Dr.ArjunViegas, Pune
 Old implants not consistently successful
 Move from extramedullary to intramedullary fixation
in the last decade
 Move from long PFN’s to 180 and 240mm due to
better design
 Need for more reliable fixation in the femoral head
 Need for a strong implant that doesn’t fail before the
fracture heals
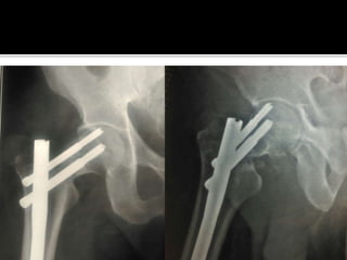
Failed
Subtrochanteric
fracture fixation
with broken DCS
and plate
After 51 days
 PFN A2- Synthes AO
 Smith and NephewTrigen Intertan Nail
 Zimmer Natural Nail
•Gamma 3 Nail from Stryker
 The percutaneous compression plate
 Proximal femoral locking plate
1. Change of entry point
 Piriformis entry/ modified medial trochanteric
portal
2. more proximal location of distal interlocking
bolt
3. option for oblique static distal locking bolt
4.The main change is in the proximal locking
mechanism
 Shorter Surgical time
 Less technically demanding
 Easier and more precise Instrumentation
 Conclusion
Advantages of proximal femoral nail are less surgical trauma, less flouroscopy time,
less blood loss and earlier rehabilitation, the ease of implantation and the possibility of
early weight-bearing even after very complex fractures.
 Surgical expertise is necessary to avoid the complications associated with PFN.
 Conclusions
 In summary, the current available data
indicate that PFN may be a better choice
than DHS in the treatment of
intertrochanteric fractures.
Various hospitals in Guangzhou, China
Acta Orthopaedica etTraumatologica Hellenica
DHS PFNA PFNA2
1. Significantly higher need
for transfusion
2. Increased surgical time
3. Longer time to
mobilisation
4. Higher postoperative
complication rate
5. Longer hospital stay
6. Lower rates of union
91.6%
1. Shorter surgical time
2. Lesser or no need for blood transfusions
3. Lesser fluoroscopy exposure
4. Shorter length of hospital stay
5. Higher Harris Hip scores at short term evaluation
1. Minimizes the risk of
lateral impingement to
the lateral cortex Shortest
surgical time
2. Easier nail insertion
3. Highest union rates
97.15%
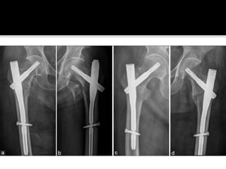
 CASE 1
Conclusions
 This study shows that use of the PFNA-II to treat intertrochanteric
fractures in elderly patients has the following advantages:
 a simple operation, few complications, and good clinical efficacy.
The time of clinical treatment of PFNA-II was relatively short, the
long-term complications remain unclear.Therefore, large-sample,
multicenter studies are required.
Jianghan University Hospital,
Hubei Province China
 Conclusion:
 We recommend PFNA II for fixation of unstable
intertrochanteric fractures with less operative time
and low complication rate. However, proper
operative technique is important for achieving
fracture stability and to avoid major complications.
Level 1 ApexTrauma Centre, AIIMS, New Delhi, India
Conclusions:There was a morphologic mismatch between the proximal segment length of
the PFNA-II and the greater trochanter in the Asian population, which may be the cause of
postoperative lateral trochanter pain. A modification to shorten the proximal part of the
nail is proposed to avoid protrusion over the greater trochanter.
Conclusions:
CalTAD and Cleveland Zones are important indices of tip position and predictors of
screw/blade migration.
The choice of implant should be done pre-operatively by evaluating fracture pattern and
geometry, bone quality and age.
The PFNA-2 seems
currently to be the optimal
implant, especially in very
old, severely osteoporotic
patients with unstable
intertrochantric fractures,
while Short PFN may be
used in stable
intertrochantric fractures
inpatients with a slightly
better bone mineral
density.
 Large surface and increasing core diameter guarantee
maximum compaction and optimal hold in bone
 Increased stability caused by bone compaction
around the PFNA-II blade has been biomechanically
proven to retard rotation and varus collapse.
 Biomechanical tests have demonstrated that the
PFNA-II blade had a significantly higher cut-out
resistance in comparison with commonly-used
screw systems.
5 degree medio-lateral angle makes it easier to insert
Variable PFNA (58 patients) PFNA2 (50 patients)
•impingement on the lateral
cortex and lateral fragment
•loss of reduction at insertion
•Fracture union occurred in all
patients treated with PFNA II.
•surgical time than PFNA
cases (23 minutes versus 27
minutes, respectively).
10 cases
5 cases
98.3% union rate
Average surgical time 27 mins
No Cases
No cases
All fractures united without
mechanical failures
Shorter surgical time (ave 23
mins)
 Good reduction of the fracture, and optimal
positioning and length of the hip helical
blade are crucial to achievement of good
outcomes with the PFNA device. Further
studies are needed to compare this new
implant with extramedullary devices
Complication entirely related to Surgeon/ technical error
1. An effective Intra medullary device for unstable inter trochanteric
fractures.
2. Its unique design imparts substantial rotational stability and functions
effectively to block excessive subsidence
Department of Orthopaedic Surgery, Saint Louis University School of Medicine, Saint Louis,
Missouri, USA
ConclusionsThis study demonstrated that the learning curve of performing
surgery with the InterTan intramedullary nail is acceptable and 90% of
the expert’s proficiency level was achieved at around 18 cases.
After surgeons had mastered the technique, the InterTan intramedullary
nail could be a reliable and effective option for intertrochanteric fracture.
In summary, the results of our study show that the incidence of
• femoral shaft fractures,
•rotational loss of reduction,
•varus collapse of the head/neck,
•pain of hip and thigh,
• cut-out, and
• femoral neck shortening
WERE DECREASED IN GROUP INTERTAN (IT)
comparing with group PFNA-II
 The InterTan may have more advantage for
patients with unstable intertrochanteric
fractures due to its low complication rates.
 However, for those complicated with
 lateral greater trochanter fractures,
 lateral cortex fractures of the proximal femur, or
 unfit for the surgery,
the PFNA-II is a better option due to quicker surgical
time and lesser technical demand
PFNA2 INTERTAN
1. The PFNA-II has a quite good anatomic fit
and Its helical blade enhances bone
purchase in the femoral neck–head.
2. The blade prevents rotation or
compaction of the proximal fragment by
locking with the nail rotationally.
3. All these factors of the PFNA-II allow the
patients to bear partial weight sooner after
the surgery.
4. Its disadvantages include cut-out and
lateral migration of proximal screws or
helical blades.
1. Includes two integrated screws with a
hybrid worm-gear mechanism, a
trapezoidal proximal end, an oval
footprint, a “clothes-pin” distal tip, a
unique geometry and mechanism of action
2. Achieves initial linear compression, which
prevent uncontrolled shortening during
healing and varus collapse, thus
improving rotational instability.
3. The trapezoidal proximal end of the IT is
difficult to insert into the narrow marrow
cavity of Asian patients
4. The manipulation of repeatedly expanding
the medullary cavity and repeated
reduction may prolong the operative
time
5. Increased intraoperative blood loss and
fluoroscopy time, especially in more
unstable fracture types
Conclusion: Based on these data, clinical outcomes at the
last follow-up were equivalent between InterTAN and
PFNA2.
ConclusionWithin the limits of this study, Intertan nail and Gamma3 nail are both
effective for surgical treatment of intertrochanteric fractures. Intertan nail has the
advantage of shorter operative time and less blood loss.
The use of the Intertan system may be an improvement in surgery, compared to
Gamma3 system.
PCCP appeared similar to SHS in terms of mechanical
stability in the clinical setting, but had obvious advantages
in terms of blood loss, transfusion need, and systematic
complications, which may be attributed to reduced soft
tissue and bone damage.
PCCP has no obvious statistical difference in terms of operation time, hospital
stay, mortality rate, reoperation rate, systematic complications, and device-
related complications compared with DHS
results in decreased blood loss and reduced transfusion requirement
CONCLUSIONS:
PCCP is a stable internal fixation device that resists axial and
rotational stresses. Our PCCP procedure has a low incidence of
nonunion and avascular necrosis.
CONCLUSION:
The results suggest that the PCCP is an effective and safe
method in the treatment of all types of intertrochanteric
femoral fractures, but good fracture reduction and ideal
positioning of the neck screw are prerequisites for the success
of the device.
 Unstable pertrochanteric fractures may be fixed
either with locked extramedullary small-diameter
screw systems to avoid lateral wall fractures or with
the new intramedullary systems to avoid potential
mechanical complications of a broken lateral wall.
 Tip-apex distance and preservation of the
preoperative femoral neck-shaft angle are the key
technical factors for prevention of reoperation.
Medial opening
If neither have been followed, it is not right to
blame the nail or the device or to look for a new
design
Factors not in our control:
1. Osteoporosis/ poor bone stock
2. Comorbidities
3. Compliance with postoperative rehab
programme
Factors in our control:
1. Correct choice of implant
2. Correct execution of surgery
Newer implants for geriatric hip fractures
Newer implants for geriatric hip fractures

Newer implants for geriatric hip fractures

  • 1.
  • 2.
     Old implantsnot consistently successful  Move from extramedullary to intramedullary fixation in the last decade  Move from long PFN’s to 180 and 240mm due to better design  Need for more reliable fixation in the femoral head  Need for a strong implant that doesn’t fail before the fracture heals
  • 5.
  • 7.
  • 11.
     PFN A2-Synthes AO  Smith and NephewTrigen Intertan Nail  Zimmer Natural Nail •Gamma 3 Nail from Stryker
  • 12.
     The percutaneouscompression plate  Proximal femoral locking plate
  • 14.
    1. Change ofentry point  Piriformis entry/ modified medial trochanteric portal
  • 16.
    2. more proximallocation of distal interlocking bolt
  • 17.
    3. option foroblique static distal locking bolt
  • 18.
    4.The main changeis in the proximal locking mechanism
  • 19.
     Shorter Surgicaltime  Less technically demanding  Easier and more precise Instrumentation
  • 21.
     Conclusion Advantages ofproximal femoral nail are less surgical trauma, less flouroscopy time, less blood loss and earlier rehabilitation, the ease of implantation and the possibility of early weight-bearing even after very complex fractures.  Surgical expertise is necessary to avoid the complications associated with PFN.
  • 22.
     Conclusions  Insummary, the current available data indicate that PFN may be a better choice than DHS in the treatment of intertrochanteric fractures. Various hospitals in Guangzhou, China
  • 23.
  • 24.
    DHS PFNA PFNA2 1.Significantly higher need for transfusion 2. Increased surgical time 3. Longer time to mobilisation 4. Higher postoperative complication rate 5. Longer hospital stay 6. Lower rates of union 91.6% 1. Shorter surgical time 2. Lesser or no need for blood transfusions 3. Lesser fluoroscopy exposure 4. Shorter length of hospital stay 5. Higher Harris Hip scores at short term evaluation 1. Minimizes the risk of lateral impingement to the lateral cortex Shortest surgical time 2. Easier nail insertion 3. Highest union rates 97.15%
  • 25.
  • 27.
    Conclusions  This studyshows that use of the PFNA-II to treat intertrochanteric fractures in elderly patients has the following advantages:  a simple operation, few complications, and good clinical efficacy. The time of clinical treatment of PFNA-II was relatively short, the long-term complications remain unclear.Therefore, large-sample, multicenter studies are required. Jianghan University Hospital, Hubei Province China
  • 28.
     Conclusion:  Werecommend PFNA II for fixation of unstable intertrochanteric fractures with less operative time and low complication rate. However, proper operative technique is important for achieving fracture stability and to avoid major complications. Level 1 ApexTrauma Centre, AIIMS, New Delhi, India
  • 29.
    Conclusions:There was amorphologic mismatch between the proximal segment length of the PFNA-II and the greater trochanter in the Asian population, which may be the cause of postoperative lateral trochanter pain. A modification to shorten the proximal part of the nail is proposed to avoid protrusion over the greater trochanter.
  • 32.
    Conclusions: CalTAD and ClevelandZones are important indices of tip position and predictors of screw/blade migration. The choice of implant should be done pre-operatively by evaluating fracture pattern and geometry, bone quality and age.
  • 33.
    The PFNA-2 seems currentlyto be the optimal implant, especially in very old, severely osteoporotic patients with unstable intertrochantric fractures, while Short PFN may be used in stable intertrochantric fractures inpatients with a slightly better bone mineral density.
  • 34.
     Large surfaceand increasing core diameter guarantee maximum compaction and optimal hold in bone  Increased stability caused by bone compaction around the PFNA-II blade has been biomechanically proven to retard rotation and varus collapse.  Biomechanical tests have demonstrated that the PFNA-II blade had a significantly higher cut-out resistance in comparison with commonly-used screw systems.
  • 35.
    5 degree medio-lateralangle makes it easier to insert
  • 37.
    Variable PFNA (58patients) PFNA2 (50 patients) •impingement on the lateral cortex and lateral fragment •loss of reduction at insertion •Fracture union occurred in all patients treated with PFNA II. •surgical time than PFNA cases (23 minutes versus 27 minutes, respectively). 10 cases 5 cases 98.3% union rate Average surgical time 27 mins No Cases No cases All fractures united without mechanical failures Shorter surgical time (ave 23 mins)
  • 38.
     Good reductionof the fracture, and optimal positioning and length of the hip helical blade are crucial to achievement of good outcomes with the PFNA device. Further studies are needed to compare this new implant with extramedullary devices
  • 40.
    Complication entirely relatedto Surgeon/ technical error
  • 42.
    1. An effectiveIntra medullary device for unstable inter trochanteric fractures. 2. Its unique design imparts substantial rotational stability and functions effectively to block excessive subsidence Department of Orthopaedic Surgery, Saint Louis University School of Medicine, Saint Louis, Missouri, USA
  • 43.
    ConclusionsThis study demonstratedthat the learning curve of performing surgery with the InterTan intramedullary nail is acceptable and 90% of the expert’s proficiency level was achieved at around 18 cases. After surgeons had mastered the technique, the InterTan intramedullary nail could be a reliable and effective option for intertrochanteric fracture.
  • 44.
    In summary, theresults of our study show that the incidence of • femoral shaft fractures, •rotational loss of reduction, •varus collapse of the head/neck, •pain of hip and thigh, • cut-out, and • femoral neck shortening WERE DECREASED IN GROUP INTERTAN (IT) comparing with group PFNA-II
  • 45.
     The InterTanmay have more advantage for patients with unstable intertrochanteric fractures due to its low complication rates.  However, for those complicated with  lateral greater trochanter fractures,  lateral cortex fractures of the proximal femur, or  unfit for the surgery, the PFNA-II is a better option due to quicker surgical time and lesser technical demand
  • 46.
    PFNA2 INTERTAN 1. ThePFNA-II has a quite good anatomic fit and Its helical blade enhances bone purchase in the femoral neck–head. 2. The blade prevents rotation or compaction of the proximal fragment by locking with the nail rotationally. 3. All these factors of the PFNA-II allow the patients to bear partial weight sooner after the surgery. 4. Its disadvantages include cut-out and lateral migration of proximal screws or helical blades. 1. Includes two integrated screws with a hybrid worm-gear mechanism, a trapezoidal proximal end, an oval footprint, a “clothes-pin” distal tip, a unique geometry and mechanism of action 2. Achieves initial linear compression, which prevent uncontrolled shortening during healing and varus collapse, thus improving rotational instability. 3. The trapezoidal proximal end of the IT is difficult to insert into the narrow marrow cavity of Asian patients 4. The manipulation of repeatedly expanding the medullary cavity and repeated reduction may prolong the operative time 5. Increased intraoperative blood loss and fluoroscopy time, especially in more unstable fracture types
  • 47.
    Conclusion: Based onthese data, clinical outcomes at the last follow-up were equivalent between InterTAN and PFNA2.
  • 50.
    ConclusionWithin the limitsof this study, Intertan nail and Gamma3 nail are both effective for surgical treatment of intertrochanteric fractures. Intertan nail has the advantage of shorter operative time and less blood loss. The use of the Intertan system may be an improvement in surgery, compared to Gamma3 system.
  • 52.
    PCCP appeared similarto SHS in terms of mechanical stability in the clinical setting, but had obvious advantages in terms of blood loss, transfusion need, and systematic complications, which may be attributed to reduced soft tissue and bone damage.
  • 53.
    PCCP has noobvious statistical difference in terms of operation time, hospital stay, mortality rate, reoperation rate, systematic complications, and device- related complications compared with DHS results in decreased blood loss and reduced transfusion requirement
  • 54.
    CONCLUSIONS: PCCP is astable internal fixation device that resists axial and rotational stresses. Our PCCP procedure has a low incidence of nonunion and avascular necrosis.
  • 56.
    CONCLUSION: The results suggestthat the PCCP is an effective and safe method in the treatment of all types of intertrochanteric femoral fractures, but good fracture reduction and ideal positioning of the neck screw are prerequisites for the success of the device.
  • 59.
     Unstable pertrochantericfractures may be fixed either with locked extramedullary small-diameter screw systems to avoid lateral wall fractures or with the new intramedullary systems to avoid potential mechanical complications of a broken lateral wall.  Tip-apex distance and preservation of the preoperative femoral neck-shaft angle are the key technical factors for prevention of reoperation.
  • 68.
  • 73.
    If neither havebeen followed, it is not right to blame the nail or the device or to look for a new design
  • 75.
    Factors not inour control: 1. Osteoporosis/ poor bone stock 2. Comorbidities 3. Compliance with postoperative rehab programme Factors in our control: 1. Correct choice of implant 2. Correct execution of surgery