UNUSUAL PRESENTATION
      OF HCC
     DR. RAJKUMAR, R.
  III YR POST GRADUATE

   DR. KALAICHELVI D.M.
        H.O.D. & PROF
 DEPT. OF MEDICAL ONCOLOGY
 MADRAS MEDICAL COLLEGE
        CHENNAI
MR . X 60/ M REFERRED FROM SGE I
C/O SWELLING OVER THE ANT. CHEST WALL – 6
MONTHS .
H/O PAIN FOR THE PAST- 2 WEEKS.
NON ALCOHOLIC/ BEEDI SMOKER
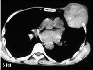
10×7 CM MASS OVER THE ANT. CHEST WALL
FIRM IN CONSISTENCY
P/A- HEPATOMEGALY
INVESTIGATIONS
• CBC- NORMAL
• LFT- S. BILIRUBIN- 1.3
          DIRECT- 0.9
       ALK.POS- 80
       T.PROT- 6.8
       ALB- 3.7
• RFT- NORMAL
• HbSAG- NEGATIVE
• ANTI HCV- NEGATIVE
• HIV I & II- NEGATIVE
• ALPHA-FETO PROTEIN- 1.62 IU/ml
• USG ABDOMEN- HETEROECHOIC LESION
  RIGHT LOBE OF LIVER-11.5×10.5 CM –
• IMPRESSION- HCC Rt. LOBE OF LIVER
HCC – METASTATIC
• UNUSAL EXTRA HEPATIC
  METASTATIC SITE
• NON CIRRHOTIC BACKGROUND
• GOOD P.S. STATUS
• BCLC STAGE C
• SORAFENIB – 200 MG B.I.D.
• PALLIATIVE R.T. - STERNUM
LITERATURE REVIEW
HCC: COMMON AND
           INCREASING
• 694,000 deaths from liver cancer yearly
  worldwide[1]
• Age-adjusted US incidence has
  increased 2-fold from 1985-1998[2]
  – Expected to continue to increase until 2015-
    2020[3]
• American Cancer Society statistics for
  liver cancer in 2010[4]
  – Estimated new cases: 24,120
  – Estimated deaths: 18,910
  – 5th leading cause of cancer deaths in males
 1. GLOBOCAN 2008. 2. SEER stat fact sheets: liver and intrahepatic bile duct. 3.
 Llovet JM. J Gastroenterol. 2005;40:225-235. 4. American Cancer Society. Cancer
 facts & figures 2010.
M.M.C. DATA
• 2010-2011
• TOTAL NO. CASES- 88
      ALCOHOLISM- 36%
      HEPATITIS B – 14.7%
      HEP B & ALCO -13.6%
      HEP C – 1.1%
• MALE- 78.4%
• FEMALE- 21.2%
• BCLC D – 85.3%
HCC: RISK FACTORS
The most important risk factor is
   cirrhosis from any cause:
1. Hepatitis B (integrates in DNA)
2. Hepatitis C
3. Alcohol
4. Aflatoxin
5. Other
HCC: Metastases
•   Rest of the liver
•   Portal vein
•   Lymph nodes
•   Lung
•   Bone
•   Brain
Natural History of Nonsurgical HCC
  Study Design: Control Arm of 2
               RCTs
• 102 untreated cirrhotic patients with
  unresectable HCC
   – Managed with symptomatic treatment
• Median survival of 17 months (range:
  1-60 months)
   – 1-yr survival was 54%
   – 2-yr survival was 40%
   – 3-yr survival was 28%

 Llovet JM, et al. Hepatology. 1999;29:62-67.
Malignant Transformation:
              Multistep
                                                                                      HCC[2]

                                                            Epigenetic alterations
                                                             Genetic alterations

                                                Dysplastic nodules[1]

                                         Liver cirrhosis

                       Hepatitis C
                       Hepatitis B                                    Potential Targets
                        Ethanol                        Oxidative             Viral          Carcinogen
                         NASH                          stress and         oncogenes              s
                                                     inflammation
    Normal liver
                                                         Growth            Telomere           Cancer
                                                         factors          shortening        stem cells
                                                                Loss of cell           Antiapopto Angiogenes
                                                                      cycle                  sis      is
                                                                checkpoints
1. Tornillo L, et al. Lab Invest. 2002;82:547-553. 2. Verslype C, et al. AASLD 2007. Abstract 24.
Vascularity of HCC
CONTRAST WASHOUT IN
       HCC




 Arterial Phase   Portal Venous Phase
STAGING SYSTEMS IN HCC
Staging         Hepatic Function            Alpha-     Performance            Tumor Staging
System                                   fetoprotein      Score

Okuda         Ascites, albumin, and           No           No           Tumor > or < 50% of cross-
                     bilirubin                                            sectional area of liver

TNM                    No                     No           No          Number of nodules, tumor size,
                                                                     presence of portal vein thrombosis,
                                                                        and presence of metastasis

CLIP                  CTP                  < 400 or        No          Number of nodules, tumor > or
                                         ≥ 400 ng/mL                 < 50% area of liver, and portal vein
                                                                               thrombosis

BCLC                  CTP                    No           Yes           Tumor size, number of
                                                                       nodules, and portal vein
                                                                             thrombosis
CUPI            Bilirubin, ascites,        < 500 or    Presence of                  TNM
              alkaline phosphatase       ≥ 500 ng/mL    symptoms

JIS                   CTP                     No           No                       TNM

GRETCH JA, et Bilirubin, alkaline,
  Marrero     al. Hepatology. 2005;41:707-716.35 or
                                            <              Yes             Portal vein thrombosis
                 phosphatase               ≥ 35 µg/L
Barcelona Clinic Liver Cancer
            Staging Classification
           Stage 0                                          Stage A-C                                        Stage D
      PST 0, Child-Pugh A                       Okuda 1-2, PST 0-2, Child-Pugh A-B                        Okuda 3, PST > 2,
                                                                                                            Child-Pugh C

      Very early stage (0)          Early stage (A)       Intermediate stage (B)     Advanced stage (C)       Terminal
         Single < 2 cm           Single or 3 nodules       Multinodular, PST 0        Portal invasion,        stage (D)
       Carcinoma in situ            < 3 cm, PST 0                                     N1, M1, PST 1-2


         Single                         3 nodules ≤ 3 cm

Portal pressure/bilirubin
                            Increased        Associated
                                              diseases

         Normal                No               Yes

                     Liver transplantation                                                  Systemic
   Resection                                     PEI/RFA         Chemoembolism
                           (CLT/LDLT)                                                      treatment
                     Curative treatments                             Randomized controlled trials           Symptomatic
                     50% to 75% at 5 yrs                           40% to 50% at 3 yrs vs 10% at 3 yrs       treatment
  Llovet JM et al. Lancet. 2003;362:1907-1917.
COMPARISON OF HCC STAGING
        SYSTEMS
• BCLC system uses key independent
  predictors of survival
  – Performance score, portal vein thrombosis,
    tumor diameter
• Compared with other staging systems in
  cohort study
  – BCLC had best stratification of survival
    across all stages
  – BCLC was only system to have independent
    predictive value on survival
• BCLC is the only staging system that
  stratifies patients into treatment groups
 Marrero JA, et al. Hepatology. 2005;41:707-716.
LIVER TRANSPLANTATION FOR HCC:
 MILAN CRITERIA (STAGE 1 AND 2)

Single tumor, not > 5 cm Up to 3tumors, none>3Cm




                         +
     Absence of macroscopic vascular invasion,
          absence of extrahepatic spread
 • 5-yr survival with transplantation: ~ 70%
 • 5-yr recurrent rates: < 15%
Mazzaferro V, et al. N Engl J Med. 1996;334:693-699.
Llovet JM. J Gastroenterol Hepatol. 2002;17(suppl 3):S428-S433.
Candidates for RFA/PEI
• Includes individuals who are not
  candidates for surgery
• Radiofrequency ablation generally
  preferred over percutaneous ethanol
  injection
  – Necrotic effect more predictable across
    tumor sizes
  – Meta-analyses suggest survival benefit
    with radiofrequency ablation vs
    percutaneous ethanol injection
 Bruix J, et al. AASLD HCC guidelines. July
 2010.
CHEMOEMBOLIZATION




Image courtesy of www.hopkinscoloncancercenter.org.
Contraindications to TACE
• Extrahepatic tumor spread
• Lack of portal blood flow
  – Portal vein thrombosis, portosystemic
    anastomoses or hepatofugal flow
• Advanced liver disease (Child-Pugh
  Class B or C)
• Clinical symptoms of end-stage
  cancer

 Bruix J, et al. AASLD HCC guidelines. July 2010.
Molecular Signaling Pathways
           in HCC
     Tumor Blood
       Vessels
                                                                                 Sorafenib

         Growth
            and
         survival                                                          Autocrine loop
          factors                 EGF/HGF

        (eg, VEGF,                                      Apoptosis
          PDGF)
                                             RAS
                                   RAF


                                   MEK                          Mitochondria

                                                HIF-2
                                   ERK                     EGF/HGF
                                                           PDGF                  Tumor Cell
                                                           VEGF
                                            Nucleus
                                                           Proliferation
                                                           Survival



Wilhelm S, et al. Cancer Res. 2004;64:7099-7109.
Phase III SHARP Study: Sorafenib
   vs Placebo in Advanced HCC

                                                    Sorafenib
                                         400 mg PO BID, continuous dosing
                                                     (n = 299)
       Patients with advanced
                                           Stratified by macroscopic
           hepatocellular                  vascular invasion and/or
             carcinoma,                    extrahepatic spread; ECOG PS;
          ECOG PS ≤ 2, no                  geographical region
         previous systemic
              treatment                               Placebo
               (N = 602)                2 tablets PO BID, continuous dosing
                                                     (n = 303)


Primary endpoints: OS, time to symptomatic progression
Secondary endpoint: TTP (independent review)


 Llovet JM, et al. N Engl J Med. 2008;359:378-390.
Sorafenib in Advanced HCC
                           (SHARP): Survival
                                                                                 Sorafenib median OS:
                       1.00
                                                                                 46.3 wks (10.7 mos)
                                                                                 (95% CI: 40.9-57.9)
                                                                                 Placebo median OS:
                       0.75                                                      34.4 wks (7.9 mos)
Survival Probability




                                                                                 (95% CI: 29.4-39.4)

                       0.50



                       0.25

                                  HR (S/P): 0.69 (95% CI: 0.55-0.87; P < .001)
                         0
                              0   1    2   3    4    5   6 7 8 9 10 11 12 13 14 15 16 17
                                                         Mos Since Randomization

Llovet JM, et al. ASCO 2007. Abstract LBA1. Llovet JM, et al. N Engl J Med.
2008;359:378-390.
Multidisciplinary HCC
           Management
• HCC is the intersection of 2 diseases
  – Liver disease and cancer
• Skilled pathologists needed for diagnosis
• Specialists required to deliver treatment
  options
  – Surgeons for resection or transplantation
  – Radiologists for ablation and
    chemoembolization
• Hepatologists and oncologists follow
  treatment strategy and labs
• Midlevel providers bring
  support, particularly for oral therapy
Conclusions
• HCC occurs in cirrhotic patients and
  complicates diagnosis and treatment
• The Barcelona Clinic Liver Cancer
  staging system accounts for key
  prognostic factors: hepatic function,
  performance score, and tumor burden
• Chemoembolization is the best option in
  nonresectable patients without vascular
  involvement
• Sorafenib is the best option for advanced
  tumors
• Novel therapies are needed

Hcc with sternal mets presentation

  • 1.
    UNUSUAL PRESENTATION OF HCC DR. RAJKUMAR, R. III YR POST GRADUATE DR. KALAICHELVI D.M. H.O.D. & PROF DEPT. OF MEDICAL ONCOLOGY MADRAS MEDICAL COLLEGE CHENNAI
  • 2.
    MR . X60/ M REFERRED FROM SGE I C/O SWELLING OVER THE ANT. CHEST WALL – 6 MONTHS . H/O PAIN FOR THE PAST- 2 WEEKS. NON ALCOHOLIC/ BEEDI SMOKER
  • 3.
    10×7 CM MASSOVER THE ANT. CHEST WALL FIRM IN CONSISTENCY P/A- HEPATOMEGALY
  • 4.
    INVESTIGATIONS • CBC- NORMAL •LFT- S. BILIRUBIN- 1.3 DIRECT- 0.9 ALK.POS- 80 T.PROT- 6.8 ALB- 3.7 • RFT- NORMAL • HbSAG- NEGATIVE • ANTI HCV- NEGATIVE • HIV I & II- NEGATIVE • ALPHA-FETO PROTEIN- 1.62 IU/ml • USG ABDOMEN- HETEROECHOIC LESION RIGHT LOBE OF LIVER-11.5×10.5 CM – • IMPRESSION- HCC Rt. LOBE OF LIVER
  • 14.
    HCC – METASTATIC •UNUSAL EXTRA HEPATIC METASTATIC SITE • NON CIRRHOTIC BACKGROUND • GOOD P.S. STATUS • BCLC STAGE C • SORAFENIB – 200 MG B.I.D. • PALLIATIVE R.T. - STERNUM
  • 15.
  • 18.
    HCC: COMMON AND INCREASING • 694,000 deaths from liver cancer yearly worldwide[1] • Age-adjusted US incidence has increased 2-fold from 1985-1998[2] – Expected to continue to increase until 2015- 2020[3] • American Cancer Society statistics for liver cancer in 2010[4] – Estimated new cases: 24,120 – Estimated deaths: 18,910 – 5th leading cause of cancer deaths in males 1. GLOBOCAN 2008. 2. SEER stat fact sheets: liver and intrahepatic bile duct. 3. Llovet JM. J Gastroenterol. 2005;40:225-235. 4. American Cancer Society. Cancer facts & figures 2010.
  • 21.
    M.M.C. DATA • 2010-2011 •TOTAL NO. CASES- 88 ALCOHOLISM- 36% HEPATITIS B – 14.7% HEP B & ALCO -13.6% HEP C – 1.1% • MALE- 78.4% • FEMALE- 21.2% • BCLC D – 85.3%
  • 22.
    HCC: RISK FACTORS Themost important risk factor is cirrhosis from any cause: 1. Hepatitis B (integrates in DNA) 2. Hepatitis C 3. Alcohol 4. Aflatoxin 5. Other
  • 23.
    HCC: Metastases • Rest of the liver • Portal vein • Lymph nodes • Lung • Bone • Brain
  • 25.
    Natural History ofNonsurgical HCC Study Design: Control Arm of 2 RCTs • 102 untreated cirrhotic patients with unresectable HCC – Managed with symptomatic treatment • Median survival of 17 months (range: 1-60 months) – 1-yr survival was 54% – 2-yr survival was 40% – 3-yr survival was 28% Llovet JM, et al. Hepatology. 1999;29:62-67.
  • 28.
    Malignant Transformation: Multistep HCC[2] Epigenetic alterations Genetic alterations Dysplastic nodules[1] Liver cirrhosis Hepatitis C Hepatitis B Potential Targets Ethanol Oxidative Viral Carcinogen NASH stress and oncogenes s inflammation Normal liver Growth Telomere Cancer factors shortening stem cells Loss of cell Antiapopto Angiogenes cycle sis is checkpoints 1. Tornillo L, et al. Lab Invest. 2002;82:547-553. 2. Verslype C, et al. AASLD 2007. Abstract 24.
  • 29.
  • 32.
    CONTRAST WASHOUT IN HCC Arterial Phase Portal Venous Phase
  • 33.
    STAGING SYSTEMS INHCC Staging Hepatic Function Alpha- Performance Tumor Staging System fetoprotein Score Okuda Ascites, albumin, and No No Tumor > or < 50% of cross- bilirubin sectional area of liver TNM No No No Number of nodules, tumor size, presence of portal vein thrombosis, and presence of metastasis CLIP CTP < 400 or No Number of nodules, tumor > or ≥ 400 ng/mL < 50% area of liver, and portal vein thrombosis BCLC CTP No Yes Tumor size, number of nodules, and portal vein thrombosis CUPI Bilirubin, ascites, < 500 or Presence of TNM alkaline phosphatase ≥ 500 ng/mL symptoms JIS CTP No No TNM GRETCH JA, et Bilirubin, alkaline, Marrero al. Hepatology. 2005;41:707-716.35 or < Yes Portal vein thrombosis phosphatase ≥ 35 µg/L
  • 34.
    Barcelona Clinic LiverCancer Staging Classification Stage 0 Stage A-C Stage D PST 0, Child-Pugh A Okuda 1-2, PST 0-2, Child-Pugh A-B Okuda 3, PST > 2, Child-Pugh C Very early stage (0) Early stage (A) Intermediate stage (B) Advanced stage (C) Terminal Single < 2 cm Single or 3 nodules Multinodular, PST 0 Portal invasion, stage (D) Carcinoma in situ < 3 cm, PST 0 N1, M1, PST 1-2 Single 3 nodules ≤ 3 cm Portal pressure/bilirubin Increased Associated diseases Normal No Yes Liver transplantation Systemic Resection PEI/RFA Chemoembolism (CLT/LDLT) treatment Curative treatments Randomized controlled trials Symptomatic 50% to 75% at 5 yrs 40% to 50% at 3 yrs vs 10% at 3 yrs treatment Llovet JM et al. Lancet. 2003;362:1907-1917.
  • 35.
    COMPARISON OF HCCSTAGING SYSTEMS • BCLC system uses key independent predictors of survival – Performance score, portal vein thrombosis, tumor diameter • Compared with other staging systems in cohort study – BCLC had best stratification of survival across all stages – BCLC was only system to have independent predictive value on survival • BCLC is the only staging system that stratifies patients into treatment groups Marrero JA, et al. Hepatology. 2005;41:707-716.
  • 36.
    LIVER TRANSPLANTATION FORHCC: MILAN CRITERIA (STAGE 1 AND 2) Single tumor, not > 5 cm Up to 3tumors, none>3Cm + Absence of macroscopic vascular invasion, absence of extrahepatic spread • 5-yr survival with transplantation: ~ 70% • 5-yr recurrent rates: < 15% Mazzaferro V, et al. N Engl J Med. 1996;334:693-699. Llovet JM. J Gastroenterol Hepatol. 2002;17(suppl 3):S428-S433.
  • 37.
    Candidates for RFA/PEI •Includes individuals who are not candidates for surgery • Radiofrequency ablation generally preferred over percutaneous ethanol injection – Necrotic effect more predictable across tumor sizes – Meta-analyses suggest survival benefit with radiofrequency ablation vs percutaneous ethanol injection Bruix J, et al. AASLD HCC guidelines. July 2010.
  • 38.
    CHEMOEMBOLIZATION Image courtesy ofwww.hopkinscoloncancercenter.org.
  • 39.
    Contraindications to TACE •Extrahepatic tumor spread • Lack of portal blood flow – Portal vein thrombosis, portosystemic anastomoses or hepatofugal flow • Advanced liver disease (Child-Pugh Class B or C) • Clinical symptoms of end-stage cancer Bruix J, et al. AASLD HCC guidelines. July 2010.
  • 40.
    Molecular Signaling Pathways in HCC Tumor Blood Vessels Sorafenib Growth and survival Autocrine loop factors EGF/HGF (eg, VEGF, Apoptosis PDGF) RAS RAF MEK Mitochondria HIF-2 ERK EGF/HGF PDGF Tumor Cell VEGF Nucleus Proliferation Survival Wilhelm S, et al. Cancer Res. 2004;64:7099-7109.
  • 41.
    Phase III SHARPStudy: Sorafenib vs Placebo in Advanced HCC Sorafenib 400 mg PO BID, continuous dosing (n = 299) Patients with advanced Stratified by macroscopic hepatocellular vascular invasion and/or carcinoma, extrahepatic spread; ECOG PS; ECOG PS ≤ 2, no geographical region previous systemic treatment Placebo (N = 602) 2 tablets PO BID, continuous dosing (n = 303) Primary endpoints: OS, time to symptomatic progression Secondary endpoint: TTP (independent review) Llovet JM, et al. N Engl J Med. 2008;359:378-390.
  • 42.
    Sorafenib in AdvancedHCC (SHARP): Survival Sorafenib median OS: 1.00 46.3 wks (10.7 mos) (95% CI: 40.9-57.9) Placebo median OS: 0.75 34.4 wks (7.9 mos) Survival Probability (95% CI: 29.4-39.4) 0.50 0.25 HR (S/P): 0.69 (95% CI: 0.55-0.87; P < .001) 0 0 1 2 3 4 5 6 7 8 9 10 11 12 13 14 15 16 17 Mos Since Randomization Llovet JM, et al. ASCO 2007. Abstract LBA1. Llovet JM, et al. N Engl J Med. 2008;359:378-390.
  • 43.
    Multidisciplinary HCC Management • HCC is the intersection of 2 diseases – Liver disease and cancer • Skilled pathologists needed for diagnosis • Specialists required to deliver treatment options – Surgeons for resection or transplantation – Radiologists for ablation and chemoembolization • Hepatologists and oncologists follow treatment strategy and labs • Midlevel providers bring support, particularly for oral therapy
  • 44.
    Conclusions • HCC occursin cirrhotic patients and complicates diagnosis and treatment • The Barcelona Clinic Liver Cancer staging system accounts for key prognostic factors: hepatic function, performance score, and tumor burden • Chemoembolization is the best option in nonresectable patients without vascular involvement • Sorafenib is the best option for advanced tumors • Novel therapies are needed

Editor's Notes

  • #26 BCLC, Barcelona Clinic Liver Cancer; ECOG, Eastern Cooperative Oncology Group; HCC, hepatocellular carcinoma; PS, performance score; RCT, randomized controlled trial. Josep M. Llovet, MD: Median survival in patients with intermediate-stage disease is approximately 17 months if left untreated but may be extended with chemoembolization.  
  • #30 HCC, hepatocellular carcinoma.
  • #33 HCC, hepatocellular carcinoma.
  • #34 BCLC, Barcelona Liver Clinic Cancer stage; CLIP, cancer of the liver Italian program; CUPI, Chinese University Prognostic Index; CTP, Child-Pugh-Turcotte; GRETCH, Groupe d&apos;Etude et de Traitement du Carcinome Hépatocellulaire; HCC, hepatocellular carcinoma; JIS, Japan Integrated Staging score; TNM, tumor-node-metastasis.
  • #36 BCLC, Barcelona Clinic Liver Cancer; HCC, hepatocellular carcinoma. Josep M. Llovet, MD: Dr. Marrero led a comparative study of HCC staging systems in a cohort of American patients that identified the BCLC system as the best predictor of survival. In addition, the BCLC system is the only system that stratifies patients into treatment groups as well as provides prognostic stratification. For more information, go online to: http://clinicaloptions.com/Hepatitis/Journal%20Options/Collections/2005%20JO%20Hepatitis%20Volume%202/Articles/Marrero-Hep-2005-04/Capsule.aspx 
  • #38 PEI, percutaneous ethanol injection; RFA, radiofrequency ablation. Josep M. Llovet, MD: A third option is percutaneous local ablation. This procedure is suitable for patients who are not candidates for surgery or liver transplantation. Radiofrequency ablation is considered the first-line treatment option for these patients based on data from 4 randomized, controlled trials that found this approach to be significantly more effective than percutaneous ethanol injection regarding local control of disease. In addition, meta-analyses suggest there may be an overall survival benefit in favor of radiofrequency ablation.
  • #40 TACE, transarterial chemoembolization. Josep M. Llovet, MD: Chemoembolization is not appropriate for all patients with intermediate-stage disease. For instance, extrahepatic spread, lack of portal blood flow, advanced disease, or clinical symptoms of end-stage cancer are contraindications for chemoembolization.
  • #43 CI, confidence interval; HCC, hepatocellular carcinoma; HR, hazard ratio; OS, overall survival; SHARP, Sorafenib HCC Assessment Randomized Protocol.
  • #44 HCC, hepatocellular carcinoma. Jorge A. Marrero, MD, MS:Management of HCC requires a multidisciplinary approach. Treatment options involve surgery, medical oncology, diagnostic and interventional radiology, as well as hepatology.  Josep M. Llovet, MD: Hepatocellular carcinoma is a complex and unique disease, involving cirrhosis and liver disease as well as cancer. Hepatic resection and liver transplantation requires specialist surgeons, and skilled pathologists are needed to confirm diagnosis. Use of local ablation therapies and chemoembolization depends on access to interventional radiologists, and finally, hepatologists and oncologists must be well versed in treatment strategy. The multidisciplinary team is central to the management of this disease.
  • #45 HCC, hepatocellular carcinoma.