OSTEOSARCOMA &
EWING'S SARCOMA
Dr. Mirant Dave
TOPICS COVERED
• Introduction
• Patient Presentation
• Genetic Basis
• Classification
• Radiological Findings
• Biopsy
• Management
• Prognosis
• Case Report
OSTEOSARCOMA
Characterized by the production of Osteoid by Malignant
Cells.
MOST COMMON
• Second Most Common Primary Malignant Tumor of Bone,
accounting for approximately 20% of primary bone cancers.
• Most Common Bone Tumor Multiple Myeloma (40%)
• M>F
• Onset
• Primary high-grade - Second decade of life
• Par-osteal - Third and Fourth decades
• Secondary (Paget disease or previous radiation therapy) - Older
individuals
Campbell 13th Ed.
PATIENT PRESENTATION
• High Grade – Progressive Pain, Short Duration
• Night Pain – Important Clue (25% Patients)
• Swelling
• Low Grade – Painless Mass
• Pathologic fractures are not particularly common
• Tumor spread to the lungs only rarely results in respiratory symptoms
and usually indicates extensive lung involvement
CLINICAL EXAMINATION
• Mass - A palpable mass may or may not be present; the mass may be
tender and warm, though these signs are indistinguishable from
osteomyelitis; increased skin vascularity over the mass may be
discernible; pulsations or a bruit may be detectable
• Decreased range of motion - Involvement of a joint
• Lymphadenopathy - Involvement of local or regional lymph nodes is
unusual
• Respiratory findings - Auscultation is usually uninformative unless the
disease is extensive
STUDY ON AVERAGE DELAY IN
DIAGNOSIS
• The average delay from the onset of symptoms to the correct
diagnosis was approximately 15 weeks in one study.
• The average patient delay of 6 weeks (the time between the
onset of symptoms and initial physician encounter)
• The average physician delay of 9 weeks (the time from the first
visit to the correct diagnosis)
• Failure to obtain radiographs at the initial visit
• Failure to repeat the radiographs when a patient’s symptoms persisted or
worsened.
Campbell 13th Ed.
GENETIC BASIS
• Very Rare
• More Common in
• Retinoblastoma (involves specific somatic loss of constitutional
heterozygosity for the region of human chromosome 13 that includes the RB1
locus)
• Rothmund-Thomson syndrome (Patients with RTS due to genetic
mutations of RECQL4 genes carry a high risk of developing osteosarcoma
during childhood)
• Li-Fraumeni syndrome (a hereditary cancer predisposition syndrome that is
commonly associated with a germline mutation in the tumor suppressor
gene p53)
SKELETAL LOCATIONS
• All skeletal locations can be affected
• Most occur at the sites of Rapid Bone Growth
• Distal Femur
• Proximal Tibia
• Proximal Humerus
• Most common - aggressive lesion in the Metaphysis of a long
bone.
• 10% are primarily Diaphyseal & <1% are primarily Epiphyseal.
TYPES
• Primary Osteosarcomas
• Conventional (M/C)
• Telangiectatic
• Small Cell Osteosarcoma
• Low-grade Intramedullary
• High-grade Surface
• Par-osteal
• Periosteal
• Secondary osteosarcoma (10 to 15
Years)
• Paget Disease
• Previous Radiation Therapy
• Fibrous Dysplasia
TYPES
• Synchronous Osteosarcoma
• Multiple sites may become
apparent within a period of about 6
months
• Metachronous Osteosarcoma
• Multiple sites may be noted over a
period longer than 6 months
CONVENTIONAL OSTEOSARCOMA
• High-grade tumors
• Intramedullary location - may break through the cortex - soft-tissue mass.
• Histologically
• Osteoblastic
• Fibroblastic
• Chondroblastic
• However, to establish the diagnosis, Osteoid production must be shown.
• The spindle cell component - hypercellularity, abundant mitotic figures, and
marked nuclear pleomorphism
TELANGIECTATIC OSTEOSARCOMA
• Purely lytic lesion
• Radiograph - invasive appearance or ballooned appearance
• Grossly, resembles a blood-filled cyst – very small solid portion
• Microscopically,
• Low power, resembles an aneurysmal bone cyst with blood- filled spaces
separated by thin septa
• Higher-power magnification, the cells in the septa - frankly malignant.
SMALL CELL OSTEOSARCOMA
• Rare variant, high- grade lesion
• Small blue cells (resemble Ewing sarcoma or lymphoma)
• Small quantity, osteoid difficult to differentiate from the fibrin-like
material in Ewing sarcoma
• Cytogenetic and immunohistochemistry studies needed (The strong IHC
expression of SATB2 associated with CD99 immunonegativity and the
absence of EWSR1 and FUS gene rearrangements in small cell
osteosarcoma argues against the existence of a morphologic/genetic
continuum with Ewing sarcoma.)
LOW-GRADE INTRAMEDULLARY
OSTEOSARCOMA
• Rare type
• Intramedullary
• Indolent course - benign features on radiograph (In some patients it can
be mistaken radiographically and histologically for an osteoblastoma or
fibrous dysplasia)
• If left untreated - erode through the cortex very late
• Microscopically, slightly atypical spindle cells producing slightly irregular
osseous trabeculae.
HIGH-GRADE SURFACE OSTEOSARCOMA
• Least common type
• Aggressive tumor, Outer aspect of the Cortex, Medullary involvement
early
• Radiographs - invasive lesion with ill-defined borders
• Microscopy - hypercellularity, mitotic figures, and marked nuclear
pleomorphism
PERIOSTEAL OSTEOSARCOMA
• Intermediate- grade malignancy
• Surface of the bone
• Diaphyses of the femur and tibia
• Histologically strands of Osteoid-producing Spindle cells radiating
between Lobules of Cartilage
PAROSTEAL OSTEOSARCOMA
• Rare, Low- grade
• Surface of the bone, invades the medullary cavity - late stage
• Peculiar lobulated ossified - Posterior aspect Distal Femur
• CT Differential Diagnosis
• Myositis ossificans – Ossification more mature at the periphery of the lesion,
• Parosteal osteosarcoma - Center is more heavily ossified
• Osteochondroma - Medullary cavity containing marrow in continuity with the
medullary canal of the involved bone.
• Microscopically, slightly atypical spindle cells producing slightly irregular
osseous trabeculae.
SECONDARY OSTEOSARCOMAS
• Rare in young patients, but almost half of the osteosarcomas in
patients >50 years.
• Paget disease
• Incidence approximately 1% and may be higher (5% to 10%) for
patients with advanced polyostotic disease.
• Sixth to Eighth decades of life
• Pelvis M/C
SECONDARY OSTEOSARCOMAS
• Radiation-associated
• Approximately 1% of patients, >2500 cGy
• Unusual locations, skull, spine, clavicle, ribs, scapula, and pelvis.
• Osteosarcoma M/C (fibrosarcoma and malignant fibrous histiocytoma can
also occur)
• 10 to 15 years after radiation exposure but may occur 3 years to several
decades after treatment.
• Other conditions associated fibrous dysplasia, bone infarcts,
osteochondromas, chronic osteomyelitis, melorheostosis, and
osteogenesis imperfecta
X-RAY IDENTIFICATION
• Lesion – Blastic/Sclerotic OR Lytic OR Mixed
• More commonly - Areas of bone production and bone
destruction
• Permeative, borders are ill defined
• Broken through the cortex => a Soft-Tissue mass
• Periosteal reaction - Codman triangle/Sunburst/Hair-on-end
appearance
TYPES OF BONE DESTRUCTION
• Geographic Bone Destruction
• Moth-eaten Appearance
• Permeative Bone Destruction
MRI
• The best imaging modality to measure the
• Extent within the bone & soft tissue
• Determine relationship to nearby anatomic structures
• Superior to CT for evaluation of invasion of muscle, neurovascular
structures, adjacent fat planes and the degree of marrow involvement
• Superior in assessing intra-articular extension and the presence of intra-
tumoral necrosis and hemorrhage
• Osteosarcoma lesion is usually dark on both T1W and T2W images
because of the osseous matrix
BONE SCAN/PET SCAN
• Skeletal Metastases
• Its ability to detect multicentric disease, soft tissue involvement
and viability of tumor are invaluable aids in the management of
such tumors as osteosarcoma, Ewing’s family of tumors
CT SCAN
• In tumor imaging, CT is useful for both detection and characterization.
Detection of tumors in flat bones and bones with complex anatomy is
best done with CT, especially in bones such as the scapula, ribs, pelvis.
The matrix is also well seen with CT, especially when it is necessary to
differentiate osseous from chondroid matrices.
• CT is superior to MRI in the detection and characterization of matrix
mineralization, cortical involvement and periosteal reaction
• CT is useful to check for Pulmonary Metastases
Soft tissue Window - Compartment Affected (MRI being too sensitive)
Bony Window – Bone Cortex
BIOPSY
• Biopsy diagnosis is mandatory
• Biopsy to be done only after all local imaging is completed
• In most cases a core needle biopsy is adequate ( it may need to be
image guided depending on anatomical location of lesion)
• Ideally performed at centre which will do definitive management of
disease
BIOPSY
• Two types of biopsy, percutaneous and open, may be used to confirm
the diagnosis.
• Large soft-tissue mass, a true-cut needle biopsy of the soft tissue may
be an adequate biopsy.
• When there is not a large soft-tissue mass, a Craig needle or small
trephine can be used to obtain an adequate specimen.
• Open biopsy will yield more tissue for biologic studies and will facilitate
biopsy of both the soft tissue and the bone.
• The biopsy incision must be placed in line with the eventual definitive
resection because it will need to be excised when the definitive
treatment is performed.
LABORATORY STUDIES
• Though there are no specific laboratory tests for diagnosis some maybe
of prognostic value; e.g. alkaline phosphatase (ALP) and lactate
dehydrogenase (LDH)
OSTEOSARCOMA PROXIMAL HUMERUS
• A 6-year-old female presents with a 2-month history of pain in her right
shoulder.
• This pain has become increasingly severe, and she is now no longer
using her arm normally.
• X- ray at presentation included a plain film of the humerus.
Orthopedic Oncology by Ernest Conrad
Thieme
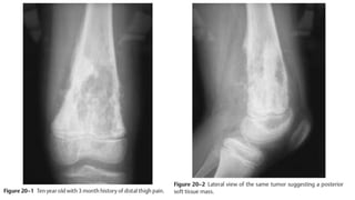
OSTEOSARCOMA DISTAL FEMUR
• A 10-year-old boy presents with a 3-month history of a painful left knee.
Before the onset of his pain, he was a fully functional youth, riding
horses and working on his parents’ ranch. He now presents in a
wheelchair with a painful, swollen left knee; examination is difficult
secondary to his extreme pain. Radiographic presentation includes plain
X-rays and a magnetic resonance image (MRI) of the knee.
SURGICAL MANAGEMENT
• Surgery of the primary tumor should be performed only after adequate
preoperative staging and planning
• The goal is to achieve adequate oncologic clearance.
• Conventionally, quantitative parameters are used to define resection
margins.
• A marrow margin of 3 cms as evaluated on the T1 weighted MRI image
is usually considered adequate clearance in bone lesions whereas a 2 cm
margin away from the tumor is what most surgeons should aim to
achieve in soft tissue lesions
SURGICAL MANAGEMENT
• Due to anatomical constraints it is not always possible to achieve
these absolute distances.
• The margin can be quantitatively less in the case of resistant
anatomic barriers, such as muscular fasciae, periosteum, joint
capsule, tendon, tendon sheath, epineurium, vascular sheath and
cartilage.
• Decisions about the optimal surgical procedure (i.e. limb salvage
or amputation) should be made on an individual case to case
basis depending on various factors (patient’s age, tumor site,
size, extent and response to neoadjuvant therapy).
NCCN AND ESMO-PAEDCAN-EURACAN
CLINICAL PRACTICE GUIDELINES FOR
TREATMENT OF OSTEOSARCOMA
• Guidelines for the treatment of osteosarcoma have been published by
the following organizations:
• National Comprehensive Cancer Network (NCCN) [30]
• European Society for Medical Oncology (ESMO), European Reference
Network for Paediatric Cancers (PaedCan), and European Network for
Rare Adult Solid Cancer (EURACAN) [31]
• Guideline recommendations on treatment of osteosarcoma vary by
disease stage.
STAGES IA-IB (LOW GRADE)
OSTEOSARCOMAS
• Localized, low-grade osteosarcomas – The NCCN recommends wide excision
alone; chemotherapy prior to excision is not typically recommended but
could be considered for periosteal lesions
• Low-grade intramedullary and surface osteosarcoma and periosteal
sarcomas with pathological findings of high-grade disease – The NCCN
recommends postoperative chemotherapy [30] ; ESMO-PaedCan-EURACAN
recommends surgery alone for low-grade parosteal osteosarcomas, and
finds no benefit for chemotherapy for periosteal lesions
• Unresectable or incompletely resected osteosarcoma – The NCCN and
ESMO-PaedCan-EURACAN guidelines concur that combined photon/proton
or proton beam radiotherapy for local control is an option
STAGES IIA-IVB (HIGH GRADE) AND
METASTATIC DISEASE
• Preoperative chemotherapy is recommended for all stages of high-grade
disease (category 1)
• If good margins can be achieved, limb-sparing surgery is preferred for
patients with good histologic response to chemotherapy; amputation for
tumors in unfavorable anatomical locations
• Postoperative chemotherapy should continue with preoperative regimen if
there has been a good histologic response; for patients with a poor
response, consider postoperative chemotherapy with a different regimen
• Surgical re-resection with or without radiation therapy for positive margins
should be considered
• For unresectable osteosarcomas following preoperative chemotherapy,
consider radiation therapy or chemotherapy
METASTATIC DISEASE AT PRESENTATION
• For resectable metastatic disease (pulmonary, visceral or skeletal),
preoperative chemotherapy followed by wide excision of primary tumor;
chemotherapy and metastasectomy is also a treatment option
• For unresectable metastatic disease, chemotherapy with or without
radiation therapy; reassess primary site for local control
• ESMO-PaedCan-EURACAN recommends that primary metastatic
osteosarcoma be treated with a curative intent, following the principles
of non-metastatic osteosarcomas
RELAPSED OR REFRACTORY
OSTEOSARCOMA
• Re-resection, if possible
• Clinical trial
• Palliative radiation therapy or best supportive treatment
CHEMOTHERAPY REGIMENS
• For first-line osteosarcoma therapy (primary/neoadjuvant/adjuvant
therapy or for metastatic disease), NCCN recommendations are as
follows [30] :
• Cisplatin and doxorubicin (category 1)
• MAP (high-dose methotrexate, cisplatin, and doxorubicin) (category 1)
• Doxorubicin, cisplatin, ifosfamide, and high-dose methotrexate
• Ifosfamide, cisplatin, and epirubicin
CHEMOTHERAPY REGIMENS
• For second-line therapy
(relapsed/refractory or metastatic
disease), NCCN recommendations are
as follows [30] :
• Docetaxel and gemcitabine
• Cyclophosphamide and etoposide
• Cyclophosphamide and topotecan
• Gemcitabine
• Ifosfamide (high dose) ± etoposide
• Ifosfamide, carboplatin, and
etoposide
• High-dose methotrexate, etoposide,
and ifosfamide
• Samarium-153 ethylene diamine
tetramethylene phosphonate (SM-
EDTMP) for relapsed or refractory
disease beyond second-line therapy
• Radium-223
• Sorafenib
https://tmc.gov.in/tmh/PDF/clinicalguidelines/DOC/BST-Guidelines.pdf
https://tmc.gov.in/tmh/PDF/clinicalguidelines/DOC/BST-Guidelines.pdf
TYPES OF LIMB SALVAGE
• Autografts
• Allografts
• Bone lengthening
• Endoprosthetic replacement
• Rotationplasty
• Arthrodesis
LIMB SALVAGE
• Simon described four issues that must be considered whenever
contemplating limb salvage instead of an amputation,
• 1. Would survival be affected by the treatment choice?
• 2. How do the short-term and long-term morbidity compare?
• 3. How would the function of a salvaged limb compare with that of a
prosthesis?
• 4. Are there any psychosocial consequences?
LONG TERM SURVIVAL STATS
• Today’s multiple-agent chemotherapy regimens and appropriate surgical
treatment, Long-term survival of; 60% to 75% - high-grade osteosarcoma
without metastases at initial presentation; 90% - low-grade lesions.
• Approximately 15% pts - detectable Pulmonary metastases at the time of
diagnosis - 20% long term survival (One or a few resectable pulmonary
metastases >50% long-term survival; many, large, or unresectable
pulmonary metastases, extremely poor prognosis)
• Non-Pulmonary metastases (e.g., bone metastases) - Worse Prognosis, 5%
long- term survival
• “Skip” metastases (within the same bone as the primary tumor or across
the joint from the primary tumor) - Poor Prognosis
Campbell 13th Ed.
PROGNOSIS
• Grade of the lesion - Low-grade lesions rarely metastasize
• Size of the primary tumor - Large tumors have a worse prognosis
• Skeletal location - Proximal tumors do worse
• ALP High – Poor Prognosis
• Paget osteosarcomas <15% long-term survival
• Radiation-associated osteosarcomas - Poor prognosis (unusual locations
- resection difficult)
• Histologic response to neoadjuvant chemotherapy - >90% tumor
necrosis - Good Prognosis
Surgical Margin
POOR PROGNOSIS
• Rapid relapse after completion of the initial treatment
• Many (more than eight) pulmonary nodules
• Large (>3 cm) pulmonary nodules
• Unresectable pulmonary nodules
EWING’S SARCOMA
Round Cell Tumor
MOST COMMON
• Third most common nonhematologic primary malignancy of bone (after
osteosarcoma & chondrosarcoma) (9%)
• Second most common (after osteosarcoma) in patients <30 years
• Most common in patients <10 years of age
• Most common mutation that causes Ewing sarcoma involves two genes,
the EWSR1 gene on chromosome 22 and the FLI1 gene on chromosome
11
• 5 – 25 Years Old (M/C)
• M>F
• Metaphyses of long bones, Flat bones of the Shoulder, Pelvic Girdles,
rarely Spine, small bones of Hand & Feet Campbell 13th Ed.
PATIENT PRESENTATION
• Pain – Universal Complaint
• Onset – Insidious
• Mild & Intermittent, initially
• Fever, Erythema, and Swelling, suggesting Osteomyelitis
LABORATORY TESTS
• Increased white blood cell count
• Elevated erythrocyte sedimentation rate
• Elevated C-reactive protein level
• Needle aspirate of Ewing sarcoma – Resemble pus, and the tissue
may be sent in its entirety to microbiology and none to pathology.
(As a general rule, most biopsy specimens should be sent for culture
and pathologic analysis.)
• Bone Marrow Aspirate – Rule out diffuse systemic disease
• Immunohistochemistry
STUDY ON AVERAGE DELAY IN
DIAGNOSIS
• The average delay from the onset of symptoms to the correct
diagnosis was approximately 34 weeks in one study.
• The average patient delay of 15 weeks (the time between the
onset of symptoms and initial physician encounter)
• The average physician delay of 19 weeks (the time from the first
visit to the correct diagnosis)
• Failure to obtain radiographs at the initial visit
• Failure to repeat the radiographs when a patient’s symptoms persisted or
worsened.
Campbell 13th Ed.
X-RAY IDENTIFICATION
• Destructive lesion in the diaphysis of a long bone
• “Onion skin” periosteal reaction
(In reality, Ewing sarcoma more often originates in the metaphysis of a long
bone but frequently extends for a considerable distance into the diaphysis)
• Typical “triad’’ of findings on imaging:,
• (1) a “diaphyseal’’ location,
• (2) a “round-cell’’ or “permeative’’ appearance
• (3) an obvious or large soft-tissue mass associated with the tumor
• Periosteal Reaction – Codman’s Triangle, Sunburst Appearance can be seen
MRI
• Evaluate the full extent of the lesion, which typically extends beyond the
abnormality apparent on plain films
• Extent of the soft-tissue mass
• MRI is especially useful in demonstrating the large soft- tissue mass
surrounding the bone
• One should be careful to distinguish a true soft-tissue mass from
periosteal edema commonly seen on MRI with osteomyelitis.
MRI
• The MRI demonstrates the intramedullary extent of the tumor, which is
not easily distinguished on plain radiographs.
• “Skip’’ metastases are best demonstrated on MRI
• After chemotherapy, MRI is very useful in demonstrating the reduction
in size of the soft tissue component of the tumor, which is an indication
of the effective response to preoperative chemotherapy.
CT SCAN
• Pulmonary Metastasis (M/C)
BONE SCAN
• Bone Metastasis (2nd M/C)
PET SCAN
• Fluorodeoxyglucose (FDG) positron emission tomography (PET) is also
useful to evaluate the extent of disease.
• The level of tumor metabolic activity is markedly elevated in Ewing’s
sarcoma.
• The pre treatment FDG PET serves as a baseline for therapy response
assessment.
• A significant decrease in FDG uptake after neoadjuvant chemotherapy
may indicate improved response and outcome.
• The whole body FDG PET can also evaluate the remainder of the body
for tumor and metastases.
PET SCAN
• Maximum Standardized Uptake Values (SUVmax)
• Cutoffs for
• Malignant Pathologic Fracture, SUVmax 12.0 (Range 4 to 45)
• Benign SUVmax 2.9 (Range 0.6 to 5.5)
• Malignant Tumors SUVmax 6.8 +- 4.7
• Benign Tumors SUVmax 4.5 +- 3.3
BIOPSY
• Biopsy diagnosis is mandatory
• Biopsy to be done only after all local imaging is completed
• In most cases a core needle biopsy is adequate ( it may need to be
image guided depending on anatomical location of lesion)
• Ideally performed by the same surgeon who will do definitive
management of disease
• Immunohistochemistry confirmation desirable , may need additional
cytogenetic and molecular studies
HISTOLOGY
• Small blue cells with very little intercellular matrix
• Cytogenetic or immuno- histochemical studies - t(11;22) (q24;q12) is the
most common translocation >90% of cases. Other diagnostic
translocations, t(21;22)(q22;q12) and t(7;22)(p22;q12)
• Immunohistochemical staining - MIC-2 gene product specific for Ewing
sarcoma
• Periodic acid–Schiff positive (owing to intracellular glycogen)
• Reticulin negative
HISTOLOGICAL D/D
• Lymphomas
• Periodic acid–Schiff negative
• Reticulin positive
• Stain positive for leukocyte common antigen and other T- and B-cell antigens.
• Embryonal Rhabdomyosarcoma stains positive for Desmin, Myoglobin, and
Muscle-specific actins.
• Hemangiopericytomas stain positive for Factor VIII
• Small cell Metastatic Carcinomas & Melanomas stain positive for
Cytokeratin.
• Osteomyelitis (Most Imp) – Fever, Increased ESR, CRP, WBC, Biopsy is
diagnostic
EWING’S SARCOMA MIDSHAFT
HUMERUS
• A 26-year-old male presents for evaluation of a left proximal humerus bone
lesion. He states he has had left shoulder pain for more than a year.
Recently, the pain became more significant and bothered him at night. He
has been taking ibuprofen every 4 h, keeping the pain fairly well controlled.
The patient sought the opinion of his primary care physician, who put him
on nonsteroidal anti-inflammatory drug (NSAID) for 3 weeks. The patient
was referred to physical therapy for treatment of presumed impingement
syndrome when NSAIDS did not alleviate pain. He was then referred to a
local orthopaedic surgeon, who obtained X-rays at his first appointment and
gave him a subacromial steroid injection. The injection did not alleviate the
pain and a magnetic resonance image (MRI) of his left shoulder was
obtained to evaluate an abnormality on the X-ray. This image showed a
bone lesion in his left proximal humerus with soft tissue extension. He was
then referred to an orthopaedic oncologist for further evaluation.
Orthopedic Oncology by Ernest Conrad
Thieme
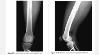
EWING’S SARCOMA FEMUR
• An otherwise healthy 20-year-old male developed a sudden increasing pain in his right
femur. The pain is so severe that he is unable to walk, needs crutches, and requires
high doses of narcotics. The pain awakes him from sleep. There is no history of
associated trauma. He has not noticed any pal- pable mass nor antecedent pain in his
right femur. Of note, he had a prior anterior cruciate ligament reconstruction on his
right side, but this procedure was done in the distant past and is unrelated to any of
his pain. He has actually had excellent rehabilitation from that procedure and tolerated
the procedure well. He has had no associated fever or chills. White count and
infectious laboratory work reveal normal sedimentation rate and C-reactive protein
(CRP). Anteropos- terior and lateral femur (Fig. 19–1 and Fig. 19–2) films show a lytic
lesion of the middiaphyseal region with a sun burst periosteal reaction. Magnetic
resonance imaging (MRI) (Fig. 19–3 and Fig. 19–4) revealed a soft tissue mass with a
right peritumoral inflammatory zone associated with it. The mass measures
approximately 5 × 4 × 3 cm. Computed tomogra- phy (CT) scan shows cortical
erosions as well. A chest CT also was performed, showing no obvious pulmonary
metastases. A bone scan was ordered as well (Fig. 19–5).
Orthopedic Oncology by Ernest Conrad
Thieme
CHEMOTHERAPY
• Multiple-agent chemotherapy - long-term survival
rates of 60% to 75%
• Agents considered most active in Ewing’s sarcoma include doxorubicin,
cyclophosphamide, ifosfamide, vincristine, dactinomycin, and etoposide.
Most current protocols are based on four to six drug combinations.
CHEMOTHERAPY
• Chemotherapeutic drugs may result in renal, cardiac, and auditory
dysfunction in addition to common side effects like myelosuppression,
infection and neuropathy.
• Patients must therefore have baseline renal function testing and
assessment of cardiac function as well as an audiogram (in case of
treatment with cisplatin).
• Sperm banking is recommended for male patients of reproductive age
while female patients would benefit with counselling by a fertility
physician.
RADIOTHERAPY
• Ewing’s sarcoma being a radiation-sensitive tumor, radiotherapy is utilised as
part of management.
• It may be used as definitive local therapy if surgery is not an option, with
curative intent or may be used in combination with surgery, for patients who
have had a poor histological response to chemotherapy, or when there are
concerns regarding surgical resection margins.
• The dose administered depends on the resection margins and response to
chemotherapy.
• 14-16 Portals are individually tailored for every patient and target volumes
are MRI based to include both, the bone and soft tissue component.
RADIOTHERAPY
• Radiotherapy has a definite role in the management of soft tissue
sarcomas especially high grade tumors > 5 cms.
• Radiotherapy may be in the form of intraoperative brachytherapy,
external beam radiotherapy or a combination of the two.
• The dose of external beam radiotherapy can range from 45 Gy when
combined with brachytherapy to 70 Gy when external beam
radiotherapy alone is used in excisions with macroscopic residual
disease.
TREATMENT
• Radiation
• Large, Central, Unresectable tumors
• Wide margins would be Difficult to
obtain or Functional Deficit resulting
from surgery unacceptable
• Short term/Long term Risks
• Surgery
• Smaller, more Accessible lesions
• Decrease Soft-tissue mass after Chemo.
• Amputation/Limb Salvage
https://tmc.gov.in/tmh/PDF/clinicalguidelines/DOC/BST-Guidelines.pdf
https://tmc.gov.in/tmh/PDF/clinicalguidelines/DOC/BST-Guidelines.pdf
PROGNOSIS
• Size of the primary tumor - Large tumors have a worse prognosis
• Skeletal location - Proximal tumors do worse
• Histologic response to neoadjuvant chemotherapy - >90% tumor
necrosis - Good Prognosis
• Histologic grade is of no prognostic significance (all considered High
Grade)
• Patients who relapse - first year after primary treatment – worse
prognosis
SURGICAL MANAGEMENT
• KAWAGUCHI – Covering layer is important
• Periosteum equivalent 5 cm
• Muscle 2 cm
• Quantity is not imp, Qualitive Matters
Lytic Lesions
Mixed Lesions
Blastic Lesions
LYTIC VS BLASTIC LESIONS
• Prostate = Blastic/Sclerotic (induces bone growth)
• Breast = Mixed
• Kidney, Thyroid, Lung = Lytic (induces bone destruction)
Thank You

Osteosarcoma & Ewings

  • 1.
  • 2.
    TOPICS COVERED • Introduction •Patient Presentation • Genetic Basis • Classification • Radiological Findings • Biopsy • Management • Prognosis • Case Report
  • 3.
    OSTEOSARCOMA Characterized by theproduction of Osteoid by Malignant Cells.
  • 4.
    MOST COMMON • SecondMost Common Primary Malignant Tumor of Bone, accounting for approximately 20% of primary bone cancers. • Most Common Bone Tumor Multiple Myeloma (40%) • M>F • Onset • Primary high-grade - Second decade of life • Par-osteal - Third and Fourth decades • Secondary (Paget disease or previous radiation therapy) - Older individuals Campbell 13th Ed.
  • 5.
    PATIENT PRESENTATION • HighGrade – Progressive Pain, Short Duration • Night Pain – Important Clue (25% Patients) • Swelling • Low Grade – Painless Mass • Pathologic fractures are not particularly common • Tumor spread to the lungs only rarely results in respiratory symptoms and usually indicates extensive lung involvement
  • 6.
    CLINICAL EXAMINATION • Mass- A palpable mass may or may not be present; the mass may be tender and warm, though these signs are indistinguishable from osteomyelitis; increased skin vascularity over the mass may be discernible; pulsations or a bruit may be detectable • Decreased range of motion - Involvement of a joint • Lymphadenopathy - Involvement of local or regional lymph nodes is unusual • Respiratory findings - Auscultation is usually uninformative unless the disease is extensive
  • 7.
    STUDY ON AVERAGEDELAY IN DIAGNOSIS • The average delay from the onset of symptoms to the correct diagnosis was approximately 15 weeks in one study. • The average patient delay of 6 weeks (the time between the onset of symptoms and initial physician encounter) • The average physician delay of 9 weeks (the time from the first visit to the correct diagnosis) • Failure to obtain radiographs at the initial visit • Failure to repeat the radiographs when a patient’s symptoms persisted or worsened. Campbell 13th Ed.
  • 8.
    GENETIC BASIS • VeryRare • More Common in • Retinoblastoma (involves specific somatic loss of constitutional heterozygosity for the region of human chromosome 13 that includes the RB1 locus) • Rothmund-Thomson syndrome (Patients with RTS due to genetic mutations of RECQL4 genes carry a high risk of developing osteosarcoma during childhood) • Li-Fraumeni syndrome (a hereditary cancer predisposition syndrome that is commonly associated with a germline mutation in the tumor suppressor gene p53)
  • 9.
    SKELETAL LOCATIONS • Allskeletal locations can be affected • Most occur at the sites of Rapid Bone Growth • Distal Femur • Proximal Tibia • Proximal Humerus • Most common - aggressive lesion in the Metaphysis of a long bone. • 10% are primarily Diaphyseal & <1% are primarily Epiphyseal.
  • 13.
    TYPES • Primary Osteosarcomas •Conventional (M/C) • Telangiectatic • Small Cell Osteosarcoma • Low-grade Intramedullary • High-grade Surface • Par-osteal • Periosteal • Secondary osteosarcoma (10 to 15 Years) • Paget Disease • Previous Radiation Therapy • Fibrous Dysplasia
  • 14.
    TYPES • Synchronous Osteosarcoma •Multiple sites may become apparent within a period of about 6 months • Metachronous Osteosarcoma • Multiple sites may be noted over a period longer than 6 months
  • 15.
    CONVENTIONAL OSTEOSARCOMA • High-gradetumors • Intramedullary location - may break through the cortex - soft-tissue mass. • Histologically • Osteoblastic • Fibroblastic • Chondroblastic • However, to establish the diagnosis, Osteoid production must be shown. • The spindle cell component - hypercellularity, abundant mitotic figures, and marked nuclear pleomorphism
  • 17.
    TELANGIECTATIC OSTEOSARCOMA • Purelylytic lesion • Radiograph - invasive appearance or ballooned appearance • Grossly, resembles a blood-filled cyst – very small solid portion • Microscopically, • Low power, resembles an aneurysmal bone cyst with blood- filled spaces separated by thin septa • Higher-power magnification, the cells in the septa - frankly malignant.
  • 19.
    SMALL CELL OSTEOSARCOMA •Rare variant, high- grade lesion • Small blue cells (resemble Ewing sarcoma or lymphoma) • Small quantity, osteoid difficult to differentiate from the fibrin-like material in Ewing sarcoma • Cytogenetic and immunohistochemistry studies needed (The strong IHC expression of SATB2 associated with CD99 immunonegativity and the absence of EWSR1 and FUS gene rearrangements in small cell osteosarcoma argues against the existence of a morphologic/genetic continuum with Ewing sarcoma.)
  • 20.
    LOW-GRADE INTRAMEDULLARY OSTEOSARCOMA • Raretype • Intramedullary • Indolent course - benign features on radiograph (In some patients it can be mistaken radiographically and histologically for an osteoblastoma or fibrous dysplasia) • If left untreated - erode through the cortex very late • Microscopically, slightly atypical spindle cells producing slightly irregular osseous trabeculae.
  • 22.
    HIGH-GRADE SURFACE OSTEOSARCOMA •Least common type • Aggressive tumor, Outer aspect of the Cortex, Medullary involvement early • Radiographs - invasive lesion with ill-defined borders • Microscopy - hypercellularity, mitotic figures, and marked nuclear pleomorphism
  • 23.
    PERIOSTEAL OSTEOSARCOMA • Intermediate-grade malignancy • Surface of the bone • Diaphyses of the femur and tibia • Histologically strands of Osteoid-producing Spindle cells radiating between Lobules of Cartilage
  • 25.
    PAROSTEAL OSTEOSARCOMA • Rare,Low- grade • Surface of the bone, invades the medullary cavity - late stage • Peculiar lobulated ossified - Posterior aspect Distal Femur • CT Differential Diagnosis • Myositis ossificans – Ossification more mature at the periphery of the lesion, • Parosteal osteosarcoma - Center is more heavily ossified • Osteochondroma - Medullary cavity containing marrow in continuity with the medullary canal of the involved bone. • Microscopically, slightly atypical spindle cells producing slightly irregular osseous trabeculae.
  • 27.
    SECONDARY OSTEOSARCOMAS • Rarein young patients, but almost half of the osteosarcomas in patients >50 years. • Paget disease • Incidence approximately 1% and may be higher (5% to 10%) for patients with advanced polyostotic disease. • Sixth to Eighth decades of life • Pelvis M/C
  • 28.
    SECONDARY OSTEOSARCOMAS • Radiation-associated •Approximately 1% of patients, >2500 cGy • Unusual locations, skull, spine, clavicle, ribs, scapula, and pelvis. • Osteosarcoma M/C (fibrosarcoma and malignant fibrous histiocytoma can also occur) • 10 to 15 years after radiation exposure but may occur 3 years to several decades after treatment. • Other conditions associated fibrous dysplasia, bone infarcts, osteochondromas, chronic osteomyelitis, melorheostosis, and osteogenesis imperfecta
  • 29.
    X-RAY IDENTIFICATION • Lesion– Blastic/Sclerotic OR Lytic OR Mixed • More commonly - Areas of bone production and bone destruction • Permeative, borders are ill defined • Broken through the cortex => a Soft-Tissue mass • Periosteal reaction - Codman triangle/Sunburst/Hair-on-end appearance
  • 34.
    TYPES OF BONEDESTRUCTION • Geographic Bone Destruction • Moth-eaten Appearance • Permeative Bone Destruction
  • 35.
    MRI • The bestimaging modality to measure the • Extent within the bone & soft tissue • Determine relationship to nearby anatomic structures • Superior to CT for evaluation of invasion of muscle, neurovascular structures, adjacent fat planes and the degree of marrow involvement • Superior in assessing intra-articular extension and the presence of intra- tumoral necrosis and hemorrhage • Osteosarcoma lesion is usually dark on both T1W and T2W images because of the osseous matrix
  • 36.
    BONE SCAN/PET SCAN •Skeletal Metastases • Its ability to detect multicentric disease, soft tissue involvement and viability of tumor are invaluable aids in the management of such tumors as osteosarcoma, Ewing’s family of tumors
  • 37.
    CT SCAN • Intumor imaging, CT is useful for both detection and characterization. Detection of tumors in flat bones and bones with complex anatomy is best done with CT, especially in bones such as the scapula, ribs, pelvis. The matrix is also well seen with CT, especially when it is necessary to differentiate osseous from chondroid matrices. • CT is superior to MRI in the detection and characterization of matrix mineralization, cortical involvement and periosteal reaction • CT is useful to check for Pulmonary Metastases Soft tissue Window - Compartment Affected (MRI being too sensitive) Bony Window – Bone Cortex
  • 38.
    BIOPSY • Biopsy diagnosisis mandatory • Biopsy to be done only after all local imaging is completed • In most cases a core needle biopsy is adequate ( it may need to be image guided depending on anatomical location of lesion) • Ideally performed at centre which will do definitive management of disease
  • 39.
    BIOPSY • Two typesof biopsy, percutaneous and open, may be used to confirm the diagnosis. • Large soft-tissue mass, a true-cut needle biopsy of the soft tissue may be an adequate biopsy. • When there is not a large soft-tissue mass, a Craig needle or small trephine can be used to obtain an adequate specimen. • Open biopsy will yield more tissue for biologic studies and will facilitate biopsy of both the soft tissue and the bone. • The biopsy incision must be placed in line with the eventual definitive resection because it will need to be excised when the definitive treatment is performed.
  • 40.
    LABORATORY STUDIES • Thoughthere are no specific laboratory tests for diagnosis some maybe of prognostic value; e.g. alkaline phosphatase (ALP) and lactate dehydrogenase (LDH)
  • 41.
    OSTEOSARCOMA PROXIMAL HUMERUS •A 6-year-old female presents with a 2-month history of pain in her right shoulder. • This pain has become increasingly severe, and she is now no longer using her arm normally. • X- ray at presentation included a plain film of the humerus. Orthopedic Oncology by Ernest Conrad Thieme
  • 46.
    OSTEOSARCOMA DISTAL FEMUR •A 10-year-old boy presents with a 3-month history of a painful left knee. Before the onset of his pain, he was a fully functional youth, riding horses and working on his parents’ ranch. He now presents in a wheelchair with a painful, swollen left knee; examination is difficult secondary to his extreme pain. Radiographic presentation includes plain X-rays and a magnetic resonance image (MRI) of the knee.
  • 51.
    SURGICAL MANAGEMENT • Surgeryof the primary tumor should be performed only after adequate preoperative staging and planning • The goal is to achieve adequate oncologic clearance. • Conventionally, quantitative parameters are used to define resection margins. • A marrow margin of 3 cms as evaluated on the T1 weighted MRI image is usually considered adequate clearance in bone lesions whereas a 2 cm margin away from the tumor is what most surgeons should aim to achieve in soft tissue lesions
  • 52.
    SURGICAL MANAGEMENT • Dueto anatomical constraints it is not always possible to achieve these absolute distances. • The margin can be quantitatively less in the case of resistant anatomic barriers, such as muscular fasciae, periosteum, joint capsule, tendon, tendon sheath, epineurium, vascular sheath and cartilage. • Decisions about the optimal surgical procedure (i.e. limb salvage or amputation) should be made on an individual case to case basis depending on various factors (patient’s age, tumor site, size, extent and response to neoadjuvant therapy).
  • 53.
    NCCN AND ESMO-PAEDCAN-EURACAN CLINICALPRACTICE GUIDELINES FOR TREATMENT OF OSTEOSARCOMA • Guidelines for the treatment of osteosarcoma have been published by the following organizations: • National Comprehensive Cancer Network (NCCN) [30] • European Society for Medical Oncology (ESMO), European Reference Network for Paediatric Cancers (PaedCan), and European Network for Rare Adult Solid Cancer (EURACAN) [31] • Guideline recommendations on treatment of osteosarcoma vary by disease stage.
  • 54.
    STAGES IA-IB (LOWGRADE) OSTEOSARCOMAS • Localized, low-grade osteosarcomas – The NCCN recommends wide excision alone; chemotherapy prior to excision is not typically recommended but could be considered for periosteal lesions • Low-grade intramedullary and surface osteosarcoma and periosteal sarcomas with pathological findings of high-grade disease – The NCCN recommends postoperative chemotherapy [30] ; ESMO-PaedCan-EURACAN recommends surgery alone for low-grade parosteal osteosarcomas, and finds no benefit for chemotherapy for periosteal lesions • Unresectable or incompletely resected osteosarcoma – The NCCN and ESMO-PaedCan-EURACAN guidelines concur that combined photon/proton or proton beam radiotherapy for local control is an option
  • 55.
    STAGES IIA-IVB (HIGHGRADE) AND METASTATIC DISEASE • Preoperative chemotherapy is recommended for all stages of high-grade disease (category 1) • If good margins can be achieved, limb-sparing surgery is preferred for patients with good histologic response to chemotherapy; amputation for tumors in unfavorable anatomical locations • Postoperative chemotherapy should continue with preoperative regimen if there has been a good histologic response; for patients with a poor response, consider postoperative chemotherapy with a different regimen • Surgical re-resection with or without radiation therapy for positive margins should be considered • For unresectable osteosarcomas following preoperative chemotherapy, consider radiation therapy or chemotherapy
  • 56.
    METASTATIC DISEASE ATPRESENTATION • For resectable metastatic disease (pulmonary, visceral or skeletal), preoperative chemotherapy followed by wide excision of primary tumor; chemotherapy and metastasectomy is also a treatment option • For unresectable metastatic disease, chemotherapy with or without radiation therapy; reassess primary site for local control • ESMO-PaedCan-EURACAN recommends that primary metastatic osteosarcoma be treated with a curative intent, following the principles of non-metastatic osteosarcomas
  • 57.
    RELAPSED OR REFRACTORY OSTEOSARCOMA •Re-resection, if possible • Clinical trial • Palliative radiation therapy or best supportive treatment
  • 58.
    CHEMOTHERAPY REGIMENS • Forfirst-line osteosarcoma therapy (primary/neoadjuvant/adjuvant therapy or for metastatic disease), NCCN recommendations are as follows [30] : • Cisplatin and doxorubicin (category 1) • MAP (high-dose methotrexate, cisplatin, and doxorubicin) (category 1) • Doxorubicin, cisplatin, ifosfamide, and high-dose methotrexate • Ifosfamide, cisplatin, and epirubicin
  • 59.
    CHEMOTHERAPY REGIMENS • Forsecond-line therapy (relapsed/refractory or metastatic disease), NCCN recommendations are as follows [30] : • Docetaxel and gemcitabine • Cyclophosphamide and etoposide • Cyclophosphamide and topotecan • Gemcitabine • Ifosfamide (high dose) ± etoposide • Ifosfamide, carboplatin, and etoposide • High-dose methotrexate, etoposide, and ifosfamide • Samarium-153 ethylene diamine tetramethylene phosphonate (SM- EDTMP) for relapsed or refractory disease beyond second-line therapy • Radium-223 • Sorafenib
  • 61.
  • 62.
  • 63.
    TYPES OF LIMBSALVAGE • Autografts • Allografts • Bone lengthening • Endoprosthetic replacement • Rotationplasty • Arthrodesis
  • 64.
    LIMB SALVAGE • Simondescribed four issues that must be considered whenever contemplating limb salvage instead of an amputation, • 1. Would survival be affected by the treatment choice? • 2. How do the short-term and long-term morbidity compare? • 3. How would the function of a salvaged limb compare with that of a prosthesis? • 4. Are there any psychosocial consequences?
  • 65.
    LONG TERM SURVIVALSTATS • Today’s multiple-agent chemotherapy regimens and appropriate surgical treatment, Long-term survival of; 60% to 75% - high-grade osteosarcoma without metastases at initial presentation; 90% - low-grade lesions. • Approximately 15% pts - detectable Pulmonary metastases at the time of diagnosis - 20% long term survival (One or a few resectable pulmonary metastases >50% long-term survival; many, large, or unresectable pulmonary metastases, extremely poor prognosis) • Non-Pulmonary metastases (e.g., bone metastases) - Worse Prognosis, 5% long- term survival • “Skip” metastases (within the same bone as the primary tumor or across the joint from the primary tumor) - Poor Prognosis Campbell 13th Ed.
  • 66.
    PROGNOSIS • Grade ofthe lesion - Low-grade lesions rarely metastasize • Size of the primary tumor - Large tumors have a worse prognosis • Skeletal location - Proximal tumors do worse • ALP High – Poor Prognosis • Paget osteosarcomas <15% long-term survival • Radiation-associated osteosarcomas - Poor prognosis (unusual locations - resection difficult) • Histologic response to neoadjuvant chemotherapy - >90% tumor necrosis - Good Prognosis
  • 68.
  • 69.
    POOR PROGNOSIS • Rapidrelapse after completion of the initial treatment • Many (more than eight) pulmonary nodules • Large (>3 cm) pulmonary nodules • Unresectable pulmonary nodules
  • 70.
  • 71.
    MOST COMMON • Thirdmost common nonhematologic primary malignancy of bone (after osteosarcoma & chondrosarcoma) (9%) • Second most common (after osteosarcoma) in patients <30 years • Most common in patients <10 years of age • Most common mutation that causes Ewing sarcoma involves two genes, the EWSR1 gene on chromosome 22 and the FLI1 gene on chromosome 11 • 5 – 25 Years Old (M/C) • M>F • Metaphyses of long bones, Flat bones of the Shoulder, Pelvic Girdles, rarely Spine, small bones of Hand & Feet Campbell 13th Ed.
  • 72.
    PATIENT PRESENTATION • Pain– Universal Complaint • Onset – Insidious • Mild & Intermittent, initially • Fever, Erythema, and Swelling, suggesting Osteomyelitis
  • 73.
    LABORATORY TESTS • Increasedwhite blood cell count • Elevated erythrocyte sedimentation rate • Elevated C-reactive protein level • Needle aspirate of Ewing sarcoma – Resemble pus, and the tissue may be sent in its entirety to microbiology and none to pathology. (As a general rule, most biopsy specimens should be sent for culture and pathologic analysis.) • Bone Marrow Aspirate – Rule out diffuse systemic disease • Immunohistochemistry
  • 74.
    STUDY ON AVERAGEDELAY IN DIAGNOSIS • The average delay from the onset of symptoms to the correct diagnosis was approximately 34 weeks in one study. • The average patient delay of 15 weeks (the time between the onset of symptoms and initial physician encounter) • The average physician delay of 19 weeks (the time from the first visit to the correct diagnosis) • Failure to obtain radiographs at the initial visit • Failure to repeat the radiographs when a patient’s symptoms persisted or worsened. Campbell 13th Ed.
  • 75.
    X-RAY IDENTIFICATION • Destructivelesion in the diaphysis of a long bone • “Onion skin” periosteal reaction (In reality, Ewing sarcoma more often originates in the metaphysis of a long bone but frequently extends for a considerable distance into the diaphysis) • Typical “triad’’ of findings on imaging:, • (1) a “diaphyseal’’ location, • (2) a “round-cell’’ or “permeative’’ appearance • (3) an obvious or large soft-tissue mass associated with the tumor • Periosteal Reaction – Codman’s Triangle, Sunburst Appearance can be seen
  • 76.
    MRI • Evaluate thefull extent of the lesion, which typically extends beyond the abnormality apparent on plain films • Extent of the soft-tissue mass • MRI is especially useful in demonstrating the large soft- tissue mass surrounding the bone • One should be careful to distinguish a true soft-tissue mass from periosteal edema commonly seen on MRI with osteomyelitis.
  • 77.
    MRI • The MRIdemonstrates the intramedullary extent of the tumor, which is not easily distinguished on plain radiographs. • “Skip’’ metastases are best demonstrated on MRI • After chemotherapy, MRI is very useful in demonstrating the reduction in size of the soft tissue component of the tumor, which is an indication of the effective response to preoperative chemotherapy.
  • 78.
    CT SCAN • PulmonaryMetastasis (M/C) BONE SCAN • Bone Metastasis (2nd M/C)
  • 79.
    PET SCAN • Fluorodeoxyglucose(FDG) positron emission tomography (PET) is also useful to evaluate the extent of disease. • The level of tumor metabolic activity is markedly elevated in Ewing’s sarcoma. • The pre treatment FDG PET serves as a baseline for therapy response assessment. • A significant decrease in FDG uptake after neoadjuvant chemotherapy may indicate improved response and outcome. • The whole body FDG PET can also evaluate the remainder of the body for tumor and metastases.
  • 80.
    PET SCAN • MaximumStandardized Uptake Values (SUVmax) • Cutoffs for • Malignant Pathologic Fracture, SUVmax 12.0 (Range 4 to 45) • Benign SUVmax 2.9 (Range 0.6 to 5.5) • Malignant Tumors SUVmax 6.8 +- 4.7 • Benign Tumors SUVmax 4.5 +- 3.3
  • 81.
    BIOPSY • Biopsy diagnosisis mandatory • Biopsy to be done only after all local imaging is completed • In most cases a core needle biopsy is adequate ( it may need to be image guided depending on anatomical location of lesion) • Ideally performed by the same surgeon who will do definitive management of disease • Immunohistochemistry confirmation desirable , may need additional cytogenetic and molecular studies
  • 82.
    HISTOLOGY • Small bluecells with very little intercellular matrix • Cytogenetic or immuno- histochemical studies - t(11;22) (q24;q12) is the most common translocation >90% of cases. Other diagnostic translocations, t(21;22)(q22;q12) and t(7;22)(p22;q12) • Immunohistochemical staining - MIC-2 gene product specific for Ewing sarcoma • Periodic acid–Schiff positive (owing to intracellular glycogen) • Reticulin negative
  • 83.
    HISTOLOGICAL D/D • Lymphomas •Periodic acid–Schiff negative • Reticulin positive • Stain positive for leukocyte common antigen and other T- and B-cell antigens. • Embryonal Rhabdomyosarcoma stains positive for Desmin, Myoglobin, and Muscle-specific actins. • Hemangiopericytomas stain positive for Factor VIII • Small cell Metastatic Carcinomas & Melanomas stain positive for Cytokeratin. • Osteomyelitis (Most Imp) – Fever, Increased ESR, CRP, WBC, Biopsy is diagnostic
  • 84.
    EWING’S SARCOMA MIDSHAFT HUMERUS •A 26-year-old male presents for evaluation of a left proximal humerus bone lesion. He states he has had left shoulder pain for more than a year. Recently, the pain became more significant and bothered him at night. He has been taking ibuprofen every 4 h, keeping the pain fairly well controlled. The patient sought the opinion of his primary care physician, who put him on nonsteroidal anti-inflammatory drug (NSAID) for 3 weeks. The patient was referred to physical therapy for treatment of presumed impingement syndrome when NSAIDS did not alleviate pain. He was then referred to a local orthopaedic surgeon, who obtained X-rays at his first appointment and gave him a subacromial steroid injection. The injection did not alleviate the pain and a magnetic resonance image (MRI) of his left shoulder was obtained to evaluate an abnormality on the X-ray. This image showed a bone lesion in his left proximal humerus with soft tissue extension. He was then referred to an orthopaedic oncologist for further evaluation. Orthopedic Oncology by Ernest Conrad Thieme
  • 90.
    EWING’S SARCOMA FEMUR •An otherwise healthy 20-year-old male developed a sudden increasing pain in his right femur. The pain is so severe that he is unable to walk, needs crutches, and requires high doses of narcotics. The pain awakes him from sleep. There is no history of associated trauma. He has not noticed any pal- pable mass nor antecedent pain in his right femur. Of note, he had a prior anterior cruciate ligament reconstruction on his right side, but this procedure was done in the distant past and is unrelated to any of his pain. He has actually had excellent rehabilitation from that procedure and tolerated the procedure well. He has had no associated fever or chills. White count and infectious laboratory work reveal normal sedimentation rate and C-reactive protein (CRP). Anteropos- terior and lateral femur (Fig. 19–1 and Fig. 19–2) films show a lytic lesion of the middiaphyseal region with a sun burst periosteal reaction. Magnetic resonance imaging (MRI) (Fig. 19–3 and Fig. 19–4) revealed a soft tissue mass with a right peritumoral inflammatory zone associated with it. The mass measures approximately 5 × 4 × 3 cm. Computed tomogra- phy (CT) scan shows cortical erosions as well. A chest CT also was performed, showing no obvious pulmonary metastases. A bone scan was ordered as well (Fig. 19–5). Orthopedic Oncology by Ernest Conrad Thieme
  • 95.
    CHEMOTHERAPY • Multiple-agent chemotherapy- long-term survival rates of 60% to 75% • Agents considered most active in Ewing’s sarcoma include doxorubicin, cyclophosphamide, ifosfamide, vincristine, dactinomycin, and etoposide. Most current protocols are based on four to six drug combinations.
  • 96.
    CHEMOTHERAPY • Chemotherapeutic drugsmay result in renal, cardiac, and auditory dysfunction in addition to common side effects like myelosuppression, infection and neuropathy. • Patients must therefore have baseline renal function testing and assessment of cardiac function as well as an audiogram (in case of treatment with cisplatin). • Sperm banking is recommended for male patients of reproductive age while female patients would benefit with counselling by a fertility physician.
  • 98.
    RADIOTHERAPY • Ewing’s sarcomabeing a radiation-sensitive tumor, radiotherapy is utilised as part of management. • It may be used as definitive local therapy if surgery is not an option, with curative intent or may be used in combination with surgery, for patients who have had a poor histological response to chemotherapy, or when there are concerns regarding surgical resection margins. • The dose administered depends on the resection margins and response to chemotherapy. • 14-16 Portals are individually tailored for every patient and target volumes are MRI based to include both, the bone and soft tissue component.
  • 99.
    RADIOTHERAPY • Radiotherapy hasa definite role in the management of soft tissue sarcomas especially high grade tumors > 5 cms. • Radiotherapy may be in the form of intraoperative brachytherapy, external beam radiotherapy or a combination of the two. • The dose of external beam radiotherapy can range from 45 Gy when combined with brachytherapy to 70 Gy when external beam radiotherapy alone is used in excisions with macroscopic residual disease.
  • 100.
    TREATMENT • Radiation • Large,Central, Unresectable tumors • Wide margins would be Difficult to obtain or Functional Deficit resulting from surgery unacceptable • Short term/Long term Risks • Surgery • Smaller, more Accessible lesions • Decrease Soft-tissue mass after Chemo. • Amputation/Limb Salvage
  • 101.
  • 102.
  • 103.
    PROGNOSIS • Size ofthe primary tumor - Large tumors have a worse prognosis • Skeletal location - Proximal tumors do worse • Histologic response to neoadjuvant chemotherapy - >90% tumor necrosis - Good Prognosis • Histologic grade is of no prognostic significance (all considered High Grade) • Patients who relapse - first year after primary treatment – worse prognosis
  • 106.
    SURGICAL MANAGEMENT • KAWAGUCHI– Covering layer is important • Periosteum equivalent 5 cm • Muscle 2 cm • Quantity is not imp, Qualitive Matters
  • 107.
  • 108.
    LYTIC VS BLASTICLESIONS • Prostate = Blastic/Sclerotic (induces bone growth) • Breast = Mixed • Kidney, Thyroid, Lung = Lytic (induces bone destruction)
  • 110.