Definita  “mal aria”  per la credenza che venisse trasmessa dalle paludi e dall’aria stagnante . 40% della popolazione mondiale esposta al rischio malaria. Incidenza :  300 ai 500 milioni di persone di cui il 90% dei casi in Africa sub sahariana (prima causa di morte) con un aumento dei casi del 40%  negli ultimi 25 anni. Mortalità:   > 2 milioni/anno (con AIDS e TBC una delle principali emergenze sanitarie del pianeta), soprattutto bambini delle aree più depresse dell’Africa:  1 BAMBINO OGNI 30 SECONDI, 3000 BAMBINI DI ETA’ < 5 ANNI  AL GIORNO. OMS e Medici Senza Frontiere
Endemica in molte zone del pianeta (101 Paesi), sempre più frequentemente importata anche in zone dove era stata eliminata, in relazione ai movimenti migratori e ai viaggi.
CONTINENTE AFRICANO   90%  dei casi mondiali di Malaria   mortalità  pari ad 1 milione di persone/anno   incidenza  300-400 nuovi casi/anno ( il 30-50% ricoveri)   Le stime sono destinate a salire a causa dello sviluppo di   FARMACORESISTENZA   Il  50%  dei malati africani non risponde più alla Clorochina a causa di prescrizioni ed impieghi scorretti. Altri farmaci costano x10-100 volte e per ridurre del 50% le morti per malaria sarebbe necessario un investimento di  1 miliardo di  $ ………………… “ Il 90% degli investimenti per la ricerca e lo sviluppo di nuovi farmaci è destinato a problemi sanitari che riguardano  appena  il 10% della popolazione mondiale”. Fonte MSF
 
  EPIDEMIOLOGIA IN EUROPA ED IN ITALIA   In Europa e in Italia la Malaria ha sempre trovato terreno poco fertile mantenendosi relativamente instabile, causa fattori naturali: Il clima non omogeneo in tutta la penisola La tipologia delle anopheli La bonifica dei terreni   I radicali mutamenti socio-economici
  MODALITA’ DI TRASMISSIONE: IMPORTATA: contratta all’estero (casi nuovi, recrudescenza, relapses) AUTOCTONA: contratta in loco indotta: parenterale (P.malariae) introdotta: trasmessa da vettori indigeni infettatisi su serbatoi  importati  “aeroportuale” o da “bagaglio”  criptica: casi non definibili mediante inchiesta epidemiologica indigena: trasmessa da vettori indigeni infettatisi su serbatoi indigeni Nel 1997 ultimo caso registrato in Italia (provincia di Grosseto) di malaria autoctona da P. vivax causata da anofele indigena infettatisi su un portatore di gametociti proveniente dall’India.
 
 
 
 
 
 
 
 
 
DINAMICA DELL’INFEZIONE 6.000 20.000 9.000 30.000 20.000 50.000 200.000 2.000.000 Parassitemia/mmc 6-12 8-12 12-24 8-32 Merozoiti eritrocitari 72 48 48 48 Ciclo eritrocitico h Vecchi Giovani Giovani Tutti GR parassitati - + +++ - Ipnozoiti 2.000 15.000 >10000 40000 Merozoiti epatici 18-40 16-18 12-17 9-14 Incubazione 13 9 8 5-6 S. pre-eritrocitario Malariae Ovale Vivax Falciparum
CASO CLINICO N. 1 E.  20 anni, sesso femminile. A.P.R.   ricorda solo comuni esantemi infantili, poi nessuna patologia degna di menzione. A.P.P.  12 gennaio  u.s. comparsa di febbre e sintomatologia simil-influenzale trattata e regredita in 4 giorni con antipiretici (Paracetamolo 500 x 4 gg). Apiretica per 4 giorni. Nuovo rialzo febbrile non preceduto da brivido, trattato con antipiretici della durata di 1 giorno. Es. emocromocitometrico: nella norma. Completamente apiretica fino al  21 febbraio : nuova comparsa di febbre di tipo intermittente  ( intervallata da un giorno di apiressia) preceduta da brivido scuotente e abbondante sudorazione , con acme febbrile (40°C) in data 25/02. Trattata con antipireteici e Amoxicillina + ac. clavulanico.  27 febbraio : per il persistere dello stato febbrile con le medesime Caratteristiche pratica es. emocromocitometrico che mostra  pancitopenia.
27 febbraio ricovero presso  l’ AOU Federico II. E.O. ALL’INGRESSO: Condizioni generali discrete, sensorio integro, cute e mucose normoirrorate. T ° :  38,5°   P arteriosa:  120/80   F cardiaca:  100  bpm’  Microlinfoadenopatie laterocervicali e sottomandibolari.  Addome trattabile e non dolente, fegato nei limiti, milza a 3 cm dall’arco. Torace: nulla di patologico. Apparato cardiovascolare: nulla di patologico. ESAMI   EMATOBIOCHIMICI: RBC:  2,84   Hb  9  WBC:  4,4   (N 77,7% L 13%)  PLT:  60 Fibrinogenemia: 612mg/dl (160-350) D-dimero 404,44 (0-198 ug/L) t. di Quick 69%  AST: 36  ALT: 42  LDH: 1402
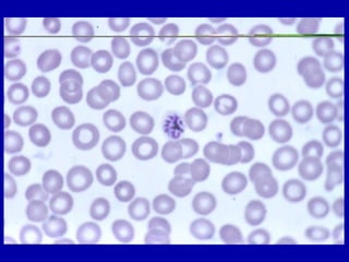
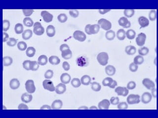
In data  1/3/2005 : es. emoscopico con isolamento di trofozoiti di  PLASMODIUM VIVAX. Si segnala inoltre positività di IgM anti virus parainfluenza 1 e 2 (cross-reazione?). In data  2/3/2005  inizia terapia con MEFLOCHINA :  750 mg per os poi 500 mg 12 ore dopo  In terza giornata dalla somministrazione di meflochina terapia, t emperatura  37,5 °
05/03: ricovero presso l’Ospedale Cotugno 1 U.O. malattie infettive. E.O. all’ingresso: Condizioni generali buone.  Cute e mucose normoirrorate. Piccolo linfonodo laterocervicale sn e dx di circa 0,5 cm mobile, non dolente e non adeso ai piani sottostanti. Assenza di linfonodi in altre sedi.  Apiretica  FC 80bpm  Pressione arteriosa 120/70 Apparato cardiovascolare: I tono cardiaco rinforzato.  Addome trattabile e non dolente. Fegato palpabile a circa 1 cm dall’arco, milza non debordante. Torace: normali reperti semeiologici. E.O. neurologico: negativo.
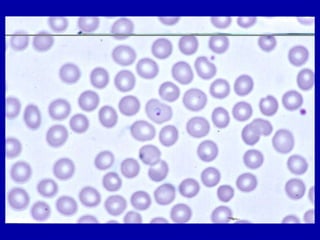
ESAMI EMATOBIOCHIMICI RBC: 2800000 WBC: 5600 HB: 8,4 PLT: 215000 PCR:   33  Fibrinogenemia:  674  T. di Quick: 100% ALT:  72  AST:  47  LDH:  1171  In seconda giornata pratica nuovo striscio periferico che riconferma diagnosi microbiologica di trofozoiti  di P.VIVAX. Dopo aver praticato determinazione di G6PD, non essendoci controindicazioni in  data  04/03  inizia  terapia con  PRIMACHINA attiva sulle forme epatiche: 15 mg per os/die per 14 giorni.
 
Durante la degenza si segnala  PANCITOPENIA  con risoluzione dopo appropiata terapia. 33 11.50 PCR  24 24 VES 67 42  40 ALT 46 36 37 AST 53,3 19,5 19%  Linf 34,3 64,9 66,2% Neut 5,6 4,40 4,27 WBC 215 60 57 PLT 8,3 9 10,6 HB 5,6  4,40 3,61 RBC 07.03Cotug. 04.03 polic. 02.03 polic
Considerazioni generali La paziente aveva effettuato un viaggio di 2  settimane in Guinea  18 mesi prima  dell’insorgenza  della sintomatologia: In qualsiasi caso di  febbre di n.d.d.  effettuare  meticolosa anamnesi sulle zone in cui il paziente ha soggiornato antecedentemente alla comparsa della sintomatologia e non trascurare di effettuare es. emoscopico se è a rischio. Altri compagni di viaggio al ritorno dalla zona di endemia si ricoverano per febbre di n.d.d. risultando positivi al P.vivax.
Tutti i ragazzi, compresa la ns. paziente avevano effettuato profilassi con MEFLOCHINA secondo la  posologia ed i tempi raccomandati dalle linee  guida.  Problema della  FARMACO-RESISTENZA  anche  alla meflochina. Gravità del quadro laboratoristico in particolare PLTpenia importante e alterazioni del quadro  coagulativo.  RISCHIO CID
MALARIA  DA  P. VIVAX  E  OVALE Malaria terzana benigna (ciclo stabilizzato) Tasso di letalità bassissimo Possibilità di recidive a distanza Caratteristiche cliniche
Am. J. Trop. Med. Hyg., 68(2), 2003, pp. 159-160 Copyright © 2003 by  The American Society of  Tropical  Medicine and  Hygiene CASE REPORT: AN UNUSUAL LATE RELAPSE OF  PLASMODIUM VIVAX  MALARIA  EMANUELE DURANTE MANGONI, CARLO SEVERINI, MICHELA MENEGON, ROBERTO ROMI, GIUSEPPE RUGGIERO, AND GIANCARLO MAJORI  Dipartimento di Medicina Interna, Seconda Università   di Napoli, Naples, Italy; Laboratorio di Parassitologia, Istituto   Superiore di Sanità, Rome, Italy
[ARDS in plasmodium vivax malaria] Perren A, Beretta F, Schubarth P. Servizio di Cure Intense, Ospedale San Giovanni, Bellinzona. Schweiz Med Wochenschr. 1198 Jun 20;  Acute renal failure in Plasmodium vivax malaria. Prakash J, Singh AK, Kumar NS, Saxena RK. Department of Nephrology, Institute of Medical Sciences, Banaras Hindu University, Varanasi-221005. Assoc Physicians India. 2003 Mar;51:265-7.
JInfectChemiother.2003 sept                  Acute disseminated encephalomyelitis following Plasmodium vivax malaria. Koibuchi T, Nakamura T, Miura T, Endo T, Nakamura H, Takahashi T, Kim HS, Wataya Y, Washizaki K, Yoshikawa K, Iwamoto A.  University of Tokyo. Braz J Infect Dis 2002 Oct Plasmodium vivax malaria presenting with severe thrombocytopenia. Makkar RP, Mukhopadhyay S, Monga A, Monga A, Gupta AK. Department of Internal Medicine, Sitaram Bhartia Institute of Science ans Research, New Delhi, India. Royal Society of Tropical Medicine and Hygiene   Retinal haemorrhage in vivax malaria  H. J. Choi  ,  S. Y. Lee , H. Yang  and J. K. Bang  Department of Internal Medicine, Ewha Women’s University College of Medicine, 911-1 MokDong YangCheon-Ku, Seoul, South Korea
 
 
 
MALARIA DA   PLASMODIUM FALCIPARUM
C.S. 56 anni M  Giunge alla ns osservazione in data 10.03.05 riferendo la comparsa di febbre intermittente ( ogni 3 giorni ) ,  con Tc max 39° C ,  da circa 15 gg.  Anamnesi Patologica Prossima:  episodio febbrile  (TC max 40  ° C) f ine gennaio della durata di pochi giorni preceduto da  freddo intenso e da brividi scuotenti , seguito a distanza di diverse ore da  intensa sudorazione . Sintomi associati : vomito , diarrea, cefalea artromialgie diffuse.
Durante tale episodio febbrile il pz soggiornava in Africa (Senegal e Guinea Bissau) località in cui si recava spesso negli ultimi 11 anni per motivi lavorativi.
Nonostante il pz fosse a conoscenza dell’elevata incidenza di malattie parassitarie nelle aree in cui si recava, non aveva mai praticato chemioprofilassi specifica. Ha soggiornato in ambienti umidi, dormendo spesso all’aperto, in capanne o in bungalow. Non ha utilizzato particolari  protezioni individuali.
Esame obiettivo:   Linfoadenopatia sottomandibolare e inguinale bilaterale Fegato palpabile a ~ 3 cm dall’arco costale Milza palpabile a ~ 2 cm dall’arco costale Esami ematochimici: GB 5790/mmc; GR 3680000/mmc;  PLT 184000/mmc; Hb 10.8 g/dl, HCT 34.2% VES 52  1h; PCR 1.6 mg/dl, Fibrinogeno 433.05 mg/dl
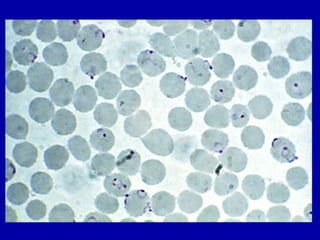
Esame dello striscio sottile di sangue periferico: presenza di gameti di    PLASMODIUM FALCIPARUM Vidal-Wright: negativo Ab anti Leishmania: negativo Ab anti HIV 1-2: negativo Ab anti Rickettsia: negativo Ab anti HCV: negativo HBsAg negativo; HBsAb positivo
ECOGRAFIA EPATOBILIARE E SPLENICA: fegato di dimensioni aumentate ad ecostruttura disomogenea……..Milza di dimensioni aumentate.
Terapia: LARIAM (Meflochina) cp 250 mg x 3 (unica somministrazione) 20 gg dopo…………. Striscio sottile di sangue periferico  negativo per emoparassiti
 
PRESENTAZIONE CLINICA
 
L’accesso malarico si presenta, solitamente, con una certa periodicità. Ogni 48 ore P. Falciparum,  P. Vivax e P. Ovale Ogni 72 ore P. Malariae. N.B. La malaria da P. Falciparum può frequentemente esordire con un periodo di febbre continua, ad andamento irregolare, prima che si stabilisca la sincronizzazione dell’accesso ogni 48 ore.
 
FORME CLINICHE PARTICOLARI DA INFEZIONE DA P. FALCIPARUM Malaria severa e complicata Malaria coleriforme (predominanza sintomatologia G.I.) Malaria algida o con iperpiressia fatale Black-water fever
BLACK-WATER FEVER Complicanza ormai rara, legata a dosi eccessive di Chinino assunto come autotrattamento. Anemia emolitica Insufficienza renale acuta fino ad anuria Urine molto scure Evoluzione spesso infausta.
 
METODI DIAGNOSTICI emoscopia convenzionale EMOSCOPIA:  colorazione con coloranti fluorescenti Quantitative Buffy Coat (QBC)  (centrifugazione/colorazione fluorocromica) DIAGNOSI   PARASSITOLOGICA DIRETTA ANTIGENI:  dipstick o card (metodo immunocromatografico) PCR:  ibridazione con sonde di DNA DIAGNOSI PARASSITOLOGICA INDIRETTA ANTICORPI:  sierologia (IHA; IF, ELISA)
 
 
 
 
 
 
 
 
 
 
 
 
 
 
 
 
 
 
 
 
 
 
 
CLOROCHINA : 300 mg /settimana (stabilire il giorno fisso) Agisce sugli stadi ematici maturi dei trofozoiti. Non agisce sullo stadio epatico. Da 1 settimane prima a 4 settimane dopo la permanenza in zona malarica Effetti collaterali: disturbi GI, prurito (esacerbazione di psoriasi), miopatia, ototossicità e retinopatia se ad alti dosi. CLOROCHINO RESISTENZA :  iniziata negli anni ’60 per P. Falciparum; attualmente interessa quasi tutta l’Africa e altre specie di Plasmodi.
PROGUANILE : 100-200 mg al giorno in assocciazione con  CLOROCHINA. 1-2 settimane prima dell’arrivo e 4 setimane dopo il rientro da aree malariche. Inibisce   la  diidrofolato reduttasi  nel parassita inibendo la divisione cellulare. Effetti collaterali: ulcere buccali, disturbi GI, anemia megaloblastica e alopecia in pazienti nefropatici. MEFLOCHINA:  250 mg a settimana. 1-2 settimane prima e per 4 settimane dopo il rientro. Attività schizonticida  nei riguardi di tutti i ceppi di Plasmodio. Effetti collaterali: Disturbi GI, alterazione del SNC, effetti teratogeni. DOXICICLINA : 100 mg al giorno. Debole attività   antimalarica .  Da utilizzare in associazione con altri farmaci. 1-2 giorni prima della partenza e 4 settimane dopo il rientro. Utilizzata nelle aree resistenti alla Meflochina. Effetti collaterali: alterazioni ossee e dentali, fotosensibilità, epatotossicità.
ATOVAQUONE+PROGUANILE  ( MALARONE ):  250 mg atovaquone + 100 mg proguanile una volta al giorno. 1-2 giorni prima e sette giorni il rientro da aree endemiche. Attività schizonticida ematica e contro gli schizonti epatici di P. falciparum. Effetti collaterali: disturbi GI, cefalea. Controindicato in pazienti nefropatici, bambini con peso < 11 kg, in gravidanza e allattamento.
 
 
 
 
 
 
 
 
“  Le speranze della lotta contro la malaria si concentrano in particolare su  tre tipi di vaccini  che non si escludono, ma che contemplano ciascuno una diversa area di applicazione: un vaccino  “pre-eritrocitico”,  che impedisca l’invasione del fegato da parte dei globuli rossi infettati dallo sporozoite; un vaccino diretto contro   l’ invasione  e lo  sviluppo  del parassita nella  prima fase dell’infezione  e quindi nel sangue stesso;  un vaccino che sia in grado di  bloccare il processo di riproduzione  del Plasmodio nella zanzara che lo ospita.  Scopo di quest’ultimo,  il Tbv (Transmission blocking vaccine),  è immunizzare gli individui già punti dall’insetto in modo da impedire l’ulteriore trasmissione dell’infezione. Vaccini di questo tipo, diretti contro il Plasmodium falciparum e il vivax, sono già stati testati con successo in modelli animali e i trial vanno avanti su materiale umano”  Istituto Superiore di Sanità, 2003
Anni ’60 : dimostrazione dell’effetto protettivo di plasmodi attenuati provenienti da zanzare irradiate. 1990:  vaccino  SPf 66  allestito da Patarroyo. Costituito dalla proteine 66 dello sporozoita, importante sito antigenico capace di indurre la produzione di Ab.  Non impedisce l’infezione  ma previene l’insorgenza dell’attacco acuto per soppressione delle forme ematiche. Il follow-up dei vaccinati ha evidenziato un’efficacia del 40% in Colombia, 55% in Venezuela, 60% in Equatore e 35% in Brasile. CS-NANP, RTS, S vaccines  attivi verso gli  Sporozoiti. In particolare il vaccino realizzato da Hill. et coll  agisce stimolando la risposta dei CTL  particolarmente attivi sui plasmodi in forma Sporozoita. 2002  : la rivista britannica “ Nature”  e l’americana “ Science”  pubblicano la scoperta della mappa genetica del Plasmodio e  delle zanzare. Tutte le fasi dello sviluppo possono diventare target del vaccino.
Vaccino anti-malaria ottenuto modificando geneticamente il P. Falciparum. Il plasmodio OGM stimola le difese immunitarie senza nuocere agli animali, perché non è in grado di attaccare i globuli rossi.  Attraverso una tecnica di manipolazione genetica (genetica inversa) si elimina il gene che permette al Plasmodium di replicarsi nel fegato e di attaccare i GR,  il gene UIS 3. I plasmodi modificati sono stati inoculati nei topi. I topi non si ammalavano e sviluppavano immunità anche verso i plasmodi non modificati. La vaccinazione non ha provocato reazioni collaterali.  Al momento decine di molecole del parassita malarico sono candidate come base del vaccino e sono attualmente in prova nelle scimmie;  La speranza è di arrivare nei prossimi cinque anni ai primi test sull’uomo.    Il vaccino OGM
STORIA DI UN VACCINO OSTACOLI  ALLA  REALIZZAZIONE: Diversi stadi di sviluppo del parassita, ciascuno con caratteristiche  molecolari e biologiche diverse per cui è come trovarsi di fronte a tre diversi patogeni. Implicazioni socio-economiche che fanno della malaria una  MALATTIA  ORFANA…….

Malaria

  • 1.
  • 2.
    Definita “malaria” per la credenza che venisse trasmessa dalle paludi e dall’aria stagnante . 40% della popolazione mondiale esposta al rischio malaria. Incidenza : 300 ai 500 milioni di persone di cui il 90% dei casi in Africa sub sahariana (prima causa di morte) con un aumento dei casi del 40% negli ultimi 25 anni. Mortalità: > 2 milioni/anno (con AIDS e TBC una delle principali emergenze sanitarie del pianeta), soprattutto bambini delle aree più depresse dell’Africa: 1 BAMBINO OGNI 30 SECONDI, 3000 BAMBINI DI ETA’ < 5 ANNI AL GIORNO. OMS e Medici Senza Frontiere
  • 3.
    Endemica in moltezone del pianeta (101 Paesi), sempre più frequentemente importata anche in zone dove era stata eliminata, in relazione ai movimenti migratori e ai viaggi.
  • 4.
    CONTINENTE AFRICANO 90% dei casi mondiali di Malaria mortalità pari ad 1 milione di persone/anno incidenza 300-400 nuovi casi/anno ( il 30-50% ricoveri) Le stime sono destinate a salire a causa dello sviluppo di FARMACORESISTENZA Il 50% dei malati africani non risponde più alla Clorochina a causa di prescrizioni ed impieghi scorretti. Altri farmaci costano x10-100 volte e per ridurre del 50% le morti per malaria sarebbe necessario un investimento di 1 miliardo di $ ………………… “ Il 90% degli investimenti per la ricerca e lo sviluppo di nuovi farmaci è destinato a problemi sanitari che riguardano appena il 10% della popolazione mondiale”. Fonte MSF
  • 5.
  • 6.
    EPIDEMIOLOGIAIN EUROPA ED IN ITALIA In Europa e in Italia la Malaria ha sempre trovato terreno poco fertile mantenendosi relativamente instabile, causa fattori naturali: Il clima non omogeneo in tutta la penisola La tipologia delle anopheli La bonifica dei terreni I radicali mutamenti socio-economici
  • 7.
    MODALITA’DI TRASMISSIONE: IMPORTATA: contratta all’estero (casi nuovi, recrudescenza, relapses) AUTOCTONA: contratta in loco indotta: parenterale (P.malariae) introdotta: trasmessa da vettori indigeni infettatisi su serbatoi importati “aeroportuale” o da “bagaglio” criptica: casi non definibili mediante inchiesta epidemiologica indigena: trasmessa da vettori indigeni infettatisi su serbatoi indigeni Nel 1997 ultimo caso registrato in Italia (provincia di Grosseto) di malaria autoctona da P. vivax causata da anofele indigena infettatisi su un portatore di gametociti proveniente dall’India.
  • 8.
  • 9.
  • 10.
  • 11.
  • 12.
  • 13.
  • 14.
  • 15.
  • 16.
  • 17.
    DINAMICA DELL’INFEZIONE 6.00020.000 9.000 30.000 20.000 50.000 200.000 2.000.000 Parassitemia/mmc 6-12 8-12 12-24 8-32 Merozoiti eritrocitari 72 48 48 48 Ciclo eritrocitico h Vecchi Giovani Giovani Tutti GR parassitati - + +++ - Ipnozoiti 2.000 15.000 >10000 40000 Merozoiti epatici 18-40 16-18 12-17 9-14 Incubazione 13 9 8 5-6 S. pre-eritrocitario Malariae Ovale Vivax Falciparum
  • 18.
    CASO CLINICO N.1 E. 20 anni, sesso femminile. A.P.R. ricorda solo comuni esantemi infantili, poi nessuna patologia degna di menzione. A.P.P. 12 gennaio u.s. comparsa di febbre e sintomatologia simil-influenzale trattata e regredita in 4 giorni con antipiretici (Paracetamolo 500 x 4 gg). Apiretica per 4 giorni. Nuovo rialzo febbrile non preceduto da brivido, trattato con antipiretici della durata di 1 giorno. Es. emocromocitometrico: nella norma. Completamente apiretica fino al 21 febbraio : nuova comparsa di febbre di tipo intermittente ( intervallata da un giorno di apiressia) preceduta da brivido scuotente e abbondante sudorazione , con acme febbrile (40°C) in data 25/02. Trattata con antipireteici e Amoxicillina + ac. clavulanico. 27 febbraio : per il persistere dello stato febbrile con le medesime Caratteristiche pratica es. emocromocitometrico che mostra pancitopenia.
  • 19.
    27 febbraio ricoveropresso l’ AOU Federico II. E.O. ALL’INGRESSO: Condizioni generali discrete, sensorio integro, cute e mucose normoirrorate. T ° : 38,5° P arteriosa: 120/80 F cardiaca: 100 bpm’ Microlinfoadenopatie laterocervicali e sottomandibolari. Addome trattabile e non dolente, fegato nei limiti, milza a 3 cm dall’arco. Torace: nulla di patologico. Apparato cardiovascolare: nulla di patologico. ESAMI EMATOBIOCHIMICI: RBC: 2,84 Hb 9 WBC: 4,4 (N 77,7% L 13%) PLT: 60 Fibrinogenemia: 612mg/dl (160-350) D-dimero 404,44 (0-198 ug/L) t. di Quick 69% AST: 36 ALT: 42 LDH: 1402
  • 20.
    In data 1/3/2005 : es. emoscopico con isolamento di trofozoiti di PLASMODIUM VIVAX. Si segnala inoltre positività di IgM anti virus parainfluenza 1 e 2 (cross-reazione?). In data 2/3/2005 inizia terapia con MEFLOCHINA : 750 mg per os poi 500 mg 12 ore dopo In terza giornata dalla somministrazione di meflochina terapia, t emperatura 37,5 °
  • 21.
    05/03: ricovero pressol’Ospedale Cotugno 1 U.O. malattie infettive. E.O. all’ingresso: Condizioni generali buone. Cute e mucose normoirrorate. Piccolo linfonodo laterocervicale sn e dx di circa 0,5 cm mobile, non dolente e non adeso ai piani sottostanti. Assenza di linfonodi in altre sedi. Apiretica FC 80bpm Pressione arteriosa 120/70 Apparato cardiovascolare: I tono cardiaco rinforzato. Addome trattabile e non dolente. Fegato palpabile a circa 1 cm dall’arco, milza non debordante. Torace: normali reperti semeiologici. E.O. neurologico: negativo.
  • 22.
    ESAMI EMATOBIOCHIMICI RBC:2800000 WBC: 5600 HB: 8,4 PLT: 215000 PCR: 33 Fibrinogenemia: 674 T. di Quick: 100% ALT: 72 AST: 47 LDH: 1171 In seconda giornata pratica nuovo striscio periferico che riconferma diagnosi microbiologica di trofozoiti di P.VIVAX. Dopo aver praticato determinazione di G6PD, non essendoci controindicazioni in data 04/03 inizia terapia con PRIMACHINA attiva sulle forme epatiche: 15 mg per os/die per 14 giorni.
  • 23.
  • 24.
    Durante la degenzasi segnala PANCITOPENIA con risoluzione dopo appropiata terapia. 33 11.50 PCR 24 24 VES 67 42 40 ALT 46 36 37 AST 53,3 19,5 19% Linf 34,3 64,9 66,2% Neut 5,6 4,40 4,27 WBC 215 60 57 PLT 8,3 9 10,6 HB 5,6 4,40 3,61 RBC 07.03Cotug. 04.03 polic. 02.03 polic
  • 25.
    Considerazioni generali Lapaziente aveva effettuato un viaggio di 2 settimane in Guinea 18 mesi prima dell’insorgenza della sintomatologia: In qualsiasi caso di febbre di n.d.d. effettuare meticolosa anamnesi sulle zone in cui il paziente ha soggiornato antecedentemente alla comparsa della sintomatologia e non trascurare di effettuare es. emoscopico se è a rischio. Altri compagni di viaggio al ritorno dalla zona di endemia si ricoverano per febbre di n.d.d. risultando positivi al P.vivax.
  • 26.
    Tutti i ragazzi,compresa la ns. paziente avevano effettuato profilassi con MEFLOCHINA secondo la posologia ed i tempi raccomandati dalle linee guida. Problema della FARMACO-RESISTENZA anche alla meflochina. Gravità del quadro laboratoristico in particolare PLTpenia importante e alterazioni del quadro coagulativo. RISCHIO CID
  • 27.
    MALARIA DA P. VIVAX E OVALE Malaria terzana benigna (ciclo stabilizzato) Tasso di letalità bassissimo Possibilità di recidive a distanza Caratteristiche cliniche
  • 28.
    Am. J. Trop.Med. Hyg., 68(2), 2003, pp. 159-160 Copyright © 2003 by The American Society of Tropical Medicine and Hygiene CASE REPORT: AN UNUSUAL LATE RELAPSE OF PLASMODIUM VIVAX MALARIA EMANUELE DURANTE MANGONI, CARLO SEVERINI, MICHELA MENEGON, ROBERTO ROMI, GIUSEPPE RUGGIERO, AND GIANCARLO MAJORI Dipartimento di Medicina Interna, Seconda Università di Napoli, Naples, Italy; Laboratorio di Parassitologia, Istituto Superiore di Sanità, Rome, Italy
  • 29.
    [ARDS in plasmodiumvivax malaria] Perren A, Beretta F, Schubarth P. Servizio di Cure Intense, Ospedale San Giovanni, Bellinzona. Schweiz Med Wochenschr. 1198 Jun 20; Acute renal failure in Plasmodium vivax malaria. Prakash J, Singh AK, Kumar NS, Saxena RK. Department of Nephrology, Institute of Medical Sciences, Banaras Hindu University, Varanasi-221005. Assoc Physicians India. 2003 Mar;51:265-7.
  • 30.
    JInfectChemiother.2003 sept                 Acute disseminated encephalomyelitis following Plasmodium vivax malaria. Koibuchi T, Nakamura T, Miura T, Endo T, Nakamura H, Takahashi T, Kim HS, Wataya Y, Washizaki K, Yoshikawa K, Iwamoto A. University of Tokyo. Braz J Infect Dis 2002 Oct Plasmodium vivax malaria presenting with severe thrombocytopenia. Makkar RP, Mukhopadhyay S, Monga A, Monga A, Gupta AK. Department of Internal Medicine, Sitaram Bhartia Institute of Science ans Research, New Delhi, India. Royal Society of Tropical Medicine and Hygiene Retinal haemorrhage in vivax malaria H. J. Choi , S. Y. Lee , H. Yang and J. K. Bang Department of Internal Medicine, Ewha Women’s University College of Medicine, 911-1 MokDong YangCheon-Ku, Seoul, South Korea
  • 31.
  • 32.
  • 33.
  • 34.
    MALARIA DA PLASMODIUM FALCIPARUM
  • 35.
    C.S. 56 anniM Giunge alla ns osservazione in data 10.03.05 riferendo la comparsa di febbre intermittente ( ogni 3 giorni ) , con Tc max 39° C , da circa 15 gg. Anamnesi Patologica Prossima: episodio febbrile (TC max 40 ° C) f ine gennaio della durata di pochi giorni preceduto da freddo intenso e da brividi scuotenti , seguito a distanza di diverse ore da intensa sudorazione . Sintomi associati : vomito , diarrea, cefalea artromialgie diffuse.
  • 36.
    Durante tale episodiofebbrile il pz soggiornava in Africa (Senegal e Guinea Bissau) località in cui si recava spesso negli ultimi 11 anni per motivi lavorativi.
  • 37.
    Nonostante il pzfosse a conoscenza dell’elevata incidenza di malattie parassitarie nelle aree in cui si recava, non aveva mai praticato chemioprofilassi specifica. Ha soggiornato in ambienti umidi, dormendo spesso all’aperto, in capanne o in bungalow. Non ha utilizzato particolari protezioni individuali.
  • 38.
    Esame obiettivo: Linfoadenopatia sottomandibolare e inguinale bilaterale Fegato palpabile a ~ 3 cm dall’arco costale Milza palpabile a ~ 2 cm dall’arco costale Esami ematochimici: GB 5790/mmc; GR 3680000/mmc; PLT 184000/mmc; Hb 10.8 g/dl, HCT 34.2% VES 52 1h; PCR 1.6 mg/dl, Fibrinogeno 433.05 mg/dl
  • 39.
    Esame dello strisciosottile di sangue periferico: presenza di gameti di PLASMODIUM FALCIPARUM Vidal-Wright: negativo Ab anti Leishmania: negativo Ab anti HIV 1-2: negativo Ab anti Rickettsia: negativo Ab anti HCV: negativo HBsAg negativo; HBsAb positivo
  • 40.
    ECOGRAFIA EPATOBILIARE ESPLENICA: fegato di dimensioni aumentate ad ecostruttura disomogenea……..Milza di dimensioni aumentate.
  • 41.
    Terapia: LARIAM (Meflochina)cp 250 mg x 3 (unica somministrazione) 20 gg dopo…………. Striscio sottile di sangue periferico negativo per emoparassiti
  • 42.
  • 43.
  • 44.
  • 45.
    L’accesso malarico sipresenta, solitamente, con una certa periodicità. Ogni 48 ore P. Falciparum, P. Vivax e P. Ovale Ogni 72 ore P. Malariae. N.B. La malaria da P. Falciparum può frequentemente esordire con un periodo di febbre continua, ad andamento irregolare, prima che si stabilisca la sincronizzazione dell’accesso ogni 48 ore.
  • 46.
  • 47.
    FORME CLINICHE PARTICOLARIDA INFEZIONE DA P. FALCIPARUM Malaria severa e complicata Malaria coleriforme (predominanza sintomatologia G.I.) Malaria algida o con iperpiressia fatale Black-water fever
  • 48.
    BLACK-WATER FEVER Complicanzaormai rara, legata a dosi eccessive di Chinino assunto come autotrattamento. Anemia emolitica Insufficienza renale acuta fino ad anuria Urine molto scure Evoluzione spesso infausta.
  • 49.
  • 50.
    METODI DIAGNOSTICI emoscopiaconvenzionale EMOSCOPIA: colorazione con coloranti fluorescenti Quantitative Buffy Coat (QBC) (centrifugazione/colorazione fluorocromica) DIAGNOSI PARASSITOLOGICA DIRETTA ANTIGENI: dipstick o card (metodo immunocromatografico) PCR: ibridazione con sonde di DNA DIAGNOSI PARASSITOLOGICA INDIRETTA ANTICORPI: sierologia (IHA; IF, ELISA)
  • 51.
  • 52.
  • 53.
  • 54.
  • 55.
  • 56.
  • 57.
  • 58.
  • 59.
  • 60.
  • 61.
  • 62.
  • 63.
  • 64.
  • 65.
  • 66.
  • 67.
  • 68.
  • 69.
  • 70.
  • 71.
  • 72.
  • 73.
  • 74.
    CLOROCHINA : 300mg /settimana (stabilire il giorno fisso) Agisce sugli stadi ematici maturi dei trofozoiti. Non agisce sullo stadio epatico. Da 1 settimane prima a 4 settimane dopo la permanenza in zona malarica Effetti collaterali: disturbi GI, prurito (esacerbazione di psoriasi), miopatia, ototossicità e retinopatia se ad alti dosi. CLOROCHINO RESISTENZA : iniziata negli anni ’60 per P. Falciparum; attualmente interessa quasi tutta l’Africa e altre specie di Plasmodi.
  • 75.
    PROGUANILE : 100-200mg al giorno in assocciazione con CLOROCHINA. 1-2 settimane prima dell’arrivo e 4 setimane dopo il rientro da aree malariche. Inibisce la diidrofolato reduttasi nel parassita inibendo la divisione cellulare. Effetti collaterali: ulcere buccali, disturbi GI, anemia megaloblastica e alopecia in pazienti nefropatici. MEFLOCHINA: 250 mg a settimana. 1-2 settimane prima e per 4 settimane dopo il rientro. Attività schizonticida nei riguardi di tutti i ceppi di Plasmodio. Effetti collaterali: Disturbi GI, alterazione del SNC, effetti teratogeni. DOXICICLINA : 100 mg al giorno. Debole attività antimalarica . Da utilizzare in associazione con altri farmaci. 1-2 giorni prima della partenza e 4 settimane dopo il rientro. Utilizzata nelle aree resistenti alla Meflochina. Effetti collaterali: alterazioni ossee e dentali, fotosensibilità, epatotossicità.
  • 76.
    ATOVAQUONE+PROGUANILE (MALARONE ): 250 mg atovaquone + 100 mg proguanile una volta al giorno. 1-2 giorni prima e sette giorni il rientro da aree endemiche. Attività schizonticida ematica e contro gli schizonti epatici di P. falciparum. Effetti collaterali: disturbi GI, cefalea. Controindicato in pazienti nefropatici, bambini con peso < 11 kg, in gravidanza e allattamento.
  • 77.
  • 78.
  • 79.
  • 80.
  • 81.
  • 82.
  • 83.
  • 84.
  • 85.
    “ Lesperanze della lotta contro la malaria si concentrano in particolare su tre tipi di vaccini che non si escludono, ma che contemplano ciascuno una diversa area di applicazione: un vaccino “pre-eritrocitico”, che impedisca l’invasione del fegato da parte dei globuli rossi infettati dallo sporozoite; un vaccino diretto contro l’ invasione e lo sviluppo del parassita nella prima fase dell’infezione e quindi nel sangue stesso; un vaccino che sia in grado di bloccare il processo di riproduzione del Plasmodio nella zanzara che lo ospita. Scopo di quest’ultimo, il Tbv (Transmission blocking vaccine), è immunizzare gli individui già punti dall’insetto in modo da impedire l’ulteriore trasmissione dell’infezione. Vaccini di questo tipo, diretti contro il Plasmodium falciparum e il vivax, sono già stati testati con successo in modelli animali e i trial vanno avanti su materiale umano” Istituto Superiore di Sanità, 2003
  • 86.
    Anni ’60 :dimostrazione dell’effetto protettivo di plasmodi attenuati provenienti da zanzare irradiate. 1990: vaccino SPf 66 allestito da Patarroyo. Costituito dalla proteine 66 dello sporozoita, importante sito antigenico capace di indurre la produzione di Ab. Non impedisce l’infezione ma previene l’insorgenza dell’attacco acuto per soppressione delle forme ematiche. Il follow-up dei vaccinati ha evidenziato un’efficacia del 40% in Colombia, 55% in Venezuela, 60% in Equatore e 35% in Brasile. CS-NANP, RTS, S vaccines attivi verso gli Sporozoiti. In particolare il vaccino realizzato da Hill. et coll agisce stimolando la risposta dei CTL particolarmente attivi sui plasmodi in forma Sporozoita. 2002 : la rivista britannica “ Nature” e l’americana “ Science” pubblicano la scoperta della mappa genetica del Plasmodio e delle zanzare. Tutte le fasi dello sviluppo possono diventare target del vaccino.
  • 87.
    Vaccino anti-malaria ottenutomodificando geneticamente il P. Falciparum. Il plasmodio OGM stimola le difese immunitarie senza nuocere agli animali, perché non è in grado di attaccare i globuli rossi. Attraverso una tecnica di manipolazione genetica (genetica inversa) si elimina il gene che permette al Plasmodium di replicarsi nel fegato e di attaccare i GR, il gene UIS 3. I plasmodi modificati sono stati inoculati nei topi. I topi non si ammalavano e sviluppavano immunità anche verso i plasmodi non modificati. La vaccinazione non ha provocato reazioni collaterali. Al momento decine di molecole del parassita malarico sono candidate come base del vaccino e sono attualmente in prova nelle scimmie; La speranza è di arrivare nei prossimi cinque anni ai primi test sull’uomo. Il vaccino OGM
  • 88.
    STORIA DI UNVACCINO OSTACOLI ALLA REALIZZAZIONE: Diversi stadi di sviluppo del parassita, ciascuno con caratteristiche molecolari e biologiche diverse per cui è come trovarsi di fronte a tre diversi patogeni. Implicazioni socio-economiche che fanno della malaria una MALATTIA ORFANA…….