior teeth is complete.
• In patients with deep bite, blocks are trimmed selectively to
encourage eruption of lower posterior teeth and level the occlusal
plane by eliminating the cure of Spee.
• The blocks are trimmed occluso-distally
to leave the lower molar 1-2 mm clear of
occlusion.
• This minimum distance of clearance also
prevents the tongue from spreading
laterally between teeth, so that the
molar can erupt more quickly.
• At each subsequent visit the upper bite
block is reduced to clear the occlusion.
Support Phase
• 3–6 months
• The objective is to support the corrected mandibular position after
active mandibular translation while the buccal teeth settle fully into
occlusion.
• Upper removable appliance is fitted with an anterior inclined plane
to engage the lower incisor and canines.
• Lower twin block is left out at this stage
• Full time wear of upper anterior Inclined plane is recommended.
• Buccal segments settle down freely into occlusion.
• Bite guides & Bite ramps can be used instead of anterior
inclined plane in support phase if the overjet is less than 3mm.
Retention phase
• 9 months
• Reducing the appliance wear when the position is stabilized.
• Recommends night time wear of Upper Anterior Inclined plane
once the occlusion is established.
RESPONSE TO TREATMENT
• Development of a lip seal and a noticeable improvement in facial
balance and harmony.
• The facial changes are soon accompanied by equivalent dental
changes and it is routine to observe correction of a full unit distal
occlusion within the first 6 months of treatment.
• The response to treatment is noticeably faster compared to
alternative functional appliances that must be removed for eating.
TWIN BLOCK FOR CLASS II DIV I
MALOCCLUSION with DEEP OVERBITE
BITE REGISTRATION: Exactobite
or projet bite gauge registers
2mm vertical clearance between
the incisal edges of upper and
lower incisors
74
CORRECTION OF DEEP OVERBITE
 The inclined planes must be
positioned carefully to achieve vertical
control by selective eruption of
posterior teeth
75
TEMPORARY FIXATION
 CEMENTING:
• Appliance secured in place with
cement adhering to the teeth
• Zinc phosphate or zinc oxide
cement used
• Applying composite around the
clasps
 Establishes paient cooperation
during the initial days.
76
TWIN BLOCK FOR SAGITTAL ARCH
DEVELOPMENT
• Designed for antero-posterior arch
development like in Class II div 2.
• Two screws aligned antero-posteriorly in
the palate.
• The antero-posterior positioning of screws
and the location of the cuts are important.
77
TWIN BLOCK FOR TRANSVERSE
AND SAGITTAL DEVELOPMENT
Three way screw for upper arch
development.
• Bulky
• Interferes with speech
• Lingual wires to advance and align
upper and lower incisors
78
TWIN BLOCK FOR CLASS III
MALOCCLUSION
(REVERSE TWIN BLOCK)
• Ideal cases are those who can bring their anterior
teeth end to end.
• Eg: Pseudo Class III cases.
• Bite is registered with mandible retruded to the
maximum with 2mm interincisal clearance.
• In brachyfacial individuals, upto 4mm is
tolerable.
80
• The position of the bite blocks is reversed compared to Twin Blocks for Class
II treatment.
• It is achieved by reversing the angulation of the inclined planes, using the
lower arch as the means of anchorage.
• The maxillary appliance should include provision for three-way expansion to
increase the size of the maxilla in both sagittal and transverse dimensions.
• Lip pads may be added.
• Screws may be used for progressive activation and are used in upper block.
• Class III cases have to be started earlier in deciduous / mixed dentition period.
• Additional component of orthopedic force can be applied to advance the maxilla by elastic
traction.
• Correction is mainly by maxillary protraction.
• Mixed dentition correction may relapse in permanent dentition.
• Occlusal force exerted on the mandible is directed downwards and
backwards by the reverse inclined planes.
• No damaging force is exerted on the condyles because the bite is hinged
open with the condyles down and forward in the fossae and the inclined
planes are directed downwards and backwards on the mandibular teeth.
• The force vector in the mandible passes from the lower molar towards the
gonial angle.
• This is the area of the mandible that is best able to absorb occlusal forces.
84
85
86
LIP PADS
• To enhance the forward movement of
the upper labial segment.
• Lip pads are attached to the anterior
segment of the appliance.
TWIN BLOCK FOR SLEEP APNEA AND SNORING
• Invisible Twin Blocks with Preformed Blocks
• Prepared by fitting preformed blocks on models and forming clear appliances
with essix material.
88
• The appliances prevent sleep apnea by posturing the mandible
downward and forward.
• This advances the tongue and improves the posterior airway.
• Can be worn by long distance drivers.
89
TREATMENT IN MIXED DENTITION
• To restore normal function and correct arch relationships by means of
functional appliance therapy.
• Retention is limited by unfavourably shaped deciduous teeth.
• Tooth contour can be modified by placement of synthetic crown contours-
TRUAX to improve the retention of clasps.
• Delta clasps or
• C clasps may be used.
90
TREATMENT OF ANTERIOR OPEN BITE
• Twin block are designed to close an anterior open bite by applying an
intrusive force to the posterior teeth.
• Bite registered with 70% of total protrusive position, with vertical -4mm
clearance interincisally.
• Lower appliance extends distally to the lower molar region.
• Clasps on lower first lower molars.
• Occlusal rests on second molars to prevent their eruption.
• Appliance is relieved lingual to upper and lower incisors to allow them to
erupt. 92
• Patients with open bite & vertical growth pattern have weak
musculature, hence may not tolerate regular sagittal advancement.
• These patients might require phased advancement.
• Occlusal screw (Geserick) can be used which provides 6mm
advancement.
• Alternately, Carmichael & Banks screw may be used but with lesser
advancements possible.
PITFALLS
1. Do not allow second
molars to over erupt.
2.Do not trim upper block
in reduced overbite
cases .
94
Method to control tongue thrust
• A palatal spinner is added to
upper appliance.
95
• Encourage the tongue to curl
upwards and backwards instead
of thrusting forwards.
• Effective in younger patients
• Used as early as possible to
control tongue thrust.
96
• Spinner in incorporated in upper appliance.
• A midline screw without interfering with the action of the midline
screw to expand the arch.
• Spinner may be mounted on a piece of steel tubing supported by
wires extending from either side of the midline.
• Spinner may be attached by a wire that extends towards the midline
from one side, and is then recurved on itself to retain the spinner in
position.
• TONGUE GUARD:
• More passive obstruction to discourage
tongue thrust.
• In the form of recurved wire extending from
the premolar region towards the midline and
is recurved to its point of attachment.
97
• To train the tongue to adopt the correct position in swallowing
98
Modified anterior inclined plane with palate free area.
INTRA ORAL TRACTION TO CLOSE ANTERIOR OPEN BITE
• INTRAORAL ELASTICS- Dr.Christine Mills
• Very effective in closing anterior open bites by
intruding the posterior teeth.
• Vertical Elastics between upper and lower teeth on
both sides.
99
MAGNETIC TWIN BLOCKS
• To maximize the favourable functional forces applied to correct the
malocclusion.
• Alternative method for intrusion of opposing posterior teeth.
• Magnets are incorporated in the inclined planes of posterior bite blocks.
• Two types of rare earth magnets have been tried.
• Samarium – Cobalt
• Neodymium – Boron
• They be used in attracting mode or repelling mode.
• When attracting mode is used greater appliance activation can
be given as the attacting magnets keep the blocks together.
• Treatment time is reduced.
REACTIVATION OF TWIN BLOCK
• Extending the anterior incline of the upper twin block
mesially to increase the forward posture.
• No acrylic is added to distal incline of the lower twin block
especially in deep overbite.
COMBINATION THERAPY
• Combines the use of functional and fixed techniques in the management of
malocclusion.
• Timing: late mixed dentition or early permanent dentition
• First phase: skeletal correction
• Second phase: dental correction
TWIN BLOCK TRACTION TECHNIQUE
Functional therapy combined with orthopedic traction.
INDICATIONS :
• Severe maxillary protrusion
• To correct maxillary retrusion
• To control vertical growth pattern
• In adult treatment
CONCORDE FACEBOW
• New means of applying intermaxillary and
extraoral traction.
• To restrict maxillary growth.
• To encourage mandibular growth in
combination with functional mandibular
protrusion.
VERTICAL EXTRAORAL TRACTION
TREATMENT OF FACIAL ASYMMETRY
• The sagittal twin block is the appliance of choice
• Sagittal design allows unilateral activation to restore
symmetry in buccal and labial segments.
• Screw is turned more frequently on the side that
requires more distal movement
• The mechanical action of the palatal screws
reinforced by occlusal forces on the inclined planes
favouring working side to correct the midline
displacement
TWIN BLOCK IN TMJ THERAPY
• Twin block sagittal appliance is used.
• To move teeth that are causing occlusal imbalance.
• Increase the vertical dimension to reduce deep overbite.
• Indicated to resolve an early click.
• Pain is relieved within 4-7 days.
• Muscle spasm is relieved by changing the pattern of muscle
activity.
• The disc is recaptured by posturing the mandible downwards and
forwards to advance the displaced condyles.
Appliance design
• Sagittal twin block used to relieve compression
on the joint by posturing mandible downwards
and forwards.
• Advancing retroclined upper incisors.
• The further forwards the screw the more
anterior the movement.
• The further back the screw, the more posterior
the movement.
Stages of treatment
• Sagittal development
• Functional repositioning
• Vertical development
Successful TMJ treatment requires a full time commitment until
the occlusion is reconsrtucted with the condyles positioned
correctly in the glenoid fossa.
FIXED TWIN BLOCK
• Does not rely on patient compliance.
• Design Preformed components for mandibular advancement
integrated with conventional fixed appliances and /or lingual
appliances for arch development.
PHASES OF TREATMENT
• First phase: Interceptive treatment and arch development by
Wilson modular appliance system
• Second phase: Orthopedic treatment by a fixed /functional twin
block system
• Third phase: Orthodontic correction by bonded fixed appliances
Wilson 3D modular appliance system
• Suitable for early intervention and arch development.
• Use of Wilson 3D lingual tube as a retentive element on molar
band.
• It is a means of attachment for occlusal twin block components.
CONCLUSION
• In the early stages of evolution Twin Block were conceived as simple
removable appliances to posture the mandible forward to acheive
functional correction of class II division 1 malocclusion.
• But over the years many variations in appliance design have extended
the technique to treat a wide range of all classes of malocclusion.
• Appliance design have been improved and simplified to make twin block
more acceptable to the patient without reducing their efficiency.
REFERENCES
• Clark W.J. Twin Block Functional Therapy Application in Dentofacial Orthopedics
• Clark WJ The twin block technique Part 2 Funct Orthod 1992: Nov-Dec
• Clark WJ. The Twin Block technique. Part 1. Funct Orthod. 1992: Sep-0ct
• Lund DI, Sandier PJ The effects of Twin Blocks: a prospective controlled
study Am J Orthod Dentofacial Orthop. 1998
• Baccetti et al ,Treatment timing for twin block AJODO 2000
• Thomas M. Graber, Thomas Rakosi and Alexandre G. Petrovic Dentofacial
Orthopedics with Functional Appliances
TWIN BLOCK APPLIANCE .pptx

TWIN BLOCK APPLIANCE .pptx

  • 1.
    TWIN BLOCK Dr. THASNIMJAWHAR KALLAYIL POST GRADUATE STUDENT DEPARTMENT OF ORTHODONTICS MAR BASELIOS DENTAL COLLEGE
  • 2.
    CONTENTS • INTRODUCTION • HISTORY •TWIN BLOCK PHILOSOPHY • DEVELOPMENT OF TWIN BLOCK • GROWTH STUDIES IN EXPERIMENTAL ANIMALS • ADVANTAGES OF TWIN BLOCK • DIAGNOSIS AND TREATMENT PLANNING • CASE SELECTION • CONTRA INDICATIONS • CLARKS CEPLAHALOMETRIC ANALYSIS • BITE REGISTRATION • APPLIANCE DESIGN • PTERYGOID RESPONSE • STAGES OF TREATMENT • TREATMENT OF CLASS II DIV I MALOCCLUSION WITH DEEP OVERBITE • TWIN BLOCK FOR SAGITTAL ARCH DEVELOPMENT • TWIN BLOCK FOR TRANSVERSE AND SAGITTAL DEVELOPMENT • TWIN BLOCK FOR CLASS III MALOCCLUSION • TWIN BLOCK FOR SLEEP APNEA AND SNORING • TREATMENT IN MIXED DENTITION • MANAGEMENT OF OPENBITE • MAGNETIC TWIN BLOCK • REACTIVATION OF TWIN BLOCK • TWIN BLOCK WITH TRACTION • TWIN BLOCK FOR FACIAL ASSYMMETRY • TWIN BLOCK IN TMJ PROBLEMS • FIXED TWIN BLOCK • CONCLUSION
  • 3.
    INTRODUCTION • Twin blockare simple bite blocks that effectively modify the occlusal inclined plane with the help of upper and lower bite blocks that engage occlusal inclined plane. • The main objective of Twin-block is to induce supplementary lengthening of the mandible by stimulating increased growth at the condylar cartilage. • The concept of functional therapy is to expand and develop the upper arch to improve arch form and to use the maxilla as a template against which to reposition the retrusive mandible in a correct relationship to the normal maxilla.
  • 4.
    HISTORY • NORMAN KINGSLEY(USA): Introduced the bite plane appliance “jumping the bite” in 1879 • HOTZ-VORBISS PLATE: - Modified form of Kingsley plate to treat retrognathism of mandible associated with lingually inclined incisors. Also in deep bite. • 1902: PIERE ROBIN (FRANCE): - Treated mandibular deficiency problems using monobloc, single block of vulcanite, treated for glossoptosis and airway obstruction • 1908: VIEGGO ANDRESEN: Activator – Popularized by HAROLD WOODSIDE • 1949: BIMLER VESTIBULAR APPLIANCE • 1967: FRANKEL APPLIANCE – FRANKEL
  • 5.
    • 1960: MULLERdesigned wire acrylic device to reposition the mandible. It was need for aesthetic, comfortable, more socially accepted functioned appliance i.e.– Full time wear. • Compatible with most removable and fixed appliance systems. It should be useful in treating TMJ disorders • TWIN BLOCK was introduced by DR WILLIAM. J. CLARK in Europe in 1982 and in USA in 1988. • The first patient was treated in 1977
  • 6.
    TWIN BLOCK PHILOSOPHY •The occlusal inclined plane is the fundamental functional mechanism of the natural dentition. • Cuspal inclined planes play an important part in determining the relationship of the teeth as they erupt into occlusion. • If the mandible occludes in a distal relationship to the maxilla, the occlusal forces, acting on the mandibular teeth in a normal function have a distal component of force that is unfavourable to normal forward mandibular development.
  • 7.
    • The biteblocks and the inclined plane of the appliance repositions the mandible in a new position that is the normal relation of the mandible with respect to the facial skeleton. • The newly established functional behavior pattern eliminates the unfavourable forces acting on the dentition and transmits normal occlusal forces to the dentition from the newly established functional environment. • The normal inclined plane relationship and the resultant proprioceptive sensory feedback stimulate the bone growth and rearrange the trabecular structure to be in harmony with the new functional environment.
  • 8.
    • In ClassII relationship, the mandible is locked in distal position. • This unfavourable cuspal contacts of distal occlusion represent an obstruction to normal forward mandibular translation in function, and as such do not encourage the mandible to achieve its optimum genetic growth potential.
  • 9.
    • In ClassIII relationship, the maxilla is locked in a distal relationship by occlusal forces. • Functional therapy aims to unlock the affected jaw and stimulate its growth by establishing a new functional environment.
  • 10.
    • With theappliance in mouth, patient cannot occlude comfortably in the former distal position and mandible is encouraged to adopt a protrusive bite with the inclined plane engaged in occlusion. • The unfavourable cuspal contacts of the distal occlusion are replaced by a favourable proprioceptive contacts on the inclined planes of the twin block to correct the malocclusion and to free the mandible from locked distal functional position.
  • 11.
    DEVELOPMENT OF TWINBLOCK • Twin Blocks evolved in response to a clinical problem. • A young patient, with Class II div 1 malocclusion fell down and the upper right central incisor was avulsed. • Within few hours of the trauma the tooth was reimplanted. • In order to prevent the adverse lip action, upper and lower bite blocks were designed which were engaged at 90 degrees.
  • 12.
    • After 6months with a stabilizing splint, the tooth had partially reattached • It was observed, within 9 months of Twin Block therapy the distal occlusion was corrected and overjet reduced from 9mm to 4mm
  • 14.
    ADVANTAGES OF TWINBLOCK • Comfort • Aesthetics • Function • Patient compliance • Facial appereance • Speech • Clinical management • Arch development • Mandibular repositioning • Vertical control • Facial asymmetry • Efficiency • Age of treatment • Integration with fixed appliances • Treatment with TMJ dysfunction
  • 15.
    GROWTH STUDIES INEXPERIMENTAL ANIMALS • Several studies were conducted on experiments animals to study the growth related changes. • During the first half of the 20th century, animal research established the basis for orthodontic tooth movement. • Experiments were conducted in monkeys and rodents. • Emphasis of research moved from orthodontic to orthopaedic treatment.
  • 16.
    HISTOLOGICAL RESPONSE TOORTHODONTIC AND ORTHOPEDIC FORCE • Various histological studies were conducted by: • Sandstedt (1904, 1905) • Oppenheim (1911) • Schwarz (1932) • Reitan (1951) • Dogs, rats, monkeys – experimental animals to determine the tissue response to the force application
  • 17.
    GENETIC PARADIGM OFMANDIBULAR LENGTH • Gaumond (1973, 1975) proposed that functional appliances cannot increase mandibular length and that it is under tight genetic control.
  • 18.
    ROLE OF FUNCTIONALMATRIX IN MANDIBULAR GROWTH • Skeletal form is adaptable to functional stimulus. • Several researchers were in favour of this hypothesis. • Charlier et al., 1969; • Moyers et al., 1970; • Petrovic et al., 1971; • Stockli & Willert, 1971; • Elgoyhen et al., 1972; • McNamara, 1972
  • 19.
    • With functionalappliances both mandibular growth direction & growth rate are modulable. • Stockli • Willert • McNamara • Graber & Komposh • Petrovic
  • 20.
    • Stockli &Willert, 1971 suggested condylar cartilage is highly responsive to mechanical stimuli . • Petrovic & Stutzmann, 1977 opined, condylar cartilage is responsive to hormonal and chemical agents.
  • 21.
    • Harvold (1983),commented on research started in the University of California in 1965 to examine the changes that occur in the internal structure of bone in response to functional stimulus. • Only the stimuli that were relatively uniform for a period of several months – contribute to the development of trabecular system.
  • 22.
    • HARVOLD (1983):- Following fixed inclined planes in animal experiments, stated that rapid adaptive changes occur in the tissue surrounding the condyle confirmed from histological studies. • Electromyographic, cephalometric and histological studies in animal experiments provide a better understanding of the biological changes that result from orthopedic technique. • Cephalometric and histological studies especially in mandible of monkey and rats confirm that there are responsive to functional stimuli and bone remodeling occurring in the glenoid fossa.
  • 23.
    • The rapidclinical response is similar to adaptive responses described by McNAMARA (1980) in animal experiments that studied functional protrusion with fixed inclined planes. • McNAMARA (1980) summarised : • The placement of appliance results in an immediate change in the neuromuscular propioceptive response. • Provided all phasic and tonic muscle activity is affected, the resulting muscular changes are very rapid, and can be measured in terms of minutes, hours and days. • Structural alterations are more gradual and are measured in months, whereby the dento-skeletal structures adapt to restore a functional equilibrium to support the altered position of muscle balance'.
  • 24.
    DIAGNOSIS AND TREATMENTPLANNING CLINICAL EXAMINATION ORTHODONTIC RECORDS • Radiographic Examination • Photographs • Models CEPHALOMETRIC ANALYSIS
  • 25.
    CLINICAL EXAMINATION • Aretrusive mandible can be detected by examining the profile and the facial contours with the teeth in occlusion. • The patient is then instructed to close the incisors in normal relationship by protruding the mandible, with the lips closed lightly together - preview of the anticipated result of functional treatment. • If the profile improves with the mandible advanced, this is a clear indication that functional mandibular advancement is the treatment of choice.
  • 26.
    CASE SELECTION IDEAL CASES: • Class II division 1 well aligned arches • VTO positive • 10-12 mm overjet • Deep bite • One full cusp disto-cclusion • Lower anterior facial height is reduced or is near normal
  • 27.
    • Cases withvertical growth and crowding that may require extractions. • Examination of the profile is the most important clinical guideline. • If the profile does not improve when the mandible is advanced, this is a clear contraindication for functional mandibular advancement, and an alternative approach should be considered. CONTRAINDICATIONS FOR TWIN BLOCK THERAPY
  • 28.
    CLARK CEPHALOMETRIC ANALYSIS •This is derived from principles expressed in previous analyses like: • Ricketts 1960 • McNamara 1984 • Bimler 1977 • Two-registration frameworks by Clark are: 1) Ricketts Triangle – The Facial Wedge 2) Facial Rectangle • Basion and FH are used for superimposition.
  • 29.
    COBEN’S CONCEPT OFFACIAL SKELETAL GROWTH • Facial skeleton resembles a triangular wedge placed beneath the cranial base. • Its upper part grows upwards and forwards along the cranial base • The lower part grows downwards and forwards along the mandibular plane. • Facial height increases. • The Clark analysis lends itself well to the expression of Coben’s interpretation of facial growth
  • 31.
    RICKETTS TRIANGLE/ FACIALWEDGE • Defines the face in profile, a wedge shaped triangle attached to the under surface of the cranial base. • Base of Triangle: Basion to Nasion • Defines the cranial base plane • 2nd Leg of triangle: Facial plane • Nasion tangent to the chin by angulation of face in the anterior plane (N-Pog). • 3rd leg of triangle: Mandibular plane (Go – Me) • Defines the angulations of lower border of mandible. • Triangle is bisected by facial axis from ptm- Gn. • Defines the direction of growth of chin.
  • 33.
    THE FACIAL RECTANGLE Theformation of rectangle help to define the relative position and angulations of cranial, maxillary, mandibular and dentoalveolar structures. • Horizontal registration plane: • Reference plane is either FH or True horizontal. • True horizontal may be used when: - The radiograph is taken in natural head position. - Porion and orbitale are not clear - FH diverges significantly from true horizontal
  • 34.
    • Nasion horizontal:A line is drawn through nasion parallelto the Frankfort plane. This defines the upper limit of the face and the anterior point of union with the cranium. • Menton horizontal: This is a tangent through menton on the lower border of the symphysis parallel to the Frankfort plane. It defines the lower limit of the face. • Nasion vertical: A perpendicular line is drawn to the Frankfort plane through nasion. This line defines the anteroposterior relationship of the maxilla and the mandible relative to the anterior cranial base. • Basion vertical: A perpendicular through basion defines the posterior limit of the face. Basion is an important anatomical point in the midline on the foramen magnum, marking the anterior point of union between the cervical column and the base of the skull. • Pterygoid vertical: A perpendicular line to the Frankfort plane through the pterygoid point. This midfacial perpendicular line was selected by Ricketts because it is in a stable area of growth, being close to the point of emergence of the trigeminal nerve from the base of the skull.
  • 35.
    • All horizontalreference planes are parallel to FH plane. • All vertical reference planes are perpendicular to FH plane.
  • 36.
    • The facialwedge defined by the Ricketts triangle is superimposed on the facial rectangle to provide a good visual representation of the face with the component parts orientated in a common framework. • A few key angular measurements define the pattern of craniofacial growth and the relationship of the cranial, maxillary and mandibular structures. • It is easy to identify correlations that exist within the craniofacial complex by visual reference to the facial rectangle.
  • 37.
    Angles in Clarksanalysis- skeletal 1. Cranial base plane to FH: 26- 27 degrees 2. Mandibular plane angle: 26- 27 degrees 3. Cranio-maxillary angle : 26- 27 degrees 4. Mandibular arc: 26- 27 degrees 5. Facial axis angle: 26- 27 degrees 6. Condyle axis angle: 26- 27 degrees 7. Craniomandibular angle – 53 degrees 8. Facial plane angle – 3 degrees 9. Maxillary deflection – 0 degrees
  • 38.
    Dental analysis 1. Upperincisor to anterior vertical: 25 degrees 2. Lower incisor to anterior vertical: 25 degrees 3. Interincisal angle: 128 degrees 4. Position of upper dentition Pterygoid vertical to distal of upper M1 - age + 3mm 5. Position of lower dentition Lower incisor to A-Pog :+1 - +3 mm
  • 39.
    Linear factors • Convexity– A point to facial plane -2.5mm • Maxillary position- A point to nasion vertical- 0mm • Mandibular Position – Pog to nasion vertical- 10 mm Soft tissue factors • Nasal angle - Nasal dorsum to anterior vertical • Lower lip to E plane
  • 40.
    PARALLELISM IN DENTOFACIALDEVELOPMENT • Ricketts stated that parallelism exists between three planes: Facial axis Condyle axis Upper incisors • Upper incisor should be positioned parallel to the facial axis for stability and balance after treatment. • Bilmer proposed that parallelism exists between FH plane and maxillary plane.
  • 41.
    BITE REGISTRATION Sagittal Advancement •Up to 10mm sagittal advancement is possible in the first stage. • If tolerance is difficult, initial advancement of 6mm and later, second stage advancement is recommended. • In adult patients and those with vertical growth pattern and weak musculature, have less tolerance. • In such patients, two stage advancement is recommended.
  • 42.
    • Woodside recomendssagittal advancement upto 3mm distal to the most protrusive position possible and vertical clearance to be within the freeway space. • In North American Guidelines, sagittal advancement upto 3mm distal to the most protrusive position and vertical opening should be 4mm beyond the rest position.
  • 43.
    • Roccabado statedthat the physiologic TMJ movement is 70% of total joint displacement. • Sagittal advancement must not exceed 70% of maximum possible protrusion corresponding to 13 mm. • Hence upto 10mm advancement can be done in one stretch.
  • 46.
    PROGRESSIVE ACTIVATION • Screwscan be incorporated to advance sequentially in: • Class III cases • Anterior open bite cases • Vertical growers • Not given in regular Twin Block as screws prevent trimming of the blocks. • Geserick screw • Carmichael & Banks screw
  • 49.
    • Guidelines forvertical displacement • 4mm beyond rest position. • It corresponds to 2mm seperation at incisors and 4-5 mm at premolar region.
  • 50.
    • In ClassII Div 1, bite is registered with incisors in edge to edge relation with 2mm inter-incisal separation. • In Class II Div 2, bite is registered with incisors in edge to edge relation. • In Class III, mandible maximally retruded with 2mm incisor separation.
  • 51.
    • Projet biteor Exactobite is used to register the bite. • George bite – Blue 2mm Yellow- 4mm
  • 52.
    APPLIANCE DESIGN ANDCONSTRUCTION • CLASPS • Conventionally, delta clasps are placed on upper 6 and lower 4. • Ball end clasps distal to upper 3 and mesial to lower 3.
  • 53.
  • 54.
    Development of deltaclasp • Designed by Clark is 1985 to enhance fixation of the twin block. • Delta named derived since the retentive clasp was triangular in shape. • Parts of the delta clasp – Buccal Bridge, Retentive loop, and Inter dental tags. • Retentive loop: Shaped in closed triangle.
  • 55.
    • Advantages • Improvesretention • Minimal adjustment • Reduces metal fatigue (reduce Breakage) • (Adams Clasps: - Repeated adjustment leads to metal fatigue). • Clasp do not open on repeated insertion and removal. • Therefore maintains better retention and require less adjustment on premolars and hence suitable on posterior teeth.
  • 56.
    Labial bow • Notalways necessary. • Retracting upper incisors prematurely limits mandibular advancement. • A good lip seal is achieved in twin block treatment without additional excercises.
  • 57.
    Baseplate • Either heatcure or cold cure acrylic is used. • After recent research preformed heat cured blocks have been designed to ease the fabrication and improve the strength.
  • 58.
    Inclined Plane • Slopeof inclined plane – • Initially it was 90 degrees, then reduced to 45 degrees, and later increased to 70 degrees. • If tolerance is less, it is kept at 45 degrees. • 45 degrees angulation gives equal sagittal & vertical activation. • 70 degree gives more sagittal activation.
  • 59.
    • Twin blocktool can be used to make the slope (45 & 70 degrees)
  • 60.
    Comparison of TwinBlock Response with Animal Experiments • Harvold (1983) • Histological study in animal experiments observed • Altered occlusal function (when mandible displaced D,F) tissue changes occurs. • No vacuum is created distal to the condyle This creates area of intense cellular activity (tension zone) above and behind the condyle. • This zone is quickly invaded by proliferating connective tissue and blood vessels. • These changes occur within hours and days of appliance use. • Closely analogous to clinical response after fitting twin block
  • 61.
    PTERYGOID RESPONSE • Whenan occlusal inclined plane is fitted, rapid initial conscious adaptation occurs to avoid traumatic occlusal contacts. • Within a few days patient experiences pain behind the condyle when trying to bite in previous position with the appliance removed. • Retraction of condyle causes compression of C.T and B.V producing ischemia and patient experiences pain. • New pattern of muscle behaviour is established rendering the patient impossible to retract mandible into former retruded position.
  • 62.
    • According toMcNamara Pterygoid Response occurs due to altered activity of the medial head of lateral pterygoid muscle.
  • 63.
    • Initial responseto functional mandibular protrusion causes change in muscles of mastication. • Establishes new equilibrium in muscle behaviour. • Volumetric changes behind the condyle stimulates cellular proliferation. • Proprioceptive sensory mechanism initiates compensatory bone remodeling that occurs in need of adaptation to altered function. • Muscle function must be altered over a sufficient period of time to allow adaptive bone remodeling changes to occur to reposition the condyle in the glenoid fossa.
  • 64.
    Voudouris & Kuftinec(2000) stated that, • In addition to proprioceptive response and muscle adaptation, viscoelastic stretch is also responsible for the skeletal adaptation. • The glenoid fossa remodeling and condylar growth are due to viscoelastic stretch of retrodiscal tissue and capsule.
  • 65.
    INTERGINGIVAL HEIGHT • Simpleguideline used to establish the correct vertical dimension during twin block phase of treatment • Measured from gingival margin of upper incisor to the gingival margin of the lower incisor when the teeth are in occlusion • The “comfort zone “ for intergingival height for adult patient is generally 17-19 mm 65
  • 66.
    STAGES OF TWINBLOCK THERAPY • Active phase: 6-9 months • Support phase: 3-6 months • Retention phase – 9 months • Total 19 months
  • 67.
    Active phase • 6–9months • Objective is to achieve full reduction of overjet to a normal incisor relationship and to correct the distal occlusion. • Sagittal correction is achieved before vertical development of posterior teeth is complete. • In patients with deep bite, blocks are trimmed selectively to encourage eruption of lower posterior teeth and level the occlusal plane by eliminating the cure of Spee.
  • 68.
    • The blocksare trimmed occluso-distally to leave the lower molar 1-2 mm clear of occlusion. • This minimum distance of clearance also prevents the tongue from spreading laterally between teeth, so that the molar can erupt more quickly. • At each subsequent visit the upper bite block is reduced to clear the occlusion.
  • 69.
    Support Phase • 3–6months • The objective is to support the corrected mandibular position after active mandibular translation while the buccal teeth settle fully into occlusion. • Upper removable appliance is fitted with an anterior inclined plane to engage the lower incisor and canines. • Lower twin block is left out at this stage • Full time wear of upper anterior Inclined plane is recommended. • Buccal segments settle down freely into occlusion.
  • 70.
    • Bite guides& Bite ramps can be used instead of anterior inclined plane in support phase if the overjet is less than 3mm.
  • 71.
    Retention phase • 9months • Reducing the appliance wear when the position is stabilized. • Recommends night time wear of Upper Anterior Inclined plane once the occlusion is established.
  • 72.
    RESPONSE TO TREATMENT •Development of a lip seal and a noticeable improvement in facial balance and harmony. • The facial changes are soon accompanied by equivalent dental changes and it is routine to observe correction of a full unit distal occlusion within the first 6 months of treatment. • The response to treatment is noticeably faster compared to alternative functional appliances that must be removed for eating.
  • 74.
    TWIN BLOCK FORCLASS II DIV I MALOCCLUSION with DEEP OVERBITE BITE REGISTRATION: Exactobite or projet bite gauge registers 2mm vertical clearance between the incisal edges of upper and lower incisors 74
  • 75.
    CORRECTION OF DEEPOVERBITE  The inclined planes must be positioned carefully to achieve vertical control by selective eruption of posterior teeth 75
  • 76.
    TEMPORARY FIXATION  CEMENTING: •Appliance secured in place with cement adhering to the teeth • Zinc phosphate or zinc oxide cement used • Applying composite around the clasps  Establishes paient cooperation during the initial days. 76
  • 77.
    TWIN BLOCK FORSAGITTAL ARCH DEVELOPMENT • Designed for antero-posterior arch development like in Class II div 2. • Two screws aligned antero-posteriorly in the palate. • The antero-posterior positioning of screws and the location of the cuts are important. 77
  • 78.
    TWIN BLOCK FORTRANSVERSE AND SAGITTAL DEVELOPMENT Three way screw for upper arch development. • Bulky • Interferes with speech • Lingual wires to advance and align upper and lower incisors 78
  • 80.
    TWIN BLOCK FORCLASS III MALOCCLUSION (REVERSE TWIN BLOCK) • Ideal cases are those who can bring their anterior teeth end to end. • Eg: Pseudo Class III cases. • Bite is registered with mandible retruded to the maximum with 2mm interincisal clearance. • In brachyfacial individuals, upto 4mm is tolerable. 80
  • 82.
    • The positionof the bite blocks is reversed compared to Twin Blocks for Class II treatment. • It is achieved by reversing the angulation of the inclined planes, using the lower arch as the means of anchorage. • The maxillary appliance should include provision for three-way expansion to increase the size of the maxilla in both sagittal and transverse dimensions. • Lip pads may be added. • Screws may be used for progressive activation and are used in upper block.
  • 83.
    • Class IIIcases have to be started earlier in deciduous / mixed dentition period. • Additional component of orthopedic force can be applied to advance the maxilla by elastic traction. • Correction is mainly by maxillary protraction. • Mixed dentition correction may relapse in permanent dentition.
  • 84.
    • Occlusal forceexerted on the mandible is directed downwards and backwards by the reverse inclined planes. • No damaging force is exerted on the condyles because the bite is hinged open with the condyles down and forward in the fossae and the inclined planes are directed downwards and backwards on the mandibular teeth. • The force vector in the mandible passes from the lower molar towards the gonial angle. • This is the area of the mandible that is best able to absorb occlusal forces. 84
  • 85.
  • 86.
    86 LIP PADS • Toenhance the forward movement of the upper labial segment. • Lip pads are attached to the anterior segment of the appliance.
  • 88.
    TWIN BLOCK FORSLEEP APNEA AND SNORING • Invisible Twin Blocks with Preformed Blocks • Prepared by fitting preformed blocks on models and forming clear appliances with essix material. 88
  • 89.
    • The appliancesprevent sleep apnea by posturing the mandible downward and forward. • This advances the tongue and improves the posterior airway. • Can be worn by long distance drivers. 89
  • 90.
    TREATMENT IN MIXEDDENTITION • To restore normal function and correct arch relationships by means of functional appliance therapy. • Retention is limited by unfavourably shaped deciduous teeth. • Tooth contour can be modified by placement of synthetic crown contours- TRUAX to improve the retention of clasps. • Delta clasps or • C clasps may be used. 90
  • 92.
    TREATMENT OF ANTERIOROPEN BITE • Twin block are designed to close an anterior open bite by applying an intrusive force to the posterior teeth. • Bite registered with 70% of total protrusive position, with vertical -4mm clearance interincisally. • Lower appliance extends distally to the lower molar region. • Clasps on lower first lower molars. • Occlusal rests on second molars to prevent their eruption. • Appliance is relieved lingual to upper and lower incisors to allow them to erupt. 92
  • 93.
    • Patients withopen bite & vertical growth pattern have weak musculature, hence may not tolerate regular sagittal advancement. • These patients might require phased advancement. • Occlusal screw (Geserick) can be used which provides 6mm advancement. • Alternately, Carmichael & Banks screw may be used but with lesser advancements possible.
  • 94.
    PITFALLS 1. Do notallow second molars to over erupt. 2.Do not trim upper block in reduced overbite cases . 94
  • 95.
    Method to controltongue thrust • A palatal spinner is added to upper appliance. 95 • Encourage the tongue to curl upwards and backwards instead of thrusting forwards. • Effective in younger patients • Used as early as possible to control tongue thrust.
  • 96.
    96 • Spinner inincorporated in upper appliance. • A midline screw without interfering with the action of the midline screw to expand the arch. • Spinner may be mounted on a piece of steel tubing supported by wires extending from either side of the midline. • Spinner may be attached by a wire that extends towards the midline from one side, and is then recurved on itself to retain the spinner in position.
  • 97.
    • TONGUE GUARD: •More passive obstruction to discourage tongue thrust. • In the form of recurved wire extending from the premolar region towards the midline and is recurved to its point of attachment. 97
  • 98.
    • To trainthe tongue to adopt the correct position in swallowing 98 Modified anterior inclined plane with palate free area.
  • 99.
    INTRA ORAL TRACTIONTO CLOSE ANTERIOR OPEN BITE • INTRAORAL ELASTICS- Dr.Christine Mills • Very effective in closing anterior open bites by intruding the posterior teeth. • Vertical Elastics between upper and lower teeth on both sides. 99
  • 100.
    MAGNETIC TWIN BLOCKS •To maximize the favourable functional forces applied to correct the malocclusion. • Alternative method for intrusion of opposing posterior teeth. • Magnets are incorporated in the inclined planes of posterior bite blocks. • Two types of rare earth magnets have been tried. • Samarium – Cobalt • Neodymium – Boron
  • 101.
    • They beused in attracting mode or repelling mode. • When attracting mode is used greater appliance activation can be given as the attacting magnets keep the blocks together. • Treatment time is reduced.
  • 102.
    REACTIVATION OF TWINBLOCK • Extending the anterior incline of the upper twin block mesially to increase the forward posture. • No acrylic is added to distal incline of the lower twin block especially in deep overbite.
  • 104.
    COMBINATION THERAPY • Combinesthe use of functional and fixed techniques in the management of malocclusion. • Timing: late mixed dentition or early permanent dentition • First phase: skeletal correction • Second phase: dental correction
  • 105.
    TWIN BLOCK TRACTIONTECHNIQUE Functional therapy combined with orthopedic traction. INDICATIONS : • Severe maxillary protrusion • To correct maxillary retrusion • To control vertical growth pattern • In adult treatment
  • 106.
    CONCORDE FACEBOW • Newmeans of applying intermaxillary and extraoral traction. • To restrict maxillary growth. • To encourage mandibular growth in combination with functional mandibular protrusion.
  • 107.
  • 109.
    TREATMENT OF FACIALASYMMETRY • The sagittal twin block is the appliance of choice • Sagittal design allows unilateral activation to restore symmetry in buccal and labial segments. • Screw is turned more frequently on the side that requires more distal movement • The mechanical action of the palatal screws reinforced by occlusal forces on the inclined planes favouring working side to correct the midline displacement
  • 111.
    TWIN BLOCK INTMJ THERAPY • Twin block sagittal appliance is used. • To move teeth that are causing occlusal imbalance. • Increase the vertical dimension to reduce deep overbite. • Indicated to resolve an early click. • Pain is relieved within 4-7 days. • Muscle spasm is relieved by changing the pattern of muscle activity. • The disc is recaptured by posturing the mandible downwards and forwards to advance the displaced condyles.
  • 112.
    Appliance design • Sagittaltwin block used to relieve compression on the joint by posturing mandible downwards and forwards. • Advancing retroclined upper incisors. • The further forwards the screw the more anterior the movement. • The further back the screw, the more posterior the movement.
  • 113.
    Stages of treatment •Sagittal development • Functional repositioning • Vertical development Successful TMJ treatment requires a full time commitment until the occlusion is reconsrtucted with the condyles positioned correctly in the glenoid fossa.
  • 115.
    FIXED TWIN BLOCK •Does not rely on patient compliance. • Design Preformed components for mandibular advancement integrated with conventional fixed appliances and /or lingual appliances for arch development.
  • 116.
    PHASES OF TREATMENT •First phase: Interceptive treatment and arch development by Wilson modular appliance system • Second phase: Orthopedic treatment by a fixed /functional twin block system • Third phase: Orthodontic correction by bonded fixed appliances
  • 117.
    Wilson 3D modularappliance system • Suitable for early intervention and arch development. • Use of Wilson 3D lingual tube as a retentive element on molar band. • It is a means of attachment for occlusal twin block components.
  • 118.
    CONCLUSION • In theearly stages of evolution Twin Block were conceived as simple removable appliances to posture the mandible forward to acheive functional correction of class II division 1 malocclusion. • But over the years many variations in appliance design have extended the technique to treat a wide range of all classes of malocclusion. • Appliance design have been improved and simplified to make twin block more acceptable to the patient without reducing their efficiency.
  • 119.
    REFERENCES • Clark W.J.Twin Block Functional Therapy Application in Dentofacial Orthopedics • Clark WJ The twin block technique Part 2 Funct Orthod 1992: Nov-Dec • Clark WJ. The Twin Block technique. Part 1. Funct Orthod. 1992: Sep-0ct • Lund DI, Sandier PJ The effects of Twin Blocks: a prospective controlled study Am J Orthod Dentofacial Orthop. 1998 • Baccetti et al ,Treatment timing for twin block AJODO 2000 • Thomas M. Graber, Thomas Rakosi and Alexandre G. Petrovic Dentofacial Orthopedics with Functional Appliances