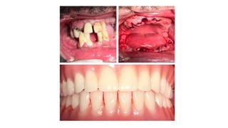
IMMEDIATE
DENTURES
Nikita Aggarwal
1st yr pg
Department Of
Prosthodontics
Preceptor: Dr. Gaurav Issar
CONTENTS
 Introduction
Types of Immediate Dentures
Advantages and Disadvantages
Indications an Contraindications
Clinical and Laboratory procedure
Post operative care
INTRODUCTION- IMMEDIATE
DENTURE
Any fixed or removable dental prosthesis
fabricated for placement immediately
following the removal of a natural
tooth/teeth
- GPT 9
INTERIM/PROVISIONAL
PROSTHESIS
a fixed or removable dental prosthesis, or maxillofacial
prosthesis, designed to enhance esthetics, stabilization,
and/or function for a limited period of time, after which it
is to be replaced by a definitive dental or maxillofacial
prosthesis; often such prostheses are used to assist in
determination of the therapeutic effectiveness of a specific
treatment plan or the form and function of the planned for
definitive prosthesis.
- GPT 9
For a patient facing the loss of
all his/her remaining natural
teeth, there are 4 treatment
options available-
OPTION 1
To remove all remaining teeth and wait for 6-8 months for
the extraction site to heal. The complete denture is made
following healng.
OPTION 2
To convert an existing RPD into an Interim Complete
Denture
OPTION 3
To make a conventional immediate complete denture
OPTION 4
To place implans and fabricate dentures or if some teeth
are healthy can be use as to make an overdenture
TYPES OF IMMEDIATE DENTURES
Conventional (classic)
i. Long term prosthesis
ii. Can be relined
iii. Good stability and
retention at placement
iv. Cost is less
Interim (transitional or non
traditional)
i. Transitional prosthesis
ii. New denture to be made
after healing
iii. Fair stability and
retention which must be
improved by relining
during healing
iv. Cost is higher ( two
dentures will be made)
Prosthetic treatment for edentulous patients, Zarb, Bolender 12th edition
Conventional (classic)
i. Esthetics cannot be
changed
ii. If all post. Teeth are
initially remove, the
V.D.O. is not preserved (
opposing premolars can
be preserved or this)
iii. No transitional denture
Indications
i. Only anterior teeth
remian or a few posterior
that do not support the
existing R.P.D.
ii. Two extraction visits are
feasible
Interim (transitional or non
traditional)
i. Esthetics can be improved in
the second denture
ii. As post. Teeth need not be
removed before fabrication
of IID, the V.D.O. may be
preserved.
iii. Can be made from
transitional denture
Indications
i. When multiple anterior and
posterior teeth are present or
existing R.P.D. that patient
wishes to retain until
insertion – esthetics ;
function
TRANSITIONAL IMMEDIATE
DENTURE
It is an interim immediate
denture.
However it is a R.P.D. serving
as an interim preosthesis to
which artificial teth will be
added as all the natural teeth
are lost.
It may become an interim
complete denture when all of
the natural teeth have been
removed from the dental
CLASSIFICATION BY ARTHUR M. LAVERA AND ARTHUR
J. KROL - 1973
According to buccal flange, ICDs can be classified into
three categories:
(i) Immediate complete denture at the full labial buccal
flange, which has a vestibule portion identical to a
conventional denture; in this case, a surgical preparation
of the mouth vestibule is required
(ii) Immediate complete denture with partial buccal
flange in which only the initial portion of the buccal side
is made, above the cervical edge of artificial teeth. This
procedure does not require bone surgery because it
does not reach the undercut area of the alveolar ridge;
(iii) Immediate complete denture without vestibule
flange, having teeth mounted directly on the alveolar
ridge (it shows better aesthetic results but may fail to
provide adequate lip support when there is bone
ADVANTAGES
1. Maintenance of patient’s appearance as they are not
without teeth even for a day
Psychological and social well being is
preserved as the patient does not
have to go without teeth, no
interruption of normal lifestyle.
2. Bandage or ressing effect to the wounds of
exraction and alveolectomy.
-Controls haemorrhage
-Prevents outside contamination of wound
-Maintain rugs or other therapeutic agents at
the site of the wounds
3. Less post-operative pain as extraction site is
protected.
4. Vertical dimension, jaw relation, muscle tone,
facial height and tongue position is maintained.
5. The horizonatal and vertical position of anterior
teeth can be more accurately replicated
6. Patient is likely to adapt more easily to dentures
at the same time that recovery from surgery is
progressing.
7. Speech and mastication are rarely compromised
and nutrition is maintained.
8. Tissue conditioning material allows for
correction and refinement of denture fitting
surface
DISADVANTAGES
1. The presense of different number of remaining
teeth in various locations frequently leads to
incorrect recording of centric relation and V.D.O.
2. It is a more difficult and demanding procedure,
more chair time, additional appointments and
therefore increased costs are unavoidable.
3. Interim relines with tissue conditioners will be
neeed periodically.
4. There is no opportunity to observe the anterior
teeth at the try-in appointment;esthetic result
cannot be evaluated.
INDICATIONS
i. Patient is socially active
ii. Good health
iii. Available time and can afford multiple visits
CONTRAINDICATIONS
1. Emotionally disturbe indivisuals with
psychological disorers
2. Poor surgical risks-
• Cardiac / Endocrine disturbances
• Systemic condition that effects blood clotting
• Post irradiation of the head and neck regions
3. Uncooperative patients
4. Patients with extensive bone loss
CLINICAL AND LAB PROCEDURE
PROTECTION OF LOOSE TEETH FROM
EXTRACTION DURING PRELIMINARYOR
FINAL IMPRESSION PROCEDURES
CUSTOM TRAY
SINGLE FULL ARCH CUSTOM
IMPRESSION TRAY
TWO TRAYS OR SECTIONAL
IMPRESSION TRAY
THE CAMPAGNA COMBINATION
IMPRESSION
CAST MODIFICATION
Most well known methos are-
1. Standard (1958)
2. Jerbi (1961)
3. Spatial Modelling (2008)
Phoenix, R. D., & Fleigel, J. D. (2008). Cast modification
for immediate complete dentures: Traditional and
contemporary considerations with an introduction of
spatial modeling. The Journal of Prosthetic Dentistry,
100(5), 399–405. doi:10.1016/s0022-3913(08)60244-9
STANDARD
JERBI
Both the above techniques yielded reasonable
success on clinical observation
Though there is overzealous reduction at the
facial, lingual and interproximal areas.
Dentures bases would bind in these aras during
placement preventing the complete seating,
necessitating the adjustment of denture base,
supporting hard and soft tissues or both.
SPATIAL
MODELLING
SURGICAL TEMPLATE
I. Accurate adaptation
of an immediate
denture to
underlying tissue is
desirable for the
comfort of the
patient and health
of tissues
II. Accurate adaptation
in the surgical site I
Hence a surgical template is recommended
It is a thin, transparent form duplicating the tissue
surface of an immediate denture and is used as a
guide for surgically shaping the alveolar process.
SURGICAL TEMPLATE
Four methods-
1. Vacuum form method
2. Sprinkle on technique (using clear acrylic resin)
3. Light cured clear material
4. Process the etemlatein clear acrylic resin, create
by waxing up flasking and heat processing.
Advantages
Areas of binding are
clearly identified by
blanching of
theunderlying soft
tissues. Clinicians use this
information to guide
osseous recontouring at
the time of extraction
Hence improved seating
of immediate denture and
minimized damage to soft
tissues
Disadvantages
Modifications are
performed at the expense
of valuable osseous
tissues.
COMPARISON
While transparent surgical guides are an
indispensable component of immediate denture
therapy, they should not mandate unnecessary
reduction of the supporting bone.
Instead, cast modification should be performed
with a thorough appreciation for the spatial
arrangement and physical characters of the
supporting hard and soft tissues.
POST OPERATIVE CARE AND
PATIENT INSTRUCTIONS
The first 24 hours
1. Patient is instructed not to remove the denture
from the mouth
2. Avoid rinsing, drinking hot liquids or alcohol.
3. soft or liquid diet
FIRST VISIT AFTER DENTURE
INSERTION
Ask the patient where they feel sore
Remove the denture and wash it
Check the tissue for sore spots, relate to the
denture. This will appear as strawberry re spots.
Adjust any gross occlusal discrepancy in centric
relation or excursions
Re-evaluate the denture for retention, place tissue
conditioner if retention is unsatisfactory.
FIRST POSTOPERATIVE WEEK
FURTHER FOLLOW UP CARE
DENTURE RELINE
CONCLUSION
REFERENCES
1. Glossary of prosthodontics terms, 9th edition
2. Immediate denture service; Arthur m lavere and Arthur j krol (JPD jan 1973 vol 29
no 1,10-15)
3. Phoenix, R. D., & Fleigel, J. D. (2008). Cast modification for immediate complete
dentures: Traditional and contemporary considerations with an introduction of
spatial modeling. The Journal of Prosthetic Dentistry, 100(5), 399–
405. doi:10.1016/s0022-3913(08)60244-9
4. Immediate dentures: a clinical review and case repot (J Odontol Res
2015;3(1)44-48. )
5. Annals of Dental Research (2013) Vol 2 Suppl 1: 114-118 Ā© Mind Reader
Publications: All Rights Reserved

Immediate dentures

  • 1.
    IMMEDIATE DENTURES Nikita Aggarwal 1st yrpg Department Of Prosthodontics Preceptor: Dr. Gaurav Issar
  • 2.
    CONTENTS  Introduction Types ofImmediate Dentures Advantages and Disadvantages Indications an Contraindications Clinical and Laboratory procedure Post operative care
  • 3.
    INTRODUCTION- IMMEDIATE DENTURE Any fixedor removable dental prosthesis fabricated for placement immediately following the removal of a natural tooth/teeth - GPT 9
  • 4.
    INTERIM/PROVISIONAL PROSTHESIS a fixed orremovable dental prosthesis, or maxillofacial prosthesis, designed to enhance esthetics, stabilization, and/or function for a limited period of time, after which it is to be replaced by a definitive dental or maxillofacial prosthesis; often such prostheses are used to assist in determination of the therapeutic effectiveness of a specific treatment plan or the form and function of the planned for definitive prosthesis. - GPT 9
  • 6.
    For a patientfacing the loss of all his/her remaining natural teeth, there are 4 treatment options available-
  • 7.
    OPTION 1 To removeall remaining teeth and wait for 6-8 months for the extraction site to heal. The complete denture is made following healng.
  • 8.
    OPTION 2 To convertan existing RPD into an Interim Complete Denture OPTION 3 To make a conventional immediate complete denture
  • 9.
    OPTION 4 To placeimplans and fabricate dentures or if some teeth are healthy can be use as to make an overdenture
  • 10.
    TYPES OF IMMEDIATEDENTURES Conventional (classic) i. Long term prosthesis ii. Can be relined iii. Good stability and retention at placement iv. Cost is less Interim (transitional or non traditional) i. Transitional prosthesis ii. New denture to be made after healing iii. Fair stability and retention which must be improved by relining during healing iv. Cost is higher ( two dentures will be made) Prosthetic treatment for edentulous patients, Zarb, Bolender 12th edition
  • 11.
    Conventional (classic) i. Estheticscannot be changed ii. If all post. Teeth are initially remove, the V.D.O. is not preserved ( opposing premolars can be preserved or this) iii. No transitional denture Indications i. Only anterior teeth remian or a few posterior that do not support the existing R.P.D. ii. Two extraction visits are feasible Interim (transitional or non traditional) i. Esthetics can be improved in the second denture ii. As post. Teeth need not be removed before fabrication of IID, the V.D.O. may be preserved. iii. Can be made from transitional denture Indications i. When multiple anterior and posterior teeth are present or existing R.P.D. that patient wishes to retain until insertion – esthetics ; function
  • 12.
    TRANSITIONAL IMMEDIATE DENTURE It isan interim immediate denture. However it is a R.P.D. serving as an interim preosthesis to which artificial teth will be added as all the natural teeth are lost. It may become an interim complete denture when all of the natural teeth have been removed from the dental
  • 13.
    CLASSIFICATION BY ARTHURM. LAVERA AND ARTHUR J. KROL - 1973 According to buccal flange, ICDs can be classified into three categories: (i) Immediate complete denture at the full labial buccal flange, which has a vestibule portion identical to a conventional denture; in this case, a surgical preparation of the mouth vestibule is required
  • 14.
    (ii) Immediate completedenture with partial buccal flange in which only the initial portion of the buccal side is made, above the cervical edge of artificial teeth. This procedure does not require bone surgery because it does not reach the undercut area of the alveolar ridge; (iii) Immediate complete denture without vestibule flange, having teeth mounted directly on the alveolar ridge (it shows better aesthetic results but may fail to provide adequate lip support when there is bone
  • 15.
    ADVANTAGES 1. Maintenance ofpatient’s appearance as they are not without teeth even for a day Psychological and social well being is preserved as the patient does not have to go without teeth, no interruption of normal lifestyle.
  • 16.
    2. Bandage orressing effect to the wounds of exraction and alveolectomy. -Controls haemorrhage -Prevents outside contamination of wound -Maintain rugs or other therapeutic agents at the site of the wounds
  • 17.
    3. Less post-operativepain as extraction site is protected. 4. Vertical dimension, jaw relation, muscle tone, facial height and tongue position is maintained. 5. The horizonatal and vertical position of anterior teeth can be more accurately replicated
  • 18.
    6. Patient islikely to adapt more easily to dentures at the same time that recovery from surgery is progressing. 7. Speech and mastication are rarely compromised and nutrition is maintained. 8. Tissue conditioning material allows for correction and refinement of denture fitting surface
  • 19.
    DISADVANTAGES 1. The presenseof different number of remaining teeth in various locations frequently leads to incorrect recording of centric relation and V.D.O. 2. It is a more difficult and demanding procedure, more chair time, additional appointments and therefore increased costs are unavoidable.
  • 20.
    3. Interim relineswith tissue conditioners will be neeed periodically. 4. There is no opportunity to observe the anterior teeth at the try-in appointment;esthetic result cannot be evaluated.
  • 21.
    INDICATIONS i. Patient issocially active ii. Good health iii. Available time and can afford multiple visits
  • 22.
    CONTRAINDICATIONS 1. Emotionally disturbeindivisuals with psychological disorers 2. Poor surgical risks- • Cardiac / Endocrine disturbances • Systemic condition that effects blood clotting • Post irradiation of the head and neck regions 3. Uncooperative patients 4. Patients with extensive bone loss
  • 23.
  • 25.
    PROTECTION OF LOOSETEETH FROM EXTRACTION DURING PRELIMINARYOR FINAL IMPRESSION PROCEDURES
  • 26.
  • 27.
    SINGLE FULL ARCHCUSTOM IMPRESSION TRAY
  • 28.
    TWO TRAYS ORSECTIONAL IMPRESSION TRAY
  • 29.
  • 31.
    CAST MODIFICATION Most wellknown methos are- 1. Standard (1958) 2. Jerbi (1961) 3. Spatial Modelling (2008) Phoenix, R. D., & Fleigel, J. D. (2008). Cast modification for immediate complete dentures: Traditional and contemporary considerations with an introduction of spatial modeling. The Journal of Prosthetic Dentistry, 100(5), 399–405. doi:10.1016/s0022-3913(08)60244-9
  • 32.
  • 33.
  • 35.
    Both the abovetechniques yielded reasonable success on clinical observation Though there is overzealous reduction at the facial, lingual and interproximal areas. Dentures bases would bind in these aras during placement preventing the complete seating, necessitating the adjustment of denture base, supporting hard and soft tissues or both.
  • 37.
  • 38.
    SURGICAL TEMPLATE I. Accurateadaptation of an immediate denture to underlying tissue is desirable for the comfort of the patient and health of tissues II. Accurate adaptation in the surgical site I
  • 39.
    Hence a surgicaltemplate is recommended It is a thin, transparent form duplicating the tissue surface of an immediate denture and is used as a guide for surgically shaping the alveolar process.
  • 40.
    SURGICAL TEMPLATE Four methods- 1.Vacuum form method 2. Sprinkle on technique (using clear acrylic resin) 3. Light cured clear material 4. Process the etemlatein clear acrylic resin, create by waxing up flasking and heat processing.
  • 41.
    Advantages Areas of bindingare clearly identified by blanching of theunderlying soft tissues. Clinicians use this information to guide osseous recontouring at the time of extraction Hence improved seating of immediate denture and minimized damage to soft tissues Disadvantages Modifications are performed at the expense of valuable osseous tissues.
  • 42.
  • 43.
    While transparent surgicalguides are an indispensable component of immediate denture therapy, they should not mandate unnecessary reduction of the supporting bone. Instead, cast modification should be performed with a thorough appreciation for the spatial arrangement and physical characters of the supporting hard and soft tissues.
  • 44.
    POST OPERATIVE CAREAND PATIENT INSTRUCTIONS The first 24 hours 1. Patient is instructed not to remove the denture from the mouth 2. Avoid rinsing, drinking hot liquids or alcohol. 3. soft or liquid diet
  • 45.
    FIRST VISIT AFTERDENTURE INSERTION Ask the patient where they feel sore Remove the denture and wash it Check the tissue for sore spots, relate to the denture. This will appear as strawberry re spots. Adjust any gross occlusal discrepancy in centric relation or excursions
  • 46.
    Re-evaluate the denturefor retention, place tissue conditioner if retention is unsatisfactory.
  • 47.
  • 48.
  • 49.
  • 50.
  • 51.
    REFERENCES 1. Glossary ofprosthodontics terms, 9th edition 2. Immediate denture service; Arthur m lavere and Arthur j krol (JPD jan 1973 vol 29 no 1,10-15) 3. Phoenix, R. D., & Fleigel, J. D. (2008). Cast modification for immediate complete dentures: Traditional and contemporary considerations with an introduction of spatial modeling. The Journal of Prosthetic Dentistry, 100(5), 399– 405. doi:10.1016/s0022-3913(08)60244-9 4. Immediate dentures: a clinical review and case repot (J Odontol Res 2015;3(1)44-48. ) 5. Annals of Dental Research (2013) Vol 2 Suppl 1: 114-118 Ā© Mind Reader Publications: All Rights Reserved

Editor's Notes

  • #34Ā c. One mm deep recess made in the area occupied by the root d. Vertical cut from the facial surface of prepared socket to the line denoting junction of middle and cervical third of facial surface Cut from faciolingual centre of socket to midway point of the cut described in previos figure Floor of prepred socket extened lingually
  • #38Ā Cast modification based upon spatial modeling. A, Bone levels superimposed upon cross-section of a representative posterior segment. B, Coronal segment is removed using saw or laboratory engine. C, Two lines are placed on surface of cast. One line arcs from mesiofacial line angle to distofacial line angle, and is located 2 mm lingual to midfacial surface. Second line is parallel to and 4 mm from gingival margin. D, Sharp blade or laboratory engine is used to connect lines drawn in Figure 5, C . E, Two lines also guide lingual reduction. One line arcs from mesiolingual line angle to distolingual line angle, and is located 2 mm facial to midlingual surface. Second line is parallel to and 2 mm from gingival margin. F, Sharp blade is used to connect lines drawn in Figure 5, E. G, Sharp angles and lines are eliminated, thereby creating gently rounded faciolingual contour. H, Foregoing cast modifications permit natural collapse of soft tissues into extraction site to minimize likelihood of binding or tissue compression during placement of prosthesis. . I, Resultant reduction shown. Broken line indicates premodification contours. J, Cross-sectional view of tooth placement and denture base contours as determined by spatial modeling. K, Mesiodistal cross-section of cast with osseous contours superimposed. Papillae are shortened and rounded to simulate collapse that occurs following extraction of adjacent teeth. Broken line indicates premodification contours. L, Papillae may collapse due to their relationships with underlying interradicular bone. Papillae also may ā€œrollā€ as depicted in Figure 5, H.
  • #43Ā The method introduce in the article yields least facial reduction and is least likely to hinder the clinicalplacement process./ facial binding/ damage to soft tissue/ stabbing crushing discomfort on placement of prosthesis due to trapping of soft tissues between denture base and bone.