BÀI 3
• Ung thư biểu mô tuyến dạ dày
• Ung thư biểu mô dạ dày chế nhày típ tế
bào nhẫn.
• Ung thư biểu mô tuyến đại tràng
• Ung thư biểu mô tuyến phế quản
UNG THƯ BIỂU MÔ TUYẾN DẠ DÀY
Ung thư biểu mô tuyến dạ dày
Tiêu chuẩn chẩn đoán:
- Cấu trúc tuyến không điển hình: tuyến to
nhỏ không đều, lòng rộng hẹp khác nhau.
- Tế bào kiềm tính, có nhân lớn
- Mô u phát triển từ niêm mạc vào lớp cơ
tới thanh mạc d.d
lưu ý: cần tìm phần n/m d.d không u để
đối chiếu với vùng u giúp nhận biết là của
d.d
Mô u có cấu trúc tuyến xâm nhập vào lớp cơ dạ dày
Cấu trúc tuyến mô u xâm nhập phá hủy lớp cơ dạ dày
Mô u xâm ra thanh mạc, mạc nối dạ dày
Niêm mạc d.d ngoài vùng u, tế bào b/m tuyến thoái hóa , mô đêm xâm
nhập viêm mạn, sung huyết
UNG THƯ BIỂU MÔ TẾ BÀO NHẪN CỦA DẠ DÀY
Tiêu chuẩn vi thể
•Tế bào u bào tương chế nhầy mạnh, nhân lệch về
một phía
• Tế bào u tập chung thành đám hoặc phân tán,
không tạo hình tuyến
• Các tế bào u xâm nhập, phá hủy cơ trơn
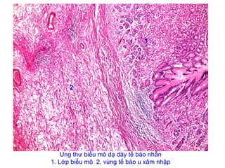
Ung thư biểu mô dạ dày tế bào nhẫn
1. Lớp biểu mô 2. vùng tế bào u xâm nhập
1
2
Ung thư biểu mô dạ dày tế bào nhẫn
1. Tế bào u xâm nhập lan tỏa 2. các tuyến còn bình thường
1 2
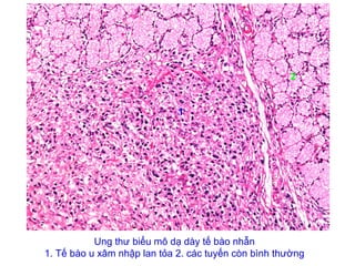
Ung thư biểu mô dạ dày tế bào nhẫn
1. Tế bào u xâm nhập lan tỏa 2. các tuyến còn bình thường
1
2
Ung thư biểu mô dạ dày tế bào nhẫn
1. Tế bào u “hình nhẫn”xâm nhập lan tỏa 2. Tổ chức xơ
1
2
Ung thư biểu mô dạ dày tế bào nhẫn
1. Tế bào u “hình nhẫn”xâm nhập lan tỏa 2. Cơ trơn
1
2
Ung thư biểu mô dạ dày tế bào nhẫn
1. Tế bào u “hình nhẫn”xâm nhập lan tỏa 2. Cơ trơn
1
2
Ung thư biểu mô dạ dày tế bào nhẫn
1. Tế bào u “hình nhẫn” 2. mạch máu
1
2
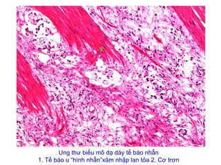
Ung thư biểu mô dạ dày tế bào nhẫn
Tế bào u “hình nhẫn”
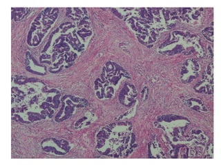
UNG THƯ BIỂU MÔ TUYẾN ĐẠI TRÀNG
Ung thư biểu mô tuyến đại tràng
 Tế bào ung thư: đa dạng, không đều, chủ
yếu có hình trụ với nhân lớn, chất nhiễm sắc
thô, hạt nhân lớn...
 Mô ung thư: các tế bào ung thư xếp thành
ống, tuyến hoặc nang và gồm nhiều hàng tế
bào
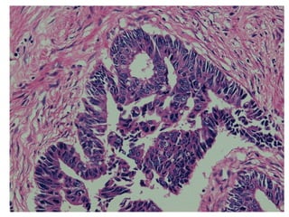
UNG THƯ BIỂU MÔ TUYẾN PHẾ QUẢN
Ung thư biểu mô tuyến phế
quản
1. Nhu mô phổi bị thay thế bởi các cấu trúc nhú hay tuyến.
2. Các nhú phân nhánh phức tạp, có trục liên kết rõ. Tế bào bao phủ
quanh nhú loại trụ, kích thước không đều, nhân lớn, mất cực tính,
ưa kiềm, chất nhiễm sắc thô.
3. Các tuyến có kích thước không đều, méo mó hoặc không rõ hình
tuyến. Các tế bào tuyến mất cực tính, có vùng nhiều hàng. nhân
lớn, mất cực tính, ưa kiềm, chất nhiễm sắc thô.
4. Mô đệm tăng sinh xơ, có xâm nhập tế bào viêm một nhân.
Các nhú phân nhánh phức tạp, có trục liên kết rõ. Tế bào bao phủ
quanh nhú loại trụ, kích thước không đều, nhân lớn, mất cực tính, ưa
kiềm, chất nhiễm sắc thô.
Các nhú phân nhánh phức tạp, nhân tế bào u không đều, mất cực tính, ưa
kiềm
Các tuyến ung thư nằm trong mô đệm xơ hóa
Tính bất thường của tế bào u

Bài 3

  • 1.
    BÀI 3 • Ungthư biểu mô tuyến dạ dày • Ung thư biểu mô dạ dày chế nhày típ tế bào nhẫn. • Ung thư biểu mô tuyến đại tràng • Ung thư biểu mô tuyến phế quản
  • 2.
    UNG THƯ BIỂUMÔ TUYẾN DẠ DÀY
  • 3.
    Ung thư biểumô tuyến dạ dày Tiêu chuẩn chẩn đoán: - Cấu trúc tuyến không điển hình: tuyến to nhỏ không đều, lòng rộng hẹp khác nhau. - Tế bào kiềm tính, có nhân lớn - Mô u phát triển từ niêm mạc vào lớp cơ tới thanh mạc d.d lưu ý: cần tìm phần n/m d.d không u để đối chiếu với vùng u giúp nhận biết là của d.d
  • 4.
    Mô u cócấu trúc tuyến xâm nhập vào lớp cơ dạ dày
  • 5.
    Cấu trúc tuyếnmô u xâm nhập phá hủy lớp cơ dạ dày
  • 6.
    Mô u xâmra thanh mạc, mạc nối dạ dày
  • 7.
    Niêm mạc d.dngoài vùng u, tế bào b/m tuyến thoái hóa , mô đêm xâm nhập viêm mạn, sung huyết
  • 8.
    UNG THƯ BIỂUMÔ TẾ BÀO NHẪN CỦA DẠ DÀY
  • 9.
    Tiêu chuẩn vithể •Tế bào u bào tương chế nhầy mạnh, nhân lệch về một phía • Tế bào u tập chung thành đám hoặc phân tán, không tạo hình tuyến • Các tế bào u xâm nhập, phá hủy cơ trơn
  • 10.
    Ung thư biểumô dạ dày tế bào nhẫn 1. Lớp biểu mô 2. vùng tế bào u xâm nhập 1 2
  • 11.
    Ung thư biểumô dạ dày tế bào nhẫn 1. Tế bào u xâm nhập lan tỏa 2. các tuyến còn bình thường 1 2
  • 12.
    Ung thư biểumô dạ dày tế bào nhẫn 1. Tế bào u xâm nhập lan tỏa 2. các tuyến còn bình thường 1 2
  • 13.
    Ung thư biểumô dạ dày tế bào nhẫn 1. Tế bào u “hình nhẫn”xâm nhập lan tỏa 2. Tổ chức xơ 1 2
  • 14.
    Ung thư biểumô dạ dày tế bào nhẫn 1. Tế bào u “hình nhẫn”xâm nhập lan tỏa 2. Cơ trơn 1 2
  • 15.
    Ung thư biểumô dạ dày tế bào nhẫn 1. Tế bào u “hình nhẫn”xâm nhập lan tỏa 2. Cơ trơn 1 2
  • 16.
    Ung thư biểumô dạ dày tế bào nhẫn 1. Tế bào u “hình nhẫn” 2. mạch máu 1 2
  • 17.
    Ung thư biểumô dạ dày tế bào nhẫn Tế bào u “hình nhẫn”
  • 18.
    UNG THƯ BIỂUMÔ TUYẾN ĐẠI TRÀNG
  • 19.
    Ung thư biểumô tuyến đại tràng  Tế bào ung thư: đa dạng, không đều, chủ yếu có hình trụ với nhân lớn, chất nhiễm sắc thô, hạt nhân lớn...  Mô ung thư: các tế bào ung thư xếp thành ống, tuyến hoặc nang và gồm nhiều hàng tế bào
  • 24.
    UNG THƯ BIỂUMÔ TUYẾN PHẾ QUẢN
  • 25.
    Ung thư biểumô tuyến phế quản 1. Nhu mô phổi bị thay thế bởi các cấu trúc nhú hay tuyến. 2. Các nhú phân nhánh phức tạp, có trục liên kết rõ. Tế bào bao phủ quanh nhú loại trụ, kích thước không đều, nhân lớn, mất cực tính, ưa kiềm, chất nhiễm sắc thô. 3. Các tuyến có kích thước không đều, méo mó hoặc không rõ hình tuyến. Các tế bào tuyến mất cực tính, có vùng nhiều hàng. nhân lớn, mất cực tính, ưa kiềm, chất nhiễm sắc thô. 4. Mô đệm tăng sinh xơ, có xâm nhập tế bào viêm một nhân.
  • 26.
    Các nhú phânnhánh phức tạp, có trục liên kết rõ. Tế bào bao phủ quanh nhú loại trụ, kích thước không đều, nhân lớn, mất cực tính, ưa kiềm, chất nhiễm sắc thô.
  • 27.
    Các nhú phânnhánh phức tạp, nhân tế bào u không đều, mất cực tính, ưa kiềm
  • 28.
    Các tuyến ungthư nằm trong mô đệm xơ hóa
  • 29.
    Tính bất thườngcủa tế bào u