Kopila kafle
Bachelor of optometry
3rd year
Fluorescent
chemical
absorbs
Radiant
energy
release
Free
electron
Jump
to
higher
level
Becomes
unstable
Returns
To
Lower
level
Emit
energy
fluorescence
Absorbed radiant energy > emitted energy
AND
As energy – inversely proportional to –
wavelength
SO,
λ of emitted wave > λ of absorbed wave
 Depending on the chemical to be excited,
the electromagnetic energy (excitation
light) must lie within a particular range of
wavelengths absorption spectrum
 The wavelengths of fluorescent light
emitted by a particular chemical substance
lie within a characteristic range called
emission spectrum.
 What is fluorescent material ? ?
 What is the range of absorption spectrum ? ?
 What is the range of emission spectrum ? ?
Sodium Fluorescein
C20 H10 O5 Na 2
Properties
-non-expensive
-non-toxic
-Flouresces at blood pH
level (7.37-7.45)
-rapid diffusion
 Is an orange water-soluble dye
 Fluorescein is the product of reaction of
phthalic acid anhydride and resorcinol in which
Zinc Chloride is the catalyst.
 Lies between 465-490 nm
 Excitation peak = 490nm(blue part of
spectrum)
represents maximal absorption of light
energy by fluorescein.
 Lies between 520 – 530 nm
 Emission peak = 530 nm
 Represents green part of spectrum
 studying the normal physiology of the
retinal and choroidal circulation,as well as
disease process affecting the macula.
 Evaluation of the vascular integrity of the
retinal and choroidal vessels
 Check the integrity of the blood ocular
barrier.
- outer blood retinal barrier breaks in CSR
- inner blood retinal barrier breaks in
NVD,NVE
 In clinical diagnosis
 to determine extent of damage
 To formulate treatment strategy for
choroidal and retinal disease
 To monitor result of treatment
Indications
of FFA
Macular
disorders
Retinal diseases
1) Diabetic retinopathy
2) Retinal vein
occlusions
3) Retinal artery
occlusion
4) Retinal vasculitis
5) Coats disease
6) Familial exudative
vitreoretinopathy
Macular diseases
1) Central serous
retinopathy
2) RPE detachment
3) Cystoid macular
edema
4) Macular hole
5) ARMD
6) Cone rod dystrophy
7) Epiretinal membrane
8) Vitiliform
dystrophies
9) Stargardts dystrophy
Retinal vascular malformations and
tumors
1) Capillary hemangioma of retina
2) Cavernous hemangioma of retina
3) Retinal AV malformation
4) Congenital tortuosity of retinal
vasculature
5) Congenital hypertrophy of RPE
6) Angioid streaks
7) Astrocytic hamartoma
Choroidal lesions
1) Choroidal
neovascular
membrane (CNV)
2) Hemangioma
3) Nevus
4) Melanoma
5) Choroiditis
6) Metastasis
7) MEWDS
8) APMPPE
9) Choroidal folds
Optic nerve disorders
1) Optic atrophy
2) Papilloedema
3) Ischemic optic
neuropathy
4) Optic disc pit
5) Optic disc drusen
6) Optic disc
hemangioma
7) Melanocytoma
8) Myelinated nerve
fibers
ABSOLUTE
1) known allergy to iodine containing compounds.
2) H/O adverse reaction to FFA in the past.
RELATIVE
1) Asthma
2) Hay fever
3) Renal failure
4) Hepatic failure
5) Pregnancy ( especially 1st trimester)
MILD MODERATE SEVERE
Staining of skin,
sclera and
mucous
membrane
Nausea and
vomiting
Respiratory-
laryngeal edema
,bhroncospasm
Stained secretion
Tear, saliva
Vasovagal
response
Circulatory
shock, MI,
cardiac arrest
Vision tinged
with yellow
utricaria Generalized
convulsion
Orange-yellow
urine
fainting Skin necrosis
Skin flushing,
tingling lips
pruritis
periphlebitis
Patient is informed of the normal procedures, the
side effects and the adverse reactions.
Dilating the pupil
Made to sit comfortable.
3-4 red free photographs taken.
(control photographs)
5ml of 10% or 3ml of 25% NAF injected through
the anticubital vein
wait for 10 – 12 seconds( normal arm-retina
time)
Photos are taken at 1 second interval for 10
seconds
Then every 2 seconds interval for 30 seconds
Late photographs are usually taken after 3 ,5
and 10 minutes.
Dye injected from peripheral vein
venous circulation
heart
arterial system
INTERNAL CAROTID ARTERY
Ophthalmic artery
Short posterior ciliary artery) Central retinal
(choroidal circulation.) ( retinal circulation)
N.B. The choroidal filling is 1 second prior to the retinal filling.
A.Choroidal
circulation
-choriocapillaries are
fenestrated
-so allows dye to
diffuse freely
BUT,
-outer blood-retinal
barrier in RPE don’t
let dye to reach
retina
B.Retinal circulation
-endothelial cells of
retinal blood vessels
joined by tight
junctions (inner
blood retinal
barrier)
-prevents leakage of
dye from vessels
A) Choroidal (pre-arterial)
B) Arterial
C) Arteriovenous(capillary)
D) Venous and
E) Late(elimination)
Patchy filling
No leakage
No complication
WHY ???
 Choriocapillaries has number of lobules
 The lobules fill independently from one
another,
 giving a transiently patched or blotched
appearance
 8-12 seconds after
dye injection
 Initial patchy
filling followed by
diffuse filling
 No dye has
entered retinal
circulation
 Shows arterial
filling
 Continuation of
choroidal filling
 1 second after
choridal phase
 Complete filling of
arteries and
capillaries
 Early laminar flow
to veins
 Dye seen along
lateral wall of
veins
 Arteries and
capillaries
completely filled
 Marked lamellar
venous flow
 Some veins
completely filled
 Some shows
marked laminar
flow
 All veins
completely filled
 Arteries begin to
empty
 Elimination of dye
from choroidal and
retinal circulation
 Staining of disc –
normal
 In 5-10 minutes
fluorescein absent
from angiogram
 And from body in
several hours
 Appears dark
AVASCULARITY
IN FAZ
BLOCKAGE OF
CHOROIDAL
FLUORESCENCE
INCREASED
XANTHOPHYLL
PIGMENTS
LARGER RPE
CELLS WITH
MORE MELANIN
 Patchy filling of choroid
 Retinal blood vessels filling
 Dark area of foveal avascular zone
BUT,
No hyperdense(white) or hypodense (black)
patch in retina Outer blood retinal barrier
Inner blood retinal barrier
Hypodense
(black) patch
Hyperdense
(white) patch
Fluorescein angiogram
Normal Abnormal Artifact
Hyperfluorescence Hypofluorescence
Leakage Pooling Staining Window Blocked Non
filling defect filling
 Hyperfluorescence and hypofluorescence can
alternate in same location
 Especially in inflammatory disorder
 1st hypofluorescence due to retinal oedema
 Later hyperfluorescence due to increased
vascular permeability
 Greater level of fluorescence than would be
found in normal angiogram
 Occur due to:
-window defect
-increased accumulation of dye
leakage
pooling
staining
 Defect in RPE – increased transmission of
choroidal fluorescence
 Sharply defined hyperfluorescence - does not
change in shape and size
LEAKAGE
POOLING
STAINING
 Escape of fluorescein from vessels with
pathologically increased permeability
 Progressive increase in size and intensity
 Papilledema
 Abnormal choroidal vasculature(CNV)
 Breaking of inner blood retinal
barrier(cystoid macular oedema)
 Abnormal retinal or disc vasculature(retinal
neovascularization)
 Proliferative Diabetic Retinopathy(NVD,NVE)
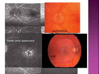
Flower petal appearance
CME
papilloedema
Neovascularization at disc(NVD)
Neovascularization elsewhere (NVE)
 Accumulation of fluorescein in anatomical
space
 Due to breakdown of outer blood retinal
barrier
A . In subretinal space
As in CSR
Early hyperfluorescence
Increase in size and intensity
B . In sub RPE space
As in PED
Early hyperfluorescence
Increase in intensity but
not in size
CENTRAL SEROUS
RETINOPATHY
PED
 Accumulation of fluorescence within a tissue
 Due to prolonged dye retention
 Minimum hyperfluorescence in early and
midphase which increases in late phase
 Can be seen in normal as well as
pathologically altered tissue
RETINAL
a. non-cystoid macular
oedema
b. Perivascular staining
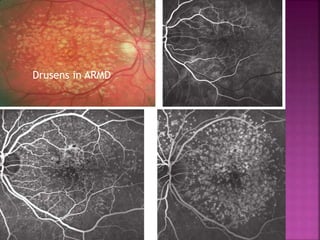
SUB RETINAL
a. Drusens
b. Sclera
c. Lamina cribrosa
d. scars
Drusens in ARMD
 Reduction or absence of fluorescein
 Two causes
BLOCKED
FLUORESCENCE
VASCULAR
FILLING
DEFECTS
 Optical obstruction (masking) of normal
density of fluorescein
 Caused by lesions anterior to retina
 Pre-retinal lesions eg.vitreous
opacity,preretinal haemorrhage block all
fluorescence
 Deep retinal lesions eg.intraretinal
haemorrhage and hard exudates block only
capillary fluorescence
 Increased density of RPE eg.congenital
hypertrophy
 Choroidal lesions eg.naevus
RPE hypertrophy Retrohyaloid haemorrhage
 Inadequate perfusion of tissue with resultant
low fluorescein content
 Avascular occlusion of choroidal circulation
or retinal arteries,veins and capillaries
 Loss of vascular bed eg.severe myopic
degeneration – choroideremia
 Emboli
 arteriosclerosis
CRAO
CRVO
 All the process of occurrence of hyper or
hypo-fluorescence can be described under
following 3 phenomenons
A. OPTICAL PHENOMENON
B .MECHANICAL PHENOMENON
C. DYNAMIC PHENOMENON
 Normal neurosensory retina is transparent
 Normal RPE and Bruch’s Membrane are
semitransparent
 Hence, we can see choroidal fluorescence
 BUT, this transparency can be pathologically
increased or decreased
 In case of blocked fluorescence ,
transparency is lost
 SO, WE DO NOT SEE CHOROIDAL
FLUORESCENCE
Accumulation of blood haemorrhage
RPE hypertrophy
Choroidal naevus
 In case of staining due to drusens,angioid
streaks ,scars and degenerative processes
Accumulation of drusens under RPE
Angioid streaks
Areolar degeneration
 Related to adhesion of RPE to Bruch’s
Membrane
 RPE firmly attached to Bruch’s membrane by
hemidesmosomes
Absence of hemidesmosomes
RPE splits away from Bruch’s membrane
Fluorescein stained fluid accumulate in
between them eg.CSR TYPE II
 Related to diffusion of fluorescein in ocular
tissue
 Determined by inner and outer blood retinal
barrier I.E DIFFUSION BARRIER
 Normal retinal vessels do not leak fluorescein
- due to zonula occludents in between
endothelial cells
 These zonula occludents open up during
inflammatory process
Zonula occludents open up
normal
Endothelial cell is lost
Pores in endothelial cells
PERIVASCULITIS
DIABETIC
MICROANEURYSM
PROLIFERATED
RETINAL VESSELS
 Normal RPE is tight
 zonula occludens seal portion of all the
intercellular spaces of the pigment epithelial
monolayer.
Cental serous
chorioretinopathy Type I
Haemorrhagic PED
in wet ARMD

Fundus Fluorescein Angiography

  • 1.
    Kopila kafle Bachelor ofoptometry 3rd year
  • 4.
  • 5.
    Absorbed radiant energy> emitted energy AND As energy – inversely proportional to – wavelength SO, λ of emitted wave > λ of absorbed wave
  • 7.
     Depending onthe chemical to be excited, the electromagnetic energy (excitation light) must lie within a particular range of wavelengths absorption spectrum  The wavelengths of fluorescent light emitted by a particular chemical substance lie within a characteristic range called emission spectrum.
  • 8.
     What isfluorescent material ? ?  What is the range of absorption spectrum ? ?  What is the range of emission spectrum ? ?
  • 9.
    Sodium Fluorescein C20 H10O5 Na 2 Properties -non-expensive -non-toxic -Flouresces at blood pH level (7.37-7.45) -rapid diffusion
  • 10.
     Is anorange water-soluble dye  Fluorescein is the product of reaction of phthalic acid anhydride and resorcinol in which Zinc Chloride is the catalyst.
  • 11.
     Lies between465-490 nm  Excitation peak = 490nm(blue part of spectrum) represents maximal absorption of light energy by fluorescein.
  • 12.
     Lies between520 – 530 nm  Emission peak = 530 nm  Represents green part of spectrum
  • 14.
     studying thenormal physiology of the retinal and choroidal circulation,as well as disease process affecting the macula.  Evaluation of the vascular integrity of the retinal and choroidal vessels  Check the integrity of the blood ocular barrier. - outer blood retinal barrier breaks in CSR - inner blood retinal barrier breaks in NVD,NVE
  • 15.
     In clinicaldiagnosis  to determine extent of damage  To formulate treatment strategy for choroidal and retinal disease  To monitor result of treatment
  • 16.
  • 17.
    Retinal diseases 1) Diabeticretinopathy 2) Retinal vein occlusions 3) Retinal artery occlusion 4) Retinal vasculitis 5) Coats disease 6) Familial exudative vitreoretinopathy Macular diseases 1) Central serous retinopathy 2) RPE detachment 3) Cystoid macular edema 4) Macular hole 5) ARMD 6) Cone rod dystrophy 7) Epiretinal membrane 8) Vitiliform dystrophies 9) Stargardts dystrophy
  • 18.
    Retinal vascular malformationsand tumors 1) Capillary hemangioma of retina 2) Cavernous hemangioma of retina 3) Retinal AV malformation 4) Congenital tortuosity of retinal vasculature 5) Congenital hypertrophy of RPE 6) Angioid streaks 7) Astrocytic hamartoma
  • 19.
    Choroidal lesions 1) Choroidal neovascular membrane(CNV) 2) Hemangioma 3) Nevus 4) Melanoma 5) Choroiditis 6) Metastasis 7) MEWDS 8) APMPPE 9) Choroidal folds Optic nerve disorders 1) Optic atrophy 2) Papilloedema 3) Ischemic optic neuropathy 4) Optic disc pit 5) Optic disc drusen 6) Optic disc hemangioma 7) Melanocytoma 8) Myelinated nerve fibers
  • 20.
    ABSOLUTE 1) known allergyto iodine containing compounds. 2) H/O adverse reaction to FFA in the past. RELATIVE 1) Asthma 2) Hay fever 3) Renal failure 4) Hepatic failure 5) Pregnancy ( especially 1st trimester)
  • 21.
    MILD MODERATE SEVERE Stainingof skin, sclera and mucous membrane Nausea and vomiting Respiratory- laryngeal edema ,bhroncospasm Stained secretion Tear, saliva Vasovagal response Circulatory shock, MI, cardiac arrest Vision tinged with yellow utricaria Generalized convulsion Orange-yellow urine fainting Skin necrosis Skin flushing, tingling lips pruritis periphlebitis
  • 22.
    Patient is informedof the normal procedures, the side effects and the adverse reactions. Dilating the pupil Made to sit comfortable. 3-4 red free photographs taken. (control photographs) 5ml of 10% or 3ml of 25% NAF injected through the anticubital vein
  • 23.
    wait for 10– 12 seconds( normal arm-retina time) Photos are taken at 1 second interval for 10 seconds Then every 2 seconds interval for 30 seconds Late photographs are usually taken after 3 ,5 and 10 minutes.
  • 24.
    Dye injected fromperipheral vein venous circulation heart arterial system INTERNAL CAROTID ARTERY Ophthalmic artery Short posterior ciliary artery) Central retinal (choroidal circulation.) ( retinal circulation) N.B. The choroidal filling is 1 second prior to the retinal filling.
  • 27.
    A.Choroidal circulation -choriocapillaries are fenestrated -so allowsdye to diffuse freely BUT, -outer blood-retinal barrier in RPE don’t let dye to reach retina B.Retinal circulation -endothelial cells of retinal blood vessels joined by tight junctions (inner blood retinal barrier) -prevents leakage of dye from vessels
  • 30.
    A) Choroidal (pre-arterial) B)Arterial C) Arteriovenous(capillary) D) Venous and E) Late(elimination) Patchy filling No leakage No complication WHY ???
  • 32.
     Choriocapillaries hasnumber of lobules  The lobules fill independently from one another,  giving a transiently patched or blotched appearance
  • 33.
     8-12 secondsafter dye injection  Initial patchy filling followed by diffuse filling  No dye has entered retinal circulation
  • 34.
     Shows arterial filling Continuation of choroidal filling  1 second after choridal phase
  • 35.
     Complete fillingof arteries and capillaries  Early laminar flow to veins  Dye seen along lateral wall of veins
  • 36.
     Arteries and capillaries completelyfilled  Marked lamellar venous flow
  • 37.
     Some veins completelyfilled  Some shows marked laminar flow
  • 38.
     All veins completelyfilled  Arteries begin to empty
  • 39.
     Elimination ofdye from choroidal and retinal circulation  Staining of disc – normal  In 5-10 minutes fluorescein absent from angiogram  And from body in several hours
  • 40.
     Appears dark AVASCULARITY INFAZ BLOCKAGE OF CHOROIDAL FLUORESCENCE INCREASED XANTHOPHYLL PIGMENTS LARGER RPE CELLS WITH MORE MELANIN
  • 41.
     Patchy fillingof choroid  Retinal blood vessels filling  Dark area of foveal avascular zone BUT, No hyperdense(white) or hypodense (black) patch in retina Outer blood retinal barrier Inner blood retinal barrier
  • 42.
  • 43.
    Fluorescein angiogram Normal AbnormalArtifact Hyperfluorescence Hypofluorescence Leakage Pooling Staining Window Blocked Non filling defect filling
  • 44.
     Hyperfluorescence andhypofluorescence can alternate in same location  Especially in inflammatory disorder  1st hypofluorescence due to retinal oedema  Later hyperfluorescence due to increased vascular permeability
  • 45.
     Greater levelof fluorescence than would be found in normal angiogram  Occur due to: -window defect -increased accumulation of dye leakage pooling staining
  • 46.
     Defect inRPE – increased transmission of choroidal fluorescence  Sharply defined hyperfluorescence - does not change in shape and size
  • 48.
  • 49.
     Escape offluorescein from vessels with pathologically increased permeability  Progressive increase in size and intensity
  • 50.
     Papilledema  Abnormalchoroidal vasculature(CNV)  Breaking of inner blood retinal barrier(cystoid macular oedema)  Abnormal retinal or disc vasculature(retinal neovascularization)  Proliferative Diabetic Retinopathy(NVD,NVE)
  • 51.
  • 52.
  • 53.
     Accumulation offluorescein in anatomical space  Due to breakdown of outer blood retinal barrier
  • 54.
    A . Insubretinal space As in CSR Early hyperfluorescence Increase in size and intensity B . In sub RPE space As in PED Early hyperfluorescence Increase in intensity but not in size
  • 55.
  • 56.
     Accumulation offluorescence within a tissue  Due to prolonged dye retention  Minimum hyperfluorescence in early and midphase which increases in late phase  Can be seen in normal as well as pathologically altered tissue
  • 57.
    RETINAL a. non-cystoid macular oedema b.Perivascular staining SUB RETINAL a. Drusens b. Sclera c. Lamina cribrosa d. scars
  • 58.
  • 59.
     Reduction orabsence of fluorescein  Two causes BLOCKED FLUORESCENCE VASCULAR FILLING DEFECTS
  • 60.
     Optical obstruction(masking) of normal density of fluorescein  Caused by lesions anterior to retina
  • 61.
     Pre-retinal lesionseg.vitreous opacity,preretinal haemorrhage block all fluorescence  Deep retinal lesions eg.intraretinal haemorrhage and hard exudates block only capillary fluorescence  Increased density of RPE eg.congenital hypertrophy  Choroidal lesions eg.naevus
  • 62.
  • 63.
     Inadequate perfusionof tissue with resultant low fluorescein content
  • 64.
     Avascular occlusionof choroidal circulation or retinal arteries,veins and capillaries  Loss of vascular bed eg.severe myopic degeneration – choroideremia  Emboli  arteriosclerosis
  • 65.
  • 66.
     All theprocess of occurrence of hyper or hypo-fluorescence can be described under following 3 phenomenons A. OPTICAL PHENOMENON B .MECHANICAL PHENOMENON C. DYNAMIC PHENOMENON
  • 67.
     Normal neurosensoryretina is transparent  Normal RPE and Bruch’s Membrane are semitransparent  Hence, we can see choroidal fluorescence  BUT, this transparency can be pathologically increased or decreased
  • 68.
     In caseof blocked fluorescence , transparency is lost  SO, WE DO NOT SEE CHOROIDAL FLUORESCENCE
  • 69.
  • 70.
  • 71.
     In caseof staining due to drusens,angioid streaks ,scars and degenerative processes
  • 72.
  • 73.
  • 74.
     Related toadhesion of RPE to Bruch’s Membrane  RPE firmly attached to Bruch’s membrane by hemidesmosomes
  • 76.
    Absence of hemidesmosomes RPEsplits away from Bruch’s membrane Fluorescein stained fluid accumulate in between them eg.CSR TYPE II
  • 78.
     Related todiffusion of fluorescein in ocular tissue  Determined by inner and outer blood retinal barrier I.E DIFFUSION BARRIER
  • 79.
     Normal retinalvessels do not leak fluorescein - due to zonula occludents in between endothelial cells  These zonula occludents open up during inflammatory process
  • 80.
    Zonula occludents openup normal Endothelial cell is lost Pores in endothelial cells
  • 81.
  • 82.
  • 83.
  • 84.
     Normal RPEis tight  zonula occludens seal portion of all the intercellular spaces of the pigment epithelial monolayer.
  • 86.
  • 87.