SKELETAL
DYSPLASIAS - 1
Dr Anuradha R
• Aka osteochondrodysplasias- abnormalities of bone/cartilage growth
or texture
• Skeletal survey radiographs-
ABC s of evaluation
Anatomical localisation- appendicular / axial
rhizomelic skull
mesomelic spine
acromelic
micromelic
Bone density and shape
Complications- epiphyseal dysplasia leads to premature osteoarthritis
and deformities. Spondylodysplasias lead to early kyphoscoliosis
Radiological grouping
• GROUP 1- Epiphyseal dysplasia with or without spine involvement
• GROUP 2- Metaphyseal dysplasia with limb shortening
• GROUP 3- Dysplasia with altered bone density
• GROUP 4- Miscellaneous dysplasia
Group 1- EPIPHYSEAL DYSPLASIAS
• Spondyloepiphyseal dysplasia congenita
• Spondyloepiphyseal dysplasia tarda
• Multiple epiphyseal dysplasia
• Psuedoachondroplasia
• Chondrodysplasia punctata
• Dysplasia Epiphysealis Hemimelica
• Mucopolysaccharidosis
SPONDYLOEPIPHYSEAL DYSPLASIA CONGENITA
• AD(affect type II collagen)
• Delayed ossification of epiphyses at birth
SPINE-
• Bulbous vertebral bodies- pear shaped vertebra
• Severe platyspondyly with narrow disc spaces
• Scoliosis; severe kyphosis; exaggerated lumbar
lordosis
• Odontoid hypoplasia – leading to atlantoaxial
instability
• PLATYSPONDYLY
Limbs
• Small femoral epiphyses
• Horizontal acetabuli
• Short iliac wings
• Rhizomelic shortening of limbs
Delayed ossification of the proximal
humeral epiphysis;
Small thorax
Hands and feets typically spared
• DD- Morquio’s syndrome
The features favouring Morquio’s syndrome include
• Keratosulfaturia
• Central beaking of spine with increased or maintained intervertebral
disc spaces
• Hands and feet are always abnormal in Morquio’s syndrome unlike
SEDC.
SPONDYLOEPIPHYSEAL DYSPLASIA TARDA
• X linked recessive- only in males
• 5-10 years of age
• Short stature-due to platyspondyly,
more marked in thoracic region
• Hyperostosis of posterior 2/3rd of
vertebral bodies- hump shaped/
heaping up vertebra
• Bilateral flattened femoral heads,
short necks and premature
degenerative changes
• Small pelvis with mild-to-moderate
epiphyseal irregularity leading to
early osteoarthritis at hips
MULTIPLE EPIPHYSEAL DYSPLASIA (EDM)
• Presents when child begins to walk(2-
4 yrs)- waddling gait and difficulty to
run
• Bilateral, symmetrical involvement of
limbs- esp hips,knees,ankles
Bilateral and symmetric involvement of
the proximal femoral epiphyses. There
is secondary flaring of the metaphyses
• The fragmentation and deformity of the distal tibiae and tarsals is symmetrical.
• The distal radial and ulnar epiphyses are deformed as are the metacarpal growth
centers.
• The irregular epiphyses lead to premature and severe degenerative arthritis, especially
in the hips.
• Double-layered patella as seen on a lateral X-ray of knee is
considered highly pathognomic of EDM
PSUDOACHONDROPLASIA
• AD
• Vertebrae have a persistent oval shape in
childhood with a tongue-like protusion from the
anterior aspect of vertebral bodies giving rise to
central anterior tongue appearance
CHONDRODYSPLASIA PUNCTATA
• Characterised by punctate or stippled calcification of multiple
epiphyses during 1st year of life(usually apparent at birth); later
epiphyses becomes irregular with limb asymmetry.
• Types – XD(Conradi Hunermann syndrome)-mc
-AR(Rhizomelic/lethal type)
-XR(Brachytelephalangic)
-Related to warfarin embryotoxicity
-Babies born to mothers with SLE
Conradi-Hunermann Syndrome
• Asymmetrical features- limb shortening and deformity;
• Very short humerus
• Prominent spinal changes
• Coronal cleft vertebra
• Stippling at end of long bones and short tubular bones
• Metaphyses and diaphysis normal
• Flat face with a saddle nose
• Characteristic stippling throughout the spine and
extremities.
• Hepatosplenomegaly.
• Asymmetric limb shortening.
Rhizomelic/ lethal/ recessive type
• There is symmetric shortening of the
limbs, particularly proximally and more
frequently in upper limbs
• The metaphyses are often flared, and the
long bones are bowed.
• Stippling of the spine is usually absent
and spinal deformity is not as severe as
in Conradi-Hunermann syndrome
Dysplasia Epiphysealis Hemimelica / Trevors disease
• Focal asymmetric overgrowth of epiphysis in the lower extremity is
the characteristic feature
• Three categories: localized form (monostotic involvement), classical
form (more than one area in a single lower extremity), and a
generalized (involvement of an entire lower extremity)
• Mc involves distal femur, distal tibia and talus- medial side of
epiphysis more commonly involved than lateral side
• Histologically, lesions are identical to osteochondroma
MUCOPOLYSACCHARIDOSIS
• MPS-I (MPS-I-H): Hurler’s syndrome.
• MPS-IV: Morquio’s syndrome.
HURLERS SYNDROME
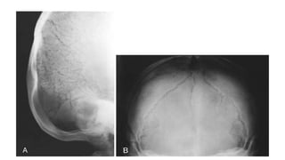
SKULL
• Macrocephaly
• Frontal bossing
• Premature closure of sagittal and
lambdoid suture
• Thickened calvarium
• J shaped sella (enlargement of
pituitary gland due to deposition of
GAG)
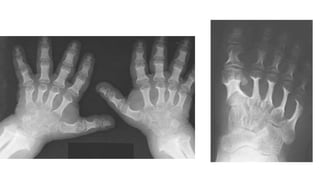
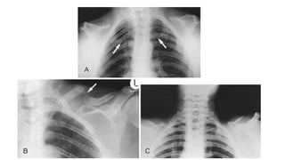
• RIBS- Paddled ribs(abnormally wide
anteriorly)
• Varus deformity of humerus, hypoplastic
lateral end of clavicle, small scapula
• Short and wide metacarpals and phalanges-
simulate Trident hand
• Proximal tapering of metacarpals and distal
tapering of phalanhges
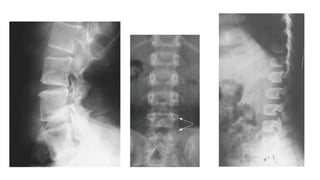
SPINE-
• Hypoplastic L1 or L2 vertebra with antero-inferior
beaking
• Platyspondyly is absent
• Dorsolumbar kyphosis
PELVIS
• Flaring of iliac wings with distal
tapering
• Shallow acetabula
MORQUIOS SYNDROME
Vertebrae-
Platyspondyly with central
beaking
• Disc space normal or increased
• Odontoid agenesis
• Kyphosis
• Pectus carinatum- horizontally oriented
protruberant sternum
Limbs-
epiphyseal irregularity and metaphyseal
widening
Proximal pointing of metacarpals
METAPHYSEAL DYSPLASIAS
• Achondroplasia
• Pyles disease/ Familial metaphyseal dysplasia
• Hypochondroplasia
• Chondroectodermal dysplasia
• Thanatophoric dysplasia
• Metaphyseal chondroplasia
ACHONDROPLASIA
• Mc non lethal dysplasia
• Prototype of rhizomelic dwarfism
• AD inheritance- spontaneous mutation on FGFR3 gene
• Pathology- failure of enchondral cartilage growth at physis
• Typical features are obvious at birth- spine, pelvis, skull and limbs
Limbs
• Upper >lower
• Rhizomelic shortening
• The bone ends are often splayed, with
metaphyseal cupping.
• Because periosteal ossification proceeds
normally, there is relative widening of the
shafts.
• The tubular bones of the hands and feet are short and
thick.
• The fingers are all the same length, with separation of
the middle and ring fingers and inability to approximate
in extention (trident hand)
• CHEVRON deformity- inverted V shaped distal
femoral physis
PELVIS
• Short and broad pelvic cavity- Champagne glass pelvis
• Squaring of iliac wings with rounded corners- Elephant ear shaped
iliac wings
• Horizontal and flat acetabuli
• Small sacrosciatic notch; large, anteriorly protruding sacral
promontory
Spine
• Progressive decrease in interpedicular distance cranio-caudally in LS
• Posterior scalloping of vertebral bodies; thick short pedicles
• Anteriorly rounded – Bullet shaped vertebra
• Dorsolumbar kyphoscoliosis in sitting position ; exaggerated lumbar
lordosis on standing up
• Prone for premature spinal canal stenosis
Skull
• Narrow skull base with narrowing of
foramen magnum
• Compensatory overexpansion of skull
vault
• Midface hypoplasia and depressed
nasal bones
Complications
• Small foramen magnum and hydrocephalus- cord compression and
sudden death
• Spinal canal stenosis, Quadriparesis
PYLES DISEASE/FAMILIAL METAPHYSEAL DYSPLASIA
• Skeleton of a newborn with Pyle’s disease may be overly radiopaque,
simulating osteopetrosis.
• Splaying of proximal metaphyses- Erlenmayer flask deformity
• Hands and feet show metaphyseal flaring in the small tubular bones.
• Lower extremity is more markedly affected than the upper
• The most commonly involved bones are the distal femur, tibia
(proximal and distal), and proximal fibula. In the upper extremity,
involvement of the distal radius, ulna, and proximal humerus is most
frequent
HYPOCHONDROPLASIA
• Milder form of Achondroplasia
• Presents after 2-4 years of age as short stature and limb shortening
• Limbs- in addition to rhizomelic shorterning, mesomelic may also be
seen
• Skull, pelvis hands are normal
Chondroectodermal dysplasia/ Ellis-Van Crevald syndrome
The condition can be noted at birth with dysplastic
nails, teeth, polydactyly and congenital cardiac
defects, most common being common atrium and
atrioventricular cushion defects
LIMBS
• Distal shortening of limbs leading to mesomelia
and acromelia
• Post axial hexodactyly in hands and
feets
• Fusion of carpal bones(Syncarpalism)
mostly involving capitate and
hamate
• Narrow thorax with short ribs
• The pelvis is short with flared iliac wings,
narrow base and hook like projection from
acetabulum forming trident acetabula
THANATOPHORIC DYSPLASIA
• Lethal dysplasia(2nd mc lethal dysplasia after osteogenesis
imperfecta type 2)
• Severely short arms and legs
• type I: marked underdevelopment of skeleton, telephone handle femurs more
pronounced
• type II
• the presence of a cloverleaf skull may be a distinctive feature
• limb shortening milder and bowing is not a feature
• proximal portions of the long limbs are
small, giving a rhizomelic appearance
• long bones (humeri and femora) have a
typical "telephone handle" bowing
with metaphyseal flaring
• Narrow chest, short ribs and scapula
• Small squared iliac wings
• Relative macrocephaly; frontal bossing
• Clower leaf skull (type 2)
• Platyspondyly
MISCELLANEOUS GROUP
• Cleidocranial dysplasia
• Fibrodysplasia ossificans progressiva
• Holt-Oram syndrome
• Marfans syndrome
• Nail- Patella syndrome
• Tuberous Sclerosis
• Craniosynostosis
CLEIDOCRANIAL DYSPLASIA
• Uncommon AD disorder- faulty ossification of intramembraneous and
enchondral bone
• C/f-
• large head, small face and drooping shoulders;
• Chest is narrowed or cone shaped.
• Mental status is normal.
• Gait disturbances owing to deformities of the hips and femur
• Abnormal dentition with severe caries and periodontitis
• Hearing loss due to structural abn of ossicles
SKULL
• Multiple Wormian bones are formed in the sutures
• Persistent Metopic suture
• Brachycephaly(increase transverse dia)
• Widening of the principal sutures (sagittal and coronal)-hot cross bun
appearance.
• The supraorbital region, temporal squama, and occipital bone are
frequently thickened.
FACE
• Underdeveloped facial bones – small face
• Failure of ossification of nasal bones, hypoplastic PNS
• Small maxilla, large mandible
• High arched palate
• Delayed dentition
THORAX
• Anomalous clavicular development
• The clavicle is formed from three separate ossification centers
(sternal, middle, and acromial). Because one or more of these centers
can be affected, there is considerable variation in the clavicular
involvement.
• In 10% of cases the clavicle is completely absent.
• The scapulae are often small, winged, or elevated.
• The shoulder girdle deformities allow great mobility of the shoulders.
• Chest is narrow and cone shaped.
PELVIS
• The bones of the pelvis are small and
underdeveloped, forming a small
pelvic bowl.
• Midline defect at the pubic symphysis-
where the rami fail to approximate
anteriorly.
• Unusual shape of the femoral head,
chef’s hat appearence
LIMBS
• Second digit is elongated due to
accessory epiphyses for second
metacarpal
• Distal phalanges small and pointed
FIBRODYSPLASIA OSSIFICANS PROGRESSIVA
• Progressive ossification of striated muscles, tendons, ligaments,
fascia, and aponeuroses.
• Mc presenting symptom is torticollis, with painful, hot, edematous
masses in the sternocleidomastoid muscles; in 1st yr of life
• Early soft tissue mass- edema and exudate; later calcium deposits-
lamellar and woven bone formation
• Severe restriction of movt and disability
• Microdactly of great toe and thumb
• Synostosis of phalanges
• Short 1st and 5th metacarpals
• Hallus valgus
• Broad femoral neck
• Diffuse ossification around hip joint
• Ectopic ossification
• Initially scute inflammation-soft tissue masses.
• Eventually calcium deposition occurs, linear and spheroid deposit of
bone are seen along tendon, ligaments, fascia and muscles
HOLT ORAM SYNDROME/ CARDIOMELIC SYNDROME
• CVS changes- VSD, anomalies of great vessels, AV conduction
abnormalities
Limb defects-
• Hypoplasia/ absence of radial head
• Complete absence of radius- Radial Ray Deficiency
• Radio-ulnar synostosis, Humero-ulnar synostosis
• Anomalies of the thumbs are the most common skeletal finding- An
extra phalanx in the first digit is frequent (triphalangeal thumb)
• Extra carpals and carpal fusion also commonly seen
MARFANS SYNDROME
• Autosomal dominant entity consisting of long, slender tubular bones,
ocular abnormalities, and aortic aneurysm
• Elongation of the tubular bones (the trunk is spared) is most marked in the
distal portion of the extremities, especially the phalanges, metacarpals,
and metatarsals.
• Associated findings include hip dislocation, genu recurvatum, patellar
dislocation, and pes planus, persistent bilateral perilunate disclocation
• Skull- Dolicocephaly(increased AP dia)
• Face- elongated. High arched palate; Poor dentition
• Ectopia lentis(mc ocular anomaly)
• Arachnodactlyly
• Elongated osteopenic ribs; Pectus excavatum
• Spine - tall vertebrae ; severe scoliosis or kyphoscoliosis. The spinal
canal is widened in > 50% of cases, especially in the lumbosacral region.
There is posterior scalloping of the vertebral bodies and thinning of the
pedicles and lamina secondary to dural ectasia.
NAIL PATELLA SYNDROME
• Dysplastic fingernails, small or absent patellae, bony deformities of
the pelvis and elbows, iliac horns, numerous soft tissue
abnormalities, and renal dysplasia
• Posterior iliac horns- characteristic
finding
• An isolated finding of iliac horns
without nail and patellar findings,
is referred to as Fong’s disease
TUBEROUS SCLEROSIS
• The classic clinical triad consists of mental retardation, epileptic
seizures, and skin lesions
• Mc skin lesion is Adenoma Sebaceum(hamartoma)
-Others- Café-au-leit macules, Shagreen patches, gingival and peri-
ungual fibroma, skin tags
• Intracranial abnormality- Intracranial calcification in basal ganglia and
periventricular region
-Subependymal and cortical tubers
• Visceral abnormalities- myolipomas, angiomyomas, angiofibromas,
adenomas, or rhabdomyomas
Skeletal lesions- Irregular subperiosteal new bone
formation, ; well defined cysts in phalanges

SKELTAL DYSPLASIA- 1

  • 1.
  • 2.
    • Aka osteochondrodysplasias-abnormalities of bone/cartilage growth or texture • Skeletal survey radiographs-
  • 3.
    ABC s ofevaluation Anatomical localisation- appendicular / axial rhizomelic skull mesomelic spine acromelic micromelic Bone density and shape Complications- epiphyseal dysplasia leads to premature osteoarthritis and deformities. Spondylodysplasias lead to early kyphoscoliosis
  • 4.
    Radiological grouping • GROUP1- Epiphyseal dysplasia with or without spine involvement • GROUP 2- Metaphyseal dysplasia with limb shortening • GROUP 3- Dysplasia with altered bone density • GROUP 4- Miscellaneous dysplasia
  • 5.
    Group 1- EPIPHYSEALDYSPLASIAS • Spondyloepiphyseal dysplasia congenita • Spondyloepiphyseal dysplasia tarda • Multiple epiphyseal dysplasia • Psuedoachondroplasia • Chondrodysplasia punctata • Dysplasia Epiphysealis Hemimelica • Mucopolysaccharidosis
  • 6.
    SPONDYLOEPIPHYSEAL DYSPLASIA CONGENITA •AD(affect type II collagen) • Delayed ossification of epiphyses at birth SPINE- • Bulbous vertebral bodies- pear shaped vertebra • Severe platyspondyly with narrow disc spaces • Scoliosis; severe kyphosis; exaggerated lumbar lordosis • Odontoid hypoplasia – leading to atlantoaxial instability
  • 7.
  • 8.
    Limbs • Small femoralepiphyses • Horizontal acetabuli • Short iliac wings • Rhizomelic shortening of limbs Delayed ossification of the proximal humeral epiphysis; Small thorax Hands and feets typically spared
  • 9.
    • DD- Morquio’ssyndrome The features favouring Morquio’s syndrome include • Keratosulfaturia • Central beaking of spine with increased or maintained intervertebral disc spaces • Hands and feet are always abnormal in Morquio’s syndrome unlike SEDC.
  • 10.
    SPONDYLOEPIPHYSEAL DYSPLASIA TARDA •X linked recessive- only in males • 5-10 years of age • Short stature-due to platyspondyly, more marked in thoracic region • Hyperostosis of posterior 2/3rd of vertebral bodies- hump shaped/ heaping up vertebra
  • 11.
    • Bilateral flattenedfemoral heads, short necks and premature degenerative changes • Small pelvis with mild-to-moderate epiphyseal irregularity leading to early osteoarthritis at hips
  • 12.
    MULTIPLE EPIPHYSEAL DYSPLASIA(EDM) • Presents when child begins to walk(2- 4 yrs)- waddling gait and difficulty to run • Bilateral, symmetrical involvement of limbs- esp hips,knees,ankles Bilateral and symmetric involvement of the proximal femoral epiphyses. There is secondary flaring of the metaphyses
  • 13.
    • The fragmentationand deformity of the distal tibiae and tarsals is symmetrical. • The distal radial and ulnar epiphyses are deformed as are the metacarpal growth centers. • The irregular epiphyses lead to premature and severe degenerative arthritis, especially in the hips.
  • 14.
    • Double-layered patellaas seen on a lateral X-ray of knee is considered highly pathognomic of EDM
  • 15.
    PSUDOACHONDROPLASIA • AD • Vertebraehave a persistent oval shape in childhood with a tongue-like protusion from the anterior aspect of vertebral bodies giving rise to central anterior tongue appearance
  • 17.
    CHONDRODYSPLASIA PUNCTATA • Characterisedby punctate or stippled calcification of multiple epiphyses during 1st year of life(usually apparent at birth); later epiphyses becomes irregular with limb asymmetry. • Types – XD(Conradi Hunermann syndrome)-mc -AR(Rhizomelic/lethal type) -XR(Brachytelephalangic) -Related to warfarin embryotoxicity -Babies born to mothers with SLE
  • 18.
    Conradi-Hunermann Syndrome • Asymmetricalfeatures- limb shortening and deformity; • Very short humerus • Prominent spinal changes • Coronal cleft vertebra • Stippling at end of long bones and short tubular bones • Metaphyses and diaphysis normal • Flat face with a saddle nose
  • 19.
    • Characteristic stipplingthroughout the spine and extremities. • Hepatosplenomegaly. • Asymmetric limb shortening.
  • 21.
    Rhizomelic/ lethal/ recessivetype • There is symmetric shortening of the limbs, particularly proximally and more frequently in upper limbs • The metaphyses are often flared, and the long bones are bowed. • Stippling of the spine is usually absent and spinal deformity is not as severe as in Conradi-Hunermann syndrome
  • 23.
    Dysplasia Epiphysealis Hemimelica/ Trevors disease • Focal asymmetric overgrowth of epiphysis in the lower extremity is the characteristic feature • Three categories: localized form (monostotic involvement), classical form (more than one area in a single lower extremity), and a generalized (involvement of an entire lower extremity) • Mc involves distal femur, distal tibia and talus- medial side of epiphysis more commonly involved than lateral side • Histologically, lesions are identical to osteochondroma
  • 25.
    MUCOPOLYSACCHARIDOSIS • MPS-I (MPS-I-H):Hurler’s syndrome. • MPS-IV: Morquio’s syndrome.
  • 26.
    HURLERS SYNDROME SKULL • Macrocephaly •Frontal bossing • Premature closure of sagittal and lambdoid suture • Thickened calvarium • J shaped sella (enlargement of pituitary gland due to deposition of GAG)
  • 27.
    • RIBS- Paddledribs(abnormally wide anteriorly) • Varus deformity of humerus, hypoplastic lateral end of clavicle, small scapula • Short and wide metacarpals and phalanges- simulate Trident hand • Proximal tapering of metacarpals and distal tapering of phalanhges
  • 28.
    SPINE- • Hypoplastic L1or L2 vertebra with antero-inferior beaking • Platyspondyly is absent • Dorsolumbar kyphosis PELVIS • Flaring of iliac wings with distal tapering • Shallow acetabula
  • 29.
    MORQUIOS SYNDROME Vertebrae- Platyspondyly withcentral beaking • Disc space normal or increased • Odontoid agenesis • Kyphosis
  • 30.
    • Pectus carinatum-horizontally oriented protruberant sternum Limbs- epiphyseal irregularity and metaphyseal widening Proximal pointing of metacarpals
  • 31.
    METAPHYSEAL DYSPLASIAS • Achondroplasia •Pyles disease/ Familial metaphyseal dysplasia • Hypochondroplasia • Chondroectodermal dysplasia • Thanatophoric dysplasia • Metaphyseal chondroplasia
  • 32.
    ACHONDROPLASIA • Mc nonlethal dysplasia • Prototype of rhizomelic dwarfism • AD inheritance- spontaneous mutation on FGFR3 gene • Pathology- failure of enchondral cartilage growth at physis • Typical features are obvious at birth- spine, pelvis, skull and limbs
  • 33.
    Limbs • Upper >lower •Rhizomelic shortening • The bone ends are often splayed, with metaphyseal cupping. • Because periosteal ossification proceeds normally, there is relative widening of the shafts.
  • 34.
    • The tubularbones of the hands and feet are short and thick. • The fingers are all the same length, with separation of the middle and ring fingers and inability to approximate in extention (trident hand) • CHEVRON deformity- inverted V shaped distal femoral physis
  • 36.
    PELVIS • Short andbroad pelvic cavity- Champagne glass pelvis • Squaring of iliac wings with rounded corners- Elephant ear shaped iliac wings • Horizontal and flat acetabuli • Small sacrosciatic notch; large, anteriorly protruding sacral promontory
  • 38.
    Spine • Progressive decreasein interpedicular distance cranio-caudally in LS • Posterior scalloping of vertebral bodies; thick short pedicles • Anteriorly rounded – Bullet shaped vertebra • Dorsolumbar kyphoscoliosis in sitting position ; exaggerated lumbar lordosis on standing up • Prone for premature spinal canal stenosis
  • 40.
    Skull • Narrow skullbase with narrowing of foramen magnum • Compensatory overexpansion of skull vault • Midface hypoplasia and depressed nasal bones
  • 41.
    Complications • Small foramenmagnum and hydrocephalus- cord compression and sudden death • Spinal canal stenosis, Quadriparesis
  • 42.
    PYLES DISEASE/FAMILIAL METAPHYSEALDYSPLASIA • Skeleton of a newborn with Pyle’s disease may be overly radiopaque, simulating osteopetrosis. • Splaying of proximal metaphyses- Erlenmayer flask deformity • Hands and feet show metaphyseal flaring in the small tubular bones. • Lower extremity is more markedly affected than the upper • The most commonly involved bones are the distal femur, tibia (proximal and distal), and proximal fibula. In the upper extremity, involvement of the distal radius, ulna, and proximal humerus is most frequent
  • 44.
    HYPOCHONDROPLASIA • Milder formof Achondroplasia • Presents after 2-4 years of age as short stature and limb shortening • Limbs- in addition to rhizomelic shorterning, mesomelic may also be seen • Skull, pelvis hands are normal
  • 45.
    Chondroectodermal dysplasia/ Ellis-VanCrevald syndrome The condition can be noted at birth with dysplastic nails, teeth, polydactyly and congenital cardiac defects, most common being common atrium and atrioventricular cushion defects LIMBS • Distal shortening of limbs leading to mesomelia and acromelia
  • 46.
    • Post axialhexodactyly in hands and feets • Fusion of carpal bones(Syncarpalism) mostly involving capitate and hamate
  • 47.
    • Narrow thoraxwith short ribs • The pelvis is short with flared iliac wings, narrow base and hook like projection from acetabulum forming trident acetabula
  • 48.
    THANATOPHORIC DYSPLASIA • Lethaldysplasia(2nd mc lethal dysplasia after osteogenesis imperfecta type 2) • Severely short arms and legs • type I: marked underdevelopment of skeleton, telephone handle femurs more pronounced • type II • the presence of a cloverleaf skull may be a distinctive feature • limb shortening milder and bowing is not a feature
  • 49.
    • proximal portionsof the long limbs are small, giving a rhizomelic appearance • long bones (humeri and femora) have a typical "telephone handle" bowing with metaphyseal flaring • Narrow chest, short ribs and scapula • Small squared iliac wings • Relative macrocephaly; frontal bossing • Clower leaf skull (type 2) • Platyspondyly
  • 50.
    MISCELLANEOUS GROUP • Cleidocranialdysplasia • Fibrodysplasia ossificans progressiva • Holt-Oram syndrome • Marfans syndrome • Nail- Patella syndrome • Tuberous Sclerosis • Craniosynostosis
  • 51.
    CLEIDOCRANIAL DYSPLASIA • UncommonAD disorder- faulty ossification of intramembraneous and enchondral bone • C/f- • large head, small face and drooping shoulders; • Chest is narrowed or cone shaped. • Mental status is normal. • Gait disturbances owing to deformities of the hips and femur • Abnormal dentition with severe caries and periodontitis • Hearing loss due to structural abn of ossicles
  • 52.
    SKULL • Multiple Wormianbones are formed in the sutures • Persistent Metopic suture • Brachycephaly(increase transverse dia) • Widening of the principal sutures (sagittal and coronal)-hot cross bun appearance. • The supraorbital region, temporal squama, and occipital bone are frequently thickened.
  • 54.
    FACE • Underdeveloped facialbones – small face • Failure of ossification of nasal bones, hypoplastic PNS • Small maxilla, large mandible • High arched palate • Delayed dentition
  • 55.
    THORAX • Anomalous claviculardevelopment • The clavicle is formed from three separate ossification centers (sternal, middle, and acromial). Because one or more of these centers can be affected, there is considerable variation in the clavicular involvement. • In 10% of cases the clavicle is completely absent. • The scapulae are often small, winged, or elevated. • The shoulder girdle deformities allow great mobility of the shoulders. • Chest is narrow and cone shaped.
  • 58.
    PELVIS • The bonesof the pelvis are small and underdeveloped, forming a small pelvic bowl. • Midline defect at the pubic symphysis- where the rami fail to approximate anteriorly. • Unusual shape of the femoral head, chef’s hat appearence
  • 59.
    LIMBS • Second digitis elongated due to accessory epiphyses for second metacarpal • Distal phalanges small and pointed
  • 60.
    FIBRODYSPLASIA OSSIFICANS PROGRESSIVA •Progressive ossification of striated muscles, tendons, ligaments, fascia, and aponeuroses. • Mc presenting symptom is torticollis, with painful, hot, edematous masses in the sternocleidomastoid muscles; in 1st yr of life • Early soft tissue mass- edema and exudate; later calcium deposits- lamellar and woven bone formation • Severe restriction of movt and disability
  • 61.
    • Microdactly ofgreat toe and thumb • Synostosis of phalanges • Short 1st and 5th metacarpals • Hallus valgus
  • 62.
    • Broad femoralneck • Diffuse ossification around hip joint
  • 63.
    • Ectopic ossification •Initially scute inflammation-soft tissue masses. • Eventually calcium deposition occurs, linear and spheroid deposit of bone are seen along tendon, ligaments, fascia and muscles
  • 64.
    HOLT ORAM SYNDROME/CARDIOMELIC SYNDROME • CVS changes- VSD, anomalies of great vessels, AV conduction abnormalities Limb defects- • Hypoplasia/ absence of radial head • Complete absence of radius- Radial Ray Deficiency • Radio-ulnar synostosis, Humero-ulnar synostosis • Anomalies of the thumbs are the most common skeletal finding- An extra phalanx in the first digit is frequent (triphalangeal thumb) • Extra carpals and carpal fusion also commonly seen
  • 66.
    MARFANS SYNDROME • Autosomaldominant entity consisting of long, slender tubular bones, ocular abnormalities, and aortic aneurysm • Elongation of the tubular bones (the trunk is spared) is most marked in the distal portion of the extremities, especially the phalanges, metacarpals, and metatarsals. • Associated findings include hip dislocation, genu recurvatum, patellar dislocation, and pes planus, persistent bilateral perilunate disclocation • Skull- Dolicocephaly(increased AP dia) • Face- elongated. High arched palate; Poor dentition • Ectopia lentis(mc ocular anomaly)
  • 67.
    • Arachnodactlyly • Elongatedosteopenic ribs; Pectus excavatum • Spine - tall vertebrae ; severe scoliosis or kyphoscoliosis. The spinal canal is widened in > 50% of cases, especially in the lumbosacral region. There is posterior scalloping of the vertebral bodies and thinning of the pedicles and lamina secondary to dural ectasia.
  • 68.
    NAIL PATELLA SYNDROME •Dysplastic fingernails, small or absent patellae, bony deformities of the pelvis and elbows, iliac horns, numerous soft tissue abnormalities, and renal dysplasia • Posterior iliac horns- characteristic finding • An isolated finding of iliac horns without nail and patellar findings, is referred to as Fong’s disease
  • 69.
    TUBEROUS SCLEROSIS • Theclassic clinical triad consists of mental retardation, epileptic seizures, and skin lesions • Mc skin lesion is Adenoma Sebaceum(hamartoma) -Others- Café-au-leit macules, Shagreen patches, gingival and peri- ungual fibroma, skin tags • Intracranial abnormality- Intracranial calcification in basal ganglia and periventricular region -Subependymal and cortical tubers
  • 71.
    • Visceral abnormalities-myolipomas, angiomyomas, angiofibromas, adenomas, or rhabdomyomas Skeletal lesions- Irregular subperiosteal new bone formation, ; well defined cysts in phalanges