Interhospital conference  Thanin Lokeskrawee MD.  R2 PMK hospital  15-12-50
INTERESTING CASE ผู้ป่วยหญิงไทย อายุ  52  ปี CC :  ขาอ่อนแรงสองข้าง  2  ชั่วโมงก่อนมารพ . PI : 2  ชั่วโมงก่อนมารพ .  หลังตื่นนอนตอนเช้า มีอาการชาขา ขยับขาไม่ได้ ลุกไม่ขึ้น ไม่เจ็บอก ปวดหน่วงท้องน้อย ร้าวไปขา ปวดหลัง ต่อมา  1  ชั่วโมง   ผู้ป่วยมีอาการอาเจียนเป็นเลือดสด   1  ครั้ง ประมาณครึ่งแก้ว  ( 50 cc )  ไม่มีถ่ายดำ ไม่มีถ่ายเป็นเลือด ไม่หน้ามืด
PAST HISTORY Underlying HT poor control Underlying  โรคกระเพาะอาหาร เป็นๆหายๆ   ทานยาหม้อเป็นประจำเนื่องจากปวดหลังบ่อยๆ ดื่มสุราวันละ  1  แก้ว หยุดมา  3  เดือน  สูบบุหรี่วันละ  1  ซอง หยุดมา  3  เดือน
ซักประวัติเพิ่ม
Physical examination V/S BT 36.5 PR 150 RR 20  BP 190/120 Moderate pale , no icteric sclera  Lung : clear  Heart : tachycardia ,regular ,no murmur Abdomen : ill-defined mass at epigastrium , voluntary guarding , rebound –ve  No sign chronic liver disease
ตรวจร่างกายเพิ่ม
Abdomen :  expanding pulsatile mass ,  size10cm at  epigastrium ,  bruit&thrill +ve  Affected part
Neurological examination  DTR  clonus  Cranial nerve : normal Pupil 3 mm RTL BE Motor  V V III III BBK Sensory  Decrease pinprick & temp sensation below L1 level
ตรวจร่างกายเพิ่ม  BP 4 extremities  190/120  180/110  วัดไม่ได้  วัดไม่ได้
Pulse  Pulse examination  Rt  Lf Carotid  2+  2+ Radial  2+  2+ Femoral  0+  0+ Popliteal  0+  0+ Posterior tibial  0+  0+ Dorsalispedis  0+  0+ Cyanosis of distal toes & cold skin
Digital examination  PR : loose sphincter tone , decrease perianal sensation  , melena
Ophthalmoscopy  Fundus : no papilledema
 
 
Problem list
Problem list  Acute paraparesis  Acute limb ischemia  UGIH Abdominal pulsatile mass Malignant HT Underlying PU
Differential diagnosis
Differential diagnosis
Approach weakness
Appraoch weakness  UMNL  อ่อนแรงเป็นกลุ่มๆ  ,  ครึ่งซีก หรืออาจ  2  ข้างก็ได้  hypertonia, spasticity  DTR  ไว  BBK, clonus + No fasciculation  LMNL  อ่อนแรงเฉพาะมัด หรือเป็นกลุ่ม Hypotonia or flaccid DTR – BBK, clonus – Fasciculation
UMNL weakness  ถ้ามี  cranial nerve involvement  ให้ดูว่า  cranial involve  ข้างเดียวกันหรือคนละข้างกับแขนขาที่  weak  ถ้าคนละข้าง      brainstem ,  ถ้าข้างเดียวกัน อาจเป็นได้ทั้ง  cortex  และ  subcortex ถ้าไม่มี  cranial involvement  และมี  sensory loss  เป็น  level     spinal cord lesion
Spinal cord lesion : causes Acute  Vascular : dissection , emboli  Rupture AVM  Trauma  Subacute/chronic  Infection : staph, fungus , TB  Tumor  HNP Vasculitis
Vascular lesion of spinal cord  Anterior cord ischemia Posterior cord ischemia
Anterior spinal cord ischemia Radicular pain at onset Sudden paraplegia  Flaccid    spastic  Areflexia    hyperreflexia and extensor plantar response  Loss pain , temp Preserved vibration & joint position  Bowel & bladder symptoms
Progress note  10.30 BP = 262/155 mmHg PR = 131/min RR = 24/min
Management
Management  Airway :  หายใจได้เอง  , no airway obstruction  Breathing :  หายใจเร็วเล็กน้อย  ,  O2 sat 99% (O2 canula 3 LPM) , equal BS Circulation : severe HT  At 10.30 BP 262/155 , PR 131 , RR 24  Propanolol (40) 1 tab oral stat  Then NTG (1:10) 5 ud/min    10 ud/min
Management  NPO , retained NG tube 0.9% NaCl 1000 ml iv KVO x 2  เส้น  omeprazole 40 mg iv q 12 hr  G/M PRC 6 unit  Monitor EKG  BP q ½ hr  Hct q 4 hr
Investigation  CBC  BUN/Cr EKG 12 leads  CXR  DTX Y x
CBC  7.8  23.7  24,600  N=70  L=25  280,000 Coag : PT 12.7  (ratio 1.08 ) Ptt 25.1 (RATIO 0.84 )  Tt  6.3 ( RATIO 0.9)
BUN/Cr 138  104.4  3.44 10.7  0,9 14.5
LFT  TB/DB = 0.2/0.1 AST/ALT = 16/12 ALP 100 A/G = 3.1/4.0
EKG 12 leads
U/S abdomen  No free fluid  AAA 5 cm  Can’t seen intimal flap
 
 
 
 
 
 
 
 
 
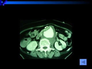
CT SCAN AAA juxtrareal -> bifurcation  Size 10*8*4 cm Inflamatory tissue  around AAA Intact renal artery Aortic dissection at juxtra renal -> bifurcation Bowel wall thickening at 3 rd -4 th  part of duodenum
Progress note  09.30 : BP 190/110 , PR 150/min 10.00 : BP 200/120 , PR 136/min  10.30 : BP 262/155 , PR 131/min Start propanolol 40 mg oral & NTG drip  Consult med , consult surg  13.45 : BP 126/93 , PR 130 (NTG35ud/min )  15.30 : CT abdomen with contrast
Progress note  15.45 : consult surg     ให้ความเห็นว่า น่าจะเป็น  chronic dissecting aneurysm  ของเก่าอยู่แล้ว ส่วนเรื่อง  limb  คิดว่าเป็น  chronic arterial occlusion  ให้ med  ดูต่อ  และถ้า  stable  ให้ทำ  MRI  16.00 : cardio med :  นึกถึง  hypertensive emergency with dissecting aneurysm  ให้  drip NTG  ต่อ และ  continue b-blocker
15/02/50 BP 110/70-140/80 (NTG 60 ud/min , herbessor (1:60) 30 ud/min ) PR 80/min  Urine 2 ml/kg/hr  Cr 0.4  Hct 27 (PRC 2 unit) , no active bleeding
16/02/50  BP 130/80 , PR 70 , RR 18 Hct 31 , no active bleeding  Consult surg  อีกครั้ง เรื่อง  dissecting aneurysm  ศัลยกรรมตอนแรก  plan  ผ่าตัด  แต่ต่อมาขอเลื่อน เนื่องจากต้องการรอผล  aortogram , CT chest  ก่อน
18/02/50  ย้ายไปศัลยกรรม  ทำ  CT chest
23/02/50  ระหว่างรอทำ  CT angiogram  ผู้ป่วยอาเจียนเป็นเลือดจำนวนมาก  1  กระโถน BP drop 50/30 , PR 130 ETT , load iv , G/M  BP 70/50  หลังได้  iv ~ 5000 ml  Set OR emergency
Intra operative finding
 
 
 
23/02/50 (23.00) Cardiac arrest at OR  Death on table
Aortic Dissection Classification Standford classification DeBaKey classification
 
Dissecting involve descending aorta splanchnic ischemia Renal failure  lower extremity ischemia focal neurologic deficits due to spinal artery involvement spinal cord ischemia
 
 
 
 
Blood pressure control  labetalol  0.25  mg/kg  iv  (or  20  mg) over  2  minutes and then nitroprusside  0.3  to 10  μg/kg/min  keep HR 60 – 80 beats/min reduction of systolic blood pressure to 100 to 120 mmHg or the lowest level that is tolerated
Indication for surgery  Involve aortic root   (DeBakey I,II) (standford A) Descending type with complication  Rupture  Limb ischemia Spinal cord ischemia Renal failure  Bowel ischemia Progressive & expansion
Arigato gozaimashita

Interesting case

  • 1.
    Interhospital conference Thanin Lokeskrawee MD. R2 PMK hospital 15-12-50
  • 2.
    INTERESTING CASE ผู้ป่วยหญิงไทยอายุ 52 ปี CC : ขาอ่อนแรงสองข้าง 2 ชั่วโมงก่อนมารพ . PI : 2 ชั่วโมงก่อนมารพ . หลังตื่นนอนตอนเช้า มีอาการชาขา ขยับขาไม่ได้ ลุกไม่ขึ้น ไม่เจ็บอก ปวดหน่วงท้องน้อย ร้าวไปขา ปวดหลัง ต่อมา 1 ชั่วโมง ผู้ป่วยมีอาการอาเจียนเป็นเลือดสด 1 ครั้ง ประมาณครึ่งแก้ว ( 50 cc ) ไม่มีถ่ายดำ ไม่มีถ่ายเป็นเลือด ไม่หน้ามืด
  • 3.
    PAST HISTORY UnderlyingHT poor control Underlying โรคกระเพาะอาหาร เป็นๆหายๆ ทานยาหม้อเป็นประจำเนื่องจากปวดหลังบ่อยๆ ดื่มสุราวันละ 1 แก้ว หยุดมา 3 เดือน สูบบุหรี่วันละ 1 ซอง หยุดมา 3 เดือน
  • 4.
  • 5.
    Physical examination V/SBT 36.5 PR 150 RR 20 BP 190/120 Moderate pale , no icteric sclera Lung : clear Heart : tachycardia ,regular ,no murmur Abdomen : ill-defined mass at epigastrium , voluntary guarding , rebound –ve No sign chronic liver disease
  • 6.
  • 7.
    Abdomen : expanding pulsatile mass , size10cm at epigastrium , bruit&thrill +ve Affected part
  • 8.
    Neurological examination DTR clonus Cranial nerve : normal Pupil 3 mm RTL BE Motor V V III III BBK Sensory Decrease pinprick & temp sensation below L1 level
  • 9.
    ตรวจร่างกายเพิ่ม BP4 extremities 190/120 180/110 วัดไม่ได้ วัดไม่ได้
  • 10.
    Pulse Pulseexamination Rt Lf Carotid 2+ 2+ Radial 2+ 2+ Femoral 0+ 0+ Popliteal 0+ 0+ Posterior tibial 0+ 0+ Dorsalispedis 0+ 0+ Cyanosis of distal toes & cold skin
  • 11.
    Digital examination PR : loose sphincter tone , decrease perianal sensation , melena
  • 12.
    Ophthalmoscopy Fundus: no papilledema
  • 13.
  • 14.
  • 15.
  • 16.
    Problem list Acute paraparesis Acute limb ischemia UGIH Abdominal pulsatile mass Malignant HT Underlying PU
  • 17.
  • 18.
  • 19.
  • 20.
    Appraoch weakness UMNL อ่อนแรงเป็นกลุ่มๆ , ครึ่งซีก หรืออาจ 2 ข้างก็ได้ hypertonia, spasticity DTR ไว BBK, clonus + No fasciculation LMNL อ่อนแรงเฉพาะมัด หรือเป็นกลุ่ม Hypotonia or flaccid DTR – BBK, clonus – Fasciculation
  • 21.
    UMNL weakness ถ้ามี cranial nerve involvement ให้ดูว่า cranial involve ข้างเดียวกันหรือคนละข้างกับแขนขาที่ weak ถ้าคนละข้าง  brainstem , ถ้าข้างเดียวกัน อาจเป็นได้ทั้ง cortex และ subcortex ถ้าไม่มี cranial involvement และมี sensory loss เป็น level  spinal cord lesion
  • 22.
    Spinal cord lesion: causes Acute Vascular : dissection , emboli Rupture AVM Trauma Subacute/chronic Infection : staph, fungus , TB Tumor HNP Vasculitis
  • 23.
    Vascular lesion ofspinal cord Anterior cord ischemia Posterior cord ischemia
  • 24.
    Anterior spinal cordischemia Radicular pain at onset Sudden paraplegia Flaccid  spastic Areflexia  hyperreflexia and extensor plantar response Loss pain , temp Preserved vibration & joint position Bowel & bladder symptoms
  • 25.
    Progress note 10.30 BP = 262/155 mmHg PR = 131/min RR = 24/min
  • 26.
  • 27.
    Management Airway: หายใจได้เอง , no airway obstruction Breathing : หายใจเร็วเล็กน้อย , O2 sat 99% (O2 canula 3 LPM) , equal BS Circulation : severe HT At 10.30 BP 262/155 , PR 131 , RR 24 Propanolol (40) 1 tab oral stat Then NTG (1:10) 5 ud/min  10 ud/min
  • 28.
    Management NPO, retained NG tube 0.9% NaCl 1000 ml iv KVO x 2 เส้น omeprazole 40 mg iv q 12 hr G/M PRC 6 unit Monitor EKG BP q ½ hr Hct q 4 hr
  • 29.
    Investigation CBC BUN/Cr EKG 12 leads CXR DTX Y x
  • 30.
    CBC 7.8 23.7 24,600 N=70 L=25 280,000 Coag : PT 12.7 (ratio 1.08 ) Ptt 25.1 (RATIO 0.84 ) Tt 6.3 ( RATIO 0.9)
  • 31.
    BUN/Cr 138 104.4 3.44 10.7 0,9 14.5
  • 32.
    LFT TB/DB= 0.2/0.1 AST/ALT = 16/12 ALP 100 A/G = 3.1/4.0
  • 33.
  • 34.
    U/S abdomen No free fluid AAA 5 cm Can’t seen intimal flap
  • 35.
  • 36.
  • 37.
  • 38.
  • 39.
  • 40.
  • 41.
  • 42.
  • 43.
  • 44.
    CT SCAN AAAjuxtrareal -> bifurcation Size 10*8*4 cm Inflamatory tissue around AAA Intact renal artery Aortic dissection at juxtra renal -> bifurcation Bowel wall thickening at 3 rd -4 th part of duodenum
  • 45.
    Progress note 09.30 : BP 190/110 , PR 150/min 10.00 : BP 200/120 , PR 136/min 10.30 : BP 262/155 , PR 131/min Start propanolol 40 mg oral & NTG drip Consult med , consult surg 13.45 : BP 126/93 , PR 130 (NTG35ud/min ) 15.30 : CT abdomen with contrast
  • 46.
    Progress note 15.45 : consult surg  ให้ความเห็นว่า น่าจะเป็น chronic dissecting aneurysm ของเก่าอยู่แล้ว ส่วนเรื่อง limb คิดว่าเป็น chronic arterial occlusion ให้ med ดูต่อ และถ้า stable ให้ทำ MRI 16.00 : cardio med : นึกถึง hypertensive emergency with dissecting aneurysm ให้ drip NTG ต่อ และ continue b-blocker
  • 47.
    15/02/50 BP 110/70-140/80(NTG 60 ud/min , herbessor (1:60) 30 ud/min ) PR 80/min Urine 2 ml/kg/hr Cr 0.4 Hct 27 (PRC 2 unit) , no active bleeding
  • 48.
    16/02/50 BP130/80 , PR 70 , RR 18 Hct 31 , no active bleeding Consult surg อีกครั้ง เรื่อง dissecting aneurysm ศัลยกรรมตอนแรก plan ผ่าตัด แต่ต่อมาขอเลื่อน เนื่องจากต้องการรอผล aortogram , CT chest ก่อน
  • 49.
  • 50.
    23/02/50 ระหว่างรอทำ CT angiogram ผู้ป่วยอาเจียนเป็นเลือดจำนวนมาก 1 กระโถน BP drop 50/30 , PR 130 ETT , load iv , G/M BP 70/50 หลังได้ iv ~ 5000 ml Set OR emergency
  • 51.
  • 52.
  • 53.
  • 54.
  • 55.
    23/02/50 (23.00) Cardiacarrest at OR Death on table
  • 56.
    Aortic Dissection ClassificationStandford classification DeBaKey classification
  • 57.
  • 58.
    Dissecting involve descendingaorta splanchnic ischemia Renal failure lower extremity ischemia focal neurologic deficits due to spinal artery involvement spinal cord ischemia
  • 59.
  • 60.
  • 61.
  • 62.
  • 63.
    Blood pressure control labetalol 0.25 mg/kg iv (or 20 mg) over 2 minutes and then nitroprusside 0.3 to 10 μg/kg/min keep HR 60 – 80 beats/min reduction of systolic blood pressure to 100 to 120 mmHg or the lowest level that is tolerated
  • 64.
    Indication for surgery Involve aortic root (DeBakey I,II) (standford A) Descending type with complication Rupture Limb ischemia Spinal cord ischemia Renal failure Bowel ischemia Progressive & expansion
  • 65.