Pneumonia
Dr. Akhilesh Sah
Prepared by:
Pneumonia:
Pneumonia is a inflammation and consolidation of lungs tissue due to an
infectious agent.
• Pneumonia is frequently categorized based on site of acquisition.
• ●Community-acquired pneumonia (CAP) refers to an acute infection of the
pulmonary parenchyma acquired outside of the hospital.
• ●Nosocomial pneumonia refers to an acute infection of the pulmonary
parenchyma acquired in hospital settings and encompasses both hospital-
acquired pneumonia (HAP) and ventilator-associated pneumonia (VAP).
• •HAP refers to pneumonia acquired ≥48 hours after hospital admission.
• •VAP refers to pneumonia acquired ≥48 hours after endotracheal
intubation.
• Pneumonia causes inflammation in the alveoli
• Alveoli are filled with fluid or pus, making difficulty to breathe.
• Affects alveoli rather than the bronchi
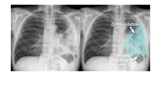
• CONSOLIDATION:
Inflammatory induration of a normally aerated lung due to the
presence of cellular exudative in alveoli
• More Likely to occur due to:
• immunocompromised
• potent microbe
Anatomical classification
• Bronchopneumonia(patchy inflammation of multiple lobes)
• Lobar pneumonia(involves one or more lobe)
• Interstitial pneumonia(inflammatory inflitrate of alveolar wall)
Etiological classification
• Bacterial infection
• Viral infection
• Fungal infection
COMMUNITY ACQUIRED PNEUMONIA
Incidence.
• It is a major cause of morbidity and mortality with an incidence of 20-
30% in the developing countries and 3-4% in developed countries.
Since pneumonia is not a reportable illness its incidence is based on
crude estimates. It is estimated that Nepal, India, Bangladesh and
Indonesia account for 40% of global acute respiratory infections.In
Nepal, pneumonia and enteric fever was found to be the main cause
of fever.
• Mortality ranges from about 5-35% with a worse prognosis in older
people, men, and people with chronic disease.
• Despite the advances in diagnostic techniques, in approximately 50%
of the cases, etiology is not found
Risk factors
• Old age population
• Imunocompromised
• Chronic diseases:COPD, Asthma, DM, Chronic heart disease, HIV
• Viral respiratory tract infection
• Impaired airway protection
• Smoking and alcohol overuse
• Lifestyle: crowded area, low income , homeless, exposure to
environmental toxins
• Malnutrition
Etiology(Causes)
• Streptococcus pneumoniae (pneumococcus) and respiratory viruses but
in most of cases no pathogens are detected
• Most identified causes:
• Typical bacteria Atypical
• S. pneumoniae (most common) legionella spp
• Haemophilus influenzae Mycoplasma pneumoniae
• Moraxella catarrhalis chlamydia pneumoniae
• Staphylococcus aureus Chlamydia Psittaci
• Group A streptococci
• Pseudomonas Coxiella Burnetii,
Cont.
Respiratory viruses
• Influenza A and B viruses
• Severe acute respiratory syndrome coronavirus 2 (SARS-CoV-2)
• Other coronaviruses (eg, CoV-229E, CoV-NL63, CoV-OC43, CoV-HKU1)
• Rhinoviruses
• Parainfluenza viruses
• Adenoviruses
• Respiratory syncytial virus
Cont.
Fungi:
• Cryptococcus spp
• Histoplasma capsulatum
• Coccidioides spp
Pathogenesis
Pathology
Stages of Pneumonia
1. Stage of congestion:
2. Stage of red hepatization
3. Stage of grey hepatization
4. Stage of Resolution
Cont..
Clinical features
Symptoms
• High grade fever
• Cough productive/non productive
• Chest pain
• Breathlessness
• Othes:headache, loss of appetite, confusion, excessive sweating
Cont..
Signs :
• Febrile
• Tachypnoea
• Cynosis
• Hypotension
• Altered sensorium
• Confusion
Chest examination: percussion dull, bronchial breathe sounds, crackles,
Pleural rub
Sounds
Investigation
• CBC: Neutrophilic Leucocytosis
• RFT: urea >20mg/dL, Hyponatremia
• Sputum culture
• Gram stain
• AFB
• Giemsa stain: chlamydia , histoplasma
• KOH mount
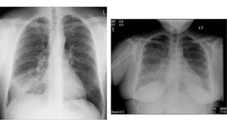
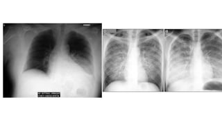
• Chest xray
• Others:, ESR, CRP, Pro-Calcitonin,, ABG, HRCT CHEST, LFT
• Invasive:bronchoscopy, thoracoscopy, biopsy, aspiration
RUL RML
RUL Bronchopneumonia
Interstitial pneumonia
Complication
• Sepsis
• Respiratory failure
• Lung abscess
• Pleural effusion
• ARDS
• Pneumothorax
• Renal failure
• Multi-organ failure
Prevention
The three primary pillars for the prevention of CAP are
• Smoking cessation (when appropriate)
• Influenza vaccination for all patients
• Pneumococcal vaccination for at-risk patients
Management/Treatment/Approch
Severity score
PSI
SCORE(pneumoni
a severity index)
Suitable area for admission
Treatment
The most important aspects of management include
• oxygenation,
• fluid balance and
• antibiotic therapy.
• In severe or prolonged illness, nutritional support may be required.
Oxygenation
• Oxygen should be administered to all patients with tachypnoea,
hypoxaemia, hypotension or acidosis with the aim of maintaining the
PaO2 ≥ 60 mmHg or SaO2 ≥ 92%
Fluid balance
• Intravenous fluids should be considered in those with severe illness,
in older patients and those with vomiting. It may be appropriate to
discontinue hypertensive agents temporarily. Otherwise, an adequate
oral intake of fluid should be encouraged. Inotropic support may be
required in patients with shock
Antibiotics:
Uncomplicated CAP
Amoxicillin 500 mg 3 times daily orally
If patient is allergic to penicillin
Clarithromycin 500 mg twice daily orally or Erythromycin 500 mg 4 times
daily orally
If Staphylococcus is cultured or suspected
Flucloxacillin 1–2 g 4 times daily IV plus Clarithromycin 500 mg twice daily IV
If Mycoplasma or Legionella is suspected
-Clarithromycin 500 mg twice daily orally/IV or Erythromycin 500 mg 4 times
daily orally/IV plus
-Rifampicin 600 mg twice daily IV in severe cases
Cont..
Severe CAP
• Clarithromycin 500 mg twice daily IV or Erythromycin 500 mg 4 times
daily IV plus
• Co-amoxiclav 1.2 g 3 times daily IV or Ceftriaxone 1–2 g daily IV or
Cefuroxime 1.5 g 3 times daily IV or
• Amoxicillin 1 g 4 times daily IV plus flucloxacillin 2 g 4 times daily IV
Physiotherapy:
Cont.(for knowledge)
• For most patients aged <65 years who are otherwise healthy and have
not recently used antibiotics, we typically use oral amoxicillin plus a
macrolide (eg, azithromycin or clarithromycin) or doxycycline.
Generally, we prefer to use a macrolide over doxycycline
• For patients who cannot use any beta-lactam, we select a respiratory
fluoroquinolone (eg, levofloxacin, moxifloxacin, gemifloxacin)
• or patients who can use cephalosporins, we use a third-generation
cephalosporin (eg, cefpodoxime) plus either a macrolide
or doxycycline.
• For most patients without suspicion for MRSA or Pseudomonas, we
treat with a beta-lactam
(eg, ceftriaxone, cefotaxime, ceftaroline, ampicillin-sulbactam,) plus a
macrolide (eg, azithromycin or clarithromycin) or a beta-lactam plus a
respiratory fluoroquinolone (eg, levofloxacin or moxifloxacin)
• For patients with known colonization or prior infection
with Pseudomonas, recent hospitalization with IV antibiotic use, or
other strong suspicion for pseudomonal infection, we typically use
combination therapy with both an antipseudomonal beta-lactam
(eg, piperacillin-tazobactam, cefepime(2g
bd), ceftazidime, meropenem, or imipenem) plus an
antipseudomonal fluoroquinolone (eg, ciprofloxacin or levofloxacin).
The selection of empiric regimens should also be informed by the
susceptibility pattern for prior isolates
Cont..
For patients with known colonization or prior infection with MRSA or
other strong suspicion for MRSA infection, we add an agent with anti-
MRSA activity, such as vancomycin(15-
20mg/kg/dose) or linezolid(600mg BD)
Others antibiotcs: Aztreonam, carbapenems
STEROIDS:
ICU ADMISSION/ indication of referal
• CURB score of 4–5 (see Fig. 17.32), failing to respond rapidly to initial
management
• Persisting hypoxia (PaO2 < 8 kPa (60 mmHg)), despite high
concentrations of oxygen
• Progressive hypercapnia
• Severe acidosis
• Circulatory shock
• Reduced conscious level
Vaccination
• Pneumococcal Polysaccharide vaccine
• Inactivated influenza vaccine
• Live attenuated influenza vaccine
Community-acquired pneumonia: Empiric outpatient antibiotic selection in adults*
Community-acquired pneumonia: Empiric antibiotic selection for adults admitted to the general medical ward*
Community-acquired pneumonia: Empiric antibiotic selection for adults admitted to the intensive care unit*
Hospital Acquired Pneumonia()
• Hospital-acquired pneumonia (HAP) or nosocomial pneumonia refers
to a new episode of pneumonia occurring at least 2 days after
admission to hospital
• . It is the second most common hospital-acquired infection (HAI) and
the leading cause of HAI associated death.
Clinical Feature and Investigation
Same as CAP(community accquired pneumonia)
• The diagnosis should be considered in any hospitalised or ventilated
patient who develops
• purulent sputum (or endotracheal secretions)
• new radiological infiltrates(In xray or CT scan)
• an otherwise unexplained increase in oxygen requirement,
• a core temperature > 38.3°C, and
• a leucocytosis or leucopenia
Factors predisposing/Causes
Reduced host defences against bacteria
• Reduced immune defences (e.g. glucocorticoid treatment, diabetes,
malignancy)
• Reduced cough reflex (e.g. post-operative)
• Disordered mucociliary clearance (e.g. anaesthetic agents)
• Bulbar or vocal cord palsy
Aspiration of nasopharyngeal or gastric secretions
• Immobility or reduced conscious level
• Vomiting, dysphagia (N.B. stroke disease), achalasia or severe reflux
• Nasogastric intubation
Cont.
Bacteria introduced into lower respiratory tract
• Endotracheal intubation/tracheostomy
• Infected ventilators/nebulisers/bronchoscopes
• Dental or sinus infection
Bacteraemia
• Abdominal sepsis
• Intravenous cannula infection
• Infected emboli
Treatment
• The principles of management are similar to those of CAP, focusing on
adequate oxygenation, appropriate fluid balance and antibiotics
• In patients who have received no previous antibiotics, co-amoxiclav or
cefuroxime represents a sensible choice
• If the patient has received a course of recent antibiotics, then
piperacillin/tazobactam or a third-generation
cephalosporin(ceftriazone) should be considered.
• Antipseudomonal cover may be provided by a carbapenem
(meropenem), an anti-pseudomonal cephalosporin or piperacillin–
tazobactam
Cont.
• MRSA cover may be provided by glycopeptides such as vancomycin or
linezolid
Aspiration pneumonia and Suppurative
Pneumonia
Suppurative and Aspiration Pneumonia are considered together as
clinical feature overlap
is characterised by destruction of the lung parenchyma by the
inflammatory process
develop after the inhalation of septic material during operations on the
nose, mouth or throat, under general anaesthesia, or of vomitus during
anaesthesia or coma, particularly if oral hygiene is poor
Additional risk factors for aspiration pneumonia include vocal cord
palsy, achalasia or oesophageal reflux, and alcoholism
Cont.
• The organism(s) isolated from the sputum include Strep.
pneumoniae, Staph. aureus, Streptococcus pyogenes, H. influenzae
Clinical features of Aspiration Pneumonia
Symptoms
• Cough with large amounts of sputum, sometimes fetid and blood-
stained
• Pleural pain common
• Sudden expectoration of copious amounts of foul sputum if abscess
ruptures into a bronchus
Clinical signs
• High remittent pyrexia
• Profound systemic upset
• Digital clubbing may develop quickly (10–14 days)
• Consolidation on chest examination; signs of cavitation rarely found
• Pleural rub common
• Rapid deterioration in general health, with marked weight loss if not
adequately treated
Treatment
• Aspiration pneumonia can usually be treated with amoxicillin and
metronidazole
• MRSA is usually susceptible to a variety of oral non-β-lactam
antibiotics, such as trimethoprim/sulfamethoxazole, clindamycin,
tetracyclines and linezolid, VANCOMYCIN
Pneumonia in the immunocompromised
patient
• Patients immunocompromised by drugs or disease (particularly
human immunodeficiency virus (HIV) infection are at increased risk of
pulmonary infection and pneumonia is the most common cause of
death in this group
• low virulence or non-pathogenic, may become ‘opportunistic’
pathogens cause pneumonia
• Depending on the clinical context, clinicians should consider the
possibility of Gram-negative bacteria, especially P. aeruginosa,
viruses, fungi, mycobacteria
• Infection is often due to more than one organism
Clinical Feature
• fever,
• cough and
• breathlessness
but are influenced by the degree of immunosuppression
Other similar to other type of pneumonia
treatment
• treatment should be based on an established aetiological diagnosis;
• in practice, however, the causative agent is frequently unknown.
• Factors that favour a bacterial aetiology include neutropenia, rapid
onset and deterioration
• broad-spectrum antibiotic therapy should be commenced
immediately, e.g. a third-generation cephalosporin(ceftriazone), or a
quinolone(ciprofloxacin , levofloxacin), plus an antistaphylococcal
antibiotic(amoxicillin), or an antipseudomonal penicillin(piperacillin)
Thank you

pneumonia.pptx

  • 1.
  • 3.
    Pneumonia: Pneumonia is ainflammation and consolidation of lungs tissue due to an infectious agent. • Pneumonia is frequently categorized based on site of acquisition. • ●Community-acquired pneumonia (CAP) refers to an acute infection of the pulmonary parenchyma acquired outside of the hospital. • ●Nosocomial pneumonia refers to an acute infection of the pulmonary parenchyma acquired in hospital settings and encompasses both hospital- acquired pneumonia (HAP) and ventilator-associated pneumonia (VAP). • •HAP refers to pneumonia acquired ≥48 hours after hospital admission. • •VAP refers to pneumonia acquired ≥48 hours after endotracheal intubation.
  • 4.
    • Pneumonia causesinflammation in the alveoli • Alveoli are filled with fluid or pus, making difficulty to breathe. • Affects alveoli rather than the bronchi • CONSOLIDATION: Inflammatory induration of a normally aerated lung due to the presence of cellular exudative in alveoli • More Likely to occur due to: • immunocompromised • potent microbe
  • 5.
    Anatomical classification • Bronchopneumonia(patchyinflammation of multiple lobes) • Lobar pneumonia(involves one or more lobe) • Interstitial pneumonia(inflammatory inflitrate of alveolar wall) Etiological classification • Bacterial infection • Viral infection • Fungal infection
  • 6.
  • 7.
    Incidence. • It isa major cause of morbidity and mortality with an incidence of 20- 30% in the developing countries and 3-4% in developed countries. Since pneumonia is not a reportable illness its incidence is based on crude estimates. It is estimated that Nepal, India, Bangladesh and Indonesia account for 40% of global acute respiratory infections.In Nepal, pneumonia and enteric fever was found to be the main cause of fever. • Mortality ranges from about 5-35% with a worse prognosis in older people, men, and people with chronic disease. • Despite the advances in diagnostic techniques, in approximately 50% of the cases, etiology is not found
  • 8.
    Risk factors • Oldage population • Imunocompromised • Chronic diseases:COPD, Asthma, DM, Chronic heart disease, HIV • Viral respiratory tract infection • Impaired airway protection • Smoking and alcohol overuse • Lifestyle: crowded area, low income , homeless, exposure to environmental toxins • Malnutrition
  • 9.
    Etiology(Causes) • Streptococcus pneumoniae(pneumococcus) and respiratory viruses but in most of cases no pathogens are detected • Most identified causes: • Typical bacteria Atypical • S. pneumoniae (most common) legionella spp • Haemophilus influenzae Mycoplasma pneumoniae • Moraxella catarrhalis chlamydia pneumoniae • Staphylococcus aureus Chlamydia Psittaci • Group A streptococci • Pseudomonas Coxiella Burnetii,
  • 10.
    Cont. Respiratory viruses • InfluenzaA and B viruses • Severe acute respiratory syndrome coronavirus 2 (SARS-CoV-2) • Other coronaviruses (eg, CoV-229E, CoV-NL63, CoV-OC43, CoV-HKU1) • Rhinoviruses • Parainfluenza viruses • Adenoviruses • Respiratory syncytial virus
  • 11.
    Cont. Fungi: • Cryptococcus spp •Histoplasma capsulatum • Coccidioides spp
  • 12.
  • 13.
    Pathology Stages of Pneumonia 1.Stage of congestion: 2. Stage of red hepatization 3. Stage of grey hepatization 4. Stage of Resolution
  • 14.
  • 15.
    Clinical features Symptoms • Highgrade fever • Cough productive/non productive • Chest pain • Breathlessness • Othes:headache, loss of appetite, confusion, excessive sweating
  • 16.
    Cont.. Signs : • Febrile •Tachypnoea • Cynosis • Hypotension • Altered sensorium • Confusion Chest examination: percussion dull, bronchial breathe sounds, crackles, Pleural rub
  • 17.
  • 18.
    Investigation • CBC: NeutrophilicLeucocytosis • RFT: urea >20mg/dL, Hyponatremia • Sputum culture • Gram stain • AFB • Giemsa stain: chlamydia , histoplasma • KOH mount • Chest xray • Others:, ESR, CRP, Pro-Calcitonin,, ABG, HRCT CHEST, LFT • Invasive:bronchoscopy, thoracoscopy, biopsy, aspiration
  • 25.
  • 26.
  • 27.
  • 29.
    Complication • Sepsis • Respiratoryfailure • Lung abscess • Pleural effusion • ARDS • Pneumothorax • Renal failure • Multi-organ failure
  • 30.
    Prevention The three primarypillars for the prevention of CAP are • Smoking cessation (when appropriate) • Influenza vaccination for all patients • Pneumococcal vaccination for at-risk patients
  • 31.
  • 32.
  • 33.
  • 34.
  • 35.
    Treatment The most importantaspects of management include • oxygenation, • fluid balance and • antibiotic therapy. • In severe or prolonged illness, nutritional support may be required.
  • 36.
    Oxygenation • Oxygen shouldbe administered to all patients with tachypnoea, hypoxaemia, hypotension or acidosis with the aim of maintaining the PaO2 ≥ 60 mmHg or SaO2 ≥ 92%
  • 37.
    Fluid balance • Intravenousfluids should be considered in those with severe illness, in older patients and those with vomiting. It may be appropriate to discontinue hypertensive agents temporarily. Otherwise, an adequate oral intake of fluid should be encouraged. Inotropic support may be required in patients with shock
  • 38.
    Antibiotics: Uncomplicated CAP Amoxicillin 500mg 3 times daily orally If patient is allergic to penicillin Clarithromycin 500 mg twice daily orally or Erythromycin 500 mg 4 times daily orally If Staphylococcus is cultured or suspected Flucloxacillin 1–2 g 4 times daily IV plus Clarithromycin 500 mg twice daily IV If Mycoplasma or Legionella is suspected -Clarithromycin 500 mg twice daily orally/IV or Erythromycin 500 mg 4 times daily orally/IV plus -Rifampicin 600 mg twice daily IV in severe cases
  • 39.
    Cont.. Severe CAP • Clarithromycin500 mg twice daily IV or Erythromycin 500 mg 4 times daily IV plus • Co-amoxiclav 1.2 g 3 times daily IV or Ceftriaxone 1–2 g daily IV or Cefuroxime 1.5 g 3 times daily IV or • Amoxicillin 1 g 4 times daily IV plus flucloxacillin 2 g 4 times daily IV Physiotherapy:
  • 40.
    Cont.(for knowledge) • Formost patients aged <65 years who are otherwise healthy and have not recently used antibiotics, we typically use oral amoxicillin plus a macrolide (eg, azithromycin or clarithromycin) or doxycycline. Generally, we prefer to use a macrolide over doxycycline • For patients who cannot use any beta-lactam, we select a respiratory fluoroquinolone (eg, levofloxacin, moxifloxacin, gemifloxacin) • or patients who can use cephalosporins, we use a third-generation cephalosporin (eg, cefpodoxime) plus either a macrolide or doxycycline.
  • 41.
    • For mostpatients without suspicion for MRSA or Pseudomonas, we treat with a beta-lactam (eg, ceftriaxone, cefotaxime, ceftaroline, ampicillin-sulbactam,) plus a macrolide (eg, azithromycin or clarithromycin) or a beta-lactam plus a respiratory fluoroquinolone (eg, levofloxacin or moxifloxacin)
  • 42.
    • For patientswith known colonization or prior infection with Pseudomonas, recent hospitalization with IV antibiotic use, or other strong suspicion for pseudomonal infection, we typically use combination therapy with both an antipseudomonal beta-lactam (eg, piperacillin-tazobactam, cefepime(2g bd), ceftazidime, meropenem, or imipenem) plus an antipseudomonal fluoroquinolone (eg, ciprofloxacin or levofloxacin). The selection of empiric regimens should also be informed by the susceptibility pattern for prior isolates
  • 43.
    Cont.. For patients withknown colonization or prior infection with MRSA or other strong suspicion for MRSA infection, we add an agent with anti- MRSA activity, such as vancomycin(15- 20mg/kg/dose) or linezolid(600mg BD) Others antibiotcs: Aztreonam, carbapenems STEROIDS:
  • 44.
    ICU ADMISSION/ indicationof referal • CURB score of 4–5 (see Fig. 17.32), failing to respond rapidly to initial management • Persisting hypoxia (PaO2 < 8 kPa (60 mmHg)), despite high concentrations of oxygen • Progressive hypercapnia • Severe acidosis • Circulatory shock • Reduced conscious level
  • 45.
    Vaccination • Pneumococcal Polysaccharidevaccine • Inactivated influenza vaccine • Live attenuated influenza vaccine
  • 46.
    Community-acquired pneumonia: Empiricoutpatient antibiotic selection in adults*
  • 47.
    Community-acquired pneumonia: Empiricantibiotic selection for adults admitted to the general medical ward*
  • 48.
    Community-acquired pneumonia: Empiricantibiotic selection for adults admitted to the intensive care unit*
  • 49.
    Hospital Acquired Pneumonia() •Hospital-acquired pneumonia (HAP) or nosocomial pneumonia refers to a new episode of pneumonia occurring at least 2 days after admission to hospital • . It is the second most common hospital-acquired infection (HAI) and the leading cause of HAI associated death.
  • 50.
    Clinical Feature andInvestigation Same as CAP(community accquired pneumonia) • The diagnosis should be considered in any hospitalised or ventilated patient who develops • purulent sputum (or endotracheal secretions) • new radiological infiltrates(In xray or CT scan) • an otherwise unexplained increase in oxygen requirement, • a core temperature > 38.3°C, and • a leucocytosis or leucopenia
  • 51.
    Factors predisposing/Causes Reduced hostdefences against bacteria • Reduced immune defences (e.g. glucocorticoid treatment, diabetes, malignancy) • Reduced cough reflex (e.g. post-operative) • Disordered mucociliary clearance (e.g. anaesthetic agents) • Bulbar or vocal cord palsy Aspiration of nasopharyngeal or gastric secretions • Immobility or reduced conscious level • Vomiting, dysphagia (N.B. stroke disease), achalasia or severe reflux • Nasogastric intubation
  • 52.
    Cont. Bacteria introduced intolower respiratory tract • Endotracheal intubation/tracheostomy • Infected ventilators/nebulisers/bronchoscopes • Dental or sinus infection Bacteraemia • Abdominal sepsis • Intravenous cannula infection • Infected emboli
  • 53.
    Treatment • The principlesof management are similar to those of CAP, focusing on adequate oxygenation, appropriate fluid balance and antibiotics • In patients who have received no previous antibiotics, co-amoxiclav or cefuroxime represents a sensible choice • If the patient has received a course of recent antibiotics, then piperacillin/tazobactam or a third-generation cephalosporin(ceftriazone) should be considered. • Antipseudomonal cover may be provided by a carbapenem (meropenem), an anti-pseudomonal cephalosporin or piperacillin– tazobactam
  • 54.
    Cont. • MRSA covermay be provided by glycopeptides such as vancomycin or linezolid
  • 55.
    Aspiration pneumonia andSuppurative Pneumonia Suppurative and Aspiration Pneumonia are considered together as clinical feature overlap is characterised by destruction of the lung parenchyma by the inflammatory process develop after the inhalation of septic material during operations on the nose, mouth or throat, under general anaesthesia, or of vomitus during anaesthesia or coma, particularly if oral hygiene is poor Additional risk factors for aspiration pneumonia include vocal cord palsy, achalasia or oesophageal reflux, and alcoholism
  • 56.
    Cont. • The organism(s)isolated from the sputum include Strep. pneumoniae, Staph. aureus, Streptococcus pyogenes, H. influenzae
  • 57.
    Clinical features ofAspiration Pneumonia Symptoms • Cough with large amounts of sputum, sometimes fetid and blood- stained • Pleural pain common • Sudden expectoration of copious amounts of foul sputum if abscess ruptures into a bronchus
  • 58.
    Clinical signs • Highremittent pyrexia • Profound systemic upset • Digital clubbing may develop quickly (10–14 days) • Consolidation on chest examination; signs of cavitation rarely found • Pleural rub common • Rapid deterioration in general health, with marked weight loss if not adequately treated
  • 59.
    Treatment • Aspiration pneumoniacan usually be treated with amoxicillin and metronidazole • MRSA is usually susceptible to a variety of oral non-β-lactam antibiotics, such as trimethoprim/sulfamethoxazole, clindamycin, tetracyclines and linezolid, VANCOMYCIN
  • 60.
    Pneumonia in theimmunocompromised patient • Patients immunocompromised by drugs or disease (particularly human immunodeficiency virus (HIV) infection are at increased risk of pulmonary infection and pneumonia is the most common cause of death in this group • low virulence or non-pathogenic, may become ‘opportunistic’ pathogens cause pneumonia • Depending on the clinical context, clinicians should consider the possibility of Gram-negative bacteria, especially P. aeruginosa, viruses, fungi, mycobacteria • Infection is often due to more than one organism
  • 61.
    Clinical Feature • fever, •cough and • breathlessness but are influenced by the degree of immunosuppression Other similar to other type of pneumonia
  • 62.
    treatment • treatment shouldbe based on an established aetiological diagnosis; • in practice, however, the causative agent is frequently unknown. • Factors that favour a bacterial aetiology include neutropenia, rapid onset and deterioration • broad-spectrum antibiotic therapy should be commenced immediately, e.g. a third-generation cephalosporin(ceftriazone), or a quinolone(ciprofloxacin , levofloxacin), plus an antistaphylococcal antibiotic(amoxicillin), or an antipseudomonal penicillin(piperacillin)
  • 63.

Editor's Notes

  • #16 Cough (with or without sputum production), dyspnea, and pleuritic chest pain are among the most common symptoms associated with CAP. Signs of pneumonia on physical examination include tachypnea, increased work of breathing, and adventitious breath sounds, including rales/crackles and rhonchi. Tactile fremitus, egophony, and dullness to percussion also suggest pneumonia. These signs and symptoms result from the accumulation of white blood cells (WBCs), fluid, and proteins in the alveolar space. Hypoxemia can result from the subsequent impairment of alveolar gas exchange. On chest radiograph, accumulation of WBCs and fluid within the alveoli appears as pulmonary opacities
  • #22 Chest radiograph (A) shows a bilateral reticulonodular pattern. High-resolution computed tomography (CT) image at the level of the main bronchi (B) demonstrates bilateral ground-glass opacities and centrilobular nodules (arrows). High-resolution CT scan at the level of the basal segmental bronchi (C) shows centrilobular nodules (straight arrows), branching opacities (tree-in-bud pattern; curved arrow), ground-glass opacities, small foci of consolidation, and mild thickening of the interlobular septa (arrowheads). The patient was a 20-year-old man with Mycoplasma pneumoniae pneumonia.
  • #40 Antibiotics are relative to change according to hospital and area of setting
  • #47 For all patients, our empiric regimens are designed to target:◊Streptococcus pneumoniae (most common bacterial CAP pathogen) Atypical pathogens (eg, Legionella spp, Mycoplasma pneumoniae, Chlamydia pneumoniae) Coverage is expanded in those with comorbidities, older age, or recent antibiotic use to include or better treat:Beta-lactamase-producing Haemophilus influenzae Moraxella catarrhalis Methicillin-susceptible Staphylococcus aureus For patients with structural lung disease (eg, advanced COPD), coverage is further expanded to include Enterobacteriaceae, such as Escherichia coli and Klebsiella spp. ATS/IDSA: American Thoracic Society/Infectious Diseases Society of America; COPD: chronic obstructive pulmonary disease; CAP: community-acquired pneumonia; IgE: immunoglobulin E. * Major comorbidities include but are not limited to chronic heart, renal, or liver disease, diabetes mellitus, asplenia, and immunosuppression. ¶ Patients with mild non-IgE-mediated reactions (eg, maculopapular rash) to penicillin or known cephalosporin tolerance can generally use later-generation cephalosporins safely. Patients with IgE-mediated reactions (hives, angioedema, anaphylaxis) or severe delayed reactions should generally use other agents. Refer to the UpToDate text on penicillin hypersensitivity reactions for detail. Δ Reasons to avoid macrolides include baseline prolonged QTc interval or risk for QTc prolongation (eg, hypokalemia, hypomagnesemia, clinically significant bradycardia, or use of other QT-prolonging agents). ◊ Our approach differs from the ATS/IDSA, which recommend monotherapy with amoxicillin, doxycycline, or a macrolide (in areas where macrolide resistance is low) as options for patients without comorbidities or risk factors for drug-resistant S. pneumoniae. By contrast, we prefer to treat all patients with a regimen that treats most strains of drug-resistant S. pneumoniae and atypical pathogens for all patients because the potential to reduce morbidity is high and the downside of a short course of therapy for most patients is low. Refer to the UpToDate text for detail. § For macrolides, resistance rates among S. pneumoniae are often >30% in the United States and typically >25% for most parts of the world, apart from some regions in Northern Europe. For doxycycline, resistance rates are less well established but are approximately 10 to 20% in the United States and likely rising. ¥ Lefamulin is a newer agent that is active against most CAP pathogens including S. pneumoniae, H. influenzae, M. catarrhalis, S. aureus, and atypical pathogens. Although lefamulin lacks activity against Enterobacteriaceae (eg, Klebsiella spp and E. coli) and thus is not appropriate for patients with structural lung disease, its more targeted spectrum makes it less disruptive to the microbiome. Clinical experience with lefamulin is limited, and it is not recommended in moderate to severe hepatic dysfunction, pregnancy, breastfeeding, known long QT syndrome, or with concomitant QT-prolonging agents. There are drug interactions with CYP3A4 and P-gp inducers and substrates; in addition, lefamulin tablets are contraindicated with QT-prolonging CYP3A4 substrates. Refer to the Lexicomp drug monograph and UpToDate text for detail. ‡ Omadacycline is another newer agent that is active against most CAP pathogens, including Enterobacteriaceae. It is a potential alternative for patients who cannot tolerate beta-lactams (or other agents) and want to avoid fluoroquinolones. Graphic 111829 Version 8.0 © 2023 UpToDate, Inc. and/or its affiliates. All Rights Reserved.
  • #48 CAP: community-acquired pneumonia; MRSA: methicillin-resistant Staphylococcus aureus; PCR: polymerase chain reaction; IV: intravenous; COPD: chronic obstructive pulmonary disease. * This algorithm is intended for patients in whom admission to a general medical ward is considered appropriate. Refer to related UpToDate content to determine the site of care. Antibiotics should be administered as soon as possible after diagnosing CAP. If the etiology of CAP has been identified based upon reliable microbiologic methods and there is no laboratory or epidemiologic evidence of coinfection, treatment regimens should be simplified and directed to that pathogen. ¶ Individuals with a past reaction to penicillin that was mild (not Stevens Johnson syndrome, toxic epidermal necrolysis, or drug reaction with eosinophilia and systemic symptoms [DRESS]) and did not have features of an immunoglobulin (Ig)E-mediated reaction can receive a broad-spectrum (third- or fourth-generation) cephalosporin or carbapenem safely. Δ Empiric therapy with aztreonam plus levofloxacin plus an aminoglycoside is generally appropriate for patients who warrant antipseudomonal coverage but have beta-lactam allergies that preclude the use of penicillins, cephalosporins, and carbapenems. However, patients with a prior life-threatening or anaphylactic reaction to ceftazidime should not be given aztreonam unless evaluated by an allergy specialist because of the possibility of cross-reactivity. Such patients can receive levofloxacin plus an aminoglycoside for antipseudomonal coverage in the interim. ◊ Combination therapy with a beta-lactam plus a macrolide and monotherapy with a respiratory fluoroquinolone are of generally comparable efficacy for CAP overall. However, many observational studies have suggested that beta-lactam plus macrolide combination regimens are associated with better clinical outcomes in patients with severe CAP, possibly due to the immunomodulatory effects of macrolides. Furthermore, the severity of adverse effects (including the risk for Clostridioides [formerly Clostridium] difficile infection) and the risk of selection for resistance in colonizing organisms are generally thought to be greater with fluoroquinolones than with the combination therapy regimens. For both of these reasons, we generally prefer combination therapy with a beta-lactam plus a macrolide rather than monotherapy with a fluoroquinolone. Nevertheless, cephalosporins and other antibiotic classes also increase the risk of C. difficile infection. Recent antibiotic use should also inform the decision about the most appropriate regimen; if the patient has used a beta-lactam in the prior three months, a fluoroquinolone should be chosen if possible, and vice versa. § Omadacycline and lefamulin are newer agents and potential alternatives for patients who cannot tolerate beta-lactams (or other agents) and want to avoid fluoroquinolones, although use may be limited by availability and/or insurance coverage. ¥ Examples of contraindications include increased risk for a prolonged QT interval and allergy. ‡ Doxycycline should not be used in pregnant women. † The combination of vancomycin and piperacillin-tazobactam has been associated with acute kidney injury. In patients who require an anti-MRSA agent and an antipseudomonal/antipneumococcal beta-lactam, options include using a beta-lactam other than piperacillin-tazobactam (eg, cefepime or ceftazidime) or, if piperacillin-tazobactam is favored, using linezolid instead of vancomycin. ** Ceftaroline has activity against MRSA but not Pseudomonas; because of its extended spectrum, it is often reserved for patients with concern for MRSA. Graphic 112543 Version 8.0 © 2023 UpToDate, Inc. and/or its affiliates. All Rights Reserved.
  • #49 CAP: community-acquired pneumonia; MRSA: methicillin-resistant Staphylococcus aureus; PCR: polymerase chain reaction; IV: intravenous; COPD: chronic obstructive pulmonary disease. * This algorithm is intended for patients in whom admission to an intensive care unit is considered appropriate. Refer to related UpToDate content to determine the site of care. Antibiotics should be administered as soon as possible after diagnosing CAP. If the etiology of CAP has been identified based upon reliable microbiologic methods and there is no laboratory or epidemiologic evidence of coinfection, treatment regimens should be simplified and directed to that pathogen. ¶ Individuals with a past reaction to penicillin that was mild (not Stevens Johnson syndrome, toxic epidermal necrolysis, or drug reaction with eosinophilia and systemic symptoms [DRESS]) and did not have features of an immunoglobulin (Ig)E-mediated reaction can receive a broad-spectrum (third- or fourth-generation) cephalosporin or carbapenem safely. Δ Empiric therapy with aztreonam plus levofloxacin plus an aminoglycoside is generally appropriate for patients who warrant antipseudomonal coverage but have beta-lactam allergies that preclude the use of penicillins, cephalosporins, and carbapenems. However, patients with a prior life-threatening or anaphylactic reaction to ceftazidime should not be given aztreonam unless evaluated by an allergy specialist because of the possibility of cross-reactivity. Such patients can receive levofloxacin plus an aminoglycoside for antipseudomonal coverage in the interim. ◊ Regimens containing either a macrolide or fluoroquinolone have been generally comparable in clinical trials. However, many observational studies have suggested that macrolide-containing regimens are associated with better clinical outcomes for patients with severe CAP, possibly due to the immunomodulatory effects of macrolides. Furthermore, the severity of adverse effects (including the risk for Clostridioides [formerly Clostridium] difficile infection) and the risk of selection for resistance in colonizing organisms are generally thought to be greater with fluoroquinolones than with other antibiotic classes. For this reason, we generally favor a macrolide-containing regimen in this setting, unless there is a specific reason to avoid macrolides, such as patient allergy or intolerance. Recent antibiotic use should also inform the decision about the most appropriate regimen; if the patient has used a beta-lactam in the prior three months, a fluoroquinolone should be chosen if possible, and vice versa. § The combination of vancomycin and piperacillin-tazobactam has been associated with acute kidney injury. In patients who require an anti-MRSA agent and an antipseudomonal/antipneumococcal beta-lactam, options include using a beta-lactam other than piperacillin-tazobactam (eg, cefepime or ceftazidime) or, if piperacillin-tazobactam is favored, using linezolid instead of vancomycin. ¥ Ceftaroline has activity against MRSA but not Pseudomonas; because of its extended spectrum, it is often reserved for patients with concern for MRSA. Graphic 112544 Version 7.0 © 2023 UpToDate, Inc. and/or its affiliates. All Rights Reserved.