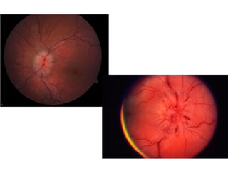
DISC EDEMA
INTRODUCTION:
• Normal disc diameter – 1.18-1.75 mm
• Disc area ranges from 0.68-4.42 mm2
• Disc area linearly increased by 1.2% +/- 0.15%
for each dioptre increase towards myopia(>-5D)
and decreased in hypermetropia (> +5D)
• A normal optic disc is vertically oval with the
vertical diameter being the maximum diameter
and the horizontal being the minimum diameter
• Pseudopapilledema is defined as anomalous
elevation of one or both optic discs without
edema of the retinal nerve fiber layer.
• Papilledema, on the other hand, is a swelling
of the optic disc due to increased intracranial
pressure
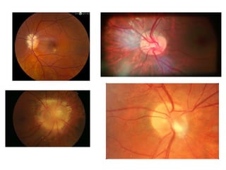
TRUE/PSEUDO DISC EDEMA?
TRUE DISC EDEMA PSEUDO EDEMA
1.Disc colour - Hyperemic Yellow
2.Large vessels - Normal Anomalous
3.Small vessels - Telengiectatic Normal
4.Spontaneous - Absent Present
Venous pulsations
5.Optic disc - Normal initially Small/absent
6.Nerve fibre layer
Hemorrhages - Frequent Rare
7.Fluorescein - Dye leakage No leakage
angiography
CAUSES OF PSEUDOPAPILLEDEMA:
1.Optic nerve head drusen
2.Titlted disc syndrome
3.Myelinated nerve fibres
4.Bergmeister’s papillae
5. Morning glory disc anomaly
6.Astrocytic hamartoma
7.Vitreopapillary traction
8.Leber’s hereditary optic neuropathy
CAUSES OF PAPILLEDEMA:
• Expanding mass lesion (e.g. brain tumor)
• Cerebral edema due to stroke
• Intracranial hemorrhage
• Compression of the ventricular system in the
posterior fossa
• Venous sinus thrombosis
• Infectious etiology (e.g. cryptococcal meningitis)
• Pseudotumor cerebri
• Causes of bilateral optic disc edema without raised
intracranial pressure:
• Hypertensive emergency
• Diabetic papillopathy
• Toxic insult
• Metabolic or nutritional deficiency
• Optic perineuritis (caused by infectious or
inflammatory conditions)
• Other causes: optic neuritis, ischemia, compression
from orbital tumors
SIGNS OF DISC EDEMA:
• MECHANICAL SIGNS:
1.Elevation of the optic disc(3D=1mm)
2.Blurring of the disc margins
3.Filling in of optic cup
4.Edema of peripapillary nerve fiber
5.Retinal/choroidal folds
• VASCULAR SIGNS:
1.Hyperemia of disc
2.Venous congestion
3.Peripapillary hemorrhages
4.Exudates in disc/peripapillary area
5.Nerve fiber layer infarcts
PAPILLEDEMA vs. PAPILLITIS
• Papilledema is bilateral,passiva,non-
inflammatory swelling of optic disc due to
raised intracranial pressure
• The main difference is visual acuity and optic
nerve function are normal in
papilledema,whereas it is disturbed in
papillitis
PAPILLEDEMA PAPILLITIS
1.Laterality - Bilateral Unilateral
2.Symptoms - Transient loss of vision Sudden loss of vision
No pain Pain on EOM
3.Pupillary reaction - Normal RAPD
4.Media - Clear Vitreous cells
5.Disc elevation - 2 to 6 D Doesnot exceed
2-3 D
6.Venous engorgements - More frequent less frequent
Peripapillary Hemorrhages
MANAGEMENT:
• INVESTIGATIONS:
1. Ophthalmic investigations:
- B scan ultrasonography
- SD OCT-RNFL
- Stereo disc images
- Automated perimetry
- Fluorescein angiography
2.Neuro-imaging:
-Urgent CT to rule out space occupying lesions and CT
venogram to rule out cerebral venous malformations
-MRI MRV with contrast would assess for
leptomeningeal enhancement if meningitis was
suspected
-Lumbar puncture (to be done after neuroimaging
demonstrates no risk for herniation) to assess for
elevated opening pressure and signs infection or
inflammation (e.g., CSF cell count, protein, glucose)
• If toxic or infectious etiologies are suspected,
then other laboratory or serologic testing may
be indicated.
• Further laboratory studies may include ESR,
CRP and CBC for inflammatory etiologies.
TREATMENT:
• MEDICAL THERAPY:
1.Malignant hypertension-antihypertensive agents
2.Acetazolamide (contraindicated in cryptococcal
meningitis due to metabolic acidosis)
3.corticosteroid/immunosuppressive therapy-for
inflammatory etiology
4.High dose i.v corticosteroids,IVIG,plamapharesis-
demyelinating disease
5.Antibiotics-infective etiology
• SURGERY:
-Intracranial mass lesion-neurosurgical intervention.
-Persistent disc edema due to increased ICP not
responding to maximum medical therapy or that is
associated with acute vision loss at onset (e.g.,
fulminant IIH) require optic nerve sheath fenestration
and/or cerebrospinal fluid shunt device
- A lumbar drain may be necessary for papilledema in
the acute setting (eg, fulminant IIH) as a temporizing
measure prior to definitive surgical treatment.
PROGNOSIS:
• With appropriate and prompt treatment, in
most cases vision can be preserved.
• Prolonged disc edema - increases the risk of
permanent nerve damage and vision loss.
• Patients with acute and severe disease at onset
(e.g., malignant hypertension or fulminant IIH)
require more urgent and aggressive
intervention for better long-term prognosis.
Anterior ischemic optic neuropathy:
NON-ARTERITIC AION:
• Occlusion of short posterior ciliary arteries-
partial/total infarction of optic nerve head
• Age >50,but younger than those with AAION
• DM,APA
syndrome,hypertension,hyperlipidemia,sleep
apnoea
Symptoms:
• Sudden painless monocular vision loss
Signs:
• Decreased VA
• Visual field defects
• Dyschromatopsia proportional to VA
• Diffuse/sectoral disc swelling with few splinter
hemorrhages(disc swelling gradually resolves)
Investigations:
• BP monitoring
• Fasting lipid profile,blood glucose
• Neuroimaging in some cases
Treatment:
• No definitive treatment
• Short term steroid treatment
• Treating underlying cause
• Aspirin(doesnot prevent attack in fellow eye)
ARTERITIC AION:
• In untreated cases of giant cell arteritis
• One-third develop fellow eye involvement within a
week
Symptoms:
• Sudden,profound unilateral vision loss preceded by
amaurosis fugax
• Periocular pain
• GCA symptoms-scalp tenderness,headache,jaw
claudication
• Diplopia
Signs:
• Severe vision loss with altitudinal visual field defect
• Pale ‘chalky white’ edematous disc-suggesting GCA
• Swelling resolves gradually-severe OA ensues
Prognosis: very poor,permanent vision loss.partial
recovery with immediate systemic steroids
Pseudo-Foster Kennedy syndrome-consequence of
AION-active disease in one eye is associated with
contralateral optic atrophy in fellow eye due to
previous episode
Treatment:
• Intravenous methylprednisolone 500mg-1g/day for 3
days,oral prednisolone 1-2 mg/kg/day.After 3 more days-
oral dose reduced to 50-60mg/day for 4 weeks/until
symptoms resolution & ESR/CRP becomes normal
• Along with weekly bisphosphonate,calcium/vit D
supplementation
• Monitoring by physician for steroid-related complications
• Antiplatelet therapy with aspirin 600mg stat then
100mg/day
• Methotrexate –in cases of steroid resistance
ONTT
• The Optic Neuritis Treatment Trial (ONTT) was a randomized trial that
evaluated the value of corticosteroids in the treatment of acute optic neuritis
• •3-day course of methylprednisolone given intravenously in a dose of 250 mg
every 6 hours followed by 2 weeks of daily oral prednisone in a dose of 1
mg/kg/day accelerated visual recovery but did not improve the eventual
visual outcome
• •Treatment with oral prednisone alone in a dose of 1 mg/kg/day for 2 weeks
also did not improve visual outcome and was associated with an increased
rate of optic neuritis recurrences
• An unexpected finding was that those who received intravenous
corticosteroids followed by oral corticosteroids had a temporarily reduced risk
of development of a second demyelinating event consistent with MS over the
first two years compared with subjects who received oral corticosteroids
alone or placebo
MACULAR EDEMA:
• Anatomy: round area in posterior pole,lying
inside temporal visual arcade,measuring 5-6
mm in diameter,subserves central 15-20
degree of the visual field,shows more than 1
layer of ganglion cells,contains xanthophyll
carotenoid pigments lutein & zeaxanthin
Cystoid macular oedema:
• Accumulation of fluid in outer plexiform &
inner nuclear layers with cyst-like cavities
• Accumulate initially in muller cells then
rupture
• Small cavities coalesce-foveal lamellar hole
with irreversible central vision impairment
• CMO is non-specific manifestation of variety
of causes
Causes:
1.Ocular surgery,laser-phacoemulsification,PRP
2.Retinal vascular disease-DR,RVO
3.Inflammation- intermediate uveitis,severe/chronic
uveitis
4.Drug-induced –topical prostaglandin derivatives
5.Retinal dystrophies-RP
6.Conditions involving VMT-ERM
7.CNV
8.Fundus tumours-retinal capillary hemangioma
9.Systemic – chronic renal failure
Diagnosis:
• Symptoms-blurring of vision,micropsia,distortion
• Signs-loss of foveal depression,thickening of
retina,multiple cystoid areas,optic disc
swelling,lamellar hole may be visible,features of
associated disease
• Amsler chart-central blurring,distortion
• FA-petaloid pattern due to dye accumulation in cystic
spaces
• OCT-retinal thickening with cystic hyporeflective
spaces and loss of foveal depression.lamellar hole in
advanced cases
DIABETIC MACULAR EDEMA:
• Diffuse retinal edema due to extensive
capillary leakage & localised oedema by focal
leakage from microaneurysms and dilated
capillary segments
• Fluid initially located between outer plexiform
& inner nuclear layer.later may involve inner
plexiform and nerve fibre layer,until entire
thickness becomes odematous
Focal maculopathy-well-circumscribed retinal
thickening with complete/incomplete ring of
exudates.FA shows focal hyperfluorescence
due to leakage with good macular perfusion
Diffuse maculopathy-diffuse retinal thickening
associated with cystoid changes.typically with
scattered MA & small hemorrhages.FA shows
mid-late phase diffuse hyperfluorescence
Clinically significant macular edema: detected
clinically
• Retinal thickening within 500 micrometres of the
center of macula
• Exudates within 500 micrometres of the center of
macula,if associated with retinal
thickening(thickening itself maybe outside the
500 micrometres)
• Retinal thickening one-disc area(1500
micrometre) or larger,any part of which is within
one-disc diameter of the centre of macula
• Microcystic macular edema:
• Microcystic changes of the inner nuclear layer
distinct from classic CMO can occur in eyes
with optic neuritis and some other forms of
optic neuropathy. It is believed to be caused
by retrograde degeneration of the inner
retinal layers that manifests with impaired
fluid resorption.
• • Treatment of macular oedema. Treatment is
generally indicated for VA worse than 6/9
and/or with significant central macular
thickening (e.g. >250 µm) on OCT, but is
unlikely to be of benefit if 6/120 or worse.
• Intravitreal anti-VEGF agents
• Intravitreal dexamethasone implant
Disc edema powerpoint presentation.pptxx
Disc edema powerpoint presentation.pptxx
Disc edema powerpoint presentation.pptxx
Disc edema powerpoint presentation.pptxx
Disc edema powerpoint presentation.pptxx
Disc edema powerpoint presentation.pptxx
Disc edema powerpoint presentation.pptxx

Disc edema powerpoint presentation.pptxx

  • 1.
  • 2.
    INTRODUCTION: • Normal discdiameter – 1.18-1.75 mm • Disc area ranges from 0.68-4.42 mm2 • Disc area linearly increased by 1.2% +/- 0.15% for each dioptre increase towards myopia(>-5D) and decreased in hypermetropia (> +5D) • A normal optic disc is vertically oval with the vertical diameter being the maximum diameter and the horizontal being the minimum diameter
  • 3.
    • Pseudopapilledema isdefined as anomalous elevation of one or both optic discs without edema of the retinal nerve fiber layer. • Papilledema, on the other hand, is a swelling of the optic disc due to increased intracranial pressure
  • 4.
    TRUE/PSEUDO DISC EDEMA? TRUEDISC EDEMA PSEUDO EDEMA 1.Disc colour - Hyperemic Yellow 2.Large vessels - Normal Anomalous 3.Small vessels - Telengiectatic Normal 4.Spontaneous - Absent Present Venous pulsations 5.Optic disc - Normal initially Small/absent 6.Nerve fibre layer Hemorrhages - Frequent Rare 7.Fluorescein - Dye leakage No leakage angiography
  • 5.
    CAUSES OF PSEUDOPAPILLEDEMA: 1.Opticnerve head drusen 2.Titlted disc syndrome 3.Myelinated nerve fibres 4.Bergmeister’s papillae 5. Morning glory disc anomaly 6.Astrocytic hamartoma 7.Vitreopapillary traction 8.Leber’s hereditary optic neuropathy
  • 8.
    CAUSES OF PAPILLEDEMA: •Expanding mass lesion (e.g. brain tumor) • Cerebral edema due to stroke • Intracranial hemorrhage • Compression of the ventricular system in the posterior fossa • Venous sinus thrombosis • Infectious etiology (e.g. cryptococcal meningitis) • Pseudotumor cerebri
  • 9.
    • Causes ofbilateral optic disc edema without raised intracranial pressure: • Hypertensive emergency • Diabetic papillopathy • Toxic insult • Metabolic or nutritional deficiency • Optic perineuritis (caused by infectious or inflammatory conditions) • Other causes: optic neuritis, ischemia, compression from orbital tumors
  • 10.
    SIGNS OF DISCEDEMA: • MECHANICAL SIGNS: 1.Elevation of the optic disc(3D=1mm) 2.Blurring of the disc margins 3.Filling in of optic cup 4.Edema of peripapillary nerve fiber 5.Retinal/choroidal folds
  • 11.
    • VASCULAR SIGNS: 1.Hyperemiaof disc 2.Venous congestion 3.Peripapillary hemorrhages 4.Exudates in disc/peripapillary area 5.Nerve fiber layer infarcts
  • 12.
    PAPILLEDEMA vs. PAPILLITIS •Papilledema is bilateral,passiva,non- inflammatory swelling of optic disc due to raised intracranial pressure • The main difference is visual acuity and optic nerve function are normal in papilledema,whereas it is disturbed in papillitis
  • 13.
    PAPILLEDEMA PAPILLITIS 1.Laterality -Bilateral Unilateral 2.Symptoms - Transient loss of vision Sudden loss of vision No pain Pain on EOM 3.Pupillary reaction - Normal RAPD 4.Media - Clear Vitreous cells 5.Disc elevation - 2 to 6 D Doesnot exceed 2-3 D 6.Venous engorgements - More frequent less frequent Peripapillary Hemorrhages
  • 15.
    MANAGEMENT: • INVESTIGATIONS: 1. Ophthalmicinvestigations: - B scan ultrasonography - SD OCT-RNFL - Stereo disc images - Automated perimetry - Fluorescein angiography
  • 16.
    2.Neuro-imaging: -Urgent CT torule out space occupying lesions and CT venogram to rule out cerebral venous malformations -MRI MRV with contrast would assess for leptomeningeal enhancement if meningitis was suspected -Lumbar puncture (to be done after neuroimaging demonstrates no risk for herniation) to assess for elevated opening pressure and signs infection or inflammation (e.g., CSF cell count, protein, glucose)
  • 17.
    • If toxicor infectious etiologies are suspected, then other laboratory or serologic testing may be indicated. • Further laboratory studies may include ESR, CRP and CBC for inflammatory etiologies.
  • 18.
    TREATMENT: • MEDICAL THERAPY: 1.Malignanthypertension-antihypertensive agents 2.Acetazolamide (contraindicated in cryptococcal meningitis due to metabolic acidosis) 3.corticosteroid/immunosuppressive therapy-for inflammatory etiology 4.High dose i.v corticosteroids,IVIG,plamapharesis- demyelinating disease 5.Antibiotics-infective etiology
  • 19.
    • SURGERY: -Intracranial masslesion-neurosurgical intervention. -Persistent disc edema due to increased ICP not responding to maximum medical therapy or that is associated with acute vision loss at onset (e.g., fulminant IIH) require optic nerve sheath fenestration and/or cerebrospinal fluid shunt device - A lumbar drain may be necessary for papilledema in the acute setting (eg, fulminant IIH) as a temporizing measure prior to definitive surgical treatment.
  • 20.
    PROGNOSIS: • With appropriateand prompt treatment, in most cases vision can be preserved. • Prolonged disc edema - increases the risk of permanent nerve damage and vision loss. • Patients with acute and severe disease at onset (e.g., malignant hypertension or fulminant IIH) require more urgent and aggressive intervention for better long-term prognosis.
  • 21.
    Anterior ischemic opticneuropathy: NON-ARTERITIC AION: • Occlusion of short posterior ciliary arteries- partial/total infarction of optic nerve head • Age >50,but younger than those with AAION • DM,APA syndrome,hypertension,hyperlipidemia,sleep apnoea
  • 22.
    Symptoms: • Sudden painlessmonocular vision loss Signs: • Decreased VA • Visual field defects • Dyschromatopsia proportional to VA • Diffuse/sectoral disc swelling with few splinter hemorrhages(disc swelling gradually resolves)
  • 23.
    Investigations: • BP monitoring •Fasting lipid profile,blood glucose • Neuroimaging in some cases Treatment: • No definitive treatment • Short term steroid treatment • Treating underlying cause • Aspirin(doesnot prevent attack in fellow eye)
  • 24.
    ARTERITIC AION: • Inuntreated cases of giant cell arteritis • One-third develop fellow eye involvement within a week Symptoms: • Sudden,profound unilateral vision loss preceded by amaurosis fugax • Periocular pain • GCA symptoms-scalp tenderness,headache,jaw claudication • Diplopia
  • 25.
    Signs: • Severe visionloss with altitudinal visual field defect • Pale ‘chalky white’ edematous disc-suggesting GCA • Swelling resolves gradually-severe OA ensues Prognosis: very poor,permanent vision loss.partial recovery with immediate systemic steroids Pseudo-Foster Kennedy syndrome-consequence of AION-active disease in one eye is associated with contralateral optic atrophy in fellow eye due to previous episode
  • 26.
    Treatment: • Intravenous methylprednisolone500mg-1g/day for 3 days,oral prednisolone 1-2 mg/kg/day.After 3 more days- oral dose reduced to 50-60mg/day for 4 weeks/until symptoms resolution & ESR/CRP becomes normal • Along with weekly bisphosphonate,calcium/vit D supplementation • Monitoring by physician for steroid-related complications • Antiplatelet therapy with aspirin 600mg stat then 100mg/day • Methotrexate –in cases of steroid resistance
  • 27.
    ONTT • The OpticNeuritis Treatment Trial (ONTT) was a randomized trial that evaluated the value of corticosteroids in the treatment of acute optic neuritis • •3-day course of methylprednisolone given intravenously in a dose of 250 mg every 6 hours followed by 2 weeks of daily oral prednisone in a dose of 1 mg/kg/day accelerated visual recovery but did not improve the eventual visual outcome • •Treatment with oral prednisone alone in a dose of 1 mg/kg/day for 2 weeks also did not improve visual outcome and was associated with an increased rate of optic neuritis recurrences • An unexpected finding was that those who received intravenous corticosteroids followed by oral corticosteroids had a temporarily reduced risk of development of a second demyelinating event consistent with MS over the first two years compared with subjects who received oral corticosteroids alone or placebo
  • 28.
    MACULAR EDEMA: • Anatomy:round area in posterior pole,lying inside temporal visual arcade,measuring 5-6 mm in diameter,subserves central 15-20 degree of the visual field,shows more than 1 layer of ganglion cells,contains xanthophyll carotenoid pigments lutein & zeaxanthin
  • 29.
    Cystoid macular oedema: •Accumulation of fluid in outer plexiform & inner nuclear layers with cyst-like cavities • Accumulate initially in muller cells then rupture • Small cavities coalesce-foveal lamellar hole with irreversible central vision impairment • CMO is non-specific manifestation of variety of causes
  • 30.
    Causes: 1.Ocular surgery,laser-phacoemulsification,PRP 2.Retinal vasculardisease-DR,RVO 3.Inflammation- intermediate uveitis,severe/chronic uveitis 4.Drug-induced –topical prostaglandin derivatives 5.Retinal dystrophies-RP 6.Conditions involving VMT-ERM 7.CNV 8.Fundus tumours-retinal capillary hemangioma 9.Systemic – chronic renal failure
  • 31.
    Diagnosis: • Symptoms-blurring ofvision,micropsia,distortion • Signs-loss of foveal depression,thickening of retina,multiple cystoid areas,optic disc swelling,lamellar hole may be visible,features of associated disease • Amsler chart-central blurring,distortion • FA-petaloid pattern due to dye accumulation in cystic spaces • OCT-retinal thickening with cystic hyporeflective spaces and loss of foveal depression.lamellar hole in advanced cases
  • 32.
    DIABETIC MACULAR EDEMA: •Diffuse retinal edema due to extensive capillary leakage & localised oedema by focal leakage from microaneurysms and dilated capillary segments • Fluid initially located between outer plexiform & inner nuclear layer.later may involve inner plexiform and nerve fibre layer,until entire thickness becomes odematous
  • 33.
    Focal maculopathy-well-circumscribed retinal thickeningwith complete/incomplete ring of exudates.FA shows focal hyperfluorescence due to leakage with good macular perfusion Diffuse maculopathy-diffuse retinal thickening associated with cystoid changes.typically with scattered MA & small hemorrhages.FA shows mid-late phase diffuse hyperfluorescence
  • 34.
    Clinically significant macularedema: detected clinically • Retinal thickening within 500 micrometres of the center of macula • Exudates within 500 micrometres of the center of macula,if associated with retinal thickening(thickening itself maybe outside the 500 micrometres) • Retinal thickening one-disc area(1500 micrometre) or larger,any part of which is within one-disc diameter of the centre of macula
  • 35.
    • Microcystic macularedema: • Microcystic changes of the inner nuclear layer distinct from classic CMO can occur in eyes with optic neuritis and some other forms of optic neuropathy. It is believed to be caused by retrograde degeneration of the inner retinal layers that manifests with impaired fluid resorption.
  • 36.
    • • Treatmentof macular oedema. Treatment is generally indicated for VA worse than 6/9 and/or with significant central macular thickening (e.g. >250 µm) on OCT, but is unlikely to be of benefit if 6/120 or worse. • Intravitreal anti-VEGF agents • Intravitreal dexamethasone implant