GETTING TO AND FROM THE CEREBRAL
CORTEX
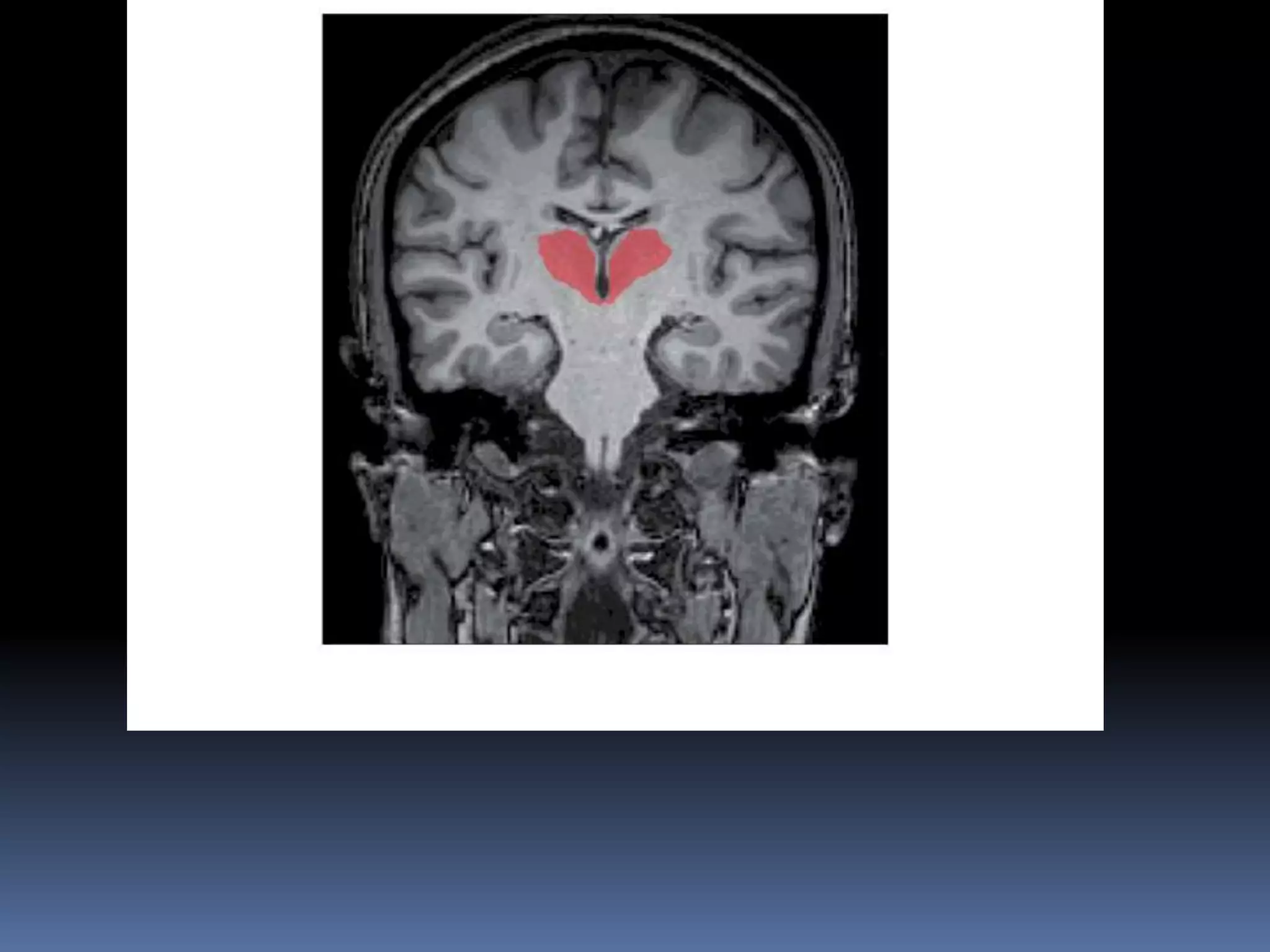
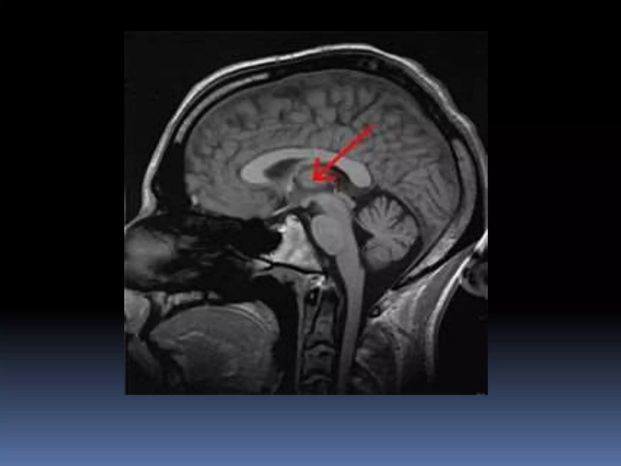
THALAMUS
THALAMUS
 Oval, nuclear mass
 Forms 80% 0f diencephalon
 Anterior extent- interventricular foramen
 Superiorly- transverse cerebral fissure, floor
of lateral ventricle
 Inferiorly- hypothalamic sulcus
 Posteriorly- overlaps midbrain
 All sensory pathways relay in thalamus.
 Many circuits used by cerebellum, basal
nuclei and limbic system involve thalamus.
 These utilize more or less separate portions
of thalamus, which has been subdivided into
a series of nuclei.
 All thalamic nuclei are a mixture of projection
neurons, whose axons provide the output of
thalamus, and small inhibitory interneurons
that use GABA as a neurotransmitter
 Projection neurons account for 75% or more
of the neurons of the most thalamic nuclei,
though the relative proportions of projection
neurons and interneurons vary in different
nuclei
Thalamic nuclei
 Nuclei can be distinguished from each other
by topographical locations within thalamus
and by input/output patterns.
 divided into medial and lateral nuclear
groups by a thin curved sheet of myelinated
fibres called internal medullary lamina..
 It splits anteriorly to enclose a group of
nuclei, collectively called anterior nucleus,
which is close to interventricular foramen
 Medial group contains one large nucleus
called dorsomedial nucleus
 Lateral group is subdivided into a dorsal and
ventral tier
 Dorsal tier consists of lateral dorsal, lateral
posterior nuclei and pulvinar.
 Lateral posterior nucleus and pulvinar have
almost similar connections
Nuclei of ventral tier
 Ventral anterior, ventral lateral- concerned
with motor control; are connected to basal
nuclei and cerebellum
 Ventral posterior is subdivided into ventral
posterolateral[ smatosensory input from
body] and ventral posteromedial
[somatosensory input from head]
 Lateral and medial geniculate nuclei / bodies
are considered as posterior extensions of
ventral tier
Intralaminar nuclei
 Embedded in internal medullary lamina
 Largest of this group are centromedian and
parafascicular nuclei
Reticular nucleus
• Lies between lateral thalamic surface and
external medullary lamina
• developmentally not a part of thalamus.
• distinct anatomical and physiological properties.
• Considered a part of thalamus because of
location and extensive involvement in thalamic
function.
Midline nuclei
 Rostral continuation of periaqueductal gray
matter
 Form interthalamic adhesion [when present]
Role of thalamic nuclei
 Pipelines for flow of information to cerebral
cortex
 Site where decisions are implemented about
which information should reach cerebral cortex
for processing
 Any particular type of information affected by
any thalamic nucleus is a function of its input
and output connections
Inputs
 Specific - Regulatory
 Specific inputs convey information that a
given nucleus may pass to cerebral cortex
[and for some nuclei to additional sites].
 Examples; Medial lemniscus specifically to
VPL. Optic tract to LGB
 Regulatory inputs contribute to decisions
about whether or in what form information
leaves a thalamic nucleus
Sources
 cortical area to which the nucleus projects
 thalamic reticular nucleus
 diffuse cholinergic, noradrenergic,
serotonergic endings from brainstem
reticular formation
Categories of nuclei depending on
pattern of inputs
three functional groups:
1. specific or relay nuclei,
2. association nuclei
3. non-specific nuclei
Relay/specific nuclei
• receive well defined specific input fibres and
project to specific functional areas of cerebral
cortex
• deliver information from specific functional
systems to appropriate cortical areas
• comprise the nuclei of the ventral tier and the
geniculate bodies (nuclei).
Association nuclei
 project to association areas of cerebral cortex
 receive major inputs from cerebral cortex and
subcortical structures
 probably important in distribution and gating of
information between cortical areas
 Intralaminar and midline nuclei seem to
have special role in function of basal nuclei
and limbic system
Non-specific nuclei
 not specific to any one sensory modality.
 include the intralaminar and reticular nuclei.
Intralaminar nuclei
 contained within the internal medullary lamina
of white matter
 can be regarded as a rostral continuation of the
reticular formation of the midbrain
 project widely to the cerebral cortex, as well
as to the corpus striatum.
 Afferents belonging to the ascending
reticular activating system synapse in the
intralaminar nuclei
The thalamic reticular nucleus (TRN)
 shaped like a shield around the front and
lateral side of the thalamus
 separated from the main thalamus by the
external medullary lamina.
 All of the thalamocortical projections from
the specific thalamic nuclei pass throughTRN
and give collateral branches to it
 Fusiform neurons within the innermost lamina
(VI) of the cerebral cortex project to the
thalamic nuclei and also give off collaterals to
TRN.
SCHEME OF THALAMIC ORGANIZATION
 Every nucleus of the thalamus except the
reticular nucleus sends axons to the cerebral
cortex, either to a sharply defined area or
diffusely to a large area.
 Every part of the cortex receives afferent fibers
from the thalamus, probably from at least two
nuclei.
• Every thalamocortical projection is faithfully
copied by a reciprocal corticothalamic
connection.
• Thalamic nuclei receive other afferent fibers
from subcortical regions.
• Probably only one noncortical structure, the
striatum , receives afferent fibers from the
thalamus.
 The thalamocortical and corticothalamic axons
give collateral branches to neurons in the
reticular nucleus, whose neurons project to and
inhibit the other nuclei of the thalamus
 No connections exist between the various nuclei
of the main mass of the thalamus, although
each individual nucleus contains interneurons
 The synapses of the interneurons are
inhibitory, and most are dendrodendritic.
 Other synapses in the thalamus are
excitatory, with glutamate as the transmitter,
and so are thalamocortical projections
summary
Functional organization
Relay/specific nuclei
 Specific inputs from
subcortical areas[e.g.
medial lemniscus]-
project to a well
defined area of
cerebral cortex
Anterior
Input Output Funtions
Mamillary body Cingulate gyrus Memory
Ventral anterior
Input Output Functions
Pallidum [globus
pallidus]
Frontal lobe,
including premotor
and supplementary
motor areas
Motor planning and
more complex
behavior
Ventral lateral [anterior
division]
Input Output Functions
Pallidum [globus
pallidus]
Premotor and
supplementary
motor areas
Planning
commands to be
sent to motor
neurons
Ventral lateral [posterior
division]
Input Output Functions
Contralateral
cerebellar nuclei
Primary motor area Cerebellar
modulation of
commands sent to
motor neurons
Ventral posterolateral
Input Output Functions
Medial lemniscus,
spinal lemniscus
Primary
somatosensory area
Somatic sensation
[principal pathway,
from contralateral
body below head]
Ventral posteromedial
Input Output Functions
Contralateral
trigeminal sensory
nuclei
Primary
somatosensory area
Somatic sensation
[principal pathway,
from contralateral
half of head: face,
mouth, larynx,
pharynx, dura
mater]
Medial geniculate body
Input Output Functions
Inferior colliculus Primary auditory
cortex
Auditory pathway
[from both ears]
Lateral geniculate body
Input Output Functions
Ipsilateral halves of
both retinas
Primary visual
cortex
Visual pathway
[from contralateral
visual fields]
Association nuclei
 Major specific input
from association cortex
and project to related
association areas
Pulvinar
Input Output Functions
Pretectal area;
primary and all
association cortex
for vision;retinas
Parietal lobe,
anterior frontal
cortex, cingulate
gyrus, amygdala
Interpretation of
visual and other
sensory stimuli,
formation of
complex
behavioral
responses
Lateral dorsal
Input Output Functions
Hippocampal
formation,
pretectal
area,superior
colliculus
Cingulate
gyrus,Parietal,
temporal, and
association
cortex[visual
cortex]
Interpretation of
visual stimuli;
memory
Lateral posterior
Input Output Functions
Superior colliculus Parietal, temporal,
and association
cortex
Interpretation of
visual and other
sensory stimuli;
formation of
complex
behavioral
responses
Mediodorsal/dorsomedial
Input Output Functions
Etorhinal cortex,
amygdala
,collaterals from
spinothalamic
tract, pallidum,
substantia nigra
Prefrontal cortex Behavioral
responses that
involve decisions
based on
prediction and
incentives
Intralaminar and midline
nuclei/nonspecific
 Specific inputs[basal
nuclei or limbic
structures] and ptoject
to cerebral cortex,
basal nuclei, limbic
structures
Intralaminar nuclei
Input Output Functions
Cholinergic and
central nuclei of
reticular
formation,locus
coeruleus, collateral
branches from
spinothalamic tracts,
cerebellar nuclei,
pallidum
Extensive cortical
projections, especially
to frontal and parietal
lobes; striatum
Stimulation of cerebral
cortex in waking state
and arousal from
sleep;somatic
sensation, especially
pain [from
contralateral head
and body]; control of
movement
RETICULAR NUCLEUS
Input Output Functions
Collateral
branches of
thalamocortical
and
corticothalamic
axons
To each thalamic
nucleus that sends
afferents to
reticular nucleus
Inhibitory
modulation of
thalamocortical
transmission
Posterior group
Input Output Functions
Spinothalamic and
trigeminothalamic
tracts
Insula and nearby
temporal and parietal
cortex, including second
somatosensory srea
Visceral and other
responses to somatic
sensory stimuli
‘Midline’ nuclei
Input Output Funtions
Amygdala,
hypothalamus
Hippocampal
formation and
parahippocampal
gyrus
Behavior;including
visceral and emotional
responses
Thalamic damage
 Vascular accidents
 Can involve adjacent structures
 Small lesion can lead to large collection of
deficits
THALAMIC SYNDROME[DEJERINE-ROUSSY SYNDROME]
 Damage more or less restricted to the
posterior thalamus can cause a characteristic
type of dysesthesia that is somewhat similar
to trigeminal neuralgia
 paroxysms of intense pain may be triggered
by somatosensory stimuli.
 The pain may spread to involve one entire
half of the body and is usually resistant to
analgesic drugs.
 In addition, those stimuli that do not cause a
pain attack may be perceived abnormally;
their intensity (and even their modality) may
be distorted, and they may seem unusually
uncomfortable or pleasant.
 When a threshold is reached, the sensation is
exaggerated, painful, perverted, and
exceptionally disagreeable.
 For example, the prick of a pin may be felt as
a severe burning sensation, and even music
that is ordinarily pleasing may be
disagreeable
 Spontaneous pain may develop in some
instances, which may become intractable to
analgesics.
 Emotional instability may also be present,
with spontaneous or forced laughing and
crying.
 Similar syndromes of central pain develop in
some patients after damage almost
anywhere along the anterolateral pathway;
this particular variety, because of the site of
damage, is called thalamic pain.
 The cause of thalamic pain is still not fully
understood, but lesions that cause it almost
always involveVPL/VPM.
 it is thought that selective damage to the
spinothalamic fibers that end inVPL/VPM,
with sparing of the spinothalamic and
spinoreticulothalamic fibers that end in other
nuclei, may result in imbalances or plastic
changes in thalamic activity.
 Extensive damage to the posterior thalamus
also causes total (or near total) loss of
somatic sensation in the contralateral head
and body.
 After a period of time, some appreciation of
painful, thermal, and gross tactile stimuli
usually returns.
 Functions customarily associated with the
medial lemniscus tend to be more severely
and permanently impaired.
 Discriminative tactile sensibility may be
abolished, position sense may be greatly
impaired, and a sensory type of ataxia
(resulting from the loss of proprioception)
may persist.
 Thalamic pain+ hemianaesthesia+sensory
ataxia contralateral to a posterior thalamic
lesion= thalamic syndrome
 It is often accompanied by mild and transient
paralysis (a result of damage to corticospinal
fibers in the adjacent internal capsule) and by
various types of residual involuntary
movements (a result of damage to nearby
basal ganglia).

Thalamus_2.ppt

  • 2.
    GETTING TO ANDFROM THE CEREBRAL CORTEX
  • 3.
  • 4.
    THALAMUS  Oval, nuclearmass  Forms 80% 0f diencephalon  Anterior extent- interventricular foramen
  • 5.
     Superiorly- transversecerebral fissure, floor of lateral ventricle  Inferiorly- hypothalamic sulcus  Posteriorly- overlaps midbrain
  • 13.
     All sensorypathways relay in thalamus.  Many circuits used by cerebellum, basal nuclei and limbic system involve thalamus.  These utilize more or less separate portions of thalamus, which has been subdivided into a series of nuclei.
  • 14.
     All thalamicnuclei are a mixture of projection neurons, whose axons provide the output of thalamus, and small inhibitory interneurons that use GABA as a neurotransmitter
  • 15.
     Projection neuronsaccount for 75% or more of the neurons of the most thalamic nuclei, though the relative proportions of projection neurons and interneurons vary in different nuclei
  • 16.
    Thalamic nuclei  Nucleican be distinguished from each other by topographical locations within thalamus and by input/output patterns.  divided into medial and lateral nuclear groups by a thin curved sheet of myelinated fibres called internal medullary lamina..
  • 17.
     It splitsanteriorly to enclose a group of nuclei, collectively called anterior nucleus, which is close to interventricular foramen  Medial group contains one large nucleus called dorsomedial nucleus  Lateral group is subdivided into a dorsal and ventral tier
  • 21.
     Dorsal tierconsists of lateral dorsal, lateral posterior nuclei and pulvinar.  Lateral posterior nucleus and pulvinar have almost similar connections
  • 22.
    Nuclei of ventraltier  Ventral anterior, ventral lateral- concerned with motor control; are connected to basal nuclei and cerebellum  Ventral posterior is subdivided into ventral posterolateral[ smatosensory input from body] and ventral posteromedial [somatosensory input from head]
  • 23.
     Lateral andmedial geniculate nuclei / bodies are considered as posterior extensions of ventral tier Intralaminar nuclei  Embedded in internal medullary lamina  Largest of this group are centromedian and parafascicular nuclei
  • 25.
    Reticular nucleus • Liesbetween lateral thalamic surface and external medullary lamina • developmentally not a part of thalamus. • distinct anatomical and physiological properties. • Considered a part of thalamus because of location and extensive involvement in thalamic function.
  • 26.
    Midline nuclei  Rostralcontinuation of periaqueductal gray matter  Form interthalamic adhesion [when present]
  • 27.
    Role of thalamicnuclei  Pipelines for flow of information to cerebral cortex  Site where decisions are implemented about which information should reach cerebral cortex for processing  Any particular type of information affected by any thalamic nucleus is a function of its input and output connections
  • 28.
    Inputs  Specific -Regulatory  Specific inputs convey information that a given nucleus may pass to cerebral cortex [and for some nuclei to additional sites].  Examples; Medial lemniscus specifically to VPL. Optic tract to LGB
  • 29.
     Regulatory inputscontribute to decisions about whether or in what form information leaves a thalamic nucleus
  • 31.
    Sources  cortical areato which the nucleus projects  thalamic reticular nucleus  diffuse cholinergic, noradrenergic, serotonergic endings from brainstem reticular formation
  • 32.
    Categories of nucleidepending on pattern of inputs three functional groups: 1. specific or relay nuclei, 2. association nuclei 3. non-specific nuclei
  • 33.
    Relay/specific nuclei • receivewell defined specific input fibres and project to specific functional areas of cerebral cortex • deliver information from specific functional systems to appropriate cortical areas • comprise the nuclei of the ventral tier and the geniculate bodies (nuclei).
  • 34.
    Association nuclei  projectto association areas of cerebral cortex  receive major inputs from cerebral cortex and subcortical structures  probably important in distribution and gating of information between cortical areas
  • 35.
     Intralaminar andmidline nuclei seem to have special role in function of basal nuclei and limbic system
  • 36.
    Non-specific nuclei  notspecific to any one sensory modality.  include the intralaminar and reticular nuclei.
  • 37.
    Intralaminar nuclei  containedwithin the internal medullary lamina of white matter  can be regarded as a rostral continuation of the reticular formation of the midbrain
  • 38.
     project widelyto the cerebral cortex, as well as to the corpus striatum.  Afferents belonging to the ascending reticular activating system synapse in the intralaminar nuclei
  • 39.
    The thalamic reticularnucleus (TRN)  shaped like a shield around the front and lateral side of the thalamus  separated from the main thalamus by the external medullary lamina.  All of the thalamocortical projections from the specific thalamic nuclei pass throughTRN and give collateral branches to it
  • 40.
     Fusiform neuronswithin the innermost lamina (VI) of the cerebral cortex project to the thalamic nuclei and also give off collaterals to TRN.
  • 42.
    SCHEME OF THALAMICORGANIZATION  Every nucleus of the thalamus except the reticular nucleus sends axons to the cerebral cortex, either to a sharply defined area or diffusely to a large area.  Every part of the cortex receives afferent fibers from the thalamus, probably from at least two nuclei.
  • 43.
    • Every thalamocorticalprojection is faithfully copied by a reciprocal corticothalamic connection. • Thalamic nuclei receive other afferent fibers from subcortical regions. • Probably only one noncortical structure, the striatum , receives afferent fibers from the thalamus.
  • 44.
     The thalamocorticaland corticothalamic axons give collateral branches to neurons in the reticular nucleus, whose neurons project to and inhibit the other nuclei of the thalamus  No connections exist between the various nuclei of the main mass of the thalamus, although each individual nucleus contains interneurons
  • 45.
     The synapsesof the interneurons are inhibitory, and most are dendrodendritic.  Other synapses in the thalamus are excitatory, with glutamate as the transmitter, and so are thalamocortical projections
  • 48.
  • 49.
    Relay/specific nuclei  Specificinputs from subcortical areas[e.g. medial lemniscus]- project to a well defined area of cerebral cortex
  • 50.
    Anterior Input Output Funtions Mamillarybody Cingulate gyrus Memory
  • 51.
    Ventral anterior Input OutputFunctions Pallidum [globus pallidus] Frontal lobe, including premotor and supplementary motor areas Motor planning and more complex behavior
  • 52.
    Ventral lateral [anterior division] InputOutput Functions Pallidum [globus pallidus] Premotor and supplementary motor areas Planning commands to be sent to motor neurons
  • 53.
    Ventral lateral [posterior division] InputOutput Functions Contralateral cerebellar nuclei Primary motor area Cerebellar modulation of commands sent to motor neurons
  • 54.
    Ventral posterolateral Input OutputFunctions Medial lemniscus, spinal lemniscus Primary somatosensory area Somatic sensation [principal pathway, from contralateral body below head]
  • 55.
    Ventral posteromedial Input OutputFunctions Contralateral trigeminal sensory nuclei Primary somatosensory area Somatic sensation [principal pathway, from contralateral half of head: face, mouth, larynx, pharynx, dura mater]
  • 56.
    Medial geniculate body InputOutput Functions Inferior colliculus Primary auditory cortex Auditory pathway [from both ears]
  • 57.
    Lateral geniculate body InputOutput Functions Ipsilateral halves of both retinas Primary visual cortex Visual pathway [from contralateral visual fields]
  • 58.
    Association nuclei  Majorspecific input from association cortex and project to related association areas
  • 59.
    Pulvinar Input Output Functions Pretectalarea; primary and all association cortex for vision;retinas Parietal lobe, anterior frontal cortex, cingulate gyrus, amygdala Interpretation of visual and other sensory stimuli, formation of complex behavioral responses
  • 60.
    Lateral dorsal Input OutputFunctions Hippocampal formation, pretectal area,superior colliculus Cingulate gyrus,Parietal, temporal, and association cortex[visual cortex] Interpretation of visual stimuli; memory
  • 61.
    Lateral posterior Input OutputFunctions Superior colliculus Parietal, temporal, and association cortex Interpretation of visual and other sensory stimuli; formation of complex behavioral responses
  • 62.
    Mediodorsal/dorsomedial Input Output Functions Etorhinalcortex, amygdala ,collaterals from spinothalamic tract, pallidum, substantia nigra Prefrontal cortex Behavioral responses that involve decisions based on prediction and incentives
  • 63.
    Intralaminar and midline nuclei/nonspecific Specific inputs[basal nuclei or limbic structures] and ptoject to cerebral cortex, basal nuclei, limbic structures
  • 64.
    Intralaminar nuclei Input OutputFunctions Cholinergic and central nuclei of reticular formation,locus coeruleus, collateral branches from spinothalamic tracts, cerebellar nuclei, pallidum Extensive cortical projections, especially to frontal and parietal lobes; striatum Stimulation of cerebral cortex in waking state and arousal from sleep;somatic sensation, especially pain [from contralateral head and body]; control of movement
  • 65.
    RETICULAR NUCLEUS Input OutputFunctions Collateral branches of thalamocortical and corticothalamic axons To each thalamic nucleus that sends afferents to reticular nucleus Inhibitory modulation of thalamocortical transmission
  • 67.
    Posterior group Input OutputFunctions Spinothalamic and trigeminothalamic tracts Insula and nearby temporal and parietal cortex, including second somatosensory srea Visceral and other responses to somatic sensory stimuli
  • 68.
    ‘Midline’ nuclei Input OutputFuntions Amygdala, hypothalamus Hippocampal formation and parahippocampal gyrus Behavior;including visceral and emotional responses
  • 70.
    Thalamic damage  Vascularaccidents  Can involve adjacent structures  Small lesion can lead to large collection of deficits
  • 71.
    THALAMIC SYNDROME[DEJERINE-ROUSSY SYNDROME] Damage more or less restricted to the posterior thalamus can cause a characteristic type of dysesthesia that is somewhat similar to trigeminal neuralgia  paroxysms of intense pain may be triggered by somatosensory stimuli.
  • 72.
     The painmay spread to involve one entire half of the body and is usually resistant to analgesic drugs.  In addition, those stimuli that do not cause a pain attack may be perceived abnormally; their intensity (and even their modality) may be distorted, and they may seem unusually uncomfortable or pleasant.
  • 73.
     When athreshold is reached, the sensation is exaggerated, painful, perverted, and exceptionally disagreeable.  For example, the prick of a pin may be felt as a severe burning sensation, and even music that is ordinarily pleasing may be disagreeable
  • 74.
     Spontaneous painmay develop in some instances, which may become intractable to analgesics.  Emotional instability may also be present, with spontaneous or forced laughing and crying.
  • 75.
     Similar syndromesof central pain develop in some patients after damage almost anywhere along the anterolateral pathway; this particular variety, because of the site of damage, is called thalamic pain.  The cause of thalamic pain is still not fully understood, but lesions that cause it almost always involveVPL/VPM.
  • 76.
     it isthought that selective damage to the spinothalamic fibers that end inVPL/VPM, with sparing of the spinothalamic and spinoreticulothalamic fibers that end in other nuclei, may result in imbalances or plastic changes in thalamic activity.
  • 77.
     Extensive damageto the posterior thalamus also causes total (or near total) loss of somatic sensation in the contralateral head and body.
  • 78.
     After aperiod of time, some appreciation of painful, thermal, and gross tactile stimuli usually returns.  Functions customarily associated with the medial lemniscus tend to be more severely and permanently impaired.
  • 79.
     Discriminative tactilesensibility may be abolished, position sense may be greatly impaired, and a sensory type of ataxia (resulting from the loss of proprioception) may persist.
  • 80.
     Thalamic pain+hemianaesthesia+sensory ataxia contralateral to a posterior thalamic lesion= thalamic syndrome
  • 81.
     It isoften accompanied by mild and transient paralysis (a result of damage to corticospinal fibers in the adjacent internal capsule) and by various types of residual involuntary movements (a result of damage to nearby basal ganglia).