HYDROCEPHALUS term is derived from Greek
word,Hydro-water and cephalous-head.
It is excessive accumulation of fluid in
brain,also known as water on the brain,Here
water signifies CSF.
Excessive accumulation of CSF
Abnormal widening or ventricles
Harmful pressure on brain tissues
Signs and symptoms of
hydrocephalus
Affects both pediatric and adult age group patient.
It has been estimated that 7,00,000 children and
adults are living with hydrocephalus.
Incidence in pediatric age group 1 in 500 live births
hence making it one of the most common disabilities
even more common than Down syndrome and
Deafness.
Also it is the leading cause of brain surgery for
children.
Pediatrics hydrocephalus may also be a heritable
condition mainly affecting males.
Refrences have been found in ancient egyptian
medical literature from 2000 B.C.to 500A.D.
First described by HIPPOCRATES in 4th
centuryB.C.
But more accurate description given by roman
physician GALEN in 2nd
century A.D.
First clinical description and operative procedure
for hydrocephalus appears in Al-Tasrif(1000A.D.)by
Arab surgeon Abu-al-Qasim who clearly described
the evacuation of superficial intracranial fluid in
hydrocephalic children.
 Set of structures containing CSF in brain
which is continuous with central canal of
spinal cord.
Composed of 4 ventricles:
2 Lateral ventricles
Third ventricle
Fourth ventricle
Derived embryologically from
central canal of neural tube
ANTERIOR HORN
POSTERIOR HORN
INFERIOR HORN
THIRD VENTRICLE
INTERVENTRICULAR FORAMEN
CEREBRAL AQUEDUCT
FOURTH VENTRICLE
SPINAL CANAL
It is produced by
ependymal cells of choroid
plexus found in
components of ventricular
system except from
cerebral aqueduct and
occipetal and frontal horns
of lateral ventricle
Lateral ventricle
Foramen of Monro
3rd
ventricle
Aqueduct of Sylvius
4rth ventricle
central canal of spinal cord
Lumbar cistern
Cisterns of sub
arachnoid space
Around cerebral
cortex
3 foramina
The fluid then flows around the superior sagittal sinus.
It reabsorbed via arachnoid villi into venous system.
ARACHNOID GRANULATIONS-these are small protrusions of
arachnoid which protrude into the venous sinuses of brain allows
csf exit from brain and enter blood.
The largest arachnoid granulation lies along the superior
sagittal sinus.
The arachnoid villi act as a one way valve.Normally PRESSURE
OF CSF >PRESSURE OF VENOUS SYSTEM.So CSF is drained
through villi into venous blood.
Some amount of CSF is also drained through lymphatics
assossiated with extra cranial nerves,ex.-through axons of
olfactory nerve via cribriform plate.
VOLUME 150ml
PRODUCTION 20ml/hr(80% by
choroid plexus)
ABSORBTION Arachnoid
villi(pressure
dependent)
RELATIVE TO PLASMA Reduced K and Ca
ions
Increased Cl and Mg
ions
pH=7.33 to 7.35
PRESSURE 5 to 15 mmHg(6 to
18cm of water)
1. PROTECTION- It acts as a shock absorber.
2. TRANSPORT-Act as a vehicle for
delivering nutrients and removing waste.
3. It flows between the cranium and spine
and compensates for changes in intra
cranial blood volume.
Normal ventricles Dilated ventricles
In foetus fontanelle and sutures are opened.
Posterior fontanel - at birth.
Anterior fontanel – at 18 months.
In initial 6 months of life brain expands at a greater rate.
Opened sutures and fontanelle provide proper space for growth
of brain and make the skull pliable.
If ther is accumulation of fluid in brain of neonate,the increased
pressure causes whole skull to swell.
Fontanelle bulges and sutures remain seperated and this
presents as macrocephaly.
Hence MACROCEPHALY and OPEN FONTANELLE provide
EARLY DIAGNOSIS in infants.
There are basic three mechanism involved in hydrocephalus
1. Over production of CSF.
2. Defective absorption of CSF into circulation
3. Blockage of CSF outflow in ventricle or subarachnoid
space.
As a result fluid accumulated in the ventricles will lead to brain
damage either through formation of internal or external
hydrocephalus
Subarachnoid hemorrhage
Block the return of CSF to circulation
CSF accumulation in sub arachnoid space
Pressure applied to brain externally
Compresses neural tissue and hence brain damage
Foramina of 4th ventricle or cerebral aqueduct blocked
CSF accumulated within the ventricles
Compression of nervous tissue
Irreversible brain damage and severely enlarged head
1. COMMUNICATING HYDROCEPHALUS
 Non-obstructive hydrocephalus
 It is caused by impaired cerebrospinal fluid resorption
due to obstruction of CSF flow outside the ventricular
system,usually at the level of basal sub arachnoid
cistern or at the arachnoid granulations.
2. NON COMMUNICATING HYDROCEPHALUS
 Obstructive hydrocephalus
 It is caused by a CSF-flow obstruction with in the
ventricular system ultimately preventing CSF from
flowing into the subarachnoid space (either due to
external compression or intraventricular mass lesions).
Both communicating and non communicating can be
congenital or aquired.
CONGENITAL HYDROCEPHALUS
Intrauterine infection-
 Rubella
 Cytomegalo virus
 Toxoplasmosis
Intra cranial and Intra ventricular haemorrhage
Congenital malformations-
 Aqueduct stenosis,
 Dandy Walker Syndrome,
 Arnold Chiari Syndrome,
 Midline tumors obstructinc CSF flow
ACQUIRED HYDROCEPHALUS
Tuberculosis,Chronic & pyogenic Meningitis
Post IVH
Posterior Fossa tumors-
Medulloblastoma,Astrocytoma,Ependymoma
Arterio-Venous malformation,Intra cranial
haemorrhage,ruptured aneurysm.
Hydrocephalus ex vacuo( shrinking of brain
matter)
•Chiari type I malformation is the caudal displacement of the cerebellar
tonsils below the foramen magnum.
•Gives symptoms in adolescence or adult life(headache,neck pain,
myelopathy)
•The brain stem and lower cranial nerves are normal .
CHIARI TYPE II MALFORMATION
•Progressive hydrocephalus and myelomeningocele.
•Elongation of IV ventricle
•Involves caudal displacement of the lower brain stem and
stretching of lower cranial nerves
•Symptomatic patients may be treated with suboccipital
craniectomy.
CHIARI TYPE I MALFORMATION
Spina bifida is a developmental birth defect
caused by incomplete closure of embryonic
neural tube.
Cystic expansion of 4th
ventricle in the
posterior fossa
Developmental failure of roof of the 4th
ventricle during embryogenesis.
90% have hydrocephalus.
Prominent occiput.
DANDY WALKER SYNDROME
•Hydrocephalus ex vacuo
•Normal pressure hydrocephalus
It is compensatory enlargement of cerebral
ventricles and subarachnoid space due to brain
atrophy or loss of brain parenchyma not the result
of increased ICP.
 Can occur in post traumatic brain injuries and
even in some psychiatric disorders, such as
schizophrenia
A chronic type of
communicating hydrocephalus
Presents mainly in elderly
The increase in intracranial
pressure (ICP) due to
accumulation of cerebrospinal
fluid (CSF) becomes stable
and that the formation of CSF
equilibrates with absorption.
CSF pressure reaches a high
normal level of 150 to 200 mm
of H2O.
Because of this equilibration, patients do not exhibit the
classic signs of increased intracranial pressure such as
headache, nausea, vomiting, or altered consciousness.
patients do exhibit the classic triad of gait difficulties,
urinary incontinence, and mental decline
It is often misdiagnosed as Parkinsons disease, Alzhiemer
disease, and senility due to its chronic nature and its
presenting symptoms
2 types a) Idiopathic
b) Secondary is due to subarachnoid haemorrhage,
head injury, cranial surgery, or CNS infection.
 The patient of hydrocephalus develop symptoms due to raised ICP.
 Headache which is raised in early morning or on lying down .
 Vomiting, nausea, papilledema, sleepiness, or coma.
 Elevated intracranial pressure may result in uncal (brain tissue shifting)
and/or cerebellar tonsil herniation, with resulting life threatening brain
stem compression.
 Further symptoms depend on the cause of the blockage, the person's age,
and how much brain tissue has been damaged by the swelling.
 In infants with hydrocephalus, CSF fluid builds up in the central nervous
system, causing the fontanelle (soft spot) to bulge and the head to be
larger than expected.
 Eyes that appear to gaze downward
 Seperated sutures
 Diplopia and blurred vision
 Irritability
 Seizures
Symptoms that may occur in older children
The presentation in older children is more acute.Features
include:
Brief shrill and high pitched cry
Changes in personality, memory and ability to think or
reason
Changes in facial expression and eye spacing
Crossed eyes and uncontrolled eye movements
Difficult feeding, Excessive sleepiness
Loss of bladder control
Loss of coordination and trouble walking
Muscle spasticity
Slow growth(0-5years) and restricted movements
•Papilledema (more in old children)
•Cracked pot/Macewan sign(old children)-
Tapping the skull produce cracked pot sound.
•Sixth nerve palsy
•Impaired upgaze
•Focal neurological deficits
•Impaired concious level
IN INFANTS
Patient of hydrocephalus develop raised ICP
•Progressive macrocephaly
•Bulging anterior fontanelle
•Dilated scalp veins
•Sun setting signs
NPH may exhibit the classic triad (also known as Adam's triad) of
urinary incontinence, gait disturbance, and dementia
1)Gait disturbance and Ataxia
 is the first symptom of the triad
Progressive
Occurs due to expansion of the ventricular system(particularly
at the level of the lateral ventricles)
 traction on the lumbosacral motor fibers
unsteadiness and impaired balance, especially on stairs and
curbs.
NPH gait disturbance is often characterized as a "magnetic
gait," in which feet appear to be stuck to the walking surface until
wrested upward and forward at each step.
2) Dementia
 is predominantly frontal lobe in nature,
 with apathy, dullness in thinking, slight inattention. and
Memory problems.
The dementia is thought to result from traction on
frontal and limbic fibers that also run in the
periventricular region
3) Urinary incontinence
 appears late in the illness,
consisting of increased frequency and urgency.
 A physician selects the appropriate diagnostic tool based
on an individual’s age, clinical presentation or type of
hydrocephalus and the presence of known or suspected
abnormalities of the brain or spinal cord.
 Hydrocephalus is diagnosed through
1. Clinical neurological evaluation
2. Lumbar puncture
3. Cranial imaging techniques
• ultrasonography,
• computed tomography (CT),
• magnetic resonance imaging (MRI) and T2 weighted MRI
4. Other ICP-monitoring techniques.
1) CLINICAL NEUROLOGICAL EVALUATION
 Signs symptoms and neurological examination with accurate
serial recording of head circumference will point towards the
diagnosis.
 An increase in head circumference in 1st
three months of life
>1cm every fortnight should arouse suspicion of
hydrocephalus
 Persistent widening of squamo parietal sutures is not
physiological and should arouse suspicion of hydrocephalus.
2)LUMBAR PUNCTURE
a)Obstructive hydrocephalus-
This is a contraindication for LP because of the risk of causing tonsillar
herniation and death.
b)Non Obstructive hydrocephalus-
LP here may be both diagnostic-by measurement of opening pressure
therapeutic-by draining volume of csf
c) NPH
LP is usually the first step in diagnosis. In most cases, CSF pressure is
usually above 155 mmH2O.
i) CSF tap test: Clinical evaluation is done before and after removal of CSF (30
ml or more).It has a high predictive value for subsequent success with
shunting. This is called the "lumbar tap test" or Miller Fisher test. A "negative"
test has a very low predictive accuracy, as many patients may improve after
a shunt in spite of lack of improvement after CSF removal.
ii) CSF infusion studies :Infusing saline into the thecal sac while measuring
tha pressure to obtain and estimate of resistance to CSF
outflow>14mmHg/ml/min have a positive predictive value for responsiveness
to ventriculoperitoneal shunt insertion.
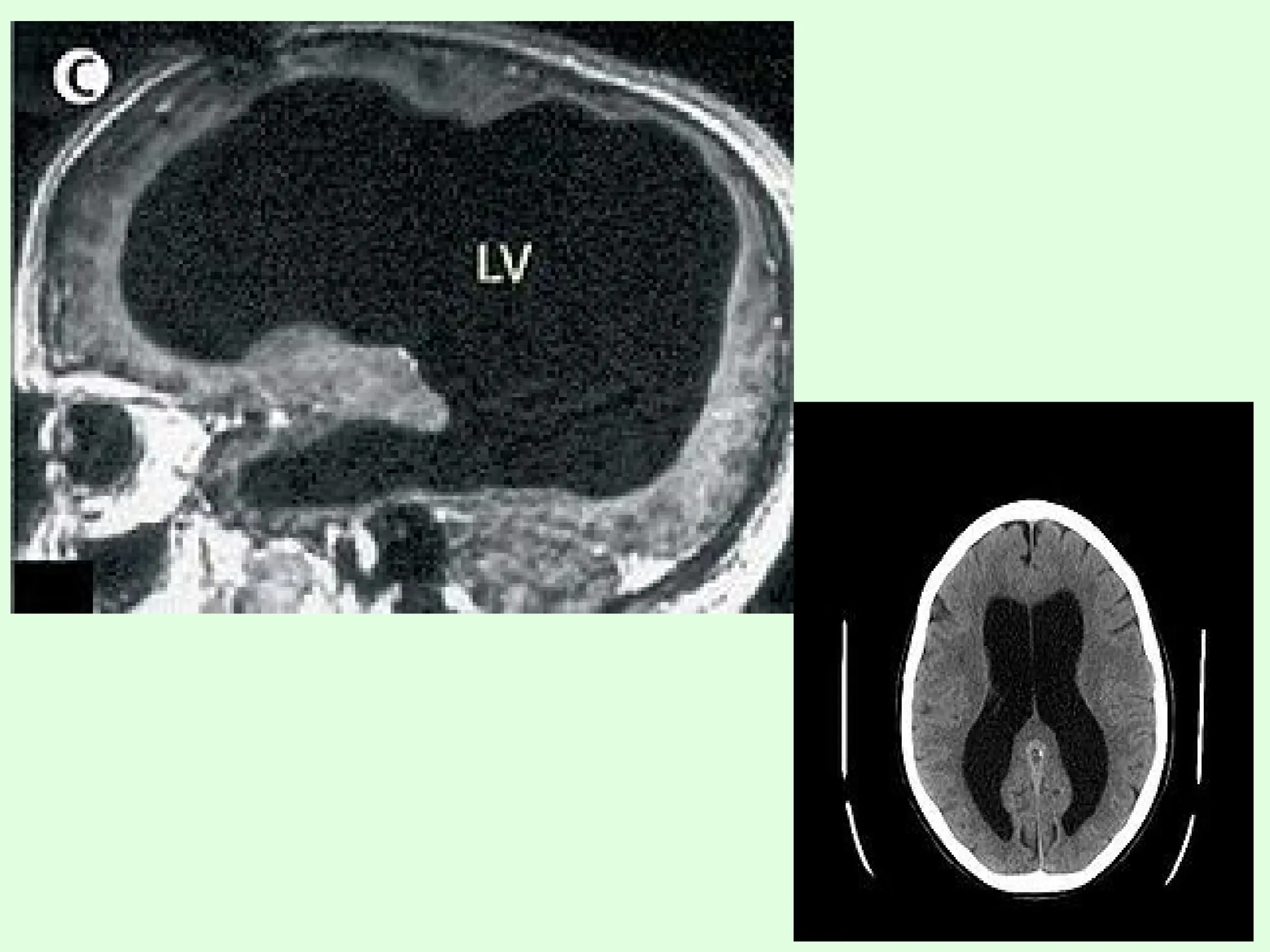
3) IMAGING STUDIES:
a) Uitrasonography(USG)
 Serial USG helps to support the clinical diagnosis and to evaluate
serial ventricular size.
b) CT Scan and MRI
 Ventricular size can be assessed more accurately with CT scan.
 Information about cortical mantle, periventricular ooze and etiology
of hydrocephalus like Arnold chiari and dandy walker malformation
 In children CT shows COPPER BEATING of skull because of chronic
raised ICP.
 MRI/CT may be necessary to determine site of obstruction and in
congenital hydrocephalus to identify associated malformation.
 MRI provide better anatomical detail of lesion and is particularly
helpful in diagnosis of aqueductal stenosis
 Imaging however cannot differentiate between pathologies with
similar clinical picture like Alzheimer's dementia, vascular dementia
or Parkinson's disease.
Copper beating
appearence
Arnold chiari
malformation
c) MID LINE T2 WEIGHTED MRI scan
Can be used to assess the suitability of patient for third
ventriculostomy by identifying the relationships of floor
of third ventricle,basilar artery and clivus.
d) ICP MONITORING
With a parenchymal probe placed into the frontal lobe
via a twistdrill burrhole is a useful diagnostic tool for
patients in whom hydrocephalus or CSF shunt
dysfunction is suspected.
Hydrocephalus is to be differentiated from conditions manifesting as large
head-
a) MEGANCEPHALY-causes include-
• Hurlers syndrome(mucopolysaccharidosis type 1)-lysosomal storage
condition
• Metachromatic leukodystrophy( lysosomal storage disease)
• Taysachs disease( build up of fatty acid that damages the brain)
b)CHRONIC HAEMOLYTIC ANAEMIA-(widening of diploic bones)
c) VITAMINE D DEFICIENCY
d) SUB DURAL EFFUSION
e) CEPHALHEMATOMA(accumulation of blood under the scalp specifically in
the sub periosteal space)
f) CAPUT SUCCEDENUM (due to pressure in head during the forceful vaginal
delivery)
g)OTHER CAUSES- HYDRANENCEPHALY( lack cerebral
hemisphere),RICKETS,FAMILIAL MACROCEPHALIES
Management of hydrocephalus depends on the underlying cause and
severity of symptoms
MEDICAL MANAGEMENT
This is a conservative approach for mild & slowly progressive
hydrocephalus or cases where surgery is not indicated
Acetazolamide[25 -100mg/kg/min]. - diuretic
Oral glycerol – diuretic
SURGICAL MANAGEMENT
It includes-
a)Removing of a causative mass leison
Intracranial mass lesion usually present with obstructive hydrocephalus
It includes tumor removal and decompression of CSF pathway using
EVD(External ventricular drainage) to cover early post operative period.
b) Ventricular shunting
c) 3rd
ventriculostomy
WHAT IS SHUNT?
This system diverts the flow of CSF from the CNS to another
area of the body where it can be absorbed as part of the normal
circulatory process.
A shunt is a flexible but sturdy plastic tube. A shunt system
consists of the shunt, a catheter, and a valve. One end of the
catheter is placed within a ventricle inside the brain or in the
CSF outside the spinal cord. The other end of the catheter is
commonly placed within the abdominal cavity, but may also be
placed at other sites in the body such as a chamber of the heart
or areas around the lung where the CSF can drain and be
absorbed. A valve located along the catheter maintains one-way
flow and regulates the rate of CSF flow.
CHABBRA V P SHUNT
CHABBRA V P SHUNT
WHAT IS VENTRICULO PERITONEAL SHUNT
It involves shunt between lateral ventricle and peritoneal
cavity.
Here there occurs the insertion of a catheter into lateral
ventricle{usually right frontal or occipital}.The catheter is then
connected to a shunt valve under the scalp and finally to a distal
catheter,which is tunnelled subcutaneously down to abdomen
and inserted into the peritonial cavity.if the CSF pressure > the
shunt valve pressure then CSF will flow out of the distal catheter
and can be absorbed by peritonial lining.
OTHER SHUNT SYSTEMS-
Ventriculo atrial shunt
Ventriculo pleural shunt.
Lumbar peritonial shunt.
WHEN IS THE SHUNTING DONE
If the head size enlarges rapidly or is associated with a
progressive symtoms,where vision or life is endangered it
is desirable to treat surgically before irreparable damage
occurs specially in congenital obstructive
hydrocephalus,aquired hydrocephalus or periventricular
ooze with hydrocephalus and patients with tubercular
meningitis.
An alternative procedure called third ventriculostomy. In this
procedure, a neuroendoscope — a small camera that uses fiber optic
technology to visualize small and difficult to reach surgical areas —
allows a doctor to view the ventricular surface. Once the scope is
guided into position, a small tool makes a tiny hole in the floor of the
third ventricle, which allows the CSF to bypass the obstruction and
flow toward the site of resorption around the surface of the brain.
External drains can be placed within the ventricle (EVD) or the
Lumbar Thecal Sac (Lumbar drain).
Useful for temporary CSF drainage.
Can be also used to administer Intrathecal antibiotics to treat CSF
infections.
Possible complications include
shunt malfunction
shunt blockage
shunt failure
shunt infection.
Over draining of shunts
CSF leak
Stroke & intracranial haemorrhage
Shunt blockage may affect the ventricular catheter,shunt valve or
distal catheter.Causes include choroid plexus adhesion,blood or
cellular debris or misplacement of the distal catheter in the pre
peritoneal space.
Shunt infection usually caused by skin commensals such as
staphylococcal epidermitis.Neonates are susceptible to E.coli and
hemolytic streptococcal infections.
Risk factors for infections include-
Very young children
Open myelomeningocele
Longer operative time
Excessive staff movement into &
out
of theater
90% infections become apparent clinically within 6 months.
Treatment-Removal of shunts,
External drainage
treatment of infection prior to re-insertion of shunt at a
different site.
Shunt system may overdrain leading to subdural haemorrhage.
The prognosis for individuals diagnosed with hydrocephalus is
difficult to predict
Prognosis depends the time of diagnosis and type of
hydrocephalus.
Cognitive abilities appear to be better in non communicating
hydrocephalus and those with myelomeningocoele or chiari
malformation type II
Communicating hydrocephalusis associated with more
cognitive impairment.Hydrocephalus due to intrauterine CNS
infections have grim developmental prognosis.
If left untreated progressive hydrocephalus may be fatal.
With good medical care & if there are no severe underlying brain
disorders that affect intelligence, patients of Hydrocephalus can
expect to live a productive & relatively normal life with adequately
functioning shunt.
As we have seen that due to blockage of CSF outflow
or defective absorbtion or overproduction of CSF,there is
accumulation of fluid in ventricles which leads to brain
damage and produce signs and symptoms of increased
ICP.
Only congenital form can be screened by proper
antenatal check ups & investigaions.
It is diagnosed by neurological evaluation, Imaging,
Lumbar Puncture, & ICP monitoring.
Only definitive treatment is SHUNTING of CSF either
into Peritoneal(VP shunt) or Pleural cavity.
A team work of Gynaecologist, Paediatrician,
Psychiatrist, Physiotherapist and most importantly
Parents is required to combat this problem.
1. Bailey & Love’s short practice of of surgery,25th
Edi.
(year of printing-2008)
2. Sabiston textbook of surgery Vol.II ,17th
Edi.(2004)
3. Schwartz’s Principles of surgery,8th
Edi.(2005)
4. B.D.Chourasia’s Human Anatomy Vol.III ,4th
Edi.
(2009)
5. Concise textbook of surgery,S.Das,3rd
Edi.(2001)
6. Rob and Smith’s Paediatrics operative surgery,5th
Edi.(1995)
7. Harrison’s Principles of Internal Medicine,17th
Edi.
(2008)
8. Internet: www.wikipedia.com
PHYSIOTHERAPY
INTERVENTIONS
AIM
• Promoting achievement physical milestones such
as sitting, standing, crawling etc.
• Maximizing independence in mobility
• Exercises to improve balance and coordination
• Exercises to stretch or strengthen tight or weak
muscles.
• Treating learning disabilities
• Improving cognition
• Improving confidence and quality of life
• Improving tolerance and stamina
Phase 1(in ICU)
• Prevention of complication
• Protection of the incision site
• Chest clearance
• Passive movements of limbs
Note: head down position is contraindicated.
Phase 2(in ward)
• Prevention of respiratory and circulatory
complications
• Ankle toe exercises, active assisted and/or
passive movements
• Breathing and chest expansion techniques
• Chest clearance techniques
• Ambulatory training as soon as patient is
stable and fit to move.
Phase 3(in OPD)
Motor :
Neurodevelopmental techniques
Achieving head control
Reducing spasticity of muscles
Strengthening of weak muscles
Galileo ( a technique which uses a vibrating plate to
help nerves and muscle work)
Postural training
Gait training(treadmill therapy)
Obstacle walking
Sensory:
• Sensory diet: use of different textures,
modulation in mat etc.
• Vision: visual scanning, focusing, tracking
• Balance: balancing on unstable surfaces,
reach outs.
Special education
To overcome learning disabilities
Play therapy
Fine motor skill training
Use of different instruments to improve ADL
Puzzle solving
Identification of shapes, size, colours, animals,
fruits, body parts, etc…
Hydrocephalus.ppt.......................

Hydrocephalus.ppt.......................

  • 2.
    HYDROCEPHALUS term isderived from Greek word,Hydro-water and cephalous-head. It is excessive accumulation of fluid in brain,also known as water on the brain,Here water signifies CSF. Excessive accumulation of CSF Abnormal widening or ventricles Harmful pressure on brain tissues Signs and symptoms of hydrocephalus
  • 3.
    Affects both pediatricand adult age group patient. It has been estimated that 7,00,000 children and adults are living with hydrocephalus. Incidence in pediatric age group 1 in 500 live births hence making it one of the most common disabilities even more common than Down syndrome and Deafness. Also it is the leading cause of brain surgery for children. Pediatrics hydrocephalus may also be a heritable condition mainly affecting males.
  • 4.
    Refrences have beenfound in ancient egyptian medical literature from 2000 B.C.to 500A.D. First described by HIPPOCRATES in 4th centuryB.C. But more accurate description given by roman physician GALEN in 2nd century A.D. First clinical description and operative procedure for hydrocephalus appears in Al-Tasrif(1000A.D.)by Arab surgeon Abu-al-Qasim who clearly described the evacuation of superficial intracranial fluid in hydrocephalic children.
  • 5.
     Set ofstructures containing CSF in brain which is continuous with central canal of spinal cord. Composed of 4 ventricles: 2 Lateral ventricles Third ventricle Fourth ventricle Derived embryologically from central canal of neural tube
  • 6.
    ANTERIOR HORN POSTERIOR HORN INFERIORHORN THIRD VENTRICLE INTERVENTRICULAR FORAMEN CEREBRAL AQUEDUCT FOURTH VENTRICLE SPINAL CANAL
  • 7.
    It is producedby ependymal cells of choroid plexus found in components of ventricular system except from cerebral aqueduct and occipetal and frontal horns of lateral ventricle
  • 8.
    Lateral ventricle Foramen ofMonro 3rd ventricle Aqueduct of Sylvius 4rth ventricle central canal of spinal cord Lumbar cistern Cisterns of sub arachnoid space Around cerebral cortex 3 foramina
  • 10.
    The fluid thenflows around the superior sagittal sinus. It reabsorbed via arachnoid villi into venous system. ARACHNOID GRANULATIONS-these are small protrusions of arachnoid which protrude into the venous sinuses of brain allows csf exit from brain and enter blood. The largest arachnoid granulation lies along the superior sagittal sinus. The arachnoid villi act as a one way valve.Normally PRESSURE OF CSF >PRESSURE OF VENOUS SYSTEM.So CSF is drained through villi into venous blood. Some amount of CSF is also drained through lymphatics assossiated with extra cranial nerves,ex.-through axons of olfactory nerve via cribriform plate.
  • 12.
    VOLUME 150ml PRODUCTION 20ml/hr(80%by choroid plexus) ABSORBTION Arachnoid villi(pressure dependent) RELATIVE TO PLASMA Reduced K and Ca ions Increased Cl and Mg ions pH=7.33 to 7.35 PRESSURE 5 to 15 mmHg(6 to 18cm of water)
  • 13.
    1. PROTECTION- Itacts as a shock absorber. 2. TRANSPORT-Act as a vehicle for delivering nutrients and removing waste. 3. It flows between the cranium and spine and compensates for changes in intra cranial blood volume.
  • 14.
  • 16.
    In foetus fontanelleand sutures are opened. Posterior fontanel - at birth. Anterior fontanel – at 18 months. In initial 6 months of life brain expands at a greater rate. Opened sutures and fontanelle provide proper space for growth of brain and make the skull pliable. If ther is accumulation of fluid in brain of neonate,the increased pressure causes whole skull to swell. Fontanelle bulges and sutures remain seperated and this presents as macrocephaly. Hence MACROCEPHALY and OPEN FONTANELLE provide EARLY DIAGNOSIS in infants.
  • 17.
    There are basicthree mechanism involved in hydrocephalus 1. Over production of CSF. 2. Defective absorption of CSF into circulation 3. Blockage of CSF outflow in ventricle or subarachnoid space. As a result fluid accumulated in the ventricles will lead to brain damage either through formation of internal or external hydrocephalus
  • 19.
    Subarachnoid hemorrhage Block thereturn of CSF to circulation CSF accumulation in sub arachnoid space Pressure applied to brain externally Compresses neural tissue and hence brain damage Foramina of 4th ventricle or cerebral aqueduct blocked CSF accumulated within the ventricles Compression of nervous tissue Irreversible brain damage and severely enlarged head
  • 21.
    1. COMMUNICATING HYDROCEPHALUS Non-obstructive hydrocephalus  It is caused by impaired cerebrospinal fluid resorption due to obstruction of CSF flow outside the ventricular system,usually at the level of basal sub arachnoid cistern or at the arachnoid granulations. 2. NON COMMUNICATING HYDROCEPHALUS  Obstructive hydrocephalus  It is caused by a CSF-flow obstruction with in the ventricular system ultimately preventing CSF from flowing into the subarachnoid space (either due to external compression or intraventricular mass lesions). Both communicating and non communicating can be congenital or aquired.
  • 27.
    CONGENITAL HYDROCEPHALUS Intrauterine infection- Rubella  Cytomegalo virus  Toxoplasmosis Intra cranial and Intra ventricular haemorrhage Congenital malformations-  Aqueduct stenosis,  Dandy Walker Syndrome,  Arnold Chiari Syndrome,  Midline tumors obstructinc CSF flow
  • 28.
    ACQUIRED HYDROCEPHALUS Tuberculosis,Chronic &pyogenic Meningitis Post IVH Posterior Fossa tumors- Medulloblastoma,Astrocytoma,Ependymoma Arterio-Venous malformation,Intra cranial haemorrhage,ruptured aneurysm. Hydrocephalus ex vacuo( shrinking of brain matter)
  • 29.
    •Chiari type Imalformation is the caudal displacement of the cerebellar tonsils below the foramen magnum. •Gives symptoms in adolescence or adult life(headache,neck pain, myelopathy) •The brain stem and lower cranial nerves are normal . CHIARI TYPE II MALFORMATION •Progressive hydrocephalus and myelomeningocele. •Elongation of IV ventricle •Involves caudal displacement of the lower brain stem and stretching of lower cranial nerves •Symptomatic patients may be treated with suboccipital craniectomy. CHIARI TYPE I MALFORMATION
  • 30.
    Spina bifida isa developmental birth defect caused by incomplete closure of embryonic neural tube. Cystic expansion of 4th ventricle in the posterior fossa Developmental failure of roof of the 4th ventricle during embryogenesis. 90% have hydrocephalus. Prominent occiput. DANDY WALKER SYNDROME
  • 31.
    •Hydrocephalus ex vacuo •Normalpressure hydrocephalus It is compensatory enlargement of cerebral ventricles and subarachnoid space due to brain atrophy or loss of brain parenchyma not the result of increased ICP.  Can occur in post traumatic brain injuries and even in some psychiatric disorders, such as schizophrenia
  • 32.
    A chronic typeof communicating hydrocephalus Presents mainly in elderly The increase in intracranial pressure (ICP) due to accumulation of cerebrospinal fluid (CSF) becomes stable and that the formation of CSF equilibrates with absorption. CSF pressure reaches a high normal level of 150 to 200 mm of H2O.
  • 33.
    Because of thisequilibration, patients do not exhibit the classic signs of increased intracranial pressure such as headache, nausea, vomiting, or altered consciousness. patients do exhibit the classic triad of gait difficulties, urinary incontinence, and mental decline It is often misdiagnosed as Parkinsons disease, Alzhiemer disease, and senility due to its chronic nature and its presenting symptoms 2 types a) Idiopathic b) Secondary is due to subarachnoid haemorrhage, head injury, cranial surgery, or CNS infection.
  • 34.
     The patientof hydrocephalus develop symptoms due to raised ICP.  Headache which is raised in early morning or on lying down .  Vomiting, nausea, papilledema, sleepiness, or coma.  Elevated intracranial pressure may result in uncal (brain tissue shifting) and/or cerebellar tonsil herniation, with resulting life threatening brain stem compression.  Further symptoms depend on the cause of the blockage, the person's age, and how much brain tissue has been damaged by the swelling.  In infants with hydrocephalus, CSF fluid builds up in the central nervous system, causing the fontanelle (soft spot) to bulge and the head to be larger than expected.  Eyes that appear to gaze downward  Seperated sutures  Diplopia and blurred vision  Irritability  Seizures
  • 35.
    Symptoms that mayoccur in older children The presentation in older children is more acute.Features include: Brief shrill and high pitched cry Changes in personality, memory and ability to think or reason Changes in facial expression and eye spacing Crossed eyes and uncontrolled eye movements Difficult feeding, Excessive sleepiness Loss of bladder control Loss of coordination and trouble walking Muscle spasticity Slow growth(0-5years) and restricted movements
  • 36.
    •Papilledema (more inold children) •Cracked pot/Macewan sign(old children)- Tapping the skull produce cracked pot sound. •Sixth nerve palsy •Impaired upgaze •Focal neurological deficits •Impaired concious level IN INFANTS Patient of hydrocephalus develop raised ICP •Progressive macrocephaly •Bulging anterior fontanelle •Dilated scalp veins •Sun setting signs
  • 39.
    NPH may exhibitthe classic triad (also known as Adam's triad) of urinary incontinence, gait disturbance, and dementia 1)Gait disturbance and Ataxia  is the first symptom of the triad Progressive Occurs due to expansion of the ventricular system(particularly at the level of the lateral ventricles)  traction on the lumbosacral motor fibers unsteadiness and impaired balance, especially on stairs and curbs. NPH gait disturbance is often characterized as a "magnetic gait," in which feet appear to be stuck to the walking surface until wrested upward and forward at each step.
  • 40.
    2) Dementia  ispredominantly frontal lobe in nature,  with apathy, dullness in thinking, slight inattention. and Memory problems. The dementia is thought to result from traction on frontal and limbic fibers that also run in the periventricular region 3) Urinary incontinence  appears late in the illness, consisting of increased frequency and urgency.
  • 41.
     A physicianselects the appropriate diagnostic tool based on an individual’s age, clinical presentation or type of hydrocephalus and the presence of known or suspected abnormalities of the brain or spinal cord.  Hydrocephalus is diagnosed through 1. Clinical neurological evaluation 2. Lumbar puncture 3. Cranial imaging techniques • ultrasonography, • computed tomography (CT), • magnetic resonance imaging (MRI) and T2 weighted MRI 4. Other ICP-monitoring techniques.
  • 42.
    1) CLINICAL NEUROLOGICALEVALUATION  Signs symptoms and neurological examination with accurate serial recording of head circumference will point towards the diagnosis.  An increase in head circumference in 1st three months of life >1cm every fortnight should arouse suspicion of hydrocephalus  Persistent widening of squamo parietal sutures is not physiological and should arouse suspicion of hydrocephalus.
  • 43.
    2)LUMBAR PUNCTURE a)Obstructive hydrocephalus- Thisis a contraindication for LP because of the risk of causing tonsillar herniation and death. b)Non Obstructive hydrocephalus- LP here may be both diagnostic-by measurement of opening pressure therapeutic-by draining volume of csf c) NPH LP is usually the first step in diagnosis. In most cases, CSF pressure is usually above 155 mmH2O. i) CSF tap test: Clinical evaluation is done before and after removal of CSF (30 ml or more).It has a high predictive value for subsequent success with shunting. This is called the "lumbar tap test" or Miller Fisher test. A "negative" test has a very low predictive accuracy, as many patients may improve after a shunt in spite of lack of improvement after CSF removal. ii) CSF infusion studies :Infusing saline into the thecal sac while measuring tha pressure to obtain and estimate of resistance to CSF outflow>14mmHg/ml/min have a positive predictive value for responsiveness to ventriculoperitoneal shunt insertion.
  • 44.
    3) IMAGING STUDIES: a)Uitrasonography(USG)  Serial USG helps to support the clinical diagnosis and to evaluate serial ventricular size. b) CT Scan and MRI  Ventricular size can be assessed more accurately with CT scan.  Information about cortical mantle, periventricular ooze and etiology of hydrocephalus like Arnold chiari and dandy walker malformation  In children CT shows COPPER BEATING of skull because of chronic raised ICP.  MRI/CT may be necessary to determine site of obstruction and in congenital hydrocephalus to identify associated malformation.  MRI provide better anatomical detail of lesion and is particularly helpful in diagnosis of aqueductal stenosis  Imaging however cannot differentiate between pathologies with similar clinical picture like Alzheimer's dementia, vascular dementia or Parkinson's disease.
  • 45.
  • 47.
    c) MID LINET2 WEIGHTED MRI scan Can be used to assess the suitability of patient for third ventriculostomy by identifying the relationships of floor of third ventricle,basilar artery and clivus. d) ICP MONITORING With a parenchymal probe placed into the frontal lobe via a twistdrill burrhole is a useful diagnostic tool for patients in whom hydrocephalus or CSF shunt dysfunction is suspected.
  • 48.
    Hydrocephalus is tobe differentiated from conditions manifesting as large head- a) MEGANCEPHALY-causes include- • Hurlers syndrome(mucopolysaccharidosis type 1)-lysosomal storage condition • Metachromatic leukodystrophy( lysosomal storage disease) • Taysachs disease( build up of fatty acid that damages the brain) b)CHRONIC HAEMOLYTIC ANAEMIA-(widening of diploic bones) c) VITAMINE D DEFICIENCY d) SUB DURAL EFFUSION e) CEPHALHEMATOMA(accumulation of blood under the scalp specifically in the sub periosteal space) f) CAPUT SUCCEDENUM (due to pressure in head during the forceful vaginal delivery) g)OTHER CAUSES- HYDRANENCEPHALY( lack cerebral hemisphere),RICKETS,FAMILIAL MACROCEPHALIES
  • 49.
    Management of hydrocephalusdepends on the underlying cause and severity of symptoms MEDICAL MANAGEMENT This is a conservative approach for mild & slowly progressive hydrocephalus or cases where surgery is not indicated Acetazolamide[25 -100mg/kg/min]. - diuretic Oral glycerol – diuretic SURGICAL MANAGEMENT It includes- a)Removing of a causative mass leison Intracranial mass lesion usually present with obstructive hydrocephalus It includes tumor removal and decompression of CSF pathway using EVD(External ventricular drainage) to cover early post operative period. b) Ventricular shunting c) 3rd ventriculostomy
  • 50.
    WHAT IS SHUNT? Thissystem diverts the flow of CSF from the CNS to another area of the body where it can be absorbed as part of the normal circulatory process. A shunt is a flexible but sturdy plastic tube. A shunt system consists of the shunt, a catheter, and a valve. One end of the catheter is placed within a ventricle inside the brain or in the CSF outside the spinal cord. The other end of the catheter is commonly placed within the abdominal cavity, but may also be placed at other sites in the body such as a chamber of the heart or areas around the lung where the CSF can drain and be absorbed. A valve located along the catheter maintains one-way flow and regulates the rate of CSF flow.
  • 51.
  • 52.
  • 53.
    WHAT IS VENTRICULOPERITONEAL SHUNT It involves shunt between lateral ventricle and peritoneal cavity. Here there occurs the insertion of a catheter into lateral ventricle{usually right frontal or occipital}.The catheter is then connected to a shunt valve under the scalp and finally to a distal catheter,which is tunnelled subcutaneously down to abdomen and inserted into the peritonial cavity.if the CSF pressure > the shunt valve pressure then CSF will flow out of the distal catheter and can be absorbed by peritonial lining. OTHER SHUNT SYSTEMS- Ventriculo atrial shunt Ventriculo pleural shunt. Lumbar peritonial shunt.
  • 55.
    WHEN IS THESHUNTING DONE If the head size enlarges rapidly or is associated with a progressive symtoms,where vision or life is endangered it is desirable to treat surgically before irreparable damage occurs specially in congenital obstructive hydrocephalus,aquired hydrocephalus or periventricular ooze with hydrocephalus and patients with tubercular meningitis.
  • 56.
    An alternative procedurecalled third ventriculostomy. In this procedure, a neuroendoscope — a small camera that uses fiber optic technology to visualize small and difficult to reach surgical areas — allows a doctor to view the ventricular surface. Once the scope is guided into position, a small tool makes a tiny hole in the floor of the third ventricle, which allows the CSF to bypass the obstruction and flow toward the site of resorption around the surface of the brain. External drains can be placed within the ventricle (EVD) or the Lumbar Thecal Sac (Lumbar drain). Useful for temporary CSF drainage. Can be also used to administer Intrathecal antibiotics to treat CSF infections.
  • 58.
    Possible complications include shuntmalfunction shunt blockage shunt failure shunt infection. Over draining of shunts CSF leak Stroke & intracranial haemorrhage
  • 59.
    Shunt blockage mayaffect the ventricular catheter,shunt valve or distal catheter.Causes include choroid plexus adhesion,blood or cellular debris or misplacement of the distal catheter in the pre peritoneal space. Shunt infection usually caused by skin commensals such as staphylococcal epidermitis.Neonates are susceptible to E.coli and hemolytic streptococcal infections. Risk factors for infections include- Very young children Open myelomeningocele Longer operative time Excessive staff movement into & out of theater 90% infections become apparent clinically within 6 months. Treatment-Removal of shunts, External drainage treatment of infection prior to re-insertion of shunt at a different site. Shunt system may overdrain leading to subdural haemorrhage.
  • 60.
    The prognosis forindividuals diagnosed with hydrocephalus is difficult to predict Prognosis depends the time of diagnosis and type of hydrocephalus. Cognitive abilities appear to be better in non communicating hydrocephalus and those with myelomeningocoele or chiari malformation type II Communicating hydrocephalusis associated with more cognitive impairment.Hydrocephalus due to intrauterine CNS infections have grim developmental prognosis. If left untreated progressive hydrocephalus may be fatal. With good medical care & if there are no severe underlying brain disorders that affect intelligence, patients of Hydrocephalus can expect to live a productive & relatively normal life with adequately functioning shunt.
  • 63.
    As we haveseen that due to blockage of CSF outflow or defective absorbtion or overproduction of CSF,there is accumulation of fluid in ventricles which leads to brain damage and produce signs and symptoms of increased ICP. Only congenital form can be screened by proper antenatal check ups & investigaions. It is diagnosed by neurological evaluation, Imaging, Lumbar Puncture, & ICP monitoring. Only definitive treatment is SHUNTING of CSF either into Peritoneal(VP shunt) or Pleural cavity. A team work of Gynaecologist, Paediatrician, Psychiatrist, Physiotherapist and most importantly Parents is required to combat this problem.
  • 64.
    1. Bailey &Love’s short practice of of surgery,25th Edi. (year of printing-2008) 2. Sabiston textbook of surgery Vol.II ,17th Edi.(2004) 3. Schwartz’s Principles of surgery,8th Edi.(2005) 4. B.D.Chourasia’s Human Anatomy Vol.III ,4th Edi. (2009) 5. Concise textbook of surgery,S.Das,3rd Edi.(2001) 6. Rob and Smith’s Paediatrics operative surgery,5th Edi.(1995) 7. Harrison’s Principles of Internal Medicine,17th Edi. (2008) 8. Internet: www.wikipedia.com
  • 65.
  • 66.
    AIM • Promoting achievementphysical milestones such as sitting, standing, crawling etc. • Maximizing independence in mobility • Exercises to improve balance and coordination • Exercises to stretch or strengthen tight or weak muscles. • Treating learning disabilities • Improving cognition • Improving confidence and quality of life • Improving tolerance and stamina
  • 67.
    Phase 1(in ICU) •Prevention of complication • Protection of the incision site • Chest clearance • Passive movements of limbs Note: head down position is contraindicated.
  • 68.
    Phase 2(in ward) •Prevention of respiratory and circulatory complications • Ankle toe exercises, active assisted and/or passive movements • Breathing and chest expansion techniques • Chest clearance techniques • Ambulatory training as soon as patient is stable and fit to move.
  • 69.
    Phase 3(in OPD) Motor: Neurodevelopmental techniques Achieving head control Reducing spasticity of muscles Strengthening of weak muscles Galileo ( a technique which uses a vibrating plate to help nerves and muscle work) Postural training Gait training(treadmill therapy) Obstacle walking
  • 70.
    Sensory: • Sensory diet:use of different textures, modulation in mat etc. • Vision: visual scanning, focusing, tracking • Balance: balancing on unstable surfaces, reach outs.
  • 71.
    Special education To overcomelearning disabilities Play therapy Fine motor skill training Use of different instruments to improve ADL Puzzle solving Identification of shapes, size, colours, animals, fruits, body parts, etc…