Dr. Soumyadeep Bandopadhyay
MDS-1st year
Department of Periodontology & Oral
Implantology
 The maxilla, also known as the upper jaw, is a
vital viscerocranium structure of the skull. It is
involved in the formation of the orbit, nose and
palate, holds the upper teeth and plays an
important role for mastication and
communication.
 Prenatal development of maxilla
 Embryonic development
 Meckel’s cartilage
 Development of palate
 Mechanism of palate elevation
 Palate remodelling
1]A prominent
bulge appears on
the ventral surface
of the embryo
corresponnding to
the developing
brain at 4th
week of intrauterine
life.
2] Stomadeum corresponds to the primitive
mouth
3]Buccopharyngeal membrane helps to form floor
of stomadeum
4] 5 brachial arches
forms at the region
Of head and neck
By 4th week of
Intrauterine life.
5] they are initially
5 in number but the
4th arch disaapears
After formation
6] the first brachial arch plays a role in
development of nasomaxillary region
The mesoderm covering the forebrain proliferates
and forms an downward projection overlapping
the stomadeum called as the Frontonasal process.
The mandibular arches of both sides forms from the
lateral wall of the stomadeum
The mandibular arch gives off a bud from its dorsal
end called Maxillary Process
The two maxillary processes fuse together to form
upper lip and upper jaw.
The maxilla develops within the maxillary
prominence extending ventrally from the dorsal
aspect of mandibular prominence
 Palate is defined as the portion of mouth
separating the mouth from the nasal cavity.
 It has two parts:
An anterior Hard
Palate
A posterior Soft
Palate
 It takes 5-9 months in embryo from its
development
At the end of 5th week of embryogenic life,
Primary palate is formed. It happens by the fusion
of the two nasal process forming thefrontonasal
process and from the deeper part of the maxillary
process called premaxilla
 Secondary palate formation starts from 6th
week of embryogenic stage and completes by
12th week.
 From each maxillary process, a plate like shelf
grows medially. This is called Palatal process.
 Secondary palate formation takes place by the
fusion of the following:
1] The two palatine process.
2] Primitive palate formed from the frontonasal
process
Each palatine process fuses with the posterior
margin of the primitive palate
The two palatine process fuse with each other in
the midline . Fusion begins ant. And proceed
backward
 Cleft palate
 Etiology of cleft palate:
1] delay in shelf elevation
2] disturbance in mech. of shelf elevation
3]failure of shelves to contact due to lack of
growth
4] failure to displace tongue during closure
5] failure to fuse after contact as epithelium
doesn’t break down
6] rupture after fusion
7]defective merging
 Displacement
 Remodeling
 Growth at suture
 Growth in height width length
 Key ridges
 Maxillary sinus
Growth occurs by:
Apposition of bone
Surface remodeling
Movement of the maxilla downward and
forward:
Cranial base growth
Growth at sutures
 Primary displacement: Growth of the maxilla at
the tuberosity region results in pushing of the
maxilla against the cranial base resulting in
displacement of the maxilla in forward and
downward direction
 Secondary displacement: The growth of the
cranial base causing the forward and
downward displacement of maxilla.
 Bone resorption on the lateral wall of the nose
results in increase in size of nasal cavity. Bone
resorption seen on floor of nasal cavity. To
compensate this there’s bone deposition on the
palatal side resulting in downward shift leading to
increase in maxillary height
 Bone remodeling seen in midfacial region
 All internal surface are resorptive except
medial nasal wall
 Rapid downward
continues growth.
Close proximity to
the buccal maxillary
teeth
 It mainly has two parts:
Body:
1] Anterior or facial surface
2] Posterior or infratemporal surface
3] Nasal or medial surface
4] Orbital or superior surface
Processes:
1] Zygomatic
2] Frontal
3] Alveolar
4] Palatine
A] Nasopalatine artery B] Descending palatine artery
C]Greater palatine artery D] Lesser palatine artery
E]Maxillary artery F]Ascending pharyngeal artery
G] Ascending palatine artery H] Facial artery
I] External carotid artery
 Infraorbital ridge
 Infraorbital depression
 Supraorbital notch
 Infraorbital notch
 Anterior teeth
 Pupil of eye
 The infraorbital foramen can be approximated by
having the patient look straight ahead and
imagining a line down from the pupil to the
inferior border of the infraorbital ridge, bicuspid
teeth, and mental foramen.
 Inferior border on the infraorbital rim is palpated.
Cleanse the skin over the infraorbital foramen with
an antiseptic agent and sterile gauze. Insert the
needle through the skin, subcutaneous tissue, and
muscle. Before injecting the anesthetic, aspirate to
ensure the needle is not within a vessel. Inject the
anesthetic. Due to the proximity the facial nerve
when the extraoral approach is used, it is best to
use an anesthetic agent that does not contain
added medication with vasoconstrictor properties.
The overlying tissues should appear edematous.
Massage the area for 10 to 15 seconds after
removing the needle.
 The total dose of 1% lidocaine with
epinephrine should not exceed 7 mg/kg
(0.7mL/kg) and 4mg/kg without epinephrine
 Bleeding, hematoma formation, infection,
artery or vein injury, unintentional injection of
anesthetic into the artery or vein, nerve
damage, or edema.
 Allergic reaction to the anesthetic medication
used for the procedure.
 Methemoglobinemia is also a possible
complication.
 Mucobuccal fold
 Zygomatic process of maxilla
 Infratemporal surface of maxilla
 Anterior border of ramus of mandible and
coronoid process
 Tuberosity of maxilla
 Posterior superior alveolar nerve and its
branches
 Pulp of maxillary 3rd, 2nd, 1nd molars ( entire
tooth= 72% ; mesiobuccal root of maxillary first
molar not anasthetised= 28%
 Buccal periodontium
 Bone overlying the above said teeth
 Also known as Incisive canal nerve block
 Hematoma, though a rare phenomenon, can
occur owing to the density and firm adherence
of the palatal soft tissue to bone
 Because of the density of soft tissue site, the
anasthetic agent may squirt out of puncture site
 Ischemia and necrosis of soft tissue happens
when high concentrating vasoconstricting
agent used for a long term use
 Hemostasis is a possible complication
 It is the pneumatic space enclosed inside the
body of maxilla and communicates with the
external environment by way of middle meatus
and nasal vestibule
 It is a pyramidal shape concavity
 It is also known as the Antrum of Highmore, as
it was discovered by an english surgeon
Nathaniel Highmore in the year 1651
 It holds importance to periodontological
consideration
 Height : 36-45mm
 Width : 23-25mm
 Length ( A-P axis) : 38-45mm
 Average vol: 15ml
 Anterior wall : extends from Inferior orbital rim
to maxillary alveolar process
 Superior wall: floor of the orbit
 Posterior wall: separates maxillary sinus and
pterygopalatine fossa
 Medial wall: lateral wall of nasal cavity
 Underwood's septa (or maxillary sinus septa,
singular septum) are fin-shaped projections
of bone that may exist in the maxillary sinus,
first described in 1910 by Arthur S.
Underwood, an anatomist.
 Based on origin they are of 2 types:
1) Primary septa: Formed during maxillary
development and tooth growth
2) Secondary septa: Acquired during
pneumatization of maxillary sinus after tooth
loss
 Location : most of the septa are located
between 2nd premolar and 1st molar region
 Origin : Arises from the medial and lateral wall
of sinus.
 Clinical importnace: septa makes sinus
augmentation processes difficult
 Chances of sinus membrane perforation
depends on the angle between the medial and
lateral wall:
1) > 60 degree angle = 0% chance of perforation
2) 30-60 degree angle has 28.6% chance
3) < 30 degree has 62.5% chance
 Overfilling of maxillary sinus with bone graft
material may cause necrosis of the membrane
as well as sinusitis and potential loss of graft
into membrane.
 Expansion of sinus is larger following multiple
posterior teeth extraction
 For placement of dental implant in such cases
immediate implant and/or immediate bone
grafting should be considered to assist in
preserving 3-D architecture of the sinus floor at
the extraction site
 Indication:
1) No history of sinus pathosis
2) Insufficient residual bone height ( <10mm)
3) Severly atrophic maxilla
4) Poor quality and quantity of bone in posterior
maxilla
 Contraindication :
1) Acute active sinus infection
2) Recurrent chronic sinusitis
3) Severe allergic rhinitis
4) Neoplasm or large cyst
5) Uncontrolled diabetes mellitus
6) Alcoholic and heavy smoker
7) History of maxillary sinus septa
 Direct/ lateral window technique:
 Sinus membrane is directly visualised by and
instrumented by window created at the lateral
wall of maxillary sinus
 Indirect/ osteotome technique/ crestal
approach/ transalveolar approach
It is indicated when residual bone height is
greater than or equal to 6mm
 The mandible, lower jaw or jawbone is the
largest, strongest and lowest bone in the
human face. It forms the lower jaw and holds
the lower teeth in place. The mandible sits
beneath the maxilla. It is the only movable
bone of the skull.
 It is a horse shoe shaped largest and strongest
bone of the head and neck region
 It has the following parts:
1) Ramus
2) Body
3) Angle
4) Condyle
5) Coronoid
6) Alveolar process
 Tempero-mandibular joint is a bilateral synovial
articulation between the temporal bone of the skull
above and the mandible below; it is from these
bones that its name is derived.
 The main components are the joint capsule,
articular disc, mandibular condyles, articular
surface of the temporal bone, temporomandibular
ligament, stylomandibular ligament,
sphenomandibular ligament, and lateral pterygoid
muscle.
 Occlusion plays an important role in the
pathogenesis of periodontal disease
 A faulty occlusion may induce traumatic
lesions in the supporting periodontal
structures, adversely affecting the prognosis of
dentition
 It can also indirectly affect by interfering with
plaque elimination and affecting the
periodontal defense mechanism.
A study concluded that that unilateral mastication
due to chronic periodontitis could induce not only
pain but also structural TMJ changes if adequate
treatment is not administered and supported
within a short time from the onset of the
condition. Therefore, immediate treatment of
chronic periodontitis is recommended to prevent
not only the primary progress of periodontal
disease, but also secondary TMJ-related problems.
Furthermore, subjects who have suffered chronic
long-term periodontitis without treatment should
be urged to undergo a TMJ examination.
Pattern analysis of patients with temporomandibular disorders resulting from unilateral mastication
due to chronic periodontitis
Hye-Mi Jeon, Yong-Woo Ahn, Sung-Hee Jeong, Soo-Min Ok, Jeomil Choi,Ju-Youn Lee,Ji-Young
Joo,Eun-Young Kwon
Journal of Periodontal & Implant Science, 2017 Aug
 The muscles of mastication are associated with movements of the
jaw (temporomandibular joint). They are one of the major muscle
groups in the head – the other being the muscles of facial
expression. There are four muscles:
 Masseter
 Temporalis
 Medial pterygoid
 Lateral pterygoid
 Embryologically, the muscles of mastication develop from the first
pharyngeal arch
 During mastication, three muscles of mastication are responsible
for adduction of the jaw, and one (the lateral pterygoid) helps
to abduct it. All four move the jaw laterally. Other muscles,
usually associated with the hyoid, such as the mylohyoid muscle,
are responsible for opening the jaw in addition to the latera
pterygoid.
As local infiltration is of very poor effect on
mandible owing to it’s dense cortical bone hence
block technique for inferior alveolar nerve is the
preferred tech.
Inferior Alveolar Nerve block anesthetizes the
inferior alveolar nerve and mental nerve and
incisive nerve
 Lingual nerve can be anasthetized by
infiltration technique by injecting 0.5ml of the
solution in the lingual sulcus adjacent to target
tooth
 It is achieved by sub mucosal injection of local
anasthesia just posterior and buccal to the last
molar
 There is no subjective sign due to the small size
of anasthetized area
 Used to anasthetize incisor , canine, premolar
of one quadrant
 Unilaeral inferior alveolar block is ineffective
as the anterior teeth have innervation from
both side of dental nerves by anastomosing its
terminal branches here
 Local infiltration is effective here as the labial
plate is thinner and more porous
 While changes in mandibular shape over time are
not widely recognized by skeletal biologists,
mandibular remodeling and associated changes in
gross morphology may result from a number of
causes related to mechanical stress such as
antemortem tooth loss, changes in bite force, or
alterations of masticatory performance. Results
indicate that few mandibular measurements
exhibited age-related changes, and most were
affected by antemortem tooth loss.
Investigations Into Age-related Changes in the Human Mandible.
Parr NM, Passalacqua NV, Skorpinski K.
J Forensic Sci. 2017 Nov;62(6):1586-1591. doi: 10.1111/1556-4029.13475. Epub 2017 Mar 2
 Unlike maxilla which is a force distribution
unit through various trajectories of pathway
mandible is a force absorption unit.
 In a dentate mandible the outer cortical bone is
denser and thicker and the trabecular bone is
more coarse and dense. It is more dense near
the teeth. Between teeth it is denser towards
crest and less dense towards apex
 In 1988 Misch proposed four bone density
groups based on macroscopic cortical and
trabecular bone characteristic
 Local bone grafts are a convenient source of
autogenous bone in alveolar reconstruction. The
mandibular ramus area provides primarily a cortical
graft that is well-suited for veneer-grafting of ridge
deficiencies prior to implant placement. The
advantages of this method of augmentation include its
intraoral access and low morbidity. Similar to bone
harvested from the mandibular symphysis, these grafts
require short healing periods, exhibit minimal
resorption, and maintain their dense quality.
Advantages of this donor site over the chin include
minimal patient concern for altered facial contour,
proximity to posterior mandible recipient sites, and
decreased complaints of postoperative sensory
disturbances and discomfort.
 Ridge augmentation using mandibular ramus bone grafts for the placement of dental
implants: presentation of a technique
 Misch CM
 Pract Periodontics Aesthet Dent.1996 Mar;8
 Greater probing depth and attachment loss
occurred at disto-lingual sites of molars with
the roots. The presence of a disto-lingual root
may contribute to localized periodontal
destruction.
Mandibular disto-lingual root: a consideration in periodontal therapy.
Huang RY, Lin CD, Lee MS, Yeh CL, Shen EC, Chiang CY, Chiu HC, Fu E.
J Periodontol. 2007 Aug
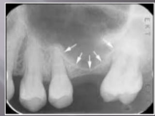
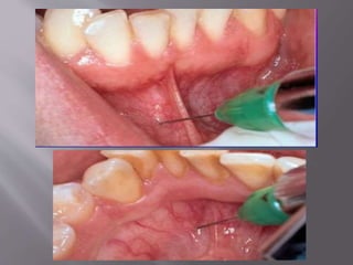
 Socket Preservation:
The alveolar bone uneventfully resorbs after extraction and results in residual ridge
morphology with compromised horizontal and vertical bone volume to receive implant
and a lingually positioned crest due to greater resorption on the buccal aspect.[Socket
grafting at the time of extraction is a preventive procedure, which does not inhibit the
resorption but limits it.Moreover, the minimal amount of resorption after socket
grafting happens in a predictable fashion. Also, the magnitude of volume loss is less in
the grafted socket versus the naive socket. This has been substantiated by a recent meta-
analysis where ≈1.4 mm lesser horizontal bone loss and ≈1.8 mm lesser vertical bone
loss were reported in grafted sites compared to nongrafted sites. However, it is
interesting to note that similar mean implant survival rates has been reported for
implants placed in preserved sites versus naive sites. Additionally, the bone grafting
may still be needed at the time of implant placement as it is only possible to limit the
alveolar bone resorption and yet not possible to completely eliminate it.These facts
question the rationale of socket preservation. In the light of these facts, it is
recommended that it should be performed in aesthetic areas in case of buccal bone
thickness≤2 mm or when there is a proximity to anatomic structures, i.e., maxillary
sinus or mandibular canal. Also, overaugmentation may help, especially in aesthetically
sensitive areas where the buccal bone contour is critical
 The various techniques of ridge augmentation
can be differentiated either on the basis of the
form of graft, i.e., block or particulate, guidance
or use of membrane, i.e., GBR, transportation
of vital structures, i.e., maxillary sinus lift and
inferior alveolar nerve transportation.
Maxilla and Mandible

Maxilla and Mandible

  • 1.
    Dr. Soumyadeep Bandopadhyay MDS-1styear Department of Periodontology & Oral Implantology
  • 2.
     The maxilla,also known as the upper jaw, is a vital viscerocranium structure of the skull. It is involved in the formation of the orbit, nose and palate, holds the upper teeth and plays an important role for mastication and communication.
  • 4.
     Prenatal developmentof maxilla  Embryonic development  Meckel’s cartilage  Development of palate  Mechanism of palate elevation  Palate remodelling
  • 5.
    1]A prominent bulge appearson the ventral surface of the embryo corresponnding to the developing brain at 4th week of intrauterine life. 2] Stomadeum corresponds to the primitive mouth 3]Buccopharyngeal membrane helps to form floor of stomadeum
  • 6.
    4] 5 brachialarches forms at the region Of head and neck By 4th week of Intrauterine life. 5] they are initially 5 in number but the 4th arch disaapears After formation 6] the first brachial arch plays a role in development of nasomaxillary region
  • 7.
    The mesoderm coveringthe forebrain proliferates and forms an downward projection overlapping the stomadeum called as the Frontonasal process.
  • 8.
    The mandibular archesof both sides forms from the lateral wall of the stomadeum The mandibular arch gives off a bud from its dorsal end called Maxillary Process
  • 10.
    The two maxillaryprocesses fuse together to form upper lip and upper jaw. The maxilla develops within the maxillary prominence extending ventrally from the dorsal aspect of mandibular prominence
  • 11.
     Palate isdefined as the portion of mouth separating the mouth from the nasal cavity.  It has two parts: An anterior Hard Palate A posterior Soft Palate  It takes 5-9 months in embryo from its development
  • 12.
    At the endof 5th week of embryogenic life, Primary palate is formed. It happens by the fusion of the two nasal process forming thefrontonasal process and from the deeper part of the maxillary process called premaxilla
  • 13.
     Secondary palateformation starts from 6th week of embryogenic stage and completes by 12th week.  From each maxillary process, a plate like shelf grows medially. This is called Palatal process.  Secondary palate formation takes place by the fusion of the following: 1] The two palatine process. 2] Primitive palate formed from the frontonasal process Each palatine process fuses with the posterior margin of the primitive palate The two palatine process fuse with each other in the midline . Fusion begins ant. And proceed backward
  • 14.
     Cleft palate Etiology of cleft palate: 1] delay in shelf elevation 2] disturbance in mech. of shelf elevation 3]failure of shelves to contact due to lack of growth 4] failure to displace tongue during closure 5] failure to fuse after contact as epithelium doesn’t break down 6] rupture after fusion 7]defective merging
  • 18.
     Displacement  Remodeling Growth at suture  Growth in height width length  Key ridges  Maxillary sinus
  • 19.
    Growth occurs by: Appositionof bone Surface remodeling Movement of the maxilla downward and forward: Cranial base growth Growth at sutures
  • 20.
     Primary displacement:Growth of the maxilla at the tuberosity region results in pushing of the maxilla against the cranial base resulting in displacement of the maxilla in forward and downward direction
  • 21.
     Secondary displacement:The growth of the cranial base causing the forward and downward displacement of maxilla.
  • 23.
     Bone resorptionon the lateral wall of the nose results in increase in size of nasal cavity. Bone resorption seen on floor of nasal cavity. To compensate this there’s bone deposition on the palatal side resulting in downward shift leading to increase in maxillary height
  • 24.
     Bone remodelingseen in midfacial region  All internal surface are resorptive except medial nasal wall  Rapid downward continues growth. Close proximity to the buccal maxillary teeth
  • 25.
     It mainlyhas two parts: Body: 1] Anterior or facial surface 2] Posterior or infratemporal surface 3] Nasal or medial surface 4] Orbital or superior surface Processes: 1] Zygomatic 2] Frontal 3] Alveolar 4] Palatine
  • 33.
    A] Nasopalatine arteryB] Descending palatine artery C]Greater palatine artery D] Lesser palatine artery E]Maxillary artery F]Ascending pharyngeal artery G] Ascending palatine artery H] Facial artery I] External carotid artery
  • 46.
     Infraorbital ridge Infraorbital depression  Supraorbital notch  Infraorbital notch  Anterior teeth  Pupil of eye
  • 56.
     The infraorbitalforamen can be approximated by having the patient look straight ahead and imagining a line down from the pupil to the inferior border of the infraorbital ridge, bicuspid teeth, and mental foramen.  Inferior border on the infraorbital rim is palpated. Cleanse the skin over the infraorbital foramen with an antiseptic agent and sterile gauze. Insert the needle through the skin, subcutaneous tissue, and muscle. Before injecting the anesthetic, aspirate to ensure the needle is not within a vessel. Inject the anesthetic. Due to the proximity the facial nerve when the extraoral approach is used, it is best to use an anesthetic agent that does not contain added medication with vasoconstrictor properties. The overlying tissues should appear edematous. Massage the area for 10 to 15 seconds after removing the needle.
  • 57.
     The totaldose of 1% lidocaine with epinephrine should not exceed 7 mg/kg (0.7mL/kg) and 4mg/kg without epinephrine
  • 59.
     Bleeding, hematomaformation, infection, artery or vein injury, unintentional injection of anesthetic into the artery or vein, nerve damage, or edema.  Allergic reaction to the anesthetic medication used for the procedure.  Methemoglobinemia is also a possible complication.
  • 63.
     Mucobuccal fold Zygomatic process of maxilla  Infratemporal surface of maxilla  Anterior border of ramus of mandible and coronoid process  Tuberosity of maxilla
  • 64.
     Posterior superioralveolar nerve and its branches  Pulp of maxillary 3rd, 2nd, 1nd molars ( entire tooth= 72% ; mesiobuccal root of maxillary first molar not anasthetised= 28%  Buccal periodontium  Bone overlying the above said teeth
  • 66.
     Also knownas Incisive canal nerve block
  • 70.
     Hematoma, thougha rare phenomenon, can occur owing to the density and firm adherence of the palatal soft tissue to bone  Because of the density of soft tissue site, the anasthetic agent may squirt out of puncture site
  • 77.
     Ischemia andnecrosis of soft tissue happens when high concentrating vasoconstricting agent used for a long term use  Hemostasis is a possible complication
  • 78.
     It isthe pneumatic space enclosed inside the body of maxilla and communicates with the external environment by way of middle meatus and nasal vestibule  It is a pyramidal shape concavity  It is also known as the Antrum of Highmore, as it was discovered by an english surgeon Nathaniel Highmore in the year 1651  It holds importance to periodontological consideration
  • 80.
     Height :36-45mm  Width : 23-25mm  Length ( A-P axis) : 38-45mm  Average vol: 15ml
  • 81.
     Anterior wall: extends from Inferior orbital rim to maxillary alveolar process  Superior wall: floor of the orbit  Posterior wall: separates maxillary sinus and pterygopalatine fossa  Medial wall: lateral wall of nasal cavity
  • 83.
     Underwood's septa(or maxillary sinus septa, singular septum) are fin-shaped projections of bone that may exist in the maxillary sinus, first described in 1910 by Arthur S. Underwood, an anatomist.  Based on origin they are of 2 types: 1) Primary septa: Formed during maxillary development and tooth growth 2) Secondary septa: Acquired during pneumatization of maxillary sinus after tooth loss
  • 84.
     Location :most of the septa are located between 2nd premolar and 1st molar region  Origin : Arises from the medial and lateral wall of sinus.  Clinical importnace: septa makes sinus augmentation processes difficult
  • 86.
     Chances ofsinus membrane perforation depends on the angle between the medial and lateral wall: 1) > 60 degree angle = 0% chance of perforation 2) 30-60 degree angle has 28.6% chance 3) < 30 degree has 62.5% chance
  • 87.
     Overfilling ofmaxillary sinus with bone graft material may cause necrosis of the membrane as well as sinusitis and potential loss of graft into membrane.
  • 88.
     Expansion ofsinus is larger following multiple posterior teeth extraction  For placement of dental implant in such cases immediate implant and/or immediate bone grafting should be considered to assist in preserving 3-D architecture of the sinus floor at the extraction site
  • 90.
     Indication: 1) Nohistory of sinus pathosis 2) Insufficient residual bone height ( <10mm) 3) Severly atrophic maxilla 4) Poor quality and quantity of bone in posterior maxilla
  • 91.
     Contraindication : 1)Acute active sinus infection 2) Recurrent chronic sinusitis 3) Severe allergic rhinitis 4) Neoplasm or large cyst 5) Uncontrolled diabetes mellitus 6) Alcoholic and heavy smoker 7) History of maxillary sinus septa
  • 92.
     Direct/ lateralwindow technique:  Sinus membrane is directly visualised by and instrumented by window created at the lateral wall of maxillary sinus
  • 94.
     Indirect/ osteotometechnique/ crestal approach/ transalveolar approach It is indicated when residual bone height is greater than or equal to 6mm
  • 96.
     The mandible,lower jaw or jawbone is the largest, strongest and lowest bone in the human face. It forms the lower jaw and holds the lower teeth in place. The mandible sits beneath the maxilla. It is the only movable bone of the skull.
  • 102.
     It isa horse shoe shaped largest and strongest bone of the head and neck region  It has the following parts: 1) Ramus 2) Body 3) Angle 4) Condyle 5) Coronoid 6) Alveolar process
  • 112.
     Tempero-mandibular jointis a bilateral synovial articulation between the temporal bone of the skull above and the mandible below; it is from these bones that its name is derived.  The main components are the joint capsule, articular disc, mandibular condyles, articular surface of the temporal bone, temporomandibular ligament, stylomandibular ligament, sphenomandibular ligament, and lateral pterygoid muscle.
  • 113.
     Occlusion playsan important role in the pathogenesis of periodontal disease  A faulty occlusion may induce traumatic lesions in the supporting periodontal structures, adversely affecting the prognosis of dentition  It can also indirectly affect by interfering with plaque elimination and affecting the periodontal defense mechanism.
  • 114.
    A study concludedthat that unilateral mastication due to chronic periodontitis could induce not only pain but also structural TMJ changes if adequate treatment is not administered and supported within a short time from the onset of the condition. Therefore, immediate treatment of chronic periodontitis is recommended to prevent not only the primary progress of periodontal disease, but also secondary TMJ-related problems. Furthermore, subjects who have suffered chronic long-term periodontitis without treatment should be urged to undergo a TMJ examination. Pattern analysis of patients with temporomandibular disorders resulting from unilateral mastication due to chronic periodontitis Hye-Mi Jeon, Yong-Woo Ahn, Sung-Hee Jeong, Soo-Min Ok, Jeomil Choi,Ju-Youn Lee,Ji-Young Joo,Eun-Young Kwon Journal of Periodontal & Implant Science, 2017 Aug
  • 115.
     The musclesof mastication are associated with movements of the jaw (temporomandibular joint). They are one of the major muscle groups in the head – the other being the muscles of facial expression. There are four muscles:  Masseter  Temporalis  Medial pterygoid  Lateral pterygoid  Embryologically, the muscles of mastication develop from the first pharyngeal arch  During mastication, three muscles of mastication are responsible for adduction of the jaw, and one (the lateral pterygoid) helps to abduct it. All four move the jaw laterally. Other muscles, usually associated with the hyoid, such as the mylohyoid muscle, are responsible for opening the jaw in addition to the latera pterygoid.
  • 120.
    As local infiltrationis of very poor effect on mandible owing to it’s dense cortical bone hence block technique for inferior alveolar nerve is the preferred tech. Inferior Alveolar Nerve block anesthetizes the inferior alveolar nerve and mental nerve and incisive nerve
  • 122.
     Lingual nervecan be anasthetized by infiltration technique by injecting 0.5ml of the solution in the lingual sulcus adjacent to target tooth
  • 123.
     It isachieved by sub mucosal injection of local anasthesia just posterior and buccal to the last molar  There is no subjective sign due to the small size of anasthetized area
  • 124.
     Used toanasthetize incisor , canine, premolar of one quadrant
  • 125.
     Unilaeral inferioralveolar block is ineffective as the anterior teeth have innervation from both side of dental nerves by anastomosing its terminal branches here  Local infiltration is effective here as the labial plate is thinner and more porous
  • 129.
     While changesin mandibular shape over time are not widely recognized by skeletal biologists, mandibular remodeling and associated changes in gross morphology may result from a number of causes related to mechanical stress such as antemortem tooth loss, changes in bite force, or alterations of masticatory performance. Results indicate that few mandibular measurements exhibited age-related changes, and most were affected by antemortem tooth loss. Investigations Into Age-related Changes in the Human Mandible. Parr NM, Passalacqua NV, Skorpinski K. J Forensic Sci. 2017 Nov;62(6):1586-1591. doi: 10.1111/1556-4029.13475. Epub 2017 Mar 2
  • 136.
     Unlike maxillawhich is a force distribution unit through various trajectories of pathway mandible is a force absorption unit.  In a dentate mandible the outer cortical bone is denser and thicker and the trabecular bone is more coarse and dense. It is more dense near the teeth. Between teeth it is denser towards crest and less dense towards apex
  • 138.
     In 1988Misch proposed four bone density groups based on macroscopic cortical and trabecular bone characteristic
  • 146.
     Local bonegrafts are a convenient source of autogenous bone in alveolar reconstruction. The mandibular ramus area provides primarily a cortical graft that is well-suited for veneer-grafting of ridge deficiencies prior to implant placement. The advantages of this method of augmentation include its intraoral access and low morbidity. Similar to bone harvested from the mandibular symphysis, these grafts require short healing periods, exhibit minimal resorption, and maintain their dense quality. Advantages of this donor site over the chin include minimal patient concern for altered facial contour, proximity to posterior mandible recipient sites, and decreased complaints of postoperative sensory disturbances and discomfort.  Ridge augmentation using mandibular ramus bone grafts for the placement of dental implants: presentation of a technique  Misch CM  Pract Periodontics Aesthet Dent.1996 Mar;8
  • 148.
     Greater probingdepth and attachment loss occurred at disto-lingual sites of molars with the roots. The presence of a disto-lingual root may contribute to localized periodontal destruction. Mandibular disto-lingual root: a consideration in periodontal therapy. Huang RY, Lin CD, Lee MS, Yeh CL, Shen EC, Chiang CY, Chiu HC, Fu E. J Periodontol. 2007 Aug
  • 149.
     Socket Preservation: Thealveolar bone uneventfully resorbs after extraction and results in residual ridge morphology with compromised horizontal and vertical bone volume to receive implant and a lingually positioned crest due to greater resorption on the buccal aspect.[Socket grafting at the time of extraction is a preventive procedure, which does not inhibit the resorption but limits it.Moreover, the minimal amount of resorption after socket grafting happens in a predictable fashion. Also, the magnitude of volume loss is less in the grafted socket versus the naive socket. This has been substantiated by a recent meta- analysis where ≈1.4 mm lesser horizontal bone loss and ≈1.8 mm lesser vertical bone loss were reported in grafted sites compared to nongrafted sites. However, it is interesting to note that similar mean implant survival rates has been reported for implants placed in preserved sites versus naive sites. Additionally, the bone grafting may still be needed at the time of implant placement as it is only possible to limit the alveolar bone resorption and yet not possible to completely eliminate it.These facts question the rationale of socket preservation. In the light of these facts, it is recommended that it should be performed in aesthetic areas in case of buccal bone thickness≤2 mm or when there is a proximity to anatomic structures, i.e., maxillary sinus or mandibular canal. Also, overaugmentation may help, especially in aesthetically sensitive areas where the buccal bone contour is critical
  • 151.
     The varioustechniques of ridge augmentation can be differentiated either on the basis of the form of graft, i.e., block or particulate, guidance or use of membrane, i.e., GBR, transportation of vital structures, i.e., maxillary sinus lift and inferior alveolar nerve transportation.

Editor's Notes