MAXILLARY SINUS
GUIDED BY: PRESENTED BY:
DR. V. KRISHNA MDS DR. SHWETA SARATE ( MDS PART 1) DEPARTMENT OF PERIODONTICS
DEPARTMENT OF PERIODONTICS
CHHATTISGARH DENTAL COLLEGE AND RESEARCH INSTITUTE,RAJNANDGAON
SEMINAR PRESENTATION
CONTENTS
1. Development.
2. Anatomy and physiology.
3. Blood , Nerve supply & lymphatic drainage.
4. Functions of the paranasal sinuses.
5. Diagnostic evaluation of sinus disease.
6. Developmental anomalies & pathologic conditions of
maxillary sinus.
7. Clinical significance.
8. Conclusion.
9. References.
PARANASAL AIR SINUS
• PARANASAL AIR SINUSES ARE THE AIR FILLED MUCOSA LINED CAVITIES
WHICH DEVELOPS IN THE CRANIAL AND FACIAL BONES.
• THESE ARE THE SPACES WHICH COMMUNICATES WITH THE NASAL AIRWAY.
• THESE FORMS THE VARIOUS BOUNDARIES OF THE NASAL CAVITY.
• •PARANASAL SINUSES ARE PRESENT IN A VARIETY OF ANIMALS (INCLUDING
MOST MAMMALS, BIRDS, AND CROCODILE).
• THE SINUSES ARE NAMED FOR THE BONES IN WHICH THEY ARE LOCATED.
TYPES
 MAXILLARY AIR SINUS.
 FRONTAL AIR SINUS.
 ETHMOIDAL AIR SINUS.
 SPHENOIDAL AIR SINUS.
DEFINITION OF MAXILLARY SINUS
• “MAXILLARY SINUS IS THE PNEUMATIC SPACE THAT IS LODGED INSIDE THE
BODY OF MAXILLA AND THAT COMMUNICATES WITH THE ENVIRONMENT BY
WAY OF THE MIDDLE MEATUS AND NASAL VESTIBULE.”
• ANATOMY OF THE MAXILLARY SINUS WAS 1ST DESCRIBED BY HIGHMORE IN
1651.
• MAXILLARY SINUS IS ALSO CALLED AS “ANTRUM OF HIGHMORE”.
DEVELOPMENT
• MAXILLARY SINUS IS FIRST OF THE PNS TO DEVELOP.
• IT STARTS AS A SHALLOW GROOVE ON THE MEDIAL
SURFACE OF MAXILLA DURING THE 4TH MONTH OF
INTRAUTERINE LIFE. (KOCH 1930).
• EXPANSION OCCURS MORE RAPIDLY UNTIL ALL THE
PERMANENT TEETH HAVE ERUPTED.
• IT REACHES TO MAXIMUM SIZE AROUND 18YEARS OF AGE.
• DEVELOPMENT OF MAXILLARY SINUS STARTS
WITH THE INVAGINATION OF MUCOUS
MEMBRANE IN THE LATERAL WALL OF MIDDLE
MEATUS.
• THIS INVAGINATION LEADS TO THE
DEVELOPMENT OF MAXILLARY SINUS.
AGE CHANGES
AGE CHANGES
TUBULAR AT BIRTH
OVOID IN CHILDHOOD
PYRAMIDAL IN ADULTHOOD
ANATOMY
• LARGEST OF PNS, COMMUNICATE WITH OTHER
SINUSES THROUGH LATERAL NASAL WALL.
• HORIZONTAL PYRAMIDAL SHAPED
• BASE
• APEX
• 4 WALLS ( SUPERIOR, INFERIOR, LATERAL & ANTERIOR)
• ◦ WALL THICKNESS VARIES WITH INDIVIDUAL
MEDIAL WALL
• FORMED BY LATERAL NASAL WALL
• BELOW INF . NASAL CONCHAE
• BEHIND-PALATINE BONE
• ABOVE-UNCINATE PROCESS OF ETHMOID, LACRIMAL BONE
• CONTAINS DOUBLE LAYER OF MUCOUS MEMBRANE
(PARS MEMBRANACEA)
SUPERIOR WALL
• FORMS ROOF OF SINUS AND FLOOR OF ORBIT
• IMP STRUCTURES
• INFRAORBITAL CANAL
• INFRAORBITAL FORAMEN
• INFRAORBITAL NERVE AND VESSELS
POSTEROLATERAL WALL
• MADE OF ZYGOMATIC AND GREATER WING OF SPHENOID BONE.
• THICK LATERALLY, THIN MEDIALLY
• IMP STRUCTURES
PSA NERVE
MAXILLARY ARTERY
PTERYGOPALATINE GANGLION
NERVE OF PTERYGOID CANAL
ANTERIOR WALL
• EXTENDS FROM PYRIFORM APERTURE ANTERIORLY TO ZM
SUTURE
& INFERIOR ORBITAL RIM SUPERIORLY TO ALVEOLAR PROCESS
INFERIORLY.
• CONVEXITY TOWARDS SINUS
• THINNEST IN CANINE FOSSA
• IMP STRUCTURES
INFRAORBITAL FORAMEN
ASA, MSA NERVES
FLOOR OF SINUS
• FORMED BY JUNCTION OF ANTERIOR SINUS WALL AND LATERAL NASAL WALL
• 1-1.2 CM BELOW NASAL FLOOR
• CLOSE RELATIONSHIP BETWEEN
SINUS AND TEETH FACILITATE SPREAD OF PATHOLOGY.
OSTEUM :
• OPENING OF THE MAXILLARY SINUS IS CALLED OSTEUM.
• IT OPENS IN MIDDLE MEATUS AT THE LOWER PART
OF THE HIATUS SEMILUNARIS.
• LIES ABOVE THE LEVEL OF NASAL FLOOR.
• THE OSTIUM LIES APPROXIMATELY 2/3RDS UP THE
MEDIAL WALL OF THE SINUS, MAKING DRAINAGE
OF THE SINUS INHERENTLY DIFFICULT.
• IN 15% TO 40% OF CASES, A VERY SMALL, ACCESSORY OSTIUM IS ALSO FOUND.
• BLOCKAGE OF THE OSTIUM CAN EASILY OCCUR WHEN THERE IS INFLAMMATION
OF THE MUCOSAL LINING OF THE OSTIUM.
NERVE SUPPLY
• MAXILLARY NERVE GIVES ITS BRANCHES ,
I.E. THE POSTERIOR SUPERIOR ALVEOLAR NERVE,
MIDDLE SUPERIOR ALVEOLAR NERVE AND
ANTERIOR SUPERIOR ALVEOLAR NERVES,
THE INFRAORBITAL NERVE AND THE ANTERIOR
PALATINE NERVE.
BLOOD SUPPLY
INFRA ORBITAL ARTERY
BUCCAL BRANCH OF FACIAL ARTERY
ALVEOLAR ARTERIES OF POSTERIOR SUPERIOR ALVEOLAR BRANCH
VENOUS DRINAGE:-
• PTERYGOID VENOUS PLEXUS
• SPHENOPALATINE VEIN AND
• FACIAL VEIN
LYMPHATIC DRAIN
THE LYMPHATIC DRAINS IN TO SUBMANDIBULAR
LYMPH NODES.
THE LYMPHATIC DRAINAGE REACHES THE
SPECIALISED CELLS IN THE MAXILLARY SINUS VIA
INFRA ORBITAL FORAMEN OR THROUGH THE
ANTEROSUPERIOR WALL AND THEN TO THE
SUBMANDIBULAR LYMPH NODES.
FUNCTIONS OF THE MAXILLARY SINUS
1. HUMIDIFICATION AND WARMING OF INSPIRED AIR.
2. ASSISTING IN REGULATING INTRANASAL PRESSURE.
3. LIGHTENING THE SKULL TO MAINTAIN PROPER HEAD BALANCE.
4. IMPARTING RESONANCE TO THE VOICE.
5. ABSORPTION OF SHOCKS TO THE HEAD.
6. FILTRATION OF THE INSPIRED AIR.
CLINICAL EXAMINATION
• INSPECTION :
• MIDDLE THIRD OF THE FACE SHOULD BE INSPECTED FOR THE PRESENCE
• OF ASYMMETRY, DEFORMITY, SWELLING, ERYTHEMA , ECCHYMOSIS OR
• HEMATOMA.
• EXTRAORAL PALPATION :
• INCLUDE PALPATION OF THE FACIAL WALL OF THE SINUS ABOVE THE
PREMOLAR WHERE THE BONE IS THINNEST.
INTRAORALEXAMINATION
EXAMINATION SHOULD BE PERFORMED FOR TENDERNESS, OR
PARESTHESIA OF UPPER MOLAR AND PREMOLAR REGION.
TRANSILLUMINATION TEST:
• IT IS PERFORMED IN A DARKENED ROOM BY INSERTING AN ELECTRICALLY
SAFE LIGHT INTO THE MOUTH ( WITH THE LIP CLOSED). GOOD
TRANSILLUMINATION INDICATES PRESENCE OF AIR IN THE SINUS WHILE THE
FAILURE OF TRANSILLUMINATION INDICATES PRESENCE OF PUS, FLUID , SOLID LESION OR
MUCOSAL THICKENING.
RADIOGRAPHICEXAMINATION
Intra-Oral :
Extra-Oral:
Periapical
OPG View
Occlusal
Waters view
(Occipitome
ntal view)
Lateral
Occlusal
Submentov
PA view
Others:
• MRI & CT
scan
Radiography
is the most
important
supplementar
y investigation
to clinical
examination
of the sinuses
PERIAPICAL RADIOGRAPH
• BORDERS OF THE MAXILLARY SINUS APPEAR AS A THIN, DELICATE
RADIOPAQUE LINE .
• IN THE ABSENCE OF DISEASE IT APPEARS CONTINUOUS, BUT ON CLOSE
EXAMINATION IT HAS SMALL INTERRUPTIONS IN ITS SMOOTHNESS OR
DENSITY
• THE ROOTS OF MAXILLARY MOLARS USUALLY LIE IN CLOSE APPOSITION TO THE
MAXILLARY
SINUS AND MAY PROJECT INTO THE FLOOR OF THE SINUS,
CAUSING SMALL ELEVATIONS OR PROMINENCES.
OCCLUSAL VIEW LATERAL OCCLUSAL
VIEW
PANORAMICRADIOGRAPHY
• PROVIDES AN EXTENSIVE OVERVIEW OF THE SINUS FLOOR AND ITS
RELATIONSHIP WITH THE
TOOTH ROOTS.
WATER’S VIEW
COMPUTERIZEDTOMOGRAPHY (CT) & MAGNETIC
RESONANCE IMAGING (MRI)
• THESE MODALITIES PROVIDE MULTIPLE SECTIONS THROUGH THE
SINUSES AT DIFFERENT PLANES AND THEREFORE CONTRIBUTE TO
THE FINAL DIAGNOSIS AND THE DETERMINATION OF EXTENT OF
THE DISEASE.
CT SCAN
MRI
DEVELOPMENTAL ANOMALIES AND
PATHOLOGIC CONDITIONS OF
MAXILLARY SINUS
• 1.APLASIA
• 2. AGENESIS
• 3. HYPOPLASIA
• 4. HYPERPLASIA
• APLASIA- ALTERED DEVELOPMENT OF MAXILLARY SINUS.
• AGENESIS- COMPLETE ABSENCE OF MAXILLARY SINUS.
• HYPOPLASIA- UNDERDEVELOPMENT (9%)
UNILATERAL (1.7%)
BILATERAL (7.2%)
• HYPERPLASIA- EXCESS DEVELOPMENT OF MAXILLARY SINUS E.G.
ACROMEGALY
APLASIAANDAGENESIS
• MAXILLARY SINUS APLASIA AND HYPOPLASIA ARE RARE CONDITIONS THAT CAN
CAUSE SYMPTOMS SUCH AS HEADACHES AND VOICE ALTERATION. THE
MAJORITY OF PATIENTS ARE ASYMPTOMATIC, BUT THESE CONDITIONS MUST BE
NOTICED FOR IMPORTANCE OF DIFFERENTIAL DIAGNOSIS SUCH AS INFECTION
AND NEOPLASMS. CONVENTIONAL RADIOGRAPHS COULD NOT DIFFERENTIATE
BETWEEN INFLAMMATORY MUCOSAL THICKENING, NEOPLASM, AND HYPOPLASIA
OF THE SINUS. COMPUTED TOMOGRAPHY (CT) AND ALSO CONE BEAM
COMPUTED TOMOGRAPHY (CBCT) ARE THE PROPER MODALITIES TO DETECT
THESE CONDITIONS.
PATHOLOGIC CONDITIONS OF MAXILLARY
SINUS
• MAXILLARY SINUSITIS
• MAXILLARY ANTROLITH
• ODONTOGENIC CYSTIC LESIONS OF MAXILLARY SINUS
• TUMORS OF MAXILLARY SINUS.
MAXILLARY SINUSITIS
• INFLAMMATION OF THE SINUSES IS A VERY COMMON DISEASE.
• THE MOST COMMON WAY OF DEVELOPMENT OF THE SINUSITIS IS
WHEN THE INFLAMMATION OF THE NASAL CAVITY SPREADS TO
THE MAXILLARY SINUS. HOWEVER, USUALLY CLINICAL SYMPTOMS
DO NOT OCCUR.
• THE INFLAMMATION IS CAUSED BY VIRUSES OR BACTERIA, BUT
VERY OFTEN MIXED INFECTION OCCURS, SOMETIMES
ACCOMPANIED BY FUNGAL INFECTION AS WELL. THE COURSE OF
THE DISEASE IS AFFECTED BY IMMUNOLOGICAL FACTORS
(ALLERGY), PARTLY BY THE INTERACTION BETWEEN PATHOGENS
(VIRULENCE) AND THE DEFENSE SYSTEM.
• SIGNSAND SYMPTOMS ASSOCIATEDWITH MAXILLARYSINUS
MAJOR SIGNS AND SYMPTOMS MINOR SIGNS AND SYMPTOMS
FACIAL PAIN/PRESSURE HEADACHE
FACIAL CONGESTION/FULLNESS FEVER
NASAL OBSTRUCTION/BLOCKAGE HALITOSIS
NASAL DISCHARGE FATIGUE
HYPOSMIA (REDUCED ABILITY TO
SMELL)/ANOSMIA
DENTAL PAIN
PURULENCE IN NASAL CAVITY ON
EXAMINATION
COUGH
EAR PAIN
MAXILLARY SINUSITIS OF DENTAL ORIGIN
• ALTHOUGH UNCOMMON, DIRECT SPREAD OF DENTAL
INFECTIONS INTO THE MAXILLARY SINUS IS POSSIBLE DUE
TO THE CLOSE RELATIONSHIP OF THE MAXILLARY
POSTERIOR TEETH TO THE MAXILLARY SINUS.
• IF A PERIAPICAL DENTAL INFECTION OR DENTAL/ORAL
SURGERY PROCEDURE VIOLATES THE MEMBRANE
INTEGRITY, INFECTION WILL LIKELY SPREAD INTO THE
SINUS, LEADING TO SINUSITIS.
TUMORS OF MAXILLARY SINUS
ODONTOGENICCYSTICLESIONS OF THE MAXILLA
• RADICULAR CYST.
• DENTIGEROUS CYST.
RADICULAR CYST
• MAXILLARY SINUSITIS CAUSED BY AN APICAL INFLAMMATORY
LESION
( RADICULAR CYST) AT THE ROOT APICES OF THE 2ND MOLAR .
DENTIGEROUS CYST
THE DENTIGEROUS CYST IS A DEVELOPMENTAL
ODONTOGENIC CYST WHICH USUALLY OCCURS
IN THE SECOND AND THIRD DECADE OF LIFE.
DENTIGEROUS CYST IS ONE OF THE MOST
PREVALENT TYPES OF ODONTOGENIC CYSTS
ASSOCIATED WITH PARTIALLY ERUPTED,
DEVELOPING, OR IMPACTED TEETH.
IT USUALLY APPEAR ON THE IMPACTED
MAXILLARY 3RD MOLAR.
MALIGNANT TUMORS OF MAXILLARY SINUS
• SQUAMOUS CELL CARCINOMA
AMELOBLASTOMA
• AMELOBLASTOMA IS
RARE, BENIGN OR CANCEROUS TUMOR OF ODONTOGENIC EPITHELIUM (AMELOB
LASTS, OR OUTSIDE PORTION, OF THE TEETH DURING DEVELOPMENT) MUCH
MORE COMMONLY APPEARING IN THE LOWER JAW THAN THE UPPER JAW.
• AMELOBLASTOMA IS THE MOST COMMON BENIGN TUMOR AFFECTING
MAXILLARY SINUS.
MAXILLARY ANTROLITH
• AN ANTROLITH IS A CALCIFIED MASS WITHIN THE MAXILLARY
SINUS. THE ORIGIN OF THE NIDUS OF CALCIFICATION MAY BE
EXTRINSIC (FOREIGN BODY IN SINUS) OR INTRINSIC (STAGNANT
MUCUS AND FUNGAL BALL). MOST ANTROLITHS ARE SMALL AND
ASYMPTOMATIC.
ORO-ANTRAL COMMUNICATION
• OROANTRAL COMMUNICATION IS AN ABNORMAL
COMMUNICATION BETWEEN THE MAXILLARY SINUS AND THE ORAL
CAVITY.
• THESE COMPLICATIONS OCCUR MOSTLY DURING EXTRACTION OF
UPPER MOLAR AND PREMOLAR TEETH THE REASON BEING
ANATOMIC PROXIMITY OR PROJECTION OF THE ROOTS WITHIN
THE MAXILLARY SINUS.
ORO-ANTRAL FISTULA
• AN ORO-ANTRAL FISTULA (OAF) IS AN EPITHELISED
PATHOLOGICAL UNNATURAL COMMUNICATION BETWEEN
ORAL CAVITY AND MAXILLARY SINUS.
• IT DEVELOPS WHEN THE ORO-ANTRAL COMMUNICATION
FAILS TO CLOSE SPONTANEOSLY, REMAINS PATENT &
GETS EPITHELIALISED. THERE IS MIGRATION OF ORAL
EPITHELIUM INTO THE DEFECTS.
ETIOLOGY
EXTRACTION OF TEETH
DESTRUCTION OF PORTION OF FLOOR OF SINUS BY PERIAPICAL LESIONS
PERFORATION OF FLOOR OF SINUS WITH JUDICIOUS USE OF INSTRUMENTS
FORCING OF TOOTH/ROOT INTO SINUS DURING ATTMPTED REMOVAL
EXTENSIVE TRAUMA TO FACE
SURGERY OF MAXILLARY SINUS
CHRONIC INFECTION
TERATOMATOUS DESTRUCTION OF MAXILLA
INFECTED MAXILLARY IMPLANT DENTURE
MALIGNANT DISEASE
SYMPTOMS OF FRESH OROANTRAL COMMUNICATION: 5E
• ESCAPE OF FLUIDS
• EPISTAXIS
• ESCAPE OF AIR
• ENHANCED COLUMN OF AIR.
• EXCRUCIATING PAIN
• ESCAPE OF FLUIDS: FROM MOUTH TO NOSE ON THE SIDE
OF EXTRACTION.
• EPISTAXIS: MAINLY UNILATERAL. IT IS DUE TO BLOOD IN
THE SINUS ESCAPING THROUGH OSTEUM INTO THE
NOSTRIL.
• ESCAPE OF AIR: FROM MOUTH INTO NOSE, ON SUCKING,
INHALING OR DRAWING CIGARETTE, OR PUFFING THE
CHEEKS (INABILITY TO BLOW CHEEKS).
• ENHANCED COLUMN OF AIR: CAUSES ALTERATION IN
VOICE RESONANCE AND SUBSEQUENTLY CHANGE IN
VOICE.
• EXCRUCIATING PAIN: IN AND AROUND THE REGION OF
SYMPTOMS OF ESTABLISHED OROANTRAL FISTULA:5P
• PAIN.
• PERSISTENT PURULENT UNILATERAL NASAL DISCHARGE.
• POST NASAL DRIP.
• POPPING OUT OF ANTRAL POLYP.
• POSSIBLE SEQUELAE OF GENERAL SYSTEMIC TOXEMIC
CONDITION.
VALSALVA TEST: TO CONFIRM IF OAC HAS
OCCURRED
• THE VALSALVA MANOEUVRE IS PERFORMED BY MODERATELY FORCEFUL
ATTEMPTED EXHALATION AGAINST A CLOSED AIRWAY, USUALLY DONE BY
CLOSING ONE'S MOUTH, PINCHING ONE'S NOSE SHUT WHILE PRESSING OUT AS IF
BLOWING UP A BALLOON.
• OROANTRAL COMMUNICATION CAN ALSO BE CONFIRMED BY OBSERVING THE
PASSAGE OF AIR OR BUBBLING OF BLOOD FROM THE POST-EXTRACTION
ALVEOLUS WHEN THE PATIENT TRIES TO EXHALE GENTLY THROUGH THEIR NOSE
WHILE THEIR NOSTRILS ARE PINCHED.
• IF THE PATIENT EXHALES THROUGH THEIR NOSE WITH GREAT PRESSURE, THERE
IS A RISK OF CAUSING OROANTRAL COMMUNICATION, EVEN THOUGH
COMMUNICATION MAY NOT HAVE OCCURRED INITIALLY, SUCH AS WHEN ONLY
THE MUCOSA OF THE MAXILLARY SINUS IS PRESENT BETWEEN THE ALVEOLUS
AND THE ANTRUM.
MANAGEMENT OF OAF
SUPPORTIVE MEASURES
•ANTIBIOTICS
•NASAL DECONGESTANTS
•ANALGESICS
IMMEDIATE TREATMENT OF OROANTRAL
COMMUNICATION
IF PATIENT HAS HEALTHY OROANTRAL FISTULA(LESS THAN 4MM)
AND WILL HEAL SPONTANEOUSLY
• FLAPS ARE NOT ALWAYS NECESSARY
• FIGURE OF 8 SUTURES SHOULD BE MADE OVER THE SOCKET TO HOLD THE BLOOD
CLOT.
• PLACE GUAZE AND APPLY PRESSURE OVER THE SOCKET FOR 1-2 HOURS.
STANDARD PRECAUTIONS.
OPENING OF MOUTH WHILE SNEEZING.
AVOID NOSE BLOWING, STRAW OR CIGARETTE SUCKING.
ANTIBIOTIC AND NASAL DECONGESTANT FOR 7-10 DAYS TO PREVENT INFECTION
AND ENHANCE SINUS VENTILATION.
IF OROANTAL COMMUNICATION IS MORE THAN 4MM
• DONE BY REDUCTION OF BUCCAL AND PALATAL SOCKET WALL AND
UNDERMINING THE SOCKET WALLS TO ALLOW LIGHT APPROXIMATION OF
BUCCAL AND PALATAL SOFT TISSUE FLAPS TO CLOSE THE DEFECT WITHOUT
TENSION.
• IT COULD BE SUPPORTED BY SMALL PALATAL RELAXING INCISIONS.
TREATMENT OF DELAYED CASES
SURGICAL PROCEDURES
1. BUCCAL FLAPADVANCEMENT OPERATION
a) INJECTION OF LA IN THE MUCOBUCCAL FOLD
b) EXCISION OF FISTULOUS TRACT.
c) TWO DIVERGENT INCISIONS ARE TAKEN WITH BLADE NO. 15, FROM
EACH SIDE OF ORIFICE FROM BUCCAL SULCUS FOR A DISTANCE OF 2.5 CM.
THESE INCISIONS ARE MADE DOWN TILL BONE.
d) MUCOPERIOSTEAL FLAP IS ELEVATED.
e) FLAP IS SUTURED INTO POSITION ACROSS FISTULA WITH
INTERRUPTED SUTURES.
Buccal
Flap
Incisio
n Site
sutured
after
Closing
commun
ica-tion
2.MODIFIED REHRMANN’S BUCCAL ADVANCEMENT FLAP
• AFTER MOBILIZATION OF BUCCAL FLAP THE FREE END OF FLAP WHICH IS TO BE
SUTURED TO PALATAL MUCOSA IS MODIFIED.
• A STEP IS CREATED ALONG ENTIRE LENGTH OF FREE END OF BUCCAL FLAP IN
SUBMUCOSAL AREA.
• THE DENUDED FLAP MARGIN IS PULLED BELOW THE PALATAL MUCOSA EDGE BY
FEW VERTICAL MATTERESS SUTURES.
• THE ENSURES DOUBLE LAYER CLOSURE.
3. PALATAL FLAP
• THE FIRST STEP CONSISTS IN EXCISING THE EPITHELIUM FROM ITS EDGES AND IN
CUTTING THE PALATAL FIBRO MUCOSA SO AS TO CREATE A FLAP HAVING AN
AXIAL STALK WITH A POSTERIOR BASE, SUPPLIED BY THE GREATER PALATINE
ARTERY.
• THE PALATAL FLAP WITH ITS TOTAL THICKNESS LATERALLY ROTATED MUST
HAVE A LARGE BASE TO INCLUDE THE GREATER PALATINE ARTERY AT THE SITE
OF ITS EXIT FROM THE FORAMEN.
• THE ANTERIOR EXTENSION OF THE FLAP MUST EXCEED THE DIAMETER OF THE
BONY DEFECT AND HAVE A LENGTH SUFFICIENT TO ALLOW ITS LATERAL
ROTATION AND THE REPLACEMENT AND THE SUTURE WITHOUT EXERTING
TENSION ON THE VESTIBULAR MUCOSA.
Palatal surface
exposure
Site sutured
4.BUCCALPAD OF FLAT FLAP
THE BUCCAL PAD OF FLAP (ALSO
KNOWN AS BOULE DE BICHAT) IS A SIMPLE
LOBULATED MASS
COVERED BY A THIN LAYER OR CAPSULE LOCATED
DEEPLY ALONG
THE POSTERIOR MAXILLA AND THE SUPERIOR FIBERS
OF
BUCCINATOR MUSCLE.
THE POSSIBLE FUNCTIONS OF THE BFP INCLUDE
• THE PREVENTION OF NEGATIVE PRESSURE IN
SUCKLING
NEWBORNS
• THE SEPARATION OF MASTICATORY MUSCLES
FROM ONE OTHER
AS WELL AS FROM THE BONE STRUCTURES
• THE ENHANCEMENT OF INTERMUSCULAR
• IN ORDER TO REACH THE BFP AN INCISION OF THE POSTERIOR MUCOSA MUST BE
MADE IN THE AREA OF THE ZYGOMATIC BUTTRESS, FOLLOWED BY A LIGHT INCISION
OF THE PERIOSTEUM AND OF THE FASCIAL ENVELOPE OF THE BUCCAL PAD.
• A GENTLE DISSECTION WITH FINE CURVED ARTERY FORCEPS EXPOSES THE
YELLOWISH-COLORED BUCCAL FAT.
• THE BUCCAL FAT PAD FLAP, PREFERABLY OF THE PEDICLED TYPE, HAS BEEN USED
MOST COMMONLY FOR THE CLOSURE OF THE OAF.
• THIS IS DUE TO THE LOCATION OF THE BUCCAL FAT PAD WHICH IS ANATOMICALLY
FAVORABLE, TO THE EASY AND MINIMAL DISSECTION WITH WHICH IT CAN BE
HARVESTED AND MOBILIZED. THE FAT PAD PROVIDES A GOOD RATE OF
EPITHELIALIZATION AND A LOW RATE OF FAILURE
View
after
tooth
extracti
on Exposure of yellowish coloured fat
Healing after one month
IMPLANTS IN MAXILLA
LACK OF SUFFICIENT BONE HEIGHT ALONG MAXILLARY SINUS,
PRODUCES SIGNIFICANT DIFFICULTY FOR PLACEMENT OF
IMPLANTS IN EDENTULOUS MAXILLARY JAW, IN THAT CASE, WE
GO FOR SINUS LIFT, WHICH IS A SURGICAL PROCEDURE WHICH
AIMS TO INCREASE THE AMOUNT OF BONE IN THE POSTERIOR
MAXILLA.
ANATOMIC LIMITATIONS
• POSTERIOR MAXILLA HAVE FLAT PALATAL VAULT.
• DEFICIENT ALVEOLAR RIDGE.
• INADEQUATE POSTERIOR ALVEOLUS.
• INCREASED PNEUMATISATION OF MAXILLARY SINUS.
• CLOSE APPROXIMATION OF SINUS TO CRESTAL BONE.
• THERE ARE DIFFERENT TECHNIQUES FOR THE SINUS
AUGMENTATION; THE FACTORS THAT CONTRIBUTE TO THE
SURVIVAL RATE OF SINUS AUGMENTATION AND DENTAL IMPLANT
PLACEMENT ARE STILL THE SUBJECT OF DISCUSSION.
• THE TWO DIFFERENT WAYS OF SINUS FLOOR ELEVATION:
• A) LATERAL ANTROSTOMY AS A ONE OR TWO STEP PROCEDURE AS
DIRECT METHOD.
• B) OSTEOTOME TECHNIQUE WITH A CRESTAL APPROACH AS
INDIRECT METHOD.
Sequential steps in indirect sinus augmentation technique;
1. Implant site prepared starting from small diameter to large diameter drills,
2. Sinus floor fractured,
3. Elevated,
4. Bone graft placed in the resultant space and immediate implant placement
1 2 3 4
RELATIONSHIP BETWEEN MAXILLARY SINUS AND PERIODONTITIS.
• MOSKOW STUDIED BLOCKS OF HUMAN JAWS OBTAINED AT AUTOPSY. HE FOUND
THAT ALL 19 MICROSCOPIC SPECIMENS DEMONSTRATED MODERATE TO
ADVANCED PERIODONTITIS WITH SIGNIFICANT PATHOLOGIC CHANGES IN THE
MUCOSA OF THE MAXILLARY SINUS. MOSKOW SUGGESTED THAT PERIODONTITIS
IS MORE PERVASIVE TO THE MAXILLARY SINUS THAN PREVIOUSLY THOUGHT. IN
LIGHT OF THIS EVIDENCE, IT IS IMPORTANT TO EVALUATE PERIODONTITIS IN
APPROXIMATION TO THE MAXILLARY SINUS ACCURATELY FOR DIAGNOSIS AND
TREATMENT PLANNING BEFORE PERIODONTAL THERAPY.
A STUDY BY JAMES J. ABRAHAM SHOWED A TWOFOLD INCREASE IN MAXILLARY
SINUS DISEASE IN PATIENTS WITH PERIODONTAL DISEASE AND HAVE SHOWN A
CAUSAL RELATIONSHIP.
GRADE 0- NO SINUS DISEASE;
 GRADE 1- FOCAL SINUS DISEASE NOT ADJACENT TO PERIODONTAL DISEASE
(UNLIKELY TO BE CAUSED BY PERIODONTAL DISEASE);
 GRADE 2- NON FOCAL SINUS DISEASE (COMPLETE OPACIFICATION, AIR-FLUID
LEVELS, OR DIFFUSE MUCOPERIOSTEAL THICKENING; INDETERMINATE CAUSE);
AND GRADE 3- FOCAL SINUS DISEASE ADJACENT TO PERIODONTAL DISEASE
• RESULTS SHOWED IN THE SUBJECT POPULATION-PATIENTS WITH PERIODONTAL
DISEASE WHO WERE REFERRED FOR DENTASCANS-100 OF 168 (60%) SINUSES
HAD SINUS DISEASE.
Case 1
CASE 2
• A CASE REPORT BY MICHAEL A. BRUNSVOLD SAID THAT MAXILLARY SINUSITIS
MAY DEVELOP FROM THE EXTENSION OF PERIODONTAL DISEASE. IN THIS CASE,
RECONSTRUCTED THREE-DIMENSIONAL IMAGES FROM MULTIDETECTOR SPIRAL
COMPUTED TOMOGRAPHS WERE HELPFUL IN EVALUATING PERIODONTAL BONY
DEFECTS AND THEIR RELATIONSHIP WITH THE MAXILLARY SINUS.
• A 42-YEAR-OLD WOMAN IN GOOD GENERAL HEALTH PRESENTED WITH A
CHRONIC DEEP PERIODONTAL POCKET ON THE PALATAL AND
INTERPROXIMAL ASPECTS OF TOOTH #3 AND #14. PROBING DEPTHS OF THE
TOOTH RANGED FROM 2 TO 9 MM, AND IT EXHIBIT A CLASS 1 MOBILITY.
RADIOGRAPHS REVEALED A CLOSE RELATIONSHIP BETWEEN THE ROOT APEX
AND THE MAXILLARY SINUS. THE PATIENT’S PERIODONTAL DIAGNOSIS WAS
LOCALIZED SEVERE CHRONIC PERIODONTITIS. TREATMENT OF THE TOOTH
CONSISTED OF CAUSE-RELATED THERAPY, SURGICAL EXPLORATION, AND
BONE GRAFTING. A VERY DEEP CIRCUMFERENTIAL BONY DEFECT AT THE
PALATAL ROOT OF TOOTH #14 WAS NOTED DURING SURGERY. AFTER THE
OPERATION, THE WOUND HEALED WITHOUT INCIDENCE, BUT 10 DAYS
LATER, A MAXILLARY SINUSITIS AND PERIAPICAL ABSCESS DEVELOPED. TO
CONTROL THE INFECTION, AN EVALUATION OF SINUS AND ALVEOLUS USING
COMPUTED TOMOGRAPHS WAS PERFORMED, SYSTEMIC ANTIBIOTICS WERE
PRESCRIBED, AND ENDODONTIC TREATMENT WAS INITIATED.
• RESULTS: TWO WEEKS AFTER SURGICAL TREATMENT, THE INFECTION WAS
RELIEVED WITH THE HELP OF ANTIBIOTICS AND ENDODONTIC TREATMENT.
BILATERAL BONY COMMUNICATIONS BETWEEN THE MAXILLARY SINUS AND
PERIODONTAL BONY DEFECT OF MAXILLARY FIRST MOLARS WERE SHOWN ON
THREE-DIMENSIONAL COMPUTED TOMOGRAPHS. THE DIGITALLY
RECONSTRUCTED IMAGES ADDED VALUABLE INFORMATION FOR EVALUATING
THE PERIODONTAL DEFECTS. THREE-DIMENSIONAL IMAGES FROM SPIRAL
COMPUTED TOMOGRAPHS (CT) AIDED IN EVALUATING AND TREATING THE
CLOSE RELATIONSHIP BETWEEN MAXILLARY SINUS DISEASE AND ADJACENT
PERIODONTAL DEFECTS.
CONCLUSION
• DUE TO THE CLOSE PROXIMITY OF MAXILLARY SINUS TO ORBIT, ALVEOLAR RIDGE, DISEASE
INVOLVING THESE STRUCTURES MAY PRODUCE CONFUSING SYMPTOMS. HENCE A PRECISE
INFORMATION ABOUT SURGICAL ANATOMY IS ESSENTIAL TO THE SURGEONS.
• THE CLOSE ANATOMICAL RELATIONSHIP OF MAXILLARY SINUS AND ROOTS OF MAXILLARY
MOLARS, PREMOLARS AND IN SOME INSTANCES CANINE, CAN ALSO LEAD TO SEVERAL
COMPLICATIONS.
• CLINICIANS MUST BE PARTICULARLY CONSCIOUS WHILE PERFORMING PROCEDURES OF
MAXILLARY POSTERIOR TEETH
REFERENCES
1. ORBAN’S ORAL HISTOLOGY AND EMBRYOLOGY 12TH EDITION
2. TEXTBOOK OF ORAL AND MAXILLOFACIAL SURGERY, NILIMA MALIK
3. TEXTBOOK OF GENERAL ANATOMY, B. D. CHAURASIA
4. JAMES J. ABRAHAMS1 ROBERT M. GLASSBERG2; DENTAL DISEASE: A FREQUENTLY
UNRECOGNIZED CAUSE,
1996 MAY;166(5):1219-23.
5. U. S. PAL ET AL; DIRECT VS. INDIRECT SINUS LIFT PROCEDURE: A COMPARISON NATL J
MAXILLOFAC SURG. 2012 JAN-JUN; 3(1): 31–37
6. R. S. RAKHI MENON, OROANTRAL FISTULA MANAGEMENT AND TREATMENT;
NTERNATIONAL JOURNAL OF SCIENCE AND RESEARCH (IJSR) ISSN (ONLINE): 2319-7064
7. MICHAEL A. BRUNSVOLD, MAXILLARY SINUSITIS AND PERIAPICAL ABSCESS FOLLOWING
PERIODONTAL THERAPY: A CASE REPORT USING THREE-DIMENSIONAL EVALUATION; J
maxillary sinus

maxillary sinus

  • 1.
    MAXILLARY SINUS GUIDED BY:PRESENTED BY: DR. V. KRISHNA MDS DR. SHWETA SARATE ( MDS PART 1) DEPARTMENT OF PERIODONTICS DEPARTMENT OF PERIODONTICS CHHATTISGARH DENTAL COLLEGE AND RESEARCH INSTITUTE,RAJNANDGAON SEMINAR PRESENTATION
  • 2.
    CONTENTS 1. Development. 2. Anatomyand physiology. 3. Blood , Nerve supply & lymphatic drainage. 4. Functions of the paranasal sinuses. 5. Diagnostic evaluation of sinus disease. 6. Developmental anomalies & pathologic conditions of maxillary sinus. 7. Clinical significance. 8. Conclusion. 9. References.
  • 3.
    PARANASAL AIR SINUS •PARANASAL AIR SINUSES ARE THE AIR FILLED MUCOSA LINED CAVITIES WHICH DEVELOPS IN THE CRANIAL AND FACIAL BONES. • THESE ARE THE SPACES WHICH COMMUNICATES WITH THE NASAL AIRWAY. • THESE FORMS THE VARIOUS BOUNDARIES OF THE NASAL CAVITY. • •PARANASAL SINUSES ARE PRESENT IN A VARIETY OF ANIMALS (INCLUDING MOST MAMMALS, BIRDS, AND CROCODILE). • THE SINUSES ARE NAMED FOR THE BONES IN WHICH THEY ARE LOCATED.
  • 4.
    TYPES  MAXILLARY AIRSINUS.  FRONTAL AIR SINUS.  ETHMOIDAL AIR SINUS.  SPHENOIDAL AIR SINUS.
  • 6.
    DEFINITION OF MAXILLARYSINUS • “MAXILLARY SINUS IS THE PNEUMATIC SPACE THAT IS LODGED INSIDE THE BODY OF MAXILLA AND THAT COMMUNICATES WITH THE ENVIRONMENT BY WAY OF THE MIDDLE MEATUS AND NASAL VESTIBULE.” • ANATOMY OF THE MAXILLARY SINUS WAS 1ST DESCRIBED BY HIGHMORE IN 1651. • MAXILLARY SINUS IS ALSO CALLED AS “ANTRUM OF HIGHMORE”.
  • 7.
    DEVELOPMENT • MAXILLARY SINUSIS FIRST OF THE PNS TO DEVELOP. • IT STARTS AS A SHALLOW GROOVE ON THE MEDIAL SURFACE OF MAXILLA DURING THE 4TH MONTH OF INTRAUTERINE LIFE. (KOCH 1930). • EXPANSION OCCURS MORE RAPIDLY UNTIL ALL THE PERMANENT TEETH HAVE ERUPTED. • IT REACHES TO MAXIMUM SIZE AROUND 18YEARS OF AGE.
  • 8.
    • DEVELOPMENT OFMAXILLARY SINUS STARTS WITH THE INVAGINATION OF MUCOUS MEMBRANE IN THE LATERAL WALL OF MIDDLE MEATUS. • THIS INVAGINATION LEADS TO THE DEVELOPMENT OF MAXILLARY SINUS.
  • 9.
  • 10.
    AGE CHANGES TUBULAR ATBIRTH OVOID IN CHILDHOOD PYRAMIDAL IN ADULTHOOD
  • 12.
    ANATOMY • LARGEST OFPNS, COMMUNICATE WITH OTHER SINUSES THROUGH LATERAL NASAL WALL. • HORIZONTAL PYRAMIDAL SHAPED • BASE • APEX • 4 WALLS ( SUPERIOR, INFERIOR, LATERAL & ANTERIOR) • ◦ WALL THICKNESS VARIES WITH INDIVIDUAL
  • 15.
    MEDIAL WALL • FORMEDBY LATERAL NASAL WALL • BELOW INF . NASAL CONCHAE • BEHIND-PALATINE BONE • ABOVE-UNCINATE PROCESS OF ETHMOID, LACRIMAL BONE • CONTAINS DOUBLE LAYER OF MUCOUS MEMBRANE (PARS MEMBRANACEA)
  • 16.
    SUPERIOR WALL • FORMSROOF OF SINUS AND FLOOR OF ORBIT • IMP STRUCTURES • INFRAORBITAL CANAL • INFRAORBITAL FORAMEN • INFRAORBITAL NERVE AND VESSELS
  • 17.
    POSTEROLATERAL WALL • MADEOF ZYGOMATIC AND GREATER WING OF SPHENOID BONE. • THICK LATERALLY, THIN MEDIALLY • IMP STRUCTURES PSA NERVE MAXILLARY ARTERY PTERYGOPALATINE GANGLION NERVE OF PTERYGOID CANAL
  • 18.
    ANTERIOR WALL • EXTENDSFROM PYRIFORM APERTURE ANTERIORLY TO ZM SUTURE & INFERIOR ORBITAL RIM SUPERIORLY TO ALVEOLAR PROCESS INFERIORLY. • CONVEXITY TOWARDS SINUS • THINNEST IN CANINE FOSSA • IMP STRUCTURES INFRAORBITAL FORAMEN ASA, MSA NERVES
  • 19.
    FLOOR OF SINUS •FORMED BY JUNCTION OF ANTERIOR SINUS WALL AND LATERAL NASAL WALL • 1-1.2 CM BELOW NASAL FLOOR • CLOSE RELATIONSHIP BETWEEN SINUS AND TEETH FACILITATE SPREAD OF PATHOLOGY.
  • 20.
    OSTEUM : • OPENINGOF THE MAXILLARY SINUS IS CALLED OSTEUM. • IT OPENS IN MIDDLE MEATUS AT THE LOWER PART OF THE HIATUS SEMILUNARIS. • LIES ABOVE THE LEVEL OF NASAL FLOOR. • THE OSTIUM LIES APPROXIMATELY 2/3RDS UP THE MEDIAL WALL OF THE SINUS, MAKING DRAINAGE OF THE SINUS INHERENTLY DIFFICULT.
  • 21.
    • IN 15%TO 40% OF CASES, A VERY SMALL, ACCESSORY OSTIUM IS ALSO FOUND. • BLOCKAGE OF THE OSTIUM CAN EASILY OCCUR WHEN THERE IS INFLAMMATION OF THE MUCOSAL LINING OF THE OSTIUM.
  • 22.
    NERVE SUPPLY • MAXILLARYNERVE GIVES ITS BRANCHES , I.E. THE POSTERIOR SUPERIOR ALVEOLAR NERVE, MIDDLE SUPERIOR ALVEOLAR NERVE AND ANTERIOR SUPERIOR ALVEOLAR NERVES, THE INFRAORBITAL NERVE AND THE ANTERIOR PALATINE NERVE.
  • 23.
    BLOOD SUPPLY INFRA ORBITALARTERY BUCCAL BRANCH OF FACIAL ARTERY ALVEOLAR ARTERIES OF POSTERIOR SUPERIOR ALVEOLAR BRANCH
  • 24.
    VENOUS DRINAGE:- • PTERYGOIDVENOUS PLEXUS • SPHENOPALATINE VEIN AND • FACIAL VEIN
  • 25.
    LYMPHATIC DRAIN THE LYMPHATICDRAINS IN TO SUBMANDIBULAR LYMPH NODES. THE LYMPHATIC DRAINAGE REACHES THE SPECIALISED CELLS IN THE MAXILLARY SINUS VIA INFRA ORBITAL FORAMEN OR THROUGH THE ANTEROSUPERIOR WALL AND THEN TO THE SUBMANDIBULAR LYMPH NODES.
  • 26.
    FUNCTIONS OF THEMAXILLARY SINUS 1. HUMIDIFICATION AND WARMING OF INSPIRED AIR. 2. ASSISTING IN REGULATING INTRANASAL PRESSURE. 3. LIGHTENING THE SKULL TO MAINTAIN PROPER HEAD BALANCE. 4. IMPARTING RESONANCE TO THE VOICE. 5. ABSORPTION OF SHOCKS TO THE HEAD. 6. FILTRATION OF THE INSPIRED AIR.
  • 27.
    CLINICAL EXAMINATION • INSPECTION: • MIDDLE THIRD OF THE FACE SHOULD BE INSPECTED FOR THE PRESENCE • OF ASYMMETRY, DEFORMITY, SWELLING, ERYTHEMA , ECCHYMOSIS OR • HEMATOMA. • EXTRAORAL PALPATION : • INCLUDE PALPATION OF THE FACIAL WALL OF THE SINUS ABOVE THE PREMOLAR WHERE THE BONE IS THINNEST.
  • 28.
    INTRAORALEXAMINATION EXAMINATION SHOULD BEPERFORMED FOR TENDERNESS, OR PARESTHESIA OF UPPER MOLAR AND PREMOLAR REGION. TRANSILLUMINATION TEST: • IT IS PERFORMED IN A DARKENED ROOM BY INSERTING AN ELECTRICALLY SAFE LIGHT INTO THE MOUTH ( WITH THE LIP CLOSED). GOOD TRANSILLUMINATION INDICATES PRESENCE OF AIR IN THE SINUS WHILE THE FAILURE OF TRANSILLUMINATION INDICATES PRESENCE OF PUS, FLUID , SOLID LESION OR MUCOSAL THICKENING.
  • 29.
    RADIOGRAPHICEXAMINATION Intra-Oral : Extra-Oral: Periapical OPG View Occlusal Watersview (Occipitome ntal view) Lateral Occlusal Submentov PA view Others: • MRI & CT scan Radiography is the most important supplementar y investigation to clinical examination of the sinuses
  • 30.
    PERIAPICAL RADIOGRAPH • BORDERSOF THE MAXILLARY SINUS APPEAR AS A THIN, DELICATE RADIOPAQUE LINE . • IN THE ABSENCE OF DISEASE IT APPEARS CONTINUOUS, BUT ON CLOSE EXAMINATION IT HAS SMALL INTERRUPTIONS IN ITS SMOOTHNESS OR DENSITY • THE ROOTS OF MAXILLARY MOLARS USUALLY LIE IN CLOSE APPOSITION TO THE MAXILLARY SINUS AND MAY PROJECT INTO THE FLOOR OF THE SINUS, CAUSING SMALL ELEVATIONS OR PROMINENCES.
  • 31.
    OCCLUSAL VIEW LATERALOCCLUSAL VIEW
  • 32.
    PANORAMICRADIOGRAPHY • PROVIDES ANEXTENSIVE OVERVIEW OF THE SINUS FLOOR AND ITS RELATIONSHIP WITH THE TOOTH ROOTS.
  • 33.
  • 34.
    COMPUTERIZEDTOMOGRAPHY (CT) &MAGNETIC RESONANCE IMAGING (MRI) • THESE MODALITIES PROVIDE MULTIPLE SECTIONS THROUGH THE SINUSES AT DIFFERENT PLANES AND THEREFORE CONTRIBUTE TO THE FINAL DIAGNOSIS AND THE DETERMINATION OF EXTENT OF THE DISEASE.
  • 35.
  • 36.
  • 37.
    DEVELOPMENTAL ANOMALIES AND PATHOLOGICCONDITIONS OF MAXILLARY SINUS • 1.APLASIA • 2. AGENESIS • 3. HYPOPLASIA • 4. HYPERPLASIA
  • 38.
    • APLASIA- ALTEREDDEVELOPMENT OF MAXILLARY SINUS. • AGENESIS- COMPLETE ABSENCE OF MAXILLARY SINUS. • HYPOPLASIA- UNDERDEVELOPMENT (9%) UNILATERAL (1.7%) BILATERAL (7.2%) • HYPERPLASIA- EXCESS DEVELOPMENT OF MAXILLARY SINUS E.G. ACROMEGALY
  • 39.
    APLASIAANDAGENESIS • MAXILLARY SINUSAPLASIA AND HYPOPLASIA ARE RARE CONDITIONS THAT CAN CAUSE SYMPTOMS SUCH AS HEADACHES AND VOICE ALTERATION. THE MAJORITY OF PATIENTS ARE ASYMPTOMATIC, BUT THESE CONDITIONS MUST BE NOTICED FOR IMPORTANCE OF DIFFERENTIAL DIAGNOSIS SUCH AS INFECTION AND NEOPLASMS. CONVENTIONAL RADIOGRAPHS COULD NOT DIFFERENTIATE BETWEEN INFLAMMATORY MUCOSAL THICKENING, NEOPLASM, AND HYPOPLASIA OF THE SINUS. COMPUTED TOMOGRAPHY (CT) AND ALSO CONE BEAM COMPUTED TOMOGRAPHY (CBCT) ARE THE PROPER MODALITIES TO DETECT THESE CONDITIONS.
  • 40.
    PATHOLOGIC CONDITIONS OFMAXILLARY SINUS • MAXILLARY SINUSITIS • MAXILLARY ANTROLITH • ODONTOGENIC CYSTIC LESIONS OF MAXILLARY SINUS • TUMORS OF MAXILLARY SINUS.
  • 41.
  • 42.
    • INFLAMMATION OFTHE SINUSES IS A VERY COMMON DISEASE. • THE MOST COMMON WAY OF DEVELOPMENT OF THE SINUSITIS IS WHEN THE INFLAMMATION OF THE NASAL CAVITY SPREADS TO THE MAXILLARY SINUS. HOWEVER, USUALLY CLINICAL SYMPTOMS DO NOT OCCUR. • THE INFLAMMATION IS CAUSED BY VIRUSES OR BACTERIA, BUT VERY OFTEN MIXED INFECTION OCCURS, SOMETIMES ACCOMPANIED BY FUNGAL INFECTION AS WELL. THE COURSE OF THE DISEASE IS AFFECTED BY IMMUNOLOGICAL FACTORS (ALLERGY), PARTLY BY THE INTERACTION BETWEEN PATHOGENS (VIRULENCE) AND THE DEFENSE SYSTEM.
  • 43.
    • SIGNSAND SYMPTOMSASSOCIATEDWITH MAXILLARYSINUS MAJOR SIGNS AND SYMPTOMS MINOR SIGNS AND SYMPTOMS FACIAL PAIN/PRESSURE HEADACHE FACIAL CONGESTION/FULLNESS FEVER NASAL OBSTRUCTION/BLOCKAGE HALITOSIS NASAL DISCHARGE FATIGUE HYPOSMIA (REDUCED ABILITY TO SMELL)/ANOSMIA DENTAL PAIN PURULENCE IN NASAL CAVITY ON EXAMINATION COUGH EAR PAIN
  • 44.
    MAXILLARY SINUSITIS OFDENTAL ORIGIN • ALTHOUGH UNCOMMON, DIRECT SPREAD OF DENTAL INFECTIONS INTO THE MAXILLARY SINUS IS POSSIBLE DUE TO THE CLOSE RELATIONSHIP OF THE MAXILLARY POSTERIOR TEETH TO THE MAXILLARY SINUS. • IF A PERIAPICAL DENTAL INFECTION OR DENTAL/ORAL SURGERY PROCEDURE VIOLATES THE MEMBRANE INTEGRITY, INFECTION WILL LIKELY SPREAD INTO THE SINUS, LEADING TO SINUSITIS.
  • 46.
  • 47.
    ODONTOGENICCYSTICLESIONS OF THEMAXILLA • RADICULAR CYST. • DENTIGEROUS CYST.
  • 48.
    RADICULAR CYST • MAXILLARYSINUSITIS CAUSED BY AN APICAL INFLAMMATORY LESION ( RADICULAR CYST) AT THE ROOT APICES OF THE 2ND MOLAR .
  • 50.
    DENTIGEROUS CYST THE DENTIGEROUSCYST IS A DEVELOPMENTAL ODONTOGENIC CYST WHICH USUALLY OCCURS IN THE SECOND AND THIRD DECADE OF LIFE. DENTIGEROUS CYST IS ONE OF THE MOST PREVALENT TYPES OF ODONTOGENIC CYSTS ASSOCIATED WITH PARTIALLY ERUPTED, DEVELOPING, OR IMPACTED TEETH. IT USUALLY APPEAR ON THE IMPACTED MAXILLARY 3RD MOLAR.
  • 51.
    MALIGNANT TUMORS OFMAXILLARY SINUS • SQUAMOUS CELL CARCINOMA
  • 52.
    AMELOBLASTOMA • AMELOBLASTOMA IS RARE,BENIGN OR CANCEROUS TUMOR OF ODONTOGENIC EPITHELIUM (AMELOB LASTS, OR OUTSIDE PORTION, OF THE TEETH DURING DEVELOPMENT) MUCH MORE COMMONLY APPEARING IN THE LOWER JAW THAN THE UPPER JAW. • AMELOBLASTOMA IS THE MOST COMMON BENIGN TUMOR AFFECTING MAXILLARY SINUS.
  • 54.
    MAXILLARY ANTROLITH • ANANTROLITH IS A CALCIFIED MASS WITHIN THE MAXILLARY SINUS. THE ORIGIN OF THE NIDUS OF CALCIFICATION MAY BE EXTRINSIC (FOREIGN BODY IN SINUS) OR INTRINSIC (STAGNANT MUCUS AND FUNGAL BALL). MOST ANTROLITHS ARE SMALL AND ASYMPTOMATIC.
  • 55.
    ORO-ANTRAL COMMUNICATION • OROANTRALCOMMUNICATION IS AN ABNORMAL COMMUNICATION BETWEEN THE MAXILLARY SINUS AND THE ORAL CAVITY. • THESE COMPLICATIONS OCCUR MOSTLY DURING EXTRACTION OF UPPER MOLAR AND PREMOLAR TEETH THE REASON BEING ANATOMIC PROXIMITY OR PROJECTION OF THE ROOTS WITHIN THE MAXILLARY SINUS.
  • 56.
    ORO-ANTRAL FISTULA • ANORO-ANTRAL FISTULA (OAF) IS AN EPITHELISED PATHOLOGICAL UNNATURAL COMMUNICATION BETWEEN ORAL CAVITY AND MAXILLARY SINUS. • IT DEVELOPS WHEN THE ORO-ANTRAL COMMUNICATION FAILS TO CLOSE SPONTANEOSLY, REMAINS PATENT & GETS EPITHELIALISED. THERE IS MIGRATION OF ORAL EPITHELIUM INTO THE DEFECTS.
  • 57.
    ETIOLOGY EXTRACTION OF TEETH DESTRUCTIONOF PORTION OF FLOOR OF SINUS BY PERIAPICAL LESIONS PERFORATION OF FLOOR OF SINUS WITH JUDICIOUS USE OF INSTRUMENTS FORCING OF TOOTH/ROOT INTO SINUS DURING ATTMPTED REMOVAL EXTENSIVE TRAUMA TO FACE SURGERY OF MAXILLARY SINUS CHRONIC INFECTION TERATOMATOUS DESTRUCTION OF MAXILLA INFECTED MAXILLARY IMPLANT DENTURE MALIGNANT DISEASE
  • 59.
    SYMPTOMS OF FRESHOROANTRAL COMMUNICATION: 5E • ESCAPE OF FLUIDS • EPISTAXIS • ESCAPE OF AIR • ENHANCED COLUMN OF AIR. • EXCRUCIATING PAIN
  • 60.
    • ESCAPE OFFLUIDS: FROM MOUTH TO NOSE ON THE SIDE OF EXTRACTION. • EPISTAXIS: MAINLY UNILATERAL. IT IS DUE TO BLOOD IN THE SINUS ESCAPING THROUGH OSTEUM INTO THE NOSTRIL. • ESCAPE OF AIR: FROM MOUTH INTO NOSE, ON SUCKING, INHALING OR DRAWING CIGARETTE, OR PUFFING THE CHEEKS (INABILITY TO BLOW CHEEKS). • ENHANCED COLUMN OF AIR: CAUSES ALTERATION IN VOICE RESONANCE AND SUBSEQUENTLY CHANGE IN VOICE. • EXCRUCIATING PAIN: IN AND AROUND THE REGION OF
  • 61.
    SYMPTOMS OF ESTABLISHEDOROANTRAL FISTULA:5P • PAIN. • PERSISTENT PURULENT UNILATERAL NASAL DISCHARGE. • POST NASAL DRIP. • POPPING OUT OF ANTRAL POLYP. • POSSIBLE SEQUELAE OF GENERAL SYSTEMIC TOXEMIC CONDITION.
  • 62.
    VALSALVA TEST: TOCONFIRM IF OAC HAS OCCURRED • THE VALSALVA MANOEUVRE IS PERFORMED BY MODERATELY FORCEFUL ATTEMPTED EXHALATION AGAINST A CLOSED AIRWAY, USUALLY DONE BY CLOSING ONE'S MOUTH, PINCHING ONE'S NOSE SHUT WHILE PRESSING OUT AS IF BLOWING UP A BALLOON. • OROANTRAL COMMUNICATION CAN ALSO BE CONFIRMED BY OBSERVING THE PASSAGE OF AIR OR BUBBLING OF BLOOD FROM THE POST-EXTRACTION ALVEOLUS WHEN THE PATIENT TRIES TO EXHALE GENTLY THROUGH THEIR NOSE WHILE THEIR NOSTRILS ARE PINCHED. • IF THE PATIENT EXHALES THROUGH THEIR NOSE WITH GREAT PRESSURE, THERE IS A RISK OF CAUSING OROANTRAL COMMUNICATION, EVEN THOUGH COMMUNICATION MAY NOT HAVE OCCURRED INITIALLY, SUCH AS WHEN ONLY THE MUCOSA OF THE MAXILLARY SINUS IS PRESENT BETWEEN THE ALVEOLUS AND THE ANTRUM.
  • 63.
  • 64.
  • 65.
    IMMEDIATE TREATMENT OFOROANTRAL COMMUNICATION
  • 66.
    IF PATIENT HASHEALTHY OROANTRAL FISTULA(LESS THAN 4MM) AND WILL HEAL SPONTANEOUSLY • FLAPS ARE NOT ALWAYS NECESSARY • FIGURE OF 8 SUTURES SHOULD BE MADE OVER THE SOCKET TO HOLD THE BLOOD CLOT. • PLACE GUAZE AND APPLY PRESSURE OVER THE SOCKET FOR 1-2 HOURS. STANDARD PRECAUTIONS. OPENING OF MOUTH WHILE SNEEZING. AVOID NOSE BLOWING, STRAW OR CIGARETTE SUCKING. ANTIBIOTIC AND NASAL DECONGESTANT FOR 7-10 DAYS TO PREVENT INFECTION AND ENHANCE SINUS VENTILATION.
  • 67.
    IF OROANTAL COMMUNICATIONIS MORE THAN 4MM • DONE BY REDUCTION OF BUCCAL AND PALATAL SOCKET WALL AND UNDERMINING THE SOCKET WALLS TO ALLOW LIGHT APPROXIMATION OF BUCCAL AND PALATAL SOFT TISSUE FLAPS TO CLOSE THE DEFECT WITHOUT TENSION. • IT COULD BE SUPPORTED BY SMALL PALATAL RELAXING INCISIONS.
  • 68.
  • 69.
    SURGICAL PROCEDURES 1. BUCCALFLAPADVANCEMENT OPERATION a) INJECTION OF LA IN THE MUCOBUCCAL FOLD b) EXCISION OF FISTULOUS TRACT. c) TWO DIVERGENT INCISIONS ARE TAKEN WITH BLADE NO. 15, FROM EACH SIDE OF ORIFICE FROM BUCCAL SULCUS FOR A DISTANCE OF 2.5 CM. THESE INCISIONS ARE MADE DOWN TILL BONE. d) MUCOPERIOSTEAL FLAP IS ELEVATED. e) FLAP IS SUTURED INTO POSITION ACROSS FISTULA WITH INTERRUPTED SUTURES.
  • 70.
  • 71.
    2.MODIFIED REHRMANN’S BUCCALADVANCEMENT FLAP • AFTER MOBILIZATION OF BUCCAL FLAP THE FREE END OF FLAP WHICH IS TO BE SUTURED TO PALATAL MUCOSA IS MODIFIED. • A STEP IS CREATED ALONG ENTIRE LENGTH OF FREE END OF BUCCAL FLAP IN SUBMUCOSAL AREA. • THE DENUDED FLAP MARGIN IS PULLED BELOW THE PALATAL MUCOSA EDGE BY FEW VERTICAL MATTERESS SUTURES. • THE ENSURES DOUBLE LAYER CLOSURE.
  • 73.
    3. PALATAL FLAP •THE FIRST STEP CONSISTS IN EXCISING THE EPITHELIUM FROM ITS EDGES AND IN CUTTING THE PALATAL FIBRO MUCOSA SO AS TO CREATE A FLAP HAVING AN AXIAL STALK WITH A POSTERIOR BASE, SUPPLIED BY THE GREATER PALATINE ARTERY. • THE PALATAL FLAP WITH ITS TOTAL THICKNESS LATERALLY ROTATED MUST HAVE A LARGE BASE TO INCLUDE THE GREATER PALATINE ARTERY AT THE SITE OF ITS EXIT FROM THE FORAMEN. • THE ANTERIOR EXTENSION OF THE FLAP MUST EXCEED THE DIAMETER OF THE BONY DEFECT AND HAVE A LENGTH SUFFICIENT TO ALLOW ITS LATERAL ROTATION AND THE REPLACEMENT AND THE SUTURE WITHOUT EXERTING TENSION ON THE VESTIBULAR MUCOSA.
  • 75.
  • 76.
    4.BUCCALPAD OF FLATFLAP THE BUCCAL PAD OF FLAP (ALSO KNOWN AS BOULE DE BICHAT) IS A SIMPLE LOBULATED MASS COVERED BY A THIN LAYER OR CAPSULE LOCATED DEEPLY ALONG THE POSTERIOR MAXILLA AND THE SUPERIOR FIBERS OF BUCCINATOR MUSCLE. THE POSSIBLE FUNCTIONS OF THE BFP INCLUDE • THE PREVENTION OF NEGATIVE PRESSURE IN SUCKLING NEWBORNS • THE SEPARATION OF MASTICATORY MUSCLES FROM ONE OTHER AS WELL AS FROM THE BONE STRUCTURES • THE ENHANCEMENT OF INTERMUSCULAR
  • 77.
    • IN ORDERTO REACH THE BFP AN INCISION OF THE POSTERIOR MUCOSA MUST BE MADE IN THE AREA OF THE ZYGOMATIC BUTTRESS, FOLLOWED BY A LIGHT INCISION OF THE PERIOSTEUM AND OF THE FASCIAL ENVELOPE OF THE BUCCAL PAD. • A GENTLE DISSECTION WITH FINE CURVED ARTERY FORCEPS EXPOSES THE YELLOWISH-COLORED BUCCAL FAT. • THE BUCCAL FAT PAD FLAP, PREFERABLY OF THE PEDICLED TYPE, HAS BEEN USED MOST COMMONLY FOR THE CLOSURE OF THE OAF. • THIS IS DUE TO THE LOCATION OF THE BUCCAL FAT PAD WHICH IS ANATOMICALLY FAVORABLE, TO THE EASY AND MINIMAL DISSECTION WITH WHICH IT CAN BE HARVESTED AND MOBILIZED. THE FAT PAD PROVIDES A GOOD RATE OF EPITHELIALIZATION AND A LOW RATE OF FAILURE
  • 78.
    View after tooth extracti on Exposure ofyellowish coloured fat Healing after one month
  • 79.
    IMPLANTS IN MAXILLA LACKOF SUFFICIENT BONE HEIGHT ALONG MAXILLARY SINUS, PRODUCES SIGNIFICANT DIFFICULTY FOR PLACEMENT OF IMPLANTS IN EDENTULOUS MAXILLARY JAW, IN THAT CASE, WE GO FOR SINUS LIFT, WHICH IS A SURGICAL PROCEDURE WHICH AIMS TO INCREASE THE AMOUNT OF BONE IN THE POSTERIOR MAXILLA.
  • 80.
    ANATOMIC LIMITATIONS • POSTERIORMAXILLA HAVE FLAT PALATAL VAULT. • DEFICIENT ALVEOLAR RIDGE. • INADEQUATE POSTERIOR ALVEOLUS. • INCREASED PNEUMATISATION OF MAXILLARY SINUS. • CLOSE APPROXIMATION OF SINUS TO CRESTAL BONE.
  • 81.
    • THERE AREDIFFERENT TECHNIQUES FOR THE SINUS AUGMENTATION; THE FACTORS THAT CONTRIBUTE TO THE SURVIVAL RATE OF SINUS AUGMENTATION AND DENTAL IMPLANT PLACEMENT ARE STILL THE SUBJECT OF DISCUSSION. • THE TWO DIFFERENT WAYS OF SINUS FLOOR ELEVATION: • A) LATERAL ANTROSTOMY AS A ONE OR TWO STEP PROCEDURE AS DIRECT METHOD. • B) OSTEOTOME TECHNIQUE WITH A CRESTAL APPROACH AS INDIRECT METHOD.
  • 85.
    Sequential steps inindirect sinus augmentation technique; 1. Implant site prepared starting from small diameter to large diameter drills, 2. Sinus floor fractured, 3. Elevated, 4. Bone graft placed in the resultant space and immediate implant placement 1 2 3 4
  • 86.
    RELATIONSHIP BETWEEN MAXILLARYSINUS AND PERIODONTITIS. • MOSKOW STUDIED BLOCKS OF HUMAN JAWS OBTAINED AT AUTOPSY. HE FOUND THAT ALL 19 MICROSCOPIC SPECIMENS DEMONSTRATED MODERATE TO ADVANCED PERIODONTITIS WITH SIGNIFICANT PATHOLOGIC CHANGES IN THE MUCOSA OF THE MAXILLARY SINUS. MOSKOW SUGGESTED THAT PERIODONTITIS IS MORE PERVASIVE TO THE MAXILLARY SINUS THAN PREVIOUSLY THOUGHT. IN LIGHT OF THIS EVIDENCE, IT IS IMPORTANT TO EVALUATE PERIODONTITIS IN APPROXIMATION TO THE MAXILLARY SINUS ACCURATELY FOR DIAGNOSIS AND TREATMENT PLANNING BEFORE PERIODONTAL THERAPY.
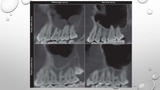
  • 87.
    A STUDY BYJAMES J. ABRAHAM SHOWED A TWOFOLD INCREASE IN MAXILLARY SINUS DISEASE IN PATIENTS WITH PERIODONTAL DISEASE AND HAVE SHOWN A CAUSAL RELATIONSHIP. GRADE 0- NO SINUS DISEASE;  GRADE 1- FOCAL SINUS DISEASE NOT ADJACENT TO PERIODONTAL DISEASE (UNLIKELY TO BE CAUSED BY PERIODONTAL DISEASE);  GRADE 2- NON FOCAL SINUS DISEASE (COMPLETE OPACIFICATION, AIR-FLUID LEVELS, OR DIFFUSE MUCOPERIOSTEAL THICKENING; INDETERMINATE CAUSE); AND GRADE 3- FOCAL SINUS DISEASE ADJACENT TO PERIODONTAL DISEASE • RESULTS SHOWED IN THE SUBJECT POPULATION-PATIENTS WITH PERIODONTAL DISEASE WHO WERE REFERRED FOR DENTASCANS-100 OF 168 (60%) SINUSES HAD SINUS DISEASE. Case 1
  • 88.
    CASE 2 • ACASE REPORT BY MICHAEL A. BRUNSVOLD SAID THAT MAXILLARY SINUSITIS MAY DEVELOP FROM THE EXTENSION OF PERIODONTAL DISEASE. IN THIS CASE, RECONSTRUCTED THREE-DIMENSIONAL IMAGES FROM MULTIDETECTOR SPIRAL COMPUTED TOMOGRAPHS WERE HELPFUL IN EVALUATING PERIODONTAL BONY DEFECTS AND THEIR RELATIONSHIP WITH THE MAXILLARY SINUS.
  • 89.
    • A 42-YEAR-OLDWOMAN IN GOOD GENERAL HEALTH PRESENTED WITH A CHRONIC DEEP PERIODONTAL POCKET ON THE PALATAL AND INTERPROXIMAL ASPECTS OF TOOTH #3 AND #14. PROBING DEPTHS OF THE TOOTH RANGED FROM 2 TO 9 MM, AND IT EXHIBIT A CLASS 1 MOBILITY. RADIOGRAPHS REVEALED A CLOSE RELATIONSHIP BETWEEN THE ROOT APEX AND THE MAXILLARY SINUS. THE PATIENT’S PERIODONTAL DIAGNOSIS WAS LOCALIZED SEVERE CHRONIC PERIODONTITIS. TREATMENT OF THE TOOTH CONSISTED OF CAUSE-RELATED THERAPY, SURGICAL EXPLORATION, AND BONE GRAFTING. A VERY DEEP CIRCUMFERENTIAL BONY DEFECT AT THE PALATAL ROOT OF TOOTH #14 WAS NOTED DURING SURGERY. AFTER THE OPERATION, THE WOUND HEALED WITHOUT INCIDENCE, BUT 10 DAYS LATER, A MAXILLARY SINUSITIS AND PERIAPICAL ABSCESS DEVELOPED. TO CONTROL THE INFECTION, AN EVALUATION OF SINUS AND ALVEOLUS USING COMPUTED TOMOGRAPHS WAS PERFORMED, SYSTEMIC ANTIBIOTICS WERE PRESCRIBED, AND ENDODONTIC TREATMENT WAS INITIATED.
  • 91.
    • RESULTS: TWOWEEKS AFTER SURGICAL TREATMENT, THE INFECTION WAS RELIEVED WITH THE HELP OF ANTIBIOTICS AND ENDODONTIC TREATMENT. BILATERAL BONY COMMUNICATIONS BETWEEN THE MAXILLARY SINUS AND PERIODONTAL BONY DEFECT OF MAXILLARY FIRST MOLARS WERE SHOWN ON THREE-DIMENSIONAL COMPUTED TOMOGRAPHS. THE DIGITALLY RECONSTRUCTED IMAGES ADDED VALUABLE INFORMATION FOR EVALUATING THE PERIODONTAL DEFECTS. THREE-DIMENSIONAL IMAGES FROM SPIRAL COMPUTED TOMOGRAPHS (CT) AIDED IN EVALUATING AND TREATING THE CLOSE RELATIONSHIP BETWEEN MAXILLARY SINUS DISEASE AND ADJACENT PERIODONTAL DEFECTS.
  • 92.
    CONCLUSION • DUE TOTHE CLOSE PROXIMITY OF MAXILLARY SINUS TO ORBIT, ALVEOLAR RIDGE, DISEASE INVOLVING THESE STRUCTURES MAY PRODUCE CONFUSING SYMPTOMS. HENCE A PRECISE INFORMATION ABOUT SURGICAL ANATOMY IS ESSENTIAL TO THE SURGEONS. • THE CLOSE ANATOMICAL RELATIONSHIP OF MAXILLARY SINUS AND ROOTS OF MAXILLARY MOLARS, PREMOLARS AND IN SOME INSTANCES CANINE, CAN ALSO LEAD TO SEVERAL COMPLICATIONS. • CLINICIANS MUST BE PARTICULARLY CONSCIOUS WHILE PERFORMING PROCEDURES OF MAXILLARY POSTERIOR TEETH
  • 93.
    REFERENCES 1. ORBAN’S ORALHISTOLOGY AND EMBRYOLOGY 12TH EDITION 2. TEXTBOOK OF ORAL AND MAXILLOFACIAL SURGERY, NILIMA MALIK 3. TEXTBOOK OF GENERAL ANATOMY, B. D. CHAURASIA 4. JAMES J. ABRAHAMS1 ROBERT M. GLASSBERG2; DENTAL DISEASE: A FREQUENTLY UNRECOGNIZED CAUSE, 1996 MAY;166(5):1219-23. 5. U. S. PAL ET AL; DIRECT VS. INDIRECT SINUS LIFT PROCEDURE: A COMPARISON NATL J MAXILLOFAC SURG. 2012 JAN-JUN; 3(1): 31–37 6. R. S. RAKHI MENON, OROANTRAL FISTULA MANAGEMENT AND TREATMENT; NTERNATIONAL JOURNAL OF SCIENCE AND RESEARCH (IJSR) ISSN (ONLINE): 2319-7064 7. MICHAEL A. BRUNSVOLD, MAXILLARY SINUSITIS AND PERIAPICAL ABSCESS FOLLOWING PERIODONTAL THERAPY: A CASE REPORT USING THREE-DIMENSIONAL EVALUATION; J