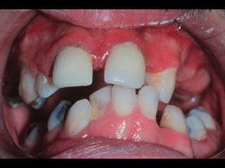
An immediate denture is “a complete denture or removable partial denture fabricated for placement immediately after the removal of natural teeth” dr shabeel pn http://hi-dentfinishingschool.blogspot.com/ [email_address] Immediate Dentures:
 
 
 
 
Immediate Complete Denture Conventional immediate denture  -the denture is intended to be  relined to serve as the long-term prosthesis.  Interim (or transitional) immediate denture (IID):   -after healing is completed, a second, new complete denture is to be fabricated as the long-term prosthesis.  (Zarb, George A. Zarb.  Prosthodontic Treatment for Edentulous Patients, 12th Edition . Elsevier, 2003. 9.1).
Immediate RPD Normally made of acrylic with “ball clasps” No posterior teeth –only acrylic “bite pads” Transitional Replaced after healing with cast RPD
Advantages Maintenance of a patient's appearance Circumoral support, muscle tone, vertical dimension of occlusion, jaw relationship, and face height can be maintained. The tongue will not spread out as a result of tooth loss Less postoperative pain is likely to be encountered because the extraction sites are protected Easier to duplicate (if desired) the natural tooth shape and position Adaptation easier. Speech and mastication are rarely compromised, and nutrition can be maintained (Zarb, George A. Zarb.  Prosthodontic Treatment for Edentulous Patients, 12th Edition . Elsevier, 2003. 9.2.1).
Disadvantages Immediate dentures are a more challenging The anterior ridge undercut that is caused by the presence of the remaining teeth may interfere with the impression procedures  The presence of different numbers of remaining teeth in various locations frequently leads to recording incorrectly the centric relation position  No denture tooth try-in in precludes knowing what the denture will actually look like on the day of insertion more chair time, additional appointments, and therefore increased costs  (Zarb, George A. Zarb.  Prosthodontic Treatment for Edentulous Patients, 12th Edition . Elsevier, 2003. 9.2.2).
Explanation to the Patient Concerning Immediate Dentures Do not fit as well as normal complete dentures.  The pain of the extractions, in addition to the sore spots caused by the immediate denture, will make the first week or two after insertion difficult. It will be difficult to eat and speak initially The esthetics may be unpredictable because  an anterior try-in is not possible (Zarb, George A. Zarb.  Prosthodontic Treatment for Edentulous Patients, 12th Edition . Elsevier, 2003. 9.4.3.1).
Explanation to the Patient Concerning Immediate Dentures Immediate dentures must be worn for the first 24 hours without being removed by the patient. If they are removed, they may not be able to be reinserted for 3 to 4 days. The dentist will remove them at the 24-hour visit Immediate dentures will “loosen” during healing, tissue conditioners will be required 6 to 9 months after insertion at least a reline will need to be done, possibly a remake . The patient is responsible for fees.
Technique Examination/Diagnosis/Treatment Plan Informed consent Oral hygiene procedures Extract (usually all) posterior teeth Wait 4 weeks for healing
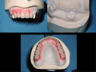
Technique Preliminary impressions Final impressions Jaw relation records Tooth set up and try in Extraction and insertion Post insertion care
Examination/Diagnosis/Treatment Plan Assess tissue undercuts (especially in the anterior maxilla -reduce during extractions -use 2 piece tray for impression Is VDO correct? Imitate or change tooth arrangement for esthetics or denture stability -midlines, occlusal plane, vertical  overlap, length of maxillary incisors Conventional or transitional
Technique Examination/Diagnosis/Treatment Plan Informed consent Oral hygiene procedures Extract (usually all) posterior teeth Wait 4 weeks for healing
Preliminary impressions Use dentate or partially edentulous stock trays
Final Impressions Normally need to use 2 piece custom tray If no large tissue undercuts may be able to us 1 piece custom tray
2 piece tray
 
 
 
1 piece tray
Jaw relation records
 
 
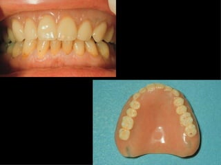
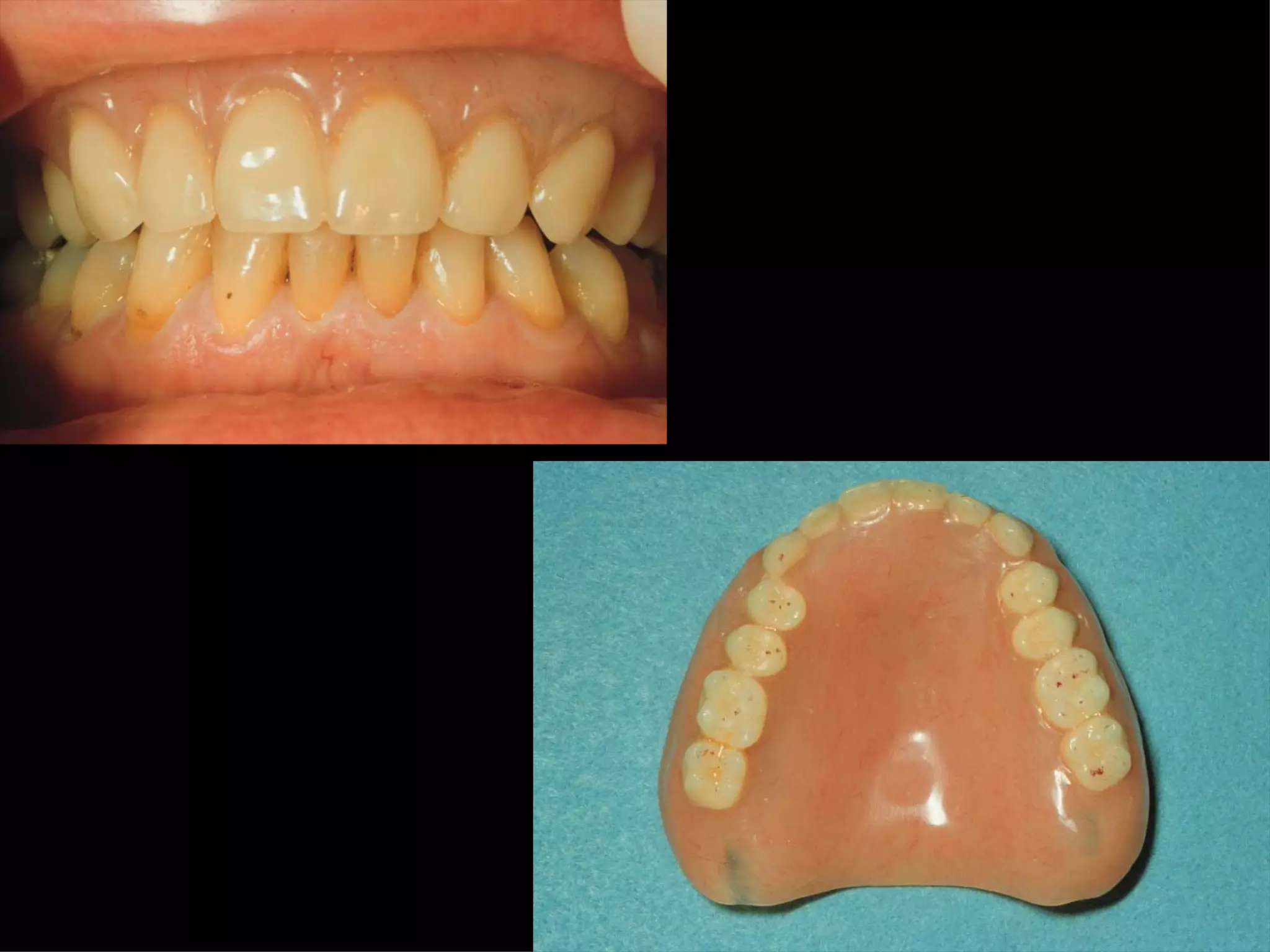
Tooth set up and try in
Extraction and insertion Have lab complete set up and modify cast as directed. -use perio probing to guide cast  modification
 
 
Extraction and insertion Request a surgical stent (guide)
Extraction and insertion Extract teeth Use surgical guide to contour ridge Seat the denture -try not to use of PIP -check for over extensions THE DENTURE MUST BE FULLY SEATED Adjust occlusion Give post insertion instructions
 
Timeline for insertion appointment 0-15 (min) -review med history and LA 15-60 -extractions 60-75 -move patient to pros cluster 75-120 -insert and adjust -instructions
Instructions to patient Do not remove until tomorrow's appointment If it comes loose/out put it back in place immediately Sot/liquid diet for 24 hours Avoid rinsing Take analgesic Expect red saliva
24 hour appointment Remove and clean denture Relieve sore spots Do not use PIP
 
1 week Relieve sore spots Use PIP Refine occlusion
 
Follow up Use tissue conditioner to refit as needed Remove any socket convexities to avoid healing defects  Reline or remake  in 6 to 9 months
 

immediate denture

  • 1.
    An immediate dentureis “a complete denture or removable partial denture fabricated for placement immediately after the removal of natural teeth” dr shabeel pn http://hi-dentfinishingschool.blogspot.com/ [email_address] Immediate Dentures:
  • 2.
  • 3.
  • 4.
  • 5.
  • 6.
    Immediate Complete DentureConventional immediate denture -the denture is intended to be relined to serve as the long-term prosthesis. Interim (or transitional) immediate denture (IID): -after healing is completed, a second, new complete denture is to be fabricated as the long-term prosthesis. (Zarb, George A. Zarb. Prosthodontic Treatment for Edentulous Patients, 12th Edition . Elsevier, 2003. 9.1).
  • 7.
    Immediate RPD Normallymade of acrylic with “ball clasps” No posterior teeth –only acrylic “bite pads” Transitional Replaced after healing with cast RPD
  • 8.
    Advantages Maintenance ofa patient's appearance Circumoral support, muscle tone, vertical dimension of occlusion, jaw relationship, and face height can be maintained. The tongue will not spread out as a result of tooth loss Less postoperative pain is likely to be encountered because the extraction sites are protected Easier to duplicate (if desired) the natural tooth shape and position Adaptation easier. Speech and mastication are rarely compromised, and nutrition can be maintained (Zarb, George A. Zarb. Prosthodontic Treatment for Edentulous Patients, 12th Edition . Elsevier, 2003. 9.2.1).
  • 9.
    Disadvantages Immediate denturesare a more challenging The anterior ridge undercut that is caused by the presence of the remaining teeth may interfere with the impression procedures The presence of different numbers of remaining teeth in various locations frequently leads to recording incorrectly the centric relation position No denture tooth try-in in precludes knowing what the denture will actually look like on the day of insertion more chair time, additional appointments, and therefore increased costs (Zarb, George A. Zarb. Prosthodontic Treatment for Edentulous Patients, 12th Edition . Elsevier, 2003. 9.2.2).
  • 10.
    Explanation to thePatient Concerning Immediate Dentures Do not fit as well as normal complete dentures. The pain of the extractions, in addition to the sore spots caused by the immediate denture, will make the first week or two after insertion difficult. It will be difficult to eat and speak initially The esthetics may be unpredictable because an anterior try-in is not possible (Zarb, George A. Zarb. Prosthodontic Treatment for Edentulous Patients, 12th Edition . Elsevier, 2003. 9.4.3.1).
  • 11.
    Explanation to thePatient Concerning Immediate Dentures Immediate dentures must be worn for the first 24 hours without being removed by the patient. If they are removed, they may not be able to be reinserted for 3 to 4 days. The dentist will remove them at the 24-hour visit Immediate dentures will “loosen” during healing, tissue conditioners will be required 6 to 9 months after insertion at least a reline will need to be done, possibly a remake . The patient is responsible for fees.
  • 12.
    Technique Examination/Diagnosis/Treatment PlanInformed consent Oral hygiene procedures Extract (usually all) posterior teeth Wait 4 weeks for healing
  • 13.
    Technique Preliminary impressionsFinal impressions Jaw relation records Tooth set up and try in Extraction and insertion Post insertion care
  • 14.
    Examination/Diagnosis/Treatment Plan Assesstissue undercuts (especially in the anterior maxilla -reduce during extractions -use 2 piece tray for impression Is VDO correct? Imitate or change tooth arrangement for esthetics or denture stability -midlines, occlusal plane, vertical overlap, length of maxillary incisors Conventional or transitional
  • 15.
    Technique Examination/Diagnosis/Treatment PlanInformed consent Oral hygiene procedures Extract (usually all) posterior teeth Wait 4 weeks for healing
  • 16.
    Preliminary impressions Usedentate or partially edentulous stock trays
  • 17.
    Final Impressions Normallyneed to use 2 piece custom tray If no large tissue undercuts may be able to us 1 piece custom tray
  • 18.
  • 19.
  • 20.
  • 21.
  • 22.
  • 23.
  • 24.
  • 25.
  • 26.
    Tooth set upand try in
  • 27.
    Extraction and insertionHave lab complete set up and modify cast as directed. -use perio probing to guide cast modification
  • 28.
  • 29.
  • 30.
    Extraction and insertionRequest a surgical stent (guide)
  • 31.
    Extraction and insertionExtract teeth Use surgical guide to contour ridge Seat the denture -try not to use of PIP -check for over extensions THE DENTURE MUST BE FULLY SEATED Adjust occlusion Give post insertion instructions
  • 32.
  • 33.
    Timeline for insertionappointment 0-15 (min) -review med history and LA 15-60 -extractions 60-75 -move patient to pros cluster 75-120 -insert and adjust -instructions
  • 34.
    Instructions to patientDo not remove until tomorrow's appointment If it comes loose/out put it back in place immediately Sot/liquid diet for 24 hours Avoid rinsing Take analgesic Expect red saliva
  • 35.
    24 hour appointmentRemove and clean denture Relieve sore spots Do not use PIP
  • 36.
  • 37.
    1 week Relievesore spots Use PIP Refine occlusion
  • 38.
  • 39.
    Follow up Usetissue conditioner to refit as needed Remove any socket convexities to avoid healing defects Reline or remake in 6 to 9 months
  • 40.