HEART FAILURE
CASE PRESENTATION
Raghad AlDehaylib
Outlines
•Definitions
•Causes & Risk Factors
•Pathophysiology
•Signs & Symptoms
•Investigations
•Treatment
•Respiratory Care Management
•Case Study
Definitions
Heart Failure
Congestive Heart Failure (CHF)
Cor Pulmoanale
Heart Failure
•Heart failure is a common
complex clinical condition
characterized by inability of
the heart to maintain
adequate blood circulation.
Heart Failure
Congestive Heart Failure
• The term frequently applied when
making the diagnosis of heart
failure.
• CHF results in an accumulation of
fluid in the lungs (pulmonary edema)
and extremities (peripheral edema)
as a consequence of left ventricular
failure.
Cor Pulmonale
• The term used to describe right
ventricular enlargement and failure
as a result of primary pulmonary
disease.
Causes & Risk Factors
Etiologic Factors
Risk Factors
Etiologic Factors
• Coronary artery disease
• Hypertension
• Primary or idiopathic dilated
cardiomyopathy
• Valvular abnormalities:
• Mitral regurgitation
• Mitral stenosis
Etiologic Factors
• Congenital cardiac defects
• Chronic pulmonary disease?
• Drugs
• Infectious myocardial inflammation:
• Viral
• Bacterial
• Mycotic
Risk Factors
•Heart disease
•Hypertension
•Diabetes
•Smoking
•Obesity
•High-fat Diet
•Low physical activity
Pathophysiology
Signs & Symptoms
Investigations
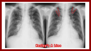
Chest X-Ray
Electrocardiography
Echocardiogram
Laboratory Studies
Arterial Blood Gases
Chest X-Ray
• Cardiomegaly
• Cephalization of blood flow
• Kerley’s A lines [1- to 2-cm lines of
interstitial edema out from the hilum]
• Kerley’s B lines [short, thin, flattened
streaks of interstitial edema outlining
the subsegmental lymphatics that
extend from the pleural surface]
Electrocardiography
• Dysrhythmias
• Sinus tachycardia
• Atrial fibrillation
• Bundle branch blocks
Echocardiogram
Laboratory Studies
• ↑ Hematocrit (Hct)
• ↑ Hemoglobin (Hb) concentration
• ↑ Erythrocyte count
• Hyponatremia
• Hypokalemia
• ↑ Atrial natriuretic peptide (ANP)
• ↑ Brain natriuretic peptide (BNP)
Arterial Blood Gases
Useful for determining:
• The degree of gas
exchange derangement
• The trend in the
patient’s pulmonary
status
Treatment
Treatment
• Reduction of Cardiac Workload:
• Lifestyle changes (engaging in appropriate physical activity,
reducing emotional stress, losing weight and eating a low-
salt diet)
• Medications (direct-acting vasodilators, ACE inhibitors and
calcium channel blockers)
Treatment
• Improvement of Cardiac Pump Performance:
• Inotropes
• Supplemental oxygen
• Prevention of Dysrhythmia:
• Antidysrhythmic drugs
Treatment
• Control of Sodium and Fluid Retention:
• Bed rest
• Dietary restriction of sodium and water
• Diuretics
• Prevention ofThromboembolism:
• Prophylactic anticoagulants
Respiratory Care
Management
Respiratory Care for Cardiogenic
Pulmonary Edema
RC for Cardiogenic Pulmonary Edema
• O2 therapy is the most important respiratory care
treatment option in heart failure patients.
• 100% oxygen by face mask
• A nonrebreathing mask with adequate flow
• Continuous positive airway pressure via mask (mask CPAP)
• Bilevel noninvasive positive pressure ventilation (BiPAP)
• Intubation and ventilatory support
• Aerosolized bronchodilators
• Incentive spirometry
Case Study
Chief Complaint
• A 67-year-old man was admitted to an acute care hospital. He is a
known case of ischemic cardiomyopathy and a past medical history
significant for diabetes, CKD, pulmonary health conditions, and 6
admissions for ADHF within the past 12 months.
• On admission, he reported 10 days of progressive DOE and weight
gain (admission weight was 110.9 kg).
• His cough was moderate to strong in effort, wet sounding, and
nonproductive.
Past Medical History
• Ischemic cardiomyopathy
• Diabetes mellitus type II
• Chronic kidney disease
• Amiodarone pulmonary toxicity
• Asbestos exposure with pleural plaques
• Stable left upper lobe pulmonary lesion
• Gout
Social History
• He was retired from work in the public sector and lived with his wife.
• He had a history of substantial alcohol use consisting of 6 glasses
every day, but had not had an alcoholic drink in the past 6 months.
• He also had a significant history of tobacco use, 90-120 pack-years,
but had quit 13 years ago.
• The patient was independent with functional activity and was
actively participating in an outpatient pulmonary rehabilitation
program.
Social History
• He required 2 liters per minute (L/min) supplemental oxygen at
all times and 4 L/min during exercise and at night.
Physical Examination
• Integumentary System: 3+ peripheral pitting edema in
bilateral lower extremities to the level of the patient’s knees
• CVS: an irregular heart rhythm and a positive S3 gallop and
external jugular venous distension of 9 cm.
• Respiratory System: diminished breath sounds with diffuse
crackles throughout the posterior lung fields.
• The review of the patient’s other systems was not
significant.
Physical Examination
• The patient is 175 cm tall. He has an estimated dry weight of
approximately 104.5 kg, and an estimated BMI of 34 kg/m2
indicating that he was obese?
• Increased extracellular water weight makes the estimated
dry weight a useful method to determine BMI in patients
with HF.
Investigations
• Electrocardiography (EKG) revealed atrial fibrillation.
Baseline PFT prior to
hospitalization
• (Pre-bronchodilator):
• FEV1= 1.13L (34%)
• FVC= 1.50L (35%)
• FEV1/FVC= 75% (96%)
• TLC= 2.21L (34%)
• (DLCO)Test [hemoglobin] = 8.72 (33%) mL/min/mm Hg
Home/Admission Medications
• Torsemide 100 mg twice daily
• Acetylsalicyclic acid 81 mg daily
• Warfarin 2.5 mg daily
• Metoprolol 25 mg daily
• Isosorbide mononitrate 120 mg
daily
• Atorvastatin 40 mg nightly
• Lanoxin 0.125 mg every other day
• Insulin 70/30 twice daily
• Fluticasone propionate and Salmeterol
inhaler 250/50 one puff twice daily
• Tiotropium Bromide inhaled 18 mcg daily
• Ipratropium inhaler prn
• Medications added on admission:
Furosemide 20mg/hr intravenously
Diagnosis
• With this patient’s known cardiomyopathy and serum
troponin less than 0.04 ng/ml, the medical diagnosis was
determined to be ADHF and the patient was administered an
IV diuretic in addition to his regular home medications that
had been continued on admission.
Plan
• His short-term goals were to decrease his dyspnea on exertion
(DOE) and to be discharged from the hospital.
• His long-term goals were to resume his pulmonary rehabilitation
program and travel to a warmer climate for the winter months.
Hospital Day 2
• An additional oral diuretic (Metolazone) was added to
increase the rate of diuresis, but was unsuccessful.
• The positive inotropic medication (Dobutamine) was added
when combined diuretic therapy failed to produce sufficient
diuresis.
Hospital Day 4
• A peripherally inserted central catheter (PICC)
was inserted for multiple drug administration.
• Physical therapy was consulted for evaluation
and prescription of an exercise program.
Hospital Day 5-11
• Functional/Exercise Prescription: walking program of two, 2-minute
walks interspersed with 2-minute seated rests, twice daily.
• Dobutamine dosage: 2 mcg/kg/min intravenously.
• Furosemide dosage: 20mg/hour intravenously.
Hospital Day 8
• Right Heart Catheterization:
• Cardiac Output= 6.52 L/min
• Cardiac Index= 3.02 L/min/m2
• Pulmonary Artery Pressure= 60/19 mm
Hg (mean=36 mm Hg)
• Mean PCWP= 19 mm Hg (↑)
Hospital Day 11
• The walking program was progressed to three, 2-
minute walking intervals interspersed with 2-minute
seated rests, twice daily.
Hospital Day 15
• The patient underwent a final 6MWT off of
Dobutamine.
Hospital Day 16
• The patient was discharged home at a weight of 97.7 kg.
• Medically, the patient’s weight decreased by 6.8 kg from the date of the
initial evaluation by physical therapy and by 13.2 kg from the hospital
admission date.
• Subjectively, the patient reported a significant improvement in symptoms
compared to the time of admission.
• Functionally, the patient remained independent with all activity, including
stair climbing, but continued to use the rolling walker for breathing support.
Hospital Day 16
• His discharge recommendations included the use of a 4-wheeled rolling
walker for energy conservation and facilitation of accessory muscle use.
• Despite physical therapy recommendations, the patient declined use of
the walker on the grounds that it made him feel “disabled” and “old.”
• He was instructed to continue his current walking program as tolerated.
• He was to return to his outpatient pulmonary rehabilitation program once
cleared by his primary care physician.
References
• Wilkins’ Respiratory Disease – A Case Study
Approach to Patient Care – 3rd Edition.
• Interpreting Chest X-Rays – IllustratedWith
100 Cases
• Case Study:
https://www.ncbi.nlm.nih.gov/pmc/articles/
PMC3104932/
• https://medcomic.com/cardiovascular/
• https://www.ncbi.nlm.nih.gov/pubmed/2014
9988
Thank You

Heart Failure (Case Presentation)

  • 1.
  • 2.
    Outlines •Definitions •Causes & RiskFactors •Pathophysiology •Signs & Symptoms •Investigations •Treatment •Respiratory Care Management •Case Study
  • 3.
    Definitions Heart Failure Congestive HeartFailure (CHF) Cor Pulmoanale
  • 4.
    Heart Failure •Heart failureis a common complex clinical condition characterized by inability of the heart to maintain adequate blood circulation.
  • 5.
    Heart Failure Congestive HeartFailure • The term frequently applied when making the diagnosis of heart failure. • CHF results in an accumulation of fluid in the lungs (pulmonary edema) and extremities (peripheral edema) as a consequence of left ventricular failure. Cor Pulmonale • The term used to describe right ventricular enlargement and failure as a result of primary pulmonary disease.
  • 7.
    Causes & RiskFactors Etiologic Factors Risk Factors
  • 8.
    Etiologic Factors • Coronaryartery disease • Hypertension • Primary or idiopathic dilated cardiomyopathy • Valvular abnormalities: • Mitral regurgitation • Mitral stenosis
  • 9.
    Etiologic Factors • Congenitalcardiac defects • Chronic pulmonary disease? • Drugs • Infectious myocardial inflammation: • Viral • Bacterial • Mycotic
  • 10.
  • 11.
  • 14.
  • 17.
  • 18.
    Chest X-Ray • Cardiomegaly •Cephalization of blood flow • Kerley’s A lines [1- to 2-cm lines of interstitial edema out from the hilum] • Kerley’s B lines [short, thin, flattened streaks of interstitial edema outlining the subsegmental lymphatics that extend from the pleural surface]
  • 21.
    Electrocardiography • Dysrhythmias • Sinustachycardia • Atrial fibrillation • Bundle branch blocks
  • 22.
  • 23.
    Laboratory Studies • ↑Hematocrit (Hct) • ↑ Hemoglobin (Hb) concentration • ↑ Erythrocyte count • Hyponatremia • Hypokalemia • ↑ Atrial natriuretic peptide (ANP) • ↑ Brain natriuretic peptide (BNP)
  • 24.
    Arterial Blood Gases Usefulfor determining: • The degree of gas exchange derangement • The trend in the patient’s pulmonary status
  • 25.
  • 26.
    Treatment • Reduction ofCardiac Workload: • Lifestyle changes (engaging in appropriate physical activity, reducing emotional stress, losing weight and eating a low- salt diet) • Medications (direct-acting vasodilators, ACE inhibitors and calcium channel blockers)
  • 27.
    Treatment • Improvement ofCardiac Pump Performance: • Inotropes • Supplemental oxygen • Prevention of Dysrhythmia: • Antidysrhythmic drugs
  • 28.
    Treatment • Control ofSodium and Fluid Retention: • Bed rest • Dietary restriction of sodium and water • Diuretics • Prevention ofThromboembolism: • Prophylactic anticoagulants
  • 29.
    Respiratory Care Management Respiratory Carefor Cardiogenic Pulmonary Edema
  • 30.
    RC for CardiogenicPulmonary Edema • O2 therapy is the most important respiratory care treatment option in heart failure patients. • 100% oxygen by face mask • A nonrebreathing mask with adequate flow • Continuous positive airway pressure via mask (mask CPAP) • Bilevel noninvasive positive pressure ventilation (BiPAP) • Intubation and ventilatory support • Aerosolized bronchodilators • Incentive spirometry
  • 31.
  • 32.
    Chief Complaint • A67-year-old man was admitted to an acute care hospital. He is a known case of ischemic cardiomyopathy and a past medical history significant for diabetes, CKD, pulmonary health conditions, and 6 admissions for ADHF within the past 12 months. • On admission, he reported 10 days of progressive DOE and weight gain (admission weight was 110.9 kg). • His cough was moderate to strong in effort, wet sounding, and nonproductive.
  • 33.
    Past Medical History •Ischemic cardiomyopathy • Diabetes mellitus type II • Chronic kidney disease • Amiodarone pulmonary toxicity • Asbestos exposure with pleural plaques • Stable left upper lobe pulmonary lesion • Gout
  • 34.
    Social History • Hewas retired from work in the public sector and lived with his wife. • He had a history of substantial alcohol use consisting of 6 glasses every day, but had not had an alcoholic drink in the past 6 months. • He also had a significant history of tobacco use, 90-120 pack-years, but had quit 13 years ago. • The patient was independent with functional activity and was actively participating in an outpatient pulmonary rehabilitation program.
  • 35.
    Social History • Herequired 2 liters per minute (L/min) supplemental oxygen at all times and 4 L/min during exercise and at night.
  • 36.
    Physical Examination • IntegumentarySystem: 3+ peripheral pitting edema in bilateral lower extremities to the level of the patient’s knees • CVS: an irregular heart rhythm and a positive S3 gallop and external jugular venous distension of 9 cm. • Respiratory System: diminished breath sounds with diffuse crackles throughout the posterior lung fields. • The review of the patient’s other systems was not significant.
  • 37.
    Physical Examination • Thepatient is 175 cm tall. He has an estimated dry weight of approximately 104.5 kg, and an estimated BMI of 34 kg/m2 indicating that he was obese? • Increased extracellular water weight makes the estimated dry weight a useful method to determine BMI in patients with HF.
  • 38.
    Investigations • Electrocardiography (EKG)revealed atrial fibrillation.
  • 39.
    Baseline PFT priorto hospitalization • (Pre-bronchodilator): • FEV1= 1.13L (34%) • FVC= 1.50L (35%) • FEV1/FVC= 75% (96%) • TLC= 2.21L (34%) • (DLCO)Test [hemoglobin] = 8.72 (33%) mL/min/mm Hg
  • 40.
    Home/Admission Medications • Torsemide100 mg twice daily • Acetylsalicyclic acid 81 mg daily • Warfarin 2.5 mg daily • Metoprolol 25 mg daily • Isosorbide mononitrate 120 mg daily • Atorvastatin 40 mg nightly • Lanoxin 0.125 mg every other day • Insulin 70/30 twice daily • Fluticasone propionate and Salmeterol inhaler 250/50 one puff twice daily • Tiotropium Bromide inhaled 18 mcg daily • Ipratropium inhaler prn • Medications added on admission: Furosemide 20mg/hr intravenously
  • 41.
    Diagnosis • With thispatient’s known cardiomyopathy and serum troponin less than 0.04 ng/ml, the medical diagnosis was determined to be ADHF and the patient was administered an IV diuretic in addition to his regular home medications that had been continued on admission.
  • 42.
    Plan • His short-termgoals were to decrease his dyspnea on exertion (DOE) and to be discharged from the hospital. • His long-term goals were to resume his pulmonary rehabilitation program and travel to a warmer climate for the winter months.
  • 43.
    Hospital Day 2 •An additional oral diuretic (Metolazone) was added to increase the rate of diuresis, but was unsuccessful. • The positive inotropic medication (Dobutamine) was added when combined diuretic therapy failed to produce sufficient diuresis.
  • 44.
    Hospital Day 4 •A peripherally inserted central catheter (PICC) was inserted for multiple drug administration. • Physical therapy was consulted for evaluation and prescription of an exercise program.
  • 45.
    Hospital Day 5-11 •Functional/Exercise Prescription: walking program of two, 2-minute walks interspersed with 2-minute seated rests, twice daily. • Dobutamine dosage: 2 mcg/kg/min intravenously. • Furosemide dosage: 20mg/hour intravenously.
  • 46.
    Hospital Day 8 •Right Heart Catheterization: • Cardiac Output= 6.52 L/min • Cardiac Index= 3.02 L/min/m2 • Pulmonary Artery Pressure= 60/19 mm Hg (mean=36 mm Hg) • Mean PCWP= 19 mm Hg (↑)
  • 47.
    Hospital Day 11 •The walking program was progressed to three, 2- minute walking intervals interspersed with 2-minute seated rests, twice daily.
  • 48.
    Hospital Day 15 •The patient underwent a final 6MWT off of Dobutamine.
  • 49.
    Hospital Day 16 •The patient was discharged home at a weight of 97.7 kg. • Medically, the patient’s weight decreased by 6.8 kg from the date of the initial evaluation by physical therapy and by 13.2 kg from the hospital admission date. • Subjectively, the patient reported a significant improvement in symptoms compared to the time of admission. • Functionally, the patient remained independent with all activity, including stair climbing, but continued to use the rolling walker for breathing support.
  • 50.
    Hospital Day 16 •His discharge recommendations included the use of a 4-wheeled rolling walker for energy conservation and facilitation of accessory muscle use. • Despite physical therapy recommendations, the patient declined use of the walker on the grounds that it made him feel “disabled” and “old.” • He was instructed to continue his current walking program as tolerated. • He was to return to his outpatient pulmonary rehabilitation program once cleared by his primary care physician.
  • 51.
    References • Wilkins’ RespiratoryDisease – A Case Study Approach to Patient Care – 3rd Edition. • Interpreting Chest X-Rays – IllustratedWith 100 Cases • Case Study: https://www.ncbi.nlm.nih.gov/pmc/articles/ PMC3104932/ • https://medcomic.com/cardiovascular/ • https://www.ncbi.nlm.nih.gov/pubmed/2014 9988
  • 52.

Editor's Notes

  • #24 Routine laboratory studies are seldom useful in establishing heart failure as the cause of a patient’s complaints, but some tests are useful.
  • #26 Therapy for heart failure is based upon the cause of failure, its severity, and the secondary complications. Therefore, treatment focuses on eliminating the cause of failure, reducing cardiac workload, and supporting the function of other organs.
  • #37 Physical examination by the attending cardiologist revealed
  • #38 Examination by the physical therapist revealed