‫الرحيم‬‫الرحمن‬‫هللا‬‫بسم‬
Basic
armamentarium in
oral surgery
By
Abdusalam alrmali
BDS,DDS,MDS
CONTENTS
Instruments for Transferring Sterile inst
Instruments for Incising Tissue
Instruments for Elevating Mucoperiosteum
Instruments for Retracting Soft Tissue
Instruments for Controlling Hemorrhage
Instruments for Grasping Tissue
Instruments for Removing Bone
Instruments for Removing Pathologic Tissue
CONTENTS
Instruments for Suturing Mucosa
Instruments for Holding the Mouth Open
Instruments for Suctioning
Instruments for Irrigating
Instruments for Extracting the Teeth
-Local Anesthetic instruments
-Dental elevators
-Extraction forceps
Instrument trays
Conclusion
References
INSTRUMENTS FOR
HOLDING TOWELS &
DRAPES IN POSITION
Other use
INSTRUMENTS FOR
TRANFERRING
STERILE
INSTRUMENTS
CHEATLE FORCEPS
INSTRUMENTS FOR
INCISING TISSUE
Name,number:
Bard-Parker handle no. 3
Bard-Parker Blades (nos, 11, 12, and 15)
Shape & use :
 The most commonly used handle no 3.
 Their tip has slotted part to receive a
variety of different shape blades.
 No 15 blade is the most commonly used
for intraoral incision.
 No 15 blade resemble no 10 in shape
but is relatively small than it.
 No 11 blade is a sharp pointed tip
blade, used for stab incision (incising
abscess).
 No 12 is hooked in shape (only curved)
used intraoral for inaccessible area as in
maxillary tuberosity
 Handle with blade called scalple
 Surgeon hold the scalple in pen grasp
INSTRUMENTS FOR INCISING TISSUE
Scalpel is held in a pen grasp
to allow maximal control
Correct way for loading
Blade loaded
Blade removed
Scalpel with no 15 blade used to make
incision around teeth & through
mucoperiosteum
Scalpel with no 15 blade used to make
incision around teeth for palatal gingiva
Contraindication to do vertical incision in the palate
No 11 blade used for
extra & intraoral stab
incision (incising
abscess)
Scalpel with no 12 blade used for
intrasulcular incision
Instruments for Elevating
Mucoperiosteum
Name,shape,use,action
Periosteal elevator no 9
most widely used before extraction & for
reflection of MPF
 This instrument has a sharp, pointed
end and a broader flat end.
 The pointed end is used to refelect
dental papilla between teeth, and the
broad end is used for elevating the
tissue from the bone.
Pointed tip is used in a praying
motion to elevate papilla between
teeth
Push stroke with the broad end with
convex surface toward the flap
 Another use for retraction of
mucoperiosteal flap with aid of broader
end
INSTRUMENTS FOR
RETRACTING SOFT
TISSUE
 These instruments used to
retract the cheek, tongue, &
MPF to have good vision and
access to perform good
surgery.
 Minnesota retractor
Weider tongue retractor
Kocher-Langenbeck retractor
Farabeuf retractor
Austin retractor (right angle)
INSTRUMENTS FOR
CONTROLLING
HEMORRHAGE
Hemostat (Artery forceps):
has long, delicate peak & locked
handle
Straight
Curved
Most commonly used
Use :
 To clamp the vessel and stop bleeding
 To remove granulation tissue & tooth
fragment , calculus, fragments of
amalgam
 To drain abscess
Main use
Other use:
Other use:
Other use:
Other methods for hemostasis
INSTRUMENTS FOR
GRASPING TISSUE
Adison forceps (toothed)
Use :
 Most commonly used forceps for
stabilizing soft tissue.
 They are delicate forceps with small
teeth
 Care should be taken to avoid crushing
the tissue.
Correct way for holding
Non-toothed: (plain) used for
stabilizing delicate mucosa
Allis tissue forceps :
locked handle & teeth in the blade
Used to grip abnormal fibrous
tissue firmly
Never use it to grasp normal
tissue
INSTRUMENTS FOR
REMOVING BONE
Rongeur forceps
This is the most commonly
used instrument for removing
bone
 Have sharp blades
 Have a spring betwwen handle, help in
reopen the instrument when the hand
pressure is released
 There are two major designs, a side-
cutting & side and end –cutting forceps.
A side-cutting & side and end
–cutting forceps are used
B. Chisel & mallet:
Unibevel
Grooved
Bibevel
Use :
 Unibeveled chisel used for cutting bone
 Bibeveled chisel used for secting teeth
& splitting bone (osteotome)
 Grooved used for collecting bone
C. Burs and handpiece:
High speed, high torque
straight surgical hand piece
Surgical carbide burs (fissure & round)
D. Bone file:
used for smoothen small, sharp
edeges in pull action
INSTRUMENTS FOR
REMOVING
PATHOLOGICAL
TISSUE
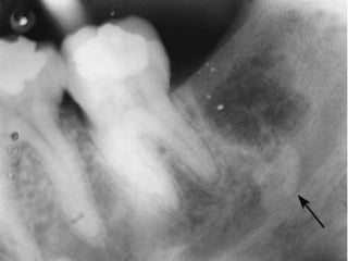
Surgical curette:
Angled, sharp concave face & smooth
convex back instrument used to remove
tissue from bony defects.
Ex. Granulation tissue or cyst
INSTRUMENTS FOR
SUTURING MUCOSA
Needle holder
Shape & Use :
 Beaks are shorter & stronger than
beaks of hemostat.
 Face is crosshatched. Why ?
 Face of hemostat is parallel grooves.
Why?
Difference between needle holder &
artery forceps in serrations
Different types of suture
material are available:
3/0, 4/0 black silk are most
widely used
 Types of needles”
 A. cross section
 B. degree of curve
(size) of needle
Holding needle in last 1/3.
why?
Correct way for holding :
Surgical scissors: straight or curved
Correct way for holding
Use:
 Used for cutting sutures.
 Cutting excess tissue before suturing
 Undermining edges before suturing
INSTRUMENTS
FOR HOLDING
THE MOUTH
OPEN
INSTRUMENTS FOR
SUCTIONING
INSTRUMENTS FOR
IRRIGATING
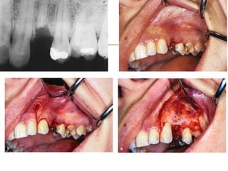
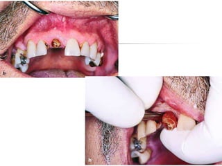
Quiz
Case presentation
and video
Video
INSTRUMENTS FOR
EXTRACTING TEETH
Armamentarium for LA
Needle adaptor
Syringe barrel
Piston with harpoon
Thumb ringFinger grip
Thumb bar
The cartridge (carpule)
Nitrogen bubble
Silicon rubber stopper
Glass tube
neck
Aluminum cap
Rubber diaphragm
 Glass cylinder with L/A & other
ingredients
 1.8ml/1.7ml/2.2ml
bevel
shankPlastic syringe adaptor
Syringe end
How to make it aspirated?
Local Anesthetic
carpule
 Local anesthetic drug
 Vasoconstrictor
 Reducing agent (antioxidant)
 Vehicle
Additional Armamentarium
 Topical antiseptic
 Topical anesthetic
 Applicator sticks
 Sterile gauze 2”x2”
 Hemostat
Upper straight
Or: upper
anterior forceps
lower anterior
forceps
Quiz
Upper premolar
forceps
Lower premolar
forceps
Upper molar forceps
Lower molar forceps
Remaining root forceps
Bayonet forceps
Quiz
1. Sterile gauze
2. Local anesthesia syringe, needles, and
cartridges
3. Surgical aspirating tip
4. Cotton pliers
5. Mouth mirror
6. Periosteal elevator
7. Straight elevators
8. Surgical curette
9. Hemostat
10. Extraction forceps (selected for
specific tooth/teeth)
VIDEO
 Surgeon must be well versed with the
identification, indications for use as well as
the techniques of using the different basic
instruments
 The quality of the instruments- as crucial as
the knowledge & skill of the surgeon
 Use of good quality instruments is inevitable
in ensuring the expected standard of care:
expensive
 The surgeon & the assistants must handle,
store & use the instruments with utmost care
REFERENCES
 Contemporary Oral & Maxillofacial
Surgery- 5th edition : Hupp, Ellis, Tucker
 Handbook of Local Anesthesia- 5th
edition: Stanley F. Malamed
 Dental Instruments: A Pocket Guide- 2nd
edition: Linda R. Bartolomucci Boyd
191
Thank you for
your attention

Instruments for oral surgery