THYROID IMAGING
BWAMBALE JIMMY
• Anatomy and physiology
• Embryology
• Normal variations
• Hypothyroidism
• Hyperthyroidism
• Thyroid nodules
• The thyroid gland is a highly vascularized bi-lobed endocrine gland
situated in the median anterior neck inferior to the laryngeal thyroid
cartilage typically corresponding to vertebral bodies C5-T1. The two
lobes are connected anteriorly by the isthmus to produce a butterfly
appearance. It weighs about 10-25grams.
• The lobes are wrapped around the cricoid cartilage and superior rings
of the trachea and are bound by the pre-tracheal fascia. The thyroid
gland attaches to the trachea via a consolidation of connective tissue
called the lateral suspensory ligament or berry’s ligament.
• Embedded posterior to each thyroid lobe is a parathyroid gland.
Anatomy
TeachMeSeries Ltd (2021
Anatomical relations
• Anteriorly: infrahoid muscles,sternohyoid,superior belly of the
omohyoid and stern thyroid
• Laterally carotid sheath; containing the common carotid artery,
internal jugular vein and vagus nerve.
• Medially:larynx,pharnx,trachea and esophagus.
Blood supply
Arterial blood supply is by two arteries;
• Superior thyroid artery, the first branch of the external carotid artery.
• Inferior thyroid artery a branch of the subclavian artery.
• In 10% of the population, The thyroid ima artery that arises from the
brachiocephalic trunk supplies the anterior surface and the isthmus
of the thyroid gland.
Venous drainage
• The thyroid gland drains via the superior, middle and inferior thyroid
veins which form a venous plexus.
• The superior and middle veins later drain into the internal jugular
vein and the inferior into the brachiocephalic vein
• Innervation
• The parasympathetic fibers that innervate the thyroid gland originate
from the vagus nerve while the sympathetic fibers originate from the
inferior, middle and superior ganglia of the sympathetic trunk.
• Release of thyroid hormone is controlled by the pituitary gland.
• Lymphatic drainage
It drains in to the paratracheal and
the deep cervical nodes.
Embryology
• It’s the first endocrine gland to develop
• Embryology begins on the 24th day of gestation
• Originates from primitive pharynx and the neural tube
• Lateral thyroid develops from the neural crest cells and the medial
thyroid develops from the primitive pharynx.
• Endothelial epithelial cells proliferate on the developing pharyngeal
floor between the 1st and 2nd pharyngeal arches.
• These proliferating cells(thyroid primodium) develops to form the
thyroid diverticulum
• The thyroid diverticulum is initially hollow but later solidifies and
becomes bilobed. The thyroid stem usually has a lumen (thyroglossal
duct that does not descend into the lateral lobes.)
• The two lobes are connected by an isthmus
Thyroid descent
• Initial thyroid descend follows the primitive heart and it
occurs anterior to the pharyngeal gut.
• At this point it’s still connected to the tongue by the
thyroglossal duct
• The proximal segment of the duct retracts and obliterates,
leaving only the foramen cecum
• The inferior end of the duct also obliterates. Failure of
obliteration of the inferior end leads to formation of the
pyramidal thyroid lobe.
• As it descends, it forms a mature shape and by the 7TH
gestation week, it comes to rest in its orthotopic position.
Clinical correlation of thyroid embryology
• If the thyroglossal duct does not atrophy, the remnant manifests
clinically as a thyroglossal duct cyst. The cyst is often located below
the level of the hyoid bone but may track anywhere along the
embryonic course of descent. rupture of this cyst may cause a
thyroglossal duct sinus.
Failure of the thyroid to descend leads to ectopic thyroid tissue.
Ectopic thyroid tissue may occur anywhere along the course of descent
although its commonest at the base of the tongue where it’s called
lingual thyroid. Ectopic thyroid may be associated with hypothyroidism
Ectopic thyroid tissue
Accessory thyroid tissue may also occur from remnant of the
thyroglossal duct. They appear anywhere along the course of descend
of the thyroglossal duct.
A pyramidal lobe arises when the inferior end of the thyroglossal duct
fails to obliterate. Its usually attached to the superior edge of the
isthmus, more common on the left.
Pyramidal lobe
Thyroid hemi agenesis
Agenesis
Failure of one lobe to develop
especially the left is found
incidentally.
Patients present with hypothyroid
manifesting in early childhood as
cretinism(physical deformity and
learning difficulty)
physiology
Thyroid hormone synthesis
T3 and T4
• T4 is a prohormone while T3 is the active hormone.
• T4 undergoes monodeiodination(in extra thyroid tissues) to form T3
Functions of the thyroid gland
• The thyroid maintains normal body metabolism , physical and mental
growthand development by the synthesis, storage, and secretion of
thyroid hormones T3 AND T4
Anti thyroid drugs
• Influence synthesis, release and peripheral metabolism of thyroid
hormones and are thus used in treatment of hyperthyroidism.
• Methiamazole,glucocorticoids,lithium.
hypothyroidism
• Is the most common thyroid disorder. In adults it’s referred to as
myxedema
• 75% of hypothyroidism is caused by a chronic thyroid inflammatory
process called Hashimoto’s thyroiditis which may be a sequel to an
autoimmune response.
• However ,it may also occur as a result to malfunction of the pituitary
gland
• Other causes of hypothyroidism include medications, radiation
exposure,edemic iodine deficiency,hyperfunctioning thyroid cancer
neonatal thyrotoxicosis(maternal graves disease) among others.
Clinical signs and symptoms
weight gain,
hair loss
increased subcutaneous tissue around the eyes
lethargy,
intellectual and motor slowing,
cold intolerance
constipation
and a deep husky voice.
Hyperthyroidism
• Iodine excess may lead to over
production of thyroid hormone a
condition termed “jodbasedow”
• The gland has impaired function
and demonstrates diffuse
enlargement.
May be stimulated by,
• Grave’s disease
• Toxic multinodular goiter
• Toxic adenoma
• Acute or sub acute thyroiditis
• Hyper functioning thyroid cancer
• Choriocarcinoma or hydatidiform
mole
• Thyroid-stimulating hormone–
secreting pituitary adenoma
• Amiadorone (antiarthmic drug)
Clinical signs and symptoms
• Adrenergic- palpitations,anxiety,hyperdefecation,heat/cold
intolerance.
• Cardiovascular-Tachycardia, dyspnea, orthopnea and peripheral
edema.
• metabolism,-weight loss
• Neuromuscular-Brisk peripheral reflexes, weakness of proximal
muscles
• Neuropsyciatric- Insomnia,rapid and pressured speech
IMAGING MODALITIES
• Ultrasound
• Plain X-ray (In patients with MNG to rule out pressure effect on the
trachea and retrosternal extension)
• MRI (Not routine)
• Scintigraphy
Indications for thyroid imaging
• Differential diagnosis of hyperthyroidism
• Suspected thyroid cancer
• Suspected metastasis of thyroid cancer
• Thyroid nodule
• Thyroid inflammation
• Determine the efficacy of radioactive iodine therapy
• Organification (incorporation of iodine into thyroglobulin) defects
• Determine congenital thyroid defects
Thyroiditis
An acute thyroid destructive
process.
Can be autoimmune, infectious or
drug related such as in post
partum, viral and Amiodarone
induced thyroiditis respectively.
Cell membrane breaks down and
releases excessive amounts of
thyroid hormone into the
circulation
In Some patient’s a normal thyroid
state may be auto restored in 2-4
months and others may develop
permanent hypothyroidism.
Post partum thyroiditis
• Pregnancy and stress are
associated with immune
suppression, and subsequent
release from suppression may
lead to heightened immune
activity precipitating a thyroid
disorder
Occurs in 1-17% of women with
preexisting subclinical
autoimmune thyroid disease.
Post partum thyroiditis
• Commonly occurs in women
with elevated thyroid peroxidase
in early pregnancy.
• Has a strong association with
diabetes mellitus and it tends to
reoccur during subsequent
pregnancies.
• Characterized by initial
hyperthyroidism, followed by
hypothyroidism(due to deletion
of the thyroid stores) and then
Euthyroidisim(normal state)
• Extreme fatigue and postpartum
depression and suicide have
been linked to the disorder.
Viral thyroiditis
• Usually follows an upper
respiratory tract infection
• Clinically it presents as a painful
and tender goiter with
associated general malaise and
fever.
• TFT’s are elevated in the acute
phase and gradually return to
Euthyroid levels in 2-4 months
Amiodarone induced thyroiditis
• Iodine rich benzofuran derivative
used to treat and prevent
cardiac arrhythmias.
• Has a long half life(3-4months)
and is stored in fat
• Induces hyperthyroidism due to
increased hormone sythesisis
• Amiodarone induced
hypothyroidism is believed to
result from the inability of the
thyroid to escape from the
Wolff-Chaikoff effect.
• Thyroid hormone biosynthesis is
impaired because of the
persistent block in intrathyroidal
iodine organification
thyroiditis
Autoimmune thyroid diseases
Hashimoto’s disease
• Chronic autoimmune thyroid
disease also known as chronic
lymphocytic thyroiditis.
• More common in women with a
20%incidence in iodine replete
areas where it’s the most
common cause of goiter and
hypothyroidism.
• Associated with auto
sensitization of thyroid
peroxidase and thyroglobulin
Radiographic findings
• Diffusely enlarged gland with
heterogeneous echo texture
• Hypoechoic micro(1-6mm)nodules
• Hyper/normal vascularity on
Doppler
• Reactive cervical lymnodes may be
present
Grave’s disease
• Autoimmune thyroid disease that results from an antibody directed
stimulation of the thyroid-stimulating hormone (TSH) receptor, with
resultant production and release of T3 and T4.
• Occurs in genetically susceptible persons and is more common in
women
• Clinical features, fatigue ,change in bowel habits,restlessness, anxiety,
irritability, insomnia etc.
• Associated with optalmopathy
Ultrasonographic features of Grave’s disease
• Hyper vascularity
• Diffuse coarse thyroid echo
texture
• Diffuse gland enlargement
Thyroid neoplasm
Findings indicative of malignancy
• Micro-calcifications
• Irregular/microlobular margins
• Hypo echogenicity
• Taller than wide shape
• Increased intranodular vascularity
Features indicative of benignancy
• Cystic lesions
• Iso/hyper echoic well
circumscribed lesions
US image of a thyroid nodule (arrowheads) containing multiple fine punctuate echogenicity's
(arrow) with no comet-tail artifact, indicating high suspicion for malignancy. FNA and surgery confirmed PTC. (Reproduced from Frates MC.
Management of thyroid nodules detected at US: Society of Radiologists in Ultrasound consensus conference statement. Radiology2005;237:794–800;
with permission.)
Malignant thyroid nodules
US image of a cystic thyroid nodule (arrowheads). (Reproduced from Frates MC.
Management of thyroid nodules detected at US: Society of Radiologists in Ultrasound consensus conference statement.
Radiology 2005;237:794–800; with permission.)
Thyroid adenoma
Thyroid adenoma
multinodular goitre
Endemic goiter
• Attributed to iodine deficiency
or goitrogens which are present
in Some foods.
• cassava,cabbages,turnip,brocho
oli contain cynoglucosides
• cyanoglucosides can be
metabolized to thiocynate.
Thiocynate interferes with iodine
trapping and organification leading to
inefficient hormone synthesis which
leads to compensatory increase in
TSH.
N.B ultrasonography/Imaging has high
sensitivity but low specificity in the
differentiation of thyroid autoimmune and
inflammatory processes, thus Clinical and
laboratory correlation are invaluable for
definitive diagnosis
TIRADS
Thyroid scintigraphy
• Routinely used for the diagnosis
of and management of thyroid
conditions
Radio-nuclides
• I-123 ;Most commonly used
because of its excellent image
quality and low radiation dose.
• I-131;Used for therapeutic
purposes because of its beta
emission and high radiation dose
• 𝑇99𝑚 pertechnetate
• Used as a substitute for iodine because
its trapped by iodine, readily available,
inexpensive ,low radiation dose.
I-123
• Biochemical behavior is identical to
that of stable iodine and is thus
absorbed into the body in the GIT.
• Trapped by thyroid follicular cells and
incorporated into thyroglobulin
• Decays by electron capture with a half
life of 13hours and a photon energy of
159Kev.
• The gamma emission allows for
excellent imaging with low
background activity providing low
radiation to the thyroid
• Dose and route I: 200-400 μCi (7.4-
14.8 MBq) p.o.
Iodine-131
• Decays by beta emission.
• T1/2 8.04days
• Long half life and high beta
emission cause relatively high
radiation dose making it
undesirable for routine imaging
of the thyroid.
• Used in scanning for metastatic
carcinoma since scanning can be
done over several days
Not used for imaging in benign
disease due to beta
emissions/high radiation dose to
thyroid (1 rad/μCi)
Tc-99m pertechnetate
• Not organified into the thyroid
follicular cells but released over time
as unaltered pertechnetate ion.
• Only 1-5% of administered 99tc04- is
trapped by the thyroid so images
background levels are higher than
with radio-iodine.
• Dose:2-10 mCi (74-370 MBq) IV
• Preferred over radioiodine when a
patient has been receiving thyroid
blocking agents such as iodinated
contrast agents
Iodine uptake test
• Performed before the
radioiodine therapy to ensure
that the thyroid will take up
iodine and determines how
much.
• Can be used to differentiate
between graves disease and sub
acute
thyroiditis.
• A gamma probe is placed over
the thyroid gland to measure the
amount of radioactivity of the
thyroid gland.
• This amount of radioactivity is
compared with the original dose
of radioactivity and is reported
as a percentage.
Significance of iodine uptake test
Normal range:6hour 3-16%
24hours 8-25%
Increased radioactivity >35% after
24hours
Hyperthyroidism
Hashimotos thyroiditis(early)
Goiter
Decreased radioactivity
• hypothyroidism
• subacute thyroiditis
• iodine overload (excessive iodine
ingestion)
>35% after 24hours
Hyperthyroidism
Hasmimotos thyroiditis
goiter
Decreased radioactivity
Hypothyroidism
Sub acute thyroiditis
Excessive iodine intake
Normal range
3-16% after 3hours
8-25% after 24hours
Factors affecting iodine uptake
Increased uptake
• Hyperthyroidism
• Hashimotos thyroiditis.
• Iodine starvation
• Pregnancy
• Enzyme defects
• TSH
Decreased uptake
• Hypothyroidism
• Iodine overload i.e. from
iodinated contrast media
• Iodine containing medications
• Thyroid hormone therapy
• Ectopic secretion of thyroid
hormone
• Renal failure
Indications for thyroid scintigraphy
• To differentiate causes of primary hyperthyroidism
• To locate ectopic thyroid tissue.
• To assist in evaluation of congenital hypothyroidism/ organification defects.
• To determine that a cervical/mediastinal mass is thyroid tissue.
• To evaluate functionality of a nodule/s
N.B contraindicated in breast feeding mother and pregnant women. ?risk
benefit assessment.
What are the prerequisites?
• Previous investigations confirming thyroid pathology by either: abnormal
thyroid function tests or ultrasound study.
• Ensuring that no previous radiological procedure requiring the injection of
iodine contrast medium has been carried out 8 weeks before the thyroid
scan.
• Ensuring cessation of iodine-containing foods, vitamin supplements and
medicines before the scan for a minimum of 1–2 weeks.
• Ensuring cessation of the following drugs before the scan:
• Thyroxine (at least 1 week);
• Liothyronine – needs to be ceased for 5 days
• Amiodarone – 3 months before the scan
• Lithium ,carbimazole,propylthiaouracil
Technique and clinical protocol
Technetium-99m
• Image is taken 20 minutes after
5 to10 mCi (185-370MBq) IV
injection.
• With Patient supine, neck
extended Anterior ,left and right
oblique images are then
obtained for 100,000 to 300,000
counts or 5 minutes acqusitition.
Technique -Iodine 123
• Image is taken 3-4hours and after oral
administration of 200 to 600µCi to a fasting patient.
• 50,000-100,000 count/10minute acquisition.
• Imaging 16-24 hours may give more accurate detail
of the distribution of organified iodine that earlier
images.
Normal images
• Bi-lobed thyroid with
homogenous distribution of
activity.
• In a small number of patients, a
pyramidal lobe may be
indemnified.
Pyramidal lobe
• Ectopic thyroid tissue
• May occur in base of the
tongue(lingual
goitre,retrosteranally(sub sternal
goiter),pelvis(struma ovarii)
Ectopic?
A radioiodine stan shows the left thyroid lobe extending inferiorly in a substernal goiter.
Congenital organification defect
• A 24 hour radioiodine scan
shows no activity.
• A 2 to 4 hour Technetium 99
pertechnetate shows activity
because the trapping
mechanism of the gland is intact
Grave’s Disease
• Varying degrees of
thyromegaly with
uniform
distribution of
increased activity.
Graves disease
Thyroid nodules
• Cold nodules demonstrate
absence of activity(cysts)
• Hot nodules are identified by
focally increased activity
compared to normal thyroid
parenchyma.
• Nodules that are neither hot nor
cold are called warm nodules.
Multi nodular goiter
• Enlarged gland with
multiple cold, warm or
hot areas giving the
gland a coarse patchy
appearance.
Discordant nodules
• A small number of
hot nodules on
technetium
peretechnetate have
proved to be cold on
iodine imaging.
Thyroiditis
• Early-Diffusely uniform
increased activity in the
gland(which may resemble
Grave’s disease)
Late(chronic thyroiditis)-
Coarsely patchy distribution of
activity(which may mimic
MNG)
Post thyroidectomy imaging
• A whole body imaging device or a large field of view gamma camera is
used.
• Activity is commonly seen in the stomach, bowel and bladder.
• Mild activity is also seen in the liver due to clearance of bound iodine
by the liver.
• A star artifact is commonly seen when remnamt residual thyroid
tissue accumulates a lot of radioiodine some of wihc escapes the lead
septa in a star pattern.
Post radioiodine therapy imaging
• Whole body imaging at 6 months to 1 year interval.
• Thyroid hormone withdrawal for 4-6 weeks
• Subsequent identification of functioning tissue in the neck should be
treated as tumor recurrence.
Thank you for listening
• Ilahi A, Muco E, Ilahi TB. StatPearls [Internet]. StatPearls Publishing;
Treasure Island (FL): Aug 10, 2020. Anatomy, Head and Neck,
Parathyroid . [PubMed
• May 14, 2017 | Posted by admin in HEAD & NECK IMAGING |
• TIRADShttps://www.researchgate.net/publication/269763998_Reliabi
lity_of_Thyroid_Imaging_Reporting_and_Data_System_TIRADS_Classi
fication_in_Differentiating_Benign_from_Malignant_Thyroid_Nodules
• Diagnostic Radiology Essentials.A.Adam,R.G.Grainger.D.J.Allison

Thyroid imaging

  • 1.
  • 2.
    • Anatomy andphysiology • Embryology • Normal variations • Hypothyroidism • Hyperthyroidism • Thyroid nodules
  • 3.
    • The thyroidgland is a highly vascularized bi-lobed endocrine gland situated in the median anterior neck inferior to the laryngeal thyroid cartilage typically corresponding to vertebral bodies C5-T1. The two lobes are connected anteriorly by the isthmus to produce a butterfly appearance. It weighs about 10-25grams. • The lobes are wrapped around the cricoid cartilage and superior rings of the trachea and are bound by the pre-tracheal fascia. The thyroid gland attaches to the trachea via a consolidation of connective tissue called the lateral suspensory ligament or berry’s ligament. • Embedded posterior to each thyroid lobe is a parathyroid gland.
  • 4.
  • 5.
    Anatomical relations • Anteriorly:infrahoid muscles,sternohyoid,superior belly of the omohyoid and stern thyroid • Laterally carotid sheath; containing the common carotid artery, internal jugular vein and vagus nerve. • Medially:larynx,pharnx,trachea and esophagus.
  • 9.
    Blood supply Arterial bloodsupply is by two arteries; • Superior thyroid artery, the first branch of the external carotid artery. • Inferior thyroid artery a branch of the subclavian artery. • In 10% of the population, The thyroid ima artery that arises from the brachiocephalic trunk supplies the anterior surface and the isthmus of the thyroid gland. Venous drainage • The thyroid gland drains via the superior, middle and inferior thyroid veins which form a venous plexus. • The superior and middle veins later drain into the internal jugular vein and the inferior into the brachiocephalic vein
  • 11.
    • Innervation • Theparasympathetic fibers that innervate the thyroid gland originate from the vagus nerve while the sympathetic fibers originate from the inferior, middle and superior ganglia of the sympathetic trunk. • Release of thyroid hormone is controlled by the pituitary gland.
  • 13.
    • Lymphatic drainage Itdrains in to the paratracheal and the deep cervical nodes.
  • 14.
  • 15.
    • It’s thefirst endocrine gland to develop • Embryology begins on the 24th day of gestation • Originates from primitive pharynx and the neural tube • Lateral thyroid develops from the neural crest cells and the medial thyroid develops from the primitive pharynx. • Endothelial epithelial cells proliferate on the developing pharyngeal floor between the 1st and 2nd pharyngeal arches. • These proliferating cells(thyroid primodium) develops to form the thyroid diverticulum
  • 16.
    • The thyroiddiverticulum is initially hollow but later solidifies and becomes bilobed. The thyroid stem usually has a lumen (thyroglossal duct that does not descend into the lateral lobes.) • The two lobes are connected by an isthmus
  • 17.
    Thyroid descent • Initialthyroid descend follows the primitive heart and it occurs anterior to the pharyngeal gut. • At this point it’s still connected to the tongue by the thyroglossal duct • The proximal segment of the duct retracts and obliterates, leaving only the foramen cecum • The inferior end of the duct also obliterates. Failure of obliteration of the inferior end leads to formation of the pyramidal thyroid lobe. • As it descends, it forms a mature shape and by the 7TH gestation week, it comes to rest in its orthotopic position.
  • 19.
    Clinical correlation ofthyroid embryology • If the thyroglossal duct does not atrophy, the remnant manifests clinically as a thyroglossal duct cyst. The cyst is often located below the level of the hyoid bone but may track anywhere along the embryonic course of descent. rupture of this cyst may cause a thyroglossal duct sinus.
  • 21.
    Failure of thethyroid to descend leads to ectopic thyroid tissue. Ectopic thyroid tissue may occur anywhere along the course of descent although its commonest at the base of the tongue where it’s called lingual thyroid. Ectopic thyroid may be associated with hypothyroidism
  • 23.
  • 25.
    Accessory thyroid tissuemay also occur from remnant of the thyroglossal duct. They appear anywhere along the course of descend of the thyroglossal duct.
  • 26.
    A pyramidal lobearises when the inferior end of the thyroglossal duct fails to obliterate. Its usually attached to the superior edge of the isthmus, more common on the left.
  • 27.
  • 28.
  • 29.
    Agenesis Failure of onelobe to develop especially the left is found incidentally. Patients present with hypothyroid manifesting in early childhood as cretinism(physical deformity and learning difficulty)
  • 30.
  • 31.
  • 34.
    T3 and T4 •T4 is a prohormone while T3 is the active hormone. • T4 undergoes monodeiodination(in extra thyroid tissues) to form T3
  • 35.
    Functions of thethyroid gland • The thyroid maintains normal body metabolism , physical and mental growthand development by the synthesis, storage, and secretion of thyroid hormones T3 AND T4
  • 36.
    Anti thyroid drugs •Influence synthesis, release and peripheral metabolism of thyroid hormones and are thus used in treatment of hyperthyroidism. • Methiamazole,glucocorticoids,lithium.
  • 37.
    hypothyroidism • Is themost common thyroid disorder. In adults it’s referred to as myxedema • 75% of hypothyroidism is caused by a chronic thyroid inflammatory process called Hashimoto’s thyroiditis which may be a sequel to an autoimmune response. • However ,it may also occur as a result to malfunction of the pituitary gland • Other causes of hypothyroidism include medications, radiation exposure,edemic iodine deficiency,hyperfunctioning thyroid cancer neonatal thyrotoxicosis(maternal graves disease) among others.
  • 38.
    Clinical signs andsymptoms weight gain, hair loss increased subcutaneous tissue around the eyes lethargy, intellectual and motor slowing, cold intolerance constipation and a deep husky voice.
  • 39.
    Hyperthyroidism • Iodine excessmay lead to over production of thyroid hormone a condition termed “jodbasedow” • The gland has impaired function and demonstrates diffuse enlargement. May be stimulated by, • Grave’s disease • Toxic multinodular goiter • Toxic adenoma • Acute or sub acute thyroiditis • Hyper functioning thyroid cancer • Choriocarcinoma or hydatidiform mole • Thyroid-stimulating hormone– secreting pituitary adenoma • Amiadorone (antiarthmic drug)
  • 40.
    Clinical signs andsymptoms • Adrenergic- palpitations,anxiety,hyperdefecation,heat/cold intolerance. • Cardiovascular-Tachycardia, dyspnea, orthopnea and peripheral edema. • metabolism,-weight loss • Neuromuscular-Brisk peripheral reflexes, weakness of proximal muscles • Neuropsyciatric- Insomnia,rapid and pressured speech
  • 41.
    IMAGING MODALITIES • Ultrasound •Plain X-ray (In patients with MNG to rule out pressure effect on the trachea and retrosternal extension) • MRI (Not routine) • Scintigraphy
  • 42.
    Indications for thyroidimaging • Differential diagnosis of hyperthyroidism • Suspected thyroid cancer • Suspected metastasis of thyroid cancer • Thyroid nodule • Thyroid inflammation • Determine the efficacy of radioactive iodine therapy • Organification (incorporation of iodine into thyroglobulin) defects • Determine congenital thyroid defects
  • 43.
    Thyroiditis An acute thyroiddestructive process. Can be autoimmune, infectious or drug related such as in post partum, viral and Amiodarone induced thyroiditis respectively. Cell membrane breaks down and releases excessive amounts of thyroid hormone into the circulation In Some patient’s a normal thyroid state may be auto restored in 2-4 months and others may develop permanent hypothyroidism.
  • 44.
    Post partum thyroiditis •Pregnancy and stress are associated with immune suppression, and subsequent release from suppression may lead to heightened immune activity precipitating a thyroid disorder Occurs in 1-17% of women with preexisting subclinical autoimmune thyroid disease.
  • 45.
    Post partum thyroiditis •Commonly occurs in women with elevated thyroid peroxidase in early pregnancy. • Has a strong association with diabetes mellitus and it tends to reoccur during subsequent pregnancies. • Characterized by initial hyperthyroidism, followed by hypothyroidism(due to deletion of the thyroid stores) and then Euthyroidisim(normal state) • Extreme fatigue and postpartum depression and suicide have been linked to the disorder.
  • 46.
    Viral thyroiditis • Usuallyfollows an upper respiratory tract infection • Clinically it presents as a painful and tender goiter with associated general malaise and fever. • TFT’s are elevated in the acute phase and gradually return to Euthyroid levels in 2-4 months
  • 47.
    Amiodarone induced thyroiditis •Iodine rich benzofuran derivative used to treat and prevent cardiac arrhythmias. • Has a long half life(3-4months) and is stored in fat • Induces hyperthyroidism due to increased hormone sythesisis • Amiodarone induced hypothyroidism is believed to result from the inability of the thyroid to escape from the Wolff-Chaikoff effect. • Thyroid hormone biosynthesis is impaired because of the persistent block in intrathyroidal iodine organification
  • 48.
  • 50.
  • 51.
    Hashimoto’s disease • Chronicautoimmune thyroid disease also known as chronic lymphocytic thyroiditis. • More common in women with a 20%incidence in iodine replete areas where it’s the most common cause of goiter and hypothyroidism. • Associated with auto sensitization of thyroid peroxidase and thyroglobulin
  • 52.
    Radiographic findings • Diffuselyenlarged gland with heterogeneous echo texture • Hypoechoic micro(1-6mm)nodules • Hyper/normal vascularity on Doppler • Reactive cervical lymnodes may be present
  • 55.
    Grave’s disease • Autoimmunethyroid disease that results from an antibody directed stimulation of the thyroid-stimulating hormone (TSH) receptor, with resultant production and release of T3 and T4. • Occurs in genetically susceptible persons and is more common in women • Clinical features, fatigue ,change in bowel habits,restlessness, anxiety, irritability, insomnia etc. • Associated with optalmopathy
  • 57.
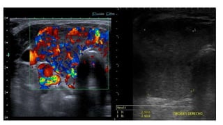
    Ultrasonographic features ofGrave’s disease • Hyper vascularity • Diffuse coarse thyroid echo texture • Diffuse gland enlargement
  • 60.
    Thyroid neoplasm Findings indicativeof malignancy • Micro-calcifications • Irregular/microlobular margins • Hypo echogenicity • Taller than wide shape • Increased intranodular vascularity
  • 61.
    Features indicative ofbenignancy • Cystic lesions • Iso/hyper echoic well circumscribed lesions
  • 62.
    US image ofa thyroid nodule (arrowheads) containing multiple fine punctuate echogenicity's (arrow) with no comet-tail artifact, indicating high suspicion for malignancy. FNA and surgery confirmed PTC. (Reproduced from Frates MC. Management of thyroid nodules detected at US: Society of Radiologists in Ultrasound consensus conference statement. Radiology2005;237:794–800; with permission.)
  • 63.
  • 64.
    US image ofa cystic thyroid nodule (arrowheads). (Reproduced from Frates MC. Management of thyroid nodules detected at US: Society of Radiologists in Ultrasound consensus conference statement. Radiology 2005;237:794–800; with permission.)
  • 68.
  • 69.
  • 70.
  • 74.
    Endemic goiter • Attributedto iodine deficiency or goitrogens which are present in Some foods. • cassava,cabbages,turnip,brocho oli contain cynoglucosides • cyanoglucosides can be metabolized to thiocynate. Thiocynate interferes with iodine trapping and organification leading to inefficient hormone synthesis which leads to compensatory increase in TSH.
  • 76.
    N.B ultrasonography/Imaging hashigh sensitivity but low specificity in the differentiation of thyroid autoimmune and inflammatory processes, thus Clinical and laboratory correlation are invaluable for definitive diagnosis
  • 77.
  • 78.
    Thyroid scintigraphy • Routinelyused for the diagnosis of and management of thyroid conditions
  • 79.
    Radio-nuclides • I-123 ;Mostcommonly used because of its excellent image quality and low radiation dose. • I-131;Used for therapeutic purposes because of its beta emission and high radiation dose • 𝑇99𝑚 pertechnetate • Used as a substitute for iodine because its trapped by iodine, readily available, inexpensive ,low radiation dose.
  • 80.
    I-123 • Biochemical behavioris identical to that of stable iodine and is thus absorbed into the body in the GIT. • Trapped by thyroid follicular cells and incorporated into thyroglobulin • Decays by electron capture with a half life of 13hours and a photon energy of 159Kev. • The gamma emission allows for excellent imaging with low background activity providing low radiation to the thyroid • Dose and route I: 200-400 μCi (7.4- 14.8 MBq) p.o.
  • 81.
    Iodine-131 • Decays bybeta emission. • T1/2 8.04days • Long half life and high beta emission cause relatively high radiation dose making it undesirable for routine imaging of the thyroid. • Used in scanning for metastatic carcinoma since scanning can be done over several days Not used for imaging in benign disease due to beta emissions/high radiation dose to thyroid (1 rad/μCi)
  • 82.
    Tc-99m pertechnetate • Notorganified into the thyroid follicular cells but released over time as unaltered pertechnetate ion. • Only 1-5% of administered 99tc04- is trapped by the thyroid so images background levels are higher than with radio-iodine. • Dose:2-10 mCi (74-370 MBq) IV • Preferred over radioiodine when a patient has been receiving thyroid blocking agents such as iodinated contrast agents
  • 83.
    Iodine uptake test •Performed before the radioiodine therapy to ensure that the thyroid will take up iodine and determines how much. • Can be used to differentiate between graves disease and sub acute thyroiditis. • A gamma probe is placed over the thyroid gland to measure the amount of radioactivity of the thyroid gland. • This amount of radioactivity is compared with the original dose of radioactivity and is reported as a percentage.
  • 84.
    Significance of iodineuptake test Normal range:6hour 3-16% 24hours 8-25% Increased radioactivity >35% after 24hours Hyperthyroidism Hashimotos thyroiditis(early) Goiter Decreased radioactivity • hypothyroidism • subacute thyroiditis • iodine overload (excessive iodine ingestion)
  • 85.
    >35% after 24hours Hyperthyroidism Hasmimotosthyroiditis goiter Decreased radioactivity Hypothyroidism Sub acute thyroiditis Excessive iodine intake Normal range 3-16% after 3hours 8-25% after 24hours
  • 86.
    Factors affecting iodineuptake Increased uptake • Hyperthyroidism • Hashimotos thyroiditis. • Iodine starvation • Pregnancy • Enzyme defects • TSH Decreased uptake • Hypothyroidism • Iodine overload i.e. from iodinated contrast media • Iodine containing medications • Thyroid hormone therapy • Ectopic secretion of thyroid hormone • Renal failure
  • 87.
    Indications for thyroidscintigraphy • To differentiate causes of primary hyperthyroidism • To locate ectopic thyroid tissue. • To assist in evaluation of congenital hypothyroidism/ organification defects. • To determine that a cervical/mediastinal mass is thyroid tissue. • To evaluate functionality of a nodule/s N.B contraindicated in breast feeding mother and pregnant women. ?risk benefit assessment.
  • 88.
    What are theprerequisites? • Previous investigations confirming thyroid pathology by either: abnormal thyroid function tests or ultrasound study. • Ensuring that no previous radiological procedure requiring the injection of iodine contrast medium has been carried out 8 weeks before the thyroid scan. • Ensuring cessation of iodine-containing foods, vitamin supplements and medicines before the scan for a minimum of 1–2 weeks. • Ensuring cessation of the following drugs before the scan: • Thyroxine (at least 1 week); • Liothyronine – needs to be ceased for 5 days • Amiodarone – 3 months before the scan • Lithium ,carbimazole,propylthiaouracil
  • 89.
    Technique and clinicalprotocol Technetium-99m • Image is taken 20 minutes after 5 to10 mCi (185-370MBq) IV injection. • With Patient supine, neck extended Anterior ,left and right oblique images are then obtained for 100,000 to 300,000 counts or 5 minutes acqusitition.
  • 90.
    Technique -Iodine 123 •Image is taken 3-4hours and after oral administration of 200 to 600µCi to a fasting patient. • 50,000-100,000 count/10minute acquisition. • Imaging 16-24 hours may give more accurate detail of the distribution of organified iodine that earlier images.
  • 91.
    Normal images • Bi-lobedthyroid with homogenous distribution of activity. • In a small number of patients, a pyramidal lobe may be indemnified.
  • 92.
  • 93.
    • Ectopic thyroidtissue • May occur in base of the tongue(lingual goitre,retrosteranally(sub sternal goiter),pelvis(struma ovarii)
  • 94.
  • 95.
    A radioiodine stanshows the left thyroid lobe extending inferiorly in a substernal goiter.
  • 96.
    Congenital organification defect •A 24 hour radioiodine scan shows no activity. • A 2 to 4 hour Technetium 99 pertechnetate shows activity because the trapping mechanism of the gland is intact
  • 97.
    Grave’s Disease • Varyingdegrees of thyromegaly with uniform distribution of increased activity.
  • 98.
  • 99.
    Thyroid nodules • Coldnodules demonstrate absence of activity(cysts) • Hot nodules are identified by focally increased activity compared to normal thyroid parenchyma. • Nodules that are neither hot nor cold are called warm nodules.
  • 105.
    Multi nodular goiter •Enlarged gland with multiple cold, warm or hot areas giving the gland a coarse patchy appearance.
  • 106.
    Discordant nodules • Asmall number of hot nodules on technetium peretechnetate have proved to be cold on iodine imaging.
  • 107.
    Thyroiditis • Early-Diffusely uniform increasedactivity in the gland(which may resemble Grave’s disease)
  • 108.
    Late(chronic thyroiditis)- Coarsely patchydistribution of activity(which may mimic MNG)
  • 109.
    Post thyroidectomy imaging •A whole body imaging device or a large field of view gamma camera is used. • Activity is commonly seen in the stomach, bowel and bladder. • Mild activity is also seen in the liver due to clearance of bound iodine by the liver. • A star artifact is commonly seen when remnamt residual thyroid tissue accumulates a lot of radioiodine some of wihc escapes the lead septa in a star pattern.
  • 112.
    Post radioiodine therapyimaging • Whole body imaging at 6 months to 1 year interval. • Thyroid hormone withdrawal for 4-6 weeks • Subsequent identification of functioning tissue in the neck should be treated as tumor recurrence.
  • 113.
    Thank you forlistening • Ilahi A, Muco E, Ilahi TB. StatPearls [Internet]. StatPearls Publishing; Treasure Island (FL): Aug 10, 2020. Anatomy, Head and Neck, Parathyroid . [PubMed • May 14, 2017 | Posted by admin in HEAD & NECK IMAGING | • TIRADShttps://www.researchgate.net/publication/269763998_Reliabi lity_of_Thyroid_Imaging_Reporting_and_Data_System_TIRADS_Classi fication_in_Differentiating_Benign_from_Malignant_Thyroid_Nodules • Diagnostic Radiology Essentials.A.Adam,R.G.Grainger.D.J.Allison

Editor's Notes

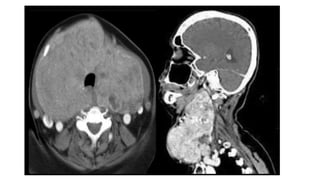
  • #24 Ectopia may be suprahyoid , infrahyoid and, intratracheal, or mediastinal, with the latter related to an unusual exaggeration of inferior descent of the thyroglossal duct beyond the usual tract
  • #25 Contrast-enhanced computed tomography study of a patient with an infrahyoid ectopia of the thyroid gland shown by the arrows in all images. In (B), there is thyroid tissue not attached to the main ectopic glandular tissue, demonstrating the potential for all migrational abnormalities of the thyroid gland to result in disconnected lateral ectopic tissue (arrowheads). In (C), there are multiple small cysts within the ectopic tissue, suggesting that such ectopic tissue can develop abnormalities that might occur in normally positioned thyroid tissue (arrowheads).
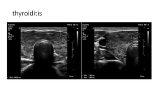
  • #49 Heterogeneously enlarged thyroid gland with decreased color Doppler signals. hypoechoic micro nodules
  • #71 Sonography is the first radiological investigation to screen the nodules and look for any suspicion of malignant change in the nodules which is not uncommon. Usually, the benign nodules in a multinodular goiter show the following features: iso-hyperechoic surrounding hypoechoic halo spongiform/honeycomb pattern peripheral (eggshell) or coarse calcifications
  • #74 CT is not the diagnostic tool of choice, it however shows a large heterogeneously enlarged gland with multifocal solid nodules that suggest the diagnosis which is confimed by ultrasound and scintigraphy.