PANORAMIC
RADIOGRAPHS
Group members:
Arun Kowlessar
Chelsea Maharaj
Danielle Noel
Mikaeel Mohammed
Sanjiv Morgan
OUTLINE
● Zones of the OPG
● Midfacial region landmarks
● Mandibular bony projections
● Other structures seen & Ghost shadows
ZONES OF THE OPG
The dentition
The nose-sinus
The mandible
The
spine-ramus
area
The hyoid
bone
The TMJ
MIDFACIAL REGION LANDMARKS
Radiopaque features:
● Mastoid process
● Styloid process
● Glenoid fossa
● Articular eminence
● Lateral pterygoid plate
● Maxillary tuberosity
● Anterior nasal spine
● Conchae
● Floor of maxillary sinus
● Nasal septum
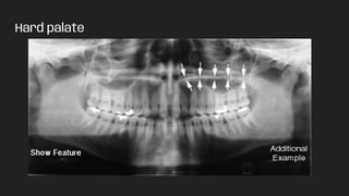
● Hard palate
● Zygomatic process of the
maxilla
● Zygoma
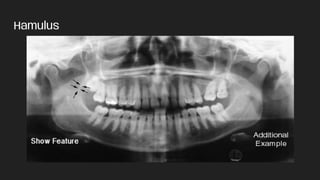
● Hamulus
● Dentition
Mastoid process
Styloid process
Glenoid fossa
Articular eminence
Lateral pterygoid plate
Maxillary tuberosity
Anterior nasal spine
Anterior aspect of inferior concha and floor of maxillary sinus
Nasal septum
Hard palate
Zygomatic process of the maxilla and zygoma
Hamulus
Dentition
MIDFACIAL REGION LANDMARKS
Radiolucent features:
● External auditory meatus
● Pterygomaxillary fissure
● Infraorbital foramen
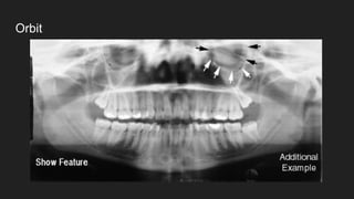
● Orbit
● Incisive canal
● Incisive foramen
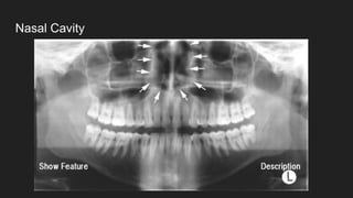
● Nasal cavity
● Maxillary sinus
External Auditory Meatus
Pterygomaxillary fissure
Infraorbital foramen
Orbit
Incisive canal and Incisive Foramen
Nasal Cavity
Maxillary sinus
MANDIBULAR BONY PROJECTIONS
The mandible is compartmentalized into various and standardized anatomic
structures located as part of the normal landmarks. The landmarks are as
follows:
1) Condylar process and TMJ
2) Coronoid process
3) Ramus
4) Body and angle of the mandible
5) Anterior sextant
6) Mandibular dentition and the supporting alveolus
Radiopaque vs Radiolucent Structures of Mandibular
Segment
Radiopaque
● Mandibular condyle
● Coronoid process
● Ramus
● Lingula & Mandibular Canal
● Hyoid bone
● Mental ridge
● Genial Tubercles
● Mylohyoid ridge
● Internal oblique ridge
● External oblique ridge
● Inferior border of mandible
Radiolucent
● Coronoid notch/sigmoid notch
● Mandibular Foramen
● Mental foramen
● Mental fossa
● Lingual foramen
Labelled Structures :
1) Mandibular Condyle
2) Coronoid Notch
3) Coronoid process
4) Ramus of Mandible
5) Mandibular/Incisive canal
Foramen and Canals
Hyoid Bone
Mental Ridge and Fossa
Inferior border of the mandible
Lingual Foramen, Genial Tubercles, Internal Oblique Ridge
External Oblique Ridge
OTHER STRUCTURES
LANDMARKS WHICH APPEAR AS RADIOPAQUE:
· Tongue
· Soft palate
· Uvula
· Ear
· Lip Line
LANDMARKS WHICH APPEAR AS RADIOLUCENT:
· Palatoglossal air space
· Nasopharyngeal air space
· Glossopharyngeal air space
POINTS FOR STRUCTURES:
1. Tongue: It appears as a radiopaque area superimposed over the posterior maxillary teeth.
2. Soft palate and uvula: It is represented as radiopacity located diagonally posteriorly and
inferiorly from the maxillary tuberosity region.
3. Lipline: It is seen in the anterior teeth region. The areas of the teeth covered by lips appear
more radiopaque.
4. Ear: It is marked as a radiopaque shadow that projects anteriorly and inferiorly from the
mastoid process.
5. Palatoglossal air space: It appears as a radiolucent band located above the apices of the
maxillary teeth.
6. Nasopharyngeal air space: It is a diagonal radiolucent band located superior to the radiopaque
shadow of the soft palate and uvula.
7. Glossopharyngeal air space: It is a vertical radiolucent band superimposed over the
mandibular ramus.
8. The epiglottis can often be seen as a thin finger-like projection extending from the posterior
tongue, below the angles of the mandible
GHOST IMAGES
A ghost image is a commonly observed artifact in an orthopantomogram
whereby a dense, often metallic object is located between the source of
x-ray and the focal centre, resulting in a duplicate 'ghost' image at the
contralateral aspect of the image.
PANORAMIC RADIOGRAPHS .pdf
PANORAMIC RADIOGRAPHS .pdf

PANORAMIC RADIOGRAPHS .pdf

  • 1.
    PANORAMIC RADIOGRAPHS Group members: Arun Kowlessar ChelseaMaharaj Danielle Noel Mikaeel Mohammed Sanjiv Morgan
  • 2.
    OUTLINE ● Zones ofthe OPG ● Midfacial region landmarks ● Mandibular bony projections ● Other structures seen & Ghost shadows
  • 3.
    ZONES OF THEOPG The dentition The nose-sinus The mandible The spine-ramus area The hyoid bone The TMJ
  • 4.
    MIDFACIAL REGION LANDMARKS Radiopaquefeatures: ● Mastoid process ● Styloid process ● Glenoid fossa ● Articular eminence ● Lateral pterygoid plate ● Maxillary tuberosity ● Anterior nasal spine ● Conchae ● Floor of maxillary sinus ● Nasal septum ● Hard palate ● Zygomatic process of the maxilla ● Zygoma ● Hamulus ● Dentition
  • 5.
  • 6.
  • 7.
  • 8.
  • 9.
  • 10.
  • 11.
  • 12.
    Anterior aspect ofinferior concha and floor of maxillary sinus
  • 13.
  • 14.
  • 15.
    Zygomatic process ofthe maxilla and zygoma
  • 16.
  • 17.
  • 18.
    MIDFACIAL REGION LANDMARKS Radiolucentfeatures: ● External auditory meatus ● Pterygomaxillary fissure ● Infraorbital foramen ● Orbit ● Incisive canal ● Incisive foramen ● Nasal cavity ● Maxillary sinus
  • 19.
  • 20.
  • 21.
  • 22.
  • 23.
    Incisive canal andIncisive Foramen
  • 24.
  • 25.
  • 26.
    MANDIBULAR BONY PROJECTIONS Themandible is compartmentalized into various and standardized anatomic structures located as part of the normal landmarks. The landmarks are as follows: 1) Condylar process and TMJ 2) Coronoid process 3) Ramus 4) Body and angle of the mandible 5) Anterior sextant 6) Mandibular dentition and the supporting alveolus
  • 27.
    Radiopaque vs RadiolucentStructures of Mandibular Segment Radiopaque ● Mandibular condyle ● Coronoid process ● Ramus ● Lingula & Mandibular Canal ● Hyoid bone ● Mental ridge ● Genial Tubercles ● Mylohyoid ridge ● Internal oblique ridge ● External oblique ridge ● Inferior border of mandible Radiolucent ● Coronoid notch/sigmoid notch ● Mandibular Foramen ● Mental foramen ● Mental fossa ● Lingual foramen
  • 28.
    Labelled Structures : 1)Mandibular Condyle 2) Coronoid Notch 3) Coronoid process 4) Ramus of Mandible 5) Mandibular/Incisive canal
  • 29.
  • 30.
  • 31.
  • 32.
    Inferior border ofthe mandible
  • 33.
    Lingual Foramen, GenialTubercles, Internal Oblique Ridge
  • 34.
  • 35.
    OTHER STRUCTURES LANDMARKS WHICHAPPEAR AS RADIOPAQUE: · Tongue · Soft palate · Uvula · Ear · Lip Line LANDMARKS WHICH APPEAR AS RADIOLUCENT: · Palatoglossal air space · Nasopharyngeal air space · Glossopharyngeal air space
  • 40.
    POINTS FOR STRUCTURES: 1.Tongue: It appears as a radiopaque area superimposed over the posterior maxillary teeth. 2. Soft palate and uvula: It is represented as radiopacity located diagonally posteriorly and inferiorly from the maxillary tuberosity region. 3. Lipline: It is seen in the anterior teeth region. The areas of the teeth covered by lips appear more radiopaque. 4. Ear: It is marked as a radiopaque shadow that projects anteriorly and inferiorly from the mastoid process. 5. Palatoglossal air space: It appears as a radiolucent band located above the apices of the maxillary teeth. 6. Nasopharyngeal air space: It is a diagonal radiolucent band located superior to the radiopaque shadow of the soft palate and uvula. 7. Glossopharyngeal air space: It is a vertical radiolucent band superimposed over the mandibular ramus. 8. The epiglottis can often be seen as a thin finger-like projection extending from the posterior tongue, below the angles of the mandible
  • 41.
    GHOST IMAGES A ghostimage is a commonly observed artifact in an orthopantomogram whereby a dense, often metallic object is located between the source of x-ray and the focal centre, resulting in a duplicate 'ghost' image at the contralateral aspect of the image.