Scaphoid Fractures
Scaphoid Fractures
• The scaphoid is the most frequently fractured
  carpal bone, accounting for 71% of all carpal bone
  fractures.
• Scaphoid fractures often occur in young and
  middle-aged adults, typically those aged 15-60
  years.
• About 5-12% of scaphoid fractures are associated
  with other fractures
• 70-80% occur at the waist or mid-portion
• 10-20% proximal pole
Anatomy
• The scaphoid lies at the radial border of the
  proximal carpal row, but its elongated shape and
  position allow bridging between the 2 carpal rows
  because it acts as a stabilizing rod.
• The scaphoid has 5 articulating surfaces:
   – with the radius, lunate, capitate, trapezoid, and
     trapezium.
• As a result, nearly the entire surface is covered by
  hyaline cartilage.
Blood Supply
• Vessels may enter only at the sites of
  ligamentous attachment:
  – the flexor retinaculum at the tubercle,
  – the volar ligaments along the palmar surface,
  – and the dorsal radiocarpal and radial collateral
    ligaments along the dorsal ridge.
Blood Supply
 Classically described as 3 principal arterial
  groups, but in more recent investigations by
  Gelberman and Menon described 2:
  – Entering dorsally
  – Volar side limited to tubercle
Blood Supply
 The primary blood supply comes from the dorsal
  branch of the radial artery, which divides into 2-4
  branches before entering the waist of the
  scaphoid along the dorsal ridge.
 The branches course volar and proximal within
  the bone, supplying 70-85% of the scaphoid.
 The volar scaphoid branch also enters the bone as
  several perforators in the region of the tubercle;
  these supply the distal 20%-30% of the bone
Blood Supply
•All studies consistently demonstrated poor supply
to the proximal pole
•The proximal pole is an intra-articular structure
completely covered by hyaline cartilage with a
single ligamentous attachment
–Deep radioscapholunate ligament
•Is dependent on intraosseous blood supply
Blood Supply
 Obletz and Halbstein in their study of vascular
  foramina in dried scaphoids found 13%
  without vascular perforations and 20% with
  only a single small foramen proximal to the
  waist
 Therefore postulated that atleast 30% of mid-
  third fracture would expect AVN of proximal
  pole…greater likelihood the more proximal
  the fracture
Pathophysiology
 The primary mechanism of injury to the scaphoid bone is a fall
  on an outstretched hand.
 A scaphoid fracture is part of a spectrum of injuries based on 4
  factors:
   – (1) the direction of 3-dimensional loading,
   – (2) the magnitude and duration of the force,
   – (3) the position of the hand and wrist at the time of injury,
      and
   – (4) the biomechanical properties of ligaments and bones.
 These factors affect the end result of the fall: distal radius
  fracture, ligamentous injury, scaphoid fracture, or a
  combination of these.
Pathophysiology
 Essentially fractures of scaphoid have been explained as a
  failure of bone cause by compressive or tension load
 Compression, as explained by Cobey and White, against
  concave surface by head of capitate
 Position of radial and ulnar deviation thought to
  determine where it breaks
 Fryman subjected cadaver wrists to loading and observed
  that:
   – extension of 35 degrees of less resulted in distal forearm
     fractures
   – >90degrees resulted in carpal fractures
 Combination of radial deviation and wrist extension locks
  scaphoid within the scaphoid fossa
Diagnosis
 Suggested by:
  – patient’s age,
  – mechanism of injury and
  – signs and symptoms
 Imaging
  –   Xray
  –   CT Scan
  –   MRI
  –   Bone Scan
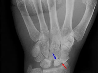
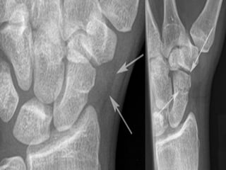
Radiography
 The 4 essential views (ie, PA, lateral, supinated and
  pronated obliques) identify majority of fractures.
 The scaphoid view is a PA radiograph with the wrist
  extended 30° and deviated ulnarly 20°. This view
  helps to stretch out the scaphoid and is also used for
  assessing the degree of scaphoid fracture angulation.
 A clenched-fist radiograph has also been useful for
  visualization of the scaphoid waist.
CT Scans
 CT permits accurate anatomic assessment of the fracture.



 Bone contusions are not evaluated with CT, but true fractures
  can be excluded
MRI

• T1-weighted images obtained in a single plane (coronal) are
  typically sufficient to determine the presence of a scaphoid
  fracture.
• Gaebler prospectively performed MRI on 32 patients, at
  average of 2.8 days post injury
   – 100% sensitivity and specificity
• In recent study Dorsay has shown that immediate MRI
  provides cost benefit when compared to splintage and repeat
  xray
• False positives due MRI’s sensitivity to marrow oedema
Nuclear Imaging
 Radionuclide bone scanning typically is performed 3-7
  days after the initial injury if the radiographic findings are
  normal.
 Best at 48hours, premature imaging may be obscured by
  traumatic synovitis
 Bone scan findings are considered positive for a fracture
  when intense, focal tracer accumulation is identified.
 Negative bone scan results virtually exclude scaphoid
  fracture
 Teil-van studied cost effectiveness and concluded that
  initial xray followed by bone scan at 2 weeks if patient is
  still symptomatic is most effective management option
 Teil-van also suggested that more sensitive and less
  expensive than MRI
?
Classification



 Determining optimal treatment depends on
  accurate diagnosis and fracture
  classification
 Herbert devised an alpha-numeric system
  that combined fracture anatomy, stability
  and chronicity of injury.
Herbert’s Classification
  Type A (stable acute fractures)
   – A1: fracture of tubercle
   – A2: incomplete fracture
  Type B (unstable acute fractures)
   – B1: distal oblique
   – B2: complete fracture through waist
   – B3: proximal pole fracture
   – B4: trans-scaphoid perilunate fracture dislocation
     of carpus
Herbert’s Classification
 Type C (delayed union)



 Type D (established non-union)
  – D1: fibrous union
  – D2: pseudarthrosis
Russe Classification
 Russe classified scaphoid fractures into 3 type
  according to the relationship of the fracture
  line to the long axis of the scaphoid
  – Horizontal
  – Oblique
  – Vertical (unstable)
Classification according to location
 A: tubercle

 B: distal pole

 C: waist

 D:proximal pole
Management
 Proximal pole
  – Depends on size and vascularity of fracture
  – Growing sentiment that most should be
    treated operatively because of high propensity
    for non-union and increased duration of
    immobilisation required for non-operative
    management
  – If large enough to accommodate a screw than
    every attempt should be made
Management
 DeMaagd and Engber showed 11 of 12 patients with proximal
  pole fractures healed with Herbert screw

 Retting and Raskin had 100% union in 17 cases with Herbert
  screw

 If fragment too small then K-wires can be used
Management
 Distal Pole
  – Are infrequent
  – Usually extra-articular with good blood supply
  – Best treated with short arm thumb spica for 3-6
    weeks
Management of waist fractures
 Most common type of fracture
 High rate of delayed and non-union
  – With delays in treatment adversely affect results
 Operative vs non-operative
  – Controversial
Management of waist fractures
 Most stable fractures can be treated with below
  elbow thumb spica
 Unstable fractures best treated with compression
  screw fixation
   – >1mm displacement
   – Fragment angulation
   – Abnormal carpal alignment
 With advent of percutaneous techniques of
  cannulated screws under flouroscopic control trend
  towards operative management
What about the undisplaced
       waist fractures???
 Netherlands study:
   – Average time away from work 4.5 months
 Saeden in prospective randomised study with 12
  year follow-up compared early operative vs cast
  immobilisation
   – Return to work quicker in operative
   – No significant long term difference in functional
     outcome between 2 groups
 Bond has shown return to work 7 weeks earlier
  and time of union 5 weeks quicker
   – Other papers disagree
 Some surgeons published union rates of 100%
  with surgery(Green’s volume 1 page 721)
Complication$$
• Malunion
  – Malunion may lead to limited motion about the wrist,
    decreased grip strength, and pain.
  – The most frequent pattern of malunion is persistent
    angular deformity, or the humpback deformity.
  – Malunion usually can be treated with osteotomy and bone
    grafting to correct angular deformity and length.
      • Literature confusing with no comparative studies to
        document improvement in hand function
Complication$$
• Delayed union and non-union
   – Delayed union is incomplete union after 4 months of cast
     immobilization.
   – Non-union is an unhealed fracture with smooth
     fibrocartilage covering the fracture site.
   – About 10-15% of all scaphoid fractures do not unite.
   – Some degree of delayed union or non-union occurs in
     nearly all proximal pole fractures and in 30% of scaphoid
     waist fractures
Complication$$
 Delayed union is anticipated if fracture treatment is delayed
  for several weeks.
 The risk of non-union increases after a delay of 4 weeks.
 These delays may be related to the patient's failure to seek
  treatment for a presumed sprain, but they more frequently
  are related to improper or incomplete immobilization or a
  failure to diagnose and treat the acute fracture
Delayed union treatment
 If the delayed union is stable and less than 6 months old
  relative to the time of injury, prolonged cast
  immobilization with or without electrical stimulation may
  be used.
 Treatment of choice for a symptomatic non-union is
  placement of a bone graft and fixation.
   – Russe corticocancellous iliac graft
   – Fisk-Fernandez volar wedge graft
   – Pronator pedicle graft
       • Braun ‘83 reported 100% union in 8 pts
       • Kawai, Kuhlmann, Papp reported 100% 37 pts
   – Pechlaner reporrted 25 free vascularised iliac grafts
      with 100%
 Success rates for the treatment of non-union are as high
  as 82%.
AVN
• Osteonecrosis occurs in 15-30% of all scaphoid fractures, and
  most of these involve the proximal pole.
• Its incidence increases as the fracture line becomes more
  proximal; this decreases the probability that the blood supply
  to the proximal pole is preserved
Salvage procedures
 Radial styloidectomy
 Distal scaphoid resection
 Proximal row carpectomy
 Partial arthrodesis

Scaphoid fracturesw

  • 2.
  • 3.
    Scaphoid Fractures • Thescaphoid is the most frequently fractured carpal bone, accounting for 71% of all carpal bone fractures. • Scaphoid fractures often occur in young and middle-aged adults, typically those aged 15-60 years. • About 5-12% of scaphoid fractures are associated with other fractures • 70-80% occur at the waist or mid-portion • 10-20% proximal pole
  • 4.
    Anatomy • The scaphoidlies at the radial border of the proximal carpal row, but its elongated shape and position allow bridging between the 2 carpal rows because it acts as a stabilizing rod. • The scaphoid has 5 articulating surfaces: – with the radius, lunate, capitate, trapezoid, and trapezium. • As a result, nearly the entire surface is covered by hyaline cartilage.
  • 6.
    Blood Supply • Vesselsmay enter only at the sites of ligamentous attachment: – the flexor retinaculum at the tubercle, – the volar ligaments along the palmar surface, – and the dorsal radiocarpal and radial collateral ligaments along the dorsal ridge.
  • 7.
    Blood Supply  Classicallydescribed as 3 principal arterial groups, but in more recent investigations by Gelberman and Menon described 2: – Entering dorsally – Volar side limited to tubercle
  • 8.
    Blood Supply  Theprimary blood supply comes from the dorsal branch of the radial artery, which divides into 2-4 branches before entering the waist of the scaphoid along the dorsal ridge.  The branches course volar and proximal within the bone, supplying 70-85% of the scaphoid.  The volar scaphoid branch also enters the bone as several perforators in the region of the tubercle; these supply the distal 20%-30% of the bone
  • 11.
    Blood Supply •All studiesconsistently demonstrated poor supply to the proximal pole •The proximal pole is an intra-articular structure completely covered by hyaline cartilage with a single ligamentous attachment –Deep radioscapholunate ligament •Is dependent on intraosseous blood supply
  • 12.
    Blood Supply  Obletzand Halbstein in their study of vascular foramina in dried scaphoids found 13% without vascular perforations and 20% with only a single small foramen proximal to the waist  Therefore postulated that atleast 30% of mid- third fracture would expect AVN of proximal pole…greater likelihood the more proximal the fracture
  • 14.
    Pathophysiology  The primarymechanism of injury to the scaphoid bone is a fall on an outstretched hand.  A scaphoid fracture is part of a spectrum of injuries based on 4 factors: – (1) the direction of 3-dimensional loading, – (2) the magnitude and duration of the force, – (3) the position of the hand and wrist at the time of injury, and – (4) the biomechanical properties of ligaments and bones.  These factors affect the end result of the fall: distal radius fracture, ligamentous injury, scaphoid fracture, or a combination of these.
  • 15.
    Pathophysiology  Essentially fracturesof scaphoid have been explained as a failure of bone cause by compressive or tension load  Compression, as explained by Cobey and White, against concave surface by head of capitate  Position of radial and ulnar deviation thought to determine where it breaks  Fryman subjected cadaver wrists to loading and observed that: – extension of 35 degrees of less resulted in distal forearm fractures – >90degrees resulted in carpal fractures  Combination of radial deviation and wrist extension locks scaphoid within the scaphoid fossa
  • 16.
    Diagnosis  Suggested by: – patient’s age, – mechanism of injury and – signs and symptoms  Imaging – Xray – CT Scan – MRI – Bone Scan
  • 17.
    Radiography  The 4essential views (ie, PA, lateral, supinated and pronated obliques) identify majority of fractures.  The scaphoid view is a PA radiograph with the wrist extended 30° and deviated ulnarly 20°. This view helps to stretch out the scaphoid and is also used for assessing the degree of scaphoid fracture angulation.  A clenched-fist radiograph has also been useful for visualization of the scaphoid waist.
  • 20.
    CT Scans  CTpermits accurate anatomic assessment of the fracture.  Bone contusions are not evaluated with CT, but true fractures can be excluded
  • 22.
    MRI • T1-weighted imagesobtained in a single plane (coronal) are typically sufficient to determine the presence of a scaphoid fracture. • Gaebler prospectively performed MRI on 32 patients, at average of 2.8 days post injury – 100% sensitivity and specificity • In recent study Dorsay has shown that immediate MRI provides cost benefit when compared to splintage and repeat xray • False positives due MRI’s sensitivity to marrow oedema
  • 25.
    Nuclear Imaging  Radionuclidebone scanning typically is performed 3-7 days after the initial injury if the radiographic findings are normal.  Best at 48hours, premature imaging may be obscured by traumatic synovitis  Bone scan findings are considered positive for a fracture when intense, focal tracer accumulation is identified.  Negative bone scan results virtually exclude scaphoid fracture  Teil-van studied cost effectiveness and concluded that initial xray followed by bone scan at 2 weeks if patient is still symptomatic is most effective management option  Teil-van also suggested that more sensitive and less expensive than MRI
  • 26.
  • 27.
    Classification  Determining optimaltreatment depends on accurate diagnosis and fracture classification  Herbert devised an alpha-numeric system that combined fracture anatomy, stability and chronicity of injury.
  • 28.
    Herbert’s Classification Type A (stable acute fractures) – A1: fracture of tubercle – A2: incomplete fracture  Type B (unstable acute fractures) – B1: distal oblique – B2: complete fracture through waist – B3: proximal pole fracture – B4: trans-scaphoid perilunate fracture dislocation of carpus
  • 29.
    Herbert’s Classification  TypeC (delayed union)  Type D (established non-union) – D1: fibrous union – D2: pseudarthrosis
  • 31.
    Russe Classification  Russeclassified scaphoid fractures into 3 type according to the relationship of the fracture line to the long axis of the scaphoid – Horizontal – Oblique – Vertical (unstable)
  • 33.
    Classification according tolocation  A: tubercle  B: distal pole  C: waist  D:proximal pole
  • 35.
    Management  Proximal pole – Depends on size and vascularity of fracture – Growing sentiment that most should be treated operatively because of high propensity for non-union and increased duration of immobilisation required for non-operative management – If large enough to accommodate a screw than every attempt should be made
  • 36.
    Management  DeMaagd andEngber showed 11 of 12 patients with proximal pole fractures healed with Herbert screw  Retting and Raskin had 100% union in 17 cases with Herbert screw  If fragment too small then K-wires can be used
  • 39.
    Management  Distal Pole – Are infrequent – Usually extra-articular with good blood supply – Best treated with short arm thumb spica for 3-6 weeks
  • 41.
    Management of waistfractures  Most common type of fracture  High rate of delayed and non-union – With delays in treatment adversely affect results  Operative vs non-operative – Controversial
  • 42.
    Management of waistfractures  Most stable fractures can be treated with below elbow thumb spica  Unstable fractures best treated with compression screw fixation – >1mm displacement – Fragment angulation – Abnormal carpal alignment  With advent of percutaneous techniques of cannulated screws under flouroscopic control trend towards operative management
  • 43.
    What about theundisplaced waist fractures???  Netherlands study: – Average time away from work 4.5 months  Saeden in prospective randomised study with 12 year follow-up compared early operative vs cast immobilisation – Return to work quicker in operative – No significant long term difference in functional outcome between 2 groups  Bond has shown return to work 7 weeks earlier and time of union 5 weeks quicker – Other papers disagree  Some surgeons published union rates of 100% with surgery(Green’s volume 1 page 721)
  • 48.
    Complication$$ • Malunion – Malunion may lead to limited motion about the wrist, decreased grip strength, and pain. – The most frequent pattern of malunion is persistent angular deformity, or the humpback deformity. – Malunion usually can be treated with osteotomy and bone grafting to correct angular deformity and length. • Literature confusing with no comparative studies to document improvement in hand function
  • 49.
    Complication$$ • Delayed unionand non-union – Delayed union is incomplete union after 4 months of cast immobilization. – Non-union is an unhealed fracture with smooth fibrocartilage covering the fracture site. – About 10-15% of all scaphoid fractures do not unite. – Some degree of delayed union or non-union occurs in nearly all proximal pole fractures and in 30% of scaphoid waist fractures
  • 51.
    Complication$$  Delayed unionis anticipated if fracture treatment is delayed for several weeks.  The risk of non-union increases after a delay of 4 weeks.  These delays may be related to the patient's failure to seek treatment for a presumed sprain, but they more frequently are related to improper or incomplete immobilization or a failure to diagnose and treat the acute fracture
  • 52.
    Delayed union treatment If the delayed union is stable and less than 6 months old relative to the time of injury, prolonged cast immobilization with or without electrical stimulation may be used.  Treatment of choice for a symptomatic non-union is placement of a bone graft and fixation. – Russe corticocancellous iliac graft – Fisk-Fernandez volar wedge graft – Pronator pedicle graft • Braun ‘83 reported 100% union in 8 pts • Kawai, Kuhlmann, Papp reported 100% 37 pts – Pechlaner reporrted 25 free vascularised iliac grafts with 100%  Success rates for the treatment of non-union are as high as 82%.
  • 53.
    AVN • Osteonecrosis occursin 15-30% of all scaphoid fractures, and most of these involve the proximal pole. • Its incidence increases as the fracture line becomes more proximal; this decreases the probability that the blood supply to the proximal pole is preserved
  • 55.
    Salvage procedures  Radialstyloidectomy  Distal scaphoid resection  Proximal row carpectomy  Partial arthrodesis