Colonic Polyposis
Syndromes
Definition
GI polyposis refers to the presence of numerous
polypoid lesions throughout the GI tract.
Classified on the basis of the histological type of
polyp and the clinical presentation
Most are associated with increased risk of colon
cancer
Classification of GI Polyposis
Syndromes
Familial Adenomatous
Polyposis
Genetics-
Most common
Autosomal dominent
1 in 5000 to 7500
1 mutated APC allele is inherited.
Ch 5q21-22 region,encodes 2844 amino acids
APC protein is a multifaceted
regulator of colonic epithelial cell
homeostasis
cell proliferation,
migration,
differentiation,
apoptosis, and
chromosomal segregation
Schematic diagram of the APC
gene
Adenomatous Polyposis
Syndromes
Clinical features
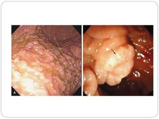
Colonic Findings
100 to thousands of adenomatous polyps
Less likely before 12 yrs
Avg age 25yrs ,symptomatic by 33yrs
The average age for the diagnosis of adenomas was 36
years, for cancer 39 years, and for death from cancer,
42 years; 90% of FAP cases have been diagnosed by
the time the patient is 50.
All varieties of adenomas
Symptomatic patients >asymptomatic
Most polyps are <1cm
CRC inevitable 10-15yrs
25% have CRC at Colectomy
Upper GI lesions
Gastric polyps occur in 30% to 100% of
patients, and curiously, most polyps in the stomach
are non-neoplastic fundic gland polyps. These
polyps are typically 1- to 5-mm sessile growths
characterized microscopically by hyperplasia of
fundic glands and microcysts.
Dysplasia in FAP-associated fundic gland
polyps has been directly associated with
larger polyp size, increased severity of
duodenal polyposis, and antral gastritis, and
it is inversely associated with use of acid-
suppressive therapy and the presence of
Helicobacter pylori.
A newly described autosomal
dominant syndrome termed
gastric adenocarcinoma with proximal
polyposis of the stomach(GAPPS) may mimic the
FAP phenotype in the stomach in that there are
numerous fundic gland polyps in the proximal stomach
that often harbor dysplasia.
Unlike FAP, patients with GAPPS are at very
high risk of gastric adenocarcinoma and
typically have no duodenal polyps and few if
any colonic adenomas.
Duodenal adenomas occur in 60% to 90% of FAP
patients,
incidence increases with age.
Propensity for periampullary region
As many as 50% to 85% of FAP patients manifest
adenomatous change of the ampulla of Vater, As a
consequence, a 4% to 12% lifetime incidence of
duodenal cancer (usually periampullary) has
Collectively,
These adenocarcinomas are the major cause of cancer
death after prophylactic colectomy in FAP patients.
Jejunal adenomas have been
detected in 40%
And ileal adenomas in 20% of FAP
patients.
Fortunately, malignant
transformation at these sites is rare
Extraintestinal Features.
Osteomas
Bone abnormalities include osteomas of the mandible, skull, and
long bones; exostoses; and various dental abnormalities including
mandibular cysts, impacted teeth, and supernumerary teeth.
Congenital hypertrophy of the retinal pigmented
epithelium(CHRPE)
Pigmented lesions in fundus in 90%,63% have >4 lesions
Desmoid Tumours (diffuse mesenteric fibromatosis )
4% to 32% of patients and rank second, after metastatic
carcinoma, among lethal complications of the disease.
Increased incidence after prophylactic sx F>M
Desmoids cause GI obstruction; constrict arteries, veins, and
ureters; and are associated with a 10% to 50% mortality rate.
Sulindac,Tamoxifen
Others include,fibromas,lipomas,epidermoid cysts
Neoplasms of the biliary tree, liver, and adrenal
glands also occur in these syndromes, and
papillary carcinoma of the thyroid occurs in 1%
of patients with FAP, predominantly in female
patients.
Hepatoblastoma is rare and can affect very
young children inFAP families.
Genetic Testing and Counseling
20% are negative
If it is successful in 1 family member, this test is
nearly 100% accurate for identifying other gene
carriers in that family. New technology has made
APC gene sequencing more feasible and affordable.
Absence of a mutation in the affected person
suggests that genetic testing of at-risk relatives is not
likely to yield clinically useful information and that the
family should be screened by clinical tests.
Colonoscopy
The presence of more than 100 polyps and
the confirmation that these are adenomas
establish the phenotypic diagnosis of FAP.
Genetic testing of family members
Treatment
Surgery-
Total proctocolectomy either with a conventional ileostomy or
as a restorative proctocolectomy with ileal pouch-anal
anastomosis
Subtotal colectomy with ileorectal anastomosis (IRA) can
be considered, bearing in mind that the rectal segment will
remain at risk for carcinoma, and the patient will have to
comply with periodic surveillance examinations.
Medical management
ascorbic acid (4 g/day), alpha-tocopherol (vitamin E, 400
mg/day), and supplemental fiber (22.5 g/day)
Sulindac
Celocoxib 400mg bd
Aspirin 600mg/d
Screening
Colonic polyposis syndromes
Colonic polyposis syndromes

Colonic polyposis syndromes

  • 1.
  • 2.
    Definition GI polyposis refersto the presence of numerous polypoid lesions throughout the GI tract. Classified on the basis of the histological type of polyp and the clinical presentation Most are associated with increased risk of colon cancer
  • 3.
    Classification of GIPolyposis Syndromes
  • 5.
    Familial Adenomatous Polyposis Genetics- Most common Autosomaldominent 1 in 5000 to 7500 1 mutated APC allele is inherited. Ch 5q21-22 region,encodes 2844 amino acids
  • 6.
    APC protein isa multifaceted regulator of colonic epithelial cell homeostasis cell proliferation, migration, differentiation, apoptosis, and chromosomal segregation
  • 7.
  • 8.
  • 9.
    Clinical features Colonic Findings 100to thousands of adenomatous polyps Less likely before 12 yrs Avg age 25yrs ,symptomatic by 33yrs The average age for the diagnosis of adenomas was 36 years, for cancer 39 years, and for death from cancer, 42 years; 90% of FAP cases have been diagnosed by the time the patient is 50. All varieties of adenomas
  • 12.
    Symptomatic patients >asymptomatic Mostpolyps are <1cm CRC inevitable 10-15yrs 25% have CRC at Colectomy
  • 13.
    Upper GI lesions Gastricpolyps occur in 30% to 100% of patients, and curiously, most polyps in the stomach are non-neoplastic fundic gland polyps. These polyps are typically 1- to 5-mm sessile growths characterized microscopically by hyperplasia of fundic glands and microcysts. Dysplasia in FAP-associated fundic gland polyps has been directly associated with larger polyp size, increased severity of duodenal polyposis, and antral gastritis, and it is inversely associated with use of acid- suppressive therapy and the presence of Helicobacter pylori.
  • 14.
    A newly describedautosomal dominant syndrome termed gastric adenocarcinoma with proximal polyposis of the stomach(GAPPS) may mimic the FAP phenotype in the stomach in that there are numerous fundic gland polyps in the proximal stomach that often harbor dysplasia. Unlike FAP, patients with GAPPS are at very high risk of gastric adenocarcinoma and typically have no duodenal polyps and few if any colonic adenomas.
  • 15.
    Duodenal adenomas occurin 60% to 90% of FAP patients, incidence increases with age. Propensity for periampullary region As many as 50% to 85% of FAP patients manifest adenomatous change of the ampulla of Vater, As a consequence, a 4% to 12% lifetime incidence of duodenal cancer (usually periampullary) has Collectively, These adenocarcinomas are the major cause of cancer death after prophylactic colectomy in FAP patients.
  • 16.
    Jejunal adenomas havebeen detected in 40% And ileal adenomas in 20% of FAP patients. Fortunately, malignant transformation at these sites is rare
  • 17.
    Extraintestinal Features. Osteomas Bone abnormalitiesinclude osteomas of the mandible, skull, and long bones; exostoses; and various dental abnormalities including mandibular cysts, impacted teeth, and supernumerary teeth. Congenital hypertrophy of the retinal pigmented epithelium(CHRPE) Pigmented lesions in fundus in 90%,63% have >4 lesions
  • 18.
    Desmoid Tumours (diffusemesenteric fibromatosis ) 4% to 32% of patients and rank second, after metastatic carcinoma, among lethal complications of the disease. Increased incidence after prophylactic sx F>M Desmoids cause GI obstruction; constrict arteries, veins, and ureters; and are associated with a 10% to 50% mortality rate. Sulindac,Tamoxifen Others include,fibromas,lipomas,epidermoid cysts
  • 19.
    Neoplasms of thebiliary tree, liver, and adrenal glands also occur in these syndromes, and papillary carcinoma of the thyroid occurs in 1% of patients with FAP, predominantly in female patients. Hepatoblastoma is rare and can affect very young children inFAP families.
  • 20.
    Genetic Testing andCounseling 20% are negative If it is successful in 1 family member, this test is nearly 100% accurate for identifying other gene carriers in that family. New technology has made APC gene sequencing more feasible and affordable. Absence of a mutation in the affected person suggests that genetic testing of at-risk relatives is not likely to yield clinically useful information and that the family should be screened by clinical tests.
  • 21.
    Colonoscopy The presence ofmore than 100 polyps and the confirmation that these are adenomas establish the phenotypic diagnosis of FAP. Genetic testing of family members
  • 22.
    Treatment Surgery- Total proctocolectomy eitherwith a conventional ileostomy or as a restorative proctocolectomy with ileal pouch-anal anastomosis Subtotal colectomy with ileorectal anastomosis (IRA) can be considered, bearing in mind that the rectal segment will remain at risk for carcinoma, and the patient will have to comply with periodic surveillance examinations.
  • 23.
    Medical management ascorbic acid(4 g/day), alpha-tocopherol (vitamin E, 400 mg/day), and supplemental fiber (22.5 g/day) Sulindac Celocoxib 400mg bd Aspirin 600mg/d
  • 24.