SKELETAL DYSPLASIA
ADRIJA MANDAL
2ND YEAR PGT
BMCH
• GREEK WORD: “DYS” – DISORDERED AND “PLASSEIN” – TO FORM
• A/K/A OSTEOCHONDRODYSPLASIAS.
• HETEROGENEOUS GROUP OF DISORDERS COMPRISING OF
ABNORMALITIES OF BONE OR CARTILAGE GROWTH OR
TEXTURE.
• OCCUR DUE TO GENETIC MUTATIONS.
• OVERALL PREVALENCE - 2.3 – 7.6 PER 10000 BIRTHS.
DYSPLASIA VS DYSOSTOSES
• DISORDERS WITH
GENERALIZED
ABNORMALITY OF THE
SKELETON.
• PHENOTYPE CONTINUES
TO EVOLVE THROUGHOUT
THE LIFE.
• DISORDERS WITH
ABNORMALITY OF A
SINGLE OR MULTIPLE
BONES.
• PHENOTYPICALLY
REMAINS STATIC
THROUGHOUT THE LIFE.
NORMAL FETAL SKELETON
DEVELOPMENT…….
TVS CAN DEMONSTRATE LIMB BUDS BY 7 WKS OF
GESTATION , FOOT AND HAND PLATES BY 8 WKS.
BY 11 TO 12 WKS PRIMARY OSSIFICATION OF CENTERS OF
LONG BONES ,LIMB ARTICULATION , PHALANGES CAN BE
IDENTIFIED.
DIRECTION OF GROWTH UL TO LL AND PROX TO DIST.
THE EARLIEST SECONDARY EPIPHYSIS TO OSSIFY
…CALCANEUS ,AT 20 WKS
AMONG THE LONG BONES SECONDARY OSSIFICATION
CENTERS FOR DISTAL FEMUR , PROXIMAL TIBIAL
EPIPHYSIS OSSIFY PRENATALLY.
DISTAL FEMORAL EPIPHYSIS OSSIFY AS EARLY AS 29WKS
AND AS LATE AS 34 WKS.
IT MEASURES GREATER THAN 7 MM ….GES AGE LATER
THAN 37 WKS.
IN UNCOMPIECATED PREGNANACY THE COMBINATION OF
DISTAL FEMORAL EPIPHYSIS OF MORE THAN EQ TO 3 MM
AND PRESENCE OF PROXIMAL TIBIAL EPIPHYSIS IS
CONSIDERED A RELIABLE MARKAR OF PULMONARY
MATURITY.
EXTREMITY MEASUREMENT
THE LONGEST FEMORAL MEASUREMENT , EXCLUDING BOTH
PROXIMAL AND DISTAL EPIPHYSES , IS USUALLY CHOSEN.
TIBIA AND FIBULA ENDS AT THE SAME LEVEL DISTALLY.
THE ULNA IS DISTINGUISHED FROM RADIUS BY ITS LONGER
PROXIMAL EXTENT AND ITS RELATIONSHIP WITH 5TH DIGIT
DISTALLY.
GES AGE IN WKS IS APPROX LENGTH OF THE CLAVICLE FROM
14WKS TO TERM.
BY 40 WKS GESTATION ,THE CLAVICLE MEASURE APPROX 40
MM.
FOOT LENGTH….
FEMUR /FOOT LENGTH
RATIO…1.0
IN CONSTITUTIONALLY
SMALL OR SYMMETRICAL
IUGR , RATIO IS 0.9 OR
MORE.
IN DYSPLASIA RATIO IS
LESS THAN 0.9 , BCZ
RELATIVE SPARING OF
HAND AND FOOT.
DIAGNOSTIC APPROACH
Assessment I
Disproportion
Assessment III
Radiology
Assessment II
General
Examination
PRENATAL
ASSESSMENT
Long Bones Chest Hands & Feet Skull Spine &
Pelvis
- Long bones length
-Absence &
malformation
-Hypoplasia
-Curvature, degree
of mineralization,
fractures
-Femur length–
abdominal
circumference
ratio (<0.16 - lethal
outcome)
-Femur length–
foot length ratio
(normal = 1, <1
-Chest–trunk length
ratio < 0.32
-Chest
circumference <
5th percentile for
gestational age -
indicator of
pulmonary
hypoplasia.
- Pre- or postaxial
polydactyly
- preaxial - extra
digits on radial or
tibial side
- postaxial – extra
digits on ulnar or
fibular side)
- Syndactyly - soft-
tissue or bone
fusion of adjacent
digits
- Clinodactyly -
deviation of a finger
- Other
- Head
circumference &
biparietal diameter
- Interorbital
distance - Degree
of mineralization
- Micrognathia,
short upper lip,
abnormally shaped
ears, frontal
bossing, cloverleaf
skull
- Brachycephaly
(anteroposterior
shortening ) ,
- Total length &
presence of
curvature
- Mineralization of
vertebral bodies &
neural arches
-Vertebral height:
Platyspondyly
(flattened vertebral
body shape with
reduced distance
between
endplates) -
Thanatophoric
dysplasia.
ABNORMAL BONE LENGTH ON
USG
ABNORMAL FL IS DEFINED AS BELOW -2SD FOR
GESTATIONAL AGE.
WHEN ONE OR ALL LONG BONES MEASURE LESS THAN -2SD
FOR GESTATIONAL AGE , FOLLOW UP USG SHOULD BE
DONE IN 3 TO 4 WKS TO EVALUATE INTERVAL GROWTH.
INTERVAL GROWTH NORMAL ….HIGH LIKELIHOOD THAT THE
FETUS DO NOT HAVE SD
FURTHER DEVIATION FROM MEAN BY AT LEAST I SD SHOULD
SUGGEST SD OR SEVERE IUGR
MOST COMMON CAUSE FOR SHORT FEMUR IS EITHER INACCURATE
DATING OR NORMAL VARIANT IN A CONSTITUTIONALLY SMALL
FETUS.
SEVERE IUGR….GREATLY SHORTENED LONG BONES ,
NORMAL OR DECREASED SKIN FOLD THICKNESS
OLIGOHYDRAMNIOS
ABNORMAL PLACENTAL MORPHOLOGY
ABNORMAL DOPPLER
SKELETAL DYSPLASIA….REDUNDANT , THICKENED SKIN FOLD
POLYHYDRAMNIOS
NONLETHAL SKELETAL DYSPLASIA ARE GENERALLY NOT
EVIDENT BEFORE 20 WKS.
SHORT LONG BONE BEFORE 20 WKS INDICATE SERIOUS
SAND USUALLY FETAL SKELETAL DYSPLASIA.
POST NATAL ASSESSMENT
Assessment I
Disproportion
• Upper/lower
segment ratio
• 1.7 newborn
• 1.0 ages 2-8yrs
• 0.95 adult
• Sitting height:
ascertains trunkal
shortening
• Limb lengths:
• Rhizomelia
(humerus & femur)
• Mesomelia (radius,
ulna, tibia & fibula)
• Acromelia (Hands &
feet)
• Body asymmetry
• Spine: assess for
scoliosis, kyphosis &
lordosis
Assessment II –
General
Examination
• General
examination: facial
features, hair quality,
dental health, nails
• Systemic features:
renal problems,
cardiac
abnormalities
• Developmental
history
• Family history
• Ethnicity
• Joint pain
Assessment III -
Radiology
• AP & lateral skull to
include atlas & axis
• AP chest
• AP pelvis
• AP lumbar spine
• Lateral
thoracolumbar spine
• AP one lower limb
• AP one upper limb
• Postero-anterior
(PA) one hand
(usually left for bone
age assessment)
WHAT TO LOOK AT
A ANATOMIC SITE
B BONE
C COMPLICATION
• Epiphyseal dysplasia – small
under ossified epiphyses
• Metaphyseal dysplasia – widened,
flared or irregular metaphyses
• Diaphyseal dysplasia – cortical
thickening or obliteration of marrow
space
Epiphyseal Dysplasia Metaphyseal Dysplasia
THANATOPHORIC DYSPLASIA
MOST COMMON LETHAL SKELETAL DYSPALSIA.
PREVALENCE 0.24 TO 0.69 PER 10000 BIRTHS.
TWO TYPES….
TYPE 1 – TELEPHONE RECEIVER EXTREMITIES
BUT WITHOUT CLOVERLEAF SKULL.
TYPE 2 – CLOVERLEAF SKULL
WITHOUT TELEPHONE RECEIVER
EXTREMITIES
CLOVERLEAF SKULL DUE TO
PREMATURE CRANIOSYNOSTOSIS OF THE
LAMBDOID AND CORONAL SUTURES
MACROCRANIA
FRONTAL BOSSING
FLATTENED NASAL BRIDGE WITH MID FACE HYPPLASIA
DECREASED THORACIC CIRCUMFERANCE
NORMAL TRUNK LENGTH
SEVERE MICROMELIA ….RHIZOMELIC TYPE
TELEPHONE RECEIVER EXTREMITIES….BOWED , CURVED
APPEARANCE SECONDARY TO BROADENED METAPHYSES
PLATYSPONDYLY
WAFER THIN VERTEBRAL BODY WITH RELATIVELY LARGER
HYPOECHOIC DISC SPACE .
CNS FINDINGS….HOLOPROSENCHEPHALY , AGENESIS OF CORPUS
CALLOSUM ,HETEROPTROPIA , POLYMICROGYRIA ,
VENTRICULOMEGALY
MINERALIZATION IS NORMAL
ACHONDROGENESIS
SECOND MOST COMMON LETHAL SKELETAL DYSPLASIA.
HOMOZYGOUS ACHONDROPLASIA
AR INHERITENCE
TWO TYPES ----
TYPE 1 – 25% RECURRENCE
PARTIAL OR COMPLETE LACK OF CALVARIAL OSSIFICATION
A …ASSOCIATED WITH RIB FRACTURE
B…. NO RIB FRACTURE
TYPE 2 –VERY SMALL RECURRENCE RISK
NORMAL CALVARIAL OSSIFICATION
MORE SEVERE INVOLVEMENT OF VERTEBRAL COLUMN
MACROCRANIA
MICROMELIA….SHORT CUBOID BONES AND METAPHYSEAL
SCALLOPING
DECREASED THORACIC CIRCUMFERENCE AND TRUNK LENGTH
DECREASED MINERALIZATION – COMPLETE OR PARTIAL LACK
OF OSSIFICATION OF CALVARIUM ( TYPE 1 ) , SACRAL AND
PUBIC BONES ,VERTEBRAL BOODIES.
PREDOMINANT DEMINERALIZATION OF VERTEBRAL BODIES
WITH ONLY TWO ECHOGENIC POSTERIOR ELEMENTS
HYPOPHOSPHATASIA
AR TYPE LETHAL SKELETAL DYSPLASIA
 DEFICIENCY OF TISSUE NONSPECIFIC ALKALINE PHOSPHATASE.
KEY FEATURES ,,,,,,
CRANIAL VAULT SIZE , TRUNK SIZE REMAIN NORMAL
MICROMELIA
DECREASED THORACIC CIRCUMFERENCE DUE TO SHORT RIBS
DEMINERALIZATION OF LONG BONES WHICH ARE THIN , DELICATE , BOWED ,
OCCASIONAL ANGULATION , FRACTURE
CRANIAL VAULT FAILS TO MINERALIZE AND MAY BE COMPRESSED UNDER
TRANNSDUCER
POSTERIOR ELEMENTS ARE POORLY OSSIFY ( ACHONDROGENESIS – V BODIES
INVOLVE )
D/D
THANATOPHORIC DYSPLASIA…..SEE MINERALIZATION
VAULT SIZE
OSTEOGENIC IMPERFECTA ….BONES ARE THICKENED ,
WAVY
ACHONDROGENESIS….SEE VERTEBRAE , TRUNK AND
VAULT SIZE
CAMPOMELIC DYSPLASIA
AD CONDITION
BENT LIMB DYSPALSIA
MOST CASES ARE LETHAL DUE TO RESPIRATORY
INSUFFICIENCY FROM LARYNGOTRACHEOMALACIA IN
COMBINATION WITH MILDLY NARROWED THORAX.
GENE RESPONSIBLE FOR IT FOUND IN FETAL BRAIN , TESTIS
, PERICHONDRIUM AND CHONDROCYTES OF LONG BONES
, RIBS.
SHORT , VENTRALLY BOWED TIBIA , FEMUR , HYPOPLASTIC OR
ABSENT FIBULA
TALIPES EQUINOVARUS , CDH
HYPOPLASTIC SCAPULA
NARROWED THORAX
11 PAIR RIBS
CLEFT PALATE , MICROGNATHIA
CONGENITAL HEART , BRAIN , RENAL ANOMALY
SHORT RIB POLYDACTYLY
SYNDROME
SEVERE MICROMELIA
DECREASED THORACIC CIRCUMFERENCE
POLYDACTYLY
CARDIAC , GENITOURINARY ANOMALY ( ALSO IN CAMPOMELIC
DYSPLASIA)
NORMAL MINERALIZATION
NORMAL CRANIAL SIZE
D/D …..THANATOPHORIC DYSPLASIA …NO POLYDACTYLY
ELLIS- VAN- CREVELD SYNDROME , ASPHYXIATING THORACIC
DYSTROPHY…..SHORTENING OF LIMBS AND THORACIC DIAMETER
LESS SEVERE
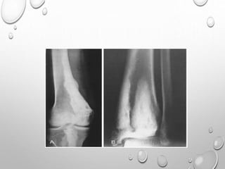
ACHONDROPLASIA
FAILURE OF NORMAL ENCHONDRAL CARTILAGE GROWTH AT
PHYSIS
PERIOSTEAL , MEMBRANOUS OSSIFICATION ARE NORMAL
• MOST COMMON TYPE OF DWARFISM
• AUTOSOMAL DOMINANT DISORDER AND THE MAJORITY OF
CASES (75-80%) ARE THE RESULT OF A NEW (DE NOVO)
MUTATION , ASSOCIATED WITH AN INCREASE IN PATERNAL
AGE.
RADIOLOGY
HEAD
LARGE CRANIUM , THOUGH DECREASED AP DIAMETER –
BRACHYCEPHALY
NARROW FORAMEN MAGNUM
SHORT BASE OF SKULL
BASILAR IMPRESSION
FACE
FRONTAL BOSSING
DEPRESSED NASAL BRIDGE
NORMAL MANDIBLE ,SO IMPRESSION OF PROGNATHISM
SCAPULA
SQUARED INFERIORLY
SHALLOW GEINOID
VERTEBRAE
LUMBOTHORACIC KYPHOSIS
LUMBER HYPER LORDOSIS
LENGTH GENERALLY NORMAL
PLATYSPONDYLY , DISC HEIGHT EQ TO VERTEBRAL BODY
POSTERIOR SCALLOPING
PEDICLES ARE SORT , THICK , INTERPEDICULAR DISTANCE DECREASED
ANGULAR KYPHOSIS AT THORACOLUMBER JUNCTION RESULTING FROM
ANTERIOR BEAKING OR BULLET NOSE VERTEBRAE
SPINAL CANAL STENOSIS ---- PATHOLOGIC HALLMARK
RIBS SHORT
PELVIS
SMALL
ILIA ARE SHORT CAUDALLY
HORIZONTALLY PLACED ACETABULLA , THICKENED Y CARTILAGE
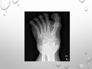
LIMBS
UL> LL
RHIZOMELIC TYPE
METAPHYSIS …..SPLAYING , CUPPING
GENU VERUM
TRIDENT HAND
TIBIA , ULNA ARE MORE SHORTENED THAN FIBULA , RADIUS
V SHAPED NOTCH IN GROWTH PLATE
SHORT , TUBULAR LONG BONES OF HAND AND FEET
FINGERS ARE OF SAME LENGTH
MENTAL AND SEXUAL DEVELOPMENT ARE NORMAL
• 1. DYSPLASTIC OR SQUARE
ILIAC BONES
2. NARROW SACRO-SCIATIC
NOTCHES
3. FLAT BILATERAL
ACETABULAR ROOFS
4. SHORT BOTH FEMORAL
NECKS
5. CHAMPAGNE GLASS-
SHAPED PELVIC CAVITY
CONSIDERING THE INCIDENCE AND POTENTIAL SEVERITY OF NEUROLOGIC
SYMPTOMS ASSOCIATED WITH FORAMEN MAGNUM STENOSIS, A BASELINE MRI
IS STRONGLY RECOMMENDED IN INFANCY.
MRI SHOWING CERVICOMEDULLARY COMPRESSION AT FORAMEN MAGNUM
HYPOCHONDROPLASIA
IT IS CONDRODYSTROPHY WITH AUTOSOMAL DOMINANT
INHERITANCE, IS A FORM OF SHORT STATURE.
FGFR3 GENE MUTATION IS KNOWN TO BE ASSOCIATED WITH
IT.
CANNOT BE DETECTED AT BIRTH, MAY REMAIN UNDIAGNOSED
• PATIENTS WITH HYPOCHONDROPLASIA ARE SHORT BUT LESS
SO THAN
THOSE WITH ACHONDROPLASIA
• RADIOGRAPHIC FEATURES MAY BE SUBTLE, LEADING TO
MISSED DIAGNOSIS IN UP TO HALF OF CASES
CLINICAL FEATURES
• SHORT STATURE.
• SHORTENING OF PROXIMAL (RHIZOMELA) OR MIDDLE (MESOMELIA)
SEGMENT OF THE EXTREMITIES.
• BROAD, SHORT HANDS AND FEET (BRACHYDACTYLY).
• THE ABDOMEN AND BUTTOCKS ARE PROMINENT.
• BOW LEGS (GENU VARUS).
• SCOLIOSIS.
SKULL APPEARS NORMAL
• MILD TO MODERATE INTELLECTUAL DISABILITY.
• SHORTENING OF LONG BONES WITH METAPHYSEAL
FLARING.
• NARROWING OF INTERPEDICULAR DISTANCE FROM L1 TO
L5 WITH SHORT PEDICLES.
• BRACHYDACTYLY.
• SHORT AND BROAD FEMORAL NECK.
• DISTAL FIBULA OVERGROWS AS COMPARED TO DISTAL
TIBIA.
• SMALL ILIAC BONES.
PSEUDOCHONDROPLASIA
PSEUDOACHONDROPLASIA DEVELOP SHORT-LIMBED
DWARFISM IN WHICH BOTH THE EPIPHYSES AND
METAPHYSES ARE INVOLVED.
PRESENTATION BETWEEN 3 TO 4 YEARS.
CRANIUM AND FACE – NORMAL
NORMAL INTELLIGENCE
SPINE - VERTEBRAL BODIES ARE FLAT , IRREGULAR
CENTRAL ANTERIOR TONGUE
, INTERPEDICULAR DISTANCE ARE MAINTAINED
LONG BONES – METAPHYSES FLARED AND BROAD
DELAYED APPEARANCE O EPIPHYSES
EPIPHYSEAL DYSPLASIA
CHARACTERISTIC MEDIAL BEAKING OF FEMORAL NECK
PELVIS – ILIA ARE LARGE , FLARED AND SHORT PUBIS , ISCHIUM
ACETABULA ARE IRREGULAR , SHALLOW
GSN ….WIDE
PREMATURE OA
HANDS – LONG TUBULAR BONES ARE SHORT THICK , DELAY APPEARANCE OF IRREGULAR
EPYPHYSES
MARKEDLY SHORTENED ULNA , RADIUS AT WRIST , ESPECIALLY AT CENTER THEY ARE
HYOPLASTIC….GIVING V APPEARANCE
JOINT LAXITY, INCLUDING CERVICAL SPINE INSTABILITY, GENU VALGUM, GENU VARUM, AND GENU
RECURVATUM.
MAJOR D/D
MORQUIO’S DISEASE
MULTIPLE EPIPHYSEAL DYSPLASIA
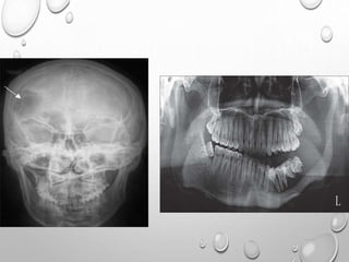
CLEIDOCRANIAL DYSPLASIA
AD
MUTATION OF CHR 6
FAULTY OSSIFICATION OF INTRAMEMBRANOUS AND
ENCHONDRAL BONES
ISCHIO – VERTEBRAL DYSPLASIA : NO CRANIAL , NO
CLAVICULAR ABNORMALITY
CLINICAL FEATURES
RECURRENT UTI , OTITIS MEDIA , SINUS INFECTION , DENTAL
CARIES , PERIODONTITIS
DENTAL PANORAMIC RADIOLOGY IS EFFECTIVE IN
IDENTIFYING FEATURES PATHOGNOMONIC FOR
CLEIDOCRANIAL DYSPLADSIA.
RADIOLOGY
SKULL
IN INFANCY DELAYED OR ABSENT OSSIFICATION OF CALVARIA
BRACHYCEPHALY
MULTIPLE WORMIAN BONES
WIDENING OF PRIMARY SUTURES – HOT CROSS BUN SIGN
SUPRAORBITAL , TEMPORAL SQUAMA , OCCIPITAL REGION ARE THICKENED
DEFORMED , ENLARGED FORAMEN MAGNUM
FACE
SMALL , UNDERDEVELOPED FACIALBONES
HYPOPLASTIC SINUS
NASAL BONE FAIL TO OSSIFY
SMALL MAXILLA , LARGE MANDIBLE
DELAYED , DEFECTIVE DENTITION
THORAX
RIBS ARE NORMAL
CONE SHAPED NARROW THORAX
CLAVICLE : 10% ABSENT
INVOLVEMENT OF EITHER 3 CENTERS OF OSSIFICATION
SCAPULA : SMALL , WINGED , ELEVATED
HYPERMOBILE SHOULDERS
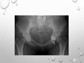
SPINE
BICONVEX VERTEBRAL BODIES
SCOLIOSIS , HYPERLORDOSIS , KYPHOSCOLIOSIS
SPINA BIFIDA
PELVIS
SMALL , UNDERDEVELOPED PELVIC BONES
SYMPHYSIS PUBIS FAILS TO APPROXIMATE ANTERIORLY
FEMORAL HEAD : CHEFS HAT
COXA VALGA DEVELOPS INTO COXA VERUS
EXTREMITY
LONG BONES OF EXTREMITIES ARE LESS COMMONLY INVOLVED
MOST MARKED CHANGES ARE NOTED IN HAND
ACCESSORY EPIPHYSES FOR BASE OF 2ND METACARPAL …ELONGATE
DIGITS.
DISTAL PHALANGES ARE TAPERED , HYPOPLASTIC
SHORT HEIGHT BUT DWARFISM IS NOT COMMON
EPIPHYSEAL DYSPLASIA
CHONDRODYSPLASIA PUNCTATA
DYSPLASIA EPIPHYSEALIS HEMIMELICA
EPIPHYSEAL DYSPLASIA MULTIPLEX
SPONDYOEPIPHYSEAL DYSLASIA
CHONDRODYSPLASIA PUNCTATA
CHARACTERIZED BY STIPPLED CALCIFICATIONS WITHIN THE
EPIPHYSES IN INFANCY AND ASSOCIATED WITH SHORT STATURE,
DRY AND SCALY SKIN, OCCASIONAL HEART DEFECTS, AND
CATARACTS.
TWO TYPES :1. LETHAL RECESSIVE
2. CONRADI- HUNERMANN SYNDROME : MORE COMMON
TYPE / X LINKED DOMINANT / X LINKED RECESSIVE ..RARE
SPORADIAC CASES F CONRADI HUNERMANN RESULT FROM
WOMEN WHO RECEIVED COUMADIN , WARFARIN DURING
PREGNANCY.
PUNCATATE EPIPHYSEAL CALCIFICATION ….DISAPPEAR WITHIN
THE 1ST YEAR OF LIFE , SO IT IS IMPERATIVE THAT DX BE MADE
BEFORE DISAPPEARANCE OF THESE CHARACTERISTIC
CALCIFICATION
PATHOPHYSIOLOGY : EPIPHYSEA HYPERVASCULARITY , MUCOID
DEGENERATION , SUBSEQUENT FRAGMENTATION FOLLOWED BY
CALCIFICATION AND OSSIFICATION
LETHAL RECESSIVE FORM
AUTOSOMAL RECESSIVE FORM
F > M ( O.I , FD )
UL>LL
SYMMETRIC RHIZOMELIC SHORTENING OF LIMBS
METAPHYSES ARE FLARED
CATARACT , OPTIC ATROPHY
CORONAL CLEFT OF VERTEBRAE
DIE IN IST YEAR ….RESPIRATORY FAILURE , TRACHEAL STENOSIS ,
SPPINAL CORD
COMRESSION .
CONRADI - HUNERMAN SYNDROME
X LINKED DOMINANT …NORMAL LIFE EXPECTANCY
X LINKED RECESSIVE …VERY RARELY
SKIN CHANGE : ICTHYOSIS , LINEAR ALOPECIA , NAIL
ABNORMALITY
ASYMMETRICAL LIMB SHORTENING….MILD FORM
METAPHYSE , DIAPHYSES ARE NORMAL
SPINE : VERTEBRAL ENDPLATE , CENTRAL STIPPLING
RIBS , HYOID , THYROID , BASE OF SKULL ….STIPPLING
DYSPLASIA EPIPHYSEALIS
HEMILELIA
TREVOR DIASEASE
NON GENETIC
ASSOCIATED WITH SCLEROSING SKELETAL DYSPLASIA , BENIGN
CARTILAGINOUS LESIONS
THREE CATEGORIES : MONOSTOTIC
CLASSICAL FORM – MORE THAN ON BONE IN
SINGLE LIMB
GENERALZSED OR SEVERE FORM – ENTIRE LIMB
CLINICAL FEATURES
PRESENTING DURING IST DECADE
SYMPTOMATIC WHEN ASYMMETRICAL EPIPHYSEAL GROWTH
INTERFERE NORMAL RANGE OF JOINT MOTION
LIMB SHORTENING , OR LENGTHENING
HARD BONY SWELLING
REGIONAL MUSCULAR ATROPHY , CLUMSY GAIT
PREDOMINANTLY LOWER LIMB
MONOMELIC
MEDIAL > LATERAL
MOST COMMON SITES : DISTAL FEMUR ,
DISTAL TIBIA AND TALUS
SMALL BONES OF HAND AND FEET CAN
ALSO BE INVOLVED
ASYMMETRICAL LOBULATED
OVERGROWTH OF EPIPHYSES WHICH
IS DESCRIBED AS
OSTEOCARTILAGINOUS TUMOR
HISTOLOGICALLY.SOMETIMES
COMPOSED OF MULTIPLE
OSSIFICATION CENTERS , MAY REMAIN
SEPARATED FROM THE EPIPHYSES
RADIOGRAPHS USUALLY DEMONSTRATE A PARTIALLY OSSIFIED, LOBULATED,
CARTILAGINOUS MASS ARISING UNILATERALLY FROM THE AFFECTED
EPIPHYSIS WITH OR WITHOUT AN OSSEOUS CONNECTION. THE DIAGNOSIS
IS USUALLY MADE WITH RADIOGRAPHS, BUT THE LESION CAN BE MISTAKEN
FOR AN INTRA-ARTICULAR LOOSE BODY, OSTEOCHONDROMATOSIS, OR
SYNOVIAL CHONDROMATOSIS.
CT CAN HELP DEFINE THE ANATOMIC RELATIONSHIP BETWEEN THE MASS AND
THE HOST BONE, AND MRI CAN SHOW THE EXTENT OF EPIPHYSEAL
INVOLVEMENT AND JOINT DEFORMITY AND THE STATUS OF THE ARTICULAR
SURFACE.
THERE MAY BE A CLEAVAGE PLANE DEMONSTRATED BETWEEN THE LESION
AND HOST BONE THAT GRADUALLY OSSIFIES AS THE LESION MATURES
CORONAL COMPUTED TOMOGRAPHY SCAN OF THE ANKLE
DEMONSTRATING IRREGULARLY SHAPED PROTUBERANT BONE
(WHITE ARROW) IN THE MEDIAL ASPECT OF THE JOINT (A). AXIAL
COMPUTED TOMOGRAPHY SCAN OF THE ANKLE DEMONSTRATING
AN IRREGULARLY SHAPED PROTUBERANT BONE LESION OF THE
MEDIAL ANKLE JOINT, WITH A PORTION CONNECTED TO THE
ANTERIOR TALUS, AND A SECOND LESION MORE POSTERIORLY
LOCATED AND A DEFINED CLEFT (BLACK ARROWS) AT THE
INTERFACE (B).
IT IS NOT TO BE CONFUSED
WITH HME, WHICH
INVOLVE METAPHYSES
AND SPARE EPIPHYSES
EPIPHYSEAL DYSPLASIA
MULTIPLEX
AD TRANSMISSION
EQUAL IN MALES AND FEMALES
FIRST NOTICED WHEN CHILD BEGINS TO WALK , WITH COMMON
COMPLAINTS OF WADDLING GAIT , DIFFICULTY RUNNING.
MILDER CASES MAY NOT APPARENT UNTIL EARLY ADULTHOOD ,
WHEN PREMATURE JOINT DEGENERATIVE CHANGES OCCURS.
PATHOPHYSIOLOGY : ABNORMALITY OF EPIPHYSEAL
CHONDROCYTES ( NO DECREASED , ABNORMAL ARRANGEMENT
)….LEADING TO DELAYED AND DISORDERLY OSSIFICATION F
EPIPHYSES.
LL >> UL
SHORT STATURE WITH TENDENCY TOWARDS DWARFISM
BILATERAL SYMMETRICAL INVOLVEMENT
DEVELOPMENT OF EPIPHYSES DELAYED
APPEARANCE IS MOTTLED WITH IRREGULAR MINERALIZATION
FLATTENED AND SQUARED-OFF EPIPHYSES
DOUBLE LAYERED PATELLA……PATHOGNMONIC
HYPOPLASTIC TIBIAL AND FEMORAL CONDYLES WITH SHALLOW
INTERCONDYLAR NOTCH
METAPHYSES ARE FLARED
CARPALS , TARSALS AND LONG TUBULAR BONES OF HAND ,SOMETIMES
FEET ARE SHORT AND THICK
SPINE : ANTERIOR WEDGING , SCOLIOSIS
IRREGULAR EPIPHYSES LEADS TO PREMATURE AND SEVERE
DEGENERATIVE CHANGE ESPECIALLY IN KNEES AND HIPS.
D/D
LEGG-CLAVE-PARTHES
MORQUIO
CRETINISM
SED
PSEUDOCHONDROPLASIA
SPONDYLOEPIPHYSEAL
DYSPLASIA
. SPONDYLOEPIPHYSEAL DYSPLASIA (SED) IS A DESCRIPTIVE TERM
FOR A GROUP OF DISORDERS WITH PRIMARY INVOLVEMENT OF
THE VERTEBRAE AND EPIPHYSEAL CENTERS RESULTING IN A
SHORT-TRUNK DISPROPORTIONATE DWARFISM.
TWO MAJOR TYPES OF SED ARE RECOGNIZED, NAMELY, SED
CONGENITA AND SED TARDA.
SED, METATROPIC DYSPLASIA, AND KNIEST SYNDROME ARE
CONSIDERED SHORT-TRUNK DWARFING CONDITIONS
SED CONGENITA
PRESENT AT BIRTH
FACE : FLAT , WIDELY SPACED EYES
CLEFT PALATE
HEARING LOSS
OCCULAR INVOLVEMENT : MYOPIA , RD
NECK : SHORT
SPINE : PEAR SHAPED VERTEBRAE
WITH AGE - PLATYSPONDYLY
THIN DISC
SCOLIOSIS , SEVERE KYPHOSIS , HYPERLORDSIS
ODONTOID HYPOPLASIA , OCCASIONAL NON UNION OF ODONTOID….CERVICAL INSTABILITY
PELVIS : LACK OF OSSIFICATION OF PUBIC BONE ,
ILIAC WINGS ARE SHORT
ACETABULAR ROOF HORIZONTAL , IRREGULAR
LIMBS :
OSSIFICATION OF FEMORAL HEAD IS GREATLY RETARDED THROUGHOUT
CHILDHOOD
DELAYED APPEARANCE OF DISTAL FEMUR , PROXIMAL TIBIA , CALCANEUM , TALUS
RHIZOMELIC SHORTENING
METAPHYSES ARE FLARED
IRREGULAR EPIPHYSESE
MATURATION OF CARPALS AND TARSALS MAY BE RETARDED
SED TARDA
X LINKED RECESSIVE
PRESENT AROUND 5 – 10 YEARS
MILD LOSS OF STATURE
SPINAL AND PELVIC CHANGES ARE LESS SEVERE
HEAPED UP VERTEBRAE : HYPEROSTOTIC BONE DEPOSITED ON
POSTERIOR 2/3 OF ENDPLATES…..
SED TARDA
FIBRODYSPLASIA OSSIFICANCE
PROGERSSIVA
DISABLING GENETIC DISORDER OF CONNECTIVE TISSUE.
USUALLY SPORADIAC
MUNCHMEYER DISEASE
PRESENTATION : USUALLY DURING IST YEAR OF LIFE
CONGENITAL DIGITAL ANOMALIES
TORTICOLIS ( MOST COMMON C/F)
TRIVIAL TRAUMA – FEVER , INFLAMMATORY SOFT
TISSUE MASSES – PROGRESSIVE OSSIFICATION LEADING
TO RESTRICTED JOINT MOVEMENT
PATHOLOGY : LACK OF CIRCULATORY INHIBITORS OR PRIMARY
DEFECT IN COLLAGEN.
PAINFUL SOFT TISSUE MASS
COLLAGEN DEPOSITS ORGANIZE AND CALCIUM SALT
ACCUMULATE WITHIN IT.
LAMELLAR , WOVEN BONE FORMATION ….REPLACE
SMOOTH
MUSCLE, TENDON ,FASCIA ,LIGAMENTS
CONGENITAL DIGITAL ANOMALY
MICRODACTYLY OF IST TOE ..75% CASES , SOMETIME THUMB
( ABSENCE , SHORT PHALANX , SYNOSTOSIS)
HALLUX VALGUS
CLINODACTYLY
ECTOPIC OSSIFICATION
COLUMN OF BONES REPLACES LIGAMENTS , FASCIA , TENDONS
INTERVERTEBRAL DISC …HYPOPLASTIC , CALCIFIED
HYPOPLASTIC ANKYLOSED VERTEBRAL BODIES
(HYPOPLASIA DUE TO EARLY OSSIFICATIONOF SOFT TISSUE LEADS
TO PREMATURE FUSION OF CERVICAL GROWTH PLATE CENTERS)
BROAD FEMORAL NECK
INFANTILE CORTICAL
HYPEROSTOSIS
• CAFFEY’S DISEASE
• SELF LIMITING DISORDER CHARACTERIZED BY SOFT TISSUE SWELLING,
SUBPERIOSTEAL NEW BONE FORMATION, CORTICAL THICKENING OF
UNDERLYING BONES, FEVER, AND IRRITABILITY
• ONSET OF THE DISEASE OCCURS <5 MONTHS , WITH RESOLUTION BY 3 YEARS
OF AGE
• TYPES :
SPORADIC FORM(MANDIBLE AFFECTED), MIMICKING INFECTION
FAMILIAL FORM(TIBIA AFFECTED), AD,
• A PRENATAL FORM, LACK OF FRACTURES DISTINGUISHES THIS FROM
OSTEOGENESIS IMPERFECTA
CLINICAL TRIAD OF ….HYPERIRRITABILITY
SOFT TISSUE SWELLING( EXTREMELY TENDER BUT
LACK OF
WARMTH AN DISCOLORATION)
PALPABLE HARD MASS OVER AFFECTED BONE
FEVER , ANEMIA , ELEVATED ALP ESR
REMISSION , EXACERBATION ARE COMMON
MOST COMMONLY INVOLVED BONE ….MANDIBLE > CLAVICLE > RIBS.
AMONG LONG BONE ULNA MOST COMMON
VERTEBRAE , CARPALS , TARSALS , PHALANGES , EPIPHYSES ----
NEVER INVOLVE
Differential
Diagnosis
Features Resembling
those of Caffey Disease
Features Distinct from
those of Caffey Disease
Osteomyelitis
Similar MRI findings of soft
tissue and marrow edema,
periosteal reaction
Usually only affects 1 bone
for a given clinical period,
bone destruction and
sclerotic bony changes
Leukemia
Pronounced periosteal bone
formation
Lytic bone lesions,
radiolucent metaphyseal
bands
Hypervitaminosis A
Periosteal new bone
formation typically along the
diaphysis of long bones
Characteristic
clinical/radiographic findings
at the end of the first year,
mandible not involved,
increased blood level of
vitamin A
Healing rickets
Stripelike density that
parallels the outer cortical
margin of long bones,
resembling a periosteal
reaction
Splaying and irregularity of
the metaphysis, slower
resolution of clinical and
radiographic findings
Periosteal new bone Malignant features of bone
• X RAY:
• PLAIN RADIOGRAPHS MAY SHOW SOFT-TISSUE SWELLING AND/OR
CORTICAL HYPEROSTOSIS (WITH DOUBLING OR TRIPLING OF THE
NORMAL WIDTH OF THE BONE).
• THE PERIOSTEAL REACTION PROGRESSES TO SUBPERIOSTEAL NEW
BONE FORMATION.
• OSSEOUS BRIDGING AND FUSION OF CORTICAL WALLS
• MRI:
• USEFUL WHEN INFECTION OR NEOPLASIA ARE CONSIDERED MORE
LIKELY DIAGNOSES.
• MRI MAY BE USED TO EXCLUDE SUBPERIOSTEAL HEMORRHAGE; MRIS
DEPICT HEMORRHAGE WITH SUBSEQUENT NEW BONE FORMATION, AS
SEEN WITH DIFFERENTIAL DIAGNOSES (EG, TRAUMA, SCURVY).
• BONE SCAN:
. ACCUMULATION OF THE RADIOPHARMACEUTICAL IN THE INVOLVED
BONES IN SYMMETRICAL FASHION , IS MARKEDLY INCREASED DURING
THE ACTIVE PHASE OF THE DISEASE.
RESIDUAL CHANGE
FACIAL ASYMMETRY , LONGITUDINAL GROWTH
DISTURBANCES , MEDULLARY EXPANSION ,
UNDERTUBULATION , OSSEOUS BRIDGING
D/D
CHILD ABUSE
PROGRESSIVE DIAPHYSEAL DYSPLASIA
MARFAN’S SYNDROME
DEFECT IN FIBRILIN-1 GENE ON CHROMOSOME 5
CLINICAL FEATURES :
LONG SLENDER SKELETON
LL>UL
NORMAL TRUNK
DISTAL PORTIONS > PROXIMAL PORTIONS
MENTAL CAPACITY NORMAL
SPARSE SUBCUTANEOUS TISSUE ,
MUSCULAR HYPOPLASIA , JOINT LAXITY ,DISLOCATION
DOLYCHOCEPHALY
ECTOPIA LENTIS ,MYOPIA
AR , AORTIC ANEURYSM , ASD
INCREASED METACARPAL INDEX
RADIOLOGY
SKULL : DOLYCHOCEPHALY
FACE : ELONGATED , PROMINENT JAW
LIMBS : LL>UL
ACRODACTYLY OR SPIDER LIKE FINGERS : TUBULAR BONES OF
HAND , FEET
LONG , SLENDER , GRACILE , OSTEOPENIA
PELVIS : ACETABULAR PROTRUSION..U/L OR B/L
SPINE : SEVERE SCOLIOSIS , KYPHOSCOLIOSIS
SPINAL CANAL WIDENED >50% OF CASES
POSTERIOR VERTEBRAL SCALLOPING
PEDICLE , LAMINA ARE SLENDER
INTERPEDICULAR DISTANCE INCREASED
THESE ARE DUE TO DURAL ECTASIA
THORAX PECTUS EXCAVATUM
PECTUS CRANIATUM
ELONGATED RIBS
D/D LOEYS DIETZ SYNDROME
HOMOCYSTINURIA…..OVERGROWTH OF CARPAL
EPIPHYSES
MEN II B
EHLER DANLOS SYNDROME
RARE CONNECTIVE TISSUE DISORDER DUE GREATLY
DIMINISHED AMOUNT OF COLLAGEN-III
TYPE IV IS MOST SERIOUS : EXTREME VASCULAR
FRAGILITY
MINIMAL JOINT INVOLVEMENT
THIN SKIN
CLINICAL FEATURES
TALL STATURE
HYPERELASTICITY ,FRAGILITY OF SKIN…..CIGARETTE PAPER SKIN
SUBCUTANEOUS NODULES
LIMBS: HYPEREXTENSION OF HIP , WRIST JOINT , KNEE
GENU RECURVATUM
HYPERABDUCTION OF THUMB
PES PLANUS
PECTUS CRANIATUM , EXCURVATUM
CVS : TOF , AORTIC DISSECTION, AORTIC ANEURYSM , AVF , VARICOSE
VEIN
RSP : PUL HYPERTENSION , BRONCHIECTASIS , SPONTANEOUS
PNEUMOTHORAX
DILATATION OF BOWEL AS WELL A SPONATNEOUS
PERFORATION
RADIOLOGY :
BONE DENSITY DECREASED
SKIN : CALCIFIED SUBCUTANEOUS NODULES
SPINE : PLATYSPONDYLY
DURAL ECTASIA
POSTERIOR VERTEBRAL SCALLOPING
SCOLIOSIS
SPONDYLOLYTIC SPNDYLOLISTHESIS
ACROLYSIS
METAPHYSEAL DYSPLASIA
RARE AR DISORDER CHARACTERIZED BY SPLAYING OR FLARING OF
ENDS OF LONG BONES
# CRANIOMETAPHYSEAL DYSPLASIA IS MORE SEVERE DISORDER ….
MENTAL RETERDATION , CRANIAL NERVE PALSY , HEMIPLAGIA OR
QUADRIPLAGIA
CLINICAL FEATURE : LATE CHILDHOOD
TALL STATURE
BULBOUS ENLARGEMENT OF LOWER EXTREMITY
JOINTS
JOINT PAIN , CONTRACTURRE
GENU VALGUM
PATHOPHYSIOLOGY : CONGENITAL HYPERPLASIA OF PERICHONDRIAL
RADIOLOGY
LL> UL
BONE DENSITY NORMAL
MOST COMMONLY INVOLVED BONES ARE….DISTAL FEMUR , PROXIMAL
TIBIA , FIBULA
IN UPPER EXTREMITY ….PROXIMAL HUMERUS , DISTAL ULNA , RADIUS
SMALL TUBULAR BONES OF HAND , FEET
STERNAL ENDS OF CLAVICLE , RIBS
METAPHYSEAL SPLAYING OR AN ERLENMEYER FLASK DEFORMITY
SINUS HYPOPLASIA
HYPEROSTSIS OF CALVARIA , MANDIBLE
NAIL PATELLA SYNDROME
AD DISORDER OF ECTODERMAL , MESODERMAL TISSUE
OSTEO-ONYCHO-DYSOSTOSIS , FONG DISEASE
CLINICAL FEATURE :
NAIL – 80-90% OF PATIENTS HAVE NAIL ABNORMALITIES
BILATERALLY SYMMETRICAL
WITH ABSENT OR DYSPLASTIC NAILS.
THIS FINDING IS PRESENT AT BIRTH.
SOFT TISSUE – JOINT CONTRACTURE , IRIS PIGMENT , HAND AND FEET WEB
HAND – CLINODACTYLY , SHORT 5TH METACARPAL
LOSS OF DIP SKIN CREASES WAS SEEN IN 96% OF PATIENTS
HYPEREXTENSION OF THE PIP JOINT AND FLEXION OF THE DIP JOINTS, RESULTING IN
“SWAN NECKING”, WAS SEEN IN 58% (69/118) OF PATIENTS
ELBOW – INCREASED CARRYING ANGLE , ELBOW PTERYGIA
KNEE – PALPABLE ABSENCE OF PATELLA
RENAL – DYSPLASIA
RADIOLOGY
PELVIS : BILATERAL POSTERIOR ILIAC HORNS ORIGINATE FROM
SEPARATE
OSSIFICATION CENTER…..PATHOGNOMONIC
KNEE : HYPOPLASTIC OR ABSENT PATELLA
ASYMMETRIC DEVELOPMENT OF FEMORAL CONDYLES
ELBOW : LATERAL EPICONDYLE OF DISTAL HUMERUS , CAPITULUM ARE
HYPOPLASTIC
….PRODUCING INCREASED CARRYING ANGLE , DISLOCATION OF
RADIAL
HEAD.
HAND : CLINODACTYLY
SHORT 5TH METACARPAL
MASSIVE OSTEOLYSIS OF
GORHAM
VANISHING BONE DISEASE
USUALLY EVIDENT BEFORE 50 YEARS
PATHOPHYSIOLOGY : BONE IS REPLACED BY ANGIOMATOUS TISSUE -
VASCULAR FIBROUS TISSUE – BONE RESORPTION DUE TO
HYPERVASCULARITY AND INCREASE IN OSETOCLAST NUMBER.
CLINICAL FEATURE : SUDDEN ONSET PAIN
OR INSIDIOUS PROGRESSIVE DULL PAIN WITH SOFT
TISSUE ATROPHY
PATHOLOGIC FRACTURE
RADIOLOGY
INITIALLY SUBCORTICAL , INTRAMEDULLARY RADIOLUCENT FOCI
PROGRASSIVE DESTRUCTION
POINTED OR TAPERED ENDS OF LONG BONES
FRAGMENTATION ., FRACTURE
SOFT TISSUE ATROPHY ,PHLEBOLITH
D/D METASTATIC NEUROBLASTOMA
HISTIOCYTOSIS
LYMPHANGIOMATOSIS OF BONE
FIBROUS DYSPLASIA
HURLER’S DISEASE
DYSOSTOSIS MULTIPLEX , OSTEOCHONDRODYSTROPHY
CLINICAL FEATURES :
RADIOLOGY
SKULL : MACROCEPHALY
THICK CALVARIA
J SHAPED SELLA
HYDROCEPHALUS
PREMATURE CLOSURE O SUTURES
FACE : FACIAL BONES ARE SMALL
MANDIBULAR ANGLE IS WIDENED
RIBS : SPATULATED APPEARANCE
SPINE : DYSPLASTIC ODONTOID …. ATLANTOAXIAL SUBLUXATION
SHORT AP DIAMETER OF VERTEBRAL BODIES
BICONVEX BODIES
INFERIOR BEAKING
LONG , SLENDER PEDICLES
NARROW FORAMEN MAGNUM
PELVIS :
FLARED ILIA
FEMORAL EPIPHYSES ARE DYSPLASTIC
COXA VALGA
LIMBS : UL > LL
VARUS DEFORMITY OF HUMERUS….CHARACTERISTIC
LONG BONES WIDENED DIAPHYSES
OSTEOPOROSIS
HAND :
PROXIMAL ENDS OF METACARPALS TAPER AND IN OLDER
CHILDREN
DISTAL END OF RADIUS , ULNA SLOPE TOWARD EACH
OTHER. METACARPALS , PHALANGES ARE SHORT AND WIDE
MORQUIO’S SYNDROME
CLINICAL FEATURES
DWARFISM
NORMAL MENTAL STATUS
SHORT NECK
DEPRESSED NASAL BRIDGE , SHORT NOSE , HYPERTELORISM ,
WIDE MAXILLA
DEFORMED POORLY SPACED TEETH
PECTUS EXCAVATUM
KYPHOSCOLIOSIS
GENU VALGUM
HIP DISLOCATION
RADIOLOGY
SPINE : CENTRAL ANTERIOR BEAKING….PATHOGNOMONIC
PLATYSPONDYLY
HYPOPLASTIC , POSTERIORLY DISPLACED L1 , L2
AGENESIS OR HYPOPLASTIC ODONTOID
PELVIS : HYPOPLASTIC , IRREGULAR ACETABULI , CAPITAL FEMORAL
EPIPHYSES
WIDE FEMORAL NECK
HIP DISLOCATION
LIMBS : LONG TUBULAR BONES ARE SHORT AND THICK
IRREGULAR METAPHYSES , EPIPHYSES
IRREGULAR CARPALS , TARSALS
BONE DENSITY IS NORMAL
MAJOR D/D IS SPONDYLOEPIPHYSEAL DYSPLASIA
PSEUDOACHONDROPLASIA
OSTEOGENESIS IMPERFECTA
INHERITABLE DISORDER OF CONNECTIVE TISSUE WITH WIDESPREAD ABNORMALITIES.
QUANTITATIVE AND QUALITATIVE DEFECT IN THE SYNTHESIS OF COLLAGEN - 1
CLINICAL FEATURE :
OSTEOPOROSIS WITH ABNORMAL FRAGILITY OF THE SKELETON
BLUE SCLERA
ABNORMAL DENTITION
PREMATURE OTOSCLEROSIS
TWO FORMS :
CONGENITA – HIGH RATE OF STILLBORN AND INFANTILE MORTALITY
TARDA FORM – NORMAL LIFE EXPECTANCY
THESE TWO FORMS REFER TO PRESENCE OR ABSENCE OF OSSEOUS DEFORMITIES AT BIRTH.
PRESENCE OR ABSENCE OF BOWING DEFORMITY OF LONG BONE IS USEFUL TO GUIDE SEVERITY OF
DISEASE
TYPE 11>111>1V>1
CLINICAL FEATURE
F>M
BLUE SCLERAE – APPEARANCE OF BROWN CHOROID WHEN SEEN
THROUGH THE ABNORMAL COLLAGEN IN THIN SCLERA
BLUISH GRAY TO YELLOWISH BROWN OPALESCENT TEETH ,
REFERRED TO AS DENTIGEROUS IMPERFECTA
OTOSCLEROSIS
ABNORMAL TEMPERATURE REGULATION
GROWTH RETARDATION
SEVERELY AFFECTED INDIVIDUALS ARE DWARFED ….ABNORMAL
GROWTH PATTERN , SEVERE FRACTURES , DEFORMITIES
PATHOPHYSIOLOGY : ABNORMAL MATURATION AFFECTING BOTH ENCHONDRAL ,
MEMBRANOUS BONES
PRIMITIVE FETAL COLLAGEN , BONE ARE NOT REPLACED BY MATURE LAMELLAR ,
WOVEN BONE
RADIOLOGY :
DIFFUSE DECREASE IN BONE DENSITY , PENCIL THIN CORTEX , MULTIPLE FRACTURES
, WRINKLED CONTOUR ANGULATION.
ON USG - BONES MAY APPEAR THICKENED…DEMINERALIZED BONE REFLECTS SOUND
WAVE LESS THAN A NORMAL BONE
BRIGHT FALX SIGN
BONES MAY BE - THIN AND GRACILE….MOST COMMON
SHORT , THICK DUE TO FRACTURE DEFORMITY
CYSTIC TYPE ….OSTEOPENIC , FLARED METAPHYSES
SKULL – ENLARGED SKULL
WORMIAN BONE
THORAX
DECREASED THORACIC CIRCUMFERENCE
CONCAVE THORACIC CONTOUR
SPINE
BICONCAVE OR FLATTENED VERTEBRAE
ANTERIOR WEDGING
KYPHOSCOLIOSIS
EXTREMITY – LL > UL
MULTIPLE FRACTURE SOFTEN TRANSVERSE
HEALING WITH TUMORAL CALLUS FORMATION
MISTAKEN FOR OSTEOSACOMA
ABSENT CALVARIA , NASAL BONE
OSSIFICATION
HOLT ORAM SYNDROME
AD
STRONG FAMILIAL TRANSMISSION
HEART – HAND SYNDROME
SKELETAL ABNORMALITY DO NOT INVOLVE LL
RADIOLOGY :
HYPPLASTIC CLAVICLE, SCAPULA, HUMERI
HYPOPLASTIC OR ABSENT RADIUS
RADIO-ULNAR , HUMERO-ULNAR SYNOSTOSIS
ABSENT THUMB
TRIPHALANGEAL THUMB
EXTRA CARPALS , CARPAL FUSION
MELORHEOSTOSIS
AN UNCOMMON MESENCHYMAL DYSPLASIA MANIFESTING AS REGIONS OF
SCLEROSING BONE WITH A CHARACTERISTIC , WAX FLOWING DOWN A LIGHTED
CANDLE
LESIONS FOLLOW SCLEROTOMES , MYOTOMES THAT ARE SUPPLIED BY
PARTICULAR SPINAL SENSORY NERVE.
CLINICAL FEATURE : PRESENT AT LATE CHILDHOOD
SLOW , CHRONIC COURSE
PAIN IS MAIN PRESENTING SYMPTOM
MONOMELIC
JOINT CONTRACTURE , DEFORMITY , RESTRICTED MOVEMENT
GENU VARUM , GENU VALGUM
SEVERE INVOLVEMENT IN CHILDREN LEAD TO PREMATURE
CLOSURE
SKIN CHANGE : SCLERODERMA LIKE ATROPHY , MUSCLE ATROPHY
ANOMALOUS PIGMENTATION
VESSEL , LYMPHATIC OCCLUSION
BURSITIS
SOFT TISSUE CHANGES MAY PRECEDE OSSEOUS FINDINGS
RADIOLOGY
USUALLY MONOMELIC
LL>UL
SITE –BOTH ENCHONDRAL , MEMBRANOUS BONES ARE INVOLVE
LONG BONES , SKULL , FACIAL BONES , RIBS , VERTEBRAE , PELVIS , SCAPULA
ENDOSTEAL HYPEROSTOSIS…CHILDREN
PERIOSTEAL HYPEROATOSIS….ADULT
BOTH ENCHONDRAL , MEMBRANOUS BONES ARE INVOLVE
• THICK UNDULATING RIDGES OF BONE, REMINISCENT OF MOLTEN WAX
• CONFINED TO SCLEROTOMES, AND CAN BE SEEN APPARENTLY FLOWING ACROSS JOINTS TO THE
NEXT BONE.
• USUALLY ALONG ONE SIDE
• INTRAMEDULLARY EXTENSION
IN PELVIS , SCAPULA SCLEROTIC BONE IN THE FORM OF DENSE
RADIATION FROM JOINT
CARPALS , TARSALS – MULTIPLE BONE ISLANDS RESEMBLE
OSTEOPOIKILOSIS
HETEROTROPIC BONE FORMATION
SOFT TISSUE CALCIFICATION….LEAD TO BONY ANKYLOSIS
SCINTIGRAPHY : INCREASED UPTAKE PRSENT ON LATE PHASE OF
BONE SCAN
ASSOCIATION :
OSTEOPOIKILOSIS , OATEOPATHIA STRIATA , T S , HEMANGIOMA
, LINEAR SCLERODERMA , AVF
D/D
• MYOSITIS OSSIFICANSE
• OSTEOMA
• FOCAL SCLERODREMA
• PERIOSTEAL OSTEOSARCOMA
• CAFFEY,S DISEASE
• SCLEROTIC METASTASIS
OSTEOPATHIA STRIATA
VOORHOEVE DISEASE
LINEAR DENSE STRIATION IN METAPHYSES AND DIAPHYSES OF BONES
CLINICAL FEATURE : DITECTED INCIDENTALLY
VAGUE PAIN
RADIOLOGY : LONG BONES ARE MOST COMMONLY INVOLVED
SHORT TUBULAR BONES OF HAND AND FEET , SKULL , ILIUM , SPINE
USUALLY BILATERAL
LENGTH RELATED TO RATE OF GROWTH
VERTICAL RADIOPAQUE LINES IN METAPHYSES EXTENDING IN SOME
DISTANCE IN DIAPHYSES ( CELERY STALK METAPHYSES )
FAN LIKE RADIATING LINES FROM ACETABULA TO ILIAC CREST….SUNBURST
ASSOCIATION :
MELORRHEOSTOSIS ,
OSTEOPETROSIS
GOLTZ SYNDROME – FOCAL
DERMAL HYPOPLASIA
SCINTIGRAPHY : OLD BONE
REMODELING – NOT ASSO
WITH INCREASED UPTAKE
D/D :
OSTEOPETROSIS
OSTEOPOIKILOSIS
RUBELLA , SYPHILIS , CMV
OSTEOPETROSIS
RARE HEREDITARY AND FAMILIAL BONE ABNORMALLITY
CHARACTERIZED BY LACK OF RESORPTION OF NORMAL PREMITIVE
OSTEOCHONDRAL TISSUE
CLASSIFICATION
- MALIGNANT - AR
BENIGN OR TARDA: ALBERS-SCHÖNBERG DISEASE = MARBLE
BONE DISEASE
- INTERMEDIATE FORM
- ASSOCIATED WITH RENAL TUBULAR ACIDOSIS
INFANTILE AUTOSOMAL RECESSIVE OSTEOPETROSIS IS THE MORE
SEVERE FORM THAT TENDS TO PRESENT EARLIER. HENCE, IT IS
REFERRED TO AS "INFANTILE" AND "MALIGNANT“, COMPARED TO THE
AUTOSOMAL DOMINANT OSTEOPETROSIS.
Those who survive childbirth present with :
• failure to thrive
• cranial nerve entrapment
• snuffling (nasal sinus architecture abnormalities)
• hypercalcaemia
• pancytopenia (anemia, leukopenia and thrombocytopenia)
• hepatosplenomegaly (extramedullary haemopoesis)
• intracerebral hemorrhage (thrombocytopenia)
• lymphadenopathy
optic atrophy
hearing loss
ostomyelitis of mandible
CLINICAL FEATURES
PATHOPHYSIOLOGY : UNRESPONSIVENESS OF OSTEOCLAST TO PTH
FAILURE OF NORMAL RESORPTIVE MECHANISM
PREMITIVE CALCIFIED CARTILAG EREMAIN, MEDULLARY SPACE IS
NEVER ALLOWED TO FORM
RADIOLOGY :
GENERALIZED SCLEROSIS OF SKELETON = HOMOGENIOSLY INCREASED DENSITY
LACK OF TRABECULA
LITTLE OR NO DIFFERENTIATION BETWEEN
CORTEX , MEDULLA
STRIATIONS PRODUCE BONE WITH BONE
APPEARANCE
SKULL – MACROCRANIA
CALVARIALA , BASILAR THICKENING AND SCLEROSIS
POORLY FORMED SINUSES
ENDOBONES ARE FREQUENTLY SEEN IN SPHENOID , OCCIPITAL REGION
LIMBS – LONG BONES ARE SCLEROTIC
MULTIPLE HORIZONTAL FRACTURES
VERTICAL , HORIZONTAL STRIATIONS OF NORMAL BONES
INTERSPERSED
WITH PRIMITIVE TISSUE
LONG TUBULAR BONES OF HAND AND FEET ARE ALSO
INVOLVED
METAPHYSEAL FLARING
SPINE – UNIFORMLY DENSE
SANDWICH VERTEBRA – DENSE BANDS ADJACENT TO
ENDPLATES
BONE WITHIN BONE
PELVIS – MULTIPLE DENSE CURVED LINES PARALLELING THE ILIAC
CREST
Chest radiograph in an infant demonstrates
overall increased density of osseous
structures due to accumulation of immature
Generalized increased density of bones &
alternating areas of increased & decreased
density in metaphyses (bone-within-bone
appearance).
Spine radiographs reveal classic sandwich vertebrae of osteopetrosis (red
arrows). This is manifested as thickening and sclerosis of the vertebral endplates,
and of the bone adjacent to the endplates.
There is also marked thickening of the posterior vertebrae (yellow arrows),
especially in the vertebral arch.
Lateral radiograph of the skull reveals diffuse thickening of the calvarium,
most significant in the region of the occiput. The partially visualized upper
cervical vertebrae and maxilla are also dense and thickened.
OSTEOPOIKILOSIS
AD
CAN BE PRESENT AT ANY AGE.
PATHOLOGY : LESIONS ARE FOCI OF COMPACT LAMELLAR BONE ….THAT FAIL TO
BECOME CANCELLOUS DURING THE COURSE OF GROWTH AN DIFFERENTIATION.
CLINICAL FEATURE : ASYMPTOMATIC
JOINT PAIN + -- EFFUSION
RADIOLOGY :
BILATERAL SYMMETRICAL
UNIFORM SIZE
LONG TUBULAR BONES , CARPALS , TARSALS
JUXTARTCULAR REGIONS INVOLVING BOTH METAPHYSES AN EPIPHYSES
IN PELVIS , SCAPULA LESIONS ARE FOUND ADJACENT TO ACETABULUM AND GLENOID
SMALL ROUND OR OVOID OPACITIES
D/D – BONE ISLAND , BLASTIC METS , MASTOCYTOSIS
SKIN FINDINGS : 25%
DERMATOFIBROMATOSIS LENTICULARIS DISSEMINATA
SCLERODERMA LIKE LESIONS
KELOID FORMATION
ASSOCIATION :
MELORRHEOSTOSIS
OSTEOPATHIA STRIATA
RISK FOR OSTEOSARCOME
SCINTOGRAPHY : DO NOT MONSTRATE ANY UPTAKE
PROGRESSIVE DIAPHYSEAL
DYSPLASIA
AD
INCREASED OSTEOBLASTIC ACTIVITY
FUSIFORM THICKENING OF DIAPHYSES SPARING METAPHYSESA AND
EPIPHYSES
CLINICAL FEATURE : PRESENT IN 1ST DECADE
BONE TENDERNESS
EXTREME WEAKNESS , MALNUTRITION…..USUALLY
RESOLVE
AFTER ADOLESCENT
INCREASE ESR , ALP , CPK
RADIOLOGY
BILATERALLY SYMMETRICAL
ENCHONDRAL BONE > MEMBRANOUS BONES
SITE : DIAPHYSES OF LONG BONES …..METAPHYSES , EPIPHYSES ARE
GENERALLY SPARED
CALVARIA , SPINE , RIBS , CLAVICLA
PELVIS , CARPALS , TARSALS …..NEVER INVOLVE
LONG BONE : WIDENING OF DIAMETER OF DIAPHYSES ENCROACHING ON THE
MEDULLARY
CANAL
CRANIUM : CALVARIAL , BASILAR SCLEROSIS
SPINE : POSTERIOR ASPECT OF VERTEBRAL BODY , POSTERIOR ARCH BUT
WITHOUT STENOSIS
ENDOSTEAL INVOLVEMENT IS MORE PRONOUNCED THAN PERIOSTEAL
INVOLVEMENT
COMPLICATION - INCREASED INTRACRANIAL PRESSURE ,
PIKNODYSOSTOSIS
AD
SIMILARITIES WITH CLEIDOCRANIAL DYSPLASIA , OSTTEOPETEOSIS
CHARACTERIZED BY GENERALIZED INCREASE IN BONE DENSITY WITH
PRESERVATION OF MEDULLARY CAVITY WITH SHORT STATURE
RADIOLOGY :
SKULL – MACROCRANIA
NUMEROUS WORMIAN BONES
SUTURES REMAIN OPEN
WIDE ANTERIOR FONTANELLE
FACE - SMALL FACE
PROMINENET FOREHEAD
BEAKED NOSE
HYPOPLASTIC FACIAL BONES AND SINUSES
ABNORMAL DENTITION , OSTEOMYELITIS OF MANDIBLE
SPINE – SCOLIOSIS
HYPERLORDOSIS , KYPHOSIS , BLOCK VERTEBRAE ESPECIALLY
AT
CRANIOVERTEBRAL , LUMBOSACRAL JUNCTION
SPOOL SHAPED VERTEBRAE
SPONDYLOLYSIS OF C2
LONG BONES – OSTEOSCLEROSIS WITH PRESERVATION OF
MEDULLARY CAVITY
TRANSVERSE FRACTURE
MADELUNG DEFORMITY
CLAVICLE – HYPOPLASIA OR ABSENCE OF LATERAL END OF CLAVICLE
HAND AND TOE – SHORT AND STUBBY FINGERS
ACROOSTEOLYSIS
• PYKNODYSOSTOSIS.(A) THE SKULL SHOWS FAILURE OF SUTURAL
FUSION AND SCLEROSIS OF THE BASE. THE ANGLE OF THE
MANDIBLE I S OBTUSE AND THE MAXILLA HYPOPLASTIC (SEE CH.
XX). (B) THE LUMBAR VERTEBRAL BODIES SHOW A SPOOL SHAPE
WITH QUITE PROMINENT ANTERIOR DEFECTS. OVERALL THERE
DIASTROPHIC DYSPLASIA
A TYPE OF SHORT LIMB SKELETAL DYSPLASIA
RELATIVELY INCREASED PREVALENCE IN FINLAND
RADIOLOGY :
MICROMELIA – RHIZOMELIC TYPE
HITCH HIKER THUMB
MULIPLE POSTURAL DEFORMITY , JOINT CONTRACTURE
KYPHOSCOLIOSIS
LONG BONES – RHIZOMELIC SHORTENING
CRESCENT SHAPED FLATTENED EPIPHYSES
CLUB FOOT
CAULIFLOWER EAR
DOUBLE LAYERED MANUBRIUM ....SPECIFIC FOR IT
ASPHYXIATING THORACIC
DYSPLASIA
JEUNE SYNDROME, IS A TYPE OF RARE SHORT LIMB SKELETAL DYSPLASIA, WHICH IS
PRIMARILY CHARACTERIZED BY A CONSTRICTED LONG NARROW THORACIC CAVITY, CYSTIC
RENAL DYSPLASIA AND CHARACTERISTIC SKELETAL FEATURES
RADIOLOGY :
SHORT NARROW ELONGATED CHEST SHAPE
HIGH RIDING CLAVICLES ( HANDLEBEAR CLAVICLE)
POLYDACTYLY ……POST AXIAL
SHORT LIMBS ...RHIZOMELIC
DYSPLASTIC ACETABULA WITH FLAT ACETABULAR ROOF
TYPICAL 3 PONT APPEARANCE OF LOWER END OF PLELVIS
SHORT AND FLARED ILIAC BONES
ISCHIAL AND PUBIC BONES WITH MEDIAL AND LATERAL SPURS
ELLIS VAN CREVELD SYNDROME
CHNDROECTODERMAL DYSPLASIA
RADIOLOGY
NARROWING OF THORAX WITH SHORT RIBS
POLYDACTYLY – TENDS TO BE POSTAXIAL
MILD TO MODERATE MICROMELIA – MESOMELIC TYPE
CHD – MOST OFTEN ASD
SMALL , FLARED ILIA
MEDIAL SPUR FROM ACETABULI
HYPOPLASTIC DISTAL PHALANGES , DELAYED CARPAL DEVELOPMENT , CARPAL FUSION
HYPOPLASTIC PROXIMAL TIBIAL EPIPHYSES , SPECIALLY LATERALLY
CRYPTORCHISM , EPISPADIAS
SPARSE, ABSENT, OR FINE TEXTURED HAIR
DENTAL MALFORMATION
DYSCHONDROSTEOSIS
FEMALE
MADELUNG DEFORMITY
MESOMELIC LIMB SHORTENING
HYPOPLASTIC FEBULA
DYSSEGMENTAL DYSPALSIA
AR
GROSS VERTEBRAL DISORGANIZATION
RADIOLOGY :
MICROMELIA
SHORT , NARROW THORAX
ANISOSPONDYLY – GROSS IRREGULARITY OF SIZE AND SHAPE OF
VERTEBRAL BODIES , MALSEGMENTATION , CLEFTING ,
KYPHOSCOLIOSIS
GROSS SPINE DISORGANIZATION MAY BE RECOGNIZED AS EARLY AS
FIRST TRIMESTER
PROXIMAL FOCAL FEMORAL
DYSPLASIA
FAMILIAL : FEMUR – TIBIA – RADIUS COMPLEX
NON –FAMILIAL : FEMUR – FIBULA – ULNA COMPLEX
RADIOLOGY
UNILATERAL ABSENCE OF SUBTROCHENTERIC FEMUR , WHICH MAY EXTEND TO
THE HEAD AND ACETABULUM
I/L FIBULAR HEMIMELIA
MICROCEPHALY
VERTEBRAL ANOMALY
THE ROLE OF MR : DEFINE THE CARTILAGINOUS PROXIMAL FEMUR AND THE
PRESENCE OR ABSENCE OF A CARTILAGINOUS CONNECTION TO THE FEMORAL
HEAD. THERAPEUTIC DECISIONS ARE BASED ON THE DETECTION OF A FEMORAL
HEAD AND THE PRESENCE OF A CONNECTION.
SIRENOMELIA
CHARACTERIZED BY :
FUSION OF LOWER EXTREMITIES
ABSENT SACRUM
ANORECTA ATRESIA
RENAL DYSGENESIS R AGENESIS
ASSOCIATD WITH SINGLE UA , OLIGOHYDRAMNIOS
FIBROUS DYSPLASIA
FIBROUS DYSPLASIA (FD) IS A NON-NEOPLASTIC TUMOUR-LIKE CONGENITAL
PROCESS, MANIFESTED AS A LOCALISED DEFECT IN OSTEOBLASTIC
DIFFERENTIATION AND MATURATION, WITH REPLACEMENT OF NORMAL BONE
WITH LARGE FIBROUS STROMA AND ISLANDS OF IMMATURE WOVEN BONE.
TYPES – MONOSTOTIC..MOST COMMON
POLYOSTOTIC….ASYMMETRIC
CRANIOFACIAL
CHERUBISM
CLINICAL FEATURE :
ASYMPOMATIC
PATHOLOGICAL FRACTURE
FACIAL ASYMMETRY
USUALLY PRESENT BEFORE 50 YEARS
PATHOPHYSIOLOGY : MEDULLARY CAVITY IS REPLACED BY FIBROUS TISSUE , CYSTS CONTAINING
SEROUS FLUID AND BLOOD --- UNDERGOES VARYING DEGREE OF OSSIFICATION THAT ME BE
HOMOGENEUOS GIVING GROUND GLASS
INHOMOGENEOUS …COTTON WOOL
RADIOLOGY :
ANY BONE CAN BE INVOLVED THOUGH INVOLVEMENT OF SPINE IS UNCOMMON
IN THE SKULL FRONTAL , SPHENOID , PARIETAL , MAXILLARY , MANDIBLE ARE OFTEN AFFECTED
MONOSTOTIC ….RIB MOST COMMONLY , LONG BONES….POLYOSTOTIC
DIAPHYSES
LESION ARE – EXPANSILE
SMOOTH DENSE MARGIN
MULTILOCULAR / BUBBLY
CORTEX IS SCALLOPED , THINED
GROUND GLASS OR COTTON WOOL SCLEROSIS
NO PERIOSTEA REACTION
CRANILFACIAL TYPE – DISPLACED OUTER TABLE , INNER TABLE IS SPARED
SHEPHERED CROOK DEFORMITY OF FEMUR
COMPLICATION :
OSTEOSARCOMA
CHONDROSARCOMA
MFH
FRACTUR E, DEFORMITY
ASSOCIATED WITH :
ALBRIGHT SYNDROME – PRECAUTIOUS PUBERTY , FD , SKIN
PIGMENTATION
ACROMEGALY
HYPERTHYROIDSM
CUSHING SYNDROME
THANK YOU

Skeletal dysplasia

  • 1.
  • 2.
    • GREEK WORD:“DYS” – DISORDERED AND “PLASSEIN” – TO FORM • A/K/A OSTEOCHONDRODYSPLASIAS. • HETEROGENEOUS GROUP OF DISORDERS COMPRISING OF ABNORMALITIES OF BONE OR CARTILAGE GROWTH OR TEXTURE. • OCCUR DUE TO GENETIC MUTATIONS. • OVERALL PREVALENCE - 2.3 – 7.6 PER 10000 BIRTHS.
  • 3.
    DYSPLASIA VS DYSOSTOSES •DISORDERS WITH GENERALIZED ABNORMALITY OF THE SKELETON. • PHENOTYPE CONTINUES TO EVOLVE THROUGHOUT THE LIFE. • DISORDERS WITH ABNORMALITY OF A SINGLE OR MULTIPLE BONES. • PHENOTYPICALLY REMAINS STATIC THROUGHOUT THE LIFE.
  • 4.
    NORMAL FETAL SKELETON DEVELOPMENT……. TVSCAN DEMONSTRATE LIMB BUDS BY 7 WKS OF GESTATION , FOOT AND HAND PLATES BY 8 WKS. BY 11 TO 12 WKS PRIMARY OSSIFICATION OF CENTERS OF LONG BONES ,LIMB ARTICULATION , PHALANGES CAN BE IDENTIFIED. DIRECTION OF GROWTH UL TO LL AND PROX TO DIST. THE EARLIEST SECONDARY EPIPHYSIS TO OSSIFY …CALCANEUS ,AT 20 WKS AMONG THE LONG BONES SECONDARY OSSIFICATION CENTERS FOR DISTAL FEMUR , PROXIMAL TIBIAL EPIPHYSIS OSSIFY PRENATALLY.
  • 5.
    DISTAL FEMORAL EPIPHYSISOSSIFY AS EARLY AS 29WKS AND AS LATE AS 34 WKS. IT MEASURES GREATER THAN 7 MM ….GES AGE LATER THAN 37 WKS. IN UNCOMPIECATED PREGNANACY THE COMBINATION OF DISTAL FEMORAL EPIPHYSIS OF MORE THAN EQ TO 3 MM AND PRESENCE OF PROXIMAL TIBIAL EPIPHYSIS IS CONSIDERED A RELIABLE MARKAR OF PULMONARY MATURITY.
  • 6.
    EXTREMITY MEASUREMENT THE LONGESTFEMORAL MEASUREMENT , EXCLUDING BOTH PROXIMAL AND DISTAL EPIPHYSES , IS USUALLY CHOSEN. TIBIA AND FIBULA ENDS AT THE SAME LEVEL DISTALLY. THE ULNA IS DISTINGUISHED FROM RADIUS BY ITS LONGER PROXIMAL EXTENT AND ITS RELATIONSHIP WITH 5TH DIGIT DISTALLY. GES AGE IN WKS IS APPROX LENGTH OF THE CLAVICLE FROM 14WKS TO TERM. BY 40 WKS GESTATION ,THE CLAVICLE MEASURE APPROX 40 MM.
  • 7.
    FOOT LENGTH…. FEMUR /FOOTLENGTH RATIO…1.0 IN CONSTITUTIONALLY SMALL OR SYMMETRICAL IUGR , RATIO IS 0.9 OR MORE. IN DYSPLASIA RATIO IS LESS THAN 0.9 , BCZ RELATIVE SPARING OF HAND AND FOOT.
  • 8.
    DIAGNOSTIC APPROACH Assessment I Disproportion AssessmentIII Radiology Assessment II General Examination
  • 10.
  • 11.
    Long Bones ChestHands & Feet Skull Spine & Pelvis - Long bones length -Absence & malformation -Hypoplasia -Curvature, degree of mineralization, fractures -Femur length– abdominal circumference ratio (<0.16 - lethal outcome) -Femur length– foot length ratio (normal = 1, <1 -Chest–trunk length ratio < 0.32 -Chest circumference < 5th percentile for gestational age - indicator of pulmonary hypoplasia. - Pre- or postaxial polydactyly - preaxial - extra digits on radial or tibial side - postaxial – extra digits on ulnar or fibular side) - Syndactyly - soft- tissue or bone fusion of adjacent digits - Clinodactyly - deviation of a finger - Other - Head circumference & biparietal diameter - Interorbital distance - Degree of mineralization - Micrognathia, short upper lip, abnormally shaped ears, frontal bossing, cloverleaf skull - Brachycephaly (anteroposterior shortening ) , - Total length & presence of curvature - Mineralization of vertebral bodies & neural arches -Vertebral height: Platyspondyly (flattened vertebral body shape with reduced distance between endplates) - Thanatophoric dysplasia.
  • 12.
    ABNORMAL BONE LENGTHON USG ABNORMAL FL IS DEFINED AS BELOW -2SD FOR GESTATIONAL AGE. WHEN ONE OR ALL LONG BONES MEASURE LESS THAN -2SD FOR GESTATIONAL AGE , FOLLOW UP USG SHOULD BE DONE IN 3 TO 4 WKS TO EVALUATE INTERVAL GROWTH. INTERVAL GROWTH NORMAL ….HIGH LIKELIHOOD THAT THE FETUS DO NOT HAVE SD FURTHER DEVIATION FROM MEAN BY AT LEAST I SD SHOULD SUGGEST SD OR SEVERE IUGR
  • 13.
    MOST COMMON CAUSEFOR SHORT FEMUR IS EITHER INACCURATE DATING OR NORMAL VARIANT IN A CONSTITUTIONALLY SMALL FETUS. SEVERE IUGR….GREATLY SHORTENED LONG BONES , NORMAL OR DECREASED SKIN FOLD THICKNESS OLIGOHYDRAMNIOS ABNORMAL PLACENTAL MORPHOLOGY ABNORMAL DOPPLER SKELETAL DYSPLASIA….REDUNDANT , THICKENED SKIN FOLD POLYHYDRAMNIOS
  • 14.
    NONLETHAL SKELETAL DYSPLASIAARE GENERALLY NOT EVIDENT BEFORE 20 WKS. SHORT LONG BONE BEFORE 20 WKS INDICATE SERIOUS SAND USUALLY FETAL SKELETAL DYSPLASIA.
  • 15.
  • 16.
    Assessment I Disproportion • Upper/lower segmentratio • 1.7 newborn • 1.0 ages 2-8yrs • 0.95 adult • Sitting height: ascertains trunkal shortening • Limb lengths: • Rhizomelia (humerus & femur) • Mesomelia (radius, ulna, tibia & fibula) • Acromelia (Hands & feet) • Body asymmetry • Spine: assess for scoliosis, kyphosis & lordosis Assessment II – General Examination • General examination: facial features, hair quality, dental health, nails • Systemic features: renal problems, cardiac abnormalities • Developmental history • Family history • Ethnicity • Joint pain Assessment III - Radiology • AP & lateral skull to include atlas & axis • AP chest • AP pelvis • AP lumbar spine • Lateral thoracolumbar spine • AP one lower limb • AP one upper limb • Postero-anterior (PA) one hand (usually left for bone age assessment)
  • 17.
    WHAT TO LOOKAT A ANATOMIC SITE B BONE C COMPLICATION
  • 18.
    • Epiphyseal dysplasia– small under ossified epiphyses • Metaphyseal dysplasia – widened, flared or irregular metaphyses • Diaphyseal dysplasia – cortical thickening or obliteration of marrow space Epiphyseal Dysplasia Metaphyseal Dysplasia
  • 19.
    THANATOPHORIC DYSPLASIA MOST COMMONLETHAL SKELETAL DYSPALSIA. PREVALENCE 0.24 TO 0.69 PER 10000 BIRTHS. TWO TYPES…. TYPE 1 – TELEPHONE RECEIVER EXTREMITIES BUT WITHOUT CLOVERLEAF SKULL. TYPE 2 – CLOVERLEAF SKULL WITHOUT TELEPHONE RECEIVER EXTREMITIES
  • 20.
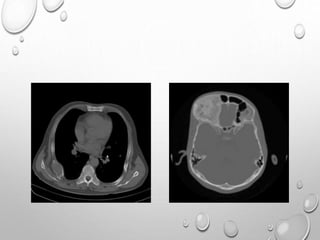
    CLOVERLEAF SKULL DUETO PREMATURE CRANIOSYNOSTOSIS OF THE LAMBDOID AND CORONAL SUTURES
  • 21.
    MACROCRANIA FRONTAL BOSSING FLATTENED NASALBRIDGE WITH MID FACE HYPPLASIA DECREASED THORACIC CIRCUMFERANCE NORMAL TRUNK LENGTH SEVERE MICROMELIA ….RHIZOMELIC TYPE TELEPHONE RECEIVER EXTREMITIES….BOWED , CURVED APPEARANCE SECONDARY TO BROADENED METAPHYSES PLATYSPONDYLY WAFER THIN VERTEBRAL BODY WITH RELATIVELY LARGER HYPOECHOIC DISC SPACE . CNS FINDINGS….HOLOPROSENCHEPHALY , AGENESIS OF CORPUS CALLOSUM ,HETEROPTROPIA , POLYMICROGYRIA , VENTRICULOMEGALY MINERALIZATION IS NORMAL
  • 24.
    ACHONDROGENESIS SECOND MOST COMMONLETHAL SKELETAL DYSPLASIA. HOMOZYGOUS ACHONDROPLASIA AR INHERITENCE TWO TYPES ---- TYPE 1 – 25% RECURRENCE PARTIAL OR COMPLETE LACK OF CALVARIAL OSSIFICATION A …ASSOCIATED WITH RIB FRACTURE B…. NO RIB FRACTURE TYPE 2 –VERY SMALL RECURRENCE RISK NORMAL CALVARIAL OSSIFICATION MORE SEVERE INVOLVEMENT OF VERTEBRAL COLUMN
  • 25.
    MACROCRANIA MICROMELIA….SHORT CUBOID BONESAND METAPHYSEAL SCALLOPING DECREASED THORACIC CIRCUMFERENCE AND TRUNK LENGTH DECREASED MINERALIZATION – COMPLETE OR PARTIAL LACK OF OSSIFICATION OF CALVARIUM ( TYPE 1 ) , SACRAL AND PUBIC BONES ,VERTEBRAL BOODIES. PREDOMINANT DEMINERALIZATION OF VERTEBRAL BODIES WITH ONLY TWO ECHOGENIC POSTERIOR ELEMENTS
  • 28.
    HYPOPHOSPHATASIA AR TYPE LETHALSKELETAL DYSPLASIA  DEFICIENCY OF TISSUE NONSPECIFIC ALKALINE PHOSPHATASE. KEY FEATURES ,,,,,, CRANIAL VAULT SIZE , TRUNK SIZE REMAIN NORMAL MICROMELIA DECREASED THORACIC CIRCUMFERENCE DUE TO SHORT RIBS DEMINERALIZATION OF LONG BONES WHICH ARE THIN , DELICATE , BOWED , OCCASIONAL ANGULATION , FRACTURE CRANIAL VAULT FAILS TO MINERALIZE AND MAY BE COMPRESSED UNDER TRANNSDUCER POSTERIOR ELEMENTS ARE POORLY OSSIFY ( ACHONDROGENESIS – V BODIES INVOLVE )
  • 30.
    D/D THANATOPHORIC DYSPLASIA…..SEE MINERALIZATION VAULTSIZE OSTEOGENIC IMPERFECTA ….BONES ARE THICKENED , WAVY ACHONDROGENESIS….SEE VERTEBRAE , TRUNK AND VAULT SIZE
  • 31.
    CAMPOMELIC DYSPLASIA AD CONDITION BENTLIMB DYSPALSIA MOST CASES ARE LETHAL DUE TO RESPIRATORY INSUFFICIENCY FROM LARYNGOTRACHEOMALACIA IN COMBINATION WITH MILDLY NARROWED THORAX. GENE RESPONSIBLE FOR IT FOUND IN FETAL BRAIN , TESTIS , PERICHONDRIUM AND CHONDROCYTES OF LONG BONES , RIBS.
  • 32.
    SHORT , VENTRALLYBOWED TIBIA , FEMUR , HYPOPLASTIC OR ABSENT FIBULA TALIPES EQUINOVARUS , CDH HYPOPLASTIC SCAPULA NARROWED THORAX 11 PAIR RIBS CLEFT PALATE , MICROGNATHIA CONGENITAL HEART , BRAIN , RENAL ANOMALY
  • 34.
    SHORT RIB POLYDACTYLY SYNDROME SEVEREMICROMELIA DECREASED THORACIC CIRCUMFERENCE POLYDACTYLY CARDIAC , GENITOURINARY ANOMALY ( ALSO IN CAMPOMELIC DYSPLASIA) NORMAL MINERALIZATION NORMAL CRANIAL SIZE D/D …..THANATOPHORIC DYSPLASIA …NO POLYDACTYLY ELLIS- VAN- CREVELD SYNDROME , ASPHYXIATING THORACIC DYSTROPHY…..SHORTENING OF LIMBS AND THORACIC DIAMETER LESS SEVERE
  • 36.
    ACHONDROPLASIA FAILURE OF NORMALENCHONDRAL CARTILAGE GROWTH AT PHYSIS PERIOSTEAL , MEMBRANOUS OSSIFICATION ARE NORMAL • MOST COMMON TYPE OF DWARFISM • AUTOSOMAL DOMINANT DISORDER AND THE MAJORITY OF CASES (75-80%) ARE THE RESULT OF A NEW (DE NOVO) MUTATION , ASSOCIATED WITH AN INCREASE IN PATERNAL AGE.
  • 37.
    RADIOLOGY HEAD LARGE CRANIUM ,THOUGH DECREASED AP DIAMETER – BRACHYCEPHALY NARROW FORAMEN MAGNUM SHORT BASE OF SKULL BASILAR IMPRESSION FACE FRONTAL BOSSING DEPRESSED NASAL BRIDGE NORMAL MANDIBLE ,SO IMPRESSION OF PROGNATHISM
  • 38.
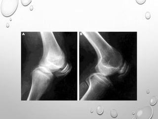
    SCAPULA SQUARED INFERIORLY SHALLOW GEINOID VERTEBRAE LUMBOTHORACICKYPHOSIS LUMBER HYPER LORDOSIS LENGTH GENERALLY NORMAL PLATYSPONDYLY , DISC HEIGHT EQ TO VERTEBRAL BODY POSTERIOR SCALLOPING PEDICLES ARE SORT , THICK , INTERPEDICULAR DISTANCE DECREASED ANGULAR KYPHOSIS AT THORACOLUMBER JUNCTION RESULTING FROM ANTERIOR BEAKING OR BULLET NOSE VERTEBRAE SPINAL CANAL STENOSIS ---- PATHOLOGIC HALLMARK
  • 39.
    RIBS SHORT PELVIS SMALL ILIA ARESHORT CAUDALLY HORIZONTALLY PLACED ACETABULLA , THICKENED Y CARTILAGE LIMBS UL> LL RHIZOMELIC TYPE METAPHYSIS …..SPLAYING , CUPPING GENU VERUM TRIDENT HAND TIBIA , ULNA ARE MORE SHORTENED THAN FIBULA , RADIUS V SHAPED NOTCH IN GROWTH PLATE SHORT , TUBULAR LONG BONES OF HAND AND FEET FINGERS ARE OF SAME LENGTH MENTAL AND SEXUAL DEVELOPMENT ARE NORMAL
  • 44.
    • 1. DYSPLASTICOR SQUARE ILIAC BONES 2. NARROW SACRO-SCIATIC NOTCHES 3. FLAT BILATERAL ACETABULAR ROOFS 4. SHORT BOTH FEMORAL NECKS 5. CHAMPAGNE GLASS- SHAPED PELVIC CAVITY
  • 47.
    CONSIDERING THE INCIDENCEAND POTENTIAL SEVERITY OF NEUROLOGIC SYMPTOMS ASSOCIATED WITH FORAMEN MAGNUM STENOSIS, A BASELINE MRI IS STRONGLY RECOMMENDED IN INFANCY. MRI SHOWING CERVICOMEDULLARY COMPRESSION AT FORAMEN MAGNUM
  • 48.
    HYPOCHONDROPLASIA IT IS CONDRODYSTROPHYWITH AUTOSOMAL DOMINANT INHERITANCE, IS A FORM OF SHORT STATURE. FGFR3 GENE MUTATION IS KNOWN TO BE ASSOCIATED WITH IT. CANNOT BE DETECTED AT BIRTH, MAY REMAIN UNDIAGNOSED • PATIENTS WITH HYPOCHONDROPLASIA ARE SHORT BUT LESS SO THAN THOSE WITH ACHONDROPLASIA • RADIOGRAPHIC FEATURES MAY BE SUBTLE, LEADING TO MISSED DIAGNOSIS IN UP TO HALF OF CASES
  • 49.
    CLINICAL FEATURES • SHORTSTATURE. • SHORTENING OF PROXIMAL (RHIZOMELA) OR MIDDLE (MESOMELIA) SEGMENT OF THE EXTREMITIES. • BROAD, SHORT HANDS AND FEET (BRACHYDACTYLY). • THE ABDOMEN AND BUTTOCKS ARE PROMINENT. • BOW LEGS (GENU VARUS). • SCOLIOSIS. SKULL APPEARS NORMAL • MILD TO MODERATE INTELLECTUAL DISABILITY.
  • 50.
    • SHORTENING OFLONG BONES WITH METAPHYSEAL FLARING. • NARROWING OF INTERPEDICULAR DISTANCE FROM L1 TO L5 WITH SHORT PEDICLES. • BRACHYDACTYLY. • SHORT AND BROAD FEMORAL NECK. • DISTAL FIBULA OVERGROWS AS COMPARED TO DISTAL TIBIA. • SMALL ILIAC BONES.
  • 52.
    PSEUDOCHONDROPLASIA PSEUDOACHONDROPLASIA DEVELOP SHORT-LIMBED DWARFISMIN WHICH BOTH THE EPIPHYSES AND METAPHYSES ARE INVOLVED. PRESENTATION BETWEEN 3 TO 4 YEARS.
  • 53.
    CRANIUM AND FACE– NORMAL NORMAL INTELLIGENCE SPINE - VERTEBRAL BODIES ARE FLAT , IRREGULAR CENTRAL ANTERIOR TONGUE , INTERPEDICULAR DISTANCE ARE MAINTAINED LONG BONES – METAPHYSES FLARED AND BROAD DELAYED APPEARANCE O EPIPHYSES EPIPHYSEAL DYSPLASIA CHARACTERISTIC MEDIAL BEAKING OF FEMORAL NECK PELVIS – ILIA ARE LARGE , FLARED AND SHORT PUBIS , ISCHIUM ACETABULA ARE IRREGULAR , SHALLOW GSN ….WIDE PREMATURE OA HANDS – LONG TUBULAR BONES ARE SHORT THICK , DELAY APPEARANCE OF IRREGULAR EPYPHYSES MARKEDLY SHORTENED ULNA , RADIUS AT WRIST , ESPECIALLY AT CENTER THEY ARE HYOPLASTIC….GIVING V APPEARANCE JOINT LAXITY, INCLUDING CERVICAL SPINE INSTABILITY, GENU VALGUM, GENU VARUM, AND GENU RECURVATUM.
  • 54.
  • 58.
    CLEIDOCRANIAL DYSPLASIA AD MUTATION OFCHR 6 FAULTY OSSIFICATION OF INTRAMEMBRANOUS AND ENCHONDRAL BONES ISCHIO – VERTEBRAL DYSPLASIA : NO CRANIAL , NO CLAVICULAR ABNORMALITY
  • 59.
    CLINICAL FEATURES RECURRENT UTI, OTITIS MEDIA , SINUS INFECTION , DENTAL CARIES , PERIODONTITIS DENTAL PANORAMIC RADIOLOGY IS EFFECTIVE IN IDENTIFYING FEATURES PATHOGNOMONIC FOR CLEIDOCRANIAL DYSPLADSIA.
  • 60.
    RADIOLOGY SKULL IN INFANCY DELAYEDOR ABSENT OSSIFICATION OF CALVARIA BRACHYCEPHALY MULTIPLE WORMIAN BONES WIDENING OF PRIMARY SUTURES – HOT CROSS BUN SIGN SUPRAORBITAL , TEMPORAL SQUAMA , OCCIPITAL REGION ARE THICKENED DEFORMED , ENLARGED FORAMEN MAGNUM FACE SMALL , UNDERDEVELOPED FACIALBONES HYPOPLASTIC SINUS NASAL BONE FAIL TO OSSIFY SMALL MAXILLA , LARGE MANDIBLE DELAYED , DEFECTIVE DENTITION
  • 61.
    THORAX RIBS ARE NORMAL CONESHAPED NARROW THORAX CLAVICLE : 10% ABSENT INVOLVEMENT OF EITHER 3 CENTERS OF OSSIFICATION SCAPULA : SMALL , WINGED , ELEVATED HYPERMOBILE SHOULDERS SPINE BICONVEX VERTEBRAL BODIES SCOLIOSIS , HYPERLORDOSIS , KYPHOSCOLIOSIS SPINA BIFIDA
  • 62.
    PELVIS SMALL , UNDERDEVELOPEDPELVIC BONES SYMPHYSIS PUBIS FAILS TO APPROXIMATE ANTERIORLY FEMORAL HEAD : CHEFS HAT COXA VALGA DEVELOPS INTO COXA VERUS EXTREMITY LONG BONES OF EXTREMITIES ARE LESS COMMONLY INVOLVED MOST MARKED CHANGES ARE NOTED IN HAND ACCESSORY EPIPHYSES FOR BASE OF 2ND METACARPAL …ELONGATE DIGITS. DISTAL PHALANGES ARE TAPERED , HYPOPLASTIC SHORT HEIGHT BUT DWARFISM IS NOT COMMON
  • 66.
    EPIPHYSEAL DYSPLASIA CHONDRODYSPLASIA PUNCTATA DYSPLASIAEPIPHYSEALIS HEMIMELICA EPIPHYSEAL DYSPLASIA MULTIPLEX SPONDYOEPIPHYSEAL DYSLASIA
  • 67.
    CHONDRODYSPLASIA PUNCTATA CHARACTERIZED BYSTIPPLED CALCIFICATIONS WITHIN THE EPIPHYSES IN INFANCY AND ASSOCIATED WITH SHORT STATURE, DRY AND SCALY SKIN, OCCASIONAL HEART DEFECTS, AND CATARACTS. TWO TYPES :1. LETHAL RECESSIVE 2. CONRADI- HUNERMANN SYNDROME : MORE COMMON TYPE / X LINKED DOMINANT / X LINKED RECESSIVE ..RARE
  • 68.
    SPORADIAC CASES FCONRADI HUNERMANN RESULT FROM WOMEN WHO RECEIVED COUMADIN , WARFARIN DURING PREGNANCY. PUNCATATE EPIPHYSEAL CALCIFICATION ….DISAPPEAR WITHIN THE 1ST YEAR OF LIFE , SO IT IS IMPERATIVE THAT DX BE MADE BEFORE DISAPPEARANCE OF THESE CHARACTERISTIC CALCIFICATION PATHOPHYSIOLOGY : EPIPHYSEA HYPERVASCULARITY , MUCOID DEGENERATION , SUBSEQUENT FRAGMENTATION FOLLOWED BY CALCIFICATION AND OSSIFICATION
  • 69.
    LETHAL RECESSIVE FORM AUTOSOMALRECESSIVE FORM F > M ( O.I , FD ) UL>LL SYMMETRIC RHIZOMELIC SHORTENING OF LIMBS METAPHYSES ARE FLARED CATARACT , OPTIC ATROPHY CORONAL CLEFT OF VERTEBRAE DIE IN IST YEAR ….RESPIRATORY FAILURE , TRACHEAL STENOSIS , SPPINAL CORD COMRESSION .
  • 70.
    CONRADI - HUNERMANSYNDROME X LINKED DOMINANT …NORMAL LIFE EXPECTANCY X LINKED RECESSIVE …VERY RARELY SKIN CHANGE : ICTHYOSIS , LINEAR ALOPECIA , NAIL ABNORMALITY ASYMMETRICAL LIMB SHORTENING….MILD FORM METAPHYSE , DIAPHYSES ARE NORMAL SPINE : VERTEBRAL ENDPLATE , CENTRAL STIPPLING RIBS , HYOID , THYROID , BASE OF SKULL ….STIPPLING
  • 73.
    DYSPLASIA EPIPHYSEALIS HEMILELIA TREVOR DIASEASE NONGENETIC ASSOCIATED WITH SCLEROSING SKELETAL DYSPLASIA , BENIGN CARTILAGINOUS LESIONS THREE CATEGORIES : MONOSTOTIC CLASSICAL FORM – MORE THAN ON BONE IN SINGLE LIMB GENERALZSED OR SEVERE FORM – ENTIRE LIMB
  • 74.
    CLINICAL FEATURES PRESENTING DURINGIST DECADE SYMPTOMATIC WHEN ASYMMETRICAL EPIPHYSEAL GROWTH INTERFERE NORMAL RANGE OF JOINT MOTION LIMB SHORTENING , OR LENGTHENING HARD BONY SWELLING REGIONAL MUSCULAR ATROPHY , CLUMSY GAIT
  • 75.
    PREDOMINANTLY LOWER LIMB MONOMELIC MEDIAL> LATERAL MOST COMMON SITES : DISTAL FEMUR , DISTAL TIBIA AND TALUS SMALL BONES OF HAND AND FEET CAN ALSO BE INVOLVED ASYMMETRICAL LOBULATED OVERGROWTH OF EPIPHYSES WHICH IS DESCRIBED AS OSTEOCARTILAGINOUS TUMOR HISTOLOGICALLY.SOMETIMES COMPOSED OF MULTIPLE OSSIFICATION CENTERS , MAY REMAIN SEPARATED FROM THE EPIPHYSES
  • 76.
    RADIOGRAPHS USUALLY DEMONSTRATEA PARTIALLY OSSIFIED, LOBULATED, CARTILAGINOUS MASS ARISING UNILATERALLY FROM THE AFFECTED EPIPHYSIS WITH OR WITHOUT AN OSSEOUS CONNECTION. THE DIAGNOSIS IS USUALLY MADE WITH RADIOGRAPHS, BUT THE LESION CAN BE MISTAKEN FOR AN INTRA-ARTICULAR LOOSE BODY, OSTEOCHONDROMATOSIS, OR SYNOVIAL CHONDROMATOSIS. CT CAN HELP DEFINE THE ANATOMIC RELATIONSHIP BETWEEN THE MASS AND THE HOST BONE, AND MRI CAN SHOW THE EXTENT OF EPIPHYSEAL INVOLVEMENT AND JOINT DEFORMITY AND THE STATUS OF THE ARTICULAR SURFACE. THERE MAY BE A CLEAVAGE PLANE DEMONSTRATED BETWEEN THE LESION AND HOST BONE THAT GRADUALLY OSSIFIES AS THE LESION MATURES
  • 77.
    CORONAL COMPUTED TOMOGRAPHYSCAN OF THE ANKLE DEMONSTRATING IRREGULARLY SHAPED PROTUBERANT BONE (WHITE ARROW) IN THE MEDIAL ASPECT OF THE JOINT (A). AXIAL COMPUTED TOMOGRAPHY SCAN OF THE ANKLE DEMONSTRATING AN IRREGULARLY SHAPED PROTUBERANT BONE LESION OF THE MEDIAL ANKLE JOINT, WITH A PORTION CONNECTED TO THE ANTERIOR TALUS, AND A SECOND LESION MORE POSTERIORLY LOCATED AND A DEFINED CLEFT (BLACK ARROWS) AT THE INTERFACE (B).
  • 78.
    IT IS NOTTO BE CONFUSED WITH HME, WHICH INVOLVE METAPHYSES AND SPARE EPIPHYSES
  • 79.
    EPIPHYSEAL DYSPLASIA MULTIPLEX AD TRANSMISSION EQUALIN MALES AND FEMALES FIRST NOTICED WHEN CHILD BEGINS TO WALK , WITH COMMON COMPLAINTS OF WADDLING GAIT , DIFFICULTY RUNNING. MILDER CASES MAY NOT APPARENT UNTIL EARLY ADULTHOOD , WHEN PREMATURE JOINT DEGENERATIVE CHANGES OCCURS. PATHOPHYSIOLOGY : ABNORMALITY OF EPIPHYSEAL CHONDROCYTES ( NO DECREASED , ABNORMAL ARRANGEMENT )….LEADING TO DELAYED AND DISORDERLY OSSIFICATION F EPIPHYSES.
  • 80.
    LL >> UL SHORTSTATURE WITH TENDENCY TOWARDS DWARFISM BILATERAL SYMMETRICAL INVOLVEMENT DEVELOPMENT OF EPIPHYSES DELAYED APPEARANCE IS MOTTLED WITH IRREGULAR MINERALIZATION FLATTENED AND SQUARED-OFF EPIPHYSES DOUBLE LAYERED PATELLA……PATHOGNMONIC HYPOPLASTIC TIBIAL AND FEMORAL CONDYLES WITH SHALLOW INTERCONDYLAR NOTCH METAPHYSES ARE FLARED CARPALS , TARSALS AND LONG TUBULAR BONES OF HAND ,SOMETIMES FEET ARE SHORT AND THICK SPINE : ANTERIOR WEDGING , SCOLIOSIS
  • 81.
    IRREGULAR EPIPHYSES LEADSTO PREMATURE AND SEVERE DEGENERATIVE CHANGE ESPECIALLY IN KNEES AND HIPS. D/D LEGG-CLAVE-PARTHES MORQUIO CRETINISM SED PSEUDOCHONDROPLASIA
  • 85.
    SPONDYLOEPIPHYSEAL DYSPLASIA . SPONDYLOEPIPHYSEAL DYSPLASIA(SED) IS A DESCRIPTIVE TERM FOR A GROUP OF DISORDERS WITH PRIMARY INVOLVEMENT OF THE VERTEBRAE AND EPIPHYSEAL CENTERS RESULTING IN A SHORT-TRUNK DISPROPORTIONATE DWARFISM. TWO MAJOR TYPES OF SED ARE RECOGNIZED, NAMELY, SED CONGENITA AND SED TARDA. SED, METATROPIC DYSPLASIA, AND KNIEST SYNDROME ARE CONSIDERED SHORT-TRUNK DWARFING CONDITIONS
  • 86.
    SED CONGENITA PRESENT ATBIRTH FACE : FLAT , WIDELY SPACED EYES CLEFT PALATE HEARING LOSS OCCULAR INVOLVEMENT : MYOPIA , RD NECK : SHORT SPINE : PEAR SHAPED VERTEBRAE WITH AGE - PLATYSPONDYLY THIN DISC SCOLIOSIS , SEVERE KYPHOSIS , HYPERLORDSIS ODONTOID HYPOPLASIA , OCCASIONAL NON UNION OF ODONTOID….CERVICAL INSTABILITY
  • 87.
    PELVIS : LACKOF OSSIFICATION OF PUBIC BONE , ILIAC WINGS ARE SHORT ACETABULAR ROOF HORIZONTAL , IRREGULAR LIMBS : OSSIFICATION OF FEMORAL HEAD IS GREATLY RETARDED THROUGHOUT CHILDHOOD DELAYED APPEARANCE OF DISTAL FEMUR , PROXIMAL TIBIA , CALCANEUM , TALUS RHIZOMELIC SHORTENING METAPHYSES ARE FLARED IRREGULAR EPIPHYSESE MATURATION OF CARPALS AND TARSALS MAY BE RETARDED
  • 90.
    SED TARDA X LINKEDRECESSIVE PRESENT AROUND 5 – 10 YEARS MILD LOSS OF STATURE SPINAL AND PELVIC CHANGES ARE LESS SEVERE HEAPED UP VERTEBRAE : HYPEROSTOTIC BONE DEPOSITED ON POSTERIOR 2/3 OF ENDPLATES…..
  • 91.
  • 93.
    FIBRODYSPLASIA OSSIFICANCE PROGERSSIVA DISABLING GENETICDISORDER OF CONNECTIVE TISSUE. USUALLY SPORADIAC MUNCHMEYER DISEASE PRESENTATION : USUALLY DURING IST YEAR OF LIFE CONGENITAL DIGITAL ANOMALIES TORTICOLIS ( MOST COMMON C/F) TRIVIAL TRAUMA – FEVER , INFLAMMATORY SOFT TISSUE MASSES – PROGRESSIVE OSSIFICATION LEADING TO RESTRICTED JOINT MOVEMENT
  • 94.
    PATHOLOGY : LACKOF CIRCULATORY INHIBITORS OR PRIMARY DEFECT IN COLLAGEN. PAINFUL SOFT TISSUE MASS COLLAGEN DEPOSITS ORGANIZE AND CALCIUM SALT ACCUMULATE WITHIN IT. LAMELLAR , WOVEN BONE FORMATION ….REPLACE SMOOTH MUSCLE, TENDON ,FASCIA ,LIGAMENTS
  • 95.
    CONGENITAL DIGITAL ANOMALY MICRODACTYLYOF IST TOE ..75% CASES , SOMETIME THUMB ( ABSENCE , SHORT PHALANX , SYNOSTOSIS) HALLUX VALGUS CLINODACTYLY ECTOPIC OSSIFICATION COLUMN OF BONES REPLACES LIGAMENTS , FASCIA , TENDONS INTERVERTEBRAL DISC …HYPOPLASTIC , CALCIFIED HYPOPLASTIC ANKYLOSED VERTEBRAL BODIES (HYPOPLASIA DUE TO EARLY OSSIFICATIONOF SOFT TISSUE LEADS TO PREMATURE FUSION OF CERVICAL GROWTH PLATE CENTERS) BROAD FEMORAL NECK
  • 97.
    INFANTILE CORTICAL HYPEROSTOSIS • CAFFEY’SDISEASE • SELF LIMITING DISORDER CHARACTERIZED BY SOFT TISSUE SWELLING, SUBPERIOSTEAL NEW BONE FORMATION, CORTICAL THICKENING OF UNDERLYING BONES, FEVER, AND IRRITABILITY • ONSET OF THE DISEASE OCCURS <5 MONTHS , WITH RESOLUTION BY 3 YEARS OF AGE • TYPES : SPORADIC FORM(MANDIBLE AFFECTED), MIMICKING INFECTION FAMILIAL FORM(TIBIA AFFECTED), AD, • A PRENATAL FORM, LACK OF FRACTURES DISTINGUISHES THIS FROM OSTEOGENESIS IMPERFECTA
  • 98.
    CLINICAL TRIAD OF….HYPERIRRITABILITY SOFT TISSUE SWELLING( EXTREMELY TENDER BUT LACK OF WARMTH AN DISCOLORATION) PALPABLE HARD MASS OVER AFFECTED BONE FEVER , ANEMIA , ELEVATED ALP ESR REMISSION , EXACERBATION ARE COMMON MOST COMMONLY INVOLVED BONE ….MANDIBLE > CLAVICLE > RIBS. AMONG LONG BONE ULNA MOST COMMON VERTEBRAE , CARPALS , TARSALS , PHALANGES , EPIPHYSES ---- NEVER INVOLVE
  • 99.
    Differential Diagnosis Features Resembling those ofCaffey Disease Features Distinct from those of Caffey Disease Osteomyelitis Similar MRI findings of soft tissue and marrow edema, periosteal reaction Usually only affects 1 bone for a given clinical period, bone destruction and sclerotic bony changes Leukemia Pronounced periosteal bone formation Lytic bone lesions, radiolucent metaphyseal bands Hypervitaminosis A Periosteal new bone formation typically along the diaphysis of long bones Characteristic clinical/radiographic findings at the end of the first year, mandible not involved, increased blood level of vitamin A Healing rickets Stripelike density that parallels the outer cortical margin of long bones, resembling a periosteal reaction Splaying and irregularity of the metaphysis, slower resolution of clinical and radiographic findings Periosteal new bone Malignant features of bone
  • 100.
    • X RAY: •PLAIN RADIOGRAPHS MAY SHOW SOFT-TISSUE SWELLING AND/OR CORTICAL HYPEROSTOSIS (WITH DOUBLING OR TRIPLING OF THE NORMAL WIDTH OF THE BONE). • THE PERIOSTEAL REACTION PROGRESSES TO SUBPERIOSTEAL NEW BONE FORMATION. • OSSEOUS BRIDGING AND FUSION OF CORTICAL WALLS • MRI: • USEFUL WHEN INFECTION OR NEOPLASIA ARE CONSIDERED MORE LIKELY DIAGNOSES. • MRI MAY BE USED TO EXCLUDE SUBPERIOSTEAL HEMORRHAGE; MRIS DEPICT HEMORRHAGE WITH SUBSEQUENT NEW BONE FORMATION, AS SEEN WITH DIFFERENTIAL DIAGNOSES (EG, TRAUMA, SCURVY). • BONE SCAN: . ACCUMULATION OF THE RADIOPHARMACEUTICAL IN THE INVOLVED BONES IN SYMMETRICAL FASHION , IS MARKEDLY INCREASED DURING THE ACTIVE PHASE OF THE DISEASE.
  • 101.
    RESIDUAL CHANGE FACIAL ASYMMETRY, LONGITUDINAL GROWTH DISTURBANCES , MEDULLARY EXPANSION , UNDERTUBULATION , OSSEOUS BRIDGING D/D CHILD ABUSE PROGRESSIVE DIAPHYSEAL DYSPLASIA
  • 105.
    MARFAN’S SYNDROME DEFECT INFIBRILIN-1 GENE ON CHROMOSOME 5 CLINICAL FEATURES : LONG SLENDER SKELETON LL>UL NORMAL TRUNK DISTAL PORTIONS > PROXIMAL PORTIONS MENTAL CAPACITY NORMAL SPARSE SUBCUTANEOUS TISSUE , MUSCULAR HYPOPLASIA , JOINT LAXITY ,DISLOCATION DOLYCHOCEPHALY ECTOPIA LENTIS ,MYOPIA AR , AORTIC ANEURYSM , ASD INCREASED METACARPAL INDEX
  • 106.
    RADIOLOGY SKULL : DOLYCHOCEPHALY FACE: ELONGATED , PROMINENT JAW LIMBS : LL>UL ACRODACTYLY OR SPIDER LIKE FINGERS : TUBULAR BONES OF HAND , FEET LONG , SLENDER , GRACILE , OSTEOPENIA PELVIS : ACETABULAR PROTRUSION..U/L OR B/L SPINE : SEVERE SCOLIOSIS , KYPHOSCOLIOSIS SPINAL CANAL WIDENED >50% OF CASES POSTERIOR VERTEBRAL SCALLOPING PEDICLE , LAMINA ARE SLENDER INTERPEDICULAR DISTANCE INCREASED THESE ARE DUE TO DURAL ECTASIA
  • 107.
    THORAX PECTUS EXCAVATUM PECTUSCRANIATUM ELONGATED RIBS D/D LOEYS DIETZ SYNDROME HOMOCYSTINURIA…..OVERGROWTH OF CARPAL EPIPHYSES MEN II B
  • 109.
    EHLER DANLOS SYNDROME RARECONNECTIVE TISSUE DISORDER DUE GREATLY DIMINISHED AMOUNT OF COLLAGEN-III TYPE IV IS MOST SERIOUS : EXTREME VASCULAR FRAGILITY MINIMAL JOINT INVOLVEMENT THIN SKIN
  • 111.
    CLINICAL FEATURES TALL STATURE HYPERELASTICITY,FRAGILITY OF SKIN…..CIGARETTE PAPER SKIN SUBCUTANEOUS NODULES LIMBS: HYPEREXTENSION OF HIP , WRIST JOINT , KNEE GENU RECURVATUM HYPERABDUCTION OF THUMB PES PLANUS PECTUS CRANIATUM , EXCURVATUM CVS : TOF , AORTIC DISSECTION, AORTIC ANEURYSM , AVF , VARICOSE VEIN RSP : PUL HYPERTENSION , BRONCHIECTASIS , SPONTANEOUS PNEUMOTHORAX
  • 112.
    DILATATION OF BOWELAS WELL A SPONATNEOUS PERFORATION RADIOLOGY : BONE DENSITY DECREASED SKIN : CALCIFIED SUBCUTANEOUS NODULES SPINE : PLATYSPONDYLY DURAL ECTASIA POSTERIOR VERTEBRAL SCALLOPING SCOLIOSIS SPONDYLOLYTIC SPNDYLOLISTHESIS ACROLYSIS
  • 117.
    METAPHYSEAL DYSPLASIA RARE ARDISORDER CHARACTERIZED BY SPLAYING OR FLARING OF ENDS OF LONG BONES # CRANIOMETAPHYSEAL DYSPLASIA IS MORE SEVERE DISORDER …. MENTAL RETERDATION , CRANIAL NERVE PALSY , HEMIPLAGIA OR QUADRIPLAGIA CLINICAL FEATURE : LATE CHILDHOOD TALL STATURE BULBOUS ENLARGEMENT OF LOWER EXTREMITY JOINTS JOINT PAIN , CONTRACTURRE GENU VALGUM PATHOPHYSIOLOGY : CONGENITAL HYPERPLASIA OF PERICHONDRIAL
  • 118.
    RADIOLOGY LL> UL BONE DENSITYNORMAL MOST COMMONLY INVOLVED BONES ARE….DISTAL FEMUR , PROXIMAL TIBIA , FIBULA IN UPPER EXTREMITY ….PROXIMAL HUMERUS , DISTAL ULNA , RADIUS SMALL TUBULAR BONES OF HAND , FEET STERNAL ENDS OF CLAVICLE , RIBS METAPHYSEAL SPLAYING OR AN ERLENMEYER FLASK DEFORMITY SINUS HYPOPLASIA HYPEROSTSIS OF CALVARIA , MANDIBLE
  • 120.
    NAIL PATELLA SYNDROME ADDISORDER OF ECTODERMAL , MESODERMAL TISSUE OSTEO-ONYCHO-DYSOSTOSIS , FONG DISEASE CLINICAL FEATURE : NAIL – 80-90% OF PATIENTS HAVE NAIL ABNORMALITIES BILATERALLY SYMMETRICAL WITH ABSENT OR DYSPLASTIC NAILS. THIS FINDING IS PRESENT AT BIRTH. SOFT TISSUE – JOINT CONTRACTURE , IRIS PIGMENT , HAND AND FEET WEB HAND – CLINODACTYLY , SHORT 5TH METACARPAL LOSS OF DIP SKIN CREASES WAS SEEN IN 96% OF PATIENTS HYPEREXTENSION OF THE PIP JOINT AND FLEXION OF THE DIP JOINTS, RESULTING IN “SWAN NECKING”, WAS SEEN IN 58% (69/118) OF PATIENTS ELBOW – INCREASED CARRYING ANGLE , ELBOW PTERYGIA KNEE – PALPABLE ABSENCE OF PATELLA RENAL – DYSPLASIA
  • 121.
    RADIOLOGY PELVIS : BILATERALPOSTERIOR ILIAC HORNS ORIGINATE FROM SEPARATE OSSIFICATION CENTER…..PATHOGNOMONIC KNEE : HYPOPLASTIC OR ABSENT PATELLA ASYMMETRIC DEVELOPMENT OF FEMORAL CONDYLES ELBOW : LATERAL EPICONDYLE OF DISTAL HUMERUS , CAPITULUM ARE HYPOPLASTIC ….PRODUCING INCREASED CARRYING ANGLE , DISLOCATION OF RADIAL HEAD. HAND : CLINODACTYLY SHORT 5TH METACARPAL
  • 124.
    MASSIVE OSTEOLYSIS OF GORHAM VANISHINGBONE DISEASE USUALLY EVIDENT BEFORE 50 YEARS PATHOPHYSIOLOGY : BONE IS REPLACED BY ANGIOMATOUS TISSUE - VASCULAR FIBROUS TISSUE – BONE RESORPTION DUE TO HYPERVASCULARITY AND INCREASE IN OSETOCLAST NUMBER. CLINICAL FEATURE : SUDDEN ONSET PAIN OR INSIDIOUS PROGRESSIVE DULL PAIN WITH SOFT TISSUE ATROPHY PATHOLOGIC FRACTURE
  • 125.
    RADIOLOGY INITIALLY SUBCORTICAL ,INTRAMEDULLARY RADIOLUCENT FOCI PROGRASSIVE DESTRUCTION POINTED OR TAPERED ENDS OF LONG BONES FRAGMENTATION ., FRACTURE SOFT TISSUE ATROPHY ,PHLEBOLITH D/D METASTATIC NEUROBLASTOMA HISTIOCYTOSIS LYMPHANGIOMATOSIS OF BONE FIBROUS DYSPLASIA
  • 128.
    HURLER’S DISEASE DYSOSTOSIS MULTIPLEX, OSTEOCHONDRODYSTROPHY CLINICAL FEATURES :
  • 129.
    RADIOLOGY SKULL : MACROCEPHALY THICKCALVARIA J SHAPED SELLA HYDROCEPHALUS PREMATURE CLOSURE O SUTURES FACE : FACIAL BONES ARE SMALL MANDIBULAR ANGLE IS WIDENED RIBS : SPATULATED APPEARANCE
  • 130.
    SPINE : DYSPLASTICODONTOID …. ATLANTOAXIAL SUBLUXATION SHORT AP DIAMETER OF VERTEBRAL BODIES BICONVEX BODIES INFERIOR BEAKING LONG , SLENDER PEDICLES NARROW FORAMEN MAGNUM PELVIS : FLARED ILIA FEMORAL EPIPHYSES ARE DYSPLASTIC COXA VALGA
  • 131.
    LIMBS : UL> LL VARUS DEFORMITY OF HUMERUS….CHARACTERISTIC LONG BONES WIDENED DIAPHYSES OSTEOPOROSIS HAND : PROXIMAL ENDS OF METACARPALS TAPER AND IN OLDER CHILDREN DISTAL END OF RADIUS , ULNA SLOPE TOWARD EACH OTHER. METACARPALS , PHALANGES ARE SHORT AND WIDE
  • 133.
  • 134.
    CLINICAL FEATURES DWARFISM NORMAL MENTALSTATUS SHORT NECK DEPRESSED NASAL BRIDGE , SHORT NOSE , HYPERTELORISM , WIDE MAXILLA DEFORMED POORLY SPACED TEETH PECTUS EXCAVATUM KYPHOSCOLIOSIS GENU VALGUM HIP DISLOCATION
  • 135.
    RADIOLOGY SPINE : CENTRALANTERIOR BEAKING….PATHOGNOMONIC PLATYSPONDYLY HYPOPLASTIC , POSTERIORLY DISPLACED L1 , L2 AGENESIS OR HYPOPLASTIC ODONTOID PELVIS : HYPOPLASTIC , IRREGULAR ACETABULI , CAPITAL FEMORAL EPIPHYSES WIDE FEMORAL NECK HIP DISLOCATION LIMBS : LONG TUBULAR BONES ARE SHORT AND THICK IRREGULAR METAPHYSES , EPIPHYSES IRREGULAR CARPALS , TARSALS BONE DENSITY IS NORMAL
  • 136.
    MAJOR D/D ISSPONDYLOEPIPHYSEAL DYSPLASIA PSEUDOACHONDROPLASIA
  • 138.
    OSTEOGENESIS IMPERFECTA INHERITABLE DISORDEROF CONNECTIVE TISSUE WITH WIDESPREAD ABNORMALITIES. QUANTITATIVE AND QUALITATIVE DEFECT IN THE SYNTHESIS OF COLLAGEN - 1 CLINICAL FEATURE : OSTEOPOROSIS WITH ABNORMAL FRAGILITY OF THE SKELETON BLUE SCLERA ABNORMAL DENTITION PREMATURE OTOSCLEROSIS TWO FORMS : CONGENITA – HIGH RATE OF STILLBORN AND INFANTILE MORTALITY TARDA FORM – NORMAL LIFE EXPECTANCY THESE TWO FORMS REFER TO PRESENCE OR ABSENCE OF OSSEOUS DEFORMITIES AT BIRTH. PRESENCE OR ABSENCE OF BOWING DEFORMITY OF LONG BONE IS USEFUL TO GUIDE SEVERITY OF DISEASE
  • 139.
  • 140.
    CLINICAL FEATURE F>M BLUE SCLERAE– APPEARANCE OF BROWN CHOROID WHEN SEEN THROUGH THE ABNORMAL COLLAGEN IN THIN SCLERA BLUISH GRAY TO YELLOWISH BROWN OPALESCENT TEETH , REFERRED TO AS DENTIGEROUS IMPERFECTA OTOSCLEROSIS ABNORMAL TEMPERATURE REGULATION GROWTH RETARDATION SEVERELY AFFECTED INDIVIDUALS ARE DWARFED ….ABNORMAL GROWTH PATTERN , SEVERE FRACTURES , DEFORMITIES
  • 141.
    PATHOPHYSIOLOGY : ABNORMALMATURATION AFFECTING BOTH ENCHONDRAL , MEMBRANOUS BONES PRIMITIVE FETAL COLLAGEN , BONE ARE NOT REPLACED BY MATURE LAMELLAR , WOVEN BONE RADIOLOGY : DIFFUSE DECREASE IN BONE DENSITY , PENCIL THIN CORTEX , MULTIPLE FRACTURES , WRINKLED CONTOUR ANGULATION. ON USG - BONES MAY APPEAR THICKENED…DEMINERALIZED BONE REFLECTS SOUND WAVE LESS THAN A NORMAL BONE BRIGHT FALX SIGN BONES MAY BE - THIN AND GRACILE….MOST COMMON SHORT , THICK DUE TO FRACTURE DEFORMITY CYSTIC TYPE ….OSTEOPENIC , FLARED METAPHYSES SKULL – ENLARGED SKULL WORMIAN BONE
  • 142.
    THORAX DECREASED THORACIC CIRCUMFERENCE CONCAVETHORACIC CONTOUR SPINE BICONCAVE OR FLATTENED VERTEBRAE ANTERIOR WEDGING KYPHOSCOLIOSIS EXTREMITY – LL > UL MULTIPLE FRACTURE SOFTEN TRANSVERSE HEALING WITH TUMORAL CALLUS FORMATION MISTAKEN FOR OSTEOSACOMA
  • 144.
    ABSENT CALVARIA ,NASAL BONE OSSIFICATION
  • 147.
    HOLT ORAM SYNDROME AD STRONGFAMILIAL TRANSMISSION HEART – HAND SYNDROME SKELETAL ABNORMALITY DO NOT INVOLVE LL RADIOLOGY : HYPPLASTIC CLAVICLE, SCAPULA, HUMERI HYPOPLASTIC OR ABSENT RADIUS RADIO-ULNAR , HUMERO-ULNAR SYNOSTOSIS ABSENT THUMB TRIPHALANGEAL THUMB EXTRA CARPALS , CARPAL FUSION
  • 149.
    MELORHEOSTOSIS AN UNCOMMON MESENCHYMALDYSPLASIA MANIFESTING AS REGIONS OF SCLEROSING BONE WITH A CHARACTERISTIC , WAX FLOWING DOWN A LIGHTED CANDLE LESIONS FOLLOW SCLEROTOMES , MYOTOMES THAT ARE SUPPLIED BY PARTICULAR SPINAL SENSORY NERVE. CLINICAL FEATURE : PRESENT AT LATE CHILDHOOD SLOW , CHRONIC COURSE PAIN IS MAIN PRESENTING SYMPTOM MONOMELIC JOINT CONTRACTURE , DEFORMITY , RESTRICTED MOVEMENT GENU VARUM , GENU VALGUM SEVERE INVOLVEMENT IN CHILDREN LEAD TO PREMATURE CLOSURE
  • 150.
    SKIN CHANGE :SCLERODERMA LIKE ATROPHY , MUSCLE ATROPHY ANOMALOUS PIGMENTATION VESSEL , LYMPHATIC OCCLUSION BURSITIS SOFT TISSUE CHANGES MAY PRECEDE OSSEOUS FINDINGS RADIOLOGY USUALLY MONOMELIC LL>UL SITE –BOTH ENCHONDRAL , MEMBRANOUS BONES ARE INVOLVE LONG BONES , SKULL , FACIAL BONES , RIBS , VERTEBRAE , PELVIS , SCAPULA ENDOSTEAL HYPEROSTOSIS…CHILDREN PERIOSTEAL HYPEROATOSIS….ADULT BOTH ENCHONDRAL , MEMBRANOUS BONES ARE INVOLVE • THICK UNDULATING RIDGES OF BONE, REMINISCENT OF MOLTEN WAX • CONFINED TO SCLEROTOMES, AND CAN BE SEEN APPARENTLY FLOWING ACROSS JOINTS TO THE NEXT BONE. • USUALLY ALONG ONE SIDE • INTRAMEDULLARY EXTENSION
  • 151.
    IN PELVIS ,SCAPULA SCLEROTIC BONE IN THE FORM OF DENSE RADIATION FROM JOINT CARPALS , TARSALS – MULTIPLE BONE ISLANDS RESEMBLE OSTEOPOIKILOSIS HETEROTROPIC BONE FORMATION SOFT TISSUE CALCIFICATION….LEAD TO BONY ANKYLOSIS SCINTIGRAPHY : INCREASED UPTAKE PRSENT ON LATE PHASE OF BONE SCAN ASSOCIATION : OSTEOPOIKILOSIS , OATEOPATHIA STRIATA , T S , HEMANGIOMA , LINEAR SCLERODERMA , AVF
  • 152.
    D/D • MYOSITIS OSSIFICANSE •OSTEOMA • FOCAL SCLERODREMA • PERIOSTEAL OSTEOSARCOMA • CAFFEY,S DISEASE • SCLEROTIC METASTASIS
  • 158.
    OSTEOPATHIA STRIATA VOORHOEVE DISEASE LINEARDENSE STRIATION IN METAPHYSES AND DIAPHYSES OF BONES CLINICAL FEATURE : DITECTED INCIDENTALLY VAGUE PAIN RADIOLOGY : LONG BONES ARE MOST COMMONLY INVOLVED SHORT TUBULAR BONES OF HAND AND FEET , SKULL , ILIUM , SPINE USUALLY BILATERAL LENGTH RELATED TO RATE OF GROWTH VERTICAL RADIOPAQUE LINES IN METAPHYSES EXTENDING IN SOME DISTANCE IN DIAPHYSES ( CELERY STALK METAPHYSES ) FAN LIKE RADIATING LINES FROM ACETABULA TO ILIAC CREST….SUNBURST
  • 160.
    ASSOCIATION : MELORRHEOSTOSIS , OSTEOPETROSIS GOLTZSYNDROME – FOCAL DERMAL HYPOPLASIA SCINTIGRAPHY : OLD BONE REMODELING – NOT ASSO WITH INCREASED UPTAKE D/D : OSTEOPETROSIS OSTEOPOIKILOSIS RUBELLA , SYPHILIS , CMV
  • 161.
    OSTEOPETROSIS RARE HEREDITARY ANDFAMILIAL BONE ABNORMALLITY CHARACTERIZED BY LACK OF RESORPTION OF NORMAL PREMITIVE OSTEOCHONDRAL TISSUE CLASSIFICATION - MALIGNANT - AR BENIGN OR TARDA: ALBERS-SCHÖNBERG DISEASE = MARBLE BONE DISEASE - INTERMEDIATE FORM - ASSOCIATED WITH RENAL TUBULAR ACIDOSIS
  • 162.
    INFANTILE AUTOSOMAL RECESSIVEOSTEOPETROSIS IS THE MORE SEVERE FORM THAT TENDS TO PRESENT EARLIER. HENCE, IT IS REFERRED TO AS "INFANTILE" AND "MALIGNANT“, COMPARED TO THE AUTOSOMAL DOMINANT OSTEOPETROSIS.
  • 163.
    Those who survivechildbirth present with : • failure to thrive • cranial nerve entrapment • snuffling (nasal sinus architecture abnormalities) • hypercalcaemia • pancytopenia (anemia, leukopenia and thrombocytopenia) • hepatosplenomegaly (extramedullary haemopoesis) • intracerebral hemorrhage (thrombocytopenia) • lymphadenopathy optic atrophy hearing loss ostomyelitis of mandible CLINICAL FEATURES
  • 164.
    PATHOPHYSIOLOGY : UNRESPONSIVENESSOF OSTEOCLAST TO PTH FAILURE OF NORMAL RESORPTIVE MECHANISM PREMITIVE CALCIFIED CARTILAG EREMAIN, MEDULLARY SPACE IS NEVER ALLOWED TO FORM RADIOLOGY : GENERALIZED SCLEROSIS OF SKELETON = HOMOGENIOSLY INCREASED DENSITY LACK OF TRABECULA LITTLE OR NO DIFFERENTIATION BETWEEN CORTEX , MEDULLA STRIATIONS PRODUCE BONE WITH BONE APPEARANCE SKULL – MACROCRANIA CALVARIALA , BASILAR THICKENING AND SCLEROSIS POORLY FORMED SINUSES ENDOBONES ARE FREQUENTLY SEEN IN SPHENOID , OCCIPITAL REGION
  • 165.
    LIMBS – LONGBONES ARE SCLEROTIC MULTIPLE HORIZONTAL FRACTURES VERTICAL , HORIZONTAL STRIATIONS OF NORMAL BONES INTERSPERSED WITH PRIMITIVE TISSUE LONG TUBULAR BONES OF HAND AND FEET ARE ALSO INVOLVED METAPHYSEAL FLARING SPINE – UNIFORMLY DENSE SANDWICH VERTEBRA – DENSE BANDS ADJACENT TO ENDPLATES BONE WITHIN BONE PELVIS – MULTIPLE DENSE CURVED LINES PARALLELING THE ILIAC CREST
  • 166.
    Chest radiograph inan infant demonstrates overall increased density of osseous structures due to accumulation of immature Generalized increased density of bones & alternating areas of increased & decreased density in metaphyses (bone-within-bone appearance).
  • 167.
    Spine radiographs revealclassic sandwich vertebrae of osteopetrosis (red arrows). This is manifested as thickening and sclerosis of the vertebral endplates, and of the bone adjacent to the endplates. There is also marked thickening of the posterior vertebrae (yellow arrows), especially in the vertebral arch.
  • 168.
    Lateral radiograph ofthe skull reveals diffuse thickening of the calvarium, most significant in the region of the occiput. The partially visualized upper cervical vertebrae and maxilla are also dense and thickened.
  • 172.
    OSTEOPOIKILOSIS AD CAN BE PRESENTAT ANY AGE. PATHOLOGY : LESIONS ARE FOCI OF COMPACT LAMELLAR BONE ….THAT FAIL TO BECOME CANCELLOUS DURING THE COURSE OF GROWTH AN DIFFERENTIATION. CLINICAL FEATURE : ASYMPTOMATIC JOINT PAIN + -- EFFUSION RADIOLOGY : BILATERAL SYMMETRICAL UNIFORM SIZE LONG TUBULAR BONES , CARPALS , TARSALS JUXTARTCULAR REGIONS INVOLVING BOTH METAPHYSES AN EPIPHYSES IN PELVIS , SCAPULA LESIONS ARE FOUND ADJACENT TO ACETABULUM AND GLENOID SMALL ROUND OR OVOID OPACITIES D/D – BONE ISLAND , BLASTIC METS , MASTOCYTOSIS
  • 173.
    SKIN FINDINGS :25% DERMATOFIBROMATOSIS LENTICULARIS DISSEMINATA SCLERODERMA LIKE LESIONS KELOID FORMATION ASSOCIATION : MELORRHEOSTOSIS OSTEOPATHIA STRIATA RISK FOR OSTEOSARCOME SCINTOGRAPHY : DO NOT MONSTRATE ANY UPTAKE
  • 175.
    PROGRESSIVE DIAPHYSEAL DYSPLASIA AD INCREASED OSTEOBLASTICACTIVITY FUSIFORM THICKENING OF DIAPHYSES SPARING METAPHYSESA AND EPIPHYSES CLINICAL FEATURE : PRESENT IN 1ST DECADE BONE TENDERNESS EXTREME WEAKNESS , MALNUTRITION…..USUALLY RESOLVE AFTER ADOLESCENT INCREASE ESR , ALP , CPK
  • 176.
    RADIOLOGY BILATERALLY SYMMETRICAL ENCHONDRAL BONE> MEMBRANOUS BONES SITE : DIAPHYSES OF LONG BONES …..METAPHYSES , EPIPHYSES ARE GENERALLY SPARED CALVARIA , SPINE , RIBS , CLAVICLA PELVIS , CARPALS , TARSALS …..NEVER INVOLVE LONG BONE : WIDENING OF DIAMETER OF DIAPHYSES ENCROACHING ON THE MEDULLARY CANAL CRANIUM : CALVARIAL , BASILAR SCLEROSIS SPINE : POSTERIOR ASPECT OF VERTEBRAL BODY , POSTERIOR ARCH BUT WITHOUT STENOSIS ENDOSTEAL INVOLVEMENT IS MORE PRONOUNCED THAN PERIOSTEAL INVOLVEMENT COMPLICATION - INCREASED INTRACRANIAL PRESSURE ,
  • 178.
  • 179.
    AD SIMILARITIES WITH CLEIDOCRANIALDYSPLASIA , OSTTEOPETEOSIS CHARACTERIZED BY GENERALIZED INCREASE IN BONE DENSITY WITH PRESERVATION OF MEDULLARY CAVITY WITH SHORT STATURE RADIOLOGY : SKULL – MACROCRANIA NUMEROUS WORMIAN BONES SUTURES REMAIN OPEN WIDE ANTERIOR FONTANELLE FACE - SMALL FACE PROMINENET FOREHEAD BEAKED NOSE HYPOPLASTIC FACIAL BONES AND SINUSES ABNORMAL DENTITION , OSTEOMYELITIS OF MANDIBLE
  • 180.
    SPINE – SCOLIOSIS HYPERLORDOSIS, KYPHOSIS , BLOCK VERTEBRAE ESPECIALLY AT CRANIOVERTEBRAL , LUMBOSACRAL JUNCTION SPOOL SHAPED VERTEBRAE SPONDYLOLYSIS OF C2 LONG BONES – OSTEOSCLEROSIS WITH PRESERVATION OF MEDULLARY CAVITY TRANSVERSE FRACTURE MADELUNG DEFORMITY CLAVICLE – HYPOPLASIA OR ABSENCE OF LATERAL END OF CLAVICLE HAND AND TOE – SHORT AND STUBBY FINGERS ACROOSTEOLYSIS
  • 182.
    • PYKNODYSOSTOSIS.(A) THESKULL SHOWS FAILURE OF SUTURAL FUSION AND SCLEROSIS OF THE BASE. THE ANGLE OF THE MANDIBLE I S OBTUSE AND THE MAXILLA HYPOPLASTIC (SEE CH. XX). (B) THE LUMBAR VERTEBRAL BODIES SHOW A SPOOL SHAPE WITH QUITE PROMINENT ANTERIOR DEFECTS. OVERALL THERE
  • 183.
    DIASTROPHIC DYSPLASIA A TYPEOF SHORT LIMB SKELETAL DYSPLASIA RELATIVELY INCREASED PREVALENCE IN FINLAND RADIOLOGY : MICROMELIA – RHIZOMELIC TYPE HITCH HIKER THUMB MULIPLE POSTURAL DEFORMITY , JOINT CONTRACTURE KYPHOSCOLIOSIS LONG BONES – RHIZOMELIC SHORTENING CRESCENT SHAPED FLATTENED EPIPHYSES CLUB FOOT CAULIFLOWER EAR DOUBLE LAYERED MANUBRIUM ....SPECIFIC FOR IT
  • 185.
    ASPHYXIATING THORACIC DYSPLASIA JEUNE SYNDROME,IS A TYPE OF RARE SHORT LIMB SKELETAL DYSPLASIA, WHICH IS PRIMARILY CHARACTERIZED BY A CONSTRICTED LONG NARROW THORACIC CAVITY, CYSTIC RENAL DYSPLASIA AND CHARACTERISTIC SKELETAL FEATURES RADIOLOGY : SHORT NARROW ELONGATED CHEST SHAPE HIGH RIDING CLAVICLES ( HANDLEBEAR CLAVICLE) POLYDACTYLY ……POST AXIAL SHORT LIMBS ...RHIZOMELIC DYSPLASTIC ACETABULA WITH FLAT ACETABULAR ROOF TYPICAL 3 PONT APPEARANCE OF LOWER END OF PLELVIS SHORT AND FLARED ILIAC BONES ISCHIAL AND PUBIC BONES WITH MEDIAL AND LATERAL SPURS
  • 188.
    ELLIS VAN CREVELDSYNDROME CHNDROECTODERMAL DYSPLASIA RADIOLOGY NARROWING OF THORAX WITH SHORT RIBS POLYDACTYLY – TENDS TO BE POSTAXIAL MILD TO MODERATE MICROMELIA – MESOMELIC TYPE CHD – MOST OFTEN ASD SMALL , FLARED ILIA MEDIAL SPUR FROM ACETABULI HYPOPLASTIC DISTAL PHALANGES , DELAYED CARPAL DEVELOPMENT , CARPAL FUSION HYPOPLASTIC PROXIMAL TIBIAL EPIPHYSES , SPECIALLY LATERALLY CRYPTORCHISM , EPISPADIAS SPARSE, ABSENT, OR FINE TEXTURED HAIR DENTAL MALFORMATION
  • 190.
  • 193.
    DYSSEGMENTAL DYSPALSIA AR GROSS VERTEBRALDISORGANIZATION RADIOLOGY : MICROMELIA SHORT , NARROW THORAX ANISOSPONDYLY – GROSS IRREGULARITY OF SIZE AND SHAPE OF VERTEBRAL BODIES , MALSEGMENTATION , CLEFTING , KYPHOSCOLIOSIS GROSS SPINE DISORGANIZATION MAY BE RECOGNIZED AS EARLY AS FIRST TRIMESTER
  • 195.
    PROXIMAL FOCAL FEMORAL DYSPLASIA FAMILIAL: FEMUR – TIBIA – RADIUS COMPLEX NON –FAMILIAL : FEMUR – FIBULA – ULNA COMPLEX RADIOLOGY UNILATERAL ABSENCE OF SUBTROCHENTERIC FEMUR , WHICH MAY EXTEND TO THE HEAD AND ACETABULUM I/L FIBULAR HEMIMELIA MICROCEPHALY VERTEBRAL ANOMALY THE ROLE OF MR : DEFINE THE CARTILAGINOUS PROXIMAL FEMUR AND THE PRESENCE OR ABSENCE OF A CARTILAGINOUS CONNECTION TO THE FEMORAL HEAD. THERAPEUTIC DECISIONS ARE BASED ON THE DETECTION OF A FEMORAL HEAD AND THE PRESENCE OF A CONNECTION.
  • 197.
    SIRENOMELIA CHARACTERIZED BY : FUSIONOF LOWER EXTREMITIES ABSENT SACRUM ANORECTA ATRESIA RENAL DYSGENESIS R AGENESIS ASSOCIATD WITH SINGLE UA , OLIGOHYDRAMNIOS
  • 199.
    FIBROUS DYSPLASIA FIBROUS DYSPLASIA(FD) IS A NON-NEOPLASTIC TUMOUR-LIKE CONGENITAL PROCESS, MANIFESTED AS A LOCALISED DEFECT IN OSTEOBLASTIC DIFFERENTIATION AND MATURATION, WITH REPLACEMENT OF NORMAL BONE WITH LARGE FIBROUS STROMA AND ISLANDS OF IMMATURE WOVEN BONE. TYPES – MONOSTOTIC..MOST COMMON POLYOSTOTIC….ASYMMETRIC CRANIOFACIAL CHERUBISM CLINICAL FEATURE : ASYMPOMATIC PATHOLOGICAL FRACTURE FACIAL ASYMMETRY USUALLY PRESENT BEFORE 50 YEARS
  • 200.
    PATHOPHYSIOLOGY : MEDULLARYCAVITY IS REPLACED BY FIBROUS TISSUE , CYSTS CONTAINING SEROUS FLUID AND BLOOD --- UNDERGOES VARYING DEGREE OF OSSIFICATION THAT ME BE HOMOGENEUOS GIVING GROUND GLASS INHOMOGENEOUS …COTTON WOOL RADIOLOGY : ANY BONE CAN BE INVOLVED THOUGH INVOLVEMENT OF SPINE IS UNCOMMON IN THE SKULL FRONTAL , SPHENOID , PARIETAL , MAXILLARY , MANDIBLE ARE OFTEN AFFECTED MONOSTOTIC ….RIB MOST COMMONLY , LONG BONES….POLYOSTOTIC DIAPHYSES LESION ARE – EXPANSILE SMOOTH DENSE MARGIN MULTILOCULAR / BUBBLY CORTEX IS SCALLOPED , THINED GROUND GLASS OR COTTON WOOL SCLEROSIS NO PERIOSTEA REACTION CRANILFACIAL TYPE – DISPLACED OUTER TABLE , INNER TABLE IS SPARED SHEPHERED CROOK DEFORMITY OF FEMUR
  • 201.
    COMPLICATION : OSTEOSARCOMA CHONDROSARCOMA MFH FRACTUR E,DEFORMITY ASSOCIATED WITH : ALBRIGHT SYNDROME – PRECAUTIOUS PUBERTY , FD , SKIN PIGMENTATION ACROMEGALY HYPERTHYROIDSM CUSHING SYNDROME
  • 206.