SKIN DISEASES
Introduction:
Pathological changes may arise in epidermis,
dermis and subcutaneous tissue. The pattern of
changes may allow a diagnosis to be made or it may
be non-specific. The appearance of many skin
diseases vary at different stages of their
development and may be altered by attempted
treatment and secondary changes such as scratching
or infection.
Route of infection
Primary Infections
• caused by a single pathogen, usually affect normal
skin.
• Impetigo, folliculitis, and boils are common types.
• The most common primary skin pathogens are
S aureus β-hemolytic streptococci, and coryneform bacteria.
• Organisms usually enter through a break in the skin.
Secondary Infections
• Secondary infections occur in skin that is already diseased.
• Because of the underlying disease, the clinical picture and course of these
infections vary.
Skin and Soft Tissue Infections
1.Impetigo: Initially a vesicular infection
that rapidly evolves into pustules that
rupture, with dried discharge forming
honey-colored crust on an erythematous
base.
IMPETIGO (non-bullous)
Non-bullous impetigo is a superficial skin
infection that manifests as clusters of vesicles
or pustules that rupture and develop a honey-
colored crust.
IMPETIGO
(bullous)
• Bullous impetigo is a superficialskin
infection that manifests as clusters of
vesicles or pustules that enlarge rapidly
to form bullae. The bullae burst and
expose larger bases, which become
covered with honeycolored varnish or
crust.
Ecthyma (Pustules):
> Begin as vesicles that rupture,
creating circular erythematous lesions
with adherent crusts
>is a skin infection similar to impetigo,
but more deeply invasive. Usually
caused by a streptococcus infection,
ecthyma goes through the outer layer
(epidermis) to the deeper layer
(dermis) of skin, possibly causing
scars.
Folliculitis:
• Inflammation at the opening of the hair follicle
that causes erythematous papules and pustules
surrounding individual hairs.
• It is usually caused by Staphylococcus aureus
but occasionally Pseudomonas aeruginosa (hot-
tub folliculitis)
• The bacteria is commonly found in contaminated
whirlpools, hot tubs or physiotherapy pools
• Children tend to get hot tub folliculitis more
• Hot-tub folliculitis occurs because of inadequate
treatment of water with chlorine or bromine.
Folliculitis manifests as superficial pustules or
inflammatory nodules surrounding hair follicles.
Furuncles and Carbuncles
Carbuncles are clusters of furuncles connected
subcutaneously, causing deeper suppuration and scarring.
They are smaller and more superficial than subcutaneous
abscesses
 Involvement of several adjacent follicles, with pus
discharging rom multiple follicular orifices.
 Large, inflammatory plaque studded with multiple
pustules, some have ruptured, draining pus, on the nape
of the neck. This very painful area is surrounded by
erythema and edema, extends down to fascia, formed
from a confluence of many furuncles.
Furuncles(BOILS)
• are skin abscesses caused by staphylococcal
infection,which involve a hair follicle and
surrounding tissue.
• Deep-seated inflammatory nodule with a
pustular center that develops around a hair
follicle. (painful, localized,abscess).
Cellulitis
• Cellulitis is an acute bacterial infection of
the skin and subcutaneous tissue most often
caused by streptococci or staphylococci.
• Some people are at risk for infection by
other types of bacteria. They include people
with weak immune system, and those who
handle fish, meat, poultry, or soil without
using gloves.
• Cellulitis can occur anywhere on the body.
In adults, it often occurs on the legs, face, or
arms. In children, it is most common on the
face or around the anus. An infection on the
face could lead to a dangerous eye infection.
• Erythematous, hot, swollen skin with
irregular edge (affects the deeper dermis
and subcutaneous fat).
Acne
• Infection of sebaceous follicles with plugs of keratin
blocking the sebaceous canal, resulting in “blackheads”.
Most common skin disease in humans
• Propionibacterium acnes: Gram +ve rod ,causative
agent
• Pathogenesis: bacteria digest sebum , Attracts
neutrophils
- Neutrophil digestive enzymes cause lesions, “pus
pockets”
• Obstruction of sebaceous follicles (oil glands)
• Open comedones or closed comedones
• Usually on the face, chest, back
• Risk factors:
– Stressful events (hormonal changes)
– Friction acne
– Oil based cosmetics
HIDRADENITIS SUPPURATIVA
• Hidradenitis suppurativa is a chronic, suppurative
recurring inflammatory disease of apocrine gland follicles.
• Commoner in females specially after puberty.
• Sites: axillae, around the nipples, under the breast,
perineum, groin, buttocks, neck and scalp.
• lesions: nodules, abscesses, scarring, sinus tract
formation.
Allergic eczema
• is an itchy skin rash that develops
when you come into contact with an
allergen. The condition often occurs
hours after you’ve been exposed to the
substance that triggered the allergic
reaction.
Common symptoms include:
•itching
•a burning sensation or pain
•red bumps that may ooze, drain, or crust
•warm, tender skin
•scaly, raw, or thickened skin
•dry, red, or rough skin
•inflammation
•cuts
Chickenpox also called
varicella, is characterized by
itchy red blisters that appear all over
the body. A virus causes this
condition. It often affects children,
and was so common it was
considered a childhood rite of
passage.
• What causes chickenpox?
• Varicella-zoster virus (VZV) causes
the chickenpox infection. Most cases
occur through contact with an
infected person. The virus is
contagious to those around you for
one to two days before your blisters
appear. VZV remains contagious until
all blisters have crusted over. The
virus can spread through:
• saliva
• coughing
• sneezing
• contact with fluid from the blisters
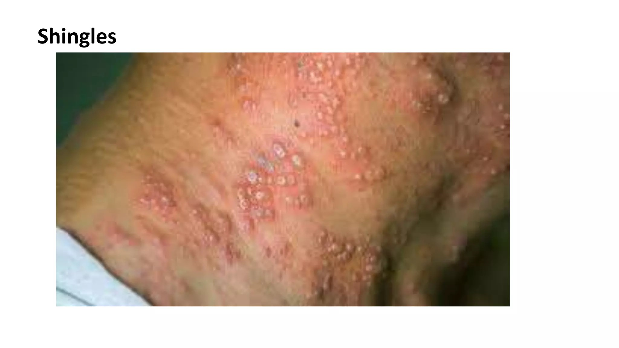
• Shingles, also known as herpes zoster, occur
when the dormant chickenpox virus, varicella
zoster, is reactivated in your nerve tissue.
• The rash quickly develops fluid-filled blisters like
chickenpox. They may be accompanied by itching.
New blisters continue to develop for several days.
In most cases(Trusted Source) according to the
Centers for Disease Control and Prevention (CDC),
blisters appear over a localized area, but
widespread blistering is possible.
• Blisters are most common on the torso and face,
but they can occur elsewhere. In rare cases, the
rash appears on the lower body. Some possibly
may not develop a rash at all.
• It’s not possible to transmit the shingles virus to
someone. However, if you’ve never had chickenpox
or the chickenpox (varicella) vaccine, it’s possible to
get chickenpox from someone with shingles
through direct contact with active blisters since the
same virus causes both shingles and chickenpox.
Scabies is a skin infestation
caused by a mite known
as Sarcoptes scabiei. This
causes an itchy, red rash to
form on your skin
• Scabies isn’t a sexually
transmitted disease,
although it can be
transmitted through intimate
contact, sharing clothing, or
sharing bedding.
A rash is defined as a noticeable change
in the color or texture of
the skin.
It may be caused by many things,
including insect bites, allergic reactions,
medication side effects, fungal skin
infection, bacterial
skin infection, infectious disease,
or autoimmune disease.
Many rash symptoms can be managed at
home, but severe rashes may require
urgent medical treatment (especially
those seen in combination with other
symptoms, such as fever, pain, dizziness,
vomiting, or difficulty breathing).
Meningococcemia is caused by bacteria called Neisseria meningitidis. The bacteria
often live in a person's upper respiratory tract without causing signs of illness.
They can be spread from person to person through respiratory droplets.
What are the signs of
meningococcemia?
 Fever and chills.
 Fatigue (feeling tired)
 Vomiting.
 Cold hands and feet.
 Severe aches or pain in the muscles,
joints, chest, or abdomen (belly)
 Rapid breathing.
 Diarrhea.
 In the later stages, a dark purple
rash.
Measles is an acute viral
respiratory illness. It is
characterized by a
prodrome of fever (as high
as 105°F) and malaise,
cough, coryza, and
conjunctivitis -the three
“C”s -, a pathognomonic
enanthema (Koplik spots)
followed by a
maculopapular rash. The
rash usually appears about
14 days after a person is
exposed.
Anthrax is a serious infectious disease caused by
gram-positive, rod-shaped bacteria known as
Bacillus anthracis. It occurs naturally in soil and
commonly affects domestic and wild animals
around the world. People can get sick with anthrax
if they come in contact with infected animals or
contaminated animal products.
Thank you!
Q&A
MACULE
PATCH
PLAQUE
PAPULE
Scabies
Chickenpox
Shingles
Cellulitis
Bullous impetigo
Allergic eczema
Furuncles(BOILS)

LECTURE ON SKIN DISEASES.pptx

  • 1.
  • 2.
    Introduction: Pathological changes mayarise in epidermis, dermis and subcutaneous tissue. The pattern of changes may allow a diagnosis to be made or it may be non-specific. The appearance of many skin diseases vary at different stages of their development and may be altered by attempted treatment and secondary changes such as scratching or infection.
  • 3.
  • 4.
    Primary Infections • causedby a single pathogen, usually affect normal skin. • Impetigo, folliculitis, and boils are common types. • The most common primary skin pathogens are S aureus β-hemolytic streptococci, and coryneform bacteria. • Organisms usually enter through a break in the skin. Secondary Infections • Secondary infections occur in skin that is already diseased. • Because of the underlying disease, the clinical picture and course of these infections vary.
  • 6.
    Skin and SoftTissue Infections 1.Impetigo: Initially a vesicular infection that rapidly evolves into pustules that rupture, with dried discharge forming honey-colored crust on an erythematous base. IMPETIGO (non-bullous) Non-bullous impetigo is a superficial skin infection that manifests as clusters of vesicles or pustules that rupture and develop a honey- colored crust.
  • 7.
    IMPETIGO (bullous) • Bullous impetigois a superficialskin infection that manifests as clusters of vesicles or pustules that enlarge rapidly to form bullae. The bullae burst and expose larger bases, which become covered with honeycolored varnish or crust.
  • 8.
    Ecthyma (Pustules): > Beginas vesicles that rupture, creating circular erythematous lesions with adherent crusts >is a skin infection similar to impetigo, but more deeply invasive. Usually caused by a streptococcus infection, ecthyma goes through the outer layer (epidermis) to the deeper layer (dermis) of skin, possibly causing scars.
  • 9.
    Folliculitis: • Inflammation atthe opening of the hair follicle that causes erythematous papules and pustules surrounding individual hairs. • It is usually caused by Staphylococcus aureus but occasionally Pseudomonas aeruginosa (hot- tub folliculitis) • The bacteria is commonly found in contaminated whirlpools, hot tubs or physiotherapy pools • Children tend to get hot tub folliculitis more • Hot-tub folliculitis occurs because of inadequate treatment of water with chlorine or bromine. Folliculitis manifests as superficial pustules or inflammatory nodules surrounding hair follicles.
  • 10.
    Furuncles and Carbuncles Carbunclesare clusters of furuncles connected subcutaneously, causing deeper suppuration and scarring. They are smaller and more superficial than subcutaneous abscesses  Involvement of several adjacent follicles, with pus discharging rom multiple follicular orifices.  Large, inflammatory plaque studded with multiple pustules, some have ruptured, draining pus, on the nape of the neck. This very painful area is surrounded by erythema and edema, extends down to fascia, formed from a confluence of many furuncles. Furuncles(BOILS) • are skin abscesses caused by staphylococcal infection,which involve a hair follicle and surrounding tissue. • Deep-seated inflammatory nodule with a pustular center that develops around a hair follicle. (painful, localized,abscess).
  • 11.
    Cellulitis • Cellulitis isan acute bacterial infection of the skin and subcutaneous tissue most often caused by streptococci or staphylococci. • Some people are at risk for infection by other types of bacteria. They include people with weak immune system, and those who handle fish, meat, poultry, or soil without using gloves. • Cellulitis can occur anywhere on the body. In adults, it often occurs on the legs, face, or arms. In children, it is most common on the face or around the anus. An infection on the face could lead to a dangerous eye infection. • Erythematous, hot, swollen skin with irregular edge (affects the deeper dermis and subcutaneous fat).
  • 12.
    Acne • Infection ofsebaceous follicles with plugs of keratin blocking the sebaceous canal, resulting in “blackheads”. Most common skin disease in humans • Propionibacterium acnes: Gram +ve rod ,causative agent • Pathogenesis: bacteria digest sebum , Attracts neutrophils - Neutrophil digestive enzymes cause lesions, “pus pockets” • Obstruction of sebaceous follicles (oil glands) • Open comedones or closed comedones • Usually on the face, chest, back • Risk factors: – Stressful events (hormonal changes) – Friction acne – Oil based cosmetics
  • 13.
    HIDRADENITIS SUPPURATIVA • Hidradenitissuppurativa is a chronic, suppurative recurring inflammatory disease of apocrine gland follicles. • Commoner in females specially after puberty. • Sites: axillae, around the nipples, under the breast, perineum, groin, buttocks, neck and scalp. • lesions: nodules, abscesses, scarring, sinus tract formation.
  • 14.
    Allergic eczema • isan itchy skin rash that develops when you come into contact with an allergen. The condition often occurs hours after you’ve been exposed to the substance that triggered the allergic reaction. Common symptoms include: •itching •a burning sensation or pain •red bumps that may ooze, drain, or crust •warm, tender skin •scaly, raw, or thickened skin •dry, red, or rough skin •inflammation •cuts
  • 15.
    Chickenpox also called varicella,is characterized by itchy red blisters that appear all over the body. A virus causes this condition. It often affects children, and was so common it was considered a childhood rite of passage. • What causes chickenpox? • Varicella-zoster virus (VZV) causes the chickenpox infection. Most cases occur through contact with an infected person. The virus is contagious to those around you for one to two days before your blisters appear. VZV remains contagious until all blisters have crusted over. The virus can spread through: • saliva • coughing • sneezing • contact with fluid from the blisters
  • 16.
    • Shingles, alsoknown as herpes zoster, occur when the dormant chickenpox virus, varicella zoster, is reactivated in your nerve tissue. • The rash quickly develops fluid-filled blisters like chickenpox. They may be accompanied by itching. New blisters continue to develop for several days. In most cases(Trusted Source) according to the Centers for Disease Control and Prevention (CDC), blisters appear over a localized area, but widespread blistering is possible. • Blisters are most common on the torso and face, but they can occur elsewhere. In rare cases, the rash appears on the lower body. Some possibly may not develop a rash at all. • It’s not possible to transmit the shingles virus to someone. However, if you’ve never had chickenpox or the chickenpox (varicella) vaccine, it’s possible to get chickenpox from someone with shingles through direct contact with active blisters since the same virus causes both shingles and chickenpox.
  • 17.
    Scabies is askin infestation caused by a mite known as Sarcoptes scabiei. This causes an itchy, red rash to form on your skin • Scabies isn’t a sexually transmitted disease, although it can be transmitted through intimate contact, sharing clothing, or sharing bedding.
  • 18.
    A rash isdefined as a noticeable change in the color or texture of the skin. It may be caused by many things, including insect bites, allergic reactions, medication side effects, fungal skin infection, bacterial skin infection, infectious disease, or autoimmune disease. Many rash symptoms can be managed at home, but severe rashes may require urgent medical treatment (especially those seen in combination with other symptoms, such as fever, pain, dizziness, vomiting, or difficulty breathing).
  • 19.
    Meningococcemia is causedby bacteria called Neisseria meningitidis. The bacteria often live in a person's upper respiratory tract without causing signs of illness. They can be spread from person to person through respiratory droplets. What are the signs of meningococcemia?  Fever and chills.  Fatigue (feeling tired)  Vomiting.  Cold hands and feet.  Severe aches or pain in the muscles, joints, chest, or abdomen (belly)  Rapid breathing.  Diarrhea.  In the later stages, a dark purple rash.
  • 20.
    Measles is anacute viral respiratory illness. It is characterized by a prodrome of fever (as high as 105°F) and malaise, cough, coryza, and conjunctivitis -the three “C”s -, a pathognomonic enanthema (Koplik spots) followed by a maculopapular rash. The rash usually appears about 14 days after a person is exposed.
  • 21.
    Anthrax is aserious infectious disease caused by gram-positive, rod-shaped bacteria known as Bacillus anthracis. It occurs naturally in soil and commonly affects domestic and wild animals around the world. People can get sick with anthrax if they come in contact with infected animals or contaminated animal products.
  • 22.
  • 23.
  • 24.
  • 25.
  • 26.
  • 27.
  • 28.
  • 29.
  • 30.
  • 31.
  • 32.
  • 33.