Justin J.C. Lee        D.D.S., Ph.D
 Seoul Children’s Dental Center
So many dentists just drill
and fill cavities without
considering the causes of
caries.



      So many orthodontists just
      use mechanics to align
      teeth without considering
      the causes of malocclusion.
JDent Res 74 (8) 1995 Guest Editorial 1437

      Juha Varrela and Pentti Alanen


    It is difficult to avoid the impression
that the better the mechanics of tooth
movement have been mastered, the
smaller has been the interest in etiological
or developmental aspects of the
malocclusions
Edward F. Harris, PhD,
  and Michelle G. Johnson, DDS, MS
      (AM J ORTHOD DENTOFAC ORTHOP 1991;99:258-68.)




        In contrast to craniometric variables,
  which have high heritabilities, almost all of the
occlusal variability is acquired rather than inherited




   咬合                       取得                   遗传
   Occlusion
An epidemiologic transition in dental occlusion in
world populations
Robert S. Corruccini
American Journal of Orthodontics November 1984 (Vol. 86, Issue 5, Pages 419-426)




                  The history of malocclusion gives an
        interesting viewpoint on the development of contemporary
   occlusal variation. Analyses of skull materials show that gross
   malocclusions have been rare or nonexistent during most of
   human history.
   Minor malpositions or mild crowding was not infrequent, but
   individuals who, by modern standards, would have needed
   orthodontic treatment were uncommon.
3 hypothesis of etiology
for increasing malocclusion
       The increase in allergies and other
              factors that might obstruct
      nasopharyngeal airways and interfere
                with normal breathing




 The effects of                    Dietary changes and
abnormal sucking                        alterations in
     habits                        masticatory activity
To have good occlusion
Lips together,

Breathe though nose


   Tongue place on the spot: “N”


     Swallow with masticatory muscles
     not with perioralmuscles

          No parafunctions such as
          thumb sucking, etc
T4K
Breathing

        Tongue
            tag
2007.02.01
2007.06.22 4m
2008.05.24
2009.01.29
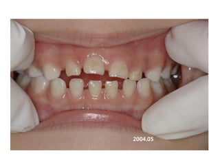
2004.03
2004.05
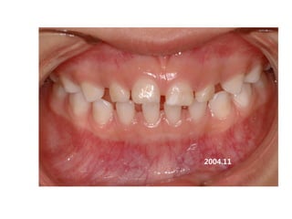
2004.11
2005.4
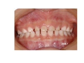
2006.7
2006.12
2007.4
2008.05.10
2009.10.09
2009.10.09
TRAINER system
• Designed by a general dentist in Australia

• Acts like lip bumper: nose breathing

• Like Frankel appliance: relieves buccinator m.

• Tongue tag : remind tongue posture

• Silicon, ready made, a number of modifications
  avaliable
J.S.Kim
1996.5.15 / M


    C.C

    • Max. protrusion

    Dx

    • Deepbite caused by mentalis activity

    Goal

    • Establish normal swallowing pattern with T4K
2005.01.16
2005.10.19 9m
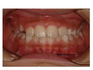
2006.03.04.14m
2006.10.08. 1y9m
2007.01.04. 2y
2007.08.26 2y 7m
2008.02.27.3y2m
2008.11.26 3y10m
C.C
• Lower ant. crowding

Dx
• Deepbite, rhinitis, mentalis action

Goal
• Establish nose breathing and normal swallowing
 pattern with T4K
2009.03.06 2y 4y
         2010.05.19 9m
             2008.12.10.2y6m
        2009.07.08 3y 1m 2m,
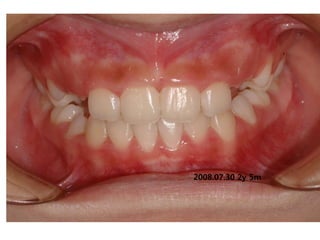
             2008.07.30.2y
2009.09.18 2006.06.07
           TPA2006.10.11 4m
      2009.10.22 3y 4m 7m
         2010.01.27. 4y 1y2m
                2007.08.01
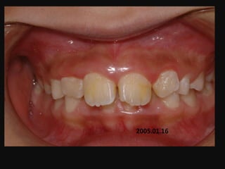
1999.04.05/F


   C.C

   • Diastema, flattened lower ant.

   Dx

   • Mentalis action, heavy labial frenum

   Goal

   • Establish normal lip tone
2006.02.08
 2004.05.13
2006.12.27 10m
2007.05.08 1y 3m
2008.07.30 2y 5m
2009. 02.18.3y
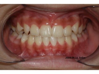
2009.08.11 3y6m
2010.06.15 4y4m
2012 02 01
out of Tr 2yr
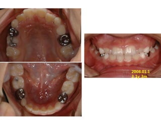
1999.11.24 /F


    C.C
   • Ant. crossbite, crowding

    Dx
   • Incorrect tongue posture and mentalis action

    Goal
   • Establish normal tongue posture and swallowing
     pattern
2006.09.07
2006.10.27 Start T4K
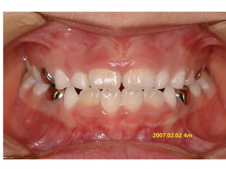
2007.02.02 4m
2008.01.1
3 1y 3m
2008.10.04 2y
2009.08.04 2y 10m
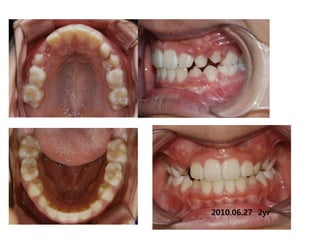
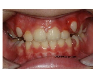
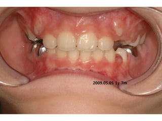
1999.05.26 /M


   C.C
   • Crooked teeth

   Dx
   • Lack of space caused by perioral muscle action

   Goal
   • Establish normal tongue posture and lip tone
    with T4K
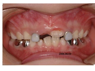
2006.06.03
      2005.08.27
      .
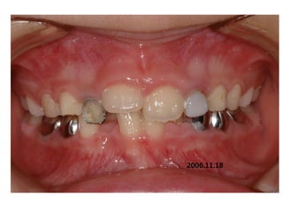
2006.11.18
2007.10.21 T4K start
2008.01.13
3m
2008.08.30 10m
2008.12.06 1y 2m
2009.05.05 1y 7m
2009.09.19 1y 11m
2010.02.26 2y 4m
1998.09.25/M


   C.C
   • Max. protrusion

   Dx
   • Mentalis action, incorrect tongue posture

   Goal
   • Establish perioral muscle tone and tongue
     posture
2005.12.29
2008.07.01
Start T4K
2008.07.01
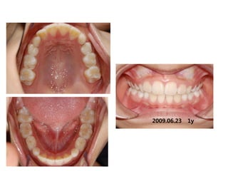
2009.06.23   1y
2009.06.23   1y
2010.06.27 2yr
2011 07 28
2012 03 20
out of Tr 2yr
1998 02 .24/ F


    C.C

   • Crooked upper ant.

    Dx

   • Lack of space

    Goal

   • Establish normal tongue posture
2005.01.07
2005.04..28 Tr start
2005.12.28 8m
2007.01.04 1y 8m
2007.07.27 2y3m
2008.05.10 3y
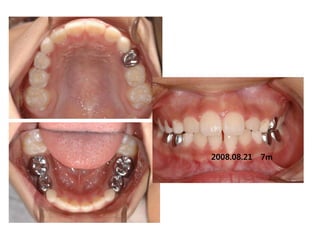
S.H. Jang
1999.10.14/M

   C.C
   • Max. protrusion
   • Lower crowding
   Dx
   • Mouth breathing, retro-positioned tongue

   Goal
   • Lip seal(Adenoidectomy and Tonsilectomy)
   • Establish tongue posture with T4K
2006.07.21
A &T 2008.01 Tr start
2007.11.21
2008.05.08 4m
2008.08.21   7m
2008.08.21   7m
2009.03.2
1 !y 2m
stop T4K
2010.03.31
1yr later relapse
Limitations


               Gingival
Compliance                     Relapse
               irritation

      Difficult to    Difficult to
      correct CIII   charge fees
Conclusion
•   Excellent for deepbite, mentalis action,
•   Good for collapsed arch
•   Good for mild upper/lower crowding
•   Useful as a retainer during growth
•   Can be used for crossbite(local factor)
•   Questionable for open bite
                                     Must be
                                   accompanied
                                    by muscle
                                     exercises
                                   (swallowing, tongue
                                       posture, lip
                                      competence)

Early Orthodontic treatment withTrainer system