GIÁO TRÌNH THỰC TẬP MÔ HỌC – GIẢI PHẪU BỆNH DA
Dành cho SV KHOA Y ĐHQG – năm học 2013
Giảng Viên: Ths Bs Huỳnh Ngọc Linh
DA
TIÊU BẢN 1: mô học da
Mục tiêu bài giảng phần mô học:
1. Xác định các lớp trong biểu bì da : lớp đáy, lớp gai, lớp hạt, lớp bóng, lớp sừng
2. Xác định cấu trúc Desmosomes trong lớp gai
3. Xác định và mô tả các phần phụ da: nang lông, tuyến bã, tuyến mồ hôi
4. Xác định và mô tả 2 thụ thể cảm giác : tiểu thể Meissner và tiểu thể Pacini
Phần phụ da:
TIÊU BẢN 2: CARCINÔM TẾ BÀO ĐÁY Ở DA
Là 1 loại ung thư da thường gặp ở người trên 50 tuổi, trên vùng da lộ ra ánh sáng mặt
trời. Ung thư xuất phát từ các tế bào biểu mô lớp đáy của da, tăng sinh biệt hóa theo
hướng tế bào đáy. U lớn chậm, có khả năng xâm nhập phá hủy tại chỗ rất mạnh nhưng
hiếm khi cho di căn (tỉ lệ di căn thấp hơn 1/10.000). Trong quá trình xâm nhập, các hắc tố
bào bình thường cũng bị kéo theo, sản xuất melanin làm cho u có mầu nâu đen, có thể
gây nhầm lẫn với melanôm.
Đại thể: Ung thư có dạng nốt cục, nền u có vùng mầu nâu đen, thường có loét ở giữa,
đường kính 1- 2 cm.
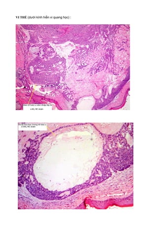
Mục tiêu bài giảng phần GIẢI PHẪU BỆNH :
CARCINÔM TẾ BÀO ĐÁY Ở DA
1. Đám tế bào đáy ung thư.
2. Hiện tượng xếp hàng rào.
3. Thoái hóa bọc.
4. Sắc tố mêlanin.
5. Các phần phụ bình thường của da : nang lông, tuyến bã, tuyến mồ hôi.
VI THỂ (dưới kính hiển vi quang học) :
TÀI LIỆU THAM KHẢO
1. Barbara Young, James S. Lowe, Alan Stevens and John W. Heath. “Wheater's
Functional Histology: A Text and Colour Atlas”, 5th Edition, Elsevier, 2006.
2. Giáo trinh mô học 2013 – Đại Học Y Khoa Phạm Ngọc Thạch.
3. Giáo trinh thực tập Giải Phẫu Bệnh 2013 – Đại Học Y Khoa Phạm Ngọc Thạch.

GIÁO TRÌNH THỰC TẬP MÔ HỌC DA

  • 1.
    GIÁO TRÌNH THỰCTẬP MÔ HỌC – GIẢI PHẪU BỆNH DA Dành cho SV KHOA Y ĐHQG – năm học 2013 Giảng Viên: Ths Bs Huỳnh Ngọc Linh DA TIÊU BẢN 1: mô học da Mục tiêu bài giảng phần mô học: 1. Xác định các lớp trong biểu bì da : lớp đáy, lớp gai, lớp hạt, lớp bóng, lớp sừng 2. Xác định cấu trúc Desmosomes trong lớp gai 3. Xác định và mô tả các phần phụ da: nang lông, tuyến bã, tuyến mồ hôi 4. Xác định và mô tả 2 thụ thể cảm giác : tiểu thể Meissner và tiểu thể Pacini
  • 2.
  • 4.
    TIÊU BẢN 2:CARCINÔM TẾ BÀO ĐÁY Ở DA Là 1 loại ung thư da thường gặp ở người trên 50 tuổi, trên vùng da lộ ra ánh sáng mặt trời. Ung thư xuất phát từ các tế bào biểu mô lớp đáy của da, tăng sinh biệt hóa theo hướng tế bào đáy. U lớn chậm, có khả năng xâm nhập phá hủy tại chỗ rất mạnh nhưng hiếm khi cho di căn (tỉ lệ di căn thấp hơn 1/10.000). Trong quá trình xâm nhập, các hắc tố bào bình thường cũng bị kéo theo, sản xuất melanin làm cho u có mầu nâu đen, có thể gây nhầm lẫn với melanôm. Đại thể: Ung thư có dạng nốt cục, nền u có vùng mầu nâu đen, thường có loét ở giữa, đường kính 1- 2 cm. Mục tiêu bài giảng phần GIẢI PHẪU BỆNH : CARCINÔM TẾ BÀO ĐÁY Ở DA 1. Đám tế bào đáy ung thư. 2. Hiện tượng xếp hàng rào. 3. Thoái hóa bọc. 4. Sắc tố mêlanin. 5. Các phần phụ bình thường của da : nang lông, tuyến bã, tuyến mồ hôi.
  • 5.
    VI THỂ (dướikính hiển vi quang học) :
  • 6.
    TÀI LIỆU THAMKHẢO 1. Barbara Young, James S. Lowe, Alan Stevens and John W. Heath. “Wheater's Functional Histology: A Text and Colour Atlas”, 5th Edition, Elsevier, 2006. 2. Giáo trinh mô học 2013 – Đại Học Y Khoa Phạm Ngọc Thạch. 3. Giáo trinh thực tập Giải Phẫu Bệnh 2013 – Đại Học Y Khoa Phạm Ngọc Thạch.