Interstitial Lung Diseases
for CMTs
Dr Laura-Jane Smith
Respiratory Registrar, Whittington Hospital
Honorary Clinical Lecturer in Medical Education, UCL
@drlaurajane
http://www.slideshare.net/_elljay_
June 2015
Objectives
• Describe what ILDs are
• Explain the basis of the classification of ILDs
• List the steps in diagnosis of ILDs
• Update evidence for treatment of IPF
• List the specific features of some interesting
ILDs
pneumonia ≠ infection
Task 1
Interstitial Lung Diseases – what are they?
Clinical
RadiologicalPathological
Speed of progression
Symptoms
Associated conditions
Age
Sex
Ethnicity
UIP vs NSIP
Granuloma
Fibrosis
Inflammation
UIP-like pattern
NSIP-like pattern
Distribution
Honeycombing
Ground glass
Nodules
Cysts
UIP NSIP
Interstitial lung diseases
Sarcoidosis
Idiopathic
(IPF)
Associated
with
connective
tissue
disease
Radiotherapy
Drugs Post-ARDS
Pulmonary fibrosis Hypersensitivity
pneumonitis Rare / infiltrations
(Lymphangitis
carcinomatosis)
LIP
Eosinophilic
pneumonias
Organising
pneumonia
LAM
Histiocytosis X
Pneumoconiosis
amyloid
Histology can be UIP or NSIP
End stage of many ILDs have
similar appearances to UIP Alveolar
proteinosis
ILD: classification
Other
RB-ILDDIP
Dear colleague,
I’d be grateful if you would see this 76 year
old actor who has a 7 month history of
breathlessness and cough.
Heart sounds are normal and he has no
peripheral oedema. Chest expansion equal.
There are bibasal crackles. Sats 95% on air.
PMH: HTN
Meds: amlodipine 5mg OD
Lives with husband. Smokes occasional
cigar but no cigarettes.
Best wishes,
Dr GP
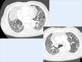
Investigations
FEV1 2.25L (59% predicted) FVC 2.74L (65% predicted) ratio 0.82
Total lung volume 79% predicted, TLCO 48% predicted.
CXR
CT
Interstitial lung diseases
Sarcoidosis
Idiopathic
(IPF)
Associated
with
connective
tissue
disease
Radiotherapy
Drugs Post-ARDS
Pulmonary fibrosis Hypersensitivity
pneumonitis Rare / infiltrations
RB-ILD
Eosinophilic
pneumonias
Organising
pneumonia
LAM
Histiocytosis X
Pneumoconiosis
Alveolar
proteinosis
ILD: classification
60% ILDs
LIP
10-20% ILDs
Usually UIP Usually NSIP
Asbestosis
End stage of many ILDs is fibrosis
5-15% RTX pts
within 1-3/12,
progresses over
6-12/12
Lymphangitis
carcinomatosis
Other
Eosinophilic
pneumonias
Chronic
aspiration
Organising
pneumonia
LAM
Histiocytosis X
amyloid
Alveolar
proteinosis
DIP
Idiopathic Pulmonary Fibrosis
• Incidence 14-43/100000 worldwide
• 2000 new cases/yr in UK
• Median age of presentation 70yrs
• Progressive breathlessness over months-yrs
• Dry cough
• Finger clubbing 15-20%
• Fine, late inspiratory ‘Velcro’ crackles
Idiopathic Pulmonary Fibrosis
Activation of coagulation
Adapted from: Camelo, Ana, et al. "The
epithelium in idiopathic pulmonary
fibrosis: breaking the barrier." Frontiers
in pharmacology 4 (2013).
Investigations
Bloods: exclude specific causes
Lung function tests: restrictive defect, small lung
volumes, reduced transfer factor
Imaging: thickened interlobular septa, ground glass
infiltration, and honeycombing in a sub-pleural and
basal distribution
Bronchoscopy: BAL/EBUS helps exclude other
diagnoses and infection
Lung biopsy: Surgical/VATS biopsy is considered only
if the diagnosis is unclear and will change
management
Table from Eureka: Respiratory Medicine. Smith, Brown, Quint. 2015.
Prognosis
• Insidious disease progression
– Rate of decline in FVC ~150-200mL/yr
– Periods of acute deterioration, unpredictable
• Prognosis very poor
– Most die within 5-10 years
– 20-30% alive at 5 years after diagnosis
Treatment
Task 2
Treatment
• Stop smoking
• Treat contributors – drugs, reflux
• Oral corticosteroids
• NAC
• Immunosuppresion: azathioprine,
cyclophosphamide
• Newer drugs: perfenidone, nintedanib
Specialist ILD MDT decision-making
Treatment
• 1999 ATS/ERS statement recommended ‘standard
therapy’ for IPF based on expert opinion and several
small cohort studies – Azathioprine and Prednisolone
• IFIGENIA – Idiopathic Pulmonary Fibrosis
International Group exploring N-acetylcysteine I
Annual
– 3 Drug Regimen (PAN) preserved Pulmonary
Function > 2 Drug Regimen (PN)
N Engl J Med 2005;353:2229-42.
Prednisone, Azathioprine, and N-Acetylcysteine for Pulmonary
Fibrosis. (2012). New England Journal of Medicine, 366(21), 1968–
1977. doi:10.1056/NEJMoa1113354
RCT of NAC
Martinez, Fernando J., et al. "Randomized Trial of N-acetylcysteine in Idiopathic Pulmonary
Fibrosis." The New England journal of medicine 370.22 (2014): 2093.
Recent trials
• The ASCEND trial: A Phase 3 Trial of Pirfenidone in Patients with
Idiopathic Pulmonary Fibrosis; N Engl J Med 2014;370:2083-92.
– Oral Anti-fibrotic Therapy
– Reduced Disease Progression (Lung Function, Exercise
Tolerance, Progression Free Survival)
– Fewer Deaths
• Efficacy & Safety of Nintedanib in Idiopathic Pulmonary Fibrosis; N
Engl J Med 2014;370:2071-82.
– Intracellular Inhibitor of Multiple Tyrosine Kinases
– Reduced Decline in FVC – Slowing of Disease Progression
– Associated with Diarrhoea, < 5% Drop Out
From: Adamali, Huzaifa I., and Toby M. Maher. "Current and
novel drug therapies for idiopathic pulmonary fibrosis." Drug
design, development and therapy 6 (2012): 261.
https://adventuresofabluegirl.wordpress.com/2015/05/27/adve
ntures-galore/
“It's frightening, life changing. Life becomes very
small, stuck in house. Breathlessness is
terrifying.”
Interstitial lung diseases
Sarcoidosis
Idiopathic
(IPF)
Associated
with
connective
tissue
disease
Radiotherapy
Drugs Post-ARDS
Pulmonary fibrosis Hypersensitivity
pneumonitis Rare / infiltrations
RB-ILD
Eosinophilic
pneumonias
Organising
pneumonia
LAM
Histiocytosis X
Pneumoconiosis
Alveolar
proteinosis
ILD: classification
60% ILDs
10-20% ILDs
Usually UIP Usually NSIP
End stage of many ILDs is fibrosis
5-15% RTX pts
within 1-3/12,
progresses over
6-12/12
Lymphangitis
carcinomatosis
Other
LIP
Chronic
aspiration
Asbestosis
Eosinophilic
pneumonias
Organising
pneumonia
LAM
Histiocytosis X
amyloid
Alveolar
proteinosis
DIP
Task 3
Table from Eureka: Respiratory Medicine. Smith, Brown, Quint. 2015.
Interstitial lung diseases
Sarcoidosis
Idiopathic
(IPF)
Associated
with
connective
tissue
disease
Radiotherapy
Drugs Post-ARDS
Pulmonary fibrosis Hypersensitivity
pneumonitis Rare / infiltrations
Lymphangitis
carcinomatosis
LIP
Eosinophilic
pneumonias
Organising
pneumonia
LAM
Histiocytosis X
Pneumoconiosis
amyloid
Alveolar
proteinosis
ILD: classification
Other
RB-ILDDIP
acute vs chronic
Examples
Interstitial lung diseases
Sarcoidosis
Idiopathic
(IPF)
Associated
with
connective
tissue
disease
Radiotherapy
Drugs Post-ARDS
Pulmonary fibrosis Hypersensitivity
pneumonitis Rare / infiltrations
Lymphangitis
carcinomatosis
LIP
Eosinophilic
pneumonias
Organising
pneumonia
LAM
Histiocytosis X
Pneumoconiosis
amyloid
Alveolar
proteinosis
ILD: classification
Other
RB-ILDDIP
Examples of rare ILDs
QUESTIONS?
Key points
• Interstitial lung diseases are a heterogenous
group of diseases featuring non-infective
infiltrations of the interstitium and alveoli
• Patients present with breathlessness and cough
• Patients have a restrictive deficit on spirometry
and reduced transfer factor
• Some patterns on HRCT are characteristic
• The key to diagnosis is clinical, radiological and
histological correlation
• IPF is a distinct disease which is incurable and
often has a poor prognosis, but new treatments
are emerging
Dr Laura-Jane Smith
@drlaurajane
http://www.slideshare.net/_elljay_
Task 1
UIP: usual interstitial
pneumonia
ILD: interstitial lung disease
IPF: idiopathic pulmonary
fibrosis
NSIP: non-specific interstitial
pneumonia
DPLD: diffuse parenchymal
lung disease
CFA: cryptogenic fibrosing
alveolitis
LIP: lymphocytic interstitial
pneumonia
DIP: desquamative interstitial
pneumonia
COP: chronic organising
pneumonia
HP: hypersensitivity
pneumonitis
RB-ILD: respiratory
bronchiolitis ILD
ARDS: acute resp distress
syndrome
UIP
ILD
IPF
LIP
DIP
COP
HP
NSIP
ARDS
RB-ILD
CFA
DPLD

ILDs for CMTs

  • 1.
    Interstitial Lung Diseases forCMTs Dr Laura-Jane Smith Respiratory Registrar, Whittington Hospital Honorary Clinical Lecturer in Medical Education, UCL @drlaurajane http://www.slideshare.net/_elljay_ June 2015
  • 2.
    Objectives • Describe whatILDs are • Explain the basis of the classification of ILDs • List the steps in diagnosis of ILDs • Update evidence for treatment of IPF • List the specific features of some interesting ILDs
  • 3.
  • 4.
  • 5.
    Interstitial Lung Diseases– what are they?
  • 6.
    Clinical RadiologicalPathological Speed of progression Symptoms Associatedconditions Age Sex Ethnicity UIP vs NSIP Granuloma Fibrosis Inflammation UIP-like pattern NSIP-like pattern Distribution Honeycombing Ground glass Nodules Cysts
  • 7.
  • 8.
    Interstitial lung diseases Sarcoidosis Idiopathic (IPF) Associated with connective tissue disease Radiotherapy DrugsPost-ARDS Pulmonary fibrosis Hypersensitivity pneumonitis Rare / infiltrations (Lymphangitis carcinomatosis) LIP Eosinophilic pneumonias Organising pneumonia LAM Histiocytosis X Pneumoconiosis amyloid Histology can be UIP or NSIP End stage of many ILDs have similar appearances to UIP Alveolar proteinosis ILD: classification Other RB-ILDDIP
  • 9.
    Dear colleague, I’d begrateful if you would see this 76 year old actor who has a 7 month history of breathlessness and cough. Heart sounds are normal and he has no peripheral oedema. Chest expansion equal. There are bibasal crackles. Sats 95% on air. PMH: HTN Meds: amlodipine 5mg OD Lives with husband. Smokes occasional cigar but no cigarettes. Best wishes, Dr GP
  • 10.
    Investigations FEV1 2.25L (59%predicted) FVC 2.74L (65% predicted) ratio 0.82 Total lung volume 79% predicted, TLCO 48% predicted. CXR CT
  • 12.
    Interstitial lung diseases Sarcoidosis Idiopathic (IPF) Associated with connective tissue disease Radiotherapy DrugsPost-ARDS Pulmonary fibrosis Hypersensitivity pneumonitis Rare / infiltrations RB-ILD Eosinophilic pneumonias Organising pneumonia LAM Histiocytosis X Pneumoconiosis Alveolar proteinosis ILD: classification 60% ILDs LIP 10-20% ILDs Usually UIP Usually NSIP Asbestosis End stage of many ILDs is fibrosis 5-15% RTX pts within 1-3/12, progresses over 6-12/12 Lymphangitis carcinomatosis Other Eosinophilic pneumonias Chronic aspiration Organising pneumonia LAM Histiocytosis X amyloid Alveolar proteinosis DIP
  • 13.
    Idiopathic Pulmonary Fibrosis •Incidence 14-43/100000 worldwide • 2000 new cases/yr in UK • Median age of presentation 70yrs • Progressive breathlessness over months-yrs • Dry cough • Finger clubbing 15-20% • Fine, late inspiratory ‘Velcro’ crackles
  • 14.
    Idiopathic Pulmonary Fibrosis Activationof coagulation Adapted from: Camelo, Ana, et al. "The epithelium in idiopathic pulmonary fibrosis: breaking the barrier." Frontiers in pharmacology 4 (2013).
  • 15.
    Investigations Bloods: exclude specificcauses Lung function tests: restrictive defect, small lung volumes, reduced transfer factor Imaging: thickened interlobular septa, ground glass infiltration, and honeycombing in a sub-pleural and basal distribution Bronchoscopy: BAL/EBUS helps exclude other diagnoses and infection Lung biopsy: Surgical/VATS biopsy is considered only if the diagnosis is unclear and will change management
  • 16.
    Table from Eureka:Respiratory Medicine. Smith, Brown, Quint. 2015.
  • 17.
    Prognosis • Insidious diseaseprogression – Rate of decline in FVC ~150-200mL/yr – Periods of acute deterioration, unpredictable • Prognosis very poor – Most die within 5-10 years – 20-30% alive at 5 years after diagnosis
  • 18.
  • 19.
    Treatment • Stop smoking •Treat contributors – drugs, reflux • Oral corticosteroids • NAC • Immunosuppresion: azathioprine, cyclophosphamide • Newer drugs: perfenidone, nintedanib Specialist ILD MDT decision-making
  • 20.
    Treatment • 1999 ATS/ERSstatement recommended ‘standard therapy’ for IPF based on expert opinion and several small cohort studies – Azathioprine and Prednisolone • IFIGENIA – Idiopathic Pulmonary Fibrosis International Group exploring N-acetylcysteine I Annual – 3 Drug Regimen (PAN) preserved Pulmonary Function > 2 Drug Regimen (PN) N Engl J Med 2005;353:2229-42.
  • 21.
    Prednisone, Azathioprine, andN-Acetylcysteine for Pulmonary Fibrosis. (2012). New England Journal of Medicine, 366(21), 1968– 1977. doi:10.1056/NEJMoa1113354
  • 22.
    RCT of NAC Martinez,Fernando J., et al. "Randomized Trial of N-acetylcysteine in Idiopathic Pulmonary Fibrosis." The New England journal of medicine 370.22 (2014): 2093.
  • 23.
    Recent trials • TheASCEND trial: A Phase 3 Trial of Pirfenidone in Patients with Idiopathic Pulmonary Fibrosis; N Engl J Med 2014;370:2083-92. – Oral Anti-fibrotic Therapy – Reduced Disease Progression (Lung Function, Exercise Tolerance, Progression Free Survival) – Fewer Deaths • Efficacy & Safety of Nintedanib in Idiopathic Pulmonary Fibrosis; N Engl J Med 2014;370:2071-82. – Intracellular Inhibitor of Multiple Tyrosine Kinases – Reduced Decline in FVC – Slowing of Disease Progression – Associated with Diarrhoea, < 5% Drop Out
  • 24.
    From: Adamali, HuzaifaI., and Toby M. Maher. "Current and novel drug therapies for idiopathic pulmonary fibrosis." Drug design, development and therapy 6 (2012): 261.
  • 27.
    https://adventuresofabluegirl.wordpress.com/2015/05/27/adve ntures-galore/ “It's frightening, lifechanging. Life becomes very small, stuck in house. Breathlessness is terrifying.”
  • 28.
    Interstitial lung diseases Sarcoidosis Idiopathic (IPF) Associated with connective tissue disease Radiotherapy DrugsPost-ARDS Pulmonary fibrosis Hypersensitivity pneumonitis Rare / infiltrations RB-ILD Eosinophilic pneumonias Organising pneumonia LAM Histiocytosis X Pneumoconiosis Alveolar proteinosis ILD: classification 60% ILDs 10-20% ILDs Usually UIP Usually NSIP End stage of many ILDs is fibrosis 5-15% RTX pts within 1-3/12, progresses over 6-12/12 Lymphangitis carcinomatosis Other LIP Chronic aspiration Asbestosis Eosinophilic pneumonias Organising pneumonia LAM Histiocytosis X amyloid Alveolar proteinosis DIP
  • 29.
  • 30.
    Table from Eureka:Respiratory Medicine. Smith, Brown, Quint. 2015.
  • 31.
    Interstitial lung diseases Sarcoidosis Idiopathic (IPF) Associated with connective tissue disease Radiotherapy DrugsPost-ARDS Pulmonary fibrosis Hypersensitivity pneumonitis Rare / infiltrations Lymphangitis carcinomatosis LIP Eosinophilic pneumonias Organising pneumonia LAM Histiocytosis X Pneumoconiosis amyloid Alveolar proteinosis ILD: classification Other RB-ILDDIP acute vs chronic
  • 33.
  • 34.
    Interstitial lung diseases Sarcoidosis Idiopathic (IPF) Associated with connective tissue disease Radiotherapy DrugsPost-ARDS Pulmonary fibrosis Hypersensitivity pneumonitis Rare / infiltrations Lymphangitis carcinomatosis LIP Eosinophilic pneumonias Organising pneumonia LAM Histiocytosis X Pneumoconiosis amyloid Alveolar proteinosis ILD: classification Other RB-ILDDIP
  • 37.
  • 38.
  • 39.
    Key points • Interstitiallung diseases are a heterogenous group of diseases featuring non-infective infiltrations of the interstitium and alveoli • Patients present with breathlessness and cough • Patients have a restrictive deficit on spirometry and reduced transfer factor • Some patterns on HRCT are characteristic • The key to diagnosis is clinical, radiological and histological correlation • IPF is a distinct disease which is incurable and often has a poor prognosis, but new treatments are emerging
  • 40.
  • 41.
    Task 1 UIP: usualinterstitial pneumonia ILD: interstitial lung disease IPF: idiopathic pulmonary fibrosis NSIP: non-specific interstitial pneumonia DPLD: diffuse parenchymal lung disease CFA: cryptogenic fibrosing alveolitis LIP: lymphocytic interstitial pneumonia DIP: desquamative interstitial pneumonia COP: chronic organising pneumonia HP: hypersensitivity pneumonitis RB-ILD: respiratory bronchiolitis ILD ARDS: acute resp distress syndrome
  • 42.
  • 43.

Editor's Notes

  • #6 Heterogeneous group of non-neoplastic disorders resulting from damage to the lung parenchyma by varying patterns of inflammation and fibrosis. The interstitium includes the space between the epithelial and endothelial basement membranes and it is the primary site of injury in the IIPs. Frequently affect not only the interstitium, but also the airspaces, peripheral airways, and vessels along with their respective epithelial and endothelial linings.
  • #10 Over last 7 months has found it difficult to keep up with friends when walking on holiday in Capri/New Zealand. His breathlessness has slowly worsened. He now finds himself breathless after climbing 1 flight of stairs. He walks slowly on level ground which is frustrating when he is with his younger husband. He is not breathless at rest or lying flat. He sometimes coughs but does not produce sputum. No swelling of legs. No malaise, weight loss, fevers. No rashes, skin thickening or muscle or joint pain. Takes amlodipine for HTN but no other medications. No history of rheumatological diseases or cancer. He works as an actor and is not aware of any exposure to asbestos or other dusts/chemicals. He does not keep pigeons or other birds. He is not breathless at rest. He has finger clubbing, but his joints are normal. He has no rashes or peripheral oedema. JVP is not raised. Heart sounds are normal. Trachea is central. Lung expansion is equal but slightly reduced, and percussion note is normal. On auscultation there are bibasal fine inspiratory crepitations. Oxygen saturations are 95% on air, but fall to 91% after walking 50m.
  • #11 CXR and CT Chest Other investigations: ECHO: mild LVH, otherwise normal Bloods normal including CK, ESR, CRP normal. RF and ANA negative.
  • #13 Connective tissue disease: 80% have RA, 14% systemic sclerosis, 6% other diseases eg dermatomyositis. Pneumoconioses and sarcoidosis also lead to fibrosis
  • #17 All 4 major and 3 minor criteria required.
  • #19 Task 2: treatment options – brainstorm in groups
  • #22 PANTHER-IPF recruited patients with mild-moderate impairment in pulmonary function and randomly assigned to: 3 drug regime (PAN) NAC alone Matched placebos for pred & NAC or matched for each of the active therapies Increased mortality and trial forced to be abandoned in 2011 Increased rate of death in combination-therapy group (8 vs 1, p=0.01) & hospitalisation (23 vs 7, p<0.001) No Evidence of Physiological Benefit Terminated
  • #25 New drugs on the horizon??
  • #26 You may get patietns with ILDs in PACES. What should you expect? How do they mark?
  • #27 Physical signs may include; cyanosis, on oxygen, finger clubbing, tachypnoea, reduced chest expansion, fine late inspiratory crepitations bilaterally. Look for complication of cor pulonale. Look for asociated conditions eg RA, scleroderma
  • #28 Died June 2015
  • #29 Connective tissue disease: 80% have RA, 14% systemic sclerosis, 6% other diseases eg dermatomyositis. Pneumoconioses and sarcoidosis also lead to fibrosis
  • #30 Task 3: name some drugs which cause pulmonary fibrosis
  • #32 Type 4 hypersensitivity reaction to multiple exposures to antigen Pulmonary fibrosis, predominantly upper lobes CD4+ helper T cells recognize antigen in a complex with Class II major histocompatibility complex. The antigen-presenting cells in this case are macrophages that secrete IL-12, which stimulates the proliferation of further CD4+ Th1 cells. CD4+ T cells secrete IL-2 and interferon gamma, further inducing the release of other Th1 cytokines, thus mediating the immune response. Activated CD8+ T cells destroy target cells on contact, whereas activated macrophages produce hydrolytic enzymes and, on presentation with certain intracellular pathogens, transform into multinucleated giant cells.
  • #33 Pigeon fancier’s lung – avian proteins Farmer’s lung – Thermophillic actinomycetes eg Micropolyspora faeni, Aspergillus species. 0.4-7% farmers. Mushroom worker’s lung – Thermophilis actinomycetes and mushroom spores Malt worker’s lung – Aspergillus clavatus Winemaker’s lung – Botrytis cinerea Hot tub lung – Mycobacterium avium
  • #36 Asbestosis Coal worker’s pneumoconiosis Silicosis
  • #37 Silicosis Micronodular infiltrate. Calcified nodes.
  • #38 LIP, LAM, COP