CHRONIC PANCREATITIS
 Chronic pancreatitis is a progressive
inflammation of pancreas related to the
process of autolysis, that presents by pain, by
violation of exocrine and endocrine functions
of gland with the result of fibrosis of organ
and high risk of malignization
ETIOLOGY AND PATHOGENESIS
 Gallstone disease is the most frequent cause
of chronic pancreatitis (70%).
 Pathogenesis of cholangiogenic pancreatitis
is hypertension in pancreatic duct and reflux
of infected bile or secretion of duodenum.
 Spasms and stenosis of the Vater's papilla
are instrumental in causing reflux. As result
occur activates the enzymes of pancreas and
progress inflammation. Development of
pancreatitis potentiates infection.
CAUSES
 The CAUSES of such violations are - due to
the attack of acute pancreatitis in past,
 alcoholism,
 traumas of gland,
 pathology of its vessels,
 gastroduodenal ulcers,
 gastritis or duodenostasis,
 hyperparathyroidism,
 hyperlipidemia,
 virus infections,
 idiopathic pancreatitis.
CLASSIFICATION AND ETIOLOGY
CHRONIC
CALCIFIC
PANCREATITIS
CHRONIC
OBSTRUCTIVE
PANCREATITIS
CHRONIC
INFLAMMATORY
PANCREATITIS
CHRONIC
AUTOIMMUNE
PANCREATITIS
ASYMPTOMATIC
PANCREATIC
FIBROSIS
ALCOHOL PANCREATIC
TUMORS
UNKNOWN Autoimmune
disorders (primary
sclerosing cholangitis)
CHRONIC
ALCOHOLIC
HEREDITARY DUCTAL
STRICTURE
SJOGREN'S
SYNDROME
Endemic in
asymptomatic
residents in
tropical climates
TROPICAL GALLSTONE OR
TRAUMA-
INDUCED
Primary biliary
cirrhosis
HYPERLIPIDE
MIA
PANCREAS
DIVISUM
HYPERCALC
EMIA
DRUG-INDUCED
IDIOPATHIC
CLASSIFICATION (by O.O. Shalitnov)
 Chronic fibrous pancreatitis without violation of patency
of main pancreatic duct.
 Chronic fibrous pancreatitis with violation of patency of
main pancreatic duct and hypertension of pancreatic
juice.
 Chronic fibrous-degenerative pancreatitis.
TAKING INTO ACCOUNT CLINICAL FEATURES
 Chronic recurrent pancreatitis.
 Chronic pain pancreatitis
 Chronic painless (latent) pancreatitis.
 Chronic pseudo tumor-like pancreatitis.
 Chronic cholecystocholangiopancreatitis (cholangiogenic
pancreatitis).
 Chronic indurative pancreatitis.
PATHOMORPHOLOGY
The morphological changes in pancreas in
chronic pancreatitis are mainly due to the
development of degenerative process and
atrophy of parenchyma
CLINICAL MANAGEMENT
 As the progress of the disease has cyclic
character with the periodic changes of
remission and acute exacerbations.
 Violation of exocrine and endocrine
functions of pancreas, determine
polymorphism of symptoms that are
characteristic of the period of
exacerbations pancreatitis
PAIN
 Patients with chronic pancreatitis complaining
on dull pain that is in the epigastric and radiates
to the back

PAIN
The pathophysiology of the pain
associated with increase
intraductal pressures, neural
inflammation, formation of
pseudocysts, bile duct
strictures, and duodenal
obstruction.
MALABSORPTION
With sufficient loss of functional exocrine pancreas,
diarrhea, steatorrhea, and azotorrhea can develop.
Because of the 10-fold reserve of exocrine
pancreaticenzymes, malabsorption occurs only after 90%
of the functioning exocrine cell mass is lost.
Pancreatic insufficiency resulting from alcohol-induced chronic
pancreatitis usually takes 10 to 20 years to develop. The
secretion of lipase is usually diminished earlier than the
secretion of the proteolytic enzymes, and as a result,
steatorrhea precedes protein-aqueous diarrhea.
CHRONIC UPPER ABDOMINAL PAIN AND WEIGHT
LOSS should suggest a diagnosis of chronic
pancreatitis.
Weight loss occurs with malabsorption, and of the
fat-soluble vitamins develop.
 Postprandial pancreatic bicarbonate secretion is
diminished. The duodenal pH may decrease (pH<4)
and an acidic milieu with precipitation of bile salts
and inactivation of pancreatic enzymes results in a
decrease intestinal digestion.
ENDOCRINE INSUFFICIENCY
Glucose intolerance frequently develops
early
 Endocrine insufficiency develops in up to
60% of patients, but in general not until after
the diagnosis of chronic pancreatitis has
been made.
STOOL EXAMINATION Steatorrhea and creatorrhea
are characteristic for Chronic Pancreatitis (plenty of
muscle fibres).
Examination of endocrine function includes:
1) determination of sugar in blood and urine
(hyperglycemia and glycosuria);
2) radioimmunoassay of hormones (insulin, C-peptide
and glucagon).
SKIAGRAPHY survey of organs of abdominal cavity in
two projections exposes the existent calculus in the
ducts and calcification of parenchyma of pancreas.
Relaxation duodenography. The development of
"horseshoe" of duodenum and change of its mucosa can
be seen
Cholecystocholangiography the purpose of diagnosis
of gallstone disease and damaging of biliary tract is
conducted
Ultrasonic examination
Sonography is one of the basic
methods of diagnosis. With the help
of symptoms of chronic pancreatitis it
is possible to expose inequality of
contours of gland, increase of density
of its parenchyma, it sizes, dilatation
of pancreatic duct and
wirsungolithiasis or presence of
calculus in parenchyma. It is
necessary to inspect gallbladder,
liver and extra-hepatic biliary tracts
for diagnosis of gallstone disease
and choledocholithiasis
Endoscopic retrograde cholangiopancreatography
Endoscopic retrograde cholangiopancreatography
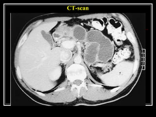
CT-scan
showing multiple, calcified intraductal stones in a patient with
chronic pancreatitis
CT-scan
Routine Laboratory Findings
 Secondary anemia to malnutrition can occur in chronic
pancreatitis, to the steatorrhea of chronic pancreatitis are also
uncommon.
 Leukocytosis can occur during acute exacerbations of chronic
pancreatitis.
 Serum amylase and lipase concentrations may be elevated in
chronic pancreatitis. Even during an acute attack with
seemingly significant abdominal pain, the amylase and lipase
levels may be only slightly elevated because of depletion of the
exocrine pancreatic parenchyma.
 Abnormalities of liver function, manifested by elevations in the
liver enzymes, may be a result of either liver disease or
obstruction of the common bile duct.
 Fibrotic process may result from compression by a pseudo
cyst or mass in the head of the pancreas.
TESTS FOR CHRONIC PANCREATITIS
MEASUREMENT OF PANCREATIC PRODUCTS IN BLOOD
I A Enzymes
B Pancreatic polypeptide
MEASUREMENT OF PANCREATIC EXOCRINE SECRETION
II A Direct measurements
1 Enzymes
2 Bicarbonate
B Indirect measurement
1 Bentiromide test
2 Schilling test
3 Fecal fat, chymotrypsin, or elastase concentration
4 [14
C]-olein absorption
IMAGING TECHNIQUES
III A Plain film radiography of abdomen
B Ultrasonography
C Computed tomography
D Endoscopic retrograde cholangiopancreatography
E Magnetic resonance cholangiopancreatography
F Endoscopic ultrasonography
G Relaxation duodenogram
CLINICAL VARIANTS
 Chronic recurrent pancreatitis. The changes of periods of acute
attacks and remission are characteristic for it.
 Chronic pain pancreatitis. Intensive pain in the superior half of
abdomen with radiation to loins and region of heart is inherent for
this form. Also belt-like pain often appears.
 Chronic painless (latent) pancreatitis. In this patients the pain is
either absent in general or arises after the intake of spicy rich food
and can be insignificantly expressed Violation of exocrine or
endocrine function of pancreas present.
 Chronic pseudo tumor-like pancreatitis. Dull pain in the projection
of head of pancreas, dyspeptic disorders and syndrome of biliary
hypertension are its clinical signs.
 Chronic cholangiogenic pancreatitis. The features of chronic
cholecystitis and cholelithiasis and features of pancreatitis are
characteristic for this form.
 Chronic indurative pancreatitis. In patients with this diseases
symptoms of exocrine and endocrine insufficiency of pancreas are
present. With sclerosis of head of pancreas with involvement by the
process of common bile duct, development of mechanical jaundice
is possible.
COMPLICATIONS OF CHRONIC PANCREATITIS
INTRAPANCREATIC COMPLICATIONS
Pseudo cysts
Duodenal or gastric obstruction
Thrombosis of splenic vein
Abscess
Perforation
Erosion into visceral artery
Inflammatory mass in head of pancreas
Bile duct stenosis
Portal vein thrombosis
Duodenal obstruction
Duct strictures and/or stones
Ductal hypertension and dilatation
Pancreatic carcinoma
EXTRAPANCREATIC COMPLICATIONS
1.Pancreatic duct leak with ascites or
fistula
2.Pseudocyst extension beyond sac into
mediastinum, retroperitoneum, lateral
pericolic spaces, pelvis
SURGICAL METHODS OF TREATMENT OF CHRONIC
PANCREATITIS
The major indications for treatment are:
 1. Intractable pain;
 2. Fear of carcinoma;
 3. The development of structural complications
Indication to operation and its volume depend on
the form of pancreatitis. Acute exacerbation of
chronic cholangiogenic pancreatitis with presence
of gallstone disease must be seen as an indication
for operation in first 24 hours since the onset of
disease
OPERATIVE TREATMENT IS DONE IN CASES OF:
 calcinosis pancreas with the expressed pain syndrome;
 violation of patency of duct of pancreas;
 presence of cyst or fistula, resistance to conservative
therapy in 2-4 months;
 mechanical jaundice due to tubular stenosis of distal part
of common bile duct;
 compression and thrombosis of portal vein;
 gallstone disease complicated by chronic pancreatitis;
 ulcer disease of stomach and duodenum complicated by
secondary pancreatitis;
 duodenostasis, complicated by chronic pancreatitis;
CHOLECYSTECTOMY
is performed in presence of calculous cholecystitis and
secondary pancreatitis, acute destructive cholecystitis or
hydropsy of gall-bladder.
CHOLEDOCHOLITHOTOMY
is performed for patients with cholangiolithiasis:
 Papillosphincterotomy:
 a) execute transduodenal with papillosphinctero-
plasty;
 b) endoscopy is recommended in the isolated
cases or connected with choledocholithiasis
stenosis of large duodenal papilla, fixed calculus
of large papilla of duodenum.
 Wirsungoplasty is plastic of main pancreatic
duct. Lately in the isolated stenosis of entrance of
main pancreatic duct. Execute transduodenal or
endoscopic methods
Papillosphincterotomy, papillosphincteroplasty
PANCREATOJEJUNOSTOMY:
a) LONGITUDINAL (it is performed in considerable dilatation of pancreatic duct)
Technique of pancreaticojejunal drainage originally described by
Puestow and Gillesby. The distal pancreas was mobilized, the tail
amputated, the duct opened longitudinally, and the pancreas was
partially invaginated into a Roux-en-Y jejunal limb
RESECTION OF PANCREAS MAY BE:
 a) distal;
 b) pancreatoduodenal (PDR)
 c) total duodenopancreatectomy (execute
in case of fibrous-degenerative pancreatitis)
b) Distal (by Duval)
with the resection of distal part of pancreas
Procedure: Pancreatoduodenectomy
Operations on the nervous system
 are used in case of pain of chronic
indurative pancreatitis, resistant to
conservative therapy:
 a) left-sided splanchnicectomy;
 b) bilateral pectoral splanchnicectomy and
sympathectomy;
 c) postganglionic neurotomy of pancreas
Anatomic landmarks for videoscopic transthoracic left
splanchnicectomy. Diagram of the left plural cavity after
clipping and division of the splanchnic nerves, showing the
sympathetic chain, the intercostal vessels, and the aorta
CYSTS OF PANCREAS
 Cyst of pancreas is a cavity, filled by fluid
(pancreatic juice, exudation, pus), which
has epithelium on internal surface.
 Pseudocyst (false cyst) is a cavity in
pancreas which appears as a result of its
destruction, limited by capsule, that does
not have epithelium on internal surface
Etiology and pathogenesis
THE CAUSES OF PSEUDOCYSTS ARE:
destructive pancreatitis, traumas of pancreas, occlusion of
Wirsung's duct by parasite, calculus, tumors, innate anomalies
of development.
TRUE CYSTS ARE:
innate cysts which are anomalic in development; retention
cysts which develop as a result of obstruction to outflow of
pancreatic juice, cystadenoma and cystadenocarcinoma
The mechanism of development of pseudocysts consists
necrosis of gland, obliterated normal outflow of its secretions,
destruction of walls of pancreatic ducts, inflammation reaction
of surrounding organs which form the walls of pseudocyst
PATHOMORPHOLOGY
 Morphologically the cysts of pancreas are
divided into: pseudocysts, retention cyst,
single and multiple
 Pseudocysts are fresh and old. Epithelium
in pseudocysts is absent.
 Retention cysts is seen in connection with
an obturated duct
 Innate cysts are multiple and shallow.
 Rarely there are echinococcus cysts
localized in the area of head of pancreas
CLASSIFICATION (by A.N. Bakulev and V.V. Vinogradov)
 I. Innate cysts of pancreas:
 II. Inflammatory cysts:
 Pseudocysts
 Retention cysts
 III. Traumatic cysts:
 IV. Parasitic cysts:
 V. Neoplasty cysts:
 Pathomorphologically cysts are divided into:
 The true cyst
 Pseudocysts
CLINICAL MANAGEMENT
 PAIN (dull, permanent, cramp-like and belt-like). It is localized
in right hypochondrium, epigastric area, left hypochondrium
Pain radiates into the back, left shoulder-blade, shoulder and
spine.
 DYSPEPSIA characterised by nausea and vomiting.
 FUNCTIONAL INSUFFICIENCY OF PANCREAS by disorders of
exocrine and endocrine insufficiency, alternating diarrhea with
constipation, steatorrhea and creatorrhea, secondary diabetes
 COMPRESSION SYNDROME. As a result of compression of
neighbouring organs are: partial obstruction of common bile
duct (mechanical jaundice), veins (portal hypertension),
splenic vein (splenomegaly)
 During the CLINICAL EXAMINATION patients with large cysts
there is marked asymmetry of abdomen in the epigastria and
mesogastric areas.
 SONOGRAPHY examination shows echofree formation
SONOGRAPHY
A contrast-injected CT- scan reveals active bleeding
(B) into a pseudocyst (arrows)
 Contrast roentgenologic EXAMINATION OF STOMACH
and duodenum in the cyst of head of pancreas reveals
"horseshoe" duodenum
 CHOLECYSTOCHOLANGIOGRAPHY exposes
calculous cholecystitis and cholelithiasis
 RETROGRADE PANCREATOCHOLANGIOGRAPHY
exposes the deformed, extended pancreatic duct, there
can be cavity of cyst by the contrast matter
 LABORATORY EXAMINATIONS exposes
hyperamylasemia, steatorrhea and creatorrhea,
sometimes - hyperglycemia and glycosuria
COMPLICATIONS
 1. Perforation into free abdominal cavity and
peritonitis
 2. Perforation into stomach, duodenum, small or large
intestine is accompanied by decrease of size of cyst
 3. Suppuration of cystic fluid
 4. Erosive bleeding appears suddenly and is
accompanied by the symptoms of internal bleeding
(general weakness, dizziness, melena)
 5. Mechanical jaundice arises as a result of
compression of cyst on the terminal part of
choledochus
 6. Portal hypertension as a result of compression of
portal vein
 7. Reactive exudation pleurisy
 8. Malignization
DIFFERENTIAL DIAGNOSIS
 Cancer of pancreas.
 Aneurysm of abdominal
aorta
 The cyst of mesentery
 The cyst of liver
DIAGNOSIS PROGRAMME
 Anamnesis.
 Biochemical blood test
(amylase, sugar, bilirubin).
 Analysis of urine for
diastase.
 Coprograma.
 Sonography.
 Contrasting skiagraphy of
stomach and duodenum
 Retrograde
pancreatocholangiography.
 Computer tomography.
TACTICS AND CHOICE OF TREATMENT METHOD
Conservative treatment.
Treatment of acute or chronic pancreatitis
is conducted in accordance with principles.
Surgical treatment
Is the method of choice of treatment of
cysts of pancreas. The choice of treatment
method depends on the stage of
development of pancreatic cysts.
SURGICAL TREATMENT
MORE FREQUENTLY SURGEON MAKES CYSTOJEJUNOSTOMY
ON THE ELIMINATED LOOP OF SMALL INTESTINE BY ROUX
DISTAL PANCREATECTOMY, MARSUPIALIZATION
 MARSUPIALIZATION -
opening and suturing of
cyst capsule to the
parietal peritoneum and
skin is used infrequently
(because suppuration of
cyst is can lead to
sepsis peritonotis).
 External and internal
draining of cyst and
radical operations are
applied:
a) enucleation of cysts;
b) distal resection of
pancreas with cyst
CANCER OF PANCREAS
The cancer of pancreas is a malignant
tumor of epithelium tissue. Its incidence
among all malignant tumors is 10 %.
Etiology and pathogenesis
Shortage of vitamins, especially В and C,
harmful habits (alcohol, smoking), presence
of carcinogenic matters in food (nitrite,
nitrates) is one of etiological factors. The
cancer of pancreas can arise due to
prolonged chronic pancreatitis.
Molecular biology of pancreatic cancer
PATHOMORPHOLOGY
 The cancer is usually localized in the head
(80%). Rarely - in the area of body or tail.
 A tumor has resembles epithelium of
pancreatic ducts or epithelium of acinous
tissue, sometimes - the Langerhans' islet.
 Adenocarcinoma (60%) is exposed
microscopically, carcinoid (32-35%),
epidermoid cancer or skir is seldom met.
Classification of cancer of pancreas after the TNM
stages
 T1 - tumor size of diameter 2 cm, is confined interior parts of pan-creas.
 T2 - tumor, spreads the gland and spreads to surrounding cellular tissue
and duodenum.
 T3 - tumor, that spreads to neighbouring organs (stomach, spleen,
colon).
 N0 - absent signs of metastatic damage of regional lymph nodes.
 N1 - metastases in regional lymph nodes.
 M0 - absent signs of remote metastases.
 M1 - remote metastases present.
GROUP BY STAGES
 Stage I - Tl NO MO.
 Stage II - T2 NO MO.
 Stage III- T3 N0-1 MO.
 Stage IV is some T, some N, Ml.
 The cancer of pancreas metastasises rapidly by lymphogenic route
parapancreatic lymph nodes, and afterwards - into the liver. The
hematogenic metastases are into the lungs, bones, kidneys and brain
Also possible are remote metastases of Virhov's, Shnitsler's,
Krukenberg's.
Clinical management
 The symptoms of cancer of pancreas depend on
localization of tumor and the relations of pathological
process with surrounding organs.
 PAIN is a permanent symptom which affects 90 % of
patients. Pain localization in epigastria and radiation to the
back.
 The LOSS OF WEIGHT makes progress and in a short
duration of time becomes considerable enough.
 JAUNDICE is characteristic of the cancer of head of
pancreas, as a result of obliteration of common bile duct.
Bilirubinemia grows gradually, due to direct bilirubin.
 On palpation of abdomen COURVOISIER'S sign is positive
(large gallbladder).
 Obliteration of duct of pancreas causes DYSPEPTIC
DISORDERS: belching, nausea, vomiting, diarrhea.
 Distributions of tumor on duodenum and narrowing of its
lumen show up by the signs of STENOSIS (belching and
vomiting)
 By sonography examination and computer
tomography one can expose sign of mechanical
jaundice by localization the tumor in the head.
 Scanning is an informing method of examination
with the use of 75 Se-methionine.
 During laparoscopy is visualized dissemination
into peritoneum and its metastatic focus in liver.
 The changes of main duct of pancreas as
segmental stenosis or rupture are done on
retrograde endoscopic pancreatography
 Skiagraphy of gastro-intestinal tract can expose
the cancer of head of pancreas
Computer tomography, sonography
ENDOSCOPIC HOLANGIOPANCREATOGRAPHY
Radionuclide octreotide scan demonstrating pancreatic
endocrine tumor in the body of the pancreas (arrow).
TACTICS AND CHOICE OF TREATMENT METHOD
 Treatment of cancer of pancreas is
mainly surgical. The choice of method
and volume of operation depends on
localization of tumor, stage of process,
age of patient and his general condition.
 Radical surgical treatment performed
only in 15-20 % of patients.
Pancreatoduodenal resection is the
method of choice of operation in
patients with the cancer of head of
pancreas.
Pancreaticoduodenectomy (Whipple Resection)
PALLIATIVE OPERATIONS
 Surgical palliation in patients with cancer of
the head of the pancreas is directed toward
relief of obstructive jaundice, gastric
obstruction, and pain.
 Patients with cancer of body and tail are less
likely to have jaundice or duodenal
obstruction, but pain is often significant.
 Obstructive jaundice develops in about 70
percent of patients with pancreatic cancer.
Cholecystojejunostomy and
choledochojejunostomy are both safe and
are the procedures of choice to relieve the
biliary obstruction
Hepaticojejunostomy

Lecture chronic pancreatitis

  • 1.
    CHRONIC PANCREATITIS  Chronicpancreatitis is a progressive inflammation of pancreas related to the process of autolysis, that presents by pain, by violation of exocrine and endocrine functions of gland with the result of fibrosis of organ and high risk of malignization
  • 2.
    ETIOLOGY AND PATHOGENESIS Gallstone disease is the most frequent cause of chronic pancreatitis (70%).  Pathogenesis of cholangiogenic pancreatitis is hypertension in pancreatic duct and reflux of infected bile or secretion of duodenum.  Spasms and stenosis of the Vater's papilla are instrumental in causing reflux. As result occur activates the enzymes of pancreas and progress inflammation. Development of pancreatitis potentiates infection.
  • 3.
    CAUSES  The CAUSESof such violations are - due to the attack of acute pancreatitis in past,  alcoholism,  traumas of gland,  pathology of its vessels,  gastroduodenal ulcers,  gastritis or duodenostasis,  hyperparathyroidism,  hyperlipidemia,  virus infections,  idiopathic pancreatitis.
  • 4.
    CLASSIFICATION AND ETIOLOGY CHRONIC CALCIFIC PANCREATITIS CHRONIC OBSTRUCTIVE PANCREATITIS CHRONIC INFLAMMATORY PANCREATITIS CHRONIC AUTOIMMUNE PANCREATITIS ASYMPTOMATIC PANCREATIC FIBROSIS ALCOHOLPANCREATIC TUMORS UNKNOWN Autoimmune disorders (primary sclerosing cholangitis) CHRONIC ALCOHOLIC HEREDITARY DUCTAL STRICTURE SJOGREN'S SYNDROME Endemic in asymptomatic residents in tropical climates TROPICAL GALLSTONE OR TRAUMA- INDUCED Primary biliary cirrhosis HYPERLIPIDE MIA PANCREAS DIVISUM HYPERCALC EMIA DRUG-INDUCED IDIOPATHIC
  • 5.
    CLASSIFICATION (by O.O.Shalitnov)  Chronic fibrous pancreatitis without violation of patency of main pancreatic duct.  Chronic fibrous pancreatitis with violation of patency of main pancreatic duct and hypertension of pancreatic juice.  Chronic fibrous-degenerative pancreatitis. TAKING INTO ACCOUNT CLINICAL FEATURES  Chronic recurrent pancreatitis.  Chronic pain pancreatitis  Chronic painless (latent) pancreatitis.  Chronic pseudo tumor-like pancreatitis.  Chronic cholecystocholangiopancreatitis (cholangiogenic pancreatitis).  Chronic indurative pancreatitis.
  • 6.
    PATHOMORPHOLOGY The morphological changesin pancreas in chronic pancreatitis are mainly due to the development of degenerative process and atrophy of parenchyma
  • 7.
    CLINICAL MANAGEMENT  Asthe progress of the disease has cyclic character with the periodic changes of remission and acute exacerbations.  Violation of exocrine and endocrine functions of pancreas, determine polymorphism of symptoms that are characteristic of the period of exacerbations pancreatitis
  • 8.
    PAIN  Patients withchronic pancreatitis complaining on dull pain that is in the epigastric and radiates to the back 
  • 9.
    PAIN The pathophysiology ofthe pain associated with increase intraductal pressures, neural inflammation, formation of pseudocysts, bile duct strictures, and duodenal obstruction.
  • 10.
    MALABSORPTION With sufficient lossof functional exocrine pancreas, diarrhea, steatorrhea, and azotorrhea can develop. Because of the 10-fold reserve of exocrine pancreaticenzymes, malabsorption occurs only after 90% of the functioning exocrine cell mass is lost. Pancreatic insufficiency resulting from alcohol-induced chronic pancreatitis usually takes 10 to 20 years to develop. The secretion of lipase is usually diminished earlier than the secretion of the proteolytic enzymes, and as a result, steatorrhea precedes protein-aqueous diarrhea.
  • 11.
    CHRONIC UPPER ABDOMINALPAIN AND WEIGHT LOSS should suggest a diagnosis of chronic pancreatitis. Weight loss occurs with malabsorption, and of the fat-soluble vitamins develop.  Postprandial pancreatic bicarbonate secretion is diminished. The duodenal pH may decrease (pH<4) and an acidic milieu with precipitation of bile salts and inactivation of pancreatic enzymes results in a decrease intestinal digestion.
  • 12.
    ENDOCRINE INSUFFICIENCY Glucose intolerancefrequently develops early  Endocrine insufficiency develops in up to 60% of patients, but in general not until after the diagnosis of chronic pancreatitis has been made.
  • 13.
    STOOL EXAMINATION Steatorrheaand creatorrhea are characteristic for Chronic Pancreatitis (plenty of muscle fibres). Examination of endocrine function includes: 1) determination of sugar in blood and urine (hyperglycemia and glycosuria); 2) radioimmunoassay of hormones (insulin, C-peptide and glucagon). SKIAGRAPHY survey of organs of abdominal cavity in two projections exposes the existent calculus in the ducts and calcification of parenchyma of pancreas. Relaxation duodenography. The development of "horseshoe" of duodenum and change of its mucosa can be seen Cholecystocholangiography the purpose of diagnosis of gallstone disease and damaging of biliary tract is conducted
  • 14.
    Ultrasonic examination Sonography isone of the basic methods of diagnosis. With the help of symptoms of chronic pancreatitis it is possible to expose inequality of contours of gland, increase of density of its parenchyma, it sizes, dilatation of pancreatic duct and wirsungolithiasis or presence of calculus in parenchyma. It is necessary to inspect gallbladder, liver and extra-hepatic biliary tracts for diagnosis of gallstone disease and choledocholithiasis
  • 15.
  • 16.
  • 17.
    CT-scan showing multiple, calcifiedintraductal stones in a patient with chronic pancreatitis
  • 18.
  • 19.
    Routine Laboratory Findings Secondary anemia to malnutrition can occur in chronic pancreatitis, to the steatorrhea of chronic pancreatitis are also uncommon.  Leukocytosis can occur during acute exacerbations of chronic pancreatitis.  Serum amylase and lipase concentrations may be elevated in chronic pancreatitis. Even during an acute attack with seemingly significant abdominal pain, the amylase and lipase levels may be only slightly elevated because of depletion of the exocrine pancreatic parenchyma.  Abnormalities of liver function, manifested by elevations in the liver enzymes, may be a result of either liver disease or obstruction of the common bile duct.  Fibrotic process may result from compression by a pseudo cyst or mass in the head of the pancreas.
  • 20.
    TESTS FOR CHRONICPANCREATITIS MEASUREMENT OF PANCREATIC PRODUCTS IN BLOOD I A Enzymes B Pancreatic polypeptide MEASUREMENT OF PANCREATIC EXOCRINE SECRETION II A Direct measurements 1 Enzymes 2 Bicarbonate B Indirect measurement 1 Bentiromide test 2 Schilling test 3 Fecal fat, chymotrypsin, or elastase concentration 4 [14 C]-olein absorption IMAGING TECHNIQUES III A Plain film radiography of abdomen B Ultrasonography C Computed tomography D Endoscopic retrograde cholangiopancreatography E Magnetic resonance cholangiopancreatography F Endoscopic ultrasonography G Relaxation duodenogram
  • 21.
    CLINICAL VARIANTS  Chronicrecurrent pancreatitis. The changes of periods of acute attacks and remission are characteristic for it.  Chronic pain pancreatitis. Intensive pain in the superior half of abdomen with radiation to loins and region of heart is inherent for this form. Also belt-like pain often appears.  Chronic painless (latent) pancreatitis. In this patients the pain is either absent in general or arises after the intake of spicy rich food and can be insignificantly expressed Violation of exocrine or endocrine function of pancreas present.  Chronic pseudo tumor-like pancreatitis. Dull pain in the projection of head of pancreas, dyspeptic disorders and syndrome of biliary hypertension are its clinical signs.  Chronic cholangiogenic pancreatitis. The features of chronic cholecystitis and cholelithiasis and features of pancreatitis are characteristic for this form.  Chronic indurative pancreatitis. In patients with this diseases symptoms of exocrine and endocrine insufficiency of pancreas are present. With sclerosis of head of pancreas with involvement by the process of common bile duct, development of mechanical jaundice is possible.
  • 22.
    COMPLICATIONS OF CHRONICPANCREATITIS INTRAPANCREATIC COMPLICATIONS Pseudo cysts Duodenal or gastric obstruction Thrombosis of splenic vein Abscess Perforation Erosion into visceral artery Inflammatory mass in head of pancreas Bile duct stenosis Portal vein thrombosis Duodenal obstruction Duct strictures and/or stones Ductal hypertension and dilatation Pancreatic carcinoma
  • 23.
    EXTRAPANCREATIC COMPLICATIONS 1.Pancreatic ductleak with ascites or fistula 2.Pseudocyst extension beyond sac into mediastinum, retroperitoneum, lateral pericolic spaces, pelvis
  • 24.
    SURGICAL METHODS OFTREATMENT OF CHRONIC PANCREATITIS The major indications for treatment are:  1. Intractable pain;  2. Fear of carcinoma;  3. The development of structural complications Indication to operation and its volume depend on the form of pancreatitis. Acute exacerbation of chronic cholangiogenic pancreatitis with presence of gallstone disease must be seen as an indication for operation in first 24 hours since the onset of disease
  • 25.
    OPERATIVE TREATMENT ISDONE IN CASES OF:  calcinosis pancreas with the expressed pain syndrome;  violation of patency of duct of pancreas;  presence of cyst or fistula, resistance to conservative therapy in 2-4 months;  mechanical jaundice due to tubular stenosis of distal part of common bile duct;  compression and thrombosis of portal vein;  gallstone disease complicated by chronic pancreatitis;  ulcer disease of stomach and duodenum complicated by secondary pancreatitis;  duodenostasis, complicated by chronic pancreatitis;
  • 26.
    CHOLECYSTECTOMY is performed inpresence of calculous cholecystitis and secondary pancreatitis, acute destructive cholecystitis or hydropsy of gall-bladder.
  • 27.
    CHOLEDOCHOLITHOTOMY is performed forpatients with cholangiolithiasis:
  • 28.
     Papillosphincterotomy:  a)execute transduodenal with papillosphinctero- plasty;  b) endoscopy is recommended in the isolated cases or connected with choledocholithiasis stenosis of large duodenal papilla, fixed calculus of large papilla of duodenum.  Wirsungoplasty is plastic of main pancreatic duct. Lately in the isolated stenosis of entrance of main pancreatic duct. Execute transduodenal or endoscopic methods
  • 29.
  • 30.
    PANCREATOJEJUNOSTOMY: a) LONGITUDINAL (itis performed in considerable dilatation of pancreatic duct)
  • 31.
    Technique of pancreaticojejunaldrainage originally described by Puestow and Gillesby. The distal pancreas was mobilized, the tail amputated, the duct opened longitudinally, and the pancreas was partially invaginated into a Roux-en-Y jejunal limb
  • 32.
    RESECTION OF PANCREASMAY BE:  a) distal;  b) pancreatoduodenal (PDR)  c) total duodenopancreatectomy (execute in case of fibrous-degenerative pancreatitis)
  • 33.
    b) Distal (byDuval) with the resection of distal part of pancreas
  • 34.
  • 35.
    Operations on thenervous system  are used in case of pain of chronic indurative pancreatitis, resistant to conservative therapy:  a) left-sided splanchnicectomy;  b) bilateral pectoral splanchnicectomy and sympathectomy;  c) postganglionic neurotomy of pancreas
  • 36.
    Anatomic landmarks forvideoscopic transthoracic left splanchnicectomy. Diagram of the left plural cavity after clipping and division of the splanchnic nerves, showing the sympathetic chain, the intercostal vessels, and the aorta
  • 37.
    CYSTS OF PANCREAS Cyst of pancreas is a cavity, filled by fluid (pancreatic juice, exudation, pus), which has epithelium on internal surface.  Pseudocyst (false cyst) is a cavity in pancreas which appears as a result of its destruction, limited by capsule, that does not have epithelium on internal surface
  • 38.
    Etiology and pathogenesis THECAUSES OF PSEUDOCYSTS ARE: destructive pancreatitis, traumas of pancreas, occlusion of Wirsung's duct by parasite, calculus, tumors, innate anomalies of development. TRUE CYSTS ARE: innate cysts which are anomalic in development; retention cysts which develop as a result of obstruction to outflow of pancreatic juice, cystadenoma and cystadenocarcinoma The mechanism of development of pseudocysts consists necrosis of gland, obliterated normal outflow of its secretions, destruction of walls of pancreatic ducts, inflammation reaction of surrounding organs which form the walls of pseudocyst
  • 39.
    PATHOMORPHOLOGY  Morphologically thecysts of pancreas are divided into: pseudocysts, retention cyst, single and multiple  Pseudocysts are fresh and old. Epithelium in pseudocysts is absent.  Retention cysts is seen in connection with an obturated duct  Innate cysts are multiple and shallow.  Rarely there are echinococcus cysts localized in the area of head of pancreas
  • 40.
    CLASSIFICATION (by A.N.Bakulev and V.V. Vinogradov)  I. Innate cysts of pancreas:  II. Inflammatory cysts:  Pseudocysts  Retention cysts  III. Traumatic cysts:  IV. Parasitic cysts:  V. Neoplasty cysts:  Pathomorphologically cysts are divided into:  The true cyst  Pseudocysts
  • 41.
    CLINICAL MANAGEMENT  PAIN(dull, permanent, cramp-like and belt-like). It is localized in right hypochondrium, epigastric area, left hypochondrium Pain radiates into the back, left shoulder-blade, shoulder and spine.  DYSPEPSIA characterised by nausea and vomiting.  FUNCTIONAL INSUFFICIENCY OF PANCREAS by disorders of exocrine and endocrine insufficiency, alternating diarrhea with constipation, steatorrhea and creatorrhea, secondary diabetes  COMPRESSION SYNDROME. As a result of compression of neighbouring organs are: partial obstruction of common bile duct (mechanical jaundice), veins (portal hypertension), splenic vein (splenomegaly)  During the CLINICAL EXAMINATION patients with large cysts there is marked asymmetry of abdomen in the epigastria and mesogastric areas.  SONOGRAPHY examination shows echofree formation
  • 42.
  • 43.
    A contrast-injected CT-scan reveals active bleeding (B) into a pseudocyst (arrows)
  • 44.
     Contrast roentgenologicEXAMINATION OF STOMACH and duodenum in the cyst of head of pancreas reveals "horseshoe" duodenum  CHOLECYSTOCHOLANGIOGRAPHY exposes calculous cholecystitis and cholelithiasis  RETROGRADE PANCREATOCHOLANGIOGRAPHY exposes the deformed, extended pancreatic duct, there can be cavity of cyst by the contrast matter  LABORATORY EXAMINATIONS exposes hyperamylasemia, steatorrhea and creatorrhea, sometimes - hyperglycemia and glycosuria
  • 45.
    COMPLICATIONS  1. Perforationinto free abdominal cavity and peritonitis  2. Perforation into stomach, duodenum, small or large intestine is accompanied by decrease of size of cyst  3. Suppuration of cystic fluid  4. Erosive bleeding appears suddenly and is accompanied by the symptoms of internal bleeding (general weakness, dizziness, melena)  5. Mechanical jaundice arises as a result of compression of cyst on the terminal part of choledochus  6. Portal hypertension as a result of compression of portal vein  7. Reactive exudation pleurisy  8. Malignization
  • 46.
    DIFFERENTIAL DIAGNOSIS  Cancerof pancreas.  Aneurysm of abdominal aorta  The cyst of mesentery  The cyst of liver DIAGNOSIS PROGRAMME  Anamnesis.  Biochemical blood test (amylase, sugar, bilirubin).  Analysis of urine for diastase.  Coprograma.  Sonography.  Contrasting skiagraphy of stomach and duodenum  Retrograde pancreatocholangiography.  Computer tomography.
  • 47.
    TACTICS AND CHOICEOF TREATMENT METHOD Conservative treatment. Treatment of acute or chronic pancreatitis is conducted in accordance with principles. Surgical treatment Is the method of choice of treatment of cysts of pancreas. The choice of treatment method depends on the stage of development of pancreatic cysts.
  • 48.
  • 49.
    MORE FREQUENTLY SURGEONMAKES CYSTOJEJUNOSTOMY ON THE ELIMINATED LOOP OF SMALL INTESTINE BY ROUX
  • 50.
    DISTAL PANCREATECTOMY, MARSUPIALIZATION MARSUPIALIZATION - opening and suturing of cyst capsule to the parietal peritoneum and skin is used infrequently (because suppuration of cyst is can lead to sepsis peritonotis).  External and internal draining of cyst and radical operations are applied: a) enucleation of cysts; b) distal resection of pancreas with cyst
  • 51.
    CANCER OF PANCREAS Thecancer of pancreas is a malignant tumor of epithelium tissue. Its incidence among all malignant tumors is 10 %. Etiology and pathogenesis Shortage of vitamins, especially В and C, harmful habits (alcohol, smoking), presence of carcinogenic matters in food (nitrite, nitrates) is one of etiological factors. The cancer of pancreas can arise due to prolonged chronic pancreatitis.
  • 52.
    Molecular biology ofpancreatic cancer
  • 53.
    PATHOMORPHOLOGY  The canceris usually localized in the head (80%). Rarely - in the area of body or tail.  A tumor has resembles epithelium of pancreatic ducts or epithelium of acinous tissue, sometimes - the Langerhans' islet.  Adenocarcinoma (60%) is exposed microscopically, carcinoid (32-35%), epidermoid cancer or skir is seldom met.
  • 54.
    Classification of cancerof pancreas after the TNM stages  T1 - tumor size of diameter 2 cm, is confined interior parts of pan-creas.  T2 - tumor, spreads the gland and spreads to surrounding cellular tissue and duodenum.  T3 - tumor, that spreads to neighbouring organs (stomach, spleen, colon).  N0 - absent signs of metastatic damage of regional lymph nodes.  N1 - metastases in regional lymph nodes.  M0 - absent signs of remote metastases.  M1 - remote metastases present. GROUP BY STAGES  Stage I - Tl NO MO.  Stage II - T2 NO MO.  Stage III- T3 N0-1 MO.  Stage IV is some T, some N, Ml.  The cancer of pancreas metastasises rapidly by lymphogenic route parapancreatic lymph nodes, and afterwards - into the liver. The hematogenic metastases are into the lungs, bones, kidneys and brain Also possible are remote metastases of Virhov's, Shnitsler's, Krukenberg's.
  • 55.
    Clinical management  Thesymptoms of cancer of pancreas depend on localization of tumor and the relations of pathological process with surrounding organs.  PAIN is a permanent symptom which affects 90 % of patients. Pain localization in epigastria and radiation to the back.  The LOSS OF WEIGHT makes progress and in a short duration of time becomes considerable enough.  JAUNDICE is characteristic of the cancer of head of pancreas, as a result of obliteration of common bile duct. Bilirubinemia grows gradually, due to direct bilirubin.  On palpation of abdomen COURVOISIER'S sign is positive (large gallbladder).  Obliteration of duct of pancreas causes DYSPEPTIC DISORDERS: belching, nausea, vomiting, diarrhea.  Distributions of tumor on duodenum and narrowing of its lumen show up by the signs of STENOSIS (belching and vomiting)
  • 56.
     By sonographyexamination and computer tomography one can expose sign of mechanical jaundice by localization the tumor in the head.  Scanning is an informing method of examination with the use of 75 Se-methionine.  During laparoscopy is visualized dissemination into peritoneum and its metastatic focus in liver.  The changes of main duct of pancreas as segmental stenosis or rupture are done on retrograde endoscopic pancreatography  Skiagraphy of gastro-intestinal tract can expose the cancer of head of pancreas
  • 57.
  • 58.
  • 59.
    Radionuclide octreotide scandemonstrating pancreatic endocrine tumor in the body of the pancreas (arrow).
  • 60.
    TACTICS AND CHOICEOF TREATMENT METHOD  Treatment of cancer of pancreas is mainly surgical. The choice of method and volume of operation depends on localization of tumor, stage of process, age of patient and his general condition.  Radical surgical treatment performed only in 15-20 % of patients. Pancreatoduodenal resection is the method of choice of operation in patients with the cancer of head of pancreas.
  • 62.
  • 63.
    PALLIATIVE OPERATIONS  Surgicalpalliation in patients with cancer of the head of the pancreas is directed toward relief of obstructive jaundice, gastric obstruction, and pain.  Patients with cancer of body and tail are less likely to have jaundice or duodenal obstruction, but pain is often significant.  Obstructive jaundice develops in about 70 percent of patients with pancreatic cancer. Cholecystojejunostomy and choledochojejunostomy are both safe and are the procedures of choice to relieve the biliary obstruction
  • 64.