Embed presentation
Download to read offline



























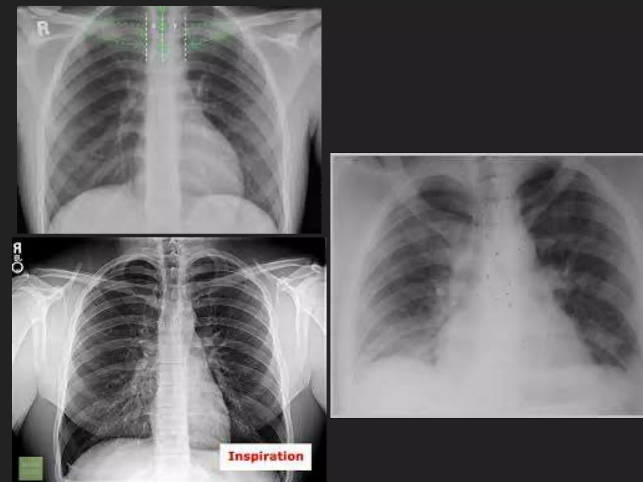
The document provides detailed instructions for performing a chest x-ray, emphasizing proper patient positioning and technical requirements for optimal image quality. Key points include centering the trachea, ensuring full inspiration, and visibility of specific anatomical features. Additionally, it outlines collimation margins and patient stance to achieve a clear view of lung fields.

























