GINGIVAL
INFLAMMATION
&
CLINICAL FEATURES
OF GINGIVITIS
DR. ABHISHEK GAUR
BDS, MDS, F.A.G.E. (PH. D)
DEPARTMENT OF PERIODONTICS
R. R. DENTAL COLLEGE & HOSPITAL
UMRA, UDAIPUR
GINGIVITIS ?
CAUSE OF GINGIVITIS
???
Absence of treatment of gingivitis can lead to
progress of gingivitis into periodontitis.
STAGES
OF
GINGIVAL
INFLAMMATION
INITIAL LESION (2ND TO 4TH DAY)
Vascular Changes :
Classical Vasculitis subjacent to junctional epithelium.
Clinical Changes :
Exudation of fluid from the gingival sulcus.
Sub-clinical gingivitis.
GINGIVAL INFLAMMATION & CLINICAL FEATURES OF GINGIVITIS
EARLY LESION (4TH TO 7TH DAY)
Vascular Changes :
Vascular proliferation.
Clinical Changes :
Erythematous, Gingival Bleeding on Probing.
GINGIVAL INFLAMMATION & CLINICAL FEATURES OF GINGIVITIS
ESTABLISHED LESION (14TH TO 21ST DAY)
Vascular Changes :
Vascular proliferation.
Clinical Changes :
Changes seen in consistency & surface texture.
Bluish colour around the reddened gingiva.
GINGIVAL INFLAMMATION & CLINICAL FEATURES OF GINGIVITIS
ADVANCED LESION
Vascular Changes :
Vascular proliferation.
Clinical Changes :
Formation of periodontal pocket and its progressions
towards Periodontitis.
GINGIVAL INFLAMMATION & CLINICAL FEATURES OF GINGIVITIS
TYPES
OF
GINGIVITIS
TYPES OF GINGIVITIS
Depending on course and duration
Depending on distribution
Depending on the course and duration :
1. Acute gingivitis is of sudden on-set and short duration; and can be painful.
2. Sub-acute gingivitis is a less severe phase of acute infection.
3. Recurrent gingivitis re-appears either after treatment or disappears spontaneously.
4. Chronic gingivitis is show in onset, of long duration, usually painless and the
most commonly occurring gingival condition.
GINGIVAL INFLAMMATION & CLINICAL FEATURES OF GINGIVITIS
DEPENDING ON DISTRIBUTION
Localised gingivitis : It is the condition is involving a single tooth or group of
tooth.
Generalised gingivitis : It is the condition involving entire mouth.
According to distribution :
1. Marginal gingivitis: In this the inflammation is limited to the marginal gingiva.
2. Papillary gingivitis: In this the inflammation is limited to interdental papilla.
3. Diffuse gingivitis: In this the inflammation involves attached gingiva.
GINGIVAL INFLAMMATION & CLINICAL FEATURES OF GINGIVITIS
GINGIVAL
FEATURES IN HEALTH IN DISEASE
Color Coral Pink Reddish blue or deep blue
Contour
Scalloped & Knife
edged
Rolled and round
edges
Consistency Firm & Resilient
Edematous, Spongy
Shape
Position At CEJ
Apically or
Coronally Placed
Size Normal
Enlargement or
Recession
GINGIVAL
FEATURES
IN
HEALTHY IN DISEASE
Surface Texture Stippling +nt Loss of Stippling
B.O.P. -
Present
Chronic Recurrent,
Spontaneous
Bleeding Present
GINGIVAL
BLEEDING
SIGNIFICANCE
It is one of the earliest visual signs of inflammation.
It can appear earlier than colour changes or any other
visual signs of inflammation.
It also provides an additional advantage, by being a
more objective sign that requires less subjective
estimation by the examiner.
The severity and ease with bleeding can be provoked
indicates the integrity of the inflammation.
GINGIVAL INFLAMMATION & CLINICAL FEATURES OF GINGIVITIS
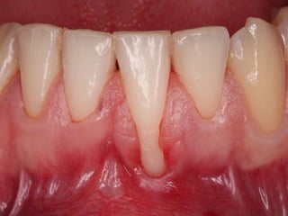
GINGIVAL
RECESSION
GINGIVAL
RECESSION
Classification
Two classification systems are available :
1. According to Sullivan & Atkins : Shallow-narrow,
shallow-wide and Deep-Wide.
2. According to PD Miller’s : Class-I ,Class-II, Class III,
Class IV.
GINGIVAL INFLAMMATION & CLINICAL FEATURES OF GINGIVITIS
ETIOLOGY
Plaque-induced gingival inflammation is
the primary etiological factor responsible
for gingival recession.
Other common cause is faulty tooth-
brushing.
Anatomic factors.
Habits.
GINGIVAL INFLAMMATION & CLINICAL FEATURES OF GINGIVITIS
CLINICAL SIGNIFICANCE OF GINGIVAL RECESSION
The exposed root surface may be extremely
sensitive.
Inter-proximal recession creates oral hygiene
problems thereby resulting in plaque accumulation.
Finally, it is aesthetically unacceptable.
GINGIVAL INFLAMMATION & CLINICAL FEATURES OF GINGIVITIS
Gigival inflammation

Gigival inflammation

  • 2.
    GINGIVAL INFLAMMATION & CLINICAL FEATURES OF GINGIVITIS DR.ABHISHEK GAUR BDS, MDS, F.A.G.E. (PH. D) DEPARTMENT OF PERIODONTICS R. R. DENTAL COLLEGE & HOSPITAL UMRA, UDAIPUR
  • 3.
  • 4.
    CAUSE OF GINGIVITIS ??? Absenceof treatment of gingivitis can lead to progress of gingivitis into periodontitis.
  • 5.
  • 6.
    INITIAL LESION (2NDTO 4TH DAY) Vascular Changes : Classical Vasculitis subjacent to junctional epithelium. Clinical Changes : Exudation of fluid from the gingival sulcus. Sub-clinical gingivitis. GINGIVAL INFLAMMATION & CLINICAL FEATURES OF GINGIVITIS
  • 7.
    EARLY LESION (4THTO 7TH DAY) Vascular Changes : Vascular proliferation. Clinical Changes : Erythematous, Gingival Bleeding on Probing. GINGIVAL INFLAMMATION & CLINICAL FEATURES OF GINGIVITIS
  • 8.
    ESTABLISHED LESION (14THTO 21ST DAY) Vascular Changes : Vascular proliferation. Clinical Changes : Changes seen in consistency & surface texture. Bluish colour around the reddened gingiva. GINGIVAL INFLAMMATION & CLINICAL FEATURES OF GINGIVITIS
  • 9.
    ADVANCED LESION Vascular Changes: Vascular proliferation. Clinical Changes : Formation of periodontal pocket and its progressions towards Periodontitis. GINGIVAL INFLAMMATION & CLINICAL FEATURES OF GINGIVITIS
  • 10.
  • 11.
    TYPES OF GINGIVITIS Dependingon course and duration Depending on distribution Depending on the course and duration : 1. Acute gingivitis is of sudden on-set and short duration; and can be painful. 2. Sub-acute gingivitis is a less severe phase of acute infection. 3. Recurrent gingivitis re-appears either after treatment or disappears spontaneously. 4. Chronic gingivitis is show in onset, of long duration, usually painless and the most commonly occurring gingival condition. GINGIVAL INFLAMMATION & CLINICAL FEATURES OF GINGIVITIS
  • 12.
    DEPENDING ON DISTRIBUTION Localisedgingivitis : It is the condition is involving a single tooth or group of tooth. Generalised gingivitis : It is the condition involving entire mouth. According to distribution : 1. Marginal gingivitis: In this the inflammation is limited to the marginal gingiva. 2. Papillary gingivitis: In this the inflammation is limited to interdental papilla. 3. Diffuse gingivitis: In this the inflammation involves attached gingiva. GINGIVAL INFLAMMATION & CLINICAL FEATURES OF GINGIVITIS
  • 13.
    GINGIVAL FEATURES IN HEALTHIN DISEASE Color Coral Pink Reddish blue or deep blue Contour Scalloped & Knife edged Rolled and round edges Consistency Firm & Resilient Edematous, Spongy Shape Position At CEJ Apically or Coronally Placed Size Normal Enlargement or Recession
  • 14.
    GINGIVAL FEATURES IN HEALTHY IN DISEASE SurfaceTexture Stippling +nt Loss of Stippling B.O.P. - Present Chronic Recurrent, Spontaneous Bleeding Present
  • 15.
  • 16.
    SIGNIFICANCE It is oneof the earliest visual signs of inflammation. It can appear earlier than colour changes or any other visual signs of inflammation. It also provides an additional advantage, by being a more objective sign that requires less subjective estimation by the examiner. The severity and ease with bleeding can be provoked indicates the integrity of the inflammation. GINGIVAL INFLAMMATION & CLINICAL FEATURES OF GINGIVITIS
  • 17.
  • 18.
    GINGIVAL RECESSION Classification Two classification systemsare available : 1. According to Sullivan & Atkins : Shallow-narrow, shallow-wide and Deep-Wide. 2. According to PD Miller’s : Class-I ,Class-II, Class III, Class IV. GINGIVAL INFLAMMATION & CLINICAL FEATURES OF GINGIVITIS
  • 21.
    ETIOLOGY Plaque-induced gingival inflammationis the primary etiological factor responsible for gingival recession. Other common cause is faulty tooth- brushing. Anatomic factors. Habits. GINGIVAL INFLAMMATION & CLINICAL FEATURES OF GINGIVITIS
  • 22.
    CLINICAL SIGNIFICANCE OFGINGIVAL RECESSION The exposed root surface may be extremely sensitive. Inter-proximal recession creates oral hygiene problems thereby resulting in plaque accumulation. Finally, it is aesthetically unacceptable. GINGIVAL INFLAMMATION & CLINICAL FEATURES OF GINGIVITIS